LIPOMA &
LIPOSARCOMA
BY FOTSO BENNIS MOUNIR
MEDICAL STUDENT AT BELARUSIAN STATE MEDICAL UNIVERSITY
FACULTY OF GENERAL MEDICINE
LIPOMA
Definition
 Lipomas are single or multiple subcutaneous tumours, easily recognizable
by the soft, round/lobulated shape they have.
 They do not develop into cancer as they are made of fat cells with the
same morphology as normal ones and can’t propagate.
 They can appear everywhere but are usually found on the chest, the neck,
the arms and the back.
 They are the most common non-cancerous growth of soft tissue.
 They are not painful.
 They are rarely harmful.
Risk Factors of lipoma
 The exact cause of lipoma is unknown or not fully understood but some
hypothesis were made.
 It can be triggered by minor injury and can develop due to an inherited
condition called familial lipomatosis (familial lipoma syndrome).
 This syndrome is an autosomal dominant trait appearing in early adulthood,
consists of hundreds of slowly growing non-tender lesions.
 Lipoma develops more often in adults, between the age of 40 and 60 but may
affect all ages and sex.
 Single lipomas affect both sex equally but multiple ones are more common in
men.
 Conditions such as Cowden’s syndrome, Gardner’s syndrome, Madelung’s
disease increase the risk of lipoma development.
Diagnosis
 Lipomas are not dangerous. However, since they are very similar to
liposarcomas, it is important to diagnose them.
 Usually, they are not painful and develop slowly. However, if they develop
internally, they may affect organ and nerves and cause symptoms.
 Those symptoms may be pain, swelling foul-smelling discharge of the
lipoma.
 Lipomas are diagnosed quite easily by visual examination thanks to their
characteristic dome-shaped.
 Upon palpation, they are soft and easily movable under the skin, without
any pain.
 In case of doubt whether it’s a lipoma or a liposarcoma, a biopsy can be
performed.
 If the biopsy reveals liposarcoma, CT and MRI are to be performed.
Treatment
Being harmless, they are removed only by request of the patient or if the doctor
judges it necessary. Different methods are available depending on some factors
such as :
1. Size of lipoma
2. Number of tumours
3. Location of tumour
4. Patient’s personal history of skin cancer
5. Patient’s family history of skin cancer
6. Whether or not the lipoma is painful
Therefore, as methods, we have
1. Surgery
2. Liposuction and squeeze technique
3. Injections of steroid hormones
Surgery
Under local anaesthesia, the surgeon will make an incision and excise or
remove the lipoma. The skin is then closed using sutures and a small scar
forms once the wound is healed. For deep-lying or large lipomas, the surgery
may be performed under general anaesthesia in an operating room.
Lipomas rarely grow back after a surgical intervention
Liposuction & Squeezing technique
Since lipomas are fat-based, liposuction can work well to reduce its size.
Liposuction involves a needle attached to a large syringe and is practiced
under local anaesthesia.
Squeeze technique (a small incision is made over the lipoma and the fatty
tissue is squeezed through the hole).
If the entire lipoma is not removed, there’s a possibility of it coming back.
Injection of steroid hormones
Local injections of steroid hormones can be made in order to shrink the
lipoma. However, this method does not get rid of it.
The exact mechanism of action behind it is still unknown. In every case,
involutional lipoatrophy was observed with evidence of macrophages in close
proximity to altered adipocytes. Those macrophages where observed
engulfing altered adipocytes.
A speculation was made that injection of steroid hormones lead to an
inflammatory response with secondary macrophage activation and
productions of cytokines.
Outcome
The outcome of lipomas is excellent. There’s a possibility of recurrence if the
removal is incomplete.
As a benign tumour, there’s no chance of it spreading.
Subcutaneous lipomas never present any risk while internal lipomas may lead
to some complication if not remove such as bleeding, ulceration
(gastrointestinal tract).
Finally, worsening of the tumour into a malignant form is very rare and have
been reported only for bone and kidneys lipomas.
