EVALUATION OF A CASE OF
PROPTOSIS
Dr $amarth Mishra
Exophthalmos is defined in dorland’s medical dictionary
as an “abnormal protrusion of the eyeball; also labeled as
proptosis
Henderson reserves the use of the word exophthalmos for
those cases of proptosis secondary to endocrinological
dysfunction.
 Exophthalmos: Term is reserved for describing prominence of eyes secondary to
thyroid disease.
 Proptosis: Signifies protrusion of eyeball due to all other causes.
 Dystopia: Displacement of globe in coronal plane.
It may coexist with proptosis or enophthalmos
Exorbitism: This is caused due to decrease in
the volume of orbit causing the orbital contents
to protrude forwards.
Should be differentiated from proptosis/exophthalmos.
Objective of clinical evaluation:
-Determination of probable etiology
-Plan of imaging.
-Plan of management.
 Pseudoproptosis needs to be ruled out as false impression of
proptosis which may be given by:
-High myopia( unilateral enlargement of globe)
-Unilateral lid retraction.
-Enophthalmos of C/L eye
-Paralysis of extrinsic muscles.
Algorithm for approach to a case of proptosis:
History
Ocular & systemic examination
Specific examination of proptosis
Provisional diagnosis
Imaging
Revision of provisional diagnosis( if required)
Investigations
Confirmation by histopathological examination
Management plan( according to final diagnosis)
Monitoring course of disease
A) HISTORY:
 A complete history should be recorded.
 Evaluation of the patient with exophthalmos begins with a thorough
ophthalmic and medical history.
 When concomitant sinus disease or an intranasal source is
suspected, a speculum or endoscopic intranasal examination is
warranted
 Time course of disease: acute( hours-days), subacute(weeks),
chronic(months/years)
 ACUTE:
-traumatic: e.g orbital hematoma
-infective: e.g orbital cellulitis
SUBACUTE:
-inflammatory: e.g orbital inflammatory diseases, thyroid orbitopathy.
-neoplastic.
CHRONIC:
-neoplastic, benign/malignant
-inflammatory.
 Progression: The proptosis my be progressive,static or waxing-
waning.
 Rare cases of intermittent proptosis are caused by dumb-bell
dermoids,with components in the orbit & the temporal fossa.
 Medical & systemic history: pt asked for h/o malignancy,weight
loss,smoking.
 Biological effects of disease: pain, swelling around the
eye,diminished vision,watering, diplopia.
B) OCULAR EXAMINATION:
 Visual acuity: diminution d/t optic nerve compression, corneal
exposure.
 Refraction: acquired hyperopia d/t mass indenting the posterior pole
of globe, high myopia causing pseudoproptosis.
 IOP: thyroid orbitopathy( d/t restriction of movt.), aretriovenous
fistula (d/t elevated venous pressure)
 Conjunctiva: chemosis (in severe inflammation),
salmon colored patch (in lymphoma),
dilated episcleral vessels (carotid cavernous fistula)
 Eyelids: lid retraction,lid lag in thyroid orbitopathy,
S-shaped lid thickening (neurofibromatosis),lagophthalmos
 Cornea: exposure keratopathy.
 Iris: lisch nodules. (neurofibromatosis).
 Pupil: RAPD
 Ocular motility limitations: direct muscle involvement by disease,
mechanical limitation,compression of nerves, cavernous sinus
thrombosis.
 Fundus examination: optic disc edema, disc pallor, choroidal/ ILM folds.
MEASUREMENTS:
Asymmetry > 2mm or more b/w the eyes.
OR
Protrusion greater than
-13-15mm in east asians
-21mm in caucasian adults.
-23mm in adult african-americans
Clinical methods for measurement of proptosis:
 A) PLASTIC RULER: can measure proptosis from the lateral orbital
rim to the corneal apex,holding the ruler parallel to ground.
 B)LUEDDE’S EXOPHTHALMOMETER: has several advantages
-notch confirms to lateral orbital rim.
-the scale starts from tip of instrument,where the notch meets the
lateral orbital rim.
-markings on both sides help to avoid parallax error.
-luedde’s exophthalmometer is better than hertel’s if there is facial
asymmetry.
C) HERTEL’S EXOPHTHALMOMETER: m/c used.
