Pancreatitis
YUVARAJ KARTHICK
Introduction
 Inflammation of the parenchyma
 Divided into A/c & C/c.
 A/c presents with acute abdominal pain with elevated
enzyme levels
 Underlying mechanism???
 A/c pancreatitis subdivided into Mild and Severe
 Chronic pancreatitis:
 Continuing inflammatory disease characterized by irreversible
morphological change  permanent loss of function.
Mechanism:
  inciting agent Premature activation of enzymes 
Autodigestion  Inflammation sets in  Pancreatic edema 
hemorrhage and eventually necrosis
 Inflammatory mediators into the blood stream  Systemic
complication
Acute
Pancreatitis
 Accounts for 3% of cases
of abdominal pain.
 Hereditary pancreatitis is a rare condition associated with
mutation of cationic trypsin gene.
 They suffer from c/c pancreatitis from teenage and by 8th decade
have high chance of developing Ca.
Clinical presentation
 Pain is cardinal symptom
 Develops quickly and reaches peak within minutes to hours and
then plateaus at that level for hours to days
 Pain is constant, refractory to analgesics
 Radiates to the back
 Mimics Perforation, angina or biliary colic
 Nausea and repeated vomiting with retching may be present.
 Hiccoughs d/t distended Stomach  irritation of diaphragm.
Signs
 General???
 Abdominal???
 Cullen’s sign
 Grey Turner’s sign
Investigation:
 Blood ???
 Imaging ???
Imaging:
 X-ray abdomen: Non specific signs like Colon Cut off sign,
renal halo.
 Occasionally calcified gall stones or pancreatic calcification may
be seen
 CXR: Pleural effusion.
 In severe cases diffuse alveolar interstitial shadowing d/t ARDS
 USG: Not quiet useful but can establish Gall stones as the cause
of pancreatitis
Assessment of severity:
 Outcome of the patient depends on the severity of the
condition
 Hence assessment of severity is paramount
 CT: Not necessary if only a mild attack
 CT advised when
 Diagnostic uncertainty
 Severe acute pancreatitis to diff from interstitial and necrotizing
pancreatitis
 Patients with MODS and progressive sepsis
 Localized complication is suspected
 MRI
 EUS and MRCP
Management
 Acute Mild Pancreatitis:
 Conservative with IV Fluids and non-invasive monitoring and NG
aspiration + NPO
 Abx not indicated
 Good analgesia.
 A/c Severe Pancreatitis Management:
 ICU admission
 Analgesia
 Aggressive fluid management
 Invasive monitoring with Arterial line and CVP, urine output and ABG
 Bloods for hematological and biochemical parameters
 Abx prophylaxis. (3rd gen cephalosporins or carbapenem)
 CT scan if organ failure ensues or if clinical deterioration noted
 ERCP if gall stone related pancreatitis to be done within 72 hrs
 Supportive care
 BP Fall ???
 Raised creatinine???
 Respiratory distress ???
Systemic Complication
 Cardiovascular : ???
 Pulmonary: ???
 Renal: ???
 Hematological: ???
 Metabolic: ???
 Gastrointestinal: ???
Local Complications:
 Acute Fluid collection: Occurs early in severe cases. Usually no
intervention needed.
 If large, guided drainage.
 Sterile and infected pancreatic necrosis:
 CT to find out extent of necrosis
 If sterile  No local intervention
 If Infected  CT guided percutaneous drainage
 Pancreatic necrosectomy
 Retroperitoneal approach
 If necrotic material reaccumulates
 Closed continuous lavage
 Closed drainage
 Open packing
 Closure and relaparotomy
 Pancreatic abscess:
 Any collection  d/t Pseudocyst or acute pancreatic collection
 Percutaneous drainage  Pus sent for C&S
 Pancreatic ascites:
 Generalized, peritoneal, enzyme rich fluid caused d/t disruption of
pancreatic duct.
 Paracentesis  amylase rich turbid fluid
 Decrease pancreatic secretion by ???
 Pancreatic effusion
 Hemorrhage: Pseudo-aneurysm
 Portal and splenic vein thrombosis
 Sudden rise in platelet should rise suspicion.
 Should be screened for pro coagulant status
 For elevated platelets  Anti platelets should be started.
Pseudocyst of Pancreas
 Amylase rich fluid collected in wall of fibrous or granulation
tissue.
 Formation requires about 4 weeks.
 Usually forms as a result of a/c pancreatitis.
 Not unusual to have a communication with the pancreatic
duct.
 Diagnosis???
 Treatment???
Thank You

