Anatomy Lecture 4 Neuroanatomy Physician Assistant Program Miami Dade College
“ Imagination is everything. It is the preview of life’s coming attractions.” Albert Einstein
 
 
 
 
 
 
 
 
 
 
 
 
 
Division of the Brain
Divisions of the Brain FOREBRAIN (PROSENCEPHALON) TELENCEPHALON DIENCEPHALON MIDBRAIN (MESENCEPHALON) MESENCEPHALON HINDBRAIN (RHOMBENCEPHALON) ) METENCEPHALON MYELENCEPHALON
FOREBRAIN (PROSENCEPHALON) TELENCEPHALON DIENCEPHALON
TELENCEPHALON Cerebral Hemispheres Function :   Determines Intelligence  Personality  Interpretation of Sensory Impulses  Motor Function  Planning and Organization  Touch Sensation  Location :   The cerebrum is located in the anterior portion of the forebrain.  It is divided into two hemispheres that are connected by the corpus callosum.
.
DIENCEPHALON Function :   Chewing  Directs Sense Impulses Throughout the Body  Equilibrium  Eye Movement, Vision  Facial Sensation  Hearing  Phonation  Respiration  Salivation, Swallowing  Smell, Taste   Location :   The diencephalon is located between the cerebral hemispheres and above the midbrain Structures :   Structures of the diencephalon include  the thalamus, hypothalamus, the optic tracts, optic chiasma, infundibulum, 3 rd  Ventricle, mammillary bodies, posterior pituitary gland and the pineal gland.
 
DIENCEPHALON The  thalamus  is a major relay center to the cortex for all sensations (sight, etc) except for smell.  The  hypothalamus  controls many functions including hunger, thirst, pain, pleasure and the sex drive.  Another key function of the hypothalamus is to regulate the pituitary gland, which in turn, regulates hormonal levels in the body.
Thalamus
MIDBRAIN (MESENCEPHALON) MESENCEPHALON
MESENCEPHALON Midbrain Function :   Controls Responses to Sight  Eye Movement  Pupil Dilation  Body Movement  Hearing  Location :   The mesencephalon is the most rostral portion of the brainstem. It is located between the forebrain and brainstem.   Structures:   The mesencephalon consists of the tectum and tegmentum.
 
HINDBRAIN (RHOMBENCEPHALON) )   METENCEPHALON MYELENCEPHALON
METENCEPHALON Pons Function:   Arousal  Assists in Controlling Autonomic Functions  Relays Sensory Information Between the Cerebrum and Cerebellum  Sleep   Location:   The pons is the portion of the brainstem that is between the midbrain and the medulla oblongata.
Pons
METENCEPHALON Cerebellum Function :   Controls Fine Movement Coordination  Balance and Equilibrium  Muscle Tone  Location :   The cerebellum is located just above the brainstem, beneath the occipital lobes at the base of the skull.
.
MYELENCEPHALON Medulla Oblongata Function:   Controls Autonomic Functions  Relays Nerve Signals Between the Brain and Spinal Cord  Location:   The medulla oblongata is the lower portion of the brainstem. It is inferior to the pons and anterior to the cerebellum.
 
Brainstem Function:   Alertness  Arousal  Breathing  Blood Pressure  Contains Most of the Crainal Nerves  Digestion  Heart Rate  Other Autonomic Functions  Relays Information Between the Peripheral Nerves and Spinal Cord to the Upper Parts of the Brain   Location:   The brainstem is located at the juncture of the cerebrum and the spinal column. It consists of  the midbrain, the pons and the medulla oblongata.
 
