Dobutamine stress ECHOcardiography
Presenter: Dr. Himanshu Rana
Stress ECHOcardiography
• Dynamic evaluation of cardiac structure & function during physical exercise or
pharmacologic simulation of exercise by increased HR, CO & myocardial oxygen
demand
• Stress echocardiographic imaging techniques may be used to evaluate for
myocardial ischemia, viability & valvular dysfunction
Low cost
Environment friendly
No ionizing radiation
Equally accurate
Why Echo in comparison to SPECT, PET etc.
Principles of pharmacologically induced stress
• Exercise-induced physiologic stress - preferred as
• Assessment of patient’s functional capacity &
• symptoms reproducibility
• All major guidelines recommend exercise over pharmacological stress ECHO
• Patients unable to exercise, pharmacologic stress should be pursued.
• Commonly used pharmacologic stressors include vasodilators such as adenosine &
dipyridamole, or inotropes, such as dobutamine.
Treadmill stress echo
• Difficult to image while walking
• Able to get image only post exercise
• Peak exercise image is not obtainable
• Should acquire image with in 1 to 1.5 min of exercise
Exercise capacity
Blood pressure response
Arrythmia assesment
Do a bicycle ergometry
• Done in supine position & able to image throughout exercise
• Image is obtainable at peak exercise
• Ischemia can induce at lower HR because of increased venous return & preload
in supine position can cause a greater BP response
Difficult to attain the adequate stress
Information obtained from Exercise Stress but not available with
Pharmacological Test
Drawbacks
Hyperventilation
Hypercontractility
of Normal Walls
Excessive
Tachycardia
Excessive chest
wall movement
Unable to exercise
at all or maximally
Circumvented by
Pharmacological
Stressers
Situations where Pharmacological Stress is preferred to Exercise Stress
ISCHEMIC CASCADE
In the absence of a flow-limiting coronary stenosis, physiologic stress results in
Increase in
 Heart rate
 Contractility
 Systolic wall thickening
 Endocardial excursion
 Global contractility
 Ejection fraction
Decrease in end-systolic volume
severity of the wall motion abnormality (hypokinesis versus dyskinesis) will depend on
Magnitude of the blood flow change
 Spatial extent of the defect
 The presence of collateral blood flow
 Duration of ischemia.
Dobutamine
• Acts on β1- receptors to increase cardiac contractility & HR
• β2- receptors to cause peripheral vasodilatation.
• Onset of action is 1–2 min & t1/2 is approx. 2 min
• At low doses - recruits potentially contractile myocardium, & increases
myocardial contractility
• At high dose - increases myocardial oxygen demand
• So if flow limiting stenosis present - myocardial ischaemia & deterioration of
regional function d/t demand/supply mismatch.
Goal of DSE
• To detect myocardial ischemia in early stages of CAD by identifying RWMAs under
conditions of pharmacologic stress.
• Coronary flow limitation initially causes diastolic dysfunction followed by
manifestations of ischemia, including the visualization of systolic dysfunction.
Why dobutamine is the stress agent during echo?
• Adenosine – direct coronary vasodilator
• Dipyridamol – inhibit adenosine uptake
• As pharmacological stressor both are less poplular
• Redistibution can occur without RWMA
• Better suited for nucler imaging that relay on redistirbution
HOW TO PERFORM DSE & PROTOCOL
Testing Pre-requisites
• The protocol was defined by ASE(2007) & ESE(2008)
• Machine should have the ability to trigger image acquisition based on ECG
• Also machine should have split screen & quadruple screen so that simultaneous comparison
of image is possible
• Contrast enhancement should be considered to augment endocardial definition when ≥ 2
contiguous endocardial segments not visualized at rest.
Testing protocol
• Typically fasting for 4 hrs
• The sn of DSE for detection of ischemia may be reduced by β-B’s, CCB’s, and nitrates
• Stop all negative chronotropic agents and nitrates 8 to 12 hr before procedure – unless,
goal is to assess efficacy of anti-ischemic regimen
• Graded dobutamine infusion given typically @ starting dose of 5 μg/kg/min
• Dobutamine dose increased every 3–5 minutes to doses of 10, 20, 30 & finally to 40
μg/kg/min
• The goal is to achieve heart rate 85% of MPHR for patient’s age
• Low-dose dobutamine stage is optimal for detection of ischemia & assessment of viability by
searching for “biphasic response”
• Therefore, if viability assessment is the principal aim, the initial dose is often lowered to 2.5
μg/kg/min.
