Dr Mohammed Ashraf Ali
Post graduate MD(Micro)
Introduction
Concept
• Dr. Björn Sigurðsson (1913–1959)) was the first director of the
Institute for Experimental Pathology, University of Iceland.
• The slow virus concept was first introduced by Björn Sigurðsson in
1954 and he and his co-workers made pioneering studies on slow
diseases in sheep including maedi, visna and scrapie.
• Some chronic degenerative neurological diseases of humans may
have a similar pathogenesis,.
Characteristics
1. Incubation period
2. Course of illness- Remissions and exacerbations
3. Predilection for involvement of CNS
4. Role of immune response
5. A genetic predisposition
6. Fatal termination
Classification
Group A
(lentivirus)
Group B (Prion diseases) Group C
Humans HIV 1. Kuru
2. Creutzfeldt-Jacob disease
(CJD)
3. Gerstmann-Straussler-
Scheinkar (GSS) disease
4. Fatal familial insomnia (FFI)
1. SSPE
(defective
measles
virus)
2. PML
(polyoma
virus)
Animals Visna
Maedi
1. Scrapie
2. Mink encephalopathy
3. BSE (mad cow disease)
Group A
VISNA
• Demyelinating disease of sheep
• Recognized in iceland 1935
• Eradicated in 1951
• Incubation peroid – 2years
• Onset- insidious with paresis, progressing to total
paralysis and death
• Immune response- Antibodies are present in high
levels, but they do not protect the host.
• Ag- Ab reaction in turn may cause harm by
precipitating on the surface of the infected glial cells
Diagnosis
• Sample- CSF, Blood and saliva of infected
animals
• Isolation- virus can be grown in sheep choroid
plexus tissue cultures
• Antibody detection
MAEDI (progressive pneumonia)
• Slowly progressive
• Incubation period: 2-3 years
• Fatal hemorrhagic pneumonia of sheep
• Both closely related, and classified as retroviruses (genus
Lentivirus)
• HIV, also belongs to this group of Lentiviruses. AIDS
shows many features of a slow virus disease
Group B (Prion Diseases)
Transmissible Spongiform Encephalopathies (Prion Diseases)
• Chronic progressive degenerative diseases of central nervous
system, having similar pathologic features.
• Prions are able to convert normally folded protein molecules
into the abnormal form (mechanism of conversion not well
understood)
• Term ‘Prion’ was coined by- Stanley B Prusiner
The prion diseases are k/a transmissible spongiform encephalopathies
• transmissible refers to the fact that the causative agent is infectious. It
can be transmitted to members of the same species or other species.
• encephalopathy means disease of the brain;
• spongiform refers to the development of holes in the brain, making it
appear like a sponge
The nature of prions (properties)
The infectious agents are unique
• The causative agents are not conventional viruses
• Nucleic acid: Devoid of DNA and RNA;
• Protein in nature --- misfolded forms of normal cell proteins.
• Highly resistant- to both physical and chemical agents
heat, irradiation( not useful, coz no nucleic acid) and formalin.
• Structural stability makes them more resistant to denaturation
• Resistant to protease K. Hence , treatment of prion proteins is
extremely difficult (there are currently no known cures)
Structure
• Infectious prion proteins have a higher content of beta-pleated
sheets, which increases stability hence more resistant to denaturation
Molecular Structure of Normal Protein versus Prion.
Note Prion has more beta sheet structure
NORMAL PrPC PRION PrPSC
Structural differences
PrPC PrPSC
1. Globular protein
2. Composed of α – helix.
3. Consist of Asparagine at
position 129
4. Protease Sensitive
5. Not infectious
1. Fibrous protein
2. Composed of β – sheets.
3. Consist of Valine at
position 129
4. Protease Resistant
5. Infectious
C = Cellular
Encoded by PrP
Gene
Globular Protein
Soluble in H2O
Sc = Scrapie
Encoded by PRNP
Gene, a mutated
PrP Gene
Fibrous Protein
Insoluble in H2O
PrPC PrPSC
Pathogenesis of Infections Prion PrPSC
Intestine
Ingestion of
Prions
Peripheral Nervous System
Lymphatic System
1. Lymph Nodes
2. Spleen
Central Nervous System
1. Spinal Cord
2. Brain
Peripheral Nervous
System
Deposition of Infectious Prion, PrPSC,
 Accumulation of  -
amyloid fibril in the
neurons results in
their necrosis
 The part of the
destroyed brain
cells looks like
sponge.
