VSD DEVICE CLOSURE
 Most common congenital heart disease in both
adults and children
 Prevalence: 20% in isolation. 30-50% with
associated defects
 Etiology: Congenital or Acquired
 Location: Inlet, Outlet, Trabecular,
Perimembranous
 Size: Small, Moderate, Large
 Traditionally surgical closure
 Lock et al:
 1988
 6 patients
 Congenital/Acquired VSD
 Rashkind double umbrella device
 A-V wire loop technique
Carminati et al
 12 papers until 2006
 Success rate: 87-100%
 Major complicaions: 0-15%
 Need for PPI: 0-8%
Carminati et al
 European VSD registry
 430 patients , ITT, 23 referral hospitals
 119 muscular, 250 membranous, 16 multiple,
45 post op
 Multiple devices
 Overall success rate: 95.3%
 Early complication: 12.7%
 Significant complication: 6.5%
 Death: 0.2%
 Device embolosation: 0.9%
 Tachyarrhytmia:0.7%
 Early CHB: 2.8%. 6 during procedure, 6 within
one week, all in PM VSD
Butera et al
 104 patients, PM VSD, Single centre
 CHB in 9 patients , PPI in 6 patients
 Multivariate analysis: Age a risf factor for CHB
with a RR of 0.25
 Only noted in children less than 6 years of age
Holtzer et al
 Large International registry of PM VSD using
Amplatzer device
 100 patients
 Procedural success: 93%
 Immediate complete closure:58.1% with <2mm
shunt in 95.7%
 Adverse events in 29.5% with arrhytmia MC
with 13%, new or increased AR in 9.2%, new
or increased TR in 9.2%
Chinese series
 2079 patients, mostly PM VSD
 Amplatzer or Chinese Symmetric/Asymmetric
devices
 Procedural success: 98.6%
 Residual shunt >2mm in 0-4.7%
 Adverse events in 2.5-19.3%, CHB in 0.1-
7.6%, PPI in 0.2%
Study Bass et
al
Thanopou
los et al
Pedra et
al
Miro et al Fu et al
Year 2003 2003 2004 2005 2006
No. of
patients
27 10 10 54 35
Age in yrs 1.25 - 32 1.5 - 12 6 - 32 0.5 - 61 1.2 - 54.4
Weight 8.5-80 kg 11-49 kg 19-80 kg 6-77 kg 8-110 kg
Qp:Qs 1.6 1.93±0.29 1.5-5.5(2) 1.7±0.6 (1.8)
Device
size (mm)
4-12 4-8 8-18 6-18 6-16
Successful
implant
93% 100% 100% 94% 91%
Study Bass et al Thanopou
los et al
Pedra et
al
Miro et al Fu et al
Residual
shunt
2/27 0/10 1/10 9/54 1/35
CHB 0 0 0 3+2 (10%) 1
AR 2 0 0 1 12%
LBBB/RB
BB
1 3 LBBB 1 NR NR
Hemolysis 0 0 0 2 2
Others 1 0 LVOTO-2 0 2
Study European
Registry
Butera et
al
Predsecu
et al
Year 2007 2007 2008
No. of
patients
430 104 20
Age in yrs 8 (0.4 to
70 years)
14 (0.6-63
years)
1.6 (0.5 –
16.2
years)
Weight in
kg
28 (4-124
kg)
26.5 (6.5
– 96 kg)
9.7 (6.2-
43 kg)
Qp:Qs 2.1 (1-8) 2 (1.3-5)
Device
size (mm)
7 (3-22) 8 (4-16)
Successful
implant
410/435
(95%)
100/104
(96.2%)
20/20
(100%)
Game Changers
Study European
Registry
Butera et
al
Predsecu
et al
Residual
shunt
NA 1/104 0/20
CHB 16/430
(3.7%)
6/104
(5.7%)
4/20
(20%)
AR 14 (2) 0 0
LBBB/RB
BB
10 3 0
Hemolysis 5 (1.2% 0 0
Others NA 3
 Skeptics went up in arms
 Damning the device and the procedure
 Many radicals suffered
 Most conservatives survived
 What almost killed the procedure
“Overenthusiasm”
Introspection
 Patient selection
 Problems with AAPMVSDO
 Short waist 2 mm
 Stiff discs
 High “clamp force”
 Device selection
 PFM Le coils
 ADO I
 ADO II
 Modified devices
Qin et al (Am J Cardiol
2008; 101:1781-86)
Yang et al (Eur Heart J
2010; 31:2238-45)
Period of Study 2002-2005 2002-2008
Total no of cases 412 848
Age 16.4 ± 9.1 years 9 (2-73 years)
Gender (M:F) 202 : 210 426 : 406
Weight 30.5 (10-88)
Basic Data
Devices Used
Qin et al (Am J Cardiol
2008; 101:1781-86)
Yang et al (Eur Heart J 2010;
31:2238-45)
AAPMVSDO 0 103
Symmetric/Assymmetric
MVSDO (SSMA)
398 729
Success
Qin et al (Am J Cardiol
2008; 101:1781-86)
Yang et al (Eur Heart J 2010;
31:2238-45)
398/412 (96.6%) 832/848 (98.2%)
Complications
Qin et al (Am J Cardiol
2008; 101:1781-86)
Yang et al (Eur Heart J
2010; 31:2238-45)
Device Embolization 3 (2 retrieved and
redeployed)
2 (Surgical removal)
NeoAR 3 (device removed) 1 (Requiring Sx)
NeoTR 1 (Device removed) 1 (Requiring Sx)
Residual shunt 0 405
LBBB
RBBB
Junctional rhythm
10
16
6
15
32
CHB 6 (Recovered in 3 weeks, No
PPI)
5 (2 requiring PPI)
7 not
requirin
g Sx
Thakker et al Nageshwar Rao
et al ( CCVI
2011; 77:252-
59), (JACC 2012;
60:2421-22)
Jayrangnath et
al
Dalvi et al
(CCVI 2006;
68:145-52),
(CCVI 2006;
68:620-28)
Period of
Study
2007-2012 2006-2012 2010-2012 2000-2012
Total no of
cases
431 158 158 102
Age 1 year to 38
years (7.6
years)
6m to 22 years
(4.6 years)
9m to 41 years
(5.3years)
11m to 21 years
(4.2 years)
Gender (M:F) 255:176 71:87 91:67 68:34
Weight 8.2 – 72 (20) 6.2 – 55 (14) 7.5 – 64 (21) 7.7 - 56 (16)
Basic Data
VSD types
Thakker et
al
Nageshwar Rao
et al
Jayrangnath et
al
Dalvi et al
Perimembrano
us
310 108 136 76
Muscular 83(34) 38(4) 18(0) 22(3)
Postop
(Residual)
2 8 4 1
Others 2
(Subpulmoni
c)
0 0 0
Approach
Thakker et al Nageshwar Rao
et al
Jayrangnath et
al
Dalvi et al
Transvenous 397 64 112 85
Transarterial 0 94 46 14
Hybrid 34 4 0 3
Success 423/431
(98.1%)
150/158 (95%) 157/158
(99.3%)
100/102 (98%)