LIPOSARCOMA
Definition
 Liposarcoma is a rare cancer of connective tissue resembling fat cells
under the microscope.
 They account for about 18% of soft tissue sarcomas and can develop
anywhere.
 They most often grow on thigh, groin and back of the abdomen.
 They are not painful and slow growing.
 The abdominal ones are especially dangerous because they can grow a lot
before being found.
(a) A well-
circumscribed soft
tumor with outer
surface covered by
fibrous capsule. (b)
Cut section
showing yellowish,
greasy solid tumor
with lobulated
appearance
Risk Factors of liposarcoma
 The exact cause of liposarcoma is unknown or not fully understood but
some hypothesis were made.
 There are no evidence of it developing after any sort of injury.
 They are slightly more common in men than in women.
 Liposarcoma develops more often in adults, between the age of 40 and 60
but may affect all ages and sex.
 If it develops in younger people, it is usually during the teenage years
(about 4% of the cases of soft tissues sarcomas).
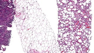
Types of liposarcoma
There are four types of liposarcoma, each with its own unique characteristics
and behaviours.
 Well-differentiated liposarcoma is the most common subtype and
usually starts as a low grade tumour. Low grade tumour cells look much
like normal fat cells under the microscope and tend to grow and change
slowly.
 Myxoid liposarcoma is an intermediate to high grade tumour. Its cells
look less normal under the microscope and may have a high grade
component.
 Pleomorphic liposarcoma is the rarest subtype and is a high grade
tumour with cells that look very different from normal cells.
 Dedifferentiated liposarcoma occurs when a low grade tumour changes,
and the newer cells in the tumour are high grade.
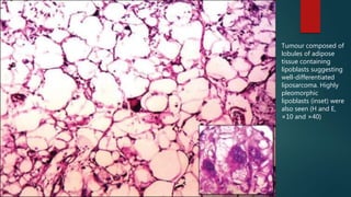
Tumour composed of
lobules of adipose
tissue containing
lipoblasts suggesting
well-differentiated
liposarcoma. Highly
pleomorphic
lipoblasts (inset) were
also seen (H and E,
×10 and ×40)
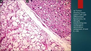
(a) Tumour
showing mosaic
pattern with well-
differentiated
liposarcoma. (b)
Abruptly
transforming into
nonlipogenic
sarcomatous
component. (H and
E, ×10)
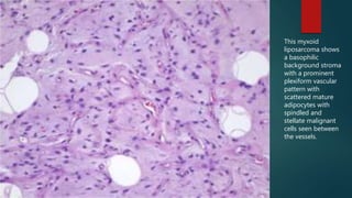
This myxoid
liposarcoma shows
a basophilic
background stroma
with a prominent
plexiform vascular
pattern with
scattered mature
adipocytes with
spindled and
stellate malignant
cells seen between
the vessels.
Microscopic
sections reveal
numerous atypical
adipocytes
suspended in a
prominent myxoid
stroma with
‘chicken wire’
capillary
vasculature,
characteristic of
myxoid
liposarcoma.
A focal area
demonstrated
numerous
lipoblasts. No
round cell
component was
identified in the
lesion.
Cytology smears
showing clusters of
pleomorphic
spindle to round
cells. Many
multinucleated
tumor giant cells
(upper inset);
bizarre appearing
lipoblasts
displaying
scalloped nucleus
having multiple
cytoplasmic
vacuolations (lower
inset) (H and E, ×20
and ×40)
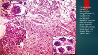
Tumour areas
containing
pleomorphic
malignant fibrous
histiocytoma
component
revealing “monster
cells” with high-
grade anaplasia
and multinucleated
tumor giant cells
(insets) (H and E,
×4 and ×40)
Here, at high power
is a field of
pleomorphic cells
that have no
phenotypic
appearance of
lipoblasts, The
tumour was + for
MDM2 and CDK4.