PRIONS
An ExceptionTo CentralDogma
• It was re-stated in Nature journal in 1970
• Word “DOGMA” = Something that is
“UNCHANGABLE”
• It deals with the detailed & sequential transfer
of genetic information, i.e.
DNA  mRNA  PROTEIN
And, once getting into the proteins,
• Genetic information cannot be transferred
back from protein to either protein Or nucleic
acid.
giving a
lecture on
Dr. Stanly B. Prusiner
He won Noble Prize in 1997
In 1982, He isolated
‘The Infectious Prion Proteins (PrPSC)
involved in Mad Cow Disease’.
Discovery & Naming of Prions
HUMAN:
• Kuru
• Creutzfeldt-Jacob Disease (CJD)
• Gerstmann-Straussler Scheinker Syndrome
• Fatal familial insomnia syndrome
ANIMALS:
• Scrapie in sheep;
• Transmissible mink encephalopathy
• Bovine Spongiform encephalopathy (Mad Cow)
• Wasting disease of elk and deer
Human Diseases:
Depending on the regions
of the brain where the  -
amyloid proteins are
accumulated –
Prion diseases are as in
folowing figure.
KURU-(tremor)
• 1957- a mystery
• Was seen only in- tribe inhabiting Papua, New guinea
• Incubation period- 5-10years
• Progressive cerebellar ataxia, tremors
• Fatal termination in 3-6 months
• Introduction and maintenance of this disease- due to practice of
Cannibalism
• After stopping cannabalism- disease disappeared from the tribe
3700 cases occurred in a population of 35000
• In 1976, Gajdusek, along with Baruch S. Blumberg , was
awarded the Nobel Prize in Medicine, for showing that kuru
was transmissible.
• Kuru is the only epidemic of human prion disease in known
human history
Creutzfeldt-Jakob disease (CJD)
• Acquisition
– familial (genetic) – 15% of cases
– sporadic (infectious) - 80-85% of cases
– Iatrogenic (brain surgery; corneal transplants; human growth
hormone or gonadotophin from cadaveric pituitaries).
• Age- presenile - common in adults (50-75 years),
but younger persons (<45 yrs)- variant of CJD –Britain- Beef.
• Site- Cerebral cortex
• Pathology- Spongiform degeneration and astrocytosis in the
affected portion of CNS
In India
• In India, CJD is still under reported.
• Over the period span from 1968-1997, National Institute of
Mental Health and Neurosciences (NIMHANS), Banglore
recorded 69 cases of CJD from different parts of Indian CJD
registry.
• Also atleast 26 recorded cases of CJD from National Institute
of Communicable Diseases (NlCD), New Delhi.
• New cases are emerging and many have been missed as no
autopsies were carried out.
• Many scientists are of the opinion that the use of Scrapie
infected brain in rabies vaccine production may be the possible
source of CJD in India.
• The antirabies vaccine made in sheep brain has been in use for
over 4 decades and the sheep used for vaccine production in
India are not screened for Scrapie.
Clinical features
• Progressive disease
• Neurodegenerative disorder- subacute or chronic decline in
cognitive or motor function .
• Dementia
• Myoclonus
• Fatal termination in a year
Diagnosis
1. Clinical suspicion
2. EEG
3. CT or MRI
4. Definitive diagnosis
– Detection of PrPSc
– Antibody detection
– Histology
– Demonstration of prion protein
1. Clinical suspection:
• Dementia
• Myoclonus- Startle myoclonus elicited by loud sounds or bright
lights during sleep
• Rapid progression in an afebrile
2. Electroencephalogram (EEG) - Triphasic complexes- but not
definitive diagnosis
3. Radiological diagnosis -
CT may be normal or show cortical atrophy.
MRI is valuable for distinguishing sCJD from most other conditions
4. Definitive diagnosis
i. Measurement of PrPSc - only specific diagnostic tests for CJD
and other human prion diseases
ii. Antibody detetion:
– The conformation-dependent immunoassay (CDI).
