NEUROIMAGING IN PSYCHIATRY
CHAIRPERSON : DR.K.NARASIMHA REDDI
( PROF & HOD)
PRESENTER : DR.B.NITYA AISWARYA
(1ST YEAR PG)
SCHEME OF PRESENTATION
• INTRODUCTION
• BRAIN NEUROIMAGING MODALITIES
• CLINICAL NEURO IMAGING IN PSYCHIATRY
• PSYCHOTROPIC DRUGS & fMRI
• CONCLUSION
• REFERENCES
INTRODUCTION
• Neuroimaging methodologies allow
measurement of the structure, function, and
chemistry of the human brain.
• Over the past decade, studies using these
methods have provided new information about
the pathophysiology of psychiatric disorders
that may prove to be useful for diagnosing
illness and for developing new treatments.
• In addition to structural neuroimaging with CT
and MRI, a revolution in functional
neuroimaging has enabled clinical scientists to
obtain unprecedented insights into the diseased
human brain.
• Primary observation of structural and
functional brain imaging in neuropsychiatric
disorders such as dementia, movement
disorders, demyelinating disorders, and
epilepsy has contributed to a greater
understanding of the pathophysiology of
neurological and psychiatric illnesses and
helps practicing clinicians in difficult
diagnostic situations
NEUROIMAGING TECHNIQUES
STRUCTURAL
•Plain Skull
Radiography
•Pneumo-
encephalography
•CT –Scan
•Structural MRI
FUNCTIONAL
•MRS
•Functional MRI (fMRI)
•PET
•Single photon
emission computed
tomography (SPECT)
•Brain electrical activity
mapping (BEAM).
•Evoked potential
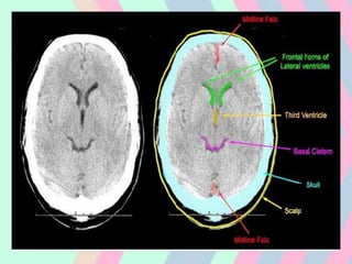
CT SCAN
• Revolutionized diagnostic neuroradiology by
permitting imaging of the brain tissue in live
patients.
• The first CT Scanner was developed in 1972
by Godfrey Housenfield of UK.
• The amount of radiation that passes
through, or is not absorbed from, each angle
is digitized and entered into a computer.
• The computer uses matrix algebra
calculations to assign a specific density to
each point within the head and displays these
data as a set of two-dimensional images.
When viewed in sequence, the images allow
mental reconstruction of the shape of the
brain.
• Allan Cormark developed the matrix alzebra
which is used to reconstruct the CT image.
• The invention of CT Scanner earned
Housenfield & Allan Cormark the Noble Prize
for Medicine in 1979.
Allan Cormark Godfrey Housenfield
• CT images determined only by degree to
which tissues absorb X-ray
• Bone, clotted blood, calcified tissue,
contrast material appear white & CSF black.
• The only component of brain better seen on
CT scan is Calcification, which may be
invisible on MRI.
• Plain:- Diagnostic accuracy 82%
• Contrast:- IV iodinated contrast medium,
Diagnostic accuracy 92%
CRITERIA FOR CONTRAST
Patients with H/O seizure
Patients with H/O cerebro-vascular accident
Suspicion of intracranial space occupying lesions
including granulomas, CNS tumours, metastatic
lesions
INDICATIONS FOR CT-SCAN
• Delirium.
• Dementias of unknown cause.
• First episode of psychosis.
• First episode of major affective disorder
after 50 years of age.
• Personality changes after 50 years of age.
• Psychiatric symptoms following head injury.
• Prolonged catatonia
• To rule out complications due to possible
head trauma
• Co existence of seizure in psychiatric
symptoms
• Movement disorders of unknown etiology
• Focal neurological signs accompanying
psychiatric symptoms
ADVANTAGES
• Simpler, cheaper, more accessible.
• Tolerated by claustrophobics.
• No absolute contraindications.
• Fewer pitfalls in interpretation.
• Better than MR for bone detail.
DISADVANTAGES
• The bony structures absorb high amounts of
irradiation and tend to obscure details of
neighboùring structures, an especially
troublesome problem in the brainstem, which
is surrounded by a thick skull base.
• There is relatively little difference in the
attenuation between gray matter and white
matter in X-ray images.
• Details of the gyral pattern may be difficult
to appreciate in CT scans .
• Certain tumors may be invisible on CT
because they absorb as much irradiation as
the surrounding normal brain.
• Appreciation of tumors and areas of
inflammation, which can cause changes in
behavior, can be increased by intravenous
infusion of iodine-containing contrast agents
• Iodinated compounds, which absorb much
more irradiation than the brain, appear
white
• Blood-brain barrier normally prevents the
passage of the highly charged contrast
agents. The blood-brain barrier, however,
breaks down in the presence of
inflammation or fails to form within tumors
and thus allows accumulation of contrast
agents, these sites then appear white than
the surrounding brain
CT SHOWING B/L CHOROIDAL PLEXUS
CALCIFICATION
MRI
PRINCIPLE OF MRI
• MRI scanning entered clinical practice in 1982 ,
it is based on the principle of nuclear magnetic
resonance (NMR).
• In 1946, Edward Purcell (1912–1997) and Felix
Bloch (1905–1983) independently
demonstrated NMR at Harvard and Stanford
Universities, and for this discovery they shared
the 1952 Nobel Prize in Physics.
• This states that the nuclei of all atoms are
thought to spin about an axis, which is
randomly oriented in space.
• When atoms are placed in a magnetic field,
the axes of all odd-numbered nuclei align
with the magnetic field.
• The axis of a nucleus deviates away from the
magnetic field when exposed to a pulse of
radiofrequency electromagnetic radiation
oriented at 90 or 180 degrees to the
magnetic field.
• When the pulse terminates, the axis of the
spinning nucleus realigns itself with the
magnetic field, and during this realignment,
it emits its own radiofrequency signal.
• MRI scanners collect the emissions of
individual, realigning nuclei and use
computer analysis to generate a series of
two-dimensional images that represent the
brain
• By far the most abundant odd-numbered
nucleus in the brain belongs to hydrogen.
The rate of realignment of the hydrogen axis
is determined by its immediate environment.
