Pediatric Stroke
Dr. Mohit Goel
MD Radiodiagnosis
Definition
Stroke is defined as the sudden onset of focal neurological deficit
due to occlusion of blood supply or hemorrhage in the brain
causing symptoms & signs lasting greater than 24 hours.
Although, predominantly a disease of adults, its occurrence in
children (0-16 years) is not so rare as once thought due to the
advent of more accurate diagnostic techniques.
Also, the incidence of cerebro-vascular lesions has increased in
recent years as more effective treatment for some underlying
conditions causing stroke has allowed much longer life expectancy
during which time they may have a stroke.
Epidemiology
• In INDIA the average annual incidence rates are reported to
be 13-33/100,000 /year.
• The reported annual incidence of cerebral infarction in
children, all over the world, varies between 1.2 per 100,000(5)
to 2.7 per 100,000.
• About 20-30% of all infants of less than 35 weeks gestational
age have intra-ventricular or germinal matrix hemorrhage.
Ischemic Stroke Following Mild Head Injury: Is it the Cause? K.S. Rana, M.K. Behera, K.M. Adhikari. Indian
Pediatrics 2006;43:994-997
Cerebrovascular Disease in Children. Dr. Subhash Kaul. Indian Pediatrics 2000;37: 159-171
Overview of stroke in children
Venous strokeArterial stroke
Ischemic stroke Hemorrhagic stroke
Hemorrhagic
disease of
newborn
Pediatric stroke
Ruptured brain
Arteriovenous
malformation
Cerebral venous
sinus thrombosis
due to infections,
fever, dehydration
thrombopathies
Transient arteriopathy ( Varicella)
Progressive arteriopathy- Moya Moya disease/ syndrome
Vasculitis disorders (autoimmune)
Metabolic (MELAS) Primary CNS vasculitis
Hemoglobinopathies
Cardiac disease
Infections, trauma,
anemia
Sickle Cell Disease
Refers to a group of genetic disorders characterized by the
production of sickle-cell hemoglobin, chronic hemolytic anemia, and
ischemic tissue injury caused by altered blood flow.
Occlusion of large and small vessels, red cell sludging, and distal field
insufficiency (border-zone infarction) have been implicated in the
pathogenesis of brain injury.
14 yr male child, K/C/O sickle cell anemia, Transcranial doppler revealed Rt. MCA
narrowing.
Courtesy : Dr M. M Shroff. Hospital for Sick Children Toronto
Follow Up
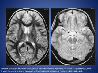
Cardiac diseases
• Cardiac disorders are the most common cause of ischemic stroke
in children and account for up to 50% of strokes.
• The risk of stroke in children with congenital heart disease is
related to the abnormality, diagnostic and surgical procedures,
and associated genetic or acquired factors that predispose
children to thrombosis.
• Cardiac disorders can lead to the development of intracardiac
thrombi that may embolize to the brain or can lead to
thrombosis in cyanotic patients with anemia
Cerebral Embolism From Atrial Myxoma in Pediatric Patients. Majeed Al-Mateen, Margaret Hood, Don
Trippel, Samuel J. Insalaco, Randolph K. Otto and Kari J. Vitikainen. Pediatrics 2003;112;e162.
Infections
• Varicella infection has been associated with stroke in children.
•
• The prevalence of stroke among children who have chicken
pox is estimated to be between one in 6,500-15,000 children
in India.
• Varicella virus causes an acute vasculitis of the arterial wall.
Other infectious agents responsible for
TCA
• Parvovirus B19
• CMV
• Mycoplasma pneumoniae
• Borrelia burgdorferi
• Enterovirus
• HIV
• Helicobacter pylori.
• 7 yr old girl, with sudden onset of severe right sided headache, followed
by left hemiparesis & slurred speech of one day duration.
• H/o Chickenpox 2 months back.
13 yrs male, with history of seizures with cilinical suspicion of febrile
encephalitis.
DWI
ADC
IR
Trauma
• Dissection of the extracranial and intracranial portions of the
carotid and vertebrobasilar arteries is an important risk factor
for stroke in children.
• Occlusion or narrowness of the vesselʼs lumen by the
hematoma created within the arterial wall lead to cerebral
infarction distal to the lesion.
• Narrowing of the arterial lumen for up to several centimeters
“string sign” is diagnostic. However, tapering of the lumen to
complete occlusion is more common.
