Lecture Outline  CT MRI EEG MEG PET (LO#5 BB3) Functional  neuroimaging  (LO#6 BB3) Cranial Trauma  (LO#6 BB2) Practical Neuoimaging:  clinical examples Exam prep-what to know! Sagittal Axial
 
CT/ CAT scanning: Introduction Computerised Axial Tomography/  Computer Tomography  is well accepted imaging modality for evaluation of the entire body. Use thousands of narrow-beam X-rays to pass through the tissue at different angles X-rays are detected forming slices of images of the tissues CT looks at structures rather than functions Used to detect brain disease Small structures cannot be distinguished
CT/ CAT scanning: Methodology 2D measurement are taken in a helical manner all around the patient Attenuation coefficient reflects the degree to which the X-ray intensity is reduced by the material it passes through Attenuation data is summed up from thousands of angles used in a process called reconstruction Contrast dye is sometimes used to make the internal organs more visible in the image Bone appears white (hyper-intensity) ; gases and liquids are black (hypo-intensity); tissues are gray Basically, a narrow beam of X ray scans across a patient in synchrony with a radiation detector on the opposite side of the patient. CT scan  Showing a  brain tumor
CT/ CAT scanning: Tomographic images The tomographic image is a picture of a slab of the patient’s anatomy The 2D CT image corresponds to a 3D section of the patient The 2D array of pixels in the CT image corresponds to an equal number of 3D voxels (volumetric pixel or, more correctly, Volumetric Picture Element) in the patient Each pixel on the CT image displays the average x-ray attenuation properties of the tissue in the corresponding  voxel
 
