IMAGING IN ISCHEMIC STROKE
DR. NAVNI GARG
Definition
A NEUROLOGICAL DEFICIT OF
 Sudden onset
 With focal rather than global dysfunction
 In which, after adequate investigations,
symptoms are presumed to be of non-
traumatic vascular origin
 and lasts for >24 hours
Functional loss of cell
Reduced blood flow
Autoregulation
CYTOTOXIC EDEMA,
CELL DEATH
Increased water content
VASOGENIC EDEMA
MASS EFFECT
GLIOSIS
MINUTES
12-24 hrs
24hrs-2wks
PATHOPHYSIOLOGY
Role of imaging in ischemic stroke
 To rule out mimics esp hemorrhage
 To suggest the therapeutic role
 To establish the etiology
Ischemic stroke mimics
 Hemorrhage
Intraparenchymal
Subarachnoid
Extra, Subdural
 Tumor
 Demyelination disorders
 Migraine
Stroke – Temporal phases
 Hyperacute - < 12hrs
 Acute-12hrs- 2days
 Subacute- 2days to two weeks
 Chronic- > 2wks
Radiol Clin N Am 44 (2006) 41–62
NCCT in stroke
 Very sensitive in detecting hemorrhage
 Other mimics ruled out-
ISCHEMIA SUSPECTED
Early CT findings
A) Hypoattenuating grey matter structures
B) Presence of one or more hyperattenuating
arteries
C)Early Mass effect
Obscuration of lentiform
nucleus
 Proximal MCA occlusion
Lenticulostriate Perforator
arteries
Insular ribbon sign
 Hypoattenuation of insular cortex
NCCT in acute stroke
 OTHER EARLY SIGNS
Loss of grey white matter differentiation
Early mass effect-
Narrowing of sylvian fissure
Loss of cortical sulci
Hyperdense MCA sign
 MCA occluded by fresh thrombus
 -specificity- 100%, sensitivity -30%
 Hyperdense MCA can also be seen
ONLY REVERSIBLE EARLY SIGN
high hematocrit
level
 calcification
in such cases –
usually bilateral
Hyperdense artery sign
 Hyperedense basilar artery sign
 MCA dash sign
NCCT
 Importance of window settings
Normal settings- w80 HU, C- 20HU
W- 8HU- C-32 HU SENSITIVITY
INCREASED
NCCT
 Advantages
very useful to exclude hemorrhage
widely accessible
convenient
short imaging time
 Disadvantages
findings are subtle
not useful for ischemic penumbra
Not useful for posterior fossa infarcts
Conventional MRI
 Can image only vasogenic edema, necrosis
 T1, T2 , FLAIR, GRE/susceptibility weighted
 FLAIR- detection of infarctions in
periventricular and cortical regions,
brainstem
 GRE/susceptibility weighted- for detection of
hemorrhage( IN INFARCTION)
Conventional MRI in acute
stroke
 Hyperacute phase-
loss of grey white matter
differentiation,
loss of flow voids
sulcal effacement
mass effect
 Acute infarct
lesion in arterial
distribution(Hypo-T1, Hyper –
T2)
Conventional MRI in stroke
 Chronic – secondary signs-
Wallerian degeneration
Cortical atrophy
Negative mass effect
T1 T2 FLAIR
Sub acute Iso or
Chronic
Post contrast techniques
 Immediate
Stagnation of contrast in vessels
 Acute- Meningeal enhancement adjacent to
infarct
 Subacute -Gyriform enhancement
 Intravascular, Meningeal enhancement
decrease by 1 wk
Conventional MR imaging
Hyperacute infarct Subacute infarct
DW- principles
 Use of STRONG GRADIENT PULSES
SENSITIVE TO MOLECULAR MOTION in long
TR( T2 weighted)
 Tissues with higher diffusion show greater
signal loss
 To reduce motion artifacts scan time is reduced
by EPI in place of conventional SE
( EPI is fast imaging technique)
 Less diffusion- bright –
diffusion restriction
DWI-b value
 DWI quality-
 B valueα Diffusion weighting
 B value range from 0- 1500
 Optimum b value is 1000
T2 Vs diffusion properties
DWI- stroke
 Hyperacute stroke- Cytotoxic edema
 Lesion appears bright
Temporal sensitivity
Spacial sensitivity
After 55 min
After 5 hrs
DWI- ADC value
 Quantitative measurement of diffusion
property
 Varies with time
Nadir 4-5 days
Pseudonormalization-1-4wks
DWI- stroke
persistent brightness – T2
shine through
DWI ADC
Subacute Moderately bright Towards normal
Chronic Mildly bright increased
DWI importance
 DWI- 100% sensitivity within minutes
 Most sensitive technique of all for hyperacute
stroke
 Essential part of MR evaluation of penumbra
 Useful in detecting new hyperacute , acute
lesions among the chronic lesions –
therapeutic significance
False positive Diffusion
 Causes of diffusion brightness
Cerebral abscess
Tumor
 DWI+ conventional MRI useful
False negative
small lacunar brainstem infarction
deep gray nuclei infarction
CEREBRAL INFARCTION (80%)CEREBRAL INFARCTION (80%)
PERCENT(%)
LARGEVESSEL OCCLUSION (ICA, MCA,PCA) 40-50
LACUNAR INFARCTS 25
CARDIAC EMBOLI 15
BLOOD DISORDER,VASCULITIS 10
<
PRIMARY INTRACRANIAL HEMORRHAGE (20%)
NONTRAUMATIC SAH 5%
Types of infarcts
 Large artery occlusions
 Lacunar infarcts
 Watershed infarcts
 Embolic infarcts
 Venous infarcts
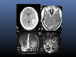
Territorial blood supply
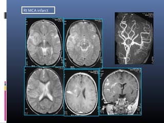
Rt MCA infarct
Territorial blood
