Dr. Mohit Goel
JR III
3/07/2014
1. Congenital anomalies
2. Infection / Inflammation
3. Tumors
4. Trauma
5. Neoplasm
Congenital anomalies
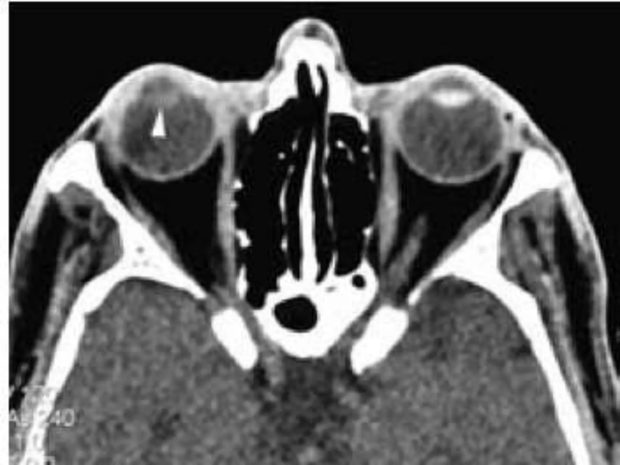
MIcropthalmia
Pthisis Bulbi
Coloboma
Colobomatous cyst
Ocular detachments
Retinal detachment.
Inflammatory conditions
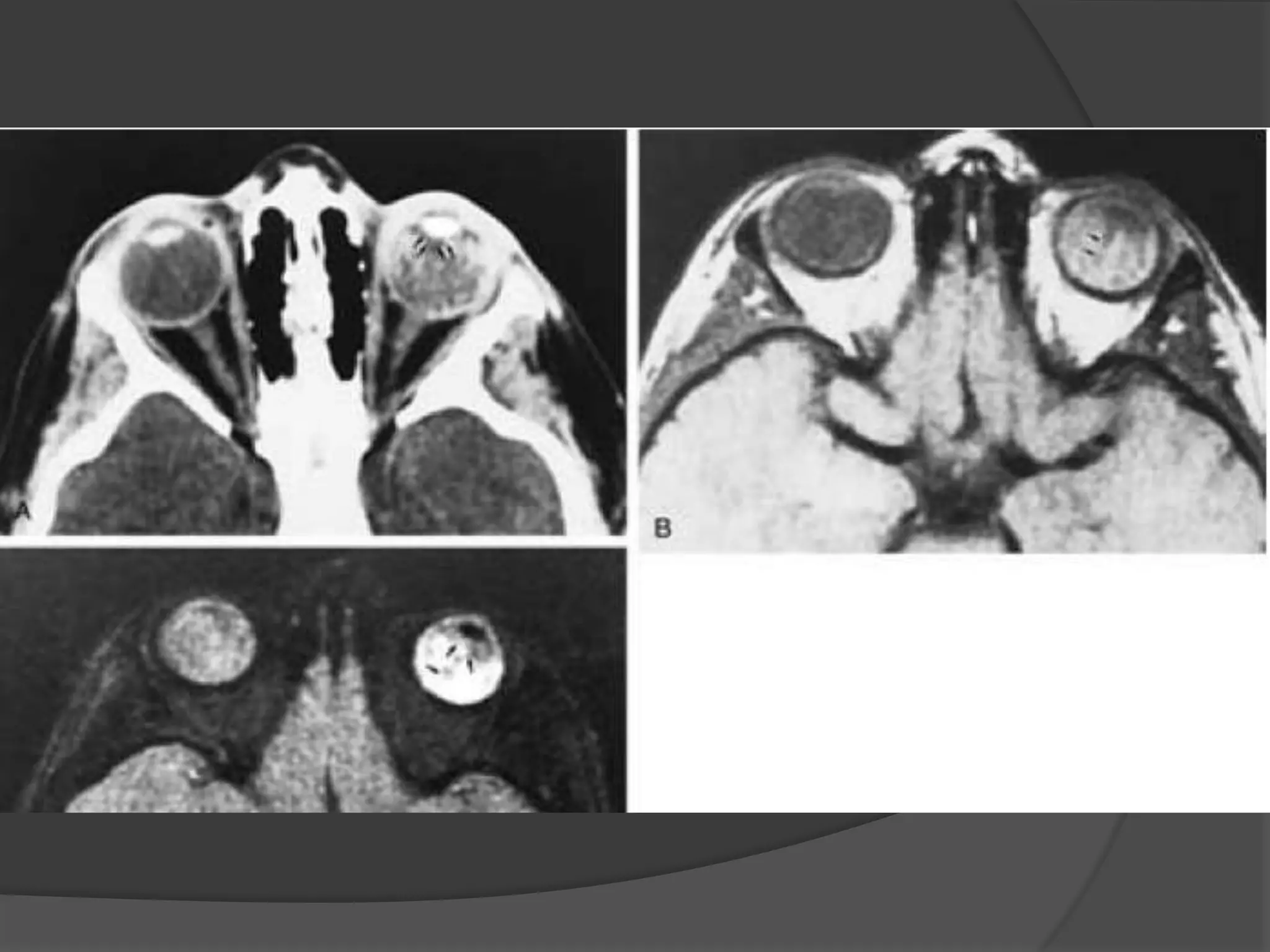
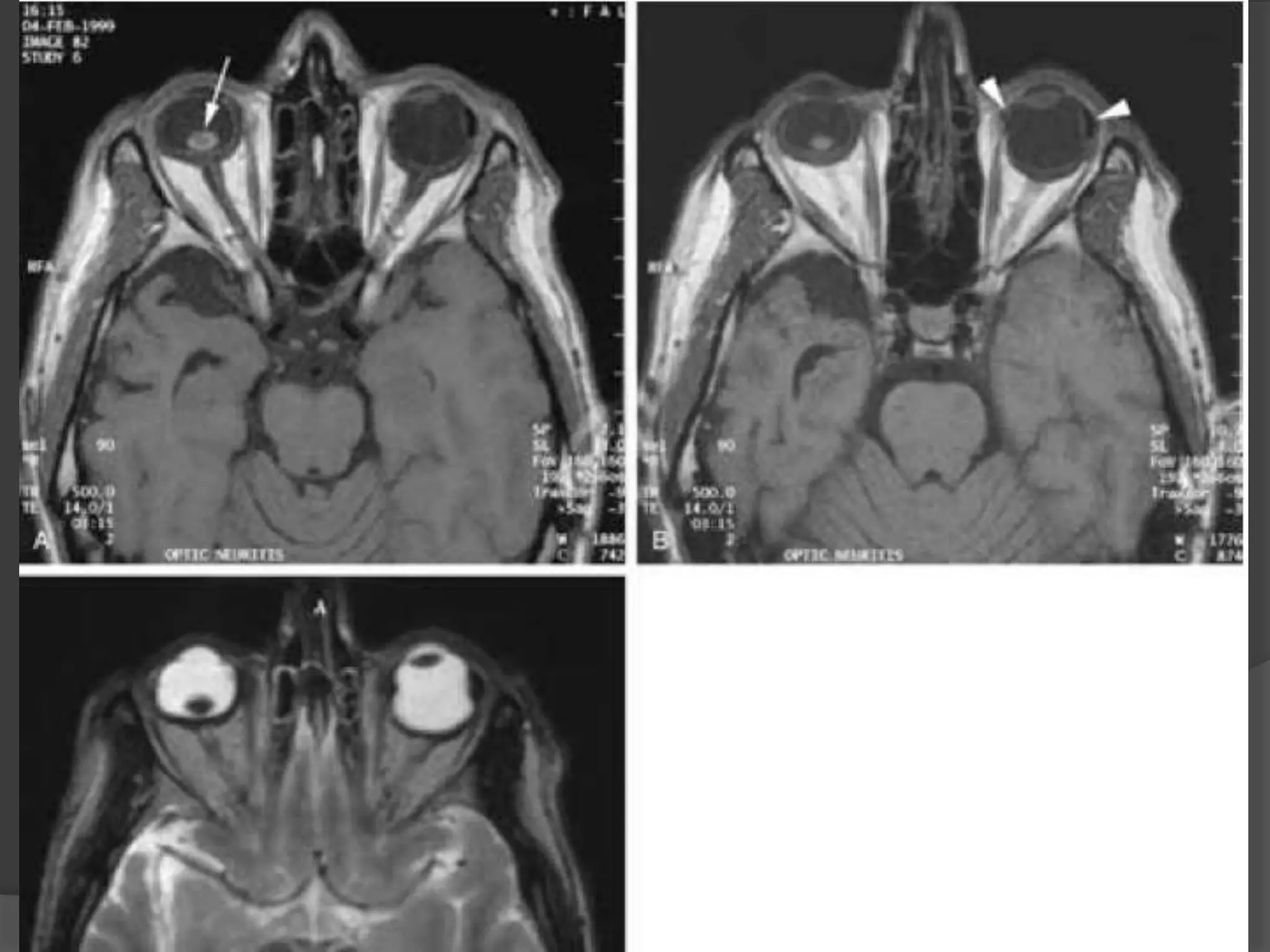
Acute inflammation of optic nerve , commonly associated with multiple
sclerosis.
Edema and inflammatory cells infiltrate the nerve resulting in uniform
swelling and focal demyelination.
Imaging : MRI is the modality of choice with hyper intense signal of
T2WI due to fluid and edema. Fat Sat contrast enhanced T1WI will show
areas of demyelination. CT relatively insensitive.
Straightening and thickening
of right optic nerve.
Optic Neuritis. CE Fat Sat T1W axial
(B) MR images demonstrate subtle enlargement and enhancement of the left
optic nerve (curved arrow).
T 2 WI (C) demonstrates corresponding increased signal intensity (straight
arrow).
