MRI Image Quality
GGamalamal FFathallaathalla MM..
MMahdalyahdaly
gamal_mahdaly@hotmail.comgamal_mahdaly@hotmail.com
Experta Medica
Factors affecting digital image QualityFactors affecting digital image Quality
 Signal to Noise Ratio:Signal to Noise Ratio:
The amount of true data building the imageThe amount of true data building the image
relative to the amount of false datarelative to the amount of false data
interfering with the image data duringinterfering with the image data during
image reconstruction.image reconstruction.
In MRI, being unavoidable, noise should notIn MRI, being unavoidable, noise should not
exceed signal & the ratio SNR should beexceed signal & the ratio SNR should be
around 1.around 1.
In CT, the noise sources are much less, soIn CT, the noise sources are much less, so
a different noise index was proposed.a different noise index was proposed.
Experta Medica
Factors affecting Signal to NoiseFactors affecting Signal to Noise
Ratio (SNR)Ratio (SNR)
 Receive Bandwidth (RBW) describes theReceive Bandwidth (RBW) describes the
window of frequencies, the receive coilwindow of frequencies, the receive coil
tuned to receive.tuned to receive.
 The received frequencies are of bothThe received frequencies are of both
Signal & Noise.Signal & Noise.
Experta Medica
Sources of the Noise in MRISources of the Noise in MRI
• Random fluctuations in electrical current (electronic
noise): exists in all electrical conductors including the MR
coils with which we measure the signal, but it also includes the
electrically conducting tissues of the patient.
•Human tissue contains many ions such as sodium, potassium
and chloride which are electrically charged atomic particles
carrying electrical currents within the body, e.g. in nerve
conduction.
•These currents generate fluctuating magnetic fields which
induce a noise voltage in the coil.
•Pulsatile flow is also implicated in noise generation as the
pulsed spins generate random electric fluctuations as well.
• Remedy Tips: use a small or dedicated anatomy coil.
Where large fields of view are essential, phased array coils are
usually best.
Experta Medica
Receive Bandwidth (RBW)Receive Bandwidth (RBW)
 The frequency range of the receiver canThe frequency range of the receiver can
be related to the frequency used tobe related to the frequency used to
encode each pixel and thereforeencode each pixel and therefore
determine the extent of the chemical-shiftdetermine the extent of the chemical-shift
artifact.artifact.
 For example, for a 256 frequency matrixFor example, for a 256 frequency matrix
and bandwidth of 32 kHz, there are 125and bandwidth of 32 kHz, there are 125
Hz per pixel so the fat–water shift isHz per pixel so the fat–water shift is
approximately 2 pixels. Typicalapproximately 2 pixels. Typical
bandwidths vary from 6.5 kHz to 1 MHz.bandwidths vary from 6.5 kHz to 1 MHz.
Experta Medica
Bandwidth ( back to Larmor Equation)
ν = γ/2π Βο
Where ν is the larmor frequency
Gyromagnetic ratioGyromagnetic ratio γ/2π = 42.57 MHz / Tesla for proton= 42.57 MHz / Tesla for proton
RBWRBW being the whole repertoire of received frequencies, we can say:being the whole repertoire of received frequencies, we can say:
RBW = 42.57RBW = 42.57 Βο
For 1T systems, RBW should be in the range of 42.57 KHzFor 1T systems, RBW should be in the range of 42.57 KHz
For 1.5T systems, RBW is in the range of 64 KHzFor 1.5T systems, RBW is in the range of 64 KHz
For 3T systems, RBW is in the range of 128 KHzFor 3T systems, RBW is in the range of 128 KHz
The question is how can we select the suitable RBW from these ranges & is itThe question is how can we select the suitable RBW from these ranges & is it
dependable on the pulse sequence?dependable on the pulse sequence?
Experta Medica
Effect of RBW on SNR
We should consider three factors:
•The Fat/water phase shift
•The SNR
•The Spatial Resolution
Good SNR with Narrow RBW Poor SNR with Wide RBW
Noise remains always Constant & Fluctuating
Experta Medica
88
Effect of RBW on SNR
Sampling rate controls the receive bandwidth
•To narrow the receive bandwidth the system samples
slower & consequently the read out time increases & vice
versa
•Slower sampling requires
a longer readout time
•Faster sampling allows
a shorter readout time
Select BW to balance minimum TE, minimum ES versus SNR
Consider the impact on chemical shift
Experta Medica
Factors affecting Signal to Noise Ratio
(SNR)
RBW : As the RBW widens, SNR decreases.
Number of Excitations ( NEX): As NEX increases, SNR also
increases because each excitation generates part of the
signal with constant fluctuating noise.
Field of View (FOV): As FOV increases, SNR also increases
due to increase of signal producing spins.
Slice Thickness: As it increases, SNR also increases.
Experta Medica
Spatial Resolution
It is the ability to discriminate between 2 neighboring
points in any image i.e. to see image details.
To be read on a 2D screen, the 3D voxel content is interpreted into 2D
pixel
Experta Medica
Voxel and pixelVoxel and pixel
Voxel =Voxel =
(Volume element)(Volume element)
Pixel =Pixel =
(Picture element)(Picture element)
Experta Medica
To be read on a 2D screen, the 3D voxel content is interpreted into 2D
pixel
The system averages
the intensities
In the pixel, thereby
decreasing spatial
resolution
Partial volume averaging (PVA)
Most approaches to enhance spatial resolution are in deed to overcome PVA
Field of view (FOV):Field of view (FOV):
The diameter of reconstructed imageThe diameter of reconstructed image
MatrixMatrix::
 Orderly array of cells fashioned in rowsOrderly array of cells fashioned in rows
and columns.and columns.