• Hydrogen nuclei within fat realign rapidly,
and hydrogen nuclei within water realign
slowly. Hydrogen nuclei in proteins and
carbohydrates realign at intermediate rates.
• The two parameters that are varied are the
duration of the radiofrequency excitation
pulse and the length of the time that data
are collected from the realigning nuclei.
• T1 pulses are brief and data collection is
brief, hydrogen nuclei in hydrophobic
environments are emphasized. Thus, fat is
bright on T1, and CSF is dark.
• The T1 image most closely resembles that of
CT scans and Is most useful for assessing
overall brain structure.
• T1 is also the only sequence that allows
contrast enhancement with the contrast
agent gadolinium diethylene triamine penta
acetic acid (gadolinium- DTPA).
• Gadolinium remains excluded from the brain
by the blood-brain barrier, except in areas
where this barrier breaks down, such as
inflammation or tumor.
• On T1 images, gadolinium-enhanced
structures appear white.
• T2 pulses last four times as long as T1 pulses,
and the collection times are also extended,
to emphasize the signal from hydrogen
nuclei surrounded by water. Thus, brain
tissue is dark, and CSF is white on T2 images.
• Areas within the brain tissue that have
abnormally high water content, such as
tumors, inflammation, or strokes, appear
brighter on T2 images.
• T2 images reveal brain pathology most
clearly.
• The third routine pulse sequence is the
proton density, or balanced sequence. In
this sequence, a short radio pulse is followed
by a prolonged period of data collection,
which equalizes the density of the CSF and
the brain .
• This allows for the distinction of tissue
changes immediately next to the ventricles.
• An additional technique, sometimes used in
clinical practice for specific indications, is
fluid-attenuated inversion recovery (FLAIR).
• In this method, the T1 image is inverted and added
to the T2 image to double the contrast between
gray matter and white matter.
• Inversion recovery imaging is useful for detecting
sclerosis of the hippocampus in temporal lobe
epilepsy and for localizing areas of abnormal
metabolism in degenerative neurological
disorders.
• MRI scans cannot be used for patients with
pacemakers or implants of ferromagnetic metals.
• A significant number of patients cannot tolerate
the claustrophobic conditions of routine MRI
scanners and may need an open MRI scanner,
which has less power and thus produces images of
lower resolution.
NORMAL HUMAN BRAIN ON MRI
TI WEIGHTED T2 WEIGHTED
CSF, cortical bone, air &
rapidly flowing blood have
negligible signals
appear dark
CSF has bright signal
intensity & relative to a
dark signal from grey &
white matter
Fat & bone marrow have
high signal intensity
appear white
Useful in evaluation of
cerebropontine angle,
cistern & pituitary fossa
Useful in demyelination,
edema & tumor infiltration,
to reveal brain pathology
more clearly.
T1 WEIGHTED T2 WEIGHTED
INDICATIONS
• To rule out organic cause of psychiatric
illness
• Abrupt change in mental state
• New onset memory loss
• New onset dementia
• ADVANTAGES
• Does not expose
the patient to
ionizing radiations
• Generates images in
three planes
• Demyelinating
disease can be
assessed reliably
• To study posterior
fossa structures
• DISADVANTAGES
• Avoided in patients
wearing metallic
devices
• Claustrophobia
• Does not pick up
bony abnormalities
• Difficult in
uncooperative
patients
MAGNETIC RESONANCE
SPECTROSCOPY (MRS )
• Basic principle is similar to MRI , except MRS
can detect several odd-numbered nuclei ,
permits study of many metabolic processes.
• Nuclei align themselves in the strong magnetic
field
• A radiofrequency pulse causes the nuclei of
interest to absorb & then emit energy
• The readout of an MRS device is usually in the
form of a spectrum, can also be converted into
a pictorial image of the brain.
NUCLEI USES
H1 Decreased aspartate (NAA) in dementia &
other neural loss
Li7 Pharmacokinetics of Lithium
C¹³ Study of metabolic pathway
F 19 • Pharmacokinetics of certain drugs
like SSRIs (Fluoxetine, Fluoxamine)
• Analysis of glucose metabolism
P³¹ Tissue metabolism (compound
containing high energy phosphates like
ATP, ADP etc.)
FUNCTIONAL MRI (fMRI)
• A Subtype of MRI scanner
• Uses the new T2 or the blood –oxygen level
dependent ( BOLD) sequence Detects
levels of oxygenated Hb in the blood
Maps brain function.
• Neuronal activity within the brain causes a
local increase in blood flow , which in turn
increases the local hemoglobin
concentration.
• Although neuronal metabolism extracts more
oxygen in active areas of the brain, the net
effect of neuronal activity is to increase the
local amount of oxygenated hemoglobin.
• This change can be detected essentially in real
time with the T2 sequence, which thus detects
the functionally active brain regions.
• What f MRI detects is not brain activity per se,
but blood flow. The volume of brain in which
blood flow increases exceeds the volume of
activated neurons by about 1 to 2 cm and limits
the resolution of the technique.
• Thus, two tasks that activate clusters of
neurons 5 mm apart, such as recognizing two
different faces, yield overlapping signals on
fMRI
• Functional MRI is useful to localize neuronal
activity to a particular lobe or subcortical
nucleus and has even been able to localize
activity to a single gyrus.
• The method detects tissue perfusion, not
neuronal metabolism. In contrast, PET
scanning may give information specifically
about neuronal metabolism.
• No radioactive isotopes are administered in
fMRI, advantage over PET and SPECT.
• Different nuclei are available for in vivo for
MRS and have varying potential clinical
uses.
• ADVANTAGE
• Non invasive and no
radiation
• High spatial
resolution
• Detects changes in
cerebral regional
blood flow
• Widely available
hardware
• DISADVANTAGE
• Poor temporal
resolution
• Analysis is complex
and time consuming
• Very sensitive to
artifacts
• Many
contraindications
POSITRON EMISSION TOMOGRAPHY
(PET)
• A radioactive isotope is injected & decays,
emitting a β + particle.
• Within a short distance, the β + particle bumps
into an electron & the two annihilate,
producing a pair of g - rays.
• By detecting & reconstructing where the g –
rays. we can measure the location & conc of
radio-isotope.
