NAMRATHA
EFFUSION CYTOLOGY
ļ‚— Body cavities - Two layers derived from the
embryonal mesenchyme- the visceral layer
covers the organs while the parietal layer lines
the outer wall.
ļ‚— Together they form a self-contained cavity that is
lined with mesothelial cells called a serous cavity;
specifically, the pleural cavity surrounding the
lungs, the pericardial cavity surrounding the heart
and the peritoneal cavity surrounding the internal
organs of the abdomen.
Histology of the Epithelium
ļ‚— Serous membranes
consist of connective
tissue that is normally
lined by a single layer of
mesothelial cells
ļ‚— Clear, watery fluid (serous
fluid) is produced, which
lubricates the organs
ļ‚— Any excess of serous fluid
is an effusion and
indicates a disease state
mesothelium
Image courtesy of Boston University
peritoneal cavity
Connective tissue of serosa
ļ‚— The outer layer - parietal peritoneum attached
to the abdominal wall and the pelvic walls
ļ‚— The inner layer, the visceral peritoneum-
wrapped around the internal organs that are
located inside the intraperitoneal space
ļ‚— The potential space - (about 50 mL) of slippery
serous fluid that allows the two layers to slide
freely over each other.
Biological Nature of Effusion
An effusion is any excess amount of serous fluid in a
body cavity
ļ‚— Always caused by a pathologic process
ļ‚— Fluid is reabsorbed after successful treatment.
ļ‚— Effusions are classified into four categories
ļ‚— Hydrostatic
ļ‚— Infectious
ļ‚— Noninfectious inflammatory
ļ‚— Malignant
ļ‚— Each category can be one of two types
ļ‚— Transudate
ļ‚— Exudate
SAMPLE COLLECTION
ļ‚— The fluid is collected into a clean, dry container, which
need not be sterile, and sent to the laboratory as soon
as possible.
ļ‚— If the fluid cannot be sent immediately, it should be
stored in a refrigerator at 4 degree c and not allowed
to freeze.
ļ‚— We do not require anticoagulant or fixative to be
added to the fluid.
ļ‚— Anticoagulation by adding heparin to the receptacle
before the fluid is collected does not interfere with
cytologic detail.
ļ‚— Formalin, alcohol, or any other kind of cellular
preservative must not be added to specimens of
serous fluid sent to our laboratory.
ļ‚— Formalin not only prevents cells from adhering well to
a slide but also interferes with the quality of staining
by the Papanicolaou method.
METHODS OF PREPARATION
ļ‚— Clot on standing- Exudate- High protein content,
rich in fibrin.
ļ‚— 1ml of 5% sodium citrate
ļ‚— Centrifuged in a conical tube @ 800rpm for 12
min
ļ‚— Lavage- 1000rpm- 10min.
ļ‚— Smears made from the fluid free sediment.
ļ‚— Wet fixed in 95% ethanol for Pap and H & E.
ļ‚— Air dried and fixed in methanol for Romanowsky
stain.
ļ‚— Heavily blood stained- 1% acetic acid.
ļ‚— Smears from buffy coat.
Types of staining smears
ļ‚— PAP
ļ‚— Hx & E
ļ‚— Cell block for remnant sediment and histopathological
examination.
ļ‚— Other special stains for the most suspected diseases, to
confirm diagnosis.
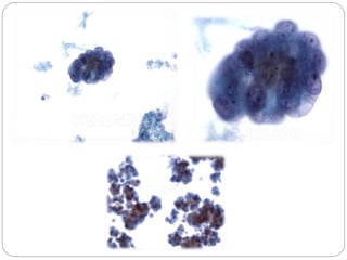
Normal young mesothelial cells:
ļ‚— Singly, in doublets, or in clusters of variable sizes
and configuration
ļ‚— Cohesive, monolayered sheets of cells-
mesothelial cells forming small cell balls; may
have central collagen core (especially when
forcibly removed)
ļ‚— The cell groups have lobulated or flower-like
borders as compared to the smooth
ā€œcommunityā€ border typically associated with
adenocarcinoma.
Normal Components and Findings
ļ‚— Nuclei
ļ‚— Single or binucleated
ļ‚— Centrally located but can be eccentric
ļ‚— Round to oval with well-defined, smooth nuclear borders
ļ‚— Fine chromatin
ļ‚— Small nucleoli
ļ‚— Cytoplasm
ļ‚— Dense center with pale periphery
ļ‚— Lacy ā€œskirtā€ cell borders the clear outer rim (ā€˜lacy skirt’ or
ā€˜halo’) corresponds to long, slender, branching microvilli.
ļ‚— The cells sometimes have cytoplasmic vacuoles.
ļ‚— Two or more mesothelial cells in groups are often
separated by a narrow clear zone or ā€˜window’.
20x
Copyright Ā© 2012 Hologic, All rights reserved.
Two cytoplasmic zones can be
recognized: a perinuclear, denser zone,
and a peripheral, clear zone .
The difference is caused by an
accumulation of cell organelles in the
perinuclear area
Cell clasping phenomenon
ļ‚— The cytoplasm of one
cell appears to be
clasping another cell.
ļ‚— This type of articulation
is carried a stage further
when the cytoplasm of
the clasping cell seems
to be about to pinch off
the cytoplasm of the cell
being clasped.
ļ‚— The final scene -
appearance of one
mesothelial cell within
another.
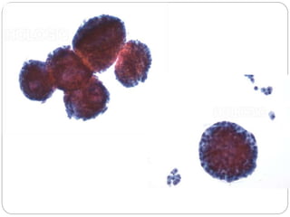
Old mesothelial cells
ļ‚— Long standing lesion.
ļ‚— Hydropic vacuole in
the cytoplasm-
signet ring shape.
ļ‚— Leucocytes seen.
ļ‚— Clusters, acini,
papillae with
mitoses.
Atypical reactive mesothelial cells
ļ‚— SLE, RA
ļ‚— Chronic inflammation
ļ‚— Neoplasm
ļ‚— Pulmonary embolism or infarct
ļ‚— Active cirrhosis or hepatitis
ļ‚— Uremia
ļ‚— Pancreatitis
ļ‚— Long-term dialysis
ļ‚— Radiation and chemotherapy
REACTIVE MESOTHELIAL
CELLS
ļ‚— Increased numbers of mesothelial cells, singly or in
clusters, Varying cell sizes
ļ‚— Scanty or abundant thick homogenous cytoplasm, Sharp
smooth heavy cytoplasmic membranes
ļ‚— Central or eccentric nuclei, Enlarged nuclei with coarsely
clumped irregularly distrubuted chromatin
ļ‚— Regular sharp nuclear borders, Spherical prominent
nucleoli.
ļ‚— Multinucleation
ļ‚— Sibling imagesā€ are a clue- Although reactive atypia
can be severe, it affects the cells more or less
uniformly, resulting in the ā€œsibling imageā€
characteristic of benign cells.
ļ‚— In contrast, a secondary ā€œforeignā€ population of cells
usually indicates metastasis.
Benign Mesothelial cells that mimic cancer cells
Benign Formation Mimics
Three Dimensional cells balls, or rosettes Adenocarcinoma
Papillae Papillary adenocarcinoma
Indian files Breast, small cell carcinoma
Cell in cell Squamous cell carcinoma
Signet ring Breast, stomach cancer
Single cell Lymphoma
Normal Components
ļ‚— Histiocytes
ļ‚— Bean shaped eccentric darkly staining nuclei
ļ‚— Delicate foamy cytoplasm
ļ‚— Usually present in effusion.
ļ‚— Prominent in cancer, TB and embolism
ļ‚— Lymphocytes
ļ‚— Tuberculosis
ļ‚— Lymphoma/Lymphocytic leukemia
ļ‚— Efffusions of long duration
Histiocytes have smaller nuclei than
mesothelial cells with granular or
vacuolated cytoplasm.
Pleural fluid showing predominantly
lymphoid cells with few mesothelial
cells and histiocytes
The tuberculous
effusion
ļ‚— Lymphocytes slightly
larger than in non
tubercular effusions
ļ‚— Indented nuclei
ļ‚— Thick nuclear
membrane and
coarse chromatin
ļ‚— Small nucleoli
ļ‚— Rarely- epithelioid
cells, multinucleate
giant cells.
Eosinophils
ļ‚— No significance in the first
tap.
ļ‚— Eosinophilic pleural effusions,
defined as a pleural effusion
that contains at least 10%
eosinophils.
ļ‚— Spontaneous
pneumothorax.
ļ‚— Most eosinophilic effusions
are pleural and due to
allergic reactions to dust.
ļ‚— Drug induced, Pulmonary
infarct, pneumonia, trauma,
hydatid disease.
ļ‚— Loeffler’s syndrome,
Traumatic pericarditis,
rheumatic pericariditis
ļ‚— Allergic vasculitis, Benign
asbestos effusion.
Neutrophils
ļ‚— Presence can have many causes, particularly infection.
ļ‚— Color of the fluid: creamy pale yellow (purulent)
ļ‚— Pneumonia, TB, Foreign body, abscess, Penetrating traumatic
injuries.
ļ‚— Malignant effusions are seldom associated with acute
inflammation
Plasma cells
TB
RA
HL
Multiple myeloma
Filarial effusions tend to be chylous in nature due to
leakage of chyle from the occluded thoracic duct.
Exudative effusion may be due to Lymphangitis
resulting from incomplete obstruction of
lymphatics.
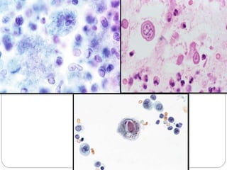
stained wet film of pleural effusion
illustrating a scolex of Echinococcus
granulosus
A stained wet film of
pleural effusion -ovum of
Paragonimus westermani.
LE Cells
Image reprinted with permission from MLO-Medical Laboratory Observer, November 2008.
(a) Cytospin preparation of the pleural
fluid showing plenty of lupus
erythematosus (LE) cells (MGG,
Ɨ400). (b) Cytospin preparation of the
pleural fluid showing tart cell (MGG,
Ɨ400)
LE cells in the pleural fluid
ļ‚— Highly specific for SLE.
ļ‚— Neutrophilic phagocytes that contain intracytoplasmic
hematoxylin bodies.
ļ‚— The hematoxylin bodies are thought to be formed by the
opsonization of cells by ANA typically found in SLE
patients.
ļ‚— In cytological preparations, LE cells must be distinguished
from ā€˜tart cells’ or ā€˜pseudo-LE cells’, which result from
the phagocytosis of nuclear debris by macrophages.
ļ‚— The phagocytosed debris within the tart cell is smaller,
and has a non-homogenous (clumped) appearance in
contrast to the smooth homogenous character of the
hematoxylin bodies in true LE cells.
ļ‚— The incubation of the pleural fluid at room temperature
for several hours may enhance the LE cell
phenomenon.
Rheumatoid
pleuritis
ļ‚— Exudate with low glucose
and high LDH
ļ‚— Small, unilateral, recurrent.
ļ‚— Calcium and cholesterol.
ļ‚— Necrotising granulomatous
inflammation with central
fibrinoid necrosis and
surrounding spindle shaped
cells.Spindle shaped cells
and multinucleate giant cells.
ļ‚— Fluffy amorphous granular
material in the background,
Cytoplasmic inclusions
ļ‚— neutrophils may also contain
fat droplets
ļ‚— -mesothelial cells are
noticeably absent
Benign bone marrow cells
including a multinucleate
megakaryocyte in extramedullary
hematopoiesis secondary to
myelofibrosis with
anemia.
Extramedullary hematopoiesis
may be identified in effusions in
patients with myelofibrosis.
Immature blood cells and
megakaryocytes are identified
Pulmonary infarct
ļ‚— Cellularity ranges from slight to profuse
ļ‚— Mesothelial cells, macrophages including
haemosiderophages, lymphocytes,
ļ‚— neutrophils are present, eosinophils may be seen
ļ‚— RBCs- traumatic tap.
ļ‚— In hemorrhagic effusions, fresh and degenerated
erythrocytes are usually seen against a background of
fibrin.
ļ‚— Sickle cell anemia may be identified in fluids in the
form of sickle-shaped erythrocytes
ļ‚— Erythrophagocytosis
ļ‚— Ingestion of the patient's own erythrocytes by
macrophages in pleural or ascitic fluids may be
occasionally observed, for example, in dialysis
ascites
ļ‚— Chediak-Higashi syndrome and some forms of
malignant lymphoma
ļ‚— Autoimmune hemolytic anemia, induced by
Epstein-Barr virus.
Malignant effusions
ļ‚— Direct extension or distant carcinomatous
metastasis.
ļ‚— Reaction- Increased exudate fluid and stratification of
mesothelium.
ļ‚— Blockage of lymphatics.
ļ‚— Compression of vessels by tumour mass or
metastasising tumour cells.
ļ‚— Size, shape and number depend on nature of
malignant neoplasm.
