Hyperparathyroidism
Prof
Mohameed Mashahit
Objectives
• To Review:
• The parathyroid glands
• Pathophysiology of hyperparathyroidism
• Clinical Presentation
• Diagnosis
• Treatments
Hypercalcemia is a common metabolic abnormality seen in
approximately 5% of hospitalized individuals.
The Canadian Journal of Diagnosis / February 2006/Aliya Khan
The Parathyroid Glands
• History:
• The parathyroid glands were first discovered in the
Indian Rhinoceros by Richard Owen in 1850.
• The glands were first discovered in humans by Ivar
Viktor Sandström, a Swedish medical student, in
1880.
• It was the last major organ to be recognized in
humans.
Parathyroid Gland:
Ectopic locations are seen in 4- 16% - the parathyroid glands might also be
found in the carotid sheath, anterior mediastinum, and intrathyroidal tissue.
Atlas of Microscopic Anatomy: Section 15 - Endocrine Glands
115-AAC
trypsin-like protease
90-AAC
84-AAC
PTH is an 84-amino acid polypeptide (chain) derived from a prohormone
The biosynthetic process is estimated to take less than one hour.
BASIC BIOLOGY OF MINERAL METABOLISM, F. Richard Bringhurst
Packaged
Parathyroid hormone:
 84 amino acid peptide
 Recognized by PTH-1 receptor and then acts on target organs to
master calcium homeostasis
 70% metabolized by the liver and 20% by kidneys;
 Half life of 2 minutes
Functions of PTH
• Chief cells – produce PTH
• PTH = Main regulator of calcium homeostasis in the body
• Ionised calcium – tightly regulated for optimum function of
cell signalling, neural function, muscular function, and bone
metabolism , blood coagulation . etc
• PTH responds to changes in circulating ionised
calcium via the calcium-sensing receptor (CaSR)
located on the surface of the chief cells
Parathyroid Hormone
Receptors
• PTH acts by binding to its receptor(PTH1R and
PTH2R)
• Both are members of the G Protein coupled receptor family
• PTH-1R receptor binds PTH and PTHrP with equal affinity.
• Regulates calcium homeostasis through activation
of adenylate cyclase and phospholipase C
• mostly expressed in bone and kidney
• PTH2R selectively binds PTH only.
• PTH2R expressed heavily in the brain,
pancreas, endothelium
Uptodate: Parathyroid Hormone andAction
Calcium sensing receptors
• CaSR expressed in parathyroid, thyroid C cells and kidney.
•Activation of the CaSR by increased extracellular Ca2+ inhibits
parathyroid hormone (PTH) secretion, stimulates calcitonin secretion,
and promotes urinary Ca2+ excretion, and thereby maintains the
extracellular Ca2+ at the normal level
•HYPERPARATHYROIDISM
Causes of Hyperparathyroidism
Primary Secondary- In
response to
hypocalcemia
Tertiary
•Parathyroid Adenoma,
Hyperplasia, Carcinoma
•MEN 1 or MEN 2a
•Familial hypocalciuric
hypercalcemia
•Hyperparathyroid-jaw
tumor (HPT-JT)
syndrome
•Familial isolated
hyperparathyroidism
(FIHPT)
•Renal Failure
-Impaired calcitriol
production
-Hyperphosphatemia
•Decreased calcium
-Low oral intake
-Vit D deficiency
-Malabsoption
-renal calcium loss –
lasix
•Inhibition of bone
resorption
-Bisphophonates
-Hungry Bone Syndrome
•Autonomous hypersecretion
of parathyroid hormone
-chronic secondary
hyperparathyroidism
-After renal transplantation
Primary Hyperparathyoidism –
Epidemiology
• PHPT - most common cause of hypercalcemia in the outpatient
clinical setting
• Prevalence ranges from 1 to 4 per 1000 people
• Female-to-Male ratio: 2:1 to 3:1
• Incidence increases with age
• Postmenopausal women have an incidence 5x higher than the general
population
Canadian Family Physician February 2011 vol. 57 no. 2 184-189
1- Parathyroid adenoma or carcinoma
• Single gland adenoma: 75-85%
• Multigland adenoma
• 2 glands: 2-12%
• 3 glands: <1-2%
• 4 or > glands: 1-15%
• Parathyroid carcinoma: 1%
Lancet 2009; 374: 145–58
Lower pole adenomas are
more common than are
upper pole adenomas; sizes
range from 1 cm to 3 cm
and weights from 0·3 g to
5 g; may be more than 25g.
