K MOHAMED RAFI
• CLINICAL FEATURES
• CATEGORY
• Upper/lower
• acute/chronic
• IMAGING
• ARTERIAL ANATOMY
• PATHOLOGY
• TREATMENT
• Patients with significant upper gastrointestinal
bleeding have bright red or coffee-ground
hematemesis or melena.
• Patients with lower gastrointestinal bleeding present
with hematochezia or melena.
• Gastrointestinal bleeding is typically categorized as
being from an upper gastrointestinal source (from the
esophagus to the ligament of treitz) or lower
gastrointestinal source (from the small bowel, colon, or
rectum).
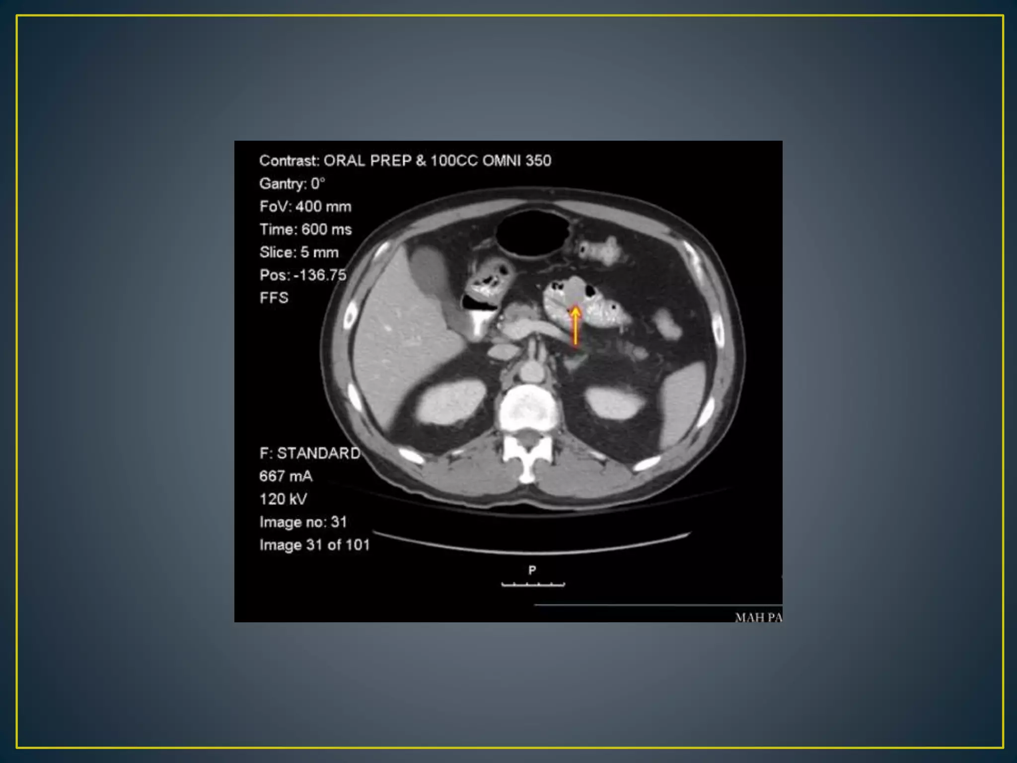
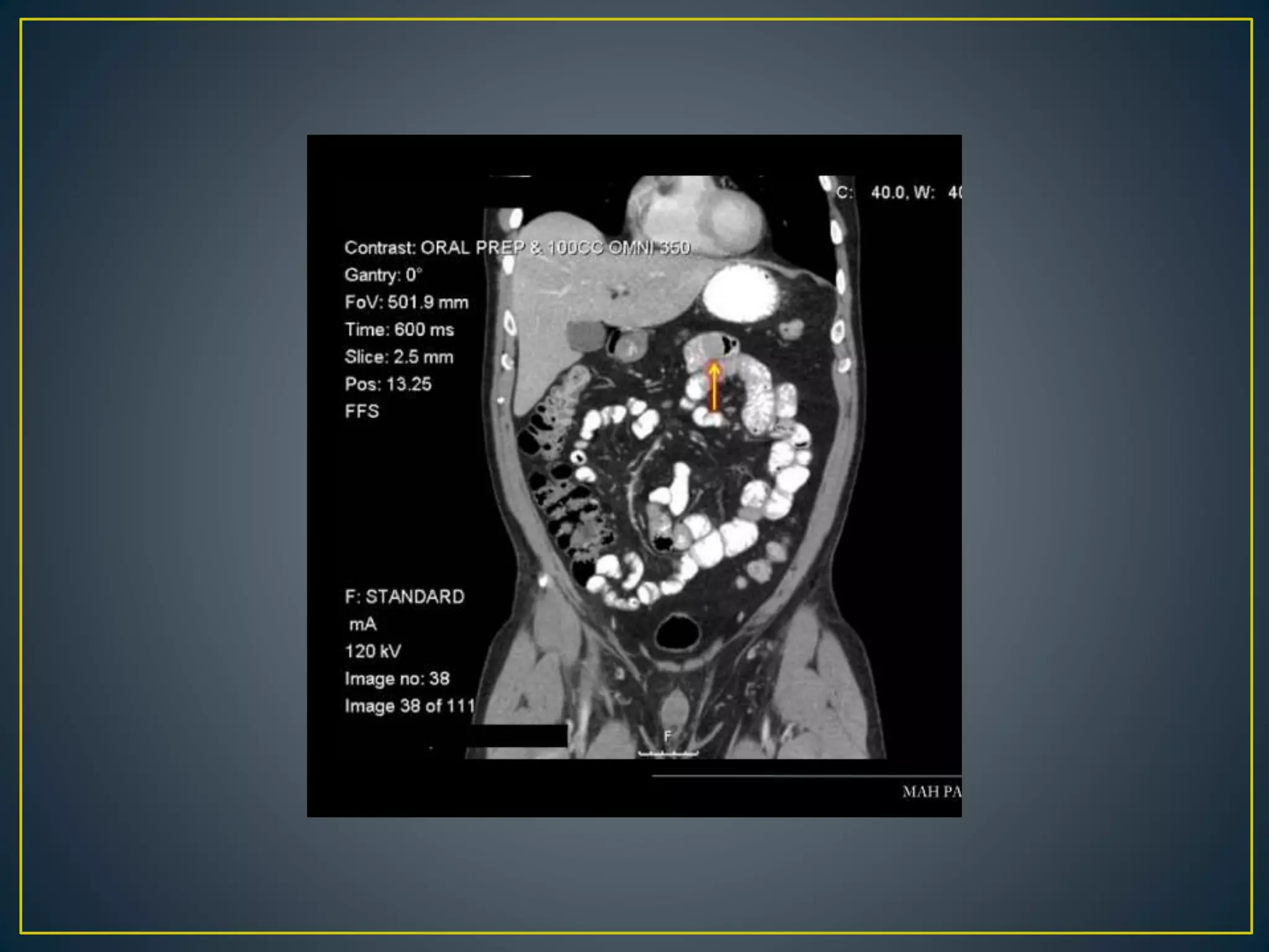
LIGAMENT OF TREITZ
UPPER
LOWER
• Types of UGI bleeding
• Obvious bleeding
• Hematemesis
• Bloody vomitus
• Appears fresh, bright red blood or “coffee grounds”
• Melena
• Black, tarry stools
• Caused by digestion of blood in GI tract
• Black appearance—iron
• Occult bleeding
Small amounts of blood in gastric secretions, vomitus, or stools
Undetectable by appearance
Detectable by guaiac test
• Gastroduodenal ulcer disease remains the most common
cause, responsible for half of bleeding episodes.
• Gastric varices secondary to portal hypertension of
alcoholic cirrhosis constitutes the next most frequent
source
• Mallory-weiss mucosal tears at the gastroesophageal
junction (8% to 10%), esophagitis (3% to 5%),
malignancy (3%), dieulafoy’s lesion (1% to 3%), and
more recently, “watermelon” stomach (1% to 2%). Other
causes.
• 5% of patients suffer from persistent, intermittent
bleeding that may be difficult to localize (so-called
"obscure" bleeding).
• Anorectal fissures
• Swallowed maternal blood
• Necrotizing enterocolitis
• Malrotation with midgut volvulus
• Hirschsprung disease
• Anorectal fissures
• Allergic enterocolitis
• Intussusception
• Meckel diverticulum
• Hemolytic uremic syndrome
• Henoch-Schonlein purpura
• Lymphonodular hyperplasia
• Gastrointestinal duplication
• Infectious colitis
• After the patient is resuscitated and a nasogastric tube is
placed, endoscopy or colonoscopy is usually performed
initially to identify and treat a lesion.
• Imaging is needed only when the bleeding site cannot be
identified or trans-catheter treatment is contemplated.
• Endoscopy/colonoscopy
• Angiogram
• Scintigraphy
• CT
• BARUIM –Contraindicated in acute condition
• Upper endoscopy allows for examination of the
lining of the upper part of the gastrointestinal (GI)
tract, which includes the esophagus, stomach and
duodenum (first portion of the small intestine).