supply
Lt PCA I territory
Rt PICA
infarct
SCA infarct
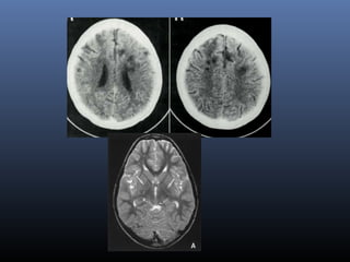
Lacunar infarcts
 Upto 1.5 cm in size
 Occlusion of perforating arteries
 Deep grey matter , deep white
matter,brainstem
 Multiple
 MR is useful to differentiate from VRS,focal
areas of gliosis
Lacunar infarcts
VRS
Lacunar infarct Virchow Robin
Spaces
Location Ant. To ant. comm
Size 1.5 cm 2 mm
DWI bright dark
FLAIR Peripheral
hyperintense
suppressed
Watershed infarcts
 Junction of large arterial territories
 Chronic large vessel stenosis precipitated by
hypotension
 DWI , PW helpful in etiology
MORE COMMONLY HEMORRHAGIC
EARLIER ENHANCEMENT
WATERSHED INFARCTS
Embolic infarcts
Venous infarction
 Common-SSS
 Less common- ICV
 Causes
Dural sinus thrombosis
Cortical venous thrombosis
Deep venous thrombosis
Pregnancy,Post partum
Dehydration
Infection
OC pills
Hypercoaguble states
Venous infarction
 Clinical presentation may not very suggestive
& underdiagnosed
 Findings
Vascular Parenchymal
MRV
CTV
Axial MRI
DSA
MRI
CT
Vascular findings
 NCCT- Hyperdense thrombus
Cord sign
 CECT-
Empty Delta sign
MRI findings
 Axial images-Dural sinus
Early acute-Isointense sinus(T1)
Late acute- Hyperintense(T1)
Subacute- Hyperintense (T1,T2)
Cord sign- Hyperintense cortical veins
Venous infarction
 Parenchymal findings
Edematous infarcts
Hemorrhagic infarcts
Site-
Grey white matter junction,
White matter,
No typical territorial distribution
Transcranial doppler USG
 TCD
2 MHz ,pulsed range gated device
Low band width, large less defined volume
 TCCS
B mode+Frequency based color coding
1.8to 3.6 MHz
Rapid reliable vessel identification
Can also image parenchyma
Transcranial doppler USG-
M1 and M2 of MCA
C1 of ICA
A1 of ACA
P1 and P2 of PCA
Vertebral arteries
Basilar artery
Temporal approach Suboccipital approach
Transcranial doppler USG
 Indications
Intracranial stenosis or occlusion
Secondary effects of extra cranial occlusion
Monitoring of vessel recanalization in stroke
Detection of microemboli
 Accuracy and pitfalls
sensitive and specific if stenosis > 50%
Accurate in detecting M1 lesions
Poor window in 10% - 20% of patients
Conventional angiography-
Indications
 DSA IS USUALLY PERFORMED ONLYDSA IS USUALLY PERFORMED ONLY
WHEN ENDOVASCULAR THERAPY ISWHEN ENDOVASCULAR THERAPY IS
BEING CONSIDEREDBEING CONSIDERED
evaluation of carotidsevaluation of carotids
 To determine degree of stenosis
 To look for tandem lesions( carotid siphon,
horizontal MCA)
 Evaluate collateral circulation
Conventional angiography-
acute infarcts
 Vessel occlusion- most specific
 Slow antegrade flow
 Retrograde filling
 Bare areas
 Mass effect
 Vascular blush
Conventional angiography-
Images
CTA
 Fast, thin section,volumetric spiral CT
examination performed with a time-
optimized bolus of contrast material for the
opacification of vessels.
CTA- data aquisition
Coverage Aortic arch to circle of Willis
Scanning parameters 120 kV, 260 mAs
Scanning delay Dependent on ROI placed
(empiric delay of 25 sec)
Contrast medium dose 100–120 mL 3–4 mL/sec
Section thickness 2.5 mm
Section reconstruction 1.25 mm
CTA- Source images
 Occlusion ,stenosis or
significant calcification
of an Extracranial
internal carotid artery
 Detection of hyperacute
infarct
 Substraction perfusion
CTA- post processing
techniques
 MIP
 single layer of the
brightest voxels in a
given plane
 Attenuation
information preserved,
 Depth information is
completely lost
 SSD
 first layer of voxels
within defined
thresholds
 Depth information is
preserved
 Attenuation information
is lost.
 Arteries vary in caliber
depending on the
thresholds selected
CTA- adv
 Volume rendering.
 Groups of voxels within defined attenuation
thresholds are selected,and a color as well as
an “opacity” is assigned
MIP
SSD
VRT
Basilar artery
calcifications
CTA- comparison
 Degree of stenosis- Axial, VR images
 Calcification- axial, MIP
 Anatomical, spacial relationship-axial, VRT
MR ANGIOGRAPHYMR ANGIOGRAPHY
TYPESTYPES
Non–CE MRANon–CE MRA CE MRACE MRA
TOF PCTOF PC
2D2D 3D 2D3D 2D 3D3D
MRA - techniques
 TOF techniques
use of gradient pulses with TRshorter than
background tissue– Flow related
enhancement of inflowing nuclei
 2D technique- individual slices
useful in slow flow states
 3D techniques-A volume of slab
useful in high flow states
Better spacial resolution
PROTOCOL 3D TOF
 TR 39ms
 TE 7ms
 FLIP ANGLE 25
 FOV 200mm
 SLAB THICKNESS 32mm
 MATRIX 512
 NO OF ACQ 1
 ORIENTATION TRANSVERSE
ADVANTAGESADVANTAGES
 BETTER SPATIAL RESOLUTION AND VESSEL CONTRAST
 QUICKER ACQUISITION
CE MRA
RAPID 3D GRADIENT ECHO (GRE) SEQUENCE FIRST PASS MRA USING A
SELECTIVELY LARGE BOLUS OF GADOLINIUM BASED CONTRAST.