• Most Commonly Used Isotopes
• F 18
• N 13
• O 15
APPLICATIONS
• To estimate regional cerebral blood flow
• To estimate regional cerebral glucose
metabolism (regional cerebral metabolic
rate for glucose - rCMRglu)
• For receptor imaging.
• To study normal brain development.
CEREBRAL BLOOD FLOW
• This parallels the regional blood glucose
consumption in the brain & changes with
activation of the cortical neurons
• rCBF is about 70 ml/100g/min in grey matter
& 20 ml/100g/min in white matter
• O15 & N13 are used to measure cerebral
blood flow.
REGIONAL CEREBRAL
METABOLIC RATE
• The normal resting value is from 20–60
micromol/100 g/min in grey matter & from 10-
20 micromol/100 g/min in white matter
• Fluorodeoxyglucose (F18DG) is used to
measure cerebral glucose metabolism
• Used for refractory epilepsy to localize precise
area of resection
• Depression (decreased glucose metabolism)
RECEPTOR IMAGING
• Study DA, serotonin, BZD receptors
• D2 receptors can be studied by using C11, F18.
These receptors are known targets for
antipsychotic drugs.
• D1 receptors can be imaged using C11 & Br76
• Decreased D1 receptor binding in the
prefrontal cortex as compared to control
correlates with negative symptoms in
schizophrenia.
SPECT
INTRODUCTION
• Study DA, serotonin, BZD receptors
• D2 receptors can be studied by using C11,
F18. These receptors are known targets for
antipsychotic drugs.
• D1 receptors can be imaged using C11 & Br76
• Decreased D1 receptor binding in the
prefrontal cortex as compared to control
correlates with negative symptoms in
schizophrenia.
Gamma rays emitted detected by scanner
Translated into 2-D image
These images added together to get a 3-D
image
USES
• Regional cerebral blood flow
• Tc 99 is most commonly used for deeper
structures of brain
• Xe 133 for superficial structures of brain
(rCBF Technique)
• Muscarinic cholinergic system
• I 123
• Dopaminergic system
• Radiolabelled receptor binding agents I 123,
IBZM (Iodobenzamide) for D2 receptors.
• Adrenergic system
• Early diagnosis of Alzheimer's disease
SPECT PET
Single photon Positron
99mTc or I 123 11C or 18F
Short half life Longer half life
Less sensitive Highly sensitive (100 times
more than SPECT)
Can buy isotopes Local cyclotron
Good for study of drug action Good for study of drug
delivery
Low spatial resolution Superior sampling rates and
special resolution
Cheaper and easily available
than PET
Costly not easily availabe
Diffusion tensor imaging (DTI)
• DTI provides a method for estimating the
paths followed by water as it diffuses within
the white matter
• This allows the identification of white matter
tracts in the brain with respect to location
and orientation.
• A further advance of DTI is its ability to
noninvasively construct 3D trajectories of
neural tracts in-vivo.
• It is possible to reconstruct the brain’s
underlying neuronal microstructure that is
normally invisible using conventional MRI.
• At this point in time the ability of DTI to
characterise the white matter architecture
of the brain is unparalleled by any other
imaging modality
• Tractographic
Reconstruction of
neural connections
via DTI
• ADVANTAGES
• High spatial resolution
• Non-invasive
• Able to identify white matter fibers
• DISADVANTAGE
• Difficult to perform group comparisons
(tractography)
VOLEX BASED MORPHOMETRY
(VBM)
• VBM is a MRI-based computational and time
intensive technique
• It can provide detailed information relating
to changes in grey-white matter
composition within the brain.
• The technique is based on a series of
computational steps that correct the MR
images for large-scale differences in gross
anatomy prior to statistical evaluation.
• Steps-
–Spatial normalisation
–Segmentation of tissue classes
–Smoothening of images
• Limitations
• Needs large sample size, difficult to apply to
individuals.
• Assumes brain is composed solely of white
matter, grey matter and CSF hence analysis
difficult in group with pathologies like tumor
and stroke.
Implications of neuroimaging in
psychiatry
NEUROIMAGING IN OCD
• MRI IN OCD
• Larger anterior cingulate volumes (ACV)
a/w increased OCD symptoms severity but
not duration of illness
• ACV inversely correlated with striatal
volumes in OCD patients
• Pituitary Volume Abnormality is noted.
• Decreased total cerebral white matter
volume & significantly greater cerebral
cortical volume is reported.
• Left orbito frontal cortical volume is smaller.
• Corpus callosum abnormality in length is
noted .
• MRS IN OCD
• Greater caudate Glutamatergic conc., is
noted when measured by ¹H-MRS in
comparison to controls.
• MRS was used to measure NAA
concentrations in the anterior cingulate, the
left basal ganglia & the left prefrontal lobe
of the subjects.
• Significantly lower NAA concentrations in
responders to SSRI + AAP in anterior
cingulate gyrus.
• SPECT IN OCD:
• Reduced serotonergic input into the fronto-
subcortical circuits
• Reduced midbrain-pons serotonin
transporter binding
• Right basal ganglion hypoperfusion
• PET IN OCD:
• 5HT availability was significantly reduced in
the thalamus & midbrain
META-ANALYSIS OF PET &
SPECT IN OCD
• Differences in radio-tracer uptake
consistently in the orbital gyrus & the head
of the caudate nucleus
• Head of the caudate
• PET : Greater activity
• SPECT : Decreased activity
IMAGING IN MOOD DISORDERS
• MRI
• reduced hippocampal volume in individuals
suffering from MDD.
• pediatric patients with familial depression also
have reduced hippocampal volumes, suggesting
risk factor for developing MDD.
• reductions of 39 and 48 % in the mean gray
matter volume in the prefrontal cortex ventral to
the genu of the corpus callosum in both familial
bipolar depressives and familial unipolar
depressives.
• fMRI
• DLPFC ---> reduction in CBF and metabolism
associated with depression .
• Unipolar depressed and bipolar depressed
subjects both manifest abnormal increases
of metabolism and CBF in the left
mediodorsal nucleus of thalamus .
• Decreased striatal response to happy stimuli
during episodes of depression and increased
striatal activity in a manic state.
• MRS
• NAA levels may be reduced in the frontal
lobe of bipolar patients
• NAA may be reduced in the hippocampus of
depressed and anxious patients.