 In MRI, we have a frequency matrix &In MRI, we have a frequency matrix &
a phase matrixa phase matrix
Spatial Resolution
Factors affecting spatial resolution:
• RBW: as RBW widens, spatial resolution increases as the
data building the image ( signal frequencies) increases.
• Matrix (Phase & Frequency dimensions): as
matrix increases, PVA decreases increasing spatial
resolution.
• Thickness (Slice dimension): as thickness
decreases, PVA decreases increasing the spatial resolution.
• FOV: as FOV decreases, PVA decreases, increasing the
spatial resolution
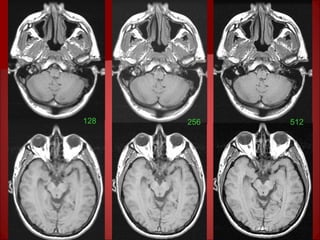
128 256 512
2020
512
512
256
256
Matrix ZIP is a zero-fill interpolation to reconstruct images in a 512x512
or 1024x1024 matrix even though acquired in a different gradient
encoding configuration ( i.e. to spread image data on a larger matrix).
Spatial Resolution Matrix ZIP
2222
Matrix ZIP increases the visibility of resolution inherent in the
Image: Note the increased sharpness of the vessel edges
256 encoded/512 recon 256 encoded/256 recon
Spatial Resolution Matrix ZIP
Contrast Resolution
Contrast or Grey Scale Resolution is the ability to
resolve the grey color into more color grades.
Contrast Resolution demonstrates the ability to
differentially diagnose different lesions according
to their color index on the grey scale.
In MRI, we have several contrasts in each pulse
sequence.
Each pulse sequence has its weighting (contrast –
creating) factor(s).
Grey Scaling
The MRI reconstruction process results in a 2D matrix of floating
point numbers in the computer which range from near 0.0 up to
value equal to 1.0
These numbers correspond to the average signal intensities of the
tissue contained in each voxel
The MR images are normalized and truncated to integer values that
encompass 4096 values, between -1000 and 3095 (typically)
Rescaling these values to definite shades of grey produces the
Grey Scale.
Window width / window levelWindow width / window level
The human tissue MR signal intenseties extend over a narrow range (window) of t
Window width represents the MR signal intensities of all the tissues of interest wh
Tissues with intensities outside this range are displayed as either black or white.
Window Level represents the central number of all the intensities covered by the w
Both WW & WL can be set independently & their respective settings affect the con
Unlike CT, in MRI, we have multiple contrasts in each pulse sequence with differen
The Concept of Contrast (or Weighting)The Concept of Contrast (or Weighting)
 ContrastContrast = difference in RF signals — emitted= difference in RF signals — emitted
by water protons — between different tissuesby water protons — between different tissues
 T1 weighted example: gray-white contrast isT1 weighted example: gray-white contrast is
possible becausepossible because T1T1 is different between theseis different between these
two types of tissuetwo types of tissue
T2
Decay
MR
Sign
al
T1
Recovery
MR
Sign
al
50 ms50 ms 1 s1 s
Static Contrast Imaging Methods
Optimal TR and TE for Proton Density
Contrast
0 10 20 30 40 50 60 70 80 90 100
0
0.5
1
1.5
2
2.5
0 0.2 0.4 0.6 0.8 1 1.2 1.4 1.6 1.8 2
0
0.5
1
1.5
2
2.5
T2 Decay
MRSignal
t (ms)t (s)
MRSignal
TRTR TETE
T1
Recovery
Optimum TR corresponds to the
end of T1 recovery
Optimum TE corresponds to the
beginning of T2 decay
Proton Density ContrastProton Density Contrast
• Technique: use very long time between
RF shots (large TR) and very short delay
between excitation and readout window
(short TE)
• Useful for anatomical reference scans
• Several minutes to acquire 256×256×128
volume
• ~1 mm resolution
Proton Density Weighted ImageProton Density Weighted Image
Optimal TR and TE for T2* and T2 Contrast
0 0.2 0.4 0.6 0.8 1 1.2 1.4 1.6 1.8 2
0
0.1
0.2
0.3
0.4
0.5
0.6
0.7
0.8
0.9
1
0 10 20 30 40 50 60 70 80 90 100
0
0.1
0.2
0.3
0.4
0.5
0.6
0.7
0.8
0.9
1
T2 Decay
MRSignal
MRSignal
T1
Recovery
TRTR TETE
T1 ContrastT1 Contrast T2 ContrastT2 Contrast
T2* and T2 ContrastT2* and T2 Contrast
• Technique: use long TR and intermediate to
long TE in SE & FSE
• Use an itermediate TE & TR for GRE with a
narrow flip angle ( 15-30)
• In F-GRE, use a very short TE & TR & very
narrow flip angle.
