SOFT TISSUESOFT TISSUE
TUMORSTUMORS
khomeinikhomeini
OBJECTIVESOBJECTIVES
To define soft tissuesTo define soft tissues
Decribe the types of soft tissueDecribe the types of soft tissue
tumorstumors
SOFT TISSUE TUMORS
Soft tissue tumors are defined asSoft tissue tumors are defined as
mesenchymal proliferations that occur inmesenchymal proliferations that occur in
the extraskeletal, nonepithelial tissues ofthe extraskeletal, nonepithelial tissues of
the body.the body.
SOFT TISSUE TUMORS
They are classified according to theThey are classified according to the
tissue they originate such as muscle,tissue they originate such as muscle,
fat, fibrous tissue, vessels, andfat, fibrous tissue, vessels, and
nerves.nerves.
SOFT TISSUE TUMORS
The cause of most soft tissue tumors isThe cause of most soft tissue tumors is
unknown.unknown.
The majority of soft tissue tumors occurThe majority of soft tissue tumors occur
sporadically, but a small minority is associatedsporadically, but a small minority is associated
with genetic syndromeswith genetic syndromes
1.1. neurofibromatosis type 1 (neurofibroma,neurofibromatosis type 1 (neurofibroma,
malignant schwannoma),malignant schwannoma),
2.2. Gardner syndrome (fibromatosis),Gardner syndrome (fibromatosis),
3.3. Li-Fraumeni syndrome (soft tissue sarcoma),Li-Fraumeni syndrome (soft tissue sarcoma),
4.4. Osler-Weber-Rendu syndrome (telangiectasia)Osler-Weber-Rendu syndrome (telangiectasia)
SOFT TISSUE TUMORS
There are documented associations,There are documented associations,
between radiation therapy and rarebetween radiation therapy and rare
instances in which chemical burns,instances in which chemical burns,
thermal burns, or trauma were associatedthermal burns, or trauma were associated
with subsequent development of awith subsequent development of a
sarcoma.sarcoma.
SOFT TISSUE TUMORS
Exposure to phenoxyherbicides andExposure to phenoxyherbicides and
chlorophenols has also been implicated inchlorophenols has also been implicated in
some cases.some cases.
Kaposi sarcoma is causally associatedKaposi sarcoma is causally associated
with the human herpesvirus 8; (viruses arewith the human herpesvirus 8; (viruses are
probably not important in theprobably not important in the
pathogenesis of most sarcomas)pathogenesis of most sarcomas)
SOFT TISSUE TUMORS
Soft tissue tumors may arise in any location,Soft tissue tumors may arise in any location,
approximately 40% occur in the lowerapproximately 40% occur in the lower
extremities, especially the thigh;extremities, especially the thigh;
20% in the upper extremities;20% in the upper extremities;
10% in the head and neck;10% in the head and neck;
and 30% in the trunk and retroperitoneum.and 30% in the trunk and retroperitoneum.
Regarding sarcomas, males are affected moreRegarding sarcomas, males are affected more
frequently than females , and the incidencefrequently than females , and the incidence
generally increases with age.generally increases with age.
SOFT TISSUE TUMORS
Tumors of adipose tissueTumors of adipose tissue
LipomasLipomas
LiposarcomaLiposarcoma
Tumors and tumor-like lesions ofTumors and tumor-like lesions of
fibrous tissuefibrous tissue
Nodular fasciitis,Nodular fasciitis,
FibromatosesFibromatoses
Superficial fibromatosesSuperficial fibromatoses
Deep fibromatosesDeep fibromatoses
FibrosarcomaFibrosarcoma
Fibrohistiocytic tumors
Fibrous histiocytomaFibrous histiocytoma
Dermatofibrosarcoma protuberansDermatofibrosarcoma protuberans
Malignant fibrous histiocytomaMalignant fibrous histiocytoma
Tumors of skeletal muscleTumors of skeletal muscle
RhabdomyomaRhabdomyoma
RhabdomyosarcomaRhabdomyosarcoma
Vascular tumorsVascular tumors
HemangiomaHemangioma
LymphangiomaLymphangioma
HemangioendotheliomaHemangioendothelioma
HemangiopericytomaHemangiopericytoma
AngiosarcomaAngiosarcoma
Peripheral nerve tumorsPeripheral nerve tumors
NeurofibromaNeurofibroma
SchwannomaSchwannoma
Granular cell tumorGranular cell tumor
Malignant peripheral nerveMalignant peripheral nerve
sheath tumorssheath tumors
Tumors of uncertain histogenesisTumors of uncertain histogenesis
Synovial sarcomaSynovial sarcoma
Alveolar soft part sarcomaAlveolar soft part sarcoma
Epithelioid sarcomaEpithelioid sarcoma
FATTY TUMORSFATTY TUMORS
LIPOMAS
Benign tumors of fat, known as lipomas, are the
most common soft tissue tumor of adulthood.
They are subclassified according to particular
morphologic features as conventional lipoma,
fibrolipoma, angiolipoma, spindle cell lipoma,
myelolipoma, and pleomorphic lipoma.
Lipomas are soft, mobile, and painless (except
angiolipoma) and are usually cured by simple
excision
FATTY TUMORSFATTY TUMORS
MorphologyMorphology
The conventional lipoma, the mostThe conventional lipoma, the most
common subtype, is a well-encapsulatedcommon subtype, is a well-encapsulated
mass of mature adipocytes that variesmass of mature adipocytes that varies
considerably in size.considerably in size.
It arises in the subcutis of the proximalIt arises in the subcutis of the proximal
extremities and trunk, most frequentlyextremities and trunk, most frequently
during mid-adulthood.during mid-adulthood.
Histologically, they consist of mature whiteHistologically, they consist of mature white
fat cells with no pleomorphism.fat cells with no pleomorphism.
FATTY TUMORSFATTY TUMORS
LIPOSARCOMALIPOSARCOMA
Liposarcomas are one of the most commonLiposarcomas are one of the most common
sarcomas of adulthood and appear in those insarcomas of adulthood and appear in those in
their forties to sixties,their forties to sixties,
they are uncommon in children.they are uncommon in children.
They usually arise in the deep soft tissues of theThey usually arise in the deep soft tissues of the
proximal extremities and retroperitoneum andproximal extremities and retroperitoneum and
developing into large tumors.developing into large tumors.
All types of liposarcoma recur locally and oftenAll types of liposarcoma recur locally and often
repeatedly unless adequately excised.repeatedly unless adequately excised.
FATTY TUMORSFATTY TUMORS
MorphologyMorphology
Histologically, liposarcomas can be dividedHistologically, liposarcomas can be divided
into( atypical lipomatous tumor) well-into( atypical lipomatous tumor) well-
differentiated, myxoid, round cell, anddifferentiated, myxoid, round cell, and
pleomorphic variants.pleomorphic variants.
Myxoid type is the most common.Myxoid type is the most common.
The cells in well-differentiated liposarcomas areThe cells in well-differentiated liposarcomas are
readily recognized as lipocytes.readily recognized as lipocytes.
In the other variants, most of the tumor cells areIn the other variants, most of the tumor cells are
not obviously adipogenic, but some cellsnot obviously adipogenic, but some cells
indicative of fatty differentiation are almostindicative of fatty differentiation are almost
always present.always present.
These cells are known asThese cells are known as lipoblastslipoblasts; they mimic; they mimic
fetal fat cells and contain round clearfetal fat cells and contain round clear
cytoplasmic vacuoles of lipid that scallop thecytoplasmic vacuoles of lipid that scallop the
Myxoid liposarcomaMyxoid liposarcoma
TUMORS OF SKELETALTUMORS OF SKELETAL
MUSCLEMUSCLE
Skeletal muscle neoplasms, in contrast toSkeletal muscle neoplasms, in contrast to
other groups of tumors, are almost allother groups of tumors, are almost all
malignant.malignant.
The benign variant, rhabdomyoma, isThe benign variant, rhabdomyoma, is
distinctly rare.distinctly rare.
TUMORS OF SKELETALTUMORS OF SKELETAL
MUSCLEMUSCLE
RHABDOMYOSARCOMARHABDOMYOSARCOMA
Rhabdomyosarcoma,Rhabdomyosarcoma, the most common softthe most common soft
tissue sarcoma of childhood and adolescence,tissue sarcoma of childhood and adolescence,
usually appears before age 20.usually appears before age 20.
They may arise in any anatomic location, butThey may arise in any anatomic location, but
mostly the head and neck or genitourinary tract.mostly the head and neck or genitourinary tract.
Only in the extremities they appear in relation toOnly in the extremities they appear in relation to
skeletal muscle.skeletal muscle.
RhabdomyosarcomaRhabdomyosarcoma AgeAge
7%7% OrbitOrbit
28%28% Head & NeckHead & Neck
11%11% TrunkTrunk
2%2% IntrathoracicIntrathoracic
2%2% GI-HepaticGI-Hepatic
6%6% RetroperitoneumRetroperitoneum
18%18% GUGU
2%2% Perineum-AnusPerineum-Anus
24%24% ExtremitiesExtremities
Sites
Head-neck 40%
Genitourinery 20%
Extremities 20%
Common Histiotypes of RhabdomyosarcomaCommon Histiotypes of Rhabdomyosarcoma
60% HN-GU 20% Extremities
Botryoid 10% Vagina-Grapelike
TUMORS OF SKELETALTUMORS OF SKELETAL
MUSCLEMUSCLE
MorphologyMorphology
Rhabdomyosarcoma is histologically subclassified intoRhabdomyosarcoma is histologically subclassified into
thethe embryonal, alveolar, and pleomorphic variants.variants.
The rhabdomyoblast-the diagnostic cell in all types-The rhabdomyoblast-the diagnostic cell in all types-
contains eccentric eosinophilic granular cytoplasm rich incontains eccentric eosinophilic granular cytoplasm rich in
thick and thin filaments.thick and thin filaments.
The rhabdomyoblasts may be round or elongate; theThe rhabdomyoblasts may be round or elongate; the
latter are known aslatter are known as tadpole or strap cellstadpole or strap cells and mayand may
contain cross-striations visible by light microscopy.contain cross-striations visible by light microscopy.