Acute Pancreatitis

  • 1.
  • 2.
    Introduction  Inflammation ofthe parenchyma  Divided into A/c & C/c.  A/c presents with acute abdominal pain with elevated enzyme levels  Underlying mechanism???  A/c pancreatitis subdivided into Mild and Severe
  • 3.
     Chronic pancreatitis: Continuing inflammatory disease characterized by irreversible morphological change  permanent loss of function.
  • 4.
    Mechanism:   incitingagent Premature activation of enzymes  Autodigestion  Inflammation sets in  Pancreatic edema  hemorrhage and eventually necrosis  Inflammatory mediators into the blood stream  Systemic complication
  • 5.
    Acute Pancreatitis  Accounts for3% of cases of abdominal pain.
  • 6.
     Hereditary pancreatitisis a rare condition associated with mutation of cationic trypsin gene.  They suffer from c/c pancreatitis from teenage and by 8th decade have high chance of developing Ca.
  • 7.
    Clinical presentation  Painis cardinal symptom  Develops quickly and reaches peak within minutes to hours and then plateaus at that level for hours to days  Pain is constant, refractory to analgesics  Radiates to the back  Mimics Perforation, angina or biliary colic  Nausea and repeated vomiting with retching may be present.  Hiccoughs d/t distended Stomach  irritation of diaphragm.
  • 8.
    Signs  General???  Abdominal??? Cullen’s sign  Grey Turner’s sign
  • 9.
  • 10.
    Imaging:  X-ray abdomen:Non specific signs like Colon Cut off sign, renal halo.  Occasionally calcified gall stones or pancreatic calcification may be seen  CXR: Pleural effusion.  In severe cases diffuse alveolar interstitial shadowing d/t ARDS  USG: Not quiet useful but can establish Gall stones as the cause of pancreatitis
  • 11.
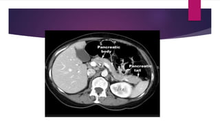
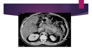
    Assessment of severity: Outcome of the patient depends on the severity of the condition  Hence assessment of severity is paramount
  • 14.
     CT: Notnecessary if only a mild attack  CT advised when  Diagnostic uncertainty  Severe acute pancreatitis to diff from interstitial and necrotizing pancreatitis  Patients with MODS and progressive sepsis  Localized complication is suspected
  • 17.
  • 18.
    Management  Acute MildPancreatitis:  Conservative with IV Fluids and non-invasive monitoring and NG aspiration + NPO  Abx not indicated  Good analgesia.
  • 19.
     A/c SeverePancreatitis Management:  ICU admission  Analgesia  Aggressive fluid management  Invasive monitoring with Arterial line and CVP, urine output and ABG  Bloods for hematological and biochemical parameters
  • 20.
     Abx prophylaxis.(3rd gen cephalosporins or carbapenem)  CT scan if organ failure ensues or if clinical deterioration noted  ERCP if gall stone related pancreatitis to be done within 72 hrs  Supportive care  BP Fall ???  Raised creatinine???  Respiratory distress ???
  • 21.
    Systemic Complication  Cardiovascular: ???  Pulmonary: ???  Renal: ???  Hematological: ???  Metabolic: ???  Gastrointestinal: ???
  • 22.
    Local Complications:  AcuteFluid collection: Occurs early in severe cases. Usually no intervention needed.  If large, guided drainage.  Sterile and infected pancreatic necrosis:  CT to find out extent of necrosis  If sterile  No local intervention  If Infected  CT guided percutaneous drainage  Pancreatic necrosectomy  Retroperitoneal approach
  • 23.
     If necroticmaterial reaccumulates  Closed continuous lavage  Closed drainage  Open packing  Closure and relaparotomy
  • 24.
     Pancreatic abscess: Any collection  d/t Pseudocyst or acute pancreatic collection  Percutaneous drainage  Pus sent for C&S  Pancreatic ascites:  Generalized, peritoneal, enzyme rich fluid caused d/t disruption of pancreatic duct.  Paracentesis  amylase rich turbid fluid  Decrease pancreatic secretion by ???
  • 25.
     Pancreatic effusion Hemorrhage: Pseudo-aneurysm  Portal and splenic vein thrombosis  Sudden rise in platelet should rise suspicion.  Should be screened for pro coagulant status  For elevated platelets  Anti platelets should be started.
  • 26.
    Pseudocyst of Pancreas Amylase rich fluid collected in wall of fibrous or granulation tissue.  Formation requires about 4 weeks.  Usually forms as a result of a/c pancreatitis.  Not unusual to have a communication with the pancreatic duct.  Diagnosis???  Treatment???
  • 27.

Editor's Notes

  • #12 Apache II to be mentioned