The Femur
Thigh bone
Dr M Idris Siddiqui
The Femur
• The Femur is the longest, heaviest and strongest
bone of the body, present in the thigh.
• It’s around 18 inches (45 long),
– i.e., about quarter of the height of the individual.
• At the upper end it articulates with the hip bone to
create the hip joint.
• A t the lower end it articulates with the
patella and tibia.
• The femur conducts body weight from the hip
bone to the tibia in standing position.
PARTS
• The femur is is composed of 3 parts:
– Upper end,
– Shaft .
– Lower end.
• The upper end contains:
– The head,
– The neck .
– The lesser and greater trochanter.
• The shaft of the femur is gradually convex anteriorly with
maximum convexity in the middle third where the shaft is
narrowest.
• The lower end of the femur is enlarged to create
– Medial condyle.
– Lateral condyle.
– Intercondylar fossa
• Both condyles project backwards and are divided by the intercondylar fossa.
• The most notable points on the condyles are named epicondyles.
SIDE DETERMINATION
• The upper end bears a rounded
head whereas the lower end is
widely expanded to form two large
condyles.
• The head is directed medially.
• The cylindrical shaft is convex
forwards
ANATOMICAL POSITION
• The head is directed medially upwards
and slightly forwards.
• The shaft is directed obliquely
downwards and medially so that the
lower surfaces of the two condyles of the
femur lie in the same horizontal plane.
HEAD
• It creates about two-third of a sphere and
articulates with the acetabulum of the
hip bone to create the hip joint.
• It is covered with catilage except a central
pit, fovea.
It presents a small pit, the fovea, just below
and behind the center, where ligament of
the head of femur (ligamentum teres
femoris) attaches.
NECK
• It is 5 cm long and attaches the head
with all the shaft.
• It is directed upward, medially, and
somewhat forwards.
• The angle between its lower border and
the medial border of shaft is termed
neck-shaft angle(110-120⁰).
GREATER TROCHANTER
• It’s a quadrilateral elevation, projecting
upward from the lateral aspect of the
junction of neck and shaft.
• Its upper & posterior part is bent
backwards & medially and overhangs the
neck.
• Its lateral surface has an oblique rough
ridge which separates 2 smooth areas.
Greater trochanter
• It has the following features:
–Its lateral surface is convex.
–Its upper & posterior borders are free.
–Its highest point is in its posterosuperior angle.
–Its medial surface has a deep depression called
the trochanteric fossa for insertion of obturator
externus..
–Its posterior part presents the apex or tip of
greater trochanter, which gives connection to
the piriformis.
Greater trochanter
– A shallow depression above and in front of
trochanteric fossa for insertion of obturator internus
together with the gemellus superior and gemellus
inferior.
– It is quadrilateral and split diagonally by an oblique
ridge into the upper and lower triangular regions.
• The ridge gives connection to the gluteus medius
muscle.
– The triangular regions- anterior and posterior to the
ridge are associated with the trochanteric bursae of
the gluteus medius and gluteus maximus,
respectively.
LESSER TROCHANTER
• It is a conical projection rising from the
posteromedial surface of the neck-shaft angle. It is
directed medially.
– Its apex gives connection to the psoas major.
– Iliacus is connected to its base on the front.
• Three lines radiate from the lesser trochanter
– One runs upwards & medially below the neck.
– 2nd is pectineal line; it runs downwards & gives
attachment to the aponeurosis of the pectineal muscle.
– 3rd line runs upwards & laterally and forms the lower half
of the “Intertrochanteric crest”
The junction between the neck and shaft
• It presents 4 features.
• The greater trochanter……………..……….laterally
• The lesser tronchater…………………………medially &
somewhat posteriorly
• The trochanteric line…..……………………..in front
• The trochanteric crest……………………….. behind
Bony ridges in between tronchaters
•Intertrochanteric line
•Intertrochanteric crest
TROCHANTERIC LINE
• A ridge of bone that runs in an inferomedial direction
on the anterior surface of the femur, connecting the
two trochanters together.
– After it passes the lesser trochanter on the posterior surface,
it is known as the pectineal line of femur.
– It continues downward and medially below the lesser
trochanter on the posterior aspect of femur as spiral line.