ADVANTAGESADVANTAGES ::
 NOT SUSCEPTIBLE TO SIGNAL LOSS FROM TURBULENCE OR SLOW FLOW
COMPARED WITH TOF OR PC TECHNIQUE
 ALLOWS BETTER VESSEL TO BACKGROUND CONTRAST COMPARED WITH
TOF /PC
 SHORTER IMAGING TIME
 LESS SUSCEPTIBLE TO MOTION ARTIFACTS
 ALLOWS IDENTIFICATION OF SLOW FLOW IN NEARLY OCCLUDED VESSEL
 ALLOWS MORE ACCURATE ASSESSMENT OF STENOSIS & VISUALIZATION
OF ULCERATED PLAGUE
Evaluation of etiology
Ischemic penumbra
 Functionally impaired, morphologically intact
 Between thresholds of electrophysiological
dysfunction and tissue damage
Normal blood flow
parametres
Tissue CBF(ML/100g/mn)
Normal 50-60
Oligaemic 35
Penumbra( salvagable) 2o
Infarct <10
Imaging - ischemic penumbra
 Functional studies
Xenon CT
SPECT
PET
CT perfusion
MR perfusion
CT perfusion principles
CBF
CBV
MTT
TTP
CT- perfusion parameters
 CEREBRAL BLOOD VOLUME the volume of blood
per unit of brain tissue
 CEREBRAL BLOOD FLOW the volume of blood
flow per unitof brain tissue per minute
 MEAN TRANSIT TIME, the time difference
between the arterial inflow and venous
outflow
 TIME TO PEAK ENHANCEMENT the time from the
beginning of contrast material injection to
peak enhancement
CT perfusion - principles
 Early cerebral ischemia
 Later, CBV and CBF both decrease
Central volume principle
CBF= CBV/ MTT
CT perfusion – Data aquisition
 Coverage-- Four sections( of 5 mm thickness) chosen by the radiologist
( Depending on clinical presentation)
 LEVEL OF BASAL GANGLIA IS CHOSEN- ALL ARTERIAL TERRITORIES
REPRESENTED
Scanning
parameters
80 kV, 105 mAs
Section thickness
5 mm
Scanning delay
5 sec
Scanning duration
50sec
Contrast medium
Dose
50 mL rate of4–5
mL/sec
CT- perfusion –post
processing
 A total of 200 images are taken for post
processing( 50x 4)
 Two algorithms – Deconvolution technique
maximum slope method
 Time attenuation curves obtained from an
individual voxel and compared with
Artery( one of the ACA or MCA)
Vein (SSS)
 CBF calculated by central volume principle
ROI over artery ROI over vein
MTT is calculated
CBV calculated
ROI over parenchyma
CT perfusion - Interpretation
CT perfusion - Interpretation
M TT CBF CBV
Arterial stenosis normal normal
Oligaemia
(>60%)
near normal
Penumbra
(>30%) (<80%)
Infarct
(<30%) (<40%)
ACCORDING TO A STUDY AT PGI
CBF CBV MTT
Infarct o.19 0.49 3.15
Noninfarct
ischemic
0.58 1.18 2.5
Thresholds for salvagable tissue- CBF>0.37,CBV>0.83
CBV CBF
CBF-CBV= Penumbra
CBV CBF MTT
INFARCT WITH SALVAGABLE PENUMBRA
MTT CBF CBV
COMPLETED infarct
ISCHEMIC CORE
CT PERFUSION
CBF 30%
CBV 54%
PENUMBRA-
CT
PERFUSION
CBF 45%
CBV 67%
MR perfusion-Types
 Dynamic susceptibility contrast imaging
 Arterial spin labeling technique
MR perfusion –principles
First pass study
Change in SI in every voxel
is studied
The passage of an intravascular
MR contrast agent
transient loss of signal
( T2* effects)
MR perfusion interpretation
Parameters
CBF
CBV
MTT
Interpretation by Deconvolution
technique same as in CT perfusion
Maps of CBF are taken to assess mismatch
with DWI
DWI- perfusion mismatch
Patterns of mismatch
PW> DW Ischemic penumbra
PW=DW Infarct
PW<DW Early reperfusion
ASL method
 Alternative and emerging noninvasive method
 Water molecules in arterial blood -magnetically labelled
 Pair-wise comparison -Repeated measurements of
interleaved label and control acquisitions -
Control Labelled
ASL method
 Absolute CBF can be quantified
 No contrast agent
Disadvantages
 Relatively small labeling effect (<1% raw
signal). Low signal to noise ratio
 Very sensitive to transit effects
Ischemic penumbra - comparison
CT MR
Availability Good Fair
Examination time 5 min 15 min
Imaging volume 2-4 cms Entire brain
Contrast Iodine Gadolinium
Radiation present No
Parameter Mismatch- CBF,
CBV
DW- perfusion
mismatching
Comparison
 MODALITY SENSITIVITYMODALITY SENSITIVITY
SPECIFICITYSPECIFICITY
 CT PERFUSIONCT PERFUSION 88-95 98-100
(AJNR 2000)(AJNR 2000)
 MR PERFUSIONMR PERFUSION 74-84 96-
100
 Different studies have concluded that CT
perfusion and DWI-PWI MR are equivalentequivalent in
identification of penumbra and prediction of
infarct size.