Parathyroid adenoma
Lancet 2009; 374: 145–58
Largest reported weighted 120g
Largest number was 8
Causes
• Exact cause of primary hyperparathyroidism is unknown
• Ionizing radiation maybe associated
• Irradiation for acne -?2·3-fold increase
• Survivors of an atomic bomb - 4-fold increase
• Present doses of radioactive iodine for thyrotoxicosis
do not increase the incidence of primary
hyperparathyroidism
Lancet 2009; 374: 145–58
2- Rare Familial Disorders
• Multiple endocrine neoplasia (MEN) type 1 –MEN1 gene mutation
(Parathyroid, pituitary, pancreatic)
• MEN type 2A syndromes –RET gene mutation (Parathyroid, Pheo,
MTC)
• Familial hypocalciuric hypercalcemia (FHH)- autosomal dominant-
inactivating mutation of the CaSR gene
• Familial hyperparathyroidism–jaw tumour syndrome- HRPT2 gene;
Autosomal dominant
• Familial isolated hyperparathyroidism
FHH PHPT
Mechanism (CaSR gene on Chr 3) –
makes PTHR less sensitive to
calcium - higher serum
calcium level is required to
reduce PTH secretion
PTH Adenoma, Hyperplasia,
carcinoma
Fhx + Autosomial Dominant + rare syndromes
PTH Mildly high in 15-20% High normal – high
Urine Calcium /Magnesium Low Normal – high
FECa ; sensitivity 85%,
specificity 88%, PPV 85%
<1% >1%
Symptoms - +/-
Management Conservation Parathyroidectomy
Plasma albumin-adjusted
calcium (mmol/L)
2.55-3.5 2.55-4.5
Age/sex <40; women = male >50; mainly women
Clinical Presentation of PHPT
• Possible presentations:
• Asymptomatic Incidental hypercalcemia – 70-80%
• In most patients, mean serum calcium < 0.25 mmol/L above the
ULN range
• Normocalcemic hyperparathyroidism
• Usually present for evaluation of low BMD, osteoporosis, or fragility
fractures
• Symptomatic hypercalcemia
Symptoms of Hypercalcemia
• Stones
• Bones
• Groans
• Psychiatric
Moans
Renal Manifestations
• Nephrolithiasis 15-20%
• Nephrocalcinosis
• Polyuria
• Renal insufficiency
• Acute hypercalcaemic
crisis with nephrogenic
diabetes insipidus and
dehydration seen when
calcium greater than
3·0 mmol/L
Psychic Moans:
• Neuropsychiatric: lethargy,
decreased cognitive and social
function, depressed mood,
psychosis, and coma in those
with severe
hypercalcemia.
• Neuromuscular: weakness and
myalgia
Gastrointestinal Manifestations
• Commonly
• constipation, nausea, vomiting, anorexia
• Uncommon, but serious:
• PUD orAcute pancreatitis
• Mechanism:
• PTH stimulates gastrin secretion (PUD), decreases peristalsis, and
increases the calcium- phosphate product with calcium-phosphate
deposition and obstruction in pancreatic ducts
Uptodate: Clinical manifestations of primary
hyperparathyroidism
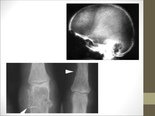
Bone Manifestations
• Bony pain
• Low bone mineral density – most at cortical sites
• Fragility fractures
• Rarely PHPT bone disease – osteitis fibrosa cystica- <5 percent
of patients
• Proximal muscle weakness due to type II muscle fibre atrophy can be
seen in association with severe bone disease (osteitis fibrosa cystica).
Uptodate: Clinical manifestations of primary
hyperparathyroidism
subperiosteal resorption
Cardiovascular:
- Shortened QT interval
- HTN – hypercalcemia causes vasoconstriction
- Arrhythmias in severe hypercalcemia
- Deposition of calcium on valves, in coronaries, and
myocardium
Other Manifestations
• Arthralgia, synovitis, arthritis
• HPT associated with increased crystal deposition from calcium
phosphate, calcium pyrophosphate (pseudogout), and uric
acid (gout)
• Band Keratopathy – Calcium phosphate precipitation in
medial and limbic margins of cornea
Diagnosis
• Repeat calcium to confirm, correct for lowAlbumin
• Ionized Calcium: may be more helpful in some conditions
• Check PTH – rule in PHPT if frankly elevated PTH
concentration or normal PTH level with hypercalcemia
• Supporting findings: low P04,high Cl, high urine pH
(>6), high ALP
• Address DDX hyperparathyroidism and hypercalcemia
• Multiple endocrine neoplasia (MEN) type 1 –MEN1 gene
mutation
• -MEN type 2A syndromes –RET gene mutation
• -Familial hypocalciuric hypercalcemia (FHH)
• Familial hyperparathyroidism–jaw tumour syndrome- HRPT2
gene;Autosomal dominant
• -Familial isolated hyperparathyroidism
• Teritiary HPT
• Medications , as frusimide and lithium
• Two most common causes are Primary HPT and Cancer-
related hypercalcemia (PTH related protein mediated,
or directly via bony lesions)
Differences between PTHrP and PTH
Intact
PTH
PTHrP 1,25VitD Calcium
Primary
HPT
High Low High High
PTHrP
malignancy
Low High Low High
Localize
• Localization: technetium 99m–labeled sestamibi scanning,
ultrasound, CT, MRI, and PET. Used to aid surgery.
**Imaging should not be used to establish the
diagnosis of PHPT or to screen patients for
surgical referral**
• Gold standard: a four gland parathyroid exploration
Sestamibi scintigraphy
• 99mTc-sestamibi is taken up by the mitochondria in
thyroid and parathyroid tissue; however, the radiotracer
is retained by the mitochondria-rich oxyphil cells in
parathyroid glands longer than in thyroid tissue
• Planar images obtained after injection of 99mTc-
sestamibi and again at 2 hours to identify foci of
retained radiotracer activity consistent with
hyperfunctioning parathyroid tissue.
Uptodate: Preoperative localization for parathyroid surgery in patients with primary hyperparathyroidism
Management
Acute Management of Hypercalcemia
• Avoid thiazides, lithium, volume depletion, prolonged bed rest,
or inactivity, and high calcium diet (>1g/day)
• Rehydration!!!
• Calcitonin +/- cinacalcet can also be of value in the short
term to maintain a reduction of calcium
• If surgery planned within a few days,AVOID IV
bisphosphonates because post op hypocalcemia risk
Parathyroidectomy
• Definitive therapy
• Surgical techniques: total open parathyroidectomy or a
minimally invasive procedure with or without the use
of intraoperative PTH assays
• Only a subgroup of people with asymptomatic PHTP
benefit from surgery
Guidelines for parathyroid surgery in patients with
asymptomatic PHPT
Results after Surgery
• Calcium, phosphate, and urine calcium return to normal quickly
• PTH levels fall by 50% within the first 10-15 min
• Indicators of bone resorption normalise quicker than formation
(ALP). Bone turnover returns to normal within 6 – 12 months
• Osteoblast > osteoclast activity, resulting in a substantial
improvement in bone mineral density – greatest at hip and spine
Silverberg, NEJM 1999
8% after
1yr
(P=0.05)
12%
after 10
years
(P=0.03)
6% after
1 year
(P=0.00
2)
14 %
after 10
years
(P=0.00
2)
Cardiac/Renal Outcomes
• Cardiac Outcomes:
• Longterm hypertension control not improved
• Left ventricular hypertrophy decreases after surgery
in some
• slower the progression of aortic and mitral valve
calcification
• Renal Outcomes:
• Kidney stones are reduced in frequency amongst
those with a history of kidney stones
Mollerup CL. Risk of renal stone events in primary hyperparathyroidism before and after parathyroid
surgery: controlled retrospective follow up study. Bmj, 325:807,2002.
Medical Management for
those NOT candidates for
parathyroidectomy
DRUGS USED
• CALCIMIMETICS
• HRT
• SERMS
• BISPHOSPHONATES
Calcimimetics
• Drugs that mimics calcium circulating in the blood so can trick
the parathyroid gland to release less parathormone .