Retinoblastoma
Retinopathy of Prematurity
Coat’s disease
 Primary retinal telengiectasis
 Vascular anomaly of retina
 Characterized by idiopathic retinal
telengiectatic and aneurysmal retinal vessels
 Progressive deposition of intraretinal and
subretinal exudates
 Leads to massive exudative retinal
detachment
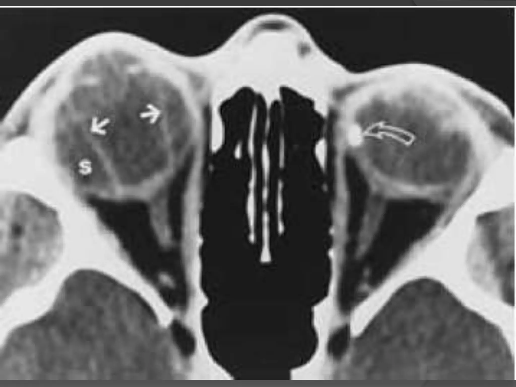
Ocular astrocytic Hamartoma
 Benign yellow-white rare retinal tumor
 Associated with Tuberous Sclerosis or
Neurofibromatosis
 Early on it may look exactly like retinoblastoma
 May involve retina or optic nerve
Juvenile Xanthogranuloma
 Benign cutaneous disorder
 Affects eye and skin
 Affects iris and ciliary body, choroid, retina
and optic nerve
 May present as a solitary orbital mass
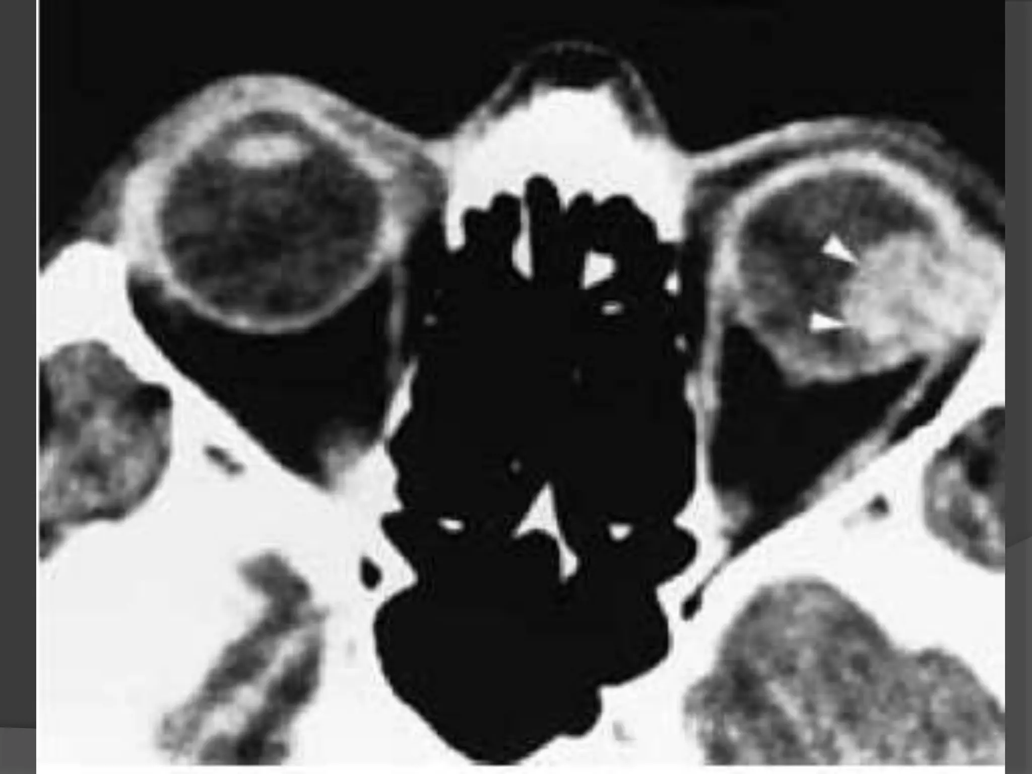
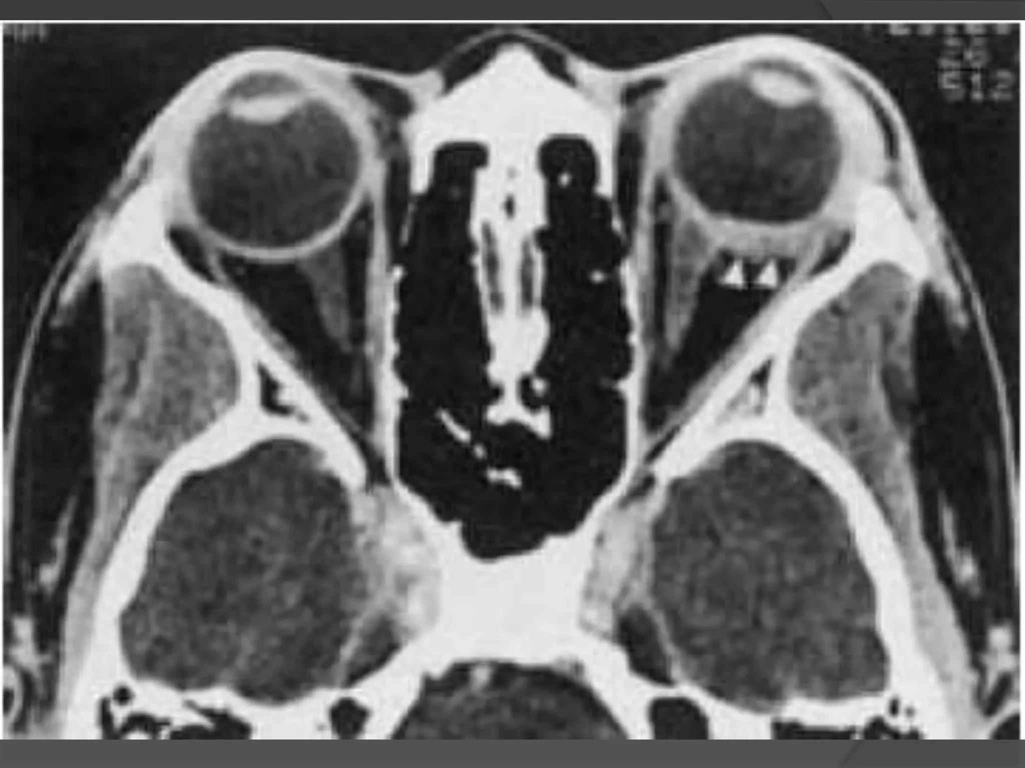
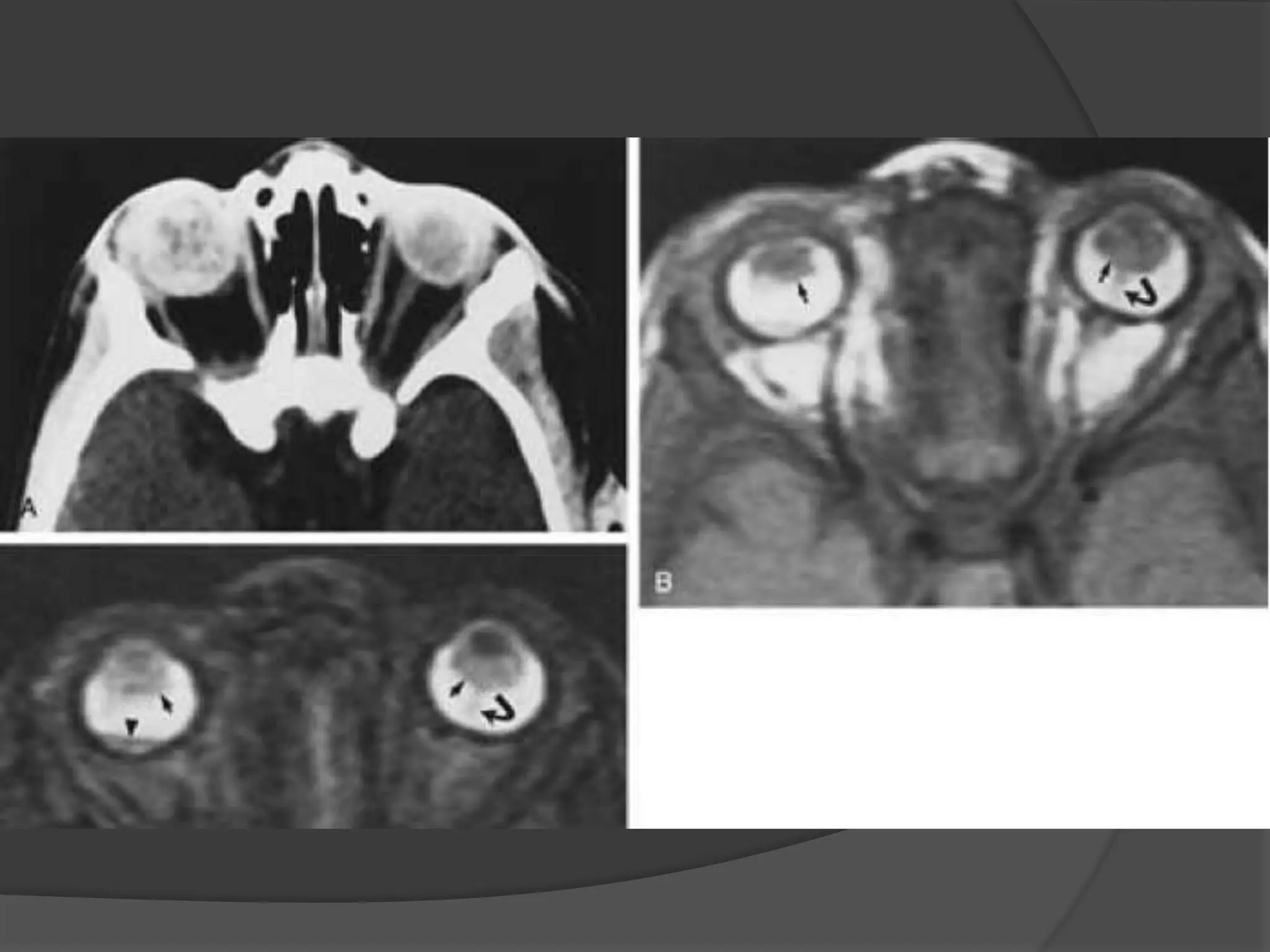
Optic nerve head drusen
Tumors
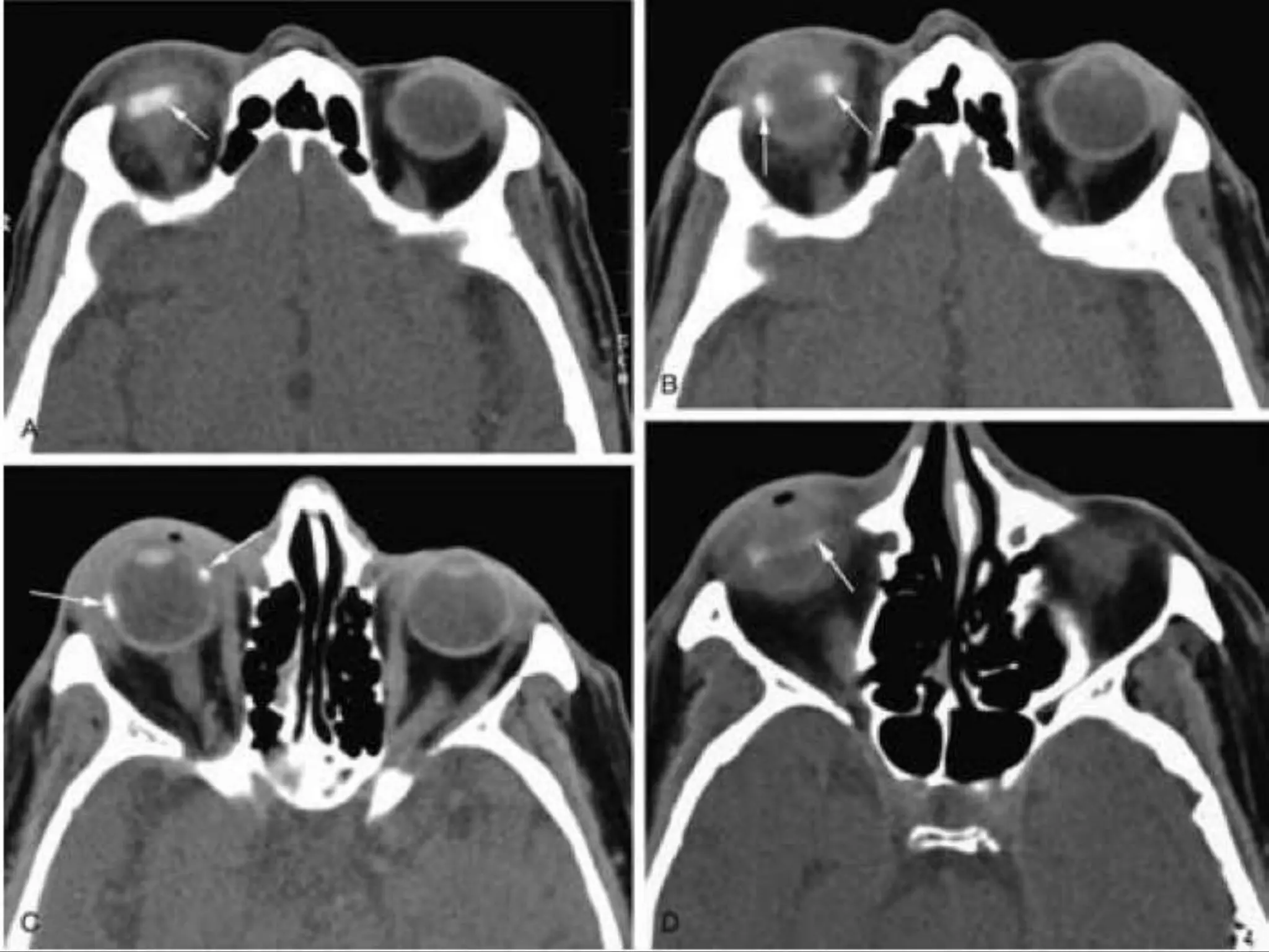
Choroidal osteoma
 Benign tumor
 Unilateral usually
 Affects young white girls
 Patients present with painless progressive
loss of vision
Malignant uveal melanoma
 More common in whites
 May arise from pre-existing nevi
 Metastasizes hematogeneously to liver
Orbital Pseudotumor
• The most common cause of orbital mass in adults.
• Acute form presents with pain, proptosis and
diminished ocular mobility, with histological changes
similar to vasculitis.
• Chronic form may mimic infection or lymphoma both
clinically and histologically. Unilateral presentation is
most common, but findings can be bilateral. All
compartments of the orbit may be affected.
• Imaging -- Heterogeneous poorly marginated
increased CT density and decreased T1 & T2
MRI signal intensity within the intraconal fat
surrounding a thickened sclera or enlarged optic