The diagnosis is
dedifferentiated
liposarcoma
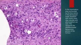
In the myxomatous
area (surrounded
by the blue dashes
in the photograph
aside), lipoblasts
with round, sharp,
clear vacuoles and
pleomorphism are
seen. This
represents the
dedifferentiated
liposarcoma
portion of the
tumour.
Diagnosis
 Liposarcomas are not felt by patients since they are painless which may
cause problem especially in abdomen where they can reach a huge size
before being noticed.
 Patients may notice a lump, which can be soft or firm.
 Liposarcomas by visual examination. Lumps larger than 5cm are subjected
to biopsy.
 After biopsy results, we can also use CT, X-ray or MRI.
 There are two main types of biopsy: a needle and a surgical biopsy. The
location, incision and technical aspects of the biopsy can affect a patient’s
treatment options and outcome.
 The results of the biopsy and imaging studies provide stage of liposarcoma
and helps finding the best treatment plan.
(a) Diffuse, huge,
ill-defined soft
tissue swelling. (b)
Contrast enhanced
computed
tomography scan
showing a well-
defined, lobulated,
hypodense seen
along the muscular
plane of left thigh.
Multiple enhancing
septae noted within
with no
calcifications. (c)
Anterior and lateral
view
Treatment
Depending on whether or not the liposarcoma formed metastases and spread
to other organs, there are two main ways of treatment
1. Surgery
2. Combination between surgery and Radiation Therapy
Surgery
It is the treatment for primary liposarcomas that have not yet spread to other
organs. Most of the time, the tumour will be removed with a lot of healthy
tissue in order to make sure that the tumour have been totally removed and
can’t come back anymore. In approximately 5% of cases, liposarcomas on the
limbs were so big that the amputation was the only solution to guarantee
complete removal of the tumour.
Combination between radiation
therapy and surgery
 This method prevents recurrence at the surgical site in about 85-90% of
the cases, results vary depending on types of liposarcoma. Radiation
therapy may be used before, during of after the surgery to kill tumour
cells. It has also some disadvantage. It slows down healing process since it
kills healthy cells as well.
 Chemotherapy is recommended in situations where patients are at high
risk of recurrence or in case the tumour already spread.
Outcome
Five-year disease specific survival rates (chances of not dying from cancer-
related causes) :
 100% in well-differentiated liposarcoma.
 88% in myxoid liposarcoma.
 56% in pleomorphic liposarcoma.
Ten-year survival rates :
 87% in well-differentiated liposarcoma.
 76% in myxoid liposarcoma.
 39% in pleomorphic liposarcoma.
SOURCES
 "Lipoma" Author : Abino David, Medical Student at MBBS, Kerala, India
 "Lipoma" Author : Momen Ali Khan, Student at Mymensingh Medical college, Bangladesh
 "Lipoma" Author : Raphaella Huhu, Porto Alegre, Brasil
 "Soft Tissue Tumor" Author : Gopi Sankar, Junior Resident at JIPMER, India
 "Case History of Dedifferentiated Liposarcoma" Author : Victor Effiom, Medical Doctor, Nigeria
 "Soft tissue tumor" Author : Narmada Tiwari, Consultant Pathologist MD at KIMS, Indore, India
 "Giant Anterior Neck Lipoma With Mediastinal Extension : A Rare Case Report" Authors : Smrity Rupa Borah Dutta, MD,
Assistant Professor, Department of Otorhinolaryngology, SMCH, Silchar - Sachender Pal Singh, MD, PGT
Otorhinolaryngology, Department of Otorhinolaryngology, SMCH, Silchar & Aakanksha Rathor, MD, PGT
Otorhinolaryngology, Department of Otorhinolaryngology, SMCH, Silchar
 Fitzpatrick's Color Atlas & Synopsis of Clinical Dermatology Klaus Wolff, Richard Allen Johnson, Dick Suurmond Copyright
2005, 2001, 1997, 1993 by The McGraw-Hill Companies. All Rights reserved.
 http://www.nashvillevascularandveininstitute.com/lipoma-and-mole-removal/
 Textbook of Dermatology. Ed Rook A, Wilkinson DS, Ebling FJB, Champion RH, Burton JL. Fourth edition. Blackwell
Scientific Publications.