ļ‚— Excellent culture medium- 4-6 weeks- Well preserved
- Increased mitosis.
ļ‚— Suspect malignancy- Bloody background-
Haemorrhagic effusion, lymphocytosis,
ļ‚— Large unilateral effusion (>1 litre) in the elderly is
highly suspicious for malignancy
ļ‚— Effusions associated with malignancies may be
just a reactive response without presence of
any tumour cells
ļ‚— The number of neoplastic cells in recurrent
effusions often increases.
ļ‚— Ask for re-tap if first tap shows no malignant cells
or inconclusive in large suspicious effusions, if
initial 4 slides show no malignant cells, re-prep
further slides and cell blocks
Abnormal Findings
• Metastatic:
ļ‚— Adenocarcinoma
ļ‚— Squamous Cell
Carcinoma
ļ‚— Neuroendocrine
Tumors
ļ‚— Lymphoma/leukemia
ļ‚— Melanoma
ļ‚— Sarcoma
ļ‚— Other Neoplasms
• Primary:
ļ‚— Malignant
Mesothelioma
ļ‚— Effusion Lymphoma
To identify cancer cells accurately
To identify tumor type and, if
possible, the site of primary origin
The Most Common Tumor that Cause Malignant Effusion, by Site and Sex
Type of Malignant Men Women
Pleural Lung Breast
Gastrointestinal tract Lung
Pancreas Ovary
Peritoneal Intestinal Ovary
(includes gastric and pancreatic)
Pancreas Breast
Prostate Uterus
Malignant effusions---metastatic tumors
RELATIVE FREQUENCY OF ORIGIN OF METASTATIC
MALIGNANT TUMORS IN CHILDREN
Pleural or Peritoneal Fluid
ļ‚— Leukemia-lymphoma
ļ‚— Wilms' tumor
ļ‚— Neuroblastoma
ļ‚— Embryonal rhabdomyosarcoma
ļ‚— Ewing's tumor
Comparison - erythrocytes,
lymphocytes, or mesothelial cells
ļ‚— Large or very large
ļ‚— Small
ļ‚— Medium-sized.
ļ‚— Mesotheliomas,
metastatic carcinomas
of various types,
malignant melanomas
and sarcomas.
ļ‚— Malignant lymphomas,
many of the malignant
tumors of childhood and
certain carcinomas
(small-cell carcinoma of
the breast, oat cell
carcinoma).
ļ‚— Mammary, lung, gastric,
pancreatic, or prostatic
origin may have this
presentation
A Few Cytomorphological Patterns
ļ‚— Proliferation spheres
ļ‚— – Breast ca, small cell ca lung
ļ‚— Isolated tumour cells
ļ‚— – Gastric ca, lobular breast ca, melanoma,
lymphoma
ļ‚— Signet ring cells
ļ‚— – Gastric ca
ļ‚— -Colorectal carcinoma
ļ‚— Papillary groups containing psammoma
bodies
ļ‚— – Ovarian ca, thyroid c
Unique to effusion cytology
Proliferation of tumour cells in fluid
medium (in
vivo)
More common in chronic malignant
effusions
– Breast ca, small cell ca, ovarian ca
Spheres may fuse to mimic papillary
structures
May also be associated with reactive
mesothelial
proliferations
Signet-ring Cells
Malignant
– Gastric adenocarcinoma
– Colonic adenocarcinoma
Benign
– Degenerative vacuoles in
mesothelial cells
and macrophages
Psammoma
bodies Single cells
ļ‚— Malignant
ļ‚— – Ovary – serous
carcinoma
ļ‚— – Thyroid – papillary
carcinoma
ļ‚— – Lung – some BAC
ļ‚— – Mesothelioma –
papillary epithelial type
ļ‚— Benign
ļ‚— – Pelvic inflammatory
disease
ļ‚— – Non-specific finding in
women in ascitic fluids
ļ‚— and pelvic washing
ļ‚— Malignant
ļ‚— – Gastric
adenocarcinoma
(diffuse type)
ļ‚— – Breast lobular
carcinoma
ļ‚— – Lymphoma
ļ‚— –Melanoma
ļ‚— DDx - Benign
ļ‚— – Reactive lymphoid
population
A)psammoma bodies in papillary tumor(B ; H&E
), cytoplasmic mucin of signet ring cell
carcinoma(C) or cytoplasmic melanin of
malignant melanoma(D).(A, C, D; Papanicolaou
stain).
ļ‚— Epithelial and mixed mesotheliomas account for
about 90% of all pleural and peritoneal primary
tumors.
ļ‚— Both neoplasms are commonly associated
with a serous effusion.
ļ‚— Sarcomatous and desmoplastic mesotheliomas
are usually not associated with an effusion.
ļ‚— 10% of cases the effusions are acellular or
contain only rare benign reactive mesothelial
cells.
Mesothelioma
Mesothelioma
ļ‚— Asbestos exposure.
ļ‚— Viscid hemorrhagic effusion with increased
hyalurinic acid.
ļ‚— Overwhelming cellularity.
ļ‚— The presence of two distinct cell populations, one
benign and the other malignant, as seen in
metastatic cancers, is not obviously present.
ļ‚— Single cells, clustered, groups, tissue fragments,
monolayered sheets, synctial, papillary, three
dimensional balls.
ļ‚— True acinar pattern absent.
MESOTHELIOMA
ļ‚— Cell to cell apposition with
windows.
ļ‚— Knobby contours, central
nuclei, bi and
multinucleation.
ļ‚— Pleomorphic, delicate
smooth nuclear
membrane, finely granular
chromatin.
ļ‚— Single or multiple macro or
micronucleoli and mitosis.
ļ‚— • Small tumor cell clusters
commonly show ā€œcell-
embracing-cellā€ , "push-
inā€œ cell junctions and a
clear space or ā€œwindowā€
between two adjacent
cells.
ļ‚— Thick endoplasm and a
fuzzy ectoplasm that is
due to the presence of long
filamentous microvilli on free
cell surfaces.
ļ‚— Adenomatoid
mesothelioma- extensive
cytoplasmic vacuolization,
mimicking cells from a
mucus-secreting
adenocarcinoma or signet-
ring cell carcinoma.
Smear of pleural effusion depicting
mesothelioma cell with their typical
intercellular articulation, including the
clasping type of articulation
Individual malignant mesothelial cells
exhibit a rim of ruffled, less dense
cytoplasm (ectoplasm), surrounding
dense cytoplasm around the nucleus
(endoplasm).
PK-like cells in effusion specimens was
highly specific for the diagnosis of MM,
especially when the PK-like cells were
moderate or numerous
Suggested Immunochemistry Markers
Reactive mesothelial cells
ļ‚— Calretinin+
ļ‚— CK 5/6 +
ļ‚— p53 -
ļ‚— Desmin +
ļ‚— EMA -
Mesothelioma
ļ‚— Calretinin+
ļ‚— CK 5/6 +
ļ‚— p53 +
ļ‚— Desmin -
ļ‚— EMA +
DDx
ļ‚— Reactive mesothelial hyperplasia
ļ‚— Metastatic adenocarcinoma
ļ‚— Serous papillary tumour of peritoneum.
ļ‚— Sqaumous cell carcinoma.
ļ‚— Malignant melanoma.
METASTATIC CANCERS
ļ‚— 45% in pleural fluid, 27% in pericardial and 35% in
peritoneal fluids.
ļ‚— More frequently epithelial malignancies.
ļ‚— Most adenocarcinomas, rarely- squamous, small cell
carcinomas.
ļ‚— Non epithelial- Lymphomas/leukemias, melanoma, germ
cell tumours.
ļ‚— Soft tissue tumours rarely exfoliate.
ļ‚— A known history of cancer, a positive effusion may be the
first sign of an unsuspected malignancy.
ļ‚— Lung, breast, ovarian, and gastrointestinal cancer.
ļ‚— The histologic type of cancer most commonly seen in
serous effusions is adenocarcinoma but a variety of other
cancers can cause effusions.
ļ‚— Less common malignancies are squamous cell carcinoma,
small cell carcinoma (SCC), hematopoietic malignancies,
melanoma, germ cell tumours and sarcomas.
Adenocarcinoma
Cytologic features:
ļ‚— The most frequent type of neoplastic cells in serous
effusions
ļ‚— Glandular acini, papillae or cell balls/cannon balls
ļ‚— Smooth Community borders
ļ‚— Increased N/C ratios
ļ‚— Irregular nuclear membranes
ļ‚— Abnormal chromatin
ļ‚— Large or irregular nucleoli
ļ‚— Secretory vacuoles with mucin
Carcinoma breast
ļ‚— Breast- Most common malignant effusion in females.
ļ‚— Tight clusters, ball like nests.
ļ‚— Infiltrating ductal carcinoma- Nuclei are molded against
the adjacent cells.
ļ‚— Smooth nuclear membrane. Prominent nucleoli. Uniform
granular chromatin. Abnormal mitosis.
ļ‚— The presence of multiple sex chromatin bodies
practically assures the diagnosis of cancer, most likely
of mammary origin, regardless of other cell features
ļ‚— Medullary- Shed singly.
ļ‚— Lobular carcinoma- Indian file,pseudo pearl formation.
Scanty cytoplasm- DDX- Reactive lymphocytes.
ļ‚— Colloid- Mucous containing vacuoles, signet ring cells.
ļ‚— Scirrhous- Rows of 4-5 cellsScanty pale blue cytoplasm.
Metastatic carcinoma of the
breast. Malignant cells
contrasting with benign
histiocytes.
The classic description of
metastatic breast cancer in
pleural effusions employs the
term "cannonballs" to
emphasize the rounded
arrangement of tumor cells
Metastatic carcinoma of the breast.
Note two separate cell populations: a
smaller benign population of
mesothelial cells and larger tumor cells.
20X
Smear of pericardial effusion depicting metastatic lobular
adenocarcinoma of the breast. All of the cells in this field are
small adenocarcinoma cells, some forming a caterpillar-like chain
Lung adenocarcinoma
ļ‚— 40% of malignant pleural effusions.
ļ‚— Medium to large malignant cells.
ļ‚— Synctial and papillary fragments with or
without acinar pattern.
ļ‚— Cytoplasmic vacuoles.
ļ‚— Well defined cytoplasm, dense cytoplasm.
ļ‚— Large nuclei with high N/C ratio.
ļ‚— Giant forms, bizarre nuclei with multinucleation.
Cytologic Differences Between Adenocarcinoma and Mesothelioma
Adenocarcinoma Mesothelioma
Groupings Community borders irregular knobby outline
Windows unusual Windows common
Cells Columnar shape Blebs, skirts
Nucleus Usually eccentric Usually central
Pleomorphic and bizarre Less pleomorphic and not bizarre
Cytoplasm Delicate, homogeneous Dense with lacy edges
Uniform stain Two-tone staining
Vacuoles Secretory Degenerative
Multinucleated Rare Common
Giant cells
Differences Between Adenocarcinoma and Mesothelioma
Mesothelioma
Adenocarcinoma
ļ‚— Background-
Inflammatory cells
ļ‚— Cell clasping
phenomenon
ļ‚— Collagen cores
ļ‚— PAS Digestible
ļ‚— Alcian blue
hyaluronidase
digestible
ļ‚— Background-
Inflammatory cells
and mesothelial cells
ļ‚— PAS non digestible
ļ‚— Alcian blue
hyaluronidase non
digestible
Suggested Immunochemistry
Markers
Mesothelioma
ļ‚— Calretinin+
ļ‚— WT-1 +
ļ‚— CEA -
ļ‚— TTF-1 -
ļ‚— MOC-31 -
ļ‚— Ber-EP4 -
ļ‚— B72.3 -
Adenocarcinoma
ļ‚— Calretinin-
ļ‚— WT-1 -
ļ‚— CEA +
ļ‚— TTF-1* +
ļ‚— MOC-31 +
ļ‚— Ber-EP4 +
ļ‚— B72.3 +
*Lung and thyroid only
Squamous cell carcinoma
ļ‚— Infrequently involves serous membranes.
ļ‚— Centrally located, do not exfoliate.
ļ‚— Metastatic from head and neck and from genital
regions.
ļ‚— Readily recognised when well differentiated.
ļ‚— Isolated cells or whorled, very pleomorphic,pyknotic
nuclei
ļ‚— The squamoid character of this of carcinoma -
keratinizing squamoid cells with their orange
cytoplasm and round or tadpole shapes
ļ‚— Anucleated ketain squames and malignant pearls.
ļ‚— Central nuclei, abundant dense cytoplasm(DDx-
Melanoma)a, well demarcated cell borders.
ļ‚— Ectoplasmic/endoplasmic differentiation.(DDx-
Mesothelioma)
Smear of pleural effusion depicting a fragment of
nonkeratinizing squamous cell carcinoma of
bronchus. Unlike a cluster of mesothelial or
adenocarcinoma cells, this cluster of cells has a
loose, angulated and ā€œuntidyā€ appearance
(Papanicolaou Ɨ MP).