Ultrastructurally, rhabdomyoblasts contain sarcomeres,Ultrastructurally, rhabdomyoblasts contain sarcomeres,
and immunohistochemically they stain with antibodies toand immunohistochemically they stain with antibodies to
the myogenic markersthe myogenic markers desmin, MYOD1, and myogenin.desmin, MYOD1, and myogenin.
Rhabdomyosarcoma composed of malignant small roundRhabdomyosarcoma composed of malignant small round
cells. The rhabdomyoblasts are large and round and havecells. The rhabdomyoblasts are large and round and have
abundant eosinophilic cytoplasm; no cross-striations areabundant eosinophilic cytoplasm; no cross-striations are
evidentevident
Myogenin Ab-1Myogenin Ab-1
TUMORS OF SKELETALTUMORS OF SKELETAL
MUSCLEMUSCLE
Embryonal rhabdomyosarcomaEmbryonal rhabdomyosarcoma is theis the
most common type, accounting for 66% ofmost common type, accounting for 66% of
rhabdomyosarcomas.rhabdomyosarcomas.
It includes theIt includes the sarcoma botryoidessarcoma botryoides
described in and spindle cell variants.described in and spindle cell variants.
The tumor occurs in children under age 10The tumor occurs in children under age 10
years and typically arises in the nasalyears and typically arises in the nasal
cavity, orbit, middle ear, prostate, andcavity, orbit, middle ear, prostate, and
paratesticular region.paratesticular region.
Embryonal rhabdomyosarcomaEmbryonal rhabdomyosarcoma
Embryonal rhabdomyosarcomaEmbryonal rhabdomyosarcoma
TUMORS OF SKELETALTUMORS OF SKELETAL
MUSCLEMUSCLE
Alveolar rhabdomyosarcomaAlveolar rhabdomyosarcoma is mostis most
common in early to mid-adolescence andcommon in early to mid-adolescence and
usually arises in the deep musculature ofusually arises in the deep musculature of
the extremities.the extremities.
Histologically the tumor is traversed by aHistologically the tumor is traversed by a
network of fibrous septae that divide thenetwork of fibrous septae that divide the
cells into clusters or aggregates; as thecells into clusters or aggregates; as the
central cells degenerate and drop out, withcentral cells degenerate and drop out, with
resemblance to pulmonary alveolae.resemblance to pulmonary alveolae.
Alveolar rhabdomyosarcomaAlveolar rhabdomyosarcoma
Alveolar rhabdomyosarcoma withAlveolar rhabdomyosarcoma with
numerous spaces lined by tumornumerous spaces lined by tumor
cellscells
TUMORS OF SKELETALTUMORS OF SKELETAL
MUSCLEMUSCLE
Pleomorphic rhabdomyosarcomaPleomorphic rhabdomyosarcoma isis
characterized by numerous large,characterized by numerous large,
sometimes multinucleated, bizarresometimes multinucleated, bizarre
eosinophilic tumor cells.eosinophilic tumor cells.
This variant is rare, has a tendency toThis variant is rare, has a tendency to
arise in the deep soft tissue of adults and,arise in the deep soft tissue of adults and,
as noted earlier, can resemble malignantas noted earlier, can resemble malignant
fibrous histiocytoma histologically.fibrous histiocytoma histologically.
TUMORS OF SKELETALTUMORS OF SKELETAL
MUSCLEMUSCLE
Rhabdomyosarcomas are aggressiveRhabdomyosarcomas are aggressive
neoplasms and are usually treated with aneoplasms and are usually treated with a
combination of surgery and chemotherapy withcombination of surgery and chemotherapy with
or without radiation.or without radiation.
The histologic variant and location of the tumorThe histologic variant and location of the tumor
influence survival.influence survival.
The botryoid subtype has the best prognosis,The botryoid subtype has the best prognosis,
followed by the embryonal, pleomorphic, andfollowed by the embryonal, pleomorphic, and
alveolar variants.alveolar variants.
Overall, approximately 65% of children are curedOverall, approximately 65% of children are cured
of their disease, but adults fare less well.of their disease, but adults fare less well.
TUMORS OF SMOOTHTUMORS OF SMOOTH
MUSCLEMUSCLE
LEIOMYOMALEIOMYOMA
Leiomyomas, the benign smooth muscleLeiomyomas, the benign smooth muscle
tumors, often arise in the uterus where theytumors, often arise in the uterus where they
represent the most common neoplasmrepresent the most common neoplasm inin
womenwomen
Leiomyomas may also arise in the erector piliLeiomyomas may also arise in the erector pili
muscles found in the skin, nipples, scrotum, andmuscles found in the skin, nipples, scrotum, and
labia (genital leiomyomas) and less frequentlylabia (genital leiomyomas) and less frequently
develop in the deep soft tissues.develop in the deep soft tissues.
TUMORS OF SMOOTHTUMORS OF SMOOTH
MUSCLEMUSCLE
They are usually not larger than 1 to 2 cm inThey are usually not larger than 1 to 2 cm in
greatest dimension and are composed ofgreatest dimension and are composed of
fascicles of spindle cells that tend to intersectfascicles of spindle cells that tend to intersect
each other at right angles.each other at right angles.
The tumor cells have blunt-ended, elongatedThe tumor cells have blunt-ended, elongated
nuclei and show minimal atypia and few mitoticnuclei and show minimal atypia and few mitotic
figures.figures.
Solitary lesions are easily cured; however, theySolitary lesions are easily cured; however, they
may be so numerous that complete surgicalmay be so numerous that complete surgical
removal is impractical.removal is impractical.
TUMORS OF SMOOTHTUMORS OF SMOOTH
MUSCLEMUSCLE
LEIOMYOSARCOMA
Leiomyosarcomas account for 10% toLeiomyosarcomas account for 10% to
20% of soft tissue sarcomas.20% of soft tissue sarcomas.
They occur in adults and afflict womenThey occur in adults and afflict women
more frequently than men.more frequently than men.
Most develop in the skin and deep softMost develop in the skin and deep soft
tissues of the extremities andtissues of the extremities and
retroperitoneum.retroperitoneum.
TUMORS OF SMOOTHTUMORS OF SMOOTH
MUSCLEMUSCLE
MorphologyMorphology
Leiomyosarcomas present as pain-less firmLeiomyosarcomas present as pain-less firm
masses.masses.
Retroperitoneal tumors may be large and bulkyRetroperitoneal tumors may be large and bulky
and cause abdominal symptoms.and cause abdominal symptoms.
Histologically, they are characterized byHistologically, they are characterized by
malignant spindle cells that have cigar-shapedmalignant spindle cells that have cigar-shaped
nuclei arranged in interweaving fascicles.nuclei arranged in interweaving fascicles.
Morphologic variants include tumors with aMorphologic variants include tumors with a
prominent myxoid stroma and others withprominent myxoid stroma and others with
epithelioid cells.epithelioid cells.
Immunohistochemically, they stain withImmunohistochemically, they stain with
antibodies toantibodies to vimentin, actin, smooth musclevimentin, actin, smooth muscle
actin, and desmin.actin, and desmin.
TUMORS OF SMOOTHTUMORS OF SMOOTH
MUSCLEMUSCLE
Treatment depends on the size, location,Treatment depends on the size, location,
and grade of the tumor.and grade of the tumor.
Superficial or cutaneous leiomyosarcomasSuperficial or cutaneous leiomyosarcomas
are usually small and have a goodare usually small and have a good
prognosis,prognosis,
large, retroperitoneal ones cannot belarge, retroperitoneal ones cannot be
entirely excised, and cause death by bothentirely excised, and cause death by both
local extension and metastatic spread.local extension and metastatic spread.
FIBROHISTIOCYTIC TUMORSFIBROHISTIOCYTIC TUMORS
Fibrohistiocytic tumors contain cellularFibrohistiocytic tumors contain cellular
elements that resemble both fibroblastselements that resemble both fibroblasts
and histiocytes.and histiocytes.
FIBROHISTIOCYTIC TUMORSFIBROHISTIOCYTIC TUMORS
BENIGN FIBROUS HISTIOCYTOMABENIGN FIBROUS HISTIOCYTOMA
(DERMATOFIBROMA)(DERMATOFIBROMA)
Benign fibrous histiocytoma is a relativelyBenign fibrous histiocytoma is a relatively
common lesion that usually occurs in thecommon lesion that usually occurs in the
dermis and subcutis.dermis and subcutis.
It is painless and slow growing and mostIt is painless and slow growing and most
often presents in mid-adult life as a firm,often presents in mid-adult life as a firm,
small (up to 1 cm) mobile nodule.small (up to 1 cm) mobile nodule.
FIBROHISTIOCYTIC TUMORSFIBROHISTIOCYTIC TUMORS
MorphologyMorphology
Most benign fibrous histiocytomas consistMost benign fibrous histiocytomas consist
of a proliferation of bland spindle cellsof a proliferation of bland spindle cells
arranged in a storiform pattern.arranged in a storiform pattern.
These tumors have infiltrative margins;These tumors have infiltrative margins;
common secondary findings include thecommon secondary findings include the
presence of foam cells, hemosiderinpresence of foam cells, hemosiderin
deposits, multinucleated giant cells, anddeposits, multinucleated giant cells, and
hyperplasia of the overlying epidermishyperplasia of the overlying epidermis
FIBROHISTIOCYTIC TUMORSFIBROHISTIOCYTIC TUMORS
MALIGNANT FIBROUS HISTIOCYTOMAMALIGNANT FIBROUS HISTIOCYTOMA
Malignant fibrous histiocytomaMalignant fibrous histiocytoma refers to a grouprefers to a group
of related soft tissue sarcomas characterized byof related soft tissue sarcomas characterized by
considerable cytologic pleomorphism, theconsiderable cytologic pleomorphism, the
presence of bizarre multinucleate cells, andpresence of bizarre multinucleate cells, and
storiform architecture.storiform architecture.