nerve, sometimes simulating a mass.
• The lacrimal gland may be enlarged.
Enhancement occurs following contrast infusion.
Fig A. Scleral pseudotumour. Marked thickening and irregularity of
the sclera of the right globe involves the adjacent retro-orbital fat.
Fig B. Diffuse pseudotumour. Axial MR T1WI showing a diffuse mass
in the right orbit due to pseudotumour.
Rhabdomyosarcoma
• Rhabdomyosarcoma is the most common primary
orbital malignancy in the pediatric age group. with
most patients presenting below 6 years of age.
• Patients present with rapidly progressive
exophthalmos that may mimic orbital infection.
Spread of the tumor esp. intracranially, portends
poor prognosis.
• Imaging : Both CT and MRI will typically show a
mass involving an extra ocular muscle. Lesions
are isodense on CT and isointense on T1WI
when compared to muscle.
• There may be associated bony destruction and
contiguous extra orbital spread. The tumor
involves the globe less often. Marked
enhancement throughout the mass is seen after
contrast administration.
Rhabdomyosarcoma. CECT image
(A) Orbits demonstrates right proptosis due to large, lobular, intraorbital
mass.
(B) Image at lower level demonstrates invasion of right maxillary
sinus (asterisk) as well as extension through lateral orbital wall (arrow),
consistent with the aggressive nature of this tumor.
• Patients with abnormalities of the optic nerve and
its covering present with proptosis, visual loss and
papilloedema.
• Expansion of the tubular shaped optic nerve and
sheath is well demonstrated on CT and MRI.
• Imaging of the intracranial space is required
because the optic nerve and its coverings are
continuous with the brain and dura mater.
Occur in children
Are low grade astrocytomas.
Associated with NF-1