Smear of pleural fluid
containing a metastatic
keratinizing cell of laryngeal
squamous cell carcinoma
Delicate concentric lines are
visible in the cytoplasm of the
larger cell; such lines are
evidence of squamoid
differentiation (Papanicolaou Ɨ
OL).
Small cell carcinoma and
neuroendocrine carcinoma
ļ‚— Differentiation from poorly differentisted
carcinoma difficult.
ļ‚— Oat cells larger than lymphocytes, Flat mono
layer
ļ‚— Tissue aggregates with molding
ļ‚— Homogenous smudged nuclei, linear cleft
between moulded nuclei.
ļ‚— Single file arrangements can be seen, Small,
rounded cells
ļ‚— Inconspicuous nucleoli
Small cell undifferentiated
carcinoma, lung origin. Nuclei
have small nucleoli and often a
salt and pepper look to the
chromatin. Cytoplasm is scant.
60x
ļ‚— Leiomyosarcoma. A high-grade uterine
leiomyosarcoma metastatic to the lung shows in
associated effusion large single pleomorphic
malignant cells with bizarre nuclei and dense,
granular cytoplas.
ļ‚— Biphasic synovial sarcoma may show in
associated effusions epithelial-like and
spindleshaped tumor cells in loose aggregates.
ļ‚— Epithelial-like tumor cells with focal gland-like
arrangement may be seen, and a transition
between these two types of cells may be
observed.
Lymphoproliferative disorders
ļ‚— The malignant lymphomas can be divided into four groups:
ļ‚— Large-cell lymphomas
ļ‚— Small-cell lymphomas
ļ‚— Hodgkin lymphoma
ļ‚— Miscellaneous lymphoproliferative and hematologic
disorders, including rare types of lymphomas, plasma
cell myelomas, and leukemias
ļ‚— Cohesive, organized aggregates of cells. Cells of
malignant lymphomas do not form associations with each
other and the cancer cells lie singly.
ļ‚— Although superposition of these cells into thick
clusters may occur, it is usually an artifact of
preparatory techniques
ļ‚— In effusions, a malignant tumor characterized by organized
cell clusters is not a malignant lymphoma, regardless of
the size and make-up of individual cells, although rare
exceptions may occur
ļ‚— Marked variation in size, sparse cytoplasm, no vacuoles.
ļ‚— Enlarged nuclei, prominent nucleoli, abnormal coarse
chromatin, Heavy irregular and indented nuclear
membrane, Mitoses.
ļ‚— Nuclear fragmentation, previously referred to as
karyorrhexis, and now recognized as apoptosis
ļ‚— Although this feature is more common in small cell
lymphomas it does occur in the large cell variant.
ļ‚— CLL- reactive lymphocytosis
ļ‚— Large cell lymphoma- Metastatic carcinoma
ļ‚— Burkitt's Lymphoma- Cells of this variant of lymphoma may
occasionally be observed in ascitic fluid. - malignant cells
of lymphoid type with small nuclear vacuoles,
accompanied by large macrophages, some of which were
smudged, presumably during smear preparation.
ļ‚— Leukemia- Lymphoblastic or myeloblastic
The cells are large with
markedly atypical features
including large
pleomorphic nuclei which
may be lobated, one or
more prominent nucleoli,
and abundant amphophilic
cytoplasmm. anaplastic or
plasmablastic including a
pale area alongside the
nucleus or 'hof'.
Multinucleated cells may
be confused with Reed
Sternberg cells. Mitoses
are frequent.
Small-Cell Lymphoma
ļ‚— B-cell lymphomas> T-cell lymphomas.
ļ‚— Large population of monotonous, small lymphoid cells 6 to
12 µm in diameter.
ļ‚— Round or oval, with very scanty, barely visible basophilic
cytoplasm, nuclei are moderately hyperchromatic,
occasionally cleaved or somewhat irregular in shape, but
mainly round or oval, small nucleoli
ļ‚— Small irregularities of the nuclear contour and nuclear
protrusions may be observed.
ļ‚— Granularity of the nuclei, cellules grumelĆ©es or ā€œlumpy
cells,ā€ characterized by numerous coarse aggregates of
chromatin in otherwise spherical nuclei.
ļ‚— Useful fixation artifact that occurred only in malignant
disorders, but not in benign lymphocytes.
ļ‚— Nuclear fragmentation in the form of massive apoptosis
(karyorrhexis) of nuclei may occur and is diagnostic of this
group of diseases
lymphoblastic lymphoma
• Small to medium sized lymphocytes
• Fine powdery chromatin
• Scant cytoplasm
Small lymphocytic lymphoma
• Differential diagnosis:
chronic inflammation (tuberculosis)
• Isolated cells
Pleomorphic sarcoma
Osteosarcoma
Liposarcoma
Large and bizarre shaped
Round cell sarcoma
Rhabdomyosarcoma
Neuroblastoma
Small and uniform shaped
Spindle cell sarcoma
Fibrosarcoma
Leiomyosarcoma
Synovial sarcoma
Sarcomas
Germ cell tumours.
Malignant melanoma- Macronucleoli.
Isolated round cells with prominent nucleoli
Fine brown cytoplasmic pigmentation
Intranuclear pseudoinclusions
Immunocytochemistry stain: S-100(+), HMB-45(+)
Small round cell tumors.
Sarcomas.
ļ‚— Up to 50 ml Fluid normally present in peritoneal cavity
ļ‚— Peritoneal effusion is called Ascites
ļ‚— Laboratory criteria for dividing ascitic fluid into
transudate and exudate is not well defined as it is for
pleural fluid.
ļ‚— Diagnostic peritoneal lavage (DPL) have limited use:
1. Rapid screening for significant abdominal hemorrhage
2. Evaluation of hollow viscus injuries
ļ‚— Peritoneal dialysis: submitted to check for infection
ļ‚— Peritoneal washing: performed intra operatively to
document early intra abdominal spread of gynecologic and
gastric Ca.
Serosal Fluids
Peritoneal Fluid
ļ‚— Peritoneal cytology - Important role in the
diagnosis and staging of abdominal and
gynecologic neoplasms.
ļ‚— Peritoneal involvement by malignant tumors -
extensive - mesothelioma or high-grade
abdominal or ovarian carcinomas, diagnosis can
usually be confirmed by examination of
ascites.
ļ‚— This may include examination of peritoneal
washings, brushings, or smears.
ļ‚— Cytologic sampling of fluid from the peritoneal cavity
at the time of surgery - ovarian tumors by Keettel and
Pixley (1958).
ļ‚— Purpose - Improve the staging of these tumors.
ļ‚— In 1958, Keettel and Pixley - Procedure may provide
evidence of spread of ovarian cancer in the absence
of visible lesions.
ļ‚— In 1986 - Incorporated into the official staging of
ovarian cancer by the International Federation of
Gynecology and Obstetrics (FIGO).
ļ‚— The presence of cancer cells modifies the staging of
ovarian tumors from stages Ia or Ib to Ic and from IIa
and IIb to IIc.
ļ‚— The higher staging calls for a different approach to
treatment with the recognition that surgery alone is
not likely to be curative of the disease
PFC in Staging of Gynaecological
Cancers
ļ‚— • 1988 FIGO staging for ovarian cancers requires
PFC analysis (1C and 2C)
ļ‚— • 2009 FIGO staging for endometrial cancers
does not require PFC analysis
ļ‚— • Useful to record findings in histology reports if
possible
INDICATIONS AND GOALS OF PERITONEAL EFFUSION
ANALYSIS
ļ‚— 1. To assist in the initial staging of primary
ovarian and endometrial cancers.
ļ‚— 2. To exclude intra abdominal occult cancers in
patients undergoing surgery for benign pelvic
diseases.
ļ‚— 3. To monitor the effectiveness of chemotherapy
for advanced ovarian cancers (second-look
laparotomy).
ļ‚— 4. To assist in staging of some non-gynecologic
abdominal cancers (gastric and pancreas)
Second-look laparotomy
ļ‚— Patients who had chemotherapy or radiotherapy
for advanced ovarian cancer and show no clinical
or diagnostic imaging evidence of residual tumor
may undergo a laparotomy to evaluate the
response to therapy.
ļ‚— In about 50% of cases residual tumor is identified
grossly, and in 20% of patients an evidence of
residual tumor is confirmed by tissue biopsy
and/or PW.
ļ‚— PW is this situation has a low sensitivity, ranging
between 31 and 86%, according to several
reported series
ļ‚— Ovarian neoplasms, - positive peritoneal washing
will upstage the diagnosis to a FIGO Stage Figo IC.
ļ‚— The prognostic significance of malignant cells in
washings or brushings varies, depending on the
primary ovarian lesion, as for example in serous
borderline tumor or serous papillary carcinoma.
ļ‚— Positive cytology is frequently a reflection of adnexal
involvement in endometrial carcinoma.
ļ‚— Carcinoma of the cervix but when identified-
Aadvanced disease and may require endocavitary
chemotherapy to prevent recurrence.
ļ‚— Positive peritoneal washings - Peritoneal
recurrence and poor prognosis in patients with
gastric adenocarcinoma.
ļ‚— In potentially resectable pancreatic
carcinoma-positive cytology is associated
with more advanced disease
PFC in Gynaecological Cancers
ļ‚— Saline (salt solution) is introduced into the
peritoneal cavity, and then removed by suction.
After this, the fluid is examined for malignant
(cancer) cells (called peritoneal washing
cytology).
ļ‚— Extensive - mesothelioma or high-grade abdominal or
ovarian carcinomas, diagnosis can usually be
confirmed by examination of ascites.
ļ‚— Additional procedures to assist diagnosis are required
for localized tumors, less advanced disease, or follow-
up of treatment.
ļ‚— This may include examination of peritoneal washings,
brushings, or smears.
ļ‚— • Ascites/effusions - diagnostic
ļ‚— • Washings/lavage - staging
SAMPLE COLLECTION
ļ‚— Peritoneal lavage cytology specimens may be
obtained as an outpatient procedure using a
temporary dialysis catheter for patients with
ovarian cancer undergoing endocavitary
chemotherapy..
ļ‚— Implantable intraperitoneal chemotherapy port
systems can be used as sampling devices to
collect washings for detection of persistent
intraperitoneal disease in ovarian carcinoma.
Normal Peritoneal Washing
ļ‚— Peritoneal washings and brushings differ from
effusions with detached sheets of mesothelial cells,
which may give rise to problems in interpretation
ļ‚— Cellular with large sheets of mesothelial cells that are
forcely exfoliated by washing. Intensely bloody, fat
and debris
ļ‚— Single and clustered histiocytes, polymorphonuclear
leukocytes - contaminated blood.
ļ‚— Cohesive polygonal mesothelial cells with oval
nuclei, thin and regular nuclear contours, fine
chromatin and small nucleoli.
ļ‚— On rare occasions papillary clusters of benign
mesothelial cells containing psammoma bodies
and masses of collagen surrounded by
mesothelial cells (ā€œcollagen ballsā€).
A large and irregular sheet of mesothelial cells forcely
exfoliated by peritonea jet washing showing evenly spaced
mesothelial cells that have ill-defined cytoplasm oval or
bean-shaped nuclei, small conspicuous nucleoli
Reactive cells in ascitis fluid
ļ‚— Cyst or adnexal torsion, visceral adhesions,
organizing hematoma, and
ļ‚— Inflammatory lesions such as pancreatitis and
chronic salpingitis.
ļ‚— Intraperitoneal chemotherapy may give rise to
cytologic abnormalities that mimic malignancy.
Endosalpingiosis
ļ‚— Ectopic benign glands lined by tubal-type epithelium.
ļ‚— Multicentric and can involve the peritoneum as well as other
pelvic structures, including the ovarian surface and paratubal
tissue.
ļ‚— Low cellularity
ļ‚— Cohesive aggregates and/or non-branching papillae or clusters
of small, uniform cuboidal to columnar cells with scant basophilic
cytoplasm, the nuclei display regular nuclear membranes, fine
chromatin and small nucleoli.
ļ‚— Ciliated or non-ciliated, and unlike malignancy is mitotically
inactive.
ļ‚— Psammoma bodies , Hemosiderin-laden macrophages,
typical of endometriosis, are not usually present.
ļ‚— DDx- reactive mesothelium, endometriosis and serous
neoplasia. T
ļ‚— The presence of a complex branching architecture, single
Endosalpingiosis in peritoneal fluid
showing a papillary cluster.
The round to ovoid nuclei display fine
chromatin pattern and occasional
small nucleoli. No distinct cilia was
noted. Papanicolaou stain..
ENDOMETRIOSIS
ļ‚— Rupture of an endometriotic
cyst.
ļ‚— Endometrial epithelial
cells, endometrial stromal
cells and/or hemosiderin-
laden macrophages.