What is a MRI? MRI stands for  magnetic resonance imaging. A MRI scanner has a magnetic field that is frequently up to  60,000  times as strong as Earth’s magnetic field! MRI equipment is expensive. 1.5 tesla scanners often cost between $1 million and $1.5 million USD. 3.0 tesla scanners often cost between $2 million and $2.3 million USD. Construction of MRI suites can cost up to $500,000 USD, or more, depending on project scope. Dangers of MRI's Video:  http://www.youtube.com/watch?v=_lBxYtkh4ts
MRI How does it work? The Basics Patient is bathed in a magnetic field This field causes some of the body’s nuclei to behave like tiny compasses and line up The nuclei spins on an axis, a bit like a spinning top The atom that the MRI uses is the hydrogen atom Protons are most strongly affected by the Magnetic field – it is more likely to line up than other atoms Then the nuclei are hit by pulsing radio waves- This RF makes the protons spin at a particular frequency, in a particular direction – This is the Resonance bit Once the RF pulses stop the nuclei go back to their state induced by the magnet The energy now released by the nuclei acts like miniature radio stations giving out a signal The coil now picks up that excess energy and sends the signals to the computer – which is the Imaging part of the scan Molecules with magnetic charges align with the strong magnetic field. A radio frequency is used to tip these molecules over.
MRI How the image is made Often, patients are injected with a contrast dye during the scan The dye will reach different tissues at different rates The image being sent back to the computer will have different strengths depending on the level of contrast dye in the tissues Applications: Diagnosing: MS; strokes; infections of the brain/spine/CNS; tendonitis Visualizing: Injuries; torn ligaments – especially in areas difficult to see like the wrist, ankle or knee Evaluating: Masses in soft tissue; cysts; bone tumors or disc problems. Magnetic Resonance Imaging (MRI) image of the brain
MRI:Advantages The MRI  does not use ionizing radiation , which is a comfort to patients Also the  contrast dye has a very low chance of side effects A  non invasive  way of diagnosing diseases and conditions-They have given doctors the chance to detect cancers earlier than ever before-a view into the body without surgery While CT provides good spatial resolution (the ability to distinguish two separate structures an arbitrarily small distance from each other),  MRI provides comparable resolution with far better contrast resolution (the ability to distinguish the differences between two arbitrarily similar but not identical tissues) .  Variable thickness, any plane Many details without I.V  contrast CT vs MRI
MRI the disadvantages Claustrophobia.  Patients are in a very enclosed space. Weight and size.  There are limitations to how big a patient can be. Noise.  The scanner is very noisy-gets really scary Keeping still.  Patients have to keep very still for extended periods of time. Cost.  A scanner is very, very expensive, therefore scanning is also costly. Medical Contraindications.  Pacemakers, metal objects in body etc. Time consuming Not easily available (long waiting list) No on-call service Need to tweak sequences as per the clinical questions; hence cannot be generalised MRI has limitations: Bone Air-Pain abdomen ? cause Time consuming Expertise!
Material to read latter- Before MRI, there is a checklist! No mobiles, no credit cards, please! Known potential safety concerns due to large static magnetic field: Internal cardiac pacemakers Steel cerebral aneurysm clips (ferromagnetic) Small steel slivers embedded in eye Life-support equipment with magnetic steel Cochlear implants Stents anywhere in the body
Material to read latter-MRI Further checklist! Malfunction: ICDs, neurostimulators, bone growth stimulators (prosthetic heart valves) Superficial burns (uninsulated wire leads) NEED sedation: infants, younger peds, agitated adults (claustrophobia) Precautions: magnetic plastic cards, watches, hearing aids, ferromagnetic steel objects (LEAVE OUTSIDE) Loud noise (long-term hearing loss) Pregnancy!
Types of MRI images T1WI T2WI PDWI DWI ADC GE Perfusion images fMRI BOLD images MRA MRV Post-Gd images Volumetric images MR arthrograms FLAIR STIR Etc etc etc
Types of MRI images: T1- T2-weighted For example, with particular values of the  echo time  ( T E ) and the  repetition time  ( T R ), which are basic parameters of image acquisition, a sequence takes on the property of  T 1  or  T 2 -weighting.  On a  T 2 -weighted scan, water- and fluid-containing tissues are bright   and fat-containing tissues are dark.  The reverse is true for  T 1 -weighted images. Damaged tissue tends to develop edema, which makes a  T 2 -weighted sequence sensitive for pathology, and generally able to distinguish pathologic tissue from normal tissue . With the addition of an additional radio frequency pulse and additional manipulation of the magnetic gradients, a  T 2 -weighted sequence can be converted to a  Fluid Attenuated Inversion Recovery (FLAIR)  sequence, in which free water is now dark, but edematous tissues remain bright.  This sequence in particular is currently the most sensitive way to evaluate the brain for demyelinating diseases, such as multiple sclerosis .
Pooley, R. A. Radiographics 2005;25:1087-1099 T1-weighted contrast In the brain  T 1 -weighted scans provide good gray matter/white matter contrast , in other words put simply,  T1 Weighted Images highlights fat deposition. Types of MRI images: T1WI
Pooley, R. A. Radiographics 2005;25:1087-1099 T2-weighted contrast Types of MRI images: T2WI T2 images are particularly well suited to edema as they are sensitive to water content (edema is characterized by increased water content). In other words, put more simply,  T2 weighted images light up liquid on the images being visualized .
Magnetic Resonance Angiography (MRA)  is a group of techniques based on Magnetic Resonance Imaging (MRI) to image blood vessels . MRA  generates pictures of the arteries to evaluate them for  stenosis  (abnormal narrowing) or  aneurysms  (vessel wall dilatations, at risk of rupture). A variety of techniques can be used to generate the pictures, such as administration of a paramagnetic contrast agent ( gadolinium, Gd ). Types of MRI images: Magnetic resonance angiography (MRA) Magnetic Resonance Angiography: Maximum intensity projection of an MRA covering from the top of the heart to just below the circle of Willis MRA showing the circle of Willis in the brain.
Material to read latter-T 1  vs T 2  MRI: Tissue Appearance WT FAT H2O MUSC LIG BONE T1 B D I D D Proton  Density I I I D D T2 I B I D D
Material to read latter-T 1  vs T 2  MRI: Tissue Appearance
Spine imaging MR is the investigation of choice Conventional CT, CT myelogram and conventional myelogram are no longer performed, unless MRI is contraindicated. First line of investigation in suspected spinal infection, cord compression, cauda equina, sciatica Virtually everyone after the age of 40 years will have at least one degenerative disc/end plate
 
Functional Magnetic Resonance Imaging (fMRI)  Looks at functions using oxygen uptake With functional magnetic resonance imaging (fMRI), is based on hemoglobin (the blood protein that binds oxygen).  The fMRI can measure the oxygen used by the brain, and the most active brain areas use the most oxygen.  Hemoglobin is diamagnetic when oxygenated (oxyhemoglobin) but paramagnetic when deoxygenated (deoxyhemoglobin).   The magnetic resonance (MR) signal of blood is therefore slightly different depending on the level of oxygenation.  fMRI scan of the brain. The red areas are the ones showing the highest level of brain activity
 