• Useful for functional (T2* contrast) and
anatomical (T2 contrast to enhance fluid contrast)
studies
• 1mm resolution for anatomical scans or 4 mm
resolution [better is possible with better gradient
system, and a little longer time per volume]
T2 WeightedT2 Weighted
ImageImage
Optimal TR and TE for T1 Contrast
0 0.2 0.4 0.6 0.8 1 1.2 1.4 1.6 1.8 2
0
0.1
0.2
0.3
0.4
0.5
0.6
0.7
0.8
0.9
1
0 10 20 30 40 50 60 70 80 90 100
0
0.1
0.2
0.3
0.4
0.5
0.6
0.7
0.8
0.9
1
T1 contrast T2 contrast
T2 Decay
MRSignal
MRSignal
T1
Recovery
TRTR TETE
T1 Contrast
• Technique: use intermediate timing
between RF shots (intermediate TR) and
very short TE, also use large flip angles for
GRE & MEMP
• Useful for creating gray/white matter
contrast for anatomical reference
• ~1 mm resolution
T1 WeightedT1 Weighted
ImageImage
-S-So
SSo
S = SS = Soo * (1 – 2 e* (1 – 2 e –t/T1–t/T1
))
S = SS = Soo * (1 – 2 e* (1 – 2 e –t/T1’–t/T1’
))
Inversion Recovery for Extra T1Inversion Recovery for Extra T1
ContrastContrast
T2T2
Inversion RecoveryInversion Recovery
(CSF Attenuated)(CSF Attenuated)
In summary, TR controls T1 weighting andIn summary, TR controls T1 weighting and
TE controls T2 weighting. Short T2 tissuesTE controls T2 weighting. Short T2 tissues
are dark on T2 images, but short T1 tissuesare dark on T2 images, but short T1 tissues
are bright on T1 images.are bright on T1 images.
Motion Contrast Imaging MethodsMotion Contrast Imaging Methods
 Can “prepare” magnetization to makeCan “prepare” magnetization to make
readout signal sensitive to different motionreadout signal sensitive to different motion
propertiesproperties
– Flow weighting (bulk movement of blood)Flow weighting (bulk movement of blood)
– Diffusion weighting (scalar or tensor)Diffusion weighting (scalar or tensor)
– Perfusion weighting (blood flow into capillaries)Perfusion weighting (blood flow into capillaries)
MR AngiogramMR Angiogram
•Time-of-FlightTime-of-Flight
ContrastContrast
•Phase ContrastPhase Contrast
Time-of-Flight ContrastTime-of-Flight Contrast
No Flow
Medium
Flow
High
Flow
No
Signal
Mediu
m
Signal
High
Signal
Vessel
Acquisitio
n
Saturation Excitatio
n
Vessel Vessel
90o
Excitation
Image
Acquisition
RF
Gx
Gy
Gz
90o
Saturation
Time to allow fresh
flow enter the slice
Pulse Sequence: Time-of-Flight
Contrast
Phase Contrast (Velocity Encoding)
Externally Applied
Spatial Gradient G
Externally Applied
Spatial Gradient -G
Blood Flow v
2
0
2
)()(
GvT
dtvtxGdtvtxG
T T
T
γ
γγφ
=
+−+= ∫ ∫
Time
T
2T0
90o
Excitation
Phase
Image
Acquisition
RF
Gx
Gy
Gz
G
-G
Pulse Sequence: Phase Contrast
MR AngiogramMR Angiogram
Diffusion Weighted ImagingDiffusion Weighted Imaging
SequencesSequences
Dtl 2=
Externally AppliedExternally Applied
Spatial GradientSpatial Gradient GG
Externally AppliedExternally Applied
Spatial Gradient -Spatial Gradient -GG
TimeTime
TT
2T2T00
322
3
2
TGD
oeSS
γ⋅−
=
Pulse Sequence: Gradient-Echo DiffusionPulse Sequence: Gradient-Echo Diffusion
WeightingWeighting
90o
Excitation
Image
Acquisition
RF
Gx
Gy
Gz
G
-G
90o
Excitation
Image
Acquisition
RF
Gx
Gy
Gz
G
180o
G
Pulse Sequence: Spin-Echo Diffusion
Weighting
Advantages of DWIAdvantages of DWI
1.1. The absolute magnitude of the diffusionThe absolute magnitude of the diffusion
coefficient can help determine proton poolscoefficient can help determine proton pools
with different mobilitywith different mobility
2.2. The diffusion direction can indicate fiber tracksThe diffusion direction can indicate fiber tracks
3.3. DWI defines the diffusion characteristics of tumorsDWI defines the diffusion characteristics of tumors
Diffusion Anisotropy
Determination of fMRI Using
the Directionality of Diffusion
Tensor
Display of Diffusion Tensor Using
Ellipsoids
Diffusion ContrastDiffusion Contrast
PerfusionPerfusionDiffusionDiffusion
Diffusion and Perfusion ContrastDiffusion and Perfusion Contrast
Part III.3Part III.3
Some fundamental acquisition methoSome fundamental acquisition metho
And their k-space viewAnd their k-space view
k-Space Recap
Kx =Kx = γγ/2/2π ∫π ∫00
tt
Gx(t) dtGx(t) dt
Ky =Ky = γγ/2/2π ∫π ∫00
tt
Gx(t) dtGx(t) dt
Equations that govern k-space trajectoryEquations that govern k-space trajectory
These equations mean that the k-space coordThese equations mean that the k-space coord
are determined by the area under the gradienare determined by the area under the gradien
dxdyeyxIkkS
ykxki
yx
yx )(2
),(),(
+−
∫∫=
π
Gradient Echo ImagingGradient Echo Imaging
 Signal is generated by magnetic fieldSignal is generated by magnetic field
refocusing mechanism only (the use ofrefocusing mechanism only (the use of
negative and positive gradient)negative and positive gradient)
 It reflects the uniformity of the magnetic fieldIt reflects the uniformity of the magnetic field
 Signal intensity is governed bySignal intensity is governed by
S = So eS = So e-TE/T2*-TE/T2*
wherewhere TETE is the echo time (time fromis the echo time (time from
excitation toexcitation to
the center of k-space)the center of k-space)
 Can be used to measure T2* value of theCan be used to measure T2* value of the
tissuetissue
MRI Pulse Sequence for GradientMRI Pulse Sequence for Gradient
Echo ImagingEcho Imaging
digitizer ondigitizer on
ExcitationExcitation
SliceSlice
SelectionSelection
FrequencyFrequency
EncodingEncoding
PhasePhase
EncodingEncoding
ReadoutReadout
K-space view of the gradient echoK-space view of the gradient echo
imagingimaging
Kx
Ky
1
2
3
.
