PRESENTED
BY
ASHIQ WAZIR
MAQBOOL HUSAIN
ZUBAIR WAZIR
ASAD ULLAH DIRWE
KHURSHEED FALAK
IRFAN DAWAR
After reading this presentation students will be
able to solve the followings questions…………..
. 1. Define and Classify the chronic myloid leukemia?
2.Name the subtypes of chronic myelogenous leukemia (CML)?
3.Describe the epidemiology of CML ?
4.Explain the pathophysiology of this leukemia?
5.Delineate the usefulness of detection of genetic alterations in CML?
6.Compare the clinical signs and symptoms of this leukemia in the three
phases of chronic myelogenous leukemia?
7.Describe the cellular aspects of CML?
8.Explain the application of cytochemistry in the diagnosis of CML compared
to a leukemoid reaction?
 INTRODUCTION;
It is one of the myeloproliferative neoplasm (MPN) of
pluripotent hematopoietic stem cell characterized
by overproduction of cells of the myeloid series
which results in marked splenomegaly and
leukocytosis.
It have presence of Philadelphia chromosome
and/or BCR/ABL fusion gene in all the
neoplastic cells.
It constitutes 15% of all leukemia.
 It occure mostly in Adults .
 It is Insidious in nature.
 It take Months to years.
 It occure with predominance of mature
granulo-cytes and their precursors accumu-
lating in excess in the marrow and blood.’
 It have Mild anemia.
 It have Mild thrombocytopenia.
 It account 15% of all Leukemia,
 In 2015 approximately 6500 cases were noted of CML in
US.
 Highest rate;
 Approximately 1.5 per 100,000 persons account is the
highest rate of CML occurring in US and Switzerland,
 Lowest rate;
 Its lowest rate is .7 per 100,000 persons occurring in china
and Sweden,
 2.3 per 100,000 persons for man is the age
adjusted incidence of CML in US.
 1.2 per 100.000 persons for woman is the age
adjustment rate of CML in US.
 Age specific rate;
 It increase logarithmically with age,
 less than 10 percent of all cases occur in
persons between 1 and 20 years old.
 Its rate of incidence is from .2 per 100,000 to 10 per
100,000 in people younger than 20 years,
 CML represents approximately 3 percent of all childhood
leukemia's
 No familial predisposition,
 Its incidence is increased with obesity and weight.
Exposure to ionizing radiation and benzene is the risk
factor for CML.
 In humans, each cell normally contains 23 pairs
of chromosomes, for a total of 46. Twenty-two of these
pairs, called autosomes, look the same in both males and
females. The 23rd pair, the sex chromosomes, differ
between males and females.
 Is chromosomes have some genes which play
a key role In the activity of cells like division
and differentiation so whenever these
become mutated there is abnormal division
occurs and also there is lake of
differentiation i.e. CML ……Ex
 Philadelphia (Ph) Chromosome ;
 Acquired chromosomal abnormality in all proliferating
hematopoietic stem cells (erythroid, myeloid, monocytic
and megakaryocytic precursors).
 Balanced reciprocal translocation between long arm of
chromosome 9 and 22, i.e.t (q9; q22)(q34;q11) .It
increases the length of chromosome 9 and shortening of
22. This shortened chromosome 22 is known as
Philadelphia chromosome .
 BCR-ABL Fusion Gene ;
 ABLproto-oncogene from chromosome 9
joins the BCR on chromosome 22.
 It produces a new chimeric (fusion) gene
called BCR-ABL, thus converting ABL proto-
oncogene into oncogene. The product of the
fusion gene plays a central role in
development of chronic myloid leukemia.
The product of this oncogene i.e.,
oncoprotein(e.g. p210) causes cell division
and inhibition of apoptosis.
 This oncoprotien (tyrosine kinas ) stimulates
uncontrolled production of abnormal blood
cells by B/M.
 Oncogenic role of p210 (tyrosine kinas)is
found in association with increased G-CSF
and platelet-derived growth factor.
 So due to this process a large number of
myeloid cells produced and released into the
blood and When immature are unable to
work properly, known as blasts.