• An extended version of the conventional
endoscope (called a "push endoscope") may be
employed to study the upper part-about 40 inches-
of the small intestine
• Capsule endoscopy uses a swallowable capsule
containing tiny video cameras. The capsule, about the
size of a large vitamin pill, contains a light source,
batteries, a radio transmitter, and an antenna. The
capsule transmits the images to a recording device worn
around the patient's waist. When complete, the recording
is downloaded to a computer which displays it on a
screen. The capsule is disposable and usually takes
eight hours to move through the digestive system, after
which it is passed harmlessly in a bowel movement
• Contrast media injection to blood vessel supply
of suspected organ of active bleeding .
- Active bleeding durling contrast media injection
> 0.5 ml/min.
• - Contrast media extravasation .
- Intensive blush of stomach :
Diffuse hemorrhagic gastritis .
- Esophageal or gastric varice in venous phase .
• Upper gastrointestinal bleeding is evaluated by celiac
arteriography, followed by superior mesenteric
arteriography
• If no bleeding site is found, selective left gastric or
gastro-duodenal arteriography(since it is most common
source of bleeding in gastric ulcer) may detect a subtle
bleed. If results of all these studies are negative,
inferior mesenteric arteriography should be
considered.
• Presumed lower gastrointestinal bleeding is evaluated
by superior mesenteric arteriography, followed by
inferior mesenteric arteriography.
• The hallmark of gastrointestinal hemorrhage is extrava-
sation of contrast material into the bowel
• Occasionally, extravasated contrast has a curvilinear
shape that mimics a vascular structure (pseudovein sign)
Arteriography in the diagnosis of small-bowel bleeding
Advantages
Accurately identifies the anatomic location of bleeding
May allow hemostatic therapy
Disadvantages and complications
Invasive
High cost
Requires invasive radiologist and special equipment
Major complications (< 2%):
Formation of false aneurysm
Occlusion of the artery at the site of catheter insertion
Contrast-related allergic reactions; acute renal failure
Complications specific to therapeutic methods used
Reasons for false-negative results (overall)
Bleeding stopped
Insufficient contrast
Short period of observation
Very slow active bleeding (< 0.5-1 mL/min)
Failure to include the bleeding site on the film
Early termination because of patient's clinical deterioration
The bleeding vessel may be overlooked or not selectively opacified
Unfavorable anatomy (stenosis, anomalies, aneurysms, tortuous arteries)
May be difficult to differentiate from normal mucosal blush if bleeding is diffuse
Dilution of contrast in the venous phase may prevent visualization from varices
• Scintigraphy is done with 9"Tc- sulfur colloid or 99mTc-labeled
red blood Cells.
• The thresh- old for detection of gastrointestinal bleeding is
quoted as ranging from 0.05 to 0.4 ml minute, compared with a
rate of about 0.5 ml minute with angiography.
• Most centers prefer red blood cell scanning over sulfur colloid
scanning. Red blood cell scans are more sensitive, avoid
significant background activity over the liver and spleen, and
can show intermittent bleeding through delayed imaging
• The Scintigraphy imaging suffers from a low specificity (50%) due
to its limited resolution
• Both methods can localize the bleeding site.
However, forward or backward movement of tracer in
the bowel can mislead the reader.
• Patients with negative scan results are observed.
Patients with positive scan results should undergo
immediate angiography
99m Sulfur colloid
• 99m Sulfur colloid requires no
preparation.
• This agent has a very short
half-life (2.5-3.5 min) because it
is rapidly cleared by the
reticulo-endothelial system
• It has to given again and again
• Because it enhances the liver
and spleen, bleeding from both
the hepatic flexures and the
splenic flexures may be
obscured
99m Technetium–labeled red
blood cell
• 99m Technetium–labeled red blood
cell scanning is the preferred
technique because its half-life is
longer.
• Images delayed up to 24 hours can
be taken with labeled red blood cell
scanning
• The bleeding site can be identified
accurately when intraluminal
accumulation of 99m technetium–
labeled red blood cells is observed
• Recently, cinematic technetium Tc
99m red blood cell Scintigraphy
(continuous real-time scanning)
has been described as a
noninvasive alternative to
mesenteric angiography
• Recent advances in CT technology allowing thinner
collimation, faster scanning times, greater anatomic
coverage, and better multi-planar reformatted (MPR)
images have greatly expanded the diagnostic role of CT
angiography for GI BLEEDING
• The CT angiographic diagnosis of active gastrointestinal
bleeding is made when hyper attenuating extravasated
contrast material is seen within the bowel lumen . The
extravasated contrast material may demonstrate linear,
jet like, swirled, ellipsoid, or pooled configurations or may
fill the entire bowel lumen, resulting in a hyper-
attenuating loop
COMPARE WITH
NECT ALWAYS
• Translucent defect of blood clot at
ulcer bottom or adhere to mucosa .
• Small circle of translucent defect at
ulcer bottom : - visible vessel .
• “ Larval flow” of barium at ulcer bottom :
- active bleeding .
• The celiac artery originates from the anterior surface of
the aorta at about the T12 level .
• The main trunk can take an upward, downward, or
forward course. Within 1 to 2 cm of its origin, it gives off
the left gastric artery and then divides into the common
hepatic and splenic artery
• The common hepatic artery runs toward the liver. After
giving off the gastroduodenal artery, it becomes the
proper hepatic artery and then divides into right and left
(and occasionally middle) hepatic arteries
• The middle hepatic artery supplies the quadrate lobe.
• The right gastric artery usually takes off from the
common or left hepatic artery but often is not visualized
at angiography. It supplies the pylorus and the lesser
curvature of the stomach and communicates with
distal branches of the left gastric artery.
• The cystic artery usually originates from the right hepatic
artery, although it may arise more proximally.
• The gastroduodenal artery runs between the neck of the
pancreas and the duodenum. Its first major branch
is the posterior superior pancreaticoduodenal artery.
• This vessel gives off branches to the pancreas on the left
and to the duodenum on the right.
• The gastroduodenal artery then divides into its terminal
branches, the anterior superior pancreaticoduodenal
artery and the right gastroepiploic artery
• The superior pancreaticoduodenal arteries lead into an
arterial network that supplies the head of the pancreas.
These vessels have rich anastomoses with the
corresponding branches of the inferior
pancreaticoduodenal artery, which originates from the
SMA
• The right gastroepiploic artery runs along the greater
curvature of the stomach and
• The SMA supplies the bowel from the distal duodenum to
the mid-transverse colon It originates from the
anterior surface of the aorta at about the L1-L2
level, approximately 1 to 2 cm below the celiac trunk.
The SMA runs behind the body of the pancreas and
then enters the root of the mesentery.
• The IMA supplies the colon from its mid-transverse
segment to the rectum . It originates from the left
anterolateral surface of the aorta at about the L3-L4
level.
• The vessel runs inferiorly for several centimeters and
then gives off the left colic artery.
• Anomalies in the origins of the central mesenteric
arteriesare rare. Anomalies in the branching patterns of
the mesenteric arteries are common. It is vital to be alert
to potentialvariants when performing angiographic
procedures.
• The important variants formulated by the classic
anatomic studies
• The intestinal tract has an extensive collateral network
that prevents or limits bowel ischemia when central
arteries become obstructed.
• The different collateral routes between the SMA and
IMA are often confused.
• The marginal artery (of Drummond) is a longitudinal
vessel formed by trunks or distal branches of the
right, middle, and left colic arteries. It runs along the
entire mesenteric border of the colon.
• The arc of Riolan is a central vessel running in the
mesentery that directly connects the middle colic artery
with the left colic artery.
• PEPTIC ULCER
• ACUTE GASTRIC MUCOSAL LESION
• MALLORY WEISS TEAR
• BOERHAAVE SYNDROME
• GASTRIC VARICES
• DIERTICULOSIS
• ANGIODYPLASIA
• PSUDOANEURYSM
Five types of gastric ulcers occur, based on their location
and acid-secretory status
• Type 1 gastric ulcers are located on the lesser curvature of the
stomach at or near the incisura angularis. These ulcers are not
associated with a hypersecretory acid state
• Type 2 ulcers represent a combination of 2 ulcers that are associated
with a hypersecretory acid state. The ulcer locations occur in the
body of the stomach in the region of the incisura. The second ulcer
occurs in the duodenum
• Type 3 ulcers are prepyloric ulcers. They are associated with high
acid output and are usually within 3 cm of the pylorus
• Type 4 ulcers are located high on the lesser curvature of the stomach
and are not associated with high acid output (USUALLY PRESENT
WITH BLEEDING)
• Type 5 ulcers are related to the ingestion of NSAIDs or aspirin.
These ulcers can occur anywhere in the stomach
• Peptic ulcer disease produces puddles of contrast
outlining the gastric or duodenal mucosa.
• With gastric ulcers, the bleeding source may be the left or
right gastric artery, left or right gastro-epiploic artery, or
short gastric branches of the splenic artery.
• With pyloric and duodenal ulcers, bleeding usually
comes from duodenal branches of the gastro-duodenal
artery or the right gastro-epiploic artery
RULE OF THUMB IS
ANTERIOR DUODENAL
ULCER PERFORATE
WHILE POSTERIOR
ULCER BLEED
• Acute gastric mucosal lesions (AGMLs) include a broad
category of acute erosive mucosal conditions that
develop in critically ill patients.