– The CDI is extremely sensitive and quantitative
– applicable in both the post- and antemortem detection of
prions.
iii. Histopathological features (Gold standard)
iv. Demonstration of prion protein
iii. Histopathological features (Gold standard)
– spongiform change
– neuronal loss
– reactive astrocytosis
• Requires examination of tissue (autopsy / biopsy)
• At autopsy, sufficient brain samples should be taken for both PrPSc
immunoassay, preferably by CDI, and immunohistochemistry of tissue
sections.
iv. Demonstration of prion protein:
– Western Blot (fresh tissue - BIOHAZARD)
– Dot Blot (Homogenate)
– Histoblot (large autopsy sections)
– Immunohistochemistry ( prion specific antibodies)
v. Genetic analysis: Presence of pathogenic PRNP gene mutation
Prion diseases of animals
SCRAPIE
• Scrapie is the prototype prion disease and has been known
for some 200 years as a clinical entity in Europe.
• Incubation period- about two years.
• C/f- animals are irritable and develop intense pruritis,
scraping themselves against trees and rocks, hence the name
scrapie.
• Emaciation and paralysis set in, leading to death.
• The disease can be transmitted to sheep, mice and many other
experimental animals by injection of suspensions of brain and
spinal cord from affected animals.
• No immune response has been. demonstrated in natural or
experimental scrapie. Immunosuppression and interferon do
not effect the course of the disease.
• The causative agent has been maintained in brain tissue
explant cultures through several serial passages.
Transmissible Mink Encephalopathy
• Similar to scrapie
• Spread to minks is by eating of scrapie infected sheep
Bovine spongiform encephalopathy (Mad cow disease)
India is BSE Free!
1. In India, bovine animals are fed with vegetarian feeds - Indian ruminants
are Vegetarian!
2. Meat / Bone / Blood / Offal meals are not fed to animals.
3. Brains of slaughtered bullocks, Buffalo, Pig, Sheep and Goats are
consumed as a delicacy throughout India, by meat eaters.
4. Therefore, if animal brains had prions, there would have been severe
epidemics of CJD.
• INDIA IS CLASSIFIED PROVISIONALLY BSE FREE COUNTRY,
WhlCH NEEDS SURVEILLANCE.
Group C
• SSPE
• PML
Measles
• RNA virus
• Highly contagious
• Near universal infection of children- in prevaccination era
• Measles Complications
Condition
Diarrhea
Otitis media
Pneumonia
Encephalitis
Percent
8
7
6
0.1
Subacute sclerosing panencephalitis
(SSPE)
• It is a slow virus infection caused by defective measles virus.
• SSPE is a progressive, debilitating, and deadly brain disorder.
• Rare complication of live measles virus vaccination
• A similar picture has also been described as a rare complication
of rubella infection
Epidemiology
• SSPE has been reported from all parts of the world.
• IN INDIA (21 per million),in comparison with (2.4 per million)
in the Middle East.
• In US (one per million) childhood population.
• H/o Primary measles infection at an early age (<2 years), which
is followed, after a latent period of 6–8 years .
• Widespread immunization has produced greater than 90%
reduction in the incidence of SSPE.
Pathogenesis
• Despite the long interval between the acute infection and
symptoms of SSPE, there is evidence that measles virus
infection of brain occurs soon after the acute infection with
subsequent spread throughout the brain.
• Measles virus is thought to reach the brain through infection
of cerebral endothelial cells OR by circulating inflammatory
cells.
• Recently, a trans-synaptic transmission of virus has been
suggested.
• extensive mutations (SLOW) in viral genome-that encodes
the envelop proteins. (still UNCLEAR).
• may include several immunological factors. For example, in
tissue culture, the addition of antibodies against measles
virus may alter the pattern of viral gene expression
Pathology
• Brain cells from patients show serological and electron
microscopic evidence of measles virus infection.
• Unusually high levels of antibody are found in the blood and
CSF of patients with SSPE and defective measles virus in
brain cells.
• Antibody is regularly found in CSF and is pathognomonic.
• CMI to measles virus is absent in SSPE.
Signs
• Parents and teachers may notice progressive deterioration in
scholastic performance.
• Mild intellectual deterioration and behavioral changes.
• Myoclonic jerks initially involve the head and subsequently
trunk and limbs. Muscular contraction is followed by 1–2
seconds of relaxation.
• Papillo-oedema, Papillitis, Optic atrophy, blindness.
