INFLAMMATION
Inflammation is defined as the 
local response of living tissues 
to injury due to any agent. 
Inflammation is body defence 
reaction in order to alteration or 
limits the spread of injurious 
agent.
Causes: 
β€’ Physical agents (heat, cold, 
radiation, mechanical injury). 
β€’ Chemical agents (organic and 
inorganic poisons). 
β€’ Infective agents (bacteria, 
viruses, parasites). 
β€’ Immunological agents (cell-mediated 
and antigen-antibody 
reactions).
Clinical-morphological 
signs of inflammation: 
β€’ rubor (redness); 
β€’ tumor (swelling); 
β€’ calor (heat); 
β€’ dolor (pain); 
β€’ functio laesa (loss of function).
Inflammation of an organ 
is usually named by 
adding the suffix- 'itis' to 
its Latin name, 
e.g. appendicitis, hepatitis, 
cholecystitis, meningitis, 
etc.
Phases of inflammation: 
β€’alteration, 
β€’exudation, 
β€’proliferation.
1st phase – alteration – degeneration 
and necrosis of the cells, tissue. 
2nd phase – exudation – formation of 
exudate. 
β€’ microcirculatory bed reaction with 
disturbance of blood rheology, 
β€’ increased vascular permeability, 
β€’ exudation of main blood components, 
β€’ emigration of blood cells, 
β€’ phagocytosis, 
β€’ formation of exudation, 
β€’ development of inflammatory infiltration. 
3d phase – proliferation, which leads 
to restoration of tissue.
Classification 
According to 
prevailing one of 
phases of 
inflammation 
β€’ exudative, 
β€’ proliferative. 
According to the 
defense capacity of 
the host and 
duration of the 
response 
β€’ acute, 
β€’ chronic.
Acute inflammation is of short 
duration and represents the early 
body reaction and is usually 
followed by repair. 
Chronic inflammation is of longer 
duration. It occurs in case when 
the causative agent of acute 
inflammation persists for a long 
time. Besides, some stimulus 
induce chronic inflammation from 
the beginning.
Morphological manifestations 
of inflammation depend on a 
number of factors and 
processes: 
β€’ factors of the organisms, 
β€’ factors of the host, 
β€’ type of exudation, 
β€’ cellular proliferation.
Factors of organisms: 
β€’ Type of injury and infection. 
β€’ Virulence. 
β€’ Dose. 
β€’ Portal of entry. 
β€’ Product of organisms.
Factors of host: 
β€’ General health of host. 
β€’ Immune state of host. 
β€’ Leucopenia. 
β€’ Site or type of tissue 
involved. 
β€’ Local host factors.
Morphology of acute 
inflammation 
Exudative inflammation is 
characterized by prevailing of 
exudation and development of 
exudates in tissue and body 
cavities.
Morphological types 
of exudative inflammation 
(according to character of exudates and 
prevailing location): 
β€’ Serous, when the fluid exudate resembles serum 
or is watery. 
β€’ Fibrinous, when the fibrin content of the fluid 
exudates. It can be croupous and diphtheritic. 
β€’ Purulent or suppurative exudate is formation of 
pus in infection with pyogenic bacteria. 
β€’ Hemorrhagic, when there is vascular damage. 
β€’ Catarrhal, when the surface of epithelium in case 
of inflammation produces increased amount of 
mucus. 
β€’ Mixed
Serous inflammation 
β€’ exudate is not quite clear fluid and 
contains about 2% of proteins with a bit 
of neutrophils, 
β€’ arises in body cavities, mucous, meninx 
and internal organs and skin, 
β€’ causes – some infective agents 
(mycobacterium tuberculosis, 
meningococcus), physical and chemical 
agents, autointoxication (in case of 
uremia), 
β€’ outcomes: resolution (usually), 
sclerosis (very seldom).
Fibrinous inflammation 
β€’ exudate looks like white-grey membrane 
on the surface of organs or mucous, 
microscopically – eosinophilic meshy 
mass or amorphous coagulating mass, 
β€’ appears more often in body cavities and 
mucous, 
β€’ causes – streptococci, staphylococci, 
corynebacterium diphteriae and 
shigella, autointoxication, 
β€’ outcomes: sclerosis (usually), resolution 
(very seldom).
