By
DR.BHAVIN VADODARIYA
DNB Surgical Oncology 1st year Resident,
Apollo CBCC Cancer Care,
Ahmedabad
Date-07/06/2017
Clinical History
 29 yr old female Premenopausal, multi gravida
presented on 28/04/17 with complain of Right sided
breast lump, which suddenly increased in size during 15
days.
 There were no other complains with not significant
family history.
 Menstrual History- normal , Age of menarche-13 years
 Obstetric History- G2 P2 A0 , Breastfeed all children
Past History
 Operated 4 times for Left Breast Lump
3 times- Left breast lumpectomy
Left simple mastectomy in January 2017 with HPE
suggestive of Borderline Phyllodes
 17/09/2016 Left Segmental Mastectomy was done
HPE-
 Mild Cytological atypia,
 Mitosis = 0-2/hpf
 Necrosis Absent
 Surgical Margins -Tumor present
13/01/2017 – Left Simple mastectomy
HPE- Borderline Phyllodes
 Mild Cytological atypia,
 Mitosis = 0-2/hpf
 Necrosis Absent
 Surgical Margins -free
 Stromal Hypercellularity
Investigations
 USG Right Breast
 Multiple well defined heterogeneously hypo echoic lesions
in right breast with largest lesion sized 8*7*5 cm sized from
8 to 10 o'clock position.
Multiple tiny cystic areas with mild to moderate peri lesional
vascualrity
 Core Biopsy
Phyllodes tumor
Treatment
 Right Simple mastectomy with Axillary sampling was done
on 09/05/2017.
 HPE
 Borderline Phyllodes tumor
Mild to moderate Cytological atypia,
Mitosis = 0-1 to 4-5/hpf
Necrosis Absent
Surgical Margins -free,pushing
Stromal Hypercellularity
Lymph nodes- All 20 free of tumour
Grading
Gross Appearance
Phyllodes tumors are highly variable in their GROSS
APPEARANCE.
The majority are well-circumscribed, solid, grayish white, yellow,
or pink fleshy masses with cystic areas.
Foci of necrosis and hemorrhage may be seen in larger tumors
Tumors range in size from 1 to 45 cm, but on average are 4 to 5
cm in diameter.
A true histologic capsule is absent. On gross examination, these
tumors do not appear distinctly different from fibroadenomas.
Benign Phyllodes
 It can be difficult to distinguish benign PT from cellular
fibroadenoma because increased stromal cellularity is a
prominent feature of both.
 The distinction between the 2 is important, however,
because their treatment and prognosis are different.
 The leaflike pattern that is typical of PT is not seen in cellular
fibroadenoma and, if present, is focal and not well
developed. One source of difficulty is the fact that
Biological Behavior
 The perceived clinical relevance of grading phyllodes tumours is
to predict clinical behaviour
 Benign tumours have the potential to locally recur.
 Borderline tumours have the potential to recur locally, and have a
very low risk of metastasis.
 Malignant tumours have the highest risk of metastatic behaviour,
which may eventually prove fatal. However, it
is accepted that adverse events are, in general, rare for all forms
of phyllodes tumours when they are subjected to complete local
excision.
Distinguishing cellular fibroadenoma from benign phyllodes
tumour
 It can be difficult to distinguish benign PT from cellular
fibroadenoma because increased stromal cellularity is a
prominent feature of both.
 The distinction between the 2 is important, however,
because their treatment and prognosis are different.
 The leaflike pattern that is typical of PT is not seen in cellular
fibroadenoma and, if present, is focal and not well
developed.
 One source of difficulty is the fact that fibroadenoma-like
areas can be seen in otherwise typical cases of PT.
 Histologic heterogeneity in stromal cellularity and structure
in PT may further create difficulty in the distinction between
PT and cellular fibroadenoma on core biopsy.
 (A) Low magnification showed a few elongated epithelium-
lined clefts with stromal mounds. Mild stromal
hypercellularity was observed.
 (B) Higher magnification of a stromal frond pushing into the
clefted space that contained blood and haemosiderophages,
with accentuation of stromal nuclei in the periepithelial zone
Benign phyllodes tumor.
Leaflike projections of mildly increased stromal cellularity.
Enhanced intracanalicular pattern, characterized by projection of
cellular stroma into epithelial-lined clefts of cystic spaces
Stromal fragmentation in core biopsy
Intratumoral stromal heterogeneity.
The stroma is fibrotic in the left lower area and hypercellular in
the right upper area in the same tumor.
Subepithelial stromal condensation.
Enhanced stromal cellularity adjacent to or
underneath epithelium
Definitions
 Mitotic activity -Evaluated in more cellular areas and quantified
per 10 HPF
 Stromal overgrowth -Stromal proliferation without accompanying
epithelial elements in at least 1 low-power field.
 Infiltrative tumor margin -Projections of tumor stroma into the
peritumoral stroma or adipose tissue
(A) Mild nuclear atypia shows minimal variation in nuclear size with
even chromatin and smooth nuclear contours.
