PNEUMONIA
Dr. NILAS WARLEM,SpP
DEFINISI
Pneumonia adalah infeksi parenkim paru. Dulu
disebut juga “pneumonitis”. Akan tetapi dewasa ini
istilah pneumonitis dipakai untuk peradangan paru
yang disebabkan oleh non mikroorganisme. Misalnya
disebabkan oleh bahan kimia, radiasi, bahan toksik
dll.
ETIOLOGIPneumonia dapat disebabkan oleh berbagai macam
mikroorganisme yaitu :
Bakteri, Virus, Jamur dan Protozoa.
Akan tetapi tidak selalu penyebab dari pneumonia
dapat diidentifikasi.
30 % sampai 65% dari pneumonia tidak bisa
dipastikan penyebabnya walaupun telah dilakukan
kultur sputum dan darah.
WHO 1999, penyebab kematian tertinggi akibat
penyakit infeksi di dunia adalah infeksi saluran
pernapasan akut, termasuk pneumonia dan influenza.
Pneumonia komuniti merupakan penyebab kematian
utama akibat infeksi pada orang dewasa di Amerika
Serikat, angka kematian 15%
Percabangan bronchus dan alveolus
1. Bakteri
Streptokokkus pneumoniae
Stafilokokus aureus
Stafilokokus piogenes
Klebsiella pneumonia (Friedlander bacillus)
Escherichia Coli
Pseudomonas aeruginosa
2. Virus
Influenza
Para influenza
RSV (respiratory syncytial virus)
Adenovirus
3. Jamur
Candida albican
Actinomyces israeli
Aspergillus fumigatus
Histoplasma capsulatum
4. Protozoa
Pneumocystis carinii
(sering pada penderita AIDS)
Toxoplasma gondii
FAKTOR RESIKO PNEUMONIA
1. Umur > 65 tahun
2. Tinggal di rumah perawatan tertentu (panti jompo)
3. Alkoholismus : meningkatkan resiko kolonisasi
kuman, mengganggu refleks batuk, mengganggu
transport mukosiliar dan gangguan terhadap
pertahanan sistem seluler
4. Malnutrisi : menurunkan immunoglobulin A dan
gangguan terhadap fungsi makrofag.
5. Kebiasaan merokok juga mengganggu transport
mukosiliar dan sistem pertahanan selular dan
humoral.
6. Keadaan kemungkinan terjadinya aspirasi misalnya
gangguan kesadaran, penderita yang sedang
diintubasi
7. Adanya penyakit – penyakit penyerta : PPOK,
kardiovaskuler, DM, gangguan neurologis.
8. Infeksi saluran nafas bagian atas :
+ 1/3 – ½ pneumonia didahului oleh infeksi
saluran nafas bagian atas / infeksi virus
PATOGENESA
Pneumonia terjadi bila kuman masuk parenkim
paru, berkembang biak dan menimbulkan
peradangan.
Masuknya kuman ke jaringan paruMasuknya kuman ke jaringan paru ::
1.1. Aspirasi sekret orofaring yangAspirasi sekret orofaring yang
mengandung kumanmengandung kuman
2.2. Inhalasi dari aerosol yang mengandungInhalasi dari aerosol yang mengandung
kumankuman
3. Penyebaran melalui aliran darah dari tempat lain di
luar paru misalnya endokarditis
4. Penyebaran langsung ke dalam paru :
a. Intubasi trakhea
b. Luka tembus yang mengenai paru
Dalam keadaan normal saluran nafas bagian
bawah steril. Hal ini disebabkan sistem
pertahanan tubuh :
Anatomi dari saluran nafas.
Cairan yang melapisi mukosa hidung, faring
dan saluran nafas bagian bawah.
Adanya refleks bersin dan batuk
Sistem transportasi mukosilier dari epitel
bronkus
Sistem pertahanan saluran nafas secara seluler
dan humoral
Paru selalu terpapar oleh kuman – kuman saluran
nafas bagian atas (aspirasi) dan juga secara aerosol
dari luar. Akan tetapi kenyataannya pneumonia
jarang terjadi.
1. ASPIRASI
Dalam keadaan normal 50% orang – orang
mengalami aspirasi sekret orofaring pada
waktu tidur, terutama pada waktu tidur
yang dalam.
Angka ini meningkat sampai 70% pada
orang – orang yang mengalami gangguan
kesadaran :
Alkoholismus, pecandu narkoba, kejang
– kejang, stroke dan anestesi umum
Teori yang banyak dianut sekarang
menyatakan bahwa pneumonia terjadi bila
kuman yang telah membentuk koloni di
daerah naso orofaring teraspirasi ke dalam
paru berkembang biak dan menimbulkan
pneumonia.
Terjadi aspirasi kuman dalamTerjadi aspirasi kuman dalam
jumlah yang banyakjumlah yang banyak
2. KOLONISASI
Untuk terjadinya kolonisasi kuman di
daerah naso orofaring, kuman yang ada
disana harus melekat ke sel – sel mukosa
dan dalam keadaan normal hal ini tidak
mudah terjadi.
Dalam suatu penelitian kuman – kuman
Gram negatif jadi mudah melekat pada sel –
sel mukosa bila terjadi :
penurunan fibronectine (sejenis
glycoprotein) pada permukaan sel mukosa
yang berfungsi menghalangi
melengketnya kuman pada permukaan sel
mukasa
meningkatnya protease (enzim yang
merusak fibronectine dalam saliva)
BACTERIAL CLEARANCE
Proses yang mampu mengeliminasi kuman
yang telah masuk ke dalam saluran nafas
bagian bawah sebelum berkembang biak
dan menimbulkan penyakit disebut
“bacterial clearance”
Proses bacterial clearance meliputi :
1. Kemampuan mengeluarkan kuman dari
paru
2. Kemampuan memfagositosis dan
membunuh kuman
3. Kecepatan kuman berkembang biak
Faktor – faktor yang menentukan bacterial clearance
adalah :
Besarnya inokolum dari kuman
Virulensi dari kuman
Status pertahanan host (tuan rumah)
Dapat disimpulkan : terjadi atau tidaknya pneumonia
tergantung kepada berhasil atau gagalnya bacterial
clearance ini
3. INOKULUM KUMAN
Besarnya inokulum kuman yang bisa menimbulkan
penyakit pada manusia belum diketahui.
Percobaan binatang :
S. aureus 105
akan dibersihkan dalam 4 jam.
S. aureus 106
akan dibersihkan dalam 8 jam.
S. aureus 108
tidak bisa dibersihkan, kuman akan
berkembang biak dan akan membunuh binatang
percobaan.
4. VIRULENSI KUMAN
Kuman – kuman berbeda kemampuannya
dalam berkembang biak dan merusak
jaringan paru, hal ini berhubungan dengan
ada atau tidaknya faktor virulensi.
Faktor virulensi yang paling penting
adalah kapsul mukopolisakarida dari
kuman; kapsul ini mencegah fagositosis
oleh makrofag dan netrofil.
STATUS PERTAHANAN TUAN RUMAH
Bila kuman sudah masuk ke dalam saluran nafas
bagian bawah maka yang berperanan adalah
sistem transport mukosilier, makrofag, faktor
humoral immunoglobulin dan surfaktan.
Silia dari epitel mukosa bronkus makin ke perifer
akan makin berkurang. Satu sel rata - rata
mempunyai 200 silia. Silia bergerak 1000 kali
permenit ke atas cepat, ke bawah lambat.
