Computed Tomography in
Chest Diseases
Dr. Rikin Hasnani
• Developmental Anomalies
• Airway Diseases
• Pulmonary infection & Pneumonias
• Neoplastic diseases
• Disease of Pleura, Chest Wall & Mediastinum
• Diffuse Lung Diseases
Diseases Of Pleura
• Pleural Effusion
• Pleural Thickening
• Asbestos related pleural disease
• Benign and Malignant tumors of pleura
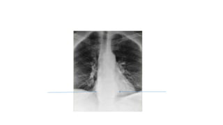
Pleural Effusion
• It is seen as homogenous increase in radio-opacity that does not obscure
underlying bronchovascular markings on supine chest radiography.
• Blunting of lateral or posterior costophrenic angle ,cardiophrenic angle is
seen. Meniscus sign is present
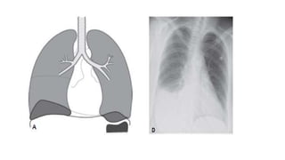
• Predicting Volume of Pleural Fluid
• Lateral decubitus exam: may demonstrate as little as 5 mL of pleural fluid;
• Posterior costodiaphragmatic sulcus blunting on lateral chest radiography:
20–30 mL
• Lateral costodiaphragmatic sulcus blunting on frontal chest radiography:
200–300 mL
• Obscuration of ipsilateral hemidiaphragm on frontal radiography: >500 mL
Diagrammatic explanation for the meniscus sign
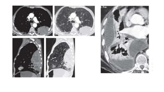
CT chest
Homogenous , high
Attenuation
Meniscoid
0-20 HU
Subpulmonic Effusion
• Apparent elevation of Diaphragm
• Apex of Diaphragm more lateral than usual
• More sharper slope of diaphragm
• If on left side distance between fundus shadow and top of diaphragm
more than 2 cm
• Rock of Gibraltar sign
Interlobar Fluid Collections (Pseudotumor;
Vanishing Tumor)
• Homogeneous ovoid opacity
oriented along long axis of
fissure
• Evidence of ipsilateral pleural
fluid
• Absence of air bronchograms
• Morphology changes from one
orthogonal view to the next
• MRI
• Signal intensity of pleural fluid
depends on its biochemical
characteristics
• Most cases of non-hemorrhagic
or non-chylous effusion:
• High signal intensity: T2WI
• Low signal intensity: T1WI
Loculated Pleural Effusion, Empyema
• Ovoid, lenticular, or rounded pleural mass like lesion with
homogenous density,
• Lesion margins often better defined in one of two orthogonal
radiographs, discrepant margin visualization (incomplete border sign)
• When viewed in PA view the loculation is D-shaped, with the base of
the D against the chest wall and the smooth convexity protruding
inward toward the lung because of the compressibility of the lung
parenchyma.
Differentiating pleural and pulmonary lesions
Claw sign
Pleural Thickening
• Pleural thickening may be focal or diffuse.
• Diffuse pleural thickening is defined as thickening of pleura (more than 5
mm) with combined area of involvement more than 25% of chest wall if
bilateral and 50% involvement if unilateral.
• Apical pleural thickening is a normal aging process, but if the thickening is
more than 2 cm, it requires further work-up.
• On Computed Tomography (CT) scan, malignant pleural thickening is
nodular (>1 cm), shows circumferential involvement, and involves the
mediastinal pleura.
• On imaging, benign pleural thickening appears as a diffuse involvement of
pleura. Pleural thickening greater than 5 cm in width, 8 cm in craniocaudal
extent, and 3 mm in thickness usually suggests a benign etiology.
Asbestos related pleural disease
• Four types of benign asbestos-related pleural disease are recognized:
• non-calcified pleural plaques,
• calcified pleural plaques,
• benign asbestos pleural effusion, and
• diffuse pleural fibrosis.
• Pleural plaques are the macroscopic and radiologic hallmarks of past
asbestos exposure and typically develop 15–20 years after initial exposure.
Pleural plaques tend to occur adjacent to relatively rigid structures such as
the ribs, vertebrae, and the tendinous portion of the diaphragms.
• Subsequent calcium deposition often occurs in pleural plaques, beginning
as fine, punctate flecks that may coalesce over time to form dense streaks
or platelike deposits.
