Granuloma
Dr Mohammad Manzoor Mashwani
Collection of modified macrophages
EPI-THE-LI-OIDCells
Immune Granuloma
1. Epithelioid Cells 2. Rim of lymphocytes 3. Giant
cells 4. Caseous Necrosis 5. Fibrous Cup
Tubercle/Granuloma- a type of ch. Inf.
Granuloma is defined as a circumscribed, tiny lesion, about
1 mm in diameter, composed predominantly of collection of
modified macrophages called epithelioid cells, and rimmed
at the periphery by lymphoid cells.
The word ‘granuloma’ is derived from granule meaning
circumscribed granule-like lesion, and -oma which is a suffix
commonly used for true tumours but here it indicates a localised
inflammatory mass or collection of macrophages.
Granuloma: Collection of epithelioid cells rimed by
lymphocytes.
EPITHELIOID
Granuloma
is NOT
a Granulation
Tissue
• Granulation tissue is a new connective tissue and 
microscopic blood vessels that form on the surfaces 
of a wound during the healing process (Repair). 
• Granulation tissue typically grows from the base of 
a wound and is able to fill wounds of almost any 
size.
Granulation tissue is highly vascularized connective tissue composed of
1.Newly formed capillaries,
2.Proliferating fibroblasts and
3.Residual inflammatory cells.
A Young Scar = Granulation tissue
Healing: 1. Regeneration 2. Repair
Repair: 1. Granulation tissue formation 2. Contraction of wounds
Granulation tissue AppeArAnce
During the migratory phase of wound healing, granulation tissue is:
 light red or dark pink in color,
  being perfused with new capillary loops or "buds"; 
 soft to the touch;
 moist; and
 bumpy (granular) in appearance, due to punctate hemorrhages
 pulseful on palpation 
 painless when healthy.
Types of granulomas:
1. Foreign body granuloma 2.Immune granuloma .
1. Foreign body granulomas – form when material 
such as talc, sutures, or other fibers are large
enough to preclude (prevent) phagocytosis by a 
single macrophage.
1. Foreign Body Granuloma
2. Immune Granuloma
Immune granulomas
2. Immune granulomas - caused by insoluble particles that are 
capable of inducing a cell-mediated response. This type of immune 
response produces granulomas when the inciting agent is poorly 
soluble. 
Tuberculosis
Tubercle= GRANULOMA
Immune Granuloma
• Macrophages engulf the foreign  material and 
process   present some of it to appropriate 
• T lymphocytes, causing them to become activated, 
responding T cells produce cytokines, such as IL-2 
which activates other T cells and IFN-γ which is 
important in transforming macrophages into 
epithelioid cells and multinucleate giant cells.
• MaMacrophages Epithelioid cells +
Giant cells
• The classic example for the immune granuloma is 
that caused by the bacillus of tuberculosis. In this 
disease, the granuloma is referred to as a 
tubercle and is classically characterized 
by the presence of central caseous necrosis.
• Caseating necrosis is rare in other granulomatous 
diseases.
TUBERCLE = GRANULOMA
• Granuloma formation is a strategythat has evolved
to deal with those pathogens that have learned to evade
(escape) the host immune system by various means like
resisting phagocytosis and killing within the macrophages.
• Granulomas try to wall off these organisms and prevent
their further growth and spread.
Mechanism of Granuloma Formation
Wall off
Organisms
Granulomas try to wall
off these organisms and
prevent their further
growth and spread.
 Granuloma:
bacilli are inhaled by droplets
 Bacteria are phagocytosed by alveolar
macrophages
 After amassing (collect or gather) substances
that they cannot digest, macrophages lose their
motility, accumulate at the site of injury and
transform themselves into nodular collections;
the Granuloma
 A localized inflammatory response recruits
more mononuclear cells
 The granuloma consists of a kernel (inner) of
infected macrophages surrounded by foamy
macrophages and a ring of lymphocytes and a
fibrous cuff (containment phase)
 Containment usually fails when the immune
status of the patient changes; the granuloma
caseates, ruptures and spills into the airway
Containment
Phase
Main causes of granulomatous
inflammation:
• Mildly irritant ‘foreign’ material
• Mycobacteria: Tuberculosis, leprosy
• Syphilis
• Other rare infections e.g. some fungi
• Unknown causes: Sarcoid
Wegener’s granulomatosis
Crohn’s disease
Granuloma comprises:
1. Epithelioid Cells
2. Caseous Necrosis
3. Giant cells
4. Rim of lymphocytes
5. Fibrous Cup
1.Caseous Necrosis
2.Epithelioid cells
3.Giant cells
4.Fibrous cup
5.Rim of Lymphocytes
Infected
Macrophages
Epithelioid cells
• Epithelioid histiocytes (Epithelioid cells) are
activated macrophages resembling epithelial cells:
• elongated, with finely granular, pale eosinophilic (pink)
cytoplasm and
• central, ovoid nucleus (oval or elongate), which is
less dense than that of a lymphocyte.