• Also known as stress gastritis, acute mucosal ischemia,
erosive gastritis, or stress ulceration,.
• They are characterized by stigmata of mucosal injury
evidenced by mucosal pallor, petechiae, and erosions.
• The lesions can be distributed throughout the gastric
mucosa but are predominantly identified in the body of
the stomach.
• Bleeding is the clinical presenting sign in critically ill
patients. The bleeding may be massive and life
threatening.
• Findings at endoscopy are characterized by diffuse
petechiae, superficial erosions, and mucosal pallor.
• If a solitary site of bleeding is identified, endoscopic
therapy, such as thermal or bipolar
electrocoagulation, fibrin glue application, or
injection therapy, is appropriate
• Is limited to diffuse, unremitting hemorrhage.
Selective celiac catheterization may allow
identification of the bleeding arteries of origin.
Embolization with coils or collagen gel or selective
intra-arterial infusion of vasopressin may arrest
bleeding in up to 80% of patients provided that
selective bleeding vessels can be identified.
• Recurrent bleeding is common, however, and the
mortality of patients with this degree of hemorrhage
is in excess of 50%. Death ensues from multisystem
failure precipitated by ongoing hemorrhage and
recurrent shock.
Varioliform erosive gastritis.
Multiple punctate erosions are
seen in the gastric antrum and
body, each surrounded by a halo
of oedema.
• Variceal bleeding is one of the most alarming life-threatening
complications of cirrhosis.
• Sixty percent of patients with cirrhosis develop esophageal varices
• Thirty percent of these patients bleed from their varices within 2 years
of their diagnosis
• 50% bleed at some point during their lifetime
• The mortality rate for variceal bleeding is 30-50%, which is much
higher than any other cause of UGIB
• Portal hypertension can be classified according to the anatomic location
within the portal system that is the site for increased resistance to portal
flow
• Pre-sinusoidal, sinusoidal, and post-sinusoidal
66
67
Bleeding esophageal
varices
68
1. Serpiginous filling defects which
appear as round or oval filling defects
resembling the beads of a rosary( dilated
venous structures) ( arrowhead).
2. Changes size and appearance with
variations in intrathoracic pressure and
collapse with esophageal peristalsis and
distension.
3. Varices related to portal
hypertension are most commonly
demonstrated in the lower third of the
esophagus.
4. In portal hypertension ; common
accompanying gastric varices(arrow).
• Placement of a TIPS reduces the outflow hepatic
resistance, lowers portal pressure, and diverts portal
blood flow from gastroesophageal collaterals through the
stent
• Stent is dilated to approximately 10-12 mm in diameter.
Once the stent is in proper position, pressures are
measured in the portal vein, the stent, and the right
atrium
• Decrease of the PHVG to less than 12 mm Hg
• Portal-to-atrial pressure gradient to less than 12 mm Hg
• Controls variceal bleeding in more than 90% of patients
• Rebleeding rate is 16-30% at 1-year follow-up, and this is
most commonly related to stenosis of the intrahepatic
shunt or obstruction of the shunt
• Shunt dysfunction occurs in approximately 50-60% of
patients at 6 months
• Doppler ultrasound imaging and re-dilation has increased
the 1-year patency rate to 83-85%
• Hepatic encephalopathy is 25-35%, but this can usually
be managed with protein restriction and lactulose
TIPS = Transjugular Intrahepatic Portosystemic Shunt
• The lesion is characterized by a tear in the proximal
gastric mucosa near the esophagogastric junction.
The clinical presentation is typified by an antecedent
history of vomiting, retching, or coughing followed
by hematemesis. The mean age for patients with this
condition is older than 60 years; 80% are men.
• Up to 90% of these lesions stop bleeding
spontaneously without specific intervention. Patients
with cirrhosis and portal hypertension with
coagulopathy are at greatest risk for morality, which
overall averages 3%.[
• Boerhaave syndrome is rupture of the esophageal wall.
It is most often caused by excessive vomiting in eating
disorders such as bulimia although it may rarely occur in
extremely forceful coughing or other situations, such as
obstruction by food.
Boerhaave syndrome is a transmural or full-thickness
perforation of the esophagus, distinct from Mallory-Weiss
syndrome, a nontransmural esophageal tear also associated
with vomiting.
These syndromes are distinct from iatrogenic perforation,
which accounts for 85-90% of cases of esophageal rupture,
typically as a complication of an endoscopic procedure,
feeding tube, or unrelated surgery.
• LEFT ANTEROLATERAL WALL IS MOST COMMONLY
INVOLVED
• Gastric varices are broadly classified by Sarin and Kumar
into two types: gastroesophageal varices and isolated
gastric varices.
• Isolated gastric varices are subclassified into type 1
(varices located in the fundus of the stomach) and type 2
(isolated ectopic varices located anywhere in the
stomach).
• Gastric varices can develop secondary to portal
hypertension, in conjunction with esophageal varices, or
secondary to sinistral hypertension from splenic vein
thrombosis.
•
• Isolated gastric varices tend to occur secondary to
splenic vein thrombosis. Splenic blood flows
retrograde through the short and posterior gastric
veins into the varices, then hepatopetally through the
coronary vein into the portal vein. Left-to-right
retrograde flow through the gastroepiploic vein to the
superior mesenteric vein can explain the
development of ectopic varices in the stomach.
• Gastric varices in the setting of splenic vein
thrombosis are readily treated by splenectomy.
Patients with bleeding gastric varices should have an
abdominal ultrasound to document splenic vein
thrombosis prior to surgical intervention, because
gastric varices are most often associated with
generalized portal hypertension
Type Description Treatment
I. Gastric varices appearing as an inferior extension
of oesophageal varices across the squamo-columnar
junction Injection sclerotherapy
II. Gastric varices located in the fundus, but converging
on the cardia. Usually assosiated with oesophageal
varices Portosystemic shunting
III. Isolated gastric varices in the body or fundus. Usually
the result of sectorial portal hypertension.
Splenectomy
• Results from incomplete obliteration of the
omphalomesenteric duct
• Ulceration of adjacent ileal mucosa by heterotopic gastric
mucosa in the diverticulum
• Painless passage of
large amount of blood
• “Rule of Twos”
• 99mTc-Pertechnetate Scan - injected IV and accumulates
in gastric tissue - RLQ uptake is diagnostic of Meckel’s
diverticulum
• False (+) - bleeding lesions such as Crohn’s disease,
intussusception, hemangioma, PUD
• False (-) - Barium, bladder overdistention, no gastric
mucosa in diverticulum
• Most common in children under 2 years
• Colicky abdominal pain, vomiting, palpable sausage-
shaped abdominal mass, passage of “currant jelly
stool”
• Arteriovenous malformations located in the cecum and
ascending colonLesion affecting elderly persons older
than 60 years
• Composed of clusters of dilated vessels, mostly veins, in
the colonic mucosa and submucosa
• Colonic angiodysplasias are believed to occur as a result
of chronic, intermittent, low-grade obstruction of
submucosal veins as they penetrate the muscular layer
of the colon
• Angiodysplasia tends to cause slow but repeated
episodes of bleeding
• Angiodysplasias can be easily recognized by
colonoscopy as 1.5- to 2-mm red patches in the mucosa
• Angiodysplasia is diagnosed by early and then
persistent filling of a draining vein and by an abnormal
cluster of vessels in the bowel wall
• Lesions can be multiple. The abnormality is identified by
early venous drainage from one portion of the bowel or
a "tram track" sign from simultaneous opacification of the
feeding artery and draining vein.
• Contrast extravasation usually is not seen. Because
angiodysplasia is relatively common in elderly patients
and may be an incidental finding, other sources of
bleeding should be considered.
• Diverticulosis Has been implicated as the source of
bleeding in as many as 60% of cases of lower GI
bleeding.
• The diverticula are more prevalent in the left or sigmoid
colon, but positive arteriography findings for bleeding
localizes the bleeding to the right colon in 60% of cases
• Diverticular bleeding does not have a characteristic
appearance unless contrast fills the diverticulum itself
—MDCT scan obtained in 71-year-old woman with hematochezia from bleeding sigmoid
diverticulum shows extravasated contrast material (arrow) flowing into lumen.
Tew K et al. AJR 2004;182:427-430
• Hemobilia is defined as bleeding into the biliary tree from
an abnormal communication between a blood vessel and
bile duct. It is a rare condition that is often difficult to
distinguish from common causes of gastrointestinal
bleeding.
• The most common causes of hemobilia are iatrogenic
trauma, accidental trauma, gallstones, tumors,
inflammatory disorders, and vascular disorders.
• In recent years, iatrogenic trauma dominates as the most
common cause of hemobilia and is usually related to
interventional radiologic procedures.
• Major hemobilia is rare, whereas minor inconsequential
hemobilia is a common consequence of gallstone disease
or interventional hepatic procedures.
• Portal venous bleeding into the biliary tree is rare,
minor, and self-limited unless the portal pressure is
elevated.
• Arterial hemobilia, the most common source, can be
dramatic, however. Clinical sequelae of hemobilia are
related to blood loss and the formation of potentially
occlusive blood clots in the biliary tree.