• If THR is not achieved with dobutamine alone, atropine (max. dose 2 mg, divided into four
0.5 mg doses) can be added
• Some also consider trial of increased dose of dobutamine (50 μg/kg/min) if patient is close
to achieving 85% MPHR
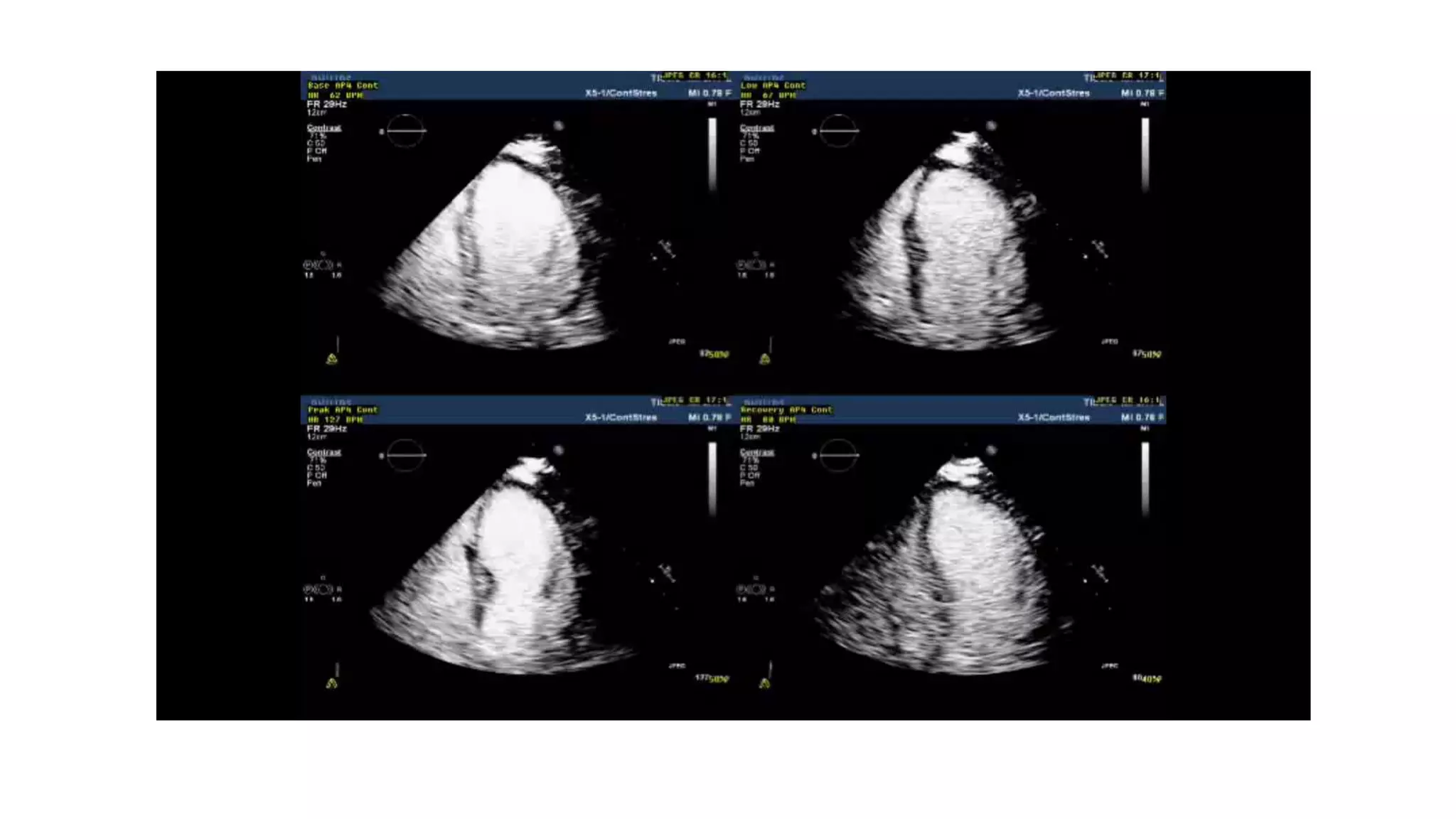
• Images at each echocardiographic window are obtained during rest, low-dose, intermediate
dose, peak-dose & post-stress
End points of the DSE protocol
• Achievement of the THR
• Detection of moderate wall motion abnormalities in ≥ 2 territories
• Symptomatic or sustained arrhythmias,
• Hypotension or severe hypertension (typically SBP 220–240 mmHg or DBP 120 mmHg), or
• Patient’s inability to tolerate the test
• Significant ST-T changes
• In some cases, reversal of RWMA is assessed with addition of post-stress beta-blockers (typically
1–5 mg of iv metoprolol).
Testing interpretation
• Stress report must mention
• the adequacy of stress
o achievement of THR or
o estimated workload,
• symptoms,
• blood pressure response,
• any electrocardiographic (ischemic or arrhythmic) &
• echocardiographic changes.
• The typical stress echocardiography report should comment both on global LV
function and regional LV function, along with summative comment on the
significance of the findings
• Hyperdynamic ventricular response
• Increase in endocardial excursion ≥ 5 mm
• Uniform thickening during systole
• Increase in LVEF with decrease in end-sysolic volume
NORMAL RESPONSE?
CATEGORIZATION OF WALL MOTION
HYPOKINESIA
AKINESIA
DYSKINESIA
TARDOKINESIA
LESS THAN 30% WALL THICKENING OR <5 MM ENDOCARDIAL
EXCURSION
LESS THAN 10 % WALL THICKENING
SYSTOLIC THINNING AND OUTWARD BULGING
DELAYED INWARD MOTION AND THICKENING
Ischemic response is generally defined as decreased wall thickening in ≥1 segment
Pseudodyskinesia (Raisinghani sign)
• Diastolic flattening of dyskinetic motion of inferoseptal & inferobasilar
segments d/t diaphragmatic compression f/b systolic bulging
• Causes:
• Liver failure with severe ascites
• Hepatomegaly
• Pregnancy 3rd trimester
• Where a myocardial territory augments its contraction at low dose but becomes hypokinetic/akinetic at
higher doses
Biphasic response
Absolute Contraindication
• Uncontrolled hypertension: >180/100(resting) or symptomatic hypertension
• HCM(significant rest LVOT gardient ≥ 30mm Hg)*
• Malignant ventricular arrhythmia
• Recent MI( within 3 days)
• Unstable angina
• Aortic dissection
Relative contraindications
• Aortic aneurysms
• Carotid disease
• Heart failure
• Cardiomyopathies
• Intracranial aneurysms
• History of CVA or TIA
SIDEFECTS AND COMPLICATIONS
Side effects
Dobutamine
• Anxiety
• Nausea
• Headache
• Palpitation
• flushing,
• paresthesia,
• urinary urgency,
Atropine
• Urinary retention,
• Increased intraocular pressure,
• Delirium,
• Flushing,
• Constipation and delayed gastric emptying,
• Nausea,
• Dry mouth, and
• Weakness
Safety of dobutamine stress echocardiography
• Decreased blood pressure/Hypotension(1.7%),
• Hypertension (1.3%),
• Supraventricular tachycardia (1.3%),
• Atrial fibrillation (0.9%),
• Atrioventricular block (0.23%),
• Ventricular tachycardia (0.15%),
• Ventricular fibrillation (0.04%),
• Coronary artery spasm (0.14%),
• Myocardial infarction (0.02%),
• Cardiac rupture (0.002%) , and
• Cerebrovascular disorder (0.005%).
Indications - dobutamine stress echocardiography
Indication Assessment
Risk stratification of IHD Presence & extent of ischemic myocardium as well as viable and/or hibernating
myocardium
Mitral stenosis(MS) 1. Indicated in asymptomatic patients with severe MS,
2. Patients having symptoms discordant with rest echocardiographic measures of
stenosis,
3. Assessment of transvalvular gradients at stress
Aortic stenosis(AS) 1. Differentiation of low gradient AS versus pseudostenosis, and
2. Prognosis in low gradient AS (eg, assessment of contractile reserve)
Pulmonary hypertension Assessment of pulmonary artery systolic pressure at stress when patient is unable to
exercise
Ischemic Heart disease
• Stress echocardiography has highest sp (88%) among ischemic tests including
exercise ECG testing, thallium perfusion imaging, SPECT & PET, hence high NPV
• More recent data suggest that in patients with LVH, stress echocardiography
may be the test of choice in an ischemic evaluation
• Also, heterogenous uptake of radionuclide due to LVH may generate a high
false positive rate of perfusion imaging, which is not applicable to stress
echocardiography
MEAN SENSITIVITY OF DSE
DISEASE SENSITIVITY
SVD 74%
2VD 86%
3VD 92%
ARTERY INVOLVED SENSITIVITY
LCX 55%
LAD 72%
RCA 76
X – not visualised
• Normal WMSI-1 at baseline and stress
• Any score>1-abnormal
• Good prognostic value
• Help to approach in a standardized and systematic way
False negative
• Submaximal stress
• Late image acquisition
• Single vessel disease especially LCx territory
• Marked LVH and small LV cavity
• Beta blocker and antianginal
• Elderly women
False positive
• Hypertensive response to stress
• Coronary spasm due to dobutamine
• Paradoxical septal motion in LBBB
• Myocardial infarction(old)
• Cardiomyopathy
• Myocarditis
• Hibernating myocardium
• Stunned myocardium
• Postoperative state
• Right ventricular volume/pressure overload
Myocardial viability
DEFINITION
IMPROVEMENT IN WALL MOTION ABNORMALITY BY ATLEAST ONE
GRADE IN 2 OR MORE SEGMENTS DURING STRESS.
Types of response
• Biphasic response- most specific sign of viability
• Sustained improvement-viable stunned, remodeled or myopathic
• Deterioration-critical low flow
• No response- akinetic remain akinetic(non viable scarred)
• Four or more segments out of a total of 16 displaying a biphasic response
exhibited a specificity of 81% for predicting a ≥5% increase in post-
revascularization EF at a median 14-month follow-up of ICMP, with sn of
83% if the EF was >35% & of 92% if the EF was ≤35%.
• DSE one week after MI with either an ischemic or biphasic response has a
sensitivity of 82% and a specificity of 80% for detecting a residual stenosis
subtending an area of hibernating myocardium.
• Myocardial viability identified with stress echocardiography is associated
with improved survival after revascularization
Its been shown that the combined nitroglycerin and dobutamine stress
echocardiogram had the highest specificity (83%) but rest-redistribution
thallium single proton emission tomography had the highest sensitivity
(95%) for detecting viable myocardium.
VALVULAR DISEASE
• Stress echocardiography has the ability to comprehensively assess valvular
function, both at rest & during stress & indirectly evaluate hemodynamics in real
time.
• Stenosis & regurgitation of all valves can be evaluated with stress
echocardiography
• MC stress echocardiogram applications are in left-sided stenotic lesions. Exercise
echocardiography is the general technique for assessment of valvular disease
except in aortic stenosis with left ventricular dysfunction.
• There are limited data for assessment of AR & MR by DSE, as there is concern that
the afterload-reducing properties of dobutamine will reduce the degree of valvular
regurgitation.
Mitral stenosis
• The 2007 ASE guidelines recommend stress echocardiography for
evaluation of asymptomatic patients with echocardiographically severe
mitral stenosis and patients with symptoms disproportionate to their
echocardiographic disease
• The ability to evaluate both valvular function and dynamic transvalvular
gradients is particularly helpful in patients whose symptoms are more
severe than their resting echocardiographic evaluation would suggest.
• A multivariate analysis of rheumatic MS defined a transmitral mean gradient ≥18
mmHg as “high risk” & best predictor of future events (eg, heart failure related
to mitral stenosis, surgical or balloon intervention, hemodynamically significant
arrhythmia, or death) with sn - 90% & sp - 87%.
• These high-risk patients likely warrant more aggressive clinical care and
consideration for earlier more aggressive interventions
Whenever there is an Increse
in flow rate across aortic valve
Associated increase in valve area
If flow rate is low valve opening get inhibited lead to
underestimation of valve area
This phenomina is a practical challenge for the doctor because when LV dysfunction is present
quantitative assessment of AS is difficult
Aortic stenosis
• Patients with a low LVEF (<35%–40%) and a low mean transvalvular gradient (<30–40
mmHg), called “low-gradient low output aortic stenosis”, pose a diagnostic dilemma.
• This is one of the clinical situations where DSE is uniquely helpful.
• It is very difficult to determine if they have true stenosis & should be considered for valve
replacement, or instead have “pseudostenosis”, namely LV dysfunction that makes aortic
valve appear stenotic, but carries a high risk of dying with valve replacement.
• DSE can be uniquely useful in differentiating these patients and determining who
might benefit from surgical intervention
• Specifically, patients with aortic valve pseudostenosis are able to increase their aortic
valve area & decrease the transaortic gradient in response to dobutamine on
• In contrast, patients with true aortic stenosis are unable to increase their valve area in
response to an increased cardiac output, and instead the transvalvular gradient
increases
• Another use of DSE in AS is to assess contractile reserve.
• Contractile reserve is defined as a 20% increase in stroke volume (as assessed
by the left ventricular outflow tract velocity time integral) or a 20% relative
increase in ejection fraction
• For patients with low gradient aortic stenosis, surgery is most beneficial for
those with documented left ventricular contractile reserve
• The postoperative outcomes for patients with low gradient aortic stenosis
and without contractile reserve is poor
Cut Offs for Diagnosis
Contractile Reserve – 20% of stroke volume
Valve area improvement to differentiate true from Pseudostenosis – 0.2%
Asymptomatic Sev AS, mean gradient rise on exercise - > 20 mmHg
Pulmonary hypertension
• Doppler evaluation of the TR velocity is used to estimate RVSP with a derivation of the
Bernoulli equation (RVSP & PASP will be equal except in RVOTO & PS).
• Doppler evaluation is feasible both at rest and under stress,
• It may be helpful in quantifying the severity of pulmonary hypertension as well as
detecting occult or exercise-induced pulmonary hypertension.
• A TR velocity ≤2.5 m/sec at rest corresponds to PASP of ≤35 mmHg (assuming RAP of 10
mmHg) & defines ULN at rest.
• DSE may be used for detecting pulmonary hypertension secondary to left-sided valvular
disease such as MR & AS, although exercise is preferable to DSE if patient can exercise, &
also for regurgitant lesions.
• Detection of elevated PASP during stress predicts poorer outcomes in these patients &
should prompt consideration of more aggressive valvular intervention
PRETRANSPLANT EVALUATION
• Patients with ESRD are at increased risk of CAD, and CVD is the mc cause of
death after renal transplant.
• So, accurate assessment of extent & severity of CAD prior to renal
transplant is essential.
• The accuracy of DSE for detecting CAD in ESRD patients is variable (sn 37%–
95% & sp 71%–95%)
• Recent Cochrane analysis of pretransplant cardiac imaging modalities found
DSE to be superior to myocardial perfusion imagng for CAD detection in
pre-renal transplant patients.
• DSE is also often performed as part of the preoperative evaluation for liver
transplantation
• its overall sensitivity for CAD is poor, but the test has a reasonable NPV in this
population, making it useful to exclude CAD and perioperative events.
• DSE as an echocardiographic modality also gives the option of estimating
RVSP may be important given the possibility of portopulmonary hypertension
DSE IN WOMEN
• Women often present with symptoms considered atypical of CAD & are more
underdiagnosed and undertreated.
• Stress echocardiography provides prognostic information, even after
controlling for clinical and laboratory data, in women with known or suspected
CAD.
• When exercise ECG was directly compared with exercise echocardiography in
women, exercise or stress echocardiography had a higher sensitivity (81%
versus 77%) and specificity (80% versus 56%) for the detection of CAD.
• Exercise echocardiography also provided the “best balance” between
accuracy and cost for the diagnosis of CAD in women.
• When echocardiography was compared directly with stress thallium-201
SPECT, there was no difference in diagnostic accuracy.
• These benefits of exercise echocardiography are believed to be shared by
DSE, but exercise would remain the preferred stress modality if the patient is
able to exercise.
• For young and middle-aged women, stress echocardiography avoids the
long-term risk of radiation-induced carcinogenesis in other analogous
radionuclide-based cardiac imaging modalities.
THANK YOU

Dobutamine stress echocardiography

  • 1.
  • 2.
    Stress ECHOcardiography • Dynamicevaluation of cardiac structure & function during physical exercise or pharmacologic simulation of exercise by increased HR, CO & myocardial oxygen demand • Stress echocardiographic imaging techniques may be used to evaluate for myocardial ischemia, viability & valvular dysfunction
  • 3.
    Low cost Environment friendly Noionizing radiation Equally accurate Why Echo in comparison to SPECT, PET etc.
  • 4.
    Principles of pharmacologicallyinduced stress • Exercise-induced physiologic stress - preferred as • Assessment of patient’s functional capacity & • symptoms reproducibility • All major guidelines recommend exercise over pharmacological stress ECHO • Patients unable to exercise, pharmacologic stress should be pursued. • Commonly used pharmacologic stressors include vasodilators such as adenosine & dipyridamole, or inotropes, such as dobutamine.
  • 5.
    Treadmill stress echo •Difficult to image while walking • Able to get image only post exercise • Peak exercise image is not obtainable • Should acquire image with in 1 to 1.5 min of exercise Exercise capacity Blood pressure response Arrythmia assesment
  • 6.
    Do a bicycleergometry • Done in supine position & able to image throughout exercise • Image is obtainable at peak exercise • Ischemia can induce at lower HR because of increased venous return & preload in supine position can cause a greater BP response Difficult to attain the adequate stress
  • 7.
    Information obtained fromExercise Stress but not available with Pharmacological Test
  • 8.
    Drawbacks Hyperventilation Hypercontractility of Normal Walls Excessive Tachycardia Excessivechest wall movement Unable to exercise at all or maximally Circumvented by Pharmacological Stressers
  • 9.
    Situations where PharmacologicalStress is preferred to Exercise Stress
  • 10.
  • 11.
    In the absenceof a flow-limiting coronary stenosis, physiologic stress results in Increase in  Heart rate  Contractility  Systolic wall thickening  Endocardial excursion  Global contractility  Ejection fraction Decrease in end-systolic volume
  • 13.
    severity of thewall motion abnormality (hypokinesis versus dyskinesis) will depend on Magnitude of the blood flow change  Spatial extent of the defect  The presence of collateral blood flow  Duration of ischemia.
  • 14.
    Dobutamine • Acts onβ1- receptors to increase cardiac contractility & HR • β2- receptors to cause peripheral vasodilatation. • Onset of action is 1–2 min & t1/2 is approx. 2 min
  • 15.
    • At lowdoses - recruits potentially contractile myocardium, & increases myocardial contractility • At high dose - increases myocardial oxygen demand • So if flow limiting stenosis present - myocardial ischaemia & deterioration of regional function d/t demand/supply mismatch.
  • 16.
    Goal of DSE •To detect myocardial ischemia in early stages of CAD by identifying RWMAs under conditions of pharmacologic stress. • Coronary flow limitation initially causes diastolic dysfunction followed by manifestations of ischemia, including the visualization of systolic dysfunction.
