CT
DR SAKHER-ALKHADERI
CONSULTANT RADIOLOGIST AMC
CT ABDOMEN
ANATOMY
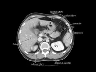
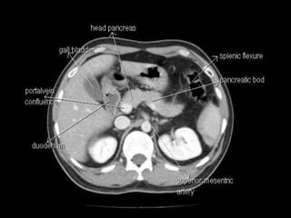
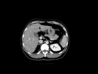
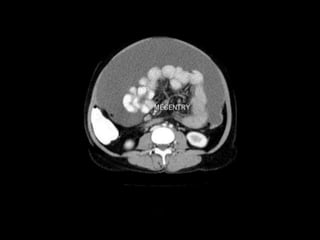
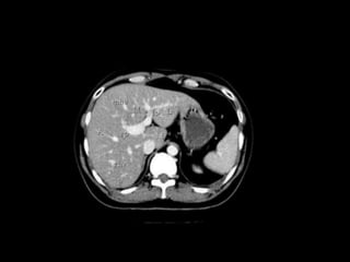
Cross section anatomy of abdominal ct scan
Anatomy of the liver segments
Anatomy of the liver segments
Right hepatic vein divides the right lobe into anterior and posterior
segments.
Middle hepatic vein divides the liver into right and left lobes (or right
and left hemiliver).This plane runs from the inferior vena cava to the
gallbladder fossa.
The Falciform ligament divides the left lobe into a medial- segment IV
and a lateral part - segment II and III.
The portal vein divides the liver into upper and lower segments.
The left and right portal veins branch superiorly and inferiorly to project
into the center of each segment.
Anatomy of liver segments
segment I : is the caudate lobe situated posteriorly around the IVC and different to
the other 7 segments. It may receive its supply from both the right and the left portal
vein and is drained directly into the IVC by one or more small hepatic veins
The remainder of the segments (II toVIII) are numbered in a clockwise fashion
starting superiorly in the left hemiliver :
segments II and III : are lateral to the left hepatic vein and falciform ligament with II
superior and III inferior to the portal plane
segment IV : lies medial to the falciform ligament, between the left and middle
hepatic veins. It is subdivided into IVa (superior) and IVb (inferior) subsegments. Easy
tip: IVa above and IVb below the portal plane. Segment IV includes the quadrate lobe.
SegmentV toVIII make up the right hemiliver and are easier to describe:
segmentV : is located below the portal plane between the middle and right hepatic
veins
segmentVI : is located below the portal plane lateral to the right hepatic vein
segmentVII : is located above the portal plane lateral to the right hepatic vein
segmentVIII : is located above the portal plane between the middle and right hepatic
veins
CT
PERITONEUM ANATOMY
Peritoneum
Mesoappendix
Inflammed mesosigmoid in diverticulitis
Mesenteries
True mesenteries all connect to the
posterior peritoneal wall.
These are:
The small bowel mesentery
The transverse mesocolon
The sigmoid mesentery (or
mesosigmoid)
Specialized mesenteries do not
connect to the posterior peritoneal
wall.
These are:
The greater omentum: connects the
stomach to the colon
The lesser omentum: connects the
stomach to the liver
The mesoappendix: connects the
appendix to the ileum
1-The lesser omentum
2-Transverse
mesocolon
3-Small bowel
mesentery
4-Sigmoid mesentery
Mesenteries
The falciform ligament is the remnant of the most ventral part of the ventral
mesentery and contains the obliterated umbilical vein. It is a relative (incomplete)
barrier to the transfer of fluid from the right subphrenic space to the left subphrenic
space
The transverse mesocolon divides the peritoneum into the
supramesocolic and inframesocolic spaces;
Left Supramesocolic Spaces: Includes left subphrenic, and
perisplenic spaces
Right Supramesocolic Spaces: include the right subphrenic
(subdiaphragmatic) space, the Morison
pouch (subhepatic or hepatorenal space),
and the lesser sac (omental bursa).