Types of fibrinous inflammation 
according to the type of epithelium 
on which inflammatory process 
develops and depth of necrosis: 
β€’ croupous – develops on columnar 
epithelium, serous membranes 
(fibrinous membranes unfix easily, 
without any effort). 
β€’ diphtheritic – develops on 
squamous or intermediate 
epithelium (fibrinous membranes 
unfix with difficulties).
β€’ Croupous or diphtheritic 
inflammation possible in GIT 
and endometrium depending on 
deepness of necrosis: 
β€’ -superfitial necrosis – croupous, 
β€’ -deep – diphtheritic.
Fibrinous 
colitis 
β€’Intraluminal fibrinous exudates 
β€’ Diffused leukocytes infiltration 
β€’ Hyperemia (blood congestion) 
β€’ Deep necrosis
Purulent inflammation 
β€’ exudate (pus) is creamy or opaque in 
appearance and is composed of 
numerous dead as well as living 
neutrophils, some red cells, fragments 
of tissue debris and fibrin, 
β€’ develops in any tissue and organs, 
β€’ causes – pyogenic bacteria, 
β€’ outcomes: sclerosis (may be 
petrifaction), generalization, resolution 
(very seldom).
Types of suppuration: 
β€’ abscess – focal purulent inflammation with 
following formation of cavity, which contains 
purulent exudate, 
β€’ phlegmon – unbounded purulent inflammation 
in which pus spreads diffusely between 
different components of tissue owing to fusion 
and tissue lysis, 
β€’ empyema – purulent exudate accumulation in 
human closed cavities or cavities with bed 
drenage, 
β€’ furuncle – acute inflammation via hair follicles 
in the dermal tissues, 
β€’ carbuncle – located abscess in dermis and soft 
tissues of neck, 
β€’ cellulitis – diffuse inflammation of soft tissues 
resulting from spreading effects of substances 
like hyaluronidase released by some bacteria, 
β€’ bacterial infections of the blood.
Outcomes of acute 
inflammatory process: 
β€’ resolution – complete return to normal 
tissue, occurs when tissue changes are 
slight and the cellular changes are 
reversible, 
β€’ healing by scarring (organization)– takes 
place when tissue destruction is 
extensive so that there is no tissue 
regeneration, 
β€’ progression to suppuration, 
β€’ progression to chronic inflammation.
Thank you!

Exudative inflammation

  • 1.
  • 2.
    Inflammation is definedas the local response of living tissues to injury due to any agent. Inflammation is body defence reaction in order to alteration or limits the spread of injurious agent.
  • 3.
    Causes: β€’ Physicalagents (heat, cold, radiation, mechanical injury). β€’ Chemical agents (organic and inorganic poisons). β€’ Infective agents (bacteria, viruses, parasites). β€’ Immunological agents (cell-mediated and antigen-antibody reactions).
  • 4.
    Clinical-morphological signs ofinflammation: β€’ rubor (redness); β€’ tumor (swelling); β€’ calor (heat); β€’ dolor (pain); β€’ functio laesa (loss of function).
  • 5.
    Inflammation of anorgan is usually named by adding the suffix- 'itis' to its Latin name, e.g. appendicitis, hepatitis, cholecystitis, meningitis, etc.
  • 6.
    Phases of inflammation: β€’alteration, β€’exudation, β€’proliferation.
  • 7.
    1st phase –alteration – degeneration and necrosis of the cells, tissue. 2nd phase – exudation – formation of exudate. β€’ microcirculatory bed reaction with disturbance of blood rheology, β€’ increased vascular permeability, β€’ exudation of main blood components, β€’ emigration of blood cells, β€’ phagocytosis, β€’ formation of exudation, β€’ development of inflammatory infiltration. 3d phase – proliferation, which leads to restoration of tissue.
  • 8.
    Classification According to prevailing one of phases of inflammation β€’ exudative, β€’ proliferative. According to the defense capacity of the host and duration of the response β€’ acute, β€’ chronic.
  • 9.
    Acute inflammation isof short duration and represents the early body reaction and is usually followed by repair. Chronic inflammation is of longer duration. It occurs in case when the causative agent of acute inflammation persists for a long time. Besides, some stimulus induce chronic inflammation from the beginning.
  • 10.
    Morphological manifestations ofinflammation depend on a number of factors and processes: β€’ factors of the organisms, β€’ factors of the host, β€’ type of exudation, β€’ cellular proliferation.