• It gives connection to :
– 2 ligaments and
• Capsule of the hip joint.
• Iliofemoral ligament (strongest ligament in the body).
– 2 muscles:
• Vastus lateralis to its upper end.
• Vastus medialis to its lower end.
TROCHANTERIC CREST
• This is a ridge of bone that connects the
two trochanters together. It is located on
the posterior surface of the femur.
• There is a rounded tubercle on its
superior half, this is called the quadrate
tubercle.
–It gives insertion to the quadratus femoris.
Femur, upper end
UPPER END
Points to be Noticed
• Angle of inclination of femur: It is an angle
between the long axes of neck and shaft of the
femur thus also named neck-shaft angle.
– The normal neck-shaft angle is 125 ° in adults and 160 °
in youngsters. It’s less in female.
• Angle of femoral torsion: It is an angle between
long axis of the head and neck of femur, and
transverse axis of the femoral condyles.
– It measures about 7 ° in men and 12 ° in female)
• Angle of anteversion: The neck of femur is also
tilted forwards slightly as it passes proximally to the
head.(10⁰-15⁰)
Blood supply of the head of the femur
• Blood ascends upwards from the shaft along
the cancellous bone.
• Blood from the vessels in the capsule of the
hip joint; reflected to the neck in longitudinal
bands called capsular retinaculae(retinacular
supply). These arise from the lateral femoral
circumflex artery.
• Blood from the artery in the ligament teres.
SHAFT OF FEMUR
FEATURES OF THE SHAFT OF FEMUR
• Essentially the shaft of femur presents:
• Cylindrical in the mid, expands in upper 1/3rd and
flattened in lower 1/3rd .
• 3 surfaces:
– Anterior ,
– Medial , and
– Lateral
– Upper posterior, and
– Lower posterior (popliteal surface).
THE SHAFT OF FEMUR
• The middle third of posterior border is represented
by a thick ridge termed linea aspera.
• The linea aspera presents inner and outer lips and an
intermediate area.
• When the upper end of linea aspera is tracked
upward, its inner and outer lips diverge and enclose a
triangular posterior surface in the upper one-third of
the shaft.
• The inner (medial) lip passes above to form the spiral
line which winds around the medial aspect of the
upper part of the shaft and then below the lesser
trochanter to reach the anterior surface of the shaft
where it ends at the lower part of intertochanteric
line.
The Shaft
• On the posterior surface of the femoral shaft, there are
roughened ridges of bone, these are called the linea
aspera .
• Proximally, the medial border of the linea aspera
becomes the pectineal line.
• The lateral border becomes the gluteal tuberosity,where
the gluteus maximus attaches.
• Distally, the linea aspera widens and forms the floor of
the popliteal fossa, the medial and lateral borders form
the medial and lateral supracondylar lines.
• The medial supracondylar line stops at the adductor
tubercle, where the adductor magnus attaches.
THE SHAFT OF FEMUR
• When the lower end of linea aspera is followed
downward, its inner and outer lips, diverge below,
and enclose a triangular popliteal surface in the
lower one-third of the shaft.
• The inner (medial) lip becomes constant with the
medial supracondylar line, which finishes at the
adductor tubercle.
• The outer (lateral) lip becomes constant with Lateral
supra condylar line.
BORDERS AND SURFACES OF THE
SHAFT OF FEMUR
Part of femur Borders Surfaces
Middle 1/3rd of the shaft
Medial border Anterior surface
Lateral border Medial surface
Posterior border (linea aspera) Lateral surface
Upper 1/3rd of the shaft
Medial border Anterior surface
Lateral border Medial surface
Spiral line Lateral surface
Gluteal tuberosity Posterior surface
Lower 1/3rd of the shaft
Medial border Anterior surface
Lateral border Medial surface
Medial supracondylar line Lateral surface
Lateral supracondylar line Popliteal surface
ATTACHMENTS OF THE SHAFT
• The shaft of femur gives connection to these
intermuscular septa:
• Attachments of intermuscular septa:
• 1. Medial intermuscular septum is connected
to the medial lip of linea aspera.
• 2. Lateral intermuscular septum is connected
to the lateral lip of the linea aspera.
