Soft Tissue Tumors
Yi-Che,William, Chang Chien, MD, PhD
Soft Tissue Tumors
Lecture Goals:
1. Nomenclature & classification system of tumors
2. Differences between benign and malignant tumors
3. Clinical & morphologic features of common tumors
4. Approach to diagnosis of soft tissue tumors
257
2010
2019
• Rare: 50/million, 1% of all cancers (in the US)
• >257 subtypes by WHO classification
• Can arise virtually anywhere
• skin, subcutis, deep soft tissue
• organs (i.e. non soft tissue sites)
• Seen in general surgical pathology practice
• Can mimic
• carcinoma
• lymphoma
• melanoma
Epidemiology of Soft Tissue Tumor:
Soft Tissue Tumor
Neoplastic conditions arising in
extraskeletal mesodermal tissues
-- Skeletal muscle
-- Fibrous tissue
-- Smooth muscle
-- Blood & lymphatic vessels
-- Peripheral nerves - neuroectoderm
-- Adipose tissue
Soft Tissue Tumor
General principles for diagnosis (Not Always!!):
-- Deep lesions tend to be malignant
-- Larger tumors tend to be malignant
 Location
 Size
-- Superficial lesions - benign
-- Rapidly growing - malignant
 Growth pattern
-- Infiltrating - malignant
 Metastasis
-- Malignant
Soft Tissue Tumors
Histological morphology
Immunohistochemistry
Molecular analysis
Ultrastructure (rarely used nowadays)
Approach to Diagnosis
Soft Tissue Tumors
Cytokeratin (ca.?)
 Vimentin (not ca.?)
 Smooth muscle actin
 Desmin (myogenic?)
 S-100 (neurogenic?)
 CD 31 (vasculogenic ?)
 CD 34 (whatever…)
Immunohistochemistry
Soft Tissue Tumors
 t( 2:13) Alveolar rhabdomyosarcoma
 t( 11;22) Ewing’s sarcoma/PNET
 t( 11;22) Desmoplastic small round cell tumor
 t( 12;16) Myxoid liposarcoma
 t( 9;22) Myxoid chondrosarcoma
 t(12;22) Clear cell sarcoma
 t( X;18) Synovial sarcoma
Cytogenetic Changes
STT Nomenclature:
FNCLCC Grading System
Fe´de´ration Nationale des Centres de Lutte le Cancer
Jean-Michel Coindre: Grading of Soft Tissue Sarcomas; Review and Update, Arch Pathol Lab Med. 2006;130:1448–1453
Staging:
American Joint Committee on Cancer (AJCC )
of soft tissue sarcomas classification(8 ed.)
Nodular Fasciitis
 Probably secondary to trauma
 On forearm, trunk, back- well circumscribed
 Spindle cells ( fibroblasts & myofibroblasts)
in loose matrix -“fibroblasts in tissue culture”
 Rapid growth, frequent mitotic figures
 Self-limited, cured by excision
 Must differentiate from a sarcoma
USP6 gene translocation identified
(neoplastic).
Nodular Fasciitis
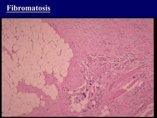
Fibromatosis
 Fibroproliferative lesions
 Desmoid - Infiltrative masses
in abdominal, extra-abdominal
& intra-abdominal
 Fibroblasts & Myofibroblasts
 Palmar, plantar fibromatosis
 Surgical excision
Beta-catenin/ AFP gene mutation
 Infiltrative growth pattern
 Tendency to recur
Fibromatosis
Fibrosarcoma
 Malignant tumor of fibroblast origin
 In adults, in lower extremities,
upper extremities, trunk
 Increased cellularity, high
nuclear-cytoplasmic ratios
 Spindle cells in a herringbone pattern
 Must exclude other tumors which
resemble fibrosarcoma
- Peripheral nerve sheath tumor
- Synovial sarcoma
Fibrosarcoma
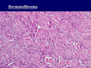
Dermatofibroma
Benign fibrous histiocytoma
Usually in skin
Mixture of fibroblasts,
myofibroblasts, histiocytes
Surgical excision
Dermatofibroma
Dermatofibrosarcoma
Protuberans (DFSP)
Fibrohistiocytic tumor
 Intermediate malignant potential
 In skin & subcutis
 Spindle cells in storiform pattern
 Local recurrence
 CD 34
 Transformation to fibrosarcoma
 Surgical excision
Dermatofibrosarcoma Protuberans ( DFSP )
Undifferentiated Pleomorphic
Sarcoma (MFH)
Malignant soft tissue tumor without
specific lineage differentiation
Rare type of soft-tissue sarcoma
Most frequently encountered sarcoma
post radiation therapy
In adults, in deep soft tissue
- extremities & retroperitoneum
Marked pleomorphism, spindle cells,
storiform, myxoid
MFH
Leiomyoma
 Benign soft tissue tumor
 Arising in subcutaneous tissue
or blood vessel wall
 Usually painful
 Fascicles of regular smooth muscle cells
