PEDIATRIC NEURO-RADIOLOGY 
ESSENTIALS 
Guided by Dr. N. bajaj 
Dr. jyoti prajapati
INTRODUCTION 
• Several complimentary modalities are 
currently available in neuroradiology. 
• The invention of CT revolutionized imaging of 
the brain and the spine. 
• MRI further improved our diagnostic ability 
and accuracy of CNS disorders. 
• Knowledge in neuro-anatomy is essential for 
correct diagnosis.
MODALITIES 
• Plain Film 
• CT 
• US 
• MRI 
• Interventional 
– Angiography 
– Myelography 
– Biopsy 
• Nuclear Medicine-SPECT,PET SCAN,PET CT
PLAIN RADIOGRAPHS 
• Plain X-ray is essential modality for initial assessment 
of the spine. 
• Good display of bony details 
• Limited value in evolution of head trauma since it 
may not reflect underlying CNS damage. 
• Skull radiograph helps in classification of skull 
fractures and its extent and therefore further 
management. 
• Intracranial calcification, suture separation
Use of x ray in Neuro-radiology 
• Intracranial calcification 
• Raised ICT 
• intracranial tumors 
• Head trauma
The radiological signs of raised 
intracranial pressure 
• I. Suture diastasis-1ST & most important sign in 
infants & children 
• 2. Sellar erosion- more useful in adults, 
chronic raised ICT 
• 3. Pineal displacement- in adults 
• 4. Increased convolutional markings(not much 
informative)
Suture separation
Normal sella Sellar erosion
Increased convolutional markings
SIGNS OF INTRACRANIAL TUMOR 
• Intracranial calcification 
• Skull erosion 
• Hyperostosis 
• Abnormal vascular markings 
• Penial displacement
Causes of intracranial calcification 
• 1. Neoplasms 
• Craniopharyngioma 
• Glioma 
• Meningioma 
• Ependymoma 
• Papilloma of the choroid plexus 
• Pinealoma 
• Chordoma 
• Dermoid, epidermoid, and teratoma 
• Hamartoma 
• Lipoma 
• Metastasis (rarely)
2. Vascular 
• Atheroma 
• Aneurysm 
• Angioma 
• Subdural haematoma 
• Intracranial haematoma
3. Infections and infestations 
• Toxoplasmosis 
• Cytomegalic inclusion body disease 
• Herpes 
• Rubella 
• Tuberculosis 
• Pyogenic abscess 
• Cysticercosis 
• Hydatid cyst 
• Porogonimus abscesses 
• Trichinosis 
• Torulosis 
• Coccidioides
INTRACRANIAL CALCIFICATION 
PATTERN 
• Infection – TORCH Toxoplasmosis often 
scattered, irregular, flaky 
• Rubella is massive or punctate 
• CMV often curvilinear and paraventricular 
• Herpes - involves entire brain
toxoplasmosis
Calcified basal exudate above the sella in a patient with 
healed tuberculous meningitis (arrowheads).
Cysticercosis. There are multiple small calcified lesions 
2-3 mm in diameter (arrowheads).
sturge weber syndrome 
Tuberous sclerosis
Metastasis 
(multiple lytic lesion)
Bilateral hypertrophy of the middle meningeal vascular marki 
ngs in a patient with a large angiomatous malformation.
Computerized Tomography 
CT 
• Readily available fast modality for evaluation 
of intracranial structures. 
• Rapid acquisition of axial images. 
• The procedure of choice for evaluation of 
patients with head trauma and stroke 
patients. 
• Provides fine details of the bony structures. 
• Can be used in emergency and in pt with 
pacemaker
Indication 
• Subarachnoid heamorrage 
• Fractures 
• Headtrauma 
• Detection of calcification in lision 
• Bony spinal stenosis 
• When MRI is contraindicated
How to read CT 
Overall go from the outside of the skull to the the 
inside 
Make two passes through the study: 
on the first one look at every structure on every 
slice from the outside to the inside, 
on the second looking at one structure at a time, 
look at every slice 
Check the soft tissues of skull 
Check the bony calvarium 
Check the cortical sulci 
Check the basal ganglia 
Check the ventricular size/shape/position
Normal CT of brain 
Ventricles are normal sized, 
the grey versus white 
distinction 
is clear. 
Midline is straight. 
Sulci are symmetrical on both 
sides. 
Skull is intact with no 
scalp edema.
NEONATAL BRAIN 
• The neonatal brain In CT images the density 
of the brain is dependent on the stage of 
maturation 
• At full term the cortex shows convolutions ,the 
cerebral sulci are well defined, and the cortex and 
white matter are differentiated. 
• In premature infants before 30 weeks the brain is 
homogeneously low in attenuation with the 
cortex appearing as a thin denser ring without 
sulci. 
• The sylvian fissures are shallow and wide and the 
ventricles appear relatively large.-smaller with 
maturity and at term appear as narrow slits.
• During the same period there is progressive 
differentiation between white and grey matter, 
and the sulci and convolutions become defined. 
• Contrast between cortex and medulla increases 
as myelination progresses. 
• Low attenuation of the white matter is a normal 
finding in neonates and usually resolves in the 
first 2 or 3 months. 
Myelination begins in the brainstem and extends 
into the internal capsules and optic radiations by 
6 months of life, forceps major and minor by 1 
year, and into the gyral convolutions as in the 
adult by a year and a half.