• The classic triad of symptoms and signs of hemobilia
are upper abdominal pain, upper gastrointestinal
hemorrhage, and jaundice
• Once hemobilia is suspected, the first evaluation should be
upper gastrointestinal endoscopy, which rules out other
sources of hemorrhage and may visualize bleeding from the
ampulla of Vater. Upper endoscopy is only diagnostic of
hemobilia in about 10% of cases, however.[
• If upper endoscopy is diagnostic and conservative
management is planned, no further studies are necessary.
• Ultrasound or CT may be helpful in demonstrating intrahepatic
tumor or hematoma. Evidence of active bleeding into the biliary
tree seen on CECT in the form of pooling contrast, intraluminal
clots, and biliary dilation.
• Arterial angiography is now recognized as the test of choice
when hemobilia is suspected and will reveal the source of
bleeding in about 90% of cases.
• Cholangiography demonstrates blood clots in the biliary tree,
which may appear as stringy defects or smaller spherical
defects. The latter may be difficult to distinguish from stones
• Axial contrast-enhanced
CT image showing
defect in the right lobe
of the liver with adjacent
perihepatic fluid
collection (upward
arrow). Enhancing
lesion is seen anterior
to the right branch of
the portal vein (down
ward arrow). Drain tip is
seen anteriorly, in
perihepatic location
(leftward arrow)
• Axial plane thick
multiplanar
reformation CT
angiography image
showing
pseudoaneurysm of
the right branch of
the hepatic artery
(upward arrow)
• Coronal plane thick
multiplanar reformation CT
angiography image showing
right hepatic artery
pseudoaneurysm with
normal common hepatic
artery (upward arrow), left
hepatic artery (leftward
arrow), and gastroduodenal
artery (rightward arrow);
proximal right hepatic artery
is normal (small downward
arrow) with pseudoaneurysm
arising further distally (large
downward arrow)
• Bowel ischemia is mainly a disease of old age caused by
atheroma of mesenteric vessels. Other causes include
embolic disease, vasculitis, fibromuscular hyperplasia, aortic
aneurysm, blunt abdominal trauma, disseminated
intravascular coagulation, irradiation, and hypovolemic or
endotoxic shock.[4]
• Occlusive mesenteric infarction (embolus or thrombosis) has a
90% mortality rate, whereas nonocclusive disease has a 10%
mortality rate.
• Venous infarction occurs in young patients, usually after
abdominal surgery.[5] Patients may present with colicky
abdominal pain, which becomes continuous. It may be
associated with vomiting, diarrhea, or rectal bleeding.[6, 7, 8, 9]
• Watershed areas, including the splenic flexure and the
rectosigmoid junction
• Commonly observed after patients' sixth decade of life
• Ischemia causes mucosal and partial-thickness colonic
wall sloughing, edema, and bleeding
• Abdominal pain and bloody diarrhea are the main clinical
manifestations
• pseudo aneurysm, also known as a false aneurysm, is
a hematoma that forms as the result of a leaking hole in
an artery. Note that the hematoma forms outside the
arterial wall, so it is contained by the surrounding tissues.
Also it must continue to communicate with the artery to
be considered a pseudo aneurysm.
• This must be distinguished from a true aneurysm which is
a localised dilatation of an artery including all the layers
of the wall.
Axial CT scan with intravenous contrast material reveals a
pseudoaneurysm (arrow) projecting from the splenic artery.
Pseudoaneurysm
• Aortoenteric fistula is an uncommon condition in
which an inflammatory tract develops between the
aorta and the gastrointestinal tract.
• The fistula may develop as a primary process
resulting from infectious aortitis, or inflammatory
aortic aneurysm, or as a secondary process
following aortic replacement with a synthetic graft for
treatment of abdominal aortic aneurysm. The
secondary aortoenteric fistulas are by far the more
common cause, and this complication may develop
in up to 1% of patients after aortic aneurysm repair.
• The fistulas characteristically develop between the
proximal anastomosis and the overlying small bowel
(duodenum or jejunum), although communication to the
colon has also been noted.
• It is thought that a low-grade infection at the site of
contact between the anastomosis and the bowel leads to
the fistula formation.
• This diagnosis must be considered in any patient with
acute gastrointestinal hemorrhage and a history of aortic
surgery. The “herald” bleed, an episode of acute
hemorrhage that ceases spontaneously, occurs hours to
days prior to the inevitable exsanguinating hemorrhage
that will ensue if the condition is not recognized and
treated.
• Dieulafoy’s vascular malformations are rare causes
of acute upper gastrointestinal hemorrhage. The
lesions are unusually large submucosal or mucosal
vessels found in the gastric mucosa, most commonly
along the lesser curvature in the mid-stomach. The
lesion is most frequently diagnosed in middle life and
is not associated with identifiable factors for mucosal
injury, vascular disease, or medical conditions.
• Bleeding occurs when superficial erosion into the
vessel occurs, resulting in brisk, voluminous
hemorrhage that ceases spontaneously. Endoscopic
diagnosis is difficult because the lesion is rarely
associated with an obvious ulcerated lesion
• Surgery was once the only therapy for a Dieulafoy’s
lesion but is now reserved for patients in whom other
modalities have failed. The surgical management
consists of gastric wedge resection to include the
offending vessel. The difficulty at the time of surgery
is locating the lesion unless it is actively bleeding.
Classification of vascular malformations that cause gastrointestinal hemorrhage
Arteriovenous malformations (AVMs): Dilation of existing vascular structures
Type I AVM (angiodysplasia, vascular ectasia of the colon, vascular dysplasia of the colon)
Dilatation and ectasia of veins, venules, and capillaries in colonic mucosa and submucosa
Important cause of lower gastrointestinal bleeding
Majority of patients are older than 60 years of age
20%-25% have aortic stenosis
Usually are multiple and occur mainly in the right colon
Difficult to identify
Type II AVM
Rare, probably congenital
Bleeding usually occurs before the age of 50
Small bowel is the most common location but may occur anywhere
Larger than type I AVMs
May be visible at laparotomy
Type III AVM (hereditary hemorrhagic telangiectasia, Osler-Weber-Rendu syndrome)
Rare
Autosomal dominant
Throughout the gastrointestinal tract
Repeated bleeding episodes from nasopharynx and gastrointestinal tract
Most have a positive family history
Lesions readily visible on face, oral, and nasopharyngeal mucosa
Small-bowel tumors as the cause of gastrointestinal hemorrhage
General Concepts of Small-Bowel Tumors:
Represents only 1%-2% of gastrointestinal malignancies
Except for adenocarcinoma, small-bowel tumors are more common distally
Bleeding (overt or occult) is a prominent feature, being more common with benign than withmalignant lesions.
Among malignant tumors, leiomyosarcoma ismost commonly associated with bleeding. Bleeding with adenocarcinoma is less frequent, and rarely
occurs with carcinoid tumors.
Sensitivity of barium studies depends on whether the calculation ismade for any abnormality or only for the actual tumor. Thus, formalignant
tumors the sensitivity for small-bowel follow-through when using the former criteria variesfrom 53% to 83% whereas it drops to 30% to 44% for
visualization of the actual tumor. Enteroclysis, however, may increase these sensitivities up to 90% and 95%, respectively.
• Sub mucosal tumors.
• Most smooth muscle tumors are fundal, rounded and often
exhibit central ulceration The latter accounts for the frequent
presentation of bleeding.
• Size is variable.
• As for all sub mucosal lesions they appear on DCBM as
smooth surfaced with normal overlying mucosa
• In profile the margins are at right angles or obtuse to the line
of the gastric wall. Much of the bulk of the tumor may be
exophytic to the stomach - an "iceberg" phenomenon.
• EUS is useful for confirming the origin of the tumor from
muscularis propria and distinguishing between a sub mucosal
and an extrinsic mass
• For larger lesions where malignancy is suspected, EUS or CT
are helpful in assessing infiltration of adjacent structures.
EUS image of submucosal
smooth muscle gastric tumour
(leiomyoblastoma), T. Lesion
seen to arise from muscularis
propria layer of gastric wall
(arrow). W=normal wall (see
Fig.8); b=water filled balloon
covering transducer.
Submucosal smooth muscle tumour of the
gastric body (seen in single contrast)
exhibiting central ulceration, smooth
surface and right angled conjunction with
gastric walls.
• IBD =
• Crohn disease of small bowel, colon or both
• Ulcerative colitis
• Noninfectious gastroenteritis and colitis
• Benign Anorectal Diseases
• Hemoarrhoids
• Anal fissure
• Fistula-in-ano
• Neoplasia /polyp
• Malignant neoplasia of small intestine
• Malignant neoplasia of colon, rectum, and anus
• Coagulopathy
• Arteriovenous malformations (AVM)
• Vasopressin Infusion Therapy
• Embolization
• Recurrent bleeders
• While some interventionists continue to use vasopressin
infusion as a first-line treatment for certain types of
gastrointestinal hemorrhage, most practitioners favor
embolotherapy when feasible
• Vasopressin is not used in the following situations:
• Bleeding directly from a large artery (e.g., gastro duodenal
bleed, splenic artery pseudo aneurysm)
• Bleeding at sites with dual blood supply (e.g., pyloroduodenal
bleeding) Patients with a contraindication to vasopressin
therapy (e.g., severe coronary artery disease, dysrhythmias,
severe hypertension)
• After embolotherapy, because of the significant risk of bowel
infarction
• Technique. The catheter is placed in the central vessel
feeding the bleeding site (celiac artery, left gastric artery,
SMA, or IMA).