Electroencephalograph (EEG) Electroencephalograph is used measure brain activity ,  electrodes  (sometimes just a few and sometimes more than a hundred) are placed on the outside of the head. These electrodes are temporarily glued in place with glue that is easy to remove with an alcohol wipe. These electrodes measure the average amount of activity at any point in time for the cells that are directly under the electrode.  The main use is research into brain function, diagnosis of epilepsy, sleep disorders. No risks (unlike CT scans for example) They are not as spatially accurate as fMRI
 
Material to read latter-Magnetoencephalograph (MEG) A magnetoencephalograph (MEG) is similar to an electroencephalograph, but it doesn’t measure electrical activity. Instead, it measures the magnetic fields that brain activity produces naturally. MEGs are very sensitive and can measure changes in the brain’s activity from one millisecond to another.
 
PET Positron Emission Tomography -nuclear medical imaging technique Inject short half-life radioactive isotopes(tracers) into body, then detect gamma rays PET detects the radiation emitted from radioactive substances injected into the body Gamma rays given off are detected by PET Gamma rays are converted to photons of light, and electrical signals The signals convert into slices of images Can show glucose metabolism in the brain, detect cancer, detect dementia and seizures, map brain function
 
Wilson’s disease Das SK and Ray K (2006) Wilson's disease: an update Nat Clin Pract  Neurol   2: 482 – 493 10.1038/ncpneuro0291 Hyperintensities   due to copper  deposition in the bilateral basal ganglia and thalami shown by T2-weighted MRI of the brain
Radiology:  Glioblastoma is usually seen as a  grossly heterogeneous mass . R ing enhancement surrounding a necrotic center  is the most common presentation, but there may be multiple rings. Characterized by  irregular ring-enhancement surrounding a central non-enhancing region of necrosis . Note the shaggy inner-margin of the ring, and the remarkable variation in its thickness. The small foci of internal enhancement represent islands of  living tumor within the regions of necrosis .  Surrounding vasogenic edema  can be impressive, and adds significantly to the mass effect.  Glioblastoma multiforme ( GBM) Axial Gd Enhanced T1W MRI Axial T2W MRI
MRI appearance two months after whole brain radiation (small lesions gone and large lesion much smaller) Metastatic brain tumors
Structure departed from normal position due to intracranial lesion Commonly found in tumors, hematoma, infarction, abscess, etc Signs of supratentorial space-occupying    Displaced or compressed ventricle Narrowing or occlusion of ipsilateral cerebral sulcus and cistern Shift of midline structures Signs of infratentorial space-occupying Deformation and shift of fourth ventricle and brainstem  Ventricular dilatation caused by CSF pathway obstruction Basic Features of  Brain Lesions  Mass effect
 
Multiple sclerosis (MS) Axial Gd Enhanced T1W MR Axial T2W MR MRI imaging of the brain Gd enhanced helps diagnose MS. Typical MS white matter lesions are bright lesions on T2-weighted image (left image), especially in the corpus callosum and periventricular regions. T2W axial T2W sagittal
Exam prep-what to know! Recognize the clinical neuroimaging examples from this lecture  Recognize anatomical regions of the brain on CT/MRI-re-visit normal anatomy of the brain notes at the end of this lecture as you learn from the practical and weekly anatomy lectures.
Neuroimaging Lecture

