Fungus in Histopathology
Advantages
• Speed, low cost
• Presumptive identification of the infecting
fungus
• Demonstrating tissue reaction.
• Only way to diagnose- L. loboi or
Rhinosporidium seeberi
Special Stains
TISSUE STAINING METHODS FUNGI
Skin and Subcutaneous
Tissue
KOH , Giemsa, GMS Dermatophytes,
Sporothrix,Zygomycetes
Nasal Smear Biopsy H and E, GMS Rhinosporidiosis
Muscle H and E, GMS Zygomycetes( very rare)
Bone Marrow Giemsa, GMS Histoplasma
Lung H & E, Giemsa, GMS and
PAS
Aspergillus, C.Neoformans
Lymph Node H & E, Giemsa , GMS and
PAS
Aspergillus, C.Neoformans
Mucin stains (Mayer’s mucicarmine and Alcian blue)-C.
neoformans,Blastomyces dermatitidis and R. seeberi
Major forms
• Yeast cells
• Hyphae
• Pseudohyphae,
• Arthroconidia,
• Chlamydoconidia
• Spherules.
TRUE PATHOGENS
Cutaneous infective agents Subcutaneous infective agents
Epidermophyton species
Microsporum species
Trichophyton species
Actinomadura madurae
Cladosporium
Madurella grisea
Phialophora
Sporothrix schenckii
Systemic infective agents
Blastomyces dermatitidis
Coccidioides immitis
Histoplasma capsulatum
Paracoccidioides brasiliensis
OPPORTUNISTIC PATHOGENS
• Absidia corymbifera
• Aspergillus fumigatus
• Candida albicans
• Crytococcus neoformans
• Pneumocystis carinii
• Rhizomucor pusillus
• Rhizopus oryzae (R.arrhizus)
Case 1
• A 42 year old female
• Chronic asthma ( Inhaled corticosteroids)
• c/o- Productive cough (brown mucous, blood
tinged)
• O/E- Mild Fever
• Chest X ray- Lobar Infiltrate (Clusters of grapes)
• CBC- Mildly elevated WBC count
- Markedly elevated eosinophil count
Diagnosis
• Aspergillosis Fumigatus (90%)
• Other Species- A.terreus, A.flavus
Case 2
• 52 year old male
• C/o – Cough and fever since 1 week a/w fatigue,
headaches, joint pains at night .
• No history of pulmonary diseases or smoking
• Travel history to Phoenix 3 weeks ago
• O/E- Mild fever, wheezing in upper left chest
• X ray chest- Hilar adenopathy
• CBC- Normal TLC with eosinophilia
• KOH- Numerous spherules
Differential Diagnosis
• Blastomycosis
• Coccidomycosis ( C. immitis)
• Histoplasmosis
Case 3
• 68 year old male
• C/O- Dysphagia , retrosternal pain since
2 days, was on treatment for UTI
• O/E- Normal
• On Endoscopy- Thick , curdy white patches on
esophageal wall
Diagnosis
Candida Albicans
Case 4
• 32 year old male
• K/C/O- Retroviral disease
• C/O- fever, headache x 3 days
• A/w- Confusion, forgetfullness
• O/E – Moderate grade fever, cranial nerves
normal
• Minimal nuchal rigidity, hyperreflexic
• CSF- high TLC , lymphocyte predominant
• India Ink - Positive
Diagnosis
• Cryptococcus Neoformis
CASE 5
• 29 year old female
• C/o cough , worsening since weeks, low grade
fever
• H/0 smoking half pack a day
• K/C/O- RVD
• O/E- Normal
• Anticubital veins- Needle Track
• Lungs- Decreased breath sounds, ronchi
• Chest Xray- Ground glass appearance
Diagnosis
• Pneumocystis Carinii
CASE 6
• 27 year old male
• Newly diagnosed HIV (CD 4 count- 7
cells/mm3)
• C/O- fever with chills, night sweats, myalgia,
dry cough, loss of weight x 25 days
• O/E- 2 - 3 mm hyperpigmented papules and
dermal basophilic spherules 2 - 4 microns
• Has been treated for Pneumonia
Diagnosis
• Histoplasma
Case 7
• 60 year old farmer
• c/o – Nasal obstruction, epistaxsis since one
year .
• No comorbid conditions
• H/O Chronic smoking , occasional ethanolic
• O/E- Mass noticed in left nostril, reddish in
color, strawberry like in appearence
• Diagnosis
Rhinosporidium seebri
CASE 8
• A 70-year-old male
• C/O- Bad breath and pus discharge from
upper left region of jaw since one month.