• FDA approved for CKD and cancer . Mainly ..
• Some doctors prescribe it for primary PHPT if surgery is not
feasible
• Sensipar ( cinacalcet )
• The most common side effects are bone and muscle aches ,
diarrhea , respiratory tract infection
Medical Management
• Focused on goals:
• Improving BMD as most are postmenopausal women – HRT,
SERMS, Bisphosphonates
HRT:
• significant reduction in calcium (0·1–0·3 mmol/L)
• 4–8% increase in BMD at trabecular and cortical
sites
Orr-Walker BJ. Effects of hormone replacement therapy on bone mineral density in
postmenopausal women with primary hyperparathyroidism: four-year follow-up and
comparison with healthy postmenopausal women. Arch Intern Med 2000;
160: 2161–66.
42 Postmenopausal
women with mild
PHPT, a 2-yr
randomized, placebo-
controlled trial.
1.3% ±0.4%;P = 0.004
5.2% ±1.4%;P = 0.002
GreyAB. 1996 Effect of hormone replacement therapy on bone mineral density
in postmenopausal women with mild primary hyperparathyroidism.
A randomized, controlled trial.Ann Intern Med 125:360 –368
3.6%
6.6%
SERMS
• A small, placebo-controlled, randomized trial reported the effects of
raloxifene (60 mg/d) on serum calcium and phosphorus over 2
months in postmenopausal women with PHPT
• calcium declined significantly by 2 months in the raloxifene-treated
women. No changes in PTH,
J Clin Endocrinol Metab, February 2009, 94(2):373–381
Bisphosphonates
• Pamidronate in patients with mild PHPT- Infusions (30 mg)
10 patients in a randomized crossover study and were effective
in reducing serum calcium from 2.72 to 2.49 mmol/liter after
1 wk.
• Short-term treatment with risedronate was effective in
lowering serum calcium in individuals with mild PHPT; no
long term study
• Alendronate most extensively evaluated in individuals with
PHPT.
• Data from the RCT have consistently shown that
alendronate decreases bone turnover and increases BMD at
the lumbar spine and proximal femur in PHPT.
Summary
• Primary hyperparathyroidism is one of the most common
endocrine disorder
• Asymptomatic disease is common, and severe disease with renal
stones and metabolic bone disease arises less frequently.
• Primary hyperparathyroidism can be cured by
parathyroidectomy for those with symptomatic hypercalcemia
and a subgroup of asymptomatic patients
• Medical options for treating the skeletal complications of PHPT
include bisphosphonates, HRT, and raloxifene AND
RECENTLY CACIMIMETICS
Thank you
How do PTHrP and PTH differ?
• PTHrP has 3 protein forms: 139, 141, 173 amino acids
• First 139 AA are the most common among all 3 forms
• 8 of first 13N-terminalAA are same as intact PTH (1-84),
therefore PTHrP and PTH can stimulate the same receptors
• But, different effects on 1,25(OH)2D
• Continuous secretion of PTHrP by tumors downregulates
receptors that stimulate 1 alpha hydroxylase  decreased
enzyme decreased 1,25(OH)2D
• Higher levels of Calcium may also decrease 1,25(OH)2D
Approach
• PHPT: elevated intact PTH or at the high end of the normal
range in the setting of elevated total calcium
• Repeat measurements (usually 2- 3), check PO4 (low-normal),
ALP (high)
• Further laboratory testing is to rule out other causes of
hypercalcemia.
• Distinguish FHH from PHTP– 24h urine and FECa
• Correct levels of 25(OH)D if present may cause a false positive
• Renal function tests r/o secondary causes
• Consider genetic testing if Fhx of MEN syndrome
Will surgery decrease future fractures?
• Retrospective cohort study of 1569 patients with
PHPT(452 of whom had had a parathyroidectomy):
• Reported a significant increase in 10-year fracture-free survival,
mainly hip fractures after parathyroidectomy (59% vs 73%)
• Parathyroidectomy decreased the 10-year hip fracture rate by 8% (P =
.001) and the upper extremity fracture rate by 3%
(P = .02)
VanderWalde LH.The effect of parathyroidectomy on bone fracture
risk in patients with primary hyperparathyroidism. Arch Surg 2006; 141: 885–89.

