MYELOPROLIFERATIVEMYELOPROLIFERATIVE
DISORDERSDISORDERS
Dr sapna mDr sapna m
The myeloproliferative diseases (MPDs) areThe myeloproliferative diseases (MPDs) are
clonal stem cell disorders characterised byclonal stem cell disorders characterised by
leukocytosis, thrombocytosis, erythrocytosis,leukocytosis, thrombocytosis, erythrocytosis,
splenomegaly, and bone marrowsplenomegaly, and bone marrow
hypercelularityhypercelularity
Myeloproliferative DisordersMyeloproliferative Disorders
(old classification)(old classification)
a group of disease characterized by overgrowth of one or morea group of disease characterized by overgrowth of one or more
hematologic cell lines in BMhematologic cell lines in BM
1. chronic myelogenous leukemia (CML)1. chronic myelogenous leukemia (CML)
2. polycythemia vera (PV)2. polycythemia vera (PV)
3. essential thrombocythemia3. essential thrombocythemia
4. agnogenic myeloid metaplasia/myelofibrosis4. agnogenic myeloid metaplasia/myelofibrosis
www.freelivedoctor.comwww.freelivedoctor.com
Myeloproliferative DisordersMyeloproliferative Disorders
(2008 WHO classification)(2008 WHO classification)
1. polycythemia vera1. polycythemia vera
2. chronic idiopathic myelofibrosis2. chronic idiopathic myelofibrosis
3. essential thrombocytosis3. essential thrombocytosis
4. chronic myeloid leukemia (CML)4. chronic myeloid leukemia (CML)
5. [chronic neutrophilic leukemia]5. [chronic neutrophilic leukemia]
6. [chronic eosinophilic leukemia]6. [chronic eosinophilic leukemia]
7. [hypereosinophilic syndrome]7. [hypereosinophilic syndrome]
8.Mast cell disease8.Mast cell disease
““myelodysplastic/myeloproliferative diseases”myelodysplastic/myeloproliferative diseases”
juvenile myelomonocytic leukemiajuvenile myelomonocytic leukemia
atypical chronic myeloid leukemia (lacking t(9;22))atypical chronic myeloid leukemia (lacking t(9;22))
chronic myelomocytic leukemiachronic myelomocytic leukemia
www.freelivedoctor.comwww.freelivedoctor.com
Chronic myeloid leukemia (CML)Chronic myeloid leukemia (CML)
CML results from a somatic mutation in aCML results from a somatic mutation in a
pluripotential hematopoietic cellpluripotential hematopoietic cell
CML is a MPD characterized by increasedCML is a MPD characterized by increased
granulocytic cell line, associatedgranulocytic cell line, associated often withoften with
platelet hyperplasiaplatelet hyperplasia
The disease usually envolves into anThe disease usually envolves into an
accelerated phase that often terminates inaccelerated phase that often terminates in
acute phaseacute phase
--chronic phasechronic phase 3-5 years3-5 years
--accelerated phaseaccelerated phase 6-9 months6-9 months
--blastic phaseblastic phase 3-6 months3-6 months
EtiologyEtiology
Exposure to high- dose ionizing radiationExposure to high- dose ionizing radiation
Chemical agents have not been established asChemical agents have not been established as
a ca caauseuse
EpidemiologyEpidemiology
CML accounts for approximately 15 percent ofCML accounts for approximately 15 percent of
all cases of leukemia and approximately 3all cases of leukemia and approximately 3
percent of childhood leukemiaspercent of childhood leukemias
The median age of onset is 53 yearsThe median age of onset is 53 years
PathogenesisPathogenesis
Hematopoietic abnormalityHematopoietic abnormality
Expansion of granulocytic progenitors and aExpansion of granulocytic progenitors and a
decreased sensitivity of the progenitors todecreased sensitivity of the progenitors to
regulation – increased white cell countregulation – increased white cell count
Megakaryocytopoiesis is often expandedMegakaryocytopoiesis is often expanded
Erythropoiesis is usually deficientErythropoiesis is usually deficient
Function of the neutrophils and platelets isFunction of the neutrophils and platelets is
nearly normalnearly normal
PathogenesisPathogenesis
Genetic abnormalityGenetic abnormality
CML is the result of an acquired geneticCML is the result of an acquired genetic
abnormalityabnormality
A translocation between chromosome 9 andA translocation between chromosome 9 and
2222 [t(9;22)] – the[t(9;22)] – the Philadelphia chromosomePhiladelphia chromosome
The oncogene BCThe oncogene BCRR-ABL encodes an-ABL encodes an
enzyme – tyrosine phosphokinase (usuallyenzyme – tyrosine phosphokinase (usually
p210)p210)
Translocation t(9;22)Translocation t(9;22)
(q34;q11)(q34;q11)
Philadelphia ChromosomePhiladelphia Chromosome
• More than 95% of patients with CML haMore than 95% of patients with CML haveve
Philadelphia (Ph) chromosomePhiladelphia (Ph) chromosome
 A subset of patients with CML lack aA subset of patients with CML lack a
detectable Ph chromosome but have thedetectable Ph chromosome but have the
fusion product for the bcr/abl translocationfusion product for the bcr/abl translocation
detectable by reverse transcriptase-detectable by reverse transcriptase-
polymerase chain reaction (RT-PCR)polymerase chain reaction (RT-PCR)
The bcr/abl fusion proteinThe bcr/abl fusion protein
Uncontrolled kinase activityUncontrolled kinase activity
1.1. Deregulated cellular proliferationDeregulated cellular proliferation
2.2. Decreased adherence of leukemia cells toDecreased adherence of leukemia cells to
the bone marrow stromathe bone marrow stroma
3.3. Leukemic cells are protected from normalLeukemic cells are protected from normal
programmed cell death (apoptosis)programmed cell death (apoptosis)
Clinical featuresClinical features
30 -50% of patients are asymptomatic at the time of30 -50% of patients are asymptomatic at the time of
diagnosis (90% are diagnosed in chronic phase)diagnosis (90% are diagnosed in chronic phase)
Symptoms are gradual in onset:Symptoms are gradual in onset:
fatigue, malaise, anorexia, abdominal discomfort,fatigue, malaise, anorexia, abdominal discomfort,
