Dr Deepak Garg
Stroke
 Acute episodic neurological deficit caused by ischemia or
hemorrhage in brain.
 TIA (transient ischemic attack) is caused by a
temporary clot.-focal neurological deficit that resolves in24hrs
Types of stroke
 Cerebral Infarction 80%
 Atherosclerotic 60%
 Cardiac emboli 15%
 Other 5%
 Intracranial hemorrhage 15%
 Nontraumatic SAH 5%
 Venous Occlusion 1%
CAUSES BY AGE
 Adult
 Atherosclerosis
 Emboli (cardiac and noncardiac)
 Young Patient
 Arterial dissection
 Vasculopathy
 Emboli
 Drug abuse
 Venous Thrombosis
 Blood dyscrasia
Causes of cytotoxic edema
 Early ischemia
 Encephalopathy
 Early hypoxia
 Reyes syndrome
 Severe hypothermia
 Various toxins (eg dinitrophenol,
hexachlorophene, isoniazid)
Pathophysiology of IschaemicPathophysiology of Ischaemic
Stroke:Stroke:
 Perfusion is maintained by autoregulationPerfusion is maintained by autoregulation
 Normal - CBF - 50-60 ml / 100gm / minNormal - CBF - 50-60 ml / 100gm / min
 Oligaemic State - CBF - 35ml / 100gm / minOligaemic State - CBF - 35ml / 100gm / min
 Ischaemic State - CBF - 20ml / 100gm / minIschaemic State - CBF - 20ml / 100gm / min
 Infarction - CBF < 10ml / 100gm / minInfarction - CBF < 10ml / 100gm / min
 PENUMBRA: “TISSUE AT RISK”PENUMBRA: “TISSUE AT RISK”
 SALVAGEABLESALVAGEABLE
 THERAPEUTIC WINDOW - ? < 3 HRSTHERAPEUTIC WINDOW - ? < 3 HRS
Goals of Acute Stroke
Imaging Targeted toward assessment of the
four Ps—
 Parenchyma
 Pipes
 Perfusion
 Penumbra
 Selection of the appropriate therapy,
and prediction of the clinical outcome
IMAGING MODALITIES:
 Evaluation of ParenchymaEvaluation of Parenchyma
 NCCTNCCT
 MRI - Conventional, DWIMRI - Conventional, DWI
 Evaluation of VesselsEvaluation of Vessels
 USG ( Carotid & TCD)USG ( Carotid & TCD)
 CTACTA
 MRAMRA
 DSA (DSA (Digital subtraction angiography)
 Functional ImagingFunctional Imaging
 CT PerfusionCT Perfusion
 MR PerfusionMR Perfusion
 MR SpectroscopyMR Spectroscopy
 Others- PET , SPECT, XENONOthers- PET , SPECT, XENON CTCT
On CT the mean HU value of ischemic stroke is-
Normal ≥ 29 HU
Hyperacute~ 25 – 29 HU
Acute 23 – 26 HU
subacute 20 – 23 HU
chronic ≤ 20 HU
The subset of ischemic stroke is divided into hyperacute,
acute, subacute and chronic stroke based on timing from the
onset of stroke symptoms. It is generally a definition of time
which is the first 6 hours, 6-48 hours, 48h to weeks, and
weeks to months respectively . However such duration does
not have general agreement among various articles
CT FINDINGS
 A. Hyper acute infarct (<6hrs) - Normal (50-60%)
 Hyper dense artery sign(30%)
 Obscuration of the lentiform nuclei
 B . Acute (6-48hrs) - hypodense BG
- Loss of gray white interface along the insula (insular ribbon sign)
- Sulcal effacement
 C. 1 to 3 days - positive Mass effect
Wedge shaped low density area that involve both gray & white
matter. Hemorrhage transformation may occur.
 D. 4 to 7 days - Gyral enhancement on contrast
Mass effect and oedema present
 E. 1 to 8 weeks - Mass effect resolves, fogging of infarct can occur
Contrast enhancement begin to decline but persists for 8-10 weeks
 F. Month to years - Encephalomalacic changes
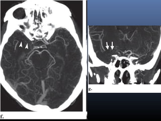
HYPER DENSE MCA SIGN
 ↑ed density of an MCA
segment due to Ac
thrombus.
 Can be seen within 90 mins
 Specificity 100% ,
Sensitivity only 30% .
 False positive : High
hematocrit or calcified
atherosclerotic disease
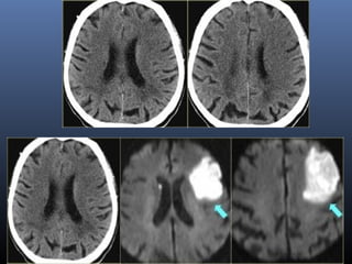
 But in such cases the
hyperattenuation is usually
bilateral.
MCA dot sign
 Hyper density of sylvian MCA branches indicative of
M2 or M3 thrombus (sensitivity in 52% & specificity of
92% )
Hyper dense basilar artery.
 Indicates acute basilar artery thrombosis.
OBSCURATION OF LENTIFORM NUCLEUS
Obscuration of the
lentiform nucleus, also
called blurred basal
ganglia, is an important
sign of infarction.
It is seen in middle
cerebral artery infarction
and is one of the earliest
and most frequently
seen signs.
The basal ganglia are
almost always involved
in MCA-infarction.
Insular ribbon sign
This refers to hypodensity
and swelling of the insular
cortex.
It is a very indicative and
subtle early CT-sign of
infarction in the territory of
the middle cerebral artery.
This region is very sensitive
to ischemia because it is the
furthest from collateral flow.
It has to be differentiated
from herpes encephalitis.
HAEMORRHAGIC TRANSFORMATION
It should be noted that the term haemorrhagic transformation
is a little variably used and collectively refers to two different
processes, which have different incidence, appearance and
prognostic implications. These are:
•petechial haemorrhage
•intracerebral haematoma
SUBACUTE INFARCTSSUBACUTE INFARCTS
Petechial haemorrhage
typically is more
pronounced in grey
matter and results in
increased attenuation.
secondary haematomas
are merely a
summation of the
features of a ischaemic
infarct, with
superimposed cerebral
haemorrhage
Hemorrhagic infarcts
Petechial hemorrhage
Small foci of increased attenuation
in the infarcted area
> 50%
No effect on prognosis
No mass effect
Occurs in first 4th days , rare in the
first 6 hrs
Due to leaking blood from high
pressure vessels
Secondary hematoma
Hematoma within the infarcted
area.
< 5%
Affect prognosis
mass effect
Occurs in first 4 days and in the
first 24 hr in the thrombolysed
patients
Due to rupture vessels because
of rapid reperfusion .
Although this petechial change can result in cortex appearing near-normal it
should not be confused with the phenomenon of fogging seen on CT which
occurs 2 to 3 weeks after infarction.
1-8 weeks
 Contrast enhancement persists.
 Mass effect resolves.
 The swelling starts to subside and the cortex
begins to increase in attenuation. After 2 to 3
weeks following an infarct the cortex regains
near-normal density and imaging at this time
can lead to confusion or missed diagnosis
This is known as the CT fogging phenomenon
Blood supply of brain
Lateral view
Blood supply-Medial view
ARTERIAL
TERRITORIES
Middle cerebral artery infarction - superior
branch
Clinical features
1.Contralateral hemiplegia – face and
upper limb more involved than
lower limb.
