CT BRAIN for Medical and
Neurology residents
Qamar zaman
FCPS,SCE(NEUROLOGY)
Terminology used in CT.
• Section of the study (most commonly axial is
used).
• Right and left side of the image.
• Density of a structure is taken relative to the
density of water and described as isodense,
hyperdense and hypodense.
• Location and anatomical structures involved.
• Should be able to formulate radiological
differentials.
Which one is CT brain
How to differentiate CT from MRI
• Bone is dense(white) on CT brain while hypo
intense(dark) on MRI(outer bright signals on
MRI are due to subcutaneous fats).
• Grey-white matter differentiation is clear on
MRI compared to the CT.
• Presence of periventricular lucent areas in
MRI.
• MRI usually have multiple films compared to
commonly single in CT
CT machine
Mechanism
• X-ray emitter and detector rotate in circular
fashion.
• When radiation pass through exposed structure
they behave differently depending on the density
and physical properties.
• A visual representation of the raw data obtained
is called a sinogram which is raw form.
• The data must be processed using a form
of tomographic reconstruction which produces a
series of cross-sectional images.
Image acquisition
• Unit used to measure the density are called as
Hounsfield.
• It can range on a scale from +3071 (most
attenuating) to −1024 (least attenuating) on
the Hounsfield scale.
Tissue densities on CT
• Contrast used for X-ray CT, as well as for plain
film X-ray, are called radiocontrasts.
Radiocontrasts for X-ray CT are, in general,
iodine-based. Often, images are taken both
with and without radiocontrast
Precautions
• If you are pregnant or suspect that you may
be pregnant, you should notify your doctor.
Radiation exposure during pregnancy may
lead to birth defects
• Nursing mothers may want to wait 24 hours
after contrast material is injected before
resuming breastfeeding.
• there is a risk for allergic reaction to the dye
• Patients with kidney failure or other kidney
problems should notify their doctor.
• patients taking the diabetes medication
metformin (Glucophage) should alert their
doctors before having IV contrast as it may
cause a rare condition called metabolic
acidosis.
When to prefer CT over MRI
• Trauma or acute emergency settings where
time is important.
• When ruling out bony injuries and bleeds that
are easily picked.
• Contraindications to MRI eg metallic objects.
• Claustrophobic patients.
• Cost and availibilty factors.
Various sections
Axial section
saggital
coronal
Modalities of CT used in brain
• Plain non contrast CT (with parenchymal and
bone windows).
• CT with contrast.
• CT perfusion.
• CT Angiogram.
• CT Venogram.
• CT with special cuts like orbit, Pituatrity fossa.
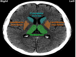
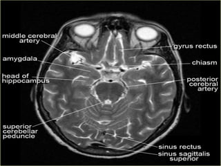
Anatomical Land marks.
• Cortex and division into various lobes.
• Subcortical structures including basal
ganglia,thalamus .
• Pituatry area and cavernous sinus region.
• Brainstem.
• CSF system.
• Arterial and venous system.
Central Sulcus
Brain lobes
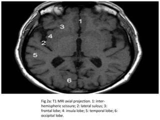
Fig 2a: T1 MRI axial projection. 1: inter-
hemispheric scissure; 2: lateral sulcus; 3:
frontal lobe; 4: insula lobe; 5: temporal lobe; 6:
occipital lobe.
Antero-medial temporal lobes
Pituitary area
Dural sinuses
Sigmiod sinus
Transverse sinus
Straight sinus
Deep cerebral veins
Superior saggital sinus
orientation
• Two-dimensional CT images are
conventionally rendered so that the view is as
though looking up at it from the patient's feet.
• Hence, the left side of the image is to the
patient's right and vice versa, while anterior in
the image also is the patient's anterior and
vice versa.
Approach to CT
• Check name ,identification and date of study,
orientation.
• Start from upper most or lower most cuts.
• Look from outside to inside or inside to
outside.
• Look for bones, sinuses,orbits.
• Extradural, subdural and meningeal details
and enhancement if contrast film.