-The right subhepatic space is an
important site of fluid collections
resulting from liver injuries because it
is the most gravity-dependent space at
this site
Peritoneal spaces
Peritoneal spaces
Morison pouch (subhepatic or
hepatorenal space),
Right and Left Inframesocolic Spaces
The right and left inframesocolic spaces are separated
from the supramesocolic spaces by the transverse
mesocolon and from the paracolic gutters laterally by the
ascending or descending colon.The smaller right
inframesocolic space is limited inferiorly by the
attachment of the small bowel mesentery to the cecum;
collections in this space generally do not extend into the
pelvis However, the larger left inframesocolic space
communicates freely with the pelvis.
Peritoneal spaces
Peritoneal spaces
Lesser sac
Lesser sac
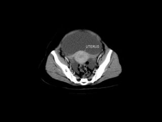
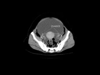
Pelvic peritoneal space
The pelvic peritoneal space is the inferior reflection
of the peritoneum over the fundus of the urinary bladder and the front of
the rectum at the junction of its middle and lower thirds. In females, the
reflection is also over the anterior and posterior surface of the uterus and
the upper posterior vagina.In males there is only one potential space for fluid collection posterior to
the bladder, the rectovesical pouch.
In females there are two potential spaces posterior to the bladder,
the uterovesical pouch, and posterior to the uterus the
deeper rectouterine pouch (pouch of Douglas).
The layers of peritoneum on the anterior and posterior surfaces of the
uterus are reflected laterally to the pelvic side walls as the broad ligaments,
containing thefallopian tubes.
Pelvic peritoneal space
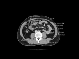
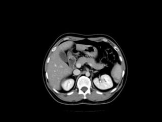
Retroperitoneum
The retroperitoneum is the part of the abdominal
cavity that lies between the posterior
parietal peritoneum and anterior to the transversalis
fascia.
It is divided into three spaces by the perirenal fascia and
is best visualised using CT or MRI.The three spaces are:
anterior pararenal space
perirenal space
posterior pararenal space
A fourth space, the great vessel space, is defined in the
recent literature
Retroperitoneal Spaces
Retroperitoneal Spaces
Retroperitoneal Spaces
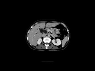
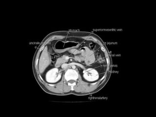
S = Suprarenal (adrenal) Glands
A = Aorta/IVC
D =Duodenum (except the
duodenal cap- first 2cm)
P = Pancreas (except the tail)
U = Ureters
C = Colon (ascending and
descending parts)
K = Kidneys
E = (O)esophagus
R = Rectum
Retroperitoneal organs
THE END

CT ABDOMEN ANATOMY

  • 1.
  • 2.
    Cross section anatomyof abdominal ct scan
  • 28.
    Anatomy of theliver segments
  • 29.
    Anatomy of theliver segments
  • 31.
    Right hepatic veindivides the right lobe into anterior and posterior segments. Middle hepatic vein divides the liver into right and left lobes (or right and left hemiliver).This plane runs from the inferior vena cava to the gallbladder fossa. The Falciform ligament divides the left lobe into a medial- segment IV and a lateral part - segment II and III. The portal vein divides the liver into upper and lower segments. The left and right portal veins branch superiorly and inferiorly to project into the center of each segment. Anatomy of liver segments
  • 32.
    segment I :is the caudate lobe situated posteriorly around the IVC and different to the other 7 segments. It may receive its supply from both the right and the left portal vein and is drained directly into the IVC by one or more small hepatic veins The remainder of the segments (II toVIII) are numbered in a clockwise fashion starting superiorly in the left hemiliver : segments II and III : are lateral to the left hepatic vein and falciform ligament with II superior and III inferior to the portal plane segment IV : lies medial to the falciform ligament, between the left and middle hepatic veins. It is subdivided into IVa (superior) and IVb (inferior) subsegments. Easy tip: IVa above and IVb below the portal plane. Segment IV includes the quadrate lobe. SegmentV toVIII make up the right hemiliver and are easier to describe: segmentV : is located below the portal plane between the middle and right hepatic veins segmentVI : is located below the portal plane lateral to the right hepatic vein segmentVII : is located above the portal plane lateral to the right hepatic vein segmentVIII : is located above the portal plane between the middle and right hepatic veins
  • 33.