KLASSIFIKASI PNEUMONIA
 Klassifikasi pneumonia secara garis besar dapat
dibagi :
1. Berdasarkan klinis dan epidemiologis
a. Pneumonia komuniti (Community
Acquired Pneumonia = CAP)
b. Pneumonia Nosokomial (Hospital Acquired
Pneumonia)
c. Pneumonia Aspirasi
d. Pneumonia pada penderita
Immunocompromised
2. Berdasarkan bakteri penyebab
a. Pneumonia tipikal : akut, demam tinggi,
menggigil, batuk produktif, nyeri dada.
Radiologis lobar atau segmental, leukositosis,
bakteri Gram positif. Biasanya disebabkan
bakteri ekstraseluler, S. pneumonia, S. piogenes
dan H. influenza.
b. Pneumonia Atipikal : tidak akut, demam tanpa
menggigil, batuk kering, sakit kepala, nyeri otot,
ronkhi basah yang difus, leukositosis ringan.
Penyebab biasanya; Mycoplasma pneumoniae,
Legionella pneumophila, Chlamydia pneumoniae
c. Pneumonia Virus
d. Jamur
3. Berdasarkan predileksi lokasi / luasnya infeksi :
a. Pneumonia Lobaris
b. Bronkopneumonia
c. Pneumonia Interstitialis
Pada umumnya klassifikasi yang
banyak/sering dipakai adalah :
 Pneumonia Komuniti (CAP)
 Pneumonia Nosokomial (HAP)
PATOLOGI
Kuman yang telah masuk ke dalam parenkim
paru akan berkembang biak dengan cepat masuk
ke dalam alveoli dan menyebar ke alveoli - alveoli
lain melalui pori interalveolaris dan percabangan
bronkus.
Selanjutnya pneumonia karena pneumokokkus
ini akan mengalami 4 stadium yang overlapping;
Stadium engorgment, Stadium hepatisasi merah,
Stadium hepatisasi kelabu dan Statium resolusi.
1. Stadium Engorgment
kapiler di dinding alveoli mengalami kongesti dan
alveoli berisi cairan oedem. Bakteri berkembang
biak tanpa hambatan
2. Stadium Hepatisasi Merah
kapiler yang telah mengalami kongesti disertai
dengan diapedesis dari sel - sel eritrosit
3. Stadium Hepatisasi Kelabu
alveoli dipenuhi oleh eksudat dan kapiler menjadi
terdesak dan jumlah leukosit meningkat. Dengan
adanya eksudat yang mengandung leukosit ini
maka perkembang biakan kuman menjadi
terhalang bahkan kuman – kuman pada stadium ini
akan di fagositosis. Pada stadium ini akan
terbentuk antibodi.
4. Stadium Resolusi
Dicapai bila tubuh berhasil membinasakan kuman.
Makrofag akan terlihat dalam alveoli beserta sisa –
sisa sel. Yang khas adalah tidak adanya kerusakan
dinding alveoli dan jaringan interstitial. Arsitektur
paru kembali normal
Luasnya jaringan paru yang terkena selain tergantung
kepada jumlah dan virulensi kuman, daya tahan
tubuh juga tergantung kepada :
Kemampuan / kecenderungan kuman untuk
merangsang timbulnya cairan oedem yang banyak.
S. pneumoniaeS. pneumoniae Cairan oedem banyakCairan oedem banyak
Pneumonia LobarisPneumonia Lobaris
Pada pneumonia karena :
Stafilokokus piogenes
Klebsiella pneumoniae (Friedlander’s basillus)
cenderung terjadi kerusakan jaringan nekrosis
parenkim paru sehingga sering terjadi Abses paru dan
empiema
Friedlander’s pneumonia :
Sering mengenai lobus atas atau lebih dari satu lobus
Bisa berbentuk fibrokavernosa sehingga menyerupai TB
paru
PNEUMONIA KOMUNITI
Pneumonia yang didapat di masyarakat (di luar
rumah sakit) yang merupakan masalah kesehatan
yang menimbulkan angka kesakitan dan angka
kematian yang tinggi di dunia.
Penyebab terbanyak selama ini adalah S.
pneumonia.
Pneumokokkus terdapat 20 – 40% di daerah
nasofaring orang normal.
PNEUMONIA NASOKOMIAL
Pneumonia nasokomial hospital aquiret pneumoni
(HAP) adalah pneumoni yang terjadi setelah pasien
48 jam dirawat di RS dansingkirkan infeksi sebelum
masuk RS
Etiologi dapat disebabkan oleh kuman multi drug
resisten (MDR) seperti: pseudomonas aurogenosa,
escherichia coli, acinebacter spp, metichilin resistance
stapilococus aureus (MRSA).
FAKTOR PREDISPOSISI
Faktor yang berhubungan dengan daya
tahan tubuh.
Faktor eksogen seperti ; pembedahan,
penggunaan antibiotik, peralatan terapi
pernapasan,penggunaan slang nasogastrik,
lingkungan rumah sakit
DIAGNOSIS PNEUMONIA
NASOKOMIAL
Menurut kriteria the centers for diseses control
(CDC):
1. Terjadi setelah 48 jam dirawat di RS dan
menyingkirkan semua infeksi yg inkubasinya
terjadi pada waktu masuk RS
2. Foto torak terdapat infiltrat baru atau progresif
3. Ditambah 2 dari kriteria berikut : suhu tubuh
>38 0C, sekret purulen, leukositosis
GAMBARAN KLINIS
pneumonia
 Diantara faktor – faktor resiko yang telah
dikemukakan di atas, faktor resiko yang paling
sering adalah infeksi saluran nafas bagian atas
(50%).
 Setelah + 1 minggu temperatur mendadak
meningkat, kadang – kadang disertai menggigil
Nyeri pleuritik pada daerah lobus yang terkena
Batuk – batuk yang disertai dahak seperti karat besi
(rusty sputum)
Sputum kadang – kadang purulen, kadang kadang
berbercak / garis darah
Myalgia
Herpes simplex pada daerah bibir pada hari – hari
pertama
PEMERIKSAAN FISIS
Penderita sakit berat
Kadang-kadang cyanosis
Nafas cepat dan dangkal
Kadang-kadang ada nafas cuping hidung
Adanya herpes simplex disekitar bibir
Demam dan nadi cepat
TORAKS
Terdapat tanda – tanda konsolidasi jaringan paru.
Kelainan yang ditemukan tergantung kepada
luasnya jaringan paru yang terkena.
Dari kasus – kasus yang dirawat di rumah sakit
yang juga mempunyai kelainan radiologis hanya
1/3 yang memperlihatkan tanda – tanda
konsolidasi jaringan paru dari pemeriksaan fisis.