Linea aspera
• The arrangement of 9 structures connected to the linea
aspera:
• From medial to lateral side, these are:
1. Vastus medialis.
2. Medial intermuscular septum.
3. Adductor brevis (in the upper) and
4. Adductor longus (in the lower part).
5. Adductor magnus.
6. Short head of biceps femoris.
7. Posterior intermuscular septum.
8. Vastus lateralis.
9. Vastus intermedius.
Muscle attachments of the shaft
• Origins
– Vastus intermedius appears from the upper three fourth of
anterior surface and adjoining lateral surface.
– Articularis genu originates by few small slides from the lower
quarter of anterior surface immediately below the vastus
intermedius.
– Vastus lateralis appears in a linear manner from the upper part
of intertrochanteric line, anterior and inferior edges of greater
trochanter, lateral margin of gluteal tuberosity, and lateral lip of
linea aspera.
– Vastus medialis appears in a linear manner from the lower part
of intertrochanteric line, coil line, and the medial lip of linea
aspera and the upper 1 fourth of medial supracondylar line.
Muscle attachments of the shaft
• Insertions:
– Adductor longus is added into the medial lip of linea
aspera.
– Pectineus is added into a line going from the lesser
trochanter to the upper end of linea aspera.
– Adductor brevis is added into a line going from the
lesser trochanter to the upper part of linea aspera.
– Adductor magnus is added into the medial margin of
gluteal tuberosity, linea aspera, medial supracondylar
line, and adductor tubercle.
Gluteal tuberosity
• The lateral ridge of the linea aspera is very
rough, and runs almost vertically upward to
the base of the greater trochanter.
• It is termed the gluteal tuberosity, and gives
attachment to part of the Glutæus maximus:
its upper part is often elongated into a
roughened crest, on which a more or less
well-marked, rounded tubercle, the third
trochanter.
LOWER END
The Distal end
• The distal end is characterised by the
presence of the medial and lateral
condyles, which articulate with the tibia
and patella, forming the knee joint.
• Medial and lateral condyles
• Medial and lateral epicondyles
Medial Condyle
• Its most notable point is named medial
epicondyle, which gives connection to the
upper end of medial collateral ligament.
• A projection posterosuperior to the medial
epicondyle is known as adductor tubercle,
which gives insertion to the ischial head of
adductor magnus.
• Its lateral surface creates medial boundary of
intercondylar fossa.
Lateral Condyle
• It’s stouter and more powerful in relation to the medial
condyle but less notable.
• Its lateral surface presents a bulge referred to as lateral
epicondyle which gives connection to the fibular
collateral ligament of the knee joint.
• Smooth opinion above and behind the lateral
epicondyle there is an origin to the lateral head of
gastrocnemius.
• A groove below and behind the lateral epicondyle gives
connection to popliteus in its anterior part. Tendon of
popliteus takes up the posterior part of the groove
during total flexion in the knee joint.
• Its medial surface creates the lateral boundary of
intercondylar fossa.
Intercondylar fossa
• Intercondylar fossa – A depression found on the
posterior surface of the femur, it lies in between the
two condyles. It contains two facets for attachment of
internal knee ligaments.
• Facet for attachment of the posterior cruciate
ligament – Found on the medial wall of the
intercondylar fossa, it is a large rounded flat face,
where the posterior cruciate ligament of the knee
attaches.
• Facet for attachment of anterior cruciate ligament –
Found on the lateral wall of the intercondylar fossa, it
is smaller than the facet on the medial wall, and is
where the anterior cruciate ligament of the knee
attaches.
Distal end of femur
Muscle attachments of the lower end
– Gastrocnemius: The medial head originates from the
popliteal surface just above the medial condyle.
– The lateral head originates primarily from the lateral
condyle but also stretches over the lower end of lateral
supracondylar line.
– Plantaris (if present)arises from the lower end of lateral
supracondylar line just above the lateral head of
gastrocnemius
– Popliteus arises (inside knee joint) by a tendon from the
anterior end of a groove below the lateral epicondyle.
Intercondylar Fossa
(Intercondylar Notch)
• It’s a deep notch, which divides 2 condyles posteriorly.
• It’s restricted posteriorly above by intercondylar path.
