CELL WALL
CELL WALLGross StructureDetailed StructureChemistryFeatures
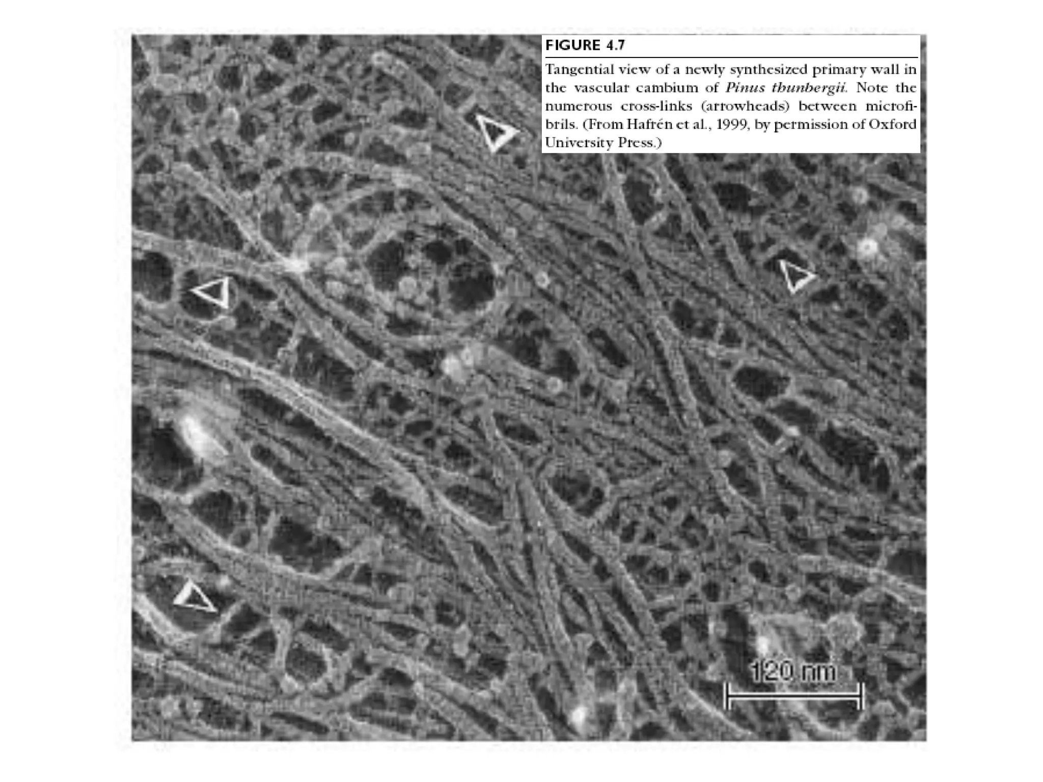
GROSS STRUCTURE
Middle lamellaCement; amorphous subs.Bet. P-walls of neighboring cellsPectic substances (Ca, Mg pectate)
Primary wallFirst wall the develops on new cellCellulose, pecticcpds., non-cellulosic polysaccharides and hemicelluloseMay be lignifiedAssoc. with living protoplasts	--eg. meristematic cells, parenchyma, collenchyma
Secondary wallFormed in the inner surface of P-wallSame content as Pwall ( > cellulose) + ligninIn cells that ceased to grow; devoid of protoplast at maturity	* xylem ray, xylem parenchyma – still livingMechanical supportCompound middle lamella *= 3-layered or 5-layered= middle lamella + 2 P-walls (+ 2 S-walls)*if middle lamella is obscured
Formation of wall
Cell plate- precursor of cell wall; rich in pectinsPhragmoplast- a complexof microtubules and ER that forms during late anaphase or early telophase from dissociated spindle subunits.
Fine structure of the wallCellulose fibrilsMatrix (non-cellulosic):	- with lignin, cutin, suberin, hemicelluloses etc.
Ml- middle lamellaPm- plasma membrance
Levels of organization of cell wall	Long chains of linked glucose residuesMicellae – bundles of cellulose molecules or ELEMENTARY FIBRIL =  ~40 cellulose moleculesMicrofibrilBundles of microfibril
CHEMISTRY OF WALLSCellulosePectic substancesGums and mucilagesLigninFatty substances
CelluloseHydrophilic crystalline compoundRepeating monomers of glucose
Pectic substancesAmorphous colloidal substancesPlastic and hydrophilic
Gums and mucilagesAppear  as a result of physiological or pathological disturbances that induce breakdown of walls and cell contents
LigninPhenolic compoundsMay be found in middle lamella, primary wall, and secondary wallhydrophobic filler that replaces the wall’s watercompressivestrength and bending stiffnessMicrobial attack resistance
Fatty substancesCutin, suberin, waxesWaxes- glaucous condition; assoc. with cutin and suberinSuberin- cork cells of periderm; endodermis and exodermis; prevents apoplastic transportCutin- cuticle layer; epidermis of aerial partsCutinization, suberization- impregnation in cell wallCuticularization- formation of layer
CelluloseTensile strength  (bend under compressive stress)Incrustation– eg. LignificationCell wall growth	A. intussusception	B. apposition	C. mosaic growth	D. multinet growth
IntussusceptionMaterial of new wall is laid down bet. Particles of the existing substance of the expanding wall
AppositionGrowth is due to the centripetal addition of new layers one upon the other
Mosaic growthFibrillar texture in certain wall areas become loosened as a result of turgor pressure and afterwards mended by deposition of new microfibrils in the gaps caused by the strain
Multinet growthseparation of crossed microfibrils and alteration in their orientationtransverse  longitudinal
Special structures of the cell wallPrimary pit fieldsPitsCrassulaeTrabeculaeWart structuresCystoliths
Primary pit fieldsPrimordial pits/ primary pit fieldsCertain areas of primary wall of young cells remain thinMay appear beaded in xs
PlasmodesmataPlasmodesmata- connnect protoplasts of neighboring cells	- transport; relay of stimuli	* symplast-  2 or more interconnected protopolast	* apoplast – cell walls, intercellular spaces and lumendesmotubule
PitsPortions of the cell wall that remained thin  even as secondary wall is formedPrimary wall onlyCan develop over primary pit fieldsFunction?
PitsTYPES:	a. simple pit	b. bordered pit—S-wall develops over the pit cavity to form an overarching roof
Simple pitsBranched simple pits (ramiform)Found in parenchyma cells with thickened walls, libriform fibers, sclereids, phloem fibers
Bordered pitsStructure:Pit cavity / pit chamberPit aperturePit borderPit canal, inner and outer aperture (very thick S-wall)water-conducting and mechanical xylem cells (vessel elements, tracheids, etc.)
AngiospermGymnosperm
Pit-pairPit cavity – break in S-wallPit membrane/ closing membrane –primary wall + middle lamellaPit aperture
Types of pit-pairSimple pit pairBordered pit pairHalf bordered pit pairBlind pitUnilateral compound pitting
Toruspit membrane thickening; disc shapedflexible; can go median or lateralAspirate condition  (lateral)– latewood and all heartwoodConiferales, Gnetales
Margo– porous pit membrane around the torus	--conifer tracheids	-- occurs through  matrix dissolution
Shape of pit apertureRound, elliptic, linearIn thick cell walls: 	*inner aperture becomes long and narrow	*outer aperture remains circular round	* pit canal is funnel-shaped	*fiber-tracheid feature
Bordered pits arrangementScalariformOppositeAlternate
crassulaeLinear or crescent-shaped thickenings  of the primary wall and middle lamellagymnosperms
trabeculaeRod shape thickenings of the wall which traverse the cell lumen radially
ReferencesFahn, A. 1990. Plant Anatomy, 4th ed.. Pergamon PressEsau, K. 1958. Plant Anatomy. John Wiley and Sons, Inc.Evert, R. 2006. Esau’s Plant Anatomy. John Wiley and Sons, Inc.