  • 34.
  • 44.
  • 45.
  • 46.
    Mesenteries True mesenteries allconnect to the posterior peritoneal wall. These are: The small bowel mesentery The transverse mesocolon The sigmoid mesentery (or mesosigmoid) Specialized mesenteries do not connect to the posterior peritoneal wall. These are: The greater omentum: connects the stomach to the colon The lesser omentum: connects the stomach to the liver The mesoappendix: connects the appendix to the ileum
  • 47.
    1-The lesser omentum 2-Transverse mesocolon 3-Smallbowel mesentery 4-Sigmoid mesentery Mesenteries
  • 49.
    The falciform ligamentis the remnant of the most ventral part of the ventral mesentery and contains the obliterated umbilical vein. It is a relative (incomplete) barrier to the transfer of fluid from the right subphrenic space to the left subphrenic space
  • 55.
    The transverse mesocolondivides the peritoneum into the supramesocolic and inframesocolic spaces; Left Supramesocolic Spaces: Includes left subphrenic, and perisplenic spaces Right Supramesocolic Spaces: include the right subphrenic (subdiaphragmatic) space, the Morison pouch (subhepatic or hepatorenal space), and the lesser sac (omental bursa). -The right subhepatic space is an important site of fluid collections resulting from liver injuries because it is the most gravity-dependent space at this site Peritoneal spaces
  • 56.
    Peritoneal spaces Morison pouch(subhepatic or hepatorenal space),
  • 57.
    Right and LeftInframesocolic Spaces The right and left inframesocolic spaces are separated from the supramesocolic spaces by the transverse mesocolon and from the paracolic gutters laterally by the ascending or descending colon.The smaller right inframesocolic space is limited inferiorly by the attachment of the small bowel mesentery to the cecum; collections in this space generally do not extend into the pelvis However, the larger left inframesocolic space communicates freely with the pelvis. Peritoneal spaces
  • 58.
  • 60.
  • 61.
  • 62.
    Pelvic peritoneal space Thepelvic peritoneal space is the inferior reflection of the peritoneum over the fundus of the urinary bladder and the front of the rectum at the junction of its middle and lower thirds. In females, the reflection is also over the anterior and posterior surface of the uterus and the upper posterior vagina.In males there is only one potential space for fluid collection posterior to the bladder, the rectovesical pouch. In females there are two potential spaces posterior to the bladder, the uterovesical pouch, and posterior to the uterus the deeper rectouterine pouch (pouch of Douglas). The layers of peritoneum on the anterior and posterior surfaces of the uterus are reflected laterally to the pelvic side walls as the broad ligaments, containing thefallopian tubes.
  • 63.
  • 64.
    Retroperitoneum The retroperitoneum isthe part of the abdominal cavity that lies between the posterior parietal peritoneum and anterior to the transversalis fascia. It is divided into three spaces by the perirenal fascia and is best visualised using CT or MRI.The three spaces are: anterior pararenal space perirenal space posterior pararenal space A fourth space, the great vessel space, is defined in the recent literature
  • 65.
  • 66.
  • 67.
  • 68.
    S = Suprarenal(adrenal) Glands A = Aorta/IVC D =Duodenum (except the duodenal cap- first 2cm) P = Pancreas (except the tail) U = Ureters C = Colon (ascending and descending parts) K = Kidneys E = (O)esophagus R = Rectum Retroperitoneal organs
  • 69.