Cerebrospinal Fluid
Presented by: Farhad Jahanfar
Contents
Chemical examination
Physical examination
Routine examination of csf
Specimen collection
Introduction
Cytoligical examination
Microbiological examination
 First recognized by Cotugno in 1764
 Both the brain and spinal cord are covered by three
protective membranes referred to as the meninges
 Between the arachnoid layer and the pia mater is a
space called the subarachnoid space. It contains a clear,
colorless fluid referred to as Cerebrospinal Fluid (CSF).
 Supply nutrients to the nervous tissue,remove metabolic
wastes and produce a mechanical barrier
CSF
CSF
CSF is produced in the choroid plexuses of the two
lumbar ventricles and the third and fourth venticles.
choriod plexuses are capillary networks that form
the CSF from plasma by mechanisms of selective filtration
under hydrostatic pressure and active transport secretion.
CSF
 In adults, approximately 20 mL of fluid is produced
every hours.( 500 ml per Day)
 the total volume of CSF circulating throughout the adult
Central Nervous System approximately 90 - 150 ml.
 blood-brain barrier
 Blood-csf barrier
CSF
CSF
Cerebrospinal fluid (CSF) analysis may be used to help
diagnose a wide variety of diseases affecting the central
nervous system.
Infectious diseases such as meningitis and
encephalitis
Bleeding (hemorrhaging)
Tumors
inflammation ,autoimmune disorders, Guillain-Barré syndrome
Or sarcoidose and multiple sclerosis
How is it used?
Specimen Collection and Handling(LP(
CSF is routinely collected by lumbar puncture between
the third, fourth, or fifth lumbar vertebrae
Tube 1 for chemical and serologic tests because
these tests are least affected by blood or bacteria
introduced as a result of the tap procedure;
Tube 2 is usually designated for the microbiology laboratory
Tube 3 is used for the cell count, because it is the least
likely to contain cells introduced by the spinal tap
•Hematology tubes are refrigerated.
•Microbiology tubes remain at room temperature.
•Chemistry and serology tubes are frozen.
 tests are performed on a STAT basis
CSF physical characteristics
.
Pressure
Increased CSF pressure:
tumors,infection, abnormal accumulation of
CSF within the brain (hydrocephalus) , or
bleeding.
Viscosity
same consistency as water
thicker" may be seen in people with certain
types of cancers or meningitis.
Appearance
clear, cloudy or turbid, milky,
xanthochromic, and hemolyzed/bloody.
90~180mmH2O Adults, 10~100mmH2O in children
WBC>200
RBC>400
RBC>600
Xanthochromia is a term used to describe CSF supernatant
that is pink, orange, or yellow
pink (very slight amount of oxyhemoglobin(
orange (heavy hemolysis(
yellow (conversion of oxyhemoglobin to unconjugated
bilirubin(
Other causes of xanthochromia include elevated serum
bilirubin, presence of the pigment carotene, markedly
increased protein concentrations.
Traumatic Collection (Tap(
Grossly bloody CSF can be an indication of intracranial
hemorrhage,but it may also be due to the puncture of a
blood vessel during the spinal tap procedure.
1.Uneven Distribution of Blood
2.Clot Formation
3.Xanthochromic Supernatant
Three visual examinations:
CSF glutamine
CSF LDH
Serological test
CSF glucose
CSF protein
CSF lactic acid
CSF chemical tests
CSF Glucose
 normal is about 2/3 the concentration of blood
glucose (60% to 70%)
 For an accurate evaluation of CSF Glucose,a blood
glucose test must be run for comparison(2 hours prior (
 Specimens should be tested immediately because
glycolysis occurs rapidly in the CSF
CSF Glucose
 CSF Glucose , WBC(neutrophils) :bacterial meningitis
 CSF Glucose ,WBC(lymphocytes) : tubercular meningitis
 CSF Glucose(Normal) ,WBC(lymphocytes) :viral meningitis
CSF Protein
 only a small amount is normally present in CSF
 Normal values for total CSF protein are usually listed as
15 to 45 mg/dL
 higher values are found in infant
 CSF IgG increased multiple sclerosis, herpes encephalitis,
connective tissue diseases
and older persons.
 the CSF contains protein fractions similar to
those found in serum
CSF
damage to the integrity of the BBB
Intrathecal synthesis
protein
CSF Protein
CSF/serum albumin index=
CSF albumin (mg/dL(
Serum albumin (g/dL(
IgG index=
CSF IgG (mg/dL)/serum IgG (g/dL(
CSF albumin (mg/dL)/serum albumin (g/dL(
 An index value less than 9 represents an intact BBB
 values greater than 0.70 are indicative of IgG production
within the CNS
Bacterial
Myelin basic protein(MBP(
 Myelin protein:myelin basic protein, myelin
oligodendrocyte glycoprotein, and proteolipid protein.
 seen when the covering of nerves (myelin) breaks
down, such as with multiple sclerosis.
