Radiology for Radiation Oncologist
Radiology of Brain & Spine
Dr Kanhu Charan Patro
MD,DNB[RADIATION ONCOLOGY],MBA,CEPC,PDCR
HOD, Radiation Oncology
MGCHRI, Visakhapatnam, INDIA
M +91 9160470564, drkcpatro@gmail.com 1
Flow
• Basics
• Identification
• Meninges
• Vessel
• White and gray matter
• Sulci and gyri
• Ventricles
• Calcification
• Lobes
• Functional areas
• Brain stem
• Cerebellum
• Basal ganglia
• Pineal gland
• Cisterns
• Pituitary
• Flax
BAISCS
What a radiation oncologist wants?
• Clear identification
• Target
• OAR
• Good resolution
4
Ammunitions
• CT
• Plain
• Contrast
• Cisternography
• CT Angio
• MRI
• Plain
• Contrast/Double Contrast/Triple contrast
• Cisternography
• MR Angio
• MRS
• Other Functional sequences
• Nuclear imaging
• DSA-Digital Subtraction Angiogram
5
Basics
• Slicing
• Windowing
• CT number
• Measuring the density
• Contrast
• FOV vs BORE
6
Slicing
7
Sagittal[s-s] Coronal[A-P] Axial[S-I]
Side view Front view Bottom up view
8
Slicing
9
Imaging planes
10
11
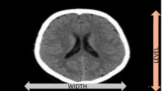
A. Brightness refers to the overall lightness or
darkness of the image.
B. Contrast is the difference in brightness between
objects in the image.
12
Brightness- window level Contrast- window width
13
14WIDTH
LEVEL
15
Bore
16
FOV
• (FOV) The field of view is the
maximum diameter of the
area of the scanned object that is
represented in the reconstructed
image.
• FULL FOV
17
Describing the tissues/organs
Procedure Like brain Less than brain
Darker
More than brain
Whiter
CT SCAN Isodense Hypodense Hyperdense
MRI Isointense Hypointense Hyperintense
18
19
Hounsfield unit
• CT number
• Different for different tissue
• Related to composition of tissue
20
21
22
23
Contrast
24
Images
• Structural imaging refers to approaches that are specialized for the
visualization and analysis of anatomical properties of the brain.
• Functional magnetic resonance imaging, or fMRI, is a technique for
measuring brain activity. It works by detecting the changes in blood
oxygenation and flow that occur in response to neural activity
• Tractography is a 3D modeling technique used to visually represent nerve
tracts using data collected by diffusion MRI. It uses special techniques of
magnetic resonance imaging and computer-based diffusion MRI.
25
What is a Sequence?
• Sequence of events in MRI
machine
• By varying the sequence of RF
pulses applied & collected,
different types of images are
created
• PHILIPS
• GE
• TOSHIBA
• SIEMENS
• HITACHI
26
Playing with TR and TE and RF
27
28
T1 sequence
•T1
•Fat bright[white]
•Water black
•Normal anatomy
•Vascular changes
29
w w
T1 contrast
• T1 contrast • T1 contrast
• Vessels -hyperintense
30
T2 sequence- Flip side of T1
•T2
• CSF, AQ/VT HUMOR WHITE
•Fat black/white mater
•Water white
•Blood vessel dark
•CSF study
•Lesions in brain
31
Flair sequence
• Fluid attenuation inversion
recovery
• Flair-ventricular ooze
• CSF black
• Pathological fluid white
32
T2 vs FLAIR- Flip side of T2
33
Identify-T1 VS T2 VS FLAIR
34
MR Diffusion
• Ghost sequence
• Diffusion weighted image
• DWI
• Fluid restriction
• Whiter
35
ADC MAP
• Apparent diffusion coefficient
• Statistical measure of restriction
• ADC measuring the diffusion
• ADC without T2 effect –black
• Hyperintense on DWI
• Hypointense in ADC
• More malignant –lower the
value
36
ADC values
37
Planning MRI
38
FOV should
include body
contour
Disease specific MRI sequences
DISEASE SEQUENCE
 NORMAL ANATOMY 3D FSPGR
 PITUITARY ADENOMA STIR
 TRIGEMINAL NEURALGIA FIESTA
 CRANIAL NERVES CISS
 CP ANGLE TUMOR GRE