Approach to the CT
• Look parenchyma for hypodensities
,hyperdensities, their location, shape,
homogenous/heterogenous,any mass effect
or odema.
• Grey-white matter differentiation, any
enhacement if contrast film.
• Ventricles symmetry and cisterns any
effacement.
Density of various structures
Hyperdensities
• Blood.
• Clot
• Calcium.
• Prosthesis.
• Contrast uptake.
• Choriod plexsus calcification and bone are the
do main hyperdensities that are present in
normal CT.
Hypodense
• Most commonly odema secondary to:
• Infection
• Inflamation.
• Stroke.
• Mass lesion.
• Fat containing structures.
• Air
• Paranasal sinuses and mastiod are structures that
are hypodense in normal cases.
Approach to the CT
• Explain the findings in systematic manner.
• Mention the Shape, size, density, location and
extent and any mass effects related to the
findings.
• Compare to the other side if applicable.
• Any contrast uptake.
• Formulate major or likely differentials related to
observed findings.
• What further imaging or test may be helpful to
clear likely diagnosis.
Causes of air
• Air filled spaces.
• Base of the skull fracture.
• Craniotomy or after other surgeries
Disorders of Sinuses
• Acute bacterial sinusistis.
• Chronic purulent sinusitis.
• Fungal infection.
• Mucocoele.
• Tumors.
Maxillary sinus
Maxillary sinus disease
Spheniod Mucocoele
Maxillary,ethmiod and spheniod
disease
Frontal sinus disease
Sinus tumor with widespread
intracranial extension
Sinus disease with orbital extension
Left Mastiod disease
Rt mastiod disease
Right Mastioditis
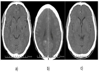
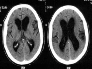
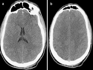
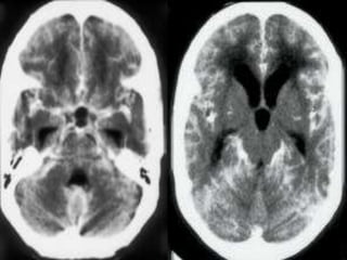
Grey and white matter differentiation
• Normally Grey matter is outer denser
structure and white matter in inner
hypodenser.
• Grey matter contains neurons cell bodies
while white matter contain axons with rich
fatty myelin sheath making it hypodense.
• This differentiation is loss in case of cerebral
odema.
Normal Grey white matter
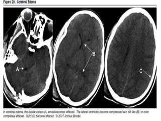
Causes of cerebral odema
• Infection.
• Mass lesion.
• Stroke.
• Metabolic causes.
• In true isolated cytotoxic oedema little change
is evident on CT as a mere redistribution of
water from extracellular to intracellular
compartments does not result in attenuation
changes. The changes colloquially ascribed to
'cytotoxic oedema' are in fact mostly due
to ionic oedema, and are described separately.
This is why brain CT is often normal in patients
with an acute ischaemic stroke.
Cytotoxic
• grey-white matter differentiation is
maintained and the oedema involves mainly
white matter, extending in finger-like fashion
• secondary effects of vasogenic oedema are
similar to cytotoxic oedema, with effacement
of cerebral sulci, with or without midline shift
Vasogenic
Interstitial odema
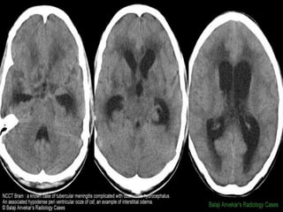
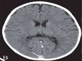
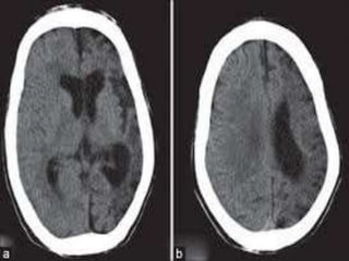
Disoders of CSF spaces
• Hydrocephalus communicating and non
communicating including IIH,NPH.
• Loss of csf spaces usually secondary to
degenerative and other secondary processes.