• Seizures ,Unsteady gait.
Laboratory Diagnosis of SSPE
1. Demonstration of anti-measles antibodies in the CSF
2. Oligoclonal bands in CSF
3. Demonstration of Measles virus antigen in brain tissue-
immunohistochemistry
4. Culture: Isolation of defective measles virus by co-cultivation
with permissive cell line
5. Histology: Intranuclear inclusions are specific as well as
characteristic.
6. PCR- viral genome
Treatment
• Combination of intraventricular interferon alfa plus oral
Isoprinosine is the best effective treatment available.
• Prevention is the corner stone
Immunization against measles is the only known
prevention for SSPE. The measles vaccine has been highly
effective in reducing the numbers of affected children.
• Prognosis
Persons with this disease frequently die 1 to 2 years after
diagnosis, but some may survive for longer periods. The
condition is always deadly.
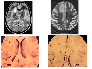
Progressive multifocal leukoencephalopathy
• Polyoma virus family, SV40-like (JC virus etc)
• progressive, usually fatal
• PML is a rare degenerative CNS infection that usually
occurs in persons with severe immunodeficiency disorders.
• non inflammatory
• Demyelination inn the CNS (oligodendrocytes)
• reactivation of latent infection
• 70-80% population are seropositive
• associated with immunosuppression
– 1979: 1.5 per 10,000,000 population
– 1981-1990: 7.2 per1,000 AIDS patients
– 2000: up to 1 in 20 AIDS patients
SYMPTOMS
• Memory loss
• speech problems
• cognitive problems
• Loss of co-ordination
• gait problems
• Death occurs in 3-4
months
PROGRESSIVE MULTIFOCAL LEUCOENCEPHALOPATHY
http://medstat.med.utah.edu/WebPath/TUTORIAL/AIDS/AIDS.html#10
PML - Pathology
BRAIN
Gross: Multiple, focal white matter softening (resemble MS)
Microscopy :
• Infects oligodendroglia (astrocytes, neurons - not infected)
• Intranuclear basophilic inclusions
• Abnormal astrocytes - Tumor-like
• With HIV + PML Extensive necrosis
Microglial reaction
(Infarct like)
PML TOXO
PML PML
Slow virus disease

Slow virus disease

  • 1.
    Dr Mohammed AshrafAli Post graduate MD(Micro)
  • 2.
    Introduction Concept • Dr. BjörnSigurðsson (1913–1959)) was the first director of the Institute for Experimental Pathology, University of Iceland. • The slow virus concept was first introduced by Björn Sigurðsson in 1954 and he and his co-workers made pioneering studies on slow diseases in sheep including maedi, visna and scrapie. • Some chronic degenerative neurological diseases of humans may have a similar pathogenesis,.
  • 3.
    Characteristics 1. Incubation period 2.Course of illness- Remissions and exacerbations 3. Predilection for involvement of CNS 4. Role of immune response 5. A genetic predisposition 6. Fatal termination
  • 4.
    Classification Group A (lentivirus) Group B(Prion diseases) Group C Humans HIV 1. Kuru 2. Creutzfeldt-Jacob disease (CJD) 3. Gerstmann-Straussler- Scheinkar (GSS) disease 4. Fatal familial insomnia (FFI) 1. SSPE (defective measles virus) 2. PML (polyoma virus) Animals Visna Maedi 1. Scrapie 2. Mink encephalopathy 3. BSE (mad cow disease)
  • 5.
    Group A VISNA • Demyelinatingdisease of sheep • Recognized in iceland 1935 • Eradicated in 1951 • Incubation peroid – 2years • Onset- insidious with paresis, progressing to total paralysis and death • Immune response- Antibodies are present in high levels, but they do not protect the host. • Ag- Ab reaction in turn may cause harm by precipitating on the surface of the infected glial cells
  • 6.
    Diagnosis • Sample- CSF,Blood and saliva of infected animals • Isolation- virus can be grown in sheep choroid plexus tissue cultures • Antibody detection
  • 7.
    MAEDI (progressive pneumonia) •Slowly progressive • Incubation period: 2-3 years • Fatal hemorrhagic pneumonia of sheep • Both closely related, and classified as retroviruses (genus Lentivirus) • HIV, also belongs to this group of Lentiviruses. AIDS shows many features of a slow virus disease
  • 8.
