THE ORBIT
 
 
IMAGING ANATOMY
BONY ORBIT Orbital Roof Orbital plate of the frontal bone and sphenoid bone.
BONY ORBIT Orbital Roof Anterolaterally = the lacrimal fossa.
BONY ORBIT Orbital Roof Posteriorly, at the junction of the roof and the medial wall =  the optic foramen.  Optic canal:  Optic nerve, ophthalmic a.
BONY ORBIT Orbital Roof Supraorbital foramen  : Supraorbital nerve (V1)
BONY ORBIT Medial Orbital Wall Maxilla, lacrimal bone,  ethmoid, and the body of the sphenoid.
BONY ORBIT Medial Orbital Wall Anteriorly = the lacrimal groove for the lacrimal sac.
BONY ORBIT Medial Orbital Wall Lamina papyracea  = orbital plate of ethmoid bone. Often appears to be dehiscent on CT, and therefore care should be taken not to make an erroneous diagnosis of bone destruction or fracture.
BONY ORBIT Orbital Floor Roof of the maxillary sinus. Maxillary bone, zygomatic, and the orbital process of the palatine bone.
BONY ORBIT Orbital Floor Inferior orbital fissure Fromed by GWS and zygomatic bone laterally, maxillary and Ethamoid bones medially. Mostly contiguous with SOF Anteroir continuation of foramen rotundum.
BONY ORBIT Orbital Floor Infraorbital foramen:   infraorbital nerve (V2)
BONY ORBIT Orbital Floor The inferior oblique muscle. Arises from the floor of the orbit just lateral to the opening of the nasolacrimal canal. It is the only extraocular muscle that does not originate from the orbital apex.
BONY ORBIT Lateral Orbital Wall The lateral wall of the orbit is the thickest wall. Formed by GWS bone, frontal process of the zygomatic bone.
BONY ORBIT Lateral Orbital Wall The lateral orbital tubercle  : A small elevation of the orbital margin of the zygoma,. This important landmark is the site of attachment for (1) the check ligament of the lateral rectus muscle, (2) the suspensory ligament of the eyeball, (3) the lateral palpebral ligament, and (4) the aponeurosis of the  levator palpebrae muscle.
BONY ORBIT Superior orbital fissure Formed by LWS medially, GWS laterally Primay connection orbit and Intracranial Contents: CN3, CN4, CN5(V1), CN6, SOV
BONY ORBIT Superior orbital fissure Formed by LWS medially, GWS laterally Primay connection orbit and Intracranial Contents: CN3, CN4, CN5(V1), CN6, SOV
The eyelids Protect and help lubricate the eyes.  Supported by a tarsal plate.
The eyelids Tarsal plate A fibrous layer that gives the lids shape, strength, and a place for muscles to attach. Underneath and within the tarsal plate lie meibomian glands.
The eyelids
Orbital septum  Fascia arising from orbital periosteum. Inserts into aponeurosis and fascia of lids at margins of superior and inferior tarsi.
EXTRAOCULAR MUSCLES Recti Superior, inferior, lateral, medial Origins at annulus of Zinn Insertions at coneoscleral surface SO = 4 LR = 6
EXTRAOCULAR MUSCLES Recti Superior, inferior, lateral, medial Origins at annulus of Zinn Insertions at coneoscleral surface SO = 4 LR = 6 Abd ucens nerve (CN6) For lateral rectus which  abd uctis the eye
EXTRAOCULAR MUSCLES Superior oblique Origin at medial margin of annulus of Zinn. courses nasally through trochlea at superomedial rim. Inserts posterolaterally on sclera superiorly. SO = 4 LR = 6
EXTRAOCULAR MUSCLES Inferior oblique   Origin at anteroinferior orbital rim. Insertion posterolaterally on sclera inferiorly. SO = 4 LR = 6
Ophthalmic artery Major arterial supply of the orbit First intradural branch of internal carotid artery; passes through optic canal, pierces dural sheath laterlly at apex
Ophthalmic veins SOV: Located between CN2 and superior rectus; drain through SOF into cavernous sinus IOV: Located adjacent to inferior rectus; drains through IOF into pterygoid plexus.
LACRIMAL APPARATUS
LACRIMAL APPARATUS Larcrimal gland = A serous gland lies in the superolateral angle of the orbit, in a lacrimal fossa.  Measures 20 x 12 x 5 mm.
LACRIMAL APPARATUS Divided into palpebral and orbital (larger and supperior) lobes by the lateral border of the levator aponeurosis.
LACRIMAL APPARATUS Accessory lacrimal glands (of Krause and Wolfring) in the lids and conjun ctiva. There are 20 to 40 glands of Krause in the upper fornix and 6 to 8 in the lower fornix.  The glands of Wolfring are fewer, consisting of three at the upper border of the superior tarsus and one at the lower border of the inferior tarsus
Optic nerve pathway
Intraocular segment 1 mm in length Ganglion cell axons exit globe CN II: optic nerve
Intraorbital segment 20-30 mm in length Extended posteromedially from back of globe to orbital apex (within intraconal space) CN2 longer than actual distance form optic chiasm to globe    allowing for eye movement CN II: optic nerve
Intraorbital segment CN II: optic nerve
Intraorbital segment Covered by 3 meningeal layers as brain  Subarachonoid space contains CSF    continue with suprasellar cistern CN II: optic nerve
Intracanalicular Segment Segment within bony optic canal  4-9 mm in length CN II: optic nerve
Intracanalicular Segment CN II: optic nerve Dura of CN2 fuses with orbital periosteum (Periorbita)
Intracranial Segment About 10 mm length from optic canal to chiasm Covered by pia and surrounded by CSF within suprasellar cistern CN II: optic nerve
Axial CT CN II: optic nerve
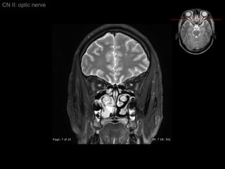
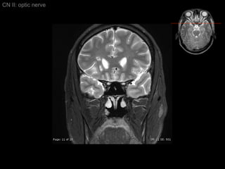
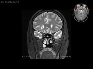
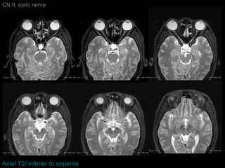
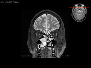
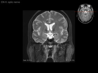
CN II: optic nerve Axial T2/ inferior to superior
CN II: optic nerve
CN II: optic nerve
CN II: optic nerve
CN II: optic nerve
CN II: optic nerve
CN II: optic nerve
CN II: optic nerve
CN II: optic nerve
CN II: optic nerve
CN II: optic nerve
CN II: optic nerve
CN II: optic nerve
CN II: optic nerve
CN II: optic nerve
CN II: optic nerve
Imaging recommendation CT: Excellent evaluation of orbit aided by natural contrast between fat, bone, air & soft tissue. Easily detects calcifications. Noncontrast CT alone for thyroid orbitopathy. Preferred for assessing bony structures and foramina. MRI: Optimal soft tissue contrast for globe, optic nerve, orbital structures, and intracranial findings. Preferred for evaluation of tumor and inflammation. Motion artifact on MR is common due to irrepressible eye motion. Stronger gradients, faster sequences, surface coils, routine use of fat suppression +/- Gd improve image quality. CT & MRI are complementary techniques:  both indicated for evaluation of complex lesions.
PATHOLOGY
 
 
Thyroid Orbitopathy Graves’ disease = multisystem/autoimmune dz of unknown cause. Characterized by one or more of 3 pathognomonic clinical entities:  (1) hyperthyroidism associated with diffuse hyperplasia of the thyroid gland. (2)  infiltrative ophthalmopathy ( Graves ophthalmopathy ). (3) infiltrative dermopathy. ( Graves’ dysthyroid ophthalmopathy, Graves’ ophthalmopathy, Thyroid Ophthalmopathy, Endocrine Exophthalmos)
Thyroid Orbitopathy M/C cause of unilateral and bilateral exophthalmos in the adult population. More common in women. More severity in men and in Pt more than 50 ys. May occur in hypothyroid or euthyroid. Occasionally, occurs in  Hashimoto’s thyroiditis.
Thyroid Orbitopathy Clinical of Thyroid orbitopathy Upper and lower eyelid retraction Exophthalmos Limitation of eye movements Eyelid edema Epibulbar vascular congestion.
Thyroid Orbitopathy Staging (Werner's modified classification): Stage I  : eyelid retraction without symptoms  Stage II  : eyelid retraction with symptoms  Stage III  : proptosis >22 mm without diplopia  Stage IV  : proptosis >22 mm with diplopia  Stage V  : corneal ulceration  Stage VI  : loss of sight  Rx:  short- and long-term steroid therapy, cyclosporine, radiation, surgical decompression, correction of eyelid position
Thyroid Orbitopathy Pathology: Infiltration by mast cells and lymphocytes, edema, muscle fiber necrosis, lipomatosis, fatty degeneration. The inferior rectus muscle is involved most commonly , followed by the medial rectus and the superior rectus.
Thyroid Orbitopathy Pathology: Infiltration by mast cells and lymphocytes, edema, muscle fiber necrosis, lipomatosis, fatty degeneration. The inferior rectus muscle is involved most commonly , followed by the medial rectus and the superior rectus. mnemonic:  I ' M   S L ow  I nferior M edial S uperior L ateral
Thyroid Orbitopathy CT and MR imaging: Coke-bottle sign  : Enlarged muscle belly with  sparing  the anterior tendinous insertion.  Low-density on CT: acc of lymphocytes and mucopolysaccharide deposition. HyperSI T2WI within muscle: represent inflammation, good clinical response to a trial of steroid therapy. Increased orbital fat Enlargement of the lacrimal glands Edema eyelids Proptosis. Stretching optic n.
Thyroid Orbitopathy Thyroid myopathy. Axial CT scan shows enlargement of the inferior rectus muscles ( arrows ).
Thyroid Orbitopathy Thyroid myopathy.  A , Coronal T1WI and  B , Sagittal T1WI. Scans show enlargement of extraocular muscles. In  A ,  1 , Inferior rectus muscle;  2 , medial rectus muscle;  3 , superior oblique muscle;  4 , superior rectus muscle;  5 , lateral rectus muscle; and  6 , optic nerve.  2 ,  1 , inferior oblique muscle;  2 , inferior rectus muscle; and  3 , superior rectus muscle.
Thyroid Orbitopathy Graves’ dysthyroid orbitopathy.  Axial slice shows an absolute increase in the amount of orbital fat with pronounced proptosis.  There is stretching of the extraocular muscles, which appear to be smaller than usual (small arrows).  There is also stretching of the optic nerve.
Thyroid Orbitopathy DDx: pseudotumor (usually includes tendon of eye muscles) . Thyroid orbitopathy Pseudotumor
Thyroid Orbitopathy proptosis  = globe protrusion >21 mm anterior to interzygomatic line on axial scans at level of lens 21
 
ORBITAL CYSTIC LESIONS Dermoid cyst Hematic Cysts and Cholesterol Granuloma Enterogenous cysts  Congenital cystic eye Dacryocele Parasitic cysts  Optic Nerve Sheath Meningocele Epithelial Implantation Cysts Lacrimal Gland Cysts
ORBITAL CYSTIC LESIONS Dermoid cyst Hematic Cysts and Cholesterol Granuloma Enterogenous cysts  Congenital cystic eye Dacryocele Parasitic cysts  Optic Nerve Sheath Meningocele Epithelial Implantation Cysts Lacrimal Gland Cysts
Dermoid cyst  Choristoma  = a focus of tissue histologically normal for an organ or part of an organ at a site other than the site at which it is located. Dermoid or epidermoid cyst :::: A dermoid or epidermoid cyst is a choristoma.  M/C orbital tumors of childhood.  Most frequently  found in favor the upper portion of the orbit (temporal > nasal). The tumor is congenital but may not be noted at birth.  Many become evident only in the 2nd decade.
Dermoid cyst  Choristoma  = a focus of tissue histologically normal for an organ or part of an organ at a site other than the site at which it is located. Dermoid or epidermoid cyst :::: Both have a fibrous capsule with varying degrees of thickness.  The epidermoid has a lining of keratinizing, stratified squamous epithelium.  The dermoid contains one or more dermal adnexal structures such as sebaceous glands and hair follicles.
Dermoid cyst  Dermolipomas (lipodermoids)  =  less dense than solid dermoids and  contain more adipose tissue .  Epibulbar osseous choristomas  =  dermoids  that  composed of mature, compact bone along with other typical choristomatous elements such as pilosebaceous units and hair follicles. Teratoma  =  choristomatous tumors that contain tissues representing  two or more germ layers .  T eratomas within the orbit are rarely malignant. Orbital teratomas tend to affect girls, are unilateral, grow rapidly, and are not associated with other anomalies.
CT AND MR IMAGING FEATURES Intensity of adipose tissue Density of adipose tissue Dermolipoma HypoSI on T1WI and hyperSI on T2WI Fatty tissue Minimal enh of capsule may be present Associated orbital inflammatory changes, when cyst is ruptured Non-enh mass with or without bone erosion Calcification, if present, is a characteristic feature fat, if present, is characteristic  Scalloping with sclerosis of the adjacent bone may be present Minimal enh of the capsule may be present Dermoid cyst HypoSI on T1WI and hyperSI on T2WI Minimal enh of capsule may be present Associated orbital inflammatory changes, when cyst is ruptured Non-enh mass with or without bone erosion No calcification Scalloping with sclerosis of the adjacent bone may be present Minimal enh of the capsule may be present Epidermoid cyst MRI CT
Orbital cystic lesion > Dermoid cyst Dermoid Axial CT scan shows a fat-containing lesion (arrow) compatible with an orbital dermoid.
Orbital cysticlesion > Dermoid cyst Giant Dermoid (B) PW axial MR image and T2-weighted coronal MR image (C) show a giant dermoid (arrow).  The lesion is inhomogeneous and contains hyperintense areas caused by fat.  The lesion is nearly isointense to fat on the T2-weighted MR image.
Orbital cysticlesion > Dermoid cyst Dermoid Axial-enhanced CT scan shows a well-circumscribed, rounded, low-density dermoid cyst (C) in the nasal aspect of the anterior orbit.
Orbital cystic lesion > Dermoid cyst Epidermoid cyst.  A, Postcontrast axial CT scan shows a nonenhanced low-density mass (E) compatible with an epidermoid cyst. Notice the scalloping of the lateral orbital wall (arrows).  B, T2WI. The epidermoid cyst (E) appears as a homogeneous hyperintense mass.
Orbital cystic lesion > Dermoid cyst Dermolipoma. Coronal TWI shows a hyperintense mass (arrows) compatible with a dermolipoma.
ORBITAL CYSTIC LESIONS Dermoid cyst Hematic Cysts and Cholesterol Granuloma Enterogenous cysts  Congenital cystic eye Dacryocele Parasitic cysts  Optic Nerve Sheath Meningocele Epithelial Implantation Cysts Lacrimal Gland Cysts
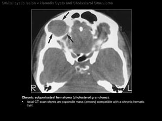
Hematic Cysts and Cholesterol Granuloma Hematic cyst = organizing hematoma, hematocele Cholesterol granuloma  hematic cyst with orbital bone-pushing and bone destroying. secondary lesions that are formed due to a posttraumatic, postsurgical, or postinflammatory event.
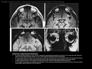
Hematic Cysts and Cholesterol Granuloma CT findings of Subperiosteal hematomas Acute hematoma  = sharply defined extraconal, homogeneous, high-density, nonenhancing mass with a  broad base abutting the bone and displacing the peripheral orbital fat .  Chronic hematoma  = sharply defined extraconal,  heterogeneous ,  relatively hypodense , nonenhancing mass.  Long-standing chronic hematic cysts  (cholesterol granulomas) = cystic lesions, associated with  compression bone atrophy  as well as expansion and erosions of adjacent bone.
Hematic Cysts and Cholesterol Granuloma MR findings of Subperiosteal hematomas
Orbital cystic lesion > Hematic Cysts and Cholesterol Granuloma Acute subperiosteal hematoma. Coronal CT scan through the orbit showing a hyperdense acute subperiosteal hematoma (arrows) along the roof of the orbit and displacing the orbital contents inferiorly.
Orbital cystic lesion > Hematic Cysts and Cholesterol Granuloma Acute subperiosteal hematoma. B, Coronal T1WI showing the intermediate signal intensity of an acute subperiosteal hematoma (white arrows). Note the displaced periosteum (black arrow).  C, Sagittal T1WI of the same patient in B showing the acute subperiosteal orbital hematoma (white arrows). Note the displaced periosteum (black arrow).  D, Axial T2WI of the same patient in B through the orbit. Note the low signal intensity of the acute hematoma (arrows) on the T2-weighted image.
Orbital cystic lesion > Hematic Cysts and Cholesterol Granuloma Acute subperiosteal hematoma. Coronal CT scan through the orbit of an 8-year-old boy showing an acute subperiosteal hematoma (curved arrows).  Note its hyperdense nature and fusiform shape. Note the normal lacrimal gland (arrow) on the opposite side.
Orbital cystic lesion > Hematic Cysts and Cholesterol Granuloma Subacute subperiosteal hematoma (less than 7 days).  A, Axial CT scan of the orbit in a 2-year-old child. Note the subacute subperiosteal hematoma (arrows) and displacement of the peripheral orbital fat (F).  B, Coronal reformatted images of the same patient showing the subacute hematoma.
Orbital cystic lesion > Hematic Cysts and Cholesterol Granuloma Chronic subperiosteal hematoma (cholesterol granuloma). Axial CT scan shows an expansile mass (arrows) compatible with a chronic hematic cyst.
Orbital cystic lesion > Hematic Cysts and Cholesterol Granuloma Chronic subperiosteal hematoma (cholesterol granuloma). A, Axial CT scan with oblique sagittal reformatting showing a cholesterol granuloma (arrows) of the left orbit. Note the displacement of the globe (G) inferiorly. The lesion, which is almost isodense with brain, has caused ragged bony destruction (arrowheads). On the axial image, the lesion may be mistaken for a lacrimal gland mass.  B, Histopathologic examination of a cholesterol granuloma showing abundant cholesterol cells (arrows), foreign-body giant cells (arrowheads), and inflammatory cells  hematoxylin-eosin, original magnification ×40).
Orbital cystic lesion > Hematic Cysts and Cholesterol Granuloma Subacute subperiosteal hematoma.  A, Axial contrast-enhanced T1WI  shows a subacute subperiosteal hematoma (arrows) in an 8-year-old child. Note the high to mixed signal intensity pattern on the T1WI. Note the fluid-fluid level (arrowheads).  B, Axial proton-density image of the same patient showing a fluid-fluid level (arrowheads) within the hematoma (arrows). C, Axial T2WI showing a mixed signal intensity pattern with hypointensity images related to the intracellular methemoglobin portion of the subacute hematoma (arrows). Note the fluid-fluid level (arrowheads).  D, Coronal T1WI reveals an excellent demonstration of the subacute subperiosteal hematoma (arrows). Note the high to intermediate signal intensity of the hematoma.
Orbital cystic lesion > Hematic Cysts and Cholesterol Granuloma Chronic subperiosteal hematoma (about 12 days). A, Axial CT scan of the orbit showing a chronic subperiosteal hematoma (arrows) seen as an isodense lesion with a fluid-fluid level (arrowhead ).  B, Coronal T1WI showing the cholesterol granuloma (arrows) in the same patient in A as a high-signal lesion, indicating its chronic nature.
Orbital cystic lesion > Hematic Cysts and Cholesterol Granuloma Chronic subperiosteal hematoma (about 12 days). C, Sagittal T1WI illustrates the high signal pattern of the subperiosteal hematoma (white arrows), resulting in downward displacement of the optic nerve (black arrow).  D, Axial proton density MR image shows this chronic hematoma (cholesterol granuloma) as a hyperintense lesion (arrowheads).
ORBITAL CYSTIC LESIONS Dermoid cyst Hematic Cysts and Cholesterol Granuloma Enterogenous cysts  Congenital cystic eye Dacryocele Parasitic cysts  Optic Nerve Sheath Meningocele Epithelial Implantation Cysts Lacrimal Gland Cysts
Enterogenous cysts Congenital choristomatous cysts of the CNS.  Contain a single layer of mucin-secreting epithelial cells that resemble gastrointestinal epithelium.  Common site = lower cervical and cervicothoracic regions.  An orbital location is extremely rare .
Enterogenous cysts Imaging findings; CT Isodense or hyperdense, depending on the mucous content of the cyst. MRI Hypointense or hyperintense on T1WI, depending on the mucous content of the cyst. Hyperintense on T2WI Bony erosion  may be present.  May be rim  enhancement on enhanced CT and MRI.
ORBITAL CYSTIC LESIONS Dermoid cyst Hematic Cysts and Cholesterol Granuloma Enterogenous cysts  Congenital cystic eye Dacryocele Parasitic cysts  Optic Nerve Sheath Meningocele Epithelial Implantation Cysts Lacrimal Gland Cysts
Congenital cystic eye A rare congenital anomaly. Presents at birth as a complex cyst occupying the orbit,  without any vestige of a globe .  The cyst wall is lined by cells derived from  undifferentiated retina and retinal pigment epithelium .  Some remnant  of an optic nerve–like structure and extraocular muscles may be present.
Congenital cystic eye Imaging findings; Rounded or ovoid, septated cyst The superior orbital fissure may be enlarged ipsilaterally. A rudimentary connection to a thinned optic nerve may be seen. CT Nonenhancing low-density mass MRI Hypointense on T1WI( not equal to mormal vitreous). Hyperintense on T2WI. Nonenhancing mass
Orbital cystic lesion > Congenital cystic eye Congenital cystic eye B, Axial T1WI through the orbit shows a large orbital cyst, an enlarged orbit, and no discernible normal bulbar structures on the left.  C, Axial T2WI shows a rudimentary optic nerve (arrow) leading into the lesion. Signal intensity is homogeneously high.  D, Coronal contrast-enhanced, T1WI shows thin, enhancing strands and a more focal amorphous tissue mass in the posterior aspect of the lesion (probably dysmorphic retinal tissue).
ORBITAL CYSTIC LESIONS Dermoid cyst Hematic Cysts and Cholesterol Granuloma Enterogenous cysts  Congenital cystic eye Dacryocele Parasitic cysts  Optic Nerve Sheath Meningocele Epithelial Implantation Cysts Lacrimal Gland Cysts
Dacryocele Lachrymal sac mucocele A cystic expansion of the  nasolacrimal sac .  Caused by a proximal or distal block of the nasolacrimal duct.  Dacryoceles are considered a congenital anomaly of the lacrimal drainage system. Usually apparent in the first few days of life.
Dacryocele Imaging findings; well-circumscribed, rounded lesions centered in the nasolacrimal sac region. Nonenhancing mass, unless infected. CT Nonenhancing (unless infected) low-density mass. MRI Hypointense on T1WI and hyperintense on T2WI.
Orbital cystic lesion > Dacryocele Dacryoceles Enhanced coronal T1WI shows bilateral dacryoceles ( arrows ).