Child Neurology: Stroke due to nontraumatic intracranial dissection in a child. Bernhard Suter and Lisa
Michael El-Hakam. Neurology. 2009;72;e100. DOI 10.1212/WNL.0b013e3181a55f52.
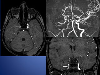
Moya Moya
• Chronic progressive arteriopathy of unknown cause and has
become one of the most common causes of pediatric stroke.
• Suzuki and Kodama classified the evolution of moyamoya disease
using angiographic findings to define six phases of the disease:
Stage 1- Narrowing of carotid fork.
Stage 2- Initiation of basal moyamoya.
Stage 3- Intensification of moyamoya
Stage 4- Minimization of moyamoya.
Stage 5- Reduction of moyamoya .
Stage 6- Disappearance of moyamoya.
• Stenosis/occlusion of the distal ICA
• moyamoya vessels with signal voids in the basal ganglia
• ischemia
• infarction
• atrophy, and ventriculomegaly.
• Small abnormal net-like vessels proliferate giving "puff of smoke"
appearance.
• Contrast-enhanced T1WI - marked leptomeningeal enhancement
along the cortical sulci (ivy sign).
often show contrast stagnating in slow-flowing collateral
vessels both in the brain parenchymal and over its surface.
MR imaging
5 yrs male child with history of left sided focal seizures with secondary generalization
Vasculitis
The distribution of the lesions is most commonly isolated to the
anterior circulation distribution (76%) and is frequently isolated to
the posterior circulation (16%) or involve both anterior and
posterior circulations (11%).
There is overall involvement of gray and white matter but there is a
strong tendency toward central lesions involving the basal ganglia
or lateral lenticulostriate vasculature territory.
The most frequent MRA finding is a benign appearance with
proximal involvement of the carotid termination and proximal ACA
and MCA segments.
Aviv R et al. AJNR Am J Neuroradiol 2006;27:192-199
FLAIR DWI
7 Months male…………………………………………….
CVST
Thrombosis
Venous congestion
Increase in capillary hydrostatic pressure
Producing edema
Reduces arterial inflow
Subsequent ischemia
The classic features that indicate CSVT include the
• “Dense triangle” or the “Cord sign,” which describe the
increased density over the thrombosed venous sinus in a plain
CT,
• “Empty triangle” or “Empty delta (δ) ” sign in a contrast-
enhanced CT.
DWI is a sensitive technique for detecting areas of infarction.
Parenchymal changes can be seen within minutes of injury, which
allows for early identification and intervention
15 months old, Fever since 5 days, Right focal seizures, Right hemiparesis, Persistent
irritability.
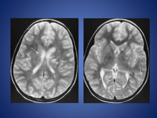
MELAS
(Mitochondrial encephalopathy with lactic acidosis and stroke-like episodes)
Caused by defects in the mitochondrial genome which is inherited
purely from the female parent.
CT brain –
• Areas of low attenuation that do not correspond to vascular
territories
• predominantly in the temporo-parietal and occipital cortices and
subjacent white matter.
MRI –
• Hyperintense T2 lesions predominantly in the gray and
subcortical white matter in the temporal, parietal, and
occipital lobes.
• Lesions spare the deep WM and cross vascular boundaries.
• Basal ganglia calcifications and atrophy is sometimes seen.
• MR spectroscopy- lactic acid levels are increased during the
acute phase of the disease and in chronic lesions.
2 yr male child, vomited while sleeping, unconscious, head drop,
tonic posturing, admitted with respiratory arrest.
Vascular malformations
The common risk factors for children with hemorrhagic stroke :
• Arteriovenous malformations (AVMs)
• Aneurysms
• Cavernous malformations
14 yr male with headache and seizures.
7 days old male child, with history of focal seizures.
DWI ADC
FFE
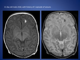
11 day old male child, with history of 1 episode of seizure.
Other causes
11 yrs male, with suspected Glomerulonephritis, presented with fever, anasarca, 2
episodes of GTCS
FLAIR DWI ADC
THANK YOU

Pediatric stroke radiology

  • 1.
    Pediatric Stroke Dr. MohitGoel MD Radiodiagnosis
  • 2.
    Definition Stroke is definedas the sudden onset of focal neurological deficit due to occlusion of blood supply or hemorrhage in the brain causing symptoms & signs lasting greater than 24 hours. Although, predominantly a disease of adults, its occurrence in children (0-16 years) is not so rare as once thought due to the advent of more accurate diagnostic techniques. Also, the incidence of cerebro-vascular lesions has increased in recent years as more effective treatment for some underlying conditions causing stroke has allowed much longer life expectancy during which time they may have a stroke.
  • 3.
    Epidemiology • In INDIAthe average annual incidence rates are reported to be 13-33/100,000 /year. • The reported annual incidence of cerebral infarction in children, all over the world, varies between 1.2 per 100,000(5) to 2.7 per 100,000. • About 20-30% of all infants of less than 35 weeks gestational age have intra-ventricular or germinal matrix hemorrhage. Ischemic Stroke Following Mild Head Injury: Is it the Cause? K.S. Rana, M.K. Behera, K.M. Adhikari. Indian Pediatrics 2006;43:994-997 Cerebrovascular Disease in Children. Dr. Subhash Kaul. Indian Pediatrics 2000;37: 159-171
  • 4.
    Overview of strokein children Venous strokeArterial stroke Ischemic stroke Hemorrhagic stroke Hemorrhagic disease of newborn Pediatric stroke Ruptured brain Arteriovenous malformation Cerebral venous sinus thrombosis due to infections, fever, dehydration thrombopathies Transient arteriopathy ( Varicella) Progressive arteriopathy- Moya Moya disease/ syndrome Vasculitis disorders (autoimmune) Metabolic (MELAS) Primary CNS vasculitis Hemoglobinopathies Cardiac disease Infections, trauma, anemia
  • 5.
    Sickle Cell Disease Refersto a group of genetic disorders characterized by the production of sickle-cell hemoglobin, chronic hemolytic anemia, and ischemic tissue injury caused by altered blood flow. Occlusion of large and small vessels, red cell sludging, and distal field insufficiency (border-zone infarction) have been implicated in the pathogenesis of brain injury.
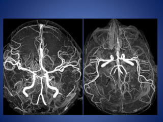
  • 6.
    14 yr malechild, K/C/O sickle cell anemia, Transcranial doppler revealed Rt. MCA narrowing. Courtesy : Dr M. M Shroff. Hospital for Sick Children Toronto
  • 8.
  • 9.
    Cardiac diseases • Cardiacdisorders are the most common cause of ischemic stroke in children and account for up to 50% of strokes. • The risk of stroke in children with congenital heart disease is related to the abnormality, diagnostic and surgical procedures, and associated genetic or acquired factors that predispose children to thrombosis. • Cardiac disorders can lead to the development of intracardiac thrombi that may embolize to the brain or can lead to thrombosis in cyanotic patients with anemia
  • 12.
    Cerebral Embolism FromAtrial Myxoma in Pediatric Patients. Majeed Al-Mateen, Margaret Hood, Don Trippel, Samuel J. Insalaco, Randolph K. Otto and Kari J. Vitikainen. Pediatrics 2003;112;e162.
  • 13.
    Infections • Varicella infectionhas been associated with stroke in children. • • The prevalence of stroke among children who have chicken pox is estimated to be between one in 6,500-15,000 children in India. • Varicella virus causes an acute vasculitis of the arterial wall.
  • 14.
    Other infectious agentsresponsible for TCA • Parvovirus B19 • CMV • Mycoplasma pneumoniae • Borrelia burgdorferi • Enterovirus • HIV • Helicobacter pylori.
  • 15.
    • 7 yrold girl, with sudden onset of severe right sided headache, followed by left hemiparesis & slurred speech of one day duration. • H/o Chickenpox 2 months back.
  • 17.
    13 yrs male,with history of seizures with cilinical suspicion of febrile encephalitis.
  • 18.
  • 20.
    Trauma • Dissection ofthe extracranial and intracranial portions of the carotid and vertebrobasilar arteries is an important risk factor for stroke in children. • Occlusion or narrowness of the vesselʼs lumen by the hematoma created within the arterial wall lead to cerebral infarction distal to the lesion. • Narrowing of the arterial lumen for up to several centimeters “string sign” is diagnostic. However, tapering of the lumen to complete occlusion is more common.
  • 21.
    Child Neurology: Strokedue to nontraumatic intracranial dissection in a child. Bernhard Suter and Lisa Michael El-Hakam. Neurology. 2009;72;e100. DOI 10.1212/WNL.0b013e3181a55f52.