• elevated choline levels in the basal ganglia
of mood disorder subjects compared to
those of healthy comparisons.
• markedly abnormal concentrations of GABA
and glutamate in several brain regions.
• SPECT :
• Baseline cerebral blood flow (CBF) was
lower in depressed patients – in frontal
cortex & subcortical nuclei bilaterally.
• In response to Medication there is
normalization of CBF deficit.
• SERT (Serotonin Transporter) availability in
the midbrain area is reduced in depression.
PET
• Reduced 5-HTT in depressed patient in the
vicinity of the pontine raphe nuclei.
• Depression severity correlated negatively
with 5-HTT in the thalamus in MDD subjects.
• Depressed phases of MDD & BPAD both
asso.with elevated 5-HTT binding in the
insula, thalamus & striatum, but showed
distinct abnormalities in the brainstem.
• MRI in AD
• increased number of subcortical
hyperintensities, generalized atrophy(medial
temporal lobe) and ventricular enlargement
• Significant volume loss of up to 5 % brain
volume per year
• MRS in AD
• Decreased concentration of NAA in the
temporal lobes & increased concentration of
inositol in the occipital lobes
SPECT IN AD
PET IN AD
PET of glucose
Metabolism in
normal vs.
Alzheimer’s
disease.
In AD shows
hypometabolis
m
FUNCTIONAL MRI IN
DEMENTIA
• fMRI studies have consistently
demonstrated that patients with Alzheimer's
disease have decreased fMRI activation in
the hippocampus and related structures
within the medial temporal lobe during the
encoding of new memories compared to
cognitively intact older subjects.
IMAGING IN ANXIETY
DISORDERS
• MRI:
• Smaller hippocampal volume was attributed to
the neuro-toxic effects of elevated levels of
cortisol & excitatory amino acids
• Smaller left hippocampal volume reported in
adult women with childhood sexual abuse & in
women with PTSD secondary to childhood
sexual abuse
• Panic Disorders
• Smaller temporal lobe
• Hippocampus : normal
• MRS :
• In panic disorders used to record the levels
of lactate, whose IV infusion can precipitate
panic episodes in 3/4th of the pts with either
Panic disorder or Major Depression.
• Brain lactate concentrate, were found to be
elevated during panic attacks, even without
provocative infusion
IMAGING IN SCHIZOPHRENIA
• CT IN SCHIZ
• Enlarged ventricle
• progressive cortical gray and white matter
volume loss in a number of cortical regions
• MRS IN SCHIZ
• reductions in NAA levels in many cortical and
limbic brain regions in schizophrenic
individuals .
• normal or low levels of glutamate and
increased levels of glutamine in medication-
free patients with schizophrenia.
• fMRI of Schizophrenia
• fMRI has emerged as the primary approach
for probing disturbances in the activity of
particular brain regions and specified circuits
associated with the risk for developing
schizophrenia, the symptoms and cognitive
impairments associated with schizophrenia,
and the impact of antipsychotic treatments.
• Patients exhibited reduced prefrontal
cortex activation when performing tasks
that put demands on working memory.
IMAGING IN ADHD
• f MRI
• Hypoactivation in frontal
regions and
frontostriatal networks
• DTI
• White matter
abnormalities especially
in frontostriatal &
frontocerebellar
circuitary.
IMAGING IN ALCOHOL
DEPENDENCE
• MRI studies have been the principal tool to
describe in vivo the many sources of
neurotoxicity associated with alcoholism
including
• (1) the direct neurotoxic and gliotoxic effects of
ethanol.
• (2) the neurotoxic effects of poor nutrition that
often accompany the abuse of alcohol.
• (3) the excitotoxicity associated with the ethanol
withdrawal state.
• (4) the possible disruption in adult-neurogenesis-
associated ethanol intoxication and withdrawal.
• Toxicity is reflected as loss of both gray and
white matter, and these losses appear to be
related to cognitive impairments.
• DTI studies provide evidence of disturbance
in the integrity of white matter tracks
associated with alcoholism.
• The volumetric changes are particularly
severe in patients with Wernicke–Korsakoff
syndrome, arising from nutritional
deficiency.
• Functional MRI
• Studies suggest that recovering alcohol-
dependent patients show abnormal activation
patterns in frontal cortex, thalamus, striatum,
cerebellum, and hippocampus related to
impairments in attention, learning and memory,
motor coordination, and inhibitory control of
behavior.
• Individuals show increased limbic and
orbitofrontal cortex activation when exposed
to alcohol-related cues that elicit alcohol
craving.
• Studies are now attempting to utilize these
craving-related changes in fMRI for testing
putative pharmacotherapies for alcoholism.
• 1H MRS
• studies of GABA have provided insights into
alterations in cortical inhibitory
neurotransmissions associated with the
recovery from alcohol dependence.
sMRI-AUTISM
• Focal hypoplasia of the superior vermian
lobules has been reported.
• In cerebrum, volume loss of the parietal lobe
cortex, white matter, as well as the posterior
corpus callosum has been reported.
• The brain stem and cerebellar vermis were
significantly smaller in autistics than in
controls.
• PET-increase in diffuse cortical metabolism
Other substance abuses
• Cocaine dependence:
• Pet scans of brains of patients being treated for
cocaine addiction show high activation of the
mesolimbic da system when addict Profoundly
crave a drug
• Patients describe feelings of intense craving for
the drug while petscan showed activation in
area from the amygdala and anteriorcingulate
to the tip of both temporal lobes.
• Opioid dependence:
• Few studies using pet have suggested that one
effect of all opioids is decreased blood flow in
selected regions of brain in persons with
opioid dependence.
Psychotropic drugs & fMRI
• CBF and metabolism can be reduced by acute
& chronic administration of BZD and
antipsychotic drugs.
• fMRI studies conversely be designed to
investigate neuropsychological effects of
psychotropic treatments.
• By imaging before & during treatment, the
effects of psychotropic drugs on basal
perfusion or hemodynamic response to
sensory & cognitive events be characterized
CONCLUSION
• Neuroimaging can be structural / functional
• Functional imaging more useful than structural in
psychiatry.
• Neuroimaging in psychiatry is presently used
mainly to rule out neurological causes, and in
evaluation of dementia.
