PSOARIASIS
Definition
• Inflammatory &
Proliferative disease
• Well defined , red , scaly
plaques
• Extensor prominences
& scalp
• Genetic &
Environmental
• Variable duration
Epidemiology
Prevalence 1.5 – 3 %
Incidence 60 / 100000 in an year
Seasonal variation 68% winter
Morphological variants 10%
Age of onset – bimodal
Two peaks – 16-22 & 57-60
Sex – equal in males &females
Aetiology
• GENETIC & ENVIRONMENTAL
• More in 1st & 2nd degree relatives
• 64% monozygotic twins
• 15% dizygotic twins
• 41% both parent
• 14% one parent
• 02% no parent
Genetic…………
• Type-1
• Hereditary
• HLA CW6
• Early onset
• Severe
• Type-2
• Sporadic
• No HLA
• Late onset
• Mild
Environmental
• Trauma - koebner & reverse koebner
• Infection - strepto , HIV
• Drugs - beta blockers , NSAIDS ,
lithium , chloroquin , withdrawal
of steroid
• Metabolic - hypocalcemia , pregnancy
• Psychogenic , alcohol , smoking and AIDS
• Winter and Sunlight
Pathogenic mechanism
• Epidermal hyper proliferation
• Dilatation & proliferation of dermal b.v
• Accumulation of inflammatory cells esp
neutrophils & T lymphocytes
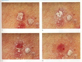
Chronic plaque psoriasis
• Well defined , red , dry , scaly , plaques
• Scales - abundant , loose , silvery-white
• Woronoffs ring – hypopigmented halo
• Auspitz sign - multiple , minute , bleeding
points – Grattage
• Koebner phenomenon - 7-14 days
Psoriasis vulgaris
Guttate psoriasis
• Children & young adults
• Acute streptococcal infection
• Multiple, round to oval, 2 mm 1 cm
• Trunk & proximal limbs
• Good prognosis
Erythrodermic psoriasis
• Erythema & scaling > 90 % BSA
• Sudden withdrawal steroid, local irritant
• Cutaneous vasodilatation heat loss
• Hyperpyrexia and increased BMR
• Loss of protein, iron, vit B12, folate
• Anaemia , hypocalcemia , hypoalbuminemia
• Dermatogenic enteropathy
• Dermopathic lymphadenitis
Psoriasis unguis
• 25 - 50 % cases
• Pitting
• Discoloration
• Subungual
hyperkeratosis
• Onycholysis
• Splinter haemorrhage
• Oil drop sign
Pustular psoriasis
• Localised & Generalised
• Localised pustular psoriasis
Palmoplantar pustulosis
Acrodermatitis continua
Palmoplantar pustulosis
• Chronic condition
• Red , scaly plaques
• Studded with sterile pustules
• Palms & soles
• Thenar , hypothenar eminence
• Instep , medial & lateral border
Acrodermatitis continua
• Chronic , sterile ,
pustular eruption
• Tips of fingers & toes
• Common in children
• Red scaly plaque
studded with pustules
• Nail dystrophy
• Osteolysis of distal
phalanx
Generalised pustular psoriasis
• Acute GPP
• GPP of pregnancy
• Infantile & juvenile GPP
• Annular & linear GPP
• Psoriasis with pustule
Generalised pustular psoriasis
Acute generalised pustular
• HLA B27
• Most severe GPP
• Sudden onset
• High fever , malaise , joint pain
• Multiple , erythematous patches
• Tiny superficial , sterile pustules
GPP of Pregnancy
• Last trimester of pregnancy
• Starts in flexures
• Symmetrical & grouped
• Severe constitutional
symptoms
• Still birth, neonatal death
• Recurrence common
Infantile & juvenile GPP
• 25 % onset in 1st year
• More in males
• Usually benign
• Spontaneous remission
• Juvenile – onset 2 -10 years
Annular GPP
• Subacute or chronic
• Systemic symptoms
absent
• Red scaly annular plaque
• Pustules at the periphery
Localised form of GPP
●Psoriasis with pustules
●Unstable psoriasis