1 day 1 year 2 years
mri
3D CT
CT Terminology 
• What we can see 
– The brain is grey 
• White matter is usually dark grey 
• Grey matter is usually light grey 
• CSF is black 
• Things that are brite on CT(hyperdense) 
– Bone or calcification 
– Contrast agents 
– Hemorrhage (Acute) 
– Hypercellular masses 
– Metallic foreign bodies
NORMAL CT
• Contrast within the image varies from white (high 
attenuation) to black (low attenuation) with the 
type of tissue within the voxel: 
– Bone(white) 
– Soft tissue(white) 
• Gray matter 
• White matter 
– Water(csf)-(black) 
– Fat(black) 
– Air(black) 
• Pathological processes are identified by 
alterations in anatomy and attenuation.
• Pathological processes typically increase the 
water content in tissue it makes them 
hypodense. 
• Intravenous X-ray contrast dye has higher 
attenuation than soft tissue. 
• Due to the blood brain barrier, injecting X-ray 
contrast normally only brightens blood vessels 
and tissues without a blood brain barrier like 
the choroid plexus. 
• Pathological processes typically disturb the 
blood brain barrier allowing contrast to enter.
• Proton Density - the pixel intensity is primarily 
dependent on the density of protons within 
the voxel. 
• T1 weighting - pixel brightness dependent on 
proton density and weighted towards those 
protons that quickly retransmit rf energy 
decaying to their baseline unexcited state. 
• T2 weighting - pixel brightness dependent on 
proton density and the behavior of 
neighboring protons.
• T1 weighted images - cortical anatomy 
• Proton density weighted images - brainstem 
and basal ganglia 
• T2 weighted images - Ventricles, cisterns and 
vasculature, edema
T1 weighting 
• Tissue contrast 
•dense bone - dark (few hydrogen 
protons) 
• air - dark (few hydrogen protons) 
•water (CSF) – dark( black) 
•brain - anatomical 
–Gray matter - gray 
–White matter - whiter
T2 WIGHTING 
• dense bone - dark (few hydrogen 
protons) 
• air - dark (few hydrogen protons) 
• water (CSF) – bright(hyperdense) 
• brain 
–Gray matter - gray 
–White matter - darker than gray 
– Proton Density - intermediate between T1 
and T2 signals 
• Gray matter - gray 
• White matter - darker than gray
MRI 
T1 T2 
axial sections showing 
normal anatomy. (A) T,-weighted section shows CSF black and clear 
differentiation between white and grey matter. (B-G) 
T2-weighted sections in another patient show CSF white and white matter 
dark while grey matter remains grey.
MRI 
• When protons are placed in a magnetic field 
they become capable of receiving and 
transmitting radiofrequency(rf) 
electromagnetic waves. 
• After receiving rf energy the protons 
retransmit rf energy proportional to the 
density of protons.
• A pixel within an MRI image represents the 
amplitude of the radio frequency signal 
coming from the hydrogen nuclei (protons) in 
the water and fat within the voxel. 
• The timing of the rf pulses and gradients are 
altered in different sequences to change the 
relative weighting between the proton density 
and factors in the microenvironment.
MRI indication 
• Neoplasm- asessment of size,extent & effect 
on normal brain. 
• developmental anomalies of the brain. 
• Neurodegenerative/ demylinating disorders 
• vascular anomalies of the head (aneurysm ) 
• stroke 
• trauma patients (after 24 hr).
Cont. 
• disease in the pituitary gland. 
• Inflammatory & infectious deseases (most 
sensitive for detection for demylinating plaque) 
• Headache 
• Chronic encephalopathies 
• Cyst & hydrocephalous 
• Myelopathy & degenerative disorders of spinal 
cord
• MRI is less sensitive than CT in detection 
subarachnoid heamorrage ,bony 
abnormalities, calcification, and can not be 
performed in pt with pacemaker & mettalic 
prosthesis
Normal MRI
MR-T1 MR-T2 xray-CT 
Normal tissue 
dense bone Dark Dark Bright 
Air Dark Dark Dark 
Fat Bright Bright Dark 
Water Dark Bright Dark 
Brain anatomical interm. interm.
MR-T1 MR-T2 CT 
enhance 
ment 
Abnormal tissue 
infarct dark bright Dark subacute 
bleed Bright bright Bright no 
tumor Dark bright dark Yes 
MS plaque Dark Bright dark acute
CT MRI 
Time taken for 
complete scan: 
Usually completed within 5 
minutes 
Scanning typically run 
for about 30 -40min 
Details of bony 
structures: 
Provides good details 
about bony structures 
Less detailed compared 
to CT scan 
Effects on the 
body: 
More less 
Principle used for 
emaging 
X-ray Uses large external 
field,RF pulse 
Details of soft 
tissues: 
Less tissue contrast Much higher detail in 
the soft tissues 
Radiation 
exposure: 
Moderate to high radiation None 
COST medium high 
d/b gray & white 
matter 
good excelent 
awailability Easily awailable less
CT ANGIOGRAPHY 
INDICATION- arteriovenous malformation 
• Old cases of stroke 
• Aneurism 
• Cerebral thromboembolism 
• Vascular tumor
Normal carotid angiogram
Arteriovenous malformation
Vertebral arteriogram showing dissecting aneurysm of a 
posterior 
interior cerebellar artery (MR study).
Aneurism in MR angiography 
Cantrst enhanced MR Angiography
CT angio of giant unruptured MCA 
aneurysm
PET SCAN 
• Positron emission tomography (PET) is a non-invasive 
diagnostic imaging procedure that assesses the level of 
metabolic activity and perfusion in various organ 
systems of the human body. 