2. Contralateral hemisensory loss.
3.Conjugate gaze paresis(patient looks
towards the side of lesion.
4.Broca’s dysphasia (if left sided)
Middle cerebral artery infarction - Inferior
branch
Clinical features
1.Contralateral hemianopia.
2.Wernicke’s dysphasia ( if left sided )
3.Left spatial neglect ( if right sided )
Middle cerebral artery infarction - stem
occlusion
Clinical features
1.Contralateral hemiplegia
2. Contralateral hemisensory loss
3. Contralateral gaze palsy
4. Contralateral hemianopia
5.Global dysphasia (Left sided lesion)
6.Altered sensorium (due to edema)
Middle cerebral artery infarction -
Clinical features
1.Contralateral hemiparesis
2.Contralateral sensory loss
3.Transcortical motor / sensory
aphasia ( left sided lesion)
Lenticular striate artery occlusion
Anterior cerebral artery infarction
Clinical features
1.Contralateral
a.paralysis of leg and foot with paresis of
arm
b.cortical sensory loss over leg and foot
c.presence of primitive reflexes
2.Urinary incontinence
3.Gait apraxia
4.Apraxia of left sided limbs(with left sided
lesion and corpus callosum involvement)
LACUNAR INFARCT
 Lacunar infarcts are small infarcts(less than 15mm)
in the deeper parts of the brain (basal ganglia,
thalamus, white matter) and in the brain stem.
Lacunar infarcts are caused by occlusion of a single
deep penetrating artery.
Lacunar infarcts account for 25% of all ischemic
strokes.
Atherosclerosis is the most common cause of
lacunar infarcts followed by emboli.
25% of patients with clinical and radiologically
defined lacunes had a potential cardiac cause for
their strokes.
 DD WITH VIRCHOW ROBIN SPACES
VIRCHOW ROBIN SPACE
FLAIR
T2WI
ASPECTS
 The Alberta Stroke Program Early CT Score (ASPECTS) was
proposedin 2001 as a means of quantitatively assessing acute
ischemiaon CT images by using a 10-point topographic scoring
system
 According to this system, the MCA territory is dividedinto 10
regions, each of which accounts for one point in thetotal score
 The normal MCA territory is assigned atotal score of 10. For each
area involved in stroke on the unenhancedCT images, one point is
deducted from that score.
 It was demonstrated thatthe baseline ASPECTS correlated inversely
with the NationalInstitutes of Health Stroke Score (NIHSS), and, as
the ASPECTSdecreases, the probability of dependence, death, and
symptomatichemorrhage increases.
ASPECTS
CT PERFUSION
 Provides information about brain perfusion & permits
differentiation of infarcted tissue from penumbra
 Analyzed with CT perfusion analysis software to create color
coded maps of CBV CBF & MTT
 PARAMETERS USED TO DESCRIBE CT PERFUSION
1. MTT (Mean transit time) -Time between arterial inflow & venous
out flow.
2. Time to peak (TTP) -Time from beginning of contrast injection to
peak enhancement of intra cerebral region of interest (ROI)
3. CBF –volume of blood flow per unit of brain mass per unit time.
normal 50-60ml/100g/min
4. CBV - volume of blood per unit of brain mass. Normal CBV is
about 4-5ml /100gm.
5. CBF = CBV/MTT
. Acute stroke (6 hours evolution) in a 46-year-old
woman with left hemiplegia. (a) Nonenhanced CT
scan shows the dot sign (arrow) in the right MCA, loss of
right-sided gray matter–white matter differentiation, and
obscuration of the basal ganglia
MTT
CBV
CBF
(b–e) Perfusion CT maps of MTT (b), CBF (c), and CBV (d) and a summary
map (e) show altered MTT and CBF in the right frontotemporal area, suggestive of
ischemia, and a small subcortical area with decreased CBV, suggestive of an
infarcted core. Note the area of increased CBF and CBV in the right caudate and
lenticular nucleus, representing the first stage of brain ischemia (compensatory
supply with cerebrovascular reserve). Thus the potential salvageable brain tissue is
equivalent to CBF minus CBV
Thus the potential salvageable brain tissue (green) is equivalent
to CBF minus CBV
Follow-up axial T2-weighted MR image shows a hyperintense right
front parietal area and caudate nucleus related to final infarction in the
ischemic area (both decreased and increased flow areas at perfusion CT),
which resulted because no treatment was performed
CT ANGIOGRAPHY
 Definition - fast, thin section volumetric
spiral CT exam with time optimized bolus of
contrast material for opacification of vessels.
 After the inspection of cross sectional
images , 3D reconstruction is performed
using MIP AND MPR.
ADVANTAGES OF CTA
1. Non Invasive & Easy to interpret
2. Able to detect plaque morphology with calcified
plaque easily distinguished from soft or lipid
laden plaque
3. Images can be acquired very quickly
4. Cost effective
5. Widely available can be done in emergency
setting.
6. Not effected by complex flow dynamics as are
MRA & doppler
7. Ability to distinguish vessel occlusion from near
total stenosis
DISADVANTAGES
1. Contrast is needed.
2. Significant time needed for post processing
of source images at a workstation.
3. Difficult to scan from the aortic arch to the
intracranial circulation at appropriate slice
thickness in one setting
) Axial MIP reformatted
CT angiographic image
shows left MCA
obstruction (arrows).
MRI: -(T1W, T2W,PD,FLAIR)
MR FINDINGS
1. Immediate: Absence of normal flow void ( detected within mins of
symptoms ) , low ADC, Perfusion alterations
2. <12hrs – Anatomic alterations on T1WI sulcal effacement , gyral edema loss
of gray white interfaces
3. 12-24 hrs : Hyper intensity on T2WI, Meningeal enhancement adjacent to
infarct, mass effect.
4. 1-3 days : Intravascular Meningeal enhancement begin decreasing, early
parenchymal contrast enhancement ,signal abnormalities striking on T2W ,
Hemorrhage transformation may occur.
5 . 4-7 days : Striking parenchymal contrast enhancement, mass effect,
edema starts decreasing, intravascular& Meningeal enhancement
disappears.
6. 1-8 weeks : Contrast enhancement often persists, mass effect resolves.
Decrease in abnormal signal on T2W1 (fogging effect)
7 . Months Years : Encephalomalacic changes, hemorrhagic residue.
SIGNS OF ACUTE STROKE ON
FLAIR
 FLAIR sequence produce a heavily T2WI with nulling of the signal of
CSF .By suppressing the S.I of bulk water FLAIR images increase the
conspicuity of lesions located in areas adjacent to or filled with CSF.
1. Hyperintense vessel sign : Increased signal intensity in lumen of
large and small vessels may be observed as a sign of infarction. (On
T2WI – occlusion of intracranial arteries is visible as lack of flow void.)
2. Hyperintense swollen cortical gyri : Acute infarcts can appear on
FLAIR as swollen cortical gyri of increased signal intensity. It may also
appear bright on T2WI but FLAIR depicts these areas more clearly than
T2WI by suppressing the CSF signal.
Hyperintense vessel sign
FLAIR MR image show punctiform
hyperintense vessels in left sylvian fissure
suggesting slow flow or thrombosis in insular
branches of middle cerebral artery
T2-W MR image shows lack of flow void in
insular branches of left middle cerebral
artery (arrows). Compare with normal
contra lateral side.