Adapun kelainan fisis yang mungkin ditemukan :
Bagian yang sakit tertinggal dalam pernafasan
Fremitus meningkat
Pada perkusi redup / pekak
Adanya pleural friction rub
Nafas bronkial
Ronkhi basah
LABORATORIUM
SPUTUM
Banyak leukosit PMN
Adanya diplokokus Gram (+)
kalau disuntikkan kedalam rongga peritonium
tikus
tikus mati dalam 8 jam dan ada diplokokus
Baru diagnostik
Kultur sputum
LABORATORIUMDARAH
Leukosit 10.000 – 15.000 / mm3
tidak > 30.000 / mm3
akan tetapi + 20% kasus leukosit bisa normal
Kalau leukosit < 3000 / mm3
prognosa jelek
Hitung jenis (diff. Count) leukosit, neutrofil batang
banyak
LED / ESR / BBS sangat tinggi
Bilirubin serum
kultur darah (+) pada 20 – 30%
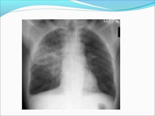
RADIOLOGIS
Setiap lobus bisa terkena sebagian atau seluruhnya
Yang sering lobus bawah
Perselubungan yang relatif homogen pada daerah
yang terkena
Pneumonia
Lobaris
Pneumonia
Lobularis
(Bronkopneumonia)
Pneumonia
Segmentalis
PA PALat Lat
Yang terkena :
LOBUS MEDIUS
Yang terkena :
LOBUS BAWAH
DIAGNOSA
Apakah ada pneumonia / tidak
Jenis pneumonianya :
Anatomi
Kausanya
Untuk pneumonia lobaris bisa dengan pemeriksaan
fisis, tapi umumnya diperlukan peneriksaan radiologi
toraks PA dan Lateral
Untuk pneumonia segmentalis dan lobularis
(bronkopneumonia), diperlukan pemeriksaan
radiologis
Pada pneumonia lobaris tidak perlu selalu mengenai
keseluruhan satu lobus
Untuk Menentukan Kausanya
Diperlukan Pemeriksaan :
Sputum
Langsung
Kultur
jika sputum susah didapat, dapat dilakukan:
Apusan faring
Apusan laring
Aspirasi trakhea (Pneumonia Nosokomial)
Kultur darah
Cairan pleura (kalau ada)
Urine (Legionella)
Pada keadaan – keadaan tertentu dimana
pemeriksaan – pemeriksaan di atas tidak memberikan
hasil diperlukan tindakan yang invasif :
Aspirasi trakhea
Bronkoskopi
Transtorakal biopsi
Transbronkial biopsi
Biopsi paru secara langsung
Pemeriksaan – pemeriksaan untuk
menentukan kuman penyebab pneumonia
dalam kenyataannya tidak selalu dilakukan.
Pemeriksaan ini hanya dilakukan pada
Pneumonia Komuniti yang berat dan
Pneumonia Nosokomial.
DIAGNOSA BANDING
1. INFARK PARU
2. PLEURITIS EKSUDATIVA KARENA TB
3. CA PARU
1. INFARK PARU
 Immobilisasi lama
 Flebitis
 Hemoptisis tanpa sputum
 Nyeri pleuritis lebih dari satu tempat
 Adanya kelainan radiologis baru, selama pengobatan
pneumonia
3. CA PARU
Ca. paru yang menyumbat lumen bronkus
pneumonia, sehingga bayangan Ca tidak
terlihat.
dengan antibiotika gambaran pneumonia
menghilang akan terlihat bayangan hilus
yang membesar Ca. paru
(bisa dipastikan dengan bronkoskopi)
2. PLEURITIS EKSUDATIVA KARENA TB
 Terutama pada stadium permulaan
 Jika pneumonia juga disertai efusi pleura
(parapneumonic effusion)
jika riwayat infeksi saluran nafas atas (-)
 Batuk batuk tanpa sputum, Leukosit normal, cairan
pleura banyak, limfosit banyak dalam cairan pleura.
Besar kemungkinan efusi pleura
karena TB
Kadang-kadang kelainan radiologis susah
dibedakan antara Pneumonia dan TB Paru
PNEUMONIA :
Batas kurang tegas
Kurang padat
Dibanding TB Paru
Kadang-kadang terpaksa diberi pengobatan (TB dan
non TB) dan disertai pemeriksaan radiologis sekali
seminggu
PNEUMONIA
Perbaikan akan terlihat setelah 1 – 2 minggu
Bersih setelah 3 – 4 minggu
TB PARU
Tidak ada perbaikan sebelum 4 minggu
Bersih / menghilang setelah 3 – 4 bulan atau lebih
Penilaian Derajat Keparahan Pneumonia
Sistem skor pada pneumonia komuniti berdasarkan
Patient Outcome Research Team (PORT). Penilaian
skor PORT ini meliputi, faktor demografi seperti
usia, jenis kelamin, penyakit penyerta, juga hasil
pemeriksaan fisik dan pemeriksaan
laboratorium/radiologi. "Jika skor lebih dari 70
penderita harus dirawat inap
1. Faktor demografi
 Laki-laki, nilainya = umur (tahun) – 10
 Perempuan, nilainya = umur (tahun)
 Perawatan di rumah, nilainya 10
2. Adanya penyakit penyerta berupa :
Keganasan, nilainya 30
Penyakit hati, nilainya 20
Gagal jantung kongestif, nilainya 10
Penyakit CV, nilainya 10
Penyakit ginjal, nilainya 10
3. Pemeriksaan fisis
Perubahan status mental, nilainya 20
Pernapasan lebih dari atau sama dengan 30 kali per
menit, nilainya 20
Tekanan darah sistolik kurang dari atau sama dengan
90 mmHg, nilainya 20
Suhu tubuh kurang dari 35°C atau lebih dari atau
sama dengan 40°C, nilainya 15
Nadi lebih dari atau sama dengan 125 kali per menit,
nilainya 10
Hasil laboratorium / radiologi
Analisis gas darah arteri didapatkan pH sebesar
7,35, nilainya 30
Natrium kurang dari 130 mEq/liter, nilainya 20
Glukosa lebih dari 250 mg/dl, nilainya 10
Hematokrit kurang dari 30 %, nilainya 10
PO2 kurang dari atau sama dengan 60 mmHg,
nilainya 10
Efusi pleura, nilainya 10
Penatalaksanaan Pneumonia
Indikasi rawat inap penderita pneumonia,
menurut skala port antara lain:
Skor PORT lebih dari 70
Bila skor PORT kurang dari 70, dengan kriteria
seperti pada kriteria minor.
Pneumonia pada pengguna NAPZA
berdasarkan ATS.
Kriteria pneumonia berat bila dijumpai salah satu
atau lebih dari kriteria di bawah ini.
Kriteria Minor Pneumonia
Frekuensi pernapasan lebih dari 30 kali per menit
PaO2/FiO2 kurang dari 250 mmHg
Foto toraks paru menunjukkan adanya kelainan bilateral
Foto toraks paru melibatkan lebih dari 2 lobus
Tekanan sistolik kurang dari 90 mmHg
Tekanan diastolik kurang dari 60 mmHg
Kriteria Mayor Pneumonia
Membutuhkan ventilasi mekanik
Infiltrat bertambah lebih dari 50 %
Membutuhkan vasopressor lebih dari 4 jam
Kreatinin serum lebih dari sama dengan 2 mg/dl;
atau, peningkatan lebih dari sama dengan 2 mg/dl
pada penderita riwayat penyakit ginjal atau gagal
ginjal yang membutuhkan dialisis.
Kriteria perawatan intensif antara lain:
Paling sedikit 1 dari 2 gejala minor tertentu, yaitu
membutuh ventilasi mekanik; atau, membutuhkan
vasopresor lebih dari 4 jam.
Atau 2 dari 3 gejala minor tertentu, yaitu nilai
PaO2/FiO2 kurang dari 250 mmHg; foto toraks
menunjukkan adanya kelainan bilateral; dan, tekanan
sistolik kurang dari 90 mmHg.
Pengobatan Pneumonia
Pengobatan terdiri atas antibiotik dan
pengobatan suportif. Pemberian antibiotik
sebaiknya berdasarkan data mikroorganisme dan
hasil uji kepekaannya.