Imaging:- optic nerve may expand uniformly and diffusely. Plain
films will show asymmetric widening of the optic canal. Post
contrast show uniform enhancement.
Optic nerve glioma.
Enhanced coronal CT image
demonstrates homogeneous
enhancement of enlarged right
optic nerve.
Optic nerve glioma. Enhanced fat-saturated axial T1W image (A)
demonstrates mild enhancement and enlargement of intraorbital
and canalicular segments of left optic nerve.
Coronal image (B) confirms enlargement of nerve and surrounding perioptic
space.
• Meningiomas are dense fibrous tumors. Calcification is
common.
• Plain films may show widening of the optic canal, or
hyperostosis of the sphenoid wing.
• CT generally shows a dense, sharply defined tubular mass
surrounding and paralleling the course of the optic nerve, with
marked enhancement after contrast administration ('tram
track'). Kinking of the nerve may be seen.
• MRI will show a homogeneous mass of decreased T1 and T2
signal intensity, with strong enhancement, especially with the
use of fat suppression sequences.
• Coronal images are preferred, as the encased optic nerve will
be seen in relief against the densely enhanced tumor.
Fig A. Optic nerve Meningiomas. CT -- Enhancement of thickened right
optic nerve with elevation of optic disc (arrowhead).
Fig B. Axial T1-weighted post contrast fat-saturated image (B) demonstrates
peripheral enhancement of the thickened right optic nerve sheath.
Nonenhancing soft tissue within represents the encased optic nerve.
Trauma
Miscellaneous
Thyroid ophthalmopathy.
Unenhanced axial (A) and coronal (B) CT images demonstrate massive
enlargement of the rectus muscles, including fusiform enlargement of the
lateral rectus with relative sparing of the distal muscle insertion.
