ORBITAL
PATHOLOGIES
Dr. Mohit Goel
JRIII
TRAUMA
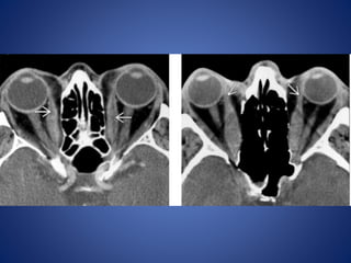
Ruptured globe - flat tire sign
Ocular rupture
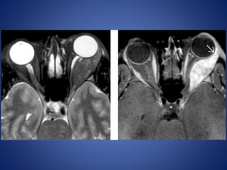
Ocular trauma and choroidal hematoma
Choroidal hematoma following ocular surgery
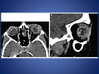
Perforation and collapse of the globe
Partially dislocated lens
Perforation of the cornea
Corneal laceration
Corneal ulceration
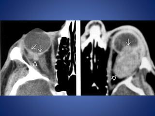
Acute perforation of the lens capsule
Retinal hemorrhage
Configuration of collection is cresent shaped or V shaped on axial
sections.
Limbs of V represent detached leaves of retina converging towards
optic disc represent the apex of V.
Collection anteriorly extend upto ora serrata represent anterior
limit due to normal anterior attachment of retina.
Retinal detachment
Retinal detachment
Choroidal detachment
Choroidal detachment is accumulation of blood or fluid in supra
choroidal space between choroid and sclera, so collection extend
circumferentially along the entire supra choroidal space ,
configuration is lentiform shaped along medial as well as lateral wall
of globe, choroid bulging medially on either side giving so called
kissing choroid sign.
Anteriorly extend upto ciliary bodies and posterior limit formed by
anchoring effect of short posterior ciliary arteries and nerves
preventing convergence of detached choroidal leaves to a single
point.
Choroidal detachment
Posttraumatic hemorrhagic choroidal detachment
Vitreous hemorrhage
MR imaging may be of value, particularly for detecting
nonmetallic foreign bodies.
However, a metallic foreign body must be definitively ruled
out before MR imaging is performed.
Failure to detect a metallic foreign body before performing
MR imaging may result in blindness.
Fortunately, CT is a very sensitive imaging modality that can
demonstrate metal fragments less than 1 mm in size.
FOREIGN BODY
Metallic foreign body inside the globe
Non-metallic foreign body
Traumatic Carotid cavernous fistula
Optic Nerve Injuries
ORBITAL INFECTIONS
IDIOPATHIC ORBITAL INFLAMMATORY DISEASE
Orbital pseudotumour is an
idiopathic inflammatory
condition that usually involves
the extraocular muscles
although, in some cases there
is inflammatory change involving
the uvea, sclera, lacrimal gland
and retrobulbar soft tissues.
Orbital and periorbital cellulitis
It is important to differentiate between orbital and periorbial
cellulitis, as this has theraputic and prognostic implications:
1. peri-orbital cellulitis (pre-septal cellulitis) is limited to the soft
tissues anterior to the orbital septum. This condition is often
managed with oral antibiotics
2. orbital cellulitis refers to a post-septal infection (i.e. is behind or
extends posterior to the orbital septum). This is a more serious
condition requiring hospitalisation and parental antibiotics.
Complications such as intraorbital abscess formation may require
surgical intervention
Pre-septal cellulitis
Pre-septal cellulitis
Post-septal cellulitis
SUBPERIOSTEAL ABSCESS
Accumulation of pus between orbital wall (usually medial) and orbital periosteum.
OPTIC NEURITIS
Acute inflammation of optic nerve , commonly associated with multiple
sclerosis.
Edema and inflammatory cells infiltrate the nerve resulting in uniform
swelling and focal demyelination.
Imaging : MRI is the modality of choice with hyper intense signal of
T2WI due to fluid and edema. Fat Sat contrast enhanced T1WI will show
areas of demyelination. CT relatively insensitive.
Straightening and thickening
of right optic nerve.
Optic Neuritis. CE Fat Sat T1W axial (B) MR images demonstrate subtle
enlargement and enhancement of the left optic nerve (curved arrow).
T2WI (C) demonstrates corresponding increased signal intensity (straight
arrow).
Thyroid associated orbitopathy
It is the most common cause of proptosis in adults, and is most
frequently associated with Graves disease.
The extra-ocular muscles are involved in a predictable fashion as
remembered by the I'M SLOW mnemonic.