Malignant fibrous histiocytoma usually arises inMalignant fibrous histiocytoma usually arises in
the musculature of the proximal extremities andthe musculature of the proximal extremities and
the retroperitoneum.the retroperitoneum.
Cutaneous variants have also been calledCutaneous variants have also been called
atypical fibroxanthomasatypical fibroxanthomas..
FIBROHISTIOCYTIC TUMORSFIBROHISTIOCYTIC TUMORS
Morphology.Morphology.
These tumors are usually large (5 to 20 cm),These tumors are usually large (5 to 20 cm),
gray-white unencapsulated masses but oftengray-white unencapsulated masses but often
appear deceptively circumscribed.appear deceptively circumscribed.
Malignant fibrous histiocytomas have beenMalignant fibrous histiocytomas have been
categorized intocategorized into storiform-pleomorphic,storiform-pleomorphic,
myxoid, inflammatory, giant cell,myxoid, inflammatory, giant cell, andand
angiomatoidangiomatoid variants based on their histologicvariants based on their histologic
features.features.
TheThe storiform-pleomorphic type is the moststoriform-pleomorphic type is the most
commoncommon and as the name indicates isand as the name indicates is
composed of malignant spindle cells oriented incomposed of malignant spindle cells oriented in
a storiform pattern with scattered, large rounda storiform pattern with scattered, large round
pleomorphic cells .pleomorphic cells .
FIBROHISTIOCYTIC TUMORSFIBROHISTIOCYTIC TUMORS
Most variants of malignant fibrous histiocytoma,Most variants of malignant fibrous histiocytoma,
except for the angiomatoid type, are aggressive,except for the angiomatoid type, are aggressive,
recur unless widely excised, and have arecur unless widely excised, and have a
metastatic rate of 30% to 50%.metastatic rate of 30% to 50%.
However, cutaneous tumors rarely disseminate;However, cutaneous tumors rarely disseminate;
the angiomatoid variant is also indolent and inthe angiomatoid variant is also indolent and in
contrast to the other types occurs in adolescentscontrast to the other types occurs in adolescents
and young adults.and young adults.
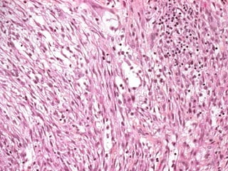
Malignant fibrous histiocytoma revealing fascicles ofMalignant fibrous histiocytoma revealing fascicles of
plump spindle cells in a swirling (storiform) pattern,plump spindle cells in a swirling (storiform) pattern,
typical but not pathognomonic of this neoplasmtypical but not pathognomonic of this neoplasm
REACTIVE PSEUDOSARCOMATOUSREACTIVE PSEUDOSARCOMATOUS
PROLIFERATIONSPROLIFERATIONS
Reactive pseudosarcomatous proliferations are non-Reactive pseudosarcomatous proliferations are non-
neoplastic lesions that either develop in response toneoplastic lesions that either develop in response to
some form of local trauma (physical or ischemic) or aresome form of local trauma (physical or ischemic) or are
idiopathic.idiopathic.
They are composed of plump reactive fibroblasts orThey are composed of plump reactive fibroblasts or
related mesenchymal cells.related mesenchymal cells.
They are alarming because they develop suddenly andThey are alarming because they develop suddenly and
grow rapidly;grow rapidly;
histologically, they cause concern because they mimichistologically, they cause concern because they mimic
sarcomas owing to their hyper cellularity, mitotic activity,sarcomas owing to their hyper cellularity, mitotic activity,
and a primitive appearance.and a primitive appearance.
Representative of this family of lesions areRepresentative of this family of lesions are nodularnodular
fasciitisfasciitis andand myositis ossificans.myositis ossificans.
Nodular FasciitisNodular Fasciitis
Nodular fasciitis, also known asNodular fasciitis, also known as infiltrativeinfiltrative oror
pseudosarcomatous fasciitis,pseudosarcomatous fasciitis, is the mostis the most
common of the reactive pseudosarcomas.common of the reactive pseudosarcomas.
It most often occurs in adults on the volar aspectIt most often occurs in adults on the volar aspect
of the forearm, followed in order of frequency byof the forearm, followed in order of frequency by
the chest and back.the chest and back.
Patients typically present with a several-weekPatients typically present with a several-week
history of a solitary, rapidly growing, andhistory of a solitary, rapidly growing, and
sometimes painful mass.sometimes painful mass.
Trauma is noted in only 10% to 15% of cases.Trauma is noted in only 10% to 15% of cases.
Nodular FasciitisNodular Fasciitis
MorphologyMorphology
Nodular fasciitis lesions arise in the deep
dermis, subcutis, or muscle.
Grossly the lesion is several centimeters in
greatest dimension, is nodular in configuration,
and has poorly defined margins.
Nodular fasciitis is richly cellular and consists of
plump, immature-appearing fibroblasts arranged
randomly (simulating cells growing in tissue
culture) or in short intersecting fascicles
Nodular fasciitis with plump, randomly
oriented spindle cells surrounded by myxoid
stroma
Myositis OssificansMyositis Ossificans
Myositis ossificans is distinguished from the otherMyositis ossificans is distinguished from the other
fibroblastic proliferations by the presence offibroblastic proliferations by the presence of metaplasticmetaplastic
bone.bone.
It usually develops in athletic adolescents and youngIt usually develops in athletic adolescents and young
adults and follows an episode of trauma in more thanadults and follows an episode of trauma in more than
50% of cases.50% of cases.
The lesion typically arises in the musculature of theThe lesion typically arises in the musculature of the
proximal extremities.proximal extremities.
The clinical findings are related to its stage ofThe clinical findings are related to its stage of
development; in the early phase, the involved area isdevelopment; in the early phase, the involved area is
swollen and painful, and within several weeks, itswollen and painful, and within several weeks, it
becomes more circumscribed and firm.becomes more circumscribed and firm.
Eventually, it evolves into a painless, hard, well-Eventually, it evolves into a painless, hard, well-
demarcated mass.demarcated mass.
MorphologyMorphology
Grossly, the usual lesions are 3 to 6 cm in greatestGrossly, the usual lesions are 3 to 6 cm in greatest
dimension.dimension.
Most are well delineated and have soft, glisteningMost are well delineated and have soft, glistening
centers and a firm, gritty periphery.centers and a firm, gritty periphery.
The microscopic findings vary according to the age ofThe microscopic findings vary according to the age of
the lesion; in the earliest phase, the lesion is the mostthe lesion; in the earliest phase, the lesion is the most
cellular and consists of plump, elongated fibroblast-likecellular and consists of plump, elongated fibroblast-like
cells simulating nodular fasciitiscells simulating nodular fasciitis
Morphologic zonation begins within 3 weeks; the centerMorphologic zonation begins within 3 weeks; the center
retains its population of fibroblasts; however, it mergesretains its population of fibroblasts; however, it merges
with an adjacent intermediate zone that containswith an adjacent intermediate zone that contains
osteoblasts, which deposit ill-defined trabeculae ofosteoblasts, which deposit ill-defined trabeculae of
woven bone.woven bone.
The most peripheral zone contains well-formed,The most peripheral zone contains well-formed,
mineralized trabeculae that closely resemble cancellousmineralized trabeculae that closely resemble cancellous
bone.bone.
FIBROMATOSESFIBROMATOSES
Superficial Fibromatosis (Palmar, Plantar,Superficial Fibromatosis (Palmar, Plantar,
and Penile Fibromatoses)and Penile Fibromatoses)
Deep-Seated Fibromatosis (DesmoidDeep-Seated Fibromatosis (Desmoid
Tumors)Tumors)
Superficial Fibromatosis (Palmar,
Plantar, and Penile Fibromatoses)
Palmar, plantar, and penile fibromatoses, morePalmar, plantar, and penile fibromatoses, more
bothersome than serious lesions, constitute a smallbothersome than serious lesions, constitute a small
group of superficial fibromatoses.group of superficial fibromatoses.
They are characterized by nodular or poorly definedThey are characterized by nodular or poorly defined
broad fascicles of mature-appearing fibroblastsbroad fascicles of mature-appearing fibroblasts
surrounded by abundant dense collagen.surrounded by abundant dense collagen.
Immunohistochemical and ultrastructural studies indicateImmunohistochemical and ultrastructural studies indicate
that many of these cells arethat many of these cells are myofibroblastsmyofibroblasts..
All forms of superficial fibromatosis affect males moreAll forms of superficial fibromatosis affect males more
frequently than females.frequently than females.
In about 20% to 25% of cases, the palmar and plantarIn about 20% to 25% of cases, the palmar and plantar
fibromatoses stabilize and do not progress, in somefibromatoses stabilize and do not progress, in some
instances resolving spontaneously. Some recur afterinstances resolving spontaneously. Some recur after
excision, particularly the plantar variant.excision, particularly the plantar variant.
Superficial Fibromatosis (Palmar,
Plantar, and Penile Fibromatoses)
In the palmar variantIn the palmar variant (Dupuytren contracture),(Dupuytren contracture), there isthere is
irregular or nodular thickening of the palmar fascia eitherirregular or nodular thickening of the palmar fascia either
unilaterally or bilaterally (50%).unilaterally or bilaterally (50%).
Over a span of years, attachment to the overlying skinOver a span of years, attachment to the overlying skin
causes puckering and dimpling. At the same time, acauses puckering and dimpling. At the same time, a
slowly progressive flexion contracture develops, mainlyslowly progressive flexion contracture develops, mainly
of the fourth and fifth fingers of the hand.of the fourth and fifth fingers of the hand.
Essentially similar changes are seen withEssentially similar changes are seen with plantarplantar
fibromatosis,fibromatosis, except that flexion contractures areexcept that flexion contractures are
uncommon and bilateral involvement is infrequent.uncommon and bilateral involvement is infrequent.
Superficial Fibromatosis (Palmar,
Plantar, and Penile Fibromatoses)
InIn penile fibromatosis (Peyronie disease),penile fibromatosis (Peyronie disease),
a palpable induration or mass appearsa palpable induration or mass appears
usually on the dorsolateral aspect of theusually on the dorsolateral aspect of the
penis. It may cause eventually abnormalpenis. It may cause eventually abnormal
curvature of the shaft or constriction of thecurvature of the shaft or constriction of the
urethra, or both.urethra, or both.