Headaches and Facial Pain Benign vs. pathologic Tumor Neuralgia Otalgia odontalgia
 
 
 
 
 
 
 
 
 
 
 
 
Basal Ganglia and Cerebellum The basal ganglia and cerebellum are large collections of nuclei that modify movement on a minute-to-minute basis.  Motor cortex sends information to both, and both structures send information right back to cortex via the thalamus.  (Remember, to get to cortex you must go through thalamus.)  The output of the cerebellum is excitatory, while the basal ganglia are inhibitory.  The balance between these two systems allows for smooth, coordinated movement, and a disturbance in either system will show up as movement disorders
 
 
 
 
Hippocampus located inside the temporal lobe (one in each side of the brain).  It forms a part of the limbic system and plays a part in memory and spatial navigation.  Affected in: Alzheimer's disease Hypoxia Encephalitis
 
 
 
 
 
 
 
 
 
 
 
 
 
 
 
 
Pg 913
Pg 909
Dura mater (reflections) Crista galli  Falx cerebri  Sinus sagittalis inferior  Incisura tentorii - Tentorial incisure  Sinus rectus  Confluens sinuum  Tentorium cerebelli  Sinus petrosus superior  Sinus sphenoparietalis  Diaphragma sellae  Arteria carotis interna  Nervus opticus  Foramen magnum
 
 
 
 
Head Injury 10% of Deaths LOC
In 1848, Phineas T. Gage, during railroad construction a charge exploded and the tamping rod when through his frontal skull, destroying his prefrontal cortex. He survived! Regaining his physical health in a few weeks. However, his personality changed dramatically."
 Acute cerebral contusions Two weeks after injury
Pg 920
 
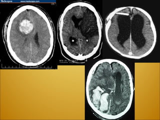
Epidural hematoma .  Usually s/p  head trauma . Brief  +LOC, followed by lucid period.  Then drowsy/coma/death . A well-defined  biconvex  collection of blood (arrows) compresses the left cerebral hemisphere. There is inward displacement of the grey-white junction (arrowheads) and slight rightward displacement of the left lateral ventricle.
 
Subdural hematoma :   a  concave  collection of  venous blood between the dura and the arachnoid   (resulting from tears of the bridging veins that extend from the subarachnoid space to the dural venous sinuses.) Patients with cortical atrophy, such as alcoholics and the elderly, are more susceptible to subdural hematoma formation when undergoing acceleration-deceleration forces during  head trauma .  After 2 weeks, patients are defined as having a chronic subdural hematoma, which appear hypodense on a CT scan.
Large acute subdural hemorrhage  (arrows) revealed by CT scan at the level of the lateral ventricles.  The hemorrhage has resulted in midline shift, with marked compression and displacement of the right ventricle (arrowheads).  Because of the brain distortion and obstruction of CSF outflow, the left lateral ventricle is dilated (wavy arrows).
Right subdural hemorrhage revealed by MRI . The high intensity (white) hemorrhage has dissected under the temporal lobe, and the midline has been displaced to the left. Note the skull fracture overlying the hematoma.
Chronic bilateral subdural hematoma .  This skull X-ray shows areas of calcification adjacent to the inner table of both parietal bones (arrows).  The diagnosis was confirmed by CT.
Subarachnoid hemorrhage :   results from the disruption of subarachnoid vessels presents with  blood in the cerebrospinal fluid .  Not a space occupying lesion, “pero” can lead to increased ICP and acute hydrocephalus Patients may complain of  headache, photophobia, and have mild meningeal signs . Noncontrast CT is diagnostic in most cases (95%) If CT is neg, but clinical suspicion is strong do LP “ Worst HA of my life” “ Thunder-clap HA”  Sudden Onset
Subarachnoid  Hemorrhage
Diffuse or focally increased ICP: can result in herniation of the brain at several locations. Transtentorial (uncal) herniation: occurs when the uncus of the temporal lobe is forced through the tentorial hiatus causing compression of the ipsilateral third cranial nerve and the cerebral peduncle. This leads to a dilated ipsilateral pupil and contra- lateral hemiparesis.
Post Spinal Tap Headache Meningitis Epidural Nerve Block (OB)
Review Subarachnoid ? Subdural ?   Epidural ?
Review Subdural   Epidural  Subarachnoid
 
