Soft tissue tumor
Dr NARMADA PRASAD TIWARI
• Soft tissue is defined as complex of
nonepithelial extra skeletal structure of body
exclusive of supportive tissue of various
organs and the hematopoietic/ lymphoid
tissue.
• It is composed of fibrous tissue, adipose
tissue, skeletal muscle, blood and lymph
vessels and peripheral nerve.
• Most of the soft tissue derived from
mesoderm with neuroectodermal
contribution corresponding to peripheral
nerve.
Pathogenesis
• Unknown
• Radiation therapy
• Chemical burn, thermal burn
• Trauma
• HHV-8 – kaposi sarcoma
• GENETIC SYNDROME-
• NEUROFIBROMATOSIS –NEUROFIBROMA,MALIGNANT
PHERIPHERAL NERVE SHEATH TUMOUR
• Gardner syndrome- fibromatosis
• Li- fraumeni syndroma- soft tissue sarcoma
• Oslar –weber rendu syndrome-telengiectasia
• Mutation in the mesenchymal stem cells
• Speciic chromosomal abnormality-
Cytogenetics
• Ewing’s tumor/PNET t(11;22)
• Myxoid liposarcoma t(12;16)
• Clear-cell sarcoma t(12;22)
• Alv. rhabdomyosarcoma t(2;13) or
t(1;13)
• Congenital fibrosarcoma t(12;15)
• DFSP t(17;22)
• Synovial sarcoma t(X;18)
Cytologic Features
Nuclear Characteristics Cell Type
Serpiginous Peripheral nerve sheath tumors
Cigar-shaped Smooth muscle tumors
Elongated fusiform (Myo-)fibroblastic tumors
Uniform, fusiform, & “blue” Synovial sarcoma
Pseudoinclusions Neural tumors
Cytoplasmic Features Cell Type
Fibrillary Myogenous-striated or smooth
Vacuolated Myogenous-smooth
Cross striations Myogenous-striated
Granular & eosinophilic Granular cell tumors; some
smooth muscle tumors
Fascicular Growth
• Leiomyosarcoma
• Nodular Fasciitis
• Fibromatosis
• Solitary Fibrous Tumor
• Peripheral nerve sheath
tumors
“Herringbone” Tumors
• Synovial sarcoma
• Neurofibrosarcoma
• Solitary Fibrous Tumor
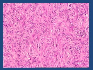
Storiform Growth
• Malignant fibrous histiocytoma
• Dermatofibrosarcoma protuberans (DFSP)
(best representative of this group)
• Other fibrohistiocytic tumors
• Occasional leiomyosarcomas
• Some examples of malignant peripheral
nerve sheath tumor
• Occasional synovial sarcomas
• Solitary fibrous tumor
Starry Night - Vincent VanGogh
Storiform Pattern
DFSP
Location
• 40%- lower extremity specially Thigh.
• 30%- trunk and retro peritoneum.
• 10%- upper extremity.
• 10% - head and neck.
• Males are affected more than females(1.4 : 1)
• Incidence – increases with age
Superficial Deep
Atypical MFH
fibroxanthoma
Atypical Liposarcoma
lipoma
EFFECT OF TUMOR DEPTH: SAME PATTERN
BUT DIFFERENT DIAGNOSIS
• Specific sarcoma tend to be occur in certain
age group –
• Children- Rhabdomyosarcoma ,
• Young adulthood- synovial sarcoma
• Middle to Late adult life- liposarcoma
,fibrosarcoma.
Classification
• TUMORS OF ADIPOSE TISSUE
- Lipoma
- Liposarcoma
• TUMOR OF FIBROUS TISSUE
- Nodular fasciitis
- Fibromatoses
- Fibrosarcoma
• FIBROHISTIOCYTIC TUMOR
- Fibrous histiocytoma
-Dermatofibrosarcoma protuberance
- Malignant Fibrous Histicytoma
• SKELETAL MUSCLE TUMOR
- Rhabdomyoma
- Rhabdomyosarcoma
• SMOOTH MUSCLE TUMORS
-Leiomyoma
-Leiomyosarcoma
• VASCULAR TUMORS
-Hemangioma
-Lymphangioma
-Hemangioendothelioma
-Hemangiopericytoma
-Angiosarcoma
• PERIPHERAL NERVE TUMORS
-Neurofibroma
-Schwanoma
-Granular cell tumor
-Malignant peripheral nerve sheath tumors
• TUMORS OF UNCERTAIN HISTIOGENESIS
-Synovial sarcoma
-Epitheloid sarcoma
French Federation Grading System Of Sarcoma
Tumor Differentiation
• Score 1: Sarcoma closely resembling normal adult
mesenchymal tissue Ex- Well differentiated liposarcoma
• Score 2: Sarcoma for which hitological typing is certain
Ex- Biphasic synovial sarcoma, Alveolar soft part sarcoma
• Score 3: Embryonal sarcoma, Undifferentiated sarcoma
and sarcoma of doubtfull tumor type
French Federation Grading System Of Sarcoma
Mitosis Index
• Score 1: 0 to 9 mitoses per 10 fields
• Score 2: 10 to 19 mitoses per 10 fields
• Score 3: More than 20 mitoses per 10 fields :
French Federation Grading System Of Sarcoma
Tumor Necrosis
• Score 0: No necrosis
• Score 1: < 50 % Tumor necrosis for all the
examined tumor surface
• Score 2: Tumor necrosis on more than half of the
examined tumor surface
French Federation Grading System Of Sarcoma
Grading
• Grade 1: 2 or 3
• Grade 2: 4 or 5
• Grade 3: Represent a total of 6, 7 or 8
Enneking Staging System For Soft Tissue Sarcoma
• Stage 1:
G1 Without metastases T1
G1 Without metastases T2
• Stage 2:
G2 Without metastases T1
G2 Without metastases T2
• Stage 3 :
G1 orG2 With metastases T1
G1 orG2 With metastases T2
Pseudosarcoma
• Reactive pseudoarcomatous proliferations are non
neoplastic lesions that either develop in response to
trauma or idiopathic.
• Clinically they are alarming because they develop suddenly
and grow rapidly.
• Example include
• Nodular fascitis
• Proliferative fascitis
• Proliferative myositis
• Myositis ossificans
• Pyogenic granuloma
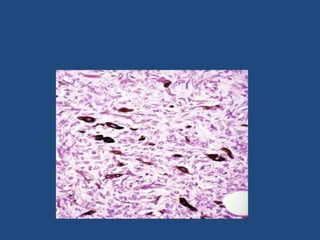
Nodular fascitis
• Most common pseudosarcoma
• Most often occur in adults and volar aspect of
forearm.
• Gross – several centimeters in diameter , nodular
configuration, poorly defined margins.
• Microscopy –richly cellular ,plump immature
appearing fibroblast.
• A feature of diagnostic significance is the
presence of undulating wide bands of collagen
lined on the sides by spindle cells.
Nodular fascitis
Collagen deposition in nodular fasciitis
Calcifying aponeurotic fibroma
• Hand or wrist of a child or adolescent
• it may appear as a nodule or as an ill-defined
infiltrating mass in the subcutaneous tissue or
attached to a tendon
• Microscopic- the lesion is characterized by a
diffuse fibroblastic growth in which spotty
calcification occurs. Infiltration of fat and striated
muscle is often seen at the periphery. Mitoses are
scarce, and atypical cytologic features are absent.
Scattered osteoclast-like giant cells are frequently
seen.
Calcifying aponeurotic fibroma
Proliferative myositis
• The skeletal muscles of the shoulder, thorax, and
thigh are those most commonly affected.
• Most patients are over the age of 45 years
• Gross- ill defined scar-like indurations of the
muscle .
• Microscopic-a cellular proliferation rich in
fibroblasts is seen surrounding individual fibers.
The hallmark of the lesion is the presence of very
large basophilic cells with vesicular nuclei and
very prominent nucleoli.
Proliferative myositis
Myositis ossificans
• It is a reactive condition that is sometimes mistaken
microscopically for osteosarcoma.
• The term is inaccurate because the muscle may not be
involved, and inflammation is virtually absent.
• A history of trauma is obtained in only half of the
patients.
• The most common locations are the flexor muscles of
the upper arm (especially the brachialis anticus), the
quadriceps femoris, the adductor muscles of the thigh,
the gluteal muscles,
• Microscopic- there is a highly cellular stroma
associated with new bone and, less commonly,
cartilage formation.
• In an early lesion, the centrally placed areas may
be very difficult to distinguish from osteosarcoma
because of their extreme cellularity.
• The most important diagnostic feature is
provided by the maturation pattern (‘zonal
phenomenon’), characterized by a central cellular
area, an intermediate zone of osteoid formation,
and a peripheral shell of highly organized bone
Various appearances of myositis ossificans. A, Deep region showing a
highly cellular appearance that can simulate a soft tissue sarcoma. B,
Midportion showing osteoid formation by plump osteoblasts. C,
Peripheral portion showing a shell of well-formed bone
Elastofibroma
Almost exclusively the subscapular region of elderly
individuals
There is often a history of strenuous manual labor.
Microscopic-collagen bundles alternate with numerous
acidophilic, refractive cylinders often containing a central
dense core, both of which stain strongly with elastic stains.
Ultrastructurally- the cylinders are made up of immature
amorphous elastic tissue, whereas the central core contains
mature fibers.
Elastase digestion fully removes this material.
Immunohistochemically- the cells present in the lesion are
positive for CD34, MEF-2, prominin 2 (CD133), and factor
XIIIa
Elastofibroma
Fibromatosis
1 Proliferation of well-differentiated fibroblasts
2 Infiltrative pattern of growth
3 Presence of a variable (but usually abundant)
amount of collagen between the proliferating
cells
4 Lack of cytologic features of malignancy
5 Scanty or absent mitotic activity
6 Aggressive clinical behavior characterized by
repeated local recurrences but lack of capacity to
metastasize distantly
• Grossly, these lesions are often large, firm,
and whitish, with ill-defined outlines and an
irregularly whorled cut surface. They often
arise in a muscular fascia.
• Microscopically, most of the proliferating cells
have features intermediate between those of
fibroblasts and smooth muscle cells
Fibromatosis
The spindle cells of fibromatosis grow diffusely
between skeletal muscle fibers
Fibrosarcomas
Common tumors of adults, although they can
occur in any age group and even be present as
congenital neoplasms.
Fibrosarcomas can arise from superficial and deep
connective tissues such as fascia, tendon,
periosteum, and scar; grow slowly or rapidly; and
often appear well circumscribed.
They usually are soft and cellular and may contain
areas of necrosis and hemorrhage
• Microscopic- The cells are arranged in fascicles
that intersect each other at acute angles,
resulting in a herringbone appearance.
• The individual cells resemble normal
fibroblasts, and a reticulin stain demonstrates
abundant fibers wrapped around each cell.
• It should be differented from monophasic
synovial sarcoma, liposarcoma, malignant
fibrous histiocytoma, and MPNST.
• Immunohistochemically the prototypical
fibrosarcoma should have reactivity for
vimentin and type I collagen but not for
smooth muscle markers, histiocytic markers,
or basal lamina components
Fibrosarcoma
Congenital fibrosarcoma (infantile
fibrosarcoma)
• is an extremely cellular tumor characterized
by very rapid growth and the capability for
extensive local invasion, but its metastatic rate
is negligible.
• At the molecular level, it is characterized by
the ETV6–NTRK3 gene fusion, which results
from the chromosomal translocation
t(12;15)(p13;q25)
Congenital fibrosarcoma. The tumor is extremely
cellular and mitotically active
Sclerosing epithelioid fibrosarcoma
• It is a variant of fibrosarcoma ,It is composed of small,
round to ovoid tumor cells embedded in a dense
fibrohyaline stroma.
• The scanty cytoplasm often has a clear appearance,
and there may be an Indian file pattern of growth .
Necrosis and bone invasion may be found.
• There is consistent positivity for vimentin, and
occasional positivity for EMA and even for keratin.
• The tumor is associated with a high incidence of local
recurrence and distant metastases
Schlerosing epitheloid FS
Inflammatory Myofibroblastic Tumor
• Which blends imperceptibly with cases that
have been reported as inflammatory
pseudotumor on one hand and inflammatory
fibrosarcoma on the other.
• Many of the cases have occurred in the
mesentery or retroperitoneum of children or
adolescents
Inflammatory myofibroblastic tumor
.
FIBROUS HISTIOCYTOMA
Benign Fibrous Histiocytoma
• Dermatofibroma
• Tenosynovial giant cell tumor
• Pigmented villonodular synovitis
The microscopic- A variable mixture of histiocyte-
like cells (some foamy, others multinucleated, still
others containing hemosiderin) and fibroblast-
like cells is always present. Some lesions can be
extremely cellular (cellular variant), and some
may have large atypical nuclei (atypical variant),
Tenosynovial giant cell tumor. A polymorphic infiltrate of small histiocytes
and multinucleated giant cells is embedded in dense fibrous tissue
Intermediate (borderline) fibrous
histiocytoma
• This vaguely defined group of tumors is characterized by local
aggressiveness but an extremely low rate of distant metastases.
• Dermatofibrosarcoma protuberans (DFSP)-
• It is typically centered in the dermis, but it can also occur in deeper
soft tissues.
• Microscopically - lack of circumscription; high cellularity; a
relatively monomorphic appearance; nuclear hyperchromasia;
moderate to high mitotic activity; lack or inconspicuousness of
giant, foamy, or hemosiderin-laden cells; and the presence of what
has been called a storiform pattern of growth .
• This refers to a peculiar arrangement of the tumor cells around a
central point, producing radiating ‘spokes’ grouped at right angles
to each other.
• dermatofibrosarcoma protuberans have a
translocation that involves chromosomes 17
and 22
DermatofibroSaroma
Pigmented dermatofibrosarcoma
(Bednar tumor)
• looks like the usual dermatofibrosarcoma
protuberans except for the presence of a
population of dendritic cells heavily loaded
with melanin.
Malignant Fibrous Histiocytoma
• Several morphologic variants of MFH have been
described.
• Storiform-pleomorphic MFH is the prototypic and
most common member of this group.
• Most cases occur in the deep soft tissues of
extremities in adults, with a peak in the seventh
decade, but cases have also been recorded in children.
• Some develop at the site of previous radiation therapy.
• Still others have appeared around an infarct or a
foreign body or at the site of a surgical scar.
Malignant Fibrous Histiocytoma
• Microscopic features - the presence of highly
pleomorphic tumor cells and a storiform pattern of
growth.
• Sometimes the cytoplasm of the giant tumor cells is
seen to contain numerous variably sized hyaline
globules, thought to be related to apoptosis and
lugubriously called thanatosomes.
• Inflammatory elements, such as lymphocytes, plasma
cells, and eosinophils, are usually mixed with the
neoplastic cells.
• Metaplastic bone and cartilage formation may be
present focally
• Immunohistochemically, there is usually
reactivity for vimentin, a1-antitrypsin, a1-
antichymotrypsin, KP-1 (CD68), factor XIIIa,
ferritin, and the plasma proenzyme factor XIII.
Malignant Fibrous Histiocytoma
MYXO FIBROSARCOMA
• is the term currently preferred for the tumor also known as
myxoid MFH
• Most of these tumors arise in the extremities of adults.
• Grossly, they are mucoid and resemble myxoid
liposarcomas .
• Microscopically, the low-grade forms exhibit an abundant
matrix of acid mucopolysaccharides, high vascularity, and
the presence of cells resembling lipoblasts.
• They are distinguished from myxoid liposarcomas by the
presence elsewhere in the tumor of typical areas with the
storiform–pleomorphic MFH pattern and the absence of
true lipoblasts.
MYXO FIBROSARCOMA
Low-grade fibromyxoid sarcoma
(Evans tumor)
• Usually deep but sometimes superficial,
especially in children
• Characterized by alternating fibrous and myxoid
areas, a focally whorled pattern of growth, low
cellularity, and a bland appearance of the
fibroblastic spindle cells[
• The main differential diagnosis is with
myxofibrosarcoma. Low-grade fibromyxoid
sarcoma has a biphasic fibrous and myxoid
appearance, and the vascular network is less well
developed.
Low-grade fibromyxoid sarcoma
(Evans tumor) MYXO FIBROSARCOMA
hyalinizing spindle cell tumor with
giant rosettes
• Morphologic variant of low-grade fibromyxoid
sarcoma characterized by the presence of
huge rosettelike formations made up of
hyalinized collagen
• t(7;16)(q33;p11).
Hyalinizing spindle cell tumor with
giant rosettes
Inflammatory myxohyaline tumor
• low-grade malignant tumor usually found in the distal extremities .
• Microscopically, it has an infiltrative multinodular quality and a
polymorphic cellular composition in a hyaline or myxoid
background .
• There is a dense mononuclear inflammatory infiltrate containing
scattered stromal cells of either epithelioid or spindle shape. Some
of the latter are very large, with bizarre nuclei and prominent
nucleoli, resulting in a resemblance to Reed–Sternberg cells or
virus-infected cells.
• The immunohistochemical profile, which is nonspecific, includes
occasional focal reactivity for keratin. Local recurrence is common,
but distant metastases are exceptional.Recently, this neoplasm is
shown to exhibit a recurrent genetic aberration t(1;10)(p22;q24),
Inflammatory myxohyaline tumor
Inflammatory MFH
• The neoplastic cells are mixed with, and even
obscured by, an intense inflammatory
infiltrate rich in neutrophils.
• Some of the tumor cells contain phagocytosed
neutrophils in their cytoplasm. Storiform
pattern, collections of foamy cells, and areas
of tissue necrosis are also consistently present
Inflammatory MFH
Plexiform fibrohistiocytic tumor
• occurs chiefly in children and young adults.
• It usually presents as a small, slow-growing dermal or
subcutaneous mass, often in an upper extremity.
• Microscopically, there is a multinodular or plexiform
proliferation of fibroblast-like and histiocyte-like cells
admixed with osteoclast-like giant cells.
• They have been divided morphologically into three
subtypes:
• fibroblastic,
• histiocytic (often with osteoclast-type giant cells),
• and mixed.
Plexiform fibrohistiocytic tumor
Angiomatoid MFH
• extremities of children and young adults as a
circumscribed, multinodular, or multicystic
hemorrhagic mass.
• Microscopically, highly cellular foci are mixed with
focal areas of hemorrhagic cyst-like spaces and
large aggregates of chronic inflammatory cells.
The latter are often arranged at the periphery of
the tumor in the form of lymphoid follicles and
may simulate the appearance of a lymph node.
Angiomatoid MFH
Tumors of peripheral nerves
• Proliferative lesions of peripheral nerves are
divided into
• Non-neoplastic - traumatic neuroma.
• Benign tumors - schwannomas,
neurofibromas, and perineuriomas.
• Malignant tumors-malignant peripheral nerve
sheath tumors (MPNSTs)
Neuroma
The large majority of neuromas follow trauma – hence their
designation as traumatic neuromas.
Amputation neuroma, a term made popular during the First World
War, is a type of traumatic neuroma in which the original trauma
involves the loss of part or all of an extremity
This lesion may be exquisitely painful
Microscopically, all the elements of a nerve can be recognized: axons,
Schwann cells, perineurial cells, and fibroblasts In addition, scar
tissue is often present.
Immunohistochemically, the Schwann cells of traumatic neuroma
show CD68 and Ki-M1-P.
Neuroma
Schwannoma (neurilemoma)
• Truly encapsulated neoplasms
• Almost always solitary
• Its most common locations are the flexor surfaces of the
extremities, neck, mediastinum, retroperitoneum, posterior spinal
roots, and cerebellopontine angle.
• The nerve of origin often can be demonstrated in the periphery,
flattened along the capsule but not penetrating the substance of
the tumor .
• Since this is a benign neoplasm that only rarely recurs .
• The great majority of cases occur sporadically.
• A small percentage of cases are associated with neurofibromatosis
type 2 (caused by a germline mutation in the NF2 gene located on
22q12, which encodes merlin, also known as schwannomin
Schwannoma
• immunoreactivity for S-100 protein, calretinin (in contrast
to neurofibromas), calcineurin, basal lamina components
,vimentin, nerve growth factor receptor, lipocortin-1, and
sometimes glial fibrillary acidic protein and KP-l
• Palisading of nuclei is not unique to schwannoma.
• It can also occur in leiomyoma, leiomyosarcoma,
• GIST,
• calcifying aponeurotic fibroma,
• non-neoplastic smooth muscle
• (most commonly in the appendiceal wall).
Cellular schwannoma
• It is the term used for highly cellular
schwannomas that are exclusively composed
of Antoni A areas but lack Verocay bodies.
• These changes can be accompanied by nuclear
atypia, mitotic activity, and focal necrosis.
• Most reported cases have been in the
retroperitoneum, pelvis, and mediastinum
Cellular schwannoma
Psammomatous melanotic
schwannoma
• Most arise from the spinal nerve roots.
• Microscopically by the presence of melanin
pigmentation and the deposition of psammoma
bodies .
• In contrast to all other types of schwannoma
described in this section, the psammomatous
melanotic variety is regarded as a low-grade
malignancy because of its tendency for local
recurrence and the fact that a few of the
reported cases have metastasized
Psammomatous melanotic
schwannoma
Neurofibroma
• The gross appearance of -As a rule, the tumors are not
encapsulated and have a softer consistency than
schwannoma .
• The more superficial tumors appear as small, soft,
pedunculated nodules protruding from the skin
(‘molluscum pendulum’).
• Deeper tumors grow larger. Tumors resulting in diffuse
tortuous enlargement of peripheral nerves are designated
as plexiform neurofibromas and are usually seen in the
context of type 1 neurofibromatosis (caused by a germline
mutation in the NF1 gene located on 17q11.2, which
encodes neurofibromin).
Neurofibroma
Well-circumscribed neurofibroma of soft tissue.
The tumor has a gelatinous appearance
Typical gross appearance of plexiform neurofibroma.
This tumor variety is indicative of Recklinghausen
disease
Neurofibroma
• Microscopic- Neurofibromas are formed by a combined
proliferation of all the elements of a peripheral nerve:
axons, Schwann cells, fibroblasts, perineurial cells .
• Axons can be demonstrated by silver or
acetylcholinesterase stains or by immunostaining for
neuron-specific enolase (NSE), neurofilaments, or various
neuropeptides.
• Schwann cells usually represent the predominant cellular
element. Most have markedly elongated nuclei, with a
wavy, serpentine configuration and pointed ends.
• In contrast to schwannomas, Verocay bodies, palisading of
nuclei, and hyaline thickening of the vessel wall are
almost always absent in neurofibromas
Neurofibroma
NEUROFIBROMATOSIS
- single-gene disorder, autosomal-dominant
. Two forms.-
- von Recklinghausen disease (neurofibromatosis type 1),
patients have multiple café-au-lait spots and dermal
neurofibromas.
- Neurofibromatosis type 2, patients have predominantly
bilateral acoustic neuromas (schwannomas) that are
associated with other brain and spinal cord tumors.
• It is diagnosed based on the presence of any two of the
following:
1. At least five café-au-lait spots larger than 5 mm (six larger
than 15 mm if the patient is prepubertal)
2. Two or more neurofibromas of any type or one plexiform
type
3. Multiple large freckles in the axillary or inguinal regions
4. Sphenoid wing dysplasia
5. Bilateral optic nerve gliomas
6. Multiple iris nodules (Lisch spots)
7. A first-degree relative with the preceding criteria
Perineurioma
• Benign tumors of the peripheral nerve composed predominantly or
exclusively of perineurial cells are being increasingly
recognized.Microscopically, they are composed of extremely elongated
cells arranged in parallel bundles.
• Some cases have a storiform pattern of growth and may correspond to
the former storiform perineurial fibromas.
• There is an intraneural variant of perineurioma,
• Other recently recognized variants of this tumor include sclerosing
perineurioma, which has a predilection for the fingers and palms of young
adults;[reticular (retiform) perineurioma, with a predominant lace-like or
reticular growth pattern composed of anastomosing cords of spindle cells;
• plexiform perineurioma;and the exceptionally rare granular cell
perineurioma.
• Hybrid forms of schwannoma and perineurioma have also been described,
• as well as malignant forms of perineurioma, the latter representing a
subtype of MPNST
Perineurioma
Malignant peripheral nerve sheath
tumor
• It is the currently preferred term for the
neoplasm also known over the years as
malignant schwannoma, neurogenic sarcoma,
and neurofibrosarcoma.
• Approximately half of these tumors arise de
novo.
• The other half from nerves involved by
neurofibromas as part of type 1 Recklinghausen
disease.
• Some have occurred in areas of previous
irradiation.
Malignant peripheral nerve sheath
tumor
• Because of its difficult microscopic recognition,
errors are often made.
• There are two circumstances in which the
diagnosis of MPNST should be the primary
consideration in the presence of a malignant
tumor of soft tissues composed of spindle cells:
(1) when the tumor develops in a patient with
type 1 Recklinghausen disease;
• (2) when the tumor is obviously arising within
the anatomic compartment of a major nerve or in
continuity with a neurofibroma.
Malignant peripheral nerve sheath
tumor
• In the absence of these circumstances the light microscopic
diagnosis of MPNST is
• They include: serpentine shape of the tumor cells;
• Arrangement in palisades or whorls;
• Marked contrast between the deeply hyperchromatic nuclei and
the pale cytoplasm (‘punched-out nuclei’);
• Perivascular concentration of tumor cells, with a plumper shape;
• Epithelioid appearance of the endothelial cells of these vessels;
• Presence of large gaping vascular spaces, resulting in a
hemangiopericytoma-like appearance;
• Geographic areas of necrosis, with tumor palisading at the edges
The contrast between the dark hyperchromatic nuclei and the
light cytoplasm is typical of malignant peripheral nerve sheath
tumor
Malignant peripheral nerve sheath
tumor
Malignant peripheral nerve sheath tumor,
Malignant peripheral nerve sheath tumor with skeletal muscle differentiation (so-
called ‘triton tumor’).
, Positive immunostain for myoglobin
Tumors of adipose tissue
Lipoma
• Benign fatty tumors can arise in any location in which fat is normally
present.
• The majority occur in the upper half of the body, particularly the
trunk and neck, but they can develop in any other site, including
hands and feet.[
• Most lipomas are subcutaneous, an important point in the
differential diagnosis with liposarcomas, which are almost always
deep-seated.
• However, lipomas can also occur in the deep soft tissues; these are
subclassified into intramuscular (most common in the trunk) and
intermuscular (most common in the anterior abdominal wall).
• Most patients are in the fifth or sixth decade of life
• May be single or multiple.
• Lipomas can grow to a large size;
• they are usually encapsulated when located in the
superficial soft tissues
• Poorly circumscribed when arising in deeper
structures.
• Grossly, lipomas consist of bright yellow fat separated
by fine fibrous trabeculae .
• Microscopic- they are composed of mature adipose
tissue with no cellular atypia.
• They are cytologically and immunohistochemically
indistinguishable from normal fat, including positivity
for S-100 protein and calretinin.
Morphologic variations of lipomas :
• 1 Fibrolipoma - characterized by the presence of
prominent bundles of mature collagenous or
myxocollagenous stroma intermixed with mature
adipocytes. It affects mainly the distal extremities.
•
2 Myxolipoma. This tumor features focally well-
developed myxoid changes.
•
3 Chondroid lipoma. This variant is usually deep-seated
. It is characterized by a component of eosinophilic and
vacuolated cells containing glycogen and lipid that
resembles brown fat cells, lipoblasts, and chondroblasts .
• 4- Myolipoma. This tumor is characterized by an admixture in variable
proportions of mature adipose tissue and bundles of well-differentiated smooth
muscle.[
5 Spindle cell lipoma.- Characteristically located in the regions of the shoulder
and posterior neck of adults, but also found in many other locations,
It is composed of an admixture of mature lipocytes and uniform spindle cells set
in a mucinous and fibrous background[
Features that assist in distinguishing it from myxoid liposarcoma
include the absence of lipoblasts
and of a prominent plexiform vascular pattern,
the presence of thick (‘ropy’) collagen bundles,
and the great uniformity of the proliferating small spindle cells.
• 6 Pleomorphic lipoma. This is a lipoma containing
hyperchromatic multinucleated (‘floret-like’) tumor
cells within the fibrous septa traversing the neoplasm .
• As for spindle cell lipoma, its most common location is
the shoulder and posterior neck region.
• Differential diagnosis is with the sclerosing form of)
well-differentiated liposarcoma (atypical lipomatous
tumor).
• The location of the lesion is an important clue,
• Proportion of floret-type giant cells and lipoblasts is
the most important distinguishing feature at the
microscopic level..
• 7 Angiolipoma. They are often painful and
characteristically multiple.
• They are located in the subcutis, most commonly on the
trunk or extremities.
• Vascularity often is limited to a band of tissue on the
periphery of the neoplasm .
• Hyaline thrombi are common and constitute an important
diagnostic sign[.
• The pain correlates well with the degree of vascularity.[
ADIPOSE TM
Lipoma
chondroid lipoma
Showing admixture of mature fat and chondroid tissue
Spindle cell lipoma
The oval to spindle cells are concentrated in the fibrous bands
within lobules of mature adipose tissue
Pleomorphic lipoma.
The floret cells
Angiolipoma showing
Intimate admixture of blood vessels
and mature adipose tissue Hyaline thrombi in angiolipoma
Lipoblastoma/lipoblastomatosis
• Affects almost exclusively infants and young children
(below the age of 5 years).
• It commonly involves the proximal portion of the lower
and upper extremities.
• Grossly, the lesion is soft and lobulated .
• It is subdivided into (benign) lipoblastoma (sometimes
also designated as embryonal or fetal lipoma) when
well circumscribed and
• lipoblastomatosis when deep-seated and ill defined.
• Microscopic- it closely resembles fetal fat. presence of
lipoblasts, a plexiform vascular pattern, and an
abundant myxoid stroma .
• It may be confused with myxoid liposarcoma.
• It is distinguished from the latter by
• virtue of the young age of the patient,
• distinct lobulation,
• and absence of giant cells or pleomorphic
nuclei.
Lipoblastoma
Hibernoma
• is a rare benign neoplasm.
• Location- interscapular region, axilla, and thigh,
but also in the mediastinum and
retroperitoneum.
• Gross-Its cut surface has a typical brown color,
Microscopic- pattern is characteristic – an
organoid arrangement of large cells with centrally
located nucleus and a cytoplasm filled with many
small vacuoles that stain for neutral fat.
hibernoma
Gross exhibiting the typical light
brown cut surface
Hibernoma.
Liposarcoma
• It is the most frequent soft tissue sarcoma in
adults.
• Liposarcomas are usually large and occur most
frequently in the lower extremities (popliteal
fossa and medial thigh); retroperitoneal,
perirenal, and mesenteric region; and shoulder
area.
• Grossly, liposarcomas are well circumscribed but
not encapsulated.
•
lipoblast
• The common morphologic denominator of
liposarcoma is the lipoblast .
• This appears as a mononuclear or multinucleated
cell with one or more cytoplasmic vacuoles that
contain fat.
• The nucleus may be pushed aside by a single
large vacuole, resulting in a signet ring
configuration,
• or it may remain centrally located but exhibit
small indentations by multiple small vacuoles.
•
Lipoblast
• Enzinger and Winslow divided liposarcomas
into four types:
• Myxoid,
• Round cell,
• Well differentiated,
• Pleomorphic
Myxoid liposarcoma
• Most common type of liposarcoma.
• Marked predilection for the lower extremities, particularly the
thigh .
• It practically never occurs in the retroperitoneum.
• Microscopically, myxoid liposarcoma has few or no mitotic figures
• and is characterized by proliferating lipoblasts
• Prominent anastomosing capillary network,
• and a mucoid matrix.
• The presence of a delicate network of thin-walled vessels is an
important feature in the differential diagnosis with myxoma and
other myxoid tumors.
•
Myxoid liposarcoma
• Cytogenetically, myxoid liposarcoma is
characterized by the reciprocal translocation
t(12;16)(q13;p11),
• t(12;22)(q13;q12)
Myxoid liposarcoma
Round cell type
• The tumor cells are small and have a distinctly
acidophilic cytoplasm .
• The presence among them of scattered
lipoblasts establishes the diagnosis.
• Mitoses are more and vascular network is
less marked than myxoid form.
Round cell liposarcoma
Atypical lipomatous tumor orwell-
differentiated liposarcoma
• Gross- resembles ordinary lipoma .
• It also resembles it on low-power examination,
• but closer inspection shows scattered tumor cells with
large, deep-staining nuclei.
• These atypical cells may concentrate on the fibrous
strands that traverse the adipose tissue lobules
(sclerosing subtype)
• or be scattered among the mature adipocytes (lipoma-
like subtype) .
•
Atypical lipomatous tumor
Sclerosing pattern Lipoma-like subtype of
Pleomorphic liposarcoma
• It is a highly cellular,
• poorly differentiated neoplasm containing
numerous tumor giant cells,
• some of them having the features of
lipoblasts.
• Mitoses
• foci of necrosis.
•
Pleomorphic liposarcoma
Numerous giant lipoblasts
Epithelioid variant of pleomorphic liposarcoma
Dedifferentiated liposarcoma
• It is the term used for the emergence of a generally
nonlipogenic component within an atypical lipomatous
tumor
• The dedifferentiated component may already be
present at the time of the original excision OR in
recurrent or metastatic foci.
• It is much more common in retroperitoneal neoplasms.
• Microscopic- the dedifferentiated component is
usually high grade.
• Heterologous elements, such as skeletal muscle
(particularly frequent cartilage or blood vessels, may
be present
Desmin immunostain
Differentiation toward skeletal
muscle
Dedifferentiated retroperitoneal liposarcoma.
Thank you
• To be continued……..
SOFT TISSUE TUMOURS
WHO Classification of Soft Tissue
Tumour
• 1 Adipocytic tumours
• Lipoma
• Lipomatosis
• Lipomatosis of nerve
• Lipoblastoma / Lipoblastomatosis
• Angiolipoma
• Myolipoma of soft tissue
• Chondroid lipoma
• Spindle cell lipoma
• Pleomorphic lipoma
• Hibernoma
• Atypical lipomatous tumour
• Well differentiated liposarcoma
• Dedifferentiated liposarcoma
• Myxoid liposarcoma
• Pleomorphic liposarcoma
• Mixed-type liposarcoma
• 2 Fibroblastic / Myofibroblastic tumours
• Nodular fasciitis
• Proliferative fasciitis and proliferative
myositis
• Myositis ossificans and
• fibroosseous pseudotumour of digits
• Ischaemic fasciitis
• Elastofibroma
• Fibrous hamartoma of infancy
• Myofibroma / Myofibromatosis
• Fibromatosis colli
• Juvenile hyaline fibromatosis
• Inclusion body fibromatosis
• Fibroma of tendon sheath
• Desmoplastic fibroblastoma
• Mammary-type myofibroblastoma
• Calcifying aponeurotic fibroma
• Angiomyofibroblastoma
• Cellular angiofibroma
• Nuchal-type fibroma
• Gardner fibroma
• Calcifying fibrous tumour
• Giant cell angiofibroma
• Superficial fibromatoses
• Desmoid-type fibromatoses
• Lipofibromatosis
• Extrapleural solitary fibrous tumour and
• haemangiopericytoma
• Inflammatory myofibroblastic tumour
• Low grade myofibroblastic sarcoma
• Myxoinflammatory fibroblastic sarcoma
• Infantile fibrosarcoma
• Myxofibrosarcoma
• Low grade fibromyxoid sarcoma
• Sclerosing epithelioid fibrosarcoma
• Adult fibrosarcoma
• 3 Fibrohistiocytic tumours
• Giant cell tumour of tendon sheath
• Diffuse-type giant cell tumour
• Deep benign fibrous histiocytoma
• Plexiform fibrohistiocytic tumour
• Giant cell tumour of soft tissue
• Pleomorphic malignant fibrous histiocytoma
• Undifferentiated high grade
• pleomorphic sarcoma
• Giant cell malignant fibrous histiocytoma
• Undifferentiated pleomorphic sarcoma
• with giant cells
• Inflammatory malignant fibrous histiocytoma
• Undifferentiated pleomorphic sarcoma
• with prominent inflammation
• 4 Smooth muscle tumours
• Angioleiomyoma
• Leiomyoma of deep soft tissue
• Leiomyosarcoma
• 5 Pericytic (perivascular) tumours
• Glomus tumours
• Myopericytoma
• 6 Skeletal muscle tumours
• Rhabdomyoma
• Embryonal rhabdomyosarcoma
• Alveolar rhabdomyosarcoma
• Pleomorphic rhabdomyosarcoma
• 7 Vascular tumours
• Haemangiomas
• Epithelioid haemangioma
• Angiomatosis
• Lymphangioma
• Kaposiform haemangioendothelioma
• Retiform haemangioendothelioma
• Papillary intralymphatic
angioendothelioma
• Composite haemangioendothelioma
• Kaposi sarcoma
• Other intermediate vascular
neoplasms
• Epithelioid haemangioendothelioma
• Angiosarcoma of soft tissue
TUMORS AND TUMOR LIKE
CONDITIONS OF BLOOD AND
LYMPH VESSELS
Hemangioma
• occupy a gray zone between hamartomatous malformations and true
neoplasms..
• They are frequently designated and regarded as tumors because of their
usually localized nature and mass effect.
• However, the fact that they consistently lack chromosomal alterations
speaks against a true neoplastic nature.
• The presence or absence of nerve bundles intimately admixed with the
vascular proliferation has been used to place them into a malformative or
a neoplastic category.
• A high percentage occurs in children, and many are already present at
birth.
• Over half of the cases are in the head and neck area; they can also occur in
the trunk or extremities.
• Most hemangiomas are solitary
Capillary hemangiomas
• Made up of small vessels of capillary caliber and can occur in any
organ.
• Its most common location is the skin,
• where it appears as an elevated nodule with an intense crimson
color. Such a hemangioma is traditionally known to dermatologists
as a strawberry hemangioma because of its clinical appearance.
• Microscopic- the lesion exhibits a vaguely lobular configuration on
low-power examination . Masses of closely packed spindle cells are
seen with neoformed spaces that contain little blood.
• Mitotic figures are usually present and can be numerous. At the
periphery, the tumor may be seen to invade subcutaneous tissue or
skeletal muscle. Perineurial involvement has also been observed.
• Mast cells may be numerous.
Capillary hemangioma - showing vaguely
lobulated architecture
The high cellularity and mitotic activity
should not lead to an overdiagnosis of
malignancy
Cavernous hemangiomas
• Those occurring in the skin are traditionally
known as port-wine nevus or nevus flammeus.
• This lesion, which is present at birth, grows very
slowly and in proportion to the growth of the
patient; in time, it becomes nodular and soft.
• In contrast to the strawberry nevus, it does not
regress spontaneously.
• Are composed of larger vessels with cystically
dilated lumina and thin walls
The vascular spaces are widely dilated
Cavernous hemangioma
Glomus tumor
• Also known as glomangioma,
• originates in the neuromyoarterial glomus, a
normal arteriovenous shunt abundantly
supplied with nerve fibers and fulfilling a
temperature-regulating function.
• The classic location of the glomus tumor is
the subungual region, but it can occur
elsewhere in the skin, soft tissues, nasal cavity,
and trachea.
• Microscopic- glomus tumors consist of blood
vessels lined by normal endothelial cells and
surrounded by a solid proliferation of round or
cuboidal ‘epithelioid’ cells with perfectly
round nuclei and acidophilic cytoplasm .
• Immunohistochemically, they manifest
reactivity for myosin, vimentin, actin, and
basal lamina components but usually not for
desmin.
Glomus tumor- The distribution of round
glomus cells around the open vascular
lumen is a key to the diagnosis
Hemangiopericytoma
• This tumor is usually found in the soft tissues of
the extremities (usually distal).
• Tends to have a multinodular pattern of growth
• There is a family of tumor types composed of
cells with pericytic features, which blend on one
side with vascular smooth muscle cells and on
the other with vascular glomus cells.
• Presence of branching vessels with a staghorn
appearance
Hemangiopericytoma..
Characteristic multinodular quality as
seen on low power.
High-power view showing a cytologic
appearance intermediate between that
of glomus cells and pericytes
Hemangioendothelioma
• Vascular tumors of an endothelial nature that
occupy an intermediate position between the
benign hemangioma and the full-blown
angiosarcoma.
Hemangioendothelioma
Epithelioid hemangioendothelioma
• Is composed of a distinctive type of endothelial cells
having an epithelial-like or histiocyte-like
appearance. The cytoplasm is abundant and
eosinophilic, often vacuolated. The nucleus is
round, vesicular, and occasionally indented.
Vascular lumina are present, most of them small;
some are located intracellularly and are responsible
for the cytoplasmic vacuolation
Epithelioid hemangioendothelioma
A, The tumor partially fills the
lumen of the femoral vein.
B, Prominent cytoplasmic vacuolization is
apparent on high-power examination of the
same case
Malignant endovascular papillary
angioendothelioma (Dabska tumor; papillary
intralymphatic angioendothelioma)
• Is an extremely rare tumor.
• Usually seen in children
• Located in the skin or soft tissues and
• Characterized by papillary tufts that are lined by
plump endothelial cells located within dilated
vascular lumina, some of which have a
glomeruloid configuration.
• Many of the tumor cells have epithelioid or
histiocytoid features, including cytoplasmic
eosinophilia and vacuolation.
Dabska tumor.
The papillary configuration of the endothelial
fronds can be appreciated
Angiosarcoma
• It is usually seen in adults and the elderly.
• The most common locations are the skin, soft
tissue, breast, bone, liver, and spleen.
• Some soft tissue angiosarcomas arise from
major vessels, such as the inferior vena cava,
pulmonary artery, or aorta.
•
• Angiosarcomas have been reported in previously
irradiated fields,
• Around long-standing foreign bodies,
• In arteriovenous fistulas(including surgically
constructed ones).
• As a secondary somatic-type development in
mediastinal or retroperitoneal germ cell tumors,
• Arising within preexisting benign tumors, such as
hemangioma/vascular malformation,
neurofibroma, intramuscular lipoma, or
leiomyoma.
• Grossly, angiosarcomas tend to be highly hemorrhagic and
deeply invasive
• Their microscopic appearance ranges from a pattern so
well differentiated as to simulate a benign hemangioma to
one so undifferentiated and solid as to simulate carcinoma,
malignant melanoma, or other types of sarcoma.
• The diagnostic areas of angiosarcoma are represented by
the freely anastomosing vascular channels lined by atypical
endothelial cells
• A pattern that is accentuated by silver reticulin stains or
immunostains for basement membrane components.
Clusters of reactive lymphocytes and clumps of
hemosiderin are common.
• Variations in the appearance of the neoplastic
endothelial cells are great.
• Their shape ranges from very elongated to
plump and epithelioid, and their size from
small to giant, with occasional development of
multinucleated forms.
• The latter are sometimes seen to display
prominent hyaline globules containing a1-
antitrypsin and a1-antichymotrypsin.
Gross hemorrhagic appearance of angiosarcoma in the
region of the hip
Angiosarcoma
Anastomosing vascular
channels.
On high power, the channels are seen to
be lined by highly atypical endothelial cells
Epithelioid angiosarcoma
• Immunohistochemically -CD31 and FLI-1 are
the most reliable.
• Epithelioid variant there is coexpression of
keratin.
• In other cases there is expression of D2-40,
suggesting differentiation toward lymph vessel
endothelial cells.
Lymphangioma
• Most lymphangiomas represent malformations rather than
true neoplasms and are thought to result from failure of
the lymphatic system to communicate with the venous
system.
• Three forms exist: capillary, cavernous, and cystic .
• The capillary form occurs in the skin,
• Whereas the cavernous variety prefers deep soft tissues.
• Cystic lymphangioma has been traditionally known as
hygroma.
• Its most common presentation is in the form of a poorly
defined soft tissue mass in the neck of children, usually
situated posterior to the sternocleidomastoid muscle and
sometimes extending into the mediastinum
Lymphangioma
• Microscopically, lymphangioma consists of
large lymphatic channels growing in loose
connective tissue. A few disorganized bundles
of smooth muscle can be present in the wall
of the larger channels
Large cystic hygroma in the neck
of an 18-month-old infant.
Lymphangioma of soft tissue showing
dilated spaces lined by flattened
endothelium. A scattering of
lymphocytes is present in the stroma
Lymphangiosarcoma
• It is regarded as the lymph vessel counterpart of angiosarcoma.
• The cutaneous lymphangiosarcoma, present clinically as bluish or
purple elevations.
• They are often multiple,
• Microscopically, they show a wide variation of patterns, ranging
from solid undifferentiated areas that can simulate carcinoma to
others so well differentiated as to be indistinguishable from
lymphangioma or lymphangiectasia .
• As in the case of (hem)angiosarcoma, the most typical areas are
represented by freely anastomosing channels lined by atypical
endothelial cells.