 Measurement of the amount of MBP in the CSF can be
used to monitor the course of MS.
CNS trauma, tumor, and viral encephalitis,peripheral
neoropathy,vasculitis. Guillain-Barré syndrome
CSF protein electrophoresis
 oligoclonal bands
 The bands are located in the gamma region of the protein
electrophoresis, indicating immunoglobulin production.
 presence of two or more oligoclonal bands in the CSF that
are not present in the serum can be a valuable tool in the
diagnosis MS.
Transthyretin(Pre-Albumin(
β2 Transferrin(tau)
α2 Macroglubolin(AMG(
 CSF normally contain very low levels of AMG
 there are several components to the blood-CSF barrier,
with a few large pinocytic vesiclcs transporting proteins
up to 1500A into the CSF.
 Polyneuropathies:Increase of AMG
 The level of AMG alone, or its relationship to levels of albumin
and IgG, may therefore be helpful in differential diagnosis of
Neurological disorders.
 In patients with bacterial meningitis, CSF AMG levels
are on average 15 times higher than is the case with
nonbacterial meningitis
 CSF levels of AMG normally increase with age
AMG
 Dye-binding methods such as Coomassie brilliant blue
or Ponceau S are used.
Methodology
 Turbidimetry
(Trichloroacetic acid&sulfosalicylic acid precipitation)
 urinary protein reagent strips
CSF Lactate
In bacterial,tubercular, and fungal meningitis, the elevation
of CSF lactate to levels greater than 25 mg/dL occurs.
 Levels greater than 35 mg/dL are frequently seen with
bacterial meningitis, whereas in viral meningitis, lactate
levels remain lower than 25 mg/dL
falsely elevated results may be obtained on
xanthochromic or hemolyzed fluid
CSF Glutamine
 Glutamine is produced from ammonia and -ketoglutarate by
.the brain cells
 The normal concentration of glutamine in the CSF is 8 to 18 mg/dL.
 may be increased with liver disease, hepatic encephalopathy or
Reye syndrome
 Some disturbance of consciousness is almost
always seen when glutamine levels are more than 35 mg/dL(coma(
used to differentiate between bacterial and viral
meningitis; the level is usually increased with bacterial
meningitis and not with viral meningitis; may also be
elevated with leukemia or stroke.
CSF LDH
Isoenzymes LD1 and LD2 are found in brain tissue.
Isoenzymes LD2 and LD3 are found in lymphocytes
.
Isoenzymes LD4 and LD5 are found in neutrophils
CSF LDH
LD5 All
Bacterial meningitis Viral meningitis Metastatic tumors Primary neoplasm
LD4,LD5 LD1,LD2,LD3
CPK: Raised CPK is found in:
 Brain infract
 Brain tumors
 polineoropathy
 MS
CK-BB < 5 Slight injury
Mild injury 5<CK-BB <20
21>CK-BB< 50 Death
CRP: It is markedly increased with bacterial meningitis.
it is often used to distinguish between bacterial
and viral meningitis
Tubercular meningitis L/15< : ADA
Tumor markers — Carcinoembryonic antigen (CEA),
alpha-fetoprotein (AFP), and hCG may be increased in
metastatic tumors.
PCR has been especially useful in the diagnosis
of viral meningitis
Serologic test: VDRL,FTA-ABS
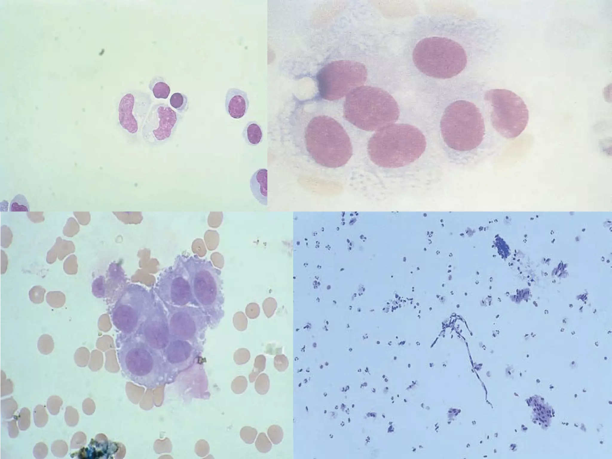
Microscopic Examination
 The cell count that is routinely performed on CSF
specimens is the leukocyte (WBC) count.