Deep-Seated FibromatosisDeep-Seated Fibromatosis
(Desmoid Tumors)(Desmoid Tumors)
Deep-seated fibromatoses lie in the borderlandDeep-seated fibromatoses lie in the borderland
between nonaggressive fibrous tumors and low-between nonaggressive fibrous tumors and low-
grade fibrosarcomas.grade fibrosarcomas.
They commonly present as large, infiltrativeThey commonly present as large, infiltrative
masses that frequently recur after incompletemasses that frequently recur after incomplete
excision;excision;
They are composed of banal well-differentiatedThey are composed of banal well-differentiated
fibroblasts that do not metastasize.fibroblasts that do not metastasize.
They may occur at any age but are mostThey may occur at any age but are most
frequent in the teens to thirties.frequent in the teens to thirties.
Deep-Seated Fibromatosis
(Desmoid Tumors)
Desmoids are divided intoDesmoids are divided into extra-abdominal, abdominal,extra-abdominal, abdominal,
and intra-abdominal,and intra-abdominal, but all have essentially similarbut all have essentially similar
gross and microscopic features.gross and microscopic features.
Extra-abdominal desmoids occur in men and womenExtra-abdominal desmoids occur in men and women
with equal frequency and arise principally in thewith equal frequency and arise principally in the
musculature of the shoulder, chest wall, back, and thigh.musculature of the shoulder, chest wall, back, and thigh.
Abdominal desmoids generally arise in theAbdominal desmoids generally arise in the
musculoaponeurotic structures of the anterior abdominalmusculoaponeurotic structures of the anterior abdominal
wall in women during or after pregnancy.wall in women during or after pregnancy.
Intra-abdominal desmoids tend to occur in the mesenteryIntra-abdominal desmoids tend to occur in the mesentery
or pelvic walls, often in patients having familialor pelvic walls, often in patients having familial
adenomatous polyposis (Gardner syndrome)adenomatous polyposis (Gardner syndrome)
Deep-Seated FibromatosisDeep-Seated Fibromatosis
(Desmoid Tumors)(Desmoid Tumors)
Morphology.Morphology.
These tumors occur as gray-white, firm, poorlyThese tumors occur as gray-white, firm, poorly
demarcated masses varying from 1 to 15 cm indemarcated masses varying from 1 to 15 cm in
greatest diameter.greatest diameter.
They are rubbery and tough and infiltrateThey are rubbery and tough and infiltrate
surrounding structures.surrounding structures.
Histologically deep-seated fibromatosis isHistologically deep-seated fibromatosis is
composed of plump fibroblasts arranged incomposed of plump fibroblasts arranged in
broad sweeping fascicles that infiltrate to thebroad sweeping fascicles that infiltrate to the
adjacent tissueadjacent tissue
Mitoses are usually infrequent.Mitoses are usually infrequent.
Regenerating muscle cells, when trapped withinRegenerating muscle cells, when trapped within
these lesions, may take on the appearance ofthese lesions, may take on the appearance of
multinucleated giant cells.multinucleated giant cells.
Fibromatosis infiltrating betweenFibromatosis infiltrating between
skeletal muscle cellsskeletal muscle cells
FIBROSARCOMAFIBROSARCOMA
Fibrosarcomas are rare but may occur anywhereFibrosarcomas are rare but may occur anywhere
in the body, most commonly in thein the body, most commonly in the
retroperitoneum, the thigh, the knee, and theretroperitoneum, the thigh, the knee, and the
distal extremities.distal extremities.
Many tumors previously consideredMany tumors previously considered
fibrosarcoma have been reclassified asfibrosarcoma have been reclassified as
aggressive fibromatosis (desmoid), malignantaggressive fibromatosis (desmoid), malignant
fibrous histiocytoma, malignant peripheral nervefibrous histiocytoma, malignant peripheral nerve
sheath tumors, or synovial sarcomas.sheath tumors, or synovial sarcomas.
FIBROSARCOMAFIBROSARCOMA
MorphologyMorphology
Typically, these neoplasms are unencapsulated,Typically, these neoplasms are unencapsulated,
infiltrative, soft, fish-flesh masses often having areas ofinfiltrative, soft, fish-flesh masses often having areas of
hemorrhage and necrosis.hemorrhage and necrosis.
Better-differentiated lesions may appear deceptivelyBetter-differentiated lesions may appear deceptively
encapsulated.encapsulated.
Histologic examination shows all degrees ofHistologic examination shows all degrees of
differentiation, from slowly growing tumors that closelydifferentiation, from slowly growing tumors that closely
resemble cellular fibromatosis sometimes havingresemble cellular fibromatosis sometimes having
spindled cells growing in a herringbone fashion to highlyspindled cells growing in a herringbone fashion to highly
cellular neoplasms dominated by architectural disarray,cellular neoplasms dominated by architectural disarray,
pleomorphism, frequent mitoses, and areas of necrosis.pleomorphism, frequent mitoses, and areas of necrosis.
FIBROSARCOMAFIBROSARCOMA
They are aggressive tumors, however,They are aggressive tumors, however,
recurring in more than 50% of the casesrecurring in more than 50% of the cases
and metastasizing in more than 25%.and metastasizing in more than 25%.
Fibrosarcoma composed of malignantFibrosarcoma composed of malignant
spindle cells arranged in a herringbonespindle cells arranged in a herringbone
patternpattern
SYNOVIAL SARCOMASYNOVIAL SARCOMA
Synovial sarcomaSynovial sarcoma is so named because it wasis so named because it was
once believed to recapitulate synovium, but theonce believed to recapitulate synovium, but the
cell of origin is still unclear.cell of origin is still unclear.
In addition, although the termIn addition, although the term synovial sarcomasynovial sarcoma
implies an origin from the joint linings, less thanimplies an origin from the joint linings, less than
10% are intra-articular.10% are intra-articular.
Synovial sarcomas account for approximatelySynovial sarcomas account for approximately
10% of all soft tissue sarcomas and rank as the10% of all soft tissue sarcomas and rank as the
fourth most common sarcoma.fourth most common sarcoma.
SYNOVIAL SARCOMASYNOVIAL SARCOMA
Most occur in patients in their twenties to forties.Most occur in patients in their twenties to forties.
The majority develop in the deep soft tissue inThe majority develop in the deep soft tissue in
the vicinity of the large joints of the extremities,the vicinity of the large joints of the extremities,
and about 60% to 70% involve the lowerand about 60% to 70% involve the lower
extremities, especially around the knee andextremities, especially around the knee and
thigh.thigh.
Patients usually present with a deep-seatedPatients usually present with a deep-seated
mass that has been noted for several years.mass that has been noted for several years.
Uncommonly, these tumors occur in the headUncommonly, these tumors occur in the head
and neck or the different viscera.and neck or the different viscera.
SYNOVIAL SARCOMASYNOVIAL SARCOMA
MorphologyMorphology
The histologic hallmark of biphasic synovial
sarcoma is the dual line of differentiation of the
tumor cells (i.e., epithelial-like and spindle cells).
Despite the mimicry of synovium, the tumor
cells do not have the features of synoviocytes.
The epithelial cells are cuboidal to columnar and
form glands or grow in solid cords or
aggregates.
SYNOVIAL SARCOMASYNOVIAL SARCOMA
The spindle cells are arranged in denselyThe spindle cells are arranged in densely
cellular fascicles that surround thecellular fascicles that surround the
epithelial cellsepithelial cells
Many synovial sarcomas areMany synovial sarcomas are monophasicmonophasic
in that they are composed of only spindledin that they are composed of only spindled
cells or, rarely, epithelial cells.cells or, rarely, epithelial cells.
SYNOVIAL SARCOMASYNOVIAL SARCOMA
Lesions composed of spindled cells only,Lesions composed of spindled cells only,
are easily mistaken for fibrosarcomas orare easily mistaken for fibrosarcomas or
malignant peripheral nerve sheath tumors.malignant peripheral nerve sheath tumors.
Immunohistochemistry is helpful inImmunohistochemistry is helpful in
identifying these tumors, since the tumoridentifying these tumors, since the tumor
cells yield positive reactions for keratincells yield positive reactions for keratin
and epithelial membrane antigen,and epithelial membrane antigen,
differentiating these tumors from mostdifferentiating these tumors from most
other sarcomas.other sarcomas.
SUMMARYSUMMARY
The most common soft tissue tumor is lipoma.The most common soft tissue tumor is lipoma.
The most common soft tissue sarcomaThe most common soft tissue sarcoma
(malignant soft tissue tumor) in the(malignant soft tissue tumor) in the
retroperitoneal region is liposarcoma.retroperitoneal region is liposarcoma.
Malignant fibrous histiocytoma is the mostMalignant fibrous histiocytoma is the most
common sarcoma of adulthood.common sarcoma of adulthood.
Malignant fibrous histiocytoma is the mostMalignant fibrous histiocytoma is the most
common sarcoma that arises after radiationcommon sarcoma that arises after radiation
therapy.therapy.
The most common malignant soft tissue tumorThe most common malignant soft tissue tumor
of chidhood is rhabdomyosarcoma.of chidhood is rhabdomyosarcoma.
SUMMARYSUMMARY
Embryonal rhabdomyosarcoma is theEmbryonal rhabdomyosarcoma is the
most common type of RMS and has themost common type of RMS and has the
best clinical outcome.best clinical outcome.
Alveolar RMS has the worst prognosis andAlveolar RMS has the worst prognosis and
is likely to metastatize to LN.is likely to metastatize to LN.
Alveolar type RMS is the most commonAlveolar type RMS is the most common
RMS encountered in adulthood.RMS encountered in adulthood.
Dermatofibrosarcoma protuberans is theDermatofibrosarcoma protuberans is the
borderline fibrohistiocytic tumor.borderline fibrohistiocytic tumor.