• Sensitivity & specificity of imaging in psychiatry is
not much.
• Still various studies and their findings and newer
developments holds a promising future for
neuroimaging in psychiatric diagnosis &
managements
REFERENCES
• Kaplan & Sadock’s Comprehensive Textbook
0f Psychiatry 10th edition
• Kaplan & Sadock’s Synopsis 0f Psychiatry
13th edition
THANK YOU……

NEUROIMAGING IN PSYCHIATRY.pptx

  • 1.
    NEUROIMAGING IN PSYCHIATRY CHAIRPERSON: DR.K.NARASIMHA REDDI ( PROF & HOD) PRESENTER : DR.B.NITYA AISWARYA (1ST YEAR PG)
  • 2.
    SCHEME OF PRESENTATION •INTRODUCTION • BRAIN NEUROIMAGING MODALITIES • CLINICAL NEURO IMAGING IN PSYCHIATRY • PSYCHOTROPIC DRUGS & fMRI • CONCLUSION • REFERENCES
  • 3.
    INTRODUCTION • Neuroimaging methodologiesallow measurement of the structure, function, and chemistry of the human brain. • Over the past decade, studies using these methods have provided new information about the pathophysiology of psychiatric disorders that may prove to be useful for diagnosing illness and for developing new treatments. • In addition to structural neuroimaging with CT and MRI, a revolution in functional neuroimaging has enabled clinical scientists to obtain unprecedented insights into the diseased human brain.
  • 4.
    • Primary observationof structural and functional brain imaging in neuropsychiatric disorders such as dementia, movement disorders, demyelinating disorders, and epilepsy has contributed to a greater understanding of the pathophysiology of neurological and psychiatric illnesses and helps practicing clinicians in difficult diagnostic situations
  • 5.
    NEUROIMAGING TECHNIQUES STRUCTURAL •Plain Skull Radiography •Pneumo- encephalography •CT–Scan •Structural MRI FUNCTIONAL •MRS •Functional MRI (fMRI) •PET •Single photon emission computed tomography (SPECT) •Brain electrical activity mapping (BEAM). •Evoked potential
  • 6.
  • 7.
    • Revolutionized diagnosticneuroradiology by permitting imaging of the brain tissue in live patients. • The first CT Scanner was developed in 1972 by Godfrey Housenfield of UK. • The amount of radiation that passes through, or is not absorbed from, each angle is digitized and entered into a computer.
  • 8.
    • The computeruses matrix algebra calculations to assign a specific density to each point within the head and displays these data as a set of two-dimensional images. When viewed in sequence, the images allow mental reconstruction of the shape of the brain. • Allan Cormark developed the matrix alzebra which is used to reconstruct the CT image. • The invention of CT Scanner earned Housenfield & Allan Cormark the Noble Prize for Medicine in 1979.
  • 9.
  • 11.
    • CT imagesdetermined only by degree to which tissues absorb X-ray • Bone, clotted blood, calcified tissue, contrast material appear white & CSF black. • The only component of brain better seen on CT scan is Calcification, which may be invisible on MRI. • Plain:- Diagnostic accuracy 82% • Contrast:- IV iodinated contrast medium, Diagnostic accuracy 92%
  • 12.
    CRITERIA FOR CONTRAST Patientswith H/O seizure Patients with H/O cerebro-vascular accident Suspicion of intracranial space occupying lesions including granulomas, CNS tumours, metastatic lesions
  • 13.
    INDICATIONS FOR CT-SCAN •Delirium. • Dementias of unknown cause. • First episode of psychosis. • First episode of major affective disorder after 50 years of age. • Personality changes after 50 years of age. • Psychiatric symptoms following head injury. • Prolonged catatonia
  • 14.
    • To ruleout complications due to possible head trauma • Co existence of seizure in psychiatric symptoms • Movement disorders of unknown etiology • Focal neurological signs accompanying psychiatric symptoms
  • 15.
    ADVANTAGES • Simpler, cheaper,more accessible. • Tolerated by claustrophobics. • No absolute contraindications. • Fewer pitfalls in interpretation. • Better than MR for bone detail.
  • 16.
    DISADVANTAGES • The bonystructures absorb high amounts of irradiation and tend to obscure details of neighboùring structures, an especially troublesome problem in the brainstem, which is surrounded by a thick skull base. • There is relatively little difference in the attenuation between gray matter and white matter in X-ray images.
  • 17.
    • Details ofthe gyral pattern may be difficult to appreciate in CT scans . • Certain tumors may be invisible on CT because they absorb as much irradiation as the surrounding normal brain. • Appreciation of tumors and areas of inflammation, which can cause changes in behavior, can be increased by intravenous infusion of iodine-containing contrast agents
  • 18.
    • Iodinated compounds,which absorb much more irradiation than the brain, appear white • Blood-brain barrier normally prevents the passage of the highly charged contrast agents. The blood-brain barrier, however, breaks down in the presence of inflammation or fails to form within tumors and thus allows accumulation of contrast agents, these sites then appear white than the surrounding brain
  • 19.
    CT SHOWING B/LCHOROIDAL PLEXUS CALCIFICATION
  • 20.
  • 21.
    PRINCIPLE OF MRI •MRI scanning entered clinical practice in 1982 , it is based on the principle of nuclear magnetic resonance (NMR). • In 1946, Edward Purcell (1912–1997) and Felix Bloch (1905–1983) independently demonstrated NMR at Harvard and Stanford Universities, and for this discovery they shared the 1952 Nobel Prize in Physics. • This states that the nuclei of all atoms are thought to spin about an axis, which is randomly oriented in space.
  • 22.
    • When atomsare placed in a magnetic field, the axes of all odd-numbered nuclei align with the magnetic field. • The axis of a nucleus deviates away from the magnetic field when exposed to a pulse of radiofrequency electromagnetic radiation oriented at 90 or 180 degrees to the magnetic field. • When the pulse terminates, the axis of the spinning nucleus realigns itself with the magnetic field, and during this realignment, it emits its own radiofrequency signal.
  • 23.
    • MRI scannerscollect the emissions of individual, realigning nuclei and use computer analysis to generate a series of two-dimensional images that represent the brain • By far the most abundant odd-numbered nucleus in the brain belongs to hydrogen. The rate of realignment of the hydrogen axis is determined by its immediate environment. • Hydrogen nuclei within fat realign rapidly, and hydrogen nuclei within water realign slowly. Hydrogen nuclei in proteins and carbohydrates realign at intermediate rates.
  • 24.
    • The twoparameters that are varied are the duration of the radiofrequency excitation pulse and the length of the time that data are collected from the realigning nuclei. • T1 pulses are brief and data collection is brief, hydrogen nuclei in hydrophobic environments are emphasized. Thus, fat is bright on T1, and CSF is dark. • The T1 image most closely resembles that of CT scans and Is most useful for assessing overall brain structure.
  • 25.
    • T1 isalso the only sequence that allows contrast enhancement with the contrast agent gadolinium diethylene triamine penta acetic acid (gadolinium- DTPA). • Gadolinium remains excluded from the brain by the blood-brain barrier, except in areas where this barrier breaks down, such as inflammation or tumor. • On T1 images, gadolinium-enhanced structures appear white.
  • 26.
    • T2 pulseslast four times as long as T1 pulses, and the collection times are also extended, to emphasize the signal from hydrogen nuclei surrounded by water. Thus, brain tissue is dark, and CSF is white on T2 images. • Areas within the brain tissue that have abnormally high water content, such as tumors, inflammation, or strokes, appear brighter on T2 images. • T2 images reveal brain pathology most clearly.
  • 27.
    • The thirdroutine pulse sequence is the proton density, or balanced sequence. In this sequence, a short radio pulse is followed by a prolonged period of data collection, which equalizes the density of the CSF and the brain . • This allows for the distinction of tissue changes immediately next to the ventricles. • An additional technique, sometimes used in clinical practice for specific indications, is fluid-attenuated inversion recovery (FLAIR).
  • 28.
    • In thismethod, the T1 image is inverted and added to the T2 image to double the contrast between gray matter and white matter. • Inversion recovery imaging is useful for detecting sclerosis of the hippocampus in temporal lobe epilepsy and for localizing areas of abnormal metabolism in degenerative neurological disorders. • MRI scans cannot be used for patients with pacemakers or implants of ferromagnetic metals. • A significant number of patients cannot tolerate the claustrophobic conditions of routine MRI scanners and may need an open MRI scanner, which has less power and thus produces images of lower resolution.
  • 29.
  • 30.
    TI WEIGHTED T2WEIGHTED CSF, cortical bone, air & rapidly flowing blood have negligible signals appear dark CSF has bright signal intensity & relative to a dark signal from grey & white matter Fat & bone marrow have high signal intensity appear white Useful in evaluation of cerebropontine angle, cistern & pituitary fossa Useful in demyelination, edema & tumor infiltration, to reveal brain pathology more clearly.
  • 31.
  • 32.
    INDICATIONS • To ruleout organic cause of psychiatric illness • Abrupt change in mental state • New onset memory loss • New onset dementia
  • 33.
    • ADVANTAGES • Doesnot expose the patient to ionizing radiations • Generates images in three planes • Demyelinating disease can be assessed reliably • To study posterior fossa structures • DISADVANTAGES • Avoided in patients wearing metallic devices • Claustrophobia • Does not pick up bony abnormalities • Difficult in uncooperative patients
  • 34.
    MAGNETIC RESONANCE SPECTROSCOPY (MRS) • Basic principle is similar to MRI , except MRS can detect several odd-numbered nuclei , permits study of many metabolic processes. • Nuclei align themselves in the strong magnetic field • A radiofrequency pulse causes the nuclei of interest to absorb & then emit energy • The readout of an MRS device is usually in the form of a spectrum, can also be converted into a pictorial image of the brain.
  • 35.
    NUCLEI USES H1 Decreasedaspartate (NAA) in dementia & other neural loss Li7 Pharmacokinetics of Lithium C¹³ Study of metabolic pathway F 19 • Pharmacokinetics of certain drugs like SSRIs (Fluoxetine, Fluoxamine) • Analysis of glucose metabolism P³¹ Tissue metabolism (compound containing high energy phosphates like ATP, ADP etc.)
  • 36.
    FUNCTIONAL MRI (fMRI) •A Subtype of MRI scanner • Uses the new T2 or the blood –oxygen level dependent ( BOLD) sequence Detects levels of oxygenated Hb in the blood Maps brain function. • Neuronal activity within the brain causes a local increase in blood flow , which in turn increases the local hemoglobin concentration.
  • 37.
    • Although neuronalmetabolism extracts more oxygen in active areas of the brain, the net effect of neuronal activity is to increase the local amount of oxygenated hemoglobin. • This change can be detected essentially in real time with the T2 sequence, which thus detects the functionally active brain regions. • What f MRI detects is not brain activity per se, but blood flow. The volume of brain in which blood flow increases exceeds the volume of activated neurons by about 1 to 2 cm and limits the resolution of the technique.
  • 38.
    • Thus, twotasks that activate clusters of neurons 5 mm apart, such as recognizing two different faces, yield overlapping signals on fMRI • Functional MRI is useful to localize neuronal activity to a particular lobe or subcortical nucleus and has even been able to localize activity to a single gyrus. • The method detects tissue perfusion, not neuronal metabolism. In contrast, PET scanning may give information specifically about neuronal metabolism.
  • 39.
    • No radioactiveisotopes are administered in fMRI, advantage over PET and SPECT. • Different nuclei are available for in vivo for MRS and have varying potential clinical uses.
  • 40.
    • ADVANTAGE • Noninvasive and no radiation • High spatial resolution • Detects changes in cerebral regional blood flow • Widely available hardware • DISADVANTAGE • Poor temporal resolution • Analysis is complex and time consuming • Very sensitive to artifacts • Many contraindications
  • 41.
  • 42.
    • A radioactiveisotope is injected & decays, emitting a β + particle. • Within a short distance, the β + particle bumps into an electron & the two annihilate, producing a pair of g - rays. • By detecting & reconstructing where the g – rays. we can measure the location & conc of radio-isotope. • Most Commonly Used Isotopes • F 18 • N 13 • O 15
  • 43.
    APPLICATIONS • To estimateregional cerebral blood flow • To estimate regional cerebral glucose metabolism (regional cerebral metabolic rate for glucose - rCMRglu) • For receptor imaging. • To study normal brain development.