 http://creativecommons.org/licenses/by-nc-nd/3.0/nz/
 http://www.orthopaedicsone.com/display/PORT/Soft+Tissue+Liposarcoma
 http://www.dermpedia.org/dermpedia-textbook/myxoid-liposarcoma
SOURCES (Cont.)
 http://www.dermnetnz.org/topics/lipoma-and-liposarcoma/
 "Lipoma (Skin lumps)" Author : Kristeen Moore, Medically Reviewed by University of Illinois-Chicago, College of Medicine
on 08 March 2016 - http://www.healthline.com/health/skin/lumps#Outlook6
 "Lipomas" Author : Todd A Nickloes, DO, FACOS Associate Professor, Department of Surgery, Division of Trauma/Critical
Care, University of Tennessee Medical Center-Knoxville / Coauthor : Daniel D Sutphin, MD Attending Plastic and
Reconstructive Surgeon, Mountain View Regional Medical Center
 http://sarcomahelp.org/liposarcoma.html
 "Liposarcomas" Author : Robert A Schwartz, MD, MPH Professor and Head of Dermatology, Professor of Pathology,
Pediatrics, Medicine, and Preventive Medicine and Community Health, Rutgers New Jersey Medical School; Visiting
Professor, Rutgers University School of Public Affairs and Administration Coauthor : Santiago A Centurion, MD
Dermatologist, Dermatology Associates of Central NJ
 https://en.wikipedia.org/wiki/Liposarcoma
 http://www.scielo.br/scielo.php?script=sci_arttext&pid=S1677-55382004000300007
 “Renal liposarcoma” Authors : Diogo A.L. Bader; Luis A.B. Peres; Sérgio L. Bader
 Sinhasan SP, Harthimath BC, Sylvia MT, Bhat RV. « Dedifferentiated liposarcoma of thigh: Tumor with monster cells. » Clin
Cancer Investig J 2016;5:188-92
 Barbara Lamagna, Adelaide Greco, Anna Guardascione, Luigi Navas, Manuela Ragozzino, Orlando Paciello, Arturo Brunetti
and Leonardo Meomartino “Canine Lipomas Treated with Steroid Injections: Clinical Findings”
 http://www.brown.edu/Courses/Digital_Path/systemic_path/bone/MyxoidLiposarcoma.html

Lipoma and liposarcoma

  • 1.
    LIPOMA & LIPOSARCOMA BY FOTSOBENNIS MOUNIR MEDICAL STUDENT AT BELARUSIAN STATE MEDICAL UNIVERSITY FACULTY OF GENERAL MEDICINE
  • 2.
  • 3.
    Definition  Lipomas aresingle or multiple subcutaneous tumours, easily recognizable by the soft, round/lobulated shape they have.  They do not develop into cancer as they are made of fat cells with the same morphology as normal ones and can’t propagate.  They can appear everywhere but are usually found on the chest, the neck, the arms and the back.  They are the most common non-cancerous growth of soft tissue.  They are not painful.  They are rarely harmful.
  • 5.
    Risk Factors oflipoma  The exact cause of lipoma is unknown or not fully understood but some hypothesis were made.  It can be triggered by minor injury and can develop due to an inherited condition called familial lipomatosis (familial lipoma syndrome).  This syndrome is an autosomal dominant trait appearing in early adulthood, consists of hundreds of slowly growing non-tender lesions.  Lipoma develops more often in adults, between the age of 40 and 60 but may affect all ages and sex.  Single lipomas affect both sex equally but multiple ones are more common in men.  Conditions such as Cowden’s syndrome, Gardner’s syndrome, Madelung’s disease increase the risk of lipoma development.
  • 7.