    Group B (PrionDiseases) Transmissible Spongiform Encephalopathies (Prion Diseases) • Chronic progressive degenerative diseases of central nervous system, having similar pathologic features. • Prions are able to convert normally folded protein molecules into the abnormal form (mechanism of conversion not well understood) • Term ‘Prion’ was coined by- Stanley B Prusiner
  • 9.
    The prion diseasesare k/a transmissible spongiform encephalopathies • transmissible refers to the fact that the causative agent is infectious. It can be transmitted to members of the same species or other species. • encephalopathy means disease of the brain; • spongiform refers to the development of holes in the brain, making it appear like a sponge
  • 10.
    The nature ofprions (properties) The infectious agents are unique • The causative agents are not conventional viruses • Nucleic acid: Devoid of DNA and RNA; • Protein in nature --- misfolded forms of normal cell proteins. • Highly resistant- to both physical and chemical agents heat, irradiation( not useful, coz no nucleic acid) and formalin. • Structural stability makes them more resistant to denaturation • Resistant to protease K. Hence , treatment of prion proteins is extremely difficult (there are currently no known cures)
  • 11.
    Structure • Infectious prionproteins have a higher content of beta-pleated sheets, which increases stability hence more resistant to denaturation Molecular Structure of Normal Protein versus Prion. Note Prion has more beta sheet structure NORMAL PrPC PRION PrPSC
  • 12.
    Structural differences PrPC PrPSC 1.Globular protein 2. Composed of α – helix. 3. Consist of Asparagine at position 129 4. Protease Sensitive 5. Not infectious 1. Fibrous protein 2. Composed of β – sheets. 3. Consist of Valine at position 129 4. Protease Resistant 5. Infectious
  • 13.
    C = Cellular Encodedby PrP Gene Globular Protein Soluble in H2O Sc = Scrapie Encoded by PRNP Gene, a mutated PrP Gene Fibrous Protein Insoluble in H2O PrPC PrPSC
  • 14.
    Pathogenesis of InfectionsPrion PrPSC Intestine Ingestion of Prions Peripheral Nervous System Lymphatic System 1. Lymph Nodes 2. Spleen Central Nervous System 1. Spinal Cord 2. Brain Peripheral Nervous System
  • 16.
    Deposition of InfectiousPrion, PrPSC,  Accumulation of  - amyloid fibril in the neurons results in their necrosis  The part of the destroyed brain cells looks like sponge.
  • 17.
  • 18.
    • It wasre-stated in Nature journal in 1970 • Word “DOGMA” = Something that is “UNCHANGABLE” • It deals with the detailed & sequential transfer of genetic information, i.e. DNA  mRNA  PROTEIN And, once getting into the proteins, • Genetic information cannot be transferred back from protein to either protein Or nucleic acid. giving a lecture on
  • 19.
    Dr. Stanly B.Prusiner He won Noble Prize in 1997 In 1982, He isolated ‘The Infectious Prion Proteins (PrPSC) involved in Mad Cow Disease’. Discovery & Naming of Prions
  • 20.
    HUMAN: • Kuru • Creutzfeldt-JacobDisease (CJD) • Gerstmann-Straussler Scheinker Syndrome • Fatal familial insomnia syndrome ANIMALS: • Scrapie in sheep; • Transmissible mink encephalopathy • Bovine Spongiform encephalopathy (Mad Cow) • Wasting disease of elk and deer
  • 21.
    Human Diseases: Depending onthe regions of the brain where the  - amyloid proteins are accumulated – Prion diseases are as in folowing figure.
  • 22.
    KURU-(tremor) • 1957- amystery • Was seen only in- tribe inhabiting Papua, New guinea • Incubation period- 5-10years • Progressive cerebellar ataxia, tremors • Fatal termination in 3-6 months • Introduction and maintenance of this disease- due to practice of Cannibalism • After stopping cannabalism- disease disappeared from the tribe 3700 cases occurred in a population of 35000
  • 23.
    • In 1976,Gajdusek, along with Baruch S. Blumberg , was awarded the Nobel Prize in Medicine, for showing that kuru was transmissible. • Kuru is the only epidemic of human prion disease in known human history
  • 24.