Devices Used
Thakker et al Nageshwar Rao
et al
Jayrangnath et
al
Dalvi et al
AAPMVSDO 1 19 12 61
Symmetric
VSDO
113(SSM) +
159 (Starway)
11 (Lifetech) 0 0
MVSDO 32 20 8 15
ADO I 88 18 90 11
ADO II 0 87 46 14
ASO 1 0 2 0
Complications
Thakker et al Nageshwar Rao
et al
Jayrangnath et
al
Dalvi et al
Device
Embolization
4 3 1 1
NeoAR 4 (1) 3 1 6
NeoTR 3 2 5 12 (1)
Acute MR 0 1 (1) 0 0
Hypotension 0 2 0 1
CHB 5 0 1 0
ECG Changes
Thakker et al Nageshwar Rao
et al
Jayrangnath et
al
Dalvi et al
Isorrhythmic
AVD
7 0 2 1
RBBB 6 9 2 6
LBBB 2 0 0 1
IRBBB 0 0 0 3
LAHB 1 0 0 3
Follow up
Thakker et al Nageshwar Rao
et al
Jayrangnath et
al
Dalvi et al
Duration 1-54 months 1-56 months 1-30 months 1-134 months
Late onset
CHB
0 0 0 0
Device
migration
0 0 0 0
Thromboemb
olism
0 0 0 0
Pericardial
effusion
0 0 0 0
Residual
Shunt
13 10 2 3
Follow up
Thakker et al Nageshwar Rao
et al
Jayrangnath et
al
Dalvi et al
Duration 1-54 months 1-56 months 1-30 months 1-134 months
Late onset
CHB
0 0 0 0
Device
migration
0 0 0 0
Thromboemb
olism
0 0 0 0
Pericardial
effusion
0 0 0 0
Residual
Shunt
13 10 2 3
Post infarct VSD
 Grave prognosis
 Mortality:
 Medical: 90%(30 days) 97%(1 year)
 Surgery: 47%(30 days) 53%(1 year)
 Device favourable to surgery
Holtzer et al
 US registry of Amplatzer PI VSD
 18 patients, 5 acute, 13 subacute
 Success: 89%
 Mortality: 25 % (30 days)
 20% moderately large shunt on follow up
Thielle et al
 Amplatzer device in acute MI VSD
 29 patients, cardiogenic shock in 55%
 Success: 86%
 Mortality:
 Overall: 35% (30 days)
 CS: 88%
 Non CS: 35%
Which VSD is suitable for device
closure?
 Look at:
Indication for closure
Location of defect
Size of defect
Rims to neighboring structures
Contraindications for percutaneous
closure
Which VSD is suitable for device
closure?
 Look at:
Indication for closure
Location of defect
Size of defect
Rims to neighboring structures
Contraindications for percutaneous
closure
dications for VSD Closure
 Relevant shunt:
 Qp/Qs > 2 : 1 and LV volume overload
 Qp/Qs > 1.5 : 1* and
 PA pressure < 2/3 of systemic pressure and
PVR < 2/3 of systemic Vascular resistance
 Qp/Qs > 1.5 : 1 and
 LV systolic or diastolic failure
 History of endocarditis
*CCS Guidelines 2006, AHA Guidelines 2008 /ESC 2012
Indications for VSD closure
Signs for small VSD
 Asymptomatic
 Echo:
 High velocity jet through VSD
 No LV volume overload
 No pulmonary hypertension
 Catheterization:
 Qp:Qs < 1.5
 Mean pulmonary artery pressure < 25 mmHg
 Low PVR < 200 dyn.s.cm-5
 Many VSDs are small and do not require
Indications for VSD closure
LV overload
Z-score of LVEDD > +2
Indications for VSD closure
Doppler gradients across the VSD to estimate RV pressure
Indications for VSD Closure
RV pressure? Reversible PHT?
INDICATIONS FOR VSD
CLOSURE
QP:QS
Qp/Qs can be estimated by using 2D echo
and spectral Doppler measurements
Which VSD is suitable for device
closure
 Look at:
Indication for closure?
Location of defect
Size of defect
Rims to neighboring structures
Contraindications for percutaneous
closure?
Which VSD is suitable for device closure?
Location
Echocardiographic delineation of pmVSD
Perimembraneous VSD
Supracristal
(=doubly committed/subpulmonary/conal/
infundibular/outlet/subarterial) VSD
Membraneous/
Perimembraneous
VSD
Lynch P
Subpulmonary
= supracristal
inlet
Echocardiographic delineation of various VSDs
Not suitable for
Device closure
based
on location
assessed
by echo
Which VSD is suitable for device
closure
 Look at:
Indication for closure?
Location of defect
Size of defect (suitable device
available?)
Rims to neighboring structures
Contraindications for percutaneous
closure?
• Clamshell, Cardioseal-/
Cardioseal-Starflex
– ~ 300 patients
J Lock, Boston
VSD-Closure Devices
Amplatzer Closure Devices
• ASD (4-36 mm)
• Post-MI VSD (16-24 mm)
• Perimembraneous VSD
• VSD (4-18 mm)
Which VSD is suitable for device closure
Suitable device for defect? rims?
• Diameters 4 – 18 mm central
waist (1 mm increments)
• Waist: same size or 1 mm >
defect
• Rim between defect/aortic
valve ≥ 2mm
Amplatzer pmVSD
PFM VSD coil •Effective defect diameter ≤ 8mm
•No aortic rim required
•Aneurysm preferable
Which VSD is suitable for device closure
Suitable device for defect? rims?
• Waist diameters: 4-18 mm
(2 mm increments)
• Waist: 7 mm; Discs:
Waist + 8 mm
(surrounding rim ≥ 4mm)
• Waist should be 1-3 mm
larger than the largest
diameter of the VSD
Amplatzer muscular VSD occluder
Which VSD is suitable for device closure
Suitable device for defect? rims?
 Not suitable based on
echocardiographic assessment:
Defect diameter too large (no
appropriate device available)
Rims too small or even absent (e.g. rim
to aortic valve)
Which VSD is suitable for device
closure
 Look at:
Indication for closure?
Location of defect
Size of defect (Suitable device
available?)
Rims to neighboring structures
Contraindications for percutaneous
closure?
