UPPER- LOWER  RESPIRATORY  PATHOLOGIES
SINUSITIS  Sinusitis is the inflammation/infection of the mucosa of 1 or more paranasal sinuses.  Definitions:  Acute Bacterial Sinusitis :   Bacterial infection of the paranasal sinuses lasting less than 30 days in which  symptoms  resolve completely. Subacute Bacterial Sinusitis :   Bacterial infection of the paranasal  sinuses lasting  between  30 and 90 days in which symptoms resolve completely. Chronic Sinusitis :   Episodes of inflammation of the paranasal sinuses  lasting more than  90 days.  Patients have persistent residual respiratory symptoms: cough, rhinorrhea,  nasal  obstruction.
ANATOMY / DEVELOPMENT 4 Sinuses: Maxillary, Ethmoidal, Frontal, Sphenoidal MAXILLARY  SINUSES DEVELOPS  DURING  3rd & 4th GESTATIONAL  MONTH  WITH PNEUMATIZATION BETWEEN  BIRTH AND 12 MONTHS OF AGE ETHMOID   SINUSES DEVELOPS  DURING  3 rd  & 4 th  GESTATIONAL  MONTH. IS PRESENT AT BIRTH, DEVELOPING  UNTIL 12-14 YEARS OF AGE SPHENOID   SINUS DEVELOPED BY AGE 8-10 YEARS FRONTAL   SINUS DEVELOPS DURING  5 th  AND 6 th  YEAR.
In the sides of the nasal septum, there is 3 shelf-like structures where discharge is drain and is called  Turbinates  MAXILLARY ANT. ETHMOID  MIDDLE MEATUS FRONTAL POST. ETHMOID   SUPERIOR MEATUS SPHENOID LACRIMAL DUCTS   INFERIOR MEATUS (Largest and most visible)
ETIOLOGY: Bacteria:  S. pneumoniae (40%)  H. influenza (30-40%)  Moraxella catarrhalis Virus:   Rhinovirus, adenovirus, influenza, parainfluenza  Allergy  (chemical and particulate irritants, allergens) EPIDEMIOLOGY:  Occurs during viral respiratory season Attendance at Day Care Center School-age siblings in the household
 
 
 
 
PHYSIOLOGY: Usually after URI   Mucosal edema   ↓   mucus transport    obstruction  of osteomeatal complex   stagnation of secretions    ↓  of pH/decrease O2 tension within the sinus   promotes  Bac/Viral growth. THREE KEY ELEMENTS: PATENCY OF THE OSTIA FUNCTION OF THE CILIARY APPARATUS QUALITY OF SECRETIONS -Patency of the Ostia:  Mucosa Edema: allergy, viral  Mechanical Obstruction: Obstruction of meatus  Deviated nasal septum -The function of the ciliary apparatus:  Help nose filter bacteria/pollutant Help regulate temp/humidification -Quality of secretions:  Hypersecretion   obstruction   less O2   growth of bacteria,  impairs defenses, and alters the function of immune cells.
 
 
INFLAMED  SINUSES
Factors Predisposing To Obstruction Of Sinus Drainage A.  MUCOSAL SWELLING   Systemic disorder  Viral URI Allergic inflammation  Cystic fibrosis Immune disorder  Immotile cilia Local insult  Facial trauma Swimming  Diving Rhinitis medicamentosa  B.  MECHANICAL OBSTRUCTION Choanal atresia  Deviated septum Nasal polyp  Foreign body Tumor  Ethmoid bullae C.  MUCUS  ABNORMALITIES Viral URI  Allergic Rhinitis Cystic fibrosis .
S/S: URI symptoms for > than 10 days (acute) or > than 12 weeks (chronic) *Low grade fever (50%)  *Mucopurulent rhinorrhea in middle meatus or postnasal discharge.  (95%) *Nasal mucosa congested/edematous  *Cough present during daytime but is worse at night  (90%) *Painless periorbital edema occurring in the morning and with bad breath.  *Facial pain/pressure above or below the eyes, and Headache.  It may change with position, increasing when leaning forward or during percussion.  (70%) *Frontal, Maxillary, and Ethmoid area are tender to palpation/percussion *Periorbital swelling is suggestive of ethmoid sinusitis
SIGN/SYMPTOM SINUSITIS ALLERGY COLD Facial Pressure/  Pain Yes Sometimes Sometimes Duration of Illness Over 10-14 days Varies Under 10 days Nasal Discharge Thick, yellow-green Clear, thin, watery Thick, whitish or thin Fever Sometimes No Sometimes Headache Sometimes Sometimes Sometimes Pain in Upper Teeth Sometimes No No Bad Breath Sometimes No No Coughing Sometimes Sometimes Yes Nasal Congestion Yes Sometimes Yes Sneezing No Sometimes Yes
Complications of Acute Bacterial Sinusitis Preseptal cellulitis Orbital cellulitis Osteomyelitis Subperiosteal orbital abscess Subdural or Epidural Empyema Meningitis Brain abscess Cavernous sinus thrombophlebitis Differential Diagnosis-Purulent Nasal Discharge Uncomplicated viral URI Group A Strep infection Adenoiditis Nasal foreign body
Lab:   Transillumination of the maxillary and frontal sinuses Sinus X ray:  air-fluid level, complete opacity, mucosal thickening Waters-3 views Coronal CT:  demonstrate air fluids levels mucosal thickening, anatomical  variations suspected intracranial or orbital complication.  G.S. TX:   Amoxicillin  40-90 mg/kg/day Amoxicillin/potassium clavulanate  80-90 mg/kg/day Ceftriaxone  50 mg/kg/day  Erythromycin  50 mg/kg/day Omnicef  (cefdinir)  14 mg/kg/day Azythromycin  10/5  mg/kg/day Humidifier with Normal saline,  Mucolytics ( guaifenesin)  Topical nasal steroids,  Antihistamines (not recommended). Treat for up to 21 days or until free symptoms for 7 days
 
EAR  The ear is divided in 3 regions: External ear:  (Sound Receptor Complex) Pinna (auricle), external auditory canal, up to TM Middle ear:  (Transmission Complex) Middle ear space, inner space of eardrum, ossicles, mastoid Internal ear:  (Perception Complex) Cochlea-Anterior Labyrinth (hearing),  Semicircular canals-Posterior labyrinth (balance),  Main nerve trunks of the 7 th  /8 th   cranial nerves.
 
 
OTITIS  EXTERNA (Swimmer’s ear) Acute otitis externa is defined as diffuse inflammation of the external ear canal, and the ear canal structures, involving the pinna or tympanic membrane.  Characterized by pain caused by infection of macerated skin tissue Anatomy:   The auditory canal is a curved structure  Its medial 2/3 comprises a bone lined with a thin layer of skin.  The outer 1/3 comprises cartilage with extensive subcutaneous tissue.  It contains hair follicles, sebaceous and modified apocrine glands that produce cerumen that keeps the ear canal acidic (pH 6.1), and protects the middle ear from debris and trauma Etiology: Bacteria:   Pseudomonas aeroginosa (G-)  Viral:  Herpes zoster/Simplex  Staphyloccocus aureus  Fungal:   Aspergillus (90%-black spores) Candida
 
 
 
OTITIS MEDIA Inflammation and infection reaction to foreign antigens in the middle ear, that cannot drain via the Eustachian tube. It is the most common infection of early childhood.  Anatomy of the Eustachian tube and immature immune systems of the children,  contribute to the frequency of this infection.  Classification:  1-Acute otitis media  AOM 2-Otitis media with effusion  OME 3-Chronic Otitis media   COM Subcategories:  Acute otitis media- Less than 3 weeks Recurrent otitis media- 3 weeks to 3 months Chronic otitis media- Greater than 3 months
 
 
Etiology 60 - 80% Bacterial Causes:  Streptococcus pneumoniae (~40% ).  Haemophilus influenzae (~30%).  Moraxella catarrhalis (~20%).  Group A beta-hemolytic streptococci (S. pyogenes ~3%).  20 - 40% Viral Infection:  RSV, influenza A, adenovirus, parainfluenza type 3, rhinovirus Pathophysiology:  Nasopharinx is colonized with bacteria’s      inflammation of Eustachian tube      fluids  goes  into middle ear      fluids get infected by  bacteria's from nasopharinx   TM swelling, pain,  pressure   inability of TM to vibrate   temporary decrease of hearing loss
Pseudomonas aeroginosa ETIOLOGY OF ACUTE OTITIS MEDIA
Who’s at Risk? Young age 6-36 months Attendance at the Day care centers  Male sex  History of enlarged adenoid, tonsillitis, or asthma  Other factors:  Recent or recurrent URIs, nasal congestion or obstruction.  Multiple previous episodes  Has brothers and sisters close in age with Hx of ear infection  Bottle feeding while laying in bed Anatomic position of Eustachian tube
Function of the Eustachian Tube:  Ventilation of the middle ear to equalize and regulate pressure (ventilatory function),  Drainage of middle ear secretions  Protection of the middle ear from nasopharyngeal secretions, and pressures changes.  Eustachian tube dysfunction results in:  Stagnation of middle ear contents, and bacterial multiplication Inflammatory response: fluid accumulation and infection Eustachian tube in children is shorter 18mm, acute angle 10 degree, flattened, wider than  adult Eustachian tube.  The shorter tube during infancy, facilitates reflux of bacteria-laden secretions from the  nasopharinx. The acute angle reduces the protective function of the Eustachian tube. At 4/5 years of age, it became more vertical
 
 
What are the signs of an Ear infection?
 
Normal TM The tympanic membrane (TM) is intact, thin, pearly/gray, pink,  translucent, and freely mobile on insufflation (respond to  pos/neg pressure,  pars flacida vibrates) Neutral position (not retracted  or bulging) The malleus as well as a cone- shaped light  reflex are seen.
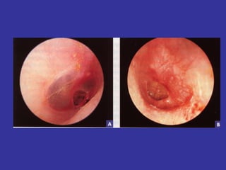
AOM Acute middle ear suppuration (suppurative or purulent OM)  Has an acute onset, fever, otalgia, irritability, restless sleep. Red to yellow opaque and bulging TM with an absence of light reflex and poorly visualized landmarks. Decreased mobility on pneumatic otoscopy, light reflex Hyperemic TM Usually with hearing deficit
Otitis Media With Effusion (OME) Is fluid within the middle ear space with visual fullness  or high air/fluid level (fluid/bubbles) behind the TM without signs or Sx of infection  Dull, opaque with minimal erythema in TM with gray/pink colored effusion behind membrane  Retracted  TM (negative middle ear pressure)  Decrease mobility of TM  on pneumatic otoscopy Hearing loss (clogged ear), speech / language difficulty,  fullness in the ears
 
 
 
 
Erythematous,  opaque, bulging TM Light reflex is reduced, landmarks gone Air and fluids bubbles  TM bulging with a  yellow purulent  effusion
 
 
LAB:   Culture and sensitivity TX: Antibiotics:  First Line:  Amoxicillin (Amoxil) If not working:  Amoxicillin with Potassium clavulanate (Augmentin)  Cephalosporines 3 rd  generation: Omnicef, Ceftin  Ceftriaxone: Rocephin IM 3 doses Tympanocentesis If allergic to Penicillin:  Azythromycin  (Zithromax)  Clarithromycin (Biaxin) Warm compresses on ears to relieve pain Acetaminophen or Ibuprofen for pain S. pneumonia produce a more acute course and slower resolution than H. influenza or Moraxella Complications:   Mastoiditis, meningitis. OME   Hearing decrease    Hearing test
Timpanostomy Tubes:   Insertion of ventilation tubes in the TM for ventilation/drainage. (Silicone) most recent development  Incision on Anterior Inferior region. Not responding to ATB treatment Recurrent AOM infections in a period of time *Uni or bilateral chronic OME  for more than 3 months. *Conductive hearing loss in excess of 30 dB in patients with  Otitis media with Effusion  *Recurrent AOM infections: Children with > 3 separate episodes within 3 months Children with  4 episodes in a 6 months period or  with  6 episodes in a 12 months period
 
 
 
AOM WITH OTORRHEA THROUGH TYMPANOSTOMY Insertion of ventilation tubes in the TM for ventilation/drainage. Otorrhea is a major complication after their insertion Bacterial isolated:  S.pneumonia, H. influenza, M. catarrhalis,  S.aureus, P. aeruginosa. S/S:  Fever, draining from ear, earache. Tx:  Due to the inflammatory response from these bacterias, it is  better to combine an Atb with  dexamethasone 0.1% topical. (Ciprodex Otic for patients above 6 months, Floxin) If it is necessary, can give oral Atb.
 