(STROKE 2002) ( JCAT(STROKE 2002) ( JCAT
2003)2003)
Functional loss of cell
Reduced blood flow
Autoregulation
CYTOTOXIC EDEMA,
CELL DEATH
Increased water content
VASOGENIC EDEMA
MASS EFFECT
GLIOSIS
Perfusion
imaging
DWI
Conventional MRI
CT
Causes
 One of top ten causes of childhood death
 Presenting signs and symptoms variable
 Depends on age
Neonatal hypoxia - findings
 Neonatal injury
Central- Basal ganglia, Ventrolateral thalami, Brainstem
Peripheral-Peripheral cortex, adjacent whitematter
Central pattern
Peripheral Focal
FLAIR may not detect acute lesions
DWI, ADC values may be normal intially
Initial DWI , may not correspond to the final infarct volume
DELAYED CELL DEATH MECHANISMS
Imaging modality
Ultrasound- illdefined hyperechogenecity-
cystic degeneration
Conventional MR imaging
Neonate
Acute-isointense infarcted cortex
( missing cortex sign)
May not seen on FLAIR
Subacute stage-T1 hperintense, T2
hypointense
Imaging modality
 CEMR and CECT- Gyriform enhancement
from 5 days onwards
 Diffusion imaging
 Perfusion imaging- Moya-Moya disease for
surgical planning
Causes-Arterial stroke
 Cardiac causes
Cyanotic congenital heart disease
Vascular dissection
Mitral valve prolapse
 Hypercoaguble states
 Vasculopathies
 Infections
Posterior circulation-trauma to vertibrobasilar
system,MELAS
Thalamic infarcts-meningitis,CHD, migraine,
trauma
Moya- Moya Disease
 Progressive stenotic arteriopathy involving
proximal intracranial arteries
SUPRACLINOID ICA,
PROXIMAL ACA AND MCA
PCA RARELY, LATELY INVOLVED
HYPERTROPHY OF LENTICULOSTIATE
AND THALAMOPERFORATOR ARTERIES
Moya- Moya Disease
 Primary – bilateral, secondary- unilateral
Secondary(MoyaMoya syndrome)
NF-1
Down syndrome
Sickle cell disease
Radiation therapy
HIV
Glycogen storage disease
Moya- Moya disease- Imaging
Pial synangiosis- Dilated superficial
temporal and middle meningeal arteries
 Infarctions-
 Intense enhancementof basal ganglia
 Enhancement of dilated deep medullary veins in
centrum semiovale
 Pial collateral enhancement
 DSA- Puff of smoke appearance
Post pial synangiosis
Dissection
 Blood dissects through intimal defect- false
channel between intima and muscularis-
 Complications-

Obstruction of main lumen
Intramural thrombus
 Embolization- stroke
 Pseudoaneurysm
Dissection
 Imaging technique of choice
 MRA -2D TOF ,DSA-
Gradual irregular tapering,stenosis, Distal
emboli, psedoaneurysms
Non contrast fat supressed T1 sequence at base of skull and neck-
crescentic hyperintensity in vessel mura
CAROTID DISSECTION
VERTEBRAL ARTERY DISSECTION
NECT
HEMORRHAGE
CT PERFUSION
CTP- EVALUATION
COLOR MAPS OF TTP,CBF,CBV
CT ANGIOGRAPHY
VERTEBRAL BODY C5 TO VERTEX
END OF EXAMINATION
YES NO
CTA EVALUATION
EVALUATION & INTERPRETATION EARLY SIGNS OFISCHEMIC STROKE ?
REDUCED PERFUSION ?
STENOSIS OR OCCLUSION OF
MAJOR ARTERIES ?
ACUTE FOCAL NEUROLOGICAL DEFICIT WITHIN 6 HR
T2*GRE MRI ( OR CT)
NO ACUTE
HAEMORRHAGE
ACUTE HAEMORRHAGE
DWI/PWI/MRA
PWI >DWI
MCA BRANCH OCCLUSION DISTAL ICA OR
PROXIMAL MCA OCCLUSION
PWI <DWI
IV THROMBOLYSIS
IV/IA THROMBOLYSIS
CONCLUSION
 Stroke – No longer tragic medical event
But a medical emergency
 CT-initial investigation of choice
 Radiologist is the integral part of hyperacute
stroke management team,in evaluating the
ischemic penumbra and probable endovascular
therapy
 CTP, DW-PWI useful in evaluating penumbra
Comparable in sensitivity.Used according to the
availability
Modalities
 Intraarterial thrombolysis
 IA+I.V thrombolysis
 Mechanical thrombolysis
Probing with microguidewire
Concentric retriever
Balloon inflation techniques
Ultrasonic fibrinolysis catheter(EKOS)
Photoacoustic recanalization(EPAR)
I.A. thrombolysis
 Selective chemical thrombolysis at the site of
thrombus
Advantages
Higher conc. at site
Systemic exposure
Precise imaging
Monitoring of recanalization
Adj. mechanical thrombolysis
Disadvantages
Injury to vessels
Heparin use
Delay in thrombolysis
Logistic limitation
I.A. Thrombolysis-Materials
 Piccard catheter
 5-6 F guiding catheter
 Guidewire
 End hole microcatheter
 Thrombolytics
Thrombolytics
Thrombolytic Half
life(min)
Description
First generation
Urokinase
Streptokinase
14-20
18-23
Serine protease
Streptococcal protein
Second generation
(FIBRIN SPECIFIC)
Pro-urokinase
Alteplase(rt-PA)
20
3-5
Proenz. Of urokinase
Serine protease
Third generation
(FIBRIN SPECIFIC)
Tenecteplase
Reteplase
Desmoteplase
17
15-18
t-PA mutant
Deletion mutant of t-PA
Saliva of vampire bat,MOST POTENT
Thrombolytics-Dose
 Urokinase 2,50,000 units per vial
Diluted in 50 ml saline(5000U/ml)
10,000 units /min
( upto 1,25,000 U)
 6 mg-9 mg over 2hrs– prourokinase
 22 mg- t-PA
I.A. thrombolysis
indications
 Presentation 3 hours -6hrs
 Baseline NIHS score of >10
 Ineligibilty to I.V. thrombolysis
I.A. thrombolysis
contraindications
 > 6 hours from onset
 Baseline NIHS score <10
 Rapidly improving neurological status
 Intracranial hemorrhage,
 Parenchymal hypodensity in >1/3 of vascular
territory
 Stroke within previous 6 weeks
 Head trauma within 90 days
 INR > 1.7,aPTT >1.5,platelet counts< 100,000/l
 Uncontrolled hypertension
Combined thrombolysis
 Synergy of advantages
i.v. rt-PA (fast and easy to use)
 Improves the speed and frequency of recanalization
 t-PA dose-- 0.6mg/kg +20mg I.A
 Increased risk of hemorrhage
+IAT
 Titrated dose
Mechanical aids o recanalization
 Higher rates of recanalization
Mechanical thrombolysis
 Concentric Retriever
Mechanical thrombolysis
 Mechanical probing(Manipulation)
Mechanical thrombolysis
Balloon inflation
Mechanical thrombolysis
 Extends the tratment window
 Preclude use of thrombolytics
 Adjunctive treatment(Easens thrombolysis)
 Faster recanalization
Imaging in stroke

Imaging in stroke

  • 1.