Lymphoma. T1WI (A) demonstrates proptosis of right globe due to a large
intermediate signal intensity lesion that involves the lacrimal fossa and the
right lateral rectus muscle (arrow), with extension posteriorly in the
extraconal compartment.
Post contrast image (B) demonstrates homogeneous enhancement.
Cavernous Hemangioma. T1-weighted axial
(A) and sagittal (B) MR images demonstrate proptosis of right globe due
to well circumscribed, mid to high signal intensity intraconal mass.
Lymphangioma.
Axial T,-weighted (A) and T2 -weighted (B) MR images demonstrate mild right
proptosis due to complex, multi loculated, cystic, extra-axial lesion in the
superomedial aspect of the right orbit.
Encephalocele. Axial T1W MR image demonstrates marked
proptosis of right globe with stretching of attenuated right optic
nerve (arrowhead) due to herniation of dura and temporal lobe
through a large sphenoid defect in this patient with
neurofibromatosis.
Plexiform neurofibroma. T1WI(A) and T2WI (B) MR images show extensive
left temporal scalp lesion with extension to left orbit resulting in mild
proptosis. MR also demonstrates ectatic left optic nerve (arrow).
CT image at bone windows (C) demonstrates associated bony defect of left
lamdoid suture.
Metastases to the orbit may occur from systemic primaries,
particularly neuroblastoma and leukaemias in children, and breast, lung,
prostate and stomach cancer in adults. These lesions are poorly defined,
infiltrative and demonstrate marked contrast enhancement
on CT and MRI.
Prostatic Ca: Axial CT (A) shows small lytic lesion of left lateral orbital wall.
Soft-tissue windows (B) demonstrate contiguous extension of soft tissue into
lateral extraconal compartment (asterisk) with medial displacement of the
lateral rectus muscle.
These are congenital lesions that result from sequestration of primitive
ectoderm in the region of the orbit, usually presenting during childhood as a
discrete mass, located near the lacrimal fossa or nasal bone and are
homogeneous in appearance. The presence of fat is clearly seen on CT and
MRI. They do not enhance.
Lacrimal gland dermoid.
Coronal T 1WI demonstrate a well-
circumscribed lesion located in the
upper outer quadrant of left orbit.
High signal intensity is consistent with
fat.
Thank You

Orbital pathologies.pptx 1

  • 1.
    Dr. Mohit Goel JRIII 3/07/2014
  • 2.
    1. Congenital anomalies 2.Infection / Inflammation 3. Tumors 4. Trauma 5. Neoplasm
  • 3.
  • 4.
  • 5.
  • 6.
  • 7.
  • 9.
  • 11.
  • 16.
  • 22.
    Acute inflammation ofoptic nerve , commonly associated with multiple sclerosis. Edema and inflammatory cells infiltrate the nerve resulting in uniform swelling and focal demyelination. Imaging : MRI is the modality of choice with hyper intense signal of T2WI due to fluid and edema. Fat Sat contrast enhanced T1WI will show areas of demyelination. CT relatively insensitive. Straightening and thickening of right optic nerve.
  • 23.
    Optic Neuritis. CEFat Sat T1W axial (B) MR images demonstrate subtle enlargement and enhancement of the left optic nerve (curved arrow). T 2 WI (C) demonstrates corresponding increased signal intensity (straight arrow).
  • 24.
  • 28.
  • 30.
  • 31.
     Primary retinaltelengiectasis  Vascular anomaly of retina  Characterized by idiopathic retinal telengiectatic and aneurysmal retinal vessels  Progressive deposition of intraretinal and subretinal exudates  Leads to massive exudative retinal detachment
  • 33.
  • 34.
     Benign yellow-whiterare retinal tumor  Associated with Tuberous Sclerosis or Neurofibromatosis  Early on it may look exactly like retinoblastoma  May involve retina or optic nerve
  • 36.
  • 37.
     Benign cutaneousdisorder  Affects eye and skin  Affects iris and ciliary body, choroid, retina and optic nerve  May present as a solitary orbital mass
  • 39.
  • 41.
  • 42.
    Choroidal osteoma  Benigntumor  Unilateral usually  Affects young white girls  Patients present with painless progressive loss of vision
  • 46.
    Malignant uveal melanoma More common in whites  May arise from pre-existing nevi  Metastasizes hematogeneously to liver
  • 55.
    Orbital Pseudotumor • Themost common cause of orbital mass in adults. • Acute form presents with pain, proptosis and diminished ocular mobility, with histological changes similar to vasculitis. • Chronic form may mimic infection or lymphoma both clinically and histologically. Unilateral presentation is most common, but findings can be bilateral. All compartments of the orbit may be affected.
  • 56.
    • Imaging --Heterogeneous poorly marginated increased CT density and decreased T1 & T2 MRI signal intensity within the intraconal fat surrounding a thickened sclera or enlarged optic nerve, sometimes simulating a mass. • The lacrimal gland may be enlarged. Enhancement occurs following contrast infusion.
  • 57.
    Fig A. Scleralpseudotumour. Marked thickening and irregularity of the sclera of the right globe involves the adjacent retro-orbital fat. Fig B. Diffuse pseudotumour. Axial MR T1WI showing a diffuse mass in the right orbit due to pseudotumour.
  • 58.
    Rhabdomyosarcoma • Rhabdomyosarcoma isthe most common primary orbital malignancy in the pediatric age group. with most patients presenting below 6 years of age. • Patients present with rapidly progressive exophthalmos that may mimic orbital infection. Spread of the tumor esp. intracranially, portends poor prognosis.
  • 59.