Pemberian antibiotik diberikan secara empiris,
karena beberapa alasan, yaitu:
Penyakit yang berat dapat mengancam jiwa
Bakteri patogen yang berhasil di isolasi belum
tentu sebagai penyebab pneumonia
Hasil pembiakan bakteri memerlukan waktu
PNEUMONIA: TERAPI BERDASARKAN BAKTERI PENYEBAB
BAKTERIBAKTERI TERAPI PILIHANTERAPI PILIHAN TERAPI ALTERNATIFTERAPI ALTERNATIF
Pneumococcus,Pneumococcus,
Streptococcus,Staphyloco-Streptococcus,Staphyloco-
Ccus (Penisilinase - )Ccus (Penisilinase - )
MeningococcusMeningococcus
Penecilin GPenecilin G Cefazolin, cefotiam, ceftriaxonCefazolin, cefotiam, ceftriaxon
Staphylococcus (PenisilinaseStaphylococcus (Penisilinase
+)+)
CefazolinCefazolin Flucloxacilin, Clindamysin, Vancomisin,Flucloxacilin, Clindamysin, Vancomisin,
TeicoplaninTeicoplanin
Klebsiella PneumoniaKlebsiella Pneumonia CefotaximCefotaxim
+ Gentamicin+ Gentamicin
Imipenem, CiprofloxacinImipenem, Ciprofloxacin
Pseudomonas aeruginosaPseudomonas aeruginosa Azlocilin +Azlocilin +
+ Tobramysin+ Tobramysin
Ceftazidim, Cefsulodin, piperacilin, impipenem,Ceftazidim, Cefsulodin, piperacilin, impipenem,
aztreonam, ciprofloxacin, amikacinaztreonam, ciprofloxacin, amikacin
Haemophilus influenzaeHaemophilus influenzae ceftriaxonceftriaxon Mezlocilin, piperacilin, amoxicilin, cefotiamMezlocilin, piperacilin, amoxicilin, cefotiam
Jenis BacteroidesJenis Bacteroides imipenemimipenem Clindamycin, metronidazol, cefoxitinClindamycin, metronidazol, cefoxitin
Mycoplasma pneumoniae,Mycoplasma pneumoniae,
chlamydia pneumoniae,chlamydia pneumoniae,
chlamydia psittaci, coxiellachlamydia psittaci, coxiella
burnetiiburnetii
doxycyclindoxycyclin Erythromycin (hanya mykoplasma),pada orangErythromycin (hanya mykoplasma),pada orang
dewasa ciprofloxacindewasa ciprofloxacin
Legionella pneumophilaLegionella pneumophila ClarithromycinClarithromycin Erythromycin + rimfampicinErythromycin + rimfampicin
Chlamydia trachomatisChlamydia trachomatis ClarithromycinClarithromycin roxithromycinroxithromycin
Pneumocystis cariniiPneumocystis carinii Co-TrimoxazolCo-Trimoxazol Dapson + Folicacid atau TrimetrexatDapson + Folicacid atau Trimetrexat
KRITERIA MASUK RUMAH SAKIT secara
umum
1. Umur diatas 65 tahun
2. Ada penyakit penyerta; misalnya jantung, ginjal,
paru yang lain, DM, neoplasma dan
immunosupression
3. Leukopenia ( < 3000 / mm3
)
4. Diduga disebabkan oleh :
Stafilokokkus aureus
Kuman Gram negatif
Kuman anaerob
4. Komplikasi supuratif :
 Empiema
 Arthritis
 Meningitis
4. Gagal dengan terapi obat jalan
7. Tidak bisa menelan obat (oral)
8. Frekwensi nafas > 30 kali / menit
9. Frekwensi nadi > 140 kali / menit
10. Hipotensi ( < 90 mmHg )
11. PaO2 kurang dari 60 mmHg
12. Perubahan status mental
TINDAKAN UMUM
Kalau sianosis beri O2 (Hati-hati pada bronkitis
kronis)
Posisi yang paling menyenangkan penderita. Biasanya
setengah duduk
Minum harus banyak karena cairan banyak keluar :
Pernafasan
Keringat banyak
Menggerakkan kaki secara aktif beberapa kali sehari
untuk mencegah trombosis
Analgesik
Parasetamol
Morfin kalau nyeri hebat sekali
jangan diberikan pada:
 Yang ada bronkitis kronis
 Sputum banyak
PENGOBATAN PNEUMONIA
Pengobatan pneumonia idealnya tentu berdasarkan
kepada kuman penyebabnya. untuk maksud tersebut
bisa dilakukan pemeriksaan sputum langsung dengan
pewarnaan Gram atau kultur. Juga bisa dengan
pemeriksaan kultur darah, pemeriksaan serologis dll.
 Akan tetapi pemeriksaan bakteriologis ini tidak
rutin dilakukan dengan alasan – alasan sebagai
berikut ;
1. Pemeriksaan ini sukar untuk dilakukan pada
penderita berobat jalan
2. Hasilnya tidak spesifik dan sensitivitinya masih
dipertanyakan.
3. Pengobatan harus segera diberikan sebelum hasil
pemeriksaan bakteriologis didapat, berdasarkan
kemungkinan kuman penyebab pneumonia
komuniti
Dari salah satu penelitian terhadap CAP :
50% tidak ditemukan kuman penyebabnya.
25% S. pneumoniae
10% virus
10% mycoplasma, Legionella dan Chlamidia.
7% H. influenza.
Hanya 1% kuman Gram (-) dan dan S. aureus
UNTUK PENGOBATAN PNEUMONIA KOMUNITI
( CAP )
PILIHAN PERTAMA SECARA EMPIRIS
(tergantung kepada resistensi lokal dari kuman, alergi
penderita, harga dan efek samping obat) adalah
golongan aminopenicillin :
Ampisillin
Amoxicillin
SEBAGAI ALTERNATIF :
Tetrasiklin
Sefalosforin oral
Quinolon (generasi ketiga)
Makrolide (Erithromicin)
PADA KEADAAN TERTENTU :
Pada penyakit yang ringan, mengenai orang
muda terutama pada epidemi Mycoplasma
pneumoniae
Makrolide
Pada daerah dimana ditemukan banyak H.
influenza yang menghasilkan Beta laktamase,
adanya penyakit paru kronik, baru mendapat
atau gagal dengan aminopenicillin
Aminopenicillin + Asam klavulanac
Lama pengobatan 7 – 10 hari.
Kalau demam tidak turun dalam 2 hari, penderita
harus datang kembali.
Keluhan mungkin akan berlangsung lebih lama dari
masa pemberian antibiotika.
KOMPLIKASI
 Efusi pleura (Parapneumonic effusion)
 Empiema
 Abses paru
 Bronkiektasis
 Pericarditis
 Meningitis
Pneumothoraks
Gagal napas
Sepsis
PROGNOSA
Tahun 1929 – 1935 sebelum adanya antibiotika Boston
City Hospital angka survival setelah terkena
pneumonia 17%
Setelah adanya pemberian obat (antisera), serum dari
orang / binatang yang telah penderita pneumonia
angka survival 53%
Tahun 1952 – 1962 setelah ada antibiotika antara lain
penicillin angka survival 85%
JUGA TERGANTUNG KEPADA
Berat ringannya penyakit :
1 lobus, dengan AB 1%
2 atau 3 lobus
leukopeni 10%
bakterimia
4 dari 5 lobus 50%
Kuman penyebab
Stafilokokus
pada epidemi influenza JELEK
Klebsiella pneumonia
Adanya penyakit lain / faktor lain
Bronkitis kronis
Bayi
Orang tua
Penderita dirawat
Penyakit berat 10%
Orang tua
akan tetapi dibanding dengan zaman sebelum
Antibiotika
Lebih baik
Pneumonia

Pneumonia

  • 1.