Ueda2016 hyperparathyroidism - mohamed mashahit

  • 1.
  • 2.
    Objectives • To Review: •The parathyroid glands • Pathophysiology of hyperparathyroidism • Clinical Presentation • Diagnosis • Treatments
  • 3.
    Hypercalcemia is acommon metabolic abnormality seen in approximately 5% of hospitalized individuals. The Canadian Journal of Diagnosis / February 2006/Aliya Khan
  • 4.
    The Parathyroid Glands •History: • The parathyroid glands were first discovered in the Indian Rhinoceros by Richard Owen in 1850. • The glands were first discovered in humans by Ivar Viktor Sandström, a Swedish medical student, in 1880. • It was the last major organ to be recognized in humans.
  • 5.
    Parathyroid Gland: Ectopic locationsare seen in 4- 16% - the parathyroid glands might also be found in the carotid sheath, anterior mediastinum, and intrathyroidal tissue.
  • 6.
    Atlas of MicroscopicAnatomy: Section 15 - Endocrine Glands
  • 7.
    115-AAC trypsin-like protease 90-AAC 84-AAC PTH isan 84-amino acid polypeptide (chain) derived from a prohormone The biosynthetic process is estimated to take less than one hour. BASIC BIOLOGY OF MINERAL METABOLISM, F. Richard Bringhurst Packaged
  • 8.
    Parathyroid hormone:  84amino acid peptide  Recognized by PTH-1 receptor and then acts on target organs to master calcium homeostasis  70% metabolized by the liver and 20% by kidneys;  Half life of 2 minutes
  • 9.
    Functions of PTH •Chief cells – produce PTH • PTH = Main regulator of calcium homeostasis in the body • Ionised calcium – tightly regulated for optimum function of cell signalling, neural function, muscular function, and bone metabolism , blood coagulation . etc • PTH responds to changes in circulating ionised calcium via the calcium-sensing receptor (CaSR) located on the surface of the chief cells
  • 10.
    Parathyroid Hormone Receptors • PTHacts by binding to its receptor(PTH1R and PTH2R) • Both are members of the G Protein coupled receptor family • PTH-1R receptor binds PTH and PTHrP with equal affinity. • Regulates calcium homeostasis through activation of adenylate cyclase and phospholipase C • mostly expressed in bone and kidney • PTH2R selectively binds PTH only. • PTH2R expressed heavily in the brain, pancreas, endothelium Uptodate: Parathyroid Hormone andAction
  • 11.
    Calcium sensing receptors •CaSR expressed in parathyroid, thyroid C cells and kidney. •Activation of the CaSR by increased extracellular Ca2+ inhibits parathyroid hormone (PTH) secretion, stimulates calcitonin secretion, and promotes urinary Ca2+ excretion, and thereby maintains the extracellular Ca2+ at the normal level
  • 12.
  • 13.
    Causes of Hyperparathyroidism PrimarySecondary- In response to hypocalcemia Tertiary •Parathyroid Adenoma, Hyperplasia, Carcinoma •MEN 1 or MEN 2a •Familial hypocalciuric hypercalcemia •Hyperparathyroid-jaw tumor (HPT-JT) syndrome •Familial isolated hyperparathyroidism (FIHPT) •Renal Failure -Impaired calcitriol production -Hyperphosphatemia •Decreased calcium -Low oral intake -Vit D deficiency -Malabsoption -renal calcium loss – lasix •Inhibition of bone resorption -Bisphophonates -Hungry Bone Syndrome •Autonomous hypersecretion of parathyroid hormone -chronic secondary hyperparathyroidism -After renal transplantation
  • 14.
    Primary Hyperparathyoidism – Epidemiology •PHPT - most common cause of hypercalcemia in the outpatient clinical setting • Prevalence ranges from 1 to 4 per 1000 people • Female-to-Male ratio: 2:1 to 3:1 • Incidence increases with age • Postmenopausal women have an incidence 5x higher than the general population Canadian Family Physician February 2011 vol. 57 no. 2 184-189
  • 15.