-it may use prisms or mirrors set at 45 degree angles.
-it is best for serial follow up of patients.
D) NAUGLE’S EXOPHTHALMOMTER:
-In case of acquired or congential asymmetry of the lateral orbital rims a
Hertel exophthalmometer is misleading
-This is an inferior & superior rim based instrument.
-may be used when the lateral orbital rim is not intact.
SOURCES OF ERROR IN EXOPHTHALMOMETRY:
A)failure to have pt look straight.
B)failure to have cross bar parallel to floor.
C)parallax error.
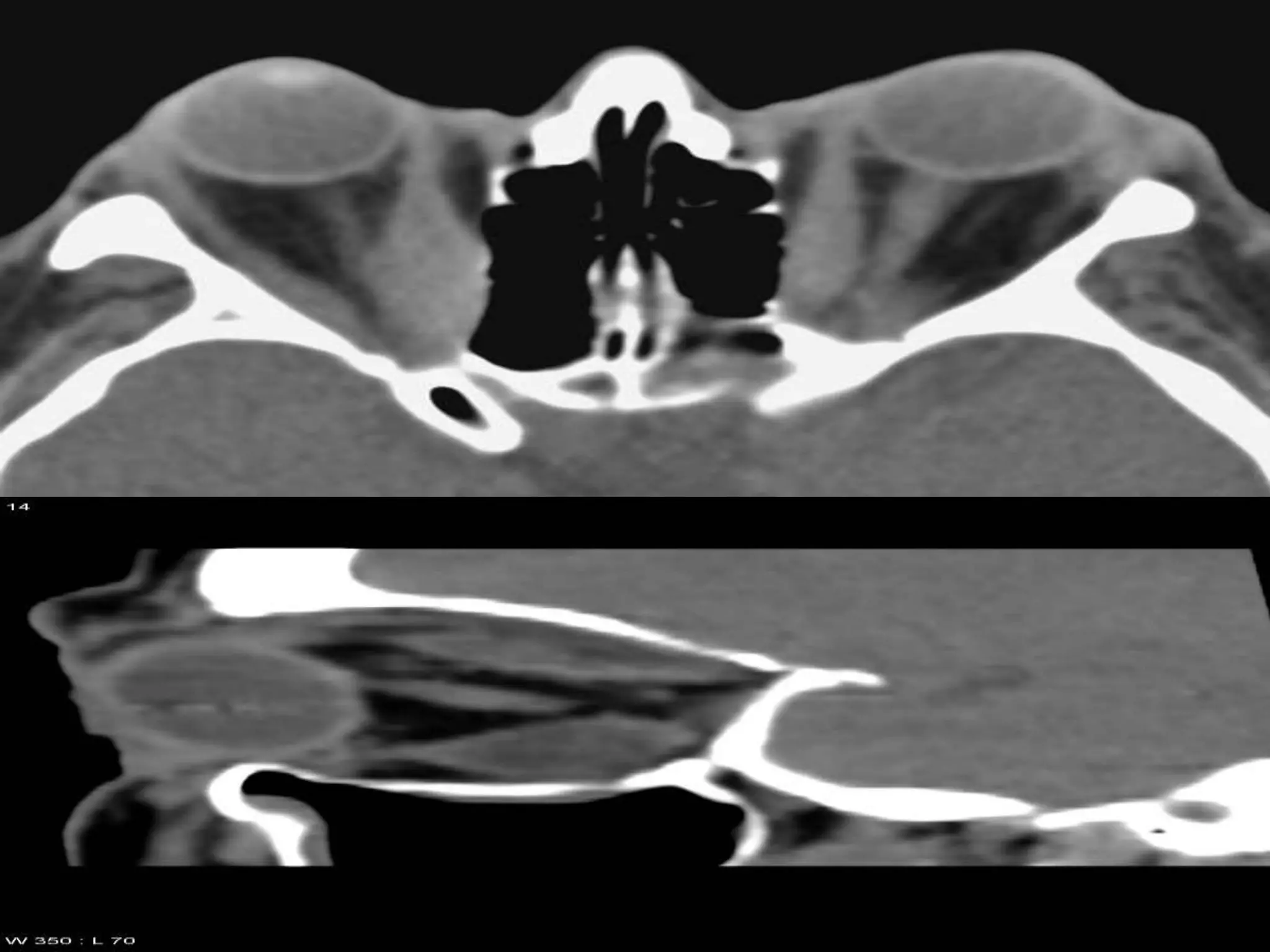
MEASURING PROPTOSIS ON A CT
SCAN
HILAL AND TROKEL METHOD:
-In a mid axial CT scan image,a baseline between the tips of lateral
orbital rims is drawn.