Exclusion criteria for
percutanous VSD closure
 Overriding aorta (malalignment VSD)
 Supracristal/ inlet VSD
 Associated significant aortic regurgitation
 Prolapse of aortic cusp
 Sub-aortic stenosis
 Sub-pulmonary stenosis
 Eisenmenger syndrome
Exclusion criteria for VSD closure
Overriding Aorta (TOF) Aortic cusp prolapse
(= malalignment VSD)
prolapse of aortic cusp
Exclusion criteria for VSD closure
Supracristal VSD Inlet VSD
Take home message
Suitability for VSD closure
Suitable for Device closure
 Adequate indication for
closure
 Location:
perimembraneous/
muscular
 Diameter suitable for
device closure
 Adequate rims to
neighboring structures
(device dependent)
 No contraindication for
VSD closure
Not suitable for device closure
 No indication for closure
 Location: supracristal /
inlet
 Diameter too large for
device closure
 Missing/absent rims to
neighboring structures
(device dependent)
 Contraindications for
VSD closure present
(e.g. AV prolapse ± AR(
malalignment VSD)
Decision for suitability of VSD closure can be made by echo!
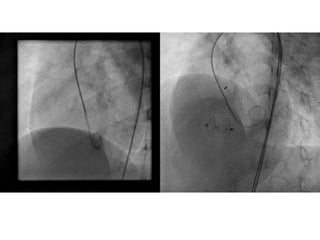
Perimembranous VSD

Device selection
 Type of the device
 Size of the device
Determinants of the Device type
 Size of the defect
 Morphology of the defect
Size of the defect
 ADO II : upto 5.5 mm
 Nit Occlud Le VSD coil : upto 8 mm
 ADO I : upto 12 mm
 AAPMVSDO & AMVSD occluder : upto 16 mm
 Modified Membranous VSD occluders
(Lifetech and Shanghai Steel Corp) : upto 19
mm
Morphology of the defect
 Presence of TV aneurysm
 Separation of the defect from the AoV
 Presence of aortic valve prolapse
 Extension into the inlet
Presence of TV aneurysm
 Mandatory for ADO I and Nit Occlud coil
 Absence of aneurysm : Need a double disc
design (Symmetrical or asymetrical)
• Presence of aneurysm
• PFM coil
• ADO I
Distance from the aortic valve
 < 3 mm : AAPMVSDO and Nit Occlud
 > 3 mm : ADO I, ADO II, AMVSDO, Symmetric
devices
• Small defect (5 mm)
• > 3mm separation from the Ao Valve
• ADO II 6 X 4
• Moderate sized defect (7 mm)
• > 3mm separation from the Ao Valve
• ADO I 10 X 8
• Moderate sized defect (8 mm)
• < 3mm separation from the Ao Valve
Presence of Ao Valve prolapse
 Severity of prolapse
 Presence and severity of AR
Extension into the inlet
 Use a device with a minimum clamp force
 Coil (Nit Occlud) or a single disc design (ADO
I)
 Devices with wider waist (ADO II, AMVSDO,
Modified devices)
Sizing the device
 No definite guidelines
 Echo Vs Angio
 LV Vs RV
 APMVSDO: RV side of the defect. Measure in
two planes. Average and add 1
 ADO I: RV side of the defect + 1 or 2 =
Pulmonary end of the ADO I
 ADO II: RV side of the defect + 0.5 to 1 mm
Muscular VSD
Devices used

Type of device
 Size of the defect
 Morphology of the defect
Size of the defect
 ADO II: upto 5.5 mm
 Nit Occlud: upto 8 mm
 ADO I: Upto 12 mm
 AMVSDO: Upto 16 mm
Morphology of the defect
 Simple : Point of entry and exit are opposite
each other – Any of the devices
 Complex : Coursing within the IVS – ADO II or
Nit Occlud
AMPLATZER Membranous VSD Occluder
 Self-expandable Nitinol mesh with polyester patches
 Non-concentric design to avoid interference with the aortic valve
 Sizes: 4 -18mm
Device Size (Waist = A)
Right Ventricular Disc (B)
Left Ventricular Disc (C)
Device Size
(Waist = A)
4 5 6 7 8 9 10 11 12 13 14 15 16 17 18
RV Disc (B) 8 9 10 11 12 13 14 15 16 17 18 19 20 21 22
LV Disc (C) 10 11 12 13 14 15 16 17 18 19 20 21 22 23 24
Legend
Strengths
 Specifically designed for PMVSDs
 Asymmetric design is ideal for preventing
aortic valve injury
 Separation from the aortic valve – 2mm
 Upto 8 kg
 VSD size of upto 16 mm
Choosing the device size
 No definite rule
 Echocardiographic Vs angiographic
 LV diameter Vs RV diameter
 1-2 mm > than the measured diameter
Limitations
 Protrusion into the LVOT
 Interference with aortic and tricuspid valve
mechanisms
 CHB
Biggest concern
COMPLETE HEART BLOCK
 0 – 5%
 Smaller children (< 8 kg)
 Large defects
 Inlet extension
 Associated Down’s syndrome
Study Bass et
al
Thanopou
los et al
Pedra et
al
Miro et al Fu et al
Year 2003 2003 2004 2005 2006
No. of
patients
27 10 10 54 35
Age in yrs 1.25 - 32 1.5 - 12 6 - 32 0.5 - 61 1.2 - 54.4
Weight 8.5-80 kg 11-49 kg 19-80 kg 6-77 kg 8-110 kg
Qp:Qs 1.6 1.93±0.29 1.5-5.5(2) 1.7±0.6 (1.8)
Device
size (mm)
4-12 4-8 8-18 6-18 6-16
Successful
implant
93% 100% 100% 94% 91%
Study Bass et al Thanopou
los et al
Pedra et
al
Miro et al Fu et al
Residual
shunt
8% 0% 10% 17% 4%
CHB 0 0 0 3+2 1
AR 2 0 0 1 12%
LBBB/RB
BB
1 3 TLBBB 1 NR NR
Hemolysis 0 0 0 2 2
Others 1 0 LVOTO-2 0 2
AMPLATZER Membranous VSD Occluder 2
Conforms to the Ventricular Anatomy
 The concave left ventricular (LV) disc is shaped to
conform with the septal wall
 The compliant outer waist allows the device to
conform to the shape of the defect
Minimizes Pressure on the Septal Tissue1
 The 3 mm waist length reduces clamp force on the
ventricular septum
Promotes Closure and Stability
 Polyester-filled waist and discs promote closure of
the defect