Involvement of the rectus muscles in decreasing order of frequency:
1. inferior
2. medial
3. superior
4. lateral
5. obliques
Neoplastic lesions
RETINOBLASTOMA
Trilateral RB:
Bilateral ocular tumors plus midline intracranial neuroblastic
tumor, typically pineal
Quadrilateral (tetralateral) RB:
Bilateral disease plus pineal and suprasellar tumor
Trilateral RB
Quadrilateral RB
OCULAR MELANOMA
OPTIC PATHWAY GLIOMA
INTRACRANIAL
PATHOLOGIES
CAUSING
VISION LOSS
Pituitary macroadenoma causing compression on optic chiasm
A variety of pathologic conditions can affect cranial nerve III.
Its close association with the posterior cerebral and superior
cerebellar arteries makes cranial nerve III susceptible to
compression by vascular lesions such as posterior communicating
artery aneurysms.
Cranial nerve IV is the only cranial nerve to exit the dorsal brainstem, and each
superior oblique muscle is innervated by the contralateral cranial nerve IV
nucleus.
The cisternal portion of cranial nerve VI exits the brainstem near
the midline through the space between the pons and the
pyramid of the medulla oblongata.
The nerve courses anteriorly in the prepontine cistern and
penetrates the dura mater to enter the Dorello canal and then
the cavernous sinus, where it is the only nerve to travel within
the venous sinusoids of the cavernous sinus (cranial nerves III, IV,
V1, and V2 all lie within the lateral dural wall of the cavernous
sinus).
Orbital pathologies radiology
Orbital pathologies radiology

Orbital pathologies radiology

  • 1.
  • 2.
  • 3.
    Ruptured globe -flat tire sign
  • 4.
  • 5.
    Ocular trauma andchoroidal hematoma
  • 6.
  • 7.
  • 11.
  • 12.
  • 13.
  • 14.
  • 15.
    Acute perforation ofthe lens capsule
  • 16.
  • 17.
    Configuration of collectionis cresent shaped or V shaped on axial sections. Limbs of V represent detached leaves of retina converging towards optic disc represent the apex of V. Collection anteriorly extend upto ora serrata represent anterior limit due to normal anterior attachment of retina. Retinal detachment
  • 18.
  • 19.
    Choroidal detachment Choroidal detachmentis accumulation of blood or fluid in supra choroidal space between choroid and sclera, so collection extend circumferentially along the entire supra choroidal space , configuration is lentiform shaped along medial as well as lateral wall of globe, choroid bulging medially on either side giving so called kissing choroid sign. Anteriorly extend upto ciliary bodies and posterior limit formed by anchoring effect of short posterior ciliary arteries and nerves preventing convergence of detached choroidal leaves to a single point.
  • 20.
  • 21.
  • 22.
  • 23.
    MR imaging maybe of value, particularly for detecting nonmetallic foreign bodies. However, a metallic foreign body must be definitively ruled out before MR imaging is performed. Failure to detect a metallic foreign body before performing MR imaging may result in blindness. Fortunately, CT is a very sensitive imaging modality that can demonstrate metal fragments less than 1 mm in size. FOREIGN BODY
  • 24.
    Metallic foreign bodyinside the globe
  • 26.
  • 28.
  • 29.
  • 30.
  • 31.
    IDIOPATHIC ORBITAL INFLAMMATORYDISEASE Orbital pseudotumour is an idiopathic inflammatory condition that usually involves the extraocular muscles although, in some cases there is inflammatory change involving the uvea, sclera, lacrimal gland and retrobulbar soft tissues.
  • 34.
    Orbital and periorbitalcellulitis It is important to differentiate between orbital and periorbial cellulitis, as this has theraputic and prognostic implications: 1. peri-orbital cellulitis (pre-septal cellulitis) is limited to the soft tissues anterior to the orbital septum. This condition is often managed with oral antibiotics 2. orbital cellulitis refers to a post-septal infection (i.e. is behind or extends posterior to the orbital septum). This is a more serious condition requiring hospitalisation and parental antibiotics. Complications such as intraorbital abscess formation may require surgical intervention
  • 37.
  • 38.
  • 39.
  • 40.
    SUBPERIOSTEAL ABSCESS Accumulation ofpus between orbital wall (usually medial) and orbital periosteum.
  • 41.
    OPTIC NEURITIS Acute inflammationof optic nerve , commonly associated with multiple sclerosis. Edema and inflammatory cells infiltrate the nerve resulting in uniform swelling and focal demyelination. Imaging : MRI is the modality of choice with hyper intense signal of T2WI due to fluid and edema. Fat Sat contrast enhanced T1WI will show areas of demyelination. CT relatively insensitive. Straightening and thickening of right optic nerve.