• A positron camera (tomograph) is used to produce 
cross-sectional tomographic images, which are 
obtained from positron emitting radioactive tracer 
substances (radiopharmaceuticals) such as 2-[F-18] 
fluoro-d-glucose (FDG) that are administered 
intravenously to the pt. 
• Most common indication is for diagnosis and staging 
for cancers.
PET- SCAN 
• Positron emission tomography (PET) proving 
usefulness in certain aspects of brain deseases 
by showing differences in local brain 
metabolism but is expensive and is only 
available at special centres.
Pet scan indication 
• Most common indication is for diagnosis and 
staging for cancers. 
• Refractory epilepsy 
• Parkinsonism 
• Dementia 
• Neurodegenerative disoder 
• Brain & spinal cord tumor 
• Neuroendocrine tumors 
Acadeny of medicine singapur
• Epilepsy 
• Between seizures, a PET scan displays 
decreased metabolism in the area of the 
seizure and increased metabolism in the same 
area during a seizure.
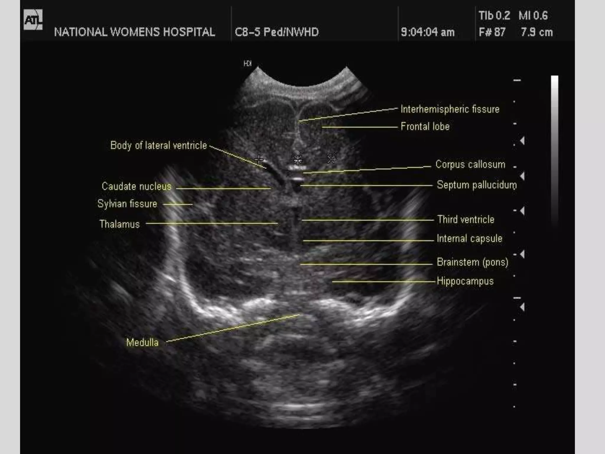
CRANIAL USG 
• CUS helps in demonstration of cerebral 
pathologies in premature and sick newborn 
babies like hemorrhage, ischemia and 
ventricular dilatation. 
• Also, knowledge of cerebral pathology aids in 
predicting neurological outcome according to 
the grade of injury.
What are the indications of doing CUS 
in a neonate? 
• a. Screening CUS in a premature baby 
• b. Clinical suspicion of intracranial hemorrhage 
• c. Neonatal seizures 
• d. Evaluation of large or rapidly enlarging head 
• e. Serial follow up of post hemorrhagic hydrocephalus 
• f. Hypoxic Ischemic encephalopathy
how to read 
In the coronal images, check the size, contents, 
and position of the lateral ventricles, looking for 
ventricular dilation, intraventricular hemorrhage, 
and midline shift. 
Look for parenchymal lesions such as hemorrhage 
or infarct. 
• In the sagittal images check the caudothalamic 
grooves for signs of hemorrhage, check the 
midline for the corpus callosum and the 
cerebellum
Pattern of injury in TF-USG 
The following pathologies may be detected by careful ultrasound examination in a 
term baby with encephalopathy 
• a. Basal ganglia injury may be evident as echodense 
(hemorrhagic necrosis) or as echolucent lesions (non-hemorrhagic 
necrosis). 
• b. Focal ischemic lesion may be evident as 
echodensity in an area of vascular distribution 
associated with loss of pulsations in the affected 
vessel. 
• c. Periventricular Injury, like in a premature baby, 
may show up periventricular flare, cyst formation 
and progressive ventricular dilatation.
CT MRI are not indicated routinely in nicu 
though being extremely sensitive bcs of risk 
of radiation and it takes time and baby can 
not be monitored during procedure. 
Currently, data available from class II studies 
do not provide sufficient evidence that 
routine MRI should be performed on all very 
low birth weight (VLBW) infants for whom 
results of screening cranial US are abnormal.