Cell Wall

Editor's Notes

  • #10 (A) In the first step, Golgi vesicles, some of which are interconnected via fusion tubes, aggregate in the spindle midzone area. This structure is called the fusion tube network (FTN). The transition from the first to the second stage of cell plate formation can be inhibited by caffeine. (B) Formation of a tubulo-vesicular network (TVN). The contents of the vesicles, mainly pectins, represent the precursors from which the new middle lamella is assembled outside the cell. In the next stage, vesicle fusion increases, forming a tubulo-vesicular network (TVN), and the membranes become coated with either clathrin or other proteins. (C) In the third stage, the central region of the growing cell plate forms a tubular network (TN), with vesicle fusion occurring at the growing edges where the remaining microtubules are located. (D) In the final stage, the cell plate contacts and adheres to the plasma membrane of the parent cell. At the same time the tubular network expands to form a fenestrated sheet. (E) At the end of mitosis, the phragmoplast disappears, the cell enters interphase, and microtubules reappear in the cytosol near the plasma membrane, where they play a role in the deposition of cellulose microfibrils during cell wall growth (see Chapter 15). (F) Electron micrograph of a cell plate forming in a root tip of a beet, (Beta vulgaris) (10,000×) MT, microtubule; VE, vesicles; N, nucleus; NE, nuclear envelope; P, cell plate. (A–E from Staehelin and Hepler 1996; F from B. Gunning and M. Steer, Plant Cell Biology: Structure and Function, Jones and Bartlett, 1996.)Stages of cell plate development. A, the fusion of Golgi-derived secretory vesicles (sv) at the equatorial zone, among phragmoplast microtubules (mt) and a cytoplasmic fuzzy matrix (fm). B, fused Golgi-derived vesicles give rise to tubulo-vesicular network covered by a “fuzzy coat.” C, a tubular network (TN) forms as the lumen of the tubulovesicularnetwork (TVN) becomes filled with cell wall polysaccharides, especially callose. Fuzzy matrix surrounding the network and microtubules disappears, further distinguishing this stage from the tubulo-vesicular network. D,the tubule areas expand, forming an almost continuous sheet. Numerous finger-like projections extend from the margins of the cell plate and fuse with the plasma membrane (pm) of the parent cell wall (pcw) at the site previously occupied by the preprophase band. E, maturation of the cell plate into a new cell wall. (After Samuels et al., 1995.Reproduced from The Journal of Cell Biology 1995, vol. 130, 1345–1357, by copyright permission of the RockefellerUniversity Press.)
  • #34 Primary plasmodesmata form during cytokinesis when Golgi-derived vesicles containing cell wall precursors fuse to form the cell plate (the future middle lamella). Rather than forming a continuous uninterrupted sheet, the newly deposited cell plate is penetrated by numerous pores (Figure 1.27A), where remnants of the spindle apparatus, consisting of ER and microtubules, disrupt vesicle fusion.Further deposition of wall polymers increases the thickness of the two primary cell walls on either side of the middle lamella, generating linear membrane-lined channels (Figure 1.27B). Development of primary plasmodesmata thus provides direct continuity and communication betweencells that are clonally related (i.e., derived from the samemother cell)