PARATHYROID
PHYSIOLOGY
• Peptide hormone released by chief cells
• Half life 3-5 min
• Ca, PO4 and Mg homeostasis
• PTH – directly affect bones and kidneys and
intestine
• Calcitonin - by “C” cells. act on kidney and
bones
DISEASES OF THE PARATHYROID GLANDS
• HYPERTHYROIDISM
1) Primary Hyperthyroidism due increased intrinsic activity.
2) Secondary Hyperthyroidism extrinsic chronic stimulation
3) tertiary Hyperthyroidism
• HYPOTHYROIDISM
• ADENOMAS
• CARCINOMA HYPERTHYROIDISM
• INFALAMMATIONS OF HYPERTHYROIDISM
1-Primary hyperparathyroidism
• excessive production PTH by glands.
• leads to hypercalcemia which fails to inhibit the gland
activity in the normal manner.
HYPERPARATHYROIDISM
• incidence increases after 50 yr
• it is 2-4 folds more common in women.
• A single adenoma occurs in about 80% with
primary hyperparathyroidism.
• Four glands hyperplasia account for 15-20% of cases.
• carcinoma could be the etiology less then 1%.
PREVALENCE
CLINICAL FEATURES
• Two major sites of complications are the bones
,kidneys and GIT.
• KIDNEYS
• have nephrolithiasis or nephrocalcinosis.
• now a days 20% or less show such complications.
CLINICAL FEATURES:
• BONES
• osteitis fibrosa cystica- sub-periosteal resorption
of the distal phalanges, distal tappering of the
clavicles.
• a “salt and pepper” appearance of the skull as
well as bone cysts and brown tumors of bones.
• almost 90% picked up by routine screening.
CLINICAL FEATURES
• muscle weakness.
• easy fatigability
• peptic ulcer disease.
• pancreatitis.
• hypertension.
• gout and pseudogout.
• Anemia.
• Depression.
1. Primary
hyperparathyroidism
A. Solitary adenomas
B. MEN syndrome
2. Lithium therapy
3. Familial
hypocalciuric
hypercalcemia
1. Vitamin D
intoxication
2. sarcoidosis
3. Idiopathic hypercalcemia
DIFFERENTIAL DIAGNOSIS
Parathyroid- related Vitamin D – related
DIFFERENTIAL DIAGNOSIS
Causes of
Malignancy - related
1. Solid tumor with
metastases(breast)
2. Solid tumor with humoral
mediation of hypercalcemia
(lung kidney)
3. Hematologic malignancies
(multiple myeloma, lymphoma,
leukemia.
High bone turnover
• Hyperthyroidism
• Immobilization
• Thiazides
• Vitamin A intoxication
• Renal Failure
• 2ND hyperparathyroidism
• Aluminum intoxication
• Milk alkali syndrome
DIAGNOSIS
• hypercalcaemia with elevated PTH.
• Serum PO4 is usually low but may be
normal.
• ALP is raised.
• X-ray of hands - sub periosteal bone
resorption.
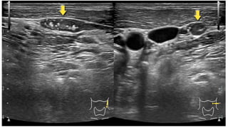
Pre-op TUMORS localization-
PRE-OP TUMOR LOALIZATION.
• Ultrasonography
• MRI
• CT
• Tl 201 – Tc99m scan
Parathyroid Scan
Dual phase MIBI Scan Tc-Tl Subtraction Scan
MEDICAL TREATMENT
main therapy in acute severe cases is adequate hydration with saline
and forced diuresis.
GLUCOCOSTIROIDS
In hypercalcaemia associated the hematological malignant neoplasms
MYTHRAMYCIN
inhibit bone resorption and is used in hematological and solid
neoplasms causing hypercalcaemia.
• Calcitonin
inhibit osteoclast activity and prevent bone resorption
• Bisphosphonates
given intravenously or orally to prevent bone resorption.
Phosphate
Oral phosphate can be used as an antihypercalcaemic.
Estrogen
decrease bone resorption postmenopausal women with primary
hyperparathyroidism
MEDICAL TREATMENT
SURGERY
• Surgical treatment in all cases with established diagnosis of
primary hyperparathyroidism.
• all four parathyroid glands identified ,followed by the removal of enlarged
parathyroid or 3 ½ glands in MEN disease.
HYPOPARATHYROIDISM
• Deficient secretion of PTH which manifests
itself biochemically by hypocalcaemia, and
low or absent circulating PTH.