Cholesteatoma.  It is an accumulation of desquamated epithelium or keratin that often appears as a white mass behind or involving the tympanic membrane; it may be congenital or acquired.  The acquired type is commonly caused by recurrent acute or chronic otitis media, but can also be iatrogenic (after tympanostomy tube placement or other procedures).  Cholesteatoma can enlarge and erode the bone, including the ossicles, causing hearing loss.  They can also become infected, leading to a foul-smelling discharge from the ear.  A cholesteatoma needs to be removed surgically.
ALLERGIC  RHINITIS Def. of Rhinitis:   Is  an  inflammation of the nasal mucous membranes. However, with allergic rhinitis, other organs or tissues are involved,  such as eyes, ears, sinuses, oropharinx. -Is an Immunologic Hypersensitivity Disorder Type I -Is often a predisposing factor or exacerbation of asthma, rhinosinusitis, nasal polyps. -Characterized by one or more nasal Sx- sneezing, itching, congestion,  rhinorrhea. -Diagnosis is based on Hx, physical findings, and Lab.
Impact of Allergic Rhinitis Most common form of atopic disease Affects 40 million Americans Prevalence estimates: 10/30% of adults,  40% of children Peak incidence in childhood and adolescence Almost 70% of the patients have nasal congestion Nearly 17 million office visits a year Direct costs per year of about 6 billion dollars Increase absenteeism and reduced productivity  75/80% of patients with  asthma have allergic rhinitis. Genetics:  High incidence in families with atopic disease (eczema, asthma)
 
Classification: Seasonal:   Yearly intervals, periodic symptoms, often due:  to outdoor allergens-pollens, tree pollens (spring), grass (summer), ragweed (mid August). Mold spores Perennial:   Throughout the entire year, due to multiple  seasonal allergies or continue exposure to:  indoors allergen:  Dust mite (Dermatophagoides),  animal dander, cigarette smoke, hair  spray, paint, mold, cockroaches  outdoor allergens:  Pollens, tree pollens (spring), grass (summer), ragweed (mid August). Mold spores
PATHOPHYSIOLOGY Allergens bind to specific IgE on Mast cells in Respiratory mucosa   Enzymatic reactions  occurs within the cell    Release of mediators (histamine, leukotrienes, prostaglandins)  from mast cells    triggering IgE, leads to a complex interaction of inflammatory  mediators, causing inflammation of the mucous membranes of eyes, nose, Eustachian tube,  sinuses and/or pharinx.
There are 2 phases of allergic response: Early phase response to antigen: < 5- 30 minutes after allergen exposure. -Allergen comes in contact with IgE-primed mast cells and basophils -Caused by the immediate release of histamine and other mediators (leukotrienes).  -Causing bronchoconstriction, edema, and stimulation of mucous gland that leads to:  Production of  secretions: Increase in vascular permeability leads to plasma exsudation  Vasodilation leads to nasal congestion and sinus pressure Late phase response to antigen: 2-12 hours after allergen exposure Characterized by sx beginning 4-8 hours after allergic exposure.  This phase occurs because of inflammation resulting from the recruitment of inflammatory  cells (Cytotoxic proteins released by neutrophils, eosinophils, macrophages, lymphocytes –  damaging the Epithelial cells) to the mucous membranes. This phase has more congestion, rhinorrhea and less sneeze/itching.
 
S/S:   Seasonal:   Clear and watery drainage from nose (rhinorrhea)  tearing of the eyes and red eyes  frequent sneezing  Lesser mouth breather  Itching of their nose, eyes, palate / throat (erythema can be seen)  eczema, family Hx. of atopy  support the Dx. of  allergic rhinitis. Perennial:  Year round symptoms,  nasal congestion ( major complaint )   post-nasal  drainage (dry cough)  mouth breather   decreased sense of smell/or taste. Other SX:   ↓  in physical functioning, energy and fatigue, social events,  ↑  in pain and limitations of emotions,  ↓  quality of life
“ allergic shiners”  Dark circles under the eyes (Moonshiners).  Chronic venous stasis from  sinus  congestion “ Dennie-Morgan”:  single or double lines under the eyes due  to chronic edema. Allergic salute:  Rubbing of the tip of the nose upward to  ↓  itching Allergic crease:  Transverse line near the tip of the nose, secondary to rubbing Nasal mucosa:  Pale color, edema of turbinates (inferior), clear watery  secretion, colored  mucus secretion  Nasal polyps:  Gray color, peeled-grape appearance, insensitivity to touch
 
Upper Respiratory Infection-Common Cold Etiology:   Rhinoviruses, Parainfluenza, RSV, Adenovirus Risk factors:  Day care, smoking, crowding, temperature changes S/S:  Nasal/throat irritation Sneezing, nasal congestion, rhinorrhea Sore throat, postnasal drip Low grade fever, HA, malaise, myalgia Can lead to AOM, Sinusitis, asthma TX:  Fluids, supportive
INFECTIOUS  RHINITIS Most common cause of nasal symptoms in children is viral URI.  Specially in day care/kindergarten/winter months Last between 7-14 days, symptoms resolving around the 7th/8th  day Fever may or may not appear  Clear mucus discharge, changing to green/yellow after a few days,  Cough   post nasal drip  Turbinates can be swollen and erythematous.  Secretions are watery or thick, clear or colored. Complicated by sinusitis or obstruction by adenoidal hypertrophy TX:   ATB (purulent mucus), mucolitics, cough syrup
LAB:   CBC-  Eosinophilia Nasal cytology-  Eosinophilia. Greater than 10% is (+) Skin testing-  Prick/puncture in skin 10-20 allergens.  Immediate hypersensitivity with immediate results.  There is a small chance of triggering a severe allergic reaction in someone highly allergic.  RAST–  Radio Allergo Absorbent Test:  Measure allergen- specific IgE, measure specific IgE  to individual allergen in a  sample of blood.  Is less sensitive than skin testing.  Total IgE:  Elevated in allergic rhinitis
 
TX: Environmental control:  Avoidance of specific allergens. 1-Outdoor allergents:  Pollens/outdoor molds: limit outdoor activity during allergy season Keep windows  and doors closed Wear a mask while doing yard work. 2-Indoors: Use dust mite anti-allergic pillow and mattress plastic covers Reduce indoor heat and humidity decreasing proliferation of mites Eliminate carpeting, and use linoleum, tiles.  Avoid feathers in pillows and covers. Molds: Eliminate areas of dampness and standing water  Clean mold area  Pets : Avoid as much as possible or don’t have them Use HEPA filters and A/C Eliminate cockroaches
 
Nasal Steroids:   Effective for itching, sneezing, rhinorrhea,  nasal congestion More effective than oral antihistamine. Budesonide (Rhinocort), flonase, nasonex Antihistamine:  Block H1 receptors suppressing most of symptoms First generation:  H1 antagonist with anticholinergic effects ( sedating, dry mouth, tachycardia )  Effective for most Sx. of allergic rhinitis, but on congestion is limited. Benadryl (dyphenhydramine) Second generation:  H1 antagonist with no/less anticholinergic sedating effect. Effective for most symptoms, improved but not efficient on congestion. Zyrtec  (cetirizine), Clarinex ( desloratidine )  Singulair  (montelukast-Leukotrienes blockers)
Topical cromolyn sodium (Nasalcrom-Intal ):  Mast  cell stabilizer Used above 6 years of age Oral decongestants :   alpha-1-adrenergic agonists: phenylephrine, phenylpropalamine.- Sudafed Cause vasoconstriction,  ↓  blood supply to nasal mucosa / edema Topical decongestants:  Sympathomimetics.  Side effects-drying and burning of the mucosa.  Using more than  5 days- rebound vasodilation and congestion.  Oxymetazoline -Afrin Combined oral decongestant and antihistamines:   Extendryl / Rondec- chlorpheniramine Mucolytics:  Thin mucus, improving mucociliary flow.  Steam, NS drops, Guaifenesin,  N-acetylcysteine Immunotherapy:  Given to patients that  not responded to drug therapy  and good environmental  control
POS ALLERGIC  RHINITIS
 
 
 
 
Pale, edematous mucosa of the inferior nasal turbinate
 
EPISTAXIS Is bleeding from the nose, being evident anteriorly through the nares or posteriorly through the nasopharynx. Etiology:  vide slides Pathophysiology: Nasal mucosa blood supply originates from internal/external carotid  Blood vessels of nasal septum and lateral walls have little protection, and the thin mucosa is  prone to drying. Most important vascular plexiform network is the: Kiesselbach’s plexus  in the anterior nasal septum.  Woodruff’s plexus  in the posterior part of nasal septum Epidemiology:  Children 2-10 years are most commonly affected Nosebleed are more common in winter.
 