    • Imaging :Both CT and MRI will typically show a mass involving an extra ocular muscle. Lesions are isodense on CT and isointense on T1WI when compared to muscle. • There may be associated bony destruction and contiguous extra orbital spread. The tumor involves the globe less often. Marked enhancement throughout the mass is seen after contrast administration.
  • 60.
    Rhabdomyosarcoma. CECT image (A)Orbits demonstrates right proptosis due to large, lobular, intraorbital mass. (B) Image at lower level demonstrates invasion of right maxillary sinus (asterisk) as well as extension through lateral orbital wall (arrow), consistent with the aggressive nature of this tumor.
  • 61.
    • Patients withabnormalities of the optic nerve and its covering present with proptosis, visual loss and papilloedema. • Expansion of the tubular shaped optic nerve and sheath is well demonstrated on CT and MRI. • Imaging of the intracranial space is required because the optic nerve and its coverings are continuous with the brain and dura mater.
  • 62.
    Occur in children Arelow grade astrocytomas. Associated with NF-1 Imaging:- optic nerve may expand uniformly and diffusely. Plain films will show asymmetric widening of the optic canal. Post contrast show uniform enhancement. Optic nerve glioma. Enhanced coronal CT image demonstrates homogeneous enhancement of enlarged right optic nerve.
  • 63.
    Optic nerve glioma.Enhanced fat-saturated axial T1W image (A) demonstrates mild enhancement and enlargement of intraorbital and canalicular segments of left optic nerve. Coronal image (B) confirms enlargement of nerve and surrounding perioptic space.
  • 64.
    • Meningiomas aredense fibrous tumors. Calcification is common. • Plain films may show widening of the optic canal, or hyperostosis of the sphenoid wing. • CT generally shows a dense, sharply defined tubular mass surrounding and paralleling the course of the optic nerve, with marked enhancement after contrast administration ('tram track'). Kinking of the nerve may be seen. • MRI will show a homogeneous mass of decreased T1 and T2 signal intensity, with strong enhancement, especially with the use of fat suppression sequences. • Coronal images are preferred, as the encased optic nerve will be seen in relief against the densely enhanced tumor.
  • 65.
    Fig A. Opticnerve Meningiomas. CT -- Enhancement of thickened right optic nerve with elevation of optic disc (arrowhead). Fig B. Axial T1-weighted post contrast fat-saturated image (B) demonstrates peripheral enhancement of the thickened right optic nerve sheath. Nonenhancing soft tissue within represents the encased optic nerve.
  • 66.
  • 77.
  • 78.
    Thyroid ophthalmopathy. Unenhanced axial(A) and coronal (B) CT images demonstrate massive enlargement of the rectus muscles, including fusiform enlargement of the lateral rectus with relative sparing of the distal muscle insertion.
  • 79.
    Lymphoma. T1WI (A)demonstrates proptosis of right globe due to a large intermediate signal intensity lesion that involves the lacrimal fossa and the right lateral rectus muscle (arrow), with extension posteriorly in the extraconal compartment. Post contrast image (B) demonstrates homogeneous enhancement.
  • 80.
    Cavernous Hemangioma. T1-weightedaxial (A) and sagittal (B) MR images demonstrate proptosis of right globe due to well circumscribed, mid to high signal intensity intraconal mass.
  • 81.
    Lymphangioma. Axial T,-weighted (A)and T2 -weighted (B) MR images demonstrate mild right proptosis due to complex, multi loculated, cystic, extra-axial lesion in the superomedial aspect of the right orbit.
  • 82.
    Encephalocele. Axial T1WMR image demonstrates marked proptosis of right globe with stretching of attenuated right optic nerve (arrowhead) due to herniation of dura and temporal lobe through a large sphenoid defect in this patient with neurofibromatosis.
  • 83.
    Plexiform neurofibroma. T1WI(A)and T2WI (B) MR images show extensive left temporal scalp lesion with extension to left orbit resulting in mild proptosis. MR also demonstrates ectatic left optic nerve (arrow). CT image at bone windows (C) demonstrates associated bony defect of left lamdoid suture.
  • 84.
    Metastases to theorbit may occur from systemic primaries, particularly neuroblastoma and leukaemias in children, and breast, lung, prostate and stomach cancer in adults. These lesions are poorly defined, infiltrative and demonstrate marked contrast enhancement on CT and MRI. Prostatic Ca: Axial CT (A) shows small lytic lesion of left lateral orbital wall. Soft-tissue windows (B) demonstrate contiguous extension of soft tissue into lateral extraconal compartment (asterisk) with medial displacement of the lateral rectus muscle.
  • 85.
    These are congenitallesions that result from sequestration of primitive ectoderm in the region of the orbit, usually presenting during childhood as a discrete mass, located near the lacrimal fossa or nasal bone and are homogeneous in appearance. The presence of fat is clearly seen on CT and MRI. They do not enhance. Lacrimal gland dermoid. Coronal T 1WI demonstrate a well- circumscribed lesion located in the upper outer quadrant of left orbit. High signal intensity is consistent with fat.
  • 86.