 
 
 
pg1125
pg1128
 
 
 
 
 
3 (SO  4  LR 6) Sympathetic stimulation of α1-receptors Parasympathetic axons  circular  muscle  radial  muscle
 
 
 
 
 
 
 
 
Five basic tastes Bitterness Saltiness Sourness Sweetness Umami
 
 
 
pg1152
 
 
 
 
 
 
 
 
 
 
Horner’s Syndrome Lesion of Cervical Sympathetic Trunk Ptosis Miosis Anhydrosis Carotid Sinus Massage
 
 
 
 
 
 
 
 
 
 
 
 
 
 
 
Stroke Ischemic Vs. Hemorrhagic CVA vs TIA Aneurysm Berry @ Basilar/Posterior cerebral  artery SAH
 
 
 
 
 
 
 
 
'Excellence is an art won by training and habituation. We do not act rightly because   we have virtue or excellence, but rather we have those because we have acted rightly.  We are what we repeatedly do. Excellence, then, is not an act but a habit.'   Aristotle A journey of a thousand miles begins with a single step.    Lao Tsu   “ I find that the harder I work, the more luck I seem to have”.   Thomas Jefferson Self conquest is the greatest of victories. Plato   “ Imagination is everything. It is the preview of life’s coming attractions.” Albert Einstein