    IMAGING IN ISCHEMICSTROKE DR. NAVNI GARG
  • 2.
    Definition A NEUROLOGICAL DEFICITOF  Sudden onset  With focal rather than global dysfunction  In which, after adequate investigations, symptoms are presumed to be of non- traumatic vascular origin  and lasts for >24 hours
  • 3.
    Functional loss ofcell Reduced blood flow Autoregulation CYTOTOXIC EDEMA, CELL DEATH Increased water content VASOGENIC EDEMA MASS EFFECT GLIOSIS MINUTES 12-24 hrs 24hrs-2wks PATHOPHYSIOLOGY
  • 4.
    Role of imagingin ischemic stroke  To rule out mimics esp hemorrhage  To suggest the therapeutic role  To establish the etiology
  • 5.
    Ischemic stroke mimics Hemorrhage Intraparenchymal Subarachnoid Extra, Subdural  Tumor  Demyelination disorders  Migraine
  • 6.
    Stroke – Temporalphases  Hyperacute - < 12hrs  Acute-12hrs- 2days  Subacute- 2days to two weeks  Chronic- > 2wks Radiol Clin N Am 44 (2006) 41–62
  • 7.
    NCCT in stroke Very sensitive in detecting hemorrhage  Other mimics ruled out- ISCHEMIA SUSPECTED
  • 8.
    Early CT findings A)Hypoattenuating grey matter structures B) Presence of one or more hyperattenuating arteries C)Early Mass effect
  • 9.
    Obscuration of lentiform nucleus Proximal MCA occlusion Lenticulostriate Perforator arteries
  • 10.
    Insular ribbon sign Hypoattenuation of insular cortex
  • 11.
    NCCT in acutestroke  OTHER EARLY SIGNS Loss of grey white matter differentiation Early mass effect- Narrowing of sylvian fissure Loss of cortical sulci
  • 12.
    Hyperdense MCA sign MCA occluded by fresh thrombus  -specificity- 100%, sensitivity -30%  Hyperdense MCA can also be seen ONLY REVERSIBLE EARLY SIGN high hematocrit level  calcification in such cases – usually bilateral
  • 13.
    Hyperdense artery sign Hyperedense basilar artery sign  MCA dash sign
  • 14.
    NCCT  Importance ofwindow settings Normal settings- w80 HU, C- 20HU W- 8HU- C-32 HU SENSITIVITY INCREASED
  • 15.
    NCCT  Advantages very usefulto exclude hemorrhage widely accessible convenient short imaging time  Disadvantages findings are subtle not useful for ischemic penumbra Not useful for posterior fossa infarcts
  • 16.
    Conventional MRI  Canimage only vasogenic edema, necrosis  T1, T2 , FLAIR, GRE/susceptibility weighted  FLAIR- detection of infarctions in periventricular and cortical regions, brainstem  GRE/susceptibility weighted- for detection of hemorrhage( IN INFARCTION)
  • 17.
    Conventional MRI inacute stroke  Hyperacute phase- loss of grey white matter differentiation, loss of flow voids sulcal effacement mass effect  Acute infarct lesion in arterial distribution(Hypo-T1, Hyper – T2)
  • 18.
    Conventional MRI instroke  Chronic – secondary signs- Wallerian degeneration Cortical atrophy Negative mass effect T1 T2 FLAIR Sub acute Iso or Chronic
  • 19.
    Post contrast techniques Immediate Stagnation of contrast in vessels  Acute- Meningeal enhancement adjacent to infarct  Subacute -Gyriform enhancement  Intravascular, Meningeal enhancement decrease by 1 wk
  • 20.
    Conventional MR imaging Hyperacuteinfarct Subacute infarct
  • 21.
    DW- principles  Useof STRONG GRADIENT PULSES SENSITIVE TO MOLECULAR MOTION in long TR( T2 weighted)  Tissues with higher diffusion show greater signal loss  To reduce motion artifacts scan time is reduced by EPI in place of conventional SE ( EPI is fast imaging technique)  Less diffusion- bright – diffusion restriction
  • 22.
    DWI-b value  DWIquality-  B valueα Diffusion weighting  B value range from 0- 1500  Optimum b value is 1000 T2 Vs diffusion properties
  • 23.
    DWI- stroke  Hyperacutestroke- Cytotoxic edema  Lesion appears bright
  • 24.
  • 25.
    DWI- ADC value Quantitative measurement of diffusion property  Varies with time Nadir 4-5 days Pseudonormalization-1-4wks
  • 26.
    DWI- stroke persistent brightness– T2 shine through DWI ADC Subacute Moderately bright Towards normal Chronic Mildly bright increased
  • 27.
    DWI importance  DWI-100% sensitivity within minutes  Most sensitive technique of all for hyperacute stroke  Essential part of MR evaluation of penumbra  Useful in detecting new hyperacute , acute lesions among the chronic lesions – therapeutic significance
  • 28.
    False positive Diffusion Causes of diffusion brightness Cerebral abscess Tumor  DWI+ conventional MRI useful False negative small lacunar brainstem infarction deep gray nuclei infarction
  • 30.
    CEREBRAL INFARCTION (80%)CEREBRALINFARCTION (80%) PERCENT(%) LARGEVESSEL OCCLUSION (ICA, MCA,PCA) 40-50 LACUNAR INFARCTS 25 CARDIAC EMBOLI 15 BLOOD DISORDER,VASCULITIS 10 < PRIMARY INTRACRANIAL HEMORRHAGE (20%) NONTRAUMATIC SAH 5%
  • 31.