Leiomyoma
Leiomyosarcoma
 Malignant soft tissue tumor
 Arising in extremities of blood
vessel wall
 Necrosis, hemorrhage
 Fascicles, nuclear atypia
 High mitotic activity
Leiomyosarcoma
Rhabdomyosarcoma
 Malignant tumor of striated muscle
differentiation
 In children & young adults
 Several subtype
- Embryonal (Botryoid)
- Alveolar
- Pleomorphic
-Spindle/Sclerotic
-Epithelioid
Embryonal
Rhabdomyosarcoma
 Most common in children,
in head & neck
 Most common subtype
 Rhabdomyoblasts with
cytoplasmic cross-striation
Embryonal rhabdomyosarcoma
Alveolar
Rhabdomyosarcoma
 In extremities
 Fibrous septa with loose clusters of
rounded cells in center
- alveolar pattern
Alveolar rhabdomyosarcoma
Lipoma
 Benign, well-circumscribed tumor of
well-differentiated adipocytes
 Usually subcutaneous, any site of
adipose tissue
 Most common type of benign soft
tissue tumor
 In adult, upper back, neck, shoulder
 Resemble normal adipose tissue
 Subtypes:angiolipoma, spindle cell lipoma
Lipoma
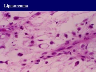
Liposarcoma
 Second most common sarcoma in adults
 In deep compartments of extremities
& retroperitoneum
 Lipoblasts
 Several subtypes
- Well differentiated/atypical lipomatous tumor
-Dedifferentiated
- Myxoid
- Pleomorphic
Liposarcoma
Hemangioma
 Benign lesion
 Resemble normal blood vessels
 Congenital or non-congenital
 Most common in infants & children
 Head & neck, internal organs - liver
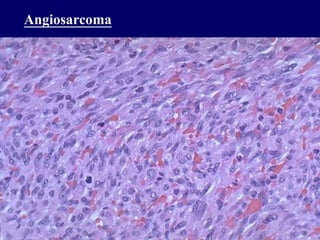
Angiosarcoma
 Malignant vascular tumor
 Many locations: skin, soft tissue,
breast, live, spleen
 Irregular channels & atypical
endothelial cells
 CD31, CD34, ERG Fli1+
Angiosarcoma
Nerve Sheath Tumours
Schwannoma
 Benign tumor of neural differentiation
- Schwann cells
 Antoni A
 Antoni B
 In association with large nerve trunks
 Head & neck, extremities
-- Cellular area, palisaded nuclei
-- Less cellular area, myxoid background
 S-100
Schwannoma
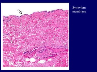
Synovium
membrane
Synovial sarcoma
 Malignant soft tissue tumor
 Arising in region of a joint
& other sites of deep soft tissue
 Unknown origin- misnomer !!
 Multilobular
 Biphasic pattern
- spindle cells
- epithelial - like cells
 t( X;18 )
Synovial sarcoma

Soft tissue tumor.ppt

  • 1.
  • 2.
    Soft Tissue Tumors LectureGoals: 1. Nomenclature & classification system of tumors 2. Differences between benign and malignant tumors 3. Clinical & morphologic features of common tumors 4. Approach to diagnosis of soft tissue tumors
  • 3.
  • 4.
    • Rare: 50/million,1% of all cancers (in the US) • >257 subtypes by WHO classification • Can arise virtually anywhere • skin, subcutis, deep soft tissue • organs (i.e. non soft tissue sites) • Seen in general surgical pathology practice • Can mimic • carcinoma • lymphoma • melanoma Epidemiology of Soft Tissue Tumor:
  • 5.
    Soft Tissue Tumor Neoplasticconditions arising in extraskeletal mesodermal tissues -- Skeletal muscle -- Fibrous tissue -- Smooth muscle -- Blood & lymphatic vessels -- Peripheral nerves - neuroectoderm -- Adipose tissue
  • 6.
    Soft Tissue Tumor Generalprinciples for diagnosis (Not Always!!): -- Deep lesions tend to be malignant -- Larger tumors tend to be malignant  Location  Size -- Superficial lesions - benign -- Rapidly growing - malignant  Growth pattern -- Infiltrating - malignant  Metastasis -- Malignant
  • 7.
    Soft Tissue Tumors Histologicalmorphology Immunohistochemistry Molecular analysis Ultrastructure (rarely used nowadays) Approach to Diagnosis
  • 8.
    Soft Tissue Tumors Cytokeratin(ca.?)  Vimentin (not ca.?)  Smooth muscle actin  Desmin (myogenic?)  S-100 (neurogenic?)  CD 31 (vasculogenic ?)  CD 34 (whatever…) Immunohistochemistry
  • 9.
    Soft Tissue Tumors t( 2:13) Alveolar rhabdomyosarcoma  t( 11;22) Ewing’s sarcoma/PNET  t( 11;22) Desmoplastic small round cell tumor  t( 12;16) Myxoid liposarcoma  t( 9;22) Myxoid chondrosarcoma  t(12;22) Clear cell sarcoma  t( X;18) Synovial sarcoma Cytogenetic Changes
  • 10.