  • 17.
    Why dobutamine isthe stress agent during echo?
  • 18.
    • Adenosine –direct coronary vasodilator • Dipyridamol – inhibit adenosine uptake • As pharmacological stressor both are less poplular • Redistibution can occur without RWMA • Better suited for nucler imaging that relay on redistirbution
  • 19.
    HOW TO PERFORMDSE & PROTOCOL
  • 20.
    Testing Pre-requisites • Theprotocol was defined by ASE(2007) & ESE(2008) • Machine should have the ability to trigger image acquisition based on ECG • Also machine should have split screen & quadruple screen so that simultaneous comparison of image is possible • Contrast enhancement should be considered to augment endocardial definition when ≥ 2 contiguous endocardial segments not visualized at rest.
  • 21.
    Testing protocol • Typicallyfasting for 4 hrs • The sn of DSE for detection of ischemia may be reduced by β-B’s, CCB’s, and nitrates • Stop all negative chronotropic agents and nitrates 8 to 12 hr before procedure – unless, goal is to assess efficacy of anti-ischemic regimen • Graded dobutamine infusion given typically @ starting dose of 5 μg/kg/min
  • 22.
    • Dobutamine doseincreased every 3–5 minutes to doses of 10, 20, 30 & finally to 40 μg/kg/min • The goal is to achieve heart rate 85% of MPHR for patient’s age • Low-dose dobutamine stage is optimal for detection of ischemia & assessment of viability by searching for “biphasic response” • Therefore, if viability assessment is the principal aim, the initial dose is often lowered to 2.5 μg/kg/min.
  • 23.
    • If THRis not achieved with dobutamine alone, atropine (max. dose 2 mg, divided into four 0.5 mg doses) can be added • Some also consider trial of increased dose of dobutamine (50 μg/kg/min) if patient is close to achieving 85% MPHR • Images at each echocardiographic window are obtained during rest, low-dose, intermediate dose, peak-dose & post-stress
  • 25.
    End points ofthe DSE protocol • Achievement of the THR • Detection of moderate wall motion abnormalities in ≥ 2 territories • Symptomatic or sustained arrhythmias, • Hypotension or severe hypertension (typically SBP 220–240 mmHg or DBP 120 mmHg), or • Patient’s inability to tolerate the test • Significant ST-T changes • In some cases, reversal of RWMA is assessed with addition of post-stress beta-blockers (typically 1–5 mg of iv metoprolol).
  • 26.
    Testing interpretation • Stressreport must mention • the adequacy of stress o achievement of THR or o estimated workload, • symptoms, • blood pressure response, • any electrocardiographic (ischemic or arrhythmic) & • echocardiographic changes. • The typical stress echocardiography report should comment both on global LV function and regional LV function, along with summative comment on the significance of the findings
  • 27.
    • Hyperdynamic ventricularresponse • Increase in endocardial excursion ≥ 5 mm • Uniform thickening during systole • Increase in LVEF with decrease in end-sysolic volume NORMAL RESPONSE?
  • 28.
    CATEGORIZATION OF WALLMOTION HYPOKINESIA AKINESIA DYSKINESIA TARDOKINESIA LESS THAN 30% WALL THICKENING OR <5 MM ENDOCARDIAL EXCURSION LESS THAN 10 % WALL THICKENING SYSTOLIC THINNING AND OUTWARD BULGING DELAYED INWARD MOTION AND THICKENING Ischemic response is generally defined as decreased wall thickening in ≥1 segment
  • 29.
    Pseudodyskinesia (Raisinghani sign) •Diastolic flattening of dyskinetic motion of inferoseptal & inferobasilar segments d/t diaphragmatic compression f/b systolic bulging • Causes: • Liver failure with severe ascites • Hepatomegaly • Pregnancy 3rd trimester • Where a myocardial territory augments its contraction at low dose but becomes hypokinetic/akinetic at higher doses Biphasic response
  • 30.
    Absolute Contraindication • Uncontrolledhypertension: >180/100(resting) or symptomatic hypertension • HCM(significant rest LVOT gardient ≥ 30mm Hg)* • Malignant ventricular arrhythmia • Recent MI( within 3 days) • Unstable angina • Aortic dissection
  • 31.
    Relative contraindications • Aorticaneurysms • Carotid disease • Heart failure • Cardiomyopathies • Intracranial aneurysms • History of CVA or TIA
  • 32.
  • 33.
    Side effects Dobutamine • Anxiety •Nausea • Headache • Palpitation • flushing, • paresthesia, • urinary urgency, Atropine • Urinary retention, • Increased intraocular pressure, • Delirium, • Flushing, • Constipation and delayed gastric emptying, • Nausea, • Dry mouth, and • Weakness
  • 34.