Hyperintense swollen cortical gyri
DW MR image shows high signal intensity in left MCA territory (arrow); this
finding is indicative of acute ischemia. Lack of diffusion restriction in lesion
anteriorly in frontal lobe indicates that this lesion is not acute infarct
FLAIR MR
DW MR
ADVANCED MR IMAGING TECHNIQUES
FOR BETTER DEFINITION OF
STROKE1. MR diffusion imaging
2.MR Perfusion
3. Proton MR Spectroscopy imaging
DIFFUSION MRI
 Is uniquely sensitive to detect earliest changes
within 90 mins
 Sen88% -100% sp 86-100%
 Acute stages - infarcted tissue has low ADC & seen
as hyperintense on DW1
 Chr infarcts are hypointense on DW1 & hyperintense
on ADC
ADVANTAGES OF DWI OVER CONVENTIONAL
MRI
1. Identify stroke before conventional imaging.
2.Differentiate acute from chronic infarcts
3. Show small lesions adjacent to CSF (also be
diagnosed by FLAIR)
4.Fresh lesion can be identified among multiple
infarcts
5. To help predict outcome and to facilitate
correlation with final infarcts size
MRI Ischemia Timecourse
T2
DWI
ADC
In the acute phase T2WI will be
normal, but with time the
infarcted area will become
hyperintense.
The hyperintensity on T2WI
reaches its maximum between 7
to 30 days. After this it starts to
fade.
DWI is already positive in the
acute phase and then becomes
more bright with a maximum at 7
days.
DWI in brain infarction will be
positive for approximately for 3
weeks after onset (in spinal cord
infarction DWI is only positive for
one week!).
ADC will be of low signal
intensity with a maximum at 24
hours and then will increase in
signal intensity and finally
becomes bright in the chronic
stage.
Acute stroke
Figure 15a. Acute stroke of the posterior circulation in a 77-year-old man. (a) Diffusion-
weighted MR image shows bilateral areas of increased signal intensity (arrows) in the
thalami and occipital lobes. (b) ADC map shows decreased ADC values in the same
areas (arrows). These findings are indicative of acute ischemia
DW ADC
Chronic infarcts
Chronic infarcts in a 71-year-old man with a remote history of multiple strokes. (a)
Diffusion-weighted MR image shows areas of decreased signal intensity in the left
frontal lobe. (b) ADC map shows increased ADC values in the white matter of the right
frontal lobe. These features are suggestive of chronic infarction.
Pseudo-normalization of DWI
This occurs between 10-15 days.
The case on the left shows a normal DWI.
On T2WI there is may be some subtle hyperintensity in the right occipital lobe in the
vascular territory of the posterior cerebral artery.
The T1WI after the administration of Gadolinium shows gyral enhancement
indicating infarction.
PERFUSION MRI
 dynamic susceptibility contrast MRI
 Can detect impaired perfusion in both ischemic core &
penumbra.
 Gd as contrast agent injected at rate of 5 ml /sec via a MRI
compatible power injector
 hypoperfused show delayed arrival of contrast than in contra
lateral hemisphere
 images are acquired during 1st
pass of contrast agent through
brain
 analyzed with perfusion analysis software & adequate post
processing to create maps of CBF, CBV, MTT, TTP.
 sensitivity of 74 to 84% and specificity of 96-100%
Diffusion - Perfusion
Mismatch
 DWI =
Infarction
(if no therapy)
 PWI =Infarct +
penumbra
 Mismatch =target for
intervention
On the right the diffusion-perfusion mismatch is indicated in blue.
This is the tissue at risk.
On the DWI there is a large area with restricted diffusion in the territory of the right
middle cerebral artery.
There is a perfect match with the perfusion images, so this patient should not
undergo any form of thrombolytic therapy.
The DWI and ADC map and perfusion images are shown.we can see that there is a
severe mismatch.
Almost the whole left cerebral hemisphere is at risk due to hypoperfusion.
This patient is an ideal candidate for therapy.
Can be used to observe Ischemia induced changes in cerebral metabolism.
Characterised by decreased N-acetyl aspartate, creatine &phosphocreatine
& elevated lactate.
Carotid sonography
 Noninvasive , safe & inexpensive .
 Identification of Stenosis : B Mode, Color Doppler
 B Mode –
 (i) IMT(intima media thickness) -- normal up to 0.8 mm
(ii) Plaque – identification –extent , location , surface
contour ,texture
 USG features s/o plaque ulceration
1. Focal depression or break in plaque surface.
2. Anechoic region within plaque extending to
vessel lumen.
3. Eddies of colour within plaque
 CDUS : 91 to 94% sensitive and 85% to 99%
specific in detecting significant stenosis of the
ICA
 Assessment of severity : Severity depends on 4
factors
 1. PSV
 2. EDV
 3. Amount of spectral broadening
 4. Nature of flow pattern distal to Stenosis
PSV EDV Spectral PSV
ICA/CCA
Normal <125cm/s <40 Normal <2
1-15% <125cm/s <40 Minimal broadening <2
15-49% <125cm/s <40 Marked broadening <2
50-79% >125cm/s <140 Marked broadening with
post stenotic turbulence
>3
80-99% >250cm/s >140 -Do – variable
Occlusio
n
No flow No
flow
N.A NA
DOPPLER SPECTRUM
ANALYSIS
Classification of ICA
Stenosis
R ICA High-grade Stenosis (80-
90% diameter reduction
Colour Doppler US image of the right Common Carotid arterial bifurcation with a large
eccentric fibro fatty plaque. Severe aliasing and turbulence are seen at the stenotic
segment.
R ICA High-grade Stenosis
(>80% by velocity criteria)
The Spectral Doppler trace shows extremely high systolic and diastolic
velocities (PSV 450cm/s & EDV240cm/s) in the stenotic segment with
turbulence.
Intramural hematoma
Color Doppler image of a patient with
ICA dissection shows a hypo echoic thickened wall (arrowheads),
a finding consistent with an intramural hematoma.
Double lumen with different
signals
Figure 7. Color
Doppler image of
a patient with ICA
dissection shows a
double lumen with
different signals
Intimal flap
Dissecting aneurysm
Power Doppler
image of a
patient with ICA
dissection shows
a dissecting
aneurysm.
COLOUR DOPPLER USG
Adv :
1. Reduction in examination time.
2. Quick identification of areas of stenosis /
high velocity which facilitates spectral analysis
3. Improved diagnostic reproducibility &
confidence.
4. Simultaneous homodynamic & anatomic
information
DISADVANTAGE
1. Prone to artifacts
2. Resolution less than gray scale
imaging
3. Slower frame rate
DSA showing stenotic
area in ICA near
bifurcation
Figure 19. Flow chart shows an acute stroke imaging protocol.
Srinivasan A et al. Radiographics 2006;26:S75-S95
©2006 by Radiological Society of North America
INTERVENTIONS IN ACUTE STROKE
 AIM: To restore cerebral perfusion &conserve the ischaemic
penumbra
A. EMERGENT PHARMACOTHERAPY - IV Thrombolysis(IVT)
B . INVESTIGATIONAL PHARMACOLOGIC APPROAC H
Intra-arterial Thrombolysis(IAT)
IAT + IVT
C.NON PHARMACOLOGIC INTERVENTIONS
1.Mechanical clot disruption
2.Direct balloon angioplasty
3.Suction thrombectomy
4.Laser Thrombolysis
5.Retrograde transvenous perfusion
STROKE MIMICS
Stroke
1. Sudden onset
2. Gray &White matter
involved
3. Wedge shaped
4. Typical vascular
distribution
Tumor
1. Gradual onset
2. Tends to spare cortex
preferentially involves white
matter
3 .Round or infiltrating
4. Not confined to a specific
vascular territory
Round shaped hypodense lesion .more probably tumor.