    Creutzfeldt-Jakob disease (CJD) •Acquisition – familial (genetic) – 15% of cases – sporadic (infectious) - 80-85% of cases – Iatrogenic (brain surgery; corneal transplants; human growth hormone or gonadotophin from cadaveric pituitaries). • Age- presenile - common in adults (50-75 years), but younger persons (<45 yrs)- variant of CJD –Britain- Beef. • Site- Cerebral cortex • Pathology- Spongiform degeneration and astrocytosis in the affected portion of CNS
  • 25.
    In India • InIndia, CJD is still under reported. • Over the period span from 1968-1997, National Institute of Mental Health and Neurosciences (NIMHANS), Banglore recorded 69 cases of CJD from different parts of Indian CJD registry. • Also atleast 26 recorded cases of CJD from National Institute of Communicable Diseases (NlCD), New Delhi.
  • 26.
    • New casesare emerging and many have been missed as no autopsies were carried out. • Many scientists are of the opinion that the use of Scrapie infected brain in rabies vaccine production may be the possible source of CJD in India. • The antirabies vaccine made in sheep brain has been in use for over 4 decades and the sheep used for vaccine production in India are not screened for Scrapie.
  • 27.
    Clinical features • Progressivedisease • Neurodegenerative disorder- subacute or chronic decline in cognitive or motor function . • Dementia • Myoclonus • Fatal termination in a year
  • 28.
    Diagnosis 1. Clinical suspicion 2.EEG 3. CT or MRI 4. Definitive diagnosis – Detection of PrPSc – Antibody detection – Histology – Demonstration of prion protein
  • 29.
    1. Clinical suspection: •Dementia • Myoclonus- Startle myoclonus elicited by loud sounds or bright lights during sleep • Rapid progression in an afebrile 2. Electroencephalogram (EEG) - Triphasic complexes- but not definitive diagnosis 3. Radiological diagnosis - CT may be normal or show cortical atrophy. MRI is valuable for distinguishing sCJD from most other conditions
  • 30.
    4. Definitive diagnosis i.Measurement of PrPSc - only specific diagnostic tests for CJD and other human prion diseases ii. Antibody detetion: – The conformation-dependent immunoassay (CDI). – The CDI is extremely sensitive and quantitative – applicable in both the post- and antemortem detection of prions. iii. Histopathological features (Gold standard) iv. Demonstration of prion protein
  • 31.
    iii. Histopathological features(Gold standard) – spongiform change – neuronal loss – reactive astrocytosis • Requires examination of tissue (autopsy / biopsy) • At autopsy, sufficient brain samples should be taken for both PrPSc immunoassay, preferably by CDI, and immunohistochemistry of tissue sections.
  • 32.
    iv. Demonstration ofprion protein: – Western Blot (fresh tissue - BIOHAZARD) – Dot Blot (Homogenate) – Histoblot (large autopsy sections) – Immunohistochemistry ( prion specific antibodies) v. Genetic analysis: Presence of pathogenic PRNP gene mutation
  • 33.
    Prion diseases ofanimals SCRAPIE • Scrapie is the prototype prion disease and has been known for some 200 years as a clinical entity in Europe. • Incubation period- about two years. • C/f- animals are irritable and develop intense pruritis, scraping themselves against trees and rocks, hence the name scrapie. • Emaciation and paralysis set in, leading to death.
  • 35.
    • The diseasecan be transmitted to sheep, mice and many other experimental animals by injection of suspensions of brain and spinal cord from affected animals. • No immune response has been. demonstrated in natural or experimental scrapie. Immunosuppression and interferon do not effect the course of the disease. • The causative agent has been maintained in brain tissue explant cultures through several serial passages.
  • 36.
    Transmissible Mink Encephalopathy •Similar to scrapie • Spread to minks is by eating of scrapie infected sheep
  • 37.
    Bovine spongiform encephalopathy(Mad cow disease) India is BSE Free! 1. In India, bovine animals are fed with vegetarian feeds - Indian ruminants are Vegetarian! 2. Meat / Bone / Blood / Offal meals are not fed to animals. 3. Brains of slaughtered bullocks, Buffalo, Pig, Sheep and Goats are consumed as a delicacy throughout India, by meat eaters. 4. Therefore, if animal brains had prions, there would have been severe epidemics of CJD. • INDIA IS CLASSIFIED PROVISIONALLY BSE FREE COUNTRY, WhlCH NEEDS SURVEILLANCE.