ļ‚— Small to medium sized ovoid
to columnar cells with bland
nuclei. sheets or tight balls
with a honeycomb pattern,
branching tubules.
ļ‚— Mild atypia, mainly in the
form of distinct nucleoli.
ļ‚— Endometrial stromal - histiocytic
or spindle cell appearance.
ļ‚— When stromal cells are
decidualized, they will have
more cytoplasm and round to
oval nuclei
ļ‚— Hemosiderin-laden
macrophages and hemolyzed
blood are usually present in the
background
ļ‚— DDx - benign hemorrhagic
cystic lesions, metastatic
endometrial adenocarcinoma,
and low grade endometrial
stromal sarcom
ļ‚— well-differentiated
endometrial
adenocarcinoma - loose
but usually three-
dimensional clusters of
cells with coarse
chromatin and nuclear
membrane irregularities,
the N/C ratio may not be
increased if the cells have
abundant cytoplasm.
ļ‚— In endometriosis,
however, the cells are
low columnar with a
bland nuclear chromati
and uniform nuclear
Membranes.
loose clusters of benign endometrial
cells. These cells are of uniform size,
small and lack nucleoli with few
hemosiderin-laden macrophages
ļ‚— Ciliocytophthoria: detached ciliated tufts of fallopian tube
origin. Relatively common in peritoneal specimens from
females
ļ‚— Psammoma bodies These structures appear purple on
Pap stain, which is a helpful feature to distinguish them
from collagenous balls which stain more green in color
ļ‚— 15-20% of peritoneal fluid specimens. Mesothelial
hyperplasia, endosalpingiosis, ovarian cystoadenoma and
adenofibroma.
ļ‚— The most common associated malignancy is papillary
serous ovarian carcinoma, although these bodies can be
infrequently also encountered with endometrioid
carcinoma. Thyroid, kidney, lung and rarely mesothelioma
ļ‚— Collagen balls: cores of collagen usually covered with
mesothelium.
ļ‚— More common in peritoneal washes than in effusions.
ļ‚— Can be seen in benign mesothelial proliferations and
mesothelioma but are rare in adenocarcinoma
Collagene ballā€ in peritoneal
washing cell film (A) and in
cell block (Pap, A x 400; HE,
B x 200).
Detached acellular ciliary
tufts in this case of
endosalpingiosis (Pap stain,
Ɨ400)
40x
Copyright Ā© 2012 Hologic, All rights reserved.
Pelvic washing 40x: Psammoma body
from a case of biopsy confirmed benign
mesothelial hyperplasia with
psammomatosis.
FALSE POSITIVE FALSE NEGATIVE
ļ‚— -post radiation or
chemotherapy - large bizarre
multinucleated mesothelial
cells
ļ‚— -extramedullary
haemopoiesis including
megakaryocytes
ļ‚— -reactive changes from
various causes
ļ‚— -degenerate benign
vacuolated mesothelial cells,
mimicking adenocarcinoma
ļ‚— single cell presentation in
some carcinomas e.g.
breast, stomach, pancreas
ļ‚— -bland looking carcinoma
e.g. renal cell carcinoma,
looking like histiocytes
ļ‚— -single cell presentation in
mesothelioma with only mild
nuclear atypia
ļ‚— -hypocellular tumours e.g.
squamous cell carcinoma,
sarcoma
ļ‚— -low grade lymphoma
ļ‚— -difficult to distinguish
borderline ovarian tumours
from low grade carcinomas
Ovarian adenocarcinoma
ļ‚— Most common source of peritoneal effusion.
ļ‚— Evaluation of PW is not required for advanced
ovarian cancer but is important for staging stage I
or II tumors.
ļ‚— A positive PW in these two situations will change
the tumor stages to IC and IIC, respectively.
BORDERLINE TUMOURS
ļ‚— The sensitivity of peritoneal washing as an indicator of
peritoneal implants in the literature varies from 69% to
90%.
ļ‚— Approximately 30-40% of SBT are associated with
positive pelvic washings.
ļ‚— Positive pelvic washings are highly indicative of surface
ovarian involvement or peritoneal implants.
ļ‚— No cytologic features that alone can distinguish invasive
from non-invasive serous implants.
ļ‚— In SBT there is mild or even absent nuclear atypia and
mitoses are infrequent. Psammoma bodies are often
present.
ļ‚— The presence of tumor cells in washings from a patient
with SBT should be interpreted as positive for serous
neoplasm (or low grade serous neoplasm), and not
reported out as positive for serous carcinoma.
ļ‚— Serous Carcinoma is the commonest histologic
type of ovarian cancers
ļ‚— Often associated with a positive PW.
ļ‚— Papillary clusters, acini, rosettes
ļ‚— Large papillae often have distinct fibrovascular cores.
ļ‚— Single, large atypical cells are not commonly present.
ļ‚— The neoplastic cells are monotonous, with small
hyperchromatic nuclei and multiple nucleoli.
ļ‚— Low-grade serous carcinoma - monomorphic, small
tumor cells in large tridimensional clusters, Peripheral
palisading of nuclei
ļ‚— Psammoma bodies are often present within tumor
cell clusters from low- as well as high-grade
tumors
In the mucinous cystadenoma, the
epithelial component recapitulate that
of the endocervix and produces
abundant mucin.
The mucinous cells are columnar, with
small, round, bland nuclei and lack cilia
Mucin is commonly seen in the
background
of appropriately prepared cytologic
materia
ļ‚— Mucinous Carcinoma of the ovary
ļ‚— Less common than serous carcinoma.
ļ‚— Most ovarian mucinous tumors are of
intestinal type (85%) and present as unilateral
tumors.
ļ‚— The other histologic subtype, endocervical-like
mucinous carcinomas are bilateral in up to 40%
of cases.
ļ‚— Regardless of their subtypes, these ovarian
tumors yield in PW malignant cells with large
cytoplasmic vacuoles arranged in loose
clusters and in linear arrangements or cell
strips or singly
ļ‚— In serous tumors, papillary groups, psammoma
bodies, and clear to basophilic granular
cytoplasm with rare vacuoles are the cytologic
hallmarks.
ļ‚— In mucinous tumors, extracellular mucin,
intracytoplasmic vacuoles, and a foamy
cytoplasm can be helpful cytologic clues to the
diagnosis.
Key features of pseudomyxoma
peritonei
• Difficult to aspirate from peritoneal cavity;
• Mucin with occasional gland cells,
isolated or in
clusters
or strips; and
• Cells non-atypical (adenomatous) or
ļ‚— Key features of immature
teratoma
ļ‚— • Immature cells, usually
neuroblastic tissue, are key.
Small cells with high N/C ratio
and primitive chromatin.
Differentiated elements may
also be present as in mature
teratomas.
ļ‚— Key features of
dysgerminoma
ļ‚— • Large cells with variably-sized
nuclei;. Prominent nucleoli and
foamy cytoplasm; and
lymphocytes in the background.
Choricarcinoma in a pelvic washing. A
multinucleate syncytiotrophoblast is
present in a bloody background (Pap
stain, Ɨ400)
Key features of adult granulosa cell
tumor
• Highly cellular; Granulosa cells
arranged in cords and rosette
formation;
• Many single cells; and Prominent
nucleoli and nuclear grooves.
Carcinoma endometrium
ļ‚— Endometrial
ļ‚— Papillary clusters or single malignant cells
ļ‚— Delicate cytoplasm that is scant to abundant
ļ‚— Coarse chromatin
ļ‚— Macronucleoli
ļ‚— Psammoma bodies may be seen
20x
Copyright Ā© 2012 Hologic, All rights reserved.
Cervical cancer
ļ‚— The incidence of positive PW in cervical cancer of
all stages is low, about 8%, and it is about 1%
in stage IB cervical cancer.
ļ‚— PW finding is not included in FIGO staging
system for cervical cancer.
ļ‚— Adenocarcinoma of the cervix more commonly
spreads to the peritoneal cavity than its
squamous cell counterpart.
ļ‚— Adenocarcinoma cells are seen in clusters, as
well as those of a non-keratinizing squamous cell
carcinoma.
ļ‚— Cells derived from a keratizing squamous cell
carcinoma are often present singly.
Specific Patterns of
Adenocarcinoma
ļ‚— Gastric
ļ‚— Intestinal type sheds clusters of large, highly atypical cells
ļ‚— Gastric type sheds single signet ring cells
ļ‚— Colorectal
ļ‚— Papillary or acinar aggregates of tall columnar cells
ļ‚— Palisading nuclei with highly irregular nuclear borders
ļ‚— Signet rings can also be seen
Malignant glandular cells arranged in a
dense, rounded cluster. Note that the
surface cells maintain cell polarity with
apical cytoplasm. The nuclei are
irregular with prominent nucleoli.
Cells with malignant features are present
as a distinct population. Some may exhibit
nuclear displacement by a large secretory
vacuole, a "signet ring" cell.
60x
Copyright Ā© 2012 Hologic, All rights reserved.
Renal
Papillary or acinar groups of
cells
Granular or clear cytoplasm
(dense in effusions)
60x
Copyright Ā© 2012 Hologic, All rights reserved.
Pancreatobiliary
Cancers of the pancreas and
bile ducts are morphologically
indistinguishable
Cells may have dense
cytoplasm similar to non-small
cell lung cancer or vacuolated
similar to ovarian cancer
Single file chains may be seen
ļ‚— 10-15 ml fluid normally present in pericardial space
ļ‚— Causes of pericardial effusion:
ļ‚— 1)infection 2)neoplasm 3)MI 4)hemorrhage 5)methabolic
6)RA
ļ‚— HIV infected patients commonly have asymptomatic
pericardial effusion
ļ‚— In HIV associated cardiac temponade 45% are
idiopathic, Tb and bacterial infections each accounts
for 20% of cases
ļ‚— Large effusions (>350 ml) most often caused by
malignancy or uremia
ļ‚— Blood-like fluid represent hemorrhagic effusion or aspiration
of blood from the heart
ļ‚— Hct comparable to peripheral and blood gas analysis help to
Serosal Fluids
Pericardial Fluid
Bronchoalveolar Lavage
ļ‚— 1. Indications
ļ‚— For the detection and characterization of microbiologic
pathogens (primarily Pneumocystis carinii, viral, fungal and
bacterial) in immunocompromised patients; for detection
and characterization of malignancy.
ļ‚— Diffuse disease process
ļ‚— Interstitial lung disease
ļ‚— Lymphoproliferative disorders
ļ‚— Malignancy
ļ‚— 2. Specimen Required
ļ‚— Bronchoscopically obtained lavage (preferably at least 20
mL) of the distal airways and alveoli in the distribution of
the suspected lesion.
BAL cytology
ļ‚— Adequacy: abundant alveolar macrophages
ļ‚— Inadequacy: bronchial epithelial cells or
squamous cells >75%
ļ‚— Normal compnent
40x
Ciliated Columnar Epithelial Cells
Copyright Ā© 2012 Hologic, All rights reserved.
Nuclei:
- Basally oriented
- Round to oval with
smooth nuclear membranes
- May contain a nucleolus
- Fine to mildly coarse
chromatin
- Variable in size
Cytoplasm:
- Homogenous and
basophilic
Goblet Cells
60xCopyright Ā© 2012 Hologic, All rights reserved.
Bronchial washing: Goblet cells have
abundant, finely vacuolated, slightly
basophilic, delicate cytoplasm that is
filled with mucin. Nuclei are uniform
and basally located. Stripped nuclei are
common due to the degenerative nature
of these cells
60
x
60x
Copyright Ā© 2012 Hologic, All rights reserved Copyright Ā© 2012 Hologic, All rights reserved
Bronchial washing: Metaplasia cells are
uniform in size and shape. They appear
in cobblestone arrangements or loose
sheets, cytoplasm is dense with distinct
cellular borders. Nuclei are round, with
granular to coarse or pyknotic
chromatin. Nucleoli are only present if
the cells are irritated or reactive.
Normal Components and Findings
ļ‚— Clara cells
- Non-ciliated bronchiolar cells
- Secrete a protein that acts as a clarificant,
a function similar to mucus
ļ‚— Kulchitsky cells
- Scattered basal epithelial cells
- Contain neurosecretory granules
- Parent cells of carcinoid tumors
Macrophages
Carbon-laden Hemosiderin-laden
Copyright Ā© 2012 Hologic, All rights reserved Copyright Ā© 2012 Hologic, All rights reserved
Effusion cytology - Diagnosis.

Effusion cytology - Diagnosis.

  • 1.
  • 2.
    ļ‚— Body cavities- Two layers derived from the embryonal mesenchyme- the visceral layer covers the organs while the parietal layer lines the outer wall. ļ‚— Together they form a self-contained cavity that is lined with mesothelial cells called a serous cavity; specifically, the pleural cavity surrounding the lungs, the pericardial cavity surrounding the heart and the peritoneal cavity surrounding the internal organs of the abdomen.