weight loss, excessive sweatingweight loss, excessive sweating
●
Less frequent symptomsLess frequent symptoms::
Night sweats, heat intolerance- mimickingNight sweats, heat intolerance- mimicking
hyperthyroidism, symptoms of leukostasishyperthyroidism, symptoms of leukostasis
(tinnitus, stupor), splenic infarction (left upper-(tinnitus, stupor), splenic infarction (left upper-
quadrant and left shoulder pain), urticaria (resultquadrant and left shoulder pain), urticaria (result
of histamine release)of histamine release)
●
Physical signsPhysical signs::
Pallor, splenomegaly, sternal painPallor, splenomegaly, sternal pain
Laboratory featuresLaboratory features
The hemoglobin concentration is decreased or normalThe hemoglobin concentration is decreased or normal
Nucleated red cells in blood film can be seenNucleated red cells in blood film can be seen
The leukocyte count above 25000/The leukocyte count above 25000/μl (often aboveμl (often above
100000/μ100000/μll), granulocytes are at all stages of), granulocytes are at all stages of
developmentdevelopment
Hypersegmentated neutrophilsHypersegmentated neutrophils
The basophiles count is increasedThe basophiles count is increased
The platelet count is normal or increasedThe platelet count is normal or increased
Neutrophils alkaline phosphatase (GAF) activity is lowNeutrophils alkaline phosphatase (GAF) activity is low
or absent (90%)or absent (90%)
Laboratory features (2)Laboratory features (2)
The marrow is hypercellular (granulocytic hyperplasia)-The marrow is hypercellular (granulocytic hyperplasia)-
proportion >10:1 (blasts <10% in chronic phase)proportion >10:1 (blasts <10% in chronic phase)
Reticulin fibrosisReticulin fibrosis
Hyperuricemia and hyperuricosuriaHyperuricemia and hyperuricosuria
Serum vitamin B12-binding proteine and serum vitaminSerum vitamin B12-binding proteine and serum vitamin
B12 levels are increasedB12 levels are increased
Pseudohyperkalemia, and spurious hypoxemia andPseudohyperkalemia, and spurious hypoxemia and
hypoglycemiahypoglycemia
Cytogenetic test-Cytogenetic test- presence of the Ph chromosomepresence of the Ph chromosome
Molecular testMolecular test – presence of the BCR-ABL fusion gene– presence of the BCR-ABL fusion gene
DiagnosisDiagnosis
Diagnosis is based on blood counts (leukocytosis andDiagnosis is based on blood counts (leukocytosis and
frequently also thrombocytosis) and differentialfrequently also thrombocytosis) and differential
(immature granulocytes, from the metamyelocyte to(immature granulocytes, from the metamyelocyte to
the myeloblast, and basophilia). Splenomegaly isthe myeloblast, and basophilia). Splenomegaly is
present in >50% of cases of CML in the initial chronicpresent in >50% of cases of CML in the initial chronic
phase, but 50% of patients are asymptomatic.₃phase, but 50% of patients are asymptomatic.₃
Proof of diagnosis is attained by demonstration of theProof of diagnosis is attained by demonstration of the
Philadelphia (Ph) chromosome (22q–) resulting fromPhiladelphia (Ph) chromosome (22q–) resulting from
the balanced translocation t(9; 22) (q34;q11), and/orthe balanced translocation t(9; 22) (q34;q11), and/or
the BCR–ABL rearrangement in peripheral blood orthe BCR–ABL rearrangement in peripheral blood or
bone marrow cells.bone marrow cells.
Accelerated phase of CMLAccelerated phase of CML
Most patients eventually became resistant to therapyMost patients eventually became resistant to therapy
and the disease enters a more agressive phaseand the disease enters a more agressive phase
Criteria of accelerated phaseCriteria of accelerated phase
1.1. Blasts in blood or bone marrow-10-Blasts in blood or bone marrow-10-229%9%
2.2. BasophiliaBasophilia ≥≥ 20%20%
3.3. Thrombocytopenia <100G/lThrombocytopenia <100G/l
4.4. Thrombocytaemia >1000G/lThrombocytaemia >1000G/l
5.5. Additional chromosomal aberrationsAdditional chromosomal aberrations
6.6. RRefractory splenomegalyefractory splenomegaly or refractory leucocytosisor refractory leucocytosis
BlastBlast phasephase (blast crisis)(blast crisis) of CMLof CML
• Criteria of blast phaseCriteria of blast phase
1.1. BlastsBlasts ≥≥330%0% in PB or BMin PB or BM
2.2. extramedullary tumorsextramedullary tumors
• Phenotype of blastsPhenotype of blasts
1.1. Mieloblasts - 50%Mieloblasts - 50%
2.2. Limphoblasts - 30%Limphoblasts - 30%
3.3. Megakarioblasts – 10%Megakarioblasts – 10%
4.4. Acute myelofibrosisAcute myelofibrosis
CML in Blast CrisisCML in Blast Crisis
Differential diagnosisDifferential diagnosis
Polycythemia veraPolycythemia vera
MMyelofibrosisyelofibrosis
EssentialEssential thrombocytemiathrombocytemia
Chronic myelomonocytic leukemia (Mo>1000/µl)Chronic myelomonocytic leukemia (Mo>1000/µl)
Extreme reactive leukocytosis (GAF is increased)Extreme reactive leukocytosis (GAF is increased)
TreatmentTreatment
Algorithm for treating CMLAlgorithm for treating CML
DIAGNOSIS
Imatinib for all
Response to imatinib
‘Failed” response
to imatinib
Continue
Consider for other TKI
or SCT
Leukemoid
reaction
CML
WBC High High
Anemia (-) (+)
PBS Shift to the Left
Toxic granulation
Dohle bodies
Shift to the left (blast)
Eosinophilia,
basophilia
LAP score High Low
Philadelphia
chromosome
(-) (+)
Polycythemia VeraPolycythemia Vera
(lots of red cells - for real)(lots of red cells - for real)
An uncommon disorder - distinguish fromAn uncommon disorder - distinguish from
other causes of erythrocytosisother causes of erythrocytosis
Diagnosis depends on knowledge ofDiagnosis depends on knowledge of
erythropoeisiserythropoeisis
Complications most commonly fromComplications most commonly from
thrombosis and vascular incidentsthrombosis and vascular incidents
Long natural history with treatmentLong natural history with treatment
Definition of ErythrocytosisDefinition of Erythrocytosis
Normal hematocrit :Normal hematocrit :