 GLIOMA DIFFUSION,PERFUSION
 AVM ANGIO
 GRADING OF TUMORS MRS
 METASTASIS DOUBLE/TRIPLE/DELAYED CONTRAST
DIFFUSION,PERFUSION 39
FSPGR Sequence
• [3D FSPGR (fast spoiled gradient
echo)
• More differentiation of normal
structure
• Contrast as well as non contrast
• Improves anatomical display
40
41
FIESTA sequence
• FIRST IMAGING EMPLOYING
STEADY STATE ACQUSITION
• Clear visualization of ventricles
• Cranial nerves AT SKULL BASE
• Cisterns
42
STIR sequence. Fat saturated/FATSAT sequence
• Short tau inversion recovery
• These chemically selective
pulses cause the signal
from fat to be nulled (saturated)
• Packing materials
• Gel foam
• Fat
43
MRS
• Magnetic resonance spectroscopy
• Chemical measurement
• Grading differentiating the tumours
44
Chemical composition of brain-MRS
45
MRS-low grade vs high grade
46
MRS- Meningioma
47
MR Angio
• Magnetic resonance angiography is
used to generate images of arteries in
order to evaluate them for stenosis,
occlusions, aneurysms or other
abnormalities
48
MR perfusion
1. Sequence to see perfusion of
tissues
2. The acquired data are then post-
processed to obtain perfusion maps
with different parameters, such as
BV (blood volume), BF (blood flow)
3. The main role of perfusion imaging
is in evaluation of ischemic
conditions and neoplasms (e.g.
identify highest grade component
of diffuse astrocytoma help to
distinguish glioblastomas from
cerebral metastases) and
neurodegenerative diseases.
49
Gradient echo sequence
• Gradient recalled echo (GRE) (T2
WI) is a relatively new (MRI)
technique.
• GRE T2 WI can detect the
smallest changes in uniformity
in the magnetic field and can
improve the rate of small lesion
detection
• Detection and Evaluation of
Microbleeds
50
MRI spine and sequences
51
52
53
54
Clock wise
55
56
57
58
Spine sequences
• T1
• T2
• STIR
• T1C
• DIXON
• DWI
• SWI
59
MRI sequences
Basic sequences
1. T1
2. T2
3. Inversion recovery (IR)
4. Post contrast T1
Advanced sequences
1. DWI (Functional sequence)
2. SWI
3. Multi-point Dixon
4. Dynamic Post contrast T1
Thanks to Dr C Seetharaman 60
61
T1W
1. Morphology of bones and soft tissue
2. Most pathological lesions appear
hypo intense against
normal fatty marrow
Thanks to Dr C Seetharaman 62
T1C
1. Gives details about
cellularity and necrosis
2. Dynamic post contrast
will assess vascularity
of bone metastasis
(EGFR status)
3. Response assessment
Thanks to Dr C Seetharaman 63
T2W
1. Adds information about morphology of
bones and soft tissue.
2. Most pathological lesions appear
hyper intenseagainst
normal marrow
Thanks to Dr C Seetharaman 64
IR sequence
1. Fat suppressed T2W sequence
2. More clear
3. Differentiate from T2 by back FAT[arrow]
1. Bright on T2
2. Darker on IR
4. Most pathological lesions appear
more hyper intenseagainst normal
marrow
Thanks to Dr C Seetharaman 65
T2 SEQUENCE IR SEQUENCE
66
Susceptibility-weighted MRI spine
67
Susceptibility-weighted MRI enables the reliable differentiation between predominantly osteoblastic and
osteolytic spine metastases with a higher accuracy than standard MRI sequences
68
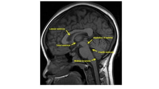
THE VENTRICLES
Ventricles
• Lateral ventricle
• Frontal horn
• Occipital horn
• Temporal horn
• Third ventricle
• Fourth ventricle
• Central canal
Foramen monoro
Aqueduct of Silvius
Interventricular foramina
(or foramina of monro)
The lateral ventricle
The frontal horn
The
occipital
horn
The temporal horn
The 3rd ventricle
The 4th ventricle
Foramen Luschka and Magendie
GREY VS WHITE
• The CNS has two kinds of tissue: grey matter and white matter.