 Concave, oval-shaped LV disc promote stability
AMPLATZER® Membranous VSD Occluder 2
Device Sizes
18 available sizes:
 9 waist diameters: 4-10,12,14mm
 2 rims: 1mm & 3mm
 All sizes have a 3 mm waist length
Rim
Waist Diameter
Waist Length
94
ADO I
Model /
Reorder
Number
[A] Device Diameter
at Descending Aorta
(mm)
[B] Device
Diameter at
Pulmonary Artery
(mm)
[C]
Retentio
n Skirt
(mm)
[D]
Length
(mm)
Recommended
Sheath Size (with
AMPLATZER TorqVue
Delivery System)
9-PDA-
003
5 4 9 5 5 F, 180° Curve
9-PDA-
004
6 4 10 7 6 F, 180° Curve
9-PDA-
005
8 6 12 7 6 F, 180° Curve
9-PDA-
006
10 8 16 8 6 F, 180° Curve
9-PDA-
007
12 10 18 8 7 F, 180° Curve
9-PDA-
008
14 12 20 8 7 F, 180° Curve
9-PDA-
009
16 14 22 8 7 F, 180° Curve
ADO I - Strengths
 Smaller access
 CHB has not been reported
 Less expensive
Choosing the size
 Echo Vs Angiographic
 Minimum diameter on the RV aspect + 2mm
should be the size of the pulmonary end
Limitations
 Was not designed for PMVSD
 Only those with a good TV aneurysm
 Separation from the aortic valve – 4-5 mm
 PMVSD upto 12 mm at the RV end
 Aortic retention disc encroaching on the AV
 Interference with the TV mechanism
 Severe PHT
ADO II Specifications
Model /
Reorder
Number
[A] Waist
Diameter
(mm)
[B] Device
Length
(mm)
[C] Disc
Diameter
(mm)
Recommended Catheter Size (with
AMPLATZER TorqVue LP Delivery
System)
9-PDA2-03-04 3 4 9 4 F
9-PDA2-03-06 3 6 9 4 F
9-PDA2-04-04 4 4 10 4 F
9-PDA2-04-06 4 6 10 4 F
9-PDA2-05-04 5 4 11 5 F
9-PDA2-05-06 5 6 11 5 F
9-PDA2-06-04 6 4 12 5 F
9-PDA2-06-06 6 6 12 5 F
.
A C
B
ADO II - Advantages
 Softer (No polyester patch)
 Wider waist
 CHB has not been reported
 Ease of deployment (Arterial side)
Limitations
 Not designed for PMVSD: length is an issue
 Separation from the aortic valve – 4 mm
 Modifications in the delivery system
 Close VSDs only upto 5 to 5.5 mm
 Encroachment on the aortic valve and LVOT
 Impairment of TV mechanism
Nit-Occlud Le VSD coil
 Coil design with attached polyester fibres
 Outstanding adaptation properties
 Broad range of different sizes (8 – 16 mm
distal diameter)
 Small delivery system (6 to 7 Fr)
 No CHB reported – High flexibility
Device Selection
 Distal diameter (D) at least twice the minimal
diameter of the VSD on the right ventricular
side and 1–2 mm greater than, the diameter of
the VSD at the LV side.
 P = proximal, D = distal
Limitations
 PMVSD < 8 mm at the RV end
 Aneurysm formation is mandatory
 Absence of PHT
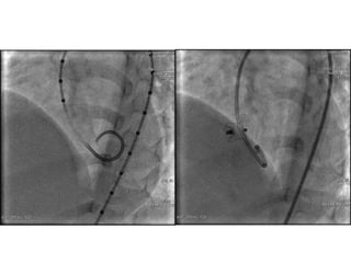
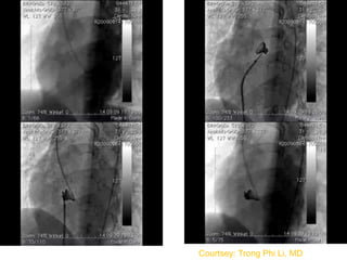
Courtsey: Trong Phi Li, MD
AMPLATZER Muscular VSD
Occluder
108
 Self-expandable Nitinol mesh with polyester patches
conform to the ventricular septum
 Waist length: 7mm
 Sizes: 4-18mm
Device Size (Waist = A)
Right Ventricular Disc (B)
Left Ventricular Disc (C)
Length of Waist (D)
Legend
Device Size (Waist = A) 4 6 8 10 12 14 16 18
RV Disc (B) 9 14 16 18 20 22 24 26
LV Disc (C) 9 14 16 18 20 22 24 26
Length of Waist (D) 7 7 7 7 7 7 7 7
Advantages
 Waist is broad
 Used upto 16-17 mm
 Even in those with PHT
Disadvantages
 Not designed for PMVSD closure
 Larger sheath
 Encroachment on the LVOT and aortic valve
 TV mechanism
Exclusion
 Small children
 Large VSDs
 Significant aortic valve prolapse
 More than mild AR
 Down’s syndrome
 Severe PHT
Follow-up after VSD closure-
what to look for?
Major complications
 Complete AV block
 • Aortic-/ Tricuspid valve dysfunction
 • Malposition/embolization of device
 • Residual defect (severe)
 • Severe hemolysis
 Carminati M et al.European H J 2007, 28:
2361
 Kenny D et al: Catheter Cardiovasc Interv
2009, 73:568-75
Minor complications
 Transient arrythmias
 • Residual defect (small)
 • Transient hemolysis
 • Inguinal hematoma and fistula
 Carminati M et al.European H J 2007, 28:
2361
 Kenny D et al: Catheter Cardiovasc Interv
2009, 73:568-75
Major early and late
complications →
mainly complete AV
block!
Relationship between VSD and
conduction system
The conduction tissue is primarily placed postero-inferiorly with reference to
membraneous VSDs, while it is placed antero-superiorly in most of the muscular VSDs
Lynch PJ. C Carl Jaffe Yale University
 The day after the procedure:
 • ECG
 • TTE
 • Chest X-ray
 Discharged on:
 • ASS 100 mg/die
 • Prophylaxis against infective endocarditis
(IE)
 1, 6, 12, 24 months, then every 2nd year
 •Symptoms?
 –dizziness, syncope, dyspnea, hemolytic
anemia ...
 •Murmurs?
 • ECG- abnormalities?
 •TTE (TEE if required):
 Residual defect? Tricuspid valve dysfuntion?
 AR? RVOT/LVOT obstruction?Device
malposition?
 Development of discrete subaortic

Vsd device closure

  • 1.
  • 2.
     Most commoncongenital heart disease in both adults and children  Prevalence: 20% in isolation. 30-50% with associated defects
  • 3.
     Etiology: Congenitalor Acquired  Location: Inlet, Outlet, Trabecular, Perimembranous  Size: Small, Moderate, Large
  • 4.
     Traditionally surgicalclosure  Lock et al:  1988  6 patients  Congenital/Acquired VSD  Rashkind double umbrella device  A-V wire loop technique
  • 5.