Male 47Male 47 ±± 5 percent5 percent

Female 42Female 42 ±± 5 percent5 percent
Normal hemoglobin :Normal hemoglobin :

Male 15Male 15 ±± 2 gm/dl2 gm/dl

Female 13.5Female 13.5 ±± 1.5 gm/dl1.5 gm/dl
Absolute vs. RelativeAbsolute vs. Relative
ErythrocytosisErythrocytosis
Normal Spurious Polycythemia
Plasma Vol
RBC
Pathophysiology ofPathophysiology of
PolycythemiaPolycythemia
Secondary PolycythemiaSecondary Polycythemia
Appropriate EPO (tissue/kidney hypoxia)Appropriate EPO (tissue/kidney hypoxia)

pulmonary diseasepulmonary disease

high altitudehigh altitude

congenital heart diseasecongenital heart disease

abnormal hemoglobinabnormal hemoglobin
high affinityhigh affinity
carboxyhemoglobincarboxyhemoglobin
Secondary PolycythemiaSecondary Polycythemia
Inappropriate EPO (ectopic production)Inappropriate EPO (ectopic production)

Tumors (hepatoma, renal carcinoma,Tumors (hepatoma, renal carcinoma,
leiomyoma, hamartoma)leiomyoma, hamartoma)

Renal disorders (transplantation, cysts)Renal disorders (transplantation, cysts)

hemangiomashemangiomas

Androgen abuseAndrogen abuse

EPO abuseEPO abuse

Familial polycythemiaFamilial polycythemia
Polycythemia VeraPolycythemia Vera
P. vera is a rare diseaseP. vera is a rare disease
Median age 60 - 65 yearsMedian age 60 - 65 years
Clinical featuresClinical features

Attributed to increased blood viscosity andAttributed to increased blood viscosity and
poor oxygen delivery to organs (brain)poor oxygen delivery to organs (brain)
 Poor OPoor O22 delivery leads to ischemia anddelivery leads to ischemia and
thrombosisthrombosis

Expanded blood volume and viscosityExpanded blood volume and viscosity
leads to increased cardiac work loadleads to increased cardiac work load
P. Vera - Symptoms & SignsP. Vera - Symptoms & Signs
SymptomsSymptoms

HeadacheHeadache

WeaknessWeakness

Pruritis (aquagenic)Pruritis (aquagenic)

DizzinessDizziness

DiaphoresisDiaphoresis

Visual disturbanceVisual disturbance

Weight lossWeight loss
SignsSigns

SplenomegalySplenomegaly 70%70%

Skin plethoraSkin plethora 67%67%

HepatomegalyHepatomegaly 40%40%

Conjunctival plethoraConjunctival plethora
59%59%

Systolic HypertensionSystolic Hypertension
72%72%
P. Vera - DiagnosisP. Vera - Diagnosis
(PVSG criteria)(PVSG criteria)
CriteriaCriteria

RBC mass elevatedRBC mass elevated
 SaOSaO22 > 92%> 92%

Splenomegaly (or)Splenomegaly (or)
thrombocytosisthrombocytosis
LeukocytosisLeukocytosis
high LAPhigh LAP
high Bhigh B1212
SignificanceSignificance

True vs. spuriousTrue vs. spurious

R/O most 2R/O most 2°° causescauses

Evidence for MPDEvidence for MPD
False Positive 0.5%False Positive 0.5%

smokers, drinkerssmokers, drinkers
P. vera - Bone Marrow BiopsyP. vera - Bone Marrow Biopsy
Treatment Options - SummaryTreatment Options - Summary
A g e > 7 0
H y d r o x y u r e a
3 2 P ?
A g e 5 0 - 7 0
H y d r o x y u r e a
P h le b o to m y
A g e < 5 0
P h le b o to m y
H y d r o x y u r e a
P . V e r a
P h le b o to m iz e to H C T < 4 5
Essential ThrombocythemiaEssential Thrombocythemia
Rare disorder (1.5 per 100,000)Rare disorder (1.5 per 100,000)
proliferation of megakaryocytes causing marked increase inproliferation of megakaryocytes causing marked increase in
circulating platelets (>1 million)circulating platelets (>1 million)
morphologically abnormal plateletsmorphologically abnormal platelets
splenomegaly, mucosal hemorrhage, thrombosessplenomegaly, mucosal hemorrhage, thromboses
arrow: macrothrombocyte
www.freelivedoctor.comwww.freelivedoctor.com
Essential ThrombocythemiaEssential Thrombocythemia
Incidence:Incidence: 1.5 per 100,0001.5 per 100,000
Age at Dx:Age at Dx: 60 y/o60 y/o (~20% <40 y/o)(~20% <40 y/o)
F to M ratio:F to M ratio: 1.6 : 11.6 : 1
Social risk factor:Social risk factor: 1. long-term use of dark hair dyes1. long-term use of dark hair dyes
2. living in tuff house2. living in tuff house
3. electrician3. electrician
Clinical features:Clinical features: - near normal life expectancy- near normal life expectancy
- frequent vasomotor and thrombo-- frequent vasomotor and thrombo-
hemorrhagic episodeshemorrhagic episodes
Treatment:Treatment: low-dose acetylsalicylic acidlow-dose acetylsalicylic acid
www.freelivedoctor.comwww.freelivedoctor.com
MyelofibrosisMyelofibrosis
bone marrow fibrosisbone marrow fibrosis
•
fibroblasts may be “innocent bystanders”fibroblasts may be “innocent bystanders”
•
fibrosis probably driven by neoplastic megakaryocytesfibrosis probably driven by neoplastic megakaryocytes
middle aged adults (50-60 y/o)middle aged adults (50-60 y/o)
extramedullary hematopoiesis (spleen, liver)extramedullary hematopoiesis (spleen, liver)
may occur as an extension of CML or PVmay occur as an extension of CML or PV
abnormal peripheral RBCs (“tear-drop” & nucleated RBCs)abnormal peripheral RBCs (“tear-drop” & nucleated RBCs)
immature WBC and abnormal plateletsimmature WBC and abnormal platelets
infection, thrombosis and hemorrhage as a major complicationinfection, thrombosis and hemorrhage as a major complication
www.freelivedoctor.comwww.freelivedoctor.com
MyelofibrosisMyelofibrosis
Aniso-poikilocytosis
leukemoid reaction
“naked” nuclear fragments
www.freelivedoctor.comwww.freelivedoctor.com
Myelofibrosis
HypereosinophilicHypereosinophilic
SyndromesSyndromes
Produced in the bone marrowProduced in the bone marrow
Function to combat parasiticFunction to combat parasitic
infections, ectoparasites, certain viralinfections, ectoparasites, certain viral
infections, and amplify responses ofinfections, and amplify responses of
mast cells in atopymast cells in atopy
This is largely accomplished byThis is largely accomplished by
generating ribonucleases, oxidativegenerating ribonucleases, oxidative
species = apoptosis, and inducingspecies = apoptosis, and inducing
degranulation of basophils and mastdegranulation of basophils and mast
cellscells
Eosinophils are attracted to tissues byEosinophils are attracted to tissues by
certain chemokines (RANTES,certain chemokines (RANTES,
CCL11/24) and leukotrienesCCL11/24) and leukotrienes
They require IL-5 (Eosinophil growthThey require IL-5 (Eosinophil growth
factor, secreted by T-cells) forfactor, secreted by T-cells) for
proliferation and to prevent apoptosisproliferation and to prevent apoptosis
They are VERY sensitive to steroidsThey are VERY sensitive to steroids
Eosinophils – The BasicsEosinophils – The Basics
These granules are full of:These granules are full of:

Major Basic Protein = toxic toMajor Basic Protein = toxic to
helminths and epithelial cellshelminths and epithelial cells

Ribonuclease A (aka EosinophilRibonuclease A (aka Eosinophil
Cationic Protein)Cationic Protein)

Eosinophil Peroxidase =Eosinophil Peroxidase =
generation of hypobromite used togeneration of hypobromite used to
combat Helminths and TBcombat Helminths and TB

Proteases that are involved inProteases that are involved in
tissue remodelingtissue remodeling
Eosinophils – The BasicsEosinophils – The Basics
Represents a heterogenous group of uncommonRepresents a heterogenous group of uncommon
disorders marked by blood or tissue eosinophiliadisorders marked by blood or tissue eosinophilia
 Known causes of secondary or reactive eosinophilia must beKnown causes of secondary or reactive eosinophilia must be
ruled outruled out
 Range from benign idiopathic eosinophilia to eosinophilicRange from benign idiopathic eosinophilia to eosinophilic
leukemialeukemia
for secondary etiologies of hypereosinophiliafor secondary etiologies of hypereosinophilia
Hypereosinophilic SyndromesHypereosinophilic Syndromes

SecondarySecondary
(reactive)(reactive)
causes ofcauses of
eosinophiliaeosinophilia
Hypereosinophilic SyndromesHypereosinophilic Syndromes
Morbidity and mortalityMorbidity and mortality
associated with theseassociated with these
syndromes = usuallysyndromes = usually
due to cardiac anddue to cardiac and
neuropathicneuropathic
complicationscomplications
These representThese represent
medical emergenciesmedical emergencies
that require emergentthat require emergent
treatment withtreatment with
corticosteroidscorticosteroids
Hypereosinophilic SyndromesHypereosinophilic Syndromes
 Main DDx include:Main DDx include:

Systemic mastocytosisSystemic mastocytosis

Occult malignancy, solidOccult malignancy, solid
(adenocarcinoma) or liquid(adenocarcinoma) or liquid
(leukemia/lymphoma)(leukemia/lymphoma)

Churg StraussChurg Strauss

AtopyAtopy

Parasitic infectionsParasitic infections

Chronic TBChronic TB

Other granulomatousOther granulomatous
disease such as sarcoid anddisease such as sarcoid and
IBDIBD

Endocrine causes such asEndocrine causes such as
hypoadrenalismhypoadrenalism
Primary cardiac complications includePrimary cardiac complications include
cardiogenic shock or heart failure due tocardiogenic shock or heart failure due to

Loeffler’s endocarditis = a restrictive cardiomyopathyLoeffler’s endocarditis = a restrictive cardiomyopathy
from eosinophilic infiltration leading to fibroticfrom eosinophilic infiltration leading to fibrotic
thickeningthickening

Endomyocardial fibrosis (aka Davies Disease, seen inEndomyocardial fibrosis (aka Davies Disease, seen in
the tropics)the tropics)
Other clinical manifestations include:Other clinical manifestations include:

Skin and mucosal ulcerationsSkin and mucosal ulcerations

Thromboembolic diseaseThromboembolic disease

SplenomegalySplenomegaly

Pleural effusions and/or pulmonary fibrosisPleural effusions and/or pulmonary fibrosis
Hypereosinophilic SyndromesHypereosinophilic Syndromes
Clinical ApproachClinical Approach
 CBC with diff, serumCBC with diff, serum
tryptase, strongyloidestryptase, strongyloides
antibody, peripheralantibody, peripheral
lymphocyte clonal studieslymphocyte clonal studies
 Bone marrow biopsy withBone marrow biopsy with
FISH/Flow, ANA, SPEPFISH/Flow, ANA, SPEP
 TTE, CT chest andTTE, CT chest and
abdomenabdomen
Chronic eosinophilic leukemia (CEL)Chronic eosinophilic leukemia (CEL)
Diagnostic criteria:Diagnostic criteria:
● ≥1.5 x 10● ≥1.5 x 1099
/L peripheral blood eosinophils (persistent)/L peripheral blood eosinophils (persistent)
● Either peripheral blood blasts > 2%, bone marrow blasts >● Either peripheral blood blasts > 2%, bone marrow blasts >
5% or abnormal cytogenetics; exclusion of secondary5% or abnormal cytogenetics; exclusion of secondary
eosinophiliaeosinophilia
● Exclusion of other acute or chronic myeloid neoplasms● Exclusion of other acute or chronic myeloid neoplasms
● No evidence of phenotypically abnormal or clonal T● No evidence of phenotypically abnormal or clonal T
lymphocyteslymphocytes
● No evidence of PDFGRA, PDGFRB or FGFR1● No evidence of PDFGRA, PDGFRB or FGFR1
rearrangementsrearrangements
Mast cell diseaseMast cell disease
MastocytosisMastocytosis is a group of rare disordersis a group of rare disorders
of both children and adults caused by theof both children and adults caused by the
presence of too many mast cellspresence of too many mast cells
((mastocytesmastocytes) and CD34+ mast cell) and CD34+ mast cell
precursors in a person's bodyprecursors in a person's body
ClassificationClassification
Cutaneous urticaria pigmentosa ,Cutaneous urticaria pigmentosa ,
Telangiectasia macularis eruptiva perstansTelangiectasia macularis eruptiva perstans
(TMEP)(TMEP)
systemicsystemic
Mast cells are located in connective tissue,Mast cells are located in connective tissue,
including the skin, the linings of theincluding the skin, the linings of the
stomach and intestine, and other sites.stomach and intestine, and other sites.
They play an important role in helpingThey play an important role in helping
defend these tissues from disease.defend these tissues from disease.
By releasing chemical "alarms" such asBy releasing chemical "alarms" such as
histamine, mast cells attract other keyhistamine, mast cells attract other key
players of the immune defense system toplayers of the immune defense system to
areas of the body where they are needed.areas of the body where they are needed.
Urticaria pigmentosaUrticaria pigmentosa
Mast cell leukemiaMast cell leukemia
Myeloproliferative disorders

