Comprehensive overview of

"seborrheic dermatitis”
further evidence showing the effectiveness and safety of pimecrolimus

Almansouri Daifallah MD
Outcomes
•

Terminology:
–
–
–
–

•
•
•
•
•
•
•
•
•
•
•
•
•
•
•
•
•
•
•

Origin:
Arabic:
French:
Synonym:

Definition.
Etiology
Risk factors
Epidemiology
Pathophysiology
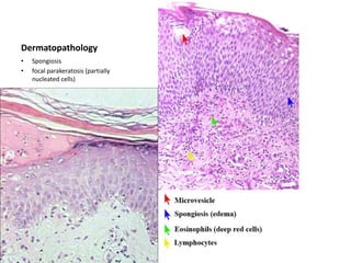
Dermatopathology
Local Symptoms
Systemic symptoms:
Signs
Investigation, and DDx,
DDx
Complications
Prognosis
Psychological impact
Guidelines
Priscription table of 1st line medication dose
2 commonest and 2 most serious side effects:
Patient education
Progression, severity and response assessment methods
Definition
• Seborrhoeic dermatitis (SD) is chronic-recurrent
common skin inflammation affect sebaceousgland-rich areas of skin causes scaling.
• Dandruff(pityriasis sicca): mildest form of
seborrhoeic dermatitis “scaling without
inflammation”.
• Cradle cap “
” : is transient form of
seborrhoeic dermatitis affecting infants.
• SD may be presoriatic stage and may associated
with psoraisis and called “seborrhiasis”
Terminology
– Origin:
• Seborrhic: adjective from “sebum” and means that the
disease particularly affects the sebaceous-gland-rich
areas of skin. But not caused by seborrhoea.
• Dermatitis: derma: skin, -itis: inflammation.

– Arabic:
– French: dermatite séborrhéique
– Synonym: Dandruff(pityriasis sicca), cradle cap.
Cradle cap
• DDx:
langerhans
cell
histocytosis
Etiology
• Unknown
• Possible factors:
– ? Malassezia species
– ? Immune response: decrease some immunity
component.
– Genetic; small role.
Risk factors
• HIV; 10X and resistant
• Neural diseases;
Parkinson disease, facial
palsy
• Neuroleptic
medications
• Emotional stress
Epidemiology
• %
• Two peaks: infant after 2 wks + 20s -30s.
• M>F
Pathophysiology
Genetics:

Immune system

NB. The amount of
malassezia is not
changed.

Malassezia species

•Helper T cells,
phytohemagglutinin and
concanavalin stimulation,
and antibody titers

Malassezia globosa•
Malassezia furfur•
Malassezia restricta•

Malassezia
grow and
secrete lipases

This lipase hydrolyzes sebum TG into > unsaturated fatty acid
(non-uniform) > penetrating the skin cause > epidermal hyperprolifration (causes parakeratosis) and inflammation (causes
spongiosis) >flakes shedding , loss skin barrier function.
RESULT: Inflammation > pruritis. Hyperprolifration> flakes = SD
Summery of pathophysiology
• Malassezia ecosystem and interaction with
the epidermis.
• Initiation and propagation of inflammation;
• Disruption of proliferation and differentiation
processes of the epidermis; and
• Physical and functional skin barrier disruption.
Dermatopathology
•
•

Spongiosis
focal parakeratosis (partially
nucleated cells)
Local symptoms and signs
Symptoms
• Pruritus
• sensation of tightness
“dryness”.
• Hair: alopecia and less
shine.
Aggravated by: winter, dry,
indoor, sweating.

Signs
• Skin: Orange-red
“erythema” OR grey white.
• Scaling macules: white/
greasy/ yellow orange.
• Dryness “sensation of
tightness”.
• Hair: brittle narrow hair.
Corona seborrhoica

Where?
confined to areas of
the head and trunk
where sebaceous
glands are most
prominent.

Classification:
area based
Classification: Head
• Areas:
– Scalp,
– eyebrows
– eyelashes
(blepharitis)
– beard (follicular
orifices)
Classification: face
• Areas:
• forehead (“corona
seborrhoica”),
• nasolabial folds
• eye-brows
• Glabella
Classification: Trunk
Classification: Body Folds
Areas:
•
•
•
•
•
•

Axillae,
Groins,
Anogenital area,
Submammary areas,
Umbilicus,
Diaper area
Description: diffuse, exudative,
sharply marinated, brightly
erythematous eruption; erosions
and fissures common.

Tx:
Same as other areas but
Castellani's paint is very
effective
Management (nice+aad)
I. Remove crust: salicylic acid, olive oil, coal tar
shampoo.
II. Ketoconazole 2% shampoo
I.
II.
III.

If failed > Selenium sulphide shampoo 2.5% or ciclopirox 1%.
If no compliance > zinc pyrithione shampoo
If symptoms subside > continue: once week for 2 weeks.

III. Severe itching: potent steroid
I.
betamethasone valerate 0.1%,
II.
hydrocortisone butyrate 0.1%
III.
mometasone furoate 0.1%.
Nb. Steroid not applied on bear.

IV. F/U not required unless complicated or resistant
Prescription
Medication

Route

dose

salicylic acid

shampo
o

Message for few Once daily
minutes after
wetting hair

One month

Ketoconazol
e 2%
shampoo

shampo
o

left on for five to Twice/week
ten minutes

One month

Pimecrolimu Cream
s 1%
fluocinolone shampo
acetonide
o
0.01%

frequency

duration

Twice daily
≤30 mL

2-4 weeks

safe

Once daily

2-4 weeks

Quick

Zinc + B6
retinoic acid

Spec Indicati

To exclude
deficiency
orally

1mg/ Kg

daily

2 weeks

Very severe
Medication SE
Medication

Contraindications

salicylic acid

Sick child or < 2yr

Ketoconazole 2%
shampoo

Safe for pregnant

SE

Management

Irritation/ burning
sensation
dryness

fluocinolone
acetonide 0.01%

hypersensitivity
to peanuts

over-the-counter
conditioner

TC complications

Stop immediately.

Very safe, rarely;
irritation

Subside within 1st
day

Pregnancy; Cat C
Pimecrolimus
DDx
Disease
Face

Differentiation
Smear for bacteria

Pitryasis rosea

KOH

Pitryasis varsicolor
Other

Response to Rosacea Tx

Impetigo
Trunk

Rosacea

KOH

Dermatophytosis

KOH

Mild psoriasis vulgaris

Indistinguishable
Dandruff
• Dandruff is desquamation without
inflammation.
• Tx: zinc pyrithione shampoo 1 to 2%.
SD-like lesions
• B6 or zinc oxide deficiency.
Follow Up
• Response assessment:
• Relapse is prevented by once/ week antifungal
shampoo usage.
Summary
• Flaking and pruritus are hallmark of SD.
References
• http://www.pgbeautygroomingscience.com/r
ole-of-lipid-metabolism-in-seborrheicdermatitis-dandruff.php
• http://www.ncbi.nlm.nih.gov/pubmed?term=
6220754
• http://www.medicaljournals.se/acta/content/
?doi=10.2340/00015555-1382&html=1

Seborrheic dermatitis

Editor's Notes

  • #8 The prevalence has been estimated to be around 35 percent among patients with early HIV infection, and up to 85 percent among patients with AIDS Patients with Parkinson disease often have increased sebum production; in these patients seborrhea and seborrheic dermatitis improve with L-dopa therapyThe reason for the increased susceptibility of patients with HIV infection to seborrheic dermatitis is not known.
  • #10 Malassezia hydrolyze human sebum, releasing a mixture of saturated and unsaturated fatty acids.  They take up the required saturated FAs, leaving behind unsaturated FAs.  The unsaturated FAs penetrate the stratum corneum and due to their non-uniform structure breach the skins barrier function.  This barrier breach induces an irritation response, leading to dandruff and seborrheic dermatitis.The Malasseziaspp that have been most commonly associated with SD are M. globosa and M. restricta, both of which are commensal yeasts that require an exogenous source of lipids.
  • #14 Spongiosis is mainly intercellular[1] edema (abnormal accumulation of fluid) in the epidermis,[2] and is characteristic of eczematous dermatitis, manifested clinically by intraepidermal vesicles (fluid-containing spaces),
  • #22 Pimecrolimus belongs to a family of calcineurin inhibitors that affect T-cell activation, which is a critical step in the cascades inflammation involved in many skin disorders. There is also evidence to suggest that pimecrolimus has direct effects on the release of exogenous IL-2inhibition of pro-inflammatory mediators released from mast cells, such as histamine, serotonin, and B-hexosaminidaseblinded trial of patients with facial SD (N=40), 83 percent of patients achieved complete clearance after two weeks of twice-daily application of pimecrolimus 1% creamThis results in inhibition of T-cell activation, which causes downregulation of the release of proinflammatory cytokines without alteration of fibroblast activity or vasculature proliferation.11–13 Therefore, application of topical pimecrolimus does not cause dermal atrophy or telangiectasia formation.