(B) Moderate nuclear atypia with more variation in nuclear size and
irregular nuclear membranes.
(C)Marked nuclear atypia with marked nuclear pleomorphism,
hyperchromasia, and irregular nuclear contours.
 Stromal cellularity –Evaluated in the most cellular areas
Mild -Twice cellularity of normal perilobular stroma with
evenly spaced nuclei without overlapping
Moderate- Intermediate in degree between mildly and
markedly
Marked -Stromal cells in close contiguity with nuclei
appearing to touch and overlapping
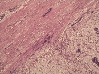
Borderline Phyllodes tumour
(A)Rounded pushing contour of the tumour.
(B) Stromal hypercellularity was of moderate degree, accompanied by
focally marked nuclear atypia.
(C) Higher magnification of atypical stromal cells showed
hyperchromatic nuclei, prominent nucleoli, and occasional mitoses
(arrow).
Borderline phyllodes tumor.
The stroma is moderately cellular and the stromal cells show
moderate nuclear atypia
(hematoxylin-eosin,
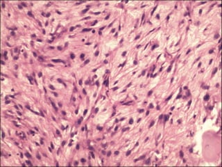
Malignant phyllodes tumor.
The stroma is markedly cellular and the stromal cells show marked
nuclear pleomorphism. There are
numerous mitoses
Malignant phyllodes tumour with metastasis to the lung.
(A) Low magnification of the primary breast phyllodes tumour with a
cystic space into which stromal fronds projected.
Part of the tumour showed a fibroadenoma-like appearance, whereas
the remaining parts were more cellular.
) Higher magnification of the cellular stromal areas showed
sheets of plump spindled cells with enlarged vesicular nuclei
with distinct nucleoli and scattered mitoses.
Several osteoclastic giant cells were dispersed among the
spindled cells.
(C) Metastasis to the lung 1 year later showed a similar
abnormal spindled population with scattered osteoclastic
giant cells.
No epithelial component was present in the metastasis.
Malignant phyllodes tumour with liposarcoma
(A)Stromal fronds contained cells with marked nuclear pleomorphism
with a few bizarre cells.
(B)Among the abnormal stromal cells were scattered lipoblasts
featuring hyperchromatic scalloped nuclei with vacuolated
cytoplasm, indicating a liposarcomatous component.
Malignant spindle cell proliferation.
The presence of a bland epithelial component in the upper right of
this core biopsy is typical
of malignant phyllodes tumor
Distinguishing malignant phyllodes tumour from primary breast
sarcoma and spindle cell metaplastic breast carcinoma
Thank you

Phyllodes Tumour

  • 1.
    By DR.BHAVIN VADODARIYA DNB SurgicalOncology 1st year Resident, Apollo CBCC Cancer Care, Ahmedabad Date-07/06/2017
  • 2.
    Clinical History  29yr old female Premenopausal, multi gravida presented on 28/04/17 with complain of Right sided breast lump, which suddenly increased in size during 15 days.  There were no other complains with not significant family history.  Menstrual History- normal , Age of menarche-13 years  Obstetric History- G2 P2 A0 , Breastfeed all children
  • 3.
    Past History  Operated4 times for Left Breast Lump 3 times- Left breast lumpectomy Left simple mastectomy in January 2017 with HPE suggestive of Borderline Phyllodes
  • 4.
     17/09/2016 LeftSegmental Mastectomy was done HPE-  Mild Cytological atypia,  Mitosis = 0-2/hpf  Necrosis Absent  Surgical Margins -Tumor present 13/01/2017 – Left Simple mastectomy HPE- Borderline Phyllodes  Mild Cytological atypia,  Mitosis = 0-2/hpf  Necrosis Absent  Surgical Margins -free  Stromal Hypercellularity
  • 5.
    Investigations  USG RightBreast  Multiple well defined heterogeneously hypo echoic lesions in right breast with largest lesion sized 8*7*5 cm sized from 8 to 10 o'clock position. Multiple tiny cystic areas with mild to moderate peri lesional vascualrity  Core Biopsy Phyllodes tumor
  • 6.
    Treatment  Right Simplemastectomy with Axillary sampling was done on 09/05/2017.  HPE  Borderline Phyllodes tumor Mild to moderate Cytological atypia, Mitosis = 0-1 to 4-5/hpf Necrosis Absent Surgical Margins -free,pushing Stromal Hypercellularity Lymph nodes- All 20 free of tumour
  • 11.
  • 12.
    Gross Appearance Phyllodes tumorsare highly variable in their GROSS APPEARANCE. The majority are well-circumscribed, solid, grayish white, yellow, or pink fleshy masses with cystic areas. Foci of necrosis and hemorrhage may be seen in larger tumors Tumors range in size from 1 to 45 cm, but on average are 4 to 5 cm in diameter. A true histologic capsule is absent. On gross examination, these tumors do not appear distinctly different from fibroadenomas.
  • 13.