    Diagnosis  Lipomas arenot dangerous. However, since they are very similar to liposarcomas, it is important to diagnose them.  Usually, they are not painful and develop slowly. However, if they develop internally, they may affect organ and nerves and cause symptoms.  Those symptoms may be pain, swelling foul-smelling discharge of the lipoma.  Lipomas are diagnosed quite easily by visual examination thanks to their characteristic dome-shaped.  Upon palpation, they are soft and easily movable under the skin, without any pain.  In case of doubt whether it’s a lipoma or a liposarcoma, a biopsy can be performed.  If the biopsy reveals liposarcoma, CT and MRI are to be performed.
  • 8.
    Treatment Being harmless, theyare removed only by request of the patient or if the doctor judges it necessary. Different methods are available depending on some factors such as : 1. Size of lipoma 2. Number of tumours 3. Location of tumour 4. Patient’s personal history of skin cancer 5. Patient’s family history of skin cancer 6. Whether or not the lipoma is painful Therefore, as methods, we have 1. Surgery 2. Liposuction and squeeze technique 3. Injections of steroid hormones
  • 9.
    Surgery Under local anaesthesia,the surgeon will make an incision and excise or remove the lipoma. The skin is then closed using sutures and a small scar forms once the wound is healed. For deep-lying or large lipomas, the surgery may be performed under general anaesthesia in an operating room. Lipomas rarely grow back after a surgical intervention
  • 11.
    Liposuction & Squeezingtechnique Since lipomas are fat-based, liposuction can work well to reduce its size. Liposuction involves a needle attached to a large syringe and is practiced under local anaesthesia. Squeeze technique (a small incision is made over the lipoma and the fatty tissue is squeezed through the hole). If the entire lipoma is not removed, there’s a possibility of it coming back.
  • 14.
    Injection of steroidhormones Local injections of steroid hormones can be made in order to shrink the lipoma. However, this method does not get rid of it. The exact mechanism of action behind it is still unknown. In every case, involutional lipoatrophy was observed with evidence of macrophages in close proximity to altered adipocytes. Those macrophages where observed engulfing altered adipocytes. A speculation was made that injection of steroid hormones lead to an inflammatory response with secondary macrophage activation and productions of cytokines.
  • 15.
    Outcome The outcome oflipomas is excellent. There’s a possibility of recurrence if the removal is incomplete. As a benign tumour, there’s no chance of it spreading. Subcutaneous lipomas never present any risk while internal lipomas may lead to some complication if not remove such as bleeding, ulceration (gastrointestinal tract). Finally, worsening of the tumour into a malignant form is very rare and have been reported only for bone and kidneys lipomas.
  • 16.
  • 17.
    Definition  Liposarcoma isa rare cancer of connective tissue resembling fat cells under the microscope.  They account for about 18% of soft tissue sarcomas and can develop anywhere.  They most often grow on thigh, groin and back of the abdomen.  They are not painful and slow growing.  The abdominal ones are especially dangerous because they can grow a lot before being found.
  • 19.
    (a) A well- circumscribedsoft tumor with outer surface covered by fibrous capsule. (b) Cut section showing yellowish, greasy solid tumor with lobulated appearance
  • 20.
    Risk Factors ofliposarcoma  The exact cause of liposarcoma is unknown or not fully understood but some hypothesis were made.  There are no evidence of it developing after any sort of injury.  They are slightly more common in men than in women.  Liposarcoma develops more often in adults, between the age of 40 and 60 but may affect all ages and sex.  If it develops in younger people, it is usually during the teenage years (about 4% of the cases of soft tissues sarcomas).
  • 21.
    Types of liposarcoma Thereare four types of liposarcoma, each with its own unique characteristics and behaviours.  Well-differentiated liposarcoma is the most common subtype and usually starts as a low grade tumour. Low grade tumour cells look much like normal fat cells under the microscope and tend to grow and change slowly.  Myxoid liposarcoma is an intermediate to high grade tumour. Its cells look less normal under the microscope and may have a high grade component.  Pleomorphic liposarcoma is the rarest subtype and is a high grade tumour with cells that look very different from normal cells.  Dedifferentiated liposarcoma occurs when a low grade tumour changes, and the newer cells in the tumour are high grade.