 Any cell count should be performed immediately(1 Hours)
 Normal adult CSF contains :0 -5 WBCs/uL
0-30WBC/ul : newborns
Children: 0-20 WBC/ul
0:RBC
 Calculation of CSF Cell Counts
Number of cells counted × dilution
Number of squares counted(9) × volume of 1
square(0.1(
cells/uL=
WBC Count
Dilutions for total cellcounts are made with normal saline
Lysis of RBCs must be obtained prior to performing the
WBC count on either diluted or undiluted specimens
3%glacial acetic acid(Marcano(
Number of cells counted × dilution
Number of squares counted(4) × volume of 1
square(0.1(
WBC/ul=
Corrections for ContaminationCorrections for Contamination
WBC (added(=
WBC(blood) ×RBC (CSF(
RBC (blood(
 The specimen is centrifuged for 5 to 10
minutes
Differential Count
 the suspended sediment are allowed to air
dry and are stained with Wright’s stain
 When the differential count is performed, 100 cells
should be counted, classified, and reported in terms of
percentage
:The WBC count seen in normal adult CSF is
approximately 70 %lymphocytes
and 30 %monocytes
Increase Lymphocytes:
Viral & Fungal meningitis
Multiple sclerosis
Increased neutrophils:
Bacterial Meningitis
cerebral abscess
CNS hemorrhage
CNS infarct
 77% of patients with bacterial meningitis will have a WBC
count higher than 1,000 /mm,3
 99% will have more than 100 per mm3.
 Having less than 100 WBCs/ mm3 is viral meningitis.
CSF gram stain
direct observation of microorganisms under a
microscope
hemophilus influenza Neisseria meningitidis
Microbiological examination
 A CSF culture is used to detect infectious
organisms in the CSF(blood agar,chocolate
agar)
 Acid-fast staining should be done if tuberculosis is
clinically suspected
 Wright-gimsa staining: for Differential
Count
Pathogens
•Strep. pneumoniae
•Strep. agalactiae (Group B(
•Listeria monocytogenes
•Aerobic Gram negative bacilli
•Staphylococcus species
 Haemophilus influenzae
 Neisseria meningitidis
 Streptococcus pneumoniae
5%Sheep blood agar
Chocolate agar
Cerebrospinal fluid

Cerebrospinal fluid

  • 1.
  • 2.
    Contents Chemical examination Physical examination Routineexamination of csf Specimen collection Introduction Cytoligical examination Microbiological examination
  • 3.
     First recognizedby Cotugno in 1764  Both the brain and spinal cord are covered by three protective membranes referred to as the meninges  Between the arachnoid layer and the pia mater is a space called the subarachnoid space. It contains a clear, colorless fluid referred to as Cerebrospinal Fluid (CSF).  Supply nutrients to the nervous tissue,remove metabolic wastes and produce a mechanical barrier CSF
  • 4.
  • 5.
    CSF is producedin the choroid plexuses of the two lumbar ventricles and the third and fourth venticles. choriod plexuses are capillary networks that form the CSF from plasma by mechanisms of selective filtration under hydrostatic pressure and active transport secretion. CSF  In adults, approximately 20 mL of fluid is produced every hours.( 500 ml per Day)  the total volume of CSF circulating throughout the adult Central Nervous System approximately 90 - 150 ml.
  • 6.
     blood-brain barrier Blood-csf barrier CSF
  • 7.
  • 10.
    Cerebrospinal fluid (CSF)analysis may be used to help diagnose a wide variety of diseases affecting the central nervous system. Infectious diseases such as meningitis and encephalitis Bleeding (hemorrhaging) Tumors inflammation ,autoimmune disorders, Guillain-Barré syndrome Or sarcoidose and multiple sclerosis How is it used?
  • 12.
    Specimen Collection andHandling(LP( CSF is routinely collected by lumbar puncture between the third, fourth, or fifth lumbar vertebrae
  • 13.