 • Age: usually occurs between 40 to 60 years
of age.
 • Sex: males slightly more affected than
females.
 • Onset: insidious.
 Symptoms:
 • Nonspecific symptoms: fatigue, weakness,
weight loss, anorexia.
Fullness of abdomen due to splenomegaly
(caused by leukemic infiltration and extra-
medullary hematopoiesis). Splenomegaly is
moderate to severe and is characteristic
feature in majority (80–90%) of patients.
Hepatomegaly: mild or moderate seen in 60–
70% of cases.
 Gout like symptoms
 Anaemia
 Hyperurecemia
 Bruising
 Epistaxis
 Menorrhagia
 Hemorrhages from other sites
 Visual disturbance
 On the basis of Prognostic features at the time of
diagnosis include age, splenomegaly, platelet count,
number of blasts or metaphases in the marrow, extent
of basophilia and eosinophilia, and chromosomal
abnormalities ,progression ,duration of the disease CML is
classified into following phase……
In this phase granulocyte and platelets count is
close to normal,
Leukemic cell have there capacity to
differentiation and maturation,
Patient is asymptomatic ,
Less then 10% blast ,
The disease is responsive to chemotherapy and
remains stable for variable period. The
duration of this stage is 3 to 5 years.
There is no anemia,in this phase,
It can be progress to accelrated phase.
 In 70% of patients, chronic phase gradually evolves
into accelerated phase.
 In this phase, leukemic cells show increasing loss
differentiation and maturation, increased
proliferation, and resistance to chemotherapy that
controlled the chronic phase.
 Patient’s disease becomes more aggressive and signs
and symptoms of disease progression appear;
 majority of patients in this phase eventually progress
to blast crisis within a span of few months.
More aggressive and lasts for few months.
Myeloblasts: 10–19%in the blood or bone marrow.
Striking basophilia(20% or more).
Persistent thrombocytopenia(less than 100 ×10 9/L) or
(<100,000 ) unrelated to therapy or persistent
thrombocytosis (more than 1000 ×109/L) or
(>1,000,000) uncontrolled by therapy.
Megakaryocytic proliferation in sheets or clusters in
association with fibrosis.
Persistent or increasing splenomegaly unresponsive to
therapy
In addition to the Philadelphia chromosome other
chromosomal abnormalities may be present
 This occurs when there is transformation to acute leukemia
and the disease becomes extremely resistant to chemotherapy.
 Median survival is 2 to 6 months.
 About 30% of patients progress to blastic phase without
intervening accelerated phase.
 Blood picture resembles acute leukemia and has poor
prognosis.
Peripheral smear – Blasts 20% or more.
May be either myeloblast (70% cases) or lymphoblast (30%
cases).
 Myeloblast does not contain Auer rods.
Thrombocytopenia causes bleeding episodes.
 A benign condition in which the high number
of white blood cells found in a blood test
resembles the numbers seen in leukemia. For
example, infectious mononucleosis can
return blood-test results with a leukemoid
reaction
 Leukaemoid reaction can occur in infections,
inflammation, and malignancy. In leukaemoid
reactions due to infections or haemolysis,
leucocytosis is usually modest and shift to
left is usually up to metamyelocyte or
myelocyte stage; however occasional blast
may be seen.
 Other features favouring leukaemoid
reaction are absence of splenomegaly
orbasophilia,presence of toxic granules
in neutrophils (in infections), normal or
increased NAP score, and absence of Ph’
chromosome.
