Dr W A P S R Weerarathna.
What are the three abnormalities that indicate 3
different conditions?
1                2




                                                      3
1




1. flowing osteophytes at least over 4 vertebral segments.
Diffuse idiopathic skeletal hyperostosis.
2. ossification of post. longitudinal ligament.
What is the diagnosis?
DIAGNOSIS;

TUBERCULOUS SPONDYLITIS WITH
BILATERAL CALCIFIED PSOAS ABSCESSES
AND BILATERAL HYDRONEPHROSIS.
C/O Abdominal pain and diarrhoea.
What salient feature helps in the diagnosis?
NON CONTRAST CT




         T I       ON I         O H HO.
A PATI EN W TH A KN W D SEASE FR M C I LD O D


  WHAT ARE THE 3 ABNORALITIES?
1). DIFFUSE HYPER DENSITY IN THE LIVER.
   (2ry haemachromatosis/transfusional siderosis).

2).MULTIPLE GALLSTONES.


3). SPLENECTOMY.
DIAGNOSIS; Acute on chronic calcific pancreatitis
with a pseudo cyst in the posterior mediastinum
2). RIGHT HILAR AND RIGHT PARATRACHEAL
METASTATIC ADENOPATHY.
1).Widened mediastinum with sharp, straight outline.
2). Sternotomy sutures.
WHAT ARE THE POSSIBLE CAUSES OF THIS
ABNORMALITY?
Causes ;
                    1).AR I AL I N C
                          TER          FAR TS.
                    O usi on of per f or at i ng
                     ccl
                    ar t er i es f r om t he t i p of t he
                    basi l ar ar t er y.

2). VEN U I N C
        O S FAR TS. Thr om i c occl usi on of
                          bot
t he vei n of G en and/or st r ai ght si nus.
               al

3).SEVER AN XI A.
        E O
DIAGNOSIS;
LEAKING DERMOID TUMOUR.
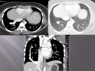
PULMONARY ARTERIAL ANEURYSMS.
Intimal flap




DISSECTING ANEURYSM OF THE AORTA.
POKETS OF AIR
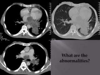
What are the abnormalities and
diagnosis?
7.8mm




What is the diagnosis?

Occlusion of left subclavian artery, severe narrowing
of distal thoracic aorta and left common carotid art.

 TAKAYASU ARTERITIS (type2).
Rectum and colon.

Diffuse mural thickening of rectum and entire colon with
pericolonic fat infiltration. ULCERATIVE COLITIS.
FINDINGS; 1). MASS IN LT LOWER LOBE.

         2). LT HILAR & MEDIASTINAL ADENOPATHY.

         3). TUMOUR INVASION OF LT ATRIUM.

         4). TUMOUR INVASION OF LT PULMONARY ARTERY


            ADVANCED BRONCHIAL CA
RADIOLOGY PRESENTATION

RADIOLOGY PRESENTATION