Neuroimaging Lecture

  • 1.
  • 2.
    Lecture Outline CT MRI EEG MEG PET (LO#5 BB3) Functional neuroimaging (LO#6 BB3) Cranial Trauma (LO#6 BB2) Practical Neuoimaging: clinical examples Exam prep-what to know! Sagittal Axial
  • 3.
  • 4.
    CT/ CAT scanning:Introduction Computerised Axial Tomography/ Computer Tomography is well accepted imaging modality for evaluation of the entire body. Use thousands of narrow-beam X-rays to pass through the tissue at different angles X-rays are detected forming slices of images of the tissues CT looks at structures rather than functions Used to detect brain disease Small structures cannot be distinguished
  • 5.
    CT/ CAT scanning:Methodology 2D measurement are taken in a helical manner all around the patient Attenuation coefficient reflects the degree to which the X-ray intensity is reduced by the material it passes through Attenuation data is summed up from thousands of angles used in a process called reconstruction Contrast dye is sometimes used to make the internal organs more visible in the image Bone appears white (hyper-intensity) ; gases and liquids are black (hypo-intensity); tissues are gray Basically, a narrow beam of X ray scans across a patient in synchrony with a radiation detector on the opposite side of the patient. CT scan Showing a brain tumor
  • 6.
    CT/ CAT scanning:Tomographic images The tomographic image is a picture of a slab of the patient’s anatomy The 2D CT image corresponds to a 3D section of the patient The 2D array of pixels in the CT image corresponds to an equal number of 3D voxels (volumetric pixel or, more correctly, Volumetric Picture Element) in the patient Each pixel on the CT image displays the average x-ray attenuation properties of the tissue in the corresponding voxel
  • 7.
  • 8.
    What is aMRI? MRI stands for magnetic resonance imaging. A MRI scanner has a magnetic field that is frequently up to 60,000 times as strong as Earth’s magnetic field! MRI equipment is expensive. 1.5 tesla scanners often cost between $1 million and $1.5 million USD. 3.0 tesla scanners often cost between $2 million and $2.3 million USD. Construction of MRI suites can cost up to $500,000 USD, or more, depending on project scope. Dangers of MRI's Video: http://www.youtube.com/watch?v=_lBxYtkh4ts
  • 9.
    MRI How doesit work? The Basics Patient is bathed in a magnetic field This field causes some of the body’s nuclei to behave like tiny compasses and line up The nuclei spins on an axis, a bit like a spinning top The atom that the MRI uses is the hydrogen atom Protons are most strongly affected by the Magnetic field – it is more likely to line up than other atoms Then the nuclei are hit by pulsing radio waves- This RF makes the protons spin at a particular frequency, in a particular direction – This is the Resonance bit Once the RF pulses stop the nuclei go back to their state induced by the magnet The energy now released by the nuclei acts like miniature radio stations giving out a signal The coil now picks up that excess energy and sends the signals to the computer – which is the Imaging part of the scan Molecules with magnetic charges align with the strong magnetic field. A radio frequency is used to tip these molecules over.
  • 10.
    MRI How theimage is made Often, patients are injected with a contrast dye during the scan The dye will reach different tissues at different rates The image being sent back to the computer will have different strengths depending on the level of contrast dye in the tissues Applications: Diagnosing: MS; strokes; infections of the brain/spine/CNS; tendonitis Visualizing: Injuries; torn ligaments – especially in areas difficult to see like the wrist, ankle or knee Evaluating: Masses in soft tissue; cysts; bone tumors or disc problems. Magnetic Resonance Imaging (MRI) image of the brain
  • 11.
    MRI:Advantages The MRI does not use ionizing radiation , which is a comfort to patients Also the contrast dye has a very low chance of side effects A non invasive way of diagnosing diseases and conditions-They have given doctors the chance to detect cancers earlier than ever before-a view into the body without surgery While CT provides good spatial resolution (the ability to distinguish two separate structures an arbitrarily small distance from each other), MRI provides comparable resolution with far better contrast resolution (the ability to distinguish the differences between two arbitrarily similar but not identical tissues) . Variable thickness, any plane Many details without I.V contrast CT vs MRI
  • 12.