  • 22.
    Tumour composed of lobulesof adipose tissue containing lipoblasts suggesting well-differentiated liposarcoma. Highly pleomorphic lipoblasts (inset) were also seen (H and E, ×10 and ×40)
  • 23.
    (a) Tumour showing mosaic patternwith well- differentiated liposarcoma. (b) Abruptly transforming into nonlipogenic sarcomatous component. (H and E, ×10)
  • 24.
    This myxoid liposarcoma shows abasophilic background stroma with a prominent plexiform vascular pattern with scattered mature adipocytes with spindled and stellate malignant cells seen between the vessels.
  • 25.
    Microscopic sections reveal numerous atypical adipocytes suspendedin a prominent myxoid stroma with ‘chicken wire’ capillary vasculature, characteristic of myxoid liposarcoma. A focal area demonstrated numerous lipoblasts. No round cell component was identified in the lesion.
  • 26.
    Cytology smears showing clustersof pleomorphic spindle to round cells. Many multinucleated tumor giant cells (upper inset); bizarre appearing lipoblasts displaying scalloped nucleus having multiple cytoplasmic vacuolations (lower inset) (H and E, ×20 and ×40)
  • 27.
    Tumour areas containing pleomorphic malignant fibrous histiocytoma component revealing“monster cells” with high- grade anaplasia and multinucleated tumor giant cells (insets) (H and E, ×4 and ×40)
  • 28.
    Here, at highpower is a field of pleomorphic cells that have no phenotypic appearance of lipoblasts, The tumour was + for MDM2 and CDK4. The diagnosis is dedifferentiated liposarcoma
  • 29.
    In the myxomatous area(surrounded by the blue dashes in the photograph aside), lipoblasts with round, sharp, clear vacuoles and pleomorphism are seen. This represents the dedifferentiated liposarcoma portion of the tumour.
  • 31.
    Diagnosis  Liposarcomas arenot felt by patients since they are painless which may cause problem especially in abdomen where they can reach a huge size before being noticed.  Patients may notice a lump, which can be soft or firm.  Liposarcomas by visual examination. Lumps larger than 5cm are subjected to biopsy.  After biopsy results, we can also use CT, X-ray or MRI.  There are two main types of biopsy: a needle and a surgical biopsy. The location, incision and technical aspects of the biopsy can affect a patient’s treatment options and outcome.  The results of the biopsy and imaging studies provide stage of liposarcoma and helps finding the best treatment plan.
  • 32.
    (a) Diffuse, huge, ill-definedsoft tissue swelling. (b) Contrast enhanced computed tomography scan showing a well- defined, lobulated, hypodense seen along the muscular plane of left thigh. Multiple enhancing septae noted within with no calcifications. (c) Anterior and lateral view
  • 34.
    Treatment Depending on whetheror not the liposarcoma formed metastases and spread to other organs, there are two main ways of treatment 1. Surgery 2. Combination between surgery and Radiation Therapy
  • 35.
    Surgery It is thetreatment for primary liposarcomas that have not yet spread to other organs. Most of the time, the tumour will be removed with a lot of healthy tissue in order to make sure that the tumour have been totally removed and can’t come back anymore. In approximately 5% of cases, liposarcomas on the limbs were so big that the amputation was the only solution to guarantee complete removal of the tumour.
  • 38.
    Combination between radiation therapyand surgery  This method prevents recurrence at the surgical site in about 85-90% of the cases, results vary depending on types of liposarcoma. Radiation therapy may be used before, during of after the surgery to kill tumour cells. It has also some disadvantage. It slows down healing process since it kills healthy cells as well.  Chemotherapy is recommended in situations where patients are at high risk of recurrence or in case the tumour already spread.
  • 39.
    Outcome Five-year disease specificsurvival rates (chances of not dying from cancer- related causes) :  100% in well-differentiated liposarcoma.  88% in myxoid liposarcoma.  56% in pleomorphic liposarcoma. Ten-year survival rates :  87% in well-differentiated liposarcoma.  76% in myxoid liposarcoma.  39% in pleomorphic liposarcoma.