• K/C/O - Diabetes mellitus
• Three months came to Emergency
Department in an unconscious state- Diabetic
ketoacidosis with renal failure
Diagnosis
Mucormycosis
Artefacts
• Tissue components such as Russell bodies,
calcified bodies, elastic fibres and small blood
vessels .
• Silver precipitates- collagen, fibrin, elastin ,
neutrophils, cytolytic debris.
• The KOH preparation – unstained fungal
elements in skin, hair and nails
• Specimens- sputum and vaginal
• Calcofluor white
• Combination of the two.
• India ink preparation - C. neoformans in CSF
Newer Techniques
• Immunohistochemistry.
• In Situ Hybridization
• In Situ Polymerase Chain Reaction
• Fluorescent in situ hybridization (FISH)
REFERENCES
• Robbins and Cotran , South Asia Edition,
Volume I &II
• Andersons 6 th Edition
• Case Files Microbiology , Lange
THANK YOU

Fungus in histopathology

  • 1.
  • 2.
    Advantages • Speed, lowcost • Presumptive identification of the infecting fungus • Demonstrating tissue reaction. • Only way to diagnose- L. loboi or Rhinosporidium seeberi
  • 3.
    Special Stains TISSUE STAININGMETHODS FUNGI Skin and Subcutaneous Tissue KOH , Giemsa, GMS Dermatophytes, Sporothrix,Zygomycetes Nasal Smear Biopsy H and E, GMS Rhinosporidiosis Muscle H and E, GMS Zygomycetes( very rare) Bone Marrow Giemsa, GMS Histoplasma Lung H & E, Giemsa, GMS and PAS Aspergillus, C.Neoformans Lymph Node H & E, Giemsa , GMS and PAS Aspergillus, C.Neoformans Mucin stains (Mayer’s mucicarmine and Alcian blue)-C. neoformans,Blastomyces dermatitidis and R. seeberi
  • 4.
    Major forms • Yeastcells • Hyphae • Pseudohyphae, • Arthroconidia, • Chlamydoconidia • Spherules.
  • 6.
    TRUE PATHOGENS Cutaneous infectiveagents Subcutaneous infective agents Epidermophyton species Microsporum species Trichophyton species Actinomadura madurae Cladosporium Madurella grisea Phialophora Sporothrix schenckii Systemic infective agents Blastomyces dermatitidis Coccidioides immitis Histoplasma capsulatum Paracoccidioides brasiliensis
  • 7.
    OPPORTUNISTIC PATHOGENS • Absidiacorymbifera • Aspergillus fumigatus • Candida albicans • Crytococcus neoformans • Pneumocystis carinii • Rhizomucor pusillus • Rhizopus oryzae (R.arrhizus)
  • 8.
    Case 1 • A42 year old female • Chronic asthma ( Inhaled corticosteroids) • c/o- Productive cough (brown mucous, blood tinged) • O/E- Mild Fever • Chest X ray- Lobar Infiltrate (Clusters of grapes) • CBC- Mildly elevated WBC count - Markedly elevated eosinophil count
  • 13.
    Diagnosis • Aspergillosis Fumigatus(90%) • Other Species- A.terreus, A.flavus
  • 14.
    Case 2 • 52year old male • C/o – Cough and fever since 1 week a/w fatigue, headaches, joint pains at night . • No history of pulmonary diseases or smoking • Travel history to Phoenix 3 weeks ago • O/E- Mild fever, wheezing in upper left chest • X ray chest- Hilar adenopathy • CBC- Normal TLC with eosinophilia • KOH- Numerous spherules
  • 20.
    Differential Diagnosis • Blastomycosis •Coccidomycosis ( C. immitis) • Histoplasmosis
  • 21.
    Case 3 • 68year old male • C/O- Dysphagia , retrosternal pain since 2 days, was on treatment for UTI • O/E- Normal • On Endoscopy- Thick , curdy white patches on esophageal wall
  • 28.
  • 29.
    Case 4 • 32year old male • K/C/O- Retroviral disease • C/O- fever, headache x 3 days • A/w- Confusion, forgetfullness • O/E – Moderate grade fever, cranial nerves normal • Minimal nuchal rigidity, hyperreflexic • CSF- high TLC , lymphocyte predominant • India Ink - Positive
  • 37.
  • 38.
    CASE 5 • 29year old female • C/o cough , worsening since weeks, low grade fever • H/0 smoking half pack a day • K/C/O- RVD • O/E- Normal • Anticubital veins- Needle Track • Lungs- Decreased breath sounds, ronchi • Chest Xray- Ground glass appearance
  • 42.
  • 43.
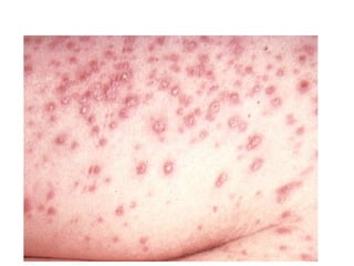
    CASE 6 • 27year old male • Newly diagnosed HIV (CD 4 count- 7 cells/mm3) • C/O- fever with chills, night sweats, myalgia, dry cough, loss of weight x 25 days • O/E- 2 - 3 mm hyperpigmented papules and dermal basophilic spherules 2 - 4 microns • Has been treated for Pneumonia
  • 48.
  • 49.
    Case 7 • 60year old farmer • c/o – Nasal obstruction, epistaxsis since one year . • No comorbid conditions • H/O Chronic smoking , occasional ethanolic • O/E- Mass noticed in left nostril, reddish in color, strawberry like in appearence
  • 52.
  • 53.
    CASE 8 • A70-year-old male • C/O- Bad breath and pus discharge from upper left region of jaw since one month. • K/C/O - Diabetes mellitus • Three months came to Emergency Department in an unconscious state- Diabetic ketoacidosis with renal failure
  • 59.
  • 60.
    Artefacts • Tissue componentssuch as Russell bodies, calcified bodies, elastic fibres and small blood vessels . • Silver precipitates- collagen, fibrin, elastin , neutrophils, cytolytic debris.
  • 61.
    • The KOHpreparation – unstained fungal elements in skin, hair and nails • Specimens- sputum and vaginal • Calcofluor white • Combination of the two. • India ink preparation - C. neoformans in CSF
  • 62.
    Newer Techniques • Immunohistochemistry. •In Situ Hybridization • In Situ Polymerase Chain Reaction • Fluorescent in situ hybridization (FISH)
  • 63.
    REFERENCES • Robbins andCotran , South Asia Edition, Volume I &II • Andersons 6 th Edition • Case Files Microbiology , Lange
  • 64.

Editor's Notes

  • #3 However, unless special techniques such as immunofluorescence are used, or the infecting fungus possesses unique structures such as spherules, definitive species identification of the aetiologic agent by histopathology is difficult. Nevertheless, it usually provides essential information before the fungus can be isolated in a mycology laboratory.
  • #4 H and E stain, on the other hand, is very useful to visualize the host’s response but is not a special fungal stain. It does not stain most of the fungi, except the Aspergillus spp. and the Zygomycetes. Thus, a combination of GMS and H and E is usually employed to visualize both the tissue reaction and the infecting fungus [Figures 3 and 4]. GMS is more advantageous because it stains old and non-viable fungal elements
  • #5 The major growth forms of the fungi that help in histopathologic diagnosis yeast cells- any small single cell which reproduce by budding hyphae- branching filaments that make up the mycelium of a fungus. Pseudohyphae-marked by constrictions rather than septa at the junctions arthroconidia-are a type of fungal spore typically produced by segmentation of pre-existing fungal hyphae chlamydoconidia -A thallic conidium that is thick-walled Spherules-a thick-walled spherical structure enclosing endospores and occurring in the parasitic form of fungi of the genus Coccidioides
  • #7 CUTANEOUS: limited to the dermis SUBCUTANEOUS : when infection penetrates significantly beneath the skin SYSTEMIC : when the infection is deep within the body or disseminated to internal organs
  • #10 Infarct & Asprgilloma
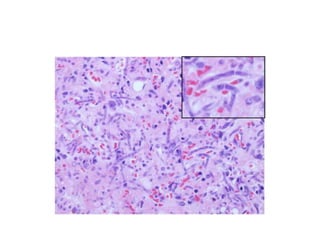
  • #11 Asperg hyphae lung. Hyphae are at acute angle at each other
  • #12 GMS Progressive acute angle dichotomous branching of aspergillus hyphae (Gomori methenamine-silver stain, original magnification600).