• Benign asbestos pleural effusions are dose-related manifestations of
asbestos exposure that may develop within a shorter latency period than
that of other asbestos-related pleural diseases (1–20 years). The effusions
are typically unilateral, typically exudates, and sometimes hemorrhagic.
The diagnosis is established based on a history of exposure and through
exclusion of other etiologies, particularly malignancy.
• Diffuse pleural thickening and diffuse pleural fibrosis are thought to
develop after a previous asbestos-related pleural effusion, involve the
visceral pleura, and affect the pleural surface adjacent to the costophrenic
angle, a distinguishing feature from pleural plaques.
X ray
• Bilateral area of multifocal,
discontinuous pleural thickening.
• Sparing of apex and
costophrenic angle
• Characteristic serpentine
marginal calcification (so-called
holly leaf pattern of calcification)
in peripherally calcified plaques
imaged en face(PA)
CT
• Multifocal discontinuous
bilateral pleural nodules; most
profuse along paravertebral
pleural surfaces and
posterolateral chest wall.
Benign pleural
Effusion
Diffuse Pleural Fibrosis
Malignant Mesothelioma
• Pleural effusion
• Plaque-like or nodular pleural thickening usually greater than 1cm.
• Involvement of Mediastinal pleural
• Lung encasement
• Invasion of chest wall, mediastinum diaphragm and/or pericardium
Solitary fibrous Tumor
• Solitary fibrous tumor of pleura (SFTP) is also known as localized
fibrous tumor or localized pleural mesothelioma.
• It is usually seen in the age group of 45-60 years.
• Most of these tumors are benign, but in 20% cases, they can be
malignant.
• The tumor usually arises from the visceral pleura in 80% of cases.
• Symptoms typically relate to tumor size and include cough, chest
pain, and dyspnea. Constitutional symptoms, hypoglycemia (Doege–
Potter syndrome) clubbing, and hypertrophic osteoarthropathy
(Pierre–Marie–Bamberger syndrome) rarely occur.
X Ray
• Well-defined lobular
nodules/masses; typically abut the
pleura
• Variable size;
• Exhibits the incomplete border sign
(discrepant border visualization on
orthogonal radiographs)
• More common in lower
hemithorax
• Ipsilateral pleural effusion in 20%
CT
• Non-invasive lobular soft-tissue
mass of variable size
• Typically exhibit acute angles
against adjacent pleura
• Heterogeneous attenuation on
contrast
• Calcification & Enhancing vessels
within the lesion
Chest Wall Disease
Pectus Excavatum
• Pectus excavatum is thought to result from abnormal growth of the
costal cartilages that produces depression of the sternum (typically its
inferior portion) often associated with sternal rotation to the right. it
is associated with rotation and displacement of the heart and
mediastinum to the left.
• Severity of pectus excavatum may be determined by computing the
Haller index (syn. pectus index), which is defined as the ratio of the
transverse diameter and the anteroposterior diameter
• The normal Haller index is about 2.5.
• A pectus index over 3.25 is one of the parameters used to select
candidates for surgical correction of the chest wall deformity.
Pectus carinatum
• Pectus carinatum, or “pigeon
breast,” is less common than
pectus excavatum.
• It may result from abnormal
growth of the costal cartilage or
abnormal fusion of the sternal
segments and manubrium, with
resultant sternal protrusion.
Cleidocranial dysostosis
• Cleidocranial dysostosis is an
autosomal dominant disorder of
membranous bone in which the
outer portions of the clavicles
are typically absent.
• Scapula may be hypoplastic and
the glenoid is often small.
• Thorax is be bell-shaped
Poland syndrome
• Poland syndrome refers to
congenital absence or
hypoplasia of the pectoralis
major muscle.
Mediastinal diseases
Localize the disease
• The following characteristics indicate that a lesion originates within
the mediastinum:
• Absence of air bronchograms.
• The margins with the lung will be obtuse.
• Mediastinal lines (azygoesophageal recess, anterior and posterior
junction lines) will be disrupted.
Localize within Mediastinum
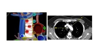
Mediastinal Lines
Anterior mediastinum
Cystic lesion with internal
Enhancing septa – germ cell tumor
Mixed cystic and solid lesion
Lymphoma, thymoma or GCT
Middle mediastinum
Posterior Mediastinum
• The posterior mediastinum contains the following structures:
sympathetic ganglia, nerve roots, lymph nodes, parasympathetic
chain, thoracic duct, descending thoracic aorta, small vessels and the
vertebrae.
