dr. Sanggam B Hutagalung, M.BioMed,SpPA
Dept. Patologi Anatomi Fakultas Kedokteran
Universitas Methodist Indonesia
PATOLOGI SISTEM
MUSCULOSKELETAL
Joint and Soft tissue diseases
SOFT TISSUE TUMORS.
• Adipose tissue.: Lipomas –Liposarcomas
• Fibrous tissue: Fibroma-Fibrosarcoma
• Skeletal muscle : Rhabdomyoma ,
Rhabdomyosarcoma
• Smooth muscle: Leiomyoma-Leiomyosarcoma
• Vascular tumors: Hemangioma-Angiosarcoma
• Peripheral nerve tumors.
• Unknown exact cell of origin
• Malignant soft tissue tumors are graded
according to differentiation into I-III grades
• Grades I&II may recur but rarely metastasize
prognosis of malignant tumours depends on the
histologic type,its degree of differentiation (
Grade), size and the anatomic site( Stage).
• The prognosis depends on Type, Grade,
Stage, & Site
Tumors of Adipose tissue:
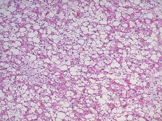
Lipoma
• Commonest of soft tissue tumors
• Most in subcutaneous tissue
• Single or multiple, may be familial
• No malignant transformation
• Grossly : Circumscribed yellow mass
• Histologically : Mature fatty tissue
• Many histological variants
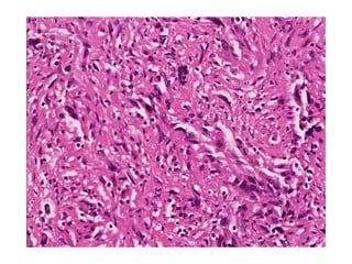
Liposarcoma
• Adults 50-60yrs
• Deep soft tissue & retroperitoneum
• Grossly : Large yellow glistening mass
• Histologically :
– Low grade : Well differentiated & Myxoid
– High grade :Round & Pleomorphic
(Diagnosis depends on identification of lipoblasts)
• Prognosis depends on type
FAT
• LIPOMA
• LIPOSARCOMA
NORMAL FAT LIPOMA,
encapsulated
LIPOSARCOMA, often
retroperitoneal
• Fibrous Tumors & Reactive
Proliferations
1- Nodular fasciitis
Reactive fibroblastic proliferation frequently
misdiagnosed as sarcoma.
Mostly affects young adults and presents as
rapidly enlarging sometimes painful mass .
Location:- Upper extremity and trunk.
10% of patients have history of local trauma.
Self limiting
Similar reactive lesion is Myositis Ossificans
Morphology
Grossly: Unencapsulated < 3 cm mass in
subcutaneous tissue, muscle or fascia
Micro:- immature appearing fibroblasts with
high mitoses but no atypia set in myxoid
background.
( Tissue culture like appearance)
2- Fibromatosis
 A group of fibroblastic proliferation, grow in
infiltrative fashion and to recur after surgical excision
but do not metastasize.
 Various age groups ,various gene mutations
 Two types:
A. Superficial:- palmar (Dupuytren contracture) and
penile ( Peyronie disease)
B. Deep called desmoid tumours that arise in the
abdomen,muscles of the trunk and extremities and
these tend to be more aggressive.
3-Fibrosarcoma
Mostly affects adults, rare congenital in infants
Sites:- Deep tissues of thighs,knees and
retroperitoneum.
They tend to grow slowly.
Gross: are solitary,infiltrative or well circumscribed.
Micro: Fasicles of fibroblasts arranged in herringbone
appearance
Recurrence and metastatic rates depend on the grade.
4- Fibrohistiocytic Tumors
• Several types
• Benign & malignant
• Most are in adults
• Superficial usually benign
• Deep often malignant, larger, highly
pleomorphic, metastasizing.
• Treatment by excision
Benign Fibrous Histiocytoma :
(Dermatofibroma)
• Common tumor
• Circumscribed tumor in dermis or
subcutaneous tissue < 1 cm.
• Histology : Spindle cells & histiocytes
No mitoses
Dermatofibrosarcoma Protruberance :
• As above, but larger, deeper
• Mitoses present, CD 34 positive
• Recurs after excision
• Tumors of Smooth Muscle :
• Benign : Leiomyoma , mainly uterine
but could arise from vascular smooth muscle
anywhere
• Malignant : Leiomyosarcoma,uterus or
soft tissue.
Superficial or large retroperitoneum or
extremities.
• Tumors of Skeletal Muscle
Rhabdomyosarcoma :
• Commonest sarcoma of children,adolescents
& young adults.
• Chromosomal translocation t(2;13)produces a
fusion gene (PAX gene) controlling muscle
differentiation
• Sites: Soft tissue, head & neck, genito-urinary
tract
• Aggressive tumor, treated by surgery,chemo
& radiation
SKELETAL MUSCLE
• RHABDOMYOMA
• RHABDOMYOSARCOMA
• Types :
 Embryonal:- most common type mainly
in head & neck, genitourinary &
retroperitoneum.
 Alveolar type: in extremities of
adolescents.
 Pleomorphic: in soft tissues of adults.
Diagnostic cell is the Rhabdomyoblast
which is Tadpole or Strap cell
Diseases of skeletal muscle
Diseases of skeletal muscle.
 Muscular atrophy
 Neurogenic atrophy
Muscular Dystrophies
 Duchenne muscle dystrophy.
 Becker muscle dystrophy.
Neuromuscular junction disorders.
 Myasthenia Gravis.
Inflammatory myopathies.
Inherited metabolic & congenital diseases.
Acquired metabolic and toxic diseases.
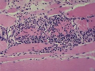
Spinal muscular atrophy with groups of atrophic muscle fibers resulting
from denervation atrophy of muscle in early childhood.
Downloaded from: Robbins & Cotran Pathologic Basis of Disease (on 28 September 2009 11:10 PM)
© 2007 Elsevier
A, Dermatomyositis. Note the rash affecting the eyelids.
B, Dermatomyositis. The histologic appearance of muscle shows
perifascicular atrophy of muscle fibers and inflammation..
Downloaded from: Robbins & Cotran Pathologic Basis of Disease (on 28 September 2009 11:10 PM)
© 2007 Elsevier
FIBROUS TISSUE
• NODULAR FASCIITIS (pseudosarcomatous)
• FIBROMATOSES (plantar,
palmar, penile)
• FIBROSARCOMA
FIBROHISTIOCYTIC
• FIBROUS HISTIOCYTOMA
• DERMATOFIBROSARCOMA PROTUBERANS
• MALIGNANT FIBROUS HISTIOCYTOMA
SMOOTH MUSCLE
• LEIOMYOMA
• LEIOMYOSARCOMA
VASCULAR
• HEMANGIOMA
• LYMPHANGIOMA
• HEMANGIOENDOTHELIOMA
• HEMANGIOPERICYTOMA
• ANGIOSARCOMA
PERIPHERAL NERVE
• NEUROFIBROMA
• SCHWANNOMA
• GRANULAR CELL TUMOR
• MALIGNANT (SCHWANNOMA)
UNCERTAIN
• SYNOVIAL SARCOMA
• ALVEOLAR “SOFT PART” SARCOMA
• EPITHELIOD SARCOMA

K25- Dermato-Musculosceletal 2023 (1).pptx

  • 1.
    dr. Sanggam BHutagalung, M.BioMed,SpPA Dept. Patologi Anatomi Fakultas Kedokteran Universitas Methodist Indonesia PATOLOGI SISTEM MUSCULOSKELETAL Joint and Soft tissue diseases
  • 2.
    SOFT TISSUE TUMORS. •Adipose tissue.: Lipomas –Liposarcomas • Fibrous tissue: Fibroma-Fibrosarcoma • Skeletal muscle : Rhabdomyoma , Rhabdomyosarcoma • Smooth muscle: Leiomyoma-Leiomyosarcoma • Vascular tumors: Hemangioma-Angiosarcoma • Peripheral nerve tumors. • Unknown exact cell of origin
  • 3.
    • Malignant softtissue tumors are graded according to differentiation into I-III grades • Grades I&II may recur but rarely metastasize prognosis of malignant tumours depends on the histologic type,its degree of differentiation ( Grade), size and the anatomic site( Stage). • The prognosis depends on Type, Grade, Stage, & Site
  • 4.
    Tumors of Adiposetissue: Lipoma • Commonest of soft tissue tumors • Most in subcutaneous tissue • Single or multiple, may be familial • No malignant transformation • Grossly : Circumscribed yellow mass • Histologically : Mature fatty tissue • Many histological variants
  • 5.
    Liposarcoma • Adults 50-60yrs •Deep soft tissue & retroperitoneum • Grossly : Large yellow glistening mass • Histologically : – Low grade : Well differentiated & Myxoid – High grade :Round & Pleomorphic (Diagnosis depends on identification of lipoblasts) • Prognosis depends on type
  • 6.
    FAT • LIPOMA • LIPOSARCOMA NORMALFAT LIPOMA, encapsulated LIPOSARCOMA, often retroperitoneal
  • 8.
    • Fibrous Tumors& Reactive Proliferations
  • 9.