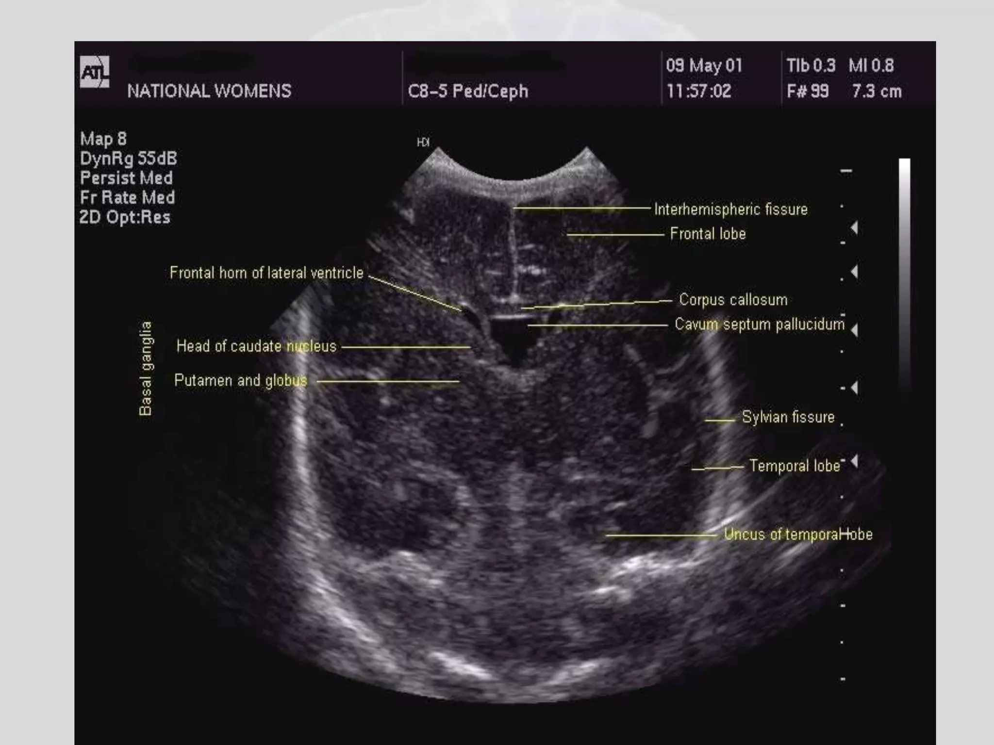
Coronal 
Tangential parasaggital 
Midline sagittal 
Angled 
para 
sagittal 
frontal Ant 
horn of 
3rd 
ventricle 
trigone 
Occipital
Cranial usg 
Sagital view
Cranial usg coronal view frontal lobe
Early periventricular 
leucomalacia:ultrasonography shows increased 
echogenicity in B/L frontal and left parietal 
region
Grading of neonatal intracranial 
haemorrhage 
• Several grading systems have been used for IVH .Commonly used is the one 
proposed by Burstein and Papile et.al, which is a sonographic grading system 
• grade I 
– restricted to subependymal region / germinal matrix which is seen in 
thecaudothalamic groove 
– overall good prognosis 
• grade II 
– extension into normal sized ventricles and typically fills less than 50 % of the 
volume of the ventricle 
– overall good prognosis 
• grade III 
– extension into dilated ventricles 
– ~ 20 % mortality 
• grade IV 
– grade III with parenchymal haemorrhage 
– 90 % mortality 
– it should be noted that it is now thought that grade IV bleeds are not simply 
extensions of germinal matrix haemorrhage into adjacent brain, but rather 
represent sequelae of venous infarction
B/L grade III germinal matrix and 
intraventricular hemorrhage with 
hydrocephalus
Cranial Usg in metabolic disorder 
Coronal view
Hemiparetic CP
BRAIN ABSCES 
necrotic, supprative center encapsulated by a 
peripheral rim of hyperemic granulation 
tissue. 
It is normally located at the gray matter / white 
matter junction, and is surrounded by edema. 
The granulation tissue shows ring enhancement 
with contrast.
Cerebral abscesses from endocarditis
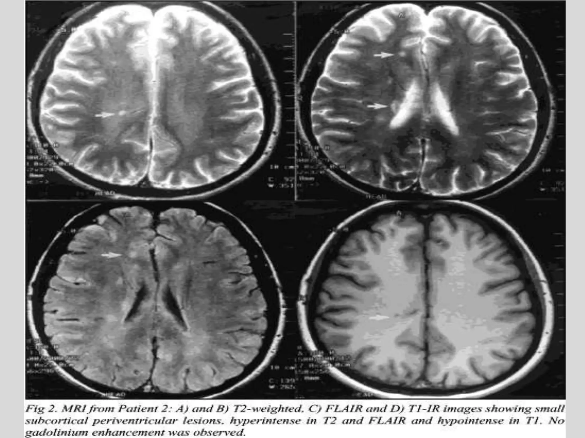
DEMYLINATING DISORDERS 
MS-axial T2-weighted image. Plaques are mainly 
periventricular, oval shaped with a major transverse axis, 
hyperintense with respect to normal parenchyma 
RING ENHANCEMENT FOLLOWINF GADOLLIUM INJECTION
INFARCTION
INFECTION & INFLAMATION 
• The lesion is poorly defined, usually 
hypodense at CT and on MRI it is hypointense 
in T1 and hyperintense in T2. 
• Meningitis 
Both CT and MRI may show leptomeningeal 
enhancement and associated cortical or brain 
involvement.
abscess formation in a 
patient with bacterial 
meningitis. This contrast-enhanced, 
axial T1- 
weighted magnetic 
resonance image shows 
a right frontal 
parenchymal low 
intensity (edema), 
leptomeningitis 
(arrowheads), and a 
lentiform-shaped 
subdural empyema 
(arrows).
Bacterial meningitis. 
Axial Nonenhanced CT 
scan shows mild 
ventriculomegaly and 
sulcal effacement
Microbacteria and fungi produce abscesses and 
granulomas with or without meningeal 
involvement; 
both CT and MRI are sensitive in demonstrating 
the lesions, particularly following contrast 
injection. 
TBM may show enhancing liesion after contrast 
injection.
Parasitic infections 
• The most common parasitic infections are 
cysticercosis and echinococcosis. 
• In cysticercosis, both intraparenchymal and 
meningeal cysts are found which at different 
stages may include calcified nodules 
• CT clearly demonstrates the calcification; 
frequent meningeal enhancement is 
encountered.
Hole with dot on CT
SWISS CHEES
MRI
TBM 
• On CT scan, the most common finding in 
cranial tuberculous 
• meningitis (TBM) is obliteration of the basal 
cisterns by isodense or mildly hyperdense 
exudate. 
• After the administration of contrast medium, 
there is dense homogeneous enhancement of 
the basal meninges.