Characteristics Lekemoid Reaction CML
total WBC count 60 to 100 10 9/L 50 to 500 10 9/L
left shift myelocyte 5 to 15% usually numerous
blasts 5% more than 30% blasts
toxic granulation marked especially in mild or absent
infective case
anaemia slight or absent present & progressive
NRC frequent in LEBP less frequent
due to marrow
infiltration
eosinophils & decreased increased
basophils
platelets normal or increased increased
decreased in LEBP
bone marrow hyperplasia of WBC marked hyperplasia
but to a mild extent with increased
proportion of immature
cells
clinical features C/F of causitive splenomegaly
disorders & obvious lymphadenopathy
hemorrhage
NAP score increased decreased
autopsy infiltration of organs leukemic infiltration
& tissues absent of organ & tissue
1. CBC
2. Biochemical tests
3. Bone marrow
4. Immunological markers
5. Cytogenetic
6. Molecular assays
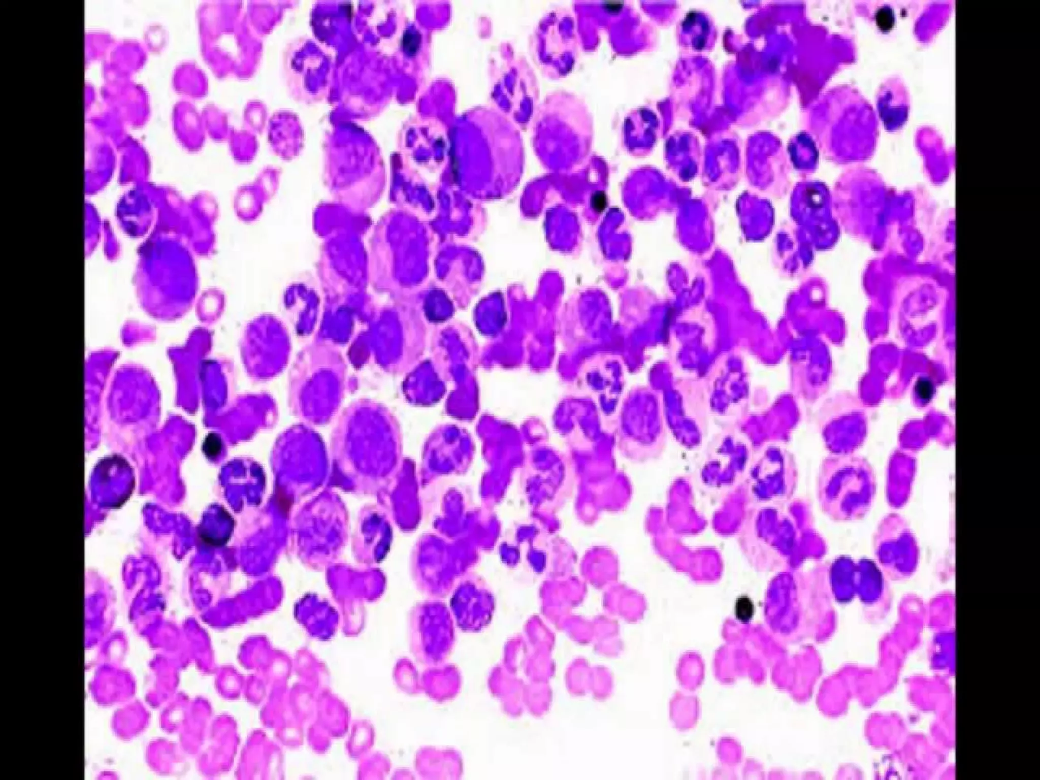
Peripheral blood;
Hemoglobin: usually less than 11 g/dL
Peripheral smear;
RBCs: normocytic normochromic anemia
WBCs: Marked leukocytosis(12–600 × 109/L) total leukocyte
count usually exceeds 100 × 109/ L (1,00,000/cu mm).
Shift to left (shift to immaturity);—
granulocytes at all stages of development
(neutrophils, metamyelocytes, myelocytes,
promyelocytes and an occasional
myeloblasts).
Predominant cells are neutrophils and
myelocytes.
Blasts are usually less than 10% of the
circulating WBCs Basophilia and eosinophilia
Platelets: platelets range from normal (150–
450 × 109/L) to greater than 1000 × 109/L.
Up to 50% have thrombocytosis.
 Eosinophils normal or some time increased
 NRBCs are seen
 Absolute Basophilia
 Macrocytosis
 Hypogranulated myeloid cells
 Cellularity: markedly hypercellular due to myeloid
hyperplasia.
 M: E ratio: often exceeds10:1.