.
.
.
.
.
.
n
Multi-slice acquisitionMulti-slice acquisition
Total acquisition time =Total acquisition time =
Number of views * Number of excitations * TRNumber of views * Number of excitations * TR
Is this the best we can do?Is this the best we can do?
Interleaved excitation methodInterleaved excitation method
readoutreadout
ExcitationExcitation
SliceSlice
SelectionSelection
FrequencyFrequency
EncodingEncoding
PhasePhase
EncodingEncoding
ReadoutReadout
readoutreadout readoutreadout
…………
…………
…………
TRTR
Spin Echo ImagingSpin Echo Imaging
♦Signal is generated by radiofrequency
pulse refocusing mechanism (the use of
180o
pulse )
♦It doesn’t reflect the uniformity of the
magnetic field
♦Signal intensity is governed by
S = So e-TE/T2
where TE is the echo time (time from
excitation to
the center of k-space)
♦Can be used to measure T2 value of the
tissue
MRI Pulse Sequence for Spin Echo
Imaging
digitizer ondigitizer on
ExcitationExcitation
SliceSlice
SelectionSelection
FrequencyFrequency
EncodingEncoding
PhasePhase
EncodingEncoding
ReadoutReadout
9090
180180
K-space view of the spin echo imaging
Kx
Ky
1
2
3
.
.
.
.
.
.
.
n
Fast ImagingFast Imaging
How fast is “fast imaging”?How fast is “fast imaging”?
In principle, any technique that can generate anIn principle, any technique that can generate an
entire imageentire image
with sub-second temporal resolution can be calledwith sub-second temporal resolution can be called
fast imaging.fast imaging.
For fMRI, we need to have temporal resolution on theFor fMRI, we need to have temporal resolution on the
order oforder of
a few tens ofa few tens of msms to be considered “fast”. Echo-planarto be considered “fast”. Echo-planar
imaging,imaging,
spiral imaging can be both achieve such speed.spiral imaging can be both achieve such speed.
Echo Planar Imaging (EPI)Echo Planar Imaging (EPI)
 Methods shown earlier take multiple RF shots to readoutMethods shown earlier take multiple RF shots to readout
enough data to reconstruct a single imageenough data to reconstruct a single image
– Each RF shot gets data with one value of phase encodingEach RF shot gets data with one value of phase encoding
 If gradient system (power supplies and gradient coil) areIf gradient system (power supplies and gradient coil) are
good enough, can read out all data required for one imagegood enough, can read out all data required for one image
after one RF shotafter one RF shot
– Total time signal is available is aboutTotal time signal is available is about 22⋅⋅T2*T2* [80 ms][80 ms]
 Must make gradients sweep back and forth, doing allMust make gradients sweep back and forth, doing all
frequency and phase encoding steps in quick successionfrequency and phase encoding steps in quick succession
 Can acquire 10-20 low resolution 2D images per secondCan acquire 10-20 low resolution 2D images per second
......
...
Pulse Sequence K-space View
Why EPI?Why EPI?
 Allows highest speed for dynamic contrastAllows highest speed for dynamic contrast
 Highly sensitive to the susceptibility-Highly sensitive to the susceptibility-
induced fieldinduced field
changes --- important for fMRIchanges --- important for fMRI
 Efficient and regular k-space coverageEfficient and regular k-space coverage
and goodand good
signal-to-noise ratiosignal-to-noise ratio
 Applicable to most gradient hardwareApplicable to most gradient hardware
Spiral ImagingSpiral Imaging
t = TE
RFRF
GxGx
GyGy
GzGz
t = 0
KK-Space-Space
Representation ofRepresentation of
Spiral ImageSpiral Image
AcquisitionAcquisition
Why Spiral?Why Spiral?
• More efficientMore efficient kk-space trajectory to improve-space trajectory to improve
throughput.throughput.
• Better immunity to flow artifacts (no gradient atBetter immunity to flow artifacts (no gradient at
the center of k-space)the center of k-space)
• Allows more room for magnetization preparation,Allows more room for magnetization preparation,
such as diffusion weighting.such as diffusion weighting.
