PARASITES IN
HISTOPATHOLOGY
By
Dr.Varughese George
Department of Pathology
Upper GIT parasites
• Upper GIT parasites - abdominal pain, vomiting
and peptic ulcer-like symptoms.
• Giardia, hookworm or fish tape worm -Diarrhea,
anemia and malabsorption -parasite injury,
invasion or inflammation of the mucosal surface
of the small intestine..
• Strongyloides stercoralis larva, (small intestinal
mucosa)-mucosal atrophy and malabsorption.
• Ancylostoma duodenal and Diphyllobothrium
Latum - iron and vitamin B12 deficiency.
Lower GIT parasites
• Lower GIT parasites -diarrhea, non specific
abdominal pain, discomfort or distension.
• Enterobius vermicularis - Pruritis ani (common
presentation)
• Amoebiasis or schistosomiasia -Acute or
chronic bleeding per rectum (colonic erosions
or ulcerations)
• Parasites such as Taenia (tape worm), Trichuris
trichunia or Ascaris lumbericoids - heavy
infestation and may lead to intussusception or
intestinal obstruction and in certain cases may
lead to perforation of the bowel.
• Appendicitis occurs secondary to obstruction
by several parasites.
• A study from India,revealed that in 2.5% of
patients who had a appendectomy were due
to parasites such as E Vermicularis, E
histolytica, A. Lumbricoides, Trichiura and
Taenia spp
Giardiasis
• Giardia lamblia parasite lives in the duodenum
• The mucosa is usually intact, but there may be
blunting of villi and an increased number of
inflammatory cells.
• The organisms have a teardrop shape, with
paired nuclei (‘owl-eye’ appearance) and a
central longitudinal axostyle.
• causes malabsorption and chronic diarrhea,
and may be associated with nodular lymphoid
hyperplasia.
Duodenal biopsy showing many
Giardia Lamblia
Strongyloidiasis
• Strongyloidiasis, caused by 2 species of the intestinal
nematode Strongyloides. The most common and
globally distributed human pathogen of clinical
importance is Strongyloides stercoralis. The other
species, Strongyloides fuelleborni found sporadically in
Africa and Papua New Guinea.
• Infections are initiated when exposed skin contacts
contaminated soil. Autoinfection commonly occurs
allowing infection to persist for decades.
• Strongyloides is the only helminth to secrete larvae
(and not eggs) in feces.
• Definitive diagnosis of strongyloidiasis is usually made
on the basis of detection of larvae in the stool.
• The histological examination revealed
superficial fragments of gastric mucosa
showing surface erosions, congestion, many
ectatic blood vessels and dense infiltration by
lymphocytes, plasma cells, neutrophils and
eosinophils in the lamina propria.
• Furthermore, the gastric mucosa showed
numerous cross-sections of adult worms, eggs
and rhabditiform larvae of Strongyloides
stercoralis in the glands and crypts.
Ancylostoma duodenale
• It is a major cause of chronic iron deficeiency anemia
worldwide.
• The adult hookworms attach themselves to the
intestinal wall using their buccal capsules.
• Their preferred site of infestation is in the upper small
intestine, but in very heavy infections the parasites
may spread down as far as the lower ileum.
• Once attached to the intestinal wall, the hookworm
mouthparts penetrate blood vessels, and the parasites
obtain nutrition by sucking blood.
Longitudinal section of an adult
hookworm worm in a bowel biopsy,
stained with H&E. Note the oral
cavity (OC) and strong, muscled
esophagus (ES)
Cross-section of an adult hookworm
from the same specimen in Figure A.
Shown here are the platymyarian
musculature (MU), intestine with
brush border (IN), excretory ducts
(ED), and coiled ovaries (OV).
Trichuriasis
• Trichuriasis is caused by intestinal nematode
Trichuris trichura.
• Adult worm lives in caecum and upper colon
where the female produce eggs which pass in
fecus.
• The adult worm burrows their anterior portion
into the superficial mucosa and cause erosion,
inflammation and loss of blood.
• 3-5 cms in length with a long, slender anterior
portion and short blunt posterior.