• They have indistinct shape contour, often appear
to merge into one another and can form aggregates
known as giant cells.
Giant cell
• A giant cell is a mass formed by the union of several
distinct cells (usually macrophages), often forming a
granuloma.
• It can arise in response to an infection, such as
from tuberculosis, herpes, or HIV, or foreign body.
Types of Giant Cells
1. Langhans giant cell
2. Foreign-body giant cell
3. Touton giant cells
4. Giant-cell arteritis
5. Reed–sternberg cell
Also as in subependymal giant cell astrocytoma
1. Langhans giant cell
• This particular form of giant cell was named after a German
pathologist, Theodor Langhans.
• Epithelioid cells fuse to form giant cells containing 20 or more nuclei.
• The nuclei are arranged peripherally and form a circle or
semicircle related to the shape of a horseshoe.
• Langhans giant cell is said to be related to
tuberculosis and it occurs in many types of
granulomatous diseases.
Horseshoe
Slide 3.41
Langhans type giant cell -
Tuberculosis
2. Foreign-body giant cell
• Foreign-body giant cells form when a subject is
exposed to a foreign substance. Exogenous
substances include talc or sutures.
• In this form of giant cell, the nuclei are arranged in
an overlapping manner.
• This giant cell is often found in tissue because of
medical devices, prostheses, and biomaterials.
Foreign body type giant cells
3.Touton giant cells
Touton giant cells are a type of multinucleated
giant cell seen in lesions with
high lipid content such as
fat necrosis, xanthoma, and xanthogranulomas.
They are also found in dermatofibroma.
• Touton giant cells are named for Karl Touton,
a German botanist and dermatologist.Karl
Touton first observed these cells in 1885 and
named them "xanthelasmatic giant cells", a
name which has since fallen out of favor.
• They contain a ring of nuclei surrounding a central
homogeneous cytoplasm, while foamy cytoplasm
surrounds the nuclei.
Two cytoplasms:
1. Central homogeneous
cytoplasm
2. Peripheral foamy
cytoplasm
Touton: T for Two
cytoplasms
Touton Giant cell
Necrosis: A series of morphological changes in a lethally injured cell (irreversible cell injury).
Coagulative Necrosis + Liquefactive Necrosis
Soft, friable, whitish-grey/Yellowish debris
Resembling dry cheese
• Fibrous connective tissue often surrounds granulomas (remodeling of tissue)
• Areas within the granuloma can undergo necrosis (prototype: caseous necrosis in
tuberculosis).
• Necrosis can lead to calcification or liquefaction and formation of a cavern
(cave)if drained.
Fibrous Cup
Dystrophic Calcification
(Laminated)
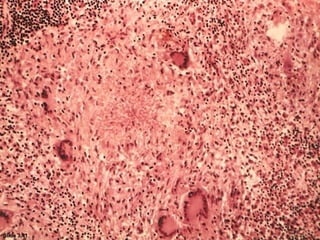
1. Caseous Necrosis 2. Epithelioid Cells 3.
Giant Cells 4. Lymphocytes 5. Fibrous cup
Morphology of Granuloma
Grossly, foci of caseous necrosis, as the name implies,
resemble dry cheese and are soft, granular and Whitish grey or
yellowish.
This appearance is partly attributed to the histotoxic
effects of lipopolysaccharides present in the capsule of the
tubercle bacilli, Mycobacterium tuberculosis.
Lipopolysaccharides
1. Caseous Necrosis 2. Epithelioid Cells 3. Giant Cells 4.
Lymphocytes 5. Fibrous cup
Microscopically,
1. the necrosed foci are structureless, eosinophilic, and contain
granular debris.
2. The surrounding tissue shows characteristic
granulomatous inflammatory reaction consisting of
epithelioid cells with
3. interspersed giant cells of Langhans’ or foreign body type
and
4. peripheral mantle (layer, covering, Ring, collar) of lymphocytes.