-a perpendicular from each corneal apex to this line is dropped &
measured to scale.
if each line > 21mm
or indicates abnormality.
if asymmetry >2mm b/w two
Quick clinical assessment of proptosis:
Worm’s eye view: looking up at pt from below,while pt tilts his head
back.
Measurement of dystopia:
-In an eccentric or non axial proptosis, the horizontal & vertical dystopia
of globe is to be measured.
-Horizontal dystopia :is measured by the distance from the midline of
bridge of nose to the nasal limbus, compared bilaterally.
-Vertical dystopia :is measured by the superior or inferior deviation of
the central corneal reflex of the proptotic eye from a horizontal line
passing through the centre of normal eye.
CLINICAL ASSESSMENT OF THE MASS:
 Inspection of face: may show characteristic features of cranio-
synostosis, temporal fossa fullness in sphenoid ridge meningioma.
 Palpation: The orbital mass may be palpable.
- mass is evaluated for the
extent,border,size,consistency,tenderness,skin over the lesion &
whether a finger can be insinuated b/w mass & bony orbital rim.
-most mass lesions which are large enough to extend across the
midline of orbit are malignant.
-resistance to retro-displacement of the globe may indicate a tumor or
thyroid orbitopathy.
LATERALITY ON INSPECTION:
UNILATERAL PROPTOSIS:
 dermoid cysts,orbital teratoma,congenital cystic eyeball,
 Orbital hemorrhage,traumatic aneurysm,
 Cellulitis/abscess, cavernous sinus thrombosis
 TED,pseudotumour
 Varices,tumors,cysts.
BILATERAL PROPTOSIS:
 craniofacial synostosis,osteitis deformans,rickets
 TED,mickulicz syndrome
 Histiocytosis,amyloidosis,wegener’s granulomatosis,
 Tumors.
 PULSATION:
-best detected on lateral view/ while using applanation tonometer.
-e.g arterio-venous fistula (high flow carotid-cavernous fistula), Aneurysms.
(dilated episcleral vessels in arterio-venous fistula)
OR
Due to transmitted pulsation through a defect in the bony orbital wall.
e.g : Sphenoid wing dysplasia ( in neurobibromatosis),
Meningo encephalocele,
Herniation of frontal lobe of brain into orbit following trauma.
AUSCULTATION:
- carotid-cavercous fistula bruit heard best by the bell of
stethoscope
- INVESTIGATIONS:
Imaging studies Thyroid function tests complete
blood count
-CT scan[axial/coronal/sagittal](most useful) T3,T4,TSH blood
culture
-MRI nasal
culture
-ocular ultrasound(USG) casoni’s
test,
montoux
test,
-X ray urine analysis(bence
jones protein)
c-
ANCA,ACE,ANA
PROPTOSIS:
A) AXIAL B) ECCENTRIC
 Axial proptosis:
lesions of intraconal space arising from optic nerve or central space.
E.g
-optic nerve glioma
-optic nerve sheath meningioma
-cavernous hemangioma
-schwannoma
-neurofibroma
-orbital varix,hydatid cyst etc.
CAUSES OF ABAXIAL DISPLACEMENT OF GLOBE:
Downward displacement:
-fibrous dysplasia
-frontal mucocele
-subperiosteal hematoma
-lymphoma
-neuroblastoma
-neurofibroma
-schwannoma
-thyroid orbitopathy
Upward displacement of globe:
-Lacrimal sac tumour
-lymphoma
-maxillary sinus tumour
-metastatic tumors
Lateral displacement of globe:
-Lacrimal sac tumors.
-ethmoid mucocele metastatic tumors
-lethal midline granuloma
-nasopharyngeal tumors
-rhabdomyosarcoma
 Medial displacmenet of globe:
-Lacrimal gland tumors
-sphenoid wing meningioma
Classification of causes of proptosis:
Infectious: Orbital cellulitis,Mucormycosis,subperiosteal
abscess,gumma,Concurrent sinus disease
Inflammatory :Orbital inflammatory syndrome (orbital pseudotumor, benign
orbital inflammation,IOIS),Thyroid orbitopathy,sarcoidosis,histiocytosis.