    Benign Phyllodes  Itcan be difficult to distinguish benign PT from cellular fibroadenoma because increased stromal cellularity is a prominent feature of both.  The distinction between the 2 is important, however, because their treatment and prognosis are different.  The leaflike pattern that is typical of PT is not seen in cellular fibroadenoma and, if present, is focal and not well developed. One source of difficulty is the fact that
  • 14.
    Biological Behavior  Theperceived clinical relevance of grading phyllodes tumours is to predict clinical behaviour  Benign tumours have the potential to locally recur.  Borderline tumours have the potential to recur locally, and have a very low risk of metastasis.  Malignant tumours have the highest risk of metastatic behaviour, which may eventually prove fatal. However, it is accepted that adverse events are, in general, rare for all forms of phyllodes tumours when they are subjected to complete local excision.
  • 15.
    Distinguishing cellular fibroadenomafrom benign phyllodes tumour  It can be difficult to distinguish benign PT from cellular fibroadenoma because increased stromal cellularity is a prominent feature of both.  The distinction between the 2 is important, however, because their treatment and prognosis are different.  The leaflike pattern that is typical of PT is not seen in cellular fibroadenoma and, if present, is focal and not well developed.
  • 16.
     One sourceof difficulty is the fact that fibroadenoma-like areas can be seen in otherwise typical cases of PT.  Histologic heterogeneity in stromal cellularity and structure in PT may further create difficulty in the distinction between PT and cellular fibroadenoma on core biopsy.
  • 17.
     (A) Lowmagnification showed a few elongated epithelium- lined clefts with stromal mounds. Mild stromal hypercellularity was observed.  (B) Higher magnification of a stromal frond pushing into the clefted space that contained blood and haemosiderophages, with accentuation of stromal nuclei in the periepithelial zone
  • 18.
    Benign phyllodes tumor. Leaflikeprojections of mildly increased stromal cellularity. Enhanced intracanalicular pattern, characterized by projection of cellular stroma into epithelial-lined clefts of cystic spaces
  • 19.
  • 20.
    Intratumoral stromal heterogeneity. Thestroma is fibrotic in the left lower area and hypercellular in the right upper area in the same tumor.
  • 21.
    Subepithelial stromal condensation. Enhancedstromal cellularity adjacent to or underneath epithelium
  • 22.
    Definitions  Mitotic activity-Evaluated in more cellular areas and quantified per 10 HPF  Stromal overgrowth -Stromal proliferation without accompanying epithelial elements in at least 1 low-power field.  Infiltrative tumor margin -Projections of tumor stroma into the peritumoral stroma or adipose tissue
  • 23.
    (A) Mild nuclearatypia shows minimal variation in nuclear size with even chromatin and smooth nuclear contours. (B) Moderate nuclear atypia with more variation in nuclear size and irregular nuclear membranes. (C)Marked nuclear atypia with marked nuclear pleomorphism, hyperchromasia, and irregular nuclear contours.
  • 24.
     Stromal cellularity–Evaluated in the most cellular areas Mild -Twice cellularity of normal perilobular stroma with evenly spaced nuclei without overlapping Moderate- Intermediate in degree between mildly and markedly Marked -Stromal cells in close contiguity with nuclei appearing to touch and overlapping
  • 25.
    Borderline Phyllodes tumour (A)Roundedpushing contour of the tumour. (B) Stromal hypercellularity was of moderate degree, accompanied by focally marked nuclear atypia. (C) Higher magnification of atypical stromal cells showed hyperchromatic nuclei, prominent nucleoli, and occasional mitoses (arrow).
  • 26.
    Borderline phyllodes tumor. Thestroma is moderately cellular and the stromal cells show moderate nuclear atypia (hematoxylin-eosin,
  • 27.
    Malignant phyllodes tumor. Thestroma is markedly cellular and the stromal cells show marked nuclear pleomorphism. There are numerous mitoses
  • 28.
    Malignant phyllodes tumourwith metastasis to the lung. (A) Low magnification of the primary breast phyllodes tumour with a cystic space into which stromal fronds projected. Part of the tumour showed a fibroadenoma-like appearance, whereas the remaining parts were more cellular.
  • 29.
    ) Higher magnificationof the cellular stromal areas showed sheets of plump spindled cells with enlarged vesicular nuclei with distinct nucleoli and scattered mitoses. Several osteoclastic giant cells were dispersed among the spindled cells.
  • 30.
    (C) Metastasis tothe lung 1 year later showed a similar abnormal spindled population with scattered osteoclastic giant cells. No epithelial component was present in the metastasis.
  • 31.
    Malignant phyllodes tumourwith liposarcoma (A)Stromal fronds contained cells with marked nuclear pleomorphism with a few bizarre cells. (B)Among the abnormal stromal cells were scattered lipoblasts featuring hyperchromatic scalloped nuclei with vacuolated cytoplasm, indicating a liposarcomatous component.
  • 32.
    Malignant spindle cellproliferation. The presence of a bland epithelial component in the upper right of this core biopsy is typical of malignant phyllodes tumor
  • 33.
    Distinguishing malignant phyllodestumour from primary breast sarcoma and spindle cell metaplastic breast carcinoma
  • 34.