CNS herniations
• There are a number of different patterns of
cerebral herniation which describe the type of
herniation occurring:
• subfalcine herniation
• transalar herniation: ascending and descending
• transtentorial herniation
– downward: uncal herniation
– upward: ascending transtentorial herniation*
• tonsillar herniation*
• extracranial herniation
Subfalcine herniation
Uncal herniation
Foraminal herniation
Extracranial herniation
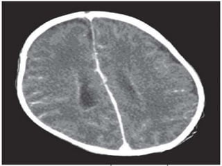
Midline shift
Trauma
• Soft tissue injuries.
• Skull fractures.
• Extradural,subdural and subarachniod
hemorrhage.
• Contusions and diffuse axonal injury with
associated cerebral odema.
Skull fracture with extradural
hematoma
Skull fracture
Basilar fracture
Skull base fracture with
pneumocephalus
Hemorrhagic contusions
Diffuse axonal injury
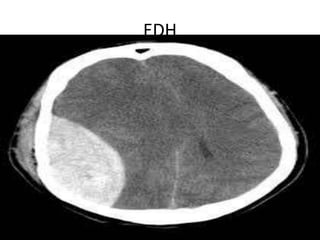
EDH
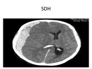
SDH
Chronic SDH
Traumatic SAH
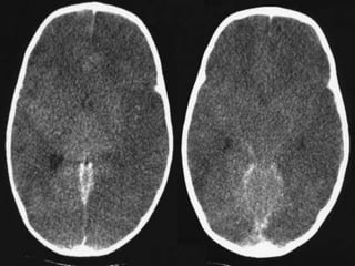
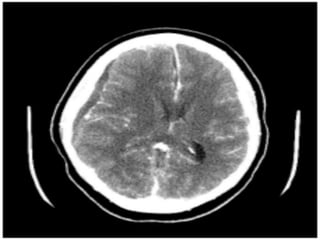
Vascular Insults
• Subarachniod Hemorrhage.
• Lobar and basal ganglia bleeds.
• Ischemic strokes.
• Venous infarcts.
• Disections
Aneurysmal SAH
SAH
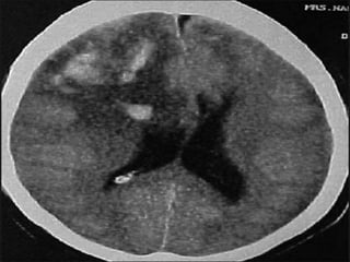
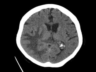
Putamen bleed
Pontine bleed
Intraventricular bleed
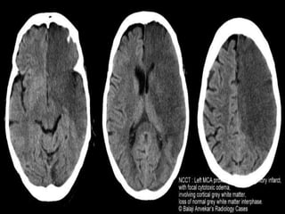
RT MCA infarct
RT MCA infarct
Dense MCA sign
Left Subcortical infarct
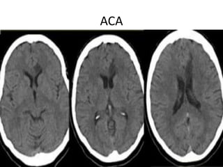
ACA
ACA
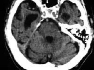
Cerebellar infarct with hemorrhagic
conversion
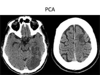
PCA
PCA
Venous infarct
Venous infarct
Infections
• Meningial enhancement and thickness,
extradural and subdural collection, with
associated communicating hydroceph.
• Focal parenchymal injury and abscess, mass
lesions with mass affects.
• Ventriculitis and diffuse cerebral odema.
• Tumors and masses.
• Congenital abnormalities.
• Toxic metabolic insults.
• Disections and aneurysms.
• Hypoxic injury.
• States where CT is useless.

Ct brain presentation

  • 1.
    CT BRAIN forMedical and Neurology residents Qamar zaman FCPS,SCE(NEUROLOGY)
  • 2.
    Terminology used inCT. • Section of the study (most commonly axial is used). • Right and left side of the image. • Density of a structure is taken relative to the density of water and described as isodense, hyperdense and hypodense. • Location and anatomical structures involved. • Should be able to formulate radiological differentials.