Anatomy Lect 4 Neuroanatomy

  • 1.
    Anatomy Lecture 4Neuroanatomy Physician Assistant Program Miami Dade College
  • 2.
    “ Imagination iseverything. It is the preview of life’s coming attractions.” Albert Einstein
  • 3.
  • 4.
  • 5.
  • 6.
  • 7.
  • 8.
  • 9.
  • 10.
  • 11.
  • 12.
  • 13.
  • 14.
  • 15.
  • 16.
  • 17.
    Divisions of theBrain FOREBRAIN (PROSENCEPHALON) TELENCEPHALON DIENCEPHALON MIDBRAIN (MESENCEPHALON) MESENCEPHALON HINDBRAIN (RHOMBENCEPHALON) ) METENCEPHALON MYELENCEPHALON
  • 18.
  • 19.
    TELENCEPHALON Cerebral HemispheresFunction : Determines Intelligence Personality Interpretation of Sensory Impulses Motor Function Planning and Organization Touch Sensation Location : The cerebrum is located in the anterior portion of the forebrain. It is divided into two hemispheres that are connected by the corpus callosum.
  • 20.
  • 21.
    DIENCEPHALON Function : Chewing Directs Sense Impulses Throughout the Body Equilibrium Eye Movement, Vision Facial Sensation Hearing Phonation Respiration Salivation, Swallowing Smell, Taste Location : The diencephalon is located between the cerebral hemispheres and above the midbrain Structures : Structures of the diencephalon include the thalamus, hypothalamus, the optic tracts, optic chiasma, infundibulum, 3 rd Ventricle, mammillary bodies, posterior pituitary gland and the pineal gland.
  • 22.
  • 23.
    DIENCEPHALON The thalamus is a major relay center to the cortex for all sensations (sight, etc) except for smell. The hypothalamus controls many functions including hunger, thirst, pain, pleasure and the sex drive. Another key function of the hypothalamus is to regulate the pituitary gland, which in turn, regulates hormonal levels in the body.
  • 24.
  • 25.
  • 26.
    MESENCEPHALON Midbrain Function: Controls Responses to Sight Eye Movement Pupil Dilation Body Movement Hearing Location : The mesencephalon is the most rostral portion of the brainstem. It is located between the forebrain and brainstem. Structures: The mesencephalon consists of the tectum and tegmentum.
  • 27.
  • 28.
    HINDBRAIN (RHOMBENCEPHALON) ) METENCEPHALON MYELENCEPHALON
  • 29.
    METENCEPHALON Pons Function: Arousal Assists in Controlling Autonomic Functions Relays Sensory Information Between the Cerebrum and Cerebellum Sleep Location: The pons is the portion of the brainstem that is between the midbrain and the medulla oblongata.
  • 30.
  • 31.
    METENCEPHALON Cerebellum Function: Controls Fine Movement Coordination Balance and Equilibrium Muscle Tone Location : The cerebellum is located just above the brainstem, beneath the occipital lobes at the base of the skull.
  • 32.
  • 33.
    MYELENCEPHALON Medulla OblongataFunction: Controls Autonomic Functions Relays Nerve Signals Between the Brain and Spinal Cord Location: The medulla oblongata is the lower portion of the brainstem. It is inferior to the pons and anterior to the cerebellum.
  • 34.
  • 35.
    Brainstem Function: Alertness Arousal Breathing Blood Pressure Contains Most of the Crainal Nerves Digestion Heart Rate Other Autonomic Functions Relays Information Between the Peripheral Nerves and Spinal Cord to the Upper Parts of the Brain Location: The brainstem is located at the juncture of the cerebrum and the spinal column. It consists of the midbrain, the pons and the medulla oblongata.
  • 36.
  • 37.
    Headaches and FacialPain Benign vs. pathologic Tumor Neuralgia Otalgia odontalgia
  • 38.
  • 39.
  • 40.
  • 41.
  • 42.
  • 43.
  • 44.
  • 45.
  • 46.
  • 47.
  • 48.
  • 49.
  • 50.
    Basal Ganglia andCerebellum The basal ganglia and cerebellum are large collections of nuclei that modify movement on a minute-to-minute basis. Motor cortex sends information to both, and both structures send information right back to cortex via the thalamus. (Remember, to get to cortex you must go through thalamus.) The output of the cerebellum is excitatory, while the basal ganglia are inhibitory. The balance between these two systems allows for smooth, coordinated movement, and a disturbance in either system will show up as movement disorders
  • 51.
  • 52.
  • 53.
  • 54.
  • 55.
    Hippocampus located insidethe temporal lobe (one in each side of the brain). It forms a part of the limbic system and plays a part in memory and spatial navigation. Affected in: Alzheimer's disease Hypoxia Encephalitis
  • 56.
  • 57.
  • 58.
  • 59.
  • 60.
  • 61.
  • 62.
  • 63.
  • 64.
  • 65.
  • 66.
  • 67.
  • 68.
  • 69.
  • 70.
  • 71.
  • 72.
  • 73.
  • 74.
    Dura mater (reflections)Crista galli Falx cerebri Sinus sagittalis inferior Incisura tentorii - Tentorial incisure Sinus rectus Confluens sinuum Tentorium cerebelli Sinus petrosus superior Sinus sphenoparietalis Diaphragma sellae Arteria carotis interna Nervus opticus Foramen magnum