  • 11.
    Factors of organisms: β€’ Type of injury and infection. β€’ Virulence. β€’ Dose. β€’ Portal of entry. β€’ Product of organisms.
  • 12.
    Factors of host: β€’ General health of host. β€’ Immune state of host. β€’ Leucopenia. β€’ Site or type of tissue involved. β€’ Local host factors.
  • 13.
    Morphology of acute inflammation Exudative inflammation is characterized by prevailing of exudation and development of exudates in tissue and body cavities.
  • 14.
    Morphological types ofexudative inflammation (according to character of exudates and prevailing location): β€’ Serous, when the fluid exudate resembles serum or is watery. β€’ Fibrinous, when the fibrin content of the fluid exudates. It can be croupous and diphtheritic. β€’ Purulent or suppurative exudate is formation of pus in infection with pyogenic bacteria. β€’ Hemorrhagic, when there is vascular damage. β€’ Catarrhal, when the surface of epithelium in case of inflammation produces increased amount of mucus. β€’ Mixed
  • 15.
    Serous inflammation β€’exudate is not quite clear fluid and contains about 2% of proteins with a bit of neutrophils, β€’ arises in body cavities, mucous, meninx and internal organs and skin, β€’ causes – some infective agents (mycobacterium tuberculosis, meningococcus), physical and chemical agents, autointoxication (in case of uremia), β€’ outcomes: resolution (usually), sclerosis (very seldom).
  • 18.
    Fibrinous inflammation β€’exudate looks like white-grey membrane on the surface of organs or mucous, microscopically – eosinophilic meshy mass or amorphous coagulating mass, β€’ appears more often in body cavities and mucous, β€’ causes – streptococci, staphylococci, corynebacterium diphteriae and shigella, autointoxication, β€’ outcomes: sclerosis (usually), resolution (very seldom).
  • 19.
    Types of fibrinousinflammation according to the type of epithelium on which inflammatory process develops and depth of necrosis: β€’ croupous – develops on columnar epithelium, serous membranes (fibrinous membranes unfix easily, without any effort). β€’ diphtheritic – develops on squamous or intermediate epithelium (fibrinous membranes unfix with difficulties).
  • 20.
    β€’ Croupous ordiphtheritic inflammation possible in GIT and endometrium depending on deepness of necrosis: β€’ -superfitial necrosis – croupous, β€’ -deep – diphtheritic.
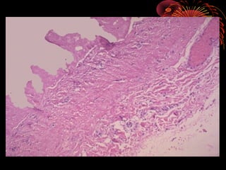
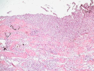
  • 31.
    Fibrinous colitis β€’Intraluminalfibrinous exudates β€’ Diffused leukocytes infiltration β€’ Hyperemia (blood congestion) β€’ Deep necrosis
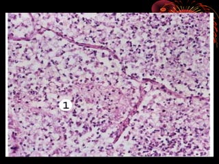
  • 33.
    Purulent inflammation β€’exudate (pus) is creamy or opaque in appearance and is composed of numerous dead as well as living neutrophils, some red cells, fragments of tissue debris and fibrin, β€’ develops in any tissue and organs, β€’ causes – pyogenic bacteria, β€’ outcomes: sclerosis (may be petrifaction), generalization, resolution (very seldom).
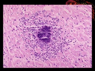
  • 34.
    Types of suppuration: β€’ abscess – focal purulent inflammation with following formation of cavity, which contains purulent exudate, β€’ phlegmon – unbounded purulent inflammation in which pus spreads diffusely between different components of tissue owing to fusion and tissue lysis, β€’ empyema – purulent exudate accumulation in human closed cavities or cavities with bed drenage, β€’ furuncle – acute inflammation via hair follicles in the dermal tissues, β€’ carbuncle – located abscess in dermis and soft tissues of neck, β€’ cellulitis – diffuse inflammation of soft tissues resulting from spreading effects of substances like hyaluronidase released by some bacteria, β€’ bacterial infections of the blood.
  • 57.
    Outcomes of acute inflammatory process: β€’ resolution – complete return to normal tissue, occurs when tissue changes are slight and the cellular changes are reversible, β€’ healing by scarring (organization)– takes place when tissue destruction is extensive so that there is no tissue regeneration, β€’ progression to suppuration, β€’ progression to chronic inflammation.
  • 58.