Under very homogeneous magnetic field,
images look good …
Gradient-Recalled EPI Images Under Homogeneous Field
Gradient Recalled Spiral Images Under Homogeneous Field
However, if we don’t have a homogeneous field …
(That is why shimming is VERY important
in fast imaging)
Distorted EPI Images with Imperfect x-Shim
A
B
C
D
Distorted Spiral Images with Imperfect x-Shim
A
B
C
D
Any Question???.
Again Any Question???.
Thank you!
Have a nice dayHave a nice day

Mri image quality gamal mahdaly

  • 1.
    MRI Image Quality GGamalamalFFathallaathalla MM.. MMahdalyahdaly gamal_mahdaly@hotmail.comgamal_mahdaly@hotmail.com Experta Medica
  • 2.
    Factors affecting digitalimage QualityFactors affecting digital image Quality  Signal to Noise Ratio:Signal to Noise Ratio: The amount of true data building the imageThe amount of true data building the image relative to the amount of false datarelative to the amount of false data interfering with the image data duringinterfering with the image data during image reconstruction.image reconstruction. In MRI, being unavoidable, noise should notIn MRI, being unavoidable, noise should not exceed signal & the ratio SNR should beexceed signal & the ratio SNR should be around 1.around 1. In CT, the noise sources are much less, soIn CT, the noise sources are much less, so a different noise index was proposed.a different noise index was proposed. Experta Medica
  • 3.
    Factors affecting Signalto NoiseFactors affecting Signal to Noise Ratio (SNR)Ratio (SNR)  Receive Bandwidth (RBW) describes theReceive Bandwidth (RBW) describes the window of frequencies, the receive coilwindow of frequencies, the receive coil tuned to receive.tuned to receive.  The received frequencies are of bothThe received frequencies are of both Signal & Noise.Signal & Noise. Experta Medica
  • 4.
    Sources of theNoise in MRISources of the Noise in MRI • Random fluctuations in electrical current (electronic noise): exists in all electrical conductors including the MR coils with which we measure the signal, but it also includes the electrically conducting tissues of the patient. •Human tissue contains many ions such as sodium, potassium and chloride which are electrically charged atomic particles carrying electrical currents within the body, e.g. in nerve conduction. •These currents generate fluctuating magnetic fields which induce a noise voltage in the coil. •Pulsatile flow is also implicated in noise generation as the pulsed spins generate random electric fluctuations as well. • Remedy Tips: use a small or dedicated anatomy coil. Where large fields of view are essential, phased array coils are usually best. Experta Medica
  • 5.
    Receive Bandwidth (RBW)ReceiveBandwidth (RBW)  The frequency range of the receiver canThe frequency range of the receiver can be related to the frequency used tobe related to the frequency used to encode each pixel and thereforeencode each pixel and therefore determine the extent of the chemical-shiftdetermine the extent of the chemical-shift artifact.artifact.  For example, for a 256 frequency matrixFor example, for a 256 frequency matrix and bandwidth of 32 kHz, there are 125and bandwidth of 32 kHz, there are 125 Hz per pixel so the fat–water shift isHz per pixel so the fat–water shift is approximately 2 pixels. Typicalapproximately 2 pixels. Typical bandwidths vary from 6.5 kHz to 1 MHz.bandwidths vary from 6.5 kHz to 1 MHz. Experta Medica
  • 6.
    Bandwidth ( backto Larmor Equation) ν = γ/2π Βο Where ν is the larmor frequency Gyromagnetic ratioGyromagnetic ratio γ/2π = 42.57 MHz / Tesla for proton= 42.57 MHz / Tesla for proton RBWRBW being the whole repertoire of received frequencies, we can say:being the whole repertoire of received frequencies, we can say: RBW = 42.57RBW = 42.57 Βο For 1T systems, RBW should be in the range of 42.57 KHzFor 1T systems, RBW should be in the range of 42.57 KHz For 1.5T systems, RBW is in the range of 64 KHzFor 1.5T systems, RBW is in the range of 64 KHz For 3T systems, RBW is in the range of 128 KHzFor 3T systems, RBW is in the range of 128 KHz The question is how can we select the suitable RBW from these ranges & is itThe question is how can we select the suitable RBW from these ranges & is it dependable on the pulse sequence?dependable on the pulse sequence? Experta Medica
  • 7.
    Effect of RBWon SNR We should consider three factors: •The Fat/water phase shift •The SNR •The Spatial Resolution Good SNR with Narrow RBW Poor SNR with Wide RBW Noise remains always Constant & Fluctuating Experta Medica
  • 8.
    88 Effect of RBWon SNR Sampling rate controls the receive bandwidth •To narrow the receive bandwidth the system samples slower & consequently the read out time increases & vice versa •Slower sampling requires a longer readout time •Faster sampling allows a shorter readout time Select BW to balance minimum TE, minimum ES versus SNR Consider the impact on chemical shift Experta Medica
  • 9.
    Factors affecting Signalto Noise Ratio (SNR) RBW : As the RBW widens, SNR decreases. Number of Excitations ( NEX): As NEX increases, SNR also increases because each excitation generates part of the signal with constant fluctuating noise. Field of View (FOV): As FOV increases, SNR also increases due to increase of signal producing spins. Slice Thickness: As it increases, SNR also increases. Experta Medica
  • 10.