Editor's Notes

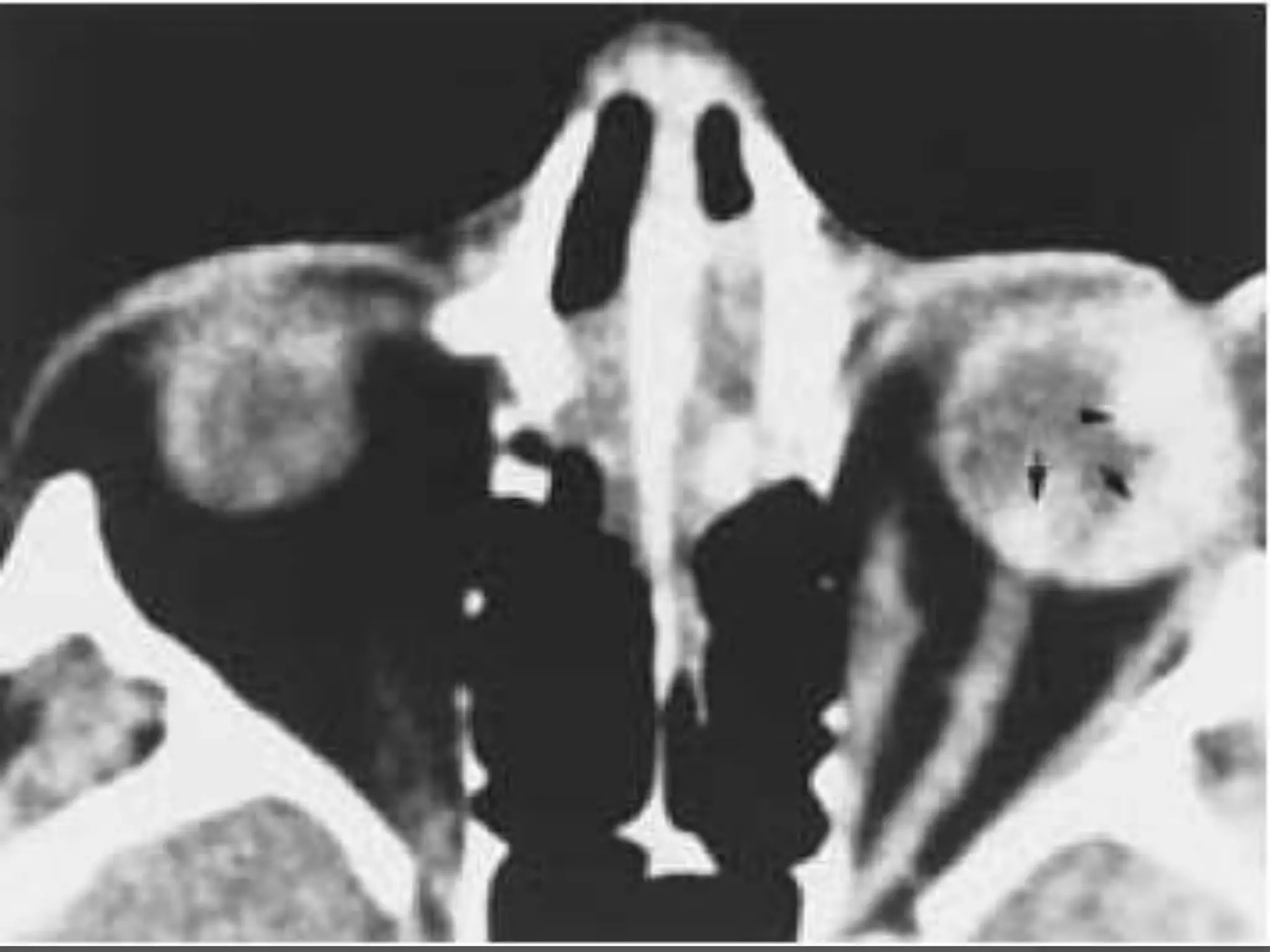
  • #5 A, Axial CT scan shows a microphthalmic left eye associated with a small calcification. B, Axial CT scan in another patient shows bilateral microphthalmia with marked calcifications.
  • #6 Phthisis bulbi: Axial CT scan shows a dense right eye with irregular calcification. This child with acquired immune deficiency syndrome developed cytomegalovirus chorioretinitis, resulting in a disorganized eye with associated dystrophic calcification.
  • #7 Typical coloboma of the optic disc. Axial CT scan shows a large posterior global defect (arrow) with optic disc excavation on the right side. The defect appears to be surrounded by an enhancing, deformed sclera and seems to have a direct connection with the vitreous body.
  • #8 Colobomatous cyst. A, Axial CT scan shows bilateral microphthalmia and a large cyst (C) separated from the right globe by a band of enhancement (arrows), which is related to abnormal gliotic tissue. B, Anatomic section of an enucleated right eye. Note the small eye, large colobomatous defect, abnormal white tissues, gliotic tissues (G), and large cyst (C). Note the lens (L) and the optic nerve. C, Histologic section of an eye shows a large retinochoroidal coloboma (arrow), gliotic tissue (G ), cyst (C ), and lens (L).
  • #9 Colobomatous cyst. Axial CT scan shows microphthalmic eyes with large cysts (arrows).
  • #11 Posterior hyaloid detachment and retinal detachment in a patient Sag T1 – white arrows is chronic subretinal hemorrhage and black arrows is posterior hyaloid detachment. Sagittal T1-weighted MR image shows two semilunar regions; the posterior region (white arrows) is caused by chronic subretinal hemorrhage, and the anterior region (black arrows) is caused by posterior hyaloid detachment. Surgery confirmed these findings.
  • #12 Retinal detachment. A - White arrows is retinal detachment B – Black arrows – hyperintense areas - subretinal exudate
  • #13 Total retinal detachment. Axial T2-weighted MR image shows a detached retina (arrows) with the characteristic V-shaped configuration with the apex at the optic disc. Hypointensity of the left globe is caused by injection of silicone oil into the vitreous, which also has escaped into the subretinal space. The arrowhead points to residual subretinal fluid not replaced by silicone oil.
  • #14 Retinal detachment. T1-weighted coronal MR image shows the characteristic appearance of retinal folds (arrows) and a hyperintense subretinal exudate (E ).
  • #15 Serous choroidal detachment. Axial CT scan shows two prominent linear images (solid arrows) in the right eye. Because of the anchoring effect of posterior ciliary arteries and nerves, detached leaves of choroid usually do not appear to converge at the disc, unