DIFFERENTIAL DIAGNOSIS
FOR BILATERAL ABNORMALITIES
OF THE BASAL GANGLIA
AND THALAMUS
Dr Roshan Valentine
PG Resident
St Johns Medical College
INTRODUCTION
• Abnormalities of basal ganglia seen in various conditions.
• MR – IOC
• CT - emergency situations – altered sensorium / acute seizures.
• In this article , we review the MRI anatomy of basal ganglia and
pathology conditions of these brain structures
ANATOMY
• Deep gray matter include paired BG
and thalamus
• Here we restrict to abnormalities of
lentiform nucleus and caudate
nucleus
• Lentiform N : GP(D) + Putamen(I)
• Caudate N (I)
• Basal ganglia involved in production
of movement and in memory ,
cognition and emotion.
ANATOMY
• LFN is rich in mitochondria , vascular supply , neurotransmitters –
high metabolic activity and oxygen uptake - vulnerable to metabolic
abnormalities
• Thalamus is paired structure on either side of third ventricles.
• Responsible for relaying sensory and motor signals to and from the
cerebral cortex
• Disorders of thalamus affects consciousness and abnormalities of
sensation
ANATOMY
BLOOD SUPPLY
• BG : Medial and lateral
lenticulostriate arteries
• Thalamus : PCA and PCOM
• Venous drainage : deep venous
system ; internal cerebral veins -
basal vein of Rosenthal - great
vein of galen
TOXIC POISONING
• CAUSE : MC - CO , methanol and CN
• Impairs mitochondrial enzyme in electron transport chain .
• CLINICAL FEATURES : Acute cognitive impairment /coma , optic
neuritis (methanol)
DIAGNOSIS
• Toxicology and Lab tests , imaging ( assess brain damage)
TOXIC POISONING
IMAGING FINDINGS
• CO – GP(MC) : T1 & T2 hyperintense + DWI RD , Delayed
leukoencephalopathy
• CN , Meth : Hemorrhagic necrosis of putamen
• Meth : White matter edema
LIVER DISEASE
• CAUSATIVE AGENT : Due to nitrogenous waste crossing BBB
• CLINICAL FEATURES : cirrhosis with portal htn /iatrogenic (TIPSS)
• IMAGING FINDINGS :
- GP and SN : hyper on T1( due to Mn deposn)
- Reversible post transplantation.
- Acute hyperammonemia : bilaterally symmetric swelling, T2
prolongation restricted diffusion in the basal ganglia, insular cortex,
and cingulate gyrus
- MRS : Detection of glutamate-glutamine
NON KETOTIC HYPERGLYCEMIA
• CLINICAL FEATURES : poorly controlled diabetes with chorea ,
hemiballismus +/- altered mental status.
• Treatable condition which shows resolution of findings when
performed 2-12 months later
IMAGING FINDINGS
⁻ CT: B/L or rarely U/L hyperattenuation of GP or CN
⁻ MR : hyperintensity on T1 and variable intensity in T2
HYPOGLYCEMIA
• CLINICAL FEATURES : Diabetic pts, Seizures , focal neurological
deficits and coma.
• Extent of brain damage depends on severity and duration of
hypoglycemia.
IMAGING FINDINGS:
• T2 hyperintensity in cerebral cortex , hippocampi and BG
• Mild reversible hypoglycemia – transient and isolated WMI with
true diff restriction involving splenium , internal capsule and corona
radiata.
• BG INVOLVEMENT : POOR PX
HYPOXIC ISCHEMIC ENCEPHALOPATHY
• CAUSE : Result of cardiac arrest /drowning/asphyxiation
IMAGING FINDINGS:
• Mild HIE : water shed zones
• Severe HIE : grey matter structures like cerebral cortex , BG and
hippocampi.
• Brainstem and WM are typically spared.
• CT : Diffuse edema , decreased attenuation of the cortical gray matter
with loss of normal gray matter–white matter differentiation, BG and
Thalamus
• WHITE CEREBELLUM SIGN : diffuse cerebral damage results in lower attn.
of cerebral parenchyma , compared to cerebellum and BG which are
spared – POOR PX
HYPOXIC ISCHEMIC ENCEPHALOPATHY
• Earliest finding(after 2 hrs) : Increased SI of the affected areas on
DW
• T2W : hyperintensity and swelling of affected areas ( after 24 hrs)
• Delayed : T2 hyperintensity in subcortical WM
LEIGH DISEASE
• Subacute necrotizing encephalopathy
• CAUSE : Disorder in ATP synthesis at ETC
• CLINICAL FEATURES : Central hypotonia , developmental
regression/arrest , ophthalmoplegia , resp and bulbar dysfunction
and ataxia.
IMAGING FINDINGS:
• T2 hyperintensity in BG , periaquedeuctal region , cerebral
peduncles and putamen.
• MRS : High lactate levels in BG
DIAGNOSIS : Imaging + Elevated serum and CSF lactate levels.
WILSON DISEASE
• CAUSE : Accumulation of Cu due to ceruloplasmin deficiency.
• CLINICAL FEATURES : dysarthria, dystonia, tremors, ataxia,
Parkinsonian symptoms, and psychiatric problems.
IMAGING FINDINGS:
• MR : T2 hyperintensity in Putamen(MC)
• GP , caudate nucleus , thalamus
• Less common : cortical and subcortical region , mesencephalon , pons , vermis
and dentate nuclei
• DWI restriction in early stages
OSMOTIC MYELINOLYSIS
• CAUSE : electrolyte imbalance, chronically alcoholic pts, chronically
debilitated organ transplant pts , rapid overcorrection of
hyponatremia.
• Oligodendroglial cells are more susceptible to osmotic stresses.
OSMOTIC MYELINOLYSIS
IMAGING FINDINGS:
• MRI : T1 and T2 hyperintensity in affected areas
• Central pontine myelinolysis : Symmetric trident shaped / bat wing
shaped T2 /FLAIR hyperintensity in central pons
• Ventrolateral pons and pontine portion of CST are spared
• Extrapontine myelinolysis : T2 hyperintensity in GP , putamen ,
thalamus and cerebellum.
• DWI R in early stages – not typical though
DIAGNOSIS : Imaging + serial Na measurement
WERNICKE ENCEPHALOPATHY
• CAUSE: Vit B1 def , Chronic alcoholics , GI or hemat neoplasm ,
chronic dialysis , prolonged TPN without vit supplementation.
• CLINICAL FEATURES : altered consciousness, ocular dysfunction, and
ataxia
IMAGING FINDINGS:
• MRI : Symmetric T2 hyperintensity in medial thalamus ,
periaqueductal area , mammillary body and tectal plate.
• Petechial hemorrhage , diffusion restriction and contrast
enhancement of affected areas
NEURODEGENERATION WITH BRAIN IRON
ACCUMULATION (NBIA)
• Heterogenous group of disorder with brain degeneration and
excessive iron deposition in basal ganglia(PAN K 2 gene mutation.)
• 2 types
• Classic early onset , rapidly progressive(halloverden spatz)
• Atypical late onset and slowly progressive
• CLINICAL FEATURES : pyramidal or extrapyramidal signs, dystonia,
and dysarthria
IMAGING FINDINGS:
• MR : B/L T2 hypointensity in GP with high signal intensity center -
EYE OF THE TIGER appearance
Creutzfeldt –jakob Disease
• Transmissible fatal neurodegenerative disorder caused by prions
• CLINICAL FEATURES : rapidly progressive dementia, myoclonus, and
multifocal neurologic dysfunction.
• DIAGNOSIS: Brain Biopsy /autopsy, periodic charp wave complexes
at EEG
IMAGING FINDINGS:
• MRI : DWI R of cerebral cortex and basal ganglia
• Variant CJD : Bovine spongiform encephalopathy
• B/L lesions in pulvinar nuclei of thalamus(pulvinar sign/hockey stick sign)
FAHR DISEASE
• Bilateral striopallidodentate calcinosis
• B/L symmetric deposition of Ca and other minerals in BG ,Thalamus
, Dentate nuclei and centrum semiovale in absence of
HYPOPARATHYROIDISM.
• CLINICAL FEATURES : Headache , vertigo , movt disorders , syncope ,
seizures , coma, dementia , parkinsonism , chorea, dystonia etc.
IMAGING FINDINGS:
• MRI/CT : B/l symmetric dense calcifications in BG , dentate nuclei ,
thalamus , subcortical white matter .
DEEP CVT
• CAUSE : hypercoagulable states , OCPS , vasculitis ,
intracranial / systemic infections
IMAGING FINDINGS:
• Superficial CVT: cerebral edema and venous infraction of cerebral
cortex near vertex.
• Deep CVT: Venous HTN , b/L involvement of thalamus and basal
ganglia.
• MRI/CT: Venous HTN and cerebral edema results in T2
hyperintensity in thalamus , BG , internal capsule and DWM
• Hemorhhagic transformation common
• MR venogram : evaluation of thrombus
ARTERIAL OCCLUSION
• CLINICAL FEATURES : Agitation , obtundation , coma , memory
dysfunction and various ocular changes
IMAGING FINDINGS:
• Acute infarcts : T2 hyperintensity and DWI R with occlusion seen on
MRA based on the artery occluded.
• Artery of Percheron infarct : B/l symmetric paramedian parts of
thalamus and midbrain on both sides.
Figure 19. Basilar artery occlusion in a 61-year-old
man with ocular signs and severe obtundation. (a)
Diffusionweighted MR image shows bilateral
hyperintense areas in the paramedian thalamus
(arrows). (b) Timeof- flight MR angiogram clearly
depicts occlusion of the rostral portion of the
basilar artery (arrow). (c, d) Noncontrast CT scans
obtained 3 days later show bilateral subacute
infarcts of the thalamus (arrows in c) and an
infarct in the right cerebellar hemisphere
(arrow in d).
NEURO – BEHCET DISEASE
• Behcet syndrome : uveitis , oral ulcers and genital ulcers.
• CNS involvementin 4-49%
• CLINICAL FEATURES : Headache , dysarthria , cerebellar signs ,
sensory signs and personality change.
IMAGING FINDINGS:
• T2 hyperintense and T1 hypointense and CE with vasogenic edema
at brainstem, basal ganglia (bilateral involvement in one-third of
cases), and thalamus , WM(LC)
FLAVI VIRUS ENCEPHALITIS
• Eg : Japanese encephalitis, West nile fever , Murray valley fever
IMAGING FINDINGS:
• Symmetric involvement of deep grey matter
JE : T2 hyperintensity in B/L posteromedial thalamus
• Intralesional hemorrhages + DWI R
• Less common sites : basal ganglia, substantia nigra, red nucleus, pons, hippocampi,
cerebral cortex, and cerebellum.
• JE and Murray valley fever involve THALAMUS
• West nile fever : B/L involvement of thalamus , caudate and lentiform
nucleus
CEREBRAL TOXOPLASMOSIS
• CAUSE : Toxoplasma gondii typically in imuncompromised pts
MAGING FINDINGS:
• Multiple focal lesions in the basal ganglia and lobar gray matter–
white matter junctions
• T2 W : hypo to isointense lesions with prominent mass effect and
vasogenic edema +/- hemorrhagic lesions
• Post Contrast : nodular/ ring enhancement
• MRS : increased lipid levels without elevated choline levels
PRIMARY CNS LYMPHOMA
• CAUSE : immunocompetent and immunocompromised
IMAGING FINDINGS:
• T2 hypointensity and high attenuation in CT involves deep
hemispheric periventricular white matter, corpus callosum, and
basal ganglia
• MRS : Elevated choline levels
• Immunocompetent : Solid, homogeneously enhancing lesions
• Immunocompromised : Ring enhancement and central necrosis
PRIMARY BILATERAL THALAMIC GLIOMA
• Thalamus is affected in 1-1.5% of brain tumors / contiguous spread
from pineal germ cell tumors.
• CLINICAL FEATURES : behavioral impairment ranging from
personality changes to dementia.
• IMAGING : T2 hyperintense and T1 isointense B/L symmetric mass
with no CE
• Low grade tumors characterized by absence of tumor progression
on serial MR images,
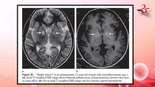
NEUROFIBROMATOSIS TYPE I
• MC neurocutaneous syndrome
• CLINICAL FEATURES : café-au-lait spots, axillary freckling, Lisch
nodules, neurofibromas, plexiform neurofibromas, optic glioma,
bone dysplasias, or pseudoarthrosis.
IMAGING FINDINGS: Focal T2 hyperintense and TI hypointense in
GP > brainstem and cerebellum
• NO mass effect
• No surrounding edema
• No CE
• MRS : high NAA-Ch , Naa-Cr and Cr- Cho ratios
IMAGING
LAB IXCL.HISTORY
DX
LAB EVALUATION
Immunoassay Toxoplasmosis and Flavivirus
Eeg + CSF analysis CJD
Vit B1 assay Wernickes
Serum glucose Hypoglycemia/Hyperglycemia
Serum Ceruloplasmin Wilsons disease
Serum and CSF Lactate Leigh Disease
Serum Ca , P and PTH Fahrs DIsease
IMAGING
LAB IXCL.HISTORY
DX
• CLINICAL HISTORY
• Suicide attempt
• cardiac arrest
• diabetic hypoglycemia
• hyperglycemia
• Hiv – AIDS
• Vit deficiency
• Electrolyte imbalance
IMAGING
LAB IXCL.HISTORY
DX
IMAGING FINDINGS
B/L symmetric LN andCN Systemic /metabolic
Asymmetric focal/Discrete Infection/neoplasm
Thalamus+ BG Hypoxia , osmotic myelinolysis ,
wilsons disease , Leighs disease ,
Fahrs disease , CJD , deep CVT,
Infection , Primary CNS lymphoma
BG w/o Th Systemic disease ( toxic poisoning ,
hypoglycemia , hyperglycemia , liver
disease , huntingtons disease , NF)
B/L Th w/o BG Focal ( arterial occlusion ,Flavivirus ,
infection )
ASSOCIATED ABNORMALITIES
Diffuse or focal cortical involvement Hypoxia , hypoglycemia and CJD
Diffuse and bilateral white matter
abnormality
poisoning , hypoglycemia
Brainstem Leigh disease , Myelinolysis , Neuro
behcets disease , Basilar artery
occlusion
Perilesional edema + infiltration
outside BG + Th
CNS infection + tumors
ASSOCIATED ABNORMALITIES
T2W HYPERINTENSITY Acute diseases of deep grey
matter nuclei
T1W HYPERINTENSITY Hepatic dis , Mn deposition ,
Hyperglycemia , NF 1
CT Ca – Fahrs disease,
Hypoparathyroidism
H’age – Poisoning, CNs
toxoplasmosis, Venous infarction ,
JE
DWI Acute cytotoxic brain damage in
acute infarction, hypoxia,
hypoglycemia, CJD,
and Wernicke encephalopathy
MRS lactate in hypoxia or
mitochondrial disease
Bilateral basal ganglia abnormalities - MRI

Bilateral basal ganglia abnormalities - MRI

  • 1.
    DIFFERENTIAL DIAGNOSIS FOR BILATERALABNORMALITIES OF THE BASAL GANGLIA AND THALAMUS Dr Roshan Valentine PG Resident St Johns Medical College
  • 2.
    INTRODUCTION • Abnormalities ofbasal ganglia seen in various conditions. • MR – IOC • CT - emergency situations – altered sensorium / acute seizures. • In this article , we review the MRI anatomy of basal ganglia and pathology conditions of these brain structures
  • 3.
    ANATOMY • Deep graymatter include paired BG and thalamus • Here we restrict to abnormalities of lentiform nucleus and caudate nucleus • Lentiform N : GP(D) + Putamen(I) • Caudate N (I) • Basal ganglia involved in production of movement and in memory , cognition and emotion.
  • 4.
    ANATOMY • LFN isrich in mitochondria , vascular supply , neurotransmitters – high metabolic activity and oxygen uptake - vulnerable to metabolic abnormalities • Thalamus is paired structure on either side of third ventricles. • Responsible for relaying sensory and motor signals to and from the cerebral cortex • Disorders of thalamus affects consciousness and abnormalities of sensation
  • 5.
    ANATOMY BLOOD SUPPLY • BG: Medial and lateral lenticulostriate arteries • Thalamus : PCA and PCOM • Venous drainage : deep venous system ; internal cerebral veins - basal vein of Rosenthal - great vein of galen
  • 8.
    TOXIC POISONING • CAUSE: MC - CO , methanol and CN • Impairs mitochondrial enzyme in electron transport chain . • CLINICAL FEATURES : Acute cognitive impairment /coma , optic neuritis (methanol) DIAGNOSIS • Toxicology and Lab tests , imaging ( assess brain damage)
  • 9.
    TOXIC POISONING IMAGING FINDINGS •CO – GP(MC) : T1 & T2 hyperintense + DWI RD , Delayed leukoencephalopathy • CN , Meth : Hemorrhagic necrosis of putamen • Meth : White matter edema
  • 12.
    LIVER DISEASE • CAUSATIVEAGENT : Due to nitrogenous waste crossing BBB • CLINICAL FEATURES : cirrhosis with portal htn /iatrogenic (TIPSS) • IMAGING FINDINGS : - GP and SN : hyper on T1( due to Mn deposn) - Reversible post transplantation. - Acute hyperammonemia : bilaterally symmetric swelling, T2 prolongation restricted diffusion in the basal ganglia, insular cortex, and cingulate gyrus - MRS : Detection of glutamate-glutamine
  • 15.
    NON KETOTIC HYPERGLYCEMIA •CLINICAL FEATURES : poorly controlled diabetes with chorea , hemiballismus +/- altered mental status. • Treatable condition which shows resolution of findings when performed 2-12 months later IMAGING FINDINGS ⁻ CT: B/L or rarely U/L hyperattenuation of GP or CN ⁻ MR : hyperintensity on T1 and variable intensity in T2
  • 17.
    HYPOGLYCEMIA • CLINICAL FEATURES: Diabetic pts, Seizures , focal neurological deficits and coma. • Extent of brain damage depends on severity and duration of hypoglycemia. IMAGING FINDINGS: • T2 hyperintensity in cerebral cortex , hippocampi and BG • Mild reversible hypoglycemia – transient and isolated WMI with true diff restriction involving splenium , internal capsule and corona radiata. • BG INVOLVEMENT : POOR PX
  • 19.
    HYPOXIC ISCHEMIC ENCEPHALOPATHY •CAUSE : Result of cardiac arrest /drowning/asphyxiation IMAGING FINDINGS: • Mild HIE : water shed zones • Severe HIE : grey matter structures like cerebral cortex , BG and hippocampi. • Brainstem and WM are typically spared. • CT : Diffuse edema , decreased attenuation of the cortical gray matter with loss of normal gray matter–white matter differentiation, BG and Thalamus • WHITE CEREBELLUM SIGN : diffuse cerebral damage results in lower attn. of cerebral parenchyma , compared to cerebellum and BG which are spared – POOR PX
  • 20.
    HYPOXIC ISCHEMIC ENCEPHALOPATHY •Earliest finding(after 2 hrs) : Increased SI of the affected areas on DW • T2W : hyperintensity and swelling of affected areas ( after 24 hrs) • Delayed : T2 hyperintensity in subcortical WM
  • 23.
    LEIGH DISEASE • Subacutenecrotizing encephalopathy • CAUSE : Disorder in ATP synthesis at ETC • CLINICAL FEATURES : Central hypotonia , developmental regression/arrest , ophthalmoplegia , resp and bulbar dysfunction and ataxia. IMAGING FINDINGS: • T2 hyperintensity in BG , periaquedeuctal region , cerebral peduncles and putamen. • MRS : High lactate levels in BG DIAGNOSIS : Imaging + Elevated serum and CSF lactate levels.
  • 25.
    WILSON DISEASE • CAUSE: Accumulation of Cu due to ceruloplasmin deficiency. • CLINICAL FEATURES : dysarthria, dystonia, tremors, ataxia, Parkinsonian symptoms, and psychiatric problems. IMAGING FINDINGS: • MR : T2 hyperintensity in Putamen(MC) • GP , caudate nucleus , thalamus • Less common : cortical and subcortical region , mesencephalon , pons , vermis and dentate nuclei • DWI restriction in early stages
  • 27.
    OSMOTIC MYELINOLYSIS • CAUSE: electrolyte imbalance, chronically alcoholic pts, chronically debilitated organ transplant pts , rapid overcorrection of hyponatremia. • Oligodendroglial cells are more susceptible to osmotic stresses.
  • 28.
    OSMOTIC MYELINOLYSIS IMAGING FINDINGS: •MRI : T1 and T2 hyperintensity in affected areas • Central pontine myelinolysis : Symmetric trident shaped / bat wing shaped T2 /FLAIR hyperintensity in central pons • Ventrolateral pons and pontine portion of CST are spared • Extrapontine myelinolysis : T2 hyperintensity in GP , putamen , thalamus and cerebellum. • DWI R in early stages – not typical though DIAGNOSIS : Imaging + serial Na measurement
  • 30.
    WERNICKE ENCEPHALOPATHY • CAUSE:Vit B1 def , Chronic alcoholics , GI or hemat neoplasm , chronic dialysis , prolonged TPN without vit supplementation. • CLINICAL FEATURES : altered consciousness, ocular dysfunction, and ataxia IMAGING FINDINGS: • MRI : Symmetric T2 hyperintensity in medial thalamus , periaqueductal area , mammillary body and tectal plate. • Petechial hemorrhage , diffusion restriction and contrast enhancement of affected areas
  • 32.