    1- Nodular fasciitis Reactivefibroblastic proliferation frequently misdiagnosed as sarcoma. Mostly affects young adults and presents as rapidly enlarging sometimes painful mass . Location:- Upper extremity and trunk. 10% of patients have history of local trauma. Self limiting Similar reactive lesion is Myositis Ossificans
  • 10.
    Morphology Grossly: Unencapsulated <3 cm mass in subcutaneous tissue, muscle or fascia Micro:- immature appearing fibroblasts with high mitoses but no atypia set in myxoid background. ( Tissue culture like appearance)
  • 12.
    2- Fibromatosis  Agroup of fibroblastic proliferation, grow in infiltrative fashion and to recur after surgical excision but do not metastasize.  Various age groups ,various gene mutations  Two types: A. Superficial:- palmar (Dupuytren contracture) and penile ( Peyronie disease) B. Deep called desmoid tumours that arise in the abdomen,muscles of the trunk and extremities and these tend to be more aggressive.
  • 13.
    3-Fibrosarcoma Mostly affects adults,rare congenital in infants Sites:- Deep tissues of thighs,knees and retroperitoneum. They tend to grow slowly. Gross: are solitary,infiltrative or well circumscribed. Micro: Fasicles of fibroblasts arranged in herringbone appearance Recurrence and metastatic rates depend on the grade.
  • 15.
    4- Fibrohistiocytic Tumors •Several types • Benign & malignant • Most are in adults • Superficial usually benign • Deep often malignant, larger, highly pleomorphic, metastasizing. • Treatment by excision
  • 16.
    Benign Fibrous Histiocytoma: (Dermatofibroma) • Common tumor • Circumscribed tumor in dermis or subcutaneous tissue < 1 cm. • Histology : Spindle cells & histiocytes No mitoses Dermatofibrosarcoma Protruberance : • As above, but larger, deeper • Mitoses present, CD 34 positive • Recurs after excision
  • 17.
    • Tumors ofSmooth Muscle : • Benign : Leiomyoma , mainly uterine but could arise from vascular smooth muscle anywhere • Malignant : Leiomyosarcoma,uterus or soft tissue. Superficial or large retroperitoneum or extremities.
  • 18.
    • Tumors ofSkeletal Muscle
  • 19.
    Rhabdomyosarcoma : • Commonestsarcoma of children,adolescents & young adults. • Chromosomal translocation t(2;13)produces a fusion gene (PAX gene) controlling muscle differentiation • Sites: Soft tissue, head & neck, genito-urinary tract • Aggressive tumor, treated by surgery,chemo & radiation
  • 20.
  • 21.
    • Types : Embryonal:- most common type mainly in head & neck, genitourinary & retroperitoneum.  Alveolar type: in extremities of adolescents.  Pleomorphic: in soft tissues of adults. Diagnostic cell is the Rhabdomyoblast which is Tadpole or Strap cell
  • 22.
  • 23.
    Diseases of skeletalmuscle.  Muscular atrophy  Neurogenic atrophy Muscular Dystrophies  Duchenne muscle dystrophy.  Becker muscle dystrophy. Neuromuscular junction disorders.  Myasthenia Gravis. Inflammatory myopathies. Inherited metabolic & congenital diseases. Acquired metabolic and toxic diseases.
  • 24.
    Spinal muscular atrophywith groups of atrophic muscle fibers resulting from denervation atrophy of muscle in early childhood. Downloaded from: Robbins & Cotran Pathologic Basis of Disease (on 28 September 2009 11:10 PM) © 2007 Elsevier
  • 25.
    A, Dermatomyositis. Notethe rash affecting the eyelids. B, Dermatomyositis. The histologic appearance of muscle shows perifascicular atrophy of muscle fibers and inflammation.. Downloaded from: Robbins & Cotran Pathologic Basis of Disease (on 28 September 2009 11:10 PM) © 2007 Elsevier
  • 27.
    FIBROUS TISSUE • NODULARFASCIITIS (pseudosarcomatous) • FIBROMATOSES (plantar, palmar, penile) • FIBROSARCOMA
  • 28.
    FIBROHISTIOCYTIC • FIBROUS HISTIOCYTOMA •DERMATOFIBROSARCOMA PROTUBERANS • MALIGNANT FIBROUS HISTIOCYTOMA
  • 29.
  • 32.
    VASCULAR • HEMANGIOMA • LYMPHANGIOMA •HEMANGIOENDOTHELIOMA • HEMANGIOPERICYTOMA • ANGIOSARCOMA
  • 33.
    PERIPHERAL NERVE • NEUROFIBROMA •SCHWANNOMA • GRANULAR CELL TUMOR • MALIGNANT (SCHWANNOMA)
  • 34.
    UNCERTAIN • SYNOVIAL SARCOMA •ALVEOLAR “SOFT PART” SARCOMA • EPITHELIOD SARCOMA