    1- Parathyroid adenomaor carcinoma • Single gland adenoma: 75-85% • Multigland adenoma • 2 glands: 2-12% • 3 glands: <1-2% • 4 or > glands: 1-15% • Parathyroid carcinoma: 1% Lancet 2009; 374: 145–58
  • 16.
    Lower pole adenomasare more common than are upper pole adenomas; sizes range from 1 cm to 3 cm and weights from 0·3 g to 5 g; may be more than 25g. Parathyroid adenoma Lancet 2009; 374: 145–58 Largest reported weighted 120g Largest number was 8
  • 17.
    Causes • Exact causeof primary hyperparathyroidism is unknown • Ionizing radiation maybe associated • Irradiation for acne -?2·3-fold increase • Survivors of an atomic bomb - 4-fold increase • Present doses of radioactive iodine for thyrotoxicosis do not increase the incidence of primary hyperparathyroidism Lancet 2009; 374: 145–58
  • 18.
    2- Rare FamilialDisorders • Multiple endocrine neoplasia (MEN) type 1 –MEN1 gene mutation (Parathyroid, pituitary, pancreatic) • MEN type 2A syndromes –RET gene mutation (Parathyroid, Pheo, MTC) • Familial hypocalciuric hypercalcemia (FHH)- autosomal dominant- inactivating mutation of the CaSR gene • Familial hyperparathyroidism–jaw tumour syndrome- HRPT2 gene; Autosomal dominant • Familial isolated hyperparathyroidism
  • 19.
    FHH PHPT Mechanism (CaSRgene on Chr 3) – makes PTHR less sensitive to calcium - higher serum calcium level is required to reduce PTH secretion PTH Adenoma, Hyperplasia, carcinoma Fhx + Autosomial Dominant + rare syndromes PTH Mildly high in 15-20% High normal – high Urine Calcium /Magnesium Low Normal – high FECa ; sensitivity 85%, specificity 88%, PPV 85% <1% >1% Symptoms - +/- Management Conservation Parathyroidectomy Plasma albumin-adjusted calcium (mmol/L) 2.55-3.5 2.55-4.5 Age/sex <40; women = male >50; mainly women
  • 20.
    Clinical Presentation ofPHPT • Possible presentations: • Asymptomatic Incidental hypercalcemia – 70-80% • In most patients, mean serum calcium < 0.25 mmol/L above the ULN range • Normocalcemic hyperparathyroidism • Usually present for evaluation of low BMD, osteoporosis, or fragility fractures • Symptomatic hypercalcemia
  • 21.
    Symptoms of Hypercalcemia •Stones • Bones • Groans • Psychiatric Moans
  • 22.
    Renal Manifestations • Nephrolithiasis15-20% • Nephrocalcinosis • Polyuria • Renal insufficiency • Acute hypercalcaemic crisis with nephrogenic diabetes insipidus and dehydration seen when calcium greater than 3·0 mmol/L
  • 23.
    Psychic Moans: • Neuropsychiatric:lethargy, decreased cognitive and social function, depressed mood, psychosis, and coma in those with severe hypercalcemia. • Neuromuscular: weakness and myalgia
  • 24.
    Gastrointestinal Manifestations • Commonly •constipation, nausea, vomiting, anorexia • Uncommon, but serious: • PUD orAcute pancreatitis • Mechanism: • PTH stimulates gastrin secretion (PUD), decreases peristalsis, and increases the calcium- phosphate product with calcium-phosphate deposition and obstruction in pancreatic ducts Uptodate: Clinical manifestations of primary hyperparathyroidism
  • 25.
    Bone Manifestations • Bonypain • Low bone mineral density – most at cortical sites • Fragility fractures • Rarely PHPT bone disease – osteitis fibrosa cystica- <5 percent of patients • Proximal muscle weakness due to type II muscle fibre atrophy can be seen in association with severe bone disease (osteitis fibrosa cystica). Uptodate: Clinical manifestations of primary hyperparathyroidism
  • 26.
  • 27.
    Cardiovascular: - Shortened QTinterval - HTN – hypercalcemia causes vasoconstriction - Arrhythmias in severe hypercalcemia - Deposition of calcium on valves, in coronaries, and myocardium
  • 28.