●Tiny superficial pustules
●In & around psoriatic plaque
Psoriatic arthritis
• Oligoarticular arthritis
• Classical psoriatic
arthritis
• Rheumatoid type
• Arthritis mutilans
• Axial arthritis
Psoriatic arthritis
• Seronegative inflammatory arthritis
• Rheumatoid factor negative
• HLA B27,CW6 ,B13 ,B17 ,DR3
• 65 % cases skin lesion precede arthritis
• 19 % cases arthritis precede
• 16 % cases both together
Psoriatic arthritis
Differential diagnosis
• Seborrheic dermatitis
• Eczema - legs & hands
• Lichen simplex chronicus
• Candidiasis & tinea
• Pityriasis rubra pilaris
• Syphilis & drug eruptions
Seborrheic dermatitis
Lichen simplex chronicus
Candidiasis
Tinea
Pityriasis rubra pilaris
Treatment
• Topical
• Systemic
• others
Topical
• Emollients
• Corticosteroid
• Coal tar
• Dithranol
• Calcipotriol
• Topical photochemotherapy
• Tazarotene
systemic
• Methotrexate
• Phototherapy
• Retinoids
• Cyclosporin
• Hydroxyurea
• biologicals
Others
• Excimer laser
• Photodynamic therapy
Coal tar
• Antimitotic / antiproliferative
• Stable , scalp , palmoplantar
• Crude coal tar , liquor picis carbonis
• Folliculitis , acne , phototoxicity
• ACD , ICD ,carcinogenicity
Dithranol
• Anti inflammatory , antiproliferative
• Stable plaque psoriasis
• Palmoplantar
• Erythema , irritation
• Staining of cloth
calcipotriol
• Synthetic analogue 1-25 dihydroxy
cholecalciferol
• Stable plaque psoriasis
• Max wkly application 100g
• Skin irritation hypercalcemia
Topical corticosteroid
• Scalp,face,neck,flexures,genitalia
• Palms & soles
• Limited plaque psoriasis
Side effects
• Skin atrophy,striae
• Telangiectasia
• Hypertrichosis
• Hypopigmentation
• Glaucoma
• Tachyphylaxis
• Pituitary adrenal suppression
Topical PUVA
• Palmoplantar psoriasis
• Palmoplantar pustular psoriasis
• Localised recalcitrant
• Nail psoriasis
• Oral PUVA cotraindicated
• Side effects - phototoxicity ,ocular ,skin
cancers
tazarotene
• Topical retinoid
• 0.05 – 0.1 %
• Pruritus , burning , erythema , desquamation ,
contact dermatitis
Methotrexate
• Antiproliferative – inhibit DHFR
• Immunosuppressant
• Anti inflammatory
Indication
• Erythrodermic psoriasis
• Psoriatic arthritis
• Pustular psoriasis
• Psoriasis adversely affect ability maintain
employment
• Extensive plaque psoriasis >20% BSA
• No response to phototherapy / retinoids
contraindication
• Pregnancy & lactation
• Renal dysfunction
• Abnormal liver function
• Reproductive age gp
• Excessive alcohol consumption
• Hematological disease
• Active peptic ulcer
Adverse effects
• BM suppression
• Hepatotoxicity
• GIT- ulcerative stomatitis
• Pulmonary – pneumonitis ,fibrosis
• Teratogen ,abortifacient
• Cutaneous – ulceration , alopecia ,painful erosion of
psoriatic plaque
• MTX osteopathy –pain ,osteoporosis and
compression fracture tibia
Oral retinoids
• Acitretin , etretinate
• Pustular , erythrodermic ,severe plaque
• Side effects – mucocutaneous, ocular,
teratogenic ,hyperlipidemia,elevated liver
enzymes , depression , pseudo tumor cerebri
,musculoskeletal
phototherapy
• Narrow band UVB
• PUVA –Psoralen + UVA
• Re PUVA –retinoid + PUVA
Biological therapy
• Antibodies , fusion proteins
• Etanercept – Pso arthritis
• Infliximab – blocks TNF - alpha
• Alefacept – first therapy
• Efalizumab , adalimumab
• Opp infection ,lymphoproliferative
diseases,SCC ,high cost
THANK YOU

Psoriasis