  • 3.
    Histology of theEpithelium ļ‚— Serous membranes consist of connective tissue that is normally lined by a single layer of mesothelial cells ļ‚— Clear, watery fluid (serous fluid) is produced, which lubricates the organs ļ‚— Any excess of serous fluid is an effusion and indicates a disease state mesothelium Image courtesy of Boston University peritoneal cavity Connective tissue of serosa
  • 4.
    ļ‚— The outerlayer - parietal peritoneum attached to the abdominal wall and the pelvic walls ļ‚— The inner layer, the visceral peritoneum- wrapped around the internal organs that are located inside the intraperitoneal space ļ‚— The potential space - (about 50 mL) of slippery serous fluid that allows the two layers to slide freely over each other.
  • 5.
    Biological Nature ofEffusion An effusion is any excess amount of serous fluid in a body cavity ļ‚— Always caused by a pathologic process ļ‚— Fluid is reabsorbed after successful treatment. ļ‚— Effusions are classified into four categories ļ‚— Hydrostatic ļ‚— Infectious ļ‚— Noninfectious inflammatory ļ‚— Malignant ļ‚— Each category can be one of two types ļ‚— Transudate ļ‚— Exudate
  • 8.
    SAMPLE COLLECTION ļ‚— Thefluid is collected into a clean, dry container, which need not be sterile, and sent to the laboratory as soon as possible. ļ‚— If the fluid cannot be sent immediately, it should be stored in a refrigerator at 4 degree c and not allowed to freeze. ļ‚— We do not require anticoagulant or fixative to be added to the fluid. ļ‚— Anticoagulation by adding heparin to the receptacle before the fluid is collected does not interfere with cytologic detail. ļ‚— Formalin, alcohol, or any other kind of cellular preservative must not be added to specimens of serous fluid sent to our laboratory. ļ‚— Formalin not only prevents cells from adhering well to a slide but also interferes with the quality of staining by the Papanicolaou method.
  • 9.
    METHODS OF PREPARATION ļ‚—Clot on standing- Exudate- High protein content, rich in fibrin. ļ‚— 1ml of 5% sodium citrate ļ‚— Centrifuged in a conical tube @ 800rpm for 12 min ļ‚— Lavage- 1000rpm- 10min. ļ‚— Smears made from the fluid free sediment. ļ‚— Wet fixed in 95% ethanol for Pap and H & E. ļ‚— Air dried and fixed in methanol for Romanowsky stain. ļ‚— Heavily blood stained- 1% acetic acid. ļ‚— Smears from buffy coat.
  • 10.
    Types of stainingsmears ļ‚— PAP ļ‚— Hx & E ļ‚— Cell block for remnant sediment and histopathological examination. ļ‚— Other special stains for the most suspected diseases, to confirm diagnosis.
  • 11.
    Normal young mesothelialcells: ļ‚— Singly, in doublets, or in clusters of variable sizes and configuration ļ‚— Cohesive, monolayered sheets of cells- mesothelial cells forming small cell balls; may have central collagen core (especially when forcibly removed) ļ‚— The cell groups have lobulated or flower-like borders as compared to the smooth ā€œcommunityā€ border typically associated with adenocarcinoma.
  • 15.
    Normal Components andFindings ļ‚— Nuclei ļ‚— Single or binucleated ļ‚— Centrally located but can be eccentric ļ‚— Round to oval with well-defined, smooth nuclear borders ļ‚— Fine chromatin ļ‚— Small nucleoli ļ‚— Cytoplasm ļ‚— Dense center with pale periphery ļ‚— Lacy ā€œskirtā€ cell borders the clear outer rim (ā€˜lacy skirt’ or ā€˜halo’) corresponds to long, slender, branching microvilli. ļ‚— The cells sometimes have cytoplasmic vacuoles. ļ‚— Two or more mesothelial cells in groups are often separated by a narrow clear zone or ā€˜window’.
  • 16.
    20x Copyright Ā© 2012Hologic, All rights reserved.
  • 17.
    Two cytoplasmic zonescan be recognized: a perinuclear, denser zone, and a peripheral, clear zone . The difference is caused by an accumulation of cell organelles in the perinuclear area
  • 19.
    Cell clasping phenomenon ļ‚—The cytoplasm of one cell appears to be clasping another cell. ļ‚— This type of articulation is carried a stage further when the cytoplasm of the clasping cell seems to be about to pinch off the cytoplasm of the cell being clasped. ļ‚— The final scene - appearance of one mesothelial cell within another.
  • 20.
    Old mesothelial cells ļ‚—Long standing lesion. ļ‚— Hydropic vacuole in the cytoplasm- signet ring shape. ļ‚— Leucocytes seen. ļ‚— Clusters, acini, papillae with mitoses.
  • 21.
    Atypical reactive mesothelialcells ļ‚— SLE, RA ļ‚— Chronic inflammation ļ‚— Neoplasm ļ‚— Pulmonary embolism or infarct ļ‚— Active cirrhosis or hepatitis ļ‚— Uremia ļ‚— Pancreatitis ļ‚— Long-term dialysis ļ‚— Radiation and chemotherapy
  • 22.
    REACTIVE MESOTHELIAL CELLS ļ‚— Increasednumbers of mesothelial cells, singly or in clusters, Varying cell sizes ļ‚— Scanty or abundant thick homogenous cytoplasm, Sharp smooth heavy cytoplasmic membranes ļ‚— Central or eccentric nuclei, Enlarged nuclei with coarsely clumped irregularly distrubuted chromatin ļ‚— Regular sharp nuclear borders, Spherical prominent nucleoli. ļ‚— Multinucleation ļ‚— Sibling imagesā€ are a clue- Although reactive atypia can be severe, it affects the cells more or less uniformly, resulting in the ā€œsibling imageā€ characteristic of benign cells. ļ‚— In contrast, a secondary ā€œforeignā€ population of cells usually indicates metastasis.
  • 23.
    Benign Mesothelial cellsthat mimic cancer cells Benign Formation Mimics Three Dimensional cells balls, or rosettes Adenocarcinoma Papillae Papillary adenocarcinoma Indian files Breast, small cell carcinoma Cell in cell Squamous cell carcinoma Signet ring Breast, stomach cancer Single cell Lymphoma
  • 25.
    Normal Components ļ‚— Histiocytes ļ‚—Bean shaped eccentric darkly staining nuclei ļ‚— Delicate foamy cytoplasm ļ‚— Usually present in effusion. ļ‚— Prominent in cancer, TB and embolism ļ‚— Lymphocytes ļ‚— Tuberculosis ļ‚— Lymphoma/Lymphocytic leukemia ļ‚— Efffusions of long duration
  • 26.
    Histiocytes have smallernuclei than mesothelial cells with granular or vacuolated cytoplasm. Pleural fluid showing predominantly lymphoid cells with few mesothelial cells and histiocytes
  • 27.
    The tuberculous effusion ļ‚— Lymphocytesslightly larger than in non tubercular effusions ļ‚— Indented nuclei ļ‚— Thick nuclear membrane and coarse chromatin ļ‚— Small nucleoli ļ‚— Rarely- epithelioid cells, multinucleate giant cells.
  • 28.
    Eosinophils ļ‚— No significancein the first tap. ļ‚— Eosinophilic pleural effusions, defined as a pleural effusion that contains at least 10% eosinophils. ļ‚— Spontaneous pneumothorax. ļ‚— Most eosinophilic effusions are pleural and due to allergic reactions to dust. ļ‚— Drug induced, Pulmonary infarct, pneumonia, trauma, hydatid disease. ļ‚— Loeffler’s syndrome, Traumatic pericarditis, rheumatic pericariditis ļ‚— Allergic vasculitis, Benign asbestos effusion.
  • 29.
    Neutrophils ļ‚— Presence canhave many causes, particularly infection. ļ‚— Color of the fluid: creamy pale yellow (purulent) ļ‚— Pneumonia, TB, Foreign body, abscess, Penetrating traumatic injuries. ļ‚— Malignant effusions are seldom associated with acute inflammation
  • 30.
  • 31.
    Filarial effusions tendto be chylous in nature due to leakage of chyle from the occluded thoracic duct. Exudative effusion may be due to Lymphangitis resulting from incomplete obstruction of lymphatics.
  • 32.
    stained wet filmof pleural effusion illustrating a scolex of Echinococcus granulosus A stained wet film of pleural effusion -ovum of Paragonimus westermani.
  • 34.
    LE Cells Image reprintedwith permission from MLO-Medical Laboratory Observer, November 2008. (a) Cytospin preparation of the pleural fluid showing plenty of lupus erythematosus (LE) cells (MGG, Ɨ400). (b) Cytospin preparation of the pleural fluid showing tart cell (MGG, Ɨ400)
  • 35.
    LE cells inthe pleural fluid ļ‚— Highly specific for SLE. ļ‚— Neutrophilic phagocytes that contain intracytoplasmic hematoxylin bodies. ļ‚— The hematoxylin bodies are thought to be formed by the opsonization of cells by ANA typically found in SLE patients. ļ‚— In cytological preparations, LE cells must be distinguished from ā€˜tart cells’ or ā€˜pseudo-LE cells’, which result from the phagocytosis of nuclear debris by macrophages. ļ‚— The phagocytosed debris within the tart cell is smaller, and has a non-homogenous (clumped) appearance in contrast to the smooth homogenous character of the hematoxylin bodies in true LE cells. ļ‚— The incubation of the pleural fluid at room temperature for several hours may enhance the LE cell phenomenon.
  • 36.
    Rheumatoid pleuritis ļ‚— Exudate withlow glucose and high LDH ļ‚— Small, unilateral, recurrent. ļ‚— Calcium and cholesterol. ļ‚— Necrotising granulomatous inflammation with central fibrinoid necrosis and surrounding spindle shaped cells.Spindle shaped cells and multinucleate giant cells. ļ‚— Fluffy amorphous granular material in the background, Cytoplasmic inclusions ļ‚— neutrophils may also contain fat droplets ļ‚— -mesothelial cells are noticeably absent
  • 37.
    Benign bone marrowcells including a multinucleate megakaryocyte in extramedullary hematopoiesis secondary to myelofibrosis with anemia. Extramedullary hematopoiesis may be identified in effusions in patients with myelofibrosis. Immature blood cells and megakaryocytes are identified
  • 38.
    Pulmonary infarct ļ‚— Cellularityranges from slight to profuse ļ‚— Mesothelial cells, macrophages including haemosiderophages, lymphocytes, ļ‚— neutrophils are present, eosinophils may be seen
  • 40.
    ļ‚— RBCs- traumatictap. ļ‚— In hemorrhagic effusions, fresh and degenerated erythrocytes are usually seen against a background of fibrin. ļ‚— Sickle cell anemia may be identified in fluids in the form of sickle-shaped erythrocytes ļ‚— Erythrophagocytosis ļ‚— Ingestion of the patient's own erythrocytes by macrophages in pleural or ascitic fluids may be occasionally observed, for example, in dialysis ascites ļ‚— Chediak-Higashi syndrome and some forms of malignant lymphoma ļ‚— Autoimmune hemolytic anemia, induced by Epstein-Barr virus.
  • 41.
    Malignant effusions ļ‚— Directextension or distant carcinomatous metastasis. ļ‚— Reaction- Increased exudate fluid and stratification of mesothelium. ļ‚— Blockage of lymphatics. ļ‚— Compression of vessels by tumour mass or metastasising tumour cells. ļ‚— Size, shape and number depend on nature of malignant neoplasm. ļ‚— Excellent culture medium- 4-6 weeks- Well preserved - Increased mitosis. ļ‚— Suspect malignancy- Bloody background- Haemorrhagic effusion, lymphocytosis,
  • 42.
    ļ‚— Large unilateraleffusion (>1 litre) in the elderly is highly suspicious for malignancy ļ‚— Effusions associated with malignancies may be just a reactive response without presence of any tumour cells ļ‚— The number of neoplastic cells in recurrent effusions often increases. ļ‚— Ask for re-tap if first tap shows no malignant cells or inconclusive in large suspicious effusions, if initial 4 slides show no malignant cells, re-prep further slides and cell blocks
  • 43.
    Abnormal Findings • Metastatic: ļ‚—Adenocarcinoma ļ‚— Squamous Cell Carcinoma ļ‚— Neuroendocrine Tumors ļ‚— Lymphoma/leukemia ļ‚— Melanoma ļ‚— Sarcoma ļ‚— Other Neoplasms • Primary: ļ‚— Malignant Mesothelioma ļ‚— Effusion Lymphoma To identify cancer cells accurately To identify tumor type and, if possible, the site of primary origin
  • 44.