THANK YOU FORTHANK YOU FOR
YOURYOUR INTEREST ,INTEREST ,
YOUR ENTHUSIASM ,YOUR ENTHUSIASM ,
YOUR QUESTIONS,YOUR QUESTIONS,
AND YOUR WILLINGNESS TOAND YOUR WILLINGNESS TO
INVEST SO MUCH EFFORTINVEST SO MUCH EFFORT
Good luck in the clinical yearsGood luck in the clinical years
FERDA ÖZKANFERDA ÖZKAN

Soft tissue-tumors-2012

  • 1.
  • 2.
    OBJECTIVESOBJECTIVES To define softtissuesTo define soft tissues Decribe the types of soft tissueDecribe the types of soft tissue tumorstumors
  • 3.
    SOFT TISSUE TUMORS Softtissue tumors are defined asSoft tissue tumors are defined as mesenchymal proliferations that occur inmesenchymal proliferations that occur in the extraskeletal, nonepithelial tissues ofthe extraskeletal, nonepithelial tissues of the body.the body.
  • 4.
    SOFT TISSUE TUMORS Theyare classified according to theThey are classified according to the tissue they originate such as muscle,tissue they originate such as muscle, fat, fibrous tissue, vessels, andfat, fibrous tissue, vessels, and nerves.nerves.
  • 5.
    SOFT TISSUE TUMORS Thecause of most soft tissue tumors isThe cause of most soft tissue tumors is unknown.unknown. The majority of soft tissue tumors occurThe majority of soft tissue tumors occur sporadically, but a small minority is associatedsporadically, but a small minority is associated with genetic syndromeswith genetic syndromes 1.1. neurofibromatosis type 1 (neurofibroma,neurofibromatosis type 1 (neurofibroma, malignant schwannoma),malignant schwannoma), 2.2. Gardner syndrome (fibromatosis),Gardner syndrome (fibromatosis), 3.3. Li-Fraumeni syndrome (soft tissue sarcoma),Li-Fraumeni syndrome (soft tissue sarcoma), 4.4. Osler-Weber-Rendu syndrome (telangiectasia)Osler-Weber-Rendu syndrome (telangiectasia)
  • 6.
    SOFT TISSUE TUMORS Thereare documented associations,There are documented associations, between radiation therapy and rarebetween radiation therapy and rare instances in which chemical burns,instances in which chemical burns, thermal burns, or trauma were associatedthermal burns, or trauma were associated with subsequent development of awith subsequent development of a sarcoma.sarcoma.
  • 7.
    SOFT TISSUE TUMORS Exposureto phenoxyherbicides andExposure to phenoxyherbicides and chlorophenols has also been implicated inchlorophenols has also been implicated in some cases.some cases. Kaposi sarcoma is causally associatedKaposi sarcoma is causally associated with the human herpesvirus 8; (viruses arewith the human herpesvirus 8; (viruses are probably not important in theprobably not important in the pathogenesis of most sarcomas)pathogenesis of most sarcomas)
  • 8.
    SOFT TISSUE TUMORS Softtissue tumors may arise in any location,Soft tissue tumors may arise in any location, approximately 40% occur in the lowerapproximately 40% occur in the lower extremities, especially the thigh;extremities, especially the thigh; 20% in the upper extremities;20% in the upper extremities; 10% in the head and neck;10% in the head and neck; and 30% in the trunk and retroperitoneum.and 30% in the trunk and retroperitoneum. Regarding sarcomas, males are affected moreRegarding sarcomas, males are affected more frequently than females , and the incidencefrequently than females , and the incidence generally increases with age.generally increases with age.
  • 9.
    SOFT TISSUE TUMORS Tumorsof adipose tissueTumors of adipose tissue LipomasLipomas LiposarcomaLiposarcoma Tumors and tumor-like lesions ofTumors and tumor-like lesions of fibrous tissuefibrous tissue Nodular fasciitis,Nodular fasciitis, FibromatosesFibromatoses Superficial fibromatosesSuperficial fibromatoses Deep fibromatosesDeep fibromatoses FibrosarcomaFibrosarcoma Fibrohistiocytic tumors Fibrous histiocytomaFibrous histiocytoma Dermatofibrosarcoma protuberansDermatofibrosarcoma protuberans Malignant fibrous histiocytomaMalignant fibrous histiocytoma Tumors of skeletal muscleTumors of skeletal muscle RhabdomyomaRhabdomyoma RhabdomyosarcomaRhabdomyosarcoma Vascular tumorsVascular tumors HemangiomaHemangioma LymphangiomaLymphangioma HemangioendotheliomaHemangioendothelioma HemangiopericytomaHemangiopericytoma AngiosarcomaAngiosarcoma Peripheral nerve tumorsPeripheral nerve tumors NeurofibromaNeurofibroma SchwannomaSchwannoma Granular cell tumorGranular cell tumor Malignant peripheral nerveMalignant peripheral nerve sheath tumorssheath tumors Tumors of uncertain histogenesisTumors of uncertain histogenesis Synovial sarcomaSynovial sarcoma Alveolar soft part sarcomaAlveolar soft part sarcoma Epithelioid sarcomaEpithelioid sarcoma
  • 10.
    FATTY TUMORSFATTY TUMORS LIPOMAS Benigntumors of fat, known as lipomas, are the most common soft tissue tumor of adulthood. They are subclassified according to particular morphologic features as conventional lipoma, fibrolipoma, angiolipoma, spindle cell lipoma, myelolipoma, and pleomorphic lipoma. Lipomas are soft, mobile, and painless (except angiolipoma) and are usually cured by simple excision
  • 11.
    FATTY TUMORSFATTY TUMORS MorphologyMorphology Theconventional lipoma, the mostThe conventional lipoma, the most common subtype, is a well-encapsulatedcommon subtype, is a well-encapsulated mass of mature adipocytes that variesmass of mature adipocytes that varies considerably in size.considerably in size. It arises in the subcutis of the proximalIt arises in the subcutis of the proximal extremities and trunk, most frequentlyextremities and trunk, most frequently during mid-adulthood.during mid-adulthood. Histologically, they consist of mature whiteHistologically, they consist of mature white fat cells with no pleomorphism.fat cells with no pleomorphism.
  • 14.
    FATTY TUMORSFATTY TUMORS LIPOSARCOMALIPOSARCOMA Liposarcomasare one of the most commonLiposarcomas are one of the most common sarcomas of adulthood and appear in those insarcomas of adulthood and appear in those in their forties to sixties,their forties to sixties, they are uncommon in children.they are uncommon in children. They usually arise in the deep soft tissues of theThey usually arise in the deep soft tissues of the proximal extremities and retroperitoneum andproximal extremities and retroperitoneum and developing into large tumors.developing into large tumors. All types of liposarcoma recur locally and oftenAll types of liposarcoma recur locally and often repeatedly unless adequately excised.repeatedly unless adequately excised.
  • 15.
    FATTY TUMORSFATTY TUMORS MorphologyMorphology Histologically,liposarcomas can be dividedHistologically, liposarcomas can be divided into( atypical lipomatous tumor) well-into( atypical lipomatous tumor) well- differentiated, myxoid, round cell, anddifferentiated, myxoid, round cell, and pleomorphic variants.pleomorphic variants. Myxoid type is the most common.Myxoid type is the most common. The cells in well-differentiated liposarcomas areThe cells in well-differentiated liposarcomas are readily recognized as lipocytes.readily recognized as lipocytes. In the other variants, most of the tumor cells areIn the other variants, most of the tumor cells are not obviously adipogenic, but some cellsnot obviously adipogenic, but some cells indicative of fatty differentiation are almostindicative of fatty differentiation are almost always present.always present. These cells are known asThese cells are known as lipoblastslipoblasts; they mimic; they mimic fetal fat cells and contain round clearfetal fat cells and contain round clear cytoplasmic vacuoles of lipid that scallop thecytoplasmic vacuoles of lipid that scallop the
  • 19.
  • 20.
    TUMORS OF SKELETALTUMORSOF SKELETAL MUSCLEMUSCLE Skeletal muscle neoplasms, in contrast toSkeletal muscle neoplasms, in contrast to other groups of tumors, are almost allother groups of tumors, are almost all malignant.malignant. The benign variant, rhabdomyoma, isThe benign variant, rhabdomyoma, is distinctly rare.distinctly rare.
  • 21.
    TUMORS OF SKELETALTUMORSOF SKELETAL MUSCLEMUSCLE RHABDOMYOSARCOMARHABDOMYOSARCOMA Rhabdomyosarcoma,Rhabdomyosarcoma, the most common softthe most common soft tissue sarcoma of childhood and adolescence,tissue sarcoma of childhood and adolescence, usually appears before age 20.usually appears before age 20. They may arise in any anatomic location, butThey may arise in any anatomic location, but mostly the head and neck or genitourinary tract.mostly the head and neck or genitourinary tract. Only in the extremities they appear in relation toOnly in the extremities they appear in relation to skeletal muscle.skeletal muscle.
  • 22.
  • 23.
    7%7% OrbitOrbit 28%28% Head& NeckHead & Neck 11%11% TrunkTrunk 2%2% IntrathoracicIntrathoracic 2%2% GI-HepaticGI-Hepatic 6%6% RetroperitoneumRetroperitoneum 18%18% GUGU 2%2% Perineum-AnusPerineum-Anus 24%24% ExtremitiesExtremities Sites Head-neck 40% Genitourinery 20% Extremities 20%
  • 24.
    Common Histiotypes ofRhabdomyosarcomaCommon Histiotypes of Rhabdomyosarcoma 60% HN-GU 20% Extremities Botryoid 10% Vagina-Grapelike
  • 25.