Local Causes : [1] Trauma Nose picking   Fractures. Caustic/chemical agents [2] Infections Viral Rhinitis Parasites  Fungal Bacterial Rhinitis/sinusitis [3] Idiopathic: Wegener's granulomatosis  Atrophic rhinitis Drying of the nasal mucosa Allergic Rhinitis
[ 4]   Neoplasms: Of the nose nasopharynx  sinuses. Angiofibroma Carcinoma of the Nasopharynx
[ 5]  Miscellaneous:   Septal  deviation Foreign bodies Polyps Vascular malformations GENERAL CAUSES:   Hypertension, alcohol,  drugs (aspirin, warfarin) Coagulopathies, Anemia,  Leukemia, Malignancies
S/S:   Family Hx of hemorrhagic disease Hx of trauma or nose picking Hx of medications or drug abuse Hx of allergies, nasal congestion, discharge, obstruction Check vital signs with BP determination. Inspect nose, nasopharinx, oropharinx. Check liver/spleen enlargement, pallor, lymph nodes. Lab:   CBC,  Platelets,  PT,  PTT,  BT, CT TX:   Keep patient sitting with the head elevated  Direct pressure with gently squeezing of the nostrils.  Ice compresses to the nasal dorsum Vasoconstricting agents:  0,25% Phenylephrine,  0,05% Oxymetazoline,  1:1,000 Epinephrine. Cauterization with:  Silver nitrate stick or swab with trichloroacetic Acid Anterior nasal  packing with oxycellulose gauze (Surgicel) or  absorvable gelatin sponge (Gelfoam) ENT specialist for: severe bleeding,  posterior packing, fracture,  reduction/surgery
ANTERIOR  NASAL  PACKING
ANTERIOR NASAL PACKING
PHARYNGITIS-TONSILITIS Inflammation/infection of the membrane and underlying structures of  pharynx and tonsils. Epidemiology:  Streptococcal pharyngitis-more common between 5-15 years. Viral pharyngitis: Most of cases are due to a virus, at young age, winter  Day care/kindergarten is a risk factor Etiology:   Bacterial:  G-A beta hemolytic streptococcus (S. pyogenes #1) Corynebacterium diphteria Viral:   Adenovirus (mcc), EBV virus, Coxsackie (herpangina) Fungi:  Candida (trush)- immunosuppressed infants. Chlorinated pool:   adenovirus pharyngoconjunctival fever
S/S:   Symptoms: Strep:  ↑  fever, sudden onset, headache, N/V, often abd. Pain.  Viral: Rhinorrhea, cough, hoarseness, conjunctivitis, ulcerative lesions  Signs:   Pharyngeal erythema, tonsils  ↑  yellowish   exsudate, cervical tender lymph  Petechia in soft palate and uvula,  White pustules on the palatine tonsils Dysphagia, bad breath   GAS Scarletiniform rash suggest    GAS  Splenomegaly and generalized adenopathy, rash after ampi/amox    EBV !!!!!!!
Diagnosis: Clinically Rapid Streptococcal test- Specificity 95-98% Sensitivity can be low (70-85%) Culture ( gold standard ) Monospot (Heterophyle Agglutination Antibody test) Viral Capsid Antigen Immunoglobin-M (vca-IgM) r/o acute EBV (serology) Risk factors:  Acute Rheumatic fever, Glomerulonephritis Treatment: Viral:  Symptomatic, nasal saline, lozenges, analgesics (Tylenol)  Bacterial:  10 days course of  Penicillin, Amoxil, Augmentin  Alternative:  one IM injection of benzathine Penicillin G 600.000/1.200.000U Pen Allergy:  Erythromycin, Azythromycin, Cephalosporin Complications: Peritonsillar Abscess, Retropharyngeal abscess Risk factors:  Acute Rheumatic fever, Glomerulonephritis
Peritonsillar Abscess Complication of tonsillitis/pharyngitis result in abscess in tonsillar fossa  Cause:  Group A B-hemolytic Strept., Staph aureus, Anaerobic bacteria Complication:  Upper Respiratory Obstruction S/S:   Fever, sore throat, dysphagia,  trismus  (pain when opening the mouth), Muffled voice (hot potato) ,  Drooling ,  Cervical adenopathy ,  Unilateral peritonsillar bulging, superior soft palate with  deviation of the uvula .  Unilateral neck pain.  Pharinx: erythematous/edematous with enlarged and exsudative tonsils. Lab:  CBC- leukocytosis with left shift, Rapid Strep test, gram stain.  Cx of aspirate specimen. CT or U/S TX:  High dose IV penicillin.  Surgical drainage if needed. Tonsillectomy. Clindamycin, nafcillin, oxacillin if Staph is cultured
PERITONSILLAR ABSCESS
Differential Diagnosis of a Sore Throat VIRAL: Infectious mononucleosis: EBV  Exsudative tonsillitis, cervical adenitis, fever. Pharyngeal inflammation, axillar lymphadenopathy,  splenomegaly  maculopapular rashes, petecchial enanthema in palate.  Common in teenagers Diagnosis: >20% atypical lymphocytes on blood smear,  positive Monospot (heterophyle agglutination antibody test)  viral capsid  antigen IgG / IgM, EBNA Pharyngoconjunctivitis:  Adenovirus  (APC) Fever, exsudative pharyngotonsillitis, conjunctivitis  Herpangina: Coxsakie A virus Ulcers in anterior pillars and soft palate Common in summer Fever, vesicles in palate Hand, foot and mouth disease:   Coxsakie (vesicles on palms, soles, mouth, buttocks)
 
 
Bacterial: Retropharyngeal (tonsillar) abscess:  GABHS (S pyogenes) or St. aureus.  < 2 years. Fever, stridor, drooling, neck hyperextension w/ resistance to movement,  sore throat, hoarseness, trismus,  asymmetric tonsillar enlargement, Ant. Cervical nodes enlarged Severe Sx: dyspnea, SOB  Dx:  lateral neck films – increase in retropharyngeal space  Tx:  Emergency, hospitalization, surgical drainage, IV PCN or  Clindamycin Epiglottitis :  Hemophilus type B Children:  high fever, toxic, drooling, absence of cough Fungal: Candida (oral trush)-  on low imunosuppressed patients
RETROPHARANGEAL ABSCESS
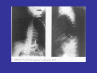
FOREIGN  BODY  ASPIRATION Children often ingest or aspirate a foreign body, with variable outcomes. Missed or late diagnosis may lead to serious morbidity or death. Children will put almost anything they find into their mouth; like food (peanuts, grapes, candy, hot dog),  batteries, buttons, coins, crayons, jewelry, marbles, paper clips, pen caps, pins, screws, toy parts,  chicken or fish bones. History:  Most ingestions and aspirations of a foreign body occur in a normal child in their home, under their parents care.  Poor safety proofing; unattended child, running with food,   or handling a small object  It’s a toddler with a sudden onset of cough, choking, persistent wheezing, gags, and vomits at the time  of ingestion Peak age:  6 months-4 years Pathology: Usually foreign object lodge  below the carina.   In toddlers, lodge in either mainstem In older children, they lodge in the  Right mainstem
S/S:   Acute: Coughing, Gagging, Choking, Wheezing (localized)  Chronic: asymmetrical/absent breath sounds, recurrent pneumonia Most common object:  Peanut,   then  Candy, coins, grapes, Hot Dog  CXR:   Lower Airway Area: Unilateral hyperinflation, Air trapping on  affected side.  Atelectasis Mediastinum shift  AWAY   from affected side/atelectasis Esophageal area: lodged at one of these locations: Thoracic inlet Level of aortic arch and left mainstem bronchus  Gastroesophageal junction,. CT scanning supplemented with virtual bronchoscopic imaging may further provide such useful information prior to an attempt at bronchoscopy TX:   Removal by Rigid bronchoscopy, under anesthesia Inhalation to relieve bronchospasm following removal Complications:   Aspiration Pneumonia, Lung abscess
 
 
FIBEROPTIC LARYNGOSCOPY
Epiglottitis   A rapidly progressive and potentially fatal acute life threatening bacterial  infection of the  epiglottis, resulting  in narrowing of the glottic opening Epiglottitis - Pathogenesis Haemophilus influenzae  type B. (Rare due to Hib vaccine)  Streptococcus Pneumonia, Streptococcus Group A Inflammation and edema of the epiglottis, arytenoids, arytenoepiglottic folds, and subglottic area Epiglottis pulled down into larynx and occludes the airway Differential Diagnosis Viral croup - barking cough, less abrupt, less toxic Bacterial tracheitis-  S. aureus, H. influenzae,  Strept.,  diphtheria Aspiration of a foreign body
Epiglottitis - Clinical Manifestations * Abrupt onset of high fever (39- 40 degree celsius)  *Rapid onset of toxicity  *Rapid onset of respiratory distress (12 hours), drooling, chest wall retractions,  inspiratory  stridor,  ronchi,  retraction and late cyanosis,  sore throat.  *Muffled voice  *Child prefers sitting in up position and leaning forward  with hyperextended  chin to  maintain airway open. *Beefy-red epiglottis,  dysphagia
Epiglottitis – Diagnosis: Lab Visualization of epiglottis -  “cherry red” Lateral neck x-rays: Shows  “Thumb sign”  of edematous epiglottis  with narrowing of posterior airway WBC count > 15,000 left shift Blood cultures Treatment: Airway management: keep child upright,  NEVER SUPINE.  Adequate airway - nasotracheal intubation Take to O.R. to anesthesia and intubate with PPV under visualization.  Don’t wait for X-ray IV fluids  Oxygen by mask and adrenaline nebulizer (0.5 ml/kg of 1:1000 sol.) Cricothyrotomy if obstruction occur prior to controlled airway mgt. Prevention:   HiB vaccination, Prevnar ATB: Cover G+ cocci,  and G-  Cefuroxime,  Ceftriaxone,  Ampicillin.  Use for 10 days.  Corticosteroids - reduce post-intubation inflammation
 
ACUTE  EPIGLOTTITIS  WITH  ERYTHEMA  AND  SWELLING
On the left, an endoscopic view of the throat shows almost complete blockage of the airway (arrow). This finding is typical of epiglottitis.  On the right, the airway has been opened (arrow) after insertion and removal of an endotracheal tube, although some redness and blood remain
MILD EPIGLOTTITIS SWELLING AND  NARROWING
 
LARYNGITIS-LARYNGOTRACHEOBRONCHITIS-VIRAL CROUP Viral infection characterized by:  Barking cough, Inspiratory stridor, Hoarseness, due to subglottic  inflammation Etiology:  Parainfluenza virus type 1(m.c), type 2 and 3, RSV, influenza A/B Pathophysiology:  -Virus enters  body via respiratory droplets through nasopharynx airway -There is an immune response, resulting in subglottic narrowing  -Edema and erythema of the mucosa of the subglottic tissue and / or  tracheal mucosa,  further narrowing  the airway, resulting in stridor, hoarseness, cough    may lead to those  complications:  Ventilation/perfusion mismatch Hypoxia/hypercarbia: Air hunger, Anxiety/Lethargy
Epidemiology:  Occurs mainly between 6-36 months.  Self limited Ds. lasting 3-5 days. Prevalent in late fall/winter Person-to-person transmission via respiratory droplets. S/S:  Prodrome:  Coryza, nasal congestion, sore throat, cough, low grade fever   Characteristic:  hoarse voice and barking cough (mainly at night),  loud inspiratory stridor,  mild respiratory distress (sternal / suprasternal retractions, cyanosis)  no sign of toxicity.  LAB:  X-Ray:  The AP x-ray of the neck, shows the  “ Steeple”  sign.  Narrowing of subglottic space The lateral view is useful in ruling out epiglottitis. Pulse oximetry- determine if hypoxia is present. Differential Diagnosis:   Laryngomalacia,  Peritonsillar abscess,  Aspiration Epiglotitis,  Bacterial Tracheitis
TX: Rest at home,  fluids  Humidified air: by tent, face mask, cool mist vaporizer, steam in bathroom  If Resp. distress- Intubate under visualization in the O.R.  Don’t wait for X-ray Epinephrine: Use with NS in a nebulizer (0.5 ml/kg 1:1000 sol.)  Dexamethasone: 0,6mg/kg IM.  Decrease edema and inflammation Nebulized Budenoside-decrease laryngeal mucosa edema  If severe: require intubation and ICU. Heliox prevent intubation Atb: If necessary.
 
severe
Differences between Croup, Epiglottitis, Tracheitis Characteristic Epiglottitis 3 m-3 y H. influenza Croup 3-6 years Parainfluenza virus Tracheitis 3 y-10 y Staph aureus Appearance toxic and unwell well looking  Well to toxic Onset abrupt onset 4-12 hours viral prodrome, slower onset 1-7 days 2-3 days  SX, with 10 hours decompensation Fever high fever (>38.5 o C) Low-moderate  Moderate to high Stridor usually moderate-severe usually mild-moderate Mild inspiratory stridor Cough minimal or absent barking, seal-like quality Barking cough Speech unable to speak Muffled voice hoarse voice Hoarse voice Secretions unable to swallow, drooling of saliva able to swallow Mild secretions
BACTERIAL TRACHEITIS Etiology:  Patient with prior Croup or influenza  infection. Secondary bacterial inf. by  S. aureus (M.C.)  M. catarrhalis, H. influenza Epidemiology:  Can occur at any age between 3-10 years. Affect trachea  S/S:   Starts with Sx of URI     Fever >102F     Illness worsening over hours     Respiratory distress   (retractions, grunting, dyspnea)    Voice normal to   hoarse   Barking cough, Inspiratory  stridor, Dysphagia/Odinophagia LAB:  X-Ray: irregular tracheal border TX:  O2, Ventilation/Intubation if necessary, ATB, Inhalation, Mist tent
RSV-BRONCHOLITIS  Acute inflammatory Ds. of lower resp. tract, due to  obstruction of the small  lung  airways,  following an URI tract.  Etiology:  RSV (M.C.),  Influenza A,  Adenovirus Epidemiology:   Age 2-24 months,  peak age 2-10 months Peak season: November-March  Preemies at higher risk Incubation period:  4-5 days Pathophysiology:  Transmitted by direct contact with nasal secretions or Resp. dropplets inducing  damage to the  bronchial epithelium of the small  airways   resulting in  inflammation, edema and airway hyperreactivity.
LAB:  ABG-  Respiratory acidosis Pulse Oxymetry- Hypoxia RSV swab Viral Culture (nasopharinx)
 
 
Tx:   Oxygen to correct hypoxia:  when O2 is less than 91%. Wean when higher than 94% saturation Correct Acidosis if necessary Aerolized B-adrenergic (albuterol):  wheezing treatment ? IV fluids to correct losses secondary to poor intake. Corticoids: should not be used for routine care Aerolized Ribavirin. (Virazole- Good if RSV caught before the 3 rd  day) Only FDA approved treatment for RSV-Lower respiratory tract infection in hospitalized infants Mist tent (nebulization) RSV  vaccine for prematures and high risk infants.- Synagis (Palivizumab) Admission to hospital: hypoxia,  no PO intake,  severe Resp. Distress, toxic appearance,  < 3 months.
 