TBM 
• Contrast-enhanced 
computed 
tomography scan 
shows dense 
enhancement of 
• the thickened 
inflamed basal 
meninges.
MILIARY TB
Ventriculitis 
BRAIN STEM 
CEREBRITIS
Granulomatous 
tuberculous 
meningitis, 
ventriculitis, and 
spinal 
arachnoiditis
Caseating 
tuberculosis 
granuloma involving 
the left 
thalamus and 
causing obstructive 
hydrocephalus in
Viral infections 
• These may produce minimal changes 
at CT and be better seen at MRI with non-specific 
T2 hyperintensity both involving the 
cortex and the white matter. 
• Herpes simplex encephalitis may have 
haemorrhagic components demonstrated 
by CT and occurs usually bilaterally in specific 
locations such as the temporal lobe, the 
hippocampus and the insula.
Herpes encephalitis 
Bi-temporal distribution is typical. 
Thought to occur by re-activation 
of herpes virus much like “cold sores” 
Except through different nerve 
Distribution.
HSV ENCEPHALITIS
CONGENITAL ABNORMALITEIS 
DANDY WALKER SYNDROME
PORENCEPHALY
Neurocutaneous syndrome
Tuberous sclerosis MRI
Sturge weber syndrome
Brain tumors 
• High-grade or malignant gliomas appear as 
contrast-enhancing mass lesions, which arise 
in white matter and are surrounded by edema 
• Multifocal malignant gliomas are seen in ~ 5% 
of patients. 
• Low-grade gliomas typically are nonenhancing 
lesions that diffusely infiltrate brain tissue and 
may involve a large region of brain. 
• Low-grade gliomas are usually best 
appreciated on T2-weighted MRI scans.
Brain tumor 
T2
Stroke 
• Intra parenchymal 
• Subarachnoid heamorrhage 
• Subdural heamatoma 
• Epidural heamatoma 
• Lacunar infarcts 
• Ventricular bleed
MCA Stroke 
“Dense MCA”
Case 2
Epidural 
heamotoma
Subarachnoid heamorrhage
Subarachnoid Hemorrhage 
Blood shows white on CT. 
Anterior Communicating Artery 
aneurysm has burst, flooding the 
basal structures under the brain 
outside the brain parenchyma, but 
will occasionally empty into a 
Ventricle as it has on the left here 
(see fluid level). Note typical 
“bat wing” shape just above the 
mid-brain (green arrow).
Intraparenchymal bleed into 
ventricles
Intraventricular bleed
Radiation risk 
• Relative values of CT exam exposure 
– Background radiation is 3 mSv/year 
• Water, food, air, solar 
• In Denver (altitude 5280 ft.) 10 mSv/year 
– CXR = 0.1 mSv 
– CT head = 2 mSv 
– CT Chest = 8 mSv 
– CT Abdomen and Pelvis = 20 mSv 
-The equivalent of 200 CXR
Thanks for listening
References;-nelson 
suttons radiology 
neuroradiology –robert 
caffeys 
pediatric radiology donnelly 
various websites

pediatric neuroradiology essentials

  • 1.
    PEDIATRIC NEURO-RADIOLOGY ESSENTIALS Guided by Dr. N. bajaj Dr. jyoti prajapati
  • 2.
    INTRODUCTION • Severalcomplimentary modalities are currently available in neuroradiology. • The invention of CT revolutionized imaging of the brain and the spine. • MRI further improved our diagnostic ability and accuracy of CNS disorders. • Knowledge in neuro-anatomy is essential for correct diagnosis.
  • 3.
    MODALITIES • PlainFilm • CT • US • MRI • Interventional – Angiography – Myelography – Biopsy • Nuclear Medicine-SPECT,PET SCAN,PET CT
  • 4.
    PLAIN RADIOGRAPHS •Plain X-ray is essential modality for initial assessment of the spine. • Good display of bony details • Limited value in evolution of head trauma since it may not reflect underlying CNS damage. • Skull radiograph helps in classification of skull fractures and its extent and therefore further management. • Intracranial calcification, suture separation
  • 5.
    Use of xray in Neuro-radiology • Intracranial calcification • Raised ICT • intracranial tumors • Head trauma
  • 6.
    The radiological signsof raised intracranial pressure • I. Suture diastasis-1ST & most important sign in infants & children • 2. Sellar erosion- more useful in adults, chronic raised ICT • 3. Pineal displacement- in adults • 4. Increased convolutional markings(not much informative)
  • 7.
  • 9.
  • 10.
  • 11.
    SIGNS OF INTRACRANIALTUMOR • Intracranial calcification • Skull erosion • Hyperostosis • Abnormal vascular markings • Penial displacement
  • 12.
    Causes of intracranialcalcification • 1. Neoplasms • Craniopharyngioma • Glioma • Meningioma • Ependymoma • Papilloma of the choroid plexus • Pinealoma • Chordoma • Dermoid, epidermoid, and teratoma • Hamartoma • Lipoma • Metastasis (rarely)
  • 13.
    2. Vascular •Atheroma • Aneurysm • Angioma • Subdural haematoma • Intracranial haematoma
  • 14.
    3. Infections andinfestations • Toxoplasmosis • Cytomegalic inclusion body disease • Herpes • Rubella • Tuberculosis • Pyogenic abscess • Cysticercosis • Hydatid cyst • Porogonimus abscesses • Trichinosis • Torulosis • Coccidioides
  • 15.