    Types of infarcts Large artery occlusions  Lacunar infarcts  Watershed infarcts  Embolic infarcts  Venous infarcts
  • 33.
  • 36.
  • 37.
  • 38.
    Lt PCA Iterritory
  • 39.
  • 40.
  • 41.
    Lacunar infarcts  Upto1.5 cm in size  Occlusion of perforating arteries  Deep grey matter , deep white matter,brainstem  Multiple  MR is useful to differentiate from VRS,focal areas of gliosis
  • 42.
  • 43.
    Lacunar infarct VirchowRobin Spaces Location Ant. To ant. comm Size 1.5 cm 2 mm DWI bright dark FLAIR Peripheral hyperintense suppressed
  • 44.
    Watershed infarcts  Junctionof large arterial territories  Chronic large vessel stenosis precipitated by hypotension  DWI , PW helpful in etiology MORE COMMONLY HEMORRHAGIC EARLIER ENHANCEMENT
  • 45.
  • 46.
  • 47.
    Venous infarction  Common-SSS Less common- ICV  Causes Dural sinus thrombosis Cortical venous thrombosis Deep venous thrombosis Pregnancy,Post partum Dehydration Infection OC pills Hypercoaguble states
  • 48.
    Venous infarction  Clinicalpresentation may not very suggestive & underdiagnosed  Findings Vascular Parenchymal MRV CTV Axial MRI DSA MRI CT
  • 49.
    Vascular findings  NCCT-Hyperdense thrombus Cord sign  CECT- Empty Delta sign
  • 50.
    MRI findings  Axialimages-Dural sinus Early acute-Isointense sinus(T1) Late acute- Hyperintense(T1) Subacute- Hyperintense (T1,T2) Cord sign- Hyperintense cortical veins
  • 51.
    Venous infarction  Parenchymalfindings Edematous infarcts Hemorrhagic infarcts Site- Grey white matter junction, White matter, No typical territorial distribution
  • 54.
    Transcranial doppler USG TCD 2 MHz ,pulsed range gated device Low band width, large less defined volume  TCCS B mode+Frequency based color coding 1.8to 3.6 MHz Rapid reliable vessel identification Can also image parenchyma
  • 55.
    Transcranial doppler USG- M1and M2 of MCA C1 of ICA A1 of ACA P1 and P2 of PCA Vertebral arteries Basilar artery Temporal approach Suboccipital approach
  • 57.
    Transcranial doppler USG Indications Intracranial stenosis or occlusion Secondary effects of extra cranial occlusion Monitoring of vessel recanalization in stroke Detection of microemboli  Accuracy and pitfalls sensitive and specific if stenosis > 50% Accurate in detecting M1 lesions Poor window in 10% - 20% of patients
  • 58.
    Conventional angiography- Indications  DSAIS USUALLY PERFORMED ONLYDSA IS USUALLY PERFORMED ONLY WHEN ENDOVASCULAR THERAPY ISWHEN ENDOVASCULAR THERAPY IS BEING CONSIDEREDBEING CONSIDERED evaluation of carotidsevaluation of carotids  To determine degree of stenosis  To look for tandem lesions( carotid siphon, horizontal MCA)  Evaluate collateral circulation
  • 60.
    Conventional angiography- acute infarcts Vessel occlusion- most specific  Slow antegrade flow  Retrograde filling  Bare areas  Mass effect  Vascular blush
  • 61.
  • 62.
    CTA  Fast, thinsection,volumetric spiral CT examination performed with a time- optimized bolus of contrast material for the opacification of vessels.
  • 63.
    CTA- data aquisition CoverageAortic arch to circle of Willis Scanning parameters 120 kV, 260 mAs Scanning delay Dependent on ROI placed (empiric delay of 25 sec) Contrast medium dose 100–120 mL 3–4 mL/sec Section thickness 2.5 mm Section reconstruction 1.25 mm
  • 64.
    CTA- Source images Occlusion ,stenosis or significant calcification of an Extracranial internal carotid artery  Detection of hyperacute infarct  Substraction perfusion
  • 66.
    CTA- post processing techniques MIP  single layer of the brightest voxels in a given plane  Attenuation information preserved,  Depth information is completely lost  SSD  first layer of voxels within defined thresholds  Depth information is preserved  Attenuation information is lost.  Arteries vary in caliber depending on the thresholds selected
  • 67.
    CTA- adv  Volumerendering.  Groups of voxels within defined attenuation thresholds are selected,and a color as well as an “opacity” is assigned
  • 68.
  • 69.
    CTA- comparison  Degreeof stenosis- Axial, VR images  Calcification- axial, MIP  Anatomical, spacial relationship-axial, VRT
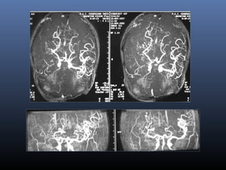
  • 70.
    MR ANGIOGRAPHYMR ANGIOGRAPHY TYPESTYPES Non–CEMRANon–CE MRA CE MRACE MRA TOF PCTOF PC 2D2D 3D 2D3D 2D 3D3D
  • 71.
    MRA - techniques TOF techniques use of gradient pulses with TRshorter than background tissue– Flow related enhancement of inflowing nuclei  2D technique- individual slices useful in slow flow states  3D techniques-A volume of slab useful in high flow states Better spacial resolution
  • 72.
    PROTOCOL 3D TOF TR 39ms  TE 7ms  FLIP ANGLE 25  FOV 200mm  SLAB THICKNESS 32mm  MATRIX 512  NO OF ACQ 1  ORIENTATION TRANSVERSE ADVANTAGESADVANTAGES  BETTER SPATIAL RESOLUTION AND VESSEL CONTRAST  QUICKER ACQUISITION
  • 73.