  • 42.
    Optic Neuritis. CEFat Sat T1W axial (B) MR images demonstrate subtle enlargement and enhancement of the left optic nerve (curved arrow). T2WI (C) demonstrates corresponding increased signal intensity (straight arrow).
  • 43.
    Thyroid associated orbitopathy Itis the most common cause of proptosis in adults, and is most frequently associated with Graves disease. The extra-ocular muscles are involved in a predictable fashion as remembered by the I'M SLOW mnemonic. Involvement of the rectus muscles in decreasing order of frequency: 1. inferior 2. medial 3. superior 4. lateral 5. obliques
  • 46.
  • 47.
  • 49.
    Trilateral RB: Bilateral oculartumors plus midline intracranial neuroblastic tumor, typically pineal Quadrilateral (tetralateral) RB: Bilateral disease plus pineal and suprasellar tumor
  • 50.
  • 51.
  • 53.
  • 56.
  • 58.
  • 59.
    Pituitary macroadenoma causingcompression on optic chiasm
  • 61.
    A variety ofpathologic conditions can affect cranial nerve III. Its close association with the posterior cerebral and superior cerebellar arteries makes cranial nerve III susceptible to compression by vascular lesions such as posterior communicating artery aneurysms.
  • 62.
    Cranial nerve IVis the only cranial nerve to exit the dorsal brainstem, and each superior oblique muscle is innervated by the contralateral cranial nerve IV nucleus.
  • 64.
    The cisternal portionof cranial nerve VI exits the brainstem near the midline through the space between the pons and the pyramid of the medulla oblongata. The nerve courses anteriorly in the prepontine cistern and penetrates the dura mater to enter the Dorello canal and then the cavernous sinus, where it is the only nerve to travel within the venous sinusoids of the cavernous sinus (cranial nerves III, IV, V1, and V2 all lie within the lateral dural wall of the cavernous sinus).

Editor's Notes

  • #5 Ocular rupture. Axial CT scan shows deformity of the left eye with uveoscleral infolding due to ocular hypotony related to a rupture.
  • #6 Ocular trauma and choroidal hematoma. Axial CT scan shows a hyperdense left choroidal hematoma. This can be confused with a choroidal melanoma.
  • #7 Choroidal hematoma following ocular surgery. Axial CT scan shows multiple choroidal hematomas of various sizes involving the left eye.
  • #8 Perforation and collapse of the globe. posterior aspect of the globe, Axial CT scans show infolding (arrowheads) of the posterior aspect of the globe, and the lens (arrow) is partially displaced.
  • #9 A, Axial CT scan shows the intraocular lens (arrow) on the right side. Left globe has lost tone and has partially collapsed, with infolding of the posterior sclera. B, Sagittal reconstruction shows the displacement of the lens (arrowhead) into the posterior aspect of the vitreous compartment.
  • #10 Acute perforation of the globe on the right side. Phthisis bulbi and calcified lens on the left side. There is inward buckling of the sclera of the right globe after acute trauma. There is calcification along the wall of the globe on the left, with a calcified lens (arrow) from a previous insult.
  • #11 dislocated or luxated to the dependent part of the patients eyeball, close to the retina
  • #13 Perforation of the cornea. Axial CT scan shows perforation of the cornea with hypotony of the aqueous chamber. The fluid space between the cornea and the lens on the right side (arrowhead) is diminished compared to the left. A normal aqueous chamber is seen on the left side (arrow).
  • #14 axial CT scan shows decreased volume of the anterior chamber
  • #15 severe corneal ulceration and collapse of the anterior chamber of the eyeball due to escape of aqueous humor.
  • #16 Axial CT. Acute perforation of the lens capsule. The abnormal lens (arrowhead) has low density due to the influx of fluid diluting the normally high protein of the lens. Compare with the opposite side.
  • #17 Retinal hemorrhage in a boy less than 1 year old who presented with trauma. - fluid-fluid level
  • #23 81-yearold woman receiving anticoagulation therapy, who presented after a trauma, shows an extensive vitreous hemorrhage.
  • #27 Penetrating injury from a tree branch in a 7-year-old boy. The branch was removed, and unenhanced CT was performed to evaluate for any remaining foreign bodies. (a)CT scan does not shows any definite foreign body. Three days later, the eye became infected, and contrast-enhanced CT was performed. (b)CT scan shows soft-tissue swelling and abnormal enhancement consistent with the infection, but no definite foreign body is seen.
  • #28 (c, d) Coronal unenhanced T2-weighted inversion recovery MR image (c) and coronal contrast-enhanced T1-weighted fat-sat (d) show the infection surrounding a low-signal-intensity foreign body. During surgery, a small piece of wood was removed.