  • 2.
    DEFINISI Pneumonia adalah infeksiparenkim paru. Dulu disebut juga “pneumonitis”. Akan tetapi dewasa ini istilah pneumonitis dipakai untuk peradangan paru yang disebabkan oleh non mikroorganisme. Misalnya disebabkan oleh bahan kimia, radiasi, bahan toksik dll.
  • 3.
    ETIOLOGIPneumonia dapat disebabkanoleh berbagai macam mikroorganisme yaitu : Bakteri, Virus, Jamur dan Protozoa. Akan tetapi tidak selalu penyebab dari pneumonia dapat diidentifikasi. 30 % sampai 65% dari pneumonia tidak bisa dipastikan penyebabnya walaupun telah dilakukan kultur sputum dan darah.
  • 4.
    WHO 1999, penyebabkematian tertinggi akibat penyakit infeksi di dunia adalah infeksi saluran pernapasan akut, termasuk pneumonia dan influenza. Pneumonia komuniti merupakan penyebab kematian utama akibat infeksi pada orang dewasa di Amerika Serikat, angka kematian 15%
  • 7.
  • 8.
    1. Bakteri Streptokokkus pneumoniae Stafilokokusaureus Stafilokokus piogenes Klebsiella pneumonia (Friedlander bacillus) Escherichia Coli Pseudomonas aeruginosa
  • 9.
    2. Virus Influenza Para influenza RSV(respiratory syncytial virus) Adenovirus
  • 10.
    3. Jamur Candida albican Actinomycesisraeli Aspergillus fumigatus Histoplasma capsulatum
  • 11.
    4. Protozoa Pneumocystis carinii (seringpada penderita AIDS) Toxoplasma gondii
  • 12.
    FAKTOR RESIKO PNEUMONIA 1.Umur > 65 tahun 2. Tinggal di rumah perawatan tertentu (panti jompo) 3. Alkoholismus : meningkatkan resiko kolonisasi kuman, mengganggu refleks batuk, mengganggu transport mukosiliar dan gangguan terhadap pertahanan sistem seluler
  • 13.
    4. Malnutrisi :menurunkan immunoglobulin A dan gangguan terhadap fungsi makrofag. 5. Kebiasaan merokok juga mengganggu transport mukosiliar dan sistem pertahanan selular dan humoral. 6. Keadaan kemungkinan terjadinya aspirasi misalnya gangguan kesadaran, penderita yang sedang diintubasi
  • 14.
    7. Adanya penyakit– penyakit penyerta : PPOK, kardiovaskuler, DM, gangguan neurologis. 8. Infeksi saluran nafas bagian atas : + 1/3 – ½ pneumonia didahului oleh infeksi saluran nafas bagian atas / infeksi virus
  • 15.
    PATOGENESA Pneumonia terjadi bilakuman masuk parenkim paru, berkembang biak dan menimbulkan peradangan. Masuknya kuman ke jaringan paruMasuknya kuman ke jaringan paru :: 1.1. Aspirasi sekret orofaring yangAspirasi sekret orofaring yang mengandung kumanmengandung kuman 2.2. Inhalasi dari aerosol yang mengandungInhalasi dari aerosol yang mengandung kumankuman
  • 16.
    3. Penyebaran melaluialiran darah dari tempat lain di luar paru misalnya endokarditis 4. Penyebaran langsung ke dalam paru : a. Intubasi trakhea b. Luka tembus yang mengenai paru
  • 17.
    Dalam keadaan normalsaluran nafas bagian bawah steril. Hal ini disebabkan sistem pertahanan tubuh : Anatomi dari saluran nafas. Cairan yang melapisi mukosa hidung, faring dan saluran nafas bagian bawah. Adanya refleks bersin dan batuk Sistem transportasi mukosilier dari epitel bronkus Sistem pertahanan saluran nafas secara seluler dan humoral
  • 18.
    Paru selalu terpaparoleh kuman – kuman saluran nafas bagian atas (aspirasi) dan juga secara aerosol dari luar. Akan tetapi kenyataannya pneumonia jarang terjadi.
  • 19.
    1. ASPIRASI Dalam keadaannormal 50% orang – orang mengalami aspirasi sekret orofaring pada waktu tidur, terutama pada waktu tidur yang dalam. Angka ini meningkat sampai 70% pada orang – orang yang mengalami gangguan kesadaran : Alkoholismus, pecandu narkoba, kejang – kejang, stroke dan anestesi umum
  • 20.
    Teori yang banyakdianut sekarang menyatakan bahwa pneumonia terjadi bila kuman yang telah membentuk koloni di daerah naso orofaring teraspirasi ke dalam paru berkembang biak dan menimbulkan pneumonia. Terjadi aspirasi kuman dalamTerjadi aspirasi kuman dalam jumlah yang banyakjumlah yang banyak
  • 21.
    2. KOLONISASI Untuk terjadinyakolonisasi kuman di daerah naso orofaring, kuman yang ada disana harus melekat ke sel – sel mukosa dan dalam keadaan normal hal ini tidak mudah terjadi.
  • 22.
    Dalam suatu penelitiankuman – kuman Gram negatif jadi mudah melekat pada sel – sel mukosa bila terjadi : penurunan fibronectine (sejenis glycoprotein) pada permukaan sel mukosa yang berfungsi menghalangi melengketnya kuman pada permukaan sel mukasa meningkatnya protease (enzim yang merusak fibronectine dalam saliva)
  • 23.
    BACTERIAL CLEARANCE Proses yangmampu mengeliminasi kuman yang telah masuk ke dalam saluran nafas bagian bawah sebelum berkembang biak dan menimbulkan penyakit disebut “bacterial clearance”
  • 24.
    Proses bacterial clearancemeliputi : 1. Kemampuan mengeluarkan kuman dari paru 2. Kemampuan memfagositosis dan membunuh kuman 3. Kecepatan kuman berkembang biak
  • 25.
    Faktor – faktoryang menentukan bacterial clearance adalah : Besarnya inokolum dari kuman Virulensi dari kuman Status pertahanan host (tuan rumah) Dapat disimpulkan : terjadi atau tidaknya pneumonia tergantung kepada berhasil atau gagalnya bacterial clearance ini
  • 26.
    3. INOKULUM KUMAN Besarnyainokulum kuman yang bisa menimbulkan penyakit pada manusia belum diketahui. Percobaan binatang : S. aureus 105 akan dibersihkan dalam 4 jam. S. aureus 106 akan dibersihkan dalam 8 jam. S. aureus 108 tidak bisa dibersihkan, kuman akan berkembang biak dan akan membunuh binatang percobaan.
  • 27.
    4. VIRULENSI KUMAN Kuman– kuman berbeda kemampuannya dalam berkembang biak dan merusak jaringan paru, hal ini berhubungan dengan ada atau tidaknya faktor virulensi. Faktor virulensi yang paling penting adalah kapsul mukopolisakarida dari kuman; kapsul ini mencegah fagositosis oleh makrofag dan netrofil.
  • 28.
    STATUS PERTAHANAN TUANRUMAH Bila kuman sudah masuk ke dalam saluran nafas bagian bawah maka yang berperanan adalah sistem transport mukosilier, makrofag, faktor humoral immunoglobulin dan surfaktan. Silia dari epitel mukosa bronkus makin ke perifer akan makin berkurang. Satu sel rata - rata mempunyai 200 silia. Silia bergerak 1000 kali permenit ke atas cepat, ke bawah lambat.
  • 29.