 
BRONCHITIS:   Inflammation of the major  conducting airways. Etiology:  Viral (most common), following URI Bacterial: S. pneumonia, M. catarrhalis, H. influenza Allergic S/S:  Dry hacking cough, nasal discharge, Low grade fever. Chest pain worse with coughing Thin clear sputum becomes purulent over 3-4 days, clears by 10 th  day Scattered ronchi, sometimes wheezing LAB:  WBC- normal to elevated CXR- increase in bronchovascular markings DD:   asthma, foreign body TX:   rest,  fluids, mucolitics, cough suppressant (limited use),  Nebulizations, ATB if necessary
ASTHMA Is a chronic inflammatory disorder affecting large and small airways Is a Reversible airways Ds, characterized by:  Airway inflammation  Secretion of mucus  Bronchoconstriction  Hyperresponsiveness to various stimuli Epidemiology:  Most common chronic illness in children 12-15% of school age children 80-90% of children will have first symptom by age 3 60-70% will be free of symptoms by adulthood Etiology:   Extrinsic- caused by several allergens, family history always positive Intrinsic- caused by: cold, infection, exercise, emotional,
 
 
 
 
 
 
 
 
 
 
 
 
 
 
 
 
INTRINSIC  ASTHMA
 
Pathophysiology: Immune system is made up of: B and T cells. T cells   distinguish foreign invaders: bacterias, viruses, allergens B cells   produce antibodies that help fight off infecting organism  Airway is invaded by inflammatory cells- mast cells, baso, eosino, neutrophils,  B/T  lymphocytes, macrophages One of the antibodies produced by the immune system is the IgE   known as the allergic antibody.  -Allergens/infections antigens triggers inflammatory/immune response in  airways. -IgE binds to Mast cells, found in the lining of nose, lungs, skin making the Mast cells to  release chemicals such as  histamines -IgE response initiate inflammation and bronchospasm -Inflammatory cells respond producing mediators- cytokines, leukotrienes    elevating  inflammatory response, stimulating constriction of smooth muscle in bronchioles. -Airway smooth muscle becomes hyperresponsive   bronchospasm.
 
 
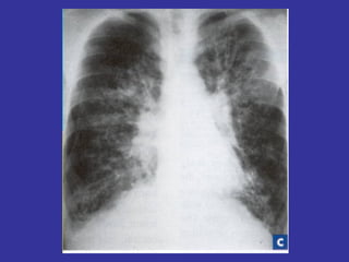
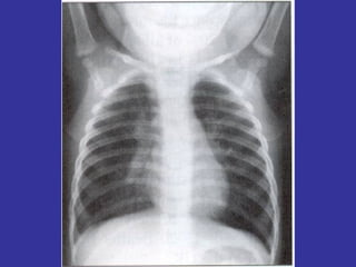
Environmental Allergens and  Childhood Asthma -Dust mites -Furry pets -Molds -Cockroaches
 
LAB:   Blood test: Eosinophilia,  Elevated serum IgE Nasal test for presence of eosinophilia Skin testing (+) best test for allergen sensitivity Provocational tests: Methacholine challenge- confirm Dx of asthma. Measure airway hyperreactivity. RAST test Immunocap PFTest  Measure degree of airway obstruction and  response of broncho dilator  Decreased PEFR  Increased TLC-FRC-RV ABG:   Decreased PO2,  initially Respiratory alkalosis (hyperventilation),  later  Respiratory acidosis (CO2 retention) CXR:   Hyperinflation, flat diaphragms, inc. peribronchial thickening, atelectasis  R/O lung malformation, or other pathology. At home:   Peak Flow Meter.  Measures PEFR (peak exp. flow rate)
 
 
TX-ACUTE: Epinephrine SC 1:1000  0,01ml/kg/dose B2-agonists: Inhalation  (albuterol- Accuneb)  (levalbuterol-Xopenex) Nebulized Cortisone: Pulmicort Nebulized B2 agonist HFA: Pro-Air, Xopenex, Ventolin Theophyline- less safer.  Oral/IV.  Poor asthma control  Monitor serum levels (5-15mg/ml)  Oral steroids: Prednisone 2mg/kg/day 3-5 days. Should be tapered. Inhaled steroids: Beclomethasone (Beclovent), Fluticasone (Flovent)  IV steroids: Dexamethasone (Decadron), Hydrocortisone Oxygen,  Chest physical therapy,  Mucolitics, ATB if necessary  Control about known triggers.
 
 
 
 
 
 
 
 
CHRONIC:   -Avoidance of known triggers.  -Beta2 Agonists MDI (Proventil, Ventolin) -Leukotrienes Modifiers: Montelukast (Singulair).  Decrease  #  of eosinophils. Block effect of inflammatory mediators. -Inhaled steroids (Pulmicort). -Combination Fluticasone/Salmeterol: Advair -Exercices (swimming) -Immunotherapy: XOLAIR  anti-IgE immunomodulator, blocking  its interaction with mast cell and basophils.
PNEUMONIA  Inflammation and infection of the lung parenchyma due to bacterial or viral  pathogens. Classified by anatomy:  Lobar, Interstitial, Bronchopneumonia Etiology: Viral:   Adenovirus, Influenza, RSV Bacterial:   Neonates:  GBS, Chlamydia, E. coli, Listeria monocytogenes  1month-6 years:  S. pneumonia, H. influenza Adolescents:  S. pneumonia, Mycoplasma pneumonia Immunocompromised:  Pseudomonas, klebsiela, Fungi, PCP
Epidemiology:   Children 2-4 years, are more susceptible than older children May follow epidemics of viral infection Winter/spring most common Day care/ kindergarten S/S:   Tachypnea,  dyspnea,  cough,  intercostal retractions, nasal flaring,  grunting,  fever,  accessory resp. muscles usage,  chest pain,  lethargy,  hypoxia, rales/crackles,  decreased  breath  sound/dullness to percussion (consolidation). LAB:   CBC:   WBC with left shift,  Blood culture (if severe picture),  Pleural fluid studies (effusion),  ABG  CXR:   Lobar consolidation ( S. pneumonia and H. influenza ),  Hilar adenopathy ( TB ),  Pneumatoceles ( S. aureus/G- ),  Bilateral diffuse infiltrate ( Mycoplasma ),  Abscess ( klebsiella ) Mycoplasma:  Presence of Cold agglutinin titers Prevention:   Pneumovax vaccine in immunocompromised children, SC Ds.
ATB according to Pathogen: S. aureus : Nafcillin,  Oxacillin S. Pneumonia : Penicillin G, Ampicillin, Cephalosporin.  Resistant: Vancomycin H. influenza : Cephalosporin 3rd  generation G- : Aminoglycoside with broad activity: Amikacin, Tobramycin, Gentamycin Anaerobic infection (aspiration pneumonia)  Penicillin, Clindamycin Mycoplasma pneumonia/Chlamydia : Erythro/Azythromycin,  Doxycycline  TX:   Outpatient:   ATB (Amoxil, Ampicillin, Erythro-10 days), inhalation, rest, fluids. Inpatient:   Toxic appearance, Severe Resp. Distress, Hypoxic, Unable to take PO Age < 2  Humidified oxygen as needed,  IV fluid for hydration Drainage of pleural effusion if necessary ATB:  Neonates : Ampicillin, Gentamicin,  3rd Gen. Cephalosporin (Cefotaxime), Pen.  Older chidren : Ampicillin,  3rd Gen. Cephalosporin (Cefotaxime, Ceftriaxone)
 
 
MYCOPLASMA PNEUMONIA
CYSTIC  FIBROSIS It is Autosomal Recessive Ds., and most common lethal inherited metabolic disorder in the white population  affecting the exocrine glands of the body  Genetics:  Is a defective gene on long arm of chromossome 7 with a F508 codon mutation  resulting in improper sodium chloride transport within the cells   Secretions Incidence:  1: 2000  live births in the Caucasian population S/S:   Characterized by thick, sticky mucus secretions that clogs lungs, pancreas.  Lungs:  Thick secretions obstruct airways    severe and  recurrent infections (  S. aureus,  P. aeroginosa )  Pneumonia    Bronchiectasy    Fibrosis, poor lung function Pancreas:   Obstructed glands ducts prevent enzymes from being released, leading to fat/protein  malabsorption    to malnutrition and  FTT (steathorrhea). Intestinal obstruction at birth, known as meconium ileus in 5-10%  of CF patients Other S/S:   Rectal prolapse,  digital clubbing (hypoxemia),  recurrent sinus infections,  salty sweat ,  persistent cough,  bulky  foul-smelling stools, hypoxia,  cyanosis, male infertility.
LAB:   Sweat chloride above 60mEq/L is positive  Pulmonary Function test Sputum culture, Lytes, CBC  CXR: Hyperinflation, peribronchial thickening, atelectasis, bronchiectasis  Stool trypsin levels ( trypsin deficiency) Detection of  Delta F-508  genotype by DNA analysis Treatment:   Genetic Counseling Treat specific pathology with ATB of broad spectrum Vitamins, Inhalations (Albuterol), Physical Therapy with chest vibrators  Pancreatic enzymes (enteric coated),  Oxygen Diet: high caloric intake diet with nutritional supplement Mucolitic: N-acetyl cysteine (MUCOMYST) DNAse inhaled- thin the mucus plug Lung transplantation/ Gene therapy
 
 
 
 
 
 
 
 
 
 
 
 
 
 
 
 
RECTAL PROLAPSE
NASAL POLYPS
SUDDEN INFANT DEATH SYNDROME- “CRIB DEATH” Sudden and unexpected death of an infant less than 1 year old. Age 2-4 m Etiology:  Poverty (Bed Sharing) Low birth weight,  SGA,  Prematurity Maternal substance abuse Hypo/Hyperthermia, Exposure to cigarette smoking Pathophysiology:   Unknown. Theories:  central apnea, Upper airway obstruction, Cardiac arrythmias,  prone sleeping position. Epidemiology:  1.5/ 1000 live births.  6.000/10.000 deaths/year in USA TX:  Resuscitation if possible Prevention:   Avoid  prone  position and usage of soft or loose bedding. Place infant on his  “ BACK”  to sleep on a firm mattress.