  • #14 Aspergillosis - Ubiquaitous fungus causing dis- healthy as well as immunocompromised Infection – By inhalation or innoculation ABPA- Hypersenstivity response to inhaled aspergillus Aspergilloma- Fungal ball mc in sinus or within an old tuberculous cavity. It has very small spore whch can penetrate deeper
  • #15 Infected form- arthroconidia- Skin and meninges This fungus is dimorphic- mold at room temperature and yeast at 35 degree
  • #16 Pics-0 lungs meninges, bones, liver, spleen Scanner
  • #17 10 x
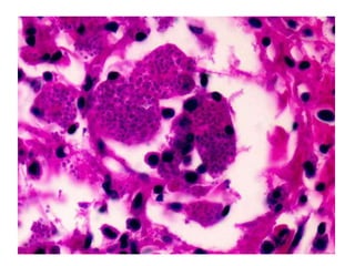
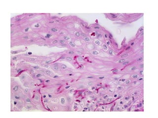
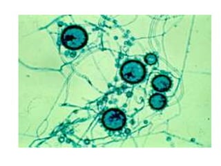
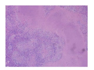
  • #18 10 x Granulomatous inflammation, large thick-walled spherules contain variable sized daughter cysts ? Pyogenic reaction occurs with release of endospores from rupture of spherules ? Variable fibrocaseous granulomata, military disease, pyogenic inflammation ? Immature nonendosporulating spherules can resemble nonbudding forms of Blastomyces dermatitidis (Can Respir J 2008;15:377)
  • #19 GMS Ten x
  • #20 Barrel shaped structure arthroconidia-are a type of fungal spore typically produced by segmentation of pre-existing fungal hyphae
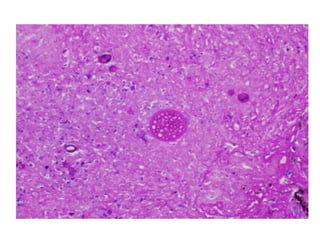
  • #21 This well-formed granuloma has a large Langhans giant cell in the center. Two small spherules of Coccidioides immitis are seen within the cytoplasm of the giant cell.
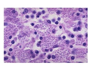
  • #22 Histoplasma- thin based pear shaped yeast cells Coccidomycosis- thick walled non- budding spherule 20 60 micron in diAMETER Blasto- 5- 15 micron yeast cells that divide by broad based budding . It has thick double contoured cell wall and a visible nucleus
  • #25 This is Candida esophagitis. Tan-yellow plaques are seen in the lower esophagus, along with mucosal hyperemia. The same lesions are also seen at the upper right in the stomach
  • #26 Candida albicans- Pseudohyphae
  • #27 PAS 40 x
  • #28  Densely matted pseudohyphae and budding spores in squamous debris, fibrinopurulent exudate or necrotic debris Underlying active esophagitis HIV patients may have invasion into muscularis propria and adventitia if untreated (Mycoses 1997;40 Suppl 1:81)
  • #29 PAS 40 x
  • #34 Cryptococci in perivascular space
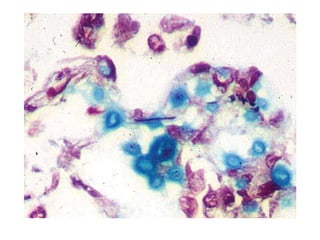
  • #35 Mucicarmine
  • #36 Alcian Blue
  • #37 PAS
  • #38 Mucicrmine stain
  • #39 CNS
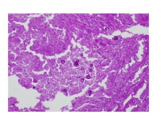
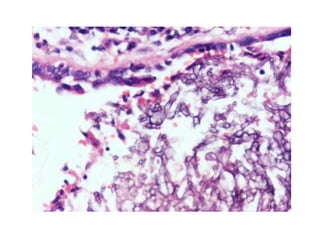
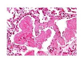
  • #41 40 x of pnemocystis h e the organisms spread to the interstitium of the lung, widen alveolar walls, and invade blood vessel walls (arrow). Some authors believe that alveolar walls then undergo lysis to form cavities [3]. Other authors have attributed the lysis to ischemic necrosis caused by a necrotizing angiitis [4]. Note that there is little inflammatory reaction.
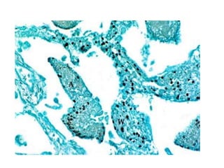
  • #42 An adjacent section was stained with the GMS stain to show the presence of spore cases both in the alveolar space (A) and alveolar wall (W).
  • #43 The foamy pink exudate stains with the PAS stain after diastase digestion. It is composed of trophic forms, surfactant phospholipids, cell debris, and host-derived proteins [2]. The faint dots in the exudate correspond to nuclei of the trophic forms.