    MRI the disadvantagesClaustrophobia. Patients are in a very enclosed space. Weight and size. There are limitations to how big a patient can be. Noise. The scanner is very noisy-gets really scary Keeping still. Patients have to keep very still for extended periods of time. Cost. A scanner is very, very expensive, therefore scanning is also costly. Medical Contraindications. Pacemakers, metal objects in body etc. Time consuming Not easily available (long waiting list) No on-call service Need to tweak sequences as per the clinical questions; hence cannot be generalised MRI has limitations: Bone Air-Pain abdomen ? cause Time consuming Expertise!
  • 13.
    Material to readlatter- Before MRI, there is a checklist! No mobiles, no credit cards, please! Known potential safety concerns due to large static magnetic field: Internal cardiac pacemakers Steel cerebral aneurysm clips (ferromagnetic) Small steel slivers embedded in eye Life-support equipment with magnetic steel Cochlear implants Stents anywhere in the body
  • 14.
    Material to readlatter-MRI Further checklist! Malfunction: ICDs, neurostimulators, bone growth stimulators (prosthetic heart valves) Superficial burns (uninsulated wire leads) NEED sedation: infants, younger peds, agitated adults (claustrophobia) Precautions: magnetic plastic cards, watches, hearing aids, ferromagnetic steel objects (LEAVE OUTSIDE) Loud noise (long-term hearing loss) Pregnancy!
  • 15.
    Types of MRIimages T1WI T2WI PDWI DWI ADC GE Perfusion images fMRI BOLD images MRA MRV Post-Gd images Volumetric images MR arthrograms FLAIR STIR Etc etc etc
  • 16.
    Types of MRIimages: T1- T2-weighted For example, with particular values of the echo time ( T E ) and the repetition time ( T R ), which are basic parameters of image acquisition, a sequence takes on the property of T 1 or T 2 -weighting. On a T 2 -weighted scan, water- and fluid-containing tissues are bright and fat-containing tissues are dark. The reverse is true for T 1 -weighted images. Damaged tissue tends to develop edema, which makes a T 2 -weighted sequence sensitive for pathology, and generally able to distinguish pathologic tissue from normal tissue . With the addition of an additional radio frequency pulse and additional manipulation of the magnetic gradients, a T 2 -weighted sequence can be converted to a Fluid Attenuated Inversion Recovery (FLAIR) sequence, in which free water is now dark, but edematous tissues remain bright. This sequence in particular is currently the most sensitive way to evaluate the brain for demyelinating diseases, such as multiple sclerosis .
  • 17.
    Pooley, R. A.Radiographics 2005;25:1087-1099 T1-weighted contrast In the brain T 1 -weighted scans provide good gray matter/white matter contrast , in other words put simply, T1 Weighted Images highlights fat deposition. Types of MRI images: T1WI
  • 18.
    Pooley, R. A.Radiographics 2005;25:1087-1099 T2-weighted contrast Types of MRI images: T2WI T2 images are particularly well suited to edema as they are sensitive to water content (edema is characterized by increased water content). In other words, put more simply, T2 weighted images light up liquid on the images being visualized .
  • 19.
    Magnetic Resonance Angiography(MRA) is a group of techniques based on Magnetic Resonance Imaging (MRI) to image blood vessels . MRA generates pictures of the arteries to evaluate them for stenosis (abnormal narrowing) or aneurysms (vessel wall dilatations, at risk of rupture). A variety of techniques can be used to generate the pictures, such as administration of a paramagnetic contrast agent ( gadolinium, Gd ). Types of MRI images: Magnetic resonance angiography (MRA) Magnetic Resonance Angiography: Maximum intensity projection of an MRA covering from the top of the heart to just below the circle of Willis MRA showing the circle of Willis in the brain.
  • 20.
    Material to readlatter-T 1 vs T 2 MRI: Tissue Appearance WT FAT H2O MUSC LIG BONE T1 B D I D D Proton Density I I I D D T2 I B I D D
  • 21.
    Material to readlatter-T 1 vs T 2 MRI: Tissue Appearance
  • 22.
    Spine imaging MRis the investigation of choice Conventional CT, CT myelogram and conventional myelogram are no longer performed, unless MRI is contraindicated. First line of investigation in suspected spinal infection, cord compression, cauda equina, sciatica Virtually everyone after the age of 40 years will have at least one degenerative disc/end plate
  • 23.
  • 24.
    Functional Magnetic ResonanceImaging (fMRI) Looks at functions using oxygen uptake With functional magnetic resonance imaging (fMRI), is based on hemoglobin (the blood protein that binds oxygen). The fMRI can measure the oxygen used by the brain, and the most active brain areas use the most oxygen. Hemoglobin is diamagnetic when oxygenated (oxyhemoglobin) but paramagnetic when deoxygenated (deoxyhemoglobin). The magnetic resonance (MR) signal of blood is therefore slightly different depending on the level of oxygenation. fMRI scan of the brain. The red areas are the ones showing the highest level of brain activity
  • 25.
  • 26.