  • 3.
    Which one isCT brain
  • 4.
    How to differentiateCT from MRI • Bone is dense(white) on CT brain while hypo intense(dark) on MRI(outer bright signals on MRI are due to subcutaneous fats). • Grey-white matter differentiation is clear on MRI compared to the CT. • Presence of periventricular lucent areas in MRI. • MRI usually have multiple films compared to commonly single in CT
  • 5.
  • 6.
    Mechanism • X-ray emitterand detector rotate in circular fashion. • When radiation pass through exposed structure they behave differently depending on the density and physical properties. • A visual representation of the raw data obtained is called a sinogram which is raw form. • The data must be processed using a form of tomographic reconstruction which produces a series of cross-sectional images.
  • 7.
    Image acquisition • Unitused to measure the density are called as Hounsfield. • It can range on a scale from +3071 (most attenuating) to −1024 (least attenuating) on the Hounsfield scale.
  • 8.
  • 9.
    • Contrast usedfor X-ray CT, as well as for plain film X-ray, are called radiocontrasts. Radiocontrasts for X-ray CT are, in general, iodine-based. Often, images are taken both with and without radiocontrast
  • 10.
    Precautions • If youare pregnant or suspect that you may be pregnant, you should notify your doctor. Radiation exposure during pregnancy may lead to birth defects • Nursing mothers may want to wait 24 hours after contrast material is injected before resuming breastfeeding. • there is a risk for allergic reaction to the dye
  • 11.
    • Patients withkidney failure or other kidney problems should notify their doctor. • patients taking the diabetes medication metformin (Glucophage) should alert their doctors before having IV contrast as it may cause a rare condition called metabolic acidosis.
  • 12.
    When to preferCT over MRI • Trauma or acute emergency settings where time is important. • When ruling out bony injuries and bleeds that are easily picked. • Contraindications to MRI eg metallic objects. • Claustrophobic patients. • Cost and availibilty factors.
  • 13.
  • 14.
  • 15.
  • 16.
  • 17.
    Modalities of CTused in brain • Plain non contrast CT (with parenchymal and bone windows). • CT with contrast. • CT perfusion. • CT Angiogram. • CT Venogram. • CT with special cuts like orbit, Pituatrity fossa.
  • 19.
    Anatomical Land marks. •Cortex and division into various lobes. • Subcortical structures including basal ganglia,thalamus . • Pituatry area and cavernous sinus region. • Brainstem. • CSF system. • Arterial and venous system.
  • 20.
  • 23.
  • 24.
    Fig 2a: T1MRI axial projection. 1: inter- hemispheric scissure; 2: lateral sulcus; 3: frontal lobe; 4: insula lobe; 5: temporal lobe; 6: occipital lobe.
  • 25.
  • 27.
  • 45.
  • 46.
  • 47.
  • 48.
  • 49.
  • 50.
  • 51.
    orientation • Two-dimensional CTimages are conventionally rendered so that the view is as though looking up at it from the patient's feet. • Hence, the left side of the image is to the patient's right and vice versa, while anterior in the image also is the patient's anterior and vice versa.
  • 52.
    Approach to CT •Check name ,identification and date of study, orientation. • Start from upper most or lower most cuts. • Look from outside to inside or inside to outside. • Look for bones, sinuses,orbits. • Extradural, subdural and meningeal details and enhancement if contrast film.
  • 53.
    Approach to theCT • Look parenchyma for hypodensities ,hyperdensities, their location, shape, homogenous/heterogenous,any mass effect or odema. • Grey-white matter differentiation, any enhacement if contrast film. • Ventricles symmetry and cisterns any effacement.
  • 55.
  • 56.
    Hyperdensities • Blood. • Clot •Calcium. • Prosthesis. • Contrast uptake. • Choriod plexsus calcification and bone are the do main hyperdensities that are present in normal CT.
  • 57.