.
CAUSES
Post thyroidectomy
Idiopathic hypoparathyroidism
autoimmune-candidiasis (MEDAC) syndrome
Juvenile familial endocrinopathy.
Addison's disease.
idiopathic hypoparathyroidism
Circulating antibodies for the parathyroid glands and the adrenals are frequently present.
Other associated disease:
Pernicious anemia
Ovarian failure
Autoimmune thyroiditis
Diabetes mellitus
CAUSES
• Idiopathic hypoparathyroidism
• Functional hypoparathyroidism
– In patients who has chronic
hypomagnesaemia of various causes.
– Magnesium is necessary for the PTH release
from the glands and also for the peripheral
action of the PTH.
Neuromuscular
– The rate of decrease in serum calcium is the
major determinant for the development of
neuromuscular complications.
– When nerves are exposed to low levels of
calcium they show abnormal neuronal function
which may include decrease threshold of
excitation, repetitive response to a single
stimulus and rarely continuous activity.
CLINICAL FEATURES
B. Other clinical manifestation
1. Posterio -lenticular cataract
2. Cardiac manifestation:
– Prolonged QT interval in the ECG
– Resistance to digitalis
– Hypotension
– Refractory heart failure with cardiomegally can occur
. DENTAL
Abnormal enamel formation.
delayed or absent dental eruption.
defective dental root formation.
GIT
Malabsorption syndrome
steatorrhoea .
CLINICAL FEATURES
DIAGNOSIS
• In the absence of renal failure the presence
of hypocalcaemia with hyperphosphatemia
is virtually diagnostic of hypoparathyroidism.
• Undetectable serum PTH confirms the
diagnosis.
TREATMENT
oral calcium with vitamin D.
Phosphate restriction in diet.
aluminum hydroxide gel to lower serum
phosphate level.
PSEUDO-HYPOPARATHYROIDISM
• A rare familial disorders with target tissue resistance
to PTH.
• There is hypocalcaemia, hyperphosphataemia,
with increased parathyroid gland function.
• There is also a variety of congenital defects in the
growth and development of skeleton.
• Short statue
• Short metacarpal and metatarsal bones
THANK YOU

PARATHYROID BY AFZAL.pptx

  • 1.
  • 4.
    PHYSIOLOGY • Peptide hormonereleased by chief cells • Half life 3-5 min • Ca, PO4 and Mg homeostasis • PTH – directly affect bones and kidneys and intestine • Calcitonin - by “C” cells. act on kidney and bones
  • 5.
    DISEASES OF THEPARATHYROID GLANDS • HYPERTHYROIDISM 1) Primary Hyperthyroidism due increased intrinsic activity. 2) Secondary Hyperthyroidism extrinsic chronic stimulation 3) tertiary Hyperthyroidism • HYPOTHYROIDISM • ADENOMAS • CARCINOMA HYPERTHYROIDISM • INFALAMMATIONS OF HYPERTHYROIDISM
  • 6.
    1-Primary hyperparathyroidism • excessiveproduction PTH by glands. • leads to hypercalcemia which fails to inhibit the gland activity in the normal manner. HYPERPARATHYROIDISM
  • 7.
    • incidence increasesafter 50 yr • it is 2-4 folds more common in women. • A single adenoma occurs in about 80% with primary hyperparathyroidism. • Four glands hyperplasia account for 15-20% of cases. • carcinoma could be the etiology less then 1%. PREVALENCE
  • 8.
    CLINICAL FEATURES • Twomajor sites of complications are the bones ,kidneys and GIT. • KIDNEYS • have nephrolithiasis or nephrocalcinosis. • now a days 20% or less show such complications.
  • 9.
    CLINICAL FEATURES: • BONES •osteitis fibrosa cystica- sub-periosteal resorption of the distal phalanges, distal tappering of the clavicles. • a “salt and pepper” appearance of the skull as well as bone cysts and brown tumors of bones. • almost 90% picked up by routine screening.
  • 10.
    CLINICAL FEATURES • muscleweakness. • easy fatigability • peptic ulcer disease. • pancreatitis. • hypertension. • gout and pseudogout. • Anemia. • Depression.
  • 12.