    Electroencephalograph (EEG) Electroencephalographis used measure brain activity , electrodes (sometimes just a few and sometimes more than a hundred) are placed on the outside of the head. These electrodes are temporarily glued in place with glue that is easy to remove with an alcohol wipe. These electrodes measure the average amount of activity at any point in time for the cells that are directly under the electrode. The main use is research into brain function, diagnosis of epilepsy, sleep disorders. No risks (unlike CT scans for example) They are not as spatially accurate as fMRI
  • 27.
  • 28.
    Material to readlatter-Magnetoencephalograph (MEG) A magnetoencephalograph (MEG) is similar to an electroencephalograph, but it doesn’t measure electrical activity. Instead, it measures the magnetic fields that brain activity produces naturally. MEGs are very sensitive and can measure changes in the brain’s activity from one millisecond to another.
  • 29.
  • 30.
    PET Positron EmissionTomography -nuclear medical imaging technique Inject short half-life radioactive isotopes(tracers) into body, then detect gamma rays PET detects the radiation emitted from radioactive substances injected into the body Gamma rays given off are detected by PET Gamma rays are converted to photons of light, and electrical signals The signals convert into slices of images Can show glucose metabolism in the brain, detect cancer, detect dementia and seizures, map brain function
  • 31.
  • 32.
    Wilson’s disease DasSK and Ray K (2006) Wilson's disease: an update Nat Clin Pract Neurol 2: 482 – 493 10.1038/ncpneuro0291 Hyperintensities due to copper deposition in the bilateral basal ganglia and thalami shown by T2-weighted MRI of the brain
  • 33.
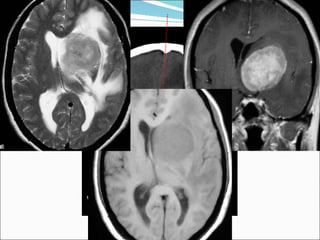
    Radiology: Glioblastomais usually seen as a grossly heterogeneous mass . R ing enhancement surrounding a necrotic center is the most common presentation, but there may be multiple rings. Characterized by irregular ring-enhancement surrounding a central non-enhancing region of necrosis . Note the shaggy inner-margin of the ring, and the remarkable variation in its thickness. The small foci of internal enhancement represent islands of living tumor within the regions of necrosis . Surrounding vasogenic edema can be impressive, and adds significantly to the mass effect. Glioblastoma multiforme ( GBM) Axial Gd Enhanced T1W MRI Axial T2W MRI
  • 34.
    MRI appearance twomonths after whole brain radiation (small lesions gone and large lesion much smaller) Metastatic brain tumors
  • 35.
    Structure departed fromnormal position due to intracranial lesion Commonly found in tumors, hematoma, infarction, abscess, etc Signs of supratentorial space-occupying   Displaced or compressed ventricle Narrowing or occlusion of ipsilateral cerebral sulcus and cistern Shift of midline structures Signs of infratentorial space-occupying Deformation and shift of fourth ventricle and brainstem Ventricular dilatation caused by CSF pathway obstruction Basic Features of Brain Lesions Mass effect
  • 36.
  • 37.
    Multiple sclerosis (MS)Axial Gd Enhanced T1W MR Axial T2W MR MRI imaging of the brain Gd enhanced helps diagnose MS. Typical MS white matter lesions are bright lesions on T2-weighted image (left image), especially in the corpus callosum and periventricular regions. T2W axial T2W sagittal
  • 38.
    Exam prep-what toknow! Recognize the clinical neuroimaging examples from this lecture Recognize anatomical regions of the brain on CT/MRI-re-visit normal anatomy of the brain notes at the end of this lecture as you learn from the practical and weekly anatomy lectures.

Editor's Notes

  • #3 Figure MRI of childs head
  • #6 Figure Left CT scan showing intracranial tumor
  • #12 Axial plane CT vs MRI of brain tumor, same subject-mri clearly has better contrast resolution.
  • #33 Dystonia caused by defect in copper excretion
  • #34 WHO Grade IV Cell of Origin: ASTROCYTE Synonyms: GBM, glioblastoma multiforme, spongioblastoma multiforme Common Locations: cerebral hemispheres, occasionally elsewhere (brainstem, cerebellum, cord) Demographics: peak from 45-60 years Histology: grossly heterogeneous, degeneration, necrosis and hemorrhage are common Special Stains: GFAP varies, often present in areas of better differentiation Progression : Can't get any worse. Radiology: Glioblastoma is usually seen as a grossly heterogeneous mass. Ring enhancement surrounding a necrotic center is the most common presentation, but there may be multiple rings. Surrounding vasogenic edema can be impressive, and adds significantly to the mass effect. Signs of recent (methemoglobin) and remote (hemosiderin) hemorrhage are common. Despite it’s apparent demarcation on enhanced scans, the lesion may diffusely infiltrate into the brain, crossing the corpus callosum in 50-75% of cases.