    Tube 1 forchemical and serologic tests because these tests are least affected by blood or bacteria introduced as a result of the tap procedure; Tube 2 is usually designated for the microbiology laboratory Tube 3 is used for the cell count, because it is the least likely to contain cells introduced by the spinal tap
  • 14.
    •Hematology tubes arerefrigerated. •Microbiology tubes remain at room temperature. •Chemistry and serology tubes are frozen.  tests are performed on a STAT basis
  • 16.
    CSF physical characteristics . Pressure IncreasedCSF pressure: tumors,infection, abnormal accumulation of CSF within the brain (hydrocephalus) , or bleeding. Viscosity same consistency as water thicker" may be seen in people with certain types of cancers or meningitis. Appearance clear, cloudy or turbid, milky, xanthochromic, and hemolyzed/bloody. 90~180mmH2O Adults, 10~100mmH2O in children
  • 17.
  • 19.
    Xanthochromia is aterm used to describe CSF supernatant that is pink, orange, or yellow pink (very slight amount of oxyhemoglobin( orange (heavy hemolysis( yellow (conversion of oxyhemoglobin to unconjugated bilirubin( Other causes of xanthochromia include elevated serum bilirubin, presence of the pigment carotene, markedly increased protein concentrations.
  • 20.
    Traumatic Collection (Tap( Grosslybloody CSF can be an indication of intracranial hemorrhage,but it may also be due to the puncture of a blood vessel during the spinal tap procedure. 1.Uneven Distribution of Blood 2.Clot Formation 3.Xanthochromic Supernatant Three visual examinations:
  • 21.
    CSF glutamine CSF LDH Serologicaltest CSF glucose CSF protein CSF lactic acid CSF chemical tests
  • 22.
    CSF Glucose  normalis about 2/3 the concentration of blood glucose (60% to 70%)  For an accurate evaluation of CSF Glucose,a blood glucose test must be run for comparison(2 hours prior (  Specimens should be tested immediately because glycolysis occurs rapidly in the CSF
  • 23.
    CSF Glucose  CSFGlucose , WBC(neutrophils) :bacterial meningitis  CSF Glucose ,WBC(lymphocytes) : tubercular meningitis  CSF Glucose(Normal) ,WBC(lymphocytes) :viral meningitis
  • 24.
    CSF Protein  onlya small amount is normally present in CSF  Normal values for total CSF protein are usually listed as 15 to 45 mg/dL  higher values are found in infant  CSF IgG increased multiple sclerosis, herpes encephalitis, connective tissue diseases and older persons.  the CSF contains protein fractions similar to those found in serum
  • 25.
  • 26.
    damage to theintegrity of the BBB Intrathecal synthesis protein CSF Protein CSF/serum albumin index= CSF albumin (mg/dL( Serum albumin (g/dL( IgG index= CSF IgG (mg/dL)/serum IgG (g/dL( CSF albumin (mg/dL)/serum albumin (g/dL(  An index value less than 9 represents an intact BBB  values greater than 0.70 are indicative of IgG production within the CNS
  • 27.
  • 28.
    Myelin basic protein(MBP( Myelin protein:myelin basic protein, myelin oligodendrocyte glycoprotein, and proteolipid protein.  seen when the covering of nerves (myelin) breaks down, such as with multiple sclerosis.  Measurement of the amount of MBP in the CSF can be used to monitor the course of MS. CNS trauma, tumor, and viral encephalitis,peripheral neoropathy,vasculitis. Guillain-Barré syndrome
  • 29.
    CSF protein electrophoresis oligoclonal bands  The bands are located in the gamma region of the protein electrophoresis, indicating immunoglobulin production.  presence of two or more oligoclonal bands in the CSF that are not present in the serum can be a valuable tool in the diagnosis MS. Transthyretin(Pre-Albumin( β2 Transferrin(tau)
  • 31.
    α2 Macroglubolin(AMG(  CSFnormally contain very low levels of AMG  there are several components to the blood-CSF barrier, with a few large pinocytic vesiclcs transporting proteins up to 1500A into the CSF.  Polyneuropathies:Increase of AMG
  • 32.
     The levelof AMG alone, or its relationship to levels of albumin and IgG, may therefore be helpful in differential diagnosis of Neurological disorders.  In patients with bacterial meningitis, CSF AMG levels are on average 15 times higher than is the case with nonbacterial meningitis  CSF levels of AMG normally increase with age AMG
  • 33.