Presentation Mdc Pulmo

  • 1.
    UPPER- LOWER RESPIRATORY PATHOLOGIES
  • 2.
    SINUSITIS Sinusitisis the inflammation/infection of the mucosa of 1 or more paranasal sinuses. Definitions: Acute Bacterial Sinusitis : Bacterial infection of the paranasal sinuses lasting less than 30 days in which symptoms resolve completely. Subacute Bacterial Sinusitis : Bacterial infection of the paranasal sinuses lasting between 30 and 90 days in which symptoms resolve completely. Chronic Sinusitis : Episodes of inflammation of the paranasal sinuses lasting more than 90 days. Patients have persistent residual respiratory symptoms: cough, rhinorrhea, nasal obstruction.
  • 3.
    ANATOMY / DEVELOPMENT4 Sinuses: Maxillary, Ethmoidal, Frontal, Sphenoidal MAXILLARY SINUSES DEVELOPS DURING 3rd & 4th GESTATIONAL MONTH WITH PNEUMATIZATION BETWEEN BIRTH AND 12 MONTHS OF AGE ETHMOID SINUSES DEVELOPS DURING 3 rd & 4 th GESTATIONAL MONTH. IS PRESENT AT BIRTH, DEVELOPING UNTIL 12-14 YEARS OF AGE SPHENOID SINUS DEVELOPED BY AGE 8-10 YEARS FRONTAL SINUS DEVELOPS DURING 5 th AND 6 th YEAR.
  • 4.
    In the sidesof the nasal septum, there is 3 shelf-like structures where discharge is drain and is called Turbinates MAXILLARY ANT. ETHMOID MIDDLE MEATUS FRONTAL POST. ETHMOID SUPERIOR MEATUS SPHENOID LACRIMAL DUCTS INFERIOR MEATUS (Largest and most visible)
  • 5.
    ETIOLOGY: Bacteria: S. pneumoniae (40%) H. influenza (30-40%) Moraxella catarrhalis Virus: Rhinovirus, adenovirus, influenza, parainfluenza Allergy (chemical and particulate irritants, allergens) EPIDEMIOLOGY: Occurs during viral respiratory season Attendance at Day Care Center School-age siblings in the household
  • 6.
  • 7.
  • 8.
  • 9.
  • 10.
    PHYSIOLOGY: Usually afterURI  Mucosal edema  ↓ mucus transport  obstruction of osteomeatal complex  stagnation of secretions  ↓ of pH/decrease O2 tension within the sinus  promotes Bac/Viral growth. THREE KEY ELEMENTS: PATENCY OF THE OSTIA FUNCTION OF THE CILIARY APPARATUS QUALITY OF SECRETIONS -Patency of the Ostia: Mucosa Edema: allergy, viral Mechanical Obstruction: Obstruction of meatus Deviated nasal septum -The function of the ciliary apparatus: Help nose filter bacteria/pollutant Help regulate temp/humidification -Quality of secretions: Hypersecretion  obstruction  less O2  growth of bacteria, impairs defenses, and alters the function of immune cells.
  • 11.
  • 12.
  • 13.
  • 14.
    Factors Predisposing ToObstruction Of Sinus Drainage A. MUCOSAL SWELLING Systemic disorder Viral URI Allergic inflammation Cystic fibrosis Immune disorder Immotile cilia Local insult Facial trauma Swimming Diving Rhinitis medicamentosa B. MECHANICAL OBSTRUCTION Choanal atresia Deviated septum Nasal polyp Foreign body Tumor Ethmoid bullae C. MUCUS ABNORMALITIES Viral URI Allergic Rhinitis Cystic fibrosis .
  • 15.
    S/S: URI symptomsfor > than 10 days (acute) or > than 12 weeks (chronic) *Low grade fever (50%) *Mucopurulent rhinorrhea in middle meatus or postnasal discharge. (95%) *Nasal mucosa congested/edematous *Cough present during daytime but is worse at night (90%) *Painless periorbital edema occurring in the morning and with bad breath. *Facial pain/pressure above or below the eyes, and Headache. It may change with position, increasing when leaning forward or during percussion. (70%) *Frontal, Maxillary, and Ethmoid area are tender to palpation/percussion *Periorbital swelling is suggestive of ethmoid sinusitis
  • 16.
    SIGN/SYMPTOM SINUSITIS ALLERGYCOLD Facial Pressure/ Pain Yes Sometimes Sometimes Duration of Illness Over 10-14 days Varies Under 10 days Nasal Discharge Thick, yellow-green Clear, thin, watery Thick, whitish or thin Fever Sometimes No Sometimes Headache Sometimes Sometimes Sometimes Pain in Upper Teeth Sometimes No No Bad Breath Sometimes No No Coughing Sometimes Sometimes Yes Nasal Congestion Yes Sometimes Yes Sneezing No Sometimes Yes
  • 17.
    Complications of AcuteBacterial Sinusitis Preseptal cellulitis Orbital cellulitis Osteomyelitis Subperiosteal orbital abscess Subdural or Epidural Empyema Meningitis Brain abscess Cavernous sinus thrombophlebitis Differential Diagnosis-Purulent Nasal Discharge Uncomplicated viral URI Group A Strep infection Adenoiditis Nasal foreign body
  • 18.
    Lab: Transillumination of the maxillary and frontal sinuses Sinus X ray: air-fluid level, complete opacity, mucosal thickening Waters-3 views Coronal CT: demonstrate air fluids levels mucosal thickening, anatomical variations suspected intracranial or orbital complication. G.S. TX: Amoxicillin 40-90 mg/kg/day Amoxicillin/potassium clavulanate 80-90 mg/kg/day Ceftriaxone 50 mg/kg/day Erythromycin 50 mg/kg/day Omnicef (cefdinir) 14 mg/kg/day Azythromycin 10/5 mg/kg/day Humidifier with Normal saline, Mucolytics ( guaifenesin) Topical nasal steroids, Antihistamines (not recommended). Treat for up to 21 days or until free symptoms for 7 days
  • 19.
  • 20.
    EAR Theear is divided in 3 regions: External ear: (Sound Receptor Complex) Pinna (auricle), external auditory canal, up to TM Middle ear: (Transmission Complex) Middle ear space, inner space of eardrum, ossicles, mastoid Internal ear: (Perception Complex) Cochlea-Anterior Labyrinth (hearing), Semicircular canals-Posterior labyrinth (balance), Main nerve trunks of the 7 th /8 th cranial nerves.
  • 21.
  • 22.
  • 23.
    OTITIS EXTERNA(Swimmer’s ear) Acute otitis externa is defined as diffuse inflammation of the external ear canal, and the ear canal structures, involving the pinna or tympanic membrane. Characterized by pain caused by infection of macerated skin tissue Anatomy: The auditory canal is a curved structure Its medial 2/3 comprises a bone lined with a thin layer of skin. The outer 1/3 comprises cartilage with extensive subcutaneous tissue. It contains hair follicles, sebaceous and modified apocrine glands that produce cerumen that keeps the ear canal acidic (pH 6.1), and protects the middle ear from debris and trauma Etiology: Bacteria: Pseudomonas aeroginosa (G-) Viral: Herpes zoster/Simplex Staphyloccocus aureus Fungal: Aspergillus (90%-black spores) Candida
  • 24.
  • 25.
  • 26.
  • 27.
    OTITIS MEDIA Inflammationand infection reaction to foreign antigens in the middle ear, that cannot drain via the Eustachian tube. It is the most common infection of early childhood. Anatomy of the Eustachian tube and immature immune systems of the children, contribute to the frequency of this infection. Classification: 1-Acute otitis media AOM 2-Otitis media with effusion OME 3-Chronic Otitis media COM Subcategories: Acute otitis media- Less than 3 weeks Recurrent otitis media- 3 weeks to 3 months Chronic otitis media- Greater than 3 months
  • 28.
  • 29.
  • 30.
    Etiology 60 -80% Bacterial Causes: Streptococcus pneumoniae (~40% ). Haemophilus influenzae (~30%). Moraxella catarrhalis (~20%). Group A beta-hemolytic streptococci (S. pyogenes ~3%). 20 - 40% Viral Infection: RSV, influenza A, adenovirus, parainfluenza type 3, rhinovirus Pathophysiology: Nasopharinx is colonized with bacteria’s  inflammation of Eustachian tube  fluids goes into middle ear  fluids get infected by bacteria's from nasopharinx  TM swelling, pain, pressure  inability of TM to vibrate  temporary decrease of hearing loss
  • 31.
    Pseudomonas aeroginosa ETIOLOGYOF ACUTE OTITIS MEDIA
  • 32.
    Who’s at Risk?Young age 6-36 months Attendance at the Day care centers Male sex History of enlarged adenoid, tonsillitis, or asthma Other factors: Recent or recurrent URIs, nasal congestion or obstruction. Multiple previous episodes Has brothers and sisters close in age with Hx of ear infection Bottle feeding while laying in bed Anatomic position of Eustachian tube
  • 33.
    Function of theEustachian Tube: Ventilation of the middle ear to equalize and regulate pressure (ventilatory function), Drainage of middle ear secretions Protection of the middle ear from nasopharyngeal secretions, and pressures changes. Eustachian tube dysfunction results in: Stagnation of middle ear contents, and bacterial multiplication Inflammatory response: fluid accumulation and infection Eustachian tube in children is shorter 18mm, acute angle 10 degree, flattened, wider than adult Eustachian tube. The shorter tube during infancy, facilitates reflux of bacteria-laden secretions from the nasopharinx. The acute angle reduces the protective function of the Eustachian tube. At 4/5 years of age, it became more vertical
  • 34.
  • 35.
  • 36.
    What are thesigns of an Ear infection?
  • 37.
  • 38.
    Normal TM Thetympanic membrane (TM) is intact, thin, pearly/gray, pink, translucent, and freely mobile on insufflation (respond to pos/neg pressure, pars flacida vibrates) Neutral position (not retracted or bulging) The malleus as well as a cone- shaped light reflex are seen.
  • 39.
    AOM Acute middleear suppuration (suppurative or purulent OM) Has an acute onset, fever, otalgia, irritability, restless sleep. Red to yellow opaque and bulging TM with an absence of light reflex and poorly visualized landmarks. Decreased mobility on pneumatic otoscopy, light reflex Hyperemic TM Usually with hearing deficit
  • 40.
    Otitis Media WithEffusion (OME) Is fluid within the middle ear space with visual fullness or high air/fluid level (fluid/bubbles) behind the TM without signs or Sx of infection Dull, opaque with minimal erythema in TM with gray/pink colored effusion behind membrane Retracted TM (negative middle ear pressure) Decrease mobility of TM on pneumatic otoscopy Hearing loss (clogged ear), speech / language difficulty, fullness in the ears
  • 41.
  • 42.
  • 43.
  • 44.
  • 45.
    Erythematous, opaque,bulging TM Light reflex is reduced, landmarks gone Air and fluids bubbles TM bulging with a yellow purulent effusion
  • 46.
  • 47.
  • 48.
    LAB: Culture and sensitivity TX: Antibiotics: First Line: Amoxicillin (Amoxil) If not working: Amoxicillin with Potassium clavulanate (Augmentin) Cephalosporines 3 rd generation: Omnicef, Ceftin Ceftriaxone: Rocephin IM 3 doses Tympanocentesis If allergic to Penicillin: Azythromycin (Zithromax) Clarithromycin (Biaxin) Warm compresses on ears to relieve pain Acetaminophen or Ibuprofen for pain S. pneumonia produce a more acute course and slower resolution than H. influenza or Moraxella Complications: Mastoiditis, meningitis. OME  Hearing decrease  Hearing test
  • 49.