    The Most CommonTumor that Cause Malignant Effusion, by Site and Sex Type of Malignant Men Women Pleural Lung Breast Gastrointestinal tract Lung Pancreas Ovary Peritoneal Intestinal Ovary (includes gastric and pancreatic) Pancreas Breast Prostate Uterus Malignant effusions---metastatic tumors
  • 45.
    RELATIVE FREQUENCY OFORIGIN OF METASTATIC MALIGNANT TUMORS IN CHILDREN Pleural or Peritoneal Fluid ļ‚— Leukemia-lymphoma ļ‚— Wilms' tumor ļ‚— Neuroblastoma ļ‚— Embryonal rhabdomyosarcoma ļ‚— Ewing's tumor
  • 46.
    Comparison - erythrocytes, lymphocytes,or mesothelial cells ļ‚— Large or very large ļ‚— Small ļ‚— Medium-sized. ļ‚— Mesotheliomas, metastatic carcinomas of various types, malignant melanomas and sarcomas. ļ‚— Malignant lymphomas, many of the malignant tumors of childhood and certain carcinomas (small-cell carcinoma of the breast, oat cell carcinoma). ļ‚— Mammary, lung, gastric, pancreatic, or prostatic origin may have this presentation
  • 47.
    A Few CytomorphologicalPatterns ļ‚— Proliferation spheres ļ‚— – Breast ca, small cell ca lung ļ‚— Isolated tumour cells ļ‚— – Gastric ca, lobular breast ca, melanoma, lymphoma ļ‚— Signet ring cells ļ‚— – Gastric ca ļ‚— -Colorectal carcinoma ļ‚— Papillary groups containing psammoma bodies ļ‚— – Ovarian ca, thyroid c
  • 48.
    Unique to effusioncytology Proliferation of tumour cells in fluid medium (in vivo) More common in chronic malignant effusions – Breast ca, small cell ca, ovarian ca Spheres may fuse to mimic papillary structures May also be associated with reactive mesothelial proliferations
  • 49.
    Signet-ring Cells Malignant – Gastricadenocarcinoma – Colonic adenocarcinoma Benign – Degenerative vacuoles in mesothelial cells and macrophages
  • 50.
    Psammoma bodies Single cells ļ‚—Malignant ļ‚— – Ovary – serous carcinoma ļ‚— – Thyroid – papillary carcinoma ļ‚— – Lung – some BAC ļ‚— – Mesothelioma – papillary epithelial type ļ‚— Benign ļ‚— – Pelvic inflammatory disease ļ‚— – Non-specific finding in women in ascitic fluids ļ‚— and pelvic washing ļ‚— Malignant ļ‚— – Gastric adenocarcinoma (diffuse type) ļ‚— – Breast lobular carcinoma ļ‚— – Lymphoma ļ‚— –Melanoma ļ‚— DDx - Benign ļ‚— – Reactive lymphoid population
  • 51.
    A)psammoma bodies inpapillary tumor(B ; H&E ), cytoplasmic mucin of signet ring cell carcinoma(C) or cytoplasmic melanin of malignant melanoma(D).(A, C, D; Papanicolaou stain).
  • 52.
    ļ‚— Epithelial andmixed mesotheliomas account for about 90% of all pleural and peritoneal primary tumors. ļ‚— Both neoplasms are commonly associated with a serous effusion. ļ‚— Sarcomatous and desmoplastic mesotheliomas are usually not associated with an effusion. ļ‚— 10% of cases the effusions are acellular or contain only rare benign reactive mesothelial cells. Mesothelioma
  • 53.
    Mesothelioma ļ‚— Asbestos exposure. ļ‚—Viscid hemorrhagic effusion with increased hyalurinic acid. ļ‚— Overwhelming cellularity. ļ‚— The presence of two distinct cell populations, one benign and the other malignant, as seen in metastatic cancers, is not obviously present. ļ‚— Single cells, clustered, groups, tissue fragments, monolayered sheets, synctial, papillary, three dimensional balls. ļ‚— True acinar pattern absent.
  • 56.
    MESOTHELIOMA ļ‚— Cell tocell apposition with windows. ļ‚— Knobby contours, central nuclei, bi and multinucleation. ļ‚— Pleomorphic, delicate smooth nuclear membrane, finely granular chromatin. ļ‚— Single or multiple macro or micronucleoli and mitosis. ļ‚— • Small tumor cell clusters commonly show ā€œcell- embracing-cellā€ , "push- inā€œ cell junctions and a clear space or ā€œwindowā€ between two adjacent cells. ļ‚— Thick endoplasm and a fuzzy ectoplasm that is due to the presence of long filamentous microvilli on free cell surfaces. ļ‚— Adenomatoid mesothelioma- extensive cytoplasmic vacuolization, mimicking cells from a mucus-secreting adenocarcinoma or signet- ring cell carcinoma.
  • 59.
    Smear of pleuraleffusion depicting mesothelioma cell with their typical intercellular articulation, including the clasping type of articulation
  • 60.
    Individual malignant mesothelialcells exhibit a rim of ruffled, less dense cytoplasm (ectoplasm), surrounding dense cytoplasm around the nucleus (endoplasm).
  • 61.
    PK-like cells ineffusion specimens was highly specific for the diagnosis of MM, especially when the PK-like cells were moderate or numerous
  • 62.
    Suggested Immunochemistry Markers Reactivemesothelial cells ļ‚— Calretinin+ ļ‚— CK 5/6 + ļ‚— p53 - ļ‚— Desmin + ļ‚— EMA - Mesothelioma ļ‚— Calretinin+ ļ‚— CK 5/6 + ļ‚— p53 + ļ‚— Desmin - ļ‚— EMA +
  • 64.
    DDx ļ‚— Reactive mesothelialhyperplasia ļ‚— Metastatic adenocarcinoma ļ‚— Serous papillary tumour of peritoneum. ļ‚— Sqaumous cell carcinoma. ļ‚— Malignant melanoma.
  • 65.
    METASTATIC CANCERS ļ‚— 45%in pleural fluid, 27% in pericardial and 35% in peritoneal fluids. ļ‚— More frequently epithelial malignancies. ļ‚— Most adenocarcinomas, rarely- squamous, small cell carcinomas. ļ‚— Non epithelial- Lymphomas/leukemias, melanoma, germ cell tumours. ļ‚— Soft tissue tumours rarely exfoliate. ļ‚— A known history of cancer, a positive effusion may be the first sign of an unsuspected malignancy. ļ‚— Lung, breast, ovarian, and gastrointestinal cancer. ļ‚— The histologic type of cancer most commonly seen in serous effusions is adenocarcinoma but a variety of other cancers can cause effusions. ļ‚— Less common malignancies are squamous cell carcinoma, small cell carcinoma (SCC), hematopoietic malignancies, melanoma, germ cell tumours and sarcomas.
  • 66.
    Adenocarcinoma Cytologic features: ļ‚— Themost frequent type of neoplastic cells in serous effusions ļ‚— Glandular acini, papillae or cell balls/cannon balls ļ‚— Smooth Community borders ļ‚— Increased N/C ratios ļ‚— Irregular nuclear membranes ļ‚— Abnormal chromatin ļ‚— Large or irregular nucleoli ļ‚— Secretory vacuoles with mucin
  • 68.
    Carcinoma breast ļ‚— Breast-Most common malignant effusion in females. ļ‚— Tight clusters, ball like nests. ļ‚— Infiltrating ductal carcinoma- Nuclei are molded against the adjacent cells. ļ‚— Smooth nuclear membrane. Prominent nucleoli. Uniform granular chromatin. Abnormal mitosis. ļ‚— The presence of multiple sex chromatin bodies practically assures the diagnosis of cancer, most likely of mammary origin, regardless of other cell features ļ‚— Medullary- Shed singly. ļ‚— Lobular carcinoma- Indian file,pseudo pearl formation. Scanty cytoplasm- DDX- Reactive lymphocytes. ļ‚— Colloid- Mucous containing vacuoles, signet ring cells. ļ‚— Scirrhous- Rows of 4-5 cellsScanty pale blue cytoplasm.
  • 69.
    Metastatic carcinoma ofthe breast. Malignant cells contrasting with benign histiocytes. The classic description of metastatic breast cancer in pleural effusions employs the term "cannonballs" to emphasize the rounded arrangement of tumor cells
  • 70.
    Metastatic carcinoma ofthe breast. Note two separate cell populations: a smaller benign population of mesothelial cells and larger tumor cells. 20X
  • 71.
    Smear of pericardialeffusion depicting metastatic lobular adenocarcinoma of the breast. All of the cells in this field are small adenocarcinoma cells, some forming a caterpillar-like chain
  • 72.
    Lung adenocarcinoma ļ‚— 40%of malignant pleural effusions. ļ‚— Medium to large malignant cells. ļ‚— Synctial and papillary fragments with or without acinar pattern. ļ‚— Cytoplasmic vacuoles. ļ‚— Well defined cytoplasm, dense cytoplasm. ļ‚— Large nuclei with high N/C ratio. ļ‚— Giant forms, bizarre nuclei with multinucleation.
  • 74.
    Cytologic Differences BetweenAdenocarcinoma and Mesothelioma Adenocarcinoma Mesothelioma Groupings Community borders irregular knobby outline Windows unusual Windows common Cells Columnar shape Blebs, skirts Nucleus Usually eccentric Usually central Pleomorphic and bizarre Less pleomorphic and not bizarre Cytoplasm Delicate, homogeneous Dense with lacy edges Uniform stain Two-tone staining Vacuoles Secretory Degenerative Multinucleated Rare Common Giant cells Differences Between Adenocarcinoma and Mesothelioma
  • 75.
    Mesothelioma Adenocarcinoma ļ‚— Background- Inflammatory cells ļ‚—Cell clasping phenomenon ļ‚— Collagen cores ļ‚— PAS Digestible ļ‚— Alcian blue hyaluronidase digestible ļ‚— Background- Inflammatory cells and mesothelial cells ļ‚— PAS non digestible ļ‚— Alcian blue hyaluronidase non digestible
  • 80.
    Suggested Immunochemistry Markers Mesothelioma ļ‚— Calretinin+ ļ‚—WT-1 + ļ‚— CEA - ļ‚— TTF-1 - ļ‚— MOC-31 - ļ‚— Ber-EP4 - ļ‚— B72.3 - Adenocarcinoma ļ‚— Calretinin- ļ‚— WT-1 - ļ‚— CEA + ļ‚— TTF-1* + ļ‚— MOC-31 + ļ‚— Ber-EP4 + ļ‚— B72.3 + *Lung and thyroid only
  • 81.
    Squamous cell carcinoma ļ‚—Infrequently involves serous membranes. ļ‚— Centrally located, do not exfoliate. ļ‚— Metastatic from head and neck and from genital regions. ļ‚— Readily recognised when well differentiated. ļ‚— Isolated cells or whorled, very pleomorphic,pyknotic nuclei ļ‚— The squamoid character of this of carcinoma - keratinizing squamoid cells with their orange cytoplasm and round or tadpole shapes ļ‚— Anucleated ketain squames and malignant pearls. ļ‚— Central nuclei, abundant dense cytoplasm(DDx- Melanoma)a, well demarcated cell borders. ļ‚— Ectoplasmic/endoplasmic differentiation.(DDx- Mesothelioma)
  • 82.
    Smear of pleuraleffusion depicting a fragment of nonkeratinizing squamous cell carcinoma of bronchus. Unlike a cluster of mesothelial or adenocarcinoma cells, this cluster of cells has a loose, angulated and ā€œuntidyā€ appearance (Papanicolaou Ɨ MP).
  • 83.
    Smear of pleuralfluid containing a metastatic keratinizing cell of laryngeal squamous cell carcinoma Delicate concentric lines are visible in the cytoplasm of the larger cell; such lines are evidence of squamoid differentiation (Papanicolaou Ɨ OL).
  • 84.
    Small cell carcinomaand neuroendocrine carcinoma ļ‚— Differentiation from poorly differentisted carcinoma difficult. ļ‚— Oat cells larger than lymphocytes, Flat mono layer ļ‚— Tissue aggregates with molding ļ‚— Homogenous smudged nuclei, linear cleft between moulded nuclei. ļ‚— Single file arrangements can be seen, Small, rounded cells ļ‚— Inconspicuous nucleoli
  • 85.
    Small cell undifferentiated carcinoma,lung origin. Nuclei have small nucleoli and often a salt and pepper look to the chromatin. Cytoplasm is scant. 60x
  • 86.
    ļ‚— Leiomyosarcoma. Ahigh-grade uterine leiomyosarcoma metastatic to the lung shows in associated effusion large single pleomorphic malignant cells with bizarre nuclei and dense, granular cytoplas. ļ‚— Biphasic synovial sarcoma may show in associated effusions epithelial-like and spindleshaped tumor cells in loose aggregates. ļ‚— Epithelial-like tumor cells with focal gland-like arrangement may be seen, and a transition between these two types of cells may be observed.
  • 88.