• It presents medial and lateral walls and floor.
• Medial wall of the fossa gives attachments to the upper
end of posterior cruciate ligament in its anteroinferior
part.
• Lateral wall of the fossa gives connection to the upper
end of anterior cruciate ligament in its posterosuperior
part.
– Mnemonic: LAMP = Lateral condyle gives connection to
Anterior cruciate ligament and Medial condyle to
Posteriorcruciate ligament
ARTICULAR SURFACE
on distal end of femur
• The lower end of femur presents a V-shaped
articular surface having the anterior, inferior, and
posterior surfaces of both condyles.
• The apex of ‘V’ is referred to as patellar surface
which inhabits the anterior surfaces of 2 condyles
and articulates with the patella.
• The patellar surface is saddle-shaped. Its lateral
portion is wider and extends to a higher level in
relation to the medial portion, corresponding to
articular outermost layer of the patella.
Distal end of femur
Connection of fibrous capsule at the lower end of femur:
• Posteriorly, it’s connected to the intercondylar line and
articular margins.
• Anteriorly, it’s deficient for communication of suprapatellar
bursa together with the synovial cavity of knee joint.
• Laterally and medially, it’s connected along a line 1 cm above
the articular margins. It’s essential to note the groove for
popliteus is intracapsular.
• The connection of fibrous capsule at the upper end of femur:
– Anteriorly it is connected to the intertrochanteric line
– but posteriorly it is connected about 1 cm medial to the
intertrochanteric crest.
• Thus, the lateral part of the posterior outermost layer of the neck of femur
is extracapsular and its medial half is intracapsular
Clinical Relevance: Proximal Femur
Fractures
• Fractures of the proximal femur can broadly be classified into two
main groups:
• Intracapsular Fracture
• Intracapsular fractures are more common in the elderly,
especially women. They are a result of a minor trip or stumble.
This fracture occurs within the capsule of the hip joint. It can
damage the medial femoral circumflex artery – and cause
avascular necrosis of the femoral head.
– The distal fragment is pulled upwards and rotated laterally. This
manifests clinically as a shorter leg length, with the toes pointing
laterally
• Extracapsular Fractures
• Extracapsular fractures are more common in young and middle
aged people. In these fractures, the blood supply to the head of
femur is intact, and so no avascular necrosis can occur. Like the
subcapital fracture, the leg is shortened and laterally rotated.
Intracapsular # of femur
CLINICAL SIGNIFICANCE
• FRACTURE NECK OF FEMUR
• It’s quite common in aged especially in women because of
osteoporotic changes in the neck.
• TYPES OF FRACTURE
• The fracture might be intracapsular (subcapital, transverse
cervical) or extracapsular (basal, intertrochanteric, and
subtrochanteric).
• In intracapsular fracture, the retinacular boats- the main
source of blood supply to the head- are injured. This results in
delayed healing or nonunion of fracture, or even avascular
necrosis of the head of femur.
• In intracapsular fracture of the neck of femur, the affected
limb is shortened and characteristically held in laterally
rotated position with the toes pointing laterally.
Clinical Relevance: Fractures of the
Femoral Shaft
• Fractures of the femoral shaft are relatively
uncommon, and require a lot of force. They are usually
a consequence of a traumatic injury, such as a vehicular
accident.
• They can often occur as a spiral fracture, which causes
leg shortening. The loss of leg length is due the bony
fragments overriding, pulled by their attached muscles.
• As the method of injury is typically high energy, the
surrounding soft tissues may also be damaged. As in
any fracture, it is important to assess the neurovascular
supply to the affected limb, as they femoral nerve or
artery may have been damaged in the injury.
OSSIFICATION
• The femur ossifies from 5 centers:
• 1 primary and 4 secondary centers.
–The primary center appears in the midshaft.
–3 secondary centers show up in the upper
end
–1 secondary center in the lower end.
CLINICAL SIGNIFICANCE
• Medicolegal importance of ossification
center at the lower end of femur:
• The secondary center at the lower end of
femur is exceptional in the meaning it
seems during beginning/ just before
arrival (ninth month of IUL).
• It is of medicolegal significance because
its look in radiograph signifies maturity of
the fetus.