    Other Manifestations • Arthralgia,synovitis, arthritis • HPT associated with increased crystal deposition from calcium phosphate, calcium pyrophosphate (pseudogout), and uric acid (gout) • Band Keratopathy – Calcium phosphate precipitation in medial and limbic margins of cornea
  • 29.
    Diagnosis • Repeat calciumto confirm, correct for lowAlbumin • Ionized Calcium: may be more helpful in some conditions • Check PTH – rule in PHPT if frankly elevated PTH concentration or normal PTH level with hypercalcemia • Supporting findings: low P04,high Cl, high urine pH (>6), high ALP
  • 30.
    • Address DDXhyperparathyroidism and hypercalcemia • Multiple endocrine neoplasia (MEN) type 1 –MEN1 gene mutation • -MEN type 2A syndromes –RET gene mutation • -Familial hypocalciuric hypercalcemia (FHH) • Familial hyperparathyroidism–jaw tumour syndrome- HRPT2 gene;Autosomal dominant • -Familial isolated hyperparathyroidism • Teritiary HPT • Medications , as frusimide and lithium • Two most common causes are Primary HPT and Cancer- related hypercalcemia (PTH related protein mediated, or directly via bony lesions)
  • 31.
    Differences between PTHrPand PTH Intact PTH PTHrP 1,25VitD Calcium Primary HPT High Low High High PTHrP malignancy Low High Low High
  • 32.
    Localize • Localization: technetium99m–labeled sestamibi scanning, ultrasound, CT, MRI, and PET. Used to aid surgery. **Imaging should not be used to establish the diagnosis of PHPT or to screen patients for surgical referral** • Gold standard: a four gland parathyroid exploration
  • 33.
    Sestamibi scintigraphy • 99mTc-sestamibiis taken up by the mitochondria in thyroid and parathyroid tissue; however, the radiotracer is retained by the mitochondria-rich oxyphil cells in parathyroid glands longer than in thyroid tissue • Planar images obtained after injection of 99mTc- sestamibi and again at 2 hours to identify foci of retained radiotracer activity consistent with hyperfunctioning parathyroid tissue. Uptodate: Preoperative localization for parathyroid surgery in patients with primary hyperparathyroidism
  • 34.
  • 35.
    Acute Management ofHypercalcemia • Avoid thiazides, lithium, volume depletion, prolonged bed rest, or inactivity, and high calcium diet (>1g/day) • Rehydration!!! • Calcitonin +/- cinacalcet can also be of value in the short term to maintain a reduction of calcium • If surgery planned within a few days,AVOID IV bisphosphonates because post op hypocalcemia risk
  • 36.
    Parathyroidectomy • Definitive therapy •Surgical techniques: total open parathyroidectomy or a minimally invasive procedure with or without the use of intraoperative PTH assays • Only a subgroup of people with asymptomatic PHTP benefit from surgery
  • 37.
    Guidelines for parathyroidsurgery in patients with asymptomatic PHPT
  • 38.
    Results after Surgery •Calcium, phosphate, and urine calcium return to normal quickly • PTH levels fall by 50% within the first 10-15 min • Indicators of bone resorption normalise quicker than formation (ALP). Bone turnover returns to normal within 6 – 12 months • Osteoblast > osteoclast activity, resulting in a substantial improvement in bone mineral density – greatest at hip and spine
  • 39.
    Silverberg, NEJM 1999 8%after 1yr (P=0.05) 12% after 10 years (P=0.03) 6% after 1 year (P=0.00 2) 14 % after 10 years (P=0.00 2)
  • 40.
    Cardiac/Renal Outcomes • CardiacOutcomes: • Longterm hypertension control not improved • Left ventricular hypertrophy decreases after surgery in some • slower the progression of aortic and mitral valve calcification • Renal Outcomes: • Kidney stones are reduced in frequency amongst those with a history of kidney stones
  • 41.
    Mollerup CL. Riskof renal stone events in primary hyperparathyroidism before and after parathyroid surgery: controlled retrospective follow up study. Bmj, 325:807,2002.
  • 42.
    Medical Management for thoseNOT candidates for parathyroidectomy
  • 43.
    DRUGS USED • CALCIMIMETICS •HRT • SERMS • BISPHOSPHONATES
  • 44.