    TUMORS OF SKELETALTUMORSOF SKELETAL MUSCLEMUSCLE MorphologyMorphology Rhabdomyosarcoma is histologically subclassified intoRhabdomyosarcoma is histologically subclassified into thethe embryonal, alveolar, and pleomorphic variants.variants. The rhabdomyoblast-the diagnostic cell in all types-The rhabdomyoblast-the diagnostic cell in all types- contains eccentric eosinophilic granular cytoplasm rich incontains eccentric eosinophilic granular cytoplasm rich in thick and thin filaments.thick and thin filaments. The rhabdomyoblasts may be round or elongate; theThe rhabdomyoblasts may be round or elongate; the latter are known aslatter are known as tadpole or strap cellstadpole or strap cells and mayand may contain cross-striations visible by light microscopy.contain cross-striations visible by light microscopy. Ultrastructurally, rhabdomyoblasts contain sarcomeres,Ultrastructurally, rhabdomyoblasts contain sarcomeres, and immunohistochemically they stain with antibodies toand immunohistochemically they stain with antibodies to the myogenic markersthe myogenic markers desmin, MYOD1, and myogenin.desmin, MYOD1, and myogenin.
  • 27.
    Rhabdomyosarcoma composed ofmalignant small roundRhabdomyosarcoma composed of malignant small round cells. The rhabdomyoblasts are large and round and havecells. The rhabdomyoblasts are large and round and have abundant eosinophilic cytoplasm; no cross-striations areabundant eosinophilic cytoplasm; no cross-striations are evidentevident
  • 29.
  • 30.
    TUMORS OF SKELETALTUMORSOF SKELETAL MUSCLEMUSCLE Embryonal rhabdomyosarcomaEmbryonal rhabdomyosarcoma is theis the most common type, accounting for 66% ofmost common type, accounting for 66% of rhabdomyosarcomas.rhabdomyosarcomas. It includes theIt includes the sarcoma botryoidessarcoma botryoides described in and spindle cell variants.described in and spindle cell variants. The tumor occurs in children under age 10The tumor occurs in children under age 10 years and typically arises in the nasalyears and typically arises in the nasal cavity, orbit, middle ear, prostate, andcavity, orbit, middle ear, prostate, and paratesticular region.paratesticular region.
  • 31.
  • 32.
  • 33.
    TUMORS OF SKELETALTUMORSOF SKELETAL MUSCLEMUSCLE Alveolar rhabdomyosarcomaAlveolar rhabdomyosarcoma is mostis most common in early to mid-adolescence andcommon in early to mid-adolescence and usually arises in the deep musculature ofusually arises in the deep musculature of the extremities.the extremities. Histologically the tumor is traversed by aHistologically the tumor is traversed by a network of fibrous septae that divide thenetwork of fibrous septae that divide the cells into clusters or aggregates; as thecells into clusters or aggregates; as the central cells degenerate and drop out, withcentral cells degenerate and drop out, with resemblance to pulmonary alveolae.resemblance to pulmonary alveolae.
  • 34.
  • 35.
    Alveolar rhabdomyosarcoma withAlveolarrhabdomyosarcoma with numerous spaces lined by tumornumerous spaces lined by tumor cellscells
  • 36.
    TUMORS OF SKELETALTUMORSOF SKELETAL MUSCLEMUSCLE Pleomorphic rhabdomyosarcomaPleomorphic rhabdomyosarcoma isis characterized by numerous large,characterized by numerous large, sometimes multinucleated, bizarresometimes multinucleated, bizarre eosinophilic tumor cells.eosinophilic tumor cells. This variant is rare, has a tendency toThis variant is rare, has a tendency to arise in the deep soft tissue of adults and,arise in the deep soft tissue of adults and, as noted earlier, can resemble malignantas noted earlier, can resemble malignant fibrous histiocytoma histologically.fibrous histiocytoma histologically.
  • 37.
    TUMORS OF SKELETALTUMORSOF SKELETAL MUSCLEMUSCLE Rhabdomyosarcomas are aggressiveRhabdomyosarcomas are aggressive neoplasms and are usually treated with aneoplasms and are usually treated with a combination of surgery and chemotherapy withcombination of surgery and chemotherapy with or without radiation.or without radiation. The histologic variant and location of the tumorThe histologic variant and location of the tumor influence survival.influence survival. The botryoid subtype has the best prognosis,The botryoid subtype has the best prognosis, followed by the embryonal, pleomorphic, andfollowed by the embryonal, pleomorphic, and alveolar variants.alveolar variants. Overall, approximately 65% of children are curedOverall, approximately 65% of children are cured of their disease, but adults fare less well.of their disease, but adults fare less well.
  • 38.
    TUMORS OF SMOOTHTUMORSOF SMOOTH MUSCLEMUSCLE LEIOMYOMALEIOMYOMA Leiomyomas, the benign smooth muscleLeiomyomas, the benign smooth muscle tumors, often arise in the uterus where theytumors, often arise in the uterus where they represent the most common neoplasmrepresent the most common neoplasm inin womenwomen Leiomyomas may also arise in the erector piliLeiomyomas may also arise in the erector pili muscles found in the skin, nipples, scrotum, andmuscles found in the skin, nipples, scrotum, and labia (genital leiomyomas) and less frequentlylabia (genital leiomyomas) and less frequently develop in the deep soft tissues.develop in the deep soft tissues.
  • 39.
    TUMORS OF SMOOTHTUMORSOF SMOOTH MUSCLEMUSCLE They are usually not larger than 1 to 2 cm inThey are usually not larger than 1 to 2 cm in greatest dimension and are composed ofgreatest dimension and are composed of fascicles of spindle cells that tend to intersectfascicles of spindle cells that tend to intersect each other at right angles.each other at right angles. The tumor cells have blunt-ended, elongatedThe tumor cells have blunt-ended, elongated nuclei and show minimal atypia and few mitoticnuclei and show minimal atypia and few mitotic figures.figures. Solitary lesions are easily cured; however, theySolitary lesions are easily cured; however, they may be so numerous that complete surgicalmay be so numerous that complete surgical removal is impractical.removal is impractical.
  • 43.
    TUMORS OF SMOOTHTUMORSOF SMOOTH MUSCLEMUSCLE LEIOMYOSARCOMA Leiomyosarcomas account for 10% toLeiomyosarcomas account for 10% to 20% of soft tissue sarcomas.20% of soft tissue sarcomas. They occur in adults and afflict womenThey occur in adults and afflict women more frequently than men.more frequently than men. Most develop in the skin and deep softMost develop in the skin and deep soft tissues of the extremities andtissues of the extremities and retroperitoneum.retroperitoneum.
  • 44.
    TUMORS OF SMOOTHTUMORSOF SMOOTH MUSCLEMUSCLE MorphologyMorphology Leiomyosarcomas present as pain-less firmLeiomyosarcomas present as pain-less firm masses.masses. Retroperitoneal tumors may be large and bulkyRetroperitoneal tumors may be large and bulky and cause abdominal symptoms.and cause abdominal symptoms. Histologically, they are characterized byHistologically, they are characterized by malignant spindle cells that have cigar-shapedmalignant spindle cells that have cigar-shaped nuclei arranged in interweaving fascicles.nuclei arranged in interweaving fascicles. Morphologic variants include tumors with aMorphologic variants include tumors with a prominent myxoid stroma and others withprominent myxoid stroma and others with epithelioid cells.epithelioid cells. Immunohistochemically, they stain withImmunohistochemically, they stain with antibodies toantibodies to vimentin, actin, smooth musclevimentin, actin, smooth muscle actin, and desmin.actin, and desmin.
  • 45.
    TUMORS OF SMOOTHTUMORSOF SMOOTH MUSCLEMUSCLE Treatment depends on the size, location,Treatment depends on the size, location, and grade of the tumor.and grade of the tumor. Superficial or cutaneous leiomyosarcomasSuperficial or cutaneous leiomyosarcomas are usually small and have a goodare usually small and have a good prognosis,prognosis, large, retroperitoneal ones cannot belarge, retroperitoneal ones cannot be entirely excised, and cause death by bothentirely excised, and cause death by both local extension and metastatic spread.local extension and metastatic spread.
  • 49.
    FIBROHISTIOCYTIC TUMORSFIBROHISTIOCYTIC TUMORS Fibrohistiocytictumors contain cellularFibrohistiocytic tumors contain cellular elements that resemble both fibroblastselements that resemble both fibroblasts and histiocytes.and histiocytes.
  • 50.
    FIBROHISTIOCYTIC TUMORSFIBROHISTIOCYTIC TUMORS BENIGNFIBROUS HISTIOCYTOMABENIGN FIBROUS HISTIOCYTOMA (DERMATOFIBROMA)(DERMATOFIBROMA) Benign fibrous histiocytoma is a relativelyBenign fibrous histiocytoma is a relatively common lesion that usually occurs in thecommon lesion that usually occurs in the dermis and subcutis.dermis and subcutis. It is painless and slow growing and mostIt is painless and slow growing and most often presents in mid-adult life as a firm,often presents in mid-adult life as a firm, small (up to 1 cm) mobile nodule.small (up to 1 cm) mobile nodule.
  • 51.
    FIBROHISTIOCYTIC TUMORSFIBROHISTIOCYTIC TUMORS MorphologyMorphology Mostbenign fibrous histiocytomas consistMost benign fibrous histiocytomas consist of a proliferation of bland spindle cellsof a proliferation of bland spindle cells arranged in a storiform pattern.arranged in a storiform pattern. These tumors have infiltrative margins;These tumors have infiltrative margins; common secondary findings include thecommon secondary findings include the presence of foam cells, hemosiderinpresence of foam cells, hemosiderin deposits, multinucleated giant cells, anddeposits, multinucleated giant cells, and hyperplasia of the overlying epidermishyperplasia of the overlying epidermis
  • 54.
    FIBROHISTIOCYTIC TUMORSFIBROHISTIOCYTIC TUMORS MALIGNANTFIBROUS HISTIOCYTOMAMALIGNANT FIBROUS HISTIOCYTOMA Malignant fibrous histiocytomaMalignant fibrous histiocytoma refers to a grouprefers to a group of related soft tissue sarcomas characterized byof related soft tissue sarcomas characterized by considerable cytologic pleomorphism, theconsiderable cytologic pleomorphism, the presence of bizarre multinucleate cells, andpresence of bizarre multinucleate cells, and storiform architecture.storiform architecture. Malignant fibrous histiocytoma usually arises inMalignant fibrous histiocytoma usually arises in the musculature of the proximal extremities andthe musculature of the proximal extremities and the retroperitoneum.the retroperitoneum. Cutaneous variants have also been calledCutaneous variants have also been called atypical fibroxanthomasatypical fibroxanthomas..