• immunohistochemical studies have not only documented the
presence of endothelial markers such as D2-40.
Stewart–Treves syndrome
The diagnosis of lymphangiosarcoma has been
made in the presence of malignant vascular
tumors superimposed on areas of chronic
lymphedema, the prototypical example being
the lymphangiosarcoma developing in
patients who have had long-standing massive
lymphedema after radical mastectomy for
breast carcinoma
Amputated upper extremity in a case of
post-mastectomy lymphangiosarcoma.
lymphangiosarcoma showing an
intricate network of neoplastic vessels
TUMORS OF SMOOTH MUSCLE
Leiomyoma
• Several types of leiomyoma exist.
• Cutaneous leiomyomas located in the dermis arise from arrectores
pilorum muscles; they are characteristically superficial, small,
multiple, and grouped.
• Genital leiomyomas are solitary tumors that arise from smooth
muscle bundles located in the superficial subcutaneous tissue of
genital areas and structures that are topographically and
functionally related to them, such as the nipple, areola, axilla,
scrotum, penis, vulvar labia, and anal skin.
• Vascular leiomyomas (angioleiomyomas) arise from the smooth
muscle of blood vessels. They occur more frequently in females and
are usually located in the soft tissues of the lower limbs.
• Grossly, vascular leiomyomas are yellow or
yellowish pink, sharply circumscribed, and
fairly firm .
• Microscopically, they are made up of
intersecting fascicles of smooth muscle cells
encircling vascular lumina lined by normal
endothelial cells .
Leiomyoma
Gross appearance of a soft tissue
leiomyoma located in the leg of a child
Vascular leiomyoma. The neoplastic smooth
muscle cells are clearly related to vessel walls
Leiomyosarcoma
• Leiomyosarcoma of soft tissue is relatively rare.
• It is typically a tumor of adults and the elderly.
• The leiomyosarcomas seen with increasing frequency in
immunosuppressed patients (HIV-infected individuals and
organ transplant recipients) have been found to be
associated with the Epstein–Barr virus[
• Most soft tissue leiomyosarcomas are located in the
extremities, but they can occur anywhere, including the
head and neck region.
• Many arise from the walls of arteries and veins -inferior
vena cava, saphenous vein, femoral vein, pulmonary artery,
femoral artery, and aorta.
• Grossly, leiomyosarcomas can be as well
circumscribed as the leiomyomas but are
larger and softer and have a tendency for
fresh tumor necrosis, hemorrhage, and cystic
degeneration.
• Those arising from major vessels can protrude
in a polypoid fashion within the lumen or be
predominantly intramural.
Leiomyosarcoma
Gross appearance of leiomyosarcoma.
The central cystic cavity is a common
feature.
Leiomyosarcoma filling the lumen of the
popliteal vein and its branches, as seen on
cross section
• Microscopically, the pattern of growth is predominantly fascicular, with
the tumor bundles intersecting each other at wide angles. Merging of
tumor cells with blood vessel walls is an important diagnostic clue .
• In some cases the vascular pattern is particularly prominent, resulting in a
hemangiopericytoma-like appearance.
• We regard these tumors as the malignant counterpart of vascular
leiomyoma and have designated them vascular leiomyosarcomas.
• The individual cells have elongated, blunt-ended nuclei and acidophilic
fibrillary cytoplasm.
• Palisading of nuclei may occur.
• Cytoplasmic vacuoles located at both ends of the nucleus, sometimes
indenting them, represent another diagnostic clue.
•
The intimate relationship of the tumor cells with the
vessel walls
Leiomyosarcoma
Clear cell (epithelioid) smooth muscle tumors
TUMORS OF STRIATED MUSCLE
Rhabdomyoma
• Bona fide soft tissue benign tumors of skeletal muscle origin are
exceedingly rare.
• They can be divided into distinct subtypes, although some overlap
exists.
• Those known as the adult type are found almost exclusively in the
oral cavity and its vicinity in adult.
• Microscopically, the cells are well differentiated, large, rounded or
polygonal, with abundant acidophilic cytoplasm containing variable
amounts of lipid and glycogen.
• Some cells have features of ‘spider cells’, Cross striations and
intracytoplasmic rod-like (‘jack straw’) inclusions are frequent, and
intranuclear inclusions may be seen.
• There is no mitotic activity or nuclear atypia. The differential
diagnosis includes granular cell tumor, hibernoma, and the peculiar
condition known as crystal-storing histiocytosis
• The fetal form of rhabdomyoma is seen almost
exclusively in two locations: the head and neck area
(particularly the retroauricular area) in children under
3 years of age.
• The vulvovaginal region of middle-aged women.[he
latter, also referred to as genital rhabdomyoma.
• Microscopically, They are very cellular, formed by
immature skeletal muscle fibers (some containing cross
striations) and primitive mesenchymal cells . Nuclear
aberrations are absent, and mitoses are generally rare.
• The vulvovaginal cases tend to have a myxoid quality.
Fetal rhabdomyoma
Rhabdomyosarcoma
•
• There are three major categories of rhabdomyosarcoma: pleomorphic, embryonal,
and alveolar.
• Pleomorphic rhabdomyosarcoma.-This tumor, which constituted practically all the
cases of rhabdomyosarcoma in the older literature, is actually the least common of
the three categories.
• It arises in areas where myotome-derived skeletal muscle occurs and is therefore
usually located in an extremity, especially the thigh.It occurs almost exclusively in
adults,
• Grossly, it may be confined within fascial compartments and have the shape of the
muscle from which it arises.
• Microscopically, the tumor is very pleomorphic, with numerous tumor giant cells.
• Making a differential diagnosis with pleomorphic liposarcoma and other types of
pleomorphic sarcoma is so difficult that a diagnosis of pleomorphic
rhabdomyosarcoma should not be made unless there is incontrovertible evidence
of skeletal muscle differentiation in the form of cross striations.
• One should be very careful to avoid the following
pitfalls:
• (1) entrapped non-neoplastic skeletal muscle
fibers;
• (2) release of myoglobin from necrotic muscle
with subsequent nonspecific absorption by tumor
cells, which thus become immunoreactive.
• (3) presence of skeletal muscle differentiation in
other malignant tumors.
•
Pleomorphic rhabdomyosarcoma. The tumor was
immunoreactive for desmin and skeletal muscle actin
Embryonal rhabdomyosarcoma.
• This tumor type is common in the head and
neck region), retroperitoneum, bile ducts, and
urogenital tract.
• The large majority occur in children between
the ages of 3 and 12 years.
• Grossly, the tumor is poorly circumscribed,
white, and soft.
• Microscopically, the tumor cells are small and
spindle shaped. Some have a deeply
acidophilic cytoplasm . A feature of diagnostic
value is the presence of highly cellular areas
usually surrounding blood vessels, alternating
with paucicellular regions that have abundant
myxoid intercellular material.
• Cross striations may or may not be present;
Embryonal rhabdomyosarcoma. Most of the nuclei are
oval; the cytoplasm is scanty and acidophilic
Embryonal rhabdomyosarcoma composed
predominantly of round cells. There is a
perivascular pseudorosette around a blood vessel
Sarcoma botryoides
• When growing beneath a mucosal membrane,
such as the vagina, urinary bladder, or nasal
cavity, it frequently forms large polypoid masses
resembling a bunch of grapes – hence the name
sarcoma botryoides.
• A highly characteristic feature of these polypoid
(‘botryoid’) tumors is the presence of a dense
zone of undifferentiated tumor cells immediately
beneath the epithelium, a formation known as
Nicholson cambium layer
Botryoid rhabdomyosarcoma of common bile duct
showing a concentration of tumor cells immediately
beneath the epithelium (‘cambium layer’).
Alveolar rhabdomyosarcoma
• it predominates in an older age group -10–25
years.
• and occurs more frequently in the extremities,
the most common locations being forearms,
arms, and perirectal and perineal regions.
• It also occurs in the head and neck region.
• Microscopically, small, round, or oval tumor cells are seen
separated in nests by connective tissue septa .
• The tumor cells in contact with these fibrous strands remain firmly
attached to them, but the others tend to detach because of a lack
of cohesiveness, which results in a typical alveolar or
pseudoglandular appearance.
• The deep acidophilia of the cytoplasm and the presence of
occasional multinucleated giant cells are important diagnostic
features.
• Cases in which the alveolar pattern is poorly developed are
referred to as the ‘solid’ variant of alveolar rhabdomyosarcoma and
are particularly difficult to diagnose. Before identification of this
entity,
• Many of these tumors were misdiagnosed as primary malignant
lymphoma (of the soft tissues..
Alveolar rhabdomyosarcoma
Gross appearance of alveolar
rhabdomyosarcoma. The tumor is
embedded within skeletal muscle
Typical low-power appearance of
alveolar rhabdomyosarcoma. Note
the small size of the tumor cells.
Synovial sarcoma
• Typically arises about the knee and ankle joints of children and
young adults.
• It also occurs around other joints, such as shoulder and hip.
• Grossly, it tends to be well-circumscribed, firm, and grayish pink.
• Microscopically, the classic form of synovial sarcoma is that of a
biphasic tumor composed of sharply segregated epithelial and
sarcomatous components (the terms being used descriptively and
not histogenetically)
• The epithelial areas usually appear in the form of gland-like spaces
lined by cuboidal (synovial-like) or columnar cells, but can also
present as solid nests of large pale cells. It is exceptional for this
component to exhibit squamous features
• The sarcomatous component is made up of
spindle cells with a fibroblast-like appearance.
It tends to be hypercellular but with a
relatively monotonous appearance, plump
nuclei, a focally whorled pattern, distinct
lobulation or fasciculation.
Typical biphasic appearance of synovial sarcoma
Synovial sarcoma -with an adenocarcinoma-like
appearance of the epithelial component
Monophasic synovial sarcoma
• It is composed of only one of the two
components.
• In the large majority of cases, this applies to the
spindle cell sarcomatous component, which is
easily misdiagnosed as fibrosarcoma,
hemangiopericytoma.
• A search for epithelial-looking foci should be
carried out in these situations, as well as a
thorough immunohistochemical and
• possibly molecular evaluation
Monophasic synovial sarcoma
Granular cell tumor
• The classic location of tumor, is the tongue,
known as granular cell myoblastoma,.
• Other locations- skin, vulva, breast, larynx,
bronchus, esophagus, stomach, appendix,
rectum, anus, salivary glands, bile ducts,
pancreas, urinary bladder, uterus, brain,
pituitary gland.
Granular cell tumor
• These tumors are usually small, although we have
seen cases measuring up to 5 cm in diameter.
• They have a hard consistency and ill-defined
margins
• The individual cells are large and their cytoplasm
is highly granular . Most granules are small and
regular. They alternate with larger round droplets
having a homogeneous eosinophilic appearance
and a stronger PAS positivity.
• The pattern of growth is ill-defined and
pseudoinvasive.
Granular cell tumor
SPEAKER- NARMADA PRASAD TIWARI
THANK YOU
Alveolar soft part sarcoma
• Site- thigh and leg, oral cavity and pharynx
mediastinum ,stomach, retroperitoneum,
orbit, bladder, uterus, and vagina.
• Most patients are young females.
• Grossly, the tumors are well circumscribed,
usually large, moderately firm, and gray or
yellowish. Areas of necrosis or hemorrhage.
• Microscopically, the tumor cells are separated by
fibrous tissue into well-defined nests.
Detachment of the central cells results in a typical
alveolar pattern . The individual cells are large
and have vesicular nuclei, prominent nucleoli,
and a granular cytoplasm. Mitoses are
exceptional.
• PAS stain sometimes demonstrates the presence
of diastase-resistant intracytoplasmic needle-like
structures .
Alveolar soft part sarcoma
The tumor is multinodular, relatively well
circumscribed, and embedded within skeletal
muscle
Typical microscopic appearance of alveolar
soft part sarcoma. Note the lack of mitoses
Clear cell sarcoma of tendons and
aponeuroses
• This malignant tumor arises chiefly from large tendons and aponeuroses
of the extremities.
• Most of the patients are young adults, and there is a male predominance.
• Grossly, the tumors are firm, well circumscribed, and gray or white, and
are cut with a gritty sensation .
• Microscopically, solid nests and fascicles of pale fusiform or cuboidal cells
are present . The nucleoli are large and deeply basophilic. Multinucleated
giant cells are often seen. Abundant extracellular and intracellular iron is
present. In many of the cases the tumor cells also contain cytoplasmic
melanin.
• Strongly suggesting that this neoplasm is of neuroectodermal derivation
and that it represents a peculiar type of malignant melanoma of soft
parts.
• Immunoreactivity for S-100 protein, HMB-45, Leu7, NSE, and vimentin.
of clear cell sarcoma (malignant
melanoma of soft parts
Gross appearance
Clear cell sarcoma of soft parts. Note the
fascicular pattern of growth and the
prominent nucleoli.
Extraskeletal Ewing sarcoma/PNET
Tumors morphologically indistinguishable from Ewing sarcoma of
the skeletal system can present as soft tissue masses.
In some cases, they simply represent soft tissue extensions of
tumor originating in the underlying bone.
Most of the patients are adolescents or young adults, and the
usual sites of involvement are the deep soft tissues of the lower
extremity and paravertebral region.
Microscopically, like their skeletal counterpart, they are composed
of uniform small, round, or oval cells containing cytoplasmic
glycogen and sometimes arranged in a ‘peritheliomatous’ pattern .
Extraskeletal Ewing sarcoma/PNET. The tumor is
extremely cellular, with hardly any intervening
stroma. Some tumor cells are attached to a vessel
wall in a pseudorosette arrangement
Phosphaturic mesenchymal tumor
• Association between tumors of soft tissue and bone and osteomalacia or
rickets.
• The syndrome results from tumor production of a renal phosphaturic
substance that depletes total-body phosphates by inhibiting tubular
reabsorption of phosphate.
• It is characterized biochemically by hypophosphatemia, renal phosphate
wasting, and decreased serum 1,25-dihydroxyvitamin D3 levels.
• The soft tissue tumors associated with this complication have shown an
admixture of microscopic features.
• Microscopy- characteristic feature has been the association of
hemangiopericytoma-like areas and osteoclast-like giant cells, with or
without foci of osseous and cartilaginous metaplasia. A ‘grungy’ calcified
matrix is said to be particularly distinctive
• Immunohistochemically, they usually express fibroblastic growth factor-23
FGF-23.
Phosphaturic mesenchymal tumor
A, This area has a hemangiopericytoma-like quality.
B, In this area from the same tumor, there is chondroid
differentiation and a scattering of osteoclast-like giant cells.
Pleomorphic hyalinizing angiectatic
tumor of soft parts (PHAT)
• This tumor type can simulate schwannoma by virtue of the angiectatic
vasculature, the presence of hemosiderin-laden macrophages, and the
occurrence of a spindle cell component with scattered bizarre nuclear
forms but practically no mitotic activity .
• Two diagnostic clues are represented by the nuclear pseudoinclusions and
the fact that many of the bizarre cells are embedded within a fibrinous
material surrounding the angiectatic vessels.
• CD34 is focally positive and S-100 protein is negative..
• Fig. 25.218
• Cytogenetically, supernumerary ring chromosomes have been found,
linking PHAT with other low-grade mesenchymal malignancies, such as
dermatofibrosarcoma protuberans, parosteal osteosarcoma, and well-
differentiated liposarcoma.[1894] Local recurrences
Pleomorphic hyalinizing angiectatic tumor of soft
parts. The pleomorphic tumor cells surround dilated
vessels.
Chondrosarcoma
Soft tissue Osteosarcoma
PNET (Ewings tumor)

Soft tissue tumor

  • 1.
    Soft tissue tumor DrNARMADA PRASAD TIWARI
  • 2.
    • Soft tissueis defined as complex of nonepithelial extra skeletal structure of body exclusive of supportive tissue of various organs and the hematopoietic/ lymphoid tissue.
  • 3.
    • It iscomposed of fibrous tissue, adipose tissue, skeletal muscle, blood and lymph vessels and peripheral nerve. • Most of the soft tissue derived from mesoderm with neuroectodermal contribution corresponding to peripheral nerve.
  • 4.
    Pathogenesis • Unknown • Radiationtherapy • Chemical burn, thermal burn • Trauma • HHV-8 – kaposi sarcoma • GENETIC SYNDROME- • NEUROFIBROMATOSIS –NEUROFIBROMA,MALIGNANT PHERIPHERAL NERVE SHEATH TUMOUR • Gardner syndrome- fibromatosis • Li- fraumeni syndroma- soft tissue sarcoma • Oslar –weber rendu syndrome-telengiectasia
  • 5.
    • Mutation inthe mesenchymal stem cells • Speciic chromosomal abnormality-
  • 6.
    Cytogenetics • Ewing’s tumor/PNETt(11;22) • Myxoid liposarcoma t(12;16) • Clear-cell sarcoma t(12;22) • Alv. rhabdomyosarcoma t(2;13) or t(1;13) • Congenital fibrosarcoma t(12;15) • DFSP t(17;22) • Synovial sarcoma t(X;18)
  • 7.
    Cytologic Features Nuclear CharacteristicsCell Type Serpiginous Peripheral nerve sheath tumors Cigar-shaped Smooth muscle tumors Elongated fusiform (Myo-)fibroblastic tumors Uniform, fusiform, & “blue” Synovial sarcoma Pseudoinclusions Neural tumors Cytoplasmic Features Cell Type Fibrillary Myogenous-striated or smooth Vacuolated Myogenous-smooth Cross striations Myogenous-striated Granular & eosinophilic Granular cell tumors; some smooth muscle tumors
  • 9.
    Fascicular Growth • Leiomyosarcoma •Nodular Fasciitis • Fibromatosis • Solitary Fibrous Tumor • Peripheral nerve sheath tumors
  • 10.
    “Herringbone” Tumors • Synovialsarcoma • Neurofibrosarcoma • Solitary Fibrous Tumor
  • 11.
    Storiform Growth • Malignantfibrous histiocytoma • Dermatofibrosarcoma protuberans (DFSP) (best representative of this group) • Other fibrohistiocytic tumors • Occasional leiomyosarcomas • Some examples of malignant peripheral nerve sheath tumor • Occasional synovial sarcomas • Solitary fibrous tumor
  • 12.
    Starry Night -Vincent VanGogh Storiform Pattern
  • 13.
  • 14.
    Location • 40%- lowerextremity specially Thigh. • 30%- trunk and retro peritoneum. • 10%- upper extremity. • 10% - head and neck. • Males are affected more than females(1.4 : 1) • Incidence – increases with age
  • 15.
    Superficial Deep Atypical MFH fibroxanthoma AtypicalLiposarcoma lipoma EFFECT OF TUMOR DEPTH: SAME PATTERN BUT DIFFERENT DIAGNOSIS
  • 16.
    • Specific sarcomatend to be occur in certain age group – • Children- Rhabdomyosarcoma , • Young adulthood- synovial sarcoma • Middle to Late adult life- liposarcoma ,fibrosarcoma.
  • 17.
    Classification • TUMORS OFADIPOSE TISSUE - Lipoma - Liposarcoma • TUMOR OF FIBROUS TISSUE - Nodular fasciitis - Fibromatoses - Fibrosarcoma • FIBROHISTIOCYTIC TUMOR - Fibrous histiocytoma -Dermatofibrosarcoma protuberance - Malignant Fibrous Histicytoma • SKELETAL MUSCLE TUMOR - Rhabdomyoma - Rhabdomyosarcoma
  • 18.
    • SMOOTH MUSCLETUMORS -Leiomyoma -Leiomyosarcoma • VASCULAR TUMORS -Hemangioma -Lymphangioma -Hemangioendothelioma -Hemangiopericytoma -Angiosarcoma
  • 19.
    • PERIPHERAL NERVETUMORS -Neurofibroma -Schwanoma -Granular cell tumor -Malignant peripheral nerve sheath tumors • TUMORS OF UNCERTAIN HISTIOGENESIS -Synovial sarcoma -Epitheloid sarcoma
  • 20.
    French Federation GradingSystem Of Sarcoma Tumor Differentiation • Score 1: Sarcoma closely resembling normal adult mesenchymal tissue Ex- Well differentiated liposarcoma • Score 2: Sarcoma for which hitological typing is certain Ex- Biphasic synovial sarcoma, Alveolar soft part sarcoma • Score 3: Embryonal sarcoma, Undifferentiated sarcoma and sarcoma of doubtfull tumor type
  • 21.
    French Federation GradingSystem Of Sarcoma Mitosis Index • Score 1: 0 to 9 mitoses per 10 fields • Score 2: 10 to 19 mitoses per 10 fields • Score 3: More than 20 mitoses per 10 fields :
  • 22.
    French Federation GradingSystem Of Sarcoma Tumor Necrosis • Score 0: No necrosis • Score 1: < 50 % Tumor necrosis for all the examined tumor surface • Score 2: Tumor necrosis on more than half of the examined tumor surface
  • 23.
    French Federation GradingSystem Of Sarcoma Grading • Grade 1: 2 or 3 • Grade 2: 4 or 5 • Grade 3: Represent a total of 6, 7 or 8
  • 24.
    Enneking Staging SystemFor Soft Tissue Sarcoma • Stage 1: G1 Without metastases T1 G1 Without metastases T2 • Stage 2: G2 Without metastases T1 G2 Without metastases T2 • Stage 3 : G1 orG2 With metastases T1 G1 orG2 With metastases T2
  • 25.
    Pseudosarcoma • Reactive pseudoarcomatousproliferations are non neoplastic lesions that either develop in response to trauma or idiopathic. • Clinically they are alarming because they develop suddenly and grow rapidly. • Example include • Nodular fascitis • Proliferative fascitis • Proliferative myositis • Myositis ossificans • Pyogenic granuloma
  • 26.
    Nodular fascitis • Mostcommon pseudosarcoma • Most often occur in adults and volar aspect of forearm. • Gross – several centimeters in diameter , nodular configuration, poorly defined margins. • Microscopy –richly cellular ,plump immature appearing fibroblast. • A feature of diagnostic significance is the presence of undulating wide bands of collagen lined on the sides by spindle cells.
  • 27.
  • 28.
    Collagen deposition innodular fasciitis
  • 29.
    Calcifying aponeurotic fibroma •Hand or wrist of a child or adolescent • it may appear as a nodule or as an ill-defined infiltrating mass in the subcutaneous tissue or attached to a tendon • Microscopic- the lesion is characterized by a diffuse fibroblastic growth in which spotty calcification occurs. Infiltration of fat and striated muscle is often seen at the periphery. Mitoses are scarce, and atypical cytologic features are absent. Scattered osteoclast-like giant cells are frequently seen.
  • 30.
  • 31.
    Proliferative myositis • Theskeletal muscles of the shoulder, thorax, and thigh are those most commonly affected. • Most patients are over the age of 45 years • Gross- ill defined scar-like indurations of the muscle . • Microscopic-a cellular proliferation rich in fibroblasts is seen surrounding individual fibers. The hallmark of the lesion is the presence of very large basophilic cells with vesicular nuclei and very prominent nucleoli.
  • 32.
  • 33.
    Myositis ossificans • Itis a reactive condition that is sometimes mistaken microscopically for osteosarcoma. • The term is inaccurate because the muscle may not be involved, and inflammation is virtually absent. • A history of trauma is obtained in only half of the patients. • The most common locations are the flexor muscles of the upper arm (especially the brachialis anticus), the quadriceps femoris, the adductor muscles of the thigh, the gluteal muscles,
  • 34.
    • Microscopic- thereis a highly cellular stroma associated with new bone and, less commonly, cartilage formation. • In an early lesion, the centrally placed areas may be very difficult to distinguish from osteosarcoma because of their extreme cellularity. • The most important diagnostic feature is provided by the maturation pattern (‘zonal phenomenon’), characterized by a central cellular area, an intermediate zone of osteoid formation, and a peripheral shell of highly organized bone
  • 35.
    Various appearances ofmyositis ossificans. A, Deep region showing a highly cellular appearance that can simulate a soft tissue sarcoma. B, Midportion showing osteoid formation by plump osteoblasts. C, Peripheral portion showing a shell of well-formed bone
  • 36.
    Elastofibroma Almost exclusively thesubscapular region of elderly individuals There is often a history of strenuous manual labor. Microscopic-collagen bundles alternate with numerous acidophilic, refractive cylinders often containing a central dense core, both of which stain strongly with elastic stains. Ultrastructurally- the cylinders are made up of immature amorphous elastic tissue, whereas the central core contains mature fibers. Elastase digestion fully removes this material. Immunohistochemically- the cells present in the lesion are positive for CD34, MEF-2, prominin 2 (CD133), and factor XIIIa
  • 37.
  • 38.
    Fibromatosis 1 Proliferation ofwell-differentiated fibroblasts 2 Infiltrative pattern of growth 3 Presence of a variable (but usually abundant) amount of collagen between the proliferating cells 4 Lack of cytologic features of malignancy 5 Scanty or absent mitotic activity 6 Aggressive clinical behavior characterized by repeated local recurrences but lack of capacity to metastasize distantly
  • 39.
    • Grossly, theselesions are often large, firm, and whitish, with ill-defined outlines and an irregularly whorled cut surface. They often arise in a muscular fascia. • Microscopically, most of the proliferating cells have features intermediate between those of fibroblasts and smooth muscle cells
  • 40.
    Fibromatosis The spindle cellsof fibromatosis grow diffusely between skeletal muscle fibers
  • 41.
    Fibrosarcomas Common tumors ofadults, although they can occur in any age group and even be present as congenital neoplasms. Fibrosarcomas can arise from superficial and deep connective tissues such as fascia, tendon, periosteum, and scar; grow slowly or rapidly; and often appear well circumscribed. They usually are soft and cellular and may contain areas of necrosis and hemorrhage
  • 42.
    • Microscopic- Thecells are arranged in fascicles that intersect each other at acute angles, resulting in a herringbone appearance. • The individual cells resemble normal fibroblasts, and a reticulin stain demonstrates abundant fibers wrapped around each cell. • It should be differented from monophasic synovial sarcoma, liposarcoma, malignant fibrous histiocytoma, and MPNST.
  • 43.
    • Immunohistochemically theprototypical fibrosarcoma should have reactivity for vimentin and type I collagen but not for smooth muscle markers, histiocytic markers, or basal lamina components
  • 44.
  • 45.
    Congenital fibrosarcoma (infantile fibrosarcoma) •is an extremely cellular tumor characterized by very rapid growth and the capability for extensive local invasion, but its metastatic rate is negligible. • At the molecular level, it is characterized by the ETV6–NTRK3 gene fusion, which results from the chromosomal translocation t(12;15)(p13;q25)
  • 46.
    Congenital fibrosarcoma. Thetumor is extremely cellular and mitotically active
  • 47.
    Sclerosing epithelioid fibrosarcoma •It is a variant of fibrosarcoma ,It is composed of small, round to ovoid tumor cells embedded in a dense fibrohyaline stroma. • The scanty cytoplasm often has a clear appearance, and there may be an Indian file pattern of growth . Necrosis and bone invasion may be found. • There is consistent positivity for vimentin, and occasional positivity for EMA and even for keratin. • The tumor is associated with a high incidence of local recurrence and distant metastases
  • 48.
  • 49.
    Inflammatory Myofibroblastic Tumor •Which blends imperceptibly with cases that have been reported as inflammatory pseudotumor on one hand and inflammatory fibrosarcoma on the other. • Many of the cases have occurred in the mesentery or retroperitoneum of children or adolescents
  • 50.
  • 51.
  • 52.
    Benign Fibrous Histiocytoma •Dermatofibroma • Tenosynovial giant cell tumor • Pigmented villonodular synovitis The microscopic- A variable mixture of histiocyte- like cells (some foamy, others multinucleated, still others containing hemosiderin) and fibroblast- like cells is always present. Some lesions can be extremely cellular (cellular variant), and some may have large atypical nuclei (atypical variant),
  • 53.
    Tenosynovial giant celltumor. A polymorphic infiltrate of small histiocytes and multinucleated giant cells is embedded in dense fibrous tissue
  • 54.
    Intermediate (borderline) fibrous histiocytoma •This vaguely defined group of tumors is characterized by local aggressiveness but an extremely low rate of distant metastases. • Dermatofibrosarcoma protuberans (DFSP)- • It is typically centered in the dermis, but it can also occur in deeper soft tissues. • Microscopically - lack of circumscription; high cellularity; a relatively monomorphic appearance; nuclear hyperchromasia; moderate to high mitotic activity; lack or inconspicuousness of giant, foamy, or hemosiderin-laden cells; and the presence of what has been called a storiform pattern of growth . • This refers to a peculiar arrangement of the tumor cells around a central point, producing radiating ‘spokes’ grouped at right angles to each other.
  • 55.
    • dermatofibrosarcoma protuberanshave a translocation that involves chromosomes 17 and 22
  • 56.
  • 57.
    Pigmented dermatofibrosarcoma (Bednar tumor) •looks like the usual dermatofibrosarcoma protuberans except for the presence of a population of dendritic cells heavily loaded with melanin.
  • 59.
    Malignant Fibrous Histiocytoma •Several morphologic variants of MFH have been described. • Storiform-pleomorphic MFH is the prototypic and most common member of this group. • Most cases occur in the deep soft tissues of extremities in adults, with a peak in the seventh decade, but cases have also been recorded in children. • Some develop at the site of previous radiation therapy. • Still others have appeared around an infarct or a foreign body or at the site of a surgical scar.
  • 60.
    Malignant Fibrous Histiocytoma •Microscopic features - the presence of highly pleomorphic tumor cells and a storiform pattern of growth. • Sometimes the cytoplasm of the giant tumor cells is seen to contain numerous variably sized hyaline globules, thought to be related to apoptosis and lugubriously called thanatosomes. • Inflammatory elements, such as lymphocytes, plasma cells, and eosinophils, are usually mixed with the neoplastic cells. • Metaplastic bone and cartilage formation may be present focally
  • 61.
    • Immunohistochemically, thereis usually reactivity for vimentin, a1-antitrypsin, a1- antichymotrypsin, KP-1 (CD68), factor XIIIa, ferritin, and the plasma proenzyme factor XIII.
  • 62.
  • 63.
    MYXO FIBROSARCOMA • isthe term currently preferred for the tumor also known as myxoid MFH • Most of these tumors arise in the extremities of adults. • Grossly, they are mucoid and resemble myxoid liposarcomas . • Microscopically, the low-grade forms exhibit an abundant matrix of acid mucopolysaccharides, high vascularity, and the presence of cells resembling lipoblasts. • They are distinguished from myxoid liposarcomas by the presence elsewhere in the tumor of typical areas with the storiform–pleomorphic MFH pattern and the absence of true lipoblasts.
  • 64.
  • 65.
    Low-grade fibromyxoid sarcoma (Evanstumor) • Usually deep but sometimes superficial, especially in children • Characterized by alternating fibrous and myxoid areas, a focally whorled pattern of growth, low cellularity, and a bland appearance of the fibroblastic spindle cells[ • The main differential diagnosis is with myxofibrosarcoma. Low-grade fibromyxoid sarcoma has a biphasic fibrous and myxoid appearance, and the vascular network is less well developed.
  • 66.
    Low-grade fibromyxoid sarcoma (Evanstumor) MYXO FIBROSARCOMA
  • 67.
    hyalinizing spindle celltumor with giant rosettes • Morphologic variant of low-grade fibromyxoid sarcoma characterized by the presence of huge rosettelike formations made up of hyalinized collagen • t(7;16)(q33;p11).
  • 68.
    Hyalinizing spindle celltumor with giant rosettes
  • 69.
    Inflammatory myxohyaline tumor •low-grade malignant tumor usually found in the distal extremities . • Microscopically, it has an infiltrative multinodular quality and a polymorphic cellular composition in a hyaline or myxoid background . • There is a dense mononuclear inflammatory infiltrate containing scattered stromal cells of either epithelioid or spindle shape. Some of the latter are very large, with bizarre nuclei and prominent nucleoli, resulting in a resemblance to Reed–Sternberg cells or virus-infected cells. • The immunohistochemical profile, which is nonspecific, includes occasional focal reactivity for keratin. Local recurrence is common, but distant metastases are exceptional.Recently, this neoplasm is shown to exhibit a recurrent genetic aberration t(1;10)(p22;q24),
  • 70.
  • 71.
    Inflammatory MFH • Theneoplastic cells are mixed with, and even obscured by, an intense inflammatory infiltrate rich in neutrophils. • Some of the tumor cells contain phagocytosed neutrophils in their cytoplasm. Storiform pattern, collections of foamy cells, and areas of tissue necrosis are also consistently present
  • 72.
  • 73.
    Plexiform fibrohistiocytic tumor •occurs chiefly in children and young adults. • It usually presents as a small, slow-growing dermal or subcutaneous mass, often in an upper extremity. • Microscopically, there is a multinodular or plexiform proliferation of fibroblast-like and histiocyte-like cells admixed with osteoclast-like giant cells. • They have been divided morphologically into three subtypes: • fibroblastic, • histiocytic (often with osteoclast-type giant cells), • and mixed.
  • 74.
  • 75.
    Angiomatoid MFH • extremitiesof children and young adults as a circumscribed, multinodular, or multicystic hemorrhagic mass. • Microscopically, highly cellular foci are mixed with focal areas of hemorrhagic cyst-like spaces and large aggregates of chronic inflammatory cells. The latter are often arranged at the periphery of the tumor in the form of lymphoid follicles and may simulate the appearance of a lymph node.
  • 76.
  • 77.
  • 78.
    • Proliferative lesionsof peripheral nerves are divided into • Non-neoplastic - traumatic neuroma. • Benign tumors - schwannomas, neurofibromas, and perineuriomas. • Malignant tumors-malignant peripheral nerve sheath tumors (MPNSTs)
  • 79.
    Neuroma The large majorityof neuromas follow trauma – hence their designation as traumatic neuromas. Amputation neuroma, a term made popular during the First World War, is a type of traumatic neuroma in which the original trauma involves the loss of part or all of an extremity This lesion may be exquisitely painful Microscopically, all the elements of a nerve can be recognized: axons, Schwann cells, perineurial cells, and fibroblasts In addition, scar tissue is often present. Immunohistochemically, the Schwann cells of traumatic neuroma show CD68 and Ki-M1-P.
  • 80.
  • 81.
    Schwannoma (neurilemoma) • Trulyencapsulated neoplasms • Almost always solitary • Its most common locations are the flexor surfaces of the extremities, neck, mediastinum, retroperitoneum, posterior spinal roots, and cerebellopontine angle. • The nerve of origin often can be demonstrated in the periphery, flattened along the capsule but not penetrating the substance of the tumor . • Since this is a benign neoplasm that only rarely recurs . • The great majority of cases occur sporadically. • A small percentage of cases are associated with neurofibromatosis type 2 (caused by a germline mutation in the NF2 gene located on 22q12, which encodes merlin, also known as schwannomin
  • 82.
  • 83.
    • immunoreactivity forS-100 protein, calretinin (in contrast to neurofibromas), calcineurin, basal lamina components ,vimentin, nerve growth factor receptor, lipocortin-1, and sometimes glial fibrillary acidic protein and KP-l • Palisading of nuclei is not unique to schwannoma. • It can also occur in leiomyoma, leiomyosarcoma, • GIST, • calcifying aponeurotic fibroma, • non-neoplastic smooth muscle • (most commonly in the appendiceal wall).
  • 84.
    Cellular schwannoma • Itis the term used for highly cellular schwannomas that are exclusively composed of Antoni A areas but lack Verocay bodies. • These changes can be accompanied by nuclear atypia, mitotic activity, and focal necrosis. • Most reported cases have been in the retroperitoneum, pelvis, and mediastinum
  • 85.
  • 86.
    Psammomatous melanotic schwannoma • Mostarise from the spinal nerve roots. • Microscopically by the presence of melanin pigmentation and the deposition of psammoma bodies . • In contrast to all other types of schwannoma described in this section, the psammomatous melanotic variety is regarded as a low-grade malignancy because of its tendency for local recurrence and the fact that a few of the reported cases have metastasized
  • 87.
  • 88.
    Neurofibroma • The grossappearance of -As a rule, the tumors are not encapsulated and have a softer consistency than schwannoma . • The more superficial tumors appear as small, soft, pedunculated nodules protruding from the skin (‘molluscum pendulum’). • Deeper tumors grow larger. Tumors resulting in diffuse tortuous enlargement of peripheral nerves are designated as plexiform neurofibromas and are usually seen in the context of type 1 neurofibromatosis (caused by a germline mutation in the NF1 gene located on 17q11.2, which encodes neurofibromin).
  • 89.
    Neurofibroma Well-circumscribed neurofibroma ofsoft tissue. The tumor has a gelatinous appearance Typical gross appearance of plexiform neurofibroma. This tumor variety is indicative of Recklinghausen disease
  • 90.
    Neurofibroma • Microscopic- Neurofibromasare formed by a combined proliferation of all the elements of a peripheral nerve: axons, Schwann cells, fibroblasts, perineurial cells . • Axons can be demonstrated by silver or acetylcholinesterase stains or by immunostaining for neuron-specific enolase (NSE), neurofilaments, or various neuropeptides. • Schwann cells usually represent the predominant cellular element. Most have markedly elongated nuclei, with a wavy, serpentine configuration and pointed ends. • In contrast to schwannomas, Verocay bodies, palisading of nuclei, and hyaline thickening of the vessel wall are almost always absent in neurofibromas
  • 91.
  • 92.
    NEUROFIBROMATOSIS - single-gene disorder,autosomal-dominant . Two forms.- - von Recklinghausen disease (neurofibromatosis type 1), patients have multiple café-au-lait spots and dermal neurofibromas. - Neurofibromatosis type 2, patients have predominantly bilateral acoustic neuromas (schwannomas) that are associated with other brain and spinal cord tumors.
  • 93.
    • It isdiagnosed based on the presence of any two of the following: 1. At least five café-au-lait spots larger than 5 mm (six larger than 15 mm if the patient is prepubertal) 2. Two or more neurofibromas of any type or one plexiform type 3. Multiple large freckles in the axillary or inguinal regions 4. Sphenoid wing dysplasia 5. Bilateral optic nerve gliomas 6. Multiple iris nodules (Lisch spots) 7. A first-degree relative with the preceding criteria
  • 94.
    Perineurioma • Benign tumorsof the peripheral nerve composed predominantly or exclusively of perineurial cells are being increasingly recognized.Microscopically, they are composed of extremely elongated cells arranged in parallel bundles. • Some cases have a storiform pattern of growth and may correspond to the former storiform perineurial fibromas. • There is an intraneural variant of perineurioma, • Other recently recognized variants of this tumor include sclerosing perineurioma, which has a predilection for the fingers and palms of young adults;[reticular (retiform) perineurioma, with a predominant lace-like or reticular growth pattern composed of anastomosing cords of spindle cells; • plexiform perineurioma;and the exceptionally rare granular cell perineurioma. • Hybrid forms of schwannoma and perineurioma have also been described, • as well as malignant forms of perineurioma, the latter representing a subtype of MPNST
  • 95.
  • 96.
    Malignant peripheral nervesheath tumor • It is the currently preferred term for the neoplasm also known over the years as malignant schwannoma, neurogenic sarcoma, and neurofibrosarcoma. • Approximately half of these tumors arise de novo. • The other half from nerves involved by neurofibromas as part of type 1 Recklinghausen disease. • Some have occurred in areas of previous irradiation.
  • 97.
    Malignant peripheral nervesheath tumor • Because of its difficult microscopic recognition, errors are often made. • There are two circumstances in which the diagnosis of MPNST should be the primary consideration in the presence of a malignant tumor of soft tissues composed of spindle cells: (1) when the tumor develops in a patient with type 1 Recklinghausen disease; • (2) when the tumor is obviously arising within the anatomic compartment of a major nerve or in continuity with a neurofibroma.
  • 98.
    Malignant peripheral nervesheath tumor • In the absence of these circumstances the light microscopic diagnosis of MPNST is • They include: serpentine shape of the tumor cells; • Arrangement in palisades or whorls; • Marked contrast between the deeply hyperchromatic nuclei and the pale cytoplasm (‘punched-out nuclei’); • Perivascular concentration of tumor cells, with a plumper shape; • Epithelioid appearance of the endothelial cells of these vessels; • Presence of large gaping vascular spaces, resulting in a hemangiopericytoma-like appearance; • Geographic areas of necrosis, with tumor palisading at the edges
  • 99.
    The contrast betweenthe dark hyperchromatic nuclei and the light cytoplasm is typical of malignant peripheral nerve sheath tumor
  • 100.
  • 101.
    Malignant peripheral nervesheath tumor, Malignant peripheral nerve sheath tumor with skeletal muscle differentiation (so- called ‘triton tumor’). , Positive immunostain for myoglobin
  • 102.
  • 103.
    Lipoma • Benign fattytumors can arise in any location in which fat is normally present. • The majority occur in the upper half of the body, particularly the trunk and neck, but they can develop in any other site, including hands and feet.[ • Most lipomas are subcutaneous, an important point in the differential diagnosis with liposarcomas, which are almost always deep-seated. • However, lipomas can also occur in the deep soft tissues; these are subclassified into intramuscular (most common in the trunk) and intermuscular (most common in the anterior abdominal wall). • Most patients are in the fifth or sixth decade of life • May be single or multiple.
  • 104.
    • Lipomas cangrow to a large size; • they are usually encapsulated when located in the superficial soft tissues • Poorly circumscribed when arising in deeper structures. • Grossly, lipomas consist of bright yellow fat separated by fine fibrous trabeculae . • Microscopic- they are composed of mature adipose tissue with no cellular atypia. • They are cytologically and immunohistochemically indistinguishable from normal fat, including positivity for S-100 protein and calretinin.
  • 105.
    Morphologic variations oflipomas : • 1 Fibrolipoma - characterized by the presence of prominent bundles of mature collagenous or myxocollagenous stroma intermixed with mature adipocytes. It affects mainly the distal extremities. • 2 Myxolipoma. This tumor features focally well- developed myxoid changes. • 3 Chondroid lipoma. This variant is usually deep-seated . It is characterized by a component of eosinophilic and vacuolated cells containing glycogen and lipid that resembles brown fat cells, lipoblasts, and chondroblasts .
  • 106.
    • 4- Myolipoma.This tumor is characterized by an admixture in variable proportions of mature adipose tissue and bundles of well-differentiated smooth muscle.[ 5 Spindle cell lipoma.- Characteristically located in the regions of the shoulder and posterior neck of adults, but also found in many other locations, It is composed of an admixture of mature lipocytes and uniform spindle cells set in a mucinous and fibrous background[ Features that assist in distinguishing it from myxoid liposarcoma include the absence of lipoblasts and of a prominent plexiform vascular pattern, the presence of thick (‘ropy’) collagen bundles, and the great uniformity of the proliferating small spindle cells.
  • 107.
    • 6 Pleomorphiclipoma. This is a lipoma containing hyperchromatic multinucleated (‘floret-like’) tumor cells within the fibrous septa traversing the neoplasm . • As for spindle cell lipoma, its most common location is the shoulder and posterior neck region. • Differential diagnosis is with the sclerosing form of) well-differentiated liposarcoma (atypical lipomatous tumor). • The location of the lesion is an important clue, • Proportion of floret-type giant cells and lipoblasts is the most important distinguishing feature at the microscopic level..
  • 108.
    • 7 Angiolipoma.They are often painful and characteristically multiple. • They are located in the subcutis, most commonly on the trunk or extremities. • Vascularity often is limited to a band of tissue on the periphery of the neoplasm . • Hyaline thrombi are common and constitute an important diagnostic sign[. • The pain correlates well with the degree of vascularity.[
  • 109.
  • 110.
    chondroid lipoma Showing admixtureof mature fat and chondroid tissue
  • 111.
    Spindle cell lipoma Theoval to spindle cells are concentrated in the fibrous bands within lobules of mature adipose tissue
  • 112.
  • 113.
    Angiolipoma showing Intimate admixtureof blood vessels and mature adipose tissue Hyaline thrombi in angiolipoma
  • 114.
    Lipoblastoma/lipoblastomatosis • Affects almostexclusively infants and young children (below the age of 5 years). • It commonly involves the proximal portion of the lower and upper extremities. • Grossly, the lesion is soft and lobulated . • It is subdivided into (benign) lipoblastoma (sometimes also designated as embryonal or fetal lipoma) when well circumscribed and • lipoblastomatosis when deep-seated and ill defined. • Microscopic- it closely resembles fetal fat. presence of lipoblasts, a plexiform vascular pattern, and an abundant myxoid stroma .
  • 115.
    • It maybe confused with myxoid liposarcoma. • It is distinguished from the latter by • virtue of the young age of the patient, • distinct lobulation, • and absence of giant cells or pleomorphic nuclei.
  • 116.
  • 117.