ORBITAL CYSTIC LESIONS Dermoid cyst Hematic Cysts and Cholesterol Granuloma Enterogenous cysts  Congenital cystic eye Dacryocele Parasitic cysts  Optic Nerve Sheath Meningocele Epithelial Implantation Cysts Lacrimal Gland Cysts
Parasitic cysts  Hydatid Cysts The hydatid cyst is related to infection tapeworm,  Echinococcus granulosus .  A well-defined cystic mass with or without a fluid-fluid level containing the parasite.  Clinically, patients present with slowly progressive, painless orbital signs. Cysticercosis Cysticercosis is a disease due to infestation by tapeworm  Cysticercus cellulosae, Taenia solium .  Clinically, patients present with either a visible subconjunctival cyst or orbital signs due to an extraocular muscle cyst that is unresponsive to treatment with oral corticosteroids.
Parasitic cysts  CT Cystic lesions within or near an EOM Some degree of enhancement around the cyst wall Scolex can be identified Diffuse myositis may be present Cystic lesion within or near lacrimal gland or other part of the orbit MRI Cystic lesions within or near an EOM Some degree of enhancement around the cyst wall  Scolex can be identified Diffuse myositis may be present Hypointense on T1WI and hyperintense on T2WI.
Orbital cystic lesion > Parasitic cysts  Cysticercosis.   Axial T2WI shows multiple intracranial abscesses (arrows) and an orbital abscess (hollow arrow).  The orbital cyst shows a fluid-fluid level.  Scolices are seen within the abscesses as tiny hypointense areas.
ORBITAL CYSTIC LESIONS Dermoid cyst Hematic Cysts and Cholesterol Granuloma Enterogenous cysts  Congenital cystic eye Dacryocele Parasitic cysts  Optic Nerve Sheath Meningocele Epithelial Implantation Cysts Lacrimal Gland Cysts
Optic Nerve Sheath Meningocele Saccular dilatation of the meninges surrounding the orbital portion of the optic nerve. Occur primarily or secondarily in association with other orbital processes, such as meningioma, optic nerve pilocytic astrocytoma, and hemangioma.  Present with changes in visual acuity or visual field.   (optic nerve sheath cyst, arachnoid cyst, perioptic hygroma, and dural ectasia)
Optic Nerve Sheath Meningocele The CT and MR imaging; Prominent focal or segmental enlargement of the dural arachnoid sheath around the optic nerve  May be associated with an empty sella. May be associated with enlarged subarachnoid cisterns (optic nerve sheath cyst, arachnoid cyst, perioptic hygroma, and dural ectasia)
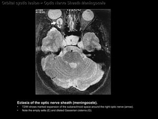
Orbital cystic lesion > Optic Nerve Sheath Meningocele Ectasia of the optic nerve sheath (meningocele).  Axial T1WI shows the prominence of the subarachnoid space around the nerves (arrows).
Orbital cystic lesion > Optic Nerve Sheath Meningocele Ectasia of the optic nerve sheath (meningocele).  T2WI shows marked expansion of the subarachnoid space around the right optic nerve (arrow).  Note the empty sella (E) and dilated Gasserian cisterns (G).
ORBITAL CYSTIC LESIONS Dermoid cyst Hematic Cysts and Cholesterol Granuloma Enterogenous cysts  Congenital cystic eye Dacryocele Parasitic cysts  Optic Nerve Sheath Meningocele Epithelial Implantation Cysts Lacrimal Gland Cysts
Epithelial Implantation Cysts Derived from cells of  cutaneous epithelium conjunctival epithelium or respiratory epithelium that are traumatically displaced under the skin of the eyelid or into the orbit.  The CT and MR imaging appearance; Nonspecific. Similar to that of any simple cyst.  A nonenhanced cystic orbital mass following orbital surgery or enucleation should raise the question of the presence of an epithelial implantation cyst.
Orbital cystic lesion > Epithelial Implantation Cysts Epithelial implantation cyst Axial CT scan shows a well-defined mass (arrows) compatible with an epithelial implantation cyst.
ORBITAL CYSTIC LESIONS Dermoid cyst Hematic Cysts and Cholesterol Granuloma Enterogenous cysts  Congenital cystic eye Dacryocele Parasitic cysts  Optic Nerve Sheath Meningocele Epithelial Implantation Cysts Lacrimal Gland Cysts
Lacrimal Gland Cysts Due to blockage of the gland’s excretory ducts. The CT and MR imaging appearance Similar to that of any simple cyst.
Orbital cystic lesion > Lacrimal Gland Cysts Lacrimal gland cyst Axial T2-weighted MR image shows a lacrimal gland cyst ( arrow ).
 
INFLAMMATORY LESIONS Orbital Cellulitis. Mycotic Infections. Pseudotumors. Optic neuritis. Sarcoidosis. Wegener’s Granulomatosis. Amyloidosis
INFLAMMATORY LESIONS Orbital Cellulitis. Mycotic Infections. Pseudotumors. Optic neuritis. Sarcoidosis. Wegener’s Granulomatosis. Amyloidosis
Orbital Cellulitis  Orbital cellulitis = M/C cause of proptosis in children. M/C cause of orbital cellulitis = Sinusitis. M/C organism = Bacteria. M/ C bacteria = Staphylococcus, Streptococcus Pneumococcus, Pseudomonas, Neisseriaceae, Haemophilus, and mycobacteria. M/C virus =  Herpes simplex and herpes zoster.
STAGING OF ORBITAL CELLULITIS
Inflammatory lesion > Orbital cellulitis Preseptal and retroseptal orbital inflammation.  Axial CT scan shows periorbital soft-tissue infiltration and edema (white arrow) and retroseptal subperiosteal inflammation and edema (black arrow).
Inflammatory lesion > Orbital cellulitis Orbital cellulitis . A , Enhanced, fat-suppressed, axial T1WI showing diffuse enhancement of pre- and postseptal orbital tissue ( arrows ).  B , Enhanced, fat-suppressed, sagittal T1WI shows an air-fluid level in the frontal sinus ( arrows ) and diffuse orbital enhancement ( curved arrow ). There is no orbital abscess formation.
Inflammatory lesion > Orbital cellulitis Orbital subperiosteal phlegmon.  A, Axial CT scan shows proptosis of the left eye with mucoperiosteal thickening of the left ethmoid sinus (E), with soft-tissue induration in the medial subperiosteal space (arrowheads). Note the lateral displacement of the inflamed left medial rectus muscle (1). Optic nerve (2).  B, Coronal CT scan, same patient as in A, shows clouding of the right ethmoid (E) and maxillary (M) sinuses, with subperiosteal soft-tissue induration (arrowheads) and swelling of the right medial rectus muscle (white arrow) and right inferior rectus muscle (black arrow).
Inflammatory lesion > Orbital cellulitis Orbital subperiosteal abscess.   CT scan shows proptosis of the left eye with mucosal thickening of the ethmoid air cells (E), with subperiosteal abscess (hollow arrow). Note the air bubble (arrowhead ) within the abscess and the swollen left medial rectus muscle (arrow).
Inflammatory lesion > Orbital cellulitis Orbital cellulitis and abscesses.  CT scan shows right periorbital cellulitis and three abscesses. (A), Right retroseptal abscess. (B), Left retrobulbar abscess. (C), Left eyelid abscess. Note slightly engorged left superior ophthalmic vein (hollow arrow).
Inflammatory lesion > Orbital cellulitis Thrombosis of the superior ophthalmic vein.   Axial CT scan shows an engorged left superior ophthalmic vein with a filling defect (arrow), which was caused by a sphenoid sinus infection.
Inflammatory lesion > Orbital cellulitis Bilateral cavernous sinus thrombosis.  Coronal CT section through the cavernous sinus following bolus injection reveals opacification of the internal carotid arteries bilaterally.  The cavernous sinus reveals decreased attenuation in keeping with cavernous sinus thrombosis.  Note enhancement of the dura bordering the left cavernous sinus.
Inflammatory lesion > Orbital cellulitis Mycotic (septic) aneurysm.  1, Enhanced axial CT scan shows an enhancing mass (arrow) in the left cavernous sinus related to a mycotic artery.  2, Lateral angiogram shows a large aneurysm (arrow) of the cavernous portion of the internal carotid artery.
INFLAMMATORY LESIONS Orbital Cellulitis. Mycotic Infections. Pseudotumors. Optic neuritis. Sarcoidosis. Wegener’s Granulomatosis. Amyloidosis
Mycotic Infections Mucormycosis There are four major types of mucormycosis:  rhinocerebral = M/C type pulmonary gastrointestinal disseminated
Mycotic Infections Rhinocerebral type of mucormycosis usually occur in DM or immunocompromised.  M/C = Mucor  and  Aspergillus. The infection usually begins in the nose Spreads to the paranasal sinuses Extends into the orbit and cavernous sinuses. The pathologic hallmark of mucormycosis = invasion of the walls of small vessels.  Rapid brain infarction may develop.
Mycotic Infections Imaging findings Combination of orbital and sinus involvement Multicentric or unicentric sinusitis  Mycetoma  = HypoSI on T2WI :  One important sign but not pathognomonic. vascular thrombosis Invasion of the walls vessels.
Inflammatory lesion > Mycotic Infections Aspergillosis. A, Axial T2WI shows soft-tissue induration in the left sphenoid sinus (white arrow).  Note the internal carotid (C) and early soft-tissue infiltration of the left cavernous sinus (hollow arrow).
Inflammatory lesion > Mycotic Infections Aspergillosis. B, Axial PD MR image follow-up scan. C, Axial T2-weighted MR image follow-up scan.  Scans show progression of the pathologic process, with marked infiltration of the left cavernous sinus (C) and formation of the left temporal lobe abscess (arrowhead ) with marked peripheral edema.  Note apical infiltration into the left orbit (black arrow in B) and inflammatory mycotic tissue in the left sphenoid sinus (white arrow).  Note the nonvisualization of the left internal carotid artery (compare with A); this results from invasion of the mycotic process, a finding confirmed by angiography and surgery.  The mycotic process (m) has extended over the left petrous apex.
INFLAMMATORY LESIONS Orbital Cellulitis. Mycotic Infections. Pseudotumors. Optic neuritis. Sarcoidosis. Wegener’s Granulomatosis. Amyloidosis
Orbital pseudotumors  A nongranulomatous inflammatory process in the orbit with no known local or systemic causes. A diagnosis of exclusion  based on the history, clinical course, response to steroid therapy, laboratory tests, and biopsy in a limited number of cases. (Idiopathic Orbital Inflammatory Disorders)
Orbital pseudotumors  After Graves’ disease, pseudotumor is the next most common ophthalmologic disease.  Usually affects adults. Usully bilateral orbital involvement. Bilateral orbital pseudotumors in adults suggest the possibility of  systemic vasculitis  or a  systemic lymphoproliferative disorder. (Idiopathic Orbital Inflammatory Disorders)
Orbital pseudotumors  Acute onset of  painful ophthalmoplegia   , diplopia, proptosis, and impaired vision from perioptic nerve involvement.  Pain  is an important feature of pseudotumors; however, not all patients with pseudotumors present with pain. (Idiopathic Orbital Inflammatory Disorders)
Orbital pseudotumors  Pseudotumors may be classified as  (1) acute and subacute idiopathic anterior orbital inflammation (2) acute and subacute idiopathic diffuse orbital inflammation (3) acute and subacute idiopathic myositic orbital inflammation (4) acute and subacute idiopathic apical orbital inflammation (5) idiopathic dacryoadenitis  (6) perineuritis.  Tolosa-Hunt syndrome  (painful ophthalmoplegia) is a variant of pseudotumor in which the inflammatory process is restricted to the  vicinity of the superior orbital fissure ,  the optic canal , or  the cavernous sinus .
Anterior Orbital Inflammation Orbital pseudotumors  Inflammation involves the anterior orbit and adjacent globe. Pain, proptosis, lid swelling, and decreased vision.  Extraocular muscle (EOM) motility is usually unaffected.
Anterior Orbital Inflammation Orbital pseudotumors  CT and MR imaging   Thickening of the uveal-scleral rim with obscuration of the optic nerve junction, which enhances with contrast infusion on CT.
Inflammatory lesion  >  Orbital pseudotumors > Anterior Orbital Inflammation Pseudotumor: periscleritis/perineuritis. Postcontrast axial CT scan shows diffuse thickening of the scleral coat with inflammatory infiltration into Tenon’s space ( T  ) and perineuritis ( arrow ).
Diffuse Orbital Pseudotumor Orbital pseudotumors  Tumefactive, or infiltrative type of pseudotumor Entire retrobulbar space and mold itself around the globe while respecting its natural shape.  These large, bulky masses can be intraconal, extraconal, or involve both spaces.  Very difficult to differentiate from lymphoma.
Inflammatory lesion  >  Orbital pseudotumors > Diffuse Orbital Pseudotumor Pseudotumor. Axial CT scan shows diffuse infiltration of the entire retrobulbar space. The optic nerve appears as a lucent band (arrow) embedded within the lesion.
Inflammatory lesion  >  Orbital pseudotumors > Diffuse Orbital Pseudotumor Pseudotumor. A, Axial PW MR image. B, Axial T2-weighted MR image.  Scans show infiltrative process (arrows) compatible with pseudotumor.  The lesion is isointense to brain on PW and T2-weighted MR scans.
Orbital Myositis Orbital pseudotumors  One or more of the EOMs are infiltrated by an inflammatory process. Most frequently affected muscles =  superior complex and the medial rectus.
Orbital Myositis Orbital pseudotumors  CT findings Enlargement of the EOMs, which extends anteriorly to involve the tendon insertion. Obliteration of the fat between the periosteum of the orbital wall and the muscle cone.
Orbital Myositis Orbital pseudotumors  CT findings Enlargement of the EOMs, which extends anteriorly to involve the tendon insertion. Obliteration of the fat between the periosteum of the orbital wall and the muscle cone.   EOM enlargement Thyroid obthalmopathy . Pseudotumor . Carotidcavernous fistula . Granulomatous disease . Neoplasm  ( primary or metastatic
Inflammatory lesion  >  Orbital pseudotumors > Orbital Myositis Myositic pseudotumor.  Postcontrast Axial CT scan shows marked thickening and enhancement of the left medial rectus muscle (arrow).  Note extension of the process into its tendinous insertion on the globe (arrowhead ).
Inflammatory lesion  >  Orbital pseudotumors > Orbital Myositis Myositic pseudotumor.  A, Axial precontrast (top) and postcontrast (bottom) TIWI through the lower portion of the orbits demonstrate a mass (arrow) with moderate enhancement consistent with an enlarged inferior rectus muscle.  B, Coronal postcontrast, T1FS through the orbits reveal diffuse enhancement of the enlarged inferior rectus muscle (arrows). C, Axial PDW (top) and T2WI(bottom) through the inferior orbits demonstrate increased signal intensity of the enlarged inferior rectus muscle (arrows).
Perineuritis and Periscleritis Orbital pseudotumors  Idiopathic perineuritis = inflammation of the sheath of the optic nerve Can simulate optic neuritis by presentation (orbital pain, pain with extraocular motility, decreased visual acuity, and disc edema).
Perineuritis and Periscleritis Orbital pseudotumors  CT and MR imaging: A ragged, edematous enlargement of the optic nerve sheath complex.
Inflammatory lesion  >  Orbital pseudotumors > Perineuritis and Periscleritis Pseudotumor (perineuritis type).  Axial CT scan shows the intraconal region of infiltration (arrowheads) surrounding the left optic nerve.  Slight thickening of the posterior sclera indicates posterior scleritis and fluid (exudate) in Tenon’s space.
Lacrimal Adenitis Orbital pseudotumors  Presents with tenderness in the upper outer quadrant of the orbit in the region of the lacrimal gland. Because of the wide variety and incidence of pathology that can involve the lacrimal gland,  biopsy of this accessible site is necessary to obtain a definitive diagnosis.
Inflammatory lesion  >  Orbital pseudotumors > Lacrimal Adenitis Reactive lymphoid hyperplasia, lymphoma, and pseudotumor of the lacrimal gland.  A, Axial proton-weighted MR image showing a presumed reactive lymphoid hyperplasia (arrow).  B, Axial T1WI showing lacrimal gland lymphoma (arrow).  C, Axial T1WI showing pseudotumor of the lacrimal gland (arrow).
Apical Orbital Inflammation Orbital pseudotumors  Pseudotumor that infiltration of the orbital apex. Present with typical orbital apex syndrome : pain, minimal proptosis, and painful ophthalmoplegia.  The CT and MR imaging findings; An irregular infiltrative process of the orbital apex with extension along the posterior portion of the EOMs or the optic nerve.
Inflammatory lesion  >  Orbital pseudotumors > Apical Orbital Inflammation Orbital sarcoidosis presenting as superior orbital fissure syndrome.  A, Unenhanced axial T1WI. Note the infiltrative process involving the orbital apex on the left side (large arrow). Note extension through the superior orbital fissure into the left temporal epidural space (arrowheads). B, Enhanced axial T1WI FS show marked enhancement of this sarcoid granulomatous infiltration (straight arrows). Note the abnormal enhancement in the left temporal fossa
INFLAMMATORY LESIONS Orbital Cellulitis. Mycotic Infections. Pseudotumors. Optic neuritis. Sarcoidosis. Wegener’s Granulomatosis. Amyloidosis
Optic neuritis =  Acute inflammatory process of the optic n. Cause Multiple sclerosis Infection :  Parainfections  :  Autoimmune optic neuritis Radiation optic neuropathy
Optic neuritis =  Acute inflammatory process of the optic n. Cause Multiple sclerosis Infection :  Parainfections  :  Autoimmune optic neuritis Radiation optic neuropathy   M/C cause of Optic neuritis.  Optic neuritis = often an early sign of MS. Typical unilateral visual loss.
Optic neuritis =  Acute inflammatory process of the optic n. Cause Multiple sclerosis Infection :  Parainfections  :  Autoimmune optic neuritis Radiation optic neuropathy   syphilis toxoplasmosis toxocariasis borreliosis (Lyme disease)  other granulomatous diseases.
Optic neuritis =  Acute inflammatory process of the optic n. Cause Multiple sclerosis Infection :  Parainfections   :  Autoimmune optic neuritis Radiation optic neuropathy   occurring 10 to 14 days after the primary illness. Chicken pox, rubella, rubeola, mumps, herpes zoster, mononucleosis, and viral encephalitis  Typical bilateral visual loss,
Optic neuritis =  Acute inflammatory process of the optic n. Cause Multiple sclerosis Infection :  Parainfections   :  Autoimmune optic neuritis Radiation optic neuropathy   SLE or other autoimmune states
Optic neuritis =  Acute inflammatory process of the optic n. Cause Multiple sclerosis Infection :  Parainfections   :  Sutoimmune optic neuritis Radiation optic neuropathy   SLE or other autoimmune states
Optic neuritis CT some enlargement of the optic nerve some degree of contrast enhancement.  MRI Thickened and hyperintense T2WI. Diffuse enhancement within the nerve on T1WI FS. Evidence of MS plaques
Inflammatory lesion > Optic neuritis Optic neuritis.  Enhanced axial CT scan shows enhancement of the left optic nerve (arrow). This may not be differentiated from sarcoidosis or meningioma.
Inflammatory lesion > Optic neuritis Optic neuritis.  Axial PW (A) and T2W (B)  images show enlargement of the left entire optic nerve (arrows) in this 14-year-old girl with left optic neuritis.
Inflammatory lesion > Optic neuritis Postradiation optic neuritis.  Enhanced, fat-suppressed, axial T1-weighted MR image shows enhancement of the intracanalicular segment of right optic nerve (arrow). Notice the postorbital exenteration on the left side.
Inflammatory lesion > Optic neuritis Optic neuritis.  (A) Enhanced axial T1WI and (B) enhanced axial fat-suppression T1W MR scans showing marked enhancement of intraorbital (black arrows) and intracanalicular segments (white arrows) of optic nerves. Biopsy revealed a demyelinating process.
INFLAMMATORY LESIONS Orbital Cellulitis. Mycotic Infections. Pseudotumors. Optic neuritis. Sarcoidosis. Wegener’s Granulomatosis. Amyloidosis
Sarcoidosis A granulomatous systemic disease. Pathology = Noncaseating granulomas  Diagnosis based on biosy. Affecting all races, both sexes, and all ages.  Presentation : asymptomatic with abnormal findings on CXR.   Visual system abnormalities  are the most common extrathoracic manifestations of sarcoidosis.
Sarcoidosis Ophthalmic lesions develop in approximately 25% of patients. Chest abnormalities are found in about 80% of patients with ocular sarcoidosis. Any part of the globe or orbit may be involved.  M/c orbital involvement  =  chronic dacryoadenitis .  May be unilateral and easily mimic a lacrimal gland tumor.
Sarcoidosis A Mikulicz-like syndrome  =  Sacoidosis involvement of bilateral lacrimal glands and salivary gland causings dry eyes and xerostomia. The most common cranial nerves to be affected are the  CN 2 , 7, 5, 8, 3, 6 respectively.
Inflammatory lesion  >  Sarcoidosis Sarcoidosis chronic dacryoadenitis.  Axial CT scan shows enlargement of the right lacrimal gland. Note the mild enlargement of the left lacrimal gland.
Inflammatory lesion  >  Sarcoidosis Sarcoidosis.  Coronal-enhanced CT scan shows moderate enhancement of markedly enlarged lacrimal glands (arrows).
Inflammatory lesion  >  Sarcoidosis Presumed   sarcoidosis  of the lacrimal gland .  Axial CT scan in this 7-year-old African American child shows marked enlargement of the lacrimal glands (arrows).
Inflammatory lesion  >  Sarcoidosis Sarcoidosis with optic nerve involvement. Axial T1WI scan shows no obvious lesion. There is a suggestion of slight thickening of the left optic nerve (arrow).
Inflammatory lesion  >  Sarcoidosis Sarcoidosis-granuloma of the optic nerve. Enhanced axial T1WI scan shows increased enhancement of the left optic nerve (arrows) and a large granuloma involving the intracranial segment of the left optic nerve (single arrow).
Inflammatory lesion  >  Sarcoidosis Sarcoidosis-granuloma of the optic nerve. Enhanced axail T1WI : Pre and Post treatment with steroid.
INFLAMMATORY LESIONS Orbital Cellulitis. Mycotic Infections. Pseudotumors. Optic neuritis. Sarcoidosis. Wegener’s Granulomatosis. Amyloidosis
Wegener’s Granulomatosis A multisystem disease. Mainly occurs in the fifth decade of life.  A triad: Necrotizing granulomas in the upper and lower respiratory tracts Necrotizing vasculitis of the lung, upper respiratory tract, and other sites. Glomerulonephritis. If left untreated, the disease is often fatal.  Combined corticosteroid cyclophosphamide treatment has proven very successful.
Wegener’s Granulomatosis Ocular involvement is also common: occurring in 18% to 50% of the cases. The disease  most commonly spreads from the paranasal sinuses to the orbit . The CT and MR imaging appearance ; Similar to that of  pseudotumor  and  lymphoma. Nasal and paranasal sinus involvement  is present in the majority of cases.
Inflammatory lesion  >  Wegener’s Granulomatosis Wegener’s granulomatosis with involvement of the lacrimal gland.  Axial postcontrast CT scan shows diffuse enlargement of the right lacrimal gland.  Notice the rather straight configuration of the posterior aspect of the lesion (hollow arrow). In epithelial tumors of the lacrimal gland, the posterior border of the tumor has a rounded configuration. In Wegener’s granulomatosis, enlargement of the lacrimal gland may be symmetric and extensive.  Notice the slight enlargement of the involved left lacrimal gland in this patient.
Inflammatory lesion  >  Wegener’s Granulomatosis Wegener’s granuloma.  Axial CT scan showing an infiltrative process involving the right lacrimal gland and extending along the extraorbital space (arrows).
Inflammatory lesion  >  Wegener’s Granulomatosis Progressive Wegener’s granulomatosis of the left orbit. Axial postcontrast T1WI through the mid orbits demonstrates marked enhancement of the inflammatory granulomatous process, which completely obliterates the left orbit, with stretching and anterior displacement of the globe.  Note the diffuse enhancement of the tentorium cerebelli.
INFLAMMATORY LESIONS Orbital Cellulitis. Mycotic Infections. Pseudotumors. Optic neuritis. Sarcoidosis. Wegener’s Granulomatosis. Amyloidosis
Amyloidosis Amyloidosis = deposition of an amorphous hyaline material in various tissues;  such as muscle, skin, nerve, submucosa, adrenal gland, and the orbit. Involvement of the orbit; part of primary hereditary systemic amyloidosis. part of secondary amyloidosis. localized isolated process.
Amyloidosis On CT, amyloid deposits (homogeneous eosinophilic protein) simulate pseudotumors, vascular malformation, and other mass lesions, and the deposits can  occasionally calcify . On MR imaging, the amyloid deposits have signal intensities similar to those of skeletal muscle on all imaging sequences.
Inflammatory lesion  >  Amyloidosis Amyloidosis of the right orbit with calcification. Axial CT section without infusion of contrast material reveals a mass in the extraconal space of the right orbit with a slight bulge into the intraconal space.  Note the speckled calcifications within the amyloid deposit.  The adjacent ethmoid sinus is normal.
Inflammatory lesion  >  Amyloidosis Amyloidosis of the lacrimal gland and orbit.  Axial CT scan shows marked calcification of the left lacrimal gland (arrow).
 
ORBITAL VASCULAR CONDITION Capillary Hemangioma. Cavernous Hemangioma. Lymphangioma. Orbital Varix Carotid Cavernous Fistulas  Hemangiopericytoma
ORBITAL VASCULAR CONDITION Capillary Hemangioma. Cavernous Hemangioma. Lymphangioma. Orbital Varix Carotid Cavernous Fistulas  Hemangiopericytoma
Capillary Hemangioma (Benign Hemangioendothelioma)   The most common orbital vascular tumor in  infants . Occur in the first year of life.  The tumor often increases in size for 6 to 10 months and then gradually involutes. Most commonly in the  superior nasal quadrant .
Capillary Hemangioma (Benign Hemangioendothelioma)   Superficial lesions appear  red , whereas subcutaneous lesions appear  blue .  They may expand slightly during crying or straining.
Capillary Hemangioma (Benign Hemangioendothelioma)   Treatment  options include  observation  and topical, oral, or intralesional  corticosteroid  therapy.  Interferon  therapy,  laser  therapy, and  surgery  typically are reserved for patients with potentially life-threatening complications .
Capillary Hemangioma (Benign Hemangioendothelioma)   Arterial supply from external carotid or internal carotid arteries. May extend intracranially through the superior orbital fissure, optic canal, and orbital roof.  Histology: demonstrates capillary-sized vascular spaces surrounded by proliferating benign endothelial cells.
Capillary Hemangioma (Benign Hemangioendothelioma)   Complications are rare but may include profuse  hemorrhage ,  thrombosis ,  optic nerve compression ,  bone remodeling , and  calcification .  May be found in association with the rare neurocutaneous syndrome known as  PHACE P osterior fossa brain malformations Large facial  H emangiomas A rterial anomalies C ardiac anomalies and aortic Coarctation E ye abnormalities ( colobomas, optic nerve hypoplasia, increased retinal vascularity, and glaucoma)
Capillary Hemangioma (Benign Hemangioendothelioma)   Location : entirely extraconal or substantial extraconal component.  CT findings: Lobulated, irregularly marginated, and heterogeneous. Intense homogeneous enhancement. MRI findings: hypointense or slightly hyperintense to brain on T1WI. hyperintense to brain on PDWI and T2WI. intense enhancement.
Vascular lesion  >  Capillary Hemangioma Typical capillary hemangioma in a 41/2-month-old girl with proptosis of the right eye and cutaneous hemangioma
Vascular lesion  >  Capillary Hemangioma A baby boy with a left orbital capillary hemangioma that presented shortly after birth. A  , Axial contrast-enhanced CT scan shows a mass filling and expanding the left orbit. The hemangioma appears to extend through the superior orbital fissure into the left cavernous sinus. The mass encircles and stretches the optic nerve sheath complex.  B, Axial T1WI reveals a large, heterogeneous, finely lobulated mass expanding the left bony orbit. The focal regions of hypointensity are consistent with flow voids attributable to vessels. C, Axial T1WI scan shows that the capillary hemangioma involuted completely 2 years after the initial presentation.
Vascular lesion  >  Capillary Hemangioma Capillary hemangioma.  Postcontrast axial CT scan shows an enhancing mass (m) with involvement of the eyelid and extension into the right cavernous sinus (arrow).
Vascular lesion  >  Capillary Hemangioma Capillary hemangioma.  A, Enhanced axial CT scan showing a large retrobulbar mass compatible with a capillary hemangioma (H ).  B, Dynamic axial CT scanning reveals rapid wash-in of contrast in hemangioma (H).
ORBITAL VASCULAR CONDITION Capillary Hemangioma. Cavernous Hemangioma. Lymphangioma. Orbital Varix Carotid Cavernous Fistulas  Hemangiopericytoma
Cavernous Hemangioma M/C orbital vascular tumor in adults. Most often in women (60%–70%) between the ages of mean age, 43–48 years. Slowly progressive enlargement.  Histologically, composed of large, dilated vascular channels (sinusoid-like spaces) lined by thin, attenuated endothelial cells. A distinct fibrous pseudocapsule.
At histologic analysis, large dilated vascular channels lined by flattened or attenuated endothelial cells with an intervening fibrous interstitium are visible Vascular lesion  >  Cavernous Hemangioma
Cavernous Hemangioma CT and MR imaging; May be located anywhere in the orbit but frequently (83%) occur within the retrobulbar muscle cone. Uncommonly, an intramuscular hemangioma may occur. Well-defined masses.  Variable contrast enhancement.  Always respect the contour of the globe ( until ruptured ).  Orbital bone modeling is not uncommon.
Copyright ©Radiological Society of North America, 2008 CECT Cavernous malformation in a 39-year-old woman with painless progressive proptosis
Vascular lesion  >  Cavernous Hemangioma Capillary hemangioma.  A, Serial axial CT scan. B, Reformatted coronal CT scans. A and B show a well-defined intraconal markedly enhancing hemangioma (H ).
Vascular lesion  >  Cavernous Hemangioma Capillary hemangioma.  A, Satittal PW MR scan. B, Sagittal T2-weighted MR scan. Scans show an intraconal mass (M), which was presumed to be a cavernous hemangioma.
Vascular lesion  >  Cavernous Hemangioma Capillary hemangioma.  Sagittal MR images obtained without (right) and with (left) intravenous Gd-DTPA show a hemangioma in the anterior floor of the orbit.
Copyright ©Radiological Society of North America, 2008 Large cavernous malformation cavernous malformation in a 43-year-old woman with painless proptosis of the right eye Axial T1-weighted MR image Axial contrast enhanced T1-weighted fat-suppressed,  image, obtained immediately after the intravenous administration of a gadolinium-based contrast material Axial contrastenhanced T1-weighted fat-suppressed MR image, obtained 1 hour later
ORBITAL VASCULAR CONDITION Capillary Hemangioma. Cavernous Hemangioma. Lymphangioma. Orbital Varix Carotid Cavernous Fistulas  Hemangiopericytoma
Lymphangioma (Venous Lymphatic malformations)   The origin of lymphangioma = controversial. The lesion is an  unencapsulated  mass Consisting mostly of bloodless vascular and lymph channels. Clinical finding of worsening proptosis when the child has an upper respiratory tract infection. Occur in children and young adults.
Copyright ©Radiological Society of North America, 2008 Venous lymphatic malformation in a 5-year-old girl during an upper respiratory tract viral infection. after the patient recovered from the viral infection
Lymphangioma (Venous Lymphatic malformations)   Spontaneous (or after minor trauma) hemorrhage within the lesion is common, resulting in a chocolate cyst. More common in the extraconal space. Typically diffuse and not well encapsulated Usually multilobular.
Lymphangioma (Venous Lymphatic malformations)   CT: Poorly circumscribed, heterogeneous masses of increased density. Bony remodeling may be present. Calcification is rare. Minimal to marked contrast enhancement may be present.  MR imaging: Relatively hypointense or hyperintense to brain on T1WI. Very hyperintense on T2WI. Fluid-fluid levels related to hemorrhages of various ages are characteristic of lymphangioma.
Copyright ©Radiological Society of North America, 2008 Axial unenhanced CT image Venous lymphatic malformation in an 11-year-old boy with progressive proptosis of the right eye and lateral displacement of the globe
ORBITAL VASCULAR CONDITION Capillary Hemangioma. Cavernous Hemangioma. Lymphangioma. Orbital Varix Carotid Cavernous Fistulas  Hemangiopericytoma
Orbital Varix Primary orbital varices =  congenital  venous malformations. M/C cause of spontaneous orbital hemorrhage. Typically manifest in the 2nd or 3rd decade of life, males and females equally.
Orbital Varix Clinically, proptosis or globe displacement increases  during a Valsalva maneuver , reflecting the varix’s connection to the venous system. ( Stress proptosis  )
Copyright ©Radiological Society of North America, 2008 Photograph obtained with the patient at rest Conjunctival orbital varix in a 56-year-old man whose right eyelid bulges when straining Photograph obtained during the Valsalva maneuver
Copyright ©Radiological Society of North America, 2008 Conjunctival orbital varix in a 56-year-old man whose right eyelid bulges when straining Photograph obtained with the upper eyelid elevated
Orbital Varix The CT appearance; May be normal in axial sections. Quite abnormal in coronal sections, particularly in the prone position. Thrombosis and hemorrhage. May be associated with intracranial venous anomalies. MR imaging; Hypointense on T1WI. Hyperintense on T2WI. Enhanced on postcontrast.  Several round or tubular structures with associated phleboliths.
Copyright ©Radiological Society of North America, 2008 Orbital varix in a 33-year-old woman with proptosis when straining prone supine CE T1-weighted fat-suppressed images
Copyright ©Radiological Society of North America, 2008 CECT image obtained with the patient at rest Bilateral orbital varices in a 27-year-old woman with a sensation of eye pressure when stooping to pick up her child CECT image obtained with the patient at Valsalva maneuver
Vascular lesion  >  Orbital Varix Orbital varix A, Axial CT scan shows no obvious lesion.  B, Coronal CT scan shows a large mass (arrows).
ORBITAL VASCULAR CONDITION Capillary Hemangioma. Cavernous Hemangioma. Lymphangioma. Orbital Varix Carotid Cavernous Fistulas  Hemangiopericytoma
Carotid Cavernous Fistulas  Often manifest with the  classic triad  of pulsatile exophthalmos, conjunctival chemosis, and an auscultatory bruit.  A CCF may result from trauma or surgery, or it may occur spontaneously.  Spontaneous CCF have been reported in patients with  osteogenesis imperfecta ,  Ehlers-Danlos syndrome , and  pseudoxanthoma elasticum .
Carotid Cavernous Fistulas  CT and MR imaging; Proptosis. Engorgement of the superior ophthalmic vein. Enlargement of the ipsilateral extraocular muscles.  May be evidence of venous thrombosis in the lumen of the superior ophthalmic vein or cavernous sinus.
Vascular lesion  >  Carotid Cavernous Fistulas  Carotid cavernous fistula.  Enhanced axial CT scan shows enlarged intraorbital veins (arrows) and an enlarged left cavernous sinus.
Copyright ©Radiological Society of North America, 2008 Carotid cavernous fistula in a 52-year-old woman with proptosis, chemosis, and conjunctival injection Axial T2-weighted MR images Axial maximum intensity projection image from MR angiography
ORBITAL VASCULAR CONDITION Capillary Hemangioma. Cavernous Hemangioma. Lymphangioma. Orbital Varix Carotid Cavernous Fistulas  Hemangiopericytoma
Hemangiopericytoma Rare, slow-growing vascular neoplasms that arise from unique cells called  pericytes of Zimmermann . About 50% of the cases are malignant, and distant metastases. Most such metastases go to the lungs. If not excised completely, these lesions tend to recur, and  wide surgical excision  is the treatment of choice.
Hemangiopericytoma CT & MRI: Slightly less distinct. Erosion of the underlying bone may be present. Marked contrast enhancement.
Vascular lesion  >  Hemangiopericytoma Hemangiopericytoma in a 47-year-old man with proptosis of the left eye.  Axial contrast-enhanced CT image shows a lobulated, slightly and homogeneously enhancing left ethmoid sinus mass that has eroded the medial orbital wall.  Note the extraconal extension of the lesion into the orbit and the resultant displacement of the globe.
Vascular lesion  >  Hemangiopericytoma Hemangiopericytoma.  A, Contrast-enhanced axial CT scan shows an enhancing mass (M) compatible with hemangiopericytoma. Note the erosion of the lateral orbital wall (arrowhead ).  B, Recurrent hemangiopericytoma. Enhanced axial T1WI shows a heterogeneously enhancing mass (arrows) compatible with recurrent hemangiopericytoma.
ORBITAL TUMORS Orbital lymphoma Orbital Schwannoma & Neurofibroma Fibrous Histiocytoma Fibroma and Fibrosarcoma Nodular Fasciitis Rhabdomyosarocama Orbital mesenchymal chondrosarcoma
ORBITAL TUMORS Orbital lymphoma Orbital Schwannoma & Neurofibroma Fibrous Histiocytoma Fibroma and Fibrosarcoma Nodular Fasciitis Rhabdomyosarocama Orbital mesenchymal chondrosarcoma
Orbital Lymphoma 75% have or will have systemic lymphoma. True lymphoid tissue in the orbit is found in the  subconjunctival  and  lacrimal glands . Both benign and malignant lymphoid tumors of the orbit occur  predominantly in adults  and are extremely rare in children.
Orbital Lymphoma Involvement of one or more  paranasal sinuses  is more typical of  B -cell lymphoma. Involvement of the  nasal cavity  is more typical of  T -cell lymphoma.
Orbital Lymphoma The CT and MR imaging findings; Usually nonspecific:  impossible to differentiate from  orbital pseudotumors, lacrimal gland tumors, optic nerve tumors, Graves’ orbitopathy, primary orbital tumors, or orbital cellulitis. Homogeneous masses of relatively high density and sharp margins. More often seen in the anterior portion, the retrobulbar area, or in the superior orbital compartment.  Mild to moderate enhancement.
Orbital Lymphoma The CT and MR imaging findings; Mold themselves around the orbital structures without producing bony erosion.  However, the aggressive malignant lymphomas can produce frank destruction of bone. Both pseudotumors and lymphoma may have intermediate or low signal intensity on T1WI and appear isointense to fat on T2WI.
ORBITAL TUMORS >  Orbital lymphoma Lymphoma . Postcontrast axial CT scan shows an infiltrative process involving the left lacrimal gland (1), lateral orbital compartment (2), and perioptic nerve region (arrows).
ORBITAL TUMORS >  Orbital lymphoma Lymphoma . Postcontrast axial CT scan shows a soft-tissue mass (arrow) in the left retrobulbar region.
ORBITAL TUMORS >  Orbital lymphoma Lymphoma . Postcontrast axial CT scan shows a large mass (M) involving the right lacrimal gland (arrow) and retrobulbar region.
ORBITAL TUMORS Orbital lymphoma Orbital Schwannoma & Neurofibroma Fibrous Histiocytoma Fibroma and Fibrosarcoma Nodular Fasciitis Rhabdomyosarocama Orbital mesenchymal chondrosarcoma
Orbital Schwannoma & Neurofibroma Neurofibromas and schwannomas are two benign tumors originating from Schwann cells that occur in the orbit as  isolated lesions  or in association with  neurofibromatosis . Malignant peripheral nerve tumors (malignant schwannoma, neurofibrosarcoma) are  extremely rare  in the orbit. The optic nerve has no Schwann cells; therefore, orbital schwannomas must arise from peripheral nerve fibers of nerves III, IV, V, VI, VII, and the autonomic nerves.
Orbital Schwannoma & Neurofibroma On CT and MR imaging, orbital schwannomas appear as  sharply marginated , oval or fusiform, intraconal or  extraconal masses Moderate to marked enhancement.  The optic nerve is always displaced and may be engulfed by the tumor.
ORBITAL TUMORS >  Orbital Schwannoma & Neurofibroma Neurofibroma A , Postcontrast axial CT scan demonstrating a well-enhanced intraconal neurofibroma ( arrow ) of the posterior orbit.  B , Axial T1WI scan of a posterior neurofibroma ( arrow ) as in  A . Tumor is isointense to brain and hypointense to orbital fat.  C , Axial fat-suppressed T1-weighted MR image of the tumor seen in  A  and  B  demonstrating the marked contrast enhancement of a posterior neurofibroma ( arrow ).
ORBITAL TUMORS >  Orbital Schwannoma & Neurofibroma Orbital schwannoma. Contrast-enhanced axial CT scan shows a large enhancing mass (M).
ORBITAL TUMORS Orbital lymphoma Orbital Schwannoma & Neurofibroma Fibrous Histiocytoma Fibroma and Fibrosarcoma Nodular Fasciitis Rhabdomyosarocama Orbital mesenchymal chondrosarcoma
Fibrous Histiocytoma Fibrous histiocytoma is a mesenchymal tumor that involves the fascia, muscle, and soft tissues. Some authors to be the  most common mesenchymal tumor of the orbit . The tumor may be either benign or malignant. Malignant lesions cause bone erosion.  Benign lesions cause bone remodeling. CT and MR imaging; Well-circumscribed masses. Intraconal or extraconal masses Moderate to marked contrast enhancement
ORBITAL TUMORS >  Fibrous histiocytoma  Fibrous histiocytoma.  Axial postcontrast CT scan showing a bilobed enhancing mass (M) involving the peripheral orbital space.
ORBITAL TUMORS Orbital lymphoma Orbital Schwannoma & Neurofibroma Fibrous Histiocytoma Fibroma and Fibrosarcoma Nodular Fasciitis Rhabdomyosarocama Orbital mesenchymal chondrosarcoma
Fibroma and Fibrosarcoma Fibroma is the least common fibrous tumor of the orbit and is found mostly in young adults. It is usually encapsulated and grows slowly over several years.  It arises from the fascia of the EOMs or Tenon’s capsule in the orbit. Fibromatosis  tends to be locally infiltrative and grows rapidly, which may cause it to be considered as a low-grade fibrosarcoma. Fibrosarcoma is also rare in the orbit.  CT and MR imaging  may show a lesion with either benign-appearing or invasive characteristics.
ORBITAL TUMORS >  Fibroma and Fibrosarcoma Aggressive fibromatosis.  A, Enhanced axial CT scan shows a mass (arrow) with moderate enhancement.  B, Axial T1WI. The mass (arrow) is isointense to brain tissue.  C, Axial T2WI. The mass (arrow) appears hyperintense to muscles.  D, Enhanced fat-suppression axial T1WI. The mass (arrow) shows marked enhancement. Note invasion of the globe.
ORBITAL TUMORS Orbital lymphoma Orbital Schwannoma & Neurofibroma Fibrous Histiocytoma Fibroma and Fibrosarcoma Nodular Fasciitis Rhabdomyosarocama Orbital mesenchymal chondrosarcoma
Nodular Fasciitis Common fibrous tumor. Found elsewhere in the limbs and trunk of adults. Head and neck involvement = more commonly in infants and children. Orbital involvement may develop in the lid, conjunctiva, Tenon’s capsule, or the deep orbit. CT and MR imaging findings are nonspecific. Similar to those of aggressive fibromatosis. Best treated with complete excision. Recurrence rate of 1-2%.
ORBITAL TUMORS >  Nodular Fasciitis Nodular fasciitis. :  A 36-year-old man presented with an apparent inflammatory left orbital mass, which was unresponsive to 3 weeks of antibiotics.  Axial (A) and coronal (B) contrast-enhanced CT: Soft-tissue windows show an ill-defined, enhancing, extraconal or subperiosteal soft-tissue mass in the left superior-lateral orbit, with a low-attenuation central area (arrowheads). Note the subtle enhancement along the anterior cranial fossa (arrow).  C, Coronal CT bone windows demonstrate focal erosion in the frontal bone adjacent to this low-attenuation region (arrowhead).  D, Coronal T1WI reveals an intermediate intensity extending lateral to the orbital rim in addition to eroding the frontal bone.  E, Coronal, fat-saturation, postgadolinium, T1WI shows most of the mass enhances, with a central, nonenhancing focus adjacent to the bone erosion. Note the intracranial dural reaction (arrow).  F, Coronal, fast-STIR (2000/12/160) image. The mass is isointense to gray matter, with a focal area of hyperintensity corresponding to the cystic-appearing region on the postgadolinium image.  The preoperative diagnosis was ruptured dermoid cyst or an aggressive lacrimal region abscess with osteomyelitis.
ORBITAL TUMORS Orbital lymphoma Orbital Schwannoma & Neurofibroma Fibrous Histiocytoma Fibroma and Fibrosarcoma Nodular Fasciitis Rhabdomyosarocama Orbital mesenchymal chondrosarcoma
RHABDOMYOSARCOMA M/C primary orbital malignancy in children. M/C soft-tissue malignancy of childhood.  RMS area. Head and neck = 35% GU system = 23% Extremities for = 17%.  10% occur primarily in orbit. 10% metastasize to / invade orbit.
RHABDOMYOSARCOMA Rapidly progressive exophthalmos + proptosis of upper lid. Metastases: lung, bone marrow, cervical lymph nodes (rare).
RHABDOMYOSARCOMA Imagings: Location:  superior orbit / retrobulbar (71%), lid (22%), conjunctiva (7%)  Large soft-tissue mass with ill-defined margins with significant enhancement. Extraocular muscles not involved. Heterogeneous : hemorrhage. Extension into preseptal space, adjacent sinus, nasal cavity, intracranial cavity. Bony erosion may present. MRI : Iso/Hypo on T1WI and  Hyper on T2WI.