    Lymphoproliferative disorders ļ‚— Themalignant lymphomas can be divided into four groups: ļ‚— Large-cell lymphomas ļ‚— Small-cell lymphomas ļ‚— Hodgkin lymphoma ļ‚— Miscellaneous lymphoproliferative and hematologic disorders, including rare types of lymphomas, plasma cell myelomas, and leukemias ļ‚— Cohesive, organized aggregates of cells. Cells of malignant lymphomas do not form associations with each other and the cancer cells lie singly. ļ‚— Although superposition of these cells into thick clusters may occur, it is usually an artifact of preparatory techniques ļ‚— In effusions, a malignant tumor characterized by organized cell clusters is not a malignant lymphoma, regardless of the size and make-up of individual cells, although rare exceptions may occur
  • 89.
    ļ‚— Marked variationin size, sparse cytoplasm, no vacuoles. ļ‚— Enlarged nuclei, prominent nucleoli, abnormal coarse chromatin, Heavy irregular and indented nuclear membrane, Mitoses. ļ‚— Nuclear fragmentation, previously referred to as karyorrhexis, and now recognized as apoptosis ļ‚— Although this feature is more common in small cell lymphomas it does occur in the large cell variant. ļ‚— CLL- reactive lymphocytosis ļ‚— Large cell lymphoma- Metastatic carcinoma ļ‚— Burkitt's Lymphoma- Cells of this variant of lymphoma may occasionally be observed in ascitic fluid. - malignant cells of lymphoid type with small nuclear vacuoles, accompanied by large macrophages, some of which were smudged, presumably during smear preparation. ļ‚— Leukemia- Lymphoblastic or myeloblastic
  • 91.
    The cells arelarge with markedly atypical features including large pleomorphic nuclei which may be lobated, one or more prominent nucleoli, and abundant amphophilic cytoplasmm. anaplastic or plasmablastic including a pale area alongside the nucleus or 'hof'. Multinucleated cells may be confused with Reed Sternberg cells. Mitoses are frequent.
  • 92.
    Small-Cell Lymphoma ļ‚— B-celllymphomas> T-cell lymphomas. ļ‚— Large population of monotonous, small lymphoid cells 6 to 12 µm in diameter. ļ‚— Round or oval, with very scanty, barely visible basophilic cytoplasm, nuclei are moderately hyperchromatic, occasionally cleaved or somewhat irregular in shape, but mainly round or oval, small nucleoli ļ‚— Small irregularities of the nuclear contour and nuclear protrusions may be observed. ļ‚— Granularity of the nuclei, cellules grumelĆ©es or ā€œlumpy cells,ā€ characterized by numerous coarse aggregates of chromatin in otherwise spherical nuclei. ļ‚— Useful fixation artifact that occurred only in malignant disorders, but not in benign lymphocytes. ļ‚— Nuclear fragmentation in the form of massive apoptosis (karyorrhexis) of nuclei may occur and is diagnostic of this group of diseases
  • 93.
    lymphoblastic lymphoma • Smallto medium sized lymphocytes • Fine powdery chromatin • Scant cytoplasm Small lymphocytic lymphoma • Differential diagnosis: chronic inflammation (tuberculosis)
  • 94.
    • Isolated cells Pleomorphicsarcoma Osteosarcoma Liposarcoma Large and bizarre shaped Round cell sarcoma Rhabdomyosarcoma Neuroblastoma Small and uniform shaped Spindle cell sarcoma Fibrosarcoma Leiomyosarcoma Synovial sarcoma Sarcomas Germ cell tumours. Malignant melanoma- Macronucleoli. Isolated round cells with prominent nucleoli Fine brown cytoplasmic pigmentation Intranuclear pseudoinclusions Immunocytochemistry stain: S-100(+), HMB-45(+) Small round cell tumors. Sarcomas.
  • 95.
    ļ‚— Up to50 ml Fluid normally present in peritoneal cavity ļ‚— Peritoneal effusion is called Ascites ļ‚— Laboratory criteria for dividing ascitic fluid into transudate and exudate is not well defined as it is for pleural fluid. ļ‚— Diagnostic peritoneal lavage (DPL) have limited use: 1. Rapid screening for significant abdominal hemorrhage 2. Evaluation of hollow viscus injuries ļ‚— Peritoneal dialysis: submitted to check for infection ļ‚— Peritoneal washing: performed intra operatively to document early intra abdominal spread of gynecologic and gastric Ca. Serosal Fluids Peritoneal Fluid
  • 96.
    ļ‚— Peritoneal cytology- Important role in the diagnosis and staging of abdominal and gynecologic neoplasms. ļ‚— Peritoneal involvement by malignant tumors - extensive - mesothelioma or high-grade abdominal or ovarian carcinomas, diagnosis can usually be confirmed by examination of ascites. ļ‚— This may include examination of peritoneal washings, brushings, or smears.
  • 97.
    ļ‚— Cytologic samplingof fluid from the peritoneal cavity at the time of surgery - ovarian tumors by Keettel and Pixley (1958). ļ‚— Purpose - Improve the staging of these tumors. ļ‚— In 1958, Keettel and Pixley - Procedure may provide evidence of spread of ovarian cancer in the absence of visible lesions. ļ‚— In 1986 - Incorporated into the official staging of ovarian cancer by the International Federation of Gynecology and Obstetrics (FIGO). ļ‚— The presence of cancer cells modifies the staging of ovarian tumors from stages Ia or Ib to Ic and from IIa and IIb to IIc. ļ‚— The higher staging calls for a different approach to treatment with the recognition that surgery alone is not likely to be curative of the disease
  • 98.
    PFC in Stagingof Gynaecological Cancers ļ‚— • 1988 FIGO staging for ovarian cancers requires PFC analysis (1C and 2C) ļ‚— • 2009 FIGO staging for endometrial cancers does not require PFC analysis ļ‚— • Useful to record findings in histology reports if possible
  • 99.
    INDICATIONS AND GOALSOF PERITONEAL EFFUSION ANALYSIS ļ‚— 1. To assist in the initial staging of primary ovarian and endometrial cancers. ļ‚— 2. To exclude intra abdominal occult cancers in patients undergoing surgery for benign pelvic diseases. ļ‚— 3. To monitor the effectiveness of chemotherapy for advanced ovarian cancers (second-look laparotomy). ļ‚— 4. To assist in staging of some non-gynecologic abdominal cancers (gastric and pancreas)
  • 100.
    Second-look laparotomy ļ‚— Patientswho had chemotherapy or radiotherapy for advanced ovarian cancer and show no clinical or diagnostic imaging evidence of residual tumor may undergo a laparotomy to evaluate the response to therapy. ļ‚— In about 50% of cases residual tumor is identified grossly, and in 20% of patients an evidence of residual tumor is confirmed by tissue biopsy and/or PW. ļ‚— PW is this situation has a low sensitivity, ranging between 31 and 86%, according to several reported series
  • 101.
    ļ‚— Ovarian neoplasms,- positive peritoneal washing will upstage the diagnosis to a FIGO Stage Figo IC. ļ‚— The prognostic significance of malignant cells in washings or brushings varies, depending on the primary ovarian lesion, as for example in serous borderline tumor or serous papillary carcinoma. ļ‚— Positive cytology is frequently a reflection of adnexal involvement in endometrial carcinoma. ļ‚— Carcinoma of the cervix but when identified- Aadvanced disease and may require endocavitary chemotherapy to prevent recurrence.
  • 102.
    ļ‚— Positive peritonealwashings - Peritoneal recurrence and poor prognosis in patients with gastric adenocarcinoma. ļ‚— In potentially resectable pancreatic carcinoma-positive cytology is associated with more advanced disease
  • 103.
    PFC in GynaecologicalCancers ļ‚— Saline (salt solution) is introduced into the peritoneal cavity, and then removed by suction. After this, the fluid is examined for malignant (cancer) cells (called peritoneal washing cytology). ļ‚— Extensive - mesothelioma or high-grade abdominal or ovarian carcinomas, diagnosis can usually be confirmed by examination of ascites. ļ‚— Additional procedures to assist diagnosis are required for localized tumors, less advanced disease, or follow- up of treatment. ļ‚— This may include examination of peritoneal washings, brushings, or smears. ļ‚— • Ascites/effusions - diagnostic ļ‚— • Washings/lavage - staging
  • 104.
    SAMPLE COLLECTION ļ‚— Peritoneallavage cytology specimens may be obtained as an outpatient procedure using a temporary dialysis catheter for patients with ovarian cancer undergoing endocavitary chemotherapy.. ļ‚— Implantable intraperitoneal chemotherapy port systems can be used as sampling devices to collect washings for detection of persistent intraperitoneal disease in ovarian carcinoma.
  • 105.
    Normal Peritoneal Washing ļ‚—Peritoneal washings and brushings differ from effusions with detached sheets of mesothelial cells, which may give rise to problems in interpretation ļ‚— Cellular with large sheets of mesothelial cells that are forcely exfoliated by washing. Intensely bloody, fat and debris ļ‚— Single and clustered histiocytes, polymorphonuclear leukocytes - contaminated blood. ļ‚— Cohesive polygonal mesothelial cells with oval nuclei, thin and regular nuclear contours, fine chromatin and small nucleoli. ļ‚— On rare occasions papillary clusters of benign mesothelial cells containing psammoma bodies and masses of collagen surrounded by mesothelial cells (ā€œcollagen ballsā€).
  • 106.
    A large andirregular sheet of mesothelial cells forcely exfoliated by peritonea jet washing showing evenly spaced mesothelial cells that have ill-defined cytoplasm oval or bean-shaped nuclei, small conspicuous nucleoli
  • 107.
    Reactive cells inascitis fluid ļ‚— Cyst or adnexal torsion, visceral adhesions, organizing hematoma, and ļ‚— Inflammatory lesions such as pancreatitis and chronic salpingitis. ļ‚— Intraperitoneal chemotherapy may give rise to cytologic abnormalities that mimic malignancy.
  • 109.
    Endosalpingiosis ļ‚— Ectopic benignglands lined by tubal-type epithelium. ļ‚— Multicentric and can involve the peritoneum as well as other pelvic structures, including the ovarian surface and paratubal tissue. ļ‚— Low cellularity ļ‚— Cohesive aggregates and/or non-branching papillae or clusters of small, uniform cuboidal to columnar cells with scant basophilic cytoplasm, the nuclei display regular nuclear membranes, fine chromatin and small nucleoli. ļ‚— Ciliated or non-ciliated, and unlike malignancy is mitotically inactive. ļ‚— Psammoma bodies , Hemosiderin-laden macrophages, typical of endometriosis, are not usually present. ļ‚— DDx- reactive mesothelium, endometriosis and serous neoplasia. T ļ‚— The presence of a complex branching architecture, single
  • 110.
    Endosalpingiosis in peritonealfluid showing a papillary cluster. The round to ovoid nuclei display fine chromatin pattern and occasional small nucleoli. No distinct cilia was noted. Papanicolaou stain..
  • 111.
    ENDOMETRIOSIS ļ‚— Rupture ofan endometriotic cyst. ļ‚— Endometrial epithelial cells, endometrial stromal cells and/or hemosiderin- laden macrophages. ļ‚— Small to medium sized ovoid to columnar cells with bland nuclei. sheets or tight balls with a honeycomb pattern, branching tubules. ļ‚— Mild atypia, mainly in the form of distinct nucleoli. ļ‚— Endometrial stromal - histiocytic or spindle cell appearance. ļ‚— When stromal cells are decidualized, they will have more cytoplasm and round to oval nuclei ļ‚— Hemosiderin-laden macrophages and hemolyzed blood are usually present in the background ļ‚— DDx - benign hemorrhagic cystic lesions, metastatic endometrial adenocarcinoma, and low grade endometrial stromal sarcom
  • 112.
    ļ‚— well-differentiated endometrial adenocarcinoma -loose but usually three- dimensional clusters of cells with coarse chromatin and nuclear membrane irregularities, the N/C ratio may not be increased if the cells have abundant cytoplasm. ļ‚— In endometriosis, however, the cells are low columnar with a bland nuclear chromati and uniform nuclear Membranes. loose clusters of benign endometrial cells. These cells are of uniform size, small and lack nucleoli with few hemosiderin-laden macrophages
  • 113.
    ļ‚— Ciliocytophthoria: detachedciliated tufts of fallopian tube origin. Relatively common in peritoneal specimens from females ļ‚— Psammoma bodies These structures appear purple on Pap stain, which is a helpful feature to distinguish them from collagenous balls which stain more green in color ļ‚— 15-20% of peritoneal fluid specimens. Mesothelial hyperplasia, endosalpingiosis, ovarian cystoadenoma and adenofibroma. ļ‚— The most common associated malignancy is papillary serous ovarian carcinoma, although these bodies can be infrequently also encountered with endometrioid carcinoma. Thyroid, kidney, lung and rarely mesothelioma ļ‚— Collagen balls: cores of collagen usually covered with mesothelium. ļ‚— More common in peritoneal washes than in effusions. ļ‚— Can be seen in benign mesothelial proliferations and mesothelioma but are rare in adenocarcinoma
  • 114.
    Collagene ballā€ inperitoneal washing cell film (A) and in cell block (Pap, A x 400; HE, B x 200). Detached acellular ciliary tufts in this case of endosalpingiosis (Pap stain, Ɨ400)
  • 115.
    40x Copyright Ā© 2012Hologic, All rights reserved. Pelvic washing 40x: Psammoma body from a case of biopsy confirmed benign mesothelial hyperplasia with psammomatosis.
  • 116.
    FALSE POSITIVE FALSENEGATIVE ļ‚— -post radiation or chemotherapy - large bizarre multinucleated mesothelial cells ļ‚— -extramedullary haemopoiesis including megakaryocytes ļ‚— -reactive changes from various causes ļ‚— -degenerate benign vacuolated mesothelial cells, mimicking adenocarcinoma ļ‚— single cell presentation in some carcinomas e.g. breast, stomach, pancreas ļ‚— -bland looking carcinoma e.g. renal cell carcinoma, looking like histiocytes ļ‚— -single cell presentation in mesothelioma with only mild nuclear atypia ļ‚— -hypocellular tumours e.g. squamous cell carcinoma, sarcoma ļ‚— -low grade lymphoma ļ‚— -difficult to distinguish borderline ovarian tumours from low grade carcinomas
  • 117.
    Ovarian adenocarcinoma ļ‚— Mostcommon source of peritoneal effusion. ļ‚— Evaluation of PW is not required for advanced ovarian cancer but is important for staging stage I or II tumors. ļ‚— A positive PW in these two situations will change the tumor stages to IC and IIC, respectively.
  • 118.
    BORDERLINE TUMOURS ļ‚— Thesensitivity of peritoneal washing as an indicator of peritoneal implants in the literature varies from 69% to 90%. ļ‚— Approximately 30-40% of SBT are associated with positive pelvic washings. ļ‚— Positive pelvic washings are highly indicative of surface ovarian involvement or peritoneal implants. ļ‚— No cytologic features that alone can distinguish invasive from non-invasive serous implants. ļ‚— In SBT there is mild or even absent nuclear atypia and mitoses are infrequent. Psammoma bodies are often present. ļ‚— The presence of tumor cells in washings from a patient with SBT should be interpreted as positive for serous neoplasm (or low grade serous neoplasm), and not reported out as positive for serous carcinoma.
  • 119.
    ļ‚— Serous Carcinomais the commonest histologic type of ovarian cancers ļ‚— Often associated with a positive PW. ļ‚— Papillary clusters, acini, rosettes ļ‚— Large papillae often have distinct fibrovascular cores. ļ‚— Single, large atypical cells are not commonly present. ļ‚— The neoplastic cells are monotonous, with small hyperchromatic nuclei and multiple nucleoli. ļ‚— Low-grade serous carcinoma - monomorphic, small tumor cells in large tridimensional clusters, Peripheral palisading of nuclei ļ‚— Psammoma bodies are often present within tumor cell clusters from low- as well as high-grade tumors
  • 122.
    In the mucinouscystadenoma, the epithelial component recapitulate that of the endocervix and produces abundant mucin. The mucinous cells are columnar, with small, round, bland nuclei and lack cilia Mucin is commonly seen in the background of appropriately prepared cytologic materia
  • 123.
    ļ‚— Mucinous Carcinomaof the ovary ļ‚— Less common than serous carcinoma. ļ‚— Most ovarian mucinous tumors are of intestinal type (85%) and present as unilateral tumors. ļ‚— The other histologic subtype, endocervical-like mucinous carcinomas are bilateral in up to 40% of cases. ļ‚— Regardless of their subtypes, these ovarian tumors yield in PW malignant cells with large cytoplasmic vacuoles arranged in loose clusters and in linear arrangements or cell strips or singly
  • 124.
    ļ‚— In seroustumors, papillary groups, psammoma bodies, and clear to basophilic granular cytoplasm with rare vacuoles are the cytologic hallmarks. ļ‚— In mucinous tumors, extracellular mucin, intracytoplasmic vacuoles, and a foamy cytoplasm can be helpful cytologic clues to the diagnosis.
  • 125.
    Key features ofpseudomyxoma peritonei • Difficult to aspirate from peritoneal cavity; • Mucin with occasional gland cells, isolated or in clusters or strips; and • Cells non-atypical (adenomatous) or
  • 126.
    ļ‚— Key featuresof immature teratoma ļ‚— • Immature cells, usually neuroblastic tissue, are key. Small cells with high N/C ratio and primitive chromatin. Differentiated elements may also be present as in mature teratomas. ļ‚— Key features of dysgerminoma ļ‚— • Large cells with variably-sized nuclei;. Prominent nucleoli and foamy cytoplasm; and lymphocytes in the background. Choricarcinoma in a pelvic washing. A multinucleate syncytiotrophoblast is present in a bloody background (Pap stain, Ɨ400)
  • 127.
    Key features ofadult granulosa cell tumor • Highly cellular; Granulosa cells arranged in cords and rosette formation; • Many single cells; and Prominent nucleoli and nuclear grooves.
  • 128.
    Carcinoma endometrium ļ‚— Endometrial ļ‚—Papillary clusters or single malignant cells ļ‚— Delicate cytoplasm that is scant to abundant ļ‚— Coarse chromatin ļ‚— Macronucleoli ļ‚— Psammoma bodies may be seen
  • 129.
    20x Copyright Ā© 2012Hologic, All rights reserved.
  • 130.
    Cervical cancer ļ‚— Theincidence of positive PW in cervical cancer of all stages is low, about 8%, and it is about 1% in stage IB cervical cancer. ļ‚— PW finding is not included in FIGO staging system for cervical cancer. ļ‚— Adenocarcinoma of the cervix more commonly spreads to the peritoneal cavity than its squamous cell counterpart. ļ‚— Adenocarcinoma cells are seen in clusters, as well as those of a non-keratinizing squamous cell carcinoma. ļ‚— Cells derived from a keratizing squamous cell carcinoma are often present singly.
  • 131.
    Specific Patterns of Adenocarcinoma ļ‚—Gastric ļ‚— Intestinal type sheds clusters of large, highly atypical cells ļ‚— Gastric type sheds single signet ring cells ļ‚— Colorectal ļ‚— Papillary or acinar aggregates of tall columnar cells ļ‚— Palisading nuclei with highly irregular nuclear borders ļ‚— Signet rings can also be seen
  • 132.
    Malignant glandular cellsarranged in a dense, rounded cluster. Note that the surface cells maintain cell polarity with apical cytoplasm. The nuclei are irregular with prominent nucleoli. Cells with malignant features are present as a distinct population. Some may exhibit nuclear displacement by a large secretory vacuole, a "signet ring" cell.
  • 133.
    60x Copyright Ā© 2012Hologic, All rights reserved. Renal Papillary or acinar groups of cells Granular or clear cytoplasm (dense in effusions)
  • 134.
    60x Copyright Ā© 2012Hologic, All rights reserved. Pancreatobiliary Cancers of the pancreas and bile ducts are morphologically indistinguishable Cells may have dense cytoplasm similar to non-small cell lung cancer or vacuolated similar to ovarian cancer Single file chains may be seen
  • 135.
    ļ‚— 10-15 mlfluid normally present in pericardial space ļ‚— Causes of pericardial effusion: ļ‚— 1)infection 2)neoplasm 3)MI 4)hemorrhage 5)methabolic 6)RA ļ‚— HIV infected patients commonly have asymptomatic pericardial effusion ļ‚— In HIV associated cardiac temponade 45% are idiopathic, Tb and bacterial infections each accounts for 20% of cases ļ‚— Large effusions (>350 ml) most often caused by malignancy or uremia ļ‚— Blood-like fluid represent hemorrhagic effusion or aspiration of blood from the heart ļ‚— Hct comparable to peripheral and blood gas analysis help to Serosal Fluids Pericardial Fluid
  • 136.
    Bronchoalveolar Lavage ļ‚— 1.Indications ļ‚— For the detection and characterization of microbiologic pathogens (primarily Pneumocystis carinii, viral, fungal and bacterial) in immunocompromised patients; for detection and characterization of malignancy. ļ‚— Diffuse disease process ļ‚— Interstitial lung disease ļ‚— Lymphoproliferative disorders ļ‚— Malignancy ļ‚— 2. Specimen Required ļ‚— Bronchoscopically obtained lavage (preferably at least 20 mL) of the distal airways and alveoli in the distribution of the suspected lesion.
  • 137.
    BAL cytology ļ‚— Adequacy:abundant alveolar macrophages ļ‚— Inadequacy: bronchial epithelial cells or squamous cells >75% ļ‚— Normal compnent
  • 138.
    40x Ciliated Columnar EpithelialCells Copyright Ā© 2012 Hologic, All rights reserved. Nuclei: - Basally oriented - Round to oval with smooth nuclear membranes - May contain a nucleolus - Fine to mildly coarse chromatin - Variable in size Cytoplasm: - Homogenous and basophilic
  • 139.
    Goblet Cells 60xCopyright ©2012 Hologic, All rights reserved. Bronchial washing: Goblet cells have abundant, finely vacuolated, slightly basophilic, delicate cytoplasm that is filled with mucin. Nuclei are uniform and basally located. Stripped nuclei are common due to the degenerative nature of these cells
  • 140.
    60 x 60x Copyright Ā© 2012Hologic, All rights reserved Copyright Ā© 2012 Hologic, All rights reserved Bronchial washing: Metaplasia cells are uniform in size and shape. They appear in cobblestone arrangements or loose sheets, cytoplasm is dense with distinct cellular borders. Nuclei are round, with granular to coarse or pyknotic chromatin. Nucleoli are only present if the cells are irritated or reactive.
  • 141.
    Normal Components andFindings ļ‚— Clara cells - Non-ciliated bronchiolar cells - Secrete a protein that acts as a clarificant, a function similar to mucus ļ‚— Kulchitsky cells - Scattered basal epithelial cells - Contain neurosecretory granules - Parent cells of carcinoid tumors
  • 142.
    Macrophages Carbon-laden Hemosiderin-laden Copyright ©2012 Hologic, All rights reserved Copyright © 2012 Hologic, All rights reserved

Editor's Notes

  • #4Ā Serous fluid is produced by the serous membranes (typically just a few milliliters) and acts as a lubricant for the organs.
  • #17Ā Specimen type: peritoneal wash 20x Sometimes sheets fold so that overlapping of cells is evident. The benign nature of these mesothelial cells is obvious based on their uniform arrangement and appearance.
  • #35Ā  LE cell: Wright-stained smear of the pleural fluid shows a typical single LE cell consisting of a neutrophil with flattened nucleus engulfing a central paler homogenous mass.
  • #63Ā Desmin, p53 and EMA can be useful in distinguishing benign from malignant mesothelial cells but this can be variable.
  • #67Ā Most common cause of malignant effusions.
  • #81Ā Electron microscopy may also be needed to differentiate difficult cases.
  • #118Ā Ovarian cancer is the most common cause of malignant ascites. Differential diagnoses include non-small cell lung cancer, pancreatic carcinoma and mesothelioma. Mucinous type resembles endocervical cells or GI malignancy. Serous type resembles fallopian tubes. Endometrioid type is identical to endometrial carcinoma.
  • #130Ā Peritoneal effusion - Malignant cells clustered around psammoma bodies.
  • #132Ā Renal cell cancers are negative for mucin stains. Characteristic features seen are tumor cells with granular centers and clear periphery. Most gastric and colorectal cancers are positive for mucin stains.
  • #134Ā Pleural fluid: Renal cell carcinoma
  • #135Ā Peritoneal wash – Metastatic pancreatic adenocarcinoma
  • #139Ā Group of benign ciliated glandular bronchial cells in a bronchial washing.
  • #140Ā Bronchial washing: Goblet cells have abundant, finely vacuolated, slightly basophilic, delicate cytoplasm that is filled with mucin. Nuclei are uniform and basally located. Stripped nuclei are common due to the degenerative nature of these cells.
  • #141Ā Bronchial washing: Metaplasia cells are uniform in size and shape. They appear in cobblestone arrangements or loose sheets, cytoplasm is dense with distinct cellular borders. Nuclei are round, with granular to coarse or pyknotic chromatin. Nucleoli are only present if the cells are irritated or reactive.
  • #142Ā Clara cells are more numerous deeper in the bronchi whereas goblet cells decrease in number.
  • #143Ā Carbon histiocytes are more common in smokers, urban dwellers, and in anthracosis (Coal Miners disease); also known as ā€œDust cellsā€ Hemosiderin-laden macrophages may be present due to infarcts, heart failure, hemosiderosis or malignancy