  • 44.
    CEREBRAL BLOOD FLOW •This parallels the regional blood glucose consumption in the brain & changes with activation of the cortical neurons • rCBF is about 70 ml/100g/min in grey matter & 20 ml/100g/min in white matter • O15 & N13 are used to measure cerebral blood flow.
  • 45.
    REGIONAL CEREBRAL METABOLIC RATE •The normal resting value is from 20–60 micromol/100 g/min in grey matter & from 10- 20 micromol/100 g/min in white matter • Fluorodeoxyglucose (F18DG) is used to measure cerebral glucose metabolism • Used for refractory epilepsy to localize precise area of resection • Depression (decreased glucose metabolism)
  • 46.
    RECEPTOR IMAGING • StudyDA, serotonin, BZD receptors • D2 receptors can be studied by using C11, F18. These receptors are known targets for antipsychotic drugs. • D1 receptors can be imaged using C11 & Br76 • Decreased D1 receptor binding in the prefrontal cortex as compared to control correlates with negative symptoms in schizophrenia.
  • 47.
  • 48.
    INTRODUCTION • Study DA,serotonin, BZD receptors • D2 receptors can be studied by using C11, F18. These receptors are known targets for antipsychotic drugs. • D1 receptors can be imaged using C11 & Br76 • Decreased D1 receptor binding in the prefrontal cortex as compared to control correlates with negative symptoms in schizophrenia.
  • 49.
    Gamma rays emitteddetected by scanner Translated into 2-D image These images added together to get a 3-D image
  • 51.
    USES • Regional cerebralblood flow • Tc 99 is most commonly used for deeper structures of brain • Xe 133 for superficial structures of brain (rCBF Technique) • Muscarinic cholinergic system • I 123
  • 52.
    • Dopaminergic system •Radiolabelled receptor binding agents I 123, IBZM (Iodobenzamide) for D2 receptors. • Adrenergic system • Early diagnosis of Alzheimer's disease
  • 53.
    SPECT PET Single photonPositron 99mTc or I 123 11C or 18F Short half life Longer half life Less sensitive Highly sensitive (100 times more than SPECT) Can buy isotopes Local cyclotron Good for study of drug action Good for study of drug delivery Low spatial resolution Superior sampling rates and special resolution Cheaper and easily available than PET Costly not easily availabe
  • 54.
    Diffusion tensor imaging(DTI) • DTI provides a method for estimating the paths followed by water as it diffuses within the white matter • This allows the identification of white matter tracts in the brain with respect to location and orientation. • A further advance of DTI is its ability to noninvasively construct 3D trajectories of neural tracts in-vivo.
  • 55.
    • It ispossible to reconstruct the brain’s underlying neuronal microstructure that is normally invisible using conventional MRI. • At this point in time the ability of DTI to characterise the white matter architecture of the brain is unparalleled by any other imaging modality
  • 56.
  • 57.
    • ADVANTAGES • Highspatial resolution • Non-invasive • Able to identify white matter fibers • DISADVANTAGE • Difficult to perform group comparisons (tractography)
  • 58.
    VOLEX BASED MORPHOMETRY (VBM) •VBM is a MRI-based computational and time intensive technique • It can provide detailed information relating to changes in grey-white matter composition within the brain. • The technique is based on a series of computational steps that correct the MR images for large-scale differences in gross anatomy prior to statistical evaluation.
  • 59.
    • Steps- –Spatial normalisation –Segmentationof tissue classes –Smoothening of images • Limitations • Needs large sample size, difficult to apply to individuals. • Assumes brain is composed solely of white matter, grey matter and CSF hence analysis difficult in group with pathologies like tumor and stroke.
  • 60.
  • 61.
    NEUROIMAGING IN OCD •MRI IN OCD • Larger anterior cingulate volumes (ACV) a/w increased OCD symptoms severity but not duration of illness • ACV inversely correlated with striatal volumes in OCD patients • Pituitary Volume Abnormality is noted. • Decreased total cerebral white matter volume & significantly greater cerebral cortical volume is reported.
  • 62.
    • Left orbitofrontal cortical volume is smaller. • Corpus callosum abnormality in length is noted . • MRS IN OCD • Greater caudate Glutamatergic conc., is noted when measured by ¹H-MRS in comparison to controls. • MRS was used to measure NAA concentrations in the anterior cingulate, the left basal ganglia & the left prefrontal lobe of the subjects. • Significantly lower NAA concentrations in responders to SSRI + AAP in anterior cingulate gyrus.
  • 63.
    • SPECT INOCD: • Reduced serotonergic input into the fronto- subcortical circuits • Reduced midbrain-pons serotonin transporter binding • Right basal ganglion hypoperfusion • PET IN OCD: • 5HT availability was significantly reduced in the thalamus & midbrain
  • 64.
    META-ANALYSIS OF PET& SPECT IN OCD • Differences in radio-tracer uptake consistently in the orbital gyrus & the head of the caudate nucleus • Head of the caudate • PET : Greater activity • SPECT : Decreased activity
  • 65.
    IMAGING IN MOODDISORDERS • MRI • reduced hippocampal volume in individuals suffering from MDD. • pediatric patients with familial depression also have reduced hippocampal volumes, suggesting risk factor for developing MDD. • reductions of 39 and 48 % in the mean gray matter volume in the prefrontal cortex ventral to the genu of the corpus callosum in both familial bipolar depressives and familial unipolar depressives.
  • 66.
    • fMRI • DLPFC---> reduction in CBF and metabolism associated with depression . • Unipolar depressed and bipolar depressed subjects both manifest abnormal increases of metabolism and CBF in the left mediodorsal nucleus of thalamus . • Decreased striatal response to happy stimuli during episodes of depression and increased striatal activity in a manic state.
  • 67.
    • MRS • NAAlevels may be reduced in the frontal lobe of bipolar patients • NAA may be reduced in the hippocampus of depressed and anxious patients. • elevated choline levels in the basal ganglia of mood disorder subjects compared to those of healthy comparisons. • markedly abnormal concentrations of GABA and glutamate in several brain regions.
  • 68.