    Hibernoma • is arare benign neoplasm. • Location- interscapular region, axilla, and thigh, but also in the mediastinum and retroperitoneum. • Gross-Its cut surface has a typical brown color, Microscopic- pattern is characteristic – an organoid arrangement of large cells with centrally located nucleus and a cytoplasm filled with many small vacuoles that stain for neutral fat.
  • 118.
    hibernoma Gross exhibiting thetypical light brown cut surface
  • 119.
  • 120.
    Liposarcoma • It isthe most frequent soft tissue sarcoma in adults. • Liposarcomas are usually large and occur most frequently in the lower extremities (popliteal fossa and medial thigh); retroperitoneal, perirenal, and mesenteric region; and shoulder area. • Grossly, liposarcomas are well circumscribed but not encapsulated. •
  • 121.
    lipoblast • The commonmorphologic denominator of liposarcoma is the lipoblast . • This appears as a mononuclear or multinucleated cell with one or more cytoplasmic vacuoles that contain fat. • The nucleus may be pushed aside by a single large vacuole, resulting in a signet ring configuration, • or it may remain centrally located but exhibit small indentations by multiple small vacuoles. •
  • 122.
  • 123.
    • Enzinger andWinslow divided liposarcomas into four types: • Myxoid, • Round cell, • Well differentiated, • Pleomorphic
  • 124.
    Myxoid liposarcoma • Mostcommon type of liposarcoma. • Marked predilection for the lower extremities, particularly the thigh . • It practically never occurs in the retroperitoneum. • Microscopically, myxoid liposarcoma has few or no mitotic figures • and is characterized by proliferating lipoblasts • Prominent anastomosing capillary network, • and a mucoid matrix. • The presence of a delicate network of thin-walled vessels is an important feature in the differential diagnosis with myxoma and other myxoid tumors. •
  • 125.
    Myxoid liposarcoma • Cytogenetically,myxoid liposarcoma is characterized by the reciprocal translocation t(12;16)(q13;p11), • t(12;22)(q13;q12)
  • 126.
  • 127.
    Round cell type •The tumor cells are small and have a distinctly acidophilic cytoplasm . • The presence among them of scattered lipoblasts establishes the diagnosis. • Mitoses are more and vascular network is less marked than myxoid form.
  • 128.
  • 129.
    Atypical lipomatous tumororwell- differentiated liposarcoma • Gross- resembles ordinary lipoma . • It also resembles it on low-power examination, • but closer inspection shows scattered tumor cells with large, deep-staining nuclei. • These atypical cells may concentrate on the fibrous strands that traverse the adipose tissue lobules (sclerosing subtype) • or be scattered among the mature adipocytes (lipoma- like subtype) . •
  • 130.
    Atypical lipomatous tumor Sclerosingpattern Lipoma-like subtype of
  • 131.
    Pleomorphic liposarcoma • Itis a highly cellular, • poorly differentiated neoplasm containing numerous tumor giant cells, • some of them having the features of lipoblasts. • Mitoses • foci of necrosis. •
  • 132.
  • 133.
    Epithelioid variant ofpleomorphic liposarcoma
  • 134.
    Dedifferentiated liposarcoma • Itis the term used for the emergence of a generally nonlipogenic component within an atypical lipomatous tumor • The dedifferentiated component may already be present at the time of the original excision OR in recurrent or metastatic foci. • It is much more common in retroperitoneal neoplasms. • Microscopic- the dedifferentiated component is usually high grade. • Heterologous elements, such as skeletal muscle (particularly frequent cartilage or blood vessels, may be present
  • 135.
    Desmin immunostain Differentiation towardskeletal muscle Dedifferentiated retroperitoneal liposarcoma.
  • 136.
    Thank you • Tobe continued……..
  • 137.
    SOFT TISSUE TUMOURS WHOClassification of Soft Tissue Tumour • 1 Adipocytic tumours • Lipoma • Lipomatosis • Lipomatosis of nerve • Lipoblastoma / Lipoblastomatosis • Angiolipoma • Myolipoma of soft tissue • Chondroid lipoma • Spindle cell lipoma • Pleomorphic lipoma • Hibernoma • Atypical lipomatous tumour • Well differentiated liposarcoma • Dedifferentiated liposarcoma • Myxoid liposarcoma • Pleomorphic liposarcoma • Mixed-type liposarcoma • 2 Fibroblastic / Myofibroblastic tumours • Nodular fasciitis • Proliferative fasciitis and proliferative myositis • Myositis ossificans and • fibroosseous pseudotumour of digits • Ischaemic fasciitis • Elastofibroma • Fibrous hamartoma of infancy • Myofibroma / Myofibromatosis • Fibromatosis colli • Juvenile hyaline fibromatosis • Inclusion body fibromatosis • Fibroma of tendon sheath • Desmoplastic fibroblastoma • Mammary-type myofibroblastoma • Calcifying aponeurotic fibroma • Angiomyofibroblastoma
  • 138.
    • Cellular angiofibroma •Nuchal-type fibroma • Gardner fibroma • Calcifying fibrous tumour • Giant cell angiofibroma • Superficial fibromatoses • Desmoid-type fibromatoses • Lipofibromatosis • Extrapleural solitary fibrous tumour and • haemangiopericytoma • Inflammatory myofibroblastic tumour • Low grade myofibroblastic sarcoma • Myxoinflammatory fibroblastic sarcoma • Infantile fibrosarcoma • Myxofibrosarcoma • Low grade fibromyxoid sarcoma • Sclerosing epithelioid fibrosarcoma • Adult fibrosarcoma • 3 Fibrohistiocytic tumours • Giant cell tumour of tendon sheath • Diffuse-type giant cell tumour • Deep benign fibrous histiocytoma • Plexiform fibrohistiocytic tumour • Giant cell tumour of soft tissue • Pleomorphic malignant fibrous histiocytoma • Undifferentiated high grade • pleomorphic sarcoma • Giant cell malignant fibrous histiocytoma • Undifferentiated pleomorphic sarcoma • with giant cells • Inflammatory malignant fibrous histiocytoma • Undifferentiated pleomorphic sarcoma • with prominent inflammation
  • 139.
    • 4 Smoothmuscle tumours • Angioleiomyoma • Leiomyoma of deep soft tissue • Leiomyosarcoma • 5 Pericytic (perivascular) tumours • Glomus tumours • Myopericytoma • 6 Skeletal muscle tumours • Rhabdomyoma • Embryonal rhabdomyosarcoma • Alveolar rhabdomyosarcoma • Pleomorphic rhabdomyosarcoma • 7 Vascular tumours • Haemangiomas • Epithelioid haemangioma • Angiomatosis • Lymphangioma • Kaposiform haemangioendothelioma • Retiform haemangioendothelioma • Papillary intralymphatic angioendothelioma • Composite haemangioendothelioma • Kaposi sarcoma • Other intermediate vascular neoplasms • Epithelioid haemangioendothelioma • Angiosarcoma of soft tissue
  • 140.
    TUMORS AND TUMORLIKE CONDITIONS OF BLOOD AND LYMPH VESSELS
  • 141.
    Hemangioma • occupy agray zone between hamartomatous malformations and true neoplasms.. • They are frequently designated and regarded as tumors because of their usually localized nature and mass effect. • However, the fact that they consistently lack chromosomal alterations speaks against a true neoplastic nature. • The presence or absence of nerve bundles intimately admixed with the vascular proliferation has been used to place them into a malformative or a neoplastic category. • A high percentage occurs in children, and many are already present at birth. • Over half of the cases are in the head and neck area; they can also occur in the trunk or extremities. • Most hemangiomas are solitary
  • 142.
    Capillary hemangiomas • Madeup of small vessels of capillary caliber and can occur in any organ. • Its most common location is the skin, • where it appears as an elevated nodule with an intense crimson color. Such a hemangioma is traditionally known to dermatologists as a strawberry hemangioma because of its clinical appearance. • Microscopic- the lesion exhibits a vaguely lobular configuration on low-power examination . Masses of closely packed spindle cells are seen with neoformed spaces that contain little blood. • Mitotic figures are usually present and can be numerous. At the periphery, the tumor may be seen to invade subcutaneous tissue or skeletal muscle. Perineurial involvement has also been observed. • Mast cells may be numerous.
  • 144.
    Capillary hemangioma -showing vaguely lobulated architecture
  • 145.
    The high cellularityand mitotic activity should not lead to an overdiagnosis of malignancy
  • 146.
    Cavernous hemangiomas • Thoseoccurring in the skin are traditionally known as port-wine nevus or nevus flammeus. • This lesion, which is present at birth, grows very slowly and in proportion to the growth of the patient; in time, it becomes nodular and soft. • In contrast to the strawberry nevus, it does not regress spontaneously. • Are composed of larger vessels with cystically dilated lumina and thin walls
  • 147.
    The vascular spacesare widely dilated Cavernous hemangioma
  • 148.
    Glomus tumor • Alsoknown as glomangioma, • originates in the neuromyoarterial glomus, a normal arteriovenous shunt abundantly supplied with nerve fibers and fulfilling a temperature-regulating function. • The classic location of the glomus tumor is the subungual region, but it can occur elsewhere in the skin, soft tissues, nasal cavity, and trachea.
  • 149.
    • Microscopic- glomustumors consist of blood vessels lined by normal endothelial cells and surrounded by a solid proliferation of round or cuboidal ‘epithelioid’ cells with perfectly round nuclei and acidophilic cytoplasm . • Immunohistochemically, they manifest reactivity for myosin, vimentin, actin, and basal lamina components but usually not for desmin.
  • 150.
    Glomus tumor- Thedistribution of round glomus cells around the open vascular lumen is a key to the diagnosis
  • 151.
    Hemangiopericytoma • This tumoris usually found in the soft tissues of the extremities (usually distal). • Tends to have a multinodular pattern of growth • There is a family of tumor types composed of cells with pericytic features, which blend on one side with vascular smooth muscle cells and on the other with vascular glomus cells. • Presence of branching vessels with a staghorn appearance
  • 152.
    Hemangiopericytoma.. Characteristic multinodular qualityas seen on low power. High-power view showing a cytologic appearance intermediate between that of glomus cells and pericytes
  • 153.
    Hemangioendothelioma • Vascular tumorsof an endothelial nature that occupy an intermediate position between the benign hemangioma and the full-blown angiosarcoma.
  • 154.
  • 155.
    Epithelioid hemangioendothelioma • Iscomposed of a distinctive type of endothelial cells having an epithelial-like or histiocyte-like appearance. The cytoplasm is abundant and eosinophilic, often vacuolated. The nucleus is round, vesicular, and occasionally indented. Vascular lumina are present, most of them small; some are located intracellularly and are responsible for the cytoplasmic vacuolation
  • 156.
    Epithelioid hemangioendothelioma A, Thetumor partially fills the lumen of the femoral vein. B, Prominent cytoplasmic vacuolization is apparent on high-power examination of the same case
  • 157.
    Malignant endovascular papillary angioendothelioma(Dabska tumor; papillary intralymphatic angioendothelioma) • Is an extremely rare tumor. • Usually seen in children • Located in the skin or soft tissues and • Characterized by papillary tufts that are lined by plump endothelial cells located within dilated vascular lumina, some of which have a glomeruloid configuration. • Many of the tumor cells have epithelioid or histiocytoid features, including cytoplasmic eosinophilia and vacuolation.
  • 158.
    Dabska tumor. The papillaryconfiguration of the endothelial fronds can be appreciated
  • 159.
    Angiosarcoma • It isusually seen in adults and the elderly. • The most common locations are the skin, soft tissue, breast, bone, liver, and spleen. • Some soft tissue angiosarcomas arise from major vessels, such as the inferior vena cava, pulmonary artery, or aorta. •
  • 160.
    • Angiosarcomas havebeen reported in previously irradiated fields, • Around long-standing foreign bodies, • In arteriovenous fistulas(including surgically constructed ones). • As a secondary somatic-type development in mediastinal or retroperitoneal germ cell tumors, • Arising within preexisting benign tumors, such as hemangioma/vascular malformation, neurofibroma, intramuscular lipoma, or leiomyoma.
  • 161.
    • Grossly, angiosarcomastend to be highly hemorrhagic and deeply invasive • Their microscopic appearance ranges from a pattern so well differentiated as to simulate a benign hemangioma to one so undifferentiated and solid as to simulate carcinoma, malignant melanoma, or other types of sarcoma. • The diagnostic areas of angiosarcoma are represented by the freely anastomosing vascular channels lined by atypical endothelial cells • A pattern that is accentuated by silver reticulin stains or immunostains for basement membrane components. Clusters of reactive lymphocytes and clumps of hemosiderin are common.
  • 162.
    • Variations inthe appearance of the neoplastic endothelial cells are great. • Their shape ranges from very elongated to plump and epithelioid, and their size from small to giant, with occasional development of multinucleated forms. • The latter are sometimes seen to display prominent hyaline globules containing a1- antitrypsin and a1-antichymotrypsin.
  • 163.
    Gross hemorrhagic appearanceof angiosarcoma in the region of the hip
  • 164.
    Angiosarcoma Anastomosing vascular channels. On highpower, the channels are seen to be lined by highly atypical endothelial cells
  • 165.
  • 166.
    • Immunohistochemically -CD31and FLI-1 are the most reliable. • Epithelioid variant there is coexpression of keratin. • In other cases there is expression of D2-40, suggesting differentiation toward lymph vessel endothelial cells.
  • 167.
    Lymphangioma • Most lymphangiomasrepresent malformations rather than true neoplasms and are thought to result from failure of the lymphatic system to communicate with the venous system. • Three forms exist: capillary, cavernous, and cystic . • The capillary form occurs in the skin, • Whereas the cavernous variety prefers deep soft tissues. • Cystic lymphangioma has been traditionally known as hygroma. • Its most common presentation is in the form of a poorly defined soft tissue mass in the neck of children, usually situated posterior to the sternocleidomastoid muscle and sometimes extending into the mediastinum
  • 168.
    Lymphangioma • Microscopically, lymphangiomaconsists of large lymphatic channels growing in loose connective tissue. A few disorganized bundles of smooth muscle can be present in the wall of the larger channels
  • 169.
    Large cystic hygromain the neck of an 18-month-old infant. Lymphangioma of soft tissue showing dilated spaces lined by flattened endothelium. A scattering of lymphocytes is present in the stroma
  • 170.
    Lymphangiosarcoma • It isregarded as the lymph vessel counterpart of angiosarcoma. • The cutaneous lymphangiosarcoma, present clinically as bluish or purple elevations. • They are often multiple, • Microscopically, they show a wide variation of patterns, ranging from solid undifferentiated areas that can simulate carcinoma to others so well differentiated as to be indistinguishable from lymphangioma or lymphangiectasia . • As in the case of (hem)angiosarcoma, the most typical areas are represented by freely anastomosing channels lined by atypical endothelial cells. • immunohistochemical studies have not only documented the presence of endothelial markers such as D2-40.
  • 171.
    Stewart–Treves syndrome The diagnosisof lymphangiosarcoma has been made in the presence of malignant vascular tumors superimposed on areas of chronic lymphedema, the prototypical example being the lymphangiosarcoma developing in patients who have had long-standing massive lymphedema after radical mastectomy for breast carcinoma
  • 172.