    Spatial Resolution It isthe ability to discriminate between 2 neighboring points in any image i.e. to see image details. To be read on a 2D screen, the 3D voxel content is interpreted into 2D pixel Experta Medica
  • 11.
    Voxel and pixelVoxeland pixel Voxel =Voxel = (Volume element)(Volume element) Pixel =Pixel = (Picture element)(Picture element) Experta Medica
  • 12.
    To be readon a 2D screen, the 3D voxel content is interpreted into 2D pixel The system averages the intensities In the pixel, thereby decreasing spatial resolution Partial volume averaging (PVA) Most approaches to enhance spatial resolution are in deed to overcome PVA
  • 13.
    Field of view(FOV):Field of view (FOV): The diameter of reconstructed imageThe diameter of reconstructed image MatrixMatrix::  Orderly array of cells fashioned in rowsOrderly array of cells fashioned in rows and columns.and columns.  In MRI, we have a frequency matrix &In MRI, we have a frequency matrix & a phase matrixa phase matrix
  • 14.
    Spatial Resolution Factors affectingspatial resolution: • RBW: as RBW widens, spatial resolution increases as the data building the image ( signal frequencies) increases. • Matrix (Phase & Frequency dimensions): as matrix increases, PVA decreases increasing spatial resolution. • Thickness (Slice dimension): as thickness decreases, PVA decreases increasing the spatial resolution. • FOV: as FOV decreases, PVA decreases, increasing the spatial resolution
  • 15.
  • 16.
    2020 512 512 256 256 Matrix ZIP isa zero-fill interpolation to reconstruct images in a 512x512 or 1024x1024 matrix even though acquired in a different gradient encoding configuration ( i.e. to spread image data on a larger matrix). Spatial Resolution Matrix ZIP
  • 17.
    2222 Matrix ZIP increasesthe visibility of resolution inherent in the Image: Note the increased sharpness of the vessel edges 256 encoded/512 recon 256 encoded/256 recon Spatial Resolution Matrix ZIP
  • 18.
    Contrast Resolution Contrast orGrey Scale Resolution is the ability to resolve the grey color into more color grades. Contrast Resolution demonstrates the ability to differentially diagnose different lesions according to their color index on the grey scale. In MRI, we have several contrasts in each pulse sequence. Each pulse sequence has its weighting (contrast – creating) factor(s).
  • 19.
    Grey Scaling The MRIreconstruction process results in a 2D matrix of floating point numbers in the computer which range from near 0.0 up to value equal to 1.0 These numbers correspond to the average signal intensities of the tissue contained in each voxel The MR images are normalized and truncated to integer values that encompass 4096 values, between -1000 and 3095 (typically) Rescaling these values to definite shades of grey produces the Grey Scale.
  • 20.
    Window width /window levelWindow width / window level The human tissue MR signal intenseties extend over a narrow range (window) of t Window width represents the MR signal intensities of all the tissues of interest wh Tissues with intensities outside this range are displayed as either black or white. Window Level represents the central number of all the intensities covered by the w Both WW & WL can be set independently & their respective settings affect the con Unlike CT, in MRI, we have multiple contrasts in each pulse sequence with differen
  • 21.
    The Concept ofContrast (or Weighting)The Concept of Contrast (or Weighting)  ContrastContrast = difference in RF signals — emitted= difference in RF signals — emitted by water protons — between different tissuesby water protons — between different tissues  T1 weighted example: gray-white contrast isT1 weighted example: gray-white contrast is possible becausepossible because T1T1 is different between theseis different between these two types of tissuetwo types of tissue
  • 22.
    T2 Decay MR Sign al T1 Recovery MR Sign al 50 ms50 ms1 s1 s Static Contrast Imaging Methods
  • 23.
    Optimal TR andTE for Proton Density Contrast 0 10 20 30 40 50 60 70 80 90 100 0 0.5 1 1.5 2 2.5 0 0.2 0.4 0.6 0.8 1 1.2 1.4 1.6 1.8 2 0 0.5 1 1.5 2 2.5 T2 Decay MRSignal t (ms)t (s) MRSignal TRTR TETE T1 Recovery Optimum TR corresponds to the end of T1 recovery Optimum TE corresponds to the beginning of T2 decay
  • 24.
    Proton Density ContrastProtonDensity Contrast • Technique: use very long time between RF shots (large TR) and very short delay between excitation and readout window (short TE) • Useful for anatomical reference scans • Several minutes to acquire 256×256×128 volume • ~1 mm resolution
  • 25.
    Proton Density WeightedImageProton Density Weighted Image
  • 26.
    Optimal TR andTE for T2* and T2 Contrast 0 0.2 0.4 0.6 0.8 1 1.2 1.4 1.6 1.8 2 0 0.1 0.2 0.3 0.4 0.5 0.6 0.7 0.8 0.9 1 0 10 20 30 40 50 60 70 80 90 100 0 0.1 0.2 0.3 0.4 0.5 0.6 0.7 0.8 0.9 1 T2 Decay MRSignal MRSignal T1 Recovery TRTR TETE T1 ContrastT1 Contrast T2 ContrastT2 Contrast
  • 27.