    CE MRA RAPID 3DGRADIENT ECHO (GRE) SEQUENCE FIRST PASS MRA USING A SELECTIVELY LARGE BOLUS OF GADOLINIUM BASED CONTRAST. ADVANTAGESADVANTAGES ::  NOT SUSCEPTIBLE TO SIGNAL LOSS FROM TURBULENCE OR SLOW FLOW COMPARED WITH TOF OR PC TECHNIQUE  ALLOWS BETTER VESSEL TO BACKGROUND CONTRAST COMPARED WITH TOF /PC  SHORTER IMAGING TIME  LESS SUSCEPTIBLE TO MOTION ARTIFACTS  ALLOWS IDENTIFICATION OF SLOW FLOW IN NEARLY OCCLUDED VESSEL  ALLOWS MORE ACCURATE ASSESSMENT OF STENOSIS & VISUALIZATION OF ULCERATED PLAGUE
  • 74.
  • 75.
    Ischemic penumbra  Functionallyimpaired, morphologically intact  Between thresholds of electrophysiological dysfunction and tissue damage
  • 76.
    Normal blood flow parametres TissueCBF(ML/100g/mn) Normal 50-60 Oligaemic 35 Penumbra( salvagable) 2o Infarct <10
  • 77.
    Imaging - ischemicpenumbra  Functional studies Xenon CT SPECT PET CT perfusion MR perfusion
  • 78.
  • 79.
    CT- perfusion parameters CEREBRAL BLOOD VOLUME the volume of blood per unit of brain tissue  CEREBRAL BLOOD FLOW the volume of blood flow per unitof brain tissue per minute  MEAN TRANSIT TIME, the time difference between the arterial inflow and venous outflow  TIME TO PEAK ENHANCEMENT the time from the beginning of contrast material injection to peak enhancement
  • 80.
    CT perfusion -principles  Early cerebral ischemia  Later, CBV and CBF both decrease Central volume principle CBF= CBV/ MTT
  • 81.
    CT perfusion –Data aquisition  Coverage-- Four sections( of 5 mm thickness) chosen by the radiologist ( Depending on clinical presentation)  LEVEL OF BASAL GANGLIA IS CHOSEN- ALL ARTERIAL TERRITORIES REPRESENTED Scanning parameters 80 kV, 105 mAs Section thickness 5 mm Scanning delay 5 sec Scanning duration 50sec Contrast medium Dose 50 mL rate of4–5 mL/sec
  • 82.
    CT- perfusion –post processing A total of 200 images are taken for post processing( 50x 4)  Two algorithms – Deconvolution technique maximum slope method  Time attenuation curves obtained from an individual voxel and compared with Artery( one of the ACA or MCA) Vein (SSS)
  • 83.
     CBF calculatedby central volume principle ROI over artery ROI over vein MTT is calculated CBV calculated ROI over parenchyma
  • 84.
    CT perfusion -Interpretation
  • 85.
    CT perfusion -Interpretation M TT CBF CBV Arterial stenosis normal normal Oligaemia (>60%) near normal Penumbra (>30%) (<80%) Infarct (<30%) (<40%)
  • 86.
    ACCORDING TO ASTUDY AT PGI CBF CBV MTT Infarct o.19 0.49 3.15 Noninfarct ischemic 0.58 1.18 2.5 Thresholds for salvagable tissue- CBF>0.37,CBV>0.83
  • 87.
  • 88.
    CBV CBF MTT INFARCTWITH SALVAGABLE PENUMBRA
  • 89.
  • 90.
  • 91.
  • 92.
    MR perfusion-Types  Dynamicsusceptibility contrast imaging  Arterial spin labeling technique
  • 93.
    MR perfusion –principles Firstpass study Change in SI in every voxel is studied The passage of an intravascular MR contrast agent transient loss of signal ( T2* effects)
  • 94.
    MR perfusion interpretation Parameters CBF CBV MTT Interpretationby Deconvolution technique same as in CT perfusion Maps of CBF are taken to assess mismatch with DWI
  • 95.
  • 96.
    Patterns of mismatch PW>DW Ischemic penumbra PW=DW Infarct PW<DW Early reperfusion
  • 97.
    ASL method  Alternativeand emerging noninvasive method  Water molecules in arterial blood -magnetically labelled  Pair-wise comparison -Repeated measurements of interleaved label and control acquisitions - Control Labelled
  • 98.
    ASL method  AbsoluteCBF can be quantified  No contrast agent Disadvantages  Relatively small labeling effect (<1% raw signal). Low signal to noise ratio  Very sensitive to transit effects
  • 99.
    Ischemic penumbra -comparison CT MR Availability Good Fair Examination time 5 min 15 min Imaging volume 2-4 cms Entire brain Contrast Iodine Gadolinium Radiation present No Parameter Mismatch- CBF, CBV DW- perfusion mismatching
  • 100.
    Comparison  MODALITY SENSITIVITYMODALITYSENSITIVITY SPECIFICITYSPECIFICITY  CT PERFUSIONCT PERFUSION 88-95 98-100 (AJNR 2000)(AJNR 2000)  MR PERFUSIONMR PERFUSION 74-84 96- 100  Different studies have concluded that CT perfusion and DWI-PWI MR are equivalentequivalent in identification of penumbra and prediction of infarct size. (STROKE 2002) ( JCAT(STROKE 2002) ( JCAT 2003)2003)
  • 101.
    Functional loss ofcell Reduced blood flow Autoregulation CYTOTOXIC EDEMA, CELL DEATH Increased water content VASOGENIC EDEMA MASS EFFECT GLIOSIS Perfusion imaging DWI Conventional MRI CT
  • 103.
    Causes  One oftop ten causes of childhood death  Presenting signs and symptoms variable  Depends on age
  • 104.
    Neonatal hypoxia -findings  Neonatal injury Central- Basal ganglia, Ventrolateral thalami, Brainstem Peripheral-Peripheral cortex, adjacent whitematter
  • 105.
  • 106.
    Peripheral Focal FLAIR maynot detect acute lesions DWI, ADC values may be normal intially Initial DWI , may not correspond to the final infarct volume DELAYED CELL DEATH MECHANISMS
  • 107.
    Imaging modality Ultrasound- illdefinedhyperechogenecity- cystic degeneration Conventional MR imaging Neonate Acute-isointense infarcted cortex ( missing cortex sign) May not seen on FLAIR Subacute stage-T1 hperintense, T2 hypointense
  • 108.