    Carminati et al 12 papers until 2006  Success rate: 87-100%  Major complicaions: 0-15%  Need for PPI: 0-8%
  • 6.
    Carminati et al European VSD registry  430 patients , ITT, 23 referral hospitals  119 muscular, 250 membranous, 16 multiple, 45 post op  Multiple devices  Overall success rate: 95.3%
  • 7.
     Early complication:12.7%  Significant complication: 6.5%  Death: 0.2%  Device embolosation: 0.9%  Tachyarrhytmia:0.7%  Early CHB: 2.8%. 6 during procedure, 6 within one week, all in PM VSD
  • 8.
    Butera et al 104 patients, PM VSD, Single centre  CHB in 9 patients , PPI in 6 patients  Multivariate analysis: Age a risf factor for CHB with a RR of 0.25  Only noted in children less than 6 years of age
  • 9.
    Holtzer et al Large International registry of PM VSD using Amplatzer device  100 patients  Procedural success: 93%  Immediate complete closure:58.1% with <2mm shunt in 95.7%
  • 10.
     Adverse eventsin 29.5% with arrhytmia MC with 13%, new or increased AR in 9.2%, new or increased TR in 9.2%
  • 11.
    Chinese series  2079patients, mostly PM VSD  Amplatzer or Chinese Symmetric/Asymmetric devices  Procedural success: 98.6%  Residual shunt >2mm in 0-4.7%  Adverse events in 2.5-19.3%, CHB in 0.1- 7.6%, PPI in 0.2%
  • 12.
    Study Bass et al Thanopou loset al Pedra et al Miro et al Fu et al Year 2003 2003 2004 2005 2006 No. of patients 27 10 10 54 35 Age in yrs 1.25 - 32 1.5 - 12 6 - 32 0.5 - 61 1.2 - 54.4 Weight 8.5-80 kg 11-49 kg 19-80 kg 6-77 kg 8-110 kg Qp:Qs 1.6 1.93±0.29 1.5-5.5(2) 1.7±0.6 (1.8) Device size (mm) 4-12 4-8 8-18 6-18 6-16 Successful implant 93% 100% 100% 94% 91%
  • 13.
    Study Bass etal Thanopou los et al Pedra et al Miro et al Fu et al Residual shunt 2/27 0/10 1/10 9/54 1/35 CHB 0 0 0 3+2 (10%) 1 AR 2 0 0 1 12% LBBB/RB BB 1 3 LBBB 1 NR NR Hemolysis 0 0 0 2 2 Others 1 0 LVOTO-2 0 2
  • 14.
    Study European Registry Butera et al Predsecu etal Year 2007 2007 2008 No. of patients 430 104 20 Age in yrs 8 (0.4 to 70 years) 14 (0.6-63 years) 1.6 (0.5 – 16.2 years) Weight in kg 28 (4-124 kg) 26.5 (6.5 – 96 kg) 9.7 (6.2- 43 kg) Qp:Qs 2.1 (1-8) 2 (1.3-5) Device size (mm) 7 (3-22) 8 (4-16) Successful implant 410/435 (95%) 100/104 (96.2%) 20/20 (100%) Game Changers
  • 15.
    Study European Registry Butera et al Predsecu etal Residual shunt NA 1/104 0/20 CHB 16/430 (3.7%) 6/104 (5.7%) 4/20 (20%) AR 14 (2) 0 0 LBBB/RB BB 10 3 0 Hemolysis 5 (1.2% 0 0 Others NA 3
  • 16.
     Skeptics wentup in arms  Damning the device and the procedure  Many radicals suffered  Most conservatives survived  What almost killed the procedure “Overenthusiasm”
  • 17.
    Introspection  Patient selection Problems with AAPMVSDO  Short waist 2 mm  Stiff discs  High “clamp force”  Device selection  PFM Le coils  ADO I  ADO II  Modified devices
  • 19.
    Qin et al(Am J Cardiol 2008; 101:1781-86) Yang et al (Eur Heart J 2010; 31:2238-45) Period of Study 2002-2005 2002-2008 Total no of cases 412 848 Age 16.4 ± 9.1 years 9 (2-73 years) Gender (M:F) 202 : 210 426 : 406 Weight 30.5 (10-88) Basic Data
  • 20.
    Devices Used Qin etal (Am J Cardiol 2008; 101:1781-86) Yang et al (Eur Heart J 2010; 31:2238-45) AAPMVSDO 0 103 Symmetric/Assymmetric MVSDO (SSMA) 398 729 Success Qin et al (Am J Cardiol 2008; 101:1781-86) Yang et al (Eur Heart J 2010; 31:2238-45) 398/412 (96.6%) 832/848 (98.2%)
  • 21.
    Complications Qin et al(Am J Cardiol 2008; 101:1781-86) Yang et al (Eur Heart J 2010; 31:2238-45) Device Embolization 3 (2 retrieved and redeployed) 2 (Surgical removal) NeoAR 3 (device removed) 1 (Requiring Sx) NeoTR 1 (Device removed) 1 (Requiring Sx) Residual shunt 0 405 LBBB RBBB Junctional rhythm 10 16 6 15 32 CHB 6 (Recovered in 3 weeks, No PPI) 5 (2 requiring PPI) 7 not requirin g Sx
  • 22.
    Thakker et alNageshwar Rao et al ( CCVI 2011; 77:252- 59), (JACC 2012; 60:2421-22) Jayrangnath et al Dalvi et al (CCVI 2006; 68:145-52), (CCVI 2006; 68:620-28) Period of Study 2007-2012 2006-2012 2010-2012 2000-2012 Total no of cases 431 158 158 102 Age 1 year to 38 years (7.6 years) 6m to 22 years (4.6 years) 9m to 41 years (5.3years) 11m to 21 years (4.2 years) Gender (M:F) 255:176 71:87 91:67 68:34 Weight 8.2 – 72 (20) 6.2 – 55 (14) 7.5 – 64 (21) 7.7 - 56 (16) Basic Data
  • 23.
    VSD types Thakker et al NageshwarRao et al Jayrangnath et al Dalvi et al Perimembrano us 310 108 136 76 Muscular 83(34) 38(4) 18(0) 22(3) Postop (Residual) 2 8 4 1 Others 2 (Subpulmoni c) 0 0 0
  • 24.
    Approach Thakker et alNageshwar Rao et al Jayrangnath et al Dalvi et al Transvenous 397 64 112 85 Transarterial 0 94 46 14 Hybrid 34 4 0 3 Success 423/431 (98.1%) 150/158 (95%) 157/158 (99.3%) 100/102 (98%)
  • 25.
    Devices Used Thakker etal Nageshwar Rao et al Jayrangnath et al Dalvi et al AAPMVSDO 1 19 12 61 Symmetric VSDO 113(SSM) + 159 (Starway) 11 (Lifetech) 0 0 MVSDO 32 20 8 15 ADO I 88 18 90 11 ADO II 0 87 46 14 ASO 1 0 2 0
  • 26.
    Complications Thakker et alNageshwar Rao et al Jayrangnath et al Dalvi et al Device Embolization 4 3 1 1 NeoAR 4 (1) 3 1 6 NeoTR 3 2 5 12 (1) Acute MR 0 1 (1) 0 0 Hypotension 0 2 0 1 CHB 5 0 1 0
  • 27.
    ECG Changes Thakker etal Nageshwar Rao et al Jayrangnath et al Dalvi et al Isorrhythmic AVD 7 0 2 1 RBBB 6 9 2 6 LBBB 2 0 0 1 IRBBB 0 0 0 3 LAHB 1 0 0 3
  • 28.
    Follow up Thakker etal Nageshwar Rao et al Jayrangnath et al Dalvi et al Duration 1-54 months 1-56 months 1-30 months 1-134 months Late onset CHB 0 0 0 0 Device migration 0 0 0 0 Thromboemb olism 0 0 0 0 Pericardial effusion 0 0 0 0 Residual Shunt 13 10 2 3
  • 29.
    Follow up Thakker etal Nageshwar Rao et al Jayrangnath et al Dalvi et al Duration 1-54 months 1-56 months 1-30 months 1-134 months Late onset CHB 0 0 0 0 Device migration 0 0 0 0 Thromboemb olism 0 0 0 0 Pericardial effusion 0 0 0 0 Residual Shunt 13 10 2 3
  • 30.
    Post infarct VSD Grave prognosis  Mortality:  Medical: 90%(30 days) 97%(1 year)  Surgery: 47%(30 days) 53%(1 year)  Device favourable to surgery
  • 31.
    Holtzer et al US registry of Amplatzer PI VSD  18 patients, 5 acute, 13 subacute  Success: 89%  Mortality: 25 % (30 days)  20% moderately large shunt on follow up
  • 32.
    Thielle et al Amplatzer device in acute MI VSD  29 patients, cardiogenic shock in 55%  Success: 86%  Mortality:  Overall: 35% (30 days)  CS: 88%  Non CS: 35%
  • 33.
    Which VSD issuitable for device closure?  Look at: Indication for closure Location of defect Size of defect Rims to neighboring structures Contraindications for percutaneous closure
  • 34.
    Which VSD issuitable for device closure?  Look at: Indication for closure Location of defect Size of defect Rims to neighboring structures Contraindications for percutaneous closure
  • 35.
    dications for VSDClosure  Relevant shunt:  Qp/Qs > 2 : 1 and LV volume overload  Qp/Qs > 1.5 : 1* and  PA pressure < 2/3 of systemic pressure and PVR < 2/3 of systemic Vascular resistance  Qp/Qs > 1.5 : 1 and  LV systolic or diastolic failure  History of endocarditis *CCS Guidelines 2006, AHA Guidelines 2008 /ESC 2012
  • 36.
    Indications for VSDclosure Signs for small VSD  Asymptomatic  Echo:  High velocity jet through VSD  No LV volume overload  No pulmonary hypertension  Catheterization:  Qp:Qs < 1.5  Mean pulmonary artery pressure < 25 mmHg  Low PVR < 200 dyn.s.cm-5  Many VSDs are small and do not require
  • 37.
    Indications for VSDclosure LV overload Z-score of LVEDD > +2
  • 38.
    Indications for VSDclosure Doppler gradients across the VSD to estimate RV pressure
  • 39.
    Indications for VSDClosure RV pressure? Reversible PHT?
  • 40.
    INDICATIONS FOR VSD CLOSURE QP:QS Qp/Qscan be estimated by using 2D echo and spectral Doppler measurements
  • 41.
    Which VSD issuitable for device closure  Look at: Indication for closure? Location of defect Size of defect Rims to neighboring structures Contraindications for percutaneous closure?
  • 42.
    Which VSD issuitable for device closure? Location
  • 43.
    Echocardiographic delineation ofpmVSD Perimembraneous VSD Supracristal (=doubly committed/subpulmonary/conal/ infundibular/outlet/subarterial) VSD Membraneous/ Perimembraneous VSD Lynch P
  • 45.
    Subpulmonary = supracristal inlet Echocardiographic delineationof various VSDs Not suitable for Device closure based on location assessed by echo
  • 46.
    Which VSD issuitable for device closure  Look at: Indication for closure? Location of defect Size of defect (suitable device available?) Rims to neighboring structures Contraindications for percutaneous closure?
  • 47.
    • Clamshell, Cardioseal-/ Cardioseal-Starflex –~ 300 patients J Lock, Boston VSD-Closure Devices
  • 48.
    Amplatzer Closure Devices •ASD (4-36 mm) • Post-MI VSD (16-24 mm) • Perimembraneous VSD • VSD (4-18 mm)
  • 49.
    Which VSD issuitable for device closure Suitable device for defect? rims? • Diameters 4 – 18 mm central waist (1 mm increments) • Waist: same size or 1 mm > defect • Rim between defect/aortic valve ≥ 2mm Amplatzer pmVSD PFM VSD coil •Effective defect diameter ≤ 8mm •No aortic rim required •Aneurysm preferable
  • 50.
    Which VSD issuitable for device closure Suitable device for defect? rims? • Waist diameters: 4-18 mm (2 mm increments) • Waist: 7 mm; Discs: Waist + 8 mm (surrounding rim ≥ 4mm) • Waist should be 1-3 mm larger than the largest diameter of the VSD Amplatzer muscular VSD occluder
  • 51.
    Which VSD issuitable for device closure Suitable device for defect? rims?  Not suitable based on echocardiographic assessment: Defect diameter too large (no appropriate device available) Rims too small or even absent (e.g. rim to aortic valve)
  • 52.
    Which VSD issuitable for device closure  Look at: Indication for closure? Location of defect Size of defect (Suitable device available?) Rims to neighboring structures Contraindications for percutaneous closure?
  • 53.
    Exclusion criteria for percutanousVSD closure  Overriding aorta (malalignment VSD)  Supracristal/ inlet VSD  Associated significant aortic regurgitation  Prolapse of aortic cusp  Sub-aortic stenosis  Sub-pulmonary stenosis  Eisenmenger syndrome
  • 54.
    Exclusion criteria forVSD closure Overriding Aorta (TOF) Aortic cusp prolapse (= malalignment VSD) prolapse of aortic cusp
  • 55.
    Exclusion criteria forVSD closure Supracristal VSD Inlet VSD
  • 56.