    T2* and T2ContrastT2* and T2 Contrast • Technique: use long TR and intermediate to long TE in SE & FSE • Use an itermediate TE & TR for GRE with a narrow flip angle ( 15-30) • In F-GRE, use a very short TE & TR & very narrow flip angle. • Useful for functional (T2* contrast) and anatomical (T2 contrast to enhance fluid contrast) studies • 1mm resolution for anatomical scans or 4 mm resolution [better is possible with better gradient system, and a little longer time per volume]
  • 28.
  • 29.
    Optimal TR andTE for T1 Contrast 0 0.2 0.4 0.6 0.8 1 1.2 1.4 1.6 1.8 2 0 0.1 0.2 0.3 0.4 0.5 0.6 0.7 0.8 0.9 1 0 10 20 30 40 50 60 70 80 90 100 0 0.1 0.2 0.3 0.4 0.5 0.6 0.7 0.8 0.9 1 T1 contrast T2 contrast T2 Decay MRSignal MRSignal T1 Recovery TRTR TETE
  • 30.
    T1 Contrast • Technique:use intermediate timing between RF shots (intermediate TR) and very short TE, also use large flip angles for GRE & MEMP • Useful for creating gray/white matter contrast for anatomical reference • ~1 mm resolution
  • 31.
  • 32.
    -S-So SSo S = SS= Soo * (1 – 2 e* (1 – 2 e –t/T1–t/T1 )) S = SS = Soo * (1 – 2 e* (1 – 2 e –t/T1’–t/T1’ )) Inversion Recovery for Extra T1Inversion Recovery for Extra T1 ContrastContrast
  • 33.
  • 34.
    In summary, TRcontrols T1 weighting andIn summary, TR controls T1 weighting and TE controls T2 weighting. Short T2 tissuesTE controls T2 weighting. Short T2 tissues are dark on T2 images, but short T1 tissuesare dark on T2 images, but short T1 tissues are bright on T1 images.are bright on T1 images.
  • 35.
    Motion Contrast ImagingMethodsMotion Contrast Imaging Methods  Can “prepare” magnetization to makeCan “prepare” magnetization to make readout signal sensitive to different motionreadout signal sensitive to different motion propertiesproperties – Flow weighting (bulk movement of blood)Flow weighting (bulk movement of blood) – Diffusion weighting (scalar or tensor)Diffusion weighting (scalar or tensor) – Perfusion weighting (blood flow into capillaries)Perfusion weighting (blood flow into capillaries)
  • 36.
  • 37.
    Time-of-Flight ContrastTime-of-Flight Contrast NoFlow Medium Flow High Flow No Signal Mediu m Signal High Signal Vessel Acquisitio n Saturation Excitatio n Vessel Vessel
  • 38.
    90o Excitation Image Acquisition RF Gx Gy Gz 90o Saturation Time to allowfresh flow enter the slice Pulse Sequence: Time-of-Flight Contrast
  • 39.
    Phase Contrast (VelocityEncoding) Externally Applied Spatial Gradient G Externally Applied Spatial Gradient -G Blood Flow v 2 0 2 )()( GvT dtvtxGdtvtxG T T T γ γγφ = +−+= ∫ ∫ Time T 2T0
  • 40.
  • 41.
  • 42.
    Diffusion Weighted ImagingDiffusionWeighted Imaging SequencesSequences Dtl 2= Externally AppliedExternally Applied Spatial GradientSpatial Gradient GG Externally AppliedExternally Applied Spatial Gradient -Spatial Gradient -GG TimeTime TT 2T2T00 322 3 2 TGD oeSS γ⋅− =
  • 43.
    Pulse Sequence: Gradient-EchoDiffusionPulse Sequence: Gradient-Echo Diffusion WeightingWeighting 90o Excitation Image Acquisition RF Gx Gy Gz G -G
  • 44.
  • 45.
    Advantages of DWIAdvantagesof DWI 1.1. The absolute magnitude of the diffusionThe absolute magnitude of the diffusion coefficient can help determine proton poolscoefficient can help determine proton pools with different mobilitywith different mobility 2.2. The diffusion direction can indicate fiber tracksThe diffusion direction can indicate fiber tracks 3.3. DWI defines the diffusion characteristics of tumorsDWI defines the diffusion characteristics of tumors
  • 46.
  • 47.
    Determination of fMRIUsing the Directionality of Diffusion Tensor
  • 48.
    Display of DiffusionTensor Using Ellipsoids
  • 49.
  • 50.
    PerfusionPerfusionDiffusionDiffusion Diffusion and PerfusionContrastDiffusion and Perfusion Contrast
  • 51.
    Part III.3Part III.3 Somefundamental acquisition methoSome fundamental acquisition metho And their k-space viewAnd their k-space view
  • 52.
    k-Space Recap Kx =Kx= γγ/2/2π ∫π ∫00 tt Gx(t) dtGx(t) dt Ky =Ky = γγ/2/2π ∫π ∫00 tt Gx(t) dtGx(t) dt Equations that govern k-space trajectoryEquations that govern k-space trajectory These equations mean that the k-space coordThese equations mean that the k-space coord are determined by the area under the gradienare determined by the area under the gradien dxdyeyxIkkS ykxki yx yx )(2 ),(),( +− ∫∫= π
  • 53.