    Calcimimetics • Drugs thatmimics calcium circulating in the blood so can trick the parathyroid gland to release less parathormone . • FDA approved for CKD and cancer . Mainly .. • Some doctors prescribe it for primary PHPT if surgery is not feasible • Sensipar ( cinacalcet ) • The most common side effects are bone and muscle aches , diarrhea , respiratory tract infection
  • 45.
    Medical Management • Focusedon goals: • Improving BMD as most are postmenopausal women – HRT, SERMS, Bisphosphonates HRT: • significant reduction in calcium (0·1–0·3 mmol/L) • 4–8% increase in BMD at trabecular and cortical sites Orr-Walker BJ. Effects of hormone replacement therapy on bone mineral density in postmenopausal women with primary hyperparathyroidism: four-year follow-up and comparison with healthy postmenopausal women. Arch Intern Med 2000; 160: 2161–66.
  • 46.
    42 Postmenopausal women withmild PHPT, a 2-yr randomized, placebo- controlled trial. 1.3% ±0.4%;P = 0.004 5.2% ±1.4%;P = 0.002 GreyAB. 1996 Effect of hormone replacement therapy on bone mineral density in postmenopausal women with mild primary hyperparathyroidism. A randomized, controlled trial.Ann Intern Med 125:360 –368 3.6% 6.6%
  • 47.
    SERMS • A small,placebo-controlled, randomized trial reported the effects of raloxifene (60 mg/d) on serum calcium and phosphorus over 2 months in postmenopausal women with PHPT • calcium declined significantly by 2 months in the raloxifene-treated women. No changes in PTH, J Clin Endocrinol Metab, February 2009, 94(2):373–381
  • 48.
    Bisphosphonates • Pamidronate inpatients with mild PHPT- Infusions (30 mg) 10 patients in a randomized crossover study and were effective in reducing serum calcium from 2.72 to 2.49 mmol/liter after 1 wk. • Short-term treatment with risedronate was effective in lowering serum calcium in individuals with mild PHPT; no long term study • Alendronate most extensively evaluated in individuals with PHPT. • Data from the RCT have consistently shown that alendronate decreases bone turnover and increases BMD at the lumbar spine and proximal femur in PHPT.
  • 50.
    Summary • Primary hyperparathyroidismis one of the most common endocrine disorder • Asymptomatic disease is common, and severe disease with renal stones and metabolic bone disease arises less frequently. • Primary hyperparathyroidism can be cured by parathyroidectomy for those with symptomatic hypercalcemia and a subgroup of asymptomatic patients • Medical options for treating the skeletal complications of PHPT include bisphosphonates, HRT, and raloxifene AND RECENTLY CACIMIMETICS
  • 51.
  • 52.
    How do PTHrPand PTH differ? • PTHrP has 3 protein forms: 139, 141, 173 amino acids • First 139 AA are the most common among all 3 forms • 8 of first 13N-terminalAA are same as intact PTH (1-84), therefore PTHrP and PTH can stimulate the same receptors • But, different effects on 1,25(OH)2D • Continuous secretion of PTHrP by tumors downregulates receptors that stimulate 1 alpha hydroxylase  decreased enzyme decreased 1,25(OH)2D • Higher levels of Calcium may also decrease 1,25(OH)2D
  • 53.
    Approach • PHPT: elevatedintact PTH or at the high end of the normal range in the setting of elevated total calcium • Repeat measurements (usually 2- 3), check PO4 (low-normal), ALP (high) • Further laboratory testing is to rule out other causes of hypercalcemia. • Distinguish FHH from PHTP– 24h urine and FECa • Correct levels of 25(OH)D if present may cause a false positive • Renal function tests r/o secondary causes • Consider genetic testing if Fhx of MEN syndrome
  • 55.
    Will surgery decreasefuture fractures? • Retrospective cohort study of 1569 patients with PHPT(452 of whom had had a parathyroidectomy): • Reported a significant increase in 10-year fracture-free survival, mainly hip fractures after parathyroidectomy (59% vs 73%) • Parathyroidectomy decreased the 10-year hip fracture rate by 8% (P = .001) and the upper extremity fracture rate by 3% (P = .02) VanderWalde LH.The effect of parathyroidectomy on bone fracture risk in patients with primary hyperparathyroidism. Arch Surg 2006; 141: 885–89.