    1. Primary hyperparathyroidism A. Solitaryadenomas B. MEN syndrome 2. Lithium therapy 3. Familial hypocalciuric hypercalcemia 1. Vitamin D intoxication 2. sarcoidosis 3. Idiopathic hypercalcemia DIFFERENTIAL DIAGNOSIS Parathyroid- related Vitamin D – related
  • 13.
    DIFFERENTIAL DIAGNOSIS Causes of Malignancy- related 1. Solid tumor with metastases(breast) 2. Solid tumor with humoral mediation of hypercalcemia (lung kidney) 3. Hematologic malignancies (multiple myeloma, lymphoma, leukemia. High bone turnover • Hyperthyroidism • Immobilization • Thiazides • Vitamin A intoxication • Renal Failure • 2ND hyperparathyroidism • Aluminum intoxication • Milk alkali syndrome
  • 14.
    DIAGNOSIS • hypercalcaemia withelevated PTH. • Serum PO4 is usually low but may be normal. • ALP is raised. • X-ray of hands - sub periosteal bone resorption.
  • 15.
    Pre-op TUMORS localization- PRE-OPTUMOR LOALIZATION. • Ultrasonography • MRI • CT • Tl 201 – Tc99m scan
  • 18.
    Parathyroid Scan Dual phaseMIBI Scan Tc-Tl Subtraction Scan
  • 19.
    MEDICAL TREATMENT main therapyin acute severe cases is adequate hydration with saline and forced diuresis. GLUCOCOSTIROIDS In hypercalcaemia associated the hematological malignant neoplasms MYTHRAMYCIN inhibit bone resorption and is used in hematological and solid neoplasms causing hypercalcaemia.
  • 20.
    • Calcitonin inhibit osteoclastactivity and prevent bone resorption • Bisphosphonates given intravenously or orally to prevent bone resorption. Phosphate Oral phosphate can be used as an antihypercalcaemic. Estrogen decrease bone resorption postmenopausal women with primary hyperparathyroidism MEDICAL TREATMENT
  • 21.
    SURGERY • Surgical treatmentin all cases with established diagnosis of primary hyperparathyroidism. • all four parathyroid glands identified ,followed by the removal of enlarged parathyroid or 3 ½ glands in MEN disease.
  • 22.
    HYPOPARATHYROIDISM • Deficient secretionof PTH which manifests itself biochemically by hypocalcaemia, and low or absent circulating PTH. .
  • 23.
    CAUSES Post thyroidectomy Idiopathic hypoparathyroidism autoimmune-candidiasis(MEDAC) syndrome Juvenile familial endocrinopathy. Addison's disease. idiopathic hypoparathyroidism Circulating antibodies for the parathyroid glands and the adrenals are frequently present. Other associated disease: Pernicious anemia Ovarian failure Autoimmune thyroiditis Diabetes mellitus
  • 24.
    CAUSES • Idiopathic hypoparathyroidism •Functional hypoparathyroidism – In patients who has chronic hypomagnesaemia of various causes. – Magnesium is necessary for the PTH release from the glands and also for the peripheral action of the PTH.
  • 25.
    Neuromuscular – The rateof decrease in serum calcium is the major determinant for the development of neuromuscular complications. – When nerves are exposed to low levels of calcium they show abnormal neuronal function which may include decrease threshold of excitation, repetitive response to a single stimulus and rarely continuous activity. CLINICAL FEATURES
  • 29.
    B. Other clinicalmanifestation 1. Posterio -lenticular cataract 2. Cardiac manifestation: – Prolonged QT interval in the ECG – Resistance to digitalis – Hypotension – Refractory heart failure with cardiomegally can occur
  • 30.
    . DENTAL Abnormal enamelformation. delayed or absent dental eruption. defective dental root formation. GIT Malabsorption syndrome steatorrhoea . CLINICAL FEATURES
  • 31.
    DIAGNOSIS • In theabsence of renal failure the presence of hypocalcaemia with hyperphosphatemia is virtually diagnostic of hypoparathyroidism. • Undetectable serum PTH confirms the diagnosis.
  • 32.
    TREATMENT oral calcium withvitamin D. Phosphate restriction in diet. aluminum hydroxide gel to lower serum phosphate level.
  • 33.
    PSEUDO-HYPOPARATHYROIDISM • A rarefamilial disorders with target tissue resistance to PTH. • There is hypocalcaemia, hyperphosphataemia, with increased parathyroid gland function. • There is also a variety of congenital defects in the growth and development of skeleton. • Short statue • Short metacarpal and metatarsal bones
  • 35.