    NEURODEGENERATION WITH BRAINIRON ACCUMULATION (NBIA) • Heterogenous group of disorder with brain degeneration and excessive iron deposition in basal ganglia(PAN K 2 gene mutation.) • 2 types • Classic early onset , rapidly progressive(halloverden spatz) • Atypical late onset and slowly progressive • CLINICAL FEATURES : pyramidal or extrapyramidal signs, dystonia, and dysarthria IMAGING FINDINGS: • MR : B/L T2 hypointensity in GP with high signal intensity center - EYE OF THE TIGER appearance
  • 34.
    Creutzfeldt –jakob Disease •Transmissible fatal neurodegenerative disorder caused by prions • CLINICAL FEATURES : rapidly progressive dementia, myoclonus, and multifocal neurologic dysfunction. • DIAGNOSIS: Brain Biopsy /autopsy, periodic charp wave complexes at EEG IMAGING FINDINGS: • MRI : DWI R of cerebral cortex and basal ganglia • Variant CJD : Bovine spongiform encephalopathy • B/L lesions in pulvinar nuclei of thalamus(pulvinar sign/hockey stick sign)
  • 36.
    FAHR DISEASE • Bilateralstriopallidodentate calcinosis • B/L symmetric deposition of Ca and other minerals in BG ,Thalamus , Dentate nuclei and centrum semiovale in absence of HYPOPARATHYROIDISM. • CLINICAL FEATURES : Headache , vertigo , movt disorders , syncope , seizures , coma, dementia , parkinsonism , chorea, dystonia etc. IMAGING FINDINGS: • MRI/CT : B/l symmetric dense calcifications in BG , dentate nuclei , thalamus , subcortical white matter .
  • 38.
    DEEP CVT • CAUSE: hypercoagulable states , OCPS , vasculitis , intracranial / systemic infections IMAGING FINDINGS: • Superficial CVT: cerebral edema and venous infraction of cerebral cortex near vertex. • Deep CVT: Venous HTN , b/L involvement of thalamus and basal ganglia. • MRI/CT: Venous HTN and cerebral edema results in T2 hyperintensity in thalamus , BG , internal capsule and DWM • Hemorhhagic transformation common • MR venogram : evaluation of thrombus
  • 40.
    ARTERIAL OCCLUSION • CLINICALFEATURES : Agitation , obtundation , coma , memory dysfunction and various ocular changes IMAGING FINDINGS: • Acute infarcts : T2 hyperintensity and DWI R with occlusion seen on MRA based on the artery occluded. • Artery of Percheron infarct : B/l symmetric paramedian parts of thalamus and midbrain on both sides.
  • 41.
    Figure 19. Basilarartery occlusion in a 61-year-old man with ocular signs and severe obtundation. (a) Diffusionweighted MR image shows bilateral hyperintense areas in the paramedian thalamus (arrows). (b) Timeof- flight MR angiogram clearly depicts occlusion of the rostral portion of the basilar artery (arrow). (c, d) Noncontrast CT scans obtained 3 days later show bilateral subacute infarcts of the thalamus (arrows in c) and an infarct in the right cerebellar hemisphere (arrow in d).
  • 43.
    NEURO – BEHCETDISEASE • Behcet syndrome : uveitis , oral ulcers and genital ulcers. • CNS involvementin 4-49% • CLINICAL FEATURES : Headache , dysarthria , cerebellar signs , sensory signs and personality change. IMAGING FINDINGS: • T2 hyperintense and T1 hypointense and CE with vasogenic edema at brainstem, basal ganglia (bilateral involvement in one-third of cases), and thalamus , WM(LC)
  • 45.
    FLAVI VIRUS ENCEPHALITIS •Eg : Japanese encephalitis, West nile fever , Murray valley fever IMAGING FINDINGS: • Symmetric involvement of deep grey matter JE : T2 hyperintensity in B/L posteromedial thalamus • Intralesional hemorrhages + DWI R • Less common sites : basal ganglia, substantia nigra, red nucleus, pons, hippocampi, cerebral cortex, and cerebellum. • JE and Murray valley fever involve THALAMUS • West nile fever : B/L involvement of thalamus , caudate and lentiform nucleus
  • 47.