Q9.1. Diagnosis Please
Post-contrast Axial T1-wtd
image
T1-wtd imageFLAIR Image
Post-contrast coronal T1
wtd image
MRA Circle of Willis
Diffusion weighted image
(DWI)
Diffusion weighted image (DWI)
9.1a 9.1b 9.1c 9.1d
9.1e 9.1f
47 year-old left
handed gentleman
with one day
history of left facial
droop and slurred
speech.
Diffusion weighted image (DWI)
9.1a 9.1b 9.1c 9.1d 9.1e 9.1f
Diagnosis: Acute one day old infarction involving the right
middle cerebral artery (MCA) territory.
Acute infarction is seen as an area of increased signal
intensity on DWI (arrow in A), FLAIR image (arrow in B), with
no evidence of hemorrhage on T1-wtd image (C) and no
enhancement on post contrast images (D). Intravascular
enhancement also an indication of acute stroke is shown on
coronal T1 weighted image (arrow in F). MR angiography of
circle of Willis demonstrates small caliber of right Sylvian
branches of MCA (arrows in E) when compared to the normal
side.
Q9.6. Diagnosis Please
July 31, 2003
T1-wtd imageDW Image FLAIR Image Post-contrast Axial T1-wtd
image
9.6a 9.6b 9.6c 9.6d
December 31, 2003
DW Image FLAIR Image T1-wtd image Post-contrast Axial T1-wtd
image
9.6e 9.6f 9.6g 9.6h
73 year-old male with stage IV non-small cell carcinoma presented with 2 weeks
history of sudden onset of speech difficulty with difficulty in word finding,
symptoms gradually improved. Clinical diagnosis: Stroke versus metastasis.
A repeat MRI
scan done 5
months later
Q9.6. Diagnosis Please
July 31, 2003
December 31, 2003
Diagnosis: Non-hemorrhagic subacute enhancing infarct (2 weeks old)
involving the left basal ganglia region. Subacute infarct is seen as an area
of increased signal intensity on FLAIR image (arrow in B) and bright signal
intensity on DWI (arrow in A). Enhancement of the infarct is shown on post
contrast image (arrow in D).
A repeat MRI scan done 5 months
later showed resolution of infarct and
no evidence of bright signal intensity
on diffusion weighted image E.
5 months old infarct.
9.6a 9.6b 9.6c 9.6d
9.6e 9.6f 9.6g 9.6h
Imaging in stroke

Imaging in stroke

  • 1.
  • 2.
    Stroke  Acute episodicneurological deficit caused by ischemia or hemorrhage in brain.  TIA (transient ischemic attack) is caused by a temporary clot.-focal neurological deficit that resolves in24hrs Types of stroke  Cerebral Infarction 80%  Atherosclerotic 60%  Cardiac emboli 15%  Other 5%  Intracranial hemorrhage 15%  Nontraumatic SAH 5%  Venous Occlusion 1%
  • 3.
    CAUSES BY AGE Adult  Atherosclerosis  Emboli (cardiac and noncardiac)  Young Patient  Arterial dissection  Vasculopathy  Emboli  Drug abuse  Venous Thrombosis  Blood dyscrasia
  • 8.
    Causes of cytotoxicedema  Early ischemia  Encephalopathy  Early hypoxia  Reyes syndrome  Severe hypothermia  Various toxins (eg dinitrophenol, hexachlorophene, isoniazid)
  • 11.
    Pathophysiology of IschaemicPathophysiologyof Ischaemic Stroke:Stroke:  Perfusion is maintained by autoregulationPerfusion is maintained by autoregulation  Normal - CBF - 50-60 ml / 100gm / minNormal - CBF - 50-60 ml / 100gm / min  Oligaemic State - CBF - 35ml / 100gm / minOligaemic State - CBF - 35ml / 100gm / min  Ischaemic State - CBF - 20ml / 100gm / minIschaemic State - CBF - 20ml / 100gm / min  Infarction - CBF < 10ml / 100gm / minInfarction - CBF < 10ml / 100gm / min  PENUMBRA: “TISSUE AT RISK”PENUMBRA: “TISSUE AT RISK”  SALVAGEABLESALVAGEABLE  THERAPEUTIC WINDOW - ? < 3 HRSTHERAPEUTIC WINDOW - ? < 3 HRS
  • 13.
    Goals of AcuteStroke Imaging Targeted toward assessment of the four Ps—  Parenchyma  Pipes  Perfusion  Penumbra  Selection of the appropriate therapy, and prediction of the clinical outcome
  • 15.
    IMAGING MODALITIES:  Evaluationof ParenchymaEvaluation of Parenchyma  NCCTNCCT  MRI - Conventional, DWIMRI - Conventional, DWI  Evaluation of VesselsEvaluation of Vessels  USG ( Carotid & TCD)USG ( Carotid & TCD)  CTACTA  MRAMRA  DSA (DSA (Digital subtraction angiography)  Functional ImagingFunctional Imaging  CT PerfusionCT Perfusion  MR PerfusionMR Perfusion  MR SpectroscopyMR Spectroscopy  Others- PET , SPECT, XENONOthers- PET , SPECT, XENON CTCT
  • 17.
    On CT themean HU value of ischemic stroke is- Normal ≥ 29 HU Hyperacute~ 25 – 29 HU Acute 23 – 26 HU subacute 20 – 23 HU chronic ≤ 20 HU The subset of ischemic stroke is divided into hyperacute, acute, subacute and chronic stroke based on timing from the onset of stroke symptoms. It is generally a definition of time which is the first 6 hours, 6-48 hours, 48h to weeks, and weeks to months respectively . However such duration does not have general agreement among various articles
  • 18.
    CT FINDINGS  A.Hyper acute infarct (<6hrs) - Normal (50-60%)  Hyper dense artery sign(30%)  Obscuration of the lentiform nuclei  B . Acute (6-48hrs) - hypodense BG - Loss of gray white interface along the insula (insular ribbon sign) - Sulcal effacement  C. 1 to 3 days - positive Mass effect Wedge shaped low density area that involve both gray & white matter. Hemorrhage transformation may occur.  D. 4 to 7 days - Gyral enhancement on contrast Mass effect and oedema present  E. 1 to 8 weeks - Mass effect resolves, fogging of infarct can occur Contrast enhancement begin to decline but persists for 8-10 weeks  F. Month to years - Encephalomalacic changes
  • 19.
    HYPER DENSE MCASIGN  ↑ed density of an MCA segment due to Ac thrombus.  Can be seen within 90 mins  Specificity 100% , Sensitivity only 30% .  False positive : High hematocrit or calcified atherosclerotic disease  But in such cases the hyperattenuation is usually bilateral.
  • 21.
    MCA dot sign Hyper density of sylvian MCA branches indicative of M2 or M3 thrombus (sensitivity in 52% & specificity of 92% )
  • 22.
    Hyper dense basilarartery.  Indicates acute basilar artery thrombosis.
  • 23.
    OBSCURATION OF LENTIFORMNUCLEUS Obscuration of the lentiform nucleus, also called blurred basal ganglia, is an important sign of infarction. It is seen in middle cerebral artery infarction and is one of the earliest and most frequently seen signs. The basal ganglia are almost always involved in MCA-infarction.
  • 24.
    Insular ribbon sign Thisrefers to hypodensity and swelling of the insular cortex. It is a very indicative and subtle early CT-sign of infarction in the territory of the middle cerebral artery. This region is very sensitive to ischemia because it is the furthest from collateral flow. It has to be differentiated from herpes encephalitis.
  • 25.
  • 26.
    It should benoted that the term haemorrhagic transformation is a little variably used and collectively refers to two different processes, which have different incidence, appearance and prognostic implications. These are: •petechial haemorrhage •intracerebral haematoma
  • 27.
    SUBACUTE INFARCTSSUBACUTE INFARCTS Petechialhaemorrhage typically is more pronounced in grey matter and results in increased attenuation. secondary haematomas are merely a summation of the features of a ischaemic infarct, with superimposed cerebral haemorrhage
  • 28.
    Hemorrhagic infarcts Petechial hemorrhage Smallfoci of increased attenuation in the infarcted area > 50% No effect on prognosis No mass effect Occurs in first 4th days , rare in the first 6 hrs Due to leaking blood from high pressure vessels Secondary hematoma Hematoma within the infarcted area. < 5% Affect prognosis mass effect Occurs in first 4 days and in the first 24 hr in the thrombolysed patients Due to rupture vessels because of rapid reperfusion .
  • 29.
    Although this petechialchange can result in cortex appearing near-normal it should not be confused with the phenomenon of fogging seen on CT which occurs 2 to 3 weeks after infarction.
  • 31.
    1-8 weeks  Contrastenhancement persists.  Mass effect resolves.  The swelling starts to subside and the cortex begins to increase in attenuation. After 2 to 3 weeks following an infarct the cortex regains near-normal density and imaging at this time can lead to confusion or missed diagnosis This is known as the CT fogging phenomenon
  • 33.
    Blood supply ofbrain Lateral view
  • 34.
  • 35.
  • 37.
    Middle cerebral arteryinfarction - superior branch Clinical features 1.Contralateral hemiplegia – face and upper limb more involved than lower limb. 2. Contralateral hemisensory loss. 3.Conjugate gaze paresis(patient looks towards the side of lesion. 4.Broca’s dysphasia (if left sided)
  • 39.
    Middle cerebral arteryinfarction - Inferior branch Clinical features 1.Contralateral hemianopia. 2.Wernicke’s dysphasia ( if left sided ) 3.Left spatial neglect ( if right sided )
  • 41.
    Middle cerebral arteryinfarction - stem occlusion Clinical features 1.Contralateral hemiplegia 2. Contralateral hemisensory loss 3. Contralateral gaze palsy 4. Contralateral hemianopia 5.Global dysphasia (Left sided lesion) 6.Altered sensorium (due to edema)
  • 43.
    Middle cerebral arteryinfarction - Clinical features 1.Contralateral hemiparesis 2.Contralateral sensory loss 3.Transcortical motor / sensory aphasia ( left sided lesion) Lenticular striate artery occlusion
  • 45.
    Anterior cerebral arteryinfarction Clinical features 1.Contralateral a.paralysis of leg and foot with paresis of arm b.cortical sensory loss over leg and foot c.presence of primitive reflexes 2.Urinary incontinence 3.Gait apraxia 4.Apraxia of left sided limbs(with left sided lesion and corpus callosum involvement)
  • 47.
    LACUNAR INFARCT  Lacunarinfarcts are small infarcts(less than 15mm) in the deeper parts of the brain (basal ganglia, thalamus, white matter) and in the brain stem. Lacunar infarcts are caused by occlusion of a single deep penetrating artery. Lacunar infarcts account for 25% of all ischemic strokes. Atherosclerosis is the most common cause of lacunar infarcts followed by emboli. 25% of patients with clinical and radiologically defined lacunes had a potential cardiac cause for their strokes.  DD WITH VIRCHOW ROBIN SPACES
  • 48.
  • 49.
    ASPECTS  The AlbertaStroke Program Early CT Score (ASPECTS) was proposedin 2001 as a means of quantitatively assessing acute ischemiaon CT images by using a 10-point topographic scoring system  According to this system, the MCA territory is dividedinto 10 regions, each of which accounts for one point in thetotal score  The normal MCA territory is assigned atotal score of 10. For each area involved in stroke on the unenhancedCT images, one point is deducted from that score.  It was demonstrated thatthe baseline ASPECTS correlated inversely with the NationalInstitutes of Health Stroke Score (NIHSS), and, as the ASPECTSdecreases, the probability of dependence, death, and symptomatichemorrhage increases.
  • 50.
  • 53.
    CT PERFUSION  Providesinformation about brain perfusion & permits differentiation of infarcted tissue from penumbra  Analyzed with CT perfusion analysis software to create color coded maps of CBV CBF & MTT  PARAMETERS USED TO DESCRIBE CT PERFUSION 1. MTT (Mean transit time) -Time between arterial inflow & venous out flow. 2. Time to peak (TTP) -Time from beginning of contrast injection to peak enhancement of intra cerebral region of interest (ROI) 3. CBF –volume of blood flow per unit of brain mass per unit time. normal 50-60ml/100g/min 4. CBV - volume of blood per unit of brain mass. Normal CBV is about 4-5ml /100gm. 5. CBF = CBV/MTT
  • 55.
    . Acute stroke(6 hours evolution) in a 46-year-old woman with left hemiplegia. (a) Nonenhanced CT scan shows the dot sign (arrow) in the right MCA, loss of right-sided gray matter–white matter differentiation, and obscuration of the basal ganglia
  • 56.
    MTT CBV CBF (b–e) Perfusion CTmaps of MTT (b), CBF (c), and CBV (d) and a summary map (e) show altered MTT and CBF in the right frontotemporal area, suggestive of ischemia, and a small subcortical area with decreased CBV, suggestive of an infarcted core. Note the area of increased CBF and CBV in the right caudate and lenticular nucleus, representing the first stage of brain ischemia (compensatory supply with cerebrovascular reserve). Thus the potential salvageable brain tissue is equivalent to CBF minus CBV
  • 57.
    Thus the potentialsalvageable brain tissue (green) is equivalent to CBF minus CBV
  • 58.
    Follow-up axial T2-weightedMR image shows a hyperintense right front parietal area and caudate nucleus related to final infarction in the ischemic area (both decreased and increased flow areas at perfusion CT), which resulted because no treatment was performed
  • 60.
    CT ANGIOGRAPHY  Definition- fast, thin section volumetric spiral CT exam with time optimized bolus of contrast material for opacification of vessels.  After the inspection of cross sectional images , 3D reconstruction is performed using MIP AND MPR.
  • 61.
    ADVANTAGES OF CTA 1.Non Invasive & Easy to interpret 2. Able to detect plaque morphology with calcified plaque easily distinguished from soft or lipid laden plaque 3. Images can be acquired very quickly 4. Cost effective 5. Widely available can be done in emergency setting. 6. Not effected by complex flow dynamics as are MRA & doppler 7. Ability to distinguish vessel occlusion from near total stenosis
  • 62.
    DISADVANTAGES 1. Contrast isneeded. 2. Significant time needed for post processing of source images at a workstation. 3. Difficult to scan from the aortic arch to the intracranial circulation at appropriate slice thickness in one setting
  • 63.
    ) Axial MIPreformatted CT angiographic image shows left MCA obstruction (arrows).
  • 65.
    MRI: -(T1W, T2W,PD,FLAIR) MRFINDINGS 1. Immediate: Absence of normal flow void ( detected within mins of symptoms ) , low ADC, Perfusion alterations 2. <12hrs – Anatomic alterations on T1WI sulcal effacement , gyral edema loss of gray white interfaces 3. 12-24 hrs : Hyper intensity on T2WI, Meningeal enhancement adjacent to infarct, mass effect. 4. 1-3 days : Intravascular Meningeal enhancement begin decreasing, early parenchymal contrast enhancement ,signal abnormalities striking on T2W , Hemorrhage transformation may occur. 5 . 4-7 days : Striking parenchymal contrast enhancement, mass effect, edema starts decreasing, intravascular& Meningeal enhancement disappears. 6. 1-8 weeks : Contrast enhancement often persists, mass effect resolves. Decrease in abnormal signal on T2W1 (fogging effect) 7 . Months Years : Encephalomalacic changes, hemorrhagic residue.
  • 66.
    SIGNS OF ACUTESTROKE ON FLAIR  FLAIR sequence produce a heavily T2WI with nulling of the signal of CSF .By suppressing the S.I of bulk water FLAIR images increase the conspicuity of lesions located in areas adjacent to or filled with CSF. 1. Hyperintense vessel sign : Increased signal intensity in lumen of large and small vessels may be observed as a sign of infarction. (On T2WI – occlusion of intracranial arteries is visible as lack of flow void.) 2. Hyperintense swollen cortical gyri : Acute infarcts can appear on FLAIR as swollen cortical gyri of increased signal intensity. It may also appear bright on T2WI but FLAIR depicts these areas more clearly than T2WI by suppressing the CSF signal.
  • 67.
    Hyperintense vessel sign FLAIRMR image show punctiform hyperintense vessels in left sylvian fissure suggesting slow flow or thrombosis in insular branches of middle cerebral artery T2-W MR image shows lack of flow void in insular branches of left middle cerebral artery (arrows). Compare with normal contra lateral side.
  • 68.
    Hyperintense swollen corticalgyri DW MR image shows high signal intensity in left MCA territory (arrow); this finding is indicative of acute ischemia. Lack of diffusion restriction in lesion anteriorly in frontal lobe indicates that this lesion is not acute infarct FLAIR MR DW MR
  • 69.
    ADVANCED MR IMAGINGTECHNIQUES FOR BETTER DEFINITION OF STROKE1. MR diffusion imaging 2.MR Perfusion 3. Proton MR Spectroscopy imaging
  • 70.
    DIFFUSION MRI  Isuniquely sensitive to detect earliest changes within 90 mins  Sen88% -100% sp 86-100%  Acute stages - infarcted tissue has low ADC & seen as hyperintense on DW1  Chr infarcts are hypointense on DW1 & hyperintense on ADC
  • 71.
    ADVANTAGES OF DWIOVER CONVENTIONAL MRI 1. Identify stroke before conventional imaging. 2.Differentiate acute from chronic infarcts 3. Show small lesions adjacent to CSF (also be diagnosed by FLAIR) 4.Fresh lesion can be identified among multiple infarcts 5. To help predict outcome and to facilitate correlation with final infarcts size
  • 72.
    MRI Ischemia Timecourse T2 DWI ADC Inthe acute phase T2WI will be normal, but with time the infarcted area will become hyperintense. The hyperintensity on T2WI reaches its maximum between 7 to 30 days. After this it starts to fade. DWI is already positive in the acute phase and then becomes more bright with a maximum at 7 days. DWI in brain infarction will be positive for approximately for 3 weeks after onset (in spinal cord infarction DWI is only positive for one week!). ADC will be of low signal intensity with a maximum at 24 hours and then will increase in signal intensity and finally becomes bright in the chronic stage.
  • 73.
    Acute stroke Figure 15a.Acute stroke of the posterior circulation in a 77-year-old man. (a) Diffusion- weighted MR image shows bilateral areas of increased signal intensity (arrows) in the thalami and occipital lobes. (b) ADC map shows decreased ADC values in the same areas (arrows). These findings are indicative of acute ischemia
  • 74.
    DW ADC Chronic infarcts Chronicinfarcts in a 71-year-old man with a remote history of multiple strokes. (a) Diffusion-weighted MR image shows areas of decreased signal intensity in the left frontal lobe. (b) ADC map shows increased ADC values in the white matter of the right frontal lobe. These features are suggestive of chronic infarction.
  • 77.
    Pseudo-normalization of DWI Thisoccurs between 10-15 days. The case on the left shows a normal DWI. On T2WI there is may be some subtle hyperintensity in the right occipital lobe in the vascular territory of the posterior cerebral artery. The T1WI after the administration of Gadolinium shows gyral enhancement indicating infarction.
  • 78.
    PERFUSION MRI  dynamicsusceptibility contrast MRI  Can detect impaired perfusion in both ischemic core & penumbra.  Gd as contrast agent injected at rate of 5 ml /sec via a MRI compatible power injector  hypoperfused show delayed arrival of contrast than in contra lateral hemisphere  images are acquired during 1st pass of contrast agent through brain  analyzed with perfusion analysis software & adequate post processing to create maps of CBF, CBV, MTT, TTP.  sensitivity of 74 to 84% and specificity of 96-100%
  • 79.
    Diffusion - Perfusion Mismatch DWI = Infarction (if no therapy)  PWI =Infarct + penumbra  Mismatch =target for intervention
  • 81.
    On the rightthe diffusion-perfusion mismatch is indicated in blue. This is the tissue at risk.
  • 82.
    On the DWIthere is a large area with restricted diffusion in the territory of the right middle cerebral artery. There is a perfect match with the perfusion images, so this patient should not undergo any form of thrombolytic therapy.
  • 83.
    The DWI andADC map and perfusion images are shown.we can see that there is a severe mismatch. Almost the whole left cerebral hemisphere is at risk due to hypoperfusion. This patient is an ideal candidate for therapy.
  • 84.
    Can be usedto observe Ischemia induced changes in cerebral metabolism. Characterised by decreased N-acetyl aspartate, creatine &phosphocreatine & elevated lactate.
  • 85.
    Carotid sonography  Noninvasive, safe & inexpensive .  Identification of Stenosis : B Mode, Color Doppler  B Mode –  (i) IMT(intima media thickness) -- normal up to 0.8 mm (ii) Plaque – identification –extent , location , surface contour ,texture  USG features s/o plaque ulceration 1. Focal depression or break in plaque surface. 2. Anechoic region within plaque extending to vessel lumen. 3. Eddies of colour within plaque
  • 86.
     CDUS :91 to 94% sensitive and 85% to 99% specific in detecting significant stenosis of the ICA  Assessment of severity : Severity depends on 4 factors  1. PSV  2. EDV  3. Amount of spectral broadening  4. Nature of flow pattern distal to Stenosis
  • 87.