 Erythropoiesis: diminished erythropoiesis as disease
progresses.
 Myelopoiesis: marked hyperplasia. Blast cells usually less
than 10%.Basophils, eosinophils and their precursors are
usually found.
 Megakaryopoiesis;
 megakaryocytic are either normal or increased.
Dwarf megakaryocytic.
Sea-blue histiocytes;
(Gaucher-like cells/pseudo Gaucher cells)
are seen.
Eosinophilic and basophilic granules are abnormal
Nuclear to cytoplasmic asynchrony
 In Serum Uric acid
increased
 Serum iron
Increased
 Serum B12 and B12 binding capacity
Increased
 NAP score
Decreased
 Serum LDH
Elevated
Ca++ increase
CD13 +
CD14 +
CD15 +
CD33 +
 Cytogenetic analysis in CML serves to
confirm the diagnosis.
 It also has prognostic importance.
Cytogenetic analysis of bone marrow and
peripheral blood shows a characteristic
abnormality, the Philadelphia
chromosome and BCR-ABL fusion gene:
demonstrated either by chromosomal
analysis or fluorescent in situ hybridization
(FISH)or PCR based tests.
 Atlas hematology (jaypee),
 Rapid review hematology (Ramdas)
 Clinical hematology,
 Essential; hematology(j p)
 Essential hematology hofbrand,
 Sir Asif slides.
Chronic myeloid leukemia

Chronic myeloid leukemia

  • 3.
    PRESENTED BY ASHIQ WAZIR MAQBOOL HUSAIN ZUBAIRWAZIR ASAD ULLAH DIRWE KHURSHEED FALAK IRFAN DAWAR
  • 4.
    After reading thispresentation students will be able to solve the followings questions………….. . 1. Define and Classify the chronic myloid leukemia? 2.Name the subtypes of chronic myelogenous leukemia (CML)? 3.Describe the epidemiology of CML ? 4.Explain the pathophysiology of this leukemia? 5.Delineate the usefulness of detection of genetic alterations in CML? 6.Compare the clinical signs and symptoms of this leukemia in the three phases of chronic myelogenous leukemia? 7.Describe the cellular aspects of CML? 8.Explain the application of cytochemistry in the diagnosis of CML compared to a leukemoid reaction?
  • 5.
     INTRODUCTION; It isone of the myeloproliferative neoplasm (MPN) of pluripotent hematopoietic stem cell characterized by overproduction of cells of the myeloid series which results in marked splenomegaly and leukocytosis. It have presence of Philadelphia chromosome and/or BCR/ABL fusion gene in all the neoplastic cells. It constitutes 15% of all leukemia.
  • 8.
     It occuremostly in Adults .  It is Insidious in nature.  It take Months to years.  It occure with predominance of mature granulo-cytes and their precursors accumu- lating in excess in the marrow and blood.’  It have Mild anemia.  It have Mild thrombocytopenia.
  • 12.
     It account15% of all Leukemia,  In 2015 approximately 6500 cases were noted of CML in US.  Highest rate;  Approximately 1.5 per 100,000 persons account is the highest rate of CML occurring in US and Switzerland,  Lowest rate;  Its lowest rate is .7 per 100,000 persons occurring in china and Sweden,
  • 14.
     2.3 per100,000 persons for man is the age adjusted incidence of CML in US.  1.2 per 100.000 persons for woman is the age adjustment rate of CML in US.  Age specific rate;  It increase logarithmically with age,  less than 10 percent of all cases occur in persons between 1 and 20 years old.
  • 16.
     Its rateof incidence is from .2 per 100,000 to 10 per 100,000 in people younger than 20 years,  CML represents approximately 3 percent of all childhood leukemia's  No familial predisposition,  Its incidence is increased with obesity and weight.
  • 17.
    Exposure to ionizingradiation and benzene is the risk factor for CML.  In humans, each cell normally contains 23 pairs of chromosomes, for a total of 46. Twenty-two of these pairs, called autosomes, look the same in both males and females. The 23rd pair, the sex chromosomes, differ between males and females.