    INTRACRANIAL CALCIFICATION PATTERN • Infection – TORCH Toxoplasmosis often scattered, irregular, flaky • Rubella is massive or punctate • CMV often curvilinear and paraventricular • Herpes - involves entire brain
  • 16.
  • 17.
    Calcified basal exudateabove the sella in a patient with healed tuberculous meningitis (arrowheads).
  • 18.
    Cysticercosis. There aremultiple small calcified lesions 2-3 mm in diameter (arrowheads).
  • 19.
    sturge weber syndrome Tuberous sclerosis
  • 20.
  • 21.
    Bilateral hypertrophy ofthe middle meningeal vascular marki ngs in a patient with a large angiomatous malformation.
  • 22.
    Computerized Tomography CT • Readily available fast modality for evaluation of intracranial structures. • Rapid acquisition of axial images. • The procedure of choice for evaluation of patients with head trauma and stroke patients. • Provides fine details of the bony structures. • Can be used in emergency and in pt with pacemaker
  • 23.
    Indication • Subarachnoidheamorrage • Fractures • Headtrauma • Detection of calcification in lision • Bony spinal stenosis • When MRI is contraindicated
  • 24.
    How to readCT Overall go from the outside of the skull to the the inside Make two passes through the study: on the first one look at every structure on every slice from the outside to the inside, on the second looking at one structure at a time, look at every slice Check the soft tissues of skull Check the bony calvarium Check the cortical sulci Check the basal ganglia Check the ventricular size/shape/position
  • 25.
    Normal CT ofbrain Ventricles are normal sized, the grey versus white distinction is clear. Midline is straight. Sulci are symmetrical on both sides. Skull is intact with no scalp edema.
  • 26.
    NEONATAL BRAIN •The neonatal brain In CT images the density of the brain is dependent on the stage of maturation • At full term the cortex shows convolutions ,the cerebral sulci are well defined, and the cortex and white matter are differentiated. • In premature infants before 30 weeks the brain is homogeneously low in attenuation with the cortex appearing as a thin denser ring without sulci. • The sylvian fissures are shallow and wide and the ventricles appear relatively large.-smaller with maturity and at term appear as narrow slits.
  • 27.
    • During thesame period there is progressive differentiation between white and grey matter, and the sulci and convolutions become defined. • Contrast between cortex and medulla increases as myelination progresses. • Low attenuation of the white matter is a normal finding in neonates and usually resolves in the first 2 or 3 months. Myelination begins in the brainstem and extends into the internal capsules and optic radiations by 6 months of life, forceps major and minor by 1 year, and into the gyral convolutions as in the adult by a year and a half.
  • 28.
    1 day 1year 2 years
  • 29.
  • 31.
  • 32.
    CT Terminology •What we can see – The brain is grey • White matter is usually dark grey • Grey matter is usually light grey • CSF is black • Things that are brite on CT(hyperdense) – Bone or calcification – Contrast agents – Hemorrhage (Acute) – Hypercellular masses – Metallic foreign bodies
  • 33.
  • 34.
    • Contrast withinthe image varies from white (high attenuation) to black (low attenuation) with the type of tissue within the voxel: – Bone(white) – Soft tissue(white) • Gray matter • White matter – Water(csf)-(black) – Fat(black) – Air(black) • Pathological processes are identified by alterations in anatomy and attenuation.
  • 35.
    • Pathological processestypically increase the water content in tissue it makes them hypodense. • Intravenous X-ray contrast dye has higher attenuation than soft tissue. • Due to the blood brain barrier, injecting X-ray contrast normally only brightens blood vessels and tissues without a blood brain barrier like the choroid plexus. • Pathological processes typically disturb the blood brain barrier allowing contrast to enter.
  • 36.
    • Proton Density- the pixel intensity is primarily dependent on the density of protons within the voxel. • T1 weighting - pixel brightness dependent on proton density and weighted towards those protons that quickly retransmit rf energy decaying to their baseline unexcited state. • T2 weighting - pixel brightness dependent on proton density and the behavior of neighboring protons.
  • 37.
    • T1 weightedimages - cortical anatomy • Proton density weighted images - brainstem and basal ganglia • T2 weighted images - Ventricles, cisterns and vasculature, edema
  • 38.
    T1 weighting •Tissue contrast •dense bone - dark (few hydrogen protons) • air - dark (few hydrogen protons) •water (CSF) – dark( black) •brain - anatomical –Gray matter - gray –White matter - whiter
  • 39.
    T2 WIGHTING •dense bone - dark (few hydrogen protons) • air - dark (few hydrogen protons) • water (CSF) – bright(hyperdense) • brain –Gray matter - gray –White matter - darker than gray – Proton Density - intermediate between T1 and T2 signals • Gray matter - gray • White matter - darker than gray
  • 40.
    MRI T1 T2 axial sections showing normal anatomy. (A) T,-weighted section shows CSF black and clear differentiation between white and grey matter. (B-G) T2-weighted sections in another patient show CSF white and white matter dark while grey matter remains grey.
  • 41.
    MRI • Whenprotons are placed in a magnetic field they become capable of receiving and transmitting radiofrequency(rf) electromagnetic waves. • After receiving rf energy the protons retransmit rf energy proportional to the density of protons.
  • 42.
    • A pixelwithin an MRI image represents the amplitude of the radio frequency signal coming from the hydrogen nuclei (protons) in the water and fat within the voxel. • The timing of the rf pulses and gradients are altered in different sequences to change the relative weighting between the proton density and factors in the microenvironment.