ORBITAL TUMORS >  RHABDOMYOSARCOMA OF THE ORBIT Rhabdomyosarcoma (5-year-old boy).   Enhanced axial CT scan shows an orbital mass (M) with moderate contrast enhancement.
ORBITAL TUMORS >  RHABDOMYOSARCOMA OF THE ORBIT Rhabdomyosarcoma (5-year-old boy).   Axial enhanced CT scan shows a large mass (M) in the right orbit extending into the right ethmoid air cells (E) and right infratemporal fossa (arrow).
ORBITAL TUMORS Orbital lymphoma Orbital Schwannoma & Neurofibroma Fibrous Histiocytoma Fibroma and Fibrosarcoma Nodular Fasciitis Rhabdomyosarocama Orbital mesenchymal chondrosarcoma
Orbital mesenchymal chondrosarcoma Extremely rare More frequently in young women. Proptosis, with orbital pain, diplopia, and headache. Imaging Findings: Well-defined soft-tissue mass. Mottled, coarse calcification. Moderate, delayed contrast enhancement.  Hypo/iso T1WI and iso on T2WI (to brain).
ORBITAL TUMORS >  Orbital mesenchymal chondrosarcoma Mesenchymal chondrosarcoma.  A, Enhanced axial CT scan shows a heavily calcified mass (M) in the right retrobulbar space.
ORBITAL TUMORS >  Orbital mesenchymal chondrosarcoma Mesenchymal chondrosarcoma.  B, Axial nonenhanced T1WI shows that the mass (M) is isointense to brain. Note areas of hypointensity related to more dense calcification.  C, Axial, T2WI shows that the mass (M) is heterogeneous but markedly hypointense, related to intratumoral foci of calcifications.  D, Axial-enhanced T1WI shows that the mass is rather hypervascular, as evidenced by marked contrast enhancement. The calcified component of the mass shows less enhancement (arrows).
SECONDARY ORBITAL TUMORS Directly invasion. From sinonasal cavities, oral cavity, skin of face and intracranial.  Metastases to the orbit. Women : CA breast. Men: CA lung, kidney, or prostate.  Children: Primary neuroblastoma, Ewing’s sarcoma, and Wilms’ tumor.   Metastatic lesions may occur in any of the orbital compartments. CT and MRI findings: may simulate benign and malignant orbital tumor.
ORBITAL TUMORS >  SECONDARY ORBITAL TUMORS Bilateral orbital metastases from a carcinoma of the breast.  Axial postcontrast CT scan through the midorbits demonstrates a homogeneous mass in the retrobulbar space of the left orbit with no bony involvement.  Note partial obliteration of the extraocular muscles and the optic nerve.  There is asymmetric enlargement of the mid- to posterior portion of the right lateral rectus muscle.
ORBITAL TUMORS >  SECONDARY ORBITAL TUMORS Orbital metastasis from a malignant histiocytoma. Axial-enhanced T1WI shows a metastatic deposit involving the lateral wall of the right orbit (arrows).
OTHER ORBITAL LESIONS Langerhans’ Cell Histiocytosis Juvenile Xanthogranuloma
OTHER ORBITAL LESIONS Langerhans’ Cell Histiocytosis Juvenile Xanthogranuloma
Langerhans’ Cell Histiocytosis x A granulomatous disease. The letter X indicating unknown nature. Hand-Schuller-Christian disease  = the chronic disseminated form of LCH. Predilection for children 1 to 4 years old. M/C located in bone or bone marrow.  Orbital involvement is  not uncommon . Usually occurs as part of an acute disseminated form disease. The frontal bone  was most commonly involved by LCH. Usually seen in the superolateral wall.
Langerhans’ Cell Histiocytosis X CT and MR imagings: M/C orbital manifestation is a solitary lesion.  Multiple lesions may be present, resulting in multiple bony defects. Osteolytic lesion, commonly in the superotemporal orbital region. A fairly well-defined or diffuse soft-tissue mass encroaching adjacent organs. Moderate to marked enhancement.
OTHER ORBITAL LESIONS >  Langerhans’ Cell Histiocytosis  Langerhans’ cell histiocytosis. Four-year-old boy with a history of gradual proptosis, diabetes insipidus, and skin lesions consistent with  Hand-Schu¨ller-Christian disease.  A,  Postcontrast axial CT scan shows replacement of the greater wing of the sphenoid bone (arrows) by soft tissue, which demonstrates marked enhancement.  B,  Postcontrast axial CT scan in the same patient as in A showing a destructive lesion involving the squama of the right temporal bone (hollow arrow) as well as the posterior wall of the right maxillary sinus (solid arrow). Notice the marked soft-tissue infiltration into the right temporal fossa (hollow arrow).
OTHER ORBITAL LESIONS >  Langerhans’ Cell Histiocytosis  Langerhans’ cell histiocytosis.  A, Enhanced axial CT scan shows a prominent soft-tissue mass (M) with destruction of the orbital wall (arrow).  B, Enhanced coronal CT scan shows a destructive mass involving the superolateral orbit (arrows).
OTHER ORBITAL LESIONS Langerhans’ Cell Histiocytosis Juvenile Xanthogranuloma
Juvenile Xanthogranuloma Nevoxanthoendothelioma Benign grunulomatous disease of unknown etiology and pathogenesis. Usually  self-healing  disorder of  infants, children , and occasionally adults.  The M/C site is the skin. Orbital involvement with JXG is  rare. M/C sites of orbital involvement = iris and the ciliary body. Imagings: Enhancing soft tissue mass and anterior portion of orbit. Bony wall of the orbit may be involved. Distinguished from LCH radiologically.
OTHER ORBITAL LESIONS >  Juvenile Xanthogranuloma JXG of the orbit.  A, Enhanced axial CT scan shows an enhancing infiltrative process involving the medial orbital region (arrow).  B, Axial T1WI shows the lesion (arrow) to be isointense to brain.  C, Gadolinium-enhanced, fat-suppressed axial MRI shows marked enhancement of the orbital lesion (arrows). The lesion was adherent to the sclera.
OTHER ORBITAL LESIONS >  Juvenile Xanthogranuloma JXG of the orbit.  A, Enhanced axial T1WI shows an enhanced soft-tissue infiltrative process involving the lateral orbital walls (open arrows), epidural space (white arrows), and temporal fossa (t).  B, Enhanced coronal T1WI marked soft-tissue infiltration of both orbits (arrows), as well as involvement of the frontal bone on both sides.

Orbit by Xiu

  • 1.
  • 2.
  • 3.
  • 4.
  • 5.
    BONY ORBIT OrbitalRoof Orbital plate of the frontal bone and sphenoid bone.
  • 6.
    BONY ORBIT OrbitalRoof Anterolaterally = the lacrimal fossa.
  • 7.
    BONY ORBIT OrbitalRoof Posteriorly, at the junction of the roof and the medial wall = the optic foramen. Optic canal: Optic nerve, ophthalmic a.
  • 8.
    BONY ORBIT OrbitalRoof Supraorbital foramen : Supraorbital nerve (V1)
  • 9.
    BONY ORBIT MedialOrbital Wall Maxilla, lacrimal bone, ethmoid, and the body of the sphenoid.
  • 10.
    BONY ORBIT MedialOrbital Wall Anteriorly = the lacrimal groove for the lacrimal sac.
  • 11.
    BONY ORBIT MedialOrbital Wall Lamina papyracea = orbital plate of ethmoid bone. Often appears to be dehiscent on CT, and therefore care should be taken not to make an erroneous diagnosis of bone destruction or fracture.
  • 12.
    BONY ORBIT OrbitalFloor Roof of the maxillary sinus. Maxillary bone, zygomatic, and the orbital process of the palatine bone.
  • 13.
    BONY ORBIT OrbitalFloor Inferior orbital fissure Fromed by GWS and zygomatic bone laterally, maxillary and Ethamoid bones medially. Mostly contiguous with SOF Anteroir continuation of foramen rotundum.
  • 14.
    BONY ORBIT OrbitalFloor Infraorbital foramen: infraorbital nerve (V2)
  • 15.
    BONY ORBIT OrbitalFloor The inferior oblique muscle. Arises from the floor of the orbit just lateral to the opening of the nasolacrimal canal. It is the only extraocular muscle that does not originate from the orbital apex.
  • 16.
    BONY ORBIT LateralOrbital Wall The lateral wall of the orbit is the thickest wall. Formed by GWS bone, frontal process of the zygomatic bone.
  • 17.
    BONY ORBIT LateralOrbital Wall The lateral orbital tubercle : A small elevation of the orbital margin of the zygoma,. This important landmark is the site of attachment for (1) the check ligament of the lateral rectus muscle, (2) the suspensory ligament of the eyeball, (3) the lateral palpebral ligament, and (4) the aponeurosis of the levator palpebrae muscle.
  • 18.
    BONY ORBIT Superiororbital fissure Formed by LWS medially, GWS laterally Primay connection orbit and Intracranial Contents: CN3, CN4, CN5(V1), CN6, SOV
  • 19.
    BONY ORBIT Superiororbital fissure Formed by LWS medially, GWS laterally Primay connection orbit and Intracranial Contents: CN3, CN4, CN5(V1), CN6, SOV
  • 20.
    The eyelids Protectand help lubricate the eyes. Supported by a tarsal plate.
  • 21.
    The eyelids Tarsalplate A fibrous layer that gives the lids shape, strength, and a place for muscles to attach. Underneath and within the tarsal plate lie meibomian glands.
  • 22.
  • 23.
    Orbital septum Fascia arising from orbital periosteum. Inserts into aponeurosis and fascia of lids at margins of superior and inferior tarsi.
  • 24.
    EXTRAOCULAR MUSCLES RectiSuperior, inferior, lateral, medial Origins at annulus of Zinn Insertions at coneoscleral surface SO = 4 LR = 6
  • 25.
    EXTRAOCULAR MUSCLES RectiSuperior, inferior, lateral, medial Origins at annulus of Zinn Insertions at coneoscleral surface SO = 4 LR = 6 Abd ucens nerve (CN6) For lateral rectus which abd uctis the eye
  • 26.
    EXTRAOCULAR MUSCLES Superioroblique Origin at medial margin of annulus of Zinn. courses nasally through trochlea at superomedial rim. Inserts posterolaterally on sclera superiorly. SO = 4 LR = 6
  • 27.
    EXTRAOCULAR MUSCLES Inferioroblique Origin at anteroinferior orbital rim. Insertion posterolaterally on sclera inferiorly. SO = 4 LR = 6
  • 28.
    Ophthalmic artery Majorarterial supply of the orbit First intradural branch of internal carotid artery; passes through optic canal, pierces dural sheath laterlly at apex
  • 29.
    Ophthalmic veins SOV:Located between CN2 and superior rectus; drain through SOF into cavernous sinus IOV: Located adjacent to inferior rectus; drains through IOF into pterygoid plexus.
  • 30.
  • 31.
    LACRIMAL APPARATUS Larcrimalgland = A serous gland lies in the superolateral angle of the orbit, in a lacrimal fossa. Measures 20 x 12 x 5 mm.
  • 32.
    LACRIMAL APPARATUS Dividedinto palpebral and orbital (larger and supperior) lobes by the lateral border of the levator aponeurosis.
  • 33.
    LACRIMAL APPARATUS Accessorylacrimal glands (of Krause and Wolfring) in the lids and conjun ctiva. There are 20 to 40 glands of Krause in the upper fornix and 6 to 8 in the lower fornix. The glands of Wolfring are fewer, consisting of three at the upper border of the superior tarsus and one at the lower border of the inferior tarsus
  • 34.
  • 35.
    Intraocular segment 1mm in length Ganglion cell axons exit globe CN II: optic nerve
  • 36.
    Intraorbital segment 20-30mm in length Extended posteromedially from back of globe to orbital apex (within intraconal space) CN2 longer than actual distance form optic chiasm to globe  allowing for eye movement CN II: optic nerve
  • 37.
    Intraorbital segment CNII: optic nerve
  • 38.
    Intraorbital segment Coveredby 3 meningeal layers as brain Subarachonoid space contains CSF  continue with suprasellar cistern CN II: optic nerve
  • 39.
    Intracanalicular Segment Segmentwithin bony optic canal 4-9 mm in length CN II: optic nerve
  • 40.
    Intracanalicular Segment CNII: optic nerve Dura of CN2 fuses with orbital periosteum (Periorbita)
  • 41.
    Intracranial Segment About10 mm length from optic canal to chiasm Covered by pia and surrounded by CSF within suprasellar cistern CN II: optic nerve
  • 42.
    Axial CT CNII: optic nerve
  • 43.
    CN II: opticnerve Axial T2/ inferior to superior
  • 44.
  • 45.
  • 46.
  • 47.
  • 48.
  • 49.
  • 50.
  • 51.
  • 52.
  • 53.
  • 54.
  • 55.
  • 56.
  • 57.
  • 58.
  • 59.
    Imaging recommendation CT:Excellent evaluation of orbit aided by natural contrast between fat, bone, air & soft tissue. Easily detects calcifications. Noncontrast CT alone for thyroid orbitopathy. Preferred for assessing bony structures and foramina. MRI: Optimal soft tissue contrast for globe, optic nerve, orbital structures, and intracranial findings. Preferred for evaluation of tumor and inflammation. Motion artifact on MR is common due to irrepressible eye motion. Stronger gradients, faster sequences, surface coils, routine use of fat suppression +/- Gd improve image quality. CT & MRI are complementary techniques: both indicated for evaluation of complex lesions.
  • 60.
  • 61.
  • 62.
  • 63.
    Thyroid Orbitopathy Graves’disease = multisystem/autoimmune dz of unknown cause. Characterized by one or more of 3 pathognomonic clinical entities: (1) hyperthyroidism associated with diffuse hyperplasia of the thyroid gland. (2) infiltrative ophthalmopathy ( Graves ophthalmopathy ). (3) infiltrative dermopathy. ( Graves’ dysthyroid ophthalmopathy, Graves’ ophthalmopathy, Thyroid Ophthalmopathy, Endocrine Exophthalmos)
  • 64.
    Thyroid Orbitopathy M/Ccause of unilateral and bilateral exophthalmos in the adult population. More common in women. More severity in men and in Pt more than 50 ys. May occur in hypothyroid or euthyroid. Occasionally, occurs in Hashimoto’s thyroiditis.
  • 65.
    Thyroid Orbitopathy Clinicalof Thyroid orbitopathy Upper and lower eyelid retraction Exophthalmos Limitation of eye movements Eyelid edema Epibulbar vascular congestion.
  • 66.
    Thyroid Orbitopathy Staging(Werner's modified classification): Stage I : eyelid retraction without symptoms Stage II : eyelid retraction with symptoms Stage III : proptosis >22 mm without diplopia Stage IV : proptosis >22 mm with diplopia Stage V : corneal ulceration Stage VI : loss of sight Rx: short- and long-term steroid therapy, cyclosporine, radiation, surgical decompression, correction of eyelid position
  • 67.
    Thyroid Orbitopathy Pathology:Infiltration by mast cells and lymphocytes, edema, muscle fiber necrosis, lipomatosis, fatty degeneration. The inferior rectus muscle is involved most commonly , followed by the medial rectus and the superior rectus.
  • 68.
    Thyroid Orbitopathy Pathology:Infiltration by mast cells and lymphocytes, edema, muscle fiber necrosis, lipomatosis, fatty degeneration. The inferior rectus muscle is involved most commonly , followed by the medial rectus and the superior rectus. mnemonic: I ' M S L ow I nferior M edial S uperior L ateral
  • 69.
    Thyroid Orbitopathy CTand MR imaging: Coke-bottle sign : Enlarged muscle belly with sparing the anterior tendinous insertion. Low-density on CT: acc of lymphocytes and mucopolysaccharide deposition. HyperSI T2WI within muscle: represent inflammation, good clinical response to a trial of steroid therapy. Increased orbital fat Enlargement of the lacrimal glands Edema eyelids Proptosis. Stretching optic n.
  • 70.
    Thyroid Orbitopathy Thyroidmyopathy. Axial CT scan shows enlargement of the inferior rectus muscles ( arrows ).
  • 71.
    Thyroid Orbitopathy Thyroidmyopathy. A , Coronal T1WI and B , Sagittal T1WI. Scans show enlargement of extraocular muscles. In A , 1 , Inferior rectus muscle; 2 , medial rectus muscle; 3 , superior oblique muscle; 4 , superior rectus muscle; 5 , lateral rectus muscle; and 6 , optic nerve. 2 , 1 , inferior oblique muscle; 2 , inferior rectus muscle; and 3 , superior rectus muscle.
  • 72.
    Thyroid Orbitopathy Graves’dysthyroid orbitopathy. Axial slice shows an absolute increase in the amount of orbital fat with pronounced proptosis. There is stretching of the extraocular muscles, which appear to be smaller than usual (small arrows). There is also stretching of the optic nerve.
  • 73.
    Thyroid Orbitopathy DDx:pseudotumor (usually includes tendon of eye muscles) . Thyroid orbitopathy Pseudotumor
  • 74.
    Thyroid Orbitopathy proptosis = globe protrusion >21 mm anterior to interzygomatic line on axial scans at level of lens 21
  • 75.
  • 76.
    ORBITAL CYSTIC LESIONSDermoid cyst Hematic Cysts and Cholesterol Granuloma Enterogenous cysts Congenital cystic eye Dacryocele Parasitic cysts Optic Nerve Sheath Meningocele Epithelial Implantation Cysts Lacrimal Gland Cysts
  • 77.
    ORBITAL CYSTIC LESIONSDermoid cyst Hematic Cysts and Cholesterol Granuloma Enterogenous cysts Congenital cystic eye Dacryocele Parasitic cysts Optic Nerve Sheath Meningocele Epithelial Implantation Cysts Lacrimal Gland Cysts
  • 78.
    Dermoid cyst Choristoma = a focus of tissue histologically normal for an organ or part of an organ at a site other than the site at which it is located. Dermoid or epidermoid cyst :::: A dermoid or epidermoid cyst is a choristoma. M/C orbital tumors of childhood. Most frequently found in favor the upper portion of the orbit (temporal > nasal). The tumor is congenital but may not be noted at birth. Many become evident only in the 2nd decade.
  • 79.
    Dermoid cyst Choristoma = a focus of tissue histologically normal for an organ or part of an organ at a site other than the site at which it is located. Dermoid or epidermoid cyst :::: Both have a fibrous capsule with varying degrees of thickness. The epidermoid has a lining of keratinizing, stratified squamous epithelium. The dermoid contains one or more dermal adnexal structures such as sebaceous glands and hair follicles.
  • 80.
    Dermoid cyst Dermolipomas (lipodermoids) = less dense than solid dermoids and contain more adipose tissue . Epibulbar osseous choristomas = dermoids that composed of mature, compact bone along with other typical choristomatous elements such as pilosebaceous units and hair follicles. Teratoma = choristomatous tumors that contain tissues representing two or more germ layers . T eratomas within the orbit are rarely malignant. Orbital teratomas tend to affect girls, are unilateral, grow rapidly, and are not associated with other anomalies.
  • 81.
    CT AND MRIMAGING FEATURES Intensity of adipose tissue Density of adipose tissue Dermolipoma HypoSI on T1WI and hyperSI on T2WI Fatty tissue Minimal enh of capsule may be present Associated orbital inflammatory changes, when cyst is ruptured Non-enh mass with or without bone erosion Calcification, if present, is a characteristic feature fat, if present, is characteristic Scalloping with sclerosis of the adjacent bone may be present Minimal enh of the capsule may be present Dermoid cyst HypoSI on T1WI and hyperSI on T2WI Minimal enh of capsule may be present Associated orbital inflammatory changes, when cyst is ruptured Non-enh mass with or without bone erosion No calcification Scalloping with sclerosis of the adjacent bone may be present Minimal enh of the capsule may be present Epidermoid cyst MRI CT
  • 82.
    Orbital cystic lesion> Dermoid cyst Dermoid Axial CT scan shows a fat-containing lesion (arrow) compatible with an orbital dermoid.
  • 83.
    Orbital cysticlesion >Dermoid cyst Giant Dermoid (B) PW axial MR image and T2-weighted coronal MR image (C) show a giant dermoid (arrow). The lesion is inhomogeneous and contains hyperintense areas caused by fat. The lesion is nearly isointense to fat on the T2-weighted MR image.
  • 84.
    Orbital cysticlesion >Dermoid cyst Dermoid Axial-enhanced CT scan shows a well-circumscribed, rounded, low-density dermoid cyst (C) in the nasal aspect of the anterior orbit.
  • 85.
    Orbital cystic lesion> Dermoid cyst Epidermoid cyst. A, Postcontrast axial CT scan shows a nonenhanced low-density mass (E) compatible with an epidermoid cyst. Notice the scalloping of the lateral orbital wall (arrows). B, T2WI. The epidermoid cyst (E) appears as a homogeneous hyperintense mass.
  • 86.
    Orbital cystic lesion> Dermoid cyst Dermolipoma. Coronal TWI shows a hyperintense mass (arrows) compatible with a dermolipoma.
  • 87.
    ORBITAL CYSTIC LESIONSDermoid cyst Hematic Cysts and Cholesterol Granuloma Enterogenous cysts Congenital cystic eye Dacryocele Parasitic cysts Optic Nerve Sheath Meningocele Epithelial Implantation Cysts Lacrimal Gland Cysts
  • 88.
    Hematic Cysts andCholesterol Granuloma Hematic cyst = organizing hematoma, hematocele Cholesterol granuloma hematic cyst with orbital bone-pushing and bone destroying. secondary lesions that are formed due to a posttraumatic, postsurgical, or postinflammatory event.
  • 89.
    Hematic Cysts andCholesterol Granuloma CT findings of Subperiosteal hematomas Acute hematoma = sharply defined extraconal, homogeneous, high-density, nonenhancing mass with a broad base abutting the bone and displacing the peripheral orbital fat . Chronic hematoma = sharply defined extraconal, heterogeneous , relatively hypodense , nonenhancing mass. Long-standing chronic hematic cysts (cholesterol granulomas) = cystic lesions, associated with compression bone atrophy as well as expansion and erosions of adjacent bone.
  • 90.
    Hematic Cysts andCholesterol Granuloma MR findings of Subperiosteal hematomas
  • 91.
    Orbital cystic lesion> Hematic Cysts and Cholesterol Granuloma Acute subperiosteal hematoma. Coronal CT scan through the orbit showing a hyperdense acute subperiosteal hematoma (arrows) along the roof of the orbit and displacing the orbital contents inferiorly.
  • 92.
    Orbital cystic lesion> Hematic Cysts and Cholesterol Granuloma Acute subperiosteal hematoma. B, Coronal T1WI showing the intermediate signal intensity of an acute subperiosteal hematoma (white arrows). Note the displaced periosteum (black arrow). C, Sagittal T1WI of the same patient in B showing the acute subperiosteal orbital hematoma (white arrows). Note the displaced periosteum (black arrow). D, Axial T2WI of the same patient in B through the orbit. Note the low signal intensity of the acute hematoma (arrows) on the T2-weighted image.