Vasculitis: Wegener granulomatosis,Churg-Strauss syndrome ,Poly arteritis
Nodosa
Orbital vascular disease: Orbital varix (venous malformation) Orbital
arteriovenous malformation (carotid-cavernous sinus fistula,
arteriovenous malformation)
Trauma: Traumatic or iatrogenic orbital hemorrhage, Orbital blow out
fractures, Facial fractures,retained foreign body
Pseudoproptosis (pseudoexophthalmos): Buphthalmos
,Contralateral enophthalmos ,Ipsilateral lid retraction ,Axial myopia
,Contralateral blepharoptosis.
Neoplastic : Leukemia,optic nerve Glioma,optic nerve sheath
meningioma,leukaemia,retinoblastoma,neurofibroma,metastasis,rhabdo
myosarcoma,lymphangioma, Lacrimal Lymphoma ,pleomorphic lacrimal
gland adenoma.
EWING’S SARCOMA
MASSIVE HEAD ACTINOMYCETOMA WITH SEVERE
BILATERAL PROPTOSIS
OPTIC NERVE SHEATH MENINGIOMA
OPTIC NERVE GLIOMA
LYMPHANGIOMA
RHABDOMYOSARCOMA
PFEIFFER SYNDROME:
CAVERNOUS HEMANGIOMA
CAROTID-CAVERNOUS FISTULA (ARTERIO-VENOUS FISTULA)
CAPILLARY HEMANGIOMA
KEY POINTS
 The most common cause of bilateral proptosis is Graves disease.
 Acute unilateral proptosis suggests infection or vascular disorder (eg,
hemorrhage, fistula, cavernous sinus thrombosis).
 Chronic unilateral proptosis suggests tumor.
 Do CT or MRI and thyroid function testing when Graves disease is
suspected.
 Apply lubrication to exposed cornea.
THANK YOU..

Evaluation of proptosis

  • 1.
    EVALUATION OF ACASE OF PROPTOSIS Dr $amarth Mishra
  • 2.
    Exophthalmos is definedin dorland’s medical dictionary as an “abnormal protrusion of the eyeball; also labeled as proptosis Henderson reserves the use of the word exophthalmos for those cases of proptosis secondary to endocrinological dysfunction.
  • 3.
     Exophthalmos: Termis reserved for describing prominence of eyes secondary to thyroid disease.  Proptosis: Signifies protrusion of eyeball due to all other causes.  Dystopia: Displacement of globe in coronal plane. It may coexist with proptosis or enophthalmos Exorbitism: This is caused due to decrease in the volume of orbit causing the orbital contents to protrude forwards. Should be differentiated from proptosis/exophthalmos.
  • 4.
    Objective of clinicalevaluation: -Determination of probable etiology -Plan of imaging. -Plan of management.  Pseudoproptosis needs to be ruled out as false impression of proptosis which may be given by: -High myopia( unilateral enlargement of globe) -Unilateral lid retraction. -Enophthalmos of C/L eye -Paralysis of extrinsic muscles.
  • 5.
    Algorithm for approachto a case of proptosis: History Ocular & systemic examination Specific examination of proptosis Provisional diagnosis Imaging Revision of provisional diagnosis( if required) Investigations Confirmation by histopathological examination Management plan( according to final diagnosis) Monitoring course of disease
  • 6.
    A) HISTORY:  Acomplete history should be recorded.  Evaluation of the patient with exophthalmos begins with a thorough ophthalmic and medical history.  When concomitant sinus disease or an intranasal source is suspected, a speculum or endoscopic intranasal examination is warranted  Time course of disease: acute( hours-days), subacute(weeks), chronic(months/years)
  • 7.
     ACUTE: -traumatic: e.gorbital hematoma -infective: e.g orbital cellulitis SUBACUTE: -inflammatory: e.g orbital inflammatory diseases, thyroid orbitopathy. -neoplastic. CHRONIC: -neoplastic, benign/malignant -inflammatory.
  • 9.