Myeloproliferative disorders

  • 1.
  • 2.
    The myeloproliferative diseases(MPDs) areThe myeloproliferative diseases (MPDs) are clonal stem cell disorders characterised byclonal stem cell disorders characterised by leukocytosis, thrombocytosis, erythrocytosis,leukocytosis, thrombocytosis, erythrocytosis, splenomegaly, and bone marrowsplenomegaly, and bone marrow hypercelularityhypercelularity
  • 3.
    Myeloproliferative DisordersMyeloproliferative Disorders (oldclassification)(old classification) a group of disease characterized by overgrowth of one or morea group of disease characterized by overgrowth of one or more hematologic cell lines in BMhematologic cell lines in BM 1. chronic myelogenous leukemia (CML)1. chronic myelogenous leukemia (CML) 2. polycythemia vera (PV)2. polycythemia vera (PV) 3. essential thrombocythemia3. essential thrombocythemia 4. agnogenic myeloid metaplasia/myelofibrosis4. agnogenic myeloid metaplasia/myelofibrosis www.freelivedoctor.comwww.freelivedoctor.com
  • 4.
    Myeloproliferative DisordersMyeloproliferative Disorders (2008WHO classification)(2008 WHO classification) 1. polycythemia vera1. polycythemia vera 2. chronic idiopathic myelofibrosis2. chronic idiopathic myelofibrosis 3. essential thrombocytosis3. essential thrombocytosis 4. chronic myeloid leukemia (CML)4. chronic myeloid leukemia (CML) 5. [chronic neutrophilic leukemia]5. [chronic neutrophilic leukemia] 6. [chronic eosinophilic leukemia]6. [chronic eosinophilic leukemia] 7. [hypereosinophilic syndrome]7. [hypereosinophilic syndrome] 8.Mast cell disease8.Mast cell disease ““myelodysplastic/myeloproliferative diseases”myelodysplastic/myeloproliferative diseases” juvenile myelomonocytic leukemiajuvenile myelomonocytic leukemia atypical chronic myeloid leukemia (lacking t(9;22))atypical chronic myeloid leukemia (lacking t(9;22)) chronic myelomocytic leukemiachronic myelomocytic leukemia www.freelivedoctor.comwww.freelivedoctor.com
  • 6.
    Chronic myeloid leukemia(CML)Chronic myeloid leukemia (CML)
  • 7.
    CML results froma somatic mutation in aCML results from a somatic mutation in a pluripotential hematopoietic cellpluripotential hematopoietic cell CML is a MPD characterized by increasedCML is a MPD characterized by increased granulocytic cell line, associatedgranulocytic cell line, associated often withoften with platelet hyperplasiaplatelet hyperplasia The disease usually envolves into anThe disease usually envolves into an accelerated phase that often terminates inaccelerated phase that often terminates in acute phaseacute phase --chronic phasechronic phase 3-5 years3-5 years --accelerated phaseaccelerated phase 6-9 months6-9 months --blastic phaseblastic phase 3-6 months3-6 months
  • 8.
    EtiologyEtiology Exposure to high-dose ionizing radiationExposure to high- dose ionizing radiation Chemical agents have not been established asChemical agents have not been established as a ca caauseuse
  • 9.
    EpidemiologyEpidemiology CML accounts forapproximately 15 percent ofCML accounts for approximately 15 percent of all cases of leukemia and approximately 3all cases of leukemia and approximately 3 percent of childhood leukemiaspercent of childhood leukemias The median age of onset is 53 yearsThe median age of onset is 53 years
  • 10.
    PathogenesisPathogenesis Hematopoietic abnormalityHematopoietic abnormality Expansionof granulocytic progenitors and aExpansion of granulocytic progenitors and a decreased sensitivity of the progenitors todecreased sensitivity of the progenitors to regulation – increased white cell countregulation – increased white cell count Megakaryocytopoiesis is often expandedMegakaryocytopoiesis is often expanded Erythropoiesis is usually deficientErythropoiesis is usually deficient Function of the neutrophils and platelets isFunction of the neutrophils and platelets is nearly normalnearly normal
  • 11.
    PathogenesisPathogenesis Genetic abnormalityGenetic abnormality CMLis the result of an acquired geneticCML is the result of an acquired genetic abnormalityabnormality A translocation between chromosome 9 andA translocation between chromosome 9 and 2222 [t(9;22)] – the[t(9;22)] – the Philadelphia chromosomePhiladelphia chromosome The oncogene BCThe oncogene BCRR-ABL encodes an-ABL encodes an enzyme – tyrosine phosphokinase (usuallyenzyme – tyrosine phosphokinase (usually p210)p210)
  • 12.
  • 13.
    Philadelphia ChromosomePhiladelphia Chromosome •More than 95% of patients with CML haMore than 95% of patients with CML haveve Philadelphia (Ph) chromosomePhiladelphia (Ph) chromosome  A subset of patients with CML lack aA subset of patients with CML lack a detectable Ph chromosome but have thedetectable Ph chromosome but have the fusion product for the bcr/abl translocationfusion product for the bcr/abl translocation detectable by reverse transcriptase-detectable by reverse transcriptase- polymerase chain reaction (RT-PCR)polymerase chain reaction (RT-PCR)
  • 14.
    The bcr/abl fusionproteinThe bcr/abl fusion protein Uncontrolled kinase activityUncontrolled kinase activity 1.1. Deregulated cellular proliferationDeregulated cellular proliferation 2.2. Decreased adherence of leukemia cells toDecreased adherence of leukemia cells to the bone marrow stromathe bone marrow stroma 3.3. Leukemic cells are protected from normalLeukemic cells are protected from normal programmed cell death (apoptosis)programmed cell death (apoptosis)
  • 15.
    Clinical featuresClinical features 30-50% of patients are asymptomatic at the time of30 -50% of patients are asymptomatic at the time of diagnosis (90% are diagnosed in chronic phase)diagnosis (90% are diagnosed in chronic phase) Symptoms are gradual in onset:Symptoms are gradual in onset: fatigue, malaise, anorexia, abdominal discomfort,fatigue, malaise, anorexia, abdominal discomfort, weight loss, excessive sweatingweight loss, excessive sweating ● Less frequent symptomsLess frequent symptoms:: Night sweats, heat intolerance- mimickingNight sweats, heat intolerance- mimicking hyperthyroidism, symptoms of leukostasishyperthyroidism, symptoms of leukostasis (tinnitus, stupor), splenic infarction (left upper-(tinnitus, stupor), splenic infarction (left upper- quadrant and left shoulder pain), urticaria (resultquadrant and left shoulder pain), urticaria (result of histamine release)of histamine release) ● Physical signsPhysical signs:: Pallor, splenomegaly, sternal painPallor, splenomegaly, sternal pain
  • 16.
    Laboratory featuresLaboratory features Thehemoglobin concentration is decreased or normalThe hemoglobin concentration is decreased or normal Nucleated red cells in blood film can be seenNucleated red cells in blood film can be seen The leukocyte count above 25000/The leukocyte count above 25000/μl (often aboveμl (often above 100000/μ100000/μll), granulocytes are at all stages of), granulocytes are at all stages of developmentdevelopment Hypersegmentated neutrophilsHypersegmentated neutrophils The basophiles count is increasedThe basophiles count is increased The platelet count is normal or increasedThe platelet count is normal or increased Neutrophils alkaline phosphatase (GAF) activity is lowNeutrophils alkaline phosphatase (GAF) activity is low or absent (90%)or absent (90%)
  • 18.
    Laboratory features (2)Laboratoryfeatures (2) The marrow is hypercellular (granulocytic hyperplasia)-The marrow is hypercellular (granulocytic hyperplasia)- proportion >10:1 (blasts <10% in chronic phase)proportion >10:1 (blasts <10% in chronic phase) Reticulin fibrosisReticulin fibrosis Hyperuricemia and hyperuricosuriaHyperuricemia and hyperuricosuria Serum vitamin B12-binding proteine and serum vitaminSerum vitamin B12-binding proteine and serum vitamin B12 levels are increasedB12 levels are increased Pseudohyperkalemia, and spurious hypoxemia andPseudohyperkalemia, and spurious hypoxemia and hypoglycemiahypoglycemia Cytogenetic test-Cytogenetic test- presence of the Ph chromosomepresence of the Ph chromosome Molecular testMolecular test – presence of the BCR-ABL fusion gene– presence of the BCR-ABL fusion gene
  • 19.
    DiagnosisDiagnosis Diagnosis is basedon blood counts (leukocytosis andDiagnosis is based on blood counts (leukocytosis and frequently also thrombocytosis) and differentialfrequently also thrombocytosis) and differential (immature granulocytes, from the metamyelocyte to(immature granulocytes, from the metamyelocyte to the myeloblast, and basophilia). Splenomegaly isthe myeloblast, and basophilia). Splenomegaly is present in >50% of cases of CML in the initial chronicpresent in >50% of cases of CML in the initial chronic phase, but 50% of patients are asymptomatic.₃phase, but 50% of patients are asymptomatic.₃ Proof of diagnosis is attained by demonstration of theProof of diagnosis is attained by demonstration of the Philadelphia (Ph) chromosome (22q–) resulting fromPhiladelphia (Ph) chromosome (22q–) resulting from the balanced translocation t(9; 22) (q34;q11), and/orthe balanced translocation t(9; 22) (q34;q11), and/or the BCR–ABL rearrangement in peripheral blood orthe BCR–ABL rearrangement in peripheral blood or bone marrow cells.bone marrow cells.
  • 20.
    Accelerated phase ofCMLAccelerated phase of CML Most patients eventually became resistant to therapyMost patients eventually became resistant to therapy and the disease enters a more agressive phaseand the disease enters a more agressive phase Criteria of accelerated phaseCriteria of accelerated phase 1.1. Blasts in blood or bone marrow-10-Blasts in blood or bone marrow-10-229%9% 2.2. BasophiliaBasophilia ≥≥ 20%20% 3.3. Thrombocytopenia <100G/lThrombocytopenia <100G/l 4.4. Thrombocytaemia >1000G/lThrombocytaemia >1000G/l 5.5. Additional chromosomal aberrationsAdditional chromosomal aberrations 6.6. RRefractory splenomegalyefractory splenomegaly or refractory leucocytosisor refractory leucocytosis
  • 21.
    BlastBlast phasephase (blastcrisis)(blast crisis) of CMLof CML • Criteria of blast phaseCriteria of blast phase 1.1. BlastsBlasts ≥≥330%0% in PB or BMin PB or BM 2.2. extramedullary tumorsextramedullary tumors • Phenotype of blastsPhenotype of blasts 1.1. Mieloblasts - 50%Mieloblasts - 50% 2.2. Limphoblasts - 30%Limphoblasts - 30% 3.3. Megakarioblasts – 10%Megakarioblasts – 10% 4.4. Acute myelofibrosisAcute myelofibrosis
  • 22.
    CML in BlastCrisisCML in Blast Crisis
  • 23.
    Differential diagnosisDifferential diagnosis PolycythemiaveraPolycythemia vera MMyelofibrosisyelofibrosis EssentialEssential thrombocytemiathrombocytemia Chronic myelomonocytic leukemia (Mo>1000/µl)Chronic myelomonocytic leukemia (Mo>1000/µl) Extreme reactive leukocytosis (GAF is increased)Extreme reactive leukocytosis (GAF is increased)
  • 24.
    TreatmentTreatment Algorithm for treatingCMLAlgorithm for treating CML DIAGNOSIS Imatinib for all Response to imatinib ‘Failed” response to imatinib Continue Consider for other TKI or SCT
  • 27.
    Leukemoid reaction CML WBC High High Anemia(-) (+) PBS Shift to the Left Toxic granulation Dohle bodies Shift to the left (blast) Eosinophilia, basophilia LAP score High Low Philadelphia chromosome (-) (+)
  • 29.
    Polycythemia VeraPolycythemia Vera (lotsof red cells - for real)(lots of red cells - for real) An uncommon disorder - distinguish fromAn uncommon disorder - distinguish from other causes of erythrocytosisother causes of erythrocytosis Diagnosis depends on knowledge ofDiagnosis depends on knowledge of erythropoeisiserythropoeisis Complications most commonly fromComplications most commonly from thrombosis and vascular incidentsthrombosis and vascular incidents Long natural history with treatmentLong natural history with treatment
  • 30.
    Definition of ErythrocytosisDefinitionof Erythrocytosis Normal hematocrit :Normal hematocrit :  Male 47Male 47 ±± 5 percent5 percent  Female 42Female 42 ±± 5 percent5 percent Normal hemoglobin :Normal hemoglobin :  Male 15Male 15 ±± 2 gm/dl2 gm/dl  Female 13.5Female 13.5 ±± 1.5 gm/dl1.5 gm/dl
  • 31.
    Absolute vs. RelativeAbsolutevs. Relative ErythrocytosisErythrocytosis Normal Spurious Polycythemia Plasma Vol RBC
  • 32.
  • 33.
    Secondary PolycythemiaSecondary Polycythemia AppropriateEPO (tissue/kidney hypoxia)Appropriate EPO (tissue/kidney hypoxia)  pulmonary diseasepulmonary disease  high altitudehigh altitude  congenital heart diseasecongenital heart disease  abnormal hemoglobinabnormal hemoglobin high affinityhigh affinity carboxyhemoglobincarboxyhemoglobin
  • 34.
    Secondary PolycythemiaSecondary Polycythemia InappropriateEPO (ectopic production)Inappropriate EPO (ectopic production)  Tumors (hepatoma, renal carcinoma,Tumors (hepatoma, renal carcinoma, leiomyoma, hamartoma)leiomyoma, hamartoma)  Renal disorders (transplantation, cysts)Renal disorders (transplantation, cysts)  hemangiomashemangiomas  Androgen abuseAndrogen abuse  EPO abuseEPO abuse  Familial polycythemiaFamilial polycythemia
  • 35.
    Polycythemia VeraPolycythemia Vera P.vera is a rare diseaseP. vera is a rare disease Median age 60 - 65 yearsMedian age 60 - 65 years Clinical featuresClinical features  Attributed to increased blood viscosity andAttributed to increased blood viscosity and poor oxygen delivery to organs (brain)poor oxygen delivery to organs (brain)  Poor OPoor O22 delivery leads to ischemia anddelivery leads to ischemia and thrombosisthrombosis  Expanded blood volume and viscosityExpanded blood volume and viscosity leads to increased cardiac work loadleads to increased cardiac work load
  • 36.
    P. Vera -Symptoms & SignsP. Vera - Symptoms & Signs SymptomsSymptoms  HeadacheHeadache  WeaknessWeakness  Pruritis (aquagenic)Pruritis (aquagenic)  DizzinessDizziness  DiaphoresisDiaphoresis  Visual disturbanceVisual disturbance  Weight lossWeight loss SignsSigns  SplenomegalySplenomegaly 70%70%  Skin plethoraSkin plethora 67%67%  HepatomegalyHepatomegaly 40%40%  Conjunctival plethoraConjunctival plethora 59%59%  Systolic HypertensionSystolic Hypertension 72%72%
  • 37.
    P. Vera -DiagnosisP. Vera - Diagnosis (PVSG criteria)(PVSG criteria) CriteriaCriteria  RBC mass elevatedRBC mass elevated  SaOSaO22 > 92%> 92%  Splenomegaly (or)Splenomegaly (or) thrombocytosisthrombocytosis LeukocytosisLeukocytosis high LAPhigh LAP high Bhigh B1212 SignificanceSignificance  True vs. spuriousTrue vs. spurious  R/O most 2R/O most 2°° causescauses  Evidence for MPDEvidence for MPD False Positive 0.5%False Positive 0.5%  smokers, drinkerssmokers, drinkers
  • 38.
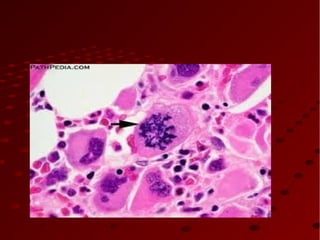
    P. vera -Bone Marrow BiopsyP. vera - Bone Marrow Biopsy
  • 39.
    Treatment Options -SummaryTreatment Options - Summary A g e > 7 0 H y d r o x y u r e a 3 2 P ? A g e 5 0 - 7 0 H y d r o x y u r e a P h le b o to m y A g e < 5 0 P h le b o to m y H y d r o x y u r e a P . V e r a P h le b o to m iz e to H C T < 4 5
  • 42.
    Essential ThrombocythemiaEssential Thrombocythemia Raredisorder (1.5 per 100,000)Rare disorder (1.5 per 100,000) proliferation of megakaryocytes causing marked increase inproliferation of megakaryocytes causing marked increase in circulating platelets (>1 million)circulating platelets (>1 million) morphologically abnormal plateletsmorphologically abnormal platelets splenomegaly, mucosal hemorrhage, thrombosessplenomegaly, mucosal hemorrhage, thromboses arrow: macrothrombocyte www.freelivedoctor.comwww.freelivedoctor.com
  • 43.
    Essential ThrombocythemiaEssential Thrombocythemia Incidence:Incidence:1.5 per 100,0001.5 per 100,000 Age at Dx:Age at Dx: 60 y/o60 y/o (~20% <40 y/o)(~20% <40 y/o) F to M ratio:F to M ratio: 1.6 : 11.6 : 1 Social risk factor:Social risk factor: 1. long-term use of dark hair dyes1. long-term use of dark hair dyes 2. living in tuff house2. living in tuff house 3. electrician3. electrician Clinical features:Clinical features: - near normal life expectancy- near normal life expectancy - frequent vasomotor and thrombo-- frequent vasomotor and thrombo- hemorrhagic episodeshemorrhagic episodes Treatment:Treatment: low-dose acetylsalicylic acidlow-dose acetylsalicylic acid www.freelivedoctor.comwww.freelivedoctor.com
  • 46.
    MyelofibrosisMyelofibrosis bone marrow fibrosisbonemarrow fibrosis • fibroblasts may be “innocent bystanders”fibroblasts may be “innocent bystanders” • fibrosis probably driven by neoplastic megakaryocytesfibrosis probably driven by neoplastic megakaryocytes middle aged adults (50-60 y/o)middle aged adults (50-60 y/o) extramedullary hematopoiesis (spleen, liver)extramedullary hematopoiesis (spleen, liver) may occur as an extension of CML or PVmay occur as an extension of CML or PV abnormal peripheral RBCs (“tear-drop” & nucleated RBCs)abnormal peripheral RBCs (“tear-drop” & nucleated RBCs) immature WBC and abnormal plateletsimmature WBC and abnormal platelets infection, thrombosis and hemorrhage as a major complicationinfection, thrombosis and hemorrhage as a major complication www.freelivedoctor.comwww.freelivedoctor.com
  • 47.
  • 48.
  • 51.
  • 52.
    Produced in thebone marrowProduced in the bone marrow Function to combat parasiticFunction to combat parasitic infections, ectoparasites, certain viralinfections, ectoparasites, certain viral infections, and amplify responses ofinfections, and amplify responses of mast cells in atopymast cells in atopy This is largely accomplished byThis is largely accomplished by generating ribonucleases, oxidativegenerating ribonucleases, oxidative species = apoptosis, and inducingspecies = apoptosis, and inducing degranulation of basophils and mastdegranulation of basophils and mast cellscells Eosinophils are attracted to tissues byEosinophils are attracted to tissues by certain chemokines (RANTES,certain chemokines (RANTES, CCL11/24) and leukotrienesCCL11/24) and leukotrienes They require IL-5 (Eosinophil growthThey require IL-5 (Eosinophil growth factor, secreted by T-cells) forfactor, secreted by T-cells) for proliferation and to prevent apoptosisproliferation and to prevent apoptosis They are VERY sensitive to steroidsThey are VERY sensitive to steroids Eosinophils – The BasicsEosinophils – The Basics