  • 19.
     Is chromosomeshave some genes which play a key role In the activity of cells like division and differentiation so whenever these become mutated there is abnormal division occurs and also there is lake of differentiation i.e. CML ……Ex
  • 21.
     Philadelphia (Ph)Chromosome ;  Acquired chromosomal abnormality in all proliferating hematopoietic stem cells (erythroid, myeloid, monocytic and megakaryocytic precursors).  Balanced reciprocal translocation between long arm of chromosome 9 and 22, i.e.t (q9; q22)(q34;q11) .It increases the length of chromosome 9 and shortening of 22. This shortened chromosome 22 is known as Philadelphia chromosome .
  • 23.
     BCR-ABL FusionGene ;  ABLproto-oncogene from chromosome 9 joins the BCR on chromosome 22.  It produces a new chimeric (fusion) gene called BCR-ABL, thus converting ABL proto- oncogene into oncogene. The product of the fusion gene plays a central role in development of chronic myloid leukemia. The product of this oncogene i.e., oncoprotein(e.g. p210) causes cell division and inhibition of apoptosis.
  • 24.
     This oncoprotien(tyrosine kinas ) stimulates uncontrolled production of abnormal blood cells by B/M.  Oncogenic role of p210 (tyrosine kinas)is found in association with increased G-CSF and platelet-derived growth factor.  So due to this process a large number of myeloid cells produced and released into the blood and When immature are unable to work properly, known as blasts.
  • 26.
     • Age:usually occurs between 40 to 60 years of age.  • Sex: males slightly more affected than females.  • Onset: insidious.  Symptoms:  • Nonspecific symptoms: fatigue, weakness, weight loss, anorexia.
  • 28.
    Fullness of abdomendue to splenomegaly (caused by leukemic infiltration and extra- medullary hematopoiesis). Splenomegaly is moderate to severe and is characteristic feature in majority (80–90%) of patients. Hepatomegaly: mild or moderate seen in 60– 70% of cases.
  • 30.
     Gout likesymptoms  Anaemia  Hyperurecemia  Bruising  Epistaxis  Menorrhagia  Hemorrhages from other sites  Visual disturbance
  • 31.
     On thebasis of Prognostic features at the time of diagnosis include age, splenomegaly, platelet count, number of blasts or metaphases in the marrow, extent of basophilia and eosinophilia, and chromosomal abnormalities ,progression ,duration of the disease CML is classified into following phase……
  • 33.
    In this phasegranulocyte and platelets count is close to normal, Leukemic cell have there capacity to differentiation and maturation, Patient is asymptomatic , Less then 10% blast , The disease is responsive to chemotherapy and remains stable for variable period. The duration of this stage is 3 to 5 years. There is no anemia,in this phase, It can be progress to accelrated phase.
  • 35.
     In 70%of patients, chronic phase gradually evolves into accelerated phase.  In this phase, leukemic cells show increasing loss differentiation and maturation, increased proliferation, and resistance to chemotherapy that controlled the chronic phase.  Patient’s disease becomes more aggressive and signs and symptoms of disease progression appear;  majority of patients in this phase eventually progress to blast crisis within a span of few months.
  • 36.
    More aggressive andlasts for few months. Myeloblasts: 10–19%in the blood or bone marrow. Striking basophilia(20% or more). Persistent thrombocytopenia(less than 100 ×10 9/L) or (<100,000 ) unrelated to therapy or persistent thrombocytosis (more than 1000 ×109/L) or (>1,000,000) uncontrolled by therapy. Megakaryocytic proliferation in sheets or clusters in association with fibrosis. Persistent or increasing splenomegaly unresponsive to therapy In addition to the Philadelphia chromosome other chromosomal abnormalities may be present
  • 38.
     This occurswhen there is transformation to acute leukemia and the disease becomes extremely resistant to chemotherapy.  Median survival is 2 to 6 months.  About 30% of patients progress to blastic phase without intervening accelerated phase.  Blood picture resembles acute leukemia and has poor prognosis. Peripheral smear – Blasts 20% or more. May be either myeloblast (70% cases) or lymphoblast (30% cases).  Myeloblast does not contain Auer rods. Thrombocytopenia causes bleeding episodes.