    Gradient Echo ImagingGradientEcho Imaging  Signal is generated by magnetic fieldSignal is generated by magnetic field refocusing mechanism only (the use ofrefocusing mechanism only (the use of negative and positive gradient)negative and positive gradient)  It reflects the uniformity of the magnetic fieldIt reflects the uniformity of the magnetic field  Signal intensity is governed bySignal intensity is governed by S = So eS = So e-TE/T2*-TE/T2* wherewhere TETE is the echo time (time fromis the echo time (time from excitation toexcitation to the center of k-space)the center of k-space)  Can be used to measure T2* value of theCan be used to measure T2* value of the tissuetissue
  • 54.
    MRI Pulse Sequencefor GradientMRI Pulse Sequence for Gradient Echo ImagingEcho Imaging digitizer ondigitizer on ExcitationExcitation SliceSlice SelectionSelection FrequencyFrequency EncodingEncoding PhasePhase EncodingEncoding ReadoutReadout
  • 55.
    K-space view ofthe gradient echoK-space view of the gradient echo imagingimaging Kx Ky 1 2 3 . . . . . . . n
  • 56.
    Multi-slice acquisitionMulti-slice acquisition Totalacquisition time =Total acquisition time = Number of views * Number of excitations * TRNumber of views * Number of excitations * TR Is this the best we can do?Is this the best we can do? Interleaved excitation methodInterleaved excitation method
  • 57.
  • 58.
    Spin Echo ImagingSpinEcho Imaging ♦Signal is generated by radiofrequency pulse refocusing mechanism (the use of 180o pulse ) ♦It doesn’t reflect the uniformity of the magnetic field ♦Signal intensity is governed by S = So e-TE/T2 where TE is the echo time (time from excitation to the center of k-space) ♦Can be used to measure T2 value of the tissue
  • 59.
    MRI Pulse Sequencefor Spin Echo Imaging digitizer ondigitizer on ExcitationExcitation SliceSlice SelectionSelection FrequencyFrequency EncodingEncoding PhasePhase EncodingEncoding ReadoutReadout 9090 180180
  • 60.
    K-space view ofthe spin echo imaging Kx Ky 1 2 3 . . . . . . . n
  • 61.
    Fast ImagingFast Imaging Howfast is “fast imaging”?How fast is “fast imaging”? In principle, any technique that can generate anIn principle, any technique that can generate an entire imageentire image with sub-second temporal resolution can be calledwith sub-second temporal resolution can be called fast imaging.fast imaging. For fMRI, we need to have temporal resolution on theFor fMRI, we need to have temporal resolution on the order oforder of a few tens ofa few tens of msms to be considered “fast”. Echo-planarto be considered “fast”. Echo-planar imaging,imaging, spiral imaging can be both achieve such speed.spiral imaging can be both achieve such speed.
  • 62.
    Echo Planar Imaging(EPI)Echo Planar Imaging (EPI)  Methods shown earlier take multiple RF shots to readoutMethods shown earlier take multiple RF shots to readout enough data to reconstruct a single imageenough data to reconstruct a single image – Each RF shot gets data with one value of phase encodingEach RF shot gets data with one value of phase encoding  If gradient system (power supplies and gradient coil) areIf gradient system (power supplies and gradient coil) are good enough, can read out all data required for one imagegood enough, can read out all data required for one image after one RF shotafter one RF shot – Total time signal is available is aboutTotal time signal is available is about 22⋅⋅T2*T2* [80 ms][80 ms]  Must make gradients sweep back and forth, doing allMust make gradients sweep back and forth, doing all frequency and phase encoding steps in quick successionfrequency and phase encoding steps in quick succession  Can acquire 10-20 low resolution 2D images per secondCan acquire 10-20 low resolution 2D images per second
  • 63.
  • 64.
    Why EPI?Why EPI? Allows highest speed for dynamic contrastAllows highest speed for dynamic contrast  Highly sensitive to the susceptibility-Highly sensitive to the susceptibility- induced fieldinduced field changes --- important for fMRIchanges --- important for fMRI  Efficient and regular k-space coverageEfficient and regular k-space coverage and goodand good signal-to-noise ratiosignal-to-noise ratio  Applicable to most gradient hardwareApplicable to most gradient hardware
  • 65.
    Spiral ImagingSpiral Imaging t= TE RFRF GxGx GyGy GzGz t = 0
  • 66.
    KK-Space-Space Representation ofRepresentation of SpiralImageSpiral Image AcquisitionAcquisition
  • 67.
    Why Spiral?Why Spiral? •More efficientMore efficient kk-space trajectory to improve-space trajectory to improve throughput.throughput. • Better immunity to flow artifacts (no gradient atBetter immunity to flow artifacts (no gradient at the center of k-space)the center of k-space) • Allows more room for magnetization preparation,Allows more room for magnetization preparation, such as diffusion weighting.such as diffusion weighting.
  • 68.
    Under very homogeneousmagnetic field, images look good …
  • 69.
    Gradient-Recalled EPI ImagesUnder Homogeneous Field
  • 70.
    Gradient Recalled SpiralImages Under Homogeneous Field
  • 71.
    However, if wedon’t have a homogeneous field … (That is why shimming is VERY important in fast imaging)
  • 72.
    Distorted EPI Imageswith Imperfect x-Shim A B C D
  • 73.
    Distorted Spiral Imageswith Imperfect x-Shim A B C D
  • 74.
    Any Question???. Again AnyQuestion???. Thank you!
  • 75.
    Have a nicedayHave a nice day