  • 11.
    FNCLCC Grading System Fe´de´rationNationale des Centres de Lutte le Cancer Jean-Michel Coindre: Grading of Soft Tissue Sarcomas; Review and Update, Arch Pathol Lab Med. 2006;130:1448–1453
  • 12.
    Staging: American Joint Committeeon Cancer (AJCC ) of soft tissue sarcomas classification(8 ed.)
  • 13.
    Nodular Fasciitis  Probablysecondary to trauma  On forearm, trunk, back- well circumscribed  Spindle cells ( fibroblasts & myofibroblasts) in loose matrix -“fibroblasts in tissue culture”  Rapid growth, frequent mitotic figures  Self-limited, cured by excision  Must differentiate from a sarcoma USP6 gene translocation identified (neoplastic).
  • 14.
  • 15.
    Fibromatosis  Fibroproliferative lesions Desmoid - Infiltrative masses in abdominal, extra-abdominal & intra-abdominal  Fibroblasts & Myofibroblasts  Palmar, plantar fibromatosis  Surgical excision Beta-catenin/ AFP gene mutation  Infiltrative growth pattern  Tendency to recur
  • 16.
  • 17.
    Fibrosarcoma  Malignant tumorof fibroblast origin  In adults, in lower extremities, upper extremities, trunk  Increased cellularity, high nuclear-cytoplasmic ratios  Spindle cells in a herringbone pattern  Must exclude other tumors which resemble fibrosarcoma - Peripheral nerve sheath tumor - Synovial sarcoma
  • 18.
  • 19.
    Dermatofibroma Benign fibrous histiocytoma Usuallyin skin Mixture of fibroblasts, myofibroblasts, histiocytes Surgical excision
  • 20.
  • 21.
    Dermatofibrosarcoma Protuberans (DFSP) Fibrohistiocytic tumor Intermediate malignant potential  In skin & subcutis  Spindle cells in storiform pattern  Local recurrence  CD 34  Transformation to fibrosarcoma  Surgical excision
  • 22.
  • 23.
    Undifferentiated Pleomorphic Sarcoma (MFH) Malignantsoft tissue tumor without specific lineage differentiation Rare type of soft-tissue sarcoma Most frequently encountered sarcoma post radiation therapy In adults, in deep soft tissue - extremities & retroperitoneum Marked pleomorphism, spindle cells, storiform, myxoid
  • 24.
  • 25.
    Leiomyoma  Benign softtissue tumor  Arising in subcutaneous tissue or blood vessel wall  Usually painful  Fascicles of regular smooth muscle cells
  • 26.
  • 27.
    Leiomyosarcoma  Malignant softtissue tumor  Arising in extremities of blood vessel wall  Necrosis, hemorrhage  Fascicles, nuclear atypia  High mitotic activity
  • 28.
  • 29.
    Rhabdomyosarcoma  Malignant tumorof striated muscle differentiation  In children & young adults  Several subtype - Embryonal (Botryoid) - Alveolar - Pleomorphic -Spindle/Sclerotic -Epithelioid
  • 30.
    Embryonal Rhabdomyosarcoma  Most commonin children, in head & neck  Most common subtype  Rhabdomyoblasts with cytoplasmic cross-striation
  • 31.
  • 32.
    Alveolar Rhabdomyosarcoma  In extremities Fibrous septa with loose clusters of rounded cells in center - alveolar pattern
  • 33.
  • 34.
    Lipoma  Benign, well-circumscribedtumor of well-differentiated adipocytes  Usually subcutaneous, any site of adipose tissue  Most common type of benign soft tissue tumor  In adult, upper back, neck, shoulder  Resemble normal adipose tissue  Subtypes:angiolipoma, spindle cell lipoma
  • 35.
  • 36.
    Liposarcoma  Second mostcommon sarcoma in adults  In deep compartments of extremities & retroperitoneum  Lipoblasts  Several subtypes - Well differentiated/atypical lipomatous tumor -Dedifferentiated - Myxoid - Pleomorphic
  • 37.
  • 38.
    Hemangioma  Benign lesion Resemble normal blood vessels  Congenital or non-congenital  Most common in infants & children  Head & neck, internal organs - liver
  • 40.
    Angiosarcoma  Malignant vasculartumor  Many locations: skin, soft tissue, breast, live, spleen  Irregular channels & atypical endothelial cells  CD31, CD34, ERG Fli1+
  • 41.
  • 42.
  • 43.
    Schwannoma  Benign tumorof neural differentiation - Schwann cells  Antoni A  Antoni B  In association with large nerve trunks  Head & neck, extremities -- Cellular area, palisaded nuclei -- Less cellular area, myxoid background  S-100
  • 44.
  • 45.
  • 46.
    Synovial sarcoma  Malignantsoft tissue tumor  Arising in region of a joint & other sites of deep soft tissue  Unknown origin- misnomer !!  Multilobular  Biphasic pattern - spindle cells - epithelial - like cells  t( X;18 )
  • 47.