  • 93.
    Orbital cystic lesion> Hematic Cysts and Cholesterol Granuloma Acute subperiosteal hematoma. Coronal CT scan through the orbit of an 8-year-old boy showing an acute subperiosteal hematoma (curved arrows). Note its hyperdense nature and fusiform shape. Note the normal lacrimal gland (arrow) on the opposite side.
  • 94.
    Orbital cystic lesion> Hematic Cysts and Cholesterol Granuloma Subacute subperiosteal hematoma (less than 7 days). A, Axial CT scan of the orbit in a 2-year-old child. Note the subacute subperiosteal hematoma (arrows) and displacement of the peripheral orbital fat (F). B, Coronal reformatted images of the same patient showing the subacute hematoma.
  • 95.
    Orbital cystic lesion> Hematic Cysts and Cholesterol Granuloma Chronic subperiosteal hematoma (cholesterol granuloma). Axial CT scan shows an expansile mass (arrows) compatible with a chronic hematic cyst.
  • 96.
    Orbital cystic lesion> Hematic Cysts and Cholesterol Granuloma Chronic subperiosteal hematoma (cholesterol granuloma). A, Axial CT scan with oblique sagittal reformatting showing a cholesterol granuloma (arrows) of the left orbit. Note the displacement of the globe (G) inferiorly. The lesion, which is almost isodense with brain, has caused ragged bony destruction (arrowheads). On the axial image, the lesion may be mistaken for a lacrimal gland mass. B, Histopathologic examination of a cholesterol granuloma showing abundant cholesterol cells (arrows), foreign-body giant cells (arrowheads), and inflammatory cells hematoxylin-eosin, original magnification ×40).
  • 97.
    Orbital cystic lesion> Hematic Cysts and Cholesterol Granuloma Subacute subperiosteal hematoma. A, Axial contrast-enhanced T1WI shows a subacute subperiosteal hematoma (arrows) in an 8-year-old child. Note the high to mixed signal intensity pattern on the T1WI. Note the fluid-fluid level (arrowheads). B, Axial proton-density image of the same patient showing a fluid-fluid level (arrowheads) within the hematoma (arrows). C, Axial T2WI showing a mixed signal intensity pattern with hypointensity images related to the intracellular methemoglobin portion of the subacute hematoma (arrows). Note the fluid-fluid level (arrowheads). D, Coronal T1WI reveals an excellent demonstration of the subacute subperiosteal hematoma (arrows). Note the high to intermediate signal intensity of the hematoma.
  • 98.
    Orbital cystic lesion> Hematic Cysts and Cholesterol Granuloma Chronic subperiosteal hematoma (about 12 days). A, Axial CT scan of the orbit showing a chronic subperiosteal hematoma (arrows) seen as an isodense lesion with a fluid-fluid level (arrowhead ). B, Coronal T1WI showing the cholesterol granuloma (arrows) in the same patient in A as a high-signal lesion, indicating its chronic nature.
  • 99.
    Orbital cystic lesion> Hematic Cysts and Cholesterol Granuloma Chronic subperiosteal hematoma (about 12 days). C, Sagittal T1WI illustrates the high signal pattern of the subperiosteal hematoma (white arrows), resulting in downward displacement of the optic nerve (black arrow). D, Axial proton density MR image shows this chronic hematoma (cholesterol granuloma) as a hyperintense lesion (arrowheads).
  • 100.
    ORBITAL CYSTIC LESIONSDermoid cyst Hematic Cysts and Cholesterol Granuloma Enterogenous cysts Congenital cystic eye Dacryocele Parasitic cysts Optic Nerve Sheath Meningocele Epithelial Implantation Cysts Lacrimal Gland Cysts
  • 101.
    Enterogenous cysts Congenitalchoristomatous cysts of the CNS. Contain a single layer of mucin-secreting epithelial cells that resemble gastrointestinal epithelium. Common site = lower cervical and cervicothoracic regions. An orbital location is extremely rare .
  • 102.
    Enterogenous cysts Imagingfindings; CT Isodense or hyperdense, depending on the mucous content of the cyst. MRI Hypointense or hyperintense on T1WI, depending on the mucous content of the cyst. Hyperintense on T2WI Bony erosion may be present. May be rim enhancement on enhanced CT and MRI.
  • 103.
    ORBITAL CYSTIC LESIONSDermoid cyst Hematic Cysts and Cholesterol Granuloma Enterogenous cysts Congenital cystic eye Dacryocele Parasitic cysts Optic Nerve Sheath Meningocele Epithelial Implantation Cysts Lacrimal Gland Cysts
  • 104.
    Congenital cystic eyeA rare congenital anomaly. Presents at birth as a complex cyst occupying the orbit, without any vestige of a globe . The cyst wall is lined by cells derived from undifferentiated retina and retinal pigment epithelium . Some remnant of an optic nerve–like structure and extraocular muscles may be present.
  • 105.
    Congenital cystic eyeImaging findings; Rounded or ovoid, septated cyst The superior orbital fissure may be enlarged ipsilaterally. A rudimentary connection to a thinned optic nerve may be seen. CT Nonenhancing low-density mass MRI Hypointense on T1WI( not equal to mormal vitreous). Hyperintense on T2WI. Nonenhancing mass
  • 106.
    Orbital cystic lesion> Congenital cystic eye Congenital cystic eye B, Axial T1WI through the orbit shows a large orbital cyst, an enlarged orbit, and no discernible normal bulbar structures on the left. C, Axial T2WI shows a rudimentary optic nerve (arrow) leading into the lesion. Signal intensity is homogeneously high. D, Coronal contrast-enhanced, T1WI shows thin, enhancing strands and a more focal amorphous tissue mass in the posterior aspect of the lesion (probably dysmorphic retinal tissue).
  • 107.
    ORBITAL CYSTIC LESIONSDermoid cyst Hematic Cysts and Cholesterol Granuloma Enterogenous cysts Congenital cystic eye Dacryocele Parasitic cysts Optic Nerve Sheath Meningocele Epithelial Implantation Cysts Lacrimal Gland Cysts
  • 108.
    Dacryocele Lachrymal sacmucocele A cystic expansion of the nasolacrimal sac . Caused by a proximal or distal block of the nasolacrimal duct. Dacryoceles are considered a congenital anomaly of the lacrimal drainage system. Usually apparent in the first few days of life.
  • 109.
    Dacryocele Imaging findings;well-circumscribed, rounded lesions centered in the nasolacrimal sac region. Nonenhancing mass, unless infected. CT Nonenhancing (unless infected) low-density mass. MRI Hypointense on T1WI and hyperintense on T2WI.
  • 110.
    Orbital cystic lesion> Dacryocele Dacryoceles Enhanced coronal T1WI shows bilateral dacryoceles ( arrows ).
  • 111.
    ORBITAL CYSTIC LESIONSDermoid cyst Hematic Cysts and Cholesterol Granuloma Enterogenous cysts Congenital cystic eye Dacryocele Parasitic cysts Optic Nerve Sheath Meningocele Epithelial Implantation Cysts Lacrimal Gland Cysts
  • 112.
    Parasitic cysts Hydatid Cysts The hydatid cyst is related to infection tapeworm, Echinococcus granulosus . A well-defined cystic mass with or without a fluid-fluid level containing the parasite. Clinically, patients present with slowly progressive, painless orbital signs. Cysticercosis Cysticercosis is a disease due to infestation by tapeworm Cysticercus cellulosae, Taenia solium . Clinically, patients present with either a visible subconjunctival cyst or orbital signs due to an extraocular muscle cyst that is unresponsive to treatment with oral corticosteroids.
  • 113.
    Parasitic cysts CT Cystic lesions within or near an EOM Some degree of enhancement around the cyst wall Scolex can be identified Diffuse myositis may be present Cystic lesion within or near lacrimal gland or other part of the orbit MRI Cystic lesions within or near an EOM Some degree of enhancement around the cyst wall Scolex can be identified Diffuse myositis may be present Hypointense on T1WI and hyperintense on T2WI.
  • 114.
    Orbital cystic lesion> Parasitic cysts Cysticercosis. Axial T2WI shows multiple intracranial abscesses (arrows) and an orbital abscess (hollow arrow). The orbital cyst shows a fluid-fluid level. Scolices are seen within the abscesses as tiny hypointense areas.
  • 115.
    ORBITAL CYSTIC LESIONSDermoid cyst Hematic Cysts and Cholesterol Granuloma Enterogenous cysts Congenital cystic eye Dacryocele Parasitic cysts Optic Nerve Sheath Meningocele Epithelial Implantation Cysts Lacrimal Gland Cysts
  • 116.
    Optic Nerve SheathMeningocele Saccular dilatation of the meninges surrounding the orbital portion of the optic nerve. Occur primarily or secondarily in association with other orbital processes, such as meningioma, optic nerve pilocytic astrocytoma, and hemangioma. Present with changes in visual acuity or visual field. (optic nerve sheath cyst, arachnoid cyst, perioptic hygroma, and dural ectasia)
  • 117.
    Optic Nerve SheathMeningocele The CT and MR imaging; Prominent focal or segmental enlargement of the dural arachnoid sheath around the optic nerve May be associated with an empty sella. May be associated with enlarged subarachnoid cisterns (optic nerve sheath cyst, arachnoid cyst, perioptic hygroma, and dural ectasia)
  • 118.
    Orbital cystic lesion> Optic Nerve Sheath Meningocele Ectasia of the optic nerve sheath (meningocele). Axial T1WI shows the prominence of the subarachnoid space around the nerves (arrows).
  • 119.
    Orbital cystic lesion> Optic Nerve Sheath Meningocele Ectasia of the optic nerve sheath (meningocele). T2WI shows marked expansion of the subarachnoid space around the right optic nerve (arrow). Note the empty sella (E) and dilated Gasserian cisterns (G).
  • 120.
    ORBITAL CYSTIC LESIONSDermoid cyst Hematic Cysts and Cholesterol Granuloma Enterogenous cysts Congenital cystic eye Dacryocele Parasitic cysts Optic Nerve Sheath Meningocele Epithelial Implantation Cysts Lacrimal Gland Cysts
  • 121.
    Epithelial Implantation CystsDerived from cells of cutaneous epithelium conjunctival epithelium or respiratory epithelium that are traumatically displaced under the skin of the eyelid or into the orbit. The CT and MR imaging appearance; Nonspecific. Similar to that of any simple cyst. A nonenhanced cystic orbital mass following orbital surgery or enucleation should raise the question of the presence of an epithelial implantation cyst.
  • 122.
    Orbital cystic lesion> Epithelial Implantation Cysts Epithelial implantation cyst Axial CT scan shows a well-defined mass (arrows) compatible with an epithelial implantation cyst.
  • 123.
    ORBITAL CYSTIC LESIONSDermoid cyst Hematic Cysts and Cholesterol Granuloma Enterogenous cysts Congenital cystic eye Dacryocele Parasitic cysts Optic Nerve Sheath Meningocele Epithelial Implantation Cysts Lacrimal Gland Cysts
  • 124.
    Lacrimal Gland CystsDue to blockage of the gland’s excretory ducts. The CT and MR imaging appearance Similar to that of any simple cyst.
  • 125.
    Orbital cystic lesion> Lacrimal Gland Cysts Lacrimal gland cyst Axial T2-weighted MR image shows a lacrimal gland cyst ( arrow ).
  • 126.
  • 127.
    INFLAMMATORY LESIONS OrbitalCellulitis. Mycotic Infections. Pseudotumors. Optic neuritis. Sarcoidosis. Wegener’s Granulomatosis. Amyloidosis
  • 128.
    INFLAMMATORY LESIONS OrbitalCellulitis. Mycotic Infections. Pseudotumors. Optic neuritis. Sarcoidosis. Wegener’s Granulomatosis. Amyloidosis
  • 129.
    Orbital Cellulitis Orbital cellulitis = M/C cause of proptosis in children. M/C cause of orbital cellulitis = Sinusitis. M/C organism = Bacteria. M/ C bacteria = Staphylococcus, Streptococcus Pneumococcus, Pseudomonas, Neisseriaceae, Haemophilus, and mycobacteria. M/C virus = Herpes simplex and herpes zoster.
  • 130.
  • 131.
    Inflammatory lesion >Orbital cellulitis Preseptal and retroseptal orbital inflammation. Axial CT scan shows periorbital soft-tissue infiltration and edema (white arrow) and retroseptal subperiosteal inflammation and edema (black arrow).
  • 132.
    Inflammatory lesion >Orbital cellulitis Orbital cellulitis . A , Enhanced, fat-suppressed, axial T1WI showing diffuse enhancement of pre- and postseptal orbital tissue ( arrows ). B , Enhanced, fat-suppressed, sagittal T1WI shows an air-fluid level in the frontal sinus ( arrows ) and diffuse orbital enhancement ( curved arrow ). There is no orbital abscess formation.
  • 133.
    Inflammatory lesion >Orbital cellulitis Orbital subperiosteal phlegmon. A, Axial CT scan shows proptosis of the left eye with mucoperiosteal thickening of the left ethmoid sinus (E), with soft-tissue induration in the medial subperiosteal space (arrowheads). Note the lateral displacement of the inflamed left medial rectus muscle (1). Optic nerve (2). B, Coronal CT scan, same patient as in A, shows clouding of the right ethmoid (E) and maxillary (M) sinuses, with subperiosteal soft-tissue induration (arrowheads) and swelling of the right medial rectus muscle (white arrow) and right inferior rectus muscle (black arrow).
  • 134.
    Inflammatory lesion >Orbital cellulitis Orbital subperiosteal abscess. CT scan shows proptosis of the left eye with mucosal thickening of the ethmoid air cells (E), with subperiosteal abscess (hollow arrow). Note the air bubble (arrowhead ) within the abscess and the swollen left medial rectus muscle (arrow).
  • 135.
    Inflammatory lesion >Orbital cellulitis Orbital cellulitis and abscesses. CT scan shows right periorbital cellulitis and three abscesses. (A), Right retroseptal abscess. (B), Left retrobulbar abscess. (C), Left eyelid abscess. Note slightly engorged left superior ophthalmic vein (hollow arrow).
  • 136.
    Inflammatory lesion >Orbital cellulitis Thrombosis of the superior ophthalmic vein. Axial CT scan shows an engorged left superior ophthalmic vein with a filling defect (arrow), which was caused by a sphenoid sinus infection.
  • 137.
    Inflammatory lesion >Orbital cellulitis Bilateral cavernous sinus thrombosis. Coronal CT section through the cavernous sinus following bolus injection reveals opacification of the internal carotid arteries bilaterally. The cavernous sinus reveals decreased attenuation in keeping with cavernous sinus thrombosis. Note enhancement of the dura bordering the left cavernous sinus.
  • 138.
    Inflammatory lesion >Orbital cellulitis Mycotic (septic) aneurysm. 1, Enhanced axial CT scan shows an enhancing mass (arrow) in the left cavernous sinus related to a mycotic artery. 2, Lateral angiogram shows a large aneurysm (arrow) of the cavernous portion of the internal carotid artery.
  • 139.
    INFLAMMATORY LESIONS OrbitalCellulitis. Mycotic Infections. Pseudotumors. Optic neuritis. Sarcoidosis. Wegener’s Granulomatosis. Amyloidosis
  • 140.
    Mycotic Infections MucormycosisThere are four major types of mucormycosis: rhinocerebral = M/C type pulmonary gastrointestinal disseminated
  • 141.
    Mycotic Infections Rhinocerebraltype of mucormycosis usually occur in DM or immunocompromised. M/C = Mucor and Aspergillus. The infection usually begins in the nose Spreads to the paranasal sinuses Extends into the orbit and cavernous sinuses. The pathologic hallmark of mucormycosis = invasion of the walls of small vessels. Rapid brain infarction may develop.
  • 142.
    Mycotic Infections Imagingfindings Combination of orbital and sinus involvement Multicentric or unicentric sinusitis Mycetoma = HypoSI on T2WI : One important sign but not pathognomonic. vascular thrombosis Invasion of the walls vessels.
  • 143.
    Inflammatory lesion >Mycotic Infections Aspergillosis. A, Axial T2WI shows soft-tissue induration in the left sphenoid sinus (white arrow). Note the internal carotid (C) and early soft-tissue infiltration of the left cavernous sinus (hollow arrow).
  • 144.
    Inflammatory lesion >Mycotic Infections Aspergillosis. B, Axial PD MR image follow-up scan. C, Axial T2-weighted MR image follow-up scan. Scans show progression of the pathologic process, with marked infiltration of the left cavernous sinus (C) and formation of the left temporal lobe abscess (arrowhead ) with marked peripheral edema. Note apical infiltration into the left orbit (black arrow in B) and inflammatory mycotic tissue in the left sphenoid sinus (white arrow). Note the nonvisualization of the left internal carotid artery (compare with A); this results from invasion of the mycotic process, a finding confirmed by angiography and surgery. The mycotic process (m) has extended over the left petrous apex.
  • 145.
    INFLAMMATORY LESIONS OrbitalCellulitis. Mycotic Infections. Pseudotumors. Optic neuritis. Sarcoidosis. Wegener’s Granulomatosis. Amyloidosis
  • 146.
    Orbital pseudotumors A nongranulomatous inflammatory process in the orbit with no known local or systemic causes. A diagnosis of exclusion based on the history, clinical course, response to steroid therapy, laboratory tests, and biopsy in a limited number of cases. (Idiopathic Orbital Inflammatory Disorders)
  • 147.
    Orbital pseudotumors After Graves’ disease, pseudotumor is the next most common ophthalmologic disease. Usually affects adults. Usully bilateral orbital involvement. Bilateral orbital pseudotumors in adults suggest the possibility of systemic vasculitis or a systemic lymphoproliferative disorder. (Idiopathic Orbital Inflammatory Disorders)
  • 148.
    Orbital pseudotumors Acute onset of painful ophthalmoplegia , diplopia, proptosis, and impaired vision from perioptic nerve involvement. Pain is an important feature of pseudotumors; however, not all patients with pseudotumors present with pain. (Idiopathic Orbital Inflammatory Disorders)
  • 149.
    Orbital pseudotumors Pseudotumors may be classified as (1) acute and subacute idiopathic anterior orbital inflammation (2) acute and subacute idiopathic diffuse orbital inflammation (3) acute and subacute idiopathic myositic orbital inflammation (4) acute and subacute idiopathic apical orbital inflammation (5) idiopathic dacryoadenitis (6) perineuritis. Tolosa-Hunt syndrome (painful ophthalmoplegia) is a variant of pseudotumor in which the inflammatory process is restricted to the vicinity of the superior orbital fissure , the optic canal , or the cavernous sinus .
  • 150.
    Anterior Orbital InflammationOrbital pseudotumors Inflammation involves the anterior orbit and adjacent globe. Pain, proptosis, lid swelling, and decreased vision. Extraocular muscle (EOM) motility is usually unaffected.
  • 151.
    Anterior Orbital InflammationOrbital pseudotumors CT and MR imaging Thickening of the uveal-scleral rim with obscuration of the optic nerve junction, which enhances with contrast infusion on CT.
  • 152.
    Inflammatory lesion > Orbital pseudotumors > Anterior Orbital Inflammation Pseudotumor: periscleritis/perineuritis. Postcontrast axial CT scan shows diffuse thickening of the scleral coat with inflammatory infiltration into Tenon’s space ( T ) and perineuritis ( arrow ).
  • 153.
    Diffuse Orbital PseudotumorOrbital pseudotumors Tumefactive, or infiltrative type of pseudotumor Entire retrobulbar space and mold itself around the globe while respecting its natural shape. These large, bulky masses can be intraconal, extraconal, or involve both spaces. Very difficult to differentiate from lymphoma.
  • 154.
    Inflammatory lesion > Orbital pseudotumors > Diffuse Orbital Pseudotumor Pseudotumor. Axial CT scan shows diffuse infiltration of the entire retrobulbar space. The optic nerve appears as a lucent band (arrow) embedded within the lesion.
  • 155.
    Inflammatory lesion > Orbital pseudotumors > Diffuse Orbital Pseudotumor Pseudotumor. A, Axial PW MR image. B, Axial T2-weighted MR image. Scans show infiltrative process (arrows) compatible with pseudotumor. The lesion is isointense to brain on PW and T2-weighted MR scans.
  • 156.
    Orbital Myositis Orbitalpseudotumors One or more of the EOMs are infiltrated by an inflammatory process. Most frequently affected muscles = superior complex and the medial rectus.
  • 157.
    Orbital Myositis Orbitalpseudotumors CT findings Enlargement of the EOMs, which extends anteriorly to involve the tendon insertion. Obliteration of the fat between the periosteum of the orbital wall and the muscle cone.
  • 158.
    Orbital Myositis Orbitalpseudotumors CT findings Enlargement of the EOMs, which extends anteriorly to involve the tendon insertion. Obliteration of the fat between the periosteum of the orbital wall and the muscle cone. EOM enlargement Thyroid obthalmopathy . Pseudotumor . Carotidcavernous fistula . Granulomatous disease . Neoplasm ( primary or metastatic
  • 159.
    Inflammatory lesion > Orbital pseudotumors > Orbital Myositis Myositic pseudotumor. Postcontrast Axial CT scan shows marked thickening and enhancement of the left medial rectus muscle (arrow). Note extension of the process into its tendinous insertion on the globe (arrowhead ).
  • 160.
    Inflammatory lesion > Orbital pseudotumors > Orbital Myositis Myositic pseudotumor. A, Axial precontrast (top) and postcontrast (bottom) TIWI through the lower portion of the orbits demonstrate a mass (arrow) with moderate enhancement consistent with an enlarged inferior rectus muscle. B, Coronal postcontrast, T1FS through the orbits reveal diffuse enhancement of the enlarged inferior rectus muscle (arrows). C, Axial PDW (top) and T2WI(bottom) through the inferior orbits demonstrate increased signal intensity of the enlarged inferior rectus muscle (arrows).
  • 161.
    Perineuritis and PeriscleritisOrbital pseudotumors Idiopathic perineuritis = inflammation of the sheath of the optic nerve Can simulate optic neuritis by presentation (orbital pain, pain with extraocular motility, decreased visual acuity, and disc edema).
  • 162.
    Perineuritis and PeriscleritisOrbital pseudotumors CT and MR imaging: A ragged, edematous enlargement of the optic nerve sheath complex.
  • 163.
    Inflammatory lesion > Orbital pseudotumors > Perineuritis and Periscleritis Pseudotumor (perineuritis type). Axial CT scan shows the intraconal region of infiltration (arrowheads) surrounding the left optic nerve. Slight thickening of the posterior sclera indicates posterior scleritis and fluid (exudate) in Tenon’s space.
  • 164.