    Take home message Suitabilityfor VSD closure Suitable for Device closure  Adequate indication for closure  Location: perimembraneous/ muscular  Diameter suitable for device closure  Adequate rims to neighboring structures (device dependent)  No contraindication for VSD closure Not suitable for device closure  No indication for closure  Location: supracristal / inlet  Diameter too large for device closure  Missing/absent rims to neighboring structures (device dependent)  Contraindications for VSD closure present (e.g. AV prolapse ± AR( malalignment VSD) Decision for suitability of VSD closure can be made by echo!
  • 57.
  • 58.
  • 59.
    Device selection  Typeof the device  Size of the device
  • 60.
    Determinants of theDevice type  Size of the defect  Morphology of the defect
  • 61.
    Size of thedefect  ADO II : upto 5.5 mm  Nit Occlud Le VSD coil : upto 8 mm  ADO I : upto 12 mm  AAPMVSDO & AMVSD occluder : upto 16 mm  Modified Membranous VSD occluders (Lifetech and Shanghai Steel Corp) : upto 19 mm
  • 62.
    Morphology of thedefect  Presence of TV aneurysm  Separation of the defect from the AoV  Presence of aortic valve prolapse  Extension into the inlet
  • 63.
    Presence of TVaneurysm  Mandatory for ADO I and Nit Occlud coil  Absence of aneurysm : Need a double disc design (Symmetrical or asymetrical)
  • 64.
    • Presence ofaneurysm • PFM coil • ADO I
  • 66.
    Distance from theaortic valve  < 3 mm : AAPMVSDO and Nit Occlud  > 3 mm : ADO I, ADO II, AMVSDO, Symmetric devices
  • 67.
    • Small defect(5 mm) • > 3mm separation from the Ao Valve • ADO II 6 X 4
  • 68.
    • Moderate sizeddefect (7 mm) • > 3mm separation from the Ao Valve • ADO I 10 X 8
  • 69.
    • Moderate sizeddefect (8 mm) • < 3mm separation from the Ao Valve
  • 70.
    Presence of AoValve prolapse  Severity of prolapse  Presence and severity of AR
  • 71.
    Extension into theinlet  Use a device with a minimum clamp force  Coil (Nit Occlud) or a single disc design (ADO I)  Devices with wider waist (ADO II, AMVSDO, Modified devices)
  • 72.
    Sizing the device No definite guidelines  Echo Vs Angio  LV Vs RV  APMVSDO: RV side of the defect. Measure in two planes. Average and add 1  ADO I: RV side of the defect + 1 or 2 = Pulmonary end of the ADO I  ADO II: RV side of the defect + 0.5 to 1 mm
  • 73.
  • 74.
  • 75.
    Type of device Size of the defect  Morphology of the defect
  • 76.
    Size of thedefect  ADO II: upto 5.5 mm  Nit Occlud: upto 8 mm  ADO I: Upto 12 mm  AMVSDO: Upto 16 mm
  • 77.
    Morphology of thedefect  Simple : Point of entry and exit are opposite each other – Any of the devices  Complex : Coursing within the IVS – ADO II or Nit Occlud
  • 82.
    AMPLATZER Membranous VSDOccluder  Self-expandable Nitinol mesh with polyester patches  Non-concentric design to avoid interference with the aortic valve  Sizes: 4 -18mm Device Size (Waist = A) Right Ventricular Disc (B) Left Ventricular Disc (C) Device Size (Waist = A) 4 5 6 7 8 9 10 11 12 13 14 15 16 17 18 RV Disc (B) 8 9 10 11 12 13 14 15 16 17 18 19 20 21 22 LV Disc (C) 10 11 12 13 14 15 16 17 18 19 20 21 22 23 24 Legend
  • 83.
    Strengths  Specifically designedfor PMVSDs  Asymmetric design is ideal for preventing aortic valve injury  Separation from the aortic valve – 2mm  Upto 8 kg  VSD size of upto 16 mm
  • 84.
    Choosing the devicesize  No definite rule  Echocardiographic Vs angiographic  LV diameter Vs RV diameter  1-2 mm > than the measured diameter
  • 88.
    Limitations  Protrusion intothe LVOT  Interference with aortic and tricuspid valve mechanisms  CHB
  • 89.
    Biggest concern COMPLETE HEARTBLOCK  0 – 5%  Smaller children (< 8 kg)  Large defects  Inlet extension  Associated Down’s syndrome
  • 90.
    Study Bass et al Thanopou loset al Pedra et al Miro et al Fu et al Year 2003 2003 2004 2005 2006 No. of patients 27 10 10 54 35 Age in yrs 1.25 - 32 1.5 - 12 6 - 32 0.5 - 61 1.2 - 54.4 Weight 8.5-80 kg 11-49 kg 19-80 kg 6-77 kg 8-110 kg Qp:Qs 1.6 1.93±0.29 1.5-5.5(2) 1.7±0.6 (1.8) Device size (mm) 4-12 4-8 8-18 6-18 6-16 Successful implant 93% 100% 100% 94% 91%
  • 91.
    Study Bass etal Thanopou los et al Pedra et al Miro et al Fu et al Residual shunt 8% 0% 10% 17% 4% CHB 0 0 0 3+2 1 AR 2 0 0 1 12% LBBB/RB BB 1 3 TLBBB 1 NR NR Hemolysis 0 0 0 2 2 Others 1 0 LVOTO-2 0 2
  • 92.
    AMPLATZER Membranous VSDOccluder 2 Conforms to the Ventricular Anatomy  The concave left ventricular (LV) disc is shaped to conform with the septal wall  The compliant outer waist allows the device to conform to the shape of the defect Minimizes Pressure on the Septal Tissue1  The 3 mm waist length reduces clamp force on the ventricular septum Promotes Closure and Stability  Polyester-filled waist and discs promote closure of the defect  Concave, oval-shaped LV disc promote stability
  • 93.
    AMPLATZER® Membranous VSDOccluder 2 Device Sizes 18 available sizes:  9 waist diameters: 4-10,12,14mm  2 rims: 1mm & 3mm  All sizes have a 3 mm waist length Rim Waist Diameter Waist Length
  • 94.
    94 ADO I Model / Reorder Number [A]Device Diameter at Descending Aorta (mm) [B] Device Diameter at Pulmonary Artery (mm) [C] Retentio n Skirt (mm) [D] Length (mm) Recommended Sheath Size (with AMPLATZER TorqVue Delivery System) 9-PDA- 003 5 4 9 5 5 F, 180° Curve 9-PDA- 004 6 4 10 7 6 F, 180° Curve 9-PDA- 005 8 6 12 7 6 F, 180° Curve 9-PDA- 006 10 8 16 8 6 F, 180° Curve 9-PDA- 007 12 10 18 8 7 F, 180° Curve 9-PDA- 008 14 12 20 8 7 F, 180° Curve 9-PDA- 009 16 14 22 8 7 F, 180° Curve
  • 95.
    ADO I -Strengths  Smaller access  CHB has not been reported  Less expensive
  • 96.
    Choosing the size Echo Vs Angiographic  Minimum diameter on the RV aspect + 2mm should be the size of the pulmonary end
  • 97.
    Limitations  Was notdesigned for PMVSD  Only those with a good TV aneurysm  Separation from the aortic valve – 4-5 mm  PMVSD upto 12 mm at the RV end  Aortic retention disc encroaching on the AV  Interference with the TV mechanism  Severe PHT
  • 100.
    ADO II Specifications Model/ Reorder Number [A] Waist Diameter (mm) [B] Device Length (mm) [C] Disc Diameter (mm) Recommended Catheter Size (with AMPLATZER TorqVue LP Delivery System) 9-PDA2-03-04 3 4 9 4 F 9-PDA2-03-06 3 6 9 4 F 9-PDA2-04-04 4 4 10 4 F 9-PDA2-04-06 4 6 10 4 F 9-PDA2-05-04 5 4 11 5 F 9-PDA2-05-06 5 6 11 5 F 9-PDA2-06-04 6 4 12 5 F 9-PDA2-06-06 6 6 12 5 F . A C B
  • 101.
    ADO II -Advantages  Softer (No polyester patch)  Wider waist  CHB has not been reported  Ease of deployment (Arterial side)
  • 102.
    Limitations  Not designedfor PMVSD: length is an issue  Separation from the aortic valve – 4 mm  Modifications in the delivery system  Close VSDs only upto 5 to 5.5 mm  Encroachment on the aortic valve and LVOT  Impairment of TV mechanism
  • 104.
    Nit-Occlud Le VSDcoil  Coil design with attached polyester fibres  Outstanding adaptation properties  Broad range of different sizes (8 – 16 mm distal diameter)  Small delivery system (6 to 7 Fr)  No CHB reported – High flexibility
  • 105.
    Device Selection  Distaldiameter (D) at least twice the minimal diameter of the VSD on the right ventricular side and 1–2 mm greater than, the diameter of the VSD at the LV side.  P = proximal, D = distal
  • 106.
    Limitations  PMVSD <8 mm at the RV end  Aneurysm formation is mandatory  Absence of PHT
  • 107.
  • 108.
    AMPLATZER Muscular VSD Occluder 108 Self-expandable Nitinol mesh with polyester patches conform to the ventricular septum  Waist length: 7mm  Sizes: 4-18mm Device Size (Waist = A) Right Ventricular Disc (B) Left Ventricular Disc (C) Length of Waist (D) Legend Device Size (Waist = A) 4 6 8 10 12 14 16 18 RV Disc (B) 9 14 16 18 20 22 24 26 LV Disc (C) 9 14 16 18 20 22 24 26 Length of Waist (D) 7 7 7 7 7 7 7 7
  • 109.
    Advantages  Waist isbroad  Used upto 16-17 mm  Even in those with PHT
  • 110.
    Disadvantages  Not designedfor PMVSD closure  Larger sheath  Encroachment on the LVOT and aortic valve  TV mechanism
  • 111.
    Exclusion  Small children Large VSDs  Significant aortic valve prolapse  More than mild AR  Down’s syndrome  Severe PHT
  • 113.
    Follow-up after VSDclosure- what to look for?
  • 114.
    Major complications  CompleteAV block  • Aortic-/ Tricuspid valve dysfunction  • Malposition/embolization of device  • Residual defect (severe)  • Severe hemolysis  Carminati M et al.European H J 2007, 28: 2361  Kenny D et al: Catheter Cardiovasc Interv 2009, 73:568-75
  • 115.
    Minor complications  Transientarrythmias  • Residual defect (small)  • Transient hemolysis  • Inguinal hematoma and fistula  Carminati M et al.European H J 2007, 28: 2361  Kenny D et al: Catheter Cardiovasc Interv 2009, 73:568-75
  • 116.
    Major early andlate complications → mainly complete AV block!
  • 117.
    Relationship between VSDand conduction system The conduction tissue is primarily placed postero-inferiorly with reference to membraneous VSDs, while it is placed antero-superiorly in most of the muscular VSDs Lynch PJ. C Carl Jaffe Yale University
  • 118.
     The dayafter the procedure:  • ECG  • TTE  • Chest X-ray  Discharged on:  • ASS 100 mg/die  • Prophylaxis against infective endocarditis (IE)
  • 119.
     1, 6,12, 24 months, then every 2nd year  •Symptoms?  –dizziness, syncope, dyspnea, hemolytic anemia ...  •Murmurs?  • ECG- abnormalities?  •TTE (TEE if required):  Residual defect? Tricuspid valve dysfuntion?  AR? RVOT/LVOT obstruction?Device malposition?  Development of discrete subaortic

Editor's Notes

  • #36 Bedenken beim Verschluss: 3% Periprozedurales Risiko steht 0, 5% Risiko einer bakteriellen Endokarditis entgegen!!!
  • #43 Suitable for device closure: pmVSD, mid-muscular and apical VSD
  • #44 Supracristal (or doubly committed) ventricular septal defect (VSD) is the least common type of VSD in the Western Hemisphere, accounting for approximately 5-7% of such defects in this part of the world, including in the United States.[1] The location of the supracristal VSD, with its close proximity to the aortic root, accounts for the common development of aortic insufficiency with this defect. Left-to-right shunting of blood through the defect is believed to progressively pull aortic valve tissue (especially the right coronary cusp) through a Venturi effect The crista supraventricularis can be considered synonymous with the infundibular (or conus) ventricular septum. It is the portion of the septum that separates the tricuspid and pulmonary valves. Defects above this part of the septum are referred to as supracristal defects. The term is generally reserved for defects lying immediately under the pulmonary valve. A defect, usually small, may occur within the conus septum, and, technically can be termed supracristal. Supracristal VSDs make up approximately 5-7% of VSDs in the Western Hemisphere, but they are the most common VSD in some Asian populations, making up 25% of all VSDs in patients in the Eastern Hemisphere. Alternate nomenclature systems refer to this VSD as conal, outlet, subarterial, or infundibular. Supracristal VSDs lie just beneath the pulmonary and aortic valve annuli. Because of the anatomic location and Venturi effect from VSD flow, prolapse of the right coronary cusp of the aortic valve into the defect may result in significant aortic insufficiency
  • #101 To add a table to a presentation, select a table above, and then right click and select “Copy”. Then switch to another presentation, select the “Edit” menu in the menu-bar and click “Paste”.