  • 22.
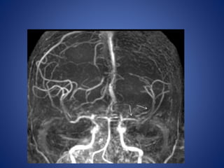
    Moya Moya • Chronicprogressive arteriopathy of unknown cause and has become one of the most common causes of pediatric stroke. • Suzuki and Kodama classified the evolution of moyamoya disease using angiographic findings to define six phases of the disease: Stage 1- Narrowing of carotid fork. Stage 2- Initiation of basal moyamoya. Stage 3- Intensification of moyamoya Stage 4- Minimization of moyamoya. Stage 5- Reduction of moyamoya . Stage 6- Disappearance of moyamoya.
  • 23.
    • Stenosis/occlusion ofthe distal ICA • moyamoya vessels with signal voids in the basal ganglia • ischemia • infarction • atrophy, and ventriculomegaly. • Small abnormal net-like vessels proliferate giving "puff of smoke" appearance. • Contrast-enhanced T1WI - marked leptomeningeal enhancement along the cortical sulci (ivy sign). often show contrast stagnating in slow-flowing collateral vessels both in the brain parenchymal and over its surface. MR imaging
  • 24.
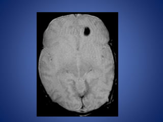
    5 yrs malechild with history of left sided focal seizures with secondary generalization
  • 26.
    Vasculitis The distribution ofthe lesions is most commonly isolated to the anterior circulation distribution (76%) and is frequently isolated to the posterior circulation (16%) or involve both anterior and posterior circulations (11%). There is overall involvement of gray and white matter but there is a strong tendency toward central lesions involving the basal ganglia or lateral lenticulostriate vasculature territory. The most frequent MRA finding is a benign appearance with proximal involvement of the carotid termination and proximal ACA and MCA segments.
  • 27.
    Aviv R etal. AJNR Am J Neuroradiol 2006;27:192-199
  • 29.
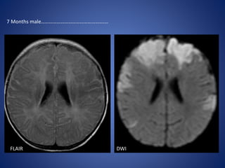
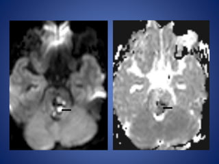
    FLAIR DWI 7 Monthsmale…………………………………………….
  • 33.
    CVST Thrombosis Venous congestion Increase incapillary hydrostatic pressure Producing edema Reduces arterial inflow Subsequent ischemia
  • 34.
    The classic featuresthat indicate CSVT include the • “Dense triangle” or the “Cord sign,” which describe the increased density over the thrombosed venous sinus in a plain CT, • “Empty triangle” or “Empty delta (δ) ” sign in a contrast- enhanced CT. DWI is a sensitive technique for detecting areas of infarction. Parenchymal changes can be seen within minutes of injury, which allows for early identification and intervention
  • 35.
    15 months old,Fever since 5 days, Right focal seizures, Right hemiparesis, Persistent irritability.
  • 37.
    MELAS (Mitochondrial encephalopathy withlactic acidosis and stroke-like episodes) Caused by defects in the mitochondrial genome which is inherited purely from the female parent. CT brain – • Areas of low attenuation that do not correspond to vascular territories • predominantly in the temporo-parietal and occipital cortices and subjacent white matter.
  • 38.
    MRI – • HyperintenseT2 lesions predominantly in the gray and subcortical white matter in the temporal, parietal, and occipital lobes. • Lesions spare the deep WM and cross vascular boundaries. • Basal ganglia calcifications and atrophy is sometimes seen. • MR spectroscopy- lactic acid levels are increased during the acute phase of the disease and in chronic lesions.
  • 39.
    2 yr malechild, vomited while sleeping, unconscious, head drop, tonic posturing, admitted with respiratory arrest.
  • 40.
    Vascular malformations The commonrisk factors for children with hemorrhagic stroke : • Arteriovenous malformations (AVMs) • Aneurysms • Cavernous malformations
  • 41.
    14 yr malewith headache and seizures.
  • 44.
    7 days oldmale child, with history of focal seizures.
  • 45.
  • 46.
    11 day oldmale child, with history of 1 episode of seizure.
  • 50.
    Other causes 11 yrsmale, with suspected Glomerulonephritis, presented with fever, anasarca, 2 episodes of GTCS
  • 51.
  • 53.