    Timpanostomy Tubes: Insertion of ventilation tubes in the TM for ventilation/drainage. (Silicone) most recent development Incision on Anterior Inferior region. Not responding to ATB treatment Recurrent AOM infections in a period of time *Uni or bilateral chronic OME for more than 3 months. *Conductive hearing loss in excess of 30 dB in patients with Otitis media with Effusion *Recurrent AOM infections: Children with > 3 separate episodes within 3 months Children with 4 episodes in a 6 months period or with 6 episodes in a 12 months period
  • 50.
  • 51.
  • 52.
  • 53.
    AOM WITH OTORRHEATHROUGH TYMPANOSTOMY Insertion of ventilation tubes in the TM for ventilation/drainage. Otorrhea is a major complication after their insertion Bacterial isolated: S.pneumonia, H. influenza, M. catarrhalis, S.aureus, P. aeruginosa. S/S: Fever, draining from ear, earache. Tx: Due to the inflammatory response from these bacterias, it is better to combine an Atb with dexamethasone 0.1% topical. (Ciprodex Otic for patients above 6 months, Floxin) If it is necessary, can give oral Atb.
  • 54.
  • 55.
    Cholesteatoma. Itis an accumulation of desquamated epithelium or keratin that often appears as a white mass behind or involving the tympanic membrane; it may be congenital or acquired. The acquired type is commonly caused by recurrent acute or chronic otitis media, but can also be iatrogenic (after tympanostomy tube placement or other procedures). Cholesteatoma can enlarge and erode the bone, including the ossicles, causing hearing loss. They can also become infected, leading to a foul-smelling discharge from the ear. A cholesteatoma needs to be removed surgically.
  • 56.
    ALLERGIC RHINITISDef. of Rhinitis: Is an inflammation of the nasal mucous membranes. However, with allergic rhinitis, other organs or tissues are involved, such as eyes, ears, sinuses, oropharinx. -Is an Immunologic Hypersensitivity Disorder Type I -Is often a predisposing factor or exacerbation of asthma, rhinosinusitis, nasal polyps. -Characterized by one or more nasal Sx- sneezing, itching, congestion, rhinorrhea. -Diagnosis is based on Hx, physical findings, and Lab.
  • 57.
    Impact of AllergicRhinitis Most common form of atopic disease Affects 40 million Americans Prevalence estimates: 10/30% of adults, 40% of children Peak incidence in childhood and adolescence Almost 70% of the patients have nasal congestion Nearly 17 million office visits a year Direct costs per year of about 6 billion dollars Increase absenteeism and reduced productivity 75/80% of patients with asthma have allergic rhinitis. Genetics: High incidence in families with atopic disease (eczema, asthma)
  • 58.
  • 59.
    Classification: Seasonal: Yearly intervals, periodic symptoms, often due: to outdoor allergens-pollens, tree pollens (spring), grass (summer), ragweed (mid August). Mold spores Perennial: Throughout the entire year, due to multiple seasonal allergies or continue exposure to: indoors allergen: Dust mite (Dermatophagoides), animal dander, cigarette smoke, hair spray, paint, mold, cockroaches outdoor allergens: Pollens, tree pollens (spring), grass (summer), ragweed (mid August). Mold spores
  • 60.
    PATHOPHYSIOLOGY Allergens bindto specific IgE on Mast cells in Respiratory mucosa  Enzymatic reactions occurs within the cell  Release of mediators (histamine, leukotrienes, prostaglandins) from mast cells  triggering IgE, leads to a complex interaction of inflammatory mediators, causing inflammation of the mucous membranes of eyes, nose, Eustachian tube, sinuses and/or pharinx.
  • 61.
    There are 2phases of allergic response: Early phase response to antigen: < 5- 30 minutes after allergen exposure. -Allergen comes in contact with IgE-primed mast cells and basophils -Caused by the immediate release of histamine and other mediators (leukotrienes). -Causing bronchoconstriction, edema, and stimulation of mucous gland that leads to: Production of secretions: Increase in vascular permeability leads to plasma exsudation Vasodilation leads to nasal congestion and sinus pressure Late phase response to antigen: 2-12 hours after allergen exposure Characterized by sx beginning 4-8 hours after allergic exposure. This phase occurs because of inflammation resulting from the recruitment of inflammatory cells (Cytotoxic proteins released by neutrophils, eosinophils, macrophages, lymphocytes – damaging the Epithelial cells) to the mucous membranes. This phase has more congestion, rhinorrhea and less sneeze/itching.
  • 62.
  • 63.
    S/S: Seasonal: Clear and watery drainage from nose (rhinorrhea) tearing of the eyes and red eyes frequent sneezing Lesser mouth breather Itching of their nose, eyes, palate / throat (erythema can be seen) eczema, family Hx. of atopy support the Dx. of allergic rhinitis. Perennial: Year round symptoms, nasal congestion ( major complaint ) post-nasal drainage (dry cough) mouth breather decreased sense of smell/or taste. Other SX: ↓ in physical functioning, energy and fatigue, social events, ↑ in pain and limitations of emotions, ↓ quality of life
  • 64.
    “ allergic shiners” Dark circles under the eyes (Moonshiners). Chronic venous stasis from sinus congestion “ Dennie-Morgan”: single or double lines under the eyes due to chronic edema. Allergic salute: Rubbing of the tip of the nose upward to ↓ itching Allergic crease: Transverse line near the tip of the nose, secondary to rubbing Nasal mucosa: Pale color, edema of turbinates (inferior), clear watery secretion, colored mucus secretion Nasal polyps: Gray color, peeled-grape appearance, insensitivity to touch
  • 65.
  • 66.
    Upper Respiratory Infection-CommonCold Etiology: Rhinoviruses, Parainfluenza, RSV, Adenovirus Risk factors: Day care, smoking, crowding, temperature changes S/S: Nasal/throat irritation Sneezing, nasal congestion, rhinorrhea Sore throat, postnasal drip Low grade fever, HA, malaise, myalgia Can lead to AOM, Sinusitis, asthma TX: Fluids, supportive
  • 67.
    INFECTIOUS RHINITISMost common cause of nasal symptoms in children is viral URI. Specially in day care/kindergarten/winter months Last between 7-14 days, symptoms resolving around the 7th/8th day Fever may or may not appear Clear mucus discharge, changing to green/yellow after a few days, Cough  post nasal drip Turbinates can be swollen and erythematous. Secretions are watery or thick, clear or colored. Complicated by sinusitis or obstruction by adenoidal hypertrophy TX: ATB (purulent mucus), mucolitics, cough syrup
  • 68.
    LAB: CBC- Eosinophilia Nasal cytology- Eosinophilia. Greater than 10% is (+) Skin testing- Prick/puncture in skin 10-20 allergens. Immediate hypersensitivity with immediate results. There is a small chance of triggering a severe allergic reaction in someone highly allergic. RAST– Radio Allergo Absorbent Test: Measure allergen- specific IgE, measure specific IgE to individual allergen in a sample of blood. Is less sensitive than skin testing. Total IgE: Elevated in allergic rhinitis
  • 69.
  • 70.
    TX: Environmental control: Avoidance of specific allergens. 1-Outdoor allergents: Pollens/outdoor molds: limit outdoor activity during allergy season Keep windows and doors closed Wear a mask while doing yard work. 2-Indoors: Use dust mite anti-allergic pillow and mattress plastic covers Reduce indoor heat and humidity decreasing proliferation of mites Eliminate carpeting, and use linoleum, tiles. Avoid feathers in pillows and covers. Molds: Eliminate areas of dampness and standing water Clean mold area Pets : Avoid as much as possible or don’t have them Use HEPA filters and A/C Eliminate cockroaches
  • 71.
  • 72.
    Nasal Steroids: Effective for itching, sneezing, rhinorrhea, nasal congestion More effective than oral antihistamine. Budesonide (Rhinocort), flonase, nasonex Antihistamine: Block H1 receptors suppressing most of symptoms First generation: H1 antagonist with anticholinergic effects ( sedating, dry mouth, tachycardia ) Effective for most Sx. of allergic rhinitis, but on congestion is limited. Benadryl (dyphenhydramine) Second generation: H1 antagonist with no/less anticholinergic sedating effect. Effective for most symptoms, improved but not efficient on congestion. Zyrtec (cetirizine), Clarinex ( desloratidine ) Singulair (montelukast-Leukotrienes blockers)
  • 73.
    Topical cromolyn sodium(Nasalcrom-Intal ): Mast cell stabilizer Used above 6 years of age Oral decongestants : alpha-1-adrenergic agonists: phenylephrine, phenylpropalamine.- Sudafed Cause vasoconstriction, ↓ blood supply to nasal mucosa / edema Topical decongestants: Sympathomimetics. Side effects-drying and burning of the mucosa. Using more than 5 days- rebound vasodilation and congestion. Oxymetazoline -Afrin Combined oral decongestant and antihistamines: Extendryl / Rondec- chlorpheniramine Mucolytics: Thin mucus, improving mucociliary flow. Steam, NS drops, Guaifenesin, N-acetylcysteine Immunotherapy: Given to patients that not responded to drug therapy and good environmental control
  • 74.
    POS ALLERGIC RHINITIS
  • 75.
  • 76.
  • 77.
  • 78.
  • 79.
    Pale, edematous mucosaof the inferior nasal turbinate
  • 80.
  • 81.
    EPISTAXIS Is bleedingfrom the nose, being evident anteriorly through the nares or posteriorly through the nasopharynx. Etiology: vide slides Pathophysiology: Nasal mucosa blood supply originates from internal/external carotid Blood vessels of nasal septum and lateral walls have little protection, and the thin mucosa is prone to drying. Most important vascular plexiform network is the: Kiesselbach’s plexus in the anterior nasal septum. Woodruff’s plexus in the posterior part of nasal septum Epidemiology: Children 2-10 years are most commonly affected Nosebleed are more common in winter.
  • 82.
  • 83.
    Local Causes :[1] Trauma Nose picking Fractures. Caustic/chemical agents [2] Infections Viral Rhinitis Parasites Fungal Bacterial Rhinitis/sinusitis [3] Idiopathic: Wegener's granulomatosis Atrophic rhinitis Drying of the nasal mucosa Allergic Rhinitis
  • 84.
    [ 4] Neoplasms: Of the nose nasopharynx sinuses. Angiofibroma Carcinoma of the Nasopharynx
  • 85.
    [ 5] Miscellaneous: Septal deviation Foreign bodies Polyps Vascular malformations GENERAL CAUSES: Hypertension, alcohol, drugs (aspirin, warfarin) Coagulopathies, Anemia, Leukemia, Malignancies
  • 86.
    S/S: Family Hx of hemorrhagic disease Hx of trauma or nose picking Hx of medications or drug abuse Hx of allergies, nasal congestion, discharge, obstruction Check vital signs with BP determination. Inspect nose, nasopharinx, oropharinx. Check liver/spleen enlargement, pallor, lymph nodes. Lab: CBC, Platelets, PT, PTT, BT, CT TX: Keep patient sitting with the head elevated Direct pressure with gently squeezing of the nostrils. Ice compresses to the nasal dorsum Vasoconstricting agents: 0,25% Phenylephrine, 0,05% Oxymetazoline, 1:1,000 Epinephrine. Cauterization with: Silver nitrate stick or swab with trichloroacetic Acid Anterior nasal packing with oxycellulose gauze (Surgicel) or absorvable gelatin sponge (Gelfoam) ENT specialist for: severe bleeding, posterior packing, fracture, reduction/surgery