    CEREBRAL TOXOPLASMOSIS • CAUSE: Toxoplasma gondii typically in imuncompromised pts MAGING FINDINGS: • Multiple focal lesions in the basal ganglia and lobar gray matter– white matter junctions • T2 W : hypo to isointense lesions with prominent mass effect and vasogenic edema +/- hemorrhagic lesions • Post Contrast : nodular/ ring enhancement • MRS : increased lipid levels without elevated choline levels
  • 49.
    PRIMARY CNS LYMPHOMA •CAUSE : immunocompetent and immunocompromised IMAGING FINDINGS: • T2 hypointensity and high attenuation in CT involves deep hemispheric periventricular white matter, corpus callosum, and basal ganglia • MRS : Elevated choline levels • Immunocompetent : Solid, homogeneously enhancing lesions • Immunocompromised : Ring enhancement and central necrosis
  • 51.
    PRIMARY BILATERAL THALAMICGLIOMA • Thalamus is affected in 1-1.5% of brain tumors / contiguous spread from pineal germ cell tumors. • CLINICAL FEATURES : behavioral impairment ranging from personality changes to dementia. • IMAGING : T2 hyperintense and T1 isointense B/L symmetric mass with no CE • Low grade tumors characterized by absence of tumor progression on serial MR images,
  • 53.
    NEUROFIBROMATOSIS TYPE I •MC neurocutaneous syndrome • CLINICAL FEATURES : café-au-lait spots, axillary freckling, Lisch nodules, neurofibromas, plexiform neurofibromas, optic glioma, bone dysplasias, or pseudoarthrosis. IMAGING FINDINGS: Focal T2 hyperintense and TI hypointense in GP > brainstem and cerebellum • NO mass effect • No surrounding edema • No CE • MRS : high NAA-Ch , Naa-Cr and Cr- Cho ratios
  • 55.
  • 56.
    LAB EVALUATION Immunoassay Toxoplasmosisand Flavivirus Eeg + CSF analysis CJD Vit B1 assay Wernickes Serum glucose Hypoglycemia/Hyperglycemia Serum Ceruloplasmin Wilsons disease Serum and CSF Lactate Leigh Disease Serum Ca , P and PTH Fahrs DIsease
  • 57.
  • 58.
    • CLINICAL HISTORY •Suicide attempt • cardiac arrest • diabetic hypoglycemia • hyperglycemia • Hiv – AIDS • Vit deficiency • Electrolyte imbalance
  • 59.
  • 60.
    IMAGING FINDINGS B/L symmetricLN andCN Systemic /metabolic Asymmetric focal/Discrete Infection/neoplasm Thalamus+ BG Hypoxia , osmotic myelinolysis , wilsons disease , Leighs disease , Fahrs disease , CJD , deep CVT, Infection , Primary CNS lymphoma BG w/o Th Systemic disease ( toxic poisoning , hypoglycemia , hyperglycemia , liver disease , huntingtons disease , NF) B/L Th w/o BG Focal ( arterial occlusion ,Flavivirus , infection )
  • 61.
    ASSOCIATED ABNORMALITIES Diffuse orfocal cortical involvement Hypoxia , hypoglycemia and CJD Diffuse and bilateral white matter abnormality poisoning , hypoglycemia Brainstem Leigh disease , Myelinolysis , Neuro behcets disease , Basilar artery occlusion Perilesional edema + infiltration outside BG + Th CNS infection + tumors
  • 62.
    ASSOCIATED ABNORMALITIES T2W HYPERINTENSITYAcute diseases of deep grey matter nuclei T1W HYPERINTENSITY Hepatic dis , Mn deposition , Hyperglycemia , NF 1 CT Ca – Fahrs disease, Hypoparathyroidism H’age – Poisoning, CNs toxoplasmosis, Venous infarction , JE DWI Acute cytotoxic brain damage in acute infarction, hypoxia, hypoglycemia, CJD, and Wernicke encephalopathy MRS lactate in hypoxia or mitochondrial disease

Editor's Notes

  • #6 Medial : A1 of aca , Lateral from MCA
  • #31 Mamillary body in chronic alcoholics
  • #39 (the superior and inferior sagittal sinuses, transverse sinuses, and cortical veins) Deep CVT : the internal cerebral vein, vein of Galen, and straight sinus)
  • #41 Arry of percheron – variant , one branch from PCA supllies both thalamsus and midbrain.