  • 39.
  • 40.
    Measles • RNA virus •Highly contagious • Near universal infection of children- in prevaccination era • Measles Complications Condition Diarrhea Otitis media Pneumonia Encephalitis Percent 8 7 6 0.1
  • 41.
    Subacute sclerosing panencephalitis (SSPE) •It is a slow virus infection caused by defective measles virus. • SSPE is a progressive, debilitating, and deadly brain disorder. • Rare complication of live measles virus vaccination • A similar picture has also been described as a rare complication of rubella infection
  • 42.
    Epidemiology • SSPE hasbeen reported from all parts of the world. • IN INDIA (21 per million),in comparison with (2.4 per million) in the Middle East. • In US (one per million) childhood population. • H/o Primary measles infection at an early age (<2 years), which is followed, after a latent period of 6–8 years . • Widespread immunization has produced greater than 90% reduction in the incidence of SSPE.
  • 43.
    Pathogenesis • Despite thelong interval between the acute infection and symptoms of SSPE, there is evidence that measles virus infection of brain occurs soon after the acute infection with subsequent spread throughout the brain. • Measles virus is thought to reach the brain through infection of cerebral endothelial cells OR by circulating inflammatory cells. • Recently, a trans-synaptic transmission of virus has been suggested.
  • 44.
    • extensive mutations(SLOW) in viral genome-that encodes the envelop proteins. (still UNCLEAR). • may include several immunological factors. For example, in tissue culture, the addition of antibodies against measles virus may alter the pattern of viral gene expression
  • 45.
    Pathology • Brain cellsfrom patients show serological and electron microscopic evidence of measles virus infection. • Unusually high levels of antibody are found in the blood and CSF of patients with SSPE and defective measles virus in brain cells. • Antibody is regularly found in CSF and is pathognomonic. • CMI to measles virus is absent in SSPE.
  • 46.
    Signs • Parents andteachers may notice progressive deterioration in scholastic performance. • Mild intellectual deterioration and behavioral changes. • Myoclonic jerks initially involve the head and subsequently trunk and limbs. Muscular contraction is followed by 1–2 seconds of relaxation. • Papillo-oedema, Papillitis, Optic atrophy, blindness. • Seizures ,Unsteady gait.
  • 47.
    Laboratory Diagnosis ofSSPE 1. Demonstration of anti-measles antibodies in the CSF 2. Oligoclonal bands in CSF 3. Demonstration of Measles virus antigen in brain tissue- immunohistochemistry 4. Culture: Isolation of defective measles virus by co-cultivation with permissive cell line 5. Histology: Intranuclear inclusions are specific as well as characteristic. 6. PCR- viral genome
  • 48.
    Treatment • Combination ofintraventricular interferon alfa plus oral Isoprinosine is the best effective treatment available. • Prevention is the corner stone Immunization against measles is the only known prevention for SSPE. The measles vaccine has been highly effective in reducing the numbers of affected children. • Prognosis Persons with this disease frequently die 1 to 2 years after diagnosis, but some may survive for longer periods. The condition is always deadly.
  • 49.
    Progressive multifocal leukoencephalopathy •Polyoma virus family, SV40-like (JC virus etc) • progressive, usually fatal • PML is a rare degenerative CNS infection that usually occurs in persons with severe immunodeficiency disorders. • non inflammatory • Demyelination inn the CNS (oligodendrocytes)
  • 50.
    • reactivation oflatent infection • 70-80% population are seropositive • associated with immunosuppression – 1979: 1.5 per 10,000,000 population – 1981-1990: 7.2 per1,000 AIDS patients – 2000: up to 1 in 20 AIDS patients
  • 51.
    SYMPTOMS • Memory loss •speech problems • cognitive problems • Loss of co-ordination • gait problems • Death occurs in 3-4 months
  • 52.
  • 53.
    PML - Pathology BRAIN Gross:Multiple, focal white matter softening (resemble MS) Microscopy : • Infects oligodendroglia (astrocytes, neurons - not infected) • Intranuclear basophilic inclusions • Abnormal astrocytes - Tumor-like • With HIV + PML Extensive necrosis Microglial reaction (Infarct like)
  • 54.