    Lacrimal Adenitis Orbitalpseudotumors Presents with tenderness in the upper outer quadrant of the orbit in the region of the lacrimal gland. Because of the wide variety and incidence of pathology that can involve the lacrimal gland, biopsy of this accessible site is necessary to obtain a definitive diagnosis.
  • 165.
    Inflammatory lesion > Orbital pseudotumors > Lacrimal Adenitis Reactive lymphoid hyperplasia, lymphoma, and pseudotumor of the lacrimal gland. A, Axial proton-weighted MR image showing a presumed reactive lymphoid hyperplasia (arrow). B, Axial T1WI showing lacrimal gland lymphoma (arrow). C, Axial T1WI showing pseudotumor of the lacrimal gland (arrow).
  • 166.
    Apical Orbital InflammationOrbital pseudotumors Pseudotumor that infiltration of the orbital apex. Present with typical orbital apex syndrome : pain, minimal proptosis, and painful ophthalmoplegia. The CT and MR imaging findings; An irregular infiltrative process of the orbital apex with extension along the posterior portion of the EOMs or the optic nerve.
  • 167.
    Inflammatory lesion > Orbital pseudotumors > Apical Orbital Inflammation Orbital sarcoidosis presenting as superior orbital fissure syndrome. A, Unenhanced axial T1WI. Note the infiltrative process involving the orbital apex on the left side (large arrow). Note extension through the superior orbital fissure into the left temporal epidural space (arrowheads). B, Enhanced axial T1WI FS show marked enhancement of this sarcoid granulomatous infiltration (straight arrows). Note the abnormal enhancement in the left temporal fossa
  • 168.
    INFLAMMATORY LESIONS OrbitalCellulitis. Mycotic Infections. Pseudotumors. Optic neuritis. Sarcoidosis. Wegener’s Granulomatosis. Amyloidosis
  • 169.
    Optic neuritis = Acute inflammatory process of the optic n. Cause Multiple sclerosis Infection : Parainfections : Autoimmune optic neuritis Radiation optic neuropathy
  • 170.
    Optic neuritis = Acute inflammatory process of the optic n. Cause Multiple sclerosis Infection : Parainfections : Autoimmune optic neuritis Radiation optic neuropathy M/C cause of Optic neuritis. Optic neuritis = often an early sign of MS. Typical unilateral visual loss.
  • 171.
    Optic neuritis = Acute inflammatory process of the optic n. Cause Multiple sclerosis Infection : Parainfections : Autoimmune optic neuritis Radiation optic neuropathy syphilis toxoplasmosis toxocariasis borreliosis (Lyme disease) other granulomatous diseases.
  • 172.
    Optic neuritis = Acute inflammatory process of the optic n. Cause Multiple sclerosis Infection : Parainfections : Autoimmune optic neuritis Radiation optic neuropathy occurring 10 to 14 days after the primary illness. Chicken pox, rubella, rubeola, mumps, herpes zoster, mononucleosis, and viral encephalitis Typical bilateral visual loss,
  • 173.
    Optic neuritis = Acute inflammatory process of the optic n. Cause Multiple sclerosis Infection : Parainfections : Autoimmune optic neuritis Radiation optic neuropathy SLE or other autoimmune states
  • 174.
    Optic neuritis = Acute inflammatory process of the optic n. Cause Multiple sclerosis Infection : Parainfections : Sutoimmune optic neuritis Radiation optic neuropathy SLE or other autoimmune states
  • 175.
    Optic neuritis CTsome enlargement of the optic nerve some degree of contrast enhancement. MRI Thickened and hyperintense T2WI. Diffuse enhancement within the nerve on T1WI FS. Evidence of MS plaques
  • 176.
    Inflammatory lesion >Optic neuritis Optic neuritis. Enhanced axial CT scan shows enhancement of the left optic nerve (arrow). This may not be differentiated from sarcoidosis or meningioma.
  • 177.
    Inflammatory lesion >Optic neuritis Optic neuritis. Axial PW (A) and T2W (B) images show enlargement of the left entire optic nerve (arrows) in this 14-year-old girl with left optic neuritis.
  • 178.
    Inflammatory lesion >Optic neuritis Postradiation optic neuritis. Enhanced, fat-suppressed, axial T1-weighted MR image shows enhancement of the intracanalicular segment of right optic nerve (arrow). Notice the postorbital exenteration on the left side.
  • 179.
    Inflammatory lesion >Optic neuritis Optic neuritis. (A) Enhanced axial T1WI and (B) enhanced axial fat-suppression T1W MR scans showing marked enhancement of intraorbital (black arrows) and intracanalicular segments (white arrows) of optic nerves. Biopsy revealed a demyelinating process.
  • 180.
    INFLAMMATORY LESIONS OrbitalCellulitis. Mycotic Infections. Pseudotumors. Optic neuritis. Sarcoidosis. Wegener’s Granulomatosis. Amyloidosis
  • 181.
    Sarcoidosis A granulomatoussystemic disease. Pathology = Noncaseating granulomas Diagnosis based on biosy. Affecting all races, both sexes, and all ages. Presentation : asymptomatic with abnormal findings on CXR. Visual system abnormalities are the most common extrathoracic manifestations of sarcoidosis.
  • 182.
    Sarcoidosis Ophthalmic lesionsdevelop in approximately 25% of patients. Chest abnormalities are found in about 80% of patients with ocular sarcoidosis. Any part of the globe or orbit may be involved. M/c orbital involvement = chronic dacryoadenitis . May be unilateral and easily mimic a lacrimal gland tumor.
  • 183.
    Sarcoidosis A Mikulicz-likesyndrome = Sacoidosis involvement of bilateral lacrimal glands and salivary gland causings dry eyes and xerostomia. The most common cranial nerves to be affected are the CN 2 , 7, 5, 8, 3, 6 respectively.
  • 184.
    Inflammatory lesion > Sarcoidosis Sarcoidosis chronic dacryoadenitis. Axial CT scan shows enlargement of the right lacrimal gland. Note the mild enlargement of the left lacrimal gland.
  • 185.
    Inflammatory lesion > Sarcoidosis Sarcoidosis. Coronal-enhanced CT scan shows moderate enhancement of markedly enlarged lacrimal glands (arrows).
  • 186.
    Inflammatory lesion > Sarcoidosis Presumed sarcoidosis of the lacrimal gland . Axial CT scan in this 7-year-old African American child shows marked enlargement of the lacrimal glands (arrows).
  • 187.
    Inflammatory lesion > Sarcoidosis Sarcoidosis with optic nerve involvement. Axial T1WI scan shows no obvious lesion. There is a suggestion of slight thickening of the left optic nerve (arrow).
  • 188.
    Inflammatory lesion > Sarcoidosis Sarcoidosis-granuloma of the optic nerve. Enhanced axial T1WI scan shows increased enhancement of the left optic nerve (arrows) and a large granuloma involving the intracranial segment of the left optic nerve (single arrow).
  • 189.
    Inflammatory lesion > Sarcoidosis Sarcoidosis-granuloma of the optic nerve. Enhanced axail T1WI : Pre and Post treatment with steroid.
  • 190.
    INFLAMMATORY LESIONS OrbitalCellulitis. Mycotic Infections. Pseudotumors. Optic neuritis. Sarcoidosis. Wegener’s Granulomatosis. Amyloidosis
  • 191.
    Wegener’s Granulomatosis Amultisystem disease. Mainly occurs in the fifth decade of life. A triad: Necrotizing granulomas in the upper and lower respiratory tracts Necrotizing vasculitis of the lung, upper respiratory tract, and other sites. Glomerulonephritis. If left untreated, the disease is often fatal. Combined corticosteroid cyclophosphamide treatment has proven very successful.
  • 192.
    Wegener’s Granulomatosis Ocularinvolvement is also common: occurring in 18% to 50% of the cases. The disease most commonly spreads from the paranasal sinuses to the orbit . The CT and MR imaging appearance ; Similar to that of pseudotumor and lymphoma. Nasal and paranasal sinus involvement is present in the majority of cases.
  • 193.
    Inflammatory lesion > Wegener’s Granulomatosis Wegener’s granulomatosis with involvement of the lacrimal gland. Axial postcontrast CT scan shows diffuse enlargement of the right lacrimal gland. Notice the rather straight configuration of the posterior aspect of the lesion (hollow arrow). In epithelial tumors of the lacrimal gland, the posterior border of the tumor has a rounded configuration. In Wegener’s granulomatosis, enlargement of the lacrimal gland may be symmetric and extensive. Notice the slight enlargement of the involved left lacrimal gland in this patient.
  • 194.
    Inflammatory lesion > Wegener’s Granulomatosis Wegener’s granuloma. Axial CT scan showing an infiltrative process involving the right lacrimal gland and extending along the extraorbital space (arrows).
  • 195.
    Inflammatory lesion > Wegener’s Granulomatosis Progressive Wegener’s granulomatosis of the left orbit. Axial postcontrast T1WI through the mid orbits demonstrates marked enhancement of the inflammatory granulomatous process, which completely obliterates the left orbit, with stretching and anterior displacement of the globe. Note the diffuse enhancement of the tentorium cerebelli.
  • 196.
    INFLAMMATORY LESIONS OrbitalCellulitis. Mycotic Infections. Pseudotumors. Optic neuritis. Sarcoidosis. Wegener’s Granulomatosis. Amyloidosis
  • 197.
    Amyloidosis Amyloidosis =deposition of an amorphous hyaline material in various tissues; such as muscle, skin, nerve, submucosa, adrenal gland, and the orbit. Involvement of the orbit; part of primary hereditary systemic amyloidosis. part of secondary amyloidosis. localized isolated process.
  • 198.
    Amyloidosis On CT,amyloid deposits (homogeneous eosinophilic protein) simulate pseudotumors, vascular malformation, and other mass lesions, and the deposits can occasionally calcify . On MR imaging, the amyloid deposits have signal intensities similar to those of skeletal muscle on all imaging sequences.
  • 199.
    Inflammatory lesion > Amyloidosis Amyloidosis of the right orbit with calcification. Axial CT section without infusion of contrast material reveals a mass in the extraconal space of the right orbit with a slight bulge into the intraconal space. Note the speckled calcifications within the amyloid deposit. The adjacent ethmoid sinus is normal.
  • 200.
    Inflammatory lesion > Amyloidosis Amyloidosis of the lacrimal gland and orbit. Axial CT scan shows marked calcification of the left lacrimal gland (arrow).
  • 201.
  • 202.
    ORBITAL VASCULAR CONDITIONCapillary Hemangioma. Cavernous Hemangioma. Lymphangioma. Orbital Varix Carotid Cavernous Fistulas Hemangiopericytoma
  • 203.
    ORBITAL VASCULAR CONDITIONCapillary Hemangioma. Cavernous Hemangioma. Lymphangioma. Orbital Varix Carotid Cavernous Fistulas Hemangiopericytoma
  • 204.
    Capillary Hemangioma (BenignHemangioendothelioma) The most common orbital vascular tumor in infants . Occur in the first year of life. The tumor often increases in size for 6 to 10 months and then gradually involutes. Most commonly in the superior nasal quadrant .
  • 205.
    Capillary Hemangioma (BenignHemangioendothelioma) Superficial lesions appear red , whereas subcutaneous lesions appear blue . They may expand slightly during crying or straining.
  • 206.
    Capillary Hemangioma (BenignHemangioendothelioma) Treatment options include observation and topical, oral, or intralesional corticosteroid therapy. Interferon therapy, laser therapy, and surgery typically are reserved for patients with potentially life-threatening complications .
  • 207.
    Capillary Hemangioma (BenignHemangioendothelioma) Arterial supply from external carotid or internal carotid arteries. May extend intracranially through the superior orbital fissure, optic canal, and orbital roof. Histology: demonstrates capillary-sized vascular spaces surrounded by proliferating benign endothelial cells.
  • 208.
    Capillary Hemangioma (BenignHemangioendothelioma) Complications are rare but may include profuse hemorrhage , thrombosis , optic nerve compression , bone remodeling , and calcification . May be found in association with the rare neurocutaneous syndrome known as PHACE P osterior fossa brain malformations Large facial H emangiomas A rterial anomalies C ardiac anomalies and aortic Coarctation E ye abnormalities ( colobomas, optic nerve hypoplasia, increased retinal vascularity, and glaucoma)
  • 209.
    Capillary Hemangioma (BenignHemangioendothelioma) Location : entirely extraconal or substantial extraconal component. CT findings: Lobulated, irregularly marginated, and heterogeneous. Intense homogeneous enhancement. MRI findings: hypointense or slightly hyperintense to brain on T1WI. hyperintense to brain on PDWI and T2WI. intense enhancement.
  • 210.
    Vascular lesion > Capillary Hemangioma Typical capillary hemangioma in a 41/2-month-old girl with proptosis of the right eye and cutaneous hemangioma
  • 211.
    Vascular lesion > Capillary Hemangioma A baby boy with a left orbital capillary hemangioma that presented shortly after birth. A , Axial contrast-enhanced CT scan shows a mass filling and expanding the left orbit. The hemangioma appears to extend through the superior orbital fissure into the left cavernous sinus. The mass encircles and stretches the optic nerve sheath complex. B, Axial T1WI reveals a large, heterogeneous, finely lobulated mass expanding the left bony orbit. The focal regions of hypointensity are consistent with flow voids attributable to vessels. C, Axial T1WI scan shows that the capillary hemangioma involuted completely 2 years after the initial presentation.
  • 212.
    Vascular lesion > Capillary Hemangioma Capillary hemangioma. Postcontrast axial CT scan shows an enhancing mass (m) with involvement of the eyelid and extension into the right cavernous sinus (arrow).
  • 213.
    Vascular lesion > Capillary Hemangioma Capillary hemangioma. A, Enhanced axial CT scan showing a large retrobulbar mass compatible with a capillary hemangioma (H ). B, Dynamic axial CT scanning reveals rapid wash-in of contrast in hemangioma (H).
  • 214.
    ORBITAL VASCULAR CONDITIONCapillary Hemangioma. Cavernous Hemangioma. Lymphangioma. Orbital Varix Carotid Cavernous Fistulas Hemangiopericytoma
  • 215.
    Cavernous Hemangioma M/Corbital vascular tumor in adults. Most often in women (60%–70%) between the ages of mean age, 43–48 years. Slowly progressive enlargement. Histologically, composed of large, dilated vascular channels (sinusoid-like spaces) lined by thin, attenuated endothelial cells. A distinct fibrous pseudocapsule.
  • 216.
    At histologic analysis,large dilated vascular channels lined by flattened or attenuated endothelial cells with an intervening fibrous interstitium are visible Vascular lesion > Cavernous Hemangioma
  • 217.
    Cavernous Hemangioma CTand MR imaging; May be located anywhere in the orbit but frequently (83%) occur within the retrobulbar muscle cone. Uncommonly, an intramuscular hemangioma may occur. Well-defined masses. Variable contrast enhancement. Always respect the contour of the globe ( until ruptured ). Orbital bone modeling is not uncommon.
  • 218.
    Copyright ©Radiological Societyof North America, 2008 CECT Cavernous malformation in a 39-year-old woman with painless progressive proptosis
  • 219.
    Vascular lesion > Cavernous Hemangioma Capillary hemangioma. A, Serial axial CT scan. B, Reformatted coronal CT scans. A and B show a well-defined intraconal markedly enhancing hemangioma (H ).
  • 220.
    Vascular lesion > Cavernous Hemangioma Capillary hemangioma. A, Satittal PW MR scan. B, Sagittal T2-weighted MR scan. Scans show an intraconal mass (M), which was presumed to be a cavernous hemangioma.
  • 221.
    Vascular lesion > Cavernous Hemangioma Capillary hemangioma. Sagittal MR images obtained without (right) and with (left) intravenous Gd-DTPA show a hemangioma in the anterior floor of the orbit.
  • 222.
    Copyright ©Radiological Societyof North America, 2008 Large cavernous malformation cavernous malformation in a 43-year-old woman with painless proptosis of the right eye Axial T1-weighted MR image Axial contrast enhanced T1-weighted fat-suppressed, image, obtained immediately after the intravenous administration of a gadolinium-based contrast material Axial contrastenhanced T1-weighted fat-suppressed MR image, obtained 1 hour later
  • 223.
    ORBITAL VASCULAR CONDITIONCapillary Hemangioma. Cavernous Hemangioma. Lymphangioma. Orbital Varix Carotid Cavernous Fistulas Hemangiopericytoma
  • 224.
    Lymphangioma (Venous Lymphaticmalformations) The origin of lymphangioma = controversial. The lesion is an unencapsulated mass Consisting mostly of bloodless vascular and lymph channels. Clinical finding of worsening proptosis when the child has an upper respiratory tract infection. Occur in children and young adults.
  • 225.
    Copyright ©Radiological Societyof North America, 2008 Venous lymphatic malformation in a 5-year-old girl during an upper respiratory tract viral infection. after the patient recovered from the viral infection
  • 226.
    Lymphangioma (Venous Lymphaticmalformations) Spontaneous (or after minor trauma) hemorrhage within the lesion is common, resulting in a chocolate cyst. More common in the extraconal space. Typically diffuse and not well encapsulated Usually multilobular.
  • 227.
    Lymphangioma (Venous Lymphaticmalformations) CT: Poorly circumscribed, heterogeneous masses of increased density. Bony remodeling may be present. Calcification is rare. Minimal to marked contrast enhancement may be present. MR imaging: Relatively hypointense or hyperintense to brain on T1WI. Very hyperintense on T2WI. Fluid-fluid levels related to hemorrhages of various ages are characteristic of lymphangioma.
  • 228.
    Copyright ©Radiological Societyof North America, 2008 Axial unenhanced CT image Venous lymphatic malformation in an 11-year-old boy with progressive proptosis of the right eye and lateral displacement of the globe
  • 229.
    ORBITAL VASCULAR CONDITIONCapillary Hemangioma. Cavernous Hemangioma. Lymphangioma. Orbital Varix Carotid Cavernous Fistulas Hemangiopericytoma
  • 230.
    Orbital Varix Primaryorbital varices = congenital venous malformations. M/C cause of spontaneous orbital hemorrhage. Typically manifest in the 2nd or 3rd decade of life, males and females equally.
  • 231.
    Orbital Varix Clinically,proptosis or globe displacement increases during a Valsalva maneuver , reflecting the varix’s connection to the venous system. ( Stress proptosis )
  • 232.
    Copyright ©Radiological Societyof North America, 2008 Photograph obtained with the patient at rest Conjunctival orbital varix in a 56-year-old man whose right eyelid bulges when straining Photograph obtained during the Valsalva maneuver
  • 233.
    Copyright ©Radiological Societyof North America, 2008 Conjunctival orbital varix in a 56-year-old man whose right eyelid bulges when straining Photograph obtained with the upper eyelid elevated
  • 234.
    Orbital Varix TheCT appearance; May be normal in axial sections. Quite abnormal in coronal sections, particularly in the prone position. Thrombosis and hemorrhage. May be associated with intracranial venous anomalies. MR imaging; Hypointense on T1WI. Hyperintense on T2WI. Enhanced on postcontrast. Several round or tubular structures with associated phleboliths.
  • 235.
    Copyright ©Radiological Societyof North America, 2008 Orbital varix in a 33-year-old woman with proptosis when straining prone supine CE T1-weighted fat-suppressed images
  • 236.
    Copyright ©Radiological Societyof North America, 2008 CECT image obtained with the patient at rest Bilateral orbital varices in a 27-year-old woman with a sensation of eye pressure when stooping to pick up her child CECT image obtained with the patient at Valsalva maneuver
  • 237.
    Vascular lesion > Orbital Varix Orbital varix A, Axial CT scan shows no obvious lesion. B, Coronal CT scan shows a large mass (arrows).
  • 238.
    ORBITAL VASCULAR CONDITIONCapillary Hemangioma. Cavernous Hemangioma. Lymphangioma. Orbital Varix Carotid Cavernous Fistulas Hemangiopericytoma
  • 239.
    Carotid Cavernous Fistulas Often manifest with the classic triad of pulsatile exophthalmos, conjunctival chemosis, and an auscultatory bruit. A CCF may result from trauma or surgery, or it may occur spontaneously. Spontaneous CCF have been reported in patients with osteogenesis imperfecta , Ehlers-Danlos syndrome , and pseudoxanthoma elasticum .
  • 240.
    Carotid Cavernous Fistulas CT and MR imaging; Proptosis. Engorgement of the superior ophthalmic vein. Enlargement of the ipsilateral extraocular muscles. May be evidence of venous thrombosis in the lumen of the superior ophthalmic vein or cavernous sinus.
  • 241.
    Vascular lesion > Carotid Cavernous Fistulas Carotid cavernous fistula. Enhanced axial CT scan shows enlarged intraorbital veins (arrows) and an enlarged left cavernous sinus.
  • 242.
    Copyright ©Radiological Societyof North America, 2008 Carotid cavernous fistula in a 52-year-old woman with proptosis, chemosis, and conjunctival injection Axial T2-weighted MR images Axial maximum intensity projection image from MR angiography
  • 243.
    ORBITAL VASCULAR CONDITIONCapillary Hemangioma. Cavernous Hemangioma. Lymphangioma. Orbital Varix Carotid Cavernous Fistulas Hemangiopericytoma
  • 244.
    Hemangiopericytoma Rare, slow-growingvascular neoplasms that arise from unique cells called pericytes of Zimmermann . About 50% of the cases are malignant, and distant metastases. Most such metastases go to the lungs. If not excised completely, these lesions tend to recur, and wide surgical excision is the treatment of choice.
  • 245.
    Hemangiopericytoma CT &MRI: Slightly less distinct. Erosion of the underlying bone may be present. Marked contrast enhancement.
  • 246.
    Vascular lesion > Hemangiopericytoma Hemangiopericytoma in a 47-year-old man with proptosis of the left eye. Axial contrast-enhanced CT image shows a lobulated, slightly and homogeneously enhancing left ethmoid sinus mass that has eroded the medial orbital wall. Note the extraconal extension of the lesion into the orbit and the resultant displacement of the globe.
  • 247.
    Vascular lesion > Hemangiopericytoma Hemangiopericytoma. A, Contrast-enhanced axial CT scan shows an enhancing mass (M) compatible with hemangiopericytoma. Note the erosion of the lateral orbital wall (arrowhead ). B, Recurrent hemangiopericytoma. Enhanced axial T1WI shows a heterogeneously enhancing mass (arrows) compatible with recurrent hemangiopericytoma.
  • 248.
    ORBITAL TUMORS Orbitallymphoma Orbital Schwannoma & Neurofibroma Fibrous Histiocytoma Fibroma and Fibrosarcoma Nodular Fasciitis Rhabdomyosarocama Orbital mesenchymal chondrosarcoma
  • 249.
    ORBITAL TUMORS Orbitallymphoma Orbital Schwannoma & Neurofibroma Fibrous Histiocytoma Fibroma and Fibrosarcoma Nodular Fasciitis Rhabdomyosarocama Orbital mesenchymal chondrosarcoma
  • 250.