• Vasopressin is infused at 0.2 units per minute. After 20
to 30 minutes, arteriography is repeated to look for
residual bleeding and the presence of some direct or
collateral blood flow to the viscera
• If bleeding has stopped, the infusion is continued while
the patient is monitored in an intensive care unit. If
bleeding persists, the infusion rate is increased to 0.3
or 0.4 units per minute, and arteriography is repeated 20
to 30 minutes later. If the lesion is still bleeding, alternate
forms of therapy should be pursued. Higher doses of
vasopressin are generally not recommended.
• Vasopressin therapy is continued for 6 to 24 hours. The
rate is then gradually tapered over 12 to 48 hours. After
the infusion has been stopped, the catheter is kept in
place for 12 to 24 hours in case rebleeding occurs.
• The goal of embolotherapy is to stop blood flow to the
bleeding artery while maintaining viability of the
bowel.
• For many years, embolization, particularly in the small
intestine and colon, was avoided by angiographers
because of the fear of bowel infarction.
• However, with the development of coaxial
microcatheters (which can be negotiated directly to the
site of bleeding) and newer embolic agents (e.g.,
microcoils, polyvinyl alcohol [PVA] particles), the risk of
significant bowel ischemia is minimal.
• Embolotherapy has the advantage of immediate and
theoretically permanent cessation of bleeding without
the risks of vasopressin infusion or prolonged
catheterization
• For these reasons, the procedure has become
widely popular as first-line therapy for acute
gastrointestinal hemarrhage.
• Even in the absence of extravasation,empiric
embolization of the left gastric artery often is done to
prevent recurrent bleeding in patients with massive upper
gastrointestinal bleeding but negative angiogram
• Embolotherapy is feasible because of the extensive
intestinal collateral circulation (particularly in the
upper tract) through arterial arcades, communications
between vasa recta, and sub mucosal interconnections.
However, embolization is risky in the setting of previous
gastric or bowel surgery or radiation therapy or when
the collateral circulation is otherwise inadequate
• However, recurrent bleeding can occur, and those
lesions must be removed operatively.
• In the case of right-sided angiodysplasia, a right
hemicolectomy is performed to eliminate the bleeding
lesion and any other occult lesions.
• Small bowel arteriove- nous malformations, however, are
often exceedingly difficult to find at surgery. The involved
segment of bowel is much easier to locate if a coil
is deposited in a distal feeding branch or a coaxial
microcatheter is left in place for methylene blue injection
during the operation
• .
• Gastritis causes hypervascularity and dense staining
of the gastric mucosa. The disease may be localized or
diffuse
• Variceal bleeding itself is rarely detected by
angiography. However, filling of varices at unsuspected
sites (e.g., duodenum, cecum) may suggest a
possible source for hemorrhage
• The role of the radiologist in acute gastrointestinal
bleeding
• I. S. Johnsrude and D. C. Jackson
Red arrows point to linear
bands of radiolucency
which parallel the wall of
the bowel indicating the
presence of pneumatosis
intestinalis in NEC
• Approximately 25% of patients present before age
20years
• Rectal bleeding is seen in almost all of UC patients
and 25% of CD patients

An Approach to Gastrointestinal Bleeding

  • 1.
  • 2.
    • CLINICAL FEATURES •CATEGORY • Upper/lower • acute/chronic • IMAGING • ARTERIAL ANATOMY • PATHOLOGY • TREATMENT
  • 3.
    • Patients withsignificant upper gastrointestinal bleeding have bright red or coffee-ground hematemesis or melena. • Patients with lower gastrointestinal bleeding present with hematochezia or melena.
  • 4.
    • Gastrointestinal bleedingis typically categorized as being from an upper gastrointestinal source (from the esophagus to the ligament of treitz) or lower gastrointestinal source (from the small bowel, colon, or rectum). LIGAMENT OF TREITZ UPPER LOWER
  • 7.
    • Types ofUGI bleeding • Obvious bleeding • Hematemesis • Bloody vomitus • Appears fresh, bright red blood or “coffee grounds” • Melena • Black, tarry stools • Caused by digestion of blood in GI tract • Black appearance—iron • Occult bleeding Small amounts of blood in gastric secretions, vomitus, or stools Undetectable by appearance Detectable by guaiac test
  • 8.
    • Gastroduodenal ulcerdisease remains the most common cause, responsible for half of bleeding episodes. • Gastric varices secondary to portal hypertension of alcoholic cirrhosis constitutes the next most frequent source • Mallory-weiss mucosal tears at the gastroesophageal junction (8% to 10%), esophagitis (3% to 5%), malignancy (3%), dieulafoy’s lesion (1% to 3%), and more recently, “watermelon” stomach (1% to 2%). Other causes.
  • 11.
    • 5% ofpatients suffer from persistent, intermittent bleeding that may be difficult to localize (so-called "obscure" bleeding).
  • 14.
    • Anorectal fissures •Swallowed maternal blood • Necrotizing enterocolitis • Malrotation with midgut volvulus • Hirschsprung disease
  • 15.
    • Anorectal fissures •Allergic enterocolitis • Intussusception • Meckel diverticulum • Hemolytic uremic syndrome • Henoch-Schonlein purpura • Lymphonodular hyperplasia • Gastrointestinal duplication • Infectious colitis
  • 16.
    • After thepatient is resuscitated and a nasogastric tube is placed, endoscopy or colonoscopy is usually performed initially to identify and treat a lesion. • Imaging is needed only when the bleeding site cannot be identified or trans-catheter treatment is contemplated.
  • 17.
    • Endoscopy/colonoscopy • Angiogram •Scintigraphy • CT • BARUIM –Contraindicated in acute condition
  • 18.
    • Upper endoscopyallows for examination of the lining of the upper part of the gastrointestinal (GI) tract, which includes the esophagus, stomach and duodenum (first portion of the small intestine). • An extended version of the conventional endoscope (called a "push endoscope") may be employed to study the upper part-about 40 inches- of the small intestine
  • 19.
    • Capsule endoscopyuses a swallowable capsule containing tiny video cameras. The capsule, about the size of a large vitamin pill, contains a light source, batteries, a radio transmitter, and an antenna. The capsule transmits the images to a recording device worn around the patient's waist. When complete, the recording is downloaded to a computer which displays it on a screen. The capsule is disposable and usually takes eight hours to move through the digestive system, after which it is passed harmlessly in a bowel movement
  • 20.
    • Contrast mediainjection to blood vessel supply of suspected organ of active bleeding . - Active bleeding durling contrast media injection > 0.5 ml/min. • - Contrast media extravasation . - Intensive blush of stomach : Diffuse hemorrhagic gastritis . - Esophageal or gastric varice in venous phase .
  • 21.
    • Upper gastrointestinalbleeding is evaluated by celiac arteriography, followed by superior mesenteric arteriography • If no bleeding site is found, selective left gastric or gastro-duodenal arteriography(since it is most common source of bleeding in gastric ulcer) may detect a subtle bleed. If results of all these studies are negative, inferior mesenteric arteriography should be considered. • Presumed lower gastrointestinal bleeding is evaluated by superior mesenteric arteriography, followed by inferior mesenteric arteriography.
  • 23.
    • The hallmarkof gastrointestinal hemorrhage is extrava- sation of contrast material into the bowel • Occasionally, extravasated contrast has a curvilinear shape that mimics a vascular structure (pseudovein sign)
  • 25.
    Arteriography in thediagnosis of small-bowel bleeding Advantages Accurately identifies the anatomic location of bleeding May allow hemostatic therapy Disadvantages and complications Invasive High cost Requires invasive radiologist and special equipment Major complications (< 2%): Formation of false aneurysm Occlusion of the artery at the site of catheter insertion Contrast-related allergic reactions; acute renal failure Complications specific to therapeutic methods used Reasons for false-negative results (overall) Bleeding stopped Insufficient contrast Short period of observation Very slow active bleeding (< 0.5-1 mL/min) Failure to include the bleeding site on the film Early termination because of patient's clinical deterioration The bleeding vessel may be overlooked or not selectively opacified Unfavorable anatomy (stenosis, anomalies, aneurysms, tortuous arteries) May be difficult to differentiate from normal mucosal blush if bleeding is diffuse Dilution of contrast in the venous phase may prevent visualization from varices
  • 26.
    • Scintigraphy isdone with 9"Tc- sulfur colloid or 99mTc-labeled red blood Cells. • The thresh- old for detection of gastrointestinal bleeding is quoted as ranging from 0.05 to 0.4 ml minute, compared with a rate of about 0.5 ml minute with angiography. • Most centers prefer red blood cell scanning over sulfur colloid scanning. Red blood cell scans are more sensitive, avoid significant background activity over the liver and spleen, and can show intermittent bleeding through delayed imaging • The Scintigraphy imaging suffers from a low specificity (50%) due to its limited resolution
  • 27.
    • Both methodscan localize the bleeding site. However, forward or backward movement of tracer in the bowel can mislead the reader. • Patients with negative scan results are observed. Patients with positive scan results should undergo immediate angiography
  • 28.
    99m Sulfur colloid •99m Sulfur colloid requires no preparation. • This agent has a very short half-life (2.5-3.5 min) because it is rapidly cleared by the reticulo-endothelial system • It has to given again and again • Because it enhances the liver and spleen, bleeding from both the hepatic flexures and the splenic flexures may be obscured 99m Technetium–labeled red blood cell • 99m Technetium–labeled red blood cell scanning is the preferred technique because its half-life is longer. • Images delayed up to 24 hours can be taken with labeled red blood cell scanning • The bleeding site can be identified accurately when intraluminal accumulation of 99m technetium– labeled red blood cells is observed • Recently, cinematic technetium Tc 99m red blood cell Scintigraphy (continuous real-time scanning) has been described as a noninvasive alternative to mesenteric angiography
  • 30.
    • Recent advancesin CT technology allowing thinner collimation, faster scanning times, greater anatomic coverage, and better multi-planar reformatted (MPR) images have greatly expanded the diagnostic role of CT angiography for GI BLEEDING • The CT angiographic diagnosis of active gastrointestinal bleeding is made when hyper attenuating extravasated contrast material is seen within the bowel lumen . The extravasated contrast material may demonstrate linear, jet like, swirled, ellipsoid, or pooled configurations or may fill the entire bowel lumen, resulting in a hyper- attenuating loop
  • 31.
  • 32.
    • Translucent defectof blood clot at ulcer bottom or adhere to mucosa . • Small circle of translucent defect at ulcer bottom : - visible vessel . • “ Larval flow” of barium at ulcer bottom : - active bleeding .
  • 35.
    • The celiacartery originates from the anterior surface of the aorta at about the T12 level . • The main trunk can take an upward, downward, or forward course. Within 1 to 2 cm of its origin, it gives off the left gastric artery and then divides into the common hepatic and splenic artery • The common hepatic artery runs toward the liver. After giving off the gastroduodenal artery, it becomes the proper hepatic artery and then divides into right and left (and occasionally middle) hepatic arteries • The middle hepatic artery supplies the quadrate lobe.
  • 37.
    • The rightgastric artery usually takes off from the common or left hepatic artery but often is not visualized at angiography. It supplies the pylorus and the lesser curvature of the stomach and communicates with distal branches of the left gastric artery. • The cystic artery usually originates from the right hepatic artery, although it may arise more proximally.
  • 39.
    • The gastroduodenalartery runs between the neck of the pancreas and the duodenum. Its first major branch is the posterior superior pancreaticoduodenal artery. • This vessel gives off branches to the pancreas on the left and to the duodenum on the right. • The gastroduodenal artery then divides into its terminal branches, the anterior superior pancreaticoduodenal artery and the right gastroepiploic artery
  • 40.
    • The superiorpancreaticoduodenal arteries lead into an arterial network that supplies the head of the pancreas. These vessels have rich anastomoses with the corresponding branches of the inferior pancreaticoduodenal artery, which originates from the SMA • The right gastroepiploic artery runs along the greater curvature of the stomach and
  • 41.
    • The SMAsupplies the bowel from the distal duodenum to the mid-transverse colon It originates from the anterior surface of the aorta at about the L1-L2 level, approximately 1 to 2 cm below the celiac trunk. The SMA runs behind the body of the pancreas and then enters the root of the mesentery.
  • 43.
    • The IMAsupplies the colon from its mid-transverse segment to the rectum . It originates from the left anterolateral surface of the aorta at about the L3-L4 level. • The vessel runs inferiorly for several centimeters and then gives off the left colic artery.
  • 45.
    • Anomalies inthe origins of the central mesenteric arteriesare rare. Anomalies in the branching patterns of the mesenteric arteries are common. It is vital to be alert to potentialvariants when performing angiographic procedures. • The important variants formulated by the classic anatomic studies
  • 48.
    • The intestinaltract has an extensive collateral network that prevents or limits bowel ischemia when central arteries become obstructed. • The different collateral routes between the SMA and IMA are often confused. • The marginal artery (of Drummond) is a longitudinal vessel formed by trunks or distal branches of the right, middle, and left colic arteries. It runs along the entire mesenteric border of the colon. • The arc of Riolan is a central vessel running in the mesentery that directly connects the middle colic artery with the left colic artery.
  • 51.
    • PEPTIC ULCER •ACUTE GASTRIC MUCOSAL LESION • MALLORY WEISS TEAR • BOERHAAVE SYNDROME • GASTRIC VARICES • DIERTICULOSIS • ANGIODYPLASIA • PSUDOANEURYSM
  • 52.
    Five types ofgastric ulcers occur, based on their location and acid-secretory status • Type 1 gastric ulcers are located on the lesser curvature of the stomach at or near the incisura angularis. These ulcers are not associated with a hypersecretory acid state • Type 2 ulcers represent a combination of 2 ulcers that are associated with a hypersecretory acid state. The ulcer locations occur in the body of the stomach in the region of the incisura. The second ulcer occurs in the duodenum • Type 3 ulcers are prepyloric ulcers. They are associated with high acid output and are usually within 3 cm of the pylorus • Type 4 ulcers are located high on the lesser curvature of the stomach and are not associated with high acid output (USUALLY PRESENT WITH BLEEDING) • Type 5 ulcers are related to the ingestion of NSAIDs or aspirin. These ulcers can occur anywhere in the stomach
  • 54.
    • Peptic ulcerdisease produces puddles of contrast outlining the gastric or duodenal mucosa. • With gastric ulcers, the bleeding source may be the left or right gastric artery, left or right gastro-epiploic artery, or short gastric branches of the splenic artery. • With pyloric and duodenal ulcers, bleeding usually comes from duodenal branches of the gastro-duodenal artery or the right gastro-epiploic artery
  • 59.
    RULE OF THUMBIS ANTERIOR DUODENAL ULCER PERFORATE WHILE POSTERIOR ULCER BLEED
  • 61.
    • Acute gastricmucosal lesions (AGMLs) include a broad category of acute erosive mucosal conditions that develop in critically ill patients. • Also known as stress gastritis, acute mucosal ischemia, erosive gastritis, or stress ulceration,. • They are characterized by stigmata of mucosal injury evidenced by mucosal pallor, petechiae, and erosions. • The lesions can be distributed throughout the gastric mucosa but are predominantly identified in the body of the stomach. • Bleeding is the clinical presenting sign in critically ill patients. The bleeding may be massive and life threatening.
  • 62.
    • Findings atendoscopy are characterized by diffuse petechiae, superficial erosions, and mucosal pallor. • If a solitary site of bleeding is identified, endoscopic therapy, such as thermal or bipolar electrocoagulation, fibrin glue application, or injection therapy, is appropriate
  • 63.
    • Is limitedto diffuse, unremitting hemorrhage. Selective celiac catheterization may allow identification of the bleeding arteries of origin. Embolization with coils or collagen gel or selective intra-arterial infusion of vasopressin may arrest bleeding in up to 80% of patients provided that selective bleeding vessels can be identified. • Recurrent bleeding is common, however, and the mortality of patients with this degree of hemorrhage is in excess of 50%. Death ensues from multisystem failure precipitated by ongoing hemorrhage and recurrent shock.
  • 64.
    Varioliform erosive gastritis. Multiplepunctate erosions are seen in the gastric antrum and body, each surrounded by a halo of oedema.
  • 65.
    • Variceal bleedingis one of the most alarming life-threatening complications of cirrhosis. • Sixty percent of patients with cirrhosis develop esophageal varices • Thirty percent of these patients bleed from their varices within 2 years of their diagnosis • 50% bleed at some point during their lifetime • The mortality rate for variceal bleeding is 30-50%, which is much higher than any other cause of UGIB • Portal hypertension can be classified according to the anatomic location within the portal system that is the site for increased resistance to portal flow • Pre-sinusoidal, sinusoidal, and post-sinusoidal
  • 66.
  • 67.
  • 68.
  • 70.
    1. Serpiginous fillingdefects which appear as round or oval filling defects resembling the beads of a rosary( dilated venous structures) ( arrowhead). 2. Changes size and appearance with variations in intrathoracic pressure and collapse with esophageal peristalsis and distension. 3. Varices related to portal hypertension are most commonly demonstrated in the lower third of the esophagus. 4. In portal hypertension ; common accompanying gastric varices(arrow).
  • 71.
    • Placement ofa TIPS reduces the outflow hepatic resistance, lowers portal pressure, and diverts portal blood flow from gastroesophageal collaterals through the stent • Stent is dilated to approximately 10-12 mm in diameter. Once the stent is in proper position, pressures are measured in the portal vein, the stent, and the right atrium • Decrease of the PHVG to less than 12 mm Hg • Portal-to-atrial pressure gradient to less than 12 mm Hg • Controls variceal bleeding in more than 90% of patients • Rebleeding rate is 16-30% at 1-year follow-up, and this is most commonly related to stenosis of the intrahepatic shunt or obstruction of the shunt
  • 72.
    • Shunt dysfunctionoccurs in approximately 50-60% of patients at 6 months • Doppler ultrasound imaging and re-dilation has increased the 1-year patency rate to 83-85% • Hepatic encephalopathy is 25-35%, but this can usually be managed with protein restriction and lactulose
  • 73.
    TIPS = TransjugularIntrahepatic Portosystemic Shunt
  • 74.
    • The lesionis characterized by a tear in the proximal gastric mucosa near the esophagogastric junction. The clinical presentation is typified by an antecedent history of vomiting, retching, or coughing followed by hematemesis. The mean age for patients with this condition is older than 60 years; 80% are men. • Up to 90% of these lesions stop bleeding spontaneously without specific intervention. Patients with cirrhosis and portal hypertension with coagulopathy are at greatest risk for morality, which overall averages 3%.[
  • 78.
    • Boerhaave syndromeis rupture of the esophageal wall. It is most often caused by excessive vomiting in eating disorders such as bulimia although it may rarely occur in extremely forceful coughing or other situations, such as obstruction by food. Boerhaave syndrome is a transmural or full-thickness perforation of the esophagus, distinct from Mallory-Weiss syndrome, a nontransmural esophageal tear also associated with vomiting. These syndromes are distinct from iatrogenic perforation, which accounts for 85-90% of cases of esophageal rupture, typically as a complication of an endoscopic procedure, feeding tube, or unrelated surgery. • LEFT ANTEROLATERAL WALL IS MOST COMMONLY INVOLVED
  • 82.
    • Gastric varicesare broadly classified by Sarin and Kumar into two types: gastroesophageal varices and isolated gastric varices. • Isolated gastric varices are subclassified into type 1 (varices located in the fundus of the stomach) and type 2 (isolated ectopic varices located anywhere in the stomach). • Gastric varices can develop secondary to portal hypertension, in conjunction with esophageal varices, or secondary to sinistral hypertension from splenic vein thrombosis. •
  • 83.
    • Isolated gastricvarices tend to occur secondary to splenic vein thrombosis. Splenic blood flows retrograde through the short and posterior gastric veins into the varices, then hepatopetally through the coronary vein into the portal vein. Left-to-right retrograde flow through the gastroepiploic vein to the superior mesenteric vein can explain the development of ectopic varices in the stomach.
  • 84.
    • Gastric varicesin the setting of splenic vein thrombosis are readily treated by splenectomy. Patients with bleeding gastric varices should have an abdominal ultrasound to document splenic vein thrombosis prior to surgical intervention, because gastric varices are most often associated with generalized portal hypertension
  • 85.
    Type Description Treatment I.Gastric varices appearing as an inferior extension of oesophageal varices across the squamo-columnar junction Injection sclerotherapy II. Gastric varices located in the fundus, but converging on the cardia. Usually assosiated with oesophageal varices Portosystemic shunting III. Isolated gastric varices in the body or fundus. Usually the result of sectorial portal hypertension. Splenectomy
  • 86.
    • Results fromincomplete obliteration of the omphalomesenteric duct • Ulceration of adjacent ileal mucosa by heterotopic gastric mucosa in the diverticulum • Painless passage of large amount of blood • “Rule of Twos”
  • 89.
    • 99mTc-Pertechnetate Scan- injected IV and accumulates in gastric tissue - RLQ uptake is diagnostic of Meckel’s diverticulum • False (+) - bleeding lesions such as Crohn’s disease, intussusception, hemangioma, PUD • False (-) - Barium, bladder overdistention, no gastric mucosa in diverticulum
  • 90.
    • Most commonin children under 2 years • Colicky abdominal pain, vomiting, palpable sausage- shaped abdominal mass, passage of “currant jelly stool”
  • 94.
    • Arteriovenous malformationslocated in the cecum and ascending colonLesion affecting elderly persons older than 60 years • Composed of clusters of dilated vessels, mostly veins, in the colonic mucosa and submucosa • Colonic angiodysplasias are believed to occur as a result of chronic, intermittent, low-grade obstruction of submucosal veins as they penetrate the muscular layer of the colon • Angiodysplasia tends to cause slow but repeated episodes of bleeding • Angiodysplasias can be easily recognized by colonoscopy as 1.5- to 2-mm red patches in the mucosa
  • 95.
    • Angiodysplasia isdiagnosed by early and then persistent filling of a draining vein and by an abnormal cluster of vessels in the bowel wall • Lesions can be multiple. The abnormality is identified by early venous drainage from one portion of the bowel or a "tram track" sign from simultaneous opacification of the feeding artery and draining vein. • Contrast extravasation usually is not seen. Because angiodysplasia is relatively common in elderly patients and may be an incidental finding, other sources of bleeding should be considered.
  • 99.
    • Diverticulosis Hasbeen implicated as the source of bleeding in as many as 60% of cases of lower GI bleeding. • The diverticula are more prevalent in the left or sigmoid colon, but positive arteriography findings for bleeding localizes the bleeding to the right colon in 60% of cases • Diverticular bleeding does not have a characteristic appearance unless contrast fills the diverticulum itself
  • 108.
    —MDCT scan obtainedin 71-year-old woman with hematochezia from bleeding sigmoid diverticulum shows extravasated contrast material (arrow) flowing into lumen. Tew K et al. AJR 2004;182:427-430
  • 110.
    • Hemobilia isdefined as bleeding into the biliary tree from an abnormal communication between a blood vessel and bile duct. It is a rare condition that is often difficult to distinguish from common causes of gastrointestinal bleeding. • The most common causes of hemobilia are iatrogenic trauma, accidental trauma, gallstones, tumors, inflammatory disorders, and vascular disorders. • In recent years, iatrogenic trauma dominates as the most common cause of hemobilia and is usually related to interventional radiologic procedures. • Major hemobilia is rare, whereas minor inconsequential hemobilia is a common consequence of gallstone disease or interventional hepatic procedures.
  • 111.
    • Portal venousbleeding into the biliary tree is rare, minor, and self-limited unless the portal pressure is elevated. • Arterial hemobilia, the most common source, can be dramatic, however. Clinical sequelae of hemobilia are related to blood loss and the formation of potentially occlusive blood clots in the biliary tree. • The classic triad of symptoms and signs of hemobilia are upper abdominal pain, upper gastrointestinal hemorrhage, and jaundice
  • 112.
    • Once hemobiliais suspected, the first evaluation should be upper gastrointestinal endoscopy, which rules out other sources of hemorrhage and may visualize bleeding from the ampulla of Vater. Upper endoscopy is only diagnostic of hemobilia in about 10% of cases, however.[ • If upper endoscopy is diagnostic and conservative management is planned, no further studies are necessary. • Ultrasound or CT may be helpful in demonstrating intrahepatic tumor or hematoma. Evidence of active bleeding into the biliary tree seen on CECT in the form of pooling contrast, intraluminal clots, and biliary dilation. • Arterial angiography is now recognized as the test of choice when hemobilia is suspected and will reveal the source of bleeding in about 90% of cases. • Cholangiography demonstrates blood clots in the biliary tree, which may appear as stringy defects or smaller spherical defects. The latter may be difficult to distinguish from stones
  • 114.
    • Axial contrast-enhanced CTimage showing defect in the right lobe of the liver with adjacent perihepatic fluid collection (upward arrow). Enhancing lesion is seen anterior to the right branch of the portal vein (down ward arrow). Drain tip is seen anteriorly, in perihepatic location (leftward arrow)
  • 115.
    • Axial planethick multiplanar reformation CT angiography image showing pseudoaneurysm of the right branch of the hepatic artery (upward arrow)
  • 116.
    • Coronal planethick multiplanar reformation CT angiography image showing right hepatic artery pseudoaneurysm with normal common hepatic artery (upward arrow), left hepatic artery (leftward arrow), and gastroduodenal artery (rightward arrow); proximal right hepatic artery is normal (small downward arrow) with pseudoaneurysm arising further distally (large downward arrow)
  • 117.
    • Bowel ischemiais mainly a disease of old age caused by atheroma of mesenteric vessels. Other causes include embolic disease, vasculitis, fibromuscular hyperplasia, aortic aneurysm, blunt abdominal trauma, disseminated intravascular coagulation, irradiation, and hypovolemic or endotoxic shock.[4] • Occlusive mesenteric infarction (embolus or thrombosis) has a 90% mortality rate, whereas nonocclusive disease has a 10% mortality rate. • Venous infarction occurs in young patients, usually after abdominal surgery.[5] Patients may present with colicky abdominal pain, which becomes continuous. It may be associated with vomiting, diarrhea, or rectal bleeding.[6, 7, 8, 9]
  • 118.
    • Watershed areas,including the splenic flexure and the rectosigmoid junction • Commonly observed after patients' sixth decade of life • Ischemia causes mucosal and partial-thickness colonic wall sloughing, edema, and bleeding • Abdominal pain and bloody diarrhea are the main clinical manifestations
  • 123.
    • pseudo aneurysm,also known as a false aneurysm, is a hematoma that forms as the result of a leaking hole in an artery. Note that the hematoma forms outside the arterial wall, so it is contained by the surrounding tissues. Also it must continue to communicate with the artery to be considered a pseudo aneurysm. • This must be distinguished from a true aneurysm which is a localised dilatation of an artery including all the layers of the wall.
  • 127.
    Axial CT scanwith intravenous contrast material reveals a pseudoaneurysm (arrow) projecting from the splenic artery. Pseudoaneurysm
  • 129.