5. Fibrous cup.
Langhans Giant Cell
Caseous Necrosis
Epithelioid Macrophage
Lymphocytic Rim
Caseating granulomas
THANKS

Granuloma lecture st

  • 1.
    Granuloma Dr Mohammad ManzoorMashwani Collection of modified macrophages EPI-THE-LI-OIDCells Immune Granuloma 1. Epithelioid Cells 2. Rim of lymphocytes 3. Giant cells 4. Caseous Necrosis 5. Fibrous Cup
  • 3.
    Tubercle/Granuloma- a typeof ch. Inf. Granuloma is defined as a circumscribed, tiny lesion, about 1 mm in diameter, composed predominantly of collection of modified macrophages called epithelioid cells, and rimmed at the periphery by lymphoid cells. The word ‘granuloma’ is derived from granule meaning circumscribed granule-like lesion, and -oma which is a suffix commonly used for true tumours but here it indicates a localised inflammatory mass or collection of macrophages. Granuloma: Collection of epithelioid cells rimed by lymphocytes. EPITHELIOID
  • 4.
  • 5.
    • Granulation tissue is a new connective tissue and  microscopic blood vessels that form on the surfaces  of a wound during the healing process (Repair).  •Granulation tissue typically grows from the base of  a wound and is able to fill wounds of almost any  size. Granulation tissue is highly vascularized connective tissue composed of 1.Newly formed capillaries, 2.Proliferating fibroblasts and 3.Residual inflammatory cells. A Young Scar = Granulation tissue Healing: 1. Regeneration 2. Repair Repair: 1. Granulation tissue formation 2. Contraction of wounds
  • 6.
    Granulation tissue AppeArAnce During the migratory phase of wound healing, granulation tissue is: light red or dark pink in color,   being perfused with new capillary loops or "buds";   soft to the touch;  moist; and  bumpy (granular) in appearance, due to punctate hemorrhages  pulseful on palpation   painless when healthy.
  • 9.
    Types of granulomas: 1. Foreign body granuloma 2.Immune granuloma . 1.Foreign body granulomas – form when material  such as talc, sutures, or other fibers are large enough to preclude (prevent) phagocytosis by a  single macrophage. 1. Foreign Body Granuloma 2. Immune Granuloma
  • 10.
    Immune granulomas 2. Immunegranulomas - caused by insoluble particles that are  capable of inducing a cell-mediated response. This type of immune  response produces granulomas when the inciting agent is poorly  soluble.  Tuberculosis Tubercle= GRANULOMA
  • 11.
    Immune Granuloma • Macrophages engulf the foreign  material and  process   present some of it to appropriate  •T lymphocytes, causing them to become activated,  responding T cells produce cytokines, such as IL-2  which activates other T cells and IFN-γ which is  important in transforming macrophages into  epithelioid cells and multinucleate giant cells. • MaMacrophages Epithelioid cells + Giant cells
  • 12.
  • 13.
    • Granuloma formationis a strategythat has evolved to deal with those pathogens that have learned to evade (escape) the host immune system by various means like resisting phagocytosis and killing within the macrophages. • Granulomas try to wall off these organisms and prevent their further growth and spread. Mechanism of Granuloma Formation Wall off Organisms
  • 14.
    Granulomas try towall off these organisms and prevent their further growth and spread.
  • 15.
     Granuloma: bacilli areinhaled by droplets  Bacteria are phagocytosed by alveolar macrophages  After amassing (collect or gather) substances that they cannot digest, macrophages lose their motility, accumulate at the site of injury and transform themselves into nodular collections; the Granuloma  A localized inflammatory response recruits more mononuclear cells  The granuloma consists of a kernel (inner) of infected macrophages surrounded by foamy macrophages and a ring of lymphocytes and a fibrous cuff (containment phase)  Containment usually fails when the immune status of the patient changes; the granuloma caseates, ruptures and spills into the airway Containment Phase
  • 16.
    Main causes ofgranulomatous inflammation: • Mildly irritant ‘foreign’ material • Mycobacteria: Tuberculosis, leprosy • Syphilis • Other rare infections e.g. some fungi • Unknown causes: Sarcoid Wegener’s granulomatosis Crohn’s disease
  • 17.