Cryptosporidiosis
• Infestation by a coccidial protozoan,
Cryptosporidium.
• Mainly seen in AIDS Patient.
• In sections, the organisms appear as 2–5 µm
basophilic spherical structures attached to the
luminal surface of the epithelium. Their
appearance can be simulated by cellular
debris or mucin.
• The organisms stain well with Giemsa, silver
methenamine, and PAS, but are not acid-fast
Intracellular but extracytoplasmic Basophilic dots on
luminal border of epithelial cells
Oxyuriasis
• The parasite, known as Oxyuris (Enterobius)
vermicularis, is most often found in the
appendices of children between the ages of 7 and
11 years.
• Enterobius vermicularis is an extremely well
adapted parasite that usually produces no
specific symptoms in most colonized persons.
Most symptoms are minor such as pruritus ani
and restless sleeping.
• Eggs often deposited at night on perianal skin,
causing pruritis ani, irritability, loss of sleep
Amoebic colitis
• Entamoeba histolytica-Typically, the parasites are
surrounded by an artifactually clear space.
• They are round or ovoid, measure 6–40 nm in
diameter, and contain an abundant cytoplasm with a
distinctive vacuolated appearance and relatively small,
perfectly round nuclei with prominent nuclear borders
and a central karyosome.
• Erythrophagocytosis by the trophozoites is usually
present and can be easily demonstrated with
Heidenhain iron hematoxylin staining.
• The organisms can also be demonstrated with PAS and
immunoperoxidase stains, both in sections and in
smears
Anisakiasis
• Anisakiasis , a parasitic disease which may infect
humans following the consumption of raw fish.
• Anisakiasis is classified as a luminal and an invasive
form, according to the presence of bowel wall invasion
by Anisakis larvae.
• The luminal form does not cause major clinical
symptoms, but the invasive form can.The invasive form
is subdivided into gastric and intestinal type, according
to the penetration site. Cases of gastric anisakiasis
(95% of cases) are more common than enteric
anisakiasis.
• M/E: severe infiltration of inflammatory cell, edema in
all layers of the intestinal wall, and submucosal
eosinophilic granulomas with anisakiasis larvae.
Tissue parasites
Trichinosis
• Trichinosis is caused by Trichinella spiralis, is a
nematode parasite that is acquired by ingestion of
larvae in undercooked meat from pigs.
• In the human gut, T. spiralis larvae develop into adults
that mate and release new larvae, which penetrate into
the tissues. Larvae disseminate hematogenously and
penetrate muscle cells, causing fever, myalgias, marked
eosinophilia, and periorbital edema.
• In striated skeletal muscle, T. spiralis larvae become
intracellular parasites, increase dramatically in size, and
modify the host muscle cell (referred to as the nurse
cell) so that it loses its striations, gains a collagenous
capsule, and develops a plexus of new blood vessels
around itself.
Dracunculiasis
• Dracunculus medinensis (guinea worm), which is
widespread in India, west Africa and southern Sudan,
affects 5-15 million persons annually.
• Disease occurs solely in humans, and is acquired
through drinking water containing larvae .
• These larvae penetrate the intestine and migrate to
connective tissues, particularly in the axillary and
inguinal regions, where they develop into adult worms.
• The young female worms complete their maturation
usually in the subcutaneous tissues of the feet and
lower legs where, after a year, they release many
thousands of larvae through a small painful blister in
the skin
Schistosomiasis
• Schistosomiasis is a parasitic disease caused by blood
flukes (trematodes) of the genus Schistosoma.
• Also referred as bilharziasis, or snail fever or katayama
syndrome.
• Most human schistosomiasis is caused by S
haematobium, S mansoni, and S japonicum.
• Schistosomiasis is due to immunologic reactions
to Schistosoma eggs trapped in tissues. Antigens
released from the egg stimulate a granulomatous
reaction involving T cells, macrophages, and
eosinophils that results in clinical disease
Schistosoma japonicum
Schistosoma hematobium- urinary bladder
Echinococosis
• Caused by Dog tapeworm in larval or cystic stage: E.
granulosus (causes cystic hydatid disease), less
commonly E. multilocularis (alveolar hydatid disease),
or E. vogeli (polycystic hydatid disease).