    • SPECT : •Baseline cerebral blood flow (CBF) was lower in depressed patients – in frontal cortex & subcortical nuclei bilaterally. • In response to Medication there is normalization of CBF deficit. • SERT (Serotonin Transporter) availability in the midbrain area is reduced in depression.
  • 69.
    PET • Reduced 5-HTTin depressed patient in the vicinity of the pontine raphe nuclei. • Depression severity correlated negatively with 5-HTT in the thalamus in MDD subjects. • Depressed phases of MDD & BPAD both asso.with elevated 5-HTT binding in the insula, thalamus & striatum, but showed distinct abnormalities in the brainstem.
  • 71.
    • MRI inAD • increased number of subcortical hyperintensities, generalized atrophy(medial temporal lobe) and ventricular enlargement • Significant volume loss of up to 5 % brain volume per year • MRS in AD • Decreased concentration of NAA in the temporal lobes & increased concentration of inositol in the occipital lobes
  • 72.
  • 73.
    PET IN AD PETof glucose Metabolism in normal vs. Alzheimer’s disease. In AD shows hypometabolis m
  • 75.
    FUNCTIONAL MRI IN DEMENTIA •fMRI studies have consistently demonstrated that patients with Alzheimer's disease have decreased fMRI activation in the hippocampus and related structures within the medial temporal lobe during the encoding of new memories compared to cognitively intact older subjects.
  • 76.
    IMAGING IN ANXIETY DISORDERS •MRI: • Smaller hippocampal volume was attributed to the neuro-toxic effects of elevated levels of cortisol & excitatory amino acids • Smaller left hippocampal volume reported in adult women with childhood sexual abuse & in women with PTSD secondary to childhood sexual abuse • Panic Disorders • Smaller temporal lobe • Hippocampus : normal
  • 77.
    • MRS : •In panic disorders used to record the levels of lactate, whose IV infusion can precipitate panic episodes in 3/4th of the pts with either Panic disorder or Major Depression. • Brain lactate concentrate, were found to be elevated during panic attacks, even without provocative infusion
  • 78.
  • 79.
    • CT INSCHIZ • Enlarged ventricle • progressive cortical gray and white matter volume loss in a number of cortical regions • MRS IN SCHIZ • reductions in NAA levels in many cortical and limbic brain regions in schizophrenic individuals . • normal or low levels of glutamate and increased levels of glutamine in medication- free patients with schizophrenia.
  • 80.
    • fMRI ofSchizophrenia • fMRI has emerged as the primary approach for probing disturbances in the activity of particular brain regions and specified circuits associated with the risk for developing schizophrenia, the symptoms and cognitive impairments associated with schizophrenia, and the impact of antipsychotic treatments. • Patients exhibited reduced prefrontal cortex activation when performing tasks that put demands on working memory.
  • 81.
    IMAGING IN ADHD •f MRI • Hypoactivation in frontal regions and frontostriatal networks • DTI • White matter abnormalities especially in frontostriatal & frontocerebellar circuitary.
  • 82.
    IMAGING IN ALCOHOL DEPENDENCE •MRI studies have been the principal tool to describe in vivo the many sources of neurotoxicity associated with alcoholism including • (1) the direct neurotoxic and gliotoxic effects of ethanol. • (2) the neurotoxic effects of poor nutrition that often accompany the abuse of alcohol. • (3) the excitotoxicity associated with the ethanol withdrawal state. • (4) the possible disruption in adult-neurogenesis- associated ethanol intoxication and withdrawal.
  • 83.
    • Toxicity isreflected as loss of both gray and white matter, and these losses appear to be related to cognitive impairments. • DTI studies provide evidence of disturbance in the integrity of white matter tracks associated with alcoholism. • The volumetric changes are particularly severe in patients with Wernicke–Korsakoff syndrome, arising from nutritional deficiency.
  • 84.
    • Functional MRI •Studies suggest that recovering alcohol- dependent patients show abnormal activation patterns in frontal cortex, thalamus, striatum, cerebellum, and hippocampus related to impairments in attention, learning and memory, motor coordination, and inhibitory control of behavior. • Individuals show increased limbic and orbitofrontal cortex activation when exposed to alcohol-related cues that elicit alcohol craving.
  • 85.
    • Studies arenow attempting to utilize these craving-related changes in fMRI for testing putative pharmacotherapies for alcoholism. • 1H MRS • studies of GABA have provided insights into alterations in cortical inhibitory neurotransmissions associated with the recovery from alcohol dependence.
  • 86.
    sMRI-AUTISM • Focal hypoplasiaof the superior vermian lobules has been reported. • In cerebrum, volume loss of the parietal lobe cortex, white matter, as well as the posterior corpus callosum has been reported. • The brain stem and cerebellar vermis were significantly smaller in autistics than in controls. • PET-increase in diffuse cortical metabolism
  • 87.
    Other substance abuses •Cocaine dependence: • Pet scans of brains of patients being treated for cocaine addiction show high activation of the mesolimbic da system when addict Profoundly crave a drug • Patients describe feelings of intense craving for the drug while petscan showed activation in area from the amygdala and anteriorcingulate to the tip of both temporal lobes.
  • 88.
    • Opioid dependence: •Few studies using pet have suggested that one effect of all opioids is decreased blood flow in selected regions of brain in persons with opioid dependence.
  • 89.
    Psychotropic drugs &fMRI • CBF and metabolism can be reduced by acute & chronic administration of BZD and antipsychotic drugs. • fMRI studies conversely be designed to investigate neuropsychological effects of psychotropic treatments. • By imaging before & during treatment, the effects of psychotropic drugs on basal perfusion or hemodynamic response to sensory & cognitive events be characterized
  • 90.
    CONCLUSION • Neuroimaging canbe structural / functional • Functional imaging more useful than structural in psychiatry. • Neuroimaging in psychiatry is presently used mainly to rule out neurological causes, and in evaluation of dementia. • Sensitivity & specificity of imaging in psychiatry is not much. • Still various studies and their findings and newer developments holds a promising future for neuroimaging in psychiatric diagnosis & managements
  • 91.
    REFERENCES • Kaplan &Sadock’s Comprehensive Textbook 0f Psychiatry 10th edition • Kaplan & Sadock’s Synopsis 0f Psychiatry 13th edition
  • 92.