    Granuloma comprises: 1. EpithelioidCells 2. Caseous Necrosis 3. Giant cells 4. Rim of lymphocytes 5. Fibrous Cup 1.Caseous Necrosis 2.Epithelioid cells 3.Giant cells 4.Fibrous cup 5.Rim of Lymphocytes Infected Macrophages
  • 18.
    Epithelioid cells • Epithelioidhistiocytes (Epithelioid cells) are activated macrophages resembling epithelial cells: • elongated, with finely granular, pale eosinophilic (pink) cytoplasm and • central, ovoid nucleus (oval or elongate), which is less dense than that of a lymphocyte. • They have indistinct shape contour, often appear to merge into one another and can form aggregates known as giant cells.
  • 20.
    Giant cell • Agiant cell is a mass formed by the union of several distinct cells (usually macrophages), often forming a granuloma. • It can arise in response to an infection, such as from tuberculosis, herpes, or HIV, or foreign body.
  • 21.
    Types of GiantCells 1. Langhans giant cell 2. Foreign-body giant cell 3. Touton giant cells 4. Giant-cell arteritis 5. Reed–sternberg cell Also as in subependymal giant cell astrocytoma
  • 22.
    1. Langhans giantcell • This particular form of giant cell was named after a German pathologist, Theodor Langhans. • Epithelioid cells fuse to form giant cells containing 20 or more nuclei. • The nuclei are arranged peripherally and form a circle or semicircle related to the shape of a horseshoe. • Langhans giant cell is said to be related to tuberculosis and it occurs in many types of granulomatous diseases. Horseshoe
  • 24.
  • 26.
    Langhans type giantcell - Tuberculosis
  • 27.
    2. Foreign-body giantcell • Foreign-body giant cells form when a subject is exposed to a foreign substance. Exogenous substances include talc or sutures. • In this form of giant cell, the nuclei are arranged in an overlapping manner. • This giant cell is often found in tissue because of medical devices, prostheses, and biomaterials.
  • 28.
    Foreign body typegiant cells
  • 30.
    3.Touton giant cells Toutongiant cells are a type of multinucleated giant cell seen in lesions with high lipid content such as fat necrosis, xanthoma, and xanthogranulomas. They are also found in dermatofibroma.
  • 31.
    • Touton giantcells are named for Karl Touton, a German botanist and dermatologist.Karl Touton first observed these cells in 1885 and named them "xanthelasmatic giant cells", a name which has since fallen out of favor.
  • 32.
    • They containa ring of nuclei surrounding a central homogeneous cytoplasm, while foamy cytoplasm surrounds the nuclei. Two cytoplasms: 1. Central homogeneous cytoplasm 2. Peripheral foamy cytoplasm Touton: T for Two cytoplasms
  • 33.
  • 34.
    Necrosis: A seriesof morphological changes in a lethally injured cell (irreversible cell injury). Coagulative Necrosis + Liquefactive Necrosis Soft, friable, whitish-grey/Yellowish debris Resembling dry cheese
  • 35.
    • Fibrous connectivetissue often surrounds granulomas (remodeling of tissue) • Areas within the granuloma can undergo necrosis (prototype: caseous necrosis in tuberculosis). • Necrosis can lead to calcification or liquefaction and formation of a cavern (cave)if drained. Fibrous Cup Dystrophic Calcification (Laminated) 1. Caseous Necrosis 2. Epithelioid Cells 3. Giant Cells 4. Lymphocytes 5. Fibrous cup
  • 36.
    Morphology of Granuloma Grossly,foci of caseous necrosis, as the name implies, resemble dry cheese and are soft, granular and Whitish grey or yellowish. This appearance is partly attributed to the histotoxic effects of lipopolysaccharides present in the capsule of the tubercle bacilli, Mycobacterium tuberculosis. Lipopolysaccharides
  • 37.
    1. Caseous Necrosis2. Epithelioid Cells 3. Giant Cells 4. Lymphocytes 5. Fibrous cup Microscopically, 1. the necrosed foci are structureless, eosinophilic, and contain granular debris. 2. The surrounding tissue shows characteristic granulomatous inflammatory reaction consisting of epithelioid cells with 3. interspersed giant cells of Langhans’ or foreign body type and 4. peripheral mantle (layer, covering, Ring, collar) of lymphocytes. 5. Fibrous cup.
  • 41.
    Langhans Giant Cell CaseousNecrosis Epithelioid Macrophage Lymphocytic Rim
  • 46.
  • 47.