• X ray shows
• Cervicothoracic Sign
• Widening of the paravertebral stripes
Mediastinal Lymphadenopathy
THANK YOU

Ct Chest - Pleura

  • 1.
    Computed Tomography in ChestDiseases Dr. Rikin Hasnani
  • 2.
    • Developmental Anomalies •Airway Diseases • Pulmonary infection & Pneumonias • Neoplastic diseases • Disease of Pleura, Chest Wall & Mediastinum • Diffuse Lung Diseases
  • 3.
    Diseases Of Pleura •Pleural Effusion • Pleural Thickening • Asbestos related pleural disease • Benign and Malignant tumors of pleura
  • 4.
    Pleural Effusion • Itis seen as homogenous increase in radio-opacity that does not obscure underlying bronchovascular markings on supine chest radiography. • Blunting of lateral or posterior costophrenic angle ,cardiophrenic angle is seen. Meniscus sign is present • Predicting Volume of Pleural Fluid • Lateral decubitus exam: may demonstrate as little as 5 mL of pleural fluid; • Posterior costodiaphragmatic sulcus blunting on lateral chest radiography: 20–30 mL • Lateral costodiaphragmatic sulcus blunting on frontal chest radiography: 200–300 mL • Obscuration of ipsilateral hemidiaphragm on frontal radiography: >500 mL
  • 5.
  • 6.
    CT chest Homogenous ,high Attenuation Meniscoid 0-20 HU
  • 9.
    Subpulmonic Effusion • Apparentelevation of Diaphragm • Apex of Diaphragm more lateral than usual • More sharper slope of diaphragm • If on left side distance between fundus shadow and top of diaphragm more than 2 cm • Rock of Gibraltar sign
  • 12.
    Interlobar Fluid Collections(Pseudotumor; Vanishing Tumor) • Homogeneous ovoid opacity oriented along long axis of fissure • Evidence of ipsilateral pleural fluid • Absence of air bronchograms • Morphology changes from one orthogonal view to the next
  • 13.
    • MRI • Signalintensity of pleural fluid depends on its biochemical characteristics • Most cases of non-hemorrhagic or non-chylous effusion: • High signal intensity: T2WI • Low signal intensity: T1WI
  • 14.
    Loculated Pleural Effusion,Empyema • Ovoid, lenticular, or rounded pleural mass like lesion with homogenous density, • Lesion margins often better defined in one of two orthogonal radiographs, discrepant margin visualization (incomplete border sign) • When viewed in PA view the loculation is D-shaped, with the base of the D against the chest wall and the smooth convexity protruding inward toward the lung because of the compressibility of the lung parenchyma.
  • 15.
    Differentiating pleural andpulmonary lesions
  • 18.
  • 19.
    Pleural Thickening • Pleuralthickening may be focal or diffuse. • Diffuse pleural thickening is defined as thickening of pleura (more than 5 mm) with combined area of involvement more than 25% of chest wall if bilateral and 50% involvement if unilateral. • Apical pleural thickening is a normal aging process, but if the thickening is more than 2 cm, it requires further work-up. • On Computed Tomography (CT) scan, malignant pleural thickening is nodular (>1 cm), shows circumferential involvement, and involves the mediastinal pleura. • On imaging, benign pleural thickening appears as a diffuse involvement of pleura. Pleural thickening greater than 5 cm in width, 8 cm in craniocaudal extent, and 3 mm in thickness usually suggests a benign etiology.
  • 20.
    Asbestos related pleuraldisease • Four types of benign asbestos-related pleural disease are recognized: • non-calcified pleural plaques, • calcified pleural plaques, • benign asbestos pleural effusion, and • diffuse pleural fibrosis.
  • 21.
    • Pleural plaquesare the macroscopic and radiologic hallmarks of past asbestos exposure and typically develop 15–20 years after initial exposure. Pleural plaques tend to occur adjacent to relatively rigid structures such as the ribs, vertebrae, and the tendinous portion of the diaphragms. • Subsequent calcium deposition often occurs in pleural plaques, beginning as fine, punctate flecks that may coalesce over time to form dense streaks or platelike deposits. • Benign asbestos pleural effusions are dose-related manifestations of asbestos exposure that may develop within a shorter latency period than that of other asbestos-related pleural diseases (1–20 years). The effusions are typically unilateral, typically exudates, and sometimes hemorrhagic. The diagnosis is established based on a history of exposure and through exclusion of other etiologies, particularly malignancy. • Diffuse pleural thickening and diffuse pleural fibrosis are thought to develop after a previous asbestos-related pleural effusion, involve the visceral pleura, and affect the pleural surface adjacent to the costophrenic angle, a distinguishing feature from pleural plaques.