  • 87.
  • 88.
  • 89.
    PHARYNGITIS-TONSILITIS Inflammation/infection ofthe membrane and underlying structures of pharynx and tonsils. Epidemiology: Streptococcal pharyngitis-more common between 5-15 years. Viral pharyngitis: Most of cases are due to a virus, at young age, winter Day care/kindergarten is a risk factor Etiology: Bacterial: G-A beta hemolytic streptococcus (S. pyogenes #1) Corynebacterium diphteria Viral: Adenovirus (mcc), EBV virus, Coxsackie (herpangina) Fungi: Candida (trush)- immunosuppressed infants. Chlorinated pool: adenovirus pharyngoconjunctival fever
  • 90.
    S/S: Symptoms: Strep: ↑ fever, sudden onset, headache, N/V, often abd. Pain. Viral: Rhinorrhea, cough, hoarseness, conjunctivitis, ulcerative lesions Signs: Pharyngeal erythema, tonsils ↑ yellowish exsudate, cervical tender lymph Petechia in soft palate and uvula, White pustules on the palatine tonsils Dysphagia, bad breath  GAS Scarletiniform rash suggest  GAS Splenomegaly and generalized adenopathy, rash after ampi/amox  EBV !!!!!!!
  • 91.
    Diagnosis: Clinically RapidStreptococcal test- Specificity 95-98% Sensitivity can be low (70-85%) Culture ( gold standard ) Monospot (Heterophyle Agglutination Antibody test) Viral Capsid Antigen Immunoglobin-M (vca-IgM) r/o acute EBV (serology) Risk factors: Acute Rheumatic fever, Glomerulonephritis Treatment: Viral: Symptomatic, nasal saline, lozenges, analgesics (Tylenol) Bacterial: 10 days course of Penicillin, Amoxil, Augmentin Alternative: one IM injection of benzathine Penicillin G 600.000/1.200.000U Pen Allergy: Erythromycin, Azythromycin, Cephalosporin Complications: Peritonsillar Abscess, Retropharyngeal abscess Risk factors: Acute Rheumatic fever, Glomerulonephritis
  • 92.
    Peritonsillar Abscess Complicationof tonsillitis/pharyngitis result in abscess in tonsillar fossa Cause: Group A B-hemolytic Strept., Staph aureus, Anaerobic bacteria Complication: Upper Respiratory Obstruction S/S: Fever, sore throat, dysphagia, trismus (pain when opening the mouth), Muffled voice (hot potato) , Drooling , Cervical adenopathy , Unilateral peritonsillar bulging, superior soft palate with deviation of the uvula . Unilateral neck pain. Pharinx: erythematous/edematous with enlarged and exsudative tonsils. Lab: CBC- leukocytosis with left shift, Rapid Strep test, gram stain. Cx of aspirate specimen. CT or U/S TX: High dose IV penicillin. Surgical drainage if needed. Tonsillectomy. Clindamycin, nafcillin, oxacillin if Staph is cultured
  • 93.
  • 94.
    Differential Diagnosis ofa Sore Throat VIRAL: Infectious mononucleosis: EBV Exsudative tonsillitis, cervical adenitis, fever. Pharyngeal inflammation, axillar lymphadenopathy, splenomegaly maculopapular rashes, petecchial enanthema in palate. Common in teenagers Diagnosis: >20% atypical lymphocytes on blood smear, positive Monospot (heterophyle agglutination antibody test) viral capsid antigen IgG / IgM, EBNA Pharyngoconjunctivitis: Adenovirus (APC) Fever, exsudative pharyngotonsillitis, conjunctivitis Herpangina: Coxsakie A virus Ulcers in anterior pillars and soft palate Common in summer Fever, vesicles in palate Hand, foot and mouth disease: Coxsakie (vesicles on palms, soles, mouth, buttocks)
  • 95.
  • 96.
  • 97.
    Bacterial: Retropharyngeal (tonsillar)abscess: GABHS (S pyogenes) or St. aureus. < 2 years. Fever, stridor, drooling, neck hyperextension w/ resistance to movement, sore throat, hoarseness, trismus, asymmetric tonsillar enlargement, Ant. Cervical nodes enlarged Severe Sx: dyspnea, SOB Dx: lateral neck films – increase in retropharyngeal space Tx: Emergency, hospitalization, surgical drainage, IV PCN or Clindamycin Epiglottitis : Hemophilus type B Children: high fever, toxic, drooling, absence of cough Fungal: Candida (oral trush)- on low imunosuppressed patients
  • 98.
  • 99.
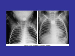
    FOREIGN BODY ASPIRATION Children often ingest or aspirate a foreign body, with variable outcomes. Missed or late diagnosis may lead to serious morbidity or death. Children will put almost anything they find into their mouth; like food (peanuts, grapes, candy, hot dog), batteries, buttons, coins, crayons, jewelry, marbles, paper clips, pen caps, pins, screws, toy parts, chicken or fish bones. History: Most ingestions and aspirations of a foreign body occur in a normal child in their home, under their parents care. Poor safety proofing; unattended child, running with food, or handling a small object It’s a toddler with a sudden onset of cough, choking, persistent wheezing, gags, and vomits at the time of ingestion Peak age: 6 months-4 years Pathology: Usually foreign object lodge below the carina. In toddlers, lodge in either mainstem In older children, they lodge in the Right mainstem
  • 100.
    S/S: Acute: Coughing, Gagging, Choking, Wheezing (localized) Chronic: asymmetrical/absent breath sounds, recurrent pneumonia Most common object: Peanut, then Candy, coins, grapes, Hot Dog CXR: Lower Airway Area: Unilateral hyperinflation, Air trapping on affected side. Atelectasis Mediastinum shift AWAY from affected side/atelectasis Esophageal area: lodged at one of these locations: Thoracic inlet Level of aortic arch and left mainstem bronchus Gastroesophageal junction,. CT scanning supplemented with virtual bronchoscopic imaging may further provide such useful information prior to an attempt at bronchoscopy TX: Removal by Rigid bronchoscopy, under anesthesia Inhalation to relieve bronchospasm following removal Complications: Aspiration Pneumonia, Lung abscess
  • 101.
  • 102.
  • 103.
  • 104.
    Epiglottitis A rapidly progressive and potentially fatal acute life threatening bacterial infection of the epiglottis, resulting in narrowing of the glottic opening Epiglottitis - Pathogenesis Haemophilus influenzae type B. (Rare due to Hib vaccine) Streptococcus Pneumonia, Streptococcus Group A Inflammation and edema of the epiglottis, arytenoids, arytenoepiglottic folds, and subglottic area Epiglottis pulled down into larynx and occludes the airway Differential Diagnosis Viral croup - barking cough, less abrupt, less toxic Bacterial tracheitis- S. aureus, H. influenzae, Strept., diphtheria Aspiration of a foreign body
  • 105.
    Epiglottitis - ClinicalManifestations * Abrupt onset of high fever (39- 40 degree celsius) *Rapid onset of toxicity *Rapid onset of respiratory distress (12 hours), drooling, chest wall retractions, inspiratory stridor, ronchi, retraction and late cyanosis, sore throat. *Muffled voice *Child prefers sitting in up position and leaning forward with hyperextended chin to maintain airway open. *Beefy-red epiglottis, dysphagia
  • 106.
    Epiglottitis – Diagnosis:Lab Visualization of epiglottis - “cherry red” Lateral neck x-rays: Shows “Thumb sign” of edematous epiglottis with narrowing of posterior airway WBC count > 15,000 left shift Blood cultures Treatment: Airway management: keep child upright, NEVER SUPINE. Adequate airway - nasotracheal intubation Take to O.R. to anesthesia and intubate with PPV under visualization. Don’t wait for X-ray IV fluids Oxygen by mask and adrenaline nebulizer (0.5 ml/kg of 1:1000 sol.) Cricothyrotomy if obstruction occur prior to controlled airway mgt. Prevention: HiB vaccination, Prevnar ATB: Cover G+ cocci, and G- Cefuroxime, Ceftriaxone, Ampicillin. Use for 10 days. Corticosteroids - reduce post-intubation inflammation
  • 107.
  • 108.
    ACUTE EPIGLOTTITIS WITH ERYTHEMA AND SWELLING
  • 109.
    On the left,an endoscopic view of the throat shows almost complete blockage of the airway (arrow). This finding is typical of epiglottitis. On the right, the airway has been opened (arrow) after insertion and removal of an endotracheal tube, although some redness and blood remain
  • 110.
  • 111.
  • 112.
    LARYNGITIS-LARYNGOTRACHEOBRONCHITIS-VIRAL CROUP Viralinfection characterized by: Barking cough, Inspiratory stridor, Hoarseness, due to subglottic inflammation Etiology: Parainfluenza virus type 1(m.c), type 2 and 3, RSV, influenza A/B Pathophysiology: -Virus enters body via respiratory droplets through nasopharynx airway -There is an immune response, resulting in subglottic narrowing -Edema and erythema of the mucosa of the subglottic tissue and / or tracheal mucosa, further narrowing the airway, resulting in stridor, hoarseness, cough  may lead to those complications: Ventilation/perfusion mismatch Hypoxia/hypercarbia: Air hunger, Anxiety/Lethargy
  • 113.
    Epidemiology: Occursmainly between 6-36 months. Self limited Ds. lasting 3-5 days. Prevalent in late fall/winter Person-to-person transmission via respiratory droplets. S/S: Prodrome: Coryza, nasal congestion, sore throat, cough, low grade fever Characteristic: hoarse voice and barking cough (mainly at night), loud inspiratory stridor, mild respiratory distress (sternal / suprasternal retractions, cyanosis) no sign of toxicity. LAB: X-Ray: The AP x-ray of the neck, shows the “ Steeple” sign. Narrowing of subglottic space The lateral view is useful in ruling out epiglottitis. Pulse oximetry- determine if hypoxia is present. Differential Diagnosis: Laryngomalacia, Peritonsillar abscess, Aspiration Epiglotitis, Bacterial Tracheitis
  • 114.
    TX: Rest athome, fluids Humidified air: by tent, face mask, cool mist vaporizer, steam in bathroom If Resp. distress- Intubate under visualization in the O.R. Don’t wait for X-ray Epinephrine: Use with NS in a nebulizer (0.5 ml/kg 1:1000 sol.) Dexamethasone: 0,6mg/kg IM. Decrease edema and inflammation Nebulized Budenoside-decrease laryngeal mucosa edema If severe: require intubation and ICU. Heliox prevent intubation Atb: If necessary.
  • 115.
  • 116.
  • 117.
    Differences between Croup,Epiglottitis, Tracheitis Characteristic Epiglottitis 3 m-3 y H. influenza Croup 3-6 years Parainfluenza virus Tracheitis 3 y-10 y Staph aureus Appearance toxic and unwell well looking Well to toxic Onset abrupt onset 4-12 hours viral prodrome, slower onset 1-7 days 2-3 days SX, with 10 hours decompensation Fever high fever (>38.5 o C) Low-moderate Moderate to high Stridor usually moderate-severe usually mild-moderate Mild inspiratory stridor Cough minimal or absent barking, seal-like quality Barking cough Speech unable to speak Muffled voice hoarse voice Hoarse voice Secretions unable to swallow, drooling of saliva able to swallow Mild secretions