  • 53.
    These granules arefull of:These granules are full of:  Major Basic Protein = toxic toMajor Basic Protein = toxic to helminths and epithelial cellshelminths and epithelial cells  Ribonuclease A (aka EosinophilRibonuclease A (aka Eosinophil Cationic Protein)Cationic Protein)  Eosinophil Peroxidase =Eosinophil Peroxidase = generation of hypobromite used togeneration of hypobromite used to combat Helminths and TBcombat Helminths and TB  Proteases that are involved inProteases that are involved in tissue remodelingtissue remodeling Eosinophils – The BasicsEosinophils – The Basics
  • 54.
    Represents a heterogenousgroup of uncommonRepresents a heterogenous group of uncommon disorders marked by blood or tissue eosinophiliadisorders marked by blood or tissue eosinophilia  Known causes of secondary or reactive eosinophilia must beKnown causes of secondary or reactive eosinophilia must be ruled outruled out  Range from benign idiopathic eosinophilia to eosinophilicRange from benign idiopathic eosinophilia to eosinophilic leukemialeukemia for secondary etiologies of hypereosinophiliafor secondary etiologies of hypereosinophilia Hypereosinophilic SyndromesHypereosinophilic Syndromes
  • 55.
  • 56.
    Morbidity and mortalityMorbidityand mortality associated with theseassociated with these syndromes = usuallysyndromes = usually due to cardiac anddue to cardiac and neuropathicneuropathic complicationscomplications These representThese represent medical emergenciesmedical emergencies that require emergentthat require emergent treatment withtreatment with corticosteroidscorticosteroids Hypereosinophilic SyndromesHypereosinophilic Syndromes  Main DDx include:Main DDx include:  Systemic mastocytosisSystemic mastocytosis  Occult malignancy, solidOccult malignancy, solid (adenocarcinoma) or liquid(adenocarcinoma) or liquid (leukemia/lymphoma)(leukemia/lymphoma)  Churg StraussChurg Strauss  AtopyAtopy  Parasitic infectionsParasitic infections  Chronic TBChronic TB  Other granulomatousOther granulomatous disease such as sarcoid anddisease such as sarcoid and IBDIBD  Endocrine causes such asEndocrine causes such as hypoadrenalismhypoadrenalism
  • 57.
    Primary cardiac complicationsincludePrimary cardiac complications include cardiogenic shock or heart failure due tocardiogenic shock or heart failure due to  Loeffler’s endocarditis = a restrictive cardiomyopathyLoeffler’s endocarditis = a restrictive cardiomyopathy from eosinophilic infiltration leading to fibroticfrom eosinophilic infiltration leading to fibrotic thickeningthickening  Endomyocardial fibrosis (aka Davies Disease, seen inEndomyocardial fibrosis (aka Davies Disease, seen in the tropics)the tropics) Other clinical manifestations include:Other clinical manifestations include:  Skin and mucosal ulcerationsSkin and mucosal ulcerations  Thromboembolic diseaseThromboembolic disease  SplenomegalySplenomegaly  Pleural effusions and/or pulmonary fibrosisPleural effusions and/or pulmonary fibrosis Hypereosinophilic SyndromesHypereosinophilic Syndromes
  • 58.
    Clinical ApproachClinical Approach CBC with diff, serumCBC with diff, serum tryptase, strongyloidestryptase, strongyloides antibody, peripheralantibody, peripheral lymphocyte clonal studieslymphocyte clonal studies  Bone marrow biopsy withBone marrow biopsy with FISH/Flow, ANA, SPEPFISH/Flow, ANA, SPEP  TTE, CT chest andTTE, CT chest and abdomenabdomen
  • 59.
    Chronic eosinophilic leukemia(CEL)Chronic eosinophilic leukemia (CEL) Diagnostic criteria:Diagnostic criteria: ● ≥1.5 x 10● ≥1.5 x 1099 /L peripheral blood eosinophils (persistent)/L peripheral blood eosinophils (persistent) ● Either peripheral blood blasts > 2%, bone marrow blasts >● Either peripheral blood blasts > 2%, bone marrow blasts > 5% or abnormal cytogenetics; exclusion of secondary5% or abnormal cytogenetics; exclusion of secondary eosinophiliaeosinophilia ● Exclusion of other acute or chronic myeloid neoplasms● Exclusion of other acute or chronic myeloid neoplasms ● No evidence of phenotypically abnormal or clonal T● No evidence of phenotypically abnormal or clonal T lymphocyteslymphocytes ● No evidence of PDFGRA, PDGFRB or FGFR1● No evidence of PDFGRA, PDGFRB or FGFR1 rearrangementsrearrangements
  • 63.
    Mast cell diseaseMastcell disease MastocytosisMastocytosis is a group of rare disordersis a group of rare disorders of both children and adults caused by theof both children and adults caused by the presence of too many mast cellspresence of too many mast cells ((mastocytesmastocytes) and CD34+ mast cell) and CD34+ mast cell precursors in a person's bodyprecursors in a person's body ClassificationClassification Cutaneous urticaria pigmentosa ,Cutaneous urticaria pigmentosa , Telangiectasia macularis eruptiva perstansTelangiectasia macularis eruptiva perstans (TMEP)(TMEP) systemicsystemic
  • 64.
    Mast cells arelocated in connective tissue,Mast cells are located in connective tissue, including the skin, the linings of theincluding the skin, the linings of the stomach and intestine, and other sites.stomach and intestine, and other sites. They play an important role in helpingThey play an important role in helping defend these tissues from disease.defend these tissues from disease. By releasing chemical "alarms" such asBy releasing chemical "alarms" such as histamine, mast cells attract other keyhistamine, mast cells attract other key players of the immune defense system toplayers of the immune defense system to areas of the body where they are needed.areas of the body where they are needed.
  • 65.
  • 66.

Editor's Notes

  • #41 Erythromelalgia: This 77-year-old woman with longstanding polycythemia vera had a six-month history of increasingly prolonged bouts of redness, swelling, and burning pain in her extremities. The severity and sites of involvement varied with each episode. At presentation, she was unable to ambulate without assistance.