  • 40.
    SOURCES  "Lipoma" Author: Abino David, Medical Student at MBBS, Kerala, India  "Lipoma" Author : Momen Ali Khan, Student at Mymensingh Medical college, Bangladesh  "Lipoma" Author : Raphaella Huhu, Porto Alegre, Brasil  "Soft Tissue Tumor" Author : Gopi Sankar, Junior Resident at JIPMER, India  "Case History of Dedifferentiated Liposarcoma" Author : Victor Effiom, Medical Doctor, Nigeria  "Soft tissue tumor" Author : Narmada Tiwari, Consultant Pathologist MD at KIMS, Indore, India  "Giant Anterior Neck Lipoma With Mediastinal Extension : A Rare Case Report" Authors : Smrity Rupa Borah Dutta, MD, Assistant Professor, Department of Otorhinolaryngology, SMCH, Silchar - Sachender Pal Singh, MD, PGT Otorhinolaryngology, Department of Otorhinolaryngology, SMCH, Silchar & Aakanksha Rathor, MD, PGT Otorhinolaryngology, Department of Otorhinolaryngology, SMCH, Silchar  Fitzpatrick's Color Atlas & Synopsis of Clinical Dermatology Klaus Wolff, Richard Allen Johnson, Dick Suurmond Copyright 2005, 2001, 1997, 1993 by The McGraw-Hill Companies. All Rights reserved.  http://www.nashvillevascularandveininstitute.com/lipoma-and-mole-removal/  Textbook of Dermatology. Ed Rook A, Wilkinson DS, Ebling FJB, Champion RH, Burton JL. Fourth edition. Blackwell Scientific Publications.  http://creativecommons.org/licenses/by-nc-nd/3.0/nz/  http://www.orthopaedicsone.com/display/PORT/Soft+Tissue+Liposarcoma  http://www.dermpedia.org/dermpedia-textbook/myxoid-liposarcoma
  • 41.
    SOURCES (Cont.)  http://www.dermnetnz.org/topics/lipoma-and-liposarcoma/ "Lipoma (Skin lumps)" Author : Kristeen Moore, Medically Reviewed by University of Illinois-Chicago, College of Medicine on 08 March 2016 - http://www.healthline.com/health/skin/lumps#Outlook6  "Lipomas" Author : Todd A Nickloes, DO, FACOS Associate Professor, Department of Surgery, Division of Trauma/Critical Care, University of Tennessee Medical Center-Knoxville / Coauthor : Daniel D Sutphin, MD Attending Plastic and Reconstructive Surgeon, Mountain View Regional Medical Center  http://sarcomahelp.org/liposarcoma.html  "Liposarcomas" Author : Robert A Schwartz, MD, MPH Professor and Head of Dermatology, Professor of Pathology, Pediatrics, Medicine, and Preventive Medicine and Community Health, Rutgers New Jersey Medical School; Visiting Professor, Rutgers University School of Public Affairs and Administration Coauthor : Santiago A Centurion, MD Dermatologist, Dermatology Associates of Central NJ  https://en.wikipedia.org/wiki/Liposarcoma  http://www.scielo.br/scielo.php?script=sci_arttext&pid=S1677-55382004000300007  “Renal liposarcoma” Authors : Diogo A.L. Bader; Luis A.B. Peres; Sérgio L. Bader  Sinhasan SP, Harthimath BC, Sylvia MT, Bhat RV. « Dedifferentiated liposarcoma of thigh: Tumor with monster cells. » Clin Cancer Investig J 2016;5:188-92  Barbara Lamagna, Adelaide Greco, Anna Guardascione, Luigi Navas, Manuela Ragozzino, Orlando Paciello, Arturo Brunetti and Leonardo Meomartino “Canine Lipomas Treated with Steroid Injections: Clinical Findings”  http://www.brown.edu/Courses/Digital_Path/systemic_path/bone/MyxoidLiposarcoma.html