  • #29 Carotid cavernous fistula in a 16-year-old boy who presented with exophthalmos and objective pulsatile tinnitus after trauma. (a) Axial CT angiogram shows dilatation of the periorbital veins and the left superior opthalmic vein and a dilated left cavernous sinus. (b) Sagittal CT angiogram shows an apparent communication between the cavernous segment of the internal carotid artery and the cavernous sinus (arrow).
  • #30 Pt. presented with multiple facial fractures and decreasing vision in his right eye. Axial unenhanced CT scan shows a right orbital apex fracture with a bone fragment impinging on the optic nerve
  • #33 (Left) Axial STIR MR shows tumefactive enlargement of left lateral rectus muscle with proptosis. The relatively low signal of mass reflects the cellular nature of the inflammatory infiltrate (pseudotumor). (Right) Axial T1 C+ MR shows marked, slightly heterogeneous enhancement of the massively enlarged left lateral rectus muscle. Note that the tendinous insertion is involved (arrow)
  • #34 Axial CECT in a patient with acute onset orbital pseudotumor shows bilateral marked enlargement and enhancement of the lacrimal glands (arrows).
  • #37 Orbital septum separates preseptal space from orbit. Orbital septum is a connective tissue extension of periosteum reflected into upper and lower eyelids. It serves as a barrier to spread of infection to the orbit.
  • #38 Inflammation and swelling of soft tissues anterior to, but not posterior to the orbital septum, consistent with periorbital cellulitis.
  • #39 Axial contrast-enhanced CT image of the orbit shows soft tissue thickening of the right preseptal region (between arrows). The retroorbital fat is normal (arrowheads).
  • #40 CT (C+ arterial phase) Increased attenuation of fat planes of left peri-orbital area with extraconal extension along the medial rectus muscle.
  • #46 (Left) Axial CECT shows bilateral enlargement of medial rectus muscles. (Right) enlarged rectus muscle bellies is seen causing crowding at the apex, and sparing of the tendons anteriorly (arrows)
  • #51 (Left) Axial T2WI MR shows bilateral intraocular retinoblastomas that appear heterogeneously hypointense to vitreous. (Right) Axial TlWI MR in a patient with bilateral retinoblastoma shows an intensely enhancing pineal region primitive neuroectodermal tumor (PNET), representing trilateral disease
  • #52 Tetralateral retinoblastoma. A, Axial T2-weighted MR image shows bilateral retinoblastoma (arrows). B, Enhanced axial T1-weighted MR image shows a markedly enhancing suprasellar mass (m). Note the subarachnoid spread of the tumor, seen as leptomeningeal enhancement along the sylvian fissures (arrows). C, Enhanced axial T1-weighted MR image shows marked enhancement of a pinealoblastoma (arrow). D, Enhanced sagittal T1-weighted MR image obtained a few months later shows diffuse distal spinal cord (C ) and subarachnoid metastases (arrows).
  • #55 Dome shaped mass posteriorly (arrow), with a focal lobulation. A small retinal detachment is present (curved arrow).
  • #56 Axial CECT shows a melanoma of the posterior choroid in the right eye (arrows), with transscleral extension into the retrobulbar space (open arrow).
  • #57 T7 C+ MR shows smooth, slightly lobular, tortuous enlargement of the left optic nerve (arrow). The optic pathway glioma extends into the left optic canal (open arrow)
  • #58 Enlargement of chiasm and b/l proximal optic nerve segment due to glioma
  • #62 left posterior communicating artery aneurysm (arrow) compressing cranial nerve III.
  • #63 Drawing illustrates cranial nerve IV nuclei in the midbrain at the level of the inferior colliculus (IC). CA = cerebral aqueduct, CST = corticospinal tract, IV = cranial nerve IV, SN = substantia nigra, ST = spinothalamic tract, TN = trochlear nerve nucleus Epidermoid tumor in a 63-year-old man who presented with intermittent diplopia and seizures axial T2-weighted (c) MR images show a mass that is isointense relative to cerebrospinal fluid (arrow) compressing the left trochlear nerve in the ambient cistern.
  • #64 Sagittal T1-weighted and axial diffusion-weighted MR image, the mass restricts diffusion (arrow), a finding that strongly supports the diagnosis of epidermoid tumor.
  • #66 Meningioma in a 46-year-old man with right sixth nerve palsy. Sagittal T1-weighted (a), axial T2-weighted (b), MR images demonstrate an enhancing mass (arrow) compressing the right abducens nerve