• 3 layers in cyst wall:
● (a) innermost (germinal layer) is 10-25 microns,
contains nuclei, gives rise to brood capsules and
protoscolices
● (b) laminated membrane beneath germinal layer is 1
mm thick, avascular, eosinophilic, refractile and
chitinous; strongly PAS+, GMS+
● (c) outer layer is dense fibrovascular tissue with
chronic inflammatory cells, variable calcification
develops after 5+ years
Taeniasis
• Taeniasis is a tapeworm (cestode) infection
acquired by the ingestion of raw or
undercooked meat of infected animals.
• T. saginata is also commonly known as beef
tapeworm. T. solium is similarly referred to as
pork tapeworm.
• A more severe form of taeniasis,
cystercercosis, can occur upon ingestion of T.
solium eggs. These eggs hatch in the small
intestine and migrate to various tissues of the
body and form cysts.
• The pathology associated with cystercercosis
depends on which organs are infected and the
number of cysticerci.
• Cysticercus in the eye leads to blindness, a
cysticercus in the spinal cord could lead to
paralysis, cysticercus in the brain
(neurocysticercosis) could lead to traumatic
neurological damage or epileptic seizures.
Filariasis
• Filariasis is a parasitic infestation characterized by the
presence of microfilaria, an embryonic stage between the
eggs and the larvae.
• Adult filarial worms live in lymphatics, lymph nodes,
subcutaneous soft tissues and
• body cavities.
• Alive and mobile adult worms and microfilaria do not excite
any tissue reaction.
• Dead and fixed adults and microfilaria excite severe
reaction, which may include eosinophilia, eosinophilic
abscess, neutrophilic abscess, necrosis and epithelioid cell
granuloma.
• This is usually followed by fibrosis with or without
calcification
• Filarial lymphadenopathy usually involves the
inguinal lymph node.
• Filarial lymphadenitis is commonly caused by
Wuchereria and Brugia species.
• Occassionally, the microfilaria of other filarial
worms such as Onchocerca species or the
Mansonella streptocerca can also produce
lymphadenitis.
Photomicrograph showing adult worm cut in several planes with many
microfilariae also seen separately within the necrotic tissue. Surrounding
tissue shows dense inflammatory cell infiltrate consisting of polymorphs,
lymphocytes, eosinophils, foamy histiocytes, and small multinucleated giant
cells (H and E, ×200)
Photomicrograph showing sections of adult filarial
worms containing numerous microfilariae
Onchocerciasis
• Onchocerciasis is an infection caused by the
nematode Onchocerca volvulus. Humans acquire
onchocerciasis through the bite
of Simulium blackflies.
• It is one of the leading causes of blindness in the
developing world.
• Clinically, onchocerciasis takes three forms :
• 1) Eye disease ; (2) Subcutaneous
nodules; and (3) A pruritic hypopigmented or
hyperpigmented papular dermatitis.
• The larvae mature in the dermis and produce
solitary or multiple cutaneous nodules called
onchocercomas which are characterisitic of
this disease.
• Adult worms in small clefts are present in the
onchocercomas usually in the proportion of
two or more males to each female
Leishmania donovani
• Intracellular parasitic protozoan, cause the
disease leishmaniasis.
• kala-azar/ viseral leishmaniasis - the most
severe form of leishmaniasis.
• It infects the mononuclear phagocytic system
including spleen, liver and bone marrow.
• Seen as small, spherical and unflagellated
amastigote form.
Amastigotes -monocytes of peripheral blood and in
macrophages in aspirates.
Small, round bodies 2–4 μm in diameter with indistinct
cytoplasm, a nucleus, and a small, rod-shaped kinetoplast
Parasites in histopathology

Parasites in histopathology

  • 1.
  • 3.
    Upper GIT parasites •Upper GIT parasites - abdominal pain, vomiting and peptic ulcer-like symptoms. • Giardia, hookworm or fish tape worm -Diarrhea, anemia and malabsorption -parasite injury, invasion or inflammation of the mucosal surface of the small intestine.. • Strongyloides stercoralis larva, (small intestinal mucosa)-mucosal atrophy and malabsorption. • Ancylostoma duodenal and Diphyllobothrium Latum - iron and vitamin B12 deficiency.
  • 4.
    Lower GIT parasites •Lower GIT parasites -diarrhea, non specific abdominal pain, discomfort or distension. • Enterobius vermicularis - Pruritis ani (common presentation) • Amoebiasis or schistosomiasia -Acute or chronic bleeding per rectum (colonic erosions or ulcerations)
  • 5.
    • Parasites suchas Taenia (tape worm), Trichuris trichunia or Ascaris lumbericoids - heavy infestation and may lead to intussusception or intestinal obstruction and in certain cases may lead to perforation of the bowel. • Appendicitis occurs secondary to obstruction by several parasites. • A study from India,revealed that in 2.5% of patients who had a appendectomy were due to parasites such as E Vermicularis, E histolytica, A. Lumbricoides, Trichiura and Taenia spp
  • 6.
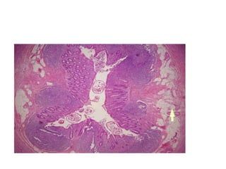
    Giardiasis • Giardia lambliaparasite lives in the duodenum • The mucosa is usually intact, but there may be blunting of villi and an increased number of inflammatory cells. • The organisms have a teardrop shape, with paired nuclei (‘owl-eye’ appearance) and a central longitudinal axostyle. • causes malabsorption and chronic diarrhea, and may be associated with nodular lymphoid hyperplasia.
  • 7.
    Duodenal biopsy showingmany Giardia Lamblia
  • 9.
    Strongyloidiasis • Strongyloidiasis, causedby 2 species of the intestinal nematode Strongyloides. The most common and globally distributed human pathogen of clinical importance is Strongyloides stercoralis. The other species, Strongyloides fuelleborni found sporadically in Africa and Papua New Guinea. • Infections are initiated when exposed skin contacts contaminated soil. Autoinfection commonly occurs allowing infection to persist for decades. • Strongyloides is the only helminth to secrete larvae (and not eggs) in feces. • Definitive diagnosis of strongyloidiasis is usually made on the basis of detection of larvae in the stool.
  • 10.
    • The histologicalexamination revealed superficial fragments of gastric mucosa showing surface erosions, congestion, many ectatic blood vessels and dense infiltration by lymphocytes, plasma cells, neutrophils and eosinophils in the lamina propria. • Furthermore, the gastric mucosa showed numerous cross-sections of adult worms, eggs and rhabditiform larvae of Strongyloides stercoralis in the glands and crypts.
  • 13.
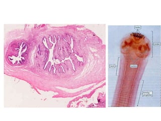
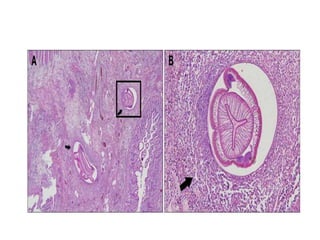
    Ancylostoma duodenale • Itis a major cause of chronic iron deficeiency anemia worldwide. • The adult hookworms attach themselves to the intestinal wall using their buccal capsules. • Their preferred site of infestation is in the upper small intestine, but in very heavy infections the parasites may spread down as far as the lower ileum. • Once attached to the intestinal wall, the hookworm mouthparts penetrate blood vessels, and the parasites obtain nutrition by sucking blood.
  • 15.
    Longitudinal section ofan adult hookworm worm in a bowel biopsy, stained with H&E. Note the oral cavity (OC) and strong, muscled esophagus (ES) Cross-section of an adult hookworm from the same specimen in Figure A. Shown here are the platymyarian musculature (MU), intestine with brush border (IN), excretory ducts (ED), and coiled ovaries (OV).
  • 16.
    Trichuriasis • Trichuriasis iscaused by intestinal nematode Trichuris trichura. • Adult worm lives in caecum and upper colon where the female produce eggs which pass in fecus. • The adult worm burrows their anterior portion into the superficial mucosa and cause erosion, inflammation and loss of blood. • 3-5 cms in length with a long, slender anterior portion and short blunt posterior.