    Orbital Lymphoma 75%have or will have systemic lymphoma. True lymphoid tissue in the orbit is found in the subconjunctival and lacrimal glands . Both benign and malignant lymphoid tumors of the orbit occur predominantly in adults and are extremely rare in children.
  • 251.
    Orbital Lymphoma Involvementof one or more paranasal sinuses is more typical of B -cell lymphoma. Involvement of the nasal cavity is more typical of T -cell lymphoma.
  • 252.
    Orbital Lymphoma TheCT and MR imaging findings; Usually nonspecific: impossible to differentiate from orbital pseudotumors, lacrimal gland tumors, optic nerve tumors, Graves’ orbitopathy, primary orbital tumors, or orbital cellulitis. Homogeneous masses of relatively high density and sharp margins. More often seen in the anterior portion, the retrobulbar area, or in the superior orbital compartment. Mild to moderate enhancement.
  • 253.
    Orbital Lymphoma TheCT and MR imaging findings; Mold themselves around the orbital structures without producing bony erosion. However, the aggressive malignant lymphomas can produce frank destruction of bone. Both pseudotumors and lymphoma may have intermediate or low signal intensity on T1WI and appear isointense to fat on T2WI.
  • 254.
    ORBITAL TUMORS > Orbital lymphoma Lymphoma . Postcontrast axial CT scan shows an infiltrative process involving the left lacrimal gland (1), lateral orbital compartment (2), and perioptic nerve region (arrows).
  • 255.
    ORBITAL TUMORS > Orbital lymphoma Lymphoma . Postcontrast axial CT scan shows a soft-tissue mass (arrow) in the left retrobulbar region.
  • 256.
    ORBITAL TUMORS > Orbital lymphoma Lymphoma . Postcontrast axial CT scan shows a large mass (M) involving the right lacrimal gland (arrow) and retrobulbar region.
  • 257.
    ORBITAL TUMORS Orbitallymphoma Orbital Schwannoma & Neurofibroma Fibrous Histiocytoma Fibroma and Fibrosarcoma Nodular Fasciitis Rhabdomyosarocama Orbital mesenchymal chondrosarcoma
  • 258.
    Orbital Schwannoma &Neurofibroma Neurofibromas and schwannomas are two benign tumors originating from Schwann cells that occur in the orbit as isolated lesions or in association with neurofibromatosis . Malignant peripheral nerve tumors (malignant schwannoma, neurofibrosarcoma) are extremely rare in the orbit. The optic nerve has no Schwann cells; therefore, orbital schwannomas must arise from peripheral nerve fibers of nerves III, IV, V, VI, VII, and the autonomic nerves.
  • 259.
    Orbital Schwannoma &Neurofibroma On CT and MR imaging, orbital schwannomas appear as sharply marginated , oval or fusiform, intraconal or extraconal masses Moderate to marked enhancement. The optic nerve is always displaced and may be engulfed by the tumor.
  • 260.
    ORBITAL TUMORS > Orbital Schwannoma & Neurofibroma Neurofibroma A , Postcontrast axial CT scan demonstrating a well-enhanced intraconal neurofibroma ( arrow ) of the posterior orbit. B , Axial T1WI scan of a posterior neurofibroma ( arrow ) as in A . Tumor is isointense to brain and hypointense to orbital fat. C , Axial fat-suppressed T1-weighted MR image of the tumor seen in A and B demonstrating the marked contrast enhancement of a posterior neurofibroma ( arrow ).
  • 261.
    ORBITAL TUMORS > Orbital Schwannoma & Neurofibroma Orbital schwannoma. Contrast-enhanced axial CT scan shows a large enhancing mass (M).
  • 262.
    ORBITAL TUMORS Orbitallymphoma Orbital Schwannoma & Neurofibroma Fibrous Histiocytoma Fibroma and Fibrosarcoma Nodular Fasciitis Rhabdomyosarocama Orbital mesenchymal chondrosarcoma
  • 263.
    Fibrous Histiocytoma Fibroushistiocytoma is a mesenchymal tumor that involves the fascia, muscle, and soft tissues. Some authors to be the most common mesenchymal tumor of the orbit . The tumor may be either benign or malignant. Malignant lesions cause bone erosion. Benign lesions cause bone remodeling. CT and MR imaging; Well-circumscribed masses. Intraconal or extraconal masses Moderate to marked contrast enhancement
  • 264.
    ORBITAL TUMORS > Fibrous histiocytoma Fibrous histiocytoma. Axial postcontrast CT scan showing a bilobed enhancing mass (M) involving the peripheral orbital space.
  • 265.
    ORBITAL TUMORS Orbitallymphoma Orbital Schwannoma & Neurofibroma Fibrous Histiocytoma Fibroma and Fibrosarcoma Nodular Fasciitis Rhabdomyosarocama Orbital mesenchymal chondrosarcoma
  • 266.
    Fibroma and FibrosarcomaFibroma is the least common fibrous tumor of the orbit and is found mostly in young adults. It is usually encapsulated and grows slowly over several years. It arises from the fascia of the EOMs or Tenon’s capsule in the orbit. Fibromatosis tends to be locally infiltrative and grows rapidly, which may cause it to be considered as a low-grade fibrosarcoma. Fibrosarcoma is also rare in the orbit. CT and MR imaging may show a lesion with either benign-appearing or invasive characteristics.
  • 267.
    ORBITAL TUMORS > Fibroma and Fibrosarcoma Aggressive fibromatosis. A, Enhanced axial CT scan shows a mass (arrow) with moderate enhancement. B, Axial T1WI. The mass (arrow) is isointense to brain tissue. C, Axial T2WI. The mass (arrow) appears hyperintense to muscles. D, Enhanced fat-suppression axial T1WI. The mass (arrow) shows marked enhancement. Note invasion of the globe.
  • 268.
    ORBITAL TUMORS Orbitallymphoma Orbital Schwannoma & Neurofibroma Fibrous Histiocytoma Fibroma and Fibrosarcoma Nodular Fasciitis Rhabdomyosarocama Orbital mesenchymal chondrosarcoma
  • 269.
    Nodular Fasciitis Commonfibrous tumor. Found elsewhere in the limbs and trunk of adults. Head and neck involvement = more commonly in infants and children. Orbital involvement may develop in the lid, conjunctiva, Tenon’s capsule, or the deep orbit. CT and MR imaging findings are nonspecific. Similar to those of aggressive fibromatosis. Best treated with complete excision. Recurrence rate of 1-2%.
  • 270.
    ORBITAL TUMORS > Nodular Fasciitis Nodular fasciitis. : A 36-year-old man presented with an apparent inflammatory left orbital mass, which was unresponsive to 3 weeks of antibiotics. Axial (A) and coronal (B) contrast-enhanced CT: Soft-tissue windows show an ill-defined, enhancing, extraconal or subperiosteal soft-tissue mass in the left superior-lateral orbit, with a low-attenuation central area (arrowheads). Note the subtle enhancement along the anterior cranial fossa (arrow). C, Coronal CT bone windows demonstrate focal erosion in the frontal bone adjacent to this low-attenuation region (arrowhead). D, Coronal T1WI reveals an intermediate intensity extending lateral to the orbital rim in addition to eroding the frontal bone. E, Coronal, fat-saturation, postgadolinium, T1WI shows most of the mass enhances, with a central, nonenhancing focus adjacent to the bone erosion. Note the intracranial dural reaction (arrow). F, Coronal, fast-STIR (2000/12/160) image. The mass is isointense to gray matter, with a focal area of hyperintensity corresponding to the cystic-appearing region on the postgadolinium image. The preoperative diagnosis was ruptured dermoid cyst or an aggressive lacrimal region abscess with osteomyelitis.
  • 271.
    ORBITAL TUMORS Orbitallymphoma Orbital Schwannoma & Neurofibroma Fibrous Histiocytoma Fibroma and Fibrosarcoma Nodular Fasciitis Rhabdomyosarocama Orbital mesenchymal chondrosarcoma
  • 272.
    RHABDOMYOSARCOMA M/C primaryorbital malignancy in children. M/C soft-tissue malignancy of childhood. RMS area. Head and neck = 35% GU system = 23% Extremities for = 17%. 10% occur primarily in orbit. 10% metastasize to / invade orbit.
  • 273.
    RHABDOMYOSARCOMA Rapidly progressiveexophthalmos + proptosis of upper lid. Metastases: lung, bone marrow, cervical lymph nodes (rare).
  • 274.
    RHABDOMYOSARCOMA Imagings: Location: superior orbit / retrobulbar (71%), lid (22%), conjunctiva (7%) Large soft-tissue mass with ill-defined margins with significant enhancement. Extraocular muscles not involved. Heterogeneous : hemorrhage. Extension into preseptal space, adjacent sinus, nasal cavity, intracranial cavity. Bony erosion may present. MRI : Iso/Hypo on T1WI and Hyper on T2WI.
  • 275.
    ORBITAL TUMORS > RHABDOMYOSARCOMA OF THE ORBIT Rhabdomyosarcoma (5-year-old boy). Enhanced axial CT scan shows an orbital mass (M) with moderate contrast enhancement.
  • 276.
    ORBITAL TUMORS > RHABDOMYOSARCOMA OF THE ORBIT Rhabdomyosarcoma (5-year-old boy). Axial enhanced CT scan shows a large mass (M) in the right orbit extending into the right ethmoid air cells (E) and right infratemporal fossa (arrow).
  • 277.
    ORBITAL TUMORS Orbitallymphoma Orbital Schwannoma & Neurofibroma Fibrous Histiocytoma Fibroma and Fibrosarcoma Nodular Fasciitis Rhabdomyosarocama Orbital mesenchymal chondrosarcoma
  • 278.
    Orbital mesenchymal chondrosarcomaExtremely rare More frequently in young women. Proptosis, with orbital pain, diplopia, and headache. Imaging Findings: Well-defined soft-tissue mass. Mottled, coarse calcification. Moderate, delayed contrast enhancement. Hypo/iso T1WI and iso on T2WI (to brain).
  • 279.
    ORBITAL TUMORS > Orbital mesenchymal chondrosarcoma Mesenchymal chondrosarcoma. A, Enhanced axial CT scan shows a heavily calcified mass (M) in the right retrobulbar space.
  • 280.
    ORBITAL TUMORS > Orbital mesenchymal chondrosarcoma Mesenchymal chondrosarcoma. B, Axial nonenhanced T1WI shows that the mass (M) is isointense to brain. Note areas of hypointensity related to more dense calcification. C, Axial, T2WI shows that the mass (M) is heterogeneous but markedly hypointense, related to intratumoral foci of calcifications. D, Axial-enhanced T1WI shows that the mass is rather hypervascular, as evidenced by marked contrast enhancement. The calcified component of the mass shows less enhancement (arrows).
  • 281.
    SECONDARY ORBITAL TUMORSDirectly invasion. From sinonasal cavities, oral cavity, skin of face and intracranial. Metastases to the orbit. Women : CA breast. Men: CA lung, kidney, or prostate. Children: Primary neuroblastoma, Ewing’s sarcoma, and Wilms’ tumor. Metastatic lesions may occur in any of the orbital compartments. CT and MRI findings: may simulate benign and malignant orbital tumor.
  • 282.
    ORBITAL TUMORS > SECONDARY ORBITAL TUMORS Bilateral orbital metastases from a carcinoma of the breast. Axial postcontrast CT scan through the midorbits demonstrates a homogeneous mass in the retrobulbar space of the left orbit with no bony involvement. Note partial obliteration of the extraocular muscles and the optic nerve. There is asymmetric enlargement of the mid- to posterior portion of the right lateral rectus muscle.
  • 283.
    ORBITAL TUMORS > SECONDARY ORBITAL TUMORS Orbital metastasis from a malignant histiocytoma. Axial-enhanced T1WI shows a metastatic deposit involving the lateral wall of the right orbit (arrows).
  • 284.
    OTHER ORBITAL LESIONSLangerhans’ Cell Histiocytosis Juvenile Xanthogranuloma
  • 285.
    OTHER ORBITAL LESIONSLangerhans’ Cell Histiocytosis Juvenile Xanthogranuloma
  • 286.
    Langerhans’ Cell Histiocytosisx A granulomatous disease. The letter X indicating unknown nature. Hand-Schuller-Christian disease = the chronic disseminated form of LCH. Predilection for children 1 to 4 years old. M/C located in bone or bone marrow. Orbital involvement is not uncommon . Usually occurs as part of an acute disseminated form disease. The frontal bone was most commonly involved by LCH. Usually seen in the superolateral wall.
  • 287.
    Langerhans’ Cell HistiocytosisX CT and MR imagings: M/C orbital manifestation is a solitary lesion. Multiple lesions may be present, resulting in multiple bony defects. Osteolytic lesion, commonly in the superotemporal orbital region. A fairly well-defined or diffuse soft-tissue mass encroaching adjacent organs. Moderate to marked enhancement.
  • 288.
    OTHER ORBITAL LESIONS> Langerhans’ Cell Histiocytosis Langerhans’ cell histiocytosis. Four-year-old boy with a history of gradual proptosis, diabetes insipidus, and skin lesions consistent with Hand-Schu¨ller-Christian disease. A, Postcontrast axial CT scan shows replacement of the greater wing of the sphenoid bone (arrows) by soft tissue, which demonstrates marked enhancement. B, Postcontrast axial CT scan in the same patient as in A showing a destructive lesion involving the squama of the right temporal bone (hollow arrow) as well as the posterior wall of the right maxillary sinus (solid arrow). Notice the marked soft-tissue infiltration into the right temporal fossa (hollow arrow).
  • 289.
    OTHER ORBITAL LESIONS> Langerhans’ Cell Histiocytosis Langerhans’ cell histiocytosis. A, Enhanced axial CT scan shows a prominent soft-tissue mass (M) with destruction of the orbital wall (arrow). B, Enhanced coronal CT scan shows a destructive mass involving the superolateral orbit (arrows).
  • 290.
    OTHER ORBITAL LESIONSLangerhans’ Cell Histiocytosis Juvenile Xanthogranuloma
  • 291.
    Juvenile Xanthogranuloma NevoxanthoendotheliomaBenign grunulomatous disease of unknown etiology and pathogenesis. Usually self-healing disorder of infants, children , and occasionally adults. The M/C site is the skin. Orbital involvement with JXG is rare. M/C sites of orbital involvement = iris and the ciliary body. Imagings: Enhancing soft tissue mass and anterior portion of orbit. Bony wall of the orbit may be involved. Distinguished from LCH radiologically.
  • 292.
    OTHER ORBITAL LESIONS> Juvenile Xanthogranuloma JXG of the orbit. A, Enhanced axial CT scan shows an enhancing infiltrative process involving the medial orbital region (arrow). B, Axial T1WI shows the lesion (arrow) to be isointense to brain. C, Gadolinium-enhanced, fat-suppressed axial MRI shows marked enhancement of the orbital lesion (arrows). The lesion was adherent to the sclera.
  • 293.
    OTHER ORBITAL LESIONS> Juvenile Xanthogranuloma JXG of the orbit. A, Enhanced axial T1WI shows an enhanced soft-tissue infiltrative process involving the lateral orbital walls (open arrows), epidural space (white arrows), and temporal fossa (t). B, Enhanced coronal T1WI marked soft-tissue infiltration of both orbits (arrows), as well as involvement of the frontal bone on both sides.

Editor's Notes

  • #7 The anatomy of the medial orbital wall . Key : ALC, anterior lacrimal crest; LF, lacrimal fossa; PLC, posterior lacrimal crest; LP, lamina papyracea; AEF, anterior ethmoidal foramen; PLF, posterior ethmoidal foramen; OC, optic canal; MES, maxilloethmoid suture .
  • #8 The anatomy of the medial orbital wall . Key : ALC, anterior lacrimal crest; LF, lacrimal fossa; PLC, posterior lacrimal crest; LP, lamina papyracea; AEF, anterior ethmoidal foramen; PLF, posterior ethmoidal foramen; OC, optic canal; MES, maxilloethmoid suture .
  • #9 The anatomy of the medial orbital wall . Key : ALC, anterior lacrimal crest; LF, lacrimal fossa; PLC, posterior lacrimal crest; LP, lamina papyracea; AEF, anterior ethmoidal foramen; PLF, posterior ethmoidal foramen; OC, optic canal; MES, maxilloethmoid suture .
  • #10 1 , Frontal sinus; 2 , orbital plate of frontal bone; 3 , nasal bone; 4 , frontal process of maxilla; 5 , lacrimal groove; 6 , lacrimal bone; 7 , lamina papyracea; 8 , palatine bone; 9 , sphenoid bone; 10 , lesser wing of the sphenoid bone; 11 , optic canal; 12 , posterior ethmoid foramen; 13 , anterior ethmoid foramen; 14 , infraorbital canal (foramen); 15 , inferior concha; 16 , maxillary hiatus; 17 , palatine bone; 18 , sphenopalatine foramen opening into pterygopalatine fossa; 19 , vidian canal, opening into pterygopalatine fossa; 20 , pterygoid plate; 21 , alveolar process of maxilla.
  • #11 The anatomy of the medial orbital wall . Key : ALC, anterior lacrimal crest; LF, lacrimal fossa; PLC, posterior lacrimal crest; LP, lamina papyracea; AEF, anterior ethmoidal foramen; PLF, posterior ethmoidal foramen; OC, optic canal; MES, maxilloethmoid suture . Lacrimal sac in lacrimal groove Lacrimal gland in lacrimal fossa
  • #12 The anatomy of the medial orbital wall . Key : ALC, anterior lacrimal crest; LF, lacrimal fossa; PLC, posterior lacrimal crest; LP, lamina papyracea; AEF, anterior ethmoidal foramen; PLF, posterior ethmoidal foramen; OC, optic canal; MES, maxilloethmoid suture .
  • #13 8 , palatine bone;
  • #14 2 , orbital process of maxilla; infraorbital groove ( black arrowheads ), and infraorbital foramen ( curved arrow ). V2, IOV
  • #17 Anatomy of the lateral orbital wall, anterior view. Key: GWS, greater wing of sphenoid; SOF, superior orbital fissure; FZS, frontozygomatic suture; FSS, frontosphenoid suture; ZSS, zygomaticosphenoid suture; ZB, zygomatic bone; ZFF, zygomaticofacial oramen; LT, lateral tubercle.
  • #18 Anatomy of the lateral orbital wall, anterior view. Key: GWS, greater wing of sphenoid; SOF, superior orbital fissure; FZS, frontozygomatic suture; FSS, frontosphenoid suture; ZSS, zygomaticosphenoid suture; ZB, zygomatic bone; ZFF, zygomaticofacial oramen; LT, lateral tubercle.
  • #19 B , Schematic frontal drawing of bony orbit. 1 , Frontal process of maxilla; 2 , lacrimal groove; 3 , lacrimal bone; 4 , lamina papyracea; 5 , optic canal (foramen); 6 , superior orbital fissure; 7 , frontal bone; 8 , greater wing of the sphenoid; 9 , orbital plate of zygomatic bone; 10 , inferior orbital fissure; 11 , infraorbital groove; 12 , zygoma (malar bone); 13 , infraorbital foramen; 14 , supraorbital foramen.
  • #20 B , Schematic frontal drawing of bony orbit. 1 , Frontal process of maxilla; 2 , lacrimal groove; 3 , lacrimal bone; 4 , lamina papyracea; 5 , optic canal (foramen); 6 , superior orbital fissure; 7 , frontal bone; 8 , greater wing of the sphenoid; 9 , orbital plate of zygomatic bone; 10 , inferior orbital fissure; 11 , infraorbital groove; 12 , zygoma (malar bone); 13 , infraorbital foramen; 14 , supraorbital foramen. The pterygoid canal ( also vidian canal ) is a passage in the skull leading from just anterior to the foramen lacerum in the middle cranial fossa to the pterygopalatine fossa . It transmits the vidian nerve (CN VII) and vidian a . ECA
  • #22 Meibomian glands These glands secrete oil into the tear film that keeps the tears from evaporating too quickly. Meibomian glands may become inflamed and swell into a granulomatous chalazion that needs to be excised. Don’t confuse a chalazion with a stye. A stye is a pimple-like infection of a sebaceous gland or eyelash ollicle, similar to a pimple, and is superficial to the tarsal plate. Styes are painful, while chalazions are not.
  • #23 The orbicularis oculi closes the eyelids and is innervated by cranial nerve 7. Patients with a facial nerve paralyses, such as after Bell’s Palsy, can’t close their eye and the eye may need to be patched (or sutured closed) to protect the cornea. The levator palpebrae opens the eye and is innervated by CN3. Oculomotor nerve palsy is the major cause of ptosis (drooping of the eye). In fact, a common surgical treatment for ptosis involves shortening the levator tendon to open up the eye. pillar
  • #24 peripheral orbital space ( ps ); central orbital (intraconal) space ( CS ); optic nerve; superior rectus muscle ( S ) and inferior rectus muscle ( I ); inferior oblique muscle ( IO ); orbital septum ( curved arrow ); and common tendon of Zinn ( arrows ). Periosteum (periorbita) lines bony orbit as orbital fascia and is loosely attached to bony orbit. Periosteum is united with dura mater and sheath of optic nerve at optic canal. Normally, periosteum cannot be differentiated from adjacent soft tissues. Periosteum is continuous with periosteum of the bones of the face and is also continuous with layer of dura at superior orbital fissure. Note continuity of periorbita with periosteum of pterygomaxillary fossa ( PF ). Infection or infiltrative process of pterygomaxillary fossa may invade orbital subperiosteal space (periorbita) or vice versa.
  • #25 Four rectus muscles control each eye. These muscles insert at the sclera, behind the limbus, and each pull the eye in the direction of their attachment. The superior, medial, and inferior rectus muscles are all controlled by the oculomotor nerve (III). The lateral rectus, however, is controlled by the abducens (VI) nerve, which makes sense as the lateral rectus “abducts” the eye.
  • #26 Four rectus muscles control each eye. These muscles insert at the sclera, behind the limbus, and each pull the eye in the direction of their attachment. The superior, medial, and inferior rectus muscles are all controlled by the oculomotor nerve (III). The lateral rectus, however, is controlled by the abducens (VI) nerve, which makes sense as the lateral rectus “abducts” the eye.
  • #30 Gay anatomy IOV to SOv?