    Safety of dobutaminestress echocardiography • Decreased blood pressure/Hypotension(1.7%), • Hypertension (1.3%), • Supraventricular tachycardia (1.3%), • Atrial fibrillation (0.9%), • Atrioventricular block (0.23%), • Ventricular tachycardia (0.15%), • Ventricular fibrillation (0.04%), • Coronary artery spasm (0.14%), • Myocardial infarction (0.02%), • Cardiac rupture (0.002%) , and • Cerebrovascular disorder (0.005%).
  • 35.
    Indications - dobutaminestress echocardiography Indication Assessment Risk stratification of IHD Presence & extent of ischemic myocardium as well as viable and/or hibernating myocardium Mitral stenosis(MS) 1. Indicated in asymptomatic patients with severe MS, 2. Patients having symptoms discordant with rest echocardiographic measures of stenosis, 3. Assessment of transvalvular gradients at stress Aortic stenosis(AS) 1. Differentiation of low gradient AS versus pseudostenosis, and 2. Prognosis in low gradient AS (eg, assessment of contractile reserve) Pulmonary hypertension Assessment of pulmonary artery systolic pressure at stress when patient is unable to exercise
  • 36.
    Ischemic Heart disease •Stress echocardiography has highest sp (88%) among ischemic tests including exercise ECG testing, thallium perfusion imaging, SPECT & PET, hence high NPV • More recent data suggest that in patients with LVH, stress echocardiography may be the test of choice in an ischemic evaluation • Also, heterogenous uptake of radionuclide due to LVH may generate a high false positive rate of perfusion imaging, which is not applicable to stress echocardiography
  • 37.
    MEAN SENSITIVITY OFDSE DISEASE SENSITIVITY SVD 74% 2VD 86% 3VD 92% ARTERY INVOLVED SENSITIVITY LCX 55% LAD 72% RCA 76
  • 39.
    X – notvisualised
  • 40.
    • Normal WMSI-1at baseline and stress • Any score>1-abnormal • Good prognostic value • Help to approach in a standardized and systematic way
  • 41.
    False negative • Submaximalstress • Late image acquisition • Single vessel disease especially LCx territory • Marked LVH and small LV cavity • Beta blocker and antianginal • Elderly women
  • 42.
    False positive • Hypertensiveresponse to stress • Coronary spasm due to dobutamine • Paradoxical septal motion in LBBB • Myocardial infarction(old) • Cardiomyopathy • Myocarditis • Hibernating myocardium • Stunned myocardium • Postoperative state • Right ventricular volume/pressure overload
  • 43.
  • 44.
    DEFINITION IMPROVEMENT IN WALLMOTION ABNORMALITY BY ATLEAST ONE GRADE IN 2 OR MORE SEGMENTS DURING STRESS.
  • 45.
    Types of response •Biphasic response- most specific sign of viability • Sustained improvement-viable stunned, remodeled or myopathic • Deterioration-critical low flow • No response- akinetic remain akinetic(non viable scarred)
  • 48.
    • Four ormore segments out of a total of 16 displaying a biphasic response exhibited a specificity of 81% for predicting a ≥5% increase in post- revascularization EF at a median 14-month follow-up of ICMP, with sn of 83% if the EF was >35% & of 92% if the EF was ≤35%. • DSE one week after MI with either an ischemic or biphasic response has a sensitivity of 82% and a specificity of 80% for detecting a residual stenosis subtending an area of hibernating myocardium. • Myocardial viability identified with stress echocardiography is associated with improved survival after revascularization
  • 49.
    Its been shownthat the combined nitroglycerin and dobutamine stress echocardiogram had the highest specificity (83%) but rest-redistribution thallium single proton emission tomography had the highest sensitivity (95%) for detecting viable myocardium.
  • 50.
  • 51.
    • Stress echocardiographyhas the ability to comprehensively assess valvular function, both at rest & during stress & indirectly evaluate hemodynamics in real time. • Stenosis & regurgitation of all valves can be evaluated with stress echocardiography • MC stress echocardiogram applications are in left-sided stenotic lesions. Exercise echocardiography is the general technique for assessment of valvular disease except in aortic stenosis with left ventricular dysfunction. • There are limited data for assessment of AR & MR by DSE, as there is concern that the afterload-reducing properties of dobutamine will reduce the degree of valvular regurgitation.
  • 52.
    Mitral stenosis • The2007 ASE guidelines recommend stress echocardiography for evaluation of asymptomatic patients with echocardiographically severe mitral stenosis and patients with symptoms disproportionate to their echocardiographic disease • The ability to evaluate both valvular function and dynamic transvalvular gradients is particularly helpful in patients whose symptoms are more severe than their resting echocardiographic evaluation would suggest.
  • 53.
    • A multivariateanalysis of rheumatic MS defined a transmitral mean gradient ≥18 mmHg as “high risk” & best predictor of future events (eg, heart failure related to mitral stenosis, surgical or balloon intervention, hemodynamically significant arrhythmia, or death) with sn - 90% & sp - 87%. • These high-risk patients likely warrant more aggressive clinical care and consideration for earlier more aggressive interventions
  • 54.
    Whenever there isan Increse in flow rate across aortic valve Associated increase in valve area If flow rate is low valve opening get inhibited lead to underestimation of valve area This phenomina is a practical challenge for the doctor because when LV dysfunction is present quantitative assessment of AS is difficult Aortic stenosis
  • 55.
    • Patients witha low LVEF (<35%–40%) and a low mean transvalvular gradient (<30–40 mmHg), called “low-gradient low output aortic stenosis”, pose a diagnostic dilemma. • This is one of the clinical situations where DSE is uniquely helpful. • It is very difficult to determine if they have true stenosis & should be considered for valve replacement, or instead have “pseudostenosis”, namely LV dysfunction that makes aortic valve appear stenotic, but carries a high risk of dying with valve replacement.
  • 56.
    • DSE canbe uniquely useful in differentiating these patients and determining who might benefit from surgical intervention • Specifically, patients with aortic valve pseudostenosis are able to increase their aortic valve area & decrease the transaortic gradient in response to dobutamine on • In contrast, patients with true aortic stenosis are unable to increase their valve area in response to an increased cardiac output, and instead the transvalvular gradient increases
  • 57.
    • Another useof DSE in AS is to assess contractile reserve. • Contractile reserve is defined as a 20% increase in stroke volume (as assessed by the left ventricular outflow tract velocity time integral) or a 20% relative increase in ejection fraction • For patients with low gradient aortic stenosis, surgery is most beneficial for those with documented left ventricular contractile reserve • The postoperative outcomes for patients with low gradient aortic stenosis and without contractile reserve is poor
  • 58.
    Cut Offs forDiagnosis Contractile Reserve – 20% of stroke volume Valve area improvement to differentiate true from Pseudostenosis – 0.2% Asymptomatic Sev AS, mean gradient rise on exercise - > 20 mmHg
  • 59.
    Pulmonary hypertension • Dopplerevaluation of the TR velocity is used to estimate RVSP with a derivation of the Bernoulli equation (RVSP & PASP will be equal except in RVOTO & PS). • Doppler evaluation is feasible both at rest and under stress, • It may be helpful in quantifying the severity of pulmonary hypertension as well as detecting occult or exercise-induced pulmonary hypertension.
  • 60.
    • A TRvelocity ≤2.5 m/sec at rest corresponds to PASP of ≤35 mmHg (assuming RAP of 10 mmHg) & defines ULN at rest. • DSE may be used for detecting pulmonary hypertension secondary to left-sided valvular disease such as MR & AS, although exercise is preferable to DSE if patient can exercise, & also for regurgitant lesions. • Detection of elevated PASP during stress predicts poorer outcomes in these patients & should prompt consideration of more aggressive valvular intervention
  • 61.
    PRETRANSPLANT EVALUATION • Patientswith ESRD are at increased risk of CAD, and CVD is the mc cause of death after renal transplant. • So, accurate assessment of extent & severity of CAD prior to renal transplant is essential. • The accuracy of DSE for detecting CAD in ESRD patients is variable (sn 37%– 95% & sp 71%–95%) • Recent Cochrane analysis of pretransplant cardiac imaging modalities found DSE to be superior to myocardial perfusion imagng for CAD detection in pre-renal transplant patients.
  • 62.
    • DSE isalso often performed as part of the preoperative evaluation for liver transplantation • its overall sensitivity for CAD is poor, but the test has a reasonable NPV in this population, making it useful to exclude CAD and perioperative events. • DSE as an echocardiographic modality also gives the option of estimating RVSP may be important given the possibility of portopulmonary hypertension
  • 63.
    DSE IN WOMEN •Women often present with symptoms considered atypical of CAD & are more underdiagnosed and undertreated. • Stress echocardiography provides prognostic information, even after controlling for clinical and laboratory data, in women with known or suspected CAD. • When exercise ECG was directly compared with exercise echocardiography in women, exercise or stress echocardiography had a higher sensitivity (81% versus 77%) and specificity (80% versus 56%) for the detection of CAD.
  • 64.
    • Exercise echocardiographyalso provided the “best balance” between accuracy and cost for the diagnosis of CAD in women. • When echocardiography was compared directly with stress thallium-201 SPECT, there was no difference in diagnostic accuracy. • These benefits of exercise echocardiography are believed to be shared by DSE, but exercise would remain the preferred stress modality if the patient is able to exercise. • For young and middle-aged women, stress echocardiography avoids the long-term risk of radiation-induced carcinogenesis in other analogous radionuclide-based cardiac imaging modalities.
  • 65.