Page 1
Seborrheic Dermatitis
(SD)
Page 2
• A very common chronic dermatosis characterized
by redness and scaling and occurring in regions
where the sebaceous glands are most active,
such as the face and scalp, the presternal area, and
in the body folds.
• Mild scalp SD causes flaking, i.e. dandruff.
Seborrheic Dermatitis (Sd)
) Cradle CAP(
Page 3
• Lesions are usually aymptomatic but may
be very pruritic or even painful.
• Involved sites often have exaggerated
features of epidermal dermatophytoses,
being a deep red or violaceous with
follicular papules or pustules.
• Epidermal atrophy caused by chronic
glucocorticoid application may be present.
• Systemic antifungal therapy may be
indicated due to deep involvement of the
hair apparatus.
Page 4
EPIDEMIOLOGY AND ETIOLOGY
• Age of Onset:
Infancy (within the first months)
puberty, most between 20 and 50 years or
older.
• Sex : More common in males.
Page 5
Predisposing and Exacerbating Factors:
Emotional stress
HIV-infected
 May be associated with psoriasis.
Page 6
Clinical Manifestation
Duration : Gradual onset.
Seasonal Variations :Some patients are
worse in winter.
Skin Symptoms:
 Pruritus is variable, often increased by
perspiration.
Page 7
Skin Lesions
Orange-red or gray-white skin , often with
“greasy” or white dry scaling macules.
 papules of varying size.
 Patches.
 Sticky crusts and fissures are common
behind the external ear.
Scaling On the scalp(“dandruff ”)
Page 8
seborrheic dermatitis
of face: adult-type
Erythema
and yellow-orange scaling
annular of the forehead,
cheeks, nasolabial folds,
and chin. Scalp and
retroauricular areas were
also involved.
Page 9
Seborrheic dermatitis: infantile-type
Erythema and orange scales and crusting in the diaper region of an infant.
This is difficult to distinguish in the diaper region from psoriasis and Candida
has to be ruled out by KOH.
Page 10
Distribution of Lesions
• Head : Scalp, eyebrows, eyelashes , beard
cradle cap : erythema and yellow-orange scales and crusts
on the scalp in infants
• Face: The flush areas, on forehead ,eyebrows.
• Trunk : yellowish-brown patches over the sternum.
• Body Folds : Axillae, groins, anogenital area,
submammary areas, umbilicus, in infants presents as a
diffuse, exudative, sharply marginated, erythematous
,erosions and fissures Common.
Page 11
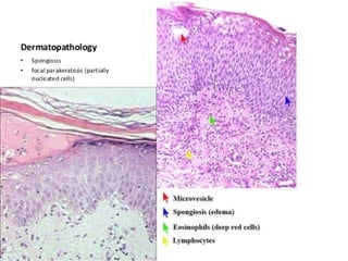
Laboratory Studies
 Dermatopathology : Focal parakeratosis,
with few neutrophils, moderate
acanthosis , spongiosis (intercellular
edema)
 A characteristic feature is neutrophils at
the tips of the dilated follicular openings,
which appear as crusts/scales.
Page 12
Page 13
Management
• Topical Therapy:
ketoconazole shampoo .
Glucocorticoid cream and lotions.
• Systemic Therapy :
retinoic acid orally 1mg/kg. itraconazole
100mg twice daily for 2 weeks is also
effective.
Page 14
• SOURCE: From FITZPATRICK’S COLOR ATLAS
AND SYNOPSIS OF CLINICAL DERMATOLOGY
SIXTH EDITION
Page 15

Seborrheic dermatitis

  • 1.
  • 2.
    Page 2 • Avery common chronic dermatosis characterized by redness and scaling and occurring in regions where the sebaceous glands are most active, such as the face and scalp, the presternal area, and in the body folds. • Mild scalp SD causes flaking, i.e. dandruff. Seborrheic Dermatitis (Sd) ) Cradle CAP(
  • 3.
    Page 3 • Lesionsare usually aymptomatic but may be very pruritic or even painful. • Involved sites often have exaggerated features of epidermal dermatophytoses, being a deep red or violaceous with follicular papules or pustules. • Epidermal atrophy caused by chronic glucocorticoid application may be present. • Systemic antifungal therapy may be indicated due to deep involvement of the hair apparatus.
  • 4.
    Page 4 EPIDEMIOLOGY ANDETIOLOGY • Age of Onset: Infancy (within the first months) puberty, most between 20 and 50 years or older. • Sex : More common in males.
  • 5.
    Page 5 Predisposing andExacerbating Factors: Emotional stress HIV-infected  May be associated with psoriasis.
  • 6.
    Page 6 Clinical Manifestation Duration: Gradual onset. Seasonal Variations :Some patients are worse in winter. Skin Symptoms:  Pruritus is variable, often increased by perspiration.
  • 7.
    Page 7 Skin Lesions Orange-redor gray-white skin , often with “greasy” or white dry scaling macules.  papules of varying size.  Patches.  Sticky crusts and fissures are common behind the external ear. Scaling On the scalp(“dandruff ”)
  • 8.
    Page 8 seborrheic dermatitis offace: adult-type Erythema and yellow-orange scaling annular of the forehead, cheeks, nasolabial folds, and chin. Scalp and retroauricular areas were also involved.
  • 9.
    Page 9 Seborrheic dermatitis:infantile-type Erythema and orange scales and crusting in the diaper region of an infant. This is difficult to distinguish in the diaper region from psoriasis and Candida has to be ruled out by KOH.
  • 10.
    Page 10 Distribution ofLesions • Head : Scalp, eyebrows, eyelashes , beard cradle cap : erythema and yellow-orange scales and crusts on the scalp in infants • Face: The flush areas, on forehead ,eyebrows. • Trunk : yellowish-brown patches over the sternum. • Body Folds : Axillae, groins, anogenital area, submammary areas, umbilicus, in infants presents as a diffuse, exudative, sharply marginated, erythematous ,erosions and fissures Common.
  • 11.
    Page 11 Laboratory Studies Dermatopathology : Focal parakeratosis, with few neutrophils, moderate acanthosis , spongiosis (intercellular edema)  A characteristic feature is neutrophils at the tips of the dilated follicular openings, which appear as crusts/scales.
  • 12.
  • 13.
    Page 13 Management • TopicalTherapy: ketoconazole shampoo . Glucocorticoid cream and lotions. • Systemic Therapy : retinoic acid orally 1mg/kg. itraconazole 100mg twice daily for 2 weeks is also effective.
  • 14.
    Page 14 • SOURCE:From FITZPATRICK’S COLOR ATLAS AND SYNOPSIS OF CLINICAL DERMATOLOGY SIXTH EDITION
  • 15.