    Hypodense • Most commonlyodema secondary to: • Infection • Inflamation. • Stroke. • Mass lesion. • Fat containing structures. • Air • Paranasal sinuses and mastiod are structures that are hypodense in normal cases.
  • 58.
    Approach to theCT • Explain the findings in systematic manner. • Mention the Shape, size, density, location and extent and any mass effects related to the findings. • Compare to the other side if applicable. • Any contrast uptake. • Formulate major or likely differentials related to observed findings. • What further imaging or test may be helpful to clear likely diagnosis.
  • 59.
    Causes of air •Air filled spaces. • Base of the skull fracture. • Craniotomy or after other surgeries
  • 61.
    Disorders of Sinuses •Acute bacterial sinusistis. • Chronic purulent sinusitis. • Fungal infection. • Mucocoele. • Tumors.
  • 62.
  • 63.
  • 64.
  • 65.
  • 67.
  • 68.
    Sinus tumor withwidespread intracranial extension
  • 69.
    Sinus disease withorbital extension
  • 70.
  • 71.
  • 72.
  • 73.
    Grey and whitematter differentiation • Normally Grey matter is outer denser structure and white matter in inner hypodenser. • Grey matter contains neurons cell bodies while white matter contain axons with rich fatty myelin sheath making it hypodense. • This differentiation is loss in case of cerebral odema.
  • 74.
  • 75.
    Causes of cerebralodema • Infection. • Mass lesion. • Stroke. • Metabolic causes.
  • 79.
    • In trueisolated cytotoxic oedema little change is evident on CT as a mere redistribution of water from extracellular to intracellular compartments does not result in attenuation changes. The changes colloquially ascribed to 'cytotoxic oedema' are in fact mostly due to ionic oedema, and are described separately. This is why brain CT is often normal in patients with an acute ischaemic stroke.
  • 80.
  • 82.
    • grey-white matterdifferentiation is maintained and the oedema involves mainly white matter, extending in finger-like fashion • secondary effects of vasogenic oedema are similar to cytotoxic oedema, with effacement of cerebral sulci, with or without midline shift
  • 83.
  • 90.
  • 92.
    Disoders of CSFspaces • Hydrocephalus communicating and non communicating including IIH,NPH. • Loss of csf spaces usually secondary to degenerative and other secondary processes.
  • 100.
    CNS herniations • Thereare a number of different patterns of cerebral herniation which describe the type of herniation occurring: • subfalcine herniation • transalar herniation: ascending and descending • transtentorial herniation – downward: uncal herniation – upward: ascending transtentorial herniation* • tonsillar herniation* • extracranial herniation
  • 101.
  • 102.
  • 103.
  • 104.
  • 105.
  • 106.
    Trauma • Soft tissueinjuries. • Skull fractures. • Extradural,subdural and subarachniod hemorrhage. • Contusions and diffuse axonal injury with associated cerebral odema.
  • 107.
    Skull fracture withextradural hematoma
  • 108.
  • 109.
  • 110.
    Skull base fracturewith pneumocephalus
  • 111.
  • 112.
  • 113.
  • 114.
  • 115.
  • 116.
  • 117.
    Vascular Insults • SubarachniodHemorrhage. • Lobar and basal ganglia bleeds. • Ischemic strokes. • Venous infarcts. • Disections
  • 118.
  • 119.
  • 120.
  • 121.
  • 122.
  • 123.
  • 124.
  • 125.
  • 126.
  • 127.
  • 128.
  • 129.
    Cerebellar infarct withhemorrhagic conversion
  • 131.
  • 132.
  • 137.
  • 138.
  • 139.
    Infections • Meningial enhancementand thickness, extradural and subdural collection, with associated communicating hydroceph. • Focal parenchymal injury and abscess, mass lesions with mass affects. • Ventriculitis and diffuse cerebral odema.
  • 144.
    • Tumors andmasses. • Congenital abnormalities. • Toxic metabolic insults. • Disections and aneurysms. • Hypoxic injury. • States where CT is useless.

Editor's Notes

  • #4 Pic referennce:Medscape.