  • 75.
  • 76.
  • 77.
  • 78.
  • 79.
    Head Injury 10%of Deaths LOC
  • 80.
    In 1848, PhineasT. Gage, during railroad construction a charge exploded and the tamping rod when through his frontal skull, destroying his prefrontal cortex. He survived! Regaining his physical health in a few weeks. However, his personality changed dramatically."
  • 81.
     Acute cerebralcontusions Two weeks after injury
  • 82.
  • 83.
  • 84.
    Epidural hematoma . Usually s/p head trauma . Brief +LOC, followed by lucid period. Then drowsy/coma/death . A well-defined biconvex collection of blood (arrows) compresses the left cerebral hemisphere. There is inward displacement of the grey-white junction (arrowheads) and slight rightward displacement of the left lateral ventricle.
  • 85.
  • 86.
    Subdural hematoma : a concave collection of venous blood between the dura and the arachnoid (resulting from tears of the bridging veins that extend from the subarachnoid space to the dural venous sinuses.) Patients with cortical atrophy, such as alcoholics and the elderly, are more susceptible to subdural hematoma formation when undergoing acceleration-deceleration forces during head trauma . After 2 weeks, patients are defined as having a chronic subdural hematoma, which appear hypodense on a CT scan.
  • 87.
    Large acute subduralhemorrhage (arrows) revealed by CT scan at the level of the lateral ventricles. The hemorrhage has resulted in midline shift, with marked compression and displacement of the right ventricle (arrowheads). Because of the brain distortion and obstruction of CSF outflow, the left lateral ventricle is dilated (wavy arrows).
  • 88.
    Right subdural hemorrhagerevealed by MRI . The high intensity (white) hemorrhage has dissected under the temporal lobe, and the midline has been displaced to the left. Note the skull fracture overlying the hematoma.
  • 89.
    Chronic bilateral subduralhematoma . This skull X-ray shows areas of calcification adjacent to the inner table of both parietal bones (arrows). The diagnosis was confirmed by CT.
  • 90.
    Subarachnoid hemorrhage : results from the disruption of subarachnoid vessels presents with blood in the cerebrospinal fluid . Not a space occupying lesion, “pero” can lead to increased ICP and acute hydrocephalus Patients may complain of headache, photophobia, and have mild meningeal signs . Noncontrast CT is diagnostic in most cases (95%) If CT is neg, but clinical suspicion is strong do LP “ Worst HA of my life” “ Thunder-clap HA” Sudden Onset
  • 91.
  • 92.
    Diffuse or focallyincreased ICP: can result in herniation of the brain at several locations. Transtentorial (uncal) herniation: occurs when the uncus of the temporal lobe is forced through the tentorial hiatus causing compression of the ipsilateral third cranial nerve and the cerebral peduncle. This leads to a dilated ipsilateral pupil and contra- lateral hemiparesis.
  • 93.
    Post Spinal TapHeadache Meningitis Epidural Nerve Block (OB)
  • 94.
    Review Subarachnoid ?Subdural ? Epidural ?
  • 95.
    Review Subdural Epidural Subarachnoid
  • 96.
  • 97.
  • 98.
  • 99.
  • 100.
  • 101.
  • 102.
  • 103.
  • 104.
  • 105.
  • 106.
  • 107.
    3 (SO 4 LR 6) Sympathetic stimulation of α1-receptors Parasympathetic axons circular muscle radial muscle
  • 108.
  • 109.
  • 110.
  • 111.
  • 112.
  • 113.
  • 114.
  • 115.
  • 116.
    Five basic tastesBitterness Saltiness Sourness Sweetness Umami
  • 117.
  • 118.
  • 119.
  • 120.
  • 121.
  • 122.
  • 123.
  • 124.
  • 125.
  • 126.
  • 127.
  • 128.
  • 129.
  • 130.
  • 131.
    Horner’s Syndrome Lesionof Cervical Sympathetic Trunk Ptosis Miosis Anhydrosis Carotid Sinus Massage
  • 132.
  • 133.
  • 134.
  • 135.
  • 136.
  • 137.
  • 138.
  • 139.
  • 140.
  • 141.
  • 142.
  • 143.
  • 144.
  • 145.
  • 146.
  • 147.
    Stroke Ischemic Vs.Hemorrhagic CVA vs TIA Aneurysm Berry @ Basilar/Posterior cerebral artery SAH
  • 148.
  • 149.
  • 150.
  • 151.
  • 152.
  • 153.
  • 154.
  • 155.
  • 156.
    'Excellence is anart won by training and habituation. We do not act rightly because we have virtue or excellence, but rather we have those because we have acted rightly. We are what we repeatedly do. Excellence, then, is not an act but a habit.' Aristotle A journey of a thousand miles begins with a single step.   Lao Tsu   “ I find that the harder I work, the more luck I seem to have”.   Thomas Jefferson Self conquest is the greatest of victories. Plato “ Imagination is everything. It is the preview of life’s coming attractions.” Albert Einstein