    PSV EDV SpectralPSV ICA/CCA Normal <125cm/s <40 Normal <2 1-15% <125cm/s <40 Minimal broadening <2 15-49% <125cm/s <40 Marked broadening <2 50-79% >125cm/s <140 Marked broadening with post stenotic turbulence >3 80-99% >250cm/s >140 -Do – variable Occlusio n No flow No flow N.A NA DOPPLER SPECTRUM ANALYSIS Classification of ICA Stenosis
  • 88.
    R ICA High-gradeStenosis (80- 90% diameter reduction Colour Doppler US image of the right Common Carotid arterial bifurcation with a large eccentric fibro fatty plaque. Severe aliasing and turbulence are seen at the stenotic segment.
  • 89.
    R ICA High-gradeStenosis (>80% by velocity criteria) The Spectral Doppler trace shows extremely high systolic and diastolic velocities (PSV 450cm/s & EDV240cm/s) in the stenotic segment with turbulence.
  • 90.
    Intramural hematoma Color Dopplerimage of a patient with ICA dissection shows a hypo echoic thickened wall (arrowheads), a finding consistent with an intramural hematoma.
  • 91.
    Double lumen withdifferent signals Figure 7. Color Doppler image of a patient with ICA dissection shows a double lumen with different signals
  • 92.
  • 93.
    Dissecting aneurysm Power Doppler imageof a patient with ICA dissection shows a dissecting aneurysm.
  • 94.
    COLOUR DOPPLER USG Adv: 1. Reduction in examination time. 2. Quick identification of areas of stenosis / high velocity which facilitates spectral analysis 3. Improved diagnostic reproducibility & confidence. 4. Simultaneous homodynamic & anatomic information
  • 95.
    DISADVANTAGE 1. Prone toartifacts 2. Resolution less than gray scale imaging 3. Slower frame rate
  • 98.
    DSA showing stenotic areain ICA near bifurcation
  • 99.
    Figure 19. Flowchart shows an acute stroke imaging protocol. Srinivasan A et al. Radiographics 2006;26:S75-S95 ©2006 by Radiological Society of North America
  • 100.
    INTERVENTIONS IN ACUTESTROKE  AIM: To restore cerebral perfusion &conserve the ischaemic penumbra A. EMERGENT PHARMACOTHERAPY - IV Thrombolysis(IVT) B . INVESTIGATIONAL PHARMACOLOGIC APPROAC H Intra-arterial Thrombolysis(IAT) IAT + IVT C.NON PHARMACOLOGIC INTERVENTIONS 1.Mechanical clot disruption 2.Direct balloon angioplasty 3.Suction thrombectomy 4.Laser Thrombolysis 5.Retrograde transvenous perfusion
  • 101.
    STROKE MIMICS Stroke 1. Suddenonset 2. Gray &White matter involved 3. Wedge shaped 4. Typical vascular distribution Tumor 1. Gradual onset 2. Tends to spare cortex preferentially involves white matter 3 .Round or infiltrating 4. Not confined to a specific vascular territory
  • 102.
    Round shaped hypodenselesion .more probably tumor.
  • 103.
    Q9.1. Diagnosis Please Post-contrastAxial T1-wtd image T1-wtd imageFLAIR Image Post-contrast coronal T1 wtd image MRA Circle of Willis Diffusion weighted image (DWI) Diffusion weighted image (DWI) 9.1a 9.1b 9.1c 9.1d 9.1e 9.1f 47 year-old left handed gentleman with one day history of left facial droop and slurred speech.
  • 104.
    Diffusion weighted image(DWI) 9.1a 9.1b 9.1c 9.1d 9.1e 9.1f Diagnosis: Acute one day old infarction involving the right middle cerebral artery (MCA) territory. Acute infarction is seen as an area of increased signal intensity on DWI (arrow in A), FLAIR image (arrow in B), with no evidence of hemorrhage on T1-wtd image (C) and no enhancement on post contrast images (D). Intravascular enhancement also an indication of acute stroke is shown on coronal T1 weighted image (arrow in F). MR angiography of circle of Willis demonstrates small caliber of right Sylvian branches of MCA (arrows in E) when compared to the normal side.
  • 105.
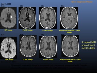
    Q9.6. Diagnosis Please July31, 2003 T1-wtd imageDW Image FLAIR Image Post-contrast Axial T1-wtd image 9.6a 9.6b 9.6c 9.6d December 31, 2003 DW Image FLAIR Image T1-wtd image Post-contrast Axial T1-wtd image 9.6e 9.6f 9.6g 9.6h 73 year-old male with stage IV non-small cell carcinoma presented with 2 weeks history of sudden onset of speech difficulty with difficulty in word finding, symptoms gradually improved. Clinical diagnosis: Stroke versus metastasis. A repeat MRI scan done 5 months later
  • 106.
    Q9.6. Diagnosis Please July31, 2003 December 31, 2003 Diagnosis: Non-hemorrhagic subacute enhancing infarct (2 weeks old) involving the left basal ganglia region. Subacute infarct is seen as an area of increased signal intensity on FLAIR image (arrow in B) and bright signal intensity on DWI (arrow in A). Enhancement of the infarct is shown on post contrast image (arrow in D). A repeat MRI scan done 5 months later showed resolution of infarct and no evidence of bright signal intensity on diffusion weighted image E. 5 months old infarct. 9.6a 9.6b 9.6c 9.6d 9.6e 9.6f 9.6g 9.6h

Editor's Notes

  • #20 Figure 2a.  Axial unenhanced CT images in a proximal segment of the left MCA in a 53-year-old man (a) and a distal segment of the left MCA in a 62-year-old woman (b), obtained 2 hours after the onset of right Hemiparesis and aphasia, show areas of hyper attenuation (arrow) suggestive of intravascular thrombi.
  • #22 Images of an 81-year-old female patient with atrial fibrillation who presented with left facial droop, slurred speech, and left lower-extremity weakness. (a) Initial noncontrast transverse head CT scan demonstrates a hyper attenuating dot (arrow) in right sylvian fissure, which is more opaque than any structure in ipsilateral or contra lateral sylvian fissure—the MCA dot sign. (b) Three-dimensional CT reformation obtained after the bolus administration of intravenous contrast material confirms acute occlusion (arrow) of the distal M1 segment of the MCA; the MCA dot sign seen on the noncontrast CT scan represents propagation of this thrombus in an M2 branch vessel.
  • #31 GYRIFORM ENHANCEMENT
  • #49 DD WITH VIRCHOW ROBIN SPACES
  • #51 The Alberta Stroke Program Early CT Score (ASPECTS) was proposed in 2001 as a means of quantitatively assessing acute ischemia on CT images by using a 10-point topographic scoring system (23). According to this system, the MCA territory is divided into 10 regions, each of which accounts for one point in the total score (Fig 6). The normal MCA territory is assigned a total score of 10. For each area involved in stroke on the unenhanced CT images, one point is deducted from that score. Hence, a score of 0 translates into a finding of diffuse ischemic involvement throughout the MCA territory (Fig 7). It was demonstrated that the baseline ASPECTS correlated inversely with the National Institutes of Health Stroke Score (NIHSS), and, as the ASPECTS decreased, the probability of dependence, death, and symptomatic hemorrhage increased. In addition, clinical agreement with the ASPECTS was superior to that with the one-third MCA rule. The authors concluded that the ASPECTS system is a systematic, robust, and practical method that is applicable to axial images acquired at different levels
  • #54 CT perfusion is analysed with commercial CT perfusion analysis software to create color coded maps of CBV CBF &amp; MTT which are examined for detecting areas of hypo perfusion.
  • #58 Figure 5. Acute stroke (6 hours evolution) in a 46-year-old woman with left hemiplegia. (a) Nonenhanced CT scan shows the dot sign (arrow) in the right MCA, loss of right-sided gray matter–white matter differentiation, and obscuration of the basal ganglia. (b–e) Perfusion CT maps of MTT (b), CBV (c), and CBF (d) and a summary map (e) show altered MTT and CBF in the right frontotemporal area, suggestive of ischemia, and a reduced subcortical area with decreased CBV, suggestive of an infarcted core. Note the area of increased CBF and CBV in the right caudate and lenticular nucleus, representing the first stage of brain ischemia (compensatory supply with cerebrovascular reserve). (f) Follow-up axial T2-weighted MR image shows a hyperintense right front parietal area and caudate nucleus related to final infarction in the ischemic area (both decreased and increased flow areas at perfusion CT), which resulted because no treatment was performed.
  • #64 Figure 8. Acute stroke (1.5 hours evolution) in a 57-year-old woman with right hemiplegia. (a) Nonenhanced CT scan shows loss of the insular ribbon in the left MCA and hypo attenuation of the left lenticular nucleus. (b–d) Perfusion CT maps of MTT (b) and CBV (c) and a summary map (d) show extensive infarction with reduced mismatch. (e) Axial MIP reformatted CT angiographic image shows left MCA obstruction (arrows). (f) CT angiographic–source image shows an area of hypo attenuation, thereby helping confirm core infarction (orange dots). (g) Axial diffusion-weighted MR image obtained 24 hours later shows a hyperintense lesion representing established infarction. The lesion appears very similar to the area seen at CT angiography–source imaging. Figure
  • #68 Fig. 2A. —. FLAIR MR image shows punctiform hyperintense vessels in left sylvian fissure (arrows), suggesting slow flow or thrombosis in insular branches of middle cerebral artery Fig. 2B. —T2-W MR image shows lack of flow void in insular branches of left middle cerebral artery (arrows). Compare with normal contra lateral side.
  • #69 Fig. 4A. —FLAIR MR image shows multiple swollen hyperintense cortical gyri in left insula (thick arrow). These gyriform, hazy areas of hyperintensity are not sharply demarcated. Compare these areas of hyperintensity with hyperintensity of old infarct in left frontal lobe anteriorly, which is more sharply demarcated (thin arrow). Note tubular area of hyperintense signal in M2 segment of left middle cerebral artery DW MR image shows high signal intensity in left MCA territory (arrow); this finding is indicative of acute ischemia. Lack of diffusion restriction in lesion anteriorly in frontal lobe indicates that this lesion is not acute infarct
  • #71 based on quantitative assessment of the random movements of water protons (ADC) within tissue. In acute ischaemic, the random movement of the water protons is rapidly attenuated due to disruption of energy metabolism with failure of ion pumps. This results cytotoxic edema (ADC is decreased by approx 30-50% within 30 mins of ischemia). In DWI – structures with fast diffusion are dark &amp; structure which slower diffusion are bright. In a I. ADC continues to decrease &amp; there is peak signal reduction between 1 to 4 days. ADC return to baseline at 1 to 4 wks reflects developments of vasogenic oedemic
  • #74 Figure 15a.  Acute stroke of the posterior circulation in a 77-year-old man. (a) Diffusion-weighted MR image (b = 1000 sec/mm2) shows bilateral areas of increased signal intensity (arrows) in the thalami and occipital lobes. (b) ADC map shows decreased ADC values in the same areas (arrows). These findings are indicative of acute ischemia
  • #75 Figure 16a.  Chronic infarcts in a 71-year-old man with a remote history of multiple strokes. (a) Diffusion-weighted MR image (b = 1000 sec/mm2) shows areas of decreased signal intensity in the left frontal lobe. (b) ADC map shows increased ADC values in the white matter of the right frontal lobe. These features are suggestive of chronic infarction.
  • #78 Pseudo-normalization of DWIThis occurs between 10-15 days.The case on the left shows a normal DWI.On T2WI there is may be some subtle hyperintensity in the right occipital lobe in the vascular territory of the posterior cerebral artery.The T1WI after the administration of Gadolinium shows gyral enhancement indicating infarction.
  • #79 In this approach, a paramagnetic substance typically a gadolinium bared contrast agent is injected rapidly at a rate of 5 ml /sec via a MRI compatible power injector. As the gadolinium travels through the blood vessels, there are signal changes caused by T1, T2 effects of the contrast agents. There contrast agents have T1 shortening effect through dipole - dipole interaction and T2 shortening effect through magnetic susceptibility effect. Brain region that are hypoperfused are identified by the delayed arrival of contrast agent to vascular bed than in contra lateral hemisphere with patent vessels. Rapid MR images are acquired during the first pass of contrast agent through the brain. PWI data were analyzed with perfusion analysis software and adequate post processing to create maps of CBF, CBV, MTT, TTP. MR perfusion provides qualitative data regarding the cerebral circulation. In general perfusion images are less sensitive than DWI in the detection of acute stroke with sensitivity if 74 to 84% and specificity of 96-100%
  • #82 On the left we first have a diffusion image indicating the area with irreversible changes (dead issue).In the middle there is a large area with hypoperfusion.On the right the diffusion-perfusion mismatch is indicated in blue.This is the tissue at risk.This is the brain tissue that maybe can be saved with therapy.
  • #83 On the DWI there is a large area with restricted diffusion in the territory of the right middle cerebral artery.There is a perfect match with the perfusion images, so this patient should not undergo any form of thrombolytic therapy.
  • #84 On the left another case.The DWI and ADC map is shown.Continue for the perfusion images Now we can see that there is a severe mismatch.Almost the whole left cerebral hemisphere is at risk due to hypoperfusion.This patient is an ideal candidate for therapy.
  • #89 Colour Doppler US image of the right Common Carotid arterial bifurcation with a large eccentric fibro fatty plaque. Severe aliasing and turbulence are seen at the stenotic segment.
  • #90 The Spectral Doppler trace shows extremely high systolic and diastolic velocities (PSV 450cm/s &amp; EDV240cm/s) in the stenotic segment with turbulence.
  • #91 Figure 5. Color Doppler image of a patient with ICA dissection shows a hypo echoic thickened wall (arrowheads), a finding consistent with an intramural hematoma. The hematoma narrows the lumen and spares the bulb
  • #92 Figure 7. Color Doppler image of a patient with ICA dissection shows a double lumen with different signals
  • #93 Figure 6. Gray-scale B-mode Ultrasonographic (US) image of a patient with ICA dissection shows an Intimal flap (arrowhead
  • #94 Figure 8. Power Doppler image of a patient with ICA dissection shows a dissecting aneurysm.
  • #99 DSA showing stenotic area in ICA near bifurcation
  • #100 Figure 19.  Flow chart shows an acute stroke imaging protocol. CTA = CT angiography, CTP = CT perfusion imaging, DWI = diffusion-weighted MR imaging, IA = intraarterial, IV = intravenous, MRA = MR angiography, MRI = conventional MR imaging, NECT = unenhanced CT, PWI = perfusion-weighted MR imaging.
  • #103 Round shaped hypodense lesion .more probably tumor.