     Dye-binding methodssuch as Coomassie brilliant blue or Ponceau S are used. Methodology  Turbidimetry (Trichloroacetic acid&sulfosalicylic acid precipitation)  urinary protein reagent strips
  • 34.
    CSF Lactate In bacterial,tubercular,and fungal meningitis, the elevation of CSF lactate to levels greater than 25 mg/dL occurs.  Levels greater than 35 mg/dL are frequently seen with bacterial meningitis, whereas in viral meningitis, lactate levels remain lower than 25 mg/dL falsely elevated results may be obtained on xanthochromic or hemolyzed fluid
  • 35.
    CSF Glutamine  Glutamineis produced from ammonia and -ketoglutarate by .the brain cells  The normal concentration of glutamine in the CSF is 8 to 18 mg/dL.  may be increased with liver disease, hepatic encephalopathy or Reye syndrome  Some disturbance of consciousness is almost always seen when glutamine levels are more than 35 mg/dL(coma(
  • 36.
    used to differentiatebetween bacterial and viral meningitis; the level is usually increased with bacterial meningitis and not with viral meningitis; may also be elevated with leukemia or stroke. CSF LDH Isoenzymes LD1 and LD2 are found in brain tissue. Isoenzymes LD2 and LD3 are found in lymphocytes . Isoenzymes LD4 and LD5 are found in neutrophils
  • 37.
    CSF LDH LD5 All Bacterialmeningitis Viral meningitis Metastatic tumors Primary neoplasm LD4,LD5 LD1,LD2,LD3
  • 38.
    CPK: Raised CPKis found in:  Brain infract  Brain tumors  polineoropathy  MS CK-BB < 5 Slight injury Mild injury 5<CK-BB <20 21>CK-BB< 50 Death CRP: It is markedly increased with bacterial meningitis. it is often used to distinguish between bacterial and viral meningitis
  • 39.
    Tubercular meningitis L/15<: ADA Tumor markers — Carcinoembryonic antigen (CEA), alpha-fetoprotein (AFP), and hCG may be increased in metastatic tumors. PCR has been especially useful in the diagnosis of viral meningitis Serologic test: VDRL,FTA-ABS
  • 41.
    Microscopic Examination  Thecell count that is routinely performed on CSF specimens is the leukocyte (WBC) count.  Any cell count should be performed immediately(1 Hours)  Normal adult CSF contains :0 -5 WBCs/uL 0-30WBC/ul : newborns Children: 0-20 WBC/ul 0:RBC
  • 42.
     Calculation ofCSF Cell Counts Number of cells counted × dilution Number of squares counted(9) × volume of 1 square(0.1( cells/uL=
  • 43.
    WBC Count Dilutions fortotal cellcounts are made with normal saline Lysis of RBCs must be obtained prior to performing the WBC count on either diluted or undiluted specimens 3%glacial acetic acid(Marcano( Number of cells counted × dilution Number of squares counted(4) × volume of 1 square(0.1( WBC/ul=
  • 44.
    Corrections for ContaminationCorrectionsfor Contamination WBC (added(= WBC(blood) ×RBC (CSF( RBC (blood(
  • 45.
     The specimenis centrifuged for 5 to 10 minutes Differential Count  the suspended sediment are allowed to air dry and are stained with Wright’s stain  When the differential count is performed, 100 cells should be counted, classified, and reported in terms of percentage :The WBC count seen in normal adult CSF is approximately 70 %lymphocytes and 30 %monocytes
  • 48.
    Increase Lymphocytes: Viral &Fungal meningitis Multiple sclerosis Increased neutrophils: Bacterial Meningitis cerebral abscess CNS hemorrhage CNS infarct  77% of patients with bacterial meningitis will have a WBC count higher than 1,000 /mm,3  99% will have more than 100 per mm3.  Having less than 100 WBCs/ mm3 is viral meningitis.
  • 49.
    CSF gram stain directobservation of microorganisms under a microscope hemophilus influenza Neisseria meningitidis Microbiological examination
  • 50.
     A CSFculture is used to detect infectious organisms in the CSF(blood agar,chocolate agar)  Acid-fast staining should be done if tuberculosis is clinically suspected  Wright-gimsa staining: for Differential Count
  • 51.
    Pathogens •Strep. pneumoniae •Strep. agalactiae(Group B( •Listeria monocytogenes •Aerobic Gram negative bacilli •Staphylococcus species  Haemophilus influenzae  Neisseria meningitidis  Streptococcus pneumoniae 5%Sheep blood agar Chocolate agar