  • 18.
    Cryptosporidiosis • Infestation bya coccidial protozoan, Cryptosporidium. • Mainly seen in AIDS Patient. • In sections, the organisms appear as 2–5 µm basophilic spherical structures attached to the luminal surface of the epithelium. Their appearance can be simulated by cellular debris or mucin. • The organisms stain well with Giemsa, silver methenamine, and PAS, but are not acid-fast
  • 19.
    Intracellular but extracytoplasmicBasophilic dots on luminal border of epithelial cells
  • 20.
    Oxyuriasis • The parasite,known as Oxyuris (Enterobius) vermicularis, is most often found in the appendices of children between the ages of 7 and 11 years. • Enterobius vermicularis is an extremely well adapted parasite that usually produces no specific symptoms in most colonized persons. Most symptoms are minor such as pruritus ani and restless sleeping. • Eggs often deposited at night on perianal skin, causing pruritis ani, irritability, loss of sleep
  • 23.
    Amoebic colitis • Entamoebahistolytica-Typically, the parasites are surrounded by an artifactually clear space. • They are round or ovoid, measure 6–40 nm in diameter, and contain an abundant cytoplasm with a distinctive vacuolated appearance and relatively small, perfectly round nuclei with prominent nuclear borders and a central karyosome. • Erythrophagocytosis by the trophozoites is usually present and can be easily demonstrated with Heidenhain iron hematoxylin staining. • The organisms can also be demonstrated with PAS and immunoperoxidase stains, both in sections and in smears
  • 25.
    Anisakiasis • Anisakiasis ,a parasitic disease which may infect humans following the consumption of raw fish. • Anisakiasis is classified as a luminal and an invasive form, according to the presence of bowel wall invasion by Anisakis larvae. • The luminal form does not cause major clinical symptoms, but the invasive form can.The invasive form is subdivided into gastric and intestinal type, according to the penetration site. Cases of gastric anisakiasis (95% of cases) are more common than enteric anisakiasis. • M/E: severe infiltration of inflammatory cell, edema in all layers of the intestinal wall, and submucosal eosinophilic granulomas with anisakiasis larvae.
  • 27.
  • 28.
    Trichinosis • Trichinosis iscaused by Trichinella spiralis, is a nematode parasite that is acquired by ingestion of larvae in undercooked meat from pigs. • In the human gut, T. spiralis larvae develop into adults that mate and release new larvae, which penetrate into the tissues. Larvae disseminate hematogenously and penetrate muscle cells, causing fever, myalgias, marked eosinophilia, and periorbital edema. • In striated skeletal muscle, T. spiralis larvae become intracellular parasites, increase dramatically in size, and modify the host muscle cell (referred to as the nurse cell) so that it loses its striations, gains a collagenous capsule, and develops a plexus of new blood vessels around itself.
  • 30.
    Dracunculiasis • Dracunculus medinensis(guinea worm), which is widespread in India, west Africa and southern Sudan, affects 5-15 million persons annually. • Disease occurs solely in humans, and is acquired through drinking water containing larvae . • These larvae penetrate the intestine and migrate to connective tissues, particularly in the axillary and inguinal regions, where they develop into adult worms. • The young female worms complete their maturation usually in the subcutaneous tissues of the feet and lower legs where, after a year, they release many thousands of larvae through a small painful blister in the skin
  • 32.
    Schistosomiasis • Schistosomiasis isa parasitic disease caused by blood flukes (trematodes) of the genus Schistosoma. • Also referred as bilharziasis, or snail fever or katayama syndrome. • Most human schistosomiasis is caused by S haematobium, S mansoni, and S japonicum. • Schistosomiasis is due to immunologic reactions to Schistosoma eggs trapped in tissues. Antigens released from the egg stimulate a granulomatous reaction involving T cells, macrophages, and eosinophils that results in clinical disease
  • 34.
  • 35.
  • 36.