  • #65 ส่วนใหญ่จะรู้จาก clinical, Lab และ immaging ใช้ในการ confirm เท่านั้น
  • #66 ส่วนใหญ่จะรู้จาก clinical, Lab และ immaging ใช้ในการ confirm เท่านั้น
  • #67 ส่วนใหญ่จะรู้จาก clinical, Lab และ immaging ใช้ในการ confirm เท่านั้น
  • #70 ส่วนใหญ่จะรู้จาก clinical, Lab และ immaging ใช้ในการ confirm เท่านั้น
  • #71 ส่วนใหญ่จะรู้จาก clinical, Lab และ immaging ใช้ในการ confirm เท่านั้น
  • #72 ส่วนใหญ่จะรู้จาก clinical, Lab และ immaging ใช้ในการ confirm เท่านั้น
  • #73 ส่วนใหญ่จะรู้จาก clinical, Lab และ immaging ใช้ในการ confirm เท่านั้น
  • #74 ส่วนใหญ่จะรู้จาก clinical, Lab และ immaging ใช้ในการ confirm เท่านั้น
  • #75 ส่วนใหญ่จะรู้จาก clinical, Lab และ immaging ใช้ในการ confirm เท่านั้น
  • #102 Acute inflammatory process involving the optic nerve. Multiple sclerosis = M/C cause of Opic neuritis. Typical unilateral visual loss. Optic neuritis = often an early sign of MS. Infection : syphilis (neuroretinitis, papillitis, and perineuritis); toxoplasmosis; toxocariasis (papillitis); and, uncommonly, borreliosis (Lyme disease) and other granulomatous diseases. parainfections : occurring 10 to 14 days after the primary illness. Chicken pox, rubella, rubeola, mumps, herpes zoster, mononucleosis, and viral encephalitis Typical bilateral visual loss, autoimmune optic neuritis: SLE or other autoimmune states Radiation optic neuropathy
  • #103 Acute inflammatory process involving the optic nerve. Multiple sclerosis = M/C cause of Opic neuritis. Typical unilateral visual loss. Optic neuritis = often an early sign of MS. Infection : syphilis (neuroretinitis, papillitis, and perineuritis); toxoplasmosis; toxocariasis (papillitis); and, uncommonly, borreliosis (Lyme disease) and other granulomatous diseases. parainfections : occurring 10 to 14 days after the primary illness. Chicken pox, rubella, rubeola, mumps, herpes zoster, mononucleosis, and viral encephalitis Typical bilateral visual loss, autoimmune optic neuritis: SLE or other autoimmune states Radiation optic neuropathy
  • #106 Acute inflammatory process involving the optic nerve. Multiple sclerosis = M/C cause of Opic neuritis. Typical unilateral visual loss. Optic neuritis = often an early sign of MS. Infection : syphilis (neuroretinitis, papillitis, and perineuritis); toxoplasmosis; toxocariasis (papillitis); and, uncommonly, borreliosis (Lyme disease) and other granulomatous diseases. parainfections : occurring 10 to 14 days after the primary illness. Chicken pox, rubella, rubeola, mumps, herpes zoster, mononucleosis, and viral encephalitis Typical bilateral visual loss, autoimmune optic neuritis: SLE or other autoimmune states Radiation optic neuropathy
  • #109 Acute inflammatory process involving the optic nerve. Multiple sclerosis = M/C cause of Opic neuritis. Typical unilateral visual loss. Optic neuritis = often an early sign of MS. Infection : syphilis (neuroretinitis, papillitis, and perineuritis); toxoplasmosis; toxocariasis (papillitis); and, uncommonly, borreliosis (Lyme disease) and other granulomatous diseases. parainfections : occurring 10 to 14 days after the primary illness. Chicken pox, rubella, rubeola, mumps, herpes zoster, mononucleosis, and viral encephalitis Typical bilateral visual loss, autoimmune optic neuritis: SLE or other autoimmune states Radiation optic neuropathy
  • #110 Acute inflammatory process involving the optic nerve. Multiple sclerosis = M/C cause of Opic neuritis. Typical unilateral visual loss. Optic neuritis = often an early sign of MS. Infection : syphilis (neuroretinitis, papillitis, and perineuritis); toxoplasmosis; toxocariasis (papillitis); and, uncommonly, borreliosis (Lyme disease) and other granulomatous diseases. parainfections : occurring 10 to 14 days after the primary illness. Chicken pox, rubella, rubeola, mumps, herpes zoster, mononucleosis, and viral encephalitis Typical bilateral visual loss, autoimmune optic neuritis: SLE or other autoimmune states Radiation optic neuropathy
  • #113 Acute inflammatory process involving the optic nerve. Multiple sclerosis = M/C cause of Opic neuritis. Typical unilateral visual loss. Optic neuritis = often an early sign of MS. Infection : syphilis (neuroretinitis, papillitis, and perineuritis); toxoplasmosis; toxocariasis (papillitis); and, uncommonly, borreliosis (Lyme disease) and other granulomatous diseases. parainfections : occurring 10 to 14 days after the primary illness. Chicken pox, rubella, rubeola, mumps, herpes zoster, mononucleosis, and viral encephalitis Typical bilateral visual loss, autoimmune optic neuritis: SLE or other autoimmune states Radiation optic neuropathy
  • #114 Acute inflammatory process involving the optic nerve. Multiple sclerosis = M/C cause of Opic neuritis. Typical unilateral visual loss. Optic neuritis = often an early sign of MS. Infection : syphilis (neuroretinitis, papillitis, and perineuritis); toxoplasmosis; toxocariasis (papillitis); and, uncommonly, borreliosis (Lyme disease) and other granulomatous diseases. parainfections : occurring 10 to 14 days after the primary illness. Chicken pox, rubella, rubeola, mumps, herpes zoster, mononucleosis, and viral encephalitis Typical bilateral visual loss, autoimmune optic neuritis: SLE or other autoimmune states Radiation optic neuropathy
  • #117 Acute inflammatory process involving the optic nerve. Multiple sclerosis = M/C cause of Opic neuritis. Typical unilateral visual loss. Optic neuritis = often an early sign of MS. Infection : syphilis (neuroretinitis, papillitis, and perineuritis); toxoplasmosis; toxocariasis (papillitis); and, uncommonly, borreliosis (Lyme disease) and other granulomatous diseases. parainfections : occurring 10 to 14 days after the primary illness. Chicken pox, rubella, rubeola, mumps, herpes zoster, mononucleosis, and viral encephalitis Typical bilateral visual loss, autoimmune optic neuritis: SLE or other autoimmune states Radiation optic neuropathy
  • #122 Acute inflammatory process involving the optic nerve. Multiple sclerosis = M/C cause of Opic neuritis. Typical unilateral visual loss. Optic neuritis = often an early sign of MS. Infection : syphilis (neuroretinitis, papillitis, and perineuritis); toxoplasmosis; toxocariasis (papillitis); and, uncommonly, borreliosis (Lyme disease) and other granulomatous diseases. parainfections : occurring 10 to 14 days after the primary illness. Chicken pox, rubella, rubeola, mumps, herpes zoster, mononucleosis, and viral encephalitis Typical bilateral visual loss, autoimmune optic neuritis: SLE or other autoimmune states Radiation optic neuropathy
  • #125 Acute inflammatory process involving the optic nerve. Multiple sclerosis = M/C cause of Opic neuritis. Typical unilateral visual loss. Optic neuritis = often an early sign of MS. Infection : syphilis (neuroretinitis, papillitis, and perineuritis); toxoplasmosis; toxocariasis (papillitis); and, uncommonly, borreliosis (Lyme disease) and other granulomatous diseases. parainfections : occurring 10 to 14 days after the primary illness. Chicken pox, rubella, rubeola, mumps, herpes zoster, mononucleosis, and viral encephalitis Typical bilateral visual loss, autoimmune optic neuritis: SLE or other autoimmune states Radiation optic neuropathy
  • #130 Acute inflammatory process involving the optic nerve. Multiple sclerosis = M/C cause of Opic neuritis. Typical unilateral visual loss. Optic neuritis = often an early sign of MS. Infection : syphilis (neuroretinitis, papillitis, and perineuritis); toxoplasmosis; toxocariasis (papillitis); and, uncommonly, borreliosis (Lyme disease) and other granulomatous diseases. parainfections : occurring 10 to 14 days after the primary illness. Chicken pox, rubella, rubeola, mumps, herpes zoster, mononucleosis, and viral encephalitis Typical bilateral visual loss, autoimmune optic neuritis: SLE or other autoimmune states Radiation optic neuropathy
  • #131 Acute inflammatory process involving the optic nerve. Multiple sclerosis = M/C cause of Opic neuritis. Typical unilateral visual loss. Optic neuritis = often an early sign of MS. Infection : syphilis (neuroretinitis, papillitis, and perineuritis); toxoplasmosis; toxocariasis (papillitis); and, uncommonly, borreliosis (Lyme disease) and other granulomatous diseases. parainfections : occurring 10 to 14 days after the primary illness. Chicken pox, rubella, rubeola, mumps, herpes zoster, mononucleosis, and viral encephalitis Typical bilateral visual loss, autoimmune optic neuritis: SLE or other autoimmune states Radiation optic neuropathy
  • #141 Mucormycosis is the term used to describe fungal infections caused by fungi in the order Mucorales ,
  • #153 Pseudotumor: periscleritis/perineuritis. Postcontrast axial CT scan shows diffuse thickening of the scleral coat with inflammatory infiltration into Tenon’s space ( T ) and perineuritis ( arrow ).
  • #154 This disease must be differentiated from true tumors of the orbit such as cavernous hemangioma, hemangiopericytoma, optic nerve sheath meningioma, optic nerve glioma, orbital schwannoma, and metastasis.
  • #155 Pseudotumor. Axial CT scan shows diffuse infiltration of the entire retrobulbar space. The optic nerve appears as a lucent band ( arrow ) embedded within the lesion.
  • #156 Pseudotumor. A , Axial PW MR image. B , Axial T2-weighted MR image. Scans show infiltrative process ( arrows ) compatible with pseudotumor. The lesion is isointense to brain on PW and T2-weighted MR scans.
  • #158 EOM enlargement Thyroid obthalmopathy. Pseudotumor. Carotidcavernous fistula. Aranulomatous disease. Neoplasm (primary or metastatic).
  • #159 EOM enlargement Thyroid obthalmopathy. Pseudotumor. Carotidcavernous fistula. Aranulomatous disease. Neoplasm (primary or metastatic).
  • #160 Myositic pseudotumor. Postcontrast Axial CT scan shows marked thickening and enhancement of the left medial rectus muscle ( arrow ). Note extension of the process into its tendinous insertion on the globe ( arrowhead ).
  • #161 Pseudotumor in a 12-year-old girl simulating a rhabdomyosarcoma.
  • #162 In contrast to optic neuritis, pain is exacerbated with retrodisplacement of the globe, and there is mild proptosis.
  • #164 A , Pseudotumor (perineuritis type). Axial CT scan shows the intraconal region of infiltration ( arrowheads ) surrounding the left optic nerve. Slight thickening of the posterior sclera indicates posterior scleritis and fluid (exudate) in Tenon’s space.
  • #166 Reactive lymphoid hyperplasia, lymphoma, and pseudotumor of the lacrimal gland. A , Axial proton-weighted MR image showing a presumed reactive lymphoid hyperplasia ( arrow ). B , Axial T1WI showing lacrimal gland lymphoma ( arrow ). C , Axial T1WI showing pseudotumor of the lacrimal gland ( arrow ).
  • #168 Orbital sarcoidosis presenting as superior orbital fissure syndrome. A , Unenhanced axial T1 WI . Note the infiltrative process involving the orbital apex on the left side ( large arrow ). Note extension through the superior orbital fissure into the left temporal epidural space ( arrowheads ). B , Enhanced axial T1 WI FS show marked enhancement of this sarcoid granulomatous infiltration ( straight arrows ). Note the abnormal enhancement in the left temporal fossa
  • #170 Acute inflammatory process involving the optic nerve. Multiple sclerosis = M/C cause of Opic neuritis. Typical unilateral visual loss. Optic neuritis = often an early sign of MS. Infection : syphilis (neuroretinitis, papillitis, and perineuritis); toxoplasmosis; toxocariasis (papillitis); and, uncommonly, borreliosis (Lyme disease) and other granulomatous diseases. parainfections : occurring 10 to 14 days after the primary illness. Chicken pox, rubella, rubeola, mumps, herpes zoster, mononucleosis, and viral encephalitis Typical bilateral visual loss, autoimmune optic neuritis: SLE or other autoimmune states Radiation optic neuropathy
  • #171 Acute inflammatory process involving the optic nerve. Multiple sclerosis = M/C cause of Opic neuritis. Typical unilateral visual loss. Optic neuritis = often an early sign of MS. Infection : syphilis (neuroretinitis, papillitis, and perineuritis); toxoplasmosis; toxocariasis (papillitis); and, uncommonly, borreliosis (Lyme disease) and other granulomatous diseases. parainfections : occurring 10 to 14 days after the primary illness. Chicken pox, rubella, rubeola, mumps, herpes zoster, mononucleosis, and viral encephalitis Typical bilateral visual loss, autoimmune optic neuritis: SLE or other autoimmune states Radiation optic neuropathy
  • #172 Acute inflammatory process involving the optic nerve. Multiple sclerosis = M/C cause of Opic neuritis. Typical unilateral visual loss. Optic neuritis = often an early sign of MS. Infection : syphilis (neuroretinitis, papillitis, and perineuritis); toxoplasmosis; toxocariasis (papillitis); and, uncommonly, borreliosis (Lyme disease) and other granulomatous diseases. parainfections : occurring 10 to 14 days after the primary illness. Chicken pox, rubella, rubeola, mumps, herpes zoster, mononucleosis, and viral encephalitis Typical bilateral visual loss, autoimmune optic neuritis: SLE or other autoimmune states Radiation optic neuropathy
  • #173 Acute inflammatory process involving the optic nerve. Multiple sclerosis = M/C cause of Opic neuritis. Typical unilateral visual loss. Optic neuritis = often an early sign of MS. Infection : syphilis (neuroretinitis, papillitis, and perineuritis); toxoplasmosis; toxocariasis (papillitis); and, uncommonly, borreliosis (Lyme disease) and other granulomatous diseases. parainfections : occurring 10 to 14 days after the primary illness. Chicken pox, rubella, rubeola, mumps, herpes zoster, mononucleosis, and viral encephalitis Typical bilateral visual loss, autoimmune optic neuritis: SLE or other autoimmune states Radiation optic neuropathy
  • #174 Acute inflammatory process involving the optic nerve. Multiple sclerosis = M/C cause of Opic neuritis. Typical unilateral visual loss. Optic neuritis = often an early sign of MS. Infection : syphilis (neuroretinitis, papillitis, and perineuritis); toxoplasmosis; toxocariasis (papillitis); and, uncommonly, borreliosis (Lyme disease) and other granulomatous diseases. parainfections : occurring 10 to 14 days after the primary illness. Chicken pox, rubella, rubeola, mumps, herpes zoster, mononucleosis, and viral encephalitis Typical bilateral visual loss, autoimmune optic neuritis: Radiation optic neuropathy
  • #175 Acute inflammatory process involving the optic nerve. Multiple sclerosis = M/C cause of Opic neuritis. Typical unilateral visual loss. Optic neuritis = often an early sign of MS. Infection : syphilis (neuroretinitis, papillitis, and perineuritis); toxoplasmosis; toxocariasis (papillitis); and, uncommonly, borreliosis (Lyme disease) and other granulomatous diseases. parainfections : occurring 10 to 14 days after the primary illness. Chicken pox, rubella, rubeola, mumps, herpes zoster, mononucleosis, and viral encephalitis Typical bilateral visual loss, autoimmune optic neuritis: Radiation optic neuropathy
  • #176 Acute inflammatory process involving the optic nerve. Multiple sclerosis = M/C cause of Opic neuritis. Typical unilateral visual loss. Optic neuritis = often an early sign of MS. Infection : syphilis (neuroretinitis, papillitis, and perineuritis); toxoplasmosis; toxocariasis (papillitis); and, uncommonly, borreliosis (Lyme disease) and other granulomatous diseases. parainfections : occurring 10 to 14 days after the primary illness. Chicken pox, rubella, rubeola, mumps, herpes zoster, mononucleosis, and viral encephalitis Typical bilateral visual loss, autoimmune optic neuritis: SLE or other autoimmune states Radiation optic neuropathy
  • #185 A , Sarcoidosis chronic dacryoadenitis. Axial CT scan shows enlargement of the right lacrimal gland. Note the mild enlargement of the left lacrimal gland.
  • #186 B , Sarcoidosis. Coronal-enhanced CT scan shows moderate enhancement of markedly enlarged lacrimal glands ( arrows ).
  • #187 Presumed sarcoidosis of the lacrimal gland. Axial CT scan in this 7-year-old African American child shows marked enlargement of the lacrimal glands ( arrows ).
  • #188 Sarcoidosis-granuloma of the optic nerve. Axial T1WI scan shows no obvious lesion. There is a suggestion of slight thickening of the left optic nerve ( arrow ).
  • #189 Enhanced axial T1-weighted MR scan shows increased enhancement of the left optic nerve ( arrows ) and a large granuloma involving the intracranial segment of the left optic nerve ( single arrow ).
  • #190 Enhanced axial T1-weighted MR scan shows increased enhancement of the left optic nerve ( arrows ) and a large granuloma involving the intracranial segment of the left optic nerve ( single arrow ).
  • #192 ( แต่ก็เกิดในเด็กได้ ) ถ้า steroid อย่างเดียวจะไม่ได้ผลนะ ใช้เป็น clue ในการ diagnosis.
  • #193 The main chronic inflammatory or granulomatous processes that involve the sinus and the orbit include Wegener’s granulomatosis and sarcoidosis.
  • #194 Wegener’s granulomatosis with involvement of the lacrimal gland. Axial postcontrast CT scan shows diffuse enlargement of the right lacrimal gland. The lesion involves both palpebral and orbital lobes. Notice the rather straight configuration of the posterior aspect of the lesion ( hollow arrow ). In epithelial tumors of the lacrimal gland, the posterior border of the tumor has a rounded configuration. In Wegener’s granulomatosis, enlargement of the lacrimal gland may be symmetric and extensive. Notice the slight enlargement of the involved left lacrimal gland in this patient. (From Mafee MF et al. Lacrimal gland and fossa lesions: role of computed tomography. Radiol Clin North Am 1987;25:767–779.)
  • #195 Wegener’s granuloma. Axial CT scan showing an infiltrative process involving the right lacrimal gland and extending along the extraorbital space ( arrows ).
  • #196 B , Axial postcontrast T1 WI through the mid orbits demonstrates marked enhancement of the inflammatory granulomatous process, which completely obliterates the left orbit, with stretching and anterior displacement of the globe. Note the diffuse enhancement of the tentorium cerebelli. (From Weber AL et al. Pseudotumor of the orbit: clinical, pathologic, and radiologic evaluation. Radiol Clin North Am 1999;37:151–168.)
  • #200 Amyloidosis of the right orbit with calcification. Axial CT section without infusion of contrast material reveals a mass in the extraconal space of the right orbit with a slight bulge into the intraconal space. Note the speckled calcifications within the amyloid deposit. The adjacent ethmoid sinus is normal.
  • #201 Amyloidosis of the lacrimal gland and orbit. A , Axial CT scan shows marked calcification of the left lacrimal gland ( arrow ).
  • #211 Capillary hemangioma. A , Enhanced axial CT scan showing a large retrobulbar mass compatible with a capillary hemangioma ( H ). B , Dynamic axial CT scanning reveals rapid wash-in of contrast in hemangioma ( H ).
  • #212 A baby boy with a left orbital capillary hemangioma that presented shortly after birth. A , Axial contrast-enhanced CT scan shows a mass filling and expanding the left orbit. The hemangioma appears to extend through the superior orbital fissure into the left cavernous sinus. The mass encircles and stretches the optic nerve sheath complex. Biopsy was performed but was inconclusive, and there was some discussion about further surgery. MR findings convinced the clinicians that this was a capillary hemangioma and the patient was treated with steroids instead. B , Axial T1-weighted MR image reveals a large, heterogeneous, finely lobulated mass expanding the left bony orbit. The focal regions of hypointensity are consistent with flow voids attributable to vessels. C , Axial T1-weighted MR scan shows that the capillary hemangioma involuted completely 2 years after the initial presentation.
  • #213 Capillary hemangioma. Postcontrast axial CT scan shows an enhancing mass ( m ) with involvement of the eyelid and extension into the right cavernous sinus ( arrow ).
  • #214 Capillary hemangioma. A , Enhanced axial CT scan showing a large retrobulbar mass compatible with a capillary hemangioma ( H ). B , Dynamic axial CT scanning reveals rapid wash-in of contrast in hemangioma ( H ).
  • #220 Cavernous hemangioma. A , Serial axial CT scan. B , Reformatted coronal CT scans. A and B show a well-defined intraconal markedly enhancing hemangioma ( H ).
  • #221 A , Satittal PW MR scan. B , Sagittal T2-weighted MR scan. Scans show an intraconal mass ( M ), which was presumed to be a cavernous hemangioma.
  • #222 Orbital hemangioma. Sagittal MR images obtained without ( top ) and with ( bottom ) intravenous Gd-DTPA show a hemangioma in the anterior floor of the orbit.
  • #238 A , Orbital varix. Axial CT scan shows no obvious lesion. B , Coronal CT scan shows a large mass ( arrows ).
  • #242 Carotid cavernous fistula. Enhanced axial CT scan shows enlarged intraorbital veins ( arrows ) and an enlarged left cavernous sinus.
  • #247 Hemangiopericytoma in a 47-year-old man with proptosis of the left eye. Axial contrast-enhanced CT image shows a lobulated, slightly and homogeneously enhancing left ethmoid sinus mass that has eroded the medial orbital wall. Note the extraconal extension of the lesion into the orbit and the resultant displacement of the globe.
  • #248 A , Contrast-enhanced axial CT scan shows an enhancing mass ( M ) compatible with hemangiopericytoma. Note the erosion of the lateral orbital wall ( arrowhead ). B , Recurrent hemangiopericytoma. Enhanced axial T1-weighted MR scan shows a heterogeneously enhancing mass ( arrows ) compatible with recurrent hemangiopericytoma.
  • #255 Lymphoma. Postcontrast axial CT scan shows an infiltrative process involving the left lacrimal gland ( 1 ), lateral orbital compartment ( 2 ), and perioptic nerve region ( arrows ).
  • #271 Nodular fasciitis. A 36-year-old man presented with an apparent inflammatory left orbital mass, which was unresponsive to 3 weeks of antibiotics. Axial (A) and coronal (B) contrast-enhanced CT. Soft-tissue windows show an ill-defined, enhancing, extraconal or subperiosteal soft-tissue mass in the left superior-lateral orbit, with a low-attenuation central area (arrowheads). Note the subtle enhancement along the anterior cranial fossa (arrow). C, Coronal CT bone windows demonstrate focal erosion in the frontal bone adjacent to this low-attenuation region (arrowhead). D, Coronal T1-weighted image (600/15) reveals an intermediate intensity extending lateral to the orbital rim in addition to eroding the frontal bone. E, Coronal, fat-saturation, postgadolinium, T1-weighted image (650/15). After gadolinium, most of the mass enhances, with a central, nonenhancing focus adjacent to the bone erosion. Note the intracranial dural reaction (arrow). F, Coronal, fast-STIR (2000/12/160) image. The mass is isointense to gray matter, with a focal area of hyperintensity corresponding to the cystic-appearing region on the postgadolinium image. The preoperative diagnosis was ruptured dermoid cyst or an aggressive lacrimal region abscess with osteomyelitis.