    Imaging modality  CEMRand CECT- Gyriform enhancement from 5 days onwards  Diffusion imaging  Perfusion imaging- Moya-Moya disease for surgical planning
  • 109.
    Causes-Arterial stroke  Cardiaccauses Cyanotic congenital heart disease Vascular dissection Mitral valve prolapse  Hypercoaguble states  Vasculopathies  Infections Posterior circulation-trauma to vertibrobasilar system,MELAS Thalamic infarcts-meningitis,CHD, migraine, trauma
  • 110.
    Moya- Moya Disease Progressive stenotic arteriopathy involving proximal intracranial arteries SUPRACLINOID ICA, PROXIMAL ACA AND MCA PCA RARELY, LATELY INVOLVED HYPERTROPHY OF LENTICULOSTIATE AND THALAMOPERFORATOR ARTERIES
  • 111.
    Moya- Moya Disease Primary – bilateral, secondary- unilateral Secondary(MoyaMoya syndrome) NF-1 Down syndrome Sickle cell disease Radiation therapy HIV Glycogen storage disease
  • 112.
    Moya- Moya disease-Imaging Pial synangiosis- Dilated superficial temporal and middle meningeal arteries  Infarctions-  Intense enhancementof basal ganglia  Enhancement of dilated deep medullary veins in centrum semiovale  Pial collateral enhancement  DSA- Puff of smoke appearance
  • 115.
  • 117.
    Dissection  Blood dissectsthrough intimal defect- false channel between intima and muscularis-  Complications-  Obstruction of main lumen Intramural thrombus  Embolization- stroke  Pseudoaneurysm
  • 118.
    Dissection  Imaging techniqueof choice  MRA -2D TOF ,DSA- Gradual irregular tapering,stenosis, Distal emboli, psedoaneurysms Non contrast fat supressed T1 sequence at base of skull and neck- crescentic hyperintensity in vessel mura
  • 119.
  • 120.
  • 121.
    NECT HEMORRHAGE CT PERFUSION CTP- EVALUATION COLORMAPS OF TTP,CBF,CBV CT ANGIOGRAPHY VERTEBRAL BODY C5 TO VERTEX END OF EXAMINATION YES NO CTA EVALUATION EVALUATION & INTERPRETATION EARLY SIGNS OFISCHEMIC STROKE ? REDUCED PERFUSION ? STENOSIS OR OCCLUSION OF MAJOR ARTERIES ?
  • 122.
    ACUTE FOCAL NEUROLOGICALDEFICIT WITHIN 6 HR T2*GRE MRI ( OR CT) NO ACUTE HAEMORRHAGE ACUTE HAEMORRHAGE DWI/PWI/MRA PWI >DWI MCA BRANCH OCCLUSION DISTAL ICA OR PROXIMAL MCA OCCLUSION PWI <DWI IV THROMBOLYSIS IV/IA THROMBOLYSIS
  • 123.
    CONCLUSION  Stroke –No longer tragic medical event But a medical emergency  CT-initial investigation of choice  Radiologist is the integral part of hyperacute stroke management team,in evaluating the ischemic penumbra and probable endovascular therapy  CTP, DW-PWI useful in evaluating penumbra Comparable in sensitivity.Used according to the availability
  • 125.
    Modalities  Intraarterial thrombolysis IA+I.V thrombolysis  Mechanical thrombolysis Probing with microguidewire Concentric retriever Balloon inflation techniques Ultrasonic fibrinolysis catheter(EKOS) Photoacoustic recanalization(EPAR)
  • 126.
    I.A. thrombolysis  Selectivechemical thrombolysis at the site of thrombus Advantages Higher conc. at site Systemic exposure Precise imaging Monitoring of recanalization Adj. mechanical thrombolysis Disadvantages Injury to vessels Heparin use Delay in thrombolysis Logistic limitation
  • 127.
    I.A. Thrombolysis-Materials  Piccardcatheter  5-6 F guiding catheter  Guidewire  End hole microcatheter  Thrombolytics
  • 128.
    Thrombolytics Thrombolytic Half life(min) Description First generation Urokinase Streptokinase 14-20 18-23 Serineprotease Streptococcal protein Second generation (FIBRIN SPECIFIC) Pro-urokinase Alteplase(rt-PA) 20 3-5 Proenz. Of urokinase Serine protease Third generation (FIBRIN SPECIFIC) Tenecteplase Reteplase Desmoteplase 17 15-18 t-PA mutant Deletion mutant of t-PA Saliva of vampire bat,MOST POTENT
  • 129.
    Thrombolytics-Dose  Urokinase 2,50,000units per vial Diluted in 50 ml saline(5000U/ml) 10,000 units /min ( upto 1,25,000 U)  6 mg-9 mg over 2hrs– prourokinase  22 mg- t-PA
  • 130.
    I.A. thrombolysis indications  Presentation3 hours -6hrs  Baseline NIHS score of >10  Ineligibilty to I.V. thrombolysis
  • 131.
    I.A. thrombolysis contraindications  >6 hours from onset  Baseline NIHS score <10  Rapidly improving neurological status  Intracranial hemorrhage,  Parenchymal hypodensity in >1/3 of vascular territory  Stroke within previous 6 weeks  Head trauma within 90 days  INR > 1.7,aPTT >1.5,platelet counts< 100,000/l  Uncontrolled hypertension
  • 132.
    Combined thrombolysis  Synergyof advantages i.v. rt-PA (fast and easy to use)  Improves the speed and frequency of recanalization  t-PA dose-- 0.6mg/kg +20mg I.A  Increased risk of hemorrhage +IAT  Titrated dose Mechanical aids o recanalization  Higher rates of recanalization
  • 133.
  • 134.
  • 135.
  • 136.
    Mechanical thrombolysis  Extendsthe tratment window  Preclude use of thrombolytics  Adjunctive treatment(Easens thrombolysis)  Faster recanalization