     Progression: Theproptosis my be progressive,static or waxing- waning.  Rare cases of intermittent proptosis are caused by dumb-bell dermoids,with components in the orbit & the temporal fossa.  Medical & systemic history: pt asked for h/o malignancy,weight loss,smoking.  Biological effects of disease: pain, swelling around the eye,diminished vision,watering, diplopia.
  • 11.
    B) OCULAR EXAMINATION: Visual acuity: diminution d/t optic nerve compression, corneal exposure.  Refraction: acquired hyperopia d/t mass indenting the posterior pole of globe, high myopia causing pseudoproptosis.  IOP: thyroid orbitopathy( d/t restriction of movt.), aretriovenous fistula (d/t elevated venous pressure)  Conjunctiva: chemosis (in severe inflammation), salmon colored patch (in lymphoma), dilated episcleral vessels (carotid cavernous fistula)
  • 12.
     Eyelids: lidretraction,lid lag in thyroid orbitopathy, S-shaped lid thickening (neurofibromatosis),lagophthalmos  Cornea: exposure keratopathy.  Iris: lisch nodules. (neurofibromatosis).
  • 13.
     Pupil: RAPD Ocular motility limitations: direct muscle involvement by disease, mechanical limitation,compression of nerves, cavernous sinus thrombosis.  Fundus examination: optic disc edema, disc pallor, choroidal/ ILM folds.
  • 14.
    MEASUREMENTS: Asymmetry > 2mmor more b/w the eyes. OR Protrusion greater than -13-15mm in east asians -21mm in caucasian adults. -23mm in adult african-americans
  • 15.
    Clinical methods formeasurement of proptosis:  A) PLASTIC RULER: can measure proptosis from the lateral orbital rim to the corneal apex,holding the ruler parallel to ground.  B)LUEDDE’S EXOPHTHALMOMETER: has several advantages -notch confirms to lateral orbital rim. -the scale starts from tip of instrument,where the notch meets the lateral orbital rim.
  • 16.
    -markings on bothsides help to avoid parallax error. -luedde’s exophthalmometer is better than hertel’s if there is facial asymmetry. C) HERTEL’S EXOPHTHALMOMETER: m/c used. -it may use prisms or mirrors set at 45 degree angles. -it is best for serial follow up of patients.
  • 17.
    D) NAUGLE’S EXOPHTHALMOMTER: -Incase of acquired or congential asymmetry of the lateral orbital rims a Hertel exophthalmometer is misleading -This is an inferior & superior rim based instrument. -may be used when the lateral orbital rim is not intact.
  • 19.
    SOURCES OF ERRORIN EXOPHTHALMOMETRY: A)failure to have pt look straight. B)failure to have cross bar parallel to floor. C)parallax error.
  • 20.
    MEASURING PROPTOSIS ONA CT SCAN HILAL AND TROKEL METHOD: -In a mid axial CT scan image,a baseline between the tips of lateral orbital rims is drawn. -a perpendicular from each corneal apex to this line is dropped & measured to scale. if each line > 21mm or indicates abnormality. if asymmetry >2mm b/w two
  • 22.
    Quick clinical assessmentof proptosis: Worm’s eye view: looking up at pt from below,while pt tilts his head back.
  • 24.
    Measurement of dystopia: -Inan eccentric or non axial proptosis, the horizontal & vertical dystopia of globe is to be measured. -Horizontal dystopia :is measured by the distance from the midline of bridge of nose to the nasal limbus, compared bilaterally. -Vertical dystopia :is measured by the superior or inferior deviation of the central corneal reflex of the proptotic eye from a horizontal line passing through the centre of normal eye.
  • 26.
    CLINICAL ASSESSMENT OFTHE MASS:  Inspection of face: may show characteristic features of cranio- synostosis, temporal fossa fullness in sphenoid ridge meningioma.  Palpation: The orbital mass may be palpable. - mass is evaluated for the extent,border,size,consistency,tenderness,skin over the lesion & whether a finger can be insinuated b/w mass & bony orbital rim. -most mass lesions which are large enough to extend across the midline of orbit are malignant. -resistance to retro-displacement of the globe may indicate a tumor or thyroid orbitopathy.
  • 27.