  • 43.
    MRI indication •Neoplasm- asessment of size,extent & effect on normal brain. • developmental anomalies of the brain. • Neurodegenerative/ demylinating disorders • vascular anomalies of the head (aneurysm ) • stroke • trauma patients (after 24 hr).
  • 44.
    Cont. • diseasein the pituitary gland. • Inflammatory & infectious deseases (most sensitive for detection for demylinating plaque) • Headache • Chronic encephalopathies • Cyst & hydrocephalous • Myelopathy & degenerative disorders of spinal cord
  • 45.
    • MRI isless sensitive than CT in detection subarachnoid heamorrage ,bony abnormalities, calcification, and can not be performed in pt with pacemaker & mettalic prosthesis
  • 46.
  • 47.
    MR-T1 MR-T2 xray-CT Normal tissue dense bone Dark Dark Bright Air Dark Dark Dark Fat Bright Bright Dark Water Dark Bright Dark Brain anatomical interm. interm.
  • 48.
    MR-T1 MR-T2 CT enhance ment Abnormal tissue infarct dark bright Dark subacute bleed Bright bright Bright no tumor Dark bright dark Yes MS plaque Dark Bright dark acute
  • 49.
    CT MRI Timetaken for complete scan: Usually completed within 5 minutes Scanning typically run for about 30 -40min Details of bony structures: Provides good details about bony structures Less detailed compared to CT scan Effects on the body: More less Principle used for emaging X-ray Uses large external field,RF pulse Details of soft tissues: Less tissue contrast Much higher detail in the soft tissues Radiation exposure: Moderate to high radiation None COST medium high d/b gray & white matter good excelent awailability Easily awailable less
  • 50.
    CT ANGIOGRAPHY INDICATION-arteriovenous malformation • Old cases of stroke • Aneurism • Cerebral thromboembolism • Vascular tumor
  • 51.
  • 52.
  • 53.
    Vertebral arteriogram showingdissecting aneurysm of a posterior interior cerebellar artery (MR study).
  • 54.
    Aneurism in MRangiography Cantrst enhanced MR Angiography
  • 55.
    CT angio ofgiant unruptured MCA aneurysm
  • 56.
    PET SCAN •Positron emission tomography (PET) is a non-invasive diagnostic imaging procedure that assesses the level of metabolic activity and perfusion in various organ systems of the human body. • A positron camera (tomograph) is used to produce cross-sectional tomographic images, which are obtained from positron emitting radioactive tracer substances (radiopharmaceuticals) such as 2-[F-18] fluoro-d-glucose (FDG) that are administered intravenously to the pt. • Most common indication is for diagnosis and staging for cancers.
  • 57.
    PET- SCAN •Positron emission tomography (PET) proving usefulness in certain aspects of brain deseases by showing differences in local brain metabolism but is expensive and is only available at special centres.
  • 58.
    Pet scan indication • Most common indication is for diagnosis and staging for cancers. • Refractory epilepsy • Parkinsonism • Dementia • Neurodegenerative disoder • Brain & spinal cord tumor • Neuroendocrine tumors Acadeny of medicine singapur
  • 59.
    • Epilepsy •Between seizures, a PET scan displays decreased metabolism in the area of the seizure and increased metabolism in the same area during a seizure.
  • 61.
    CRANIAL USG •CUS helps in demonstration of cerebral pathologies in premature and sick newborn babies like hemorrhage, ischemia and ventricular dilatation. • Also, knowledge of cerebral pathology aids in predicting neurological outcome according to the grade of injury.
  • 62.
    What are theindications of doing CUS in a neonate? • a. Screening CUS in a premature baby • b. Clinical suspicion of intracranial hemorrhage • c. Neonatal seizures • d. Evaluation of large or rapidly enlarging head • e. Serial follow up of post hemorrhagic hydrocephalus • f. Hypoxic Ischemic encephalopathy
  • 63.
    how to read In the coronal images, check the size, contents, and position of the lateral ventricles, looking for ventricular dilation, intraventricular hemorrhage, and midline shift. Look for parenchymal lesions such as hemorrhage or infarct. • In the sagittal images check the caudothalamic grooves for signs of hemorrhage, check the midline for the corpus callosum and the cerebellum
  • 64.
    Pattern of injuryin TF-USG The following pathologies may be detected by careful ultrasound examination in a term baby with encephalopathy • a. Basal ganglia injury may be evident as echodense (hemorrhagic necrosis) or as echolucent lesions (non-hemorrhagic necrosis). • b. Focal ischemic lesion may be evident as echodensity in an area of vascular distribution associated with loss of pulsations in the affected vessel. • c. Periventricular Injury, like in a premature baby, may show up periventricular flare, cyst formation and progressive ventricular dilatation.
  • 65.
    CT MRI arenot indicated routinely in nicu though being extremely sensitive bcs of risk of radiation and it takes time and baby can not be monitored during procedure. Currently, data available from class II studies do not provide sufficient evidence that routine MRI should be performed on all very low birth weight (VLBW) infants for whom results of screening cranial US are abnormal.
  • 66.
    Coronal Tangential parasaggital Midline sagittal Angled para sagittal frontal Ant horn of 3rd ventricle trigone Occipital
  • 67.
  • 68.
    Cranial usg coronalview frontal lobe
  • 71.
    Early periventricular leucomalacia:ultrasonographyshows increased echogenicity in B/L frontal and left parietal region
  • 72.