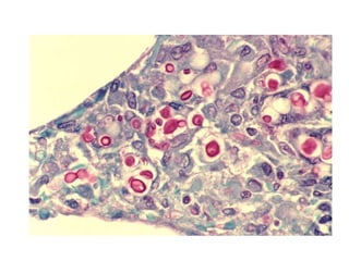
  • #47 Histoplasma infection skinmicro1breast Isolated intracellular organisms and large aggregates surrounded by chronic inflammatory cells and fibroblasts (but no neutrophils or eosinophils); also epithelioid granulomas with variable caseation May be narrow based budding of spores
  • #48 histoplasma in macrophages
  • #49 Slide culture with small microconidia and tuberculate macroconidia Culture shows tan-white-brown wooly mold at 25 - 30 C on Sabouraud dextrose agar Organisms have delicate, septate hyphae, 1 - 2 microns thick, with large rough-walled macroconidia 5 - 15 microns Reverts to yeast at 37 C on sheep blood agar Yeast is 2 - 4 microns, budding, single nuclei, round/oval with thin rigid walls
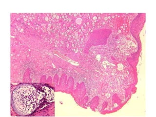
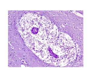
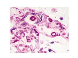
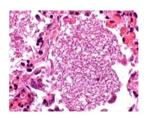
  • #52 Nasal rhinosporidiosis. In the insert, globular cyst containing endospores (Haematoxylin & Eosin, 50×; in the insert, 400× . Each of these cysts represented a thick-walled sporangium containing numerous "daughter spores" in different stages of development (Fig. 1). The stroma contained
  • #53 Gomori methenamine silver stain and, in the insert, periodic acid-Schiff stain (200×; in the insert, 400×).On histological examination, the lesion showed the characteristic features of the rhinosporidiosis: the polypoid fibroconnective stroma, covered by flat multi-stratified squamous epithelium, contained many globular cysts. Each of these cysts represented a thick-walled sporangium containing numerous "daughter spores" in different stages of development (Fig. 1). The stroma contained a vascular fibroconnective tissue with fibroblasts and myofibroblasts and an inflammatory infiltrate (neutrophil granulocytes, lymphocytes, plasma cells and histiocytes). Histochemical stains such as PAS, GMS (Fig. 2) and mucicarmine were used to establish the correct diagnosis of rhinosporidiosis. Morphological criteria were based on the diameter of the endospores and sporangia, respectively 5–10 μm and 50– 1000 μm. These findings made easier the distinction of Rhinosporidium seeberi from another common nasal mycosis
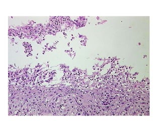
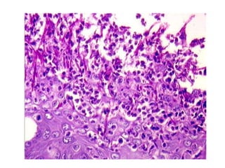
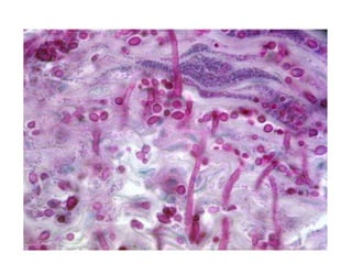
  • #57 Showing fungal hyphae (H&E, ×40) Histology of the received specimen showed stratiÞ ed squamous epithelium which was ulcerated with intraepithelial split formation; underlying connective tissue showed numerous minor salivary glands, ducts and muscle tissue. Large amounts of necrotic tissue were evident with cellular degeneration and debris [Figure 4]. Fungal hyphae were seen with neutrophil inÞ ltration and generalized chronic inß ammatory cell inÞ ltrate within connective tissue. Hyphae were aseptate, branched and resembled mucormycosis. Areas of hemorrhage were present
  • #58 Hemotoxylin and Eosin stain histopathology showing necrotic and edematous tissue with neutrophilic infiltrate and hyphae.
  • #59 Grocott-Gomori methenamine-silver (GMS) stain highlighting fungal elements.
  • #62 Any excess silver precipitate makes interpretation difficult or impossible because collagen, fragmented elastin fibres, mucin, neutrophil granules and cytolytic debris stain with silver precipitation techniques.
  • #63  sputum and vaginal secretions that contain large amounts of cellular material, because KOH dissolves keratin and much of the other interfering background protein-rich debris Many laboratories have substituted calcofluor white for KOH or use a combination of the two reagents. Calcofluor white is a fluorescent brightener or whitening agent that binds to cellulose and chitin in fungal cell walls and fluoresces with a blue white colour when exposed to ultraviolet radiation