    LATERALITY ON INSPECTION: UNILATERALPROPTOSIS:  dermoid cysts,orbital teratoma,congenital cystic eyeball,  Orbital hemorrhage,traumatic aneurysm,  Cellulitis/abscess, cavernous sinus thrombosis  TED,pseudotumour  Varices,tumors,cysts. BILATERAL PROPTOSIS:  craniofacial synostosis,osteitis deformans,rickets  TED,mickulicz syndrome  Histiocytosis,amyloidosis,wegener’s granulomatosis,  Tumors.
  • 28.
     PULSATION: -best detectedon lateral view/ while using applanation tonometer. -e.g arterio-venous fistula (high flow carotid-cavernous fistula), Aneurysms. (dilated episcleral vessels in arterio-venous fistula) OR Due to transmitted pulsation through a defect in the bony orbital wall.
  • 29.
    e.g : Sphenoidwing dysplasia ( in neurobibromatosis), Meningo encephalocele, Herniation of frontal lobe of brain into orbit following trauma. AUSCULTATION: - carotid-cavercous fistula bruit heard best by the bell of stethoscope
  • 30.
    - INVESTIGATIONS: Imaging studiesThyroid function tests complete blood count -CT scan[axial/coronal/sagittal](most useful) T3,T4,TSH blood culture -MRI nasal culture -ocular ultrasound(USG) casoni’s test, montoux test, -X ray urine analysis(bence jones protein) c- ANCA,ACE,ANA
  • 31.
    PROPTOSIS: A) AXIAL B)ECCENTRIC  Axial proptosis: lesions of intraconal space arising from optic nerve or central space. E.g -optic nerve glioma -optic nerve sheath meningioma -cavernous hemangioma -schwannoma -neurofibroma -orbital varix,hydatid cyst etc.
  • 32.
    CAUSES OF ABAXIALDISPLACEMENT OF GLOBE: Downward displacement: -fibrous dysplasia -frontal mucocele -subperiosteal hematoma -lymphoma -neuroblastoma -neurofibroma -schwannoma -thyroid orbitopathy
  • 33.
    Upward displacement ofglobe: -Lacrimal sac tumour -lymphoma -maxillary sinus tumour -metastatic tumors Lateral displacement of globe: -Lacrimal sac tumors. -ethmoid mucocele metastatic tumors -lethal midline granuloma -nasopharyngeal tumors -rhabdomyosarcoma
  • 34.
     Medial displacmenetof globe: -Lacrimal gland tumors -sphenoid wing meningioma Classification of causes of proptosis: Infectious: Orbital cellulitis,Mucormycosis,subperiosteal abscess,gumma,Concurrent sinus disease Inflammatory :Orbital inflammatory syndrome (orbital pseudotumor, benign orbital inflammation,IOIS),Thyroid orbitopathy,sarcoidosis,histiocytosis. Vasculitis: Wegener granulomatosis,Churg-Strauss syndrome ,Poly arteritis Nodosa
  • 35.
    Orbital vascular disease:Orbital varix (venous malformation) Orbital arteriovenous malformation (carotid-cavernous sinus fistula, arteriovenous malformation) Trauma: Traumatic or iatrogenic orbital hemorrhage, Orbital blow out fractures, Facial fractures,retained foreign body Pseudoproptosis (pseudoexophthalmos): Buphthalmos ,Contralateral enophthalmos ,Ipsilateral lid retraction ,Axial myopia ,Contralateral blepharoptosis. Neoplastic : Leukemia,optic nerve Glioma,optic nerve sheath meningioma,leukaemia,retinoblastoma,neurofibroma,metastasis,rhabdo myosarcoma,lymphangioma, Lacrimal Lymphoma ,pleomorphic lacrimal gland adenoma.
  • 43.
  • 44.
    MASSIVE HEAD ACTINOMYCETOMAWITH SEVERE BILATERAL PROPTOSIS
  • 46.
  • 47.
  • 48.
  • 49.
  • 50.
  • 51.
  • 52.
  • 53.
  • 54.
    KEY POINTS  Themost common cause of bilateral proptosis is Graves disease.  Acute unilateral proptosis suggests infection or vascular disorder (eg, hemorrhage, fistula, cavernous sinus thrombosis).  Chronic unilateral proptosis suggests tumor.  Do CT or MRI and thyroid function testing when Graves disease is suspected.  Apply lubrication to exposed cornea.
  • 55.