    Grading of neonatalintracranial haemorrhage • Several grading systems have been used for IVH .Commonly used is the one proposed by Burstein and Papile et.al, which is a sonographic grading system • grade I – restricted to subependymal region / germinal matrix which is seen in thecaudothalamic groove – overall good prognosis • grade II – extension into normal sized ventricles and typically fills less than 50 % of the volume of the ventricle – overall good prognosis • grade III – extension into dilated ventricles – ~ 20 % mortality • grade IV – grade III with parenchymal haemorrhage – 90 % mortality – it should be noted that it is now thought that grade IV bleeds are not simply extensions of germinal matrix haemorrhage into adjacent brain, but rather represent sequelae of venous infarction
  • 73.
    B/L grade IIIgerminal matrix and intraventricular hemorrhage with hydrocephalus
  • 75.
    Cranial Usg inmetabolic disorder Coronal view
  • 76.
  • 77.
    BRAIN ABSCES necrotic,supprative center encapsulated by a peripheral rim of hyperemic granulation tissue. It is normally located at the gray matter / white matter junction, and is surrounded by edema. The granulation tissue shows ring enhancement with contrast.
  • 78.
  • 79.
    DEMYLINATING DISORDERS MS-axialT2-weighted image. Plaques are mainly periventricular, oval shaped with a major transverse axis, hyperintense with respect to normal parenchyma RING ENHANCEMENT FOLLOWINF GADOLLIUM INJECTION
  • 80.
  • 81.
    INFECTION & INFLAMATION • The lesion is poorly defined, usually hypodense at CT and on MRI it is hypointense in T1 and hyperintense in T2. • Meningitis Both CT and MRI may show leptomeningeal enhancement and associated cortical or brain involvement.
  • 83.
    abscess formation ina patient with bacterial meningitis. This contrast-enhanced, axial T1- weighted magnetic resonance image shows a right frontal parenchymal low intensity (edema), leptomeningitis (arrowheads), and a lentiform-shaped subdural empyema (arrows).
  • 84.
    Bacterial meningitis. AxialNonenhanced CT scan shows mild ventriculomegaly and sulcal effacement
  • 85.
    Microbacteria and fungiproduce abscesses and granulomas with or without meningeal involvement; both CT and MRI are sensitive in demonstrating the lesions, particularly following contrast injection. TBM may show enhancing liesion after contrast injection.
  • 86.
    Parasitic infections •The most common parasitic infections are cysticercosis and echinococcosis. • In cysticercosis, both intraparenchymal and meningeal cysts are found which at different stages may include calcified nodules • CT clearly demonstrates the calcification; frequent meningeal enhancement is encountered.
  • 87.
  • 88.
  • 89.
  • 90.
    TBM • OnCT scan, the most common finding in cranial tuberculous • meningitis (TBM) is obliteration of the basal cisterns by isodense or mildly hyperdense exudate. • After the administration of contrast medium, there is dense homogeneous enhancement of the basal meninges.
  • 91.
    TBM • Contrast-enhanced computed tomography scan shows dense enhancement of • the thickened inflamed basal meninges.
  • 92.
  • 93.
  • 94.
    Granulomatous tuberculous meningitis, ventriculitis, and spinal arachnoiditis
  • 95.
    Caseating tuberculosis granulomainvolving the left thalamus and causing obstructive hydrocephalus in
  • 96.
    Viral infections •These may produce minimal changes at CT and be better seen at MRI with non-specific T2 hyperintensity both involving the cortex and the white matter. • Herpes simplex encephalitis may have haemorrhagic components demonstrated by CT and occurs usually bilaterally in specific locations such as the temporal lobe, the hippocampus and the insula.
  • 97.
    Herpes encephalitis Bi-temporaldistribution is typical. Thought to occur by re-activation of herpes virus much like “cold sores” Except through different nerve Distribution.
  • 98.
  • 99.
  • 102.
  • 104.
  • 105.
  • 106.
  • 107.
    Brain tumors •High-grade or malignant gliomas appear as contrast-enhancing mass lesions, which arise in white matter and are surrounded by edema • Multifocal malignant gliomas are seen in ~ 5% of patients. • Low-grade gliomas typically are nonenhancing lesions that diffusely infiltrate brain tissue and may involve a large region of brain. • Low-grade gliomas are usually best appreciated on T2-weighted MRI scans.
  • 108.
  • 109.
    Stroke • Intraparenchymal • Subarachnoid heamorrhage • Subdural heamatoma • Epidural heamatoma • Lacunar infarcts • Ventricular bleed
  • 110.
  • 111.
  • 112.
  • 113.
  • 114.
    Subarachnoid Hemorrhage Bloodshows white on CT. Anterior Communicating Artery aneurysm has burst, flooding the basal structures under the brain outside the brain parenchyma, but will occasionally empty into a Ventricle as it has on the left here (see fluid level). Note typical “bat wing” shape just above the mid-brain (green arrow).
  • 115.
  • 116.
  • 117.
    Radiation risk •Relative values of CT exam exposure – Background radiation is 3 mSv/year • Water, food, air, solar • In Denver (altitude 5280 ft.) 10 mSv/year – CXR = 0.1 mSv – CT head = 2 mSv – CT Chest = 8 mSv – CT Abdomen and Pelvis = 20 mSv -The equivalent of 200 CXR
  • 118.
  • 119.
    References;-nelson suttons radiology neuroradiology –robert caffeys pediatric radiology donnelly various websites