  • 55.
    FIBROHISTIOCYTIC TUMORSFIBROHISTIOCYTIC TUMORS Morphology.Morphology. Thesetumors are usually large (5 to 20 cm),These tumors are usually large (5 to 20 cm), gray-white unencapsulated masses but oftengray-white unencapsulated masses but often appear deceptively circumscribed.appear deceptively circumscribed. Malignant fibrous histiocytomas have beenMalignant fibrous histiocytomas have been categorized intocategorized into storiform-pleomorphic,storiform-pleomorphic, myxoid, inflammatory, giant cell,myxoid, inflammatory, giant cell, andand angiomatoidangiomatoid variants based on their histologicvariants based on their histologic features.features. TheThe storiform-pleomorphic type is the moststoriform-pleomorphic type is the most commoncommon and as the name indicates isand as the name indicates is composed of malignant spindle cells oriented incomposed of malignant spindle cells oriented in a storiform pattern with scattered, large rounda storiform pattern with scattered, large round pleomorphic cells .pleomorphic cells .
  • 56.
    FIBROHISTIOCYTIC TUMORSFIBROHISTIOCYTIC TUMORS Mostvariants of malignant fibrous histiocytoma,Most variants of malignant fibrous histiocytoma, except for the angiomatoid type, are aggressive,except for the angiomatoid type, are aggressive, recur unless widely excised, and have arecur unless widely excised, and have a metastatic rate of 30% to 50%.metastatic rate of 30% to 50%. However, cutaneous tumors rarely disseminate;However, cutaneous tumors rarely disseminate; the angiomatoid variant is also indolent and inthe angiomatoid variant is also indolent and in contrast to the other types occurs in adolescentscontrast to the other types occurs in adolescents and young adults.and young adults.
  • 57.
    Malignant fibrous histiocytomarevealing fascicles ofMalignant fibrous histiocytoma revealing fascicles of plump spindle cells in a swirling (storiform) pattern,plump spindle cells in a swirling (storiform) pattern, typical but not pathognomonic of this neoplasmtypical but not pathognomonic of this neoplasm
  • 60.
    REACTIVE PSEUDOSARCOMATOUSREACTIVE PSEUDOSARCOMATOUS PROLIFERATIONSPROLIFERATIONS Reactivepseudosarcomatous proliferations are non-Reactive pseudosarcomatous proliferations are non- neoplastic lesions that either develop in response toneoplastic lesions that either develop in response to some form of local trauma (physical or ischemic) or aresome form of local trauma (physical or ischemic) or are idiopathic.idiopathic. They are composed of plump reactive fibroblasts orThey are composed of plump reactive fibroblasts or related mesenchymal cells.related mesenchymal cells. They are alarming because they develop suddenly andThey are alarming because they develop suddenly and grow rapidly;grow rapidly; histologically, they cause concern because they mimichistologically, they cause concern because they mimic sarcomas owing to their hyper cellularity, mitotic activity,sarcomas owing to their hyper cellularity, mitotic activity, and a primitive appearance.and a primitive appearance. Representative of this family of lesions areRepresentative of this family of lesions are nodularnodular fasciitisfasciitis andand myositis ossificans.myositis ossificans.
  • 61.
    Nodular FasciitisNodular Fasciitis Nodularfasciitis, also known asNodular fasciitis, also known as infiltrativeinfiltrative oror pseudosarcomatous fasciitis,pseudosarcomatous fasciitis, is the mostis the most common of the reactive pseudosarcomas.common of the reactive pseudosarcomas. It most often occurs in adults on the volar aspectIt most often occurs in adults on the volar aspect of the forearm, followed in order of frequency byof the forearm, followed in order of frequency by the chest and back.the chest and back. Patients typically present with a several-weekPatients typically present with a several-week history of a solitary, rapidly growing, andhistory of a solitary, rapidly growing, and sometimes painful mass.sometimes painful mass. Trauma is noted in only 10% to 15% of cases.Trauma is noted in only 10% to 15% of cases.
  • 62.
    Nodular FasciitisNodular Fasciitis MorphologyMorphology Nodularfasciitis lesions arise in the deep dermis, subcutis, or muscle. Grossly the lesion is several centimeters in greatest dimension, is nodular in configuration, and has poorly defined margins. Nodular fasciitis is richly cellular and consists of plump, immature-appearing fibroblasts arranged randomly (simulating cells growing in tissue culture) or in short intersecting fascicles
  • 64.
    Nodular fasciitis withplump, randomly oriented spindle cells surrounded by myxoid stroma
  • 65.
    Myositis OssificansMyositis Ossificans Myositisossificans is distinguished from the otherMyositis ossificans is distinguished from the other fibroblastic proliferations by the presence offibroblastic proliferations by the presence of metaplasticmetaplastic bone.bone. It usually develops in athletic adolescents and youngIt usually develops in athletic adolescents and young adults and follows an episode of trauma in more thanadults and follows an episode of trauma in more than 50% of cases.50% of cases. The lesion typically arises in the musculature of theThe lesion typically arises in the musculature of the proximal extremities.proximal extremities. The clinical findings are related to its stage ofThe clinical findings are related to its stage of development; in the early phase, the involved area isdevelopment; in the early phase, the involved area is swollen and painful, and within several weeks, itswollen and painful, and within several weeks, it becomes more circumscribed and firm.becomes more circumscribed and firm. Eventually, it evolves into a painless, hard, well-Eventually, it evolves into a painless, hard, well- demarcated mass.demarcated mass.
  • 66.
    MorphologyMorphology Grossly, the usuallesions are 3 to 6 cm in greatestGrossly, the usual lesions are 3 to 6 cm in greatest dimension.dimension. Most are well delineated and have soft, glisteningMost are well delineated and have soft, glistening centers and a firm, gritty periphery.centers and a firm, gritty periphery. The microscopic findings vary according to the age ofThe microscopic findings vary according to the age of the lesion; in the earliest phase, the lesion is the mostthe lesion; in the earliest phase, the lesion is the most cellular and consists of plump, elongated fibroblast-likecellular and consists of plump, elongated fibroblast-like cells simulating nodular fasciitiscells simulating nodular fasciitis Morphologic zonation begins within 3 weeks; the centerMorphologic zonation begins within 3 weeks; the center retains its population of fibroblasts; however, it mergesretains its population of fibroblasts; however, it merges with an adjacent intermediate zone that containswith an adjacent intermediate zone that contains osteoblasts, which deposit ill-defined trabeculae ofosteoblasts, which deposit ill-defined trabeculae of woven bone.woven bone. The most peripheral zone contains well-formed,The most peripheral zone contains well-formed, mineralized trabeculae that closely resemble cancellousmineralized trabeculae that closely resemble cancellous bone.bone.
  • 68.
    FIBROMATOSESFIBROMATOSES Superficial Fibromatosis (Palmar,Plantar,Superficial Fibromatosis (Palmar, Plantar, and Penile Fibromatoses)and Penile Fibromatoses) Deep-Seated Fibromatosis (DesmoidDeep-Seated Fibromatosis (Desmoid Tumors)Tumors)
  • 69.
    Superficial Fibromatosis (Palmar, Plantar,and Penile Fibromatoses) Palmar, plantar, and penile fibromatoses, morePalmar, plantar, and penile fibromatoses, more bothersome than serious lesions, constitute a smallbothersome than serious lesions, constitute a small group of superficial fibromatoses.group of superficial fibromatoses. They are characterized by nodular or poorly definedThey are characterized by nodular or poorly defined broad fascicles of mature-appearing fibroblastsbroad fascicles of mature-appearing fibroblasts surrounded by abundant dense collagen.surrounded by abundant dense collagen. Immunohistochemical and ultrastructural studies indicateImmunohistochemical and ultrastructural studies indicate that many of these cells arethat many of these cells are myofibroblastsmyofibroblasts.. All forms of superficial fibromatosis affect males moreAll forms of superficial fibromatosis affect males more frequently than females.frequently than females. In about 20% to 25% of cases, the palmar and plantarIn about 20% to 25% of cases, the palmar and plantar fibromatoses stabilize and do not progress, in somefibromatoses stabilize and do not progress, in some instances resolving spontaneously. Some recur afterinstances resolving spontaneously. Some recur after excision, particularly the plantar variant.excision, particularly the plantar variant.
  • 70.
    Superficial Fibromatosis (Palmar, Plantar,and Penile Fibromatoses) In the palmar variantIn the palmar variant (Dupuytren contracture),(Dupuytren contracture), there isthere is irregular or nodular thickening of the palmar fascia eitherirregular or nodular thickening of the palmar fascia either unilaterally or bilaterally (50%).unilaterally or bilaterally (50%). Over a span of years, attachment to the overlying skinOver a span of years, attachment to the overlying skin causes puckering and dimpling. At the same time, acauses puckering and dimpling. At the same time, a slowly progressive flexion contracture develops, mainlyslowly progressive flexion contracture develops, mainly of the fourth and fifth fingers of the hand.of the fourth and fifth fingers of the hand. Essentially similar changes are seen withEssentially similar changes are seen with plantarplantar fibromatosis,fibromatosis, except that flexion contractures areexcept that flexion contractures are uncommon and bilateral involvement is infrequent.uncommon and bilateral involvement is infrequent.
  • 71.
    Superficial Fibromatosis (Palmar, Plantar,and Penile Fibromatoses) InIn penile fibromatosis (Peyronie disease),penile fibromatosis (Peyronie disease), a palpable induration or mass appearsa palpable induration or mass appears usually on the dorsolateral aspect of theusually on the dorsolateral aspect of the penis. It may cause eventually abnormalpenis. It may cause eventually abnormal curvature of the shaft or constriction of thecurvature of the shaft or constriction of the urethra, or both.urethra, or both.
  • 72.