  • 40.
     A benigncondition in which the high number of white blood cells found in a blood test resembles the numbers seen in leukemia. For example, infectious mononucleosis can return blood-test results with a leukemoid reaction  Leukaemoid reaction can occur in infections, inflammation, and malignancy. In leukaemoid reactions due to infections or haemolysis, leucocytosis is usually modest and shift to left is usually up to metamyelocyte or myelocyte stage; however occasional blast may be seen.
  • 41.
     Other featuresfavouring leukaemoid reaction are absence of splenomegaly orbasophilia,presence of toxic granules in neutrophils (in infections), normal or increased NAP score, and absence of Ph’ chromosome.
  • 42.
    Characteristics Lekemoid ReactionCML total WBC count 60 to 100 10 9/L 50 to 500 10 9/L left shift myelocyte 5 to 15% usually numerous blasts 5% more than 30% blasts toxic granulation marked especially in mild or absent infective case anaemia slight or absent present & progressive NRC frequent in LEBP less frequent due to marrow infiltration eosinophils & decreased increased basophils platelets normal or increased increased decreased in LEBP bone marrow hyperplasia of WBC marked hyperplasia but to a mild extent with increased proportion of immature cells clinical features C/F of causitive splenomegaly disorders & obvious lymphadenopathy hemorrhage NAP score increased decreased autopsy infiltration of organs leukemic infiltration & tissues absent of organ & tissue
  • 44.
    1. CBC 2. Biochemicaltests 3. Bone marrow 4. Immunological markers 5. Cytogenetic 6. Molecular assays
  • 45.
    Peripheral blood; Hemoglobin: usuallyless than 11 g/dL Peripheral smear; RBCs: normocytic normochromic anemia WBCs: Marked leukocytosis(12–600 × 109/L) total leukocyte count usually exceeds 100 × 109/ L (1,00,000/cu mm).
  • 46.
    Shift to left(shift to immaturity);— granulocytes at all stages of development (neutrophils, metamyelocytes, myelocytes, promyelocytes and an occasional myeloblasts). Predominant cells are neutrophils and myelocytes. Blasts are usually less than 10% of the circulating WBCs Basophilia and eosinophilia Platelets: platelets range from normal (150– 450 × 109/L) to greater than 1000 × 109/L. Up to 50% have thrombocytosis.
  • 47.
     Eosinophils normalor some time increased  NRBCs are seen  Absolute Basophilia  Macrocytosis  Hypogranulated myeloid cells
  • 48.
     Cellularity: markedlyhypercellular due to myeloid hyperplasia.  M: E ratio: often exceeds10:1.  Erythropoiesis: diminished erythropoiesis as disease progresses.  Myelopoiesis: marked hyperplasia. Blast cells usually less than 10%.Basophils, eosinophils and their precursors are usually found.
  • 50.
     Megakaryopoiesis;  megakaryocyticare either normal or increased. Dwarf megakaryocytic. Sea-blue histiocytes; (Gaucher-like cells/pseudo Gaucher cells) are seen. Eosinophilic and basophilic granules are abnormal Nuclear to cytoplasmic asynchrony
  • 51.
     In SerumUric acid increased  Serum iron Increased  Serum B12 and B12 binding capacity Increased  NAP score Decreased  Serum LDH Elevated Ca++ increase
  • 52.
  • 53.
     Cytogenetic analysisin CML serves to confirm the diagnosis.  It also has prognostic importance. Cytogenetic analysis of bone marrow and peripheral blood shows a characteristic abnormality, the Philadelphia chromosome and BCR-ABL fusion gene: demonstrated either by chromosomal analysis or fluorescent in situ hybridization (FISH)or PCR based tests.
  • 54.
     Atlas hematology(jaypee),  Rapid review hematology (Ramdas)  Clinical hematology,  Essential; hematology(j p)  Essential hematology hofbrand,  Sir Asif slides.