    • Aortoenteric fistulais an uncommon condition in which an inflammatory tract develops between the aorta and the gastrointestinal tract. • The fistula may develop as a primary process resulting from infectious aortitis, or inflammatory aortic aneurysm, or as a secondary process following aortic replacement with a synthetic graft for treatment of abdominal aortic aneurysm. The secondary aortoenteric fistulas are by far the more common cause, and this complication may develop in up to 1% of patients after aortic aneurysm repair.
  • 130.
    • The fistulascharacteristically develop between the proximal anastomosis and the overlying small bowel (duodenum or jejunum), although communication to the colon has also been noted. • It is thought that a low-grade infection at the site of contact between the anastomosis and the bowel leads to the fistula formation. • This diagnosis must be considered in any patient with acute gastrointestinal hemorrhage and a history of aortic surgery. The “herald” bleed, an episode of acute hemorrhage that ceases spontaneously, occurs hours to days prior to the inevitable exsanguinating hemorrhage that will ensue if the condition is not recognized and treated.
  • 132.
    • Dieulafoy’s vascularmalformations are rare causes of acute upper gastrointestinal hemorrhage. The lesions are unusually large submucosal or mucosal vessels found in the gastric mucosa, most commonly along the lesser curvature in the mid-stomach. The lesion is most frequently diagnosed in middle life and is not associated with identifiable factors for mucosal injury, vascular disease, or medical conditions. • Bleeding occurs when superficial erosion into the vessel occurs, resulting in brisk, voluminous hemorrhage that ceases spontaneously. Endoscopic diagnosis is difficult because the lesion is rarely associated with an obvious ulcerated lesion
  • 133.
    • Surgery wasonce the only therapy for a Dieulafoy’s lesion but is now reserved for patients in whom other modalities have failed. The surgical management consists of gastric wedge resection to include the offending vessel. The difficulty at the time of surgery is locating the lesion unless it is actively bleeding.
  • 134.
    Classification of vascularmalformations that cause gastrointestinal hemorrhage Arteriovenous malformations (AVMs): Dilation of existing vascular structures Type I AVM (angiodysplasia, vascular ectasia of the colon, vascular dysplasia of the colon) Dilatation and ectasia of veins, venules, and capillaries in colonic mucosa and submucosa Important cause of lower gastrointestinal bleeding Majority of patients are older than 60 years of age 20%-25% have aortic stenosis Usually are multiple and occur mainly in the right colon Difficult to identify Type II AVM Rare, probably congenital Bleeding usually occurs before the age of 50 Small bowel is the most common location but may occur anywhere Larger than type I AVMs May be visible at laparotomy Type III AVM (hereditary hemorrhagic telangiectasia, Osler-Weber-Rendu syndrome) Rare Autosomal dominant Throughout the gastrointestinal tract Repeated bleeding episodes from nasopharynx and gastrointestinal tract Most have a positive family history Lesions readily visible on face, oral, and nasopharyngeal mucosa
  • 138.
    Small-bowel tumors asthe cause of gastrointestinal hemorrhage General Concepts of Small-Bowel Tumors: Represents only 1%-2% of gastrointestinal malignancies Except for adenocarcinoma, small-bowel tumors are more common distally Bleeding (overt or occult) is a prominent feature, being more common with benign than withmalignant lesions. Among malignant tumors, leiomyosarcoma ismost commonly associated with bleeding. Bleeding with adenocarcinoma is less frequent, and rarely occurs with carcinoid tumors. Sensitivity of barium studies depends on whether the calculation ismade for any abnormality or only for the actual tumor. Thus, formalignant tumors the sensitivity for small-bowel follow-through when using the former criteria variesfrom 53% to 83% whereas it drops to 30% to 44% for visualization of the actual tumor. Enteroclysis, however, may increase these sensitivities up to 90% and 95%, respectively.
  • 139.
    • Sub mucosaltumors. • Most smooth muscle tumors are fundal, rounded and often exhibit central ulceration The latter accounts for the frequent presentation of bleeding. • Size is variable. • As for all sub mucosal lesions they appear on DCBM as smooth surfaced with normal overlying mucosa • In profile the margins are at right angles or obtuse to the line of the gastric wall. Much of the bulk of the tumor may be exophytic to the stomach - an "iceberg" phenomenon. • EUS is useful for confirming the origin of the tumor from muscularis propria and distinguishing between a sub mucosal and an extrinsic mass • For larger lesions where malignancy is suspected, EUS or CT are helpful in assessing infiltration of adjacent structures.
  • 140.
    EUS image ofsubmucosal smooth muscle gastric tumour (leiomyoblastoma), T. Lesion seen to arise from muscularis propria layer of gastric wall (arrow). W=normal wall (see Fig.8); b=water filled balloon covering transducer. Submucosal smooth muscle tumour of the gastric body (seen in single contrast) exhibiting central ulceration, smooth surface and right angled conjunction with gastric walls.
  • 142.
    • IBD = •Crohn disease of small bowel, colon or both • Ulcerative colitis • Noninfectious gastroenteritis and colitis • Benign Anorectal Diseases • Hemoarrhoids • Anal fissure • Fistula-in-ano • Neoplasia /polyp • Malignant neoplasia of small intestine • Malignant neoplasia of colon, rectum, and anus • Coagulopathy • Arteriovenous malformations (AVM)
  • 144.
    • Vasopressin InfusionTherapy • Embolization • Recurrent bleeders
  • 145.
    • While someinterventionists continue to use vasopressin infusion as a first-line treatment for certain types of gastrointestinal hemorrhage, most practitioners favor embolotherapy when feasible • Vasopressin is not used in the following situations: • Bleeding directly from a large artery (e.g., gastro duodenal bleed, splenic artery pseudo aneurysm) • Bleeding at sites with dual blood supply (e.g., pyloroduodenal bleeding) Patients with a contraindication to vasopressin therapy (e.g., severe coronary artery disease, dysrhythmias, severe hypertension) • After embolotherapy, because of the significant risk of bowel infarction
  • 146.
    • Technique. Thecatheter is placed in the central vessel feeding the bleeding site (celiac artery, left gastric artery, SMA, or IMA). • Vasopressin is infused at 0.2 units per minute. After 20 to 30 minutes, arteriography is repeated to look for residual bleeding and the presence of some direct or collateral blood flow to the viscera
  • 147.
    • If bleedinghas stopped, the infusion is continued while the patient is monitored in an intensive care unit. If bleeding persists, the infusion rate is increased to 0.3 or 0.4 units per minute, and arteriography is repeated 20 to 30 minutes later. If the lesion is still bleeding, alternate forms of therapy should be pursued. Higher doses of vasopressin are generally not recommended. • Vasopressin therapy is continued for 6 to 24 hours. The rate is then gradually tapered over 12 to 48 hours. After the infusion has been stopped, the catheter is kept in place for 12 to 24 hours in case rebleeding occurs.
  • 150.
    • The goalof embolotherapy is to stop blood flow to the bleeding artery while maintaining viability of the bowel. • For many years, embolization, particularly in the small intestine and colon, was avoided by angiographers because of the fear of bowel infarction. • However, with the development of coaxial microcatheters (which can be negotiated directly to the site of bleeding) and newer embolic agents (e.g., microcoils, polyvinyl alcohol [PVA] particles), the risk of significant bowel ischemia is minimal.
  • 151.
    • Embolotherapy hasthe advantage of immediate and theoretically permanent cessation of bleeding without the risks of vasopressin infusion or prolonged catheterization • For these reasons, the procedure has become widely popular as first-line therapy for acute gastrointestinal hemarrhage. • Even in the absence of extravasation,empiric embolization of the left gastric artery often is done to prevent recurrent bleeding in patients with massive upper gastrointestinal bleeding but negative angiogram
  • 152.
    • Embolotherapy isfeasible because of the extensive intestinal collateral circulation (particularly in the upper tract) through arterial arcades, communications between vasa recta, and sub mucosal interconnections. However, embolization is risky in the setting of previous gastric or bowel surgery or radiation therapy or when the collateral circulation is otherwise inadequate
  • 154.
    • However, recurrentbleeding can occur, and those lesions must be removed operatively. • In the case of right-sided angiodysplasia, a right hemicolectomy is performed to eliminate the bleeding lesion and any other occult lesions. • Small bowel arteriove- nous malformations, however, are often exceedingly difficult to find at surgery. The involved segment of bowel is much easier to locate if a coil is deposited in a distal feeding branch or a coaxial microcatheter is left in place for methylene blue injection during the operation • .
  • 171.
    • Gastritis causeshypervascularity and dense staining of the gastric mucosa. The disease may be localized or diffuse
  • 172.
    • Variceal bleedingitself is rarely detected by angiography. However, filling of varices at unsuspected sites (e.g., duodenum, cecum) may suggest a possible source for hemorrhage
  • 175.
    • The roleof the radiologist in acute gastrointestinal bleeding • I. S. Johnsrude and D. C. Jackson
  • 176.
    Red arrows pointto linear bands of radiolucency which parallel the wall of the bowel indicating the presence of pneumatosis intestinalis in NEC
  • 177.
    • Approximately 25%of patients present before age 20years • Rectal bleeding is seen in almost all of UC patients and 25% of CD patients