• Grey matter contains most of the brain's neuronal cell bodies.[outside]
• White matter is made of axons connecting different parts of grey matter to
each other[inside]
CordBrain
White and grey mater on CT
White and grey mater on MRI
T1 T2
Gray-white junction- the brain met
Stroke Tumor
Grey and white mater cord/T2
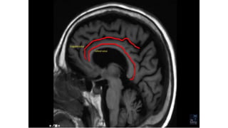
THE MENINGES
1. Using spin-echo sequences
2. The dura mater may be recognized as a short,
intermittent, thin, hyperintense, curvilinear structure on
contrast-enhanced T1-weighted MRI.
3. The pia mater and the arachnoid mater do NOT enhance
in normal subjects
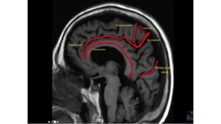
SULCI & GYRI
SULCUS IS THE DEPRESSION [VALLEYS]
AND
GYRUS IS THE RIDGE [HILLS]
Fissure/sulcus Importance
• Interhemispheric fissure • Separates two lobes
 Sylvian fissure/ Lateral
Sulcus
 Frontal to temporal
 Central sulcus  Frontal to parietal
 Callosal sulcus
 Cingulate sulcus
 Interparietal sulcus
 Parieto occipital sulcus
 Calcarine sulcus
12
6
Interhemispheric
fissure
1
3
2
4
5
Superior frontal
sulcus
Pre central sulcus
Central sulcus
Post central
sulcus
IPIO
sulcus
Interhemispheric fissure
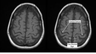
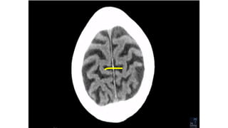
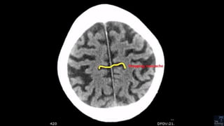
The central sulcus-The sigmoid hook
The pars bracket sign- Parieto occipital sulcus
Fish tail- parieto occipital sulcus
Pars marginalis
The bifid sulcus
The intraparietal sulcus
THE FISSURES
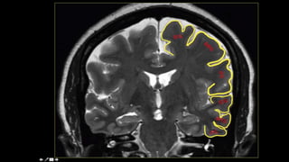
LOBES
TEMPORAL LOBE CONTOURING Francis Ho, MEDICEINE,2018
Normal calcification
The basal ganglia
Pituitary fossa
The pineal gland
PINEAL GLAND
The limbic system
Yellow: cingulate gyrus; red: hippocampus; green: temporal lobe
neocortex; blue: insula, pink: uncus; P: parahippocampal gyrus
Cisterns of brain
The subarachnoid cisterns, or basal cisterns, are compartments
within the subarachnoid space where the pia mater and
arachnoid membrane are not in close approximation and
cerebrospinal fluid (CSF) forms pools or cisterns (Latin: "box").
Pre pontine cisterns
Suprasellar cistern
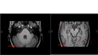
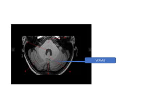
CEREBELLUM
TONSIL
CEREBELLAR
HEMISPHERE
TONSIL
CEREBELLAR
HEMISPHERE
VERMIS
MIDDLE CEREBELLAR PEDUNCLE
SUPERI0R CEREBELLAR PEDUNCLE -MIDBRAIN LEVEL
HORRIZONTAL FISSURE
SUPERIOR CEREBELLAR PEDUNCLE -MIDBRAIN LEVEL
MIDDLE CEREBELLAR PEDUNCLE AT PONS
Brainstem = Midbrain + Pons + Medulla
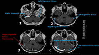
Blood supply
To quickly remember the tributaries to the confluence
of sinuses you can use the mnemonic
"TOSS"
(Transverse sinus, Occipital sinus, Superior sagittal sinus,
Straight sinus
Dural sinuses
FUNCTIONS OF LOBES
Symptoms of brain tumor
• Irritative symptom
• Compressive symptom
• Obstructive symptom
• Functional symptom
Eloquent areas
A. Eloquent cortex is a name used by neurologists for
areas of cortex that—if removed—will result in loss
of sensory processing or linguistic ability, or paralysis.
B. The most common areas of eloquent cortex are in the
A. Left temporal and
B. Frontal lobes for speech and language,
C. Bilateral occipital lobes for vision,
D. Bilateral parietal lobes for sensation, and
E. Bilateral motor cortex for movement
CNS RADIOLOGY FOR RADIATION ONCOLOGISTS
CNS RADIOLOGY FOR RADIATION ONCOLOGISTS
CNS RADIOLOGY FOR RADIATION ONCOLOGISTS

CNS RADIOLOGY FOR RADIATION ONCOLOGISTS