  • 118.
    BACTERIAL TRACHEITIS Etiology: Patient with prior Croup or influenza infection. Secondary bacterial inf. by S. aureus (M.C.) M. catarrhalis, H. influenza Epidemiology: Can occur at any age between 3-10 years. Affect trachea S/S: Starts with Sx of URI  Fever >102F  Illness worsening over hours  Respiratory distress (retractions, grunting, dyspnea)  Voice normal to  hoarse  Barking cough, Inspiratory stridor, Dysphagia/Odinophagia LAB: X-Ray: irregular tracheal border TX: O2, Ventilation/Intubation if necessary, ATB, Inhalation, Mist tent
  • 119.
    RSV-BRONCHOLITIS Acuteinflammatory Ds. of lower resp. tract, due to obstruction of the small lung airways, following an URI tract. Etiology: RSV (M.C.), Influenza A, Adenovirus Epidemiology: Age 2-24 months, peak age 2-10 months Peak season: November-March Preemies at higher risk Incubation period: 4-5 days Pathophysiology: Transmitted by direct contact with nasal secretions or Resp. dropplets inducing damage to the bronchial epithelium of the small airways  resulting in inflammation, edema and airway hyperreactivity.
  • 120.
    LAB: ABG- Respiratory acidosis Pulse Oxymetry- Hypoxia RSV swab Viral Culture (nasopharinx)
  • 121.
  • 122.
  • 123.
    Tx: Oxygen to correct hypoxia: when O2 is less than 91%. Wean when higher than 94% saturation Correct Acidosis if necessary Aerolized B-adrenergic (albuterol): wheezing treatment ? IV fluids to correct losses secondary to poor intake. Corticoids: should not be used for routine care Aerolized Ribavirin. (Virazole- Good if RSV caught before the 3 rd day) Only FDA approved treatment for RSV-Lower respiratory tract infection in hospitalized infants Mist tent (nebulization) RSV vaccine for prematures and high risk infants.- Synagis (Palivizumab) Admission to hospital: hypoxia, no PO intake, severe Resp. Distress, toxic appearance, < 3 months.
  • 124.
  • 125.
  • 126.
    BRONCHITIS: Inflammation of the major conducting airways. Etiology: Viral (most common), following URI Bacterial: S. pneumonia, M. catarrhalis, H. influenza Allergic S/S: Dry hacking cough, nasal discharge, Low grade fever. Chest pain worse with coughing Thin clear sputum becomes purulent over 3-4 days, clears by 10 th day Scattered ronchi, sometimes wheezing LAB: WBC- normal to elevated CXR- increase in bronchovascular markings DD: asthma, foreign body TX: rest, fluids, mucolitics, cough suppressant (limited use), Nebulizations, ATB if necessary
  • 127.
    ASTHMA Is achronic inflammatory disorder affecting large and small airways Is a Reversible airways Ds, characterized by: Airway inflammation Secretion of mucus Bronchoconstriction Hyperresponsiveness to various stimuli Epidemiology: Most common chronic illness in children 12-15% of school age children 80-90% of children will have first symptom by age 3 60-70% will be free of symptoms by adulthood Etiology: Extrinsic- caused by several allergens, family history always positive Intrinsic- caused by: cold, infection, exercise, emotional,
  • 128.
  • 129.
  • 130.
  • 131.
  • 132.
  • 133.
  • 134.
  • 135.
  • 136.
  • 137.
  • 138.
  • 139.
  • 140.
  • 141.
  • 142.
  • 143.
  • 144.
  • 145.
  • 146.
    Pathophysiology: Immune systemis made up of: B and T cells. T cells  distinguish foreign invaders: bacterias, viruses, allergens B cells  produce antibodies that help fight off infecting organism Airway is invaded by inflammatory cells- mast cells, baso, eosino, neutrophils, B/T lymphocytes, macrophages One of the antibodies produced by the immune system is the IgE  known as the allergic antibody. -Allergens/infections antigens triggers inflammatory/immune response in airways. -IgE binds to Mast cells, found in the lining of nose, lungs, skin making the Mast cells to release chemicals such as histamines -IgE response initiate inflammation and bronchospasm -Inflammatory cells respond producing mediators- cytokines, leukotrienes  elevating inflammatory response, stimulating constriction of smooth muscle in bronchioles. -Airway smooth muscle becomes hyperresponsive  bronchospasm.
  • 147.
  • 148.
  • 149.
    Environmental Allergens and Childhood Asthma -Dust mites -Furry pets -Molds -Cockroaches
  • 150.
  • 151.
    LAB: Blood test: Eosinophilia, Elevated serum IgE Nasal test for presence of eosinophilia Skin testing (+) best test for allergen sensitivity Provocational tests: Methacholine challenge- confirm Dx of asthma. Measure airway hyperreactivity. RAST test Immunocap PFTest Measure degree of airway obstruction and response of broncho dilator Decreased PEFR Increased TLC-FRC-RV ABG: Decreased PO2, initially Respiratory alkalosis (hyperventilation), later Respiratory acidosis (CO2 retention) CXR: Hyperinflation, flat diaphragms, inc. peribronchial thickening, atelectasis R/O lung malformation, or other pathology. At home: Peak Flow Meter. Measures PEFR (peak exp. flow rate)
  • 152.
  • 153.
  • 154.
    TX-ACUTE: Epinephrine SC1:1000 0,01ml/kg/dose B2-agonists: Inhalation (albuterol- Accuneb) (levalbuterol-Xopenex) Nebulized Cortisone: Pulmicort Nebulized B2 agonist HFA: Pro-Air, Xopenex, Ventolin Theophyline- less safer. Oral/IV. Poor asthma control Monitor serum levels (5-15mg/ml) Oral steroids: Prednisone 2mg/kg/day 3-5 days. Should be tapered. Inhaled steroids: Beclomethasone (Beclovent), Fluticasone (Flovent) IV steroids: Dexamethasone (Decadron), Hydrocortisone Oxygen, Chest physical therapy, Mucolitics, ATB if necessary Control about known triggers.
  • 155.
  • 156.
  • 157.
  • 158.
  • 159.
  • 160.
  • 161.
  • 162.
  • 163.
    CHRONIC: -Avoidance of known triggers. -Beta2 Agonists MDI (Proventil, Ventolin) -Leukotrienes Modifiers: Montelukast (Singulair). Decrease # of eosinophils. Block effect of inflammatory mediators. -Inhaled steroids (Pulmicort). -Combination Fluticasone/Salmeterol: Advair -Exercices (swimming) -Immunotherapy: XOLAIR anti-IgE immunomodulator, blocking its interaction with mast cell and basophils.
  • 164.
    PNEUMONIA Inflammationand infection of the lung parenchyma due to bacterial or viral pathogens. Classified by anatomy: Lobar, Interstitial, Bronchopneumonia Etiology: Viral: Adenovirus, Influenza, RSV Bacterial: Neonates: GBS, Chlamydia, E. coli, Listeria monocytogenes 1month-6 years: S. pneumonia, H. influenza Adolescents: S. pneumonia, Mycoplasma pneumonia Immunocompromised: Pseudomonas, klebsiela, Fungi, PCP
  • 165.
    Epidemiology: Children 2-4 years, are more susceptible than older children May follow epidemics of viral infection Winter/spring most common Day care/ kindergarten S/S: Tachypnea, dyspnea, cough, intercostal retractions, nasal flaring, grunting, fever, accessory resp. muscles usage, chest pain, lethargy, hypoxia, rales/crackles, decreased breath sound/dullness to percussion (consolidation). LAB: CBC: WBC with left shift, Blood culture (if severe picture), Pleural fluid studies (effusion), ABG CXR: Lobar consolidation ( S. pneumonia and H. influenza ), Hilar adenopathy ( TB ), Pneumatoceles ( S. aureus/G- ), Bilateral diffuse infiltrate ( Mycoplasma ), Abscess ( klebsiella ) Mycoplasma: Presence of Cold agglutinin titers Prevention: Pneumovax vaccine in immunocompromised children, SC Ds.
  • 166.
    ATB according toPathogen: S. aureus : Nafcillin, Oxacillin S. Pneumonia : Penicillin G, Ampicillin, Cephalosporin. Resistant: Vancomycin H. influenza : Cephalosporin 3rd generation G- : Aminoglycoside with broad activity: Amikacin, Tobramycin, Gentamycin Anaerobic infection (aspiration pneumonia) Penicillin, Clindamycin Mycoplasma pneumonia/Chlamydia : Erythro/Azythromycin, Doxycycline TX: Outpatient: ATB (Amoxil, Ampicillin, Erythro-10 days), inhalation, rest, fluids. Inpatient: Toxic appearance, Severe Resp. Distress, Hypoxic, Unable to take PO Age < 2 Humidified oxygen as needed, IV fluid for hydration Drainage of pleural effusion if necessary ATB: Neonates : Ampicillin, Gentamicin, 3rd Gen. Cephalosporin (Cefotaxime), Pen. Older chidren : Ampicillin, 3rd Gen. Cephalosporin (Cefotaxime, Ceftriaxone)
  • 167.
  • 168.
  • 169.
  • 170.
    CYSTIC FIBROSISIt is Autosomal Recessive Ds., and most common lethal inherited metabolic disorder in the white population affecting the exocrine glands of the body Genetics: Is a defective gene on long arm of chromossome 7 with a F508 codon mutation resulting in improper sodium chloride transport within the cells  Secretions Incidence: 1: 2000 live births in the Caucasian population S/S: Characterized by thick, sticky mucus secretions that clogs lungs, pancreas. Lungs: Thick secretions obstruct airways  severe and recurrent infections ( S. aureus, P. aeroginosa ) Pneumonia  Bronchiectasy  Fibrosis, poor lung function Pancreas: Obstructed glands ducts prevent enzymes from being released, leading to fat/protein malabsorption  to malnutrition and FTT (steathorrhea). Intestinal obstruction at birth, known as meconium ileus in 5-10% of CF patients Other S/S: Rectal prolapse, digital clubbing (hypoxemia), recurrent sinus infections, salty sweat , persistent cough, bulky foul-smelling stools, hypoxia, cyanosis, male infertility.
  • 171.
    LAB: Sweat chloride above 60mEq/L is positive Pulmonary Function test Sputum culture, Lytes, CBC CXR: Hyperinflation, peribronchial thickening, atelectasis, bronchiectasis Stool trypsin levels ( trypsin deficiency) Detection of Delta F-508 genotype by DNA analysis Treatment: Genetic Counseling Treat specific pathology with ATB of broad spectrum Vitamins, Inhalations (Albuterol), Physical Therapy with chest vibrators Pancreatic enzymes (enteric coated), Oxygen Diet: high caloric intake diet with nutritional supplement Mucolitic: N-acetyl cysteine (MUCOMYST) DNAse inhaled- thin the mucus plug Lung transplantation/ Gene therapy
  • 172.
  • 173.
  • 174.
  • 175.
  • 176.
  • 177.
  • 178.
  • 179.
  • 180.
  • 181.
  • 182.
  • 183.
  • 184.
  • 185.
  • 186.
  • 187.
  • 188.
  • 189.
  • 190.
    SUDDEN INFANT DEATHSYNDROME- “CRIB DEATH” Sudden and unexpected death of an infant less than 1 year old. Age 2-4 m Etiology: Poverty (Bed Sharing) Low birth weight, SGA, Prematurity Maternal substance abuse Hypo/Hyperthermia, Exposure to cigarette smoking Pathophysiology: Unknown. Theories: central apnea, Upper airway obstruction, Cardiac arrythmias, prone sleeping position. Epidemiology: 1.5/ 1000 live births. 6.000/10.000 deaths/year in USA TX: Resuscitation if possible Prevention: Avoid prone position and usage of soft or loose bedding. Place infant on his “ BACK” to sleep on a firm mattress.