    Deep-Seated FibromatosisDeep-Seated Fibromatosis (DesmoidTumors)(Desmoid Tumors) Deep-seated fibromatoses lie in the borderlandDeep-seated fibromatoses lie in the borderland between nonaggressive fibrous tumors and low-between nonaggressive fibrous tumors and low- grade fibrosarcomas.grade fibrosarcomas. They commonly present as large, infiltrativeThey commonly present as large, infiltrative masses that frequently recur after incompletemasses that frequently recur after incomplete excision;excision; They are composed of banal well-differentiatedThey are composed of banal well-differentiated fibroblasts that do not metastasize.fibroblasts that do not metastasize. They may occur at any age but are mostThey may occur at any age but are most frequent in the teens to thirties.frequent in the teens to thirties.
  • 73.
    Deep-Seated Fibromatosis (Desmoid Tumors) Desmoidsare divided intoDesmoids are divided into extra-abdominal, abdominal,extra-abdominal, abdominal, and intra-abdominal,and intra-abdominal, but all have essentially similarbut all have essentially similar gross and microscopic features.gross and microscopic features. Extra-abdominal desmoids occur in men and womenExtra-abdominal desmoids occur in men and women with equal frequency and arise principally in thewith equal frequency and arise principally in the musculature of the shoulder, chest wall, back, and thigh.musculature of the shoulder, chest wall, back, and thigh. Abdominal desmoids generally arise in theAbdominal desmoids generally arise in the musculoaponeurotic structures of the anterior abdominalmusculoaponeurotic structures of the anterior abdominal wall in women during or after pregnancy.wall in women during or after pregnancy. Intra-abdominal desmoids tend to occur in the mesenteryIntra-abdominal desmoids tend to occur in the mesentery or pelvic walls, often in patients having familialor pelvic walls, often in patients having familial adenomatous polyposis (Gardner syndrome)adenomatous polyposis (Gardner syndrome)
  • 74.
    Deep-Seated FibromatosisDeep-Seated Fibromatosis (DesmoidTumors)(Desmoid Tumors) Morphology.Morphology. These tumors occur as gray-white, firm, poorlyThese tumors occur as gray-white, firm, poorly demarcated masses varying from 1 to 15 cm indemarcated masses varying from 1 to 15 cm in greatest diameter.greatest diameter. They are rubbery and tough and infiltrateThey are rubbery and tough and infiltrate surrounding structures.surrounding structures. Histologically deep-seated fibromatosis isHistologically deep-seated fibromatosis is composed of plump fibroblasts arranged incomposed of plump fibroblasts arranged in broad sweeping fascicles that infiltrate to thebroad sweeping fascicles that infiltrate to the adjacent tissueadjacent tissue Mitoses are usually infrequent.Mitoses are usually infrequent. Regenerating muscle cells, when trapped withinRegenerating muscle cells, when trapped within these lesions, may take on the appearance ofthese lesions, may take on the appearance of multinucleated giant cells.multinucleated giant cells.
  • 75.
    Fibromatosis infiltrating betweenFibromatosisinfiltrating between skeletal muscle cellsskeletal muscle cells
  • 76.
    FIBROSARCOMAFIBROSARCOMA Fibrosarcomas are rarebut may occur anywhereFibrosarcomas are rare but may occur anywhere in the body, most commonly in thein the body, most commonly in the retroperitoneum, the thigh, the knee, and theretroperitoneum, the thigh, the knee, and the distal extremities.distal extremities. Many tumors previously consideredMany tumors previously considered fibrosarcoma have been reclassified asfibrosarcoma have been reclassified as aggressive fibromatosis (desmoid), malignantaggressive fibromatosis (desmoid), malignant fibrous histiocytoma, malignant peripheral nervefibrous histiocytoma, malignant peripheral nerve sheath tumors, or synovial sarcomas.sheath tumors, or synovial sarcomas.
  • 77.
    FIBROSARCOMAFIBROSARCOMA MorphologyMorphology Typically, these neoplasmsare unencapsulated,Typically, these neoplasms are unencapsulated, infiltrative, soft, fish-flesh masses often having areas ofinfiltrative, soft, fish-flesh masses often having areas of hemorrhage and necrosis.hemorrhage and necrosis. Better-differentiated lesions may appear deceptivelyBetter-differentiated lesions may appear deceptively encapsulated.encapsulated. Histologic examination shows all degrees ofHistologic examination shows all degrees of differentiation, from slowly growing tumors that closelydifferentiation, from slowly growing tumors that closely resemble cellular fibromatosis sometimes havingresemble cellular fibromatosis sometimes having spindled cells growing in a herringbone fashion to highlyspindled cells growing in a herringbone fashion to highly cellular neoplasms dominated by architectural disarray,cellular neoplasms dominated by architectural disarray, pleomorphism, frequent mitoses, and areas of necrosis.pleomorphism, frequent mitoses, and areas of necrosis.
  • 78.
    FIBROSARCOMAFIBROSARCOMA They are aggressivetumors, however,They are aggressive tumors, however, recurring in more than 50% of the casesrecurring in more than 50% of the cases and metastasizing in more than 25%.and metastasizing in more than 25%.
  • 81.
    Fibrosarcoma composed ofmalignantFibrosarcoma composed of malignant spindle cells arranged in a herringbonespindle cells arranged in a herringbone patternpattern
  • 83.
    SYNOVIAL SARCOMASYNOVIAL SARCOMA SynovialsarcomaSynovial sarcoma is so named because it wasis so named because it was once believed to recapitulate synovium, but theonce believed to recapitulate synovium, but the cell of origin is still unclear.cell of origin is still unclear. In addition, although the termIn addition, although the term synovial sarcomasynovial sarcoma implies an origin from the joint linings, less thanimplies an origin from the joint linings, less than 10% are intra-articular.10% are intra-articular. Synovial sarcomas account for approximatelySynovial sarcomas account for approximately 10% of all soft tissue sarcomas and rank as the10% of all soft tissue sarcomas and rank as the fourth most common sarcoma.fourth most common sarcoma.
  • 84.
    SYNOVIAL SARCOMASYNOVIAL SARCOMA Mostoccur in patients in their twenties to forties.Most occur in patients in their twenties to forties. The majority develop in the deep soft tissue inThe majority develop in the deep soft tissue in the vicinity of the large joints of the extremities,the vicinity of the large joints of the extremities, and about 60% to 70% involve the lowerand about 60% to 70% involve the lower extremities, especially around the knee andextremities, especially around the knee and thigh.thigh. Patients usually present with a deep-seatedPatients usually present with a deep-seated mass that has been noted for several years.mass that has been noted for several years. Uncommonly, these tumors occur in the headUncommonly, these tumors occur in the head and neck or the different viscera.and neck or the different viscera.
  • 85.
    SYNOVIAL SARCOMASYNOVIAL SARCOMA MorphologyMorphology Thehistologic hallmark of biphasic synovial sarcoma is the dual line of differentiation of the tumor cells (i.e., epithelial-like and spindle cells). Despite the mimicry of synovium, the tumor cells do not have the features of synoviocytes. The epithelial cells are cuboidal to columnar and form glands or grow in solid cords or aggregates.
  • 90.
    SYNOVIAL SARCOMASYNOVIAL SARCOMA Thespindle cells are arranged in denselyThe spindle cells are arranged in densely cellular fascicles that surround thecellular fascicles that surround the epithelial cellsepithelial cells Many synovial sarcomas areMany synovial sarcomas are monophasicmonophasic in that they are composed of only spindledin that they are composed of only spindled cells or, rarely, epithelial cells.cells or, rarely, epithelial cells.
  • 91.
    SYNOVIAL SARCOMASYNOVIAL SARCOMA Lesionscomposed of spindled cells only,Lesions composed of spindled cells only, are easily mistaken for fibrosarcomas orare easily mistaken for fibrosarcomas or malignant peripheral nerve sheath tumors.malignant peripheral nerve sheath tumors. Immunohistochemistry is helpful inImmunohistochemistry is helpful in identifying these tumors, since the tumoridentifying these tumors, since the tumor cells yield positive reactions for keratincells yield positive reactions for keratin and epithelial membrane antigen,and epithelial membrane antigen, differentiating these tumors from mostdifferentiating these tumors from most other sarcomas.other sarcomas.
  • 92.
    SUMMARYSUMMARY The most commonsoft tissue tumor is lipoma.The most common soft tissue tumor is lipoma. The most common soft tissue sarcomaThe most common soft tissue sarcoma (malignant soft tissue tumor) in the(malignant soft tissue tumor) in the retroperitoneal region is liposarcoma.retroperitoneal region is liposarcoma. Malignant fibrous histiocytoma is the mostMalignant fibrous histiocytoma is the most common sarcoma of adulthood.common sarcoma of adulthood. Malignant fibrous histiocytoma is the mostMalignant fibrous histiocytoma is the most common sarcoma that arises after radiationcommon sarcoma that arises after radiation therapy.therapy. The most common malignant soft tissue tumorThe most common malignant soft tissue tumor of chidhood is rhabdomyosarcoma.of chidhood is rhabdomyosarcoma.
  • 93.
    SUMMARYSUMMARY Embryonal rhabdomyosarcoma istheEmbryonal rhabdomyosarcoma is the most common type of RMS and has themost common type of RMS and has the best clinical outcome.best clinical outcome. Alveolar RMS has the worst prognosis andAlveolar RMS has the worst prognosis and is likely to metastatize to LN.is likely to metastatize to LN. Alveolar type RMS is the most commonAlveolar type RMS is the most common RMS encountered in adulthood.RMS encountered in adulthood. Dermatofibrosarcoma protuberans is theDermatofibrosarcoma protuberans is the borderline fibrohistiocytic tumor.borderline fibrohistiocytic tumor.
  • 94.
    THANK YOU FORTHANKYOU FOR YOURYOUR INTEREST ,INTEREST , YOUR ENTHUSIASM ,YOUR ENTHUSIASM , YOUR QUESTIONS,YOUR QUESTIONS, AND YOUR WILLINGNESS TOAND YOUR WILLINGNESS TO INVEST SO MUCH EFFORTINVEST SO MUCH EFFORT Good luck in the clinical yearsGood luck in the clinical years FERDA ÖZKANFERDA ÖZKAN