    KLASSIFIKASI PNEUMONIA  Klassifikasipneumonia secara garis besar dapat dibagi : 1. Berdasarkan klinis dan epidemiologis a. Pneumonia komuniti (Community Acquired Pneumonia = CAP) b. Pneumonia Nosokomial (Hospital Acquired Pneumonia) c. Pneumonia Aspirasi d. Pneumonia pada penderita Immunocompromised
  • 30.
    2. Berdasarkan bakteripenyebab a. Pneumonia tipikal : akut, demam tinggi, menggigil, batuk produktif, nyeri dada. Radiologis lobar atau segmental, leukositosis, bakteri Gram positif. Biasanya disebabkan bakteri ekstraseluler, S. pneumonia, S. piogenes dan H. influenza.
  • 31.
    b. Pneumonia Atipikal: tidak akut, demam tanpa menggigil, batuk kering, sakit kepala, nyeri otot, ronkhi basah yang difus, leukositosis ringan. Penyebab biasanya; Mycoplasma pneumoniae, Legionella pneumophila, Chlamydia pneumoniae c. Pneumonia Virus d. Jamur
  • 32.
    3. Berdasarkan predileksilokasi / luasnya infeksi : a. Pneumonia Lobaris b. Bronkopneumonia c. Pneumonia Interstitialis Pada umumnya klassifikasi yang banyak/sering dipakai adalah :  Pneumonia Komuniti (CAP)  Pneumonia Nosokomial (HAP)
  • 33.
    PATOLOGI Kuman yang telahmasuk ke dalam parenkim paru akan berkembang biak dengan cepat masuk ke dalam alveoli dan menyebar ke alveoli - alveoli lain melalui pori interalveolaris dan percabangan bronkus. Selanjutnya pneumonia karena pneumokokkus ini akan mengalami 4 stadium yang overlapping; Stadium engorgment, Stadium hepatisasi merah, Stadium hepatisasi kelabu dan Statium resolusi.
  • 35.
    1. Stadium Engorgment kapilerdi dinding alveoli mengalami kongesti dan alveoli berisi cairan oedem. Bakteri berkembang biak tanpa hambatan 2. Stadium Hepatisasi Merah kapiler yang telah mengalami kongesti disertai dengan diapedesis dari sel - sel eritrosit
  • 36.
    3. Stadium HepatisasiKelabu alveoli dipenuhi oleh eksudat dan kapiler menjadi terdesak dan jumlah leukosit meningkat. Dengan adanya eksudat yang mengandung leukosit ini maka perkembang biakan kuman menjadi terhalang bahkan kuman – kuman pada stadium ini akan di fagositosis. Pada stadium ini akan terbentuk antibodi.
  • 37.
    4. Stadium Resolusi Dicapaibila tubuh berhasil membinasakan kuman. Makrofag akan terlihat dalam alveoli beserta sisa – sisa sel. Yang khas adalah tidak adanya kerusakan dinding alveoli dan jaringan interstitial. Arsitektur paru kembali normal
  • 38.
    Luasnya jaringan paruyang terkena selain tergantung kepada jumlah dan virulensi kuman, daya tahan tubuh juga tergantung kepada : Kemampuan / kecenderungan kuman untuk merangsang timbulnya cairan oedem yang banyak. S. pneumoniaeS. pneumoniae Cairan oedem banyakCairan oedem banyak Pneumonia LobarisPneumonia Lobaris
  • 39.
    Pada pneumonia karena: Stafilokokus piogenes Klebsiella pneumoniae (Friedlander’s basillus) cenderung terjadi kerusakan jaringan nekrosis parenkim paru sehingga sering terjadi Abses paru dan empiema
  • 40.
    Friedlander’s pneumonia : Seringmengenai lobus atas atau lebih dari satu lobus Bisa berbentuk fibrokavernosa sehingga menyerupai TB paru
  • 41.
    PNEUMONIA KOMUNITI Pneumonia yangdidapat di masyarakat (di luar rumah sakit) yang merupakan masalah kesehatan yang menimbulkan angka kesakitan dan angka kematian yang tinggi di dunia. Penyebab terbanyak selama ini adalah S. pneumonia. Pneumokokkus terdapat 20 – 40% di daerah nasofaring orang normal.
  • 42.
    PNEUMONIA NASOKOMIAL Pneumonia nasokomialhospital aquiret pneumoni (HAP) adalah pneumoni yang terjadi setelah pasien 48 jam dirawat di RS dansingkirkan infeksi sebelum masuk RS Etiologi dapat disebabkan oleh kuman multi drug resisten (MDR) seperti: pseudomonas aurogenosa, escherichia coli, acinebacter spp, metichilin resistance stapilococus aureus (MRSA).
  • 43.
    FAKTOR PREDISPOSISI Faktor yangberhubungan dengan daya tahan tubuh. Faktor eksogen seperti ; pembedahan, penggunaan antibiotik, peralatan terapi pernapasan,penggunaan slang nasogastrik, lingkungan rumah sakit
  • 44.
    DIAGNOSIS PNEUMONIA NASOKOMIAL Menurut kriteriathe centers for diseses control (CDC): 1. Terjadi setelah 48 jam dirawat di RS dan menyingkirkan semua infeksi yg inkubasinya terjadi pada waktu masuk RS 2. Foto torak terdapat infiltrat baru atau progresif 3. Ditambah 2 dari kriteria berikut : suhu tubuh >38 0C, sekret purulen, leukositosis
  • 45.
    GAMBARAN KLINIS pneumonia  Diantarafaktor – faktor resiko yang telah dikemukakan di atas, faktor resiko yang paling sering adalah infeksi saluran nafas bagian atas (50%).  Setelah + 1 minggu temperatur mendadak meningkat, kadang – kadang disertai menggigil
  • 46.
    Nyeri pleuritik padadaerah lobus yang terkena Batuk – batuk yang disertai dahak seperti karat besi (rusty sputum) Sputum kadang – kadang purulen, kadang kadang berbercak / garis darah Myalgia Herpes simplex pada daerah bibir pada hari – hari pertama
  • 47.
    PEMERIKSAAN FISIS Penderita sakitberat Kadang-kadang cyanosis Nafas cepat dan dangkal Kadang-kadang ada nafas cuping hidung Adanya herpes simplex disekitar bibir Demam dan nadi cepat
  • 48.
    TORAKS Terdapat tanda –tanda konsolidasi jaringan paru. Kelainan yang ditemukan tergantung kepada luasnya jaringan paru yang terkena. Dari kasus – kasus yang dirawat di rumah sakit yang juga mempunyai kelainan radiologis hanya 1/3 yang memperlihatkan tanda – tanda konsolidasi jaringan paru dari pemeriksaan fisis.
  • 53.
    Adapun kelainan fisisyang mungkin ditemukan : Bagian yang sakit tertinggal dalam pernafasan Fremitus meningkat Pada perkusi redup / pekak Adanya pleural friction rub Nafas bronkial Ronkhi basah
  • 54.
    LABORATORIUM SPUTUM Banyak leukosit PMN Adanyadiplokokus Gram (+) kalau disuntikkan kedalam rongga peritonium tikus tikus mati dalam 8 jam dan ada diplokokus Baru diagnostik Kultur sputum
  • 55.
    LABORATORIUMDARAH Leukosit 10.000 –15.000 / mm3 tidak > 30.000 / mm3 akan tetapi + 20% kasus leukosit bisa normal Kalau leukosit < 3000 / mm3 prognosa jelek Hitung jenis (diff. Count) leukosit, neutrofil batang banyak LED / ESR / BBS sangat tinggi Bilirubin serum kultur darah (+) pada 20 – 30%
  • 56.
    RADIOLOGIS Setiap lobus bisaterkena sebagian atau seluruhnya Yang sering lobus bawah Perselubungan yang relatif homogen pada daerah yang terkena
  • 57.
  • 58.
    PA PALat Lat Yangterkena : LOBUS MEDIUS Yang terkena : LOBUS BAWAH
  • 59.
    DIAGNOSA Apakah ada pneumonia/ tidak Jenis pneumonianya : Anatomi Kausanya Untuk pneumonia lobaris bisa dengan pemeriksaan fisis, tapi umumnya diperlukan peneriksaan radiologi toraks PA dan Lateral
  • 60.
    Untuk pneumonia segmentalisdan lobularis (bronkopneumonia), diperlukan pemeriksaan radiologis Pada pneumonia lobaris tidak perlu selalu mengenai keseluruhan satu lobus
  • 61.
    Untuk Menentukan Kausanya DiperlukanPemeriksaan : Sputum Langsung Kultur jika sputum susah didapat, dapat dilakukan: Apusan faring Apusan laring
  • 62.
    Aspirasi trakhea (PneumoniaNosokomial) Kultur darah Cairan pleura (kalau ada) Urine (Legionella)
  • 63.
    Pada keadaan –keadaan tertentu dimana pemeriksaan – pemeriksaan di atas tidak memberikan hasil diperlukan tindakan yang invasif : Aspirasi trakhea Bronkoskopi Transtorakal biopsi Transbronkial biopsi Biopsi paru secara langsung
  • 64.
    Pemeriksaan – pemeriksaanuntuk menentukan kuman penyebab pneumonia dalam kenyataannya tidak selalu dilakukan. Pemeriksaan ini hanya dilakukan pada Pneumonia Komuniti yang berat dan Pneumonia Nosokomial.
  • 65.
    DIAGNOSA BANDING 1. INFARKPARU 2. PLEURITIS EKSUDATIVA KARENA TB 3. CA PARU
  • 66.
    1. INFARK PARU Immobilisasi lama  Flebitis  Hemoptisis tanpa sputum  Nyeri pleuritis lebih dari satu tempat  Adanya kelainan radiologis baru, selama pengobatan pneumonia
  • 67.
    3. CA PARU Ca.paru yang menyumbat lumen bronkus pneumonia, sehingga bayangan Ca tidak terlihat. dengan antibiotika gambaran pneumonia menghilang akan terlihat bayangan hilus yang membesar Ca. paru (bisa dipastikan dengan bronkoskopi)
  • 68.
    2. PLEURITIS EKSUDATIVAKARENA TB  Terutama pada stadium permulaan  Jika pneumonia juga disertai efusi pleura (parapneumonic effusion) jika riwayat infeksi saluran nafas atas (-)  Batuk batuk tanpa sputum, Leukosit normal, cairan pleura banyak, limfosit banyak dalam cairan pleura. Besar kemungkinan efusi pleura karena TB
  • 69.
    Kadang-kadang kelainan radiologissusah dibedakan antara Pneumonia dan TB Paru PNEUMONIA : Batas kurang tegas Kurang padat Dibanding TB Paru Kadang-kadang terpaksa diberi pengobatan (TB dan non TB) dan disertai pemeriksaan radiologis sekali seminggu
  • 70.
    PNEUMONIA Perbaikan akan terlihatsetelah 1 – 2 minggu Bersih setelah 3 – 4 minggu TB PARU Tidak ada perbaikan sebelum 4 minggu Bersih / menghilang setelah 3 – 4 bulan atau lebih
  • 71.
    Penilaian Derajat KeparahanPneumonia Sistem skor pada pneumonia komuniti berdasarkan Patient Outcome Research Team (PORT). Penilaian skor PORT ini meliputi, faktor demografi seperti usia, jenis kelamin, penyakit penyerta, juga hasil pemeriksaan fisik dan pemeriksaan laboratorium/radiologi. "Jika skor lebih dari 70 penderita harus dirawat inap
  • 72.
    1. Faktor demografi Laki-laki, nilainya = umur (tahun) – 10  Perempuan, nilainya = umur (tahun)  Perawatan di rumah, nilainya 10
  • 73.
    2. Adanya penyakitpenyerta berupa : Keganasan, nilainya 30 Penyakit hati, nilainya 20 Gagal jantung kongestif, nilainya 10 Penyakit CV, nilainya 10 Penyakit ginjal, nilainya 10
  • 74.
    3. Pemeriksaan fisis Perubahanstatus mental, nilainya 20 Pernapasan lebih dari atau sama dengan 30 kali per menit, nilainya 20 Tekanan darah sistolik kurang dari atau sama dengan 90 mmHg, nilainya 20 Suhu tubuh kurang dari 35°C atau lebih dari atau sama dengan 40°C, nilainya 15 Nadi lebih dari atau sama dengan 125 kali per menit, nilainya 10
  • 75.
    Hasil laboratorium /radiologi Analisis gas darah arteri didapatkan pH sebesar 7,35, nilainya 30 Natrium kurang dari 130 mEq/liter, nilainya 20 Glukosa lebih dari 250 mg/dl, nilainya 10 Hematokrit kurang dari 30 %, nilainya 10 PO2 kurang dari atau sama dengan 60 mmHg, nilainya 10 Efusi pleura, nilainya 10
  • 76.
    Penatalaksanaan Pneumonia Indikasi rawatinap penderita pneumonia, menurut skala port antara lain: Skor PORT lebih dari 70 Bila skor PORT kurang dari 70, dengan kriteria seperti pada kriteria minor. Pneumonia pada pengguna NAPZA
  • 77.
    berdasarkan ATS. Kriteria pneumoniaberat bila dijumpai salah satu atau lebih dari kriteria di bawah ini. Kriteria Minor Pneumonia Frekuensi pernapasan lebih dari 30 kali per menit PaO2/FiO2 kurang dari 250 mmHg Foto toraks paru menunjukkan adanya kelainan bilateral Foto toraks paru melibatkan lebih dari 2 lobus Tekanan sistolik kurang dari 90 mmHg Tekanan diastolik kurang dari 60 mmHg
  • 78.
    Kriteria Mayor Pneumonia Membutuhkanventilasi mekanik Infiltrat bertambah lebih dari 50 % Membutuhkan vasopressor lebih dari 4 jam Kreatinin serum lebih dari sama dengan 2 mg/dl; atau, peningkatan lebih dari sama dengan 2 mg/dl pada penderita riwayat penyakit ginjal atau gagal ginjal yang membutuhkan dialisis.
  • 79.
    Kriteria perawatan intensifantara lain: Paling sedikit 1 dari 2 gejala minor tertentu, yaitu membutuh ventilasi mekanik; atau, membutuhkan vasopresor lebih dari 4 jam. Atau 2 dari 3 gejala minor tertentu, yaitu nilai PaO2/FiO2 kurang dari 250 mmHg; foto toraks menunjukkan adanya kelainan bilateral; dan, tekanan sistolik kurang dari 90 mmHg.
  • 80.
    Pengobatan Pneumonia Pengobatan terdiriatas antibiotik dan pengobatan suportif. Pemberian antibiotik sebaiknya berdasarkan data mikroorganisme dan hasil uji kepekaannya. Pemberian antibiotik diberikan secara empiris, karena beberapa alasan, yaitu: Penyakit yang berat dapat mengancam jiwa Bakteri patogen yang berhasil di isolasi belum tentu sebagai penyebab pneumonia Hasil pembiakan bakteri memerlukan waktu
  • 81.
    PNEUMONIA: TERAPI BERDASARKANBAKTERI PENYEBAB BAKTERIBAKTERI TERAPI PILIHANTERAPI PILIHAN TERAPI ALTERNATIFTERAPI ALTERNATIF Pneumococcus,Pneumococcus, Streptococcus,Staphyloco-Streptococcus,Staphyloco- Ccus (Penisilinase - )Ccus (Penisilinase - ) MeningococcusMeningococcus Penecilin GPenecilin G Cefazolin, cefotiam, ceftriaxonCefazolin, cefotiam, ceftriaxon Staphylococcus (PenisilinaseStaphylococcus (Penisilinase +)+) CefazolinCefazolin Flucloxacilin, Clindamysin, Vancomisin,Flucloxacilin, Clindamysin, Vancomisin, TeicoplaninTeicoplanin Klebsiella PneumoniaKlebsiella Pneumonia CefotaximCefotaxim + Gentamicin+ Gentamicin Imipenem, CiprofloxacinImipenem, Ciprofloxacin Pseudomonas aeruginosaPseudomonas aeruginosa Azlocilin +Azlocilin + + Tobramysin+ Tobramysin Ceftazidim, Cefsulodin, piperacilin, impipenem,Ceftazidim, Cefsulodin, piperacilin, impipenem, aztreonam, ciprofloxacin, amikacinaztreonam, ciprofloxacin, amikacin Haemophilus influenzaeHaemophilus influenzae ceftriaxonceftriaxon Mezlocilin, piperacilin, amoxicilin, cefotiamMezlocilin, piperacilin, amoxicilin, cefotiam Jenis BacteroidesJenis Bacteroides imipenemimipenem Clindamycin, metronidazol, cefoxitinClindamycin, metronidazol, cefoxitin Mycoplasma pneumoniae,Mycoplasma pneumoniae, chlamydia pneumoniae,chlamydia pneumoniae, chlamydia psittaci, coxiellachlamydia psittaci, coxiella burnetiiburnetii doxycyclindoxycyclin Erythromycin (hanya mykoplasma),pada orangErythromycin (hanya mykoplasma),pada orang dewasa ciprofloxacindewasa ciprofloxacin Legionella pneumophilaLegionella pneumophila ClarithromycinClarithromycin Erythromycin + rimfampicinErythromycin + rimfampicin Chlamydia trachomatisChlamydia trachomatis ClarithromycinClarithromycin roxithromycinroxithromycin Pneumocystis cariniiPneumocystis carinii Co-TrimoxazolCo-Trimoxazol Dapson + Folicacid atau TrimetrexatDapson + Folicacid atau Trimetrexat
  • 82.
    KRITERIA MASUK RUMAHSAKIT secara umum 1. Umur diatas 65 tahun 2. Ada penyakit penyerta; misalnya jantung, ginjal, paru yang lain, DM, neoplasma dan immunosupression 3. Leukopenia ( < 3000 / mm3 )
  • 83.
    4. Diduga disebabkanoleh : Stafilokokkus aureus Kuman Gram negatif Kuman anaerob 4. Komplikasi supuratif :  Empiema  Arthritis  Meningitis 4. Gagal dengan terapi obat jalan
  • 84.
    7. Tidak bisamenelan obat (oral) 8. Frekwensi nafas > 30 kali / menit 9. Frekwensi nadi > 140 kali / menit 10. Hipotensi ( < 90 mmHg ) 11. PaO2 kurang dari 60 mmHg 12. Perubahan status mental
  • 85.
    TINDAKAN UMUM Kalau sianosisberi O2 (Hati-hati pada bronkitis kronis) Posisi yang paling menyenangkan penderita. Biasanya setengah duduk Minum harus banyak karena cairan banyak keluar : Pernafasan Keringat banyak
  • 86.
    Menggerakkan kaki secaraaktif beberapa kali sehari untuk mencegah trombosis Analgesik Parasetamol Morfin kalau nyeri hebat sekali jangan diberikan pada:  Yang ada bronkitis kronis  Sputum banyak
  • 87.
    PENGOBATAN PNEUMONIA Pengobatan pneumoniaidealnya tentu berdasarkan kepada kuman penyebabnya. untuk maksud tersebut bisa dilakukan pemeriksaan sputum langsung dengan pewarnaan Gram atau kultur. Juga bisa dengan pemeriksaan kultur darah, pemeriksaan serologis dll.
  • 88.
     Akan tetapipemeriksaan bakteriologis ini tidak rutin dilakukan dengan alasan – alasan sebagai berikut ; 1. Pemeriksaan ini sukar untuk dilakukan pada penderita berobat jalan 2. Hasilnya tidak spesifik dan sensitivitinya masih dipertanyakan. 3. Pengobatan harus segera diberikan sebelum hasil pemeriksaan bakteriologis didapat, berdasarkan kemungkinan kuman penyebab pneumonia komuniti
  • 89.
    Dari salah satupenelitian terhadap CAP : 50% tidak ditemukan kuman penyebabnya. 25% S. pneumoniae 10% virus 10% mycoplasma, Legionella dan Chlamidia. 7% H. influenza. Hanya 1% kuman Gram (-) dan dan S. aureus
  • 90.
    UNTUK PENGOBATAN PNEUMONIAKOMUNITI ( CAP ) PILIHAN PERTAMA SECARA EMPIRIS (tergantung kepada resistensi lokal dari kuman, alergi penderita, harga dan efek samping obat) adalah golongan aminopenicillin : Ampisillin Amoxicillin
  • 91.
    SEBAGAI ALTERNATIF : Tetrasiklin Sefalosforinoral Quinolon (generasi ketiga) Makrolide (Erithromicin)
  • 92.
    PADA KEADAAN TERTENTU: Pada penyakit yang ringan, mengenai orang muda terutama pada epidemi Mycoplasma pneumoniae Makrolide Pada daerah dimana ditemukan banyak H. influenza yang menghasilkan Beta laktamase, adanya penyakit paru kronik, baru mendapat atau gagal dengan aminopenicillin Aminopenicillin + Asam klavulanac
  • 93.
    Lama pengobatan 7– 10 hari. Kalau demam tidak turun dalam 2 hari, penderita harus datang kembali. Keluhan mungkin akan berlangsung lebih lama dari masa pemberian antibiotika.
  • 94.
    KOMPLIKASI  Efusi pleura(Parapneumonic effusion)  Empiema  Abses paru  Bronkiektasis  Pericarditis  Meningitis
  • 95.
  • 96.
    PROGNOSA Tahun 1929 –1935 sebelum adanya antibiotika Boston City Hospital angka survival setelah terkena pneumonia 17% Setelah adanya pemberian obat (antisera), serum dari orang / binatang yang telah penderita pneumonia angka survival 53% Tahun 1952 – 1962 setelah ada antibiotika antara lain penicillin angka survival 85%
  • 97.
    JUGA TERGANTUNG KEPADA Beratringannya penyakit : 1 lobus, dengan AB 1% 2 atau 3 lobus leukopeni 10% bakterimia 4 dari 5 lobus 50%
  • 98.
    Kuman penyebab Stafilokokus pada epidemiinfluenza JELEK Klebsiella pneumonia Adanya penyakit lain / faktor lain Bronkitis kronis Bayi Orang tua
  • 99.
    Penderita dirawat Penyakit berat10% Orang tua akan tetapi dibanding dengan zaman sebelum Antibiotika Lebih baik