    Echinococosis • Caused byDog tapeworm in larval or cystic stage: E. granulosus (causes cystic hydatid disease), less commonly E. multilocularis (alveolar hydatid disease), or E. vogeli (polycystic hydatid disease). • 3 layers in cyst wall: ● (a) innermost (germinal layer) is 10-25 microns, contains nuclei, gives rise to brood capsules and protoscolices ● (b) laminated membrane beneath germinal layer is 1 mm thick, avascular, eosinophilic, refractile and chitinous; strongly PAS+, GMS+ ● (c) outer layer is dense fibrovascular tissue with chronic inflammatory cells, variable calcification develops after 5+ years
  • 38.
    Taeniasis • Taeniasis isa tapeworm (cestode) infection acquired by the ingestion of raw or undercooked meat of infected animals. • T. saginata is also commonly known as beef tapeworm. T. solium is similarly referred to as pork tapeworm. • A more severe form of taeniasis, cystercercosis, can occur upon ingestion of T. solium eggs. These eggs hatch in the small intestine and migrate to various tissues of the body and form cysts.
  • 39.
    • The pathologyassociated with cystercercosis depends on which organs are infected and the number of cysticerci. • Cysticercus in the eye leads to blindness, a cysticercus in the spinal cord could lead to paralysis, cysticercus in the brain (neurocysticercosis) could lead to traumatic neurological damage or epileptic seizures.
  • 41.
    Filariasis • Filariasis isa parasitic infestation characterized by the presence of microfilaria, an embryonic stage between the eggs and the larvae. • Adult filarial worms live in lymphatics, lymph nodes, subcutaneous soft tissues and • body cavities. • Alive and mobile adult worms and microfilaria do not excite any tissue reaction. • Dead and fixed adults and microfilaria excite severe reaction, which may include eosinophilia, eosinophilic abscess, neutrophilic abscess, necrosis and epithelioid cell granuloma. • This is usually followed by fibrosis with or without calcification
  • 42.
    • Filarial lymphadenopathyusually involves the inguinal lymph node. • Filarial lymphadenitis is commonly caused by Wuchereria and Brugia species. • Occassionally, the microfilaria of other filarial worms such as Onchocerca species or the Mansonella streptocerca can also produce lymphadenitis.
  • 43.
    Photomicrograph showing adultworm cut in several planes with many microfilariae also seen separately within the necrotic tissue. Surrounding tissue shows dense inflammatory cell infiltrate consisting of polymorphs, lymphocytes, eosinophils, foamy histiocytes, and small multinucleated giant cells (H and E, ×200)
  • 44.
    Photomicrograph showing sectionsof adult filarial worms containing numerous microfilariae
  • 46.
    Onchocerciasis • Onchocerciasis isan infection caused by the nematode Onchocerca volvulus. Humans acquire onchocerciasis through the bite of Simulium blackflies. • It is one of the leading causes of blindness in the developing world. • Clinically, onchocerciasis takes three forms : • 1) Eye disease ; (2) Subcutaneous nodules; and (3) A pruritic hypopigmented or hyperpigmented papular dermatitis.
  • 47.
    • The larvaemature in the dermis and produce solitary or multiple cutaneous nodules called onchocercomas which are characterisitic of this disease. • Adult worms in small clefts are present in the onchocercomas usually in the proportion of two or more males to each female
  • 49.
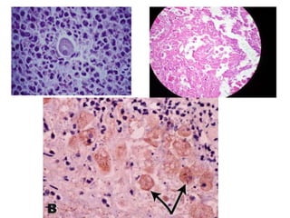
    Leishmania donovani • Intracellularparasitic protozoan, cause the disease leishmaniasis. • kala-azar/ viseral leishmaniasis - the most severe form of leishmaniasis. • It infects the mononuclear phagocytic system including spleen, liver and bone marrow. • Seen as small, spherical and unflagellated amastigote form.
  • 50.
    Amastigotes -monocytes ofperipheral blood and in macrophages in aspirates. Small, round bodies 2–4 μm in diameter with indistinct cytoplasm, a nucleus, and a small, rod-shaped kinetoplast