    Amputated upper extremityin a case of post-mastectomy lymphangiosarcoma. lymphangiosarcoma showing an intricate network of neoplastic vessels
  • 173.
  • 174.
    Leiomyoma • Several typesof leiomyoma exist. • Cutaneous leiomyomas located in the dermis arise from arrectores pilorum muscles; they are characteristically superficial, small, multiple, and grouped. • Genital leiomyomas are solitary tumors that arise from smooth muscle bundles located in the superficial subcutaneous tissue of genital areas and structures that are topographically and functionally related to them, such as the nipple, areola, axilla, scrotum, penis, vulvar labia, and anal skin. • Vascular leiomyomas (angioleiomyomas) arise from the smooth muscle of blood vessels. They occur more frequently in females and are usually located in the soft tissues of the lower limbs.
  • 175.
    • Grossly, vascularleiomyomas are yellow or yellowish pink, sharply circumscribed, and fairly firm . • Microscopically, they are made up of intersecting fascicles of smooth muscle cells encircling vascular lumina lined by normal endothelial cells .
  • 176.
    Leiomyoma Gross appearance ofa soft tissue leiomyoma located in the leg of a child Vascular leiomyoma. The neoplastic smooth muscle cells are clearly related to vessel walls
  • 177.
    Leiomyosarcoma • Leiomyosarcoma ofsoft tissue is relatively rare. • It is typically a tumor of adults and the elderly. • The leiomyosarcomas seen with increasing frequency in immunosuppressed patients (HIV-infected individuals and organ transplant recipients) have been found to be associated with the Epstein–Barr virus[ • Most soft tissue leiomyosarcomas are located in the extremities, but they can occur anywhere, including the head and neck region. • Many arise from the walls of arteries and veins -inferior vena cava, saphenous vein, femoral vein, pulmonary artery, femoral artery, and aorta.
  • 178.
    • Grossly, leiomyosarcomascan be as well circumscribed as the leiomyomas but are larger and softer and have a tendency for fresh tumor necrosis, hemorrhage, and cystic degeneration. • Those arising from major vessels can protrude in a polypoid fashion within the lumen or be predominantly intramural.
  • 179.
    Leiomyosarcoma Gross appearance ofleiomyosarcoma. The central cystic cavity is a common feature. Leiomyosarcoma filling the lumen of the popliteal vein and its branches, as seen on cross section
  • 180.
    • Microscopically, thepattern of growth is predominantly fascicular, with the tumor bundles intersecting each other at wide angles. Merging of tumor cells with blood vessel walls is an important diagnostic clue . • In some cases the vascular pattern is particularly prominent, resulting in a hemangiopericytoma-like appearance. • We regard these tumors as the malignant counterpart of vascular leiomyoma and have designated them vascular leiomyosarcomas. • The individual cells have elongated, blunt-ended nuclei and acidophilic fibrillary cytoplasm. • Palisading of nuclei may occur. • Cytoplasmic vacuoles located at both ends of the nucleus, sometimes indenting them, represent another diagnostic clue. •
  • 181.
    The intimate relationshipof the tumor cells with the vessel walls Leiomyosarcoma
  • 182.
    Clear cell (epithelioid)smooth muscle tumors
  • 183.
  • 184.
    Rhabdomyoma • Bona fidesoft tissue benign tumors of skeletal muscle origin are exceedingly rare. • They can be divided into distinct subtypes, although some overlap exists. • Those known as the adult type are found almost exclusively in the oral cavity and its vicinity in adult. • Microscopically, the cells are well differentiated, large, rounded or polygonal, with abundant acidophilic cytoplasm containing variable amounts of lipid and glycogen. • Some cells have features of ‘spider cells’, Cross striations and intracytoplasmic rod-like (‘jack straw’) inclusions are frequent, and intranuclear inclusions may be seen. • There is no mitotic activity or nuclear atypia. The differential diagnosis includes granular cell tumor, hibernoma, and the peculiar condition known as crystal-storing histiocytosis
  • 185.
    • The fetalform of rhabdomyoma is seen almost exclusively in two locations: the head and neck area (particularly the retroauricular area) in children under 3 years of age. • The vulvovaginal region of middle-aged women.[he latter, also referred to as genital rhabdomyoma. • Microscopically, They are very cellular, formed by immature skeletal muscle fibers (some containing cross striations) and primitive mesenchymal cells . Nuclear aberrations are absent, and mitoses are generally rare. • The vulvovaginal cases tend to have a myxoid quality.
  • 186.
  • 187.
    Rhabdomyosarcoma • • There arethree major categories of rhabdomyosarcoma: pleomorphic, embryonal, and alveolar. • Pleomorphic rhabdomyosarcoma.-This tumor, which constituted practically all the cases of rhabdomyosarcoma in the older literature, is actually the least common of the three categories. • It arises in areas where myotome-derived skeletal muscle occurs and is therefore usually located in an extremity, especially the thigh.It occurs almost exclusively in adults, • Grossly, it may be confined within fascial compartments and have the shape of the muscle from which it arises. • Microscopically, the tumor is very pleomorphic, with numerous tumor giant cells. • Making a differential diagnosis with pleomorphic liposarcoma and other types of pleomorphic sarcoma is so difficult that a diagnosis of pleomorphic rhabdomyosarcoma should not be made unless there is incontrovertible evidence of skeletal muscle differentiation in the form of cross striations.
  • 188.
    • One shouldbe very careful to avoid the following pitfalls: • (1) entrapped non-neoplastic skeletal muscle fibers; • (2) release of myoglobin from necrotic muscle with subsequent nonspecific absorption by tumor cells, which thus become immunoreactive. • (3) presence of skeletal muscle differentiation in other malignant tumors. •
  • 189.
    Pleomorphic rhabdomyosarcoma. Thetumor was immunoreactive for desmin and skeletal muscle actin
  • 190.
    Embryonal rhabdomyosarcoma. • Thistumor type is common in the head and neck region), retroperitoneum, bile ducts, and urogenital tract. • The large majority occur in children between the ages of 3 and 12 years. • Grossly, the tumor is poorly circumscribed, white, and soft.
  • 191.
    • Microscopically, thetumor cells are small and spindle shaped. Some have a deeply acidophilic cytoplasm . A feature of diagnostic value is the presence of highly cellular areas usually surrounding blood vessels, alternating with paucicellular regions that have abundant myxoid intercellular material. • Cross striations may or may not be present;
  • 192.
    Embryonal rhabdomyosarcoma. Mostof the nuclei are oval; the cytoplasm is scanty and acidophilic
  • 193.
    Embryonal rhabdomyosarcoma composed predominantlyof round cells. There is a perivascular pseudorosette around a blood vessel
  • 194.
    Sarcoma botryoides • Whengrowing beneath a mucosal membrane, such as the vagina, urinary bladder, or nasal cavity, it frequently forms large polypoid masses resembling a bunch of grapes – hence the name sarcoma botryoides. • A highly characteristic feature of these polypoid (‘botryoid’) tumors is the presence of a dense zone of undifferentiated tumor cells immediately beneath the epithelium, a formation known as Nicholson cambium layer
  • 195.
    Botryoid rhabdomyosarcoma ofcommon bile duct showing a concentration of tumor cells immediately beneath the epithelium (‘cambium layer’).
  • 196.
    Alveolar rhabdomyosarcoma • itpredominates in an older age group -10–25 years. • and occurs more frequently in the extremities, the most common locations being forearms, arms, and perirectal and perineal regions. • It also occurs in the head and neck region.
  • 197.
    • Microscopically, small,round, or oval tumor cells are seen separated in nests by connective tissue septa . • The tumor cells in contact with these fibrous strands remain firmly attached to them, but the others tend to detach because of a lack of cohesiveness, which results in a typical alveolar or pseudoglandular appearance. • The deep acidophilia of the cytoplasm and the presence of occasional multinucleated giant cells are important diagnostic features. • Cases in which the alveolar pattern is poorly developed are referred to as the ‘solid’ variant of alveolar rhabdomyosarcoma and are particularly difficult to diagnose. Before identification of this entity, • Many of these tumors were misdiagnosed as primary malignant lymphoma (of the soft tissues..
  • 198.
    Alveolar rhabdomyosarcoma Gross appearanceof alveolar rhabdomyosarcoma. The tumor is embedded within skeletal muscle Typical low-power appearance of alveolar rhabdomyosarcoma. Note the small size of the tumor cells.
  • 199.
    Synovial sarcoma • Typicallyarises about the knee and ankle joints of children and young adults. • It also occurs around other joints, such as shoulder and hip. • Grossly, it tends to be well-circumscribed, firm, and grayish pink. • Microscopically, the classic form of synovial sarcoma is that of a biphasic tumor composed of sharply segregated epithelial and sarcomatous components (the terms being used descriptively and not histogenetically) • The epithelial areas usually appear in the form of gland-like spaces lined by cuboidal (synovial-like) or columnar cells, but can also present as solid nests of large pale cells. It is exceptional for this component to exhibit squamous features
  • 200.
    • The sarcomatouscomponent is made up of spindle cells with a fibroblast-like appearance. It tends to be hypercellular but with a relatively monotonous appearance, plump nuclei, a focally whorled pattern, distinct lobulation or fasciculation.
  • 201.
    Typical biphasic appearanceof synovial sarcoma
  • 202.
    Synovial sarcoma -withan adenocarcinoma-like appearance of the epithelial component
  • 203.
    Monophasic synovial sarcoma •It is composed of only one of the two components. • In the large majority of cases, this applies to the spindle cell sarcomatous component, which is easily misdiagnosed as fibrosarcoma, hemangiopericytoma. • A search for epithelial-looking foci should be carried out in these situations, as well as a thorough immunohistochemical and • possibly molecular evaluation
  • 204.
  • 205.
    Granular cell tumor •The classic location of tumor, is the tongue, known as granular cell myoblastoma,. • Other locations- skin, vulva, breast, larynx, bronchus, esophagus, stomach, appendix, rectum, anus, salivary glands, bile ducts, pancreas, urinary bladder, uterus, brain, pituitary gland.
  • 206.
    Granular cell tumor •These tumors are usually small, although we have seen cases measuring up to 5 cm in diameter. • They have a hard consistency and ill-defined margins • The individual cells are large and their cytoplasm is highly granular . Most granules are small and regular. They alternate with larger round droplets having a homogeneous eosinophilic appearance and a stronger PAS positivity. • The pattern of growth is ill-defined and pseudoinvasive.
  • 207.
  • 211.
    SPEAKER- NARMADA PRASADTIWARI THANK YOU
  • 214.
    Alveolar soft partsarcoma • Site- thigh and leg, oral cavity and pharynx mediastinum ,stomach, retroperitoneum, orbit, bladder, uterus, and vagina. • Most patients are young females. • Grossly, the tumors are well circumscribed, usually large, moderately firm, and gray or yellowish. Areas of necrosis or hemorrhage.
  • 215.
    • Microscopically, thetumor cells are separated by fibrous tissue into well-defined nests. Detachment of the central cells results in a typical alveolar pattern . The individual cells are large and have vesicular nuclei, prominent nucleoli, and a granular cytoplasm. Mitoses are exceptional. • PAS stain sometimes demonstrates the presence of diastase-resistant intracytoplasmic needle-like structures .
  • 216.
    Alveolar soft partsarcoma The tumor is multinodular, relatively well circumscribed, and embedded within skeletal muscle Typical microscopic appearance of alveolar soft part sarcoma. Note the lack of mitoses
  • 217.
    Clear cell sarcomaof tendons and aponeuroses • This malignant tumor arises chiefly from large tendons and aponeuroses of the extremities. • Most of the patients are young adults, and there is a male predominance. • Grossly, the tumors are firm, well circumscribed, and gray or white, and are cut with a gritty sensation . • Microscopically, solid nests and fascicles of pale fusiform or cuboidal cells are present . The nucleoli are large and deeply basophilic. Multinucleated giant cells are often seen. Abundant extracellular and intracellular iron is present. In many of the cases the tumor cells also contain cytoplasmic melanin. • Strongly suggesting that this neoplasm is of neuroectodermal derivation and that it represents a peculiar type of malignant melanoma of soft parts. • Immunoreactivity for S-100 protein, HMB-45, Leu7, NSE, and vimentin.
  • 218.
    of clear cellsarcoma (malignant melanoma of soft parts Gross appearance Clear cell sarcoma of soft parts. Note the fascicular pattern of growth and the prominent nucleoli.
  • 219.
    Extraskeletal Ewing sarcoma/PNET Tumorsmorphologically indistinguishable from Ewing sarcoma of the skeletal system can present as soft tissue masses. In some cases, they simply represent soft tissue extensions of tumor originating in the underlying bone. Most of the patients are adolescents or young adults, and the usual sites of involvement are the deep soft tissues of the lower extremity and paravertebral region. Microscopically, like their skeletal counterpart, they are composed of uniform small, round, or oval cells containing cytoplasmic glycogen and sometimes arranged in a ‘peritheliomatous’ pattern .
  • 220.
    Extraskeletal Ewing sarcoma/PNET.The tumor is extremely cellular, with hardly any intervening stroma. Some tumor cells are attached to a vessel wall in a pseudorosette arrangement
  • 221.
    Phosphaturic mesenchymal tumor •Association between tumors of soft tissue and bone and osteomalacia or rickets. • The syndrome results from tumor production of a renal phosphaturic substance that depletes total-body phosphates by inhibiting tubular reabsorption of phosphate. • It is characterized biochemically by hypophosphatemia, renal phosphate wasting, and decreased serum 1,25-dihydroxyvitamin D3 levels. • The soft tissue tumors associated with this complication have shown an admixture of microscopic features. • Microscopy- characteristic feature has been the association of hemangiopericytoma-like areas and osteoclast-like giant cells, with or without foci of osseous and cartilaginous metaplasia. A ‘grungy’ calcified matrix is said to be particularly distinctive • Immunohistochemically, they usually express fibroblastic growth factor-23 FGF-23.
  • 222.
    Phosphaturic mesenchymal tumor A,This area has a hemangiopericytoma-like quality. B, In this area from the same tumor, there is chondroid differentiation and a scattering of osteoclast-like giant cells.
  • 223.
    Pleomorphic hyalinizing angiectatic tumorof soft parts (PHAT) • This tumor type can simulate schwannoma by virtue of the angiectatic vasculature, the presence of hemosiderin-laden macrophages, and the occurrence of a spindle cell component with scattered bizarre nuclear forms but practically no mitotic activity . • Two diagnostic clues are represented by the nuclear pseudoinclusions and the fact that many of the bizarre cells are embedded within a fibrinous material surrounding the angiectatic vessels. • CD34 is focally positive and S-100 protein is negative.. • Fig. 25.218 • Cytogenetically, supernumerary ring chromosomes have been found, linking PHAT with other low-grade mesenchymal malignancies, such as dermatofibrosarcoma protuberans, parosteal osteosarcoma, and well- differentiated liposarcoma.[1894] Local recurrences
  • 224.
    Pleomorphic hyalinizing angiectatictumor of soft parts. The pleomorphic tumor cells surround dilated vessels.
  • 225.
  • 226.
  • 227.