thefemur-180421095413.pdf

  • 1.
    The Femur Thigh bone DrM Idris Siddiqui
  • 2.
    The Femur • TheFemur is the longest, heaviest and strongest bone of the body, present in the thigh. • It’s around 18 inches (45 long), – i.e., about quarter of the height of the individual. • At the upper end it articulates with the hip bone to create the hip joint. • A t the lower end it articulates with the patella and tibia. • The femur conducts body weight from the hip bone to the tibia in standing position.
  • 3.
    PARTS • The femuris is composed of 3 parts: – Upper end, – Shaft . – Lower end. • The upper end contains: – The head, – The neck . – The lesser and greater trochanter. • The shaft of the femur is gradually convex anteriorly with maximum convexity in the middle third where the shaft is narrowest. • The lower end of the femur is enlarged to create – Medial condyle. – Lateral condyle. – Intercondylar fossa • Both condyles project backwards and are divided by the intercondylar fossa. • The most notable points on the condyles are named epicondyles.
  • 4.
    SIDE DETERMINATION • Theupper end bears a rounded head whereas the lower end is widely expanded to form two large condyles. • The head is directed medially. • The cylindrical shaft is convex forwards
  • 5.
    ANATOMICAL POSITION • Thehead is directed medially upwards and slightly forwards. • The shaft is directed obliquely downwards and medially so that the lower surfaces of the two condyles of the femur lie in the same horizontal plane.
  • 7.
    HEAD • It createsabout two-third of a sphere and articulates with the acetabulum of the hip bone to create the hip joint. • It is covered with catilage except a central pit, fovea. It presents a small pit, the fovea, just below and behind the center, where ligament of the head of femur (ligamentum teres femoris) attaches.
  • 8.
    NECK • It is5 cm long and attaches the head with all the shaft. • It is directed upward, medially, and somewhat forwards. • The angle between its lower border and the medial border of shaft is termed neck-shaft angle(110-120⁰).
  • 9.
    GREATER TROCHANTER • It’sa quadrilateral elevation, projecting upward from the lateral aspect of the junction of neck and shaft. • Its upper & posterior part is bent backwards & medially and overhangs the neck. • Its lateral surface has an oblique rough ridge which separates 2 smooth areas.
  • 10.
    Greater trochanter • Ithas the following features: –Its lateral surface is convex. –Its upper & posterior borders are free. –Its highest point is in its posterosuperior angle. –Its medial surface has a deep depression called the trochanteric fossa for insertion of obturator externus.. –Its posterior part presents the apex or tip of greater trochanter, which gives connection to the piriformis.
  • 11.
    Greater trochanter – Ashallow depression above and in front of trochanteric fossa for insertion of obturator internus together with the gemellus superior and gemellus inferior. – It is quadrilateral and split diagonally by an oblique ridge into the upper and lower triangular regions. • The ridge gives connection to the gluteus medius muscle. – The triangular regions- anterior and posterior to the ridge are associated with the trochanteric bursae of the gluteus medius and gluteus maximus, respectively.
  • 12.
    LESSER TROCHANTER • Itis a conical projection rising from the posteromedial surface of the neck-shaft angle. It is directed medially. – Its apex gives connection to the psoas major. – Iliacus is connected to its base on the front. • Three lines radiate from the lesser trochanter – One runs upwards & medially below the neck. – 2nd is pectineal line; it runs downwards & gives attachment to the aponeurosis of the pectineal muscle. – 3rd line runs upwards & laterally and forms the lower half of the “Intertrochanteric crest”
  • 14.
    The junction betweenthe neck and shaft • It presents 4 features. • The greater trochanter……………..……….laterally • The lesser tronchater…………………………medially & somewhat posteriorly • The trochanteric line…..……………………..in front • The trochanteric crest……………………….. behind
  • 17.
    Bony ridges inbetween tronchaters •Intertrochanteric line •Intertrochanteric crest
  • 18.
    TROCHANTERIC LINE • Aridge of bone that runs in an inferomedial direction on the anterior surface of the femur, connecting the two trochanters together. – After it passes the lesser trochanter on the posterior surface, it is known as the pectineal line of femur. – It continues downward and medially below the lesser trochanter on the posterior aspect of femur as spiral line. • It gives connection to : – 2 ligaments and • Capsule of the hip joint. • Iliofemoral ligament (strongest ligament in the body). – 2 muscles: • Vastus lateralis to its upper end. • Vastus medialis to its lower end.
  • 19.
    TROCHANTERIC CREST • Thisis a ridge of bone that connects the two trochanters together. It is located on the posterior surface of the femur. • There is a rounded tubercle on its superior half, this is called the quadrate tubercle. –It gives insertion to the quadratus femoris.
  • 20.
  • 21.
  • 22.
    Points to beNoticed • Angle of inclination of femur: It is an angle between the long axes of neck and shaft of the femur thus also named neck-shaft angle. – The normal neck-shaft angle is 125 ° in adults and 160 ° in youngsters. It’s less in female. • Angle of femoral torsion: It is an angle between long axis of the head and neck of femur, and transverse axis of the femoral condyles. – It measures about 7 ° in men and 12 ° in female) • Angle of anteversion: The neck of femur is also tilted forwards slightly as it passes proximally to the head.(10⁰-15⁰)
  • 25.
    Blood supply ofthe head of the femur • Blood ascends upwards from the shaft along the cancellous bone. • Blood from the vessels in the capsule of the hip joint; reflected to the neck in longitudinal bands called capsular retinaculae(retinacular supply). These arise from the lateral femoral circumflex artery. • Blood from the artery in the ligament teres.
  • 27.
  • 28.
    FEATURES OF THESHAFT OF FEMUR • Essentially the shaft of femur presents: • Cylindrical in the mid, expands in upper 1/3rd and flattened in lower 1/3rd . • 3 surfaces: – Anterior , – Medial , and – Lateral – Upper posterior, and – Lower posterior (popliteal surface).
  • 29.
    THE SHAFT OFFEMUR • The middle third of posterior border is represented by a thick ridge termed linea aspera. • The linea aspera presents inner and outer lips and an intermediate area. • When the upper end of linea aspera is tracked upward, its inner and outer lips diverge and enclose a triangular posterior surface in the upper one-third of the shaft. • The inner (medial) lip passes above to form the spiral line which winds around the medial aspect of the upper part of the shaft and then below the lesser trochanter to reach the anterior surface of the shaft where it ends at the lower part of intertochanteric line.
  • 30.
    The Shaft • Onthe posterior surface of the femoral shaft, there are roughened ridges of bone, these are called the linea aspera . • Proximally, the medial border of the linea aspera becomes the pectineal line. • The lateral border becomes the gluteal tuberosity,where the gluteus maximus attaches. • Distally, the linea aspera widens and forms the floor of the popliteal fossa, the medial and lateral borders form the medial and lateral supracondylar lines. • The medial supracondylar line stops at the adductor tubercle, where the adductor magnus attaches.
  • 32.
    THE SHAFT OFFEMUR • When the lower end of linea aspera is followed downward, its inner and outer lips, diverge below, and enclose a triangular popliteal surface in the lower one-third of the shaft. • The inner (medial) lip becomes constant with the medial supracondylar line, which finishes at the adductor tubercle. • The outer (lateral) lip becomes constant with Lateral supra condylar line.
  • 33.
    BORDERS AND SURFACESOF THE SHAFT OF FEMUR Part of femur Borders Surfaces Middle 1/3rd of the shaft Medial border Anterior surface Lateral border Medial surface Posterior border (linea aspera) Lateral surface Upper 1/3rd of the shaft Medial border Anterior surface Lateral border Medial surface Spiral line Lateral surface Gluteal tuberosity Posterior surface Lower 1/3rd of the shaft Medial border Anterior surface Lateral border Medial surface Medial supracondylar line Lateral surface Lateral supracondylar line Popliteal surface
  • 34.
    ATTACHMENTS OF THESHAFT • The shaft of femur gives connection to these intermuscular septa: • Attachments of intermuscular septa: • 1. Medial intermuscular septum is connected to the medial lip of linea aspera. • 2. Lateral intermuscular septum is connected to the lateral lip of the linea aspera.
  • 35.
    Linea aspera • Thearrangement of 9 structures connected to the linea aspera: • From medial to lateral side, these are: 1. Vastus medialis. 2. Medial intermuscular septum. 3. Adductor brevis (in the upper) and 4. Adductor longus (in the lower part). 5. Adductor magnus. 6. Short head of biceps femoris. 7. Posterior intermuscular septum. 8. Vastus lateralis. 9. Vastus intermedius.
  • 37.
    Muscle attachments ofthe shaft • Origins – Vastus intermedius appears from the upper three fourth of anterior surface and adjoining lateral surface. – Articularis genu originates by few small slides from the lower quarter of anterior surface immediately below the vastus intermedius. – Vastus lateralis appears in a linear manner from the upper part of intertrochanteric line, anterior and inferior edges of greater trochanter, lateral margin of gluteal tuberosity, and lateral lip of linea aspera. – Vastus medialis appears in a linear manner from the lower part of intertrochanteric line, coil line, and the medial lip of linea aspera and the upper 1 fourth of medial supracondylar line.
  • 38.
    Muscle attachments ofthe shaft • Insertions: – Adductor longus is added into the medial lip of linea aspera. – Pectineus is added into a line going from the lesser trochanter to the upper end of linea aspera. – Adductor brevis is added into a line going from the lesser trochanter to the upper part of linea aspera. – Adductor magnus is added into the medial margin of gluteal tuberosity, linea aspera, medial supracondylar line, and adductor tubercle.
  • 39.
    Gluteal tuberosity • Thelateral ridge of the linea aspera is very rough, and runs almost vertically upward to the base of the greater trochanter. • It is termed the gluteal tuberosity, and gives attachment to part of the Glutæus maximus: its upper part is often elongated into a roughened crest, on which a more or less well-marked, rounded tubercle, the third trochanter.
  • 41.
  • 42.
    The Distal end •The distal end is characterised by the presence of the medial and lateral condyles, which articulate with the tibia and patella, forming the knee joint. • Medial and lateral condyles • Medial and lateral epicondyles
  • 44.
    Medial Condyle • Itsmost notable point is named medial epicondyle, which gives connection to the upper end of medial collateral ligament. • A projection posterosuperior to the medial epicondyle is known as adductor tubercle, which gives insertion to the ischial head of adductor magnus. • Its lateral surface creates medial boundary of intercondylar fossa.
  • 45.
    Lateral Condyle • It’sstouter and more powerful in relation to the medial condyle but less notable. • Its lateral surface presents a bulge referred to as lateral epicondyle which gives connection to the fibular collateral ligament of the knee joint. • Smooth opinion above and behind the lateral epicondyle there is an origin to the lateral head of gastrocnemius. • A groove below and behind the lateral epicondyle gives connection to popliteus in its anterior part. Tendon of popliteus takes up the posterior part of the groove during total flexion in the knee joint. • Its medial surface creates the lateral boundary of intercondylar fossa.
  • 46.
    Intercondylar fossa • Intercondylarfossa – A depression found on the posterior surface of the femur, it lies in between the two condyles. It contains two facets for attachment of internal knee ligaments. • Facet for attachment of the posterior cruciate ligament – Found on the medial wall of the intercondylar fossa, it is a large rounded flat face, where the posterior cruciate ligament of the knee attaches. • Facet for attachment of anterior cruciate ligament – Found on the lateral wall of the intercondylar fossa, it is smaller than the facet on the medial wall, and is where the anterior cruciate ligament of the knee attaches.
  • 47.
  • 48.
    Muscle attachments ofthe lower end – Gastrocnemius: The medial head originates from the popliteal surface just above the medial condyle. – The lateral head originates primarily from the lateral condyle but also stretches over the lower end of lateral supracondylar line. – Plantaris (if present)arises from the lower end of lateral supracondylar line just above the lateral head of gastrocnemius – Popliteus arises (inside knee joint) by a tendon from the anterior end of a groove below the lateral epicondyle.
  • 49.
    Intercondylar Fossa (Intercondylar Notch) •It’s a deep notch, which divides 2 condyles posteriorly. • It’s restricted posteriorly above by intercondylar path. • It presents medial and lateral walls and floor. • Medial wall of the fossa gives attachments to the upper end of posterior cruciate ligament in its anteroinferior part. • Lateral wall of the fossa gives connection to the upper end of anterior cruciate ligament in its posterosuperior part. – Mnemonic: LAMP = Lateral condyle gives connection to Anterior cruciate ligament and Medial condyle to Posteriorcruciate ligament
  • 50.
    ARTICULAR SURFACE on distalend of femur • The lower end of femur presents a V-shaped articular surface having the anterior, inferior, and posterior surfaces of both condyles. • The apex of ‘V’ is referred to as patellar surface which inhabits the anterior surfaces of 2 condyles and articulates with the patella. • The patellar surface is saddle-shaped. Its lateral portion is wider and extends to a higher level in relation to the medial portion, corresponding to articular outermost layer of the patella.
  • 51.
    Distal end offemur Connection of fibrous capsule at the lower end of femur: • Posteriorly, it’s connected to the intercondylar line and articular margins. • Anteriorly, it’s deficient for communication of suprapatellar bursa together with the synovial cavity of knee joint. • Laterally and medially, it’s connected along a line 1 cm above the articular margins. It’s essential to note the groove for popliteus is intracapsular. • The connection of fibrous capsule at the upper end of femur: – Anteriorly it is connected to the intertrochanteric line – but posteriorly it is connected about 1 cm medial to the intertrochanteric crest. • Thus, the lateral part of the posterior outermost layer of the neck of femur is extracapsular and its medial half is intracapsular
  • 52.
    Clinical Relevance: ProximalFemur Fractures • Fractures of the proximal femur can broadly be classified into two main groups: • Intracapsular Fracture • Intracapsular fractures are more common in the elderly, especially women. They are a result of a minor trip or stumble. This fracture occurs within the capsule of the hip joint. It can damage the medial femoral circumflex artery – and cause avascular necrosis of the femoral head. – The distal fragment is pulled upwards and rotated laterally. This manifests clinically as a shorter leg length, with the toes pointing laterally • Extracapsular Fractures • Extracapsular fractures are more common in young and middle aged people. In these fractures, the blood supply to the head of femur is intact, and so no avascular necrosis can occur. Like the subcapital fracture, the leg is shortened and laterally rotated.
  • 53.
  • 54.
    CLINICAL SIGNIFICANCE • FRACTURENECK OF FEMUR • It’s quite common in aged especially in women because of osteoporotic changes in the neck. • TYPES OF FRACTURE • The fracture might be intracapsular (subcapital, transverse cervical) or extracapsular (basal, intertrochanteric, and subtrochanteric). • In intracapsular fracture, the retinacular boats- the main source of blood supply to the head- are injured. This results in delayed healing or nonunion of fracture, or even avascular necrosis of the head of femur. • In intracapsular fracture of the neck of femur, the affected limb is shortened and characteristically held in laterally rotated position with the toes pointing laterally.
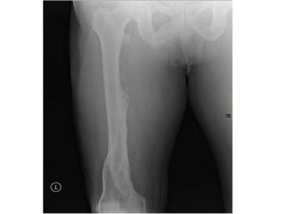
  • 55.
    Clinical Relevance: Fracturesof the Femoral Shaft • Fractures of the femoral shaft are relatively uncommon, and require a lot of force. They are usually a consequence of a traumatic injury, such as a vehicular accident. • They can often occur as a spiral fracture, which causes leg shortening. The loss of leg length is due the bony fragments overriding, pulled by their attached muscles. • As the method of injury is typically high energy, the surrounding soft tissues may also be damaged. As in any fracture, it is important to assess the neurovascular supply to the affected limb, as they femoral nerve or artery may have been damaged in the injury.
  • 57.
    OSSIFICATION • The femurossifies from 5 centers: • 1 primary and 4 secondary centers. –The primary center appears in the midshaft. –3 secondary centers show up in the upper end –1 secondary center in the lower end.
  • 58.
    CLINICAL SIGNIFICANCE • Medicolegalimportance of ossification center at the lower end of femur: • The secondary center at the lower end of femur is exceptional in the meaning it seems during beginning/ just before arrival (ninth month of IUL). • It is of medicolegal significance because its look in radiograph signifies maturity of the fetus.