  • 22.
    X ray • Bilateralarea of multifocal, discontinuous pleural thickening. • Sparing of apex and costophrenic angle • Characteristic serpentine marginal calcification (so-called holly leaf pattern of calcification) in peripherally calcified plaques imaged en face(PA)
  • 23.
    CT • Multifocal discontinuous bilateralpleural nodules; most profuse along paravertebral pleural surfaces and posterolateral chest wall.
  • 24.
  • 25.
    Malignant Mesothelioma • Pleuraleffusion • Plaque-like or nodular pleural thickening usually greater than 1cm. • Involvement of Mediastinal pleural • Lung encasement • Invasion of chest wall, mediastinum diaphragm and/or pericardium
  • 27.
    Solitary fibrous Tumor •Solitary fibrous tumor of pleura (SFTP) is also known as localized fibrous tumor or localized pleural mesothelioma. • It is usually seen in the age group of 45-60 years. • Most of these tumors are benign, but in 20% cases, they can be malignant. • The tumor usually arises from the visceral pleura in 80% of cases. • Symptoms typically relate to tumor size and include cough, chest pain, and dyspnea. Constitutional symptoms, hypoglycemia (Doege– Potter syndrome) clubbing, and hypertrophic osteoarthropathy (Pierre–Marie–Bamberger syndrome) rarely occur.
  • 28.
    X Ray • Well-definedlobular nodules/masses; typically abut the pleura • Variable size; • Exhibits the incomplete border sign (discrepant border visualization on orthogonal radiographs) • More common in lower hemithorax • Ipsilateral pleural effusion in 20%
  • 29.
    CT • Non-invasive lobularsoft-tissue mass of variable size • Typically exhibit acute angles against adjacent pleura • Heterogeneous attenuation on contrast • Calcification & Enhancing vessels within the lesion
  • 30.
  • 31.
    Pectus Excavatum • Pectusexcavatum is thought to result from abnormal growth of the costal cartilages that produces depression of the sternum (typically its inferior portion) often associated with sternal rotation to the right. it is associated with rotation and displacement of the heart and mediastinum to the left. • Severity of pectus excavatum may be determined by computing the Haller index (syn. pectus index), which is defined as the ratio of the transverse diameter and the anteroposterior diameter • The normal Haller index is about 2.5. • A pectus index over 3.25 is one of the parameters used to select candidates for surgical correction of the chest wall deformity.
  • 33.
    Pectus carinatum • Pectuscarinatum, or “pigeon breast,” is less common than pectus excavatum. • It may result from abnormal growth of the costal cartilage or abnormal fusion of the sternal segments and manubrium, with resultant sternal protrusion.
  • 34.
    Cleidocranial dysostosis • Cleidocranialdysostosis is an autosomal dominant disorder of membranous bone in which the outer portions of the clavicles are typically absent. • Scapula may be hypoplastic and the glenoid is often small. • Thorax is be bell-shaped
  • 35.
    Poland syndrome • Polandsyndrome refers to congenital absence or hypoplasia of the pectoralis major muscle.
  • 36.
  • 37.
    Localize the disease •The following characteristics indicate that a lesion originates within the mediastinum: • Absence of air bronchograms. • The margins with the lung will be obtuse. • Mediastinal lines (azygoesophageal recess, anterior and posterior junction lines) will be disrupted.
  • 39.
  • 40.
  • 41.
  • 42.
    Cystic lesion withinternal Enhancing septa – germ cell tumor Mixed cystic and solid lesion Lymphoma, thymoma or GCT
  • 43.
  • 45.
    Posterior Mediastinum • Theposterior mediastinum contains the following structures: sympathetic ganglia, nerve roots, lymph nodes, parasympathetic chain, thoracic duct, descending thoracic aorta, small vessels and the vertebrae. • X ray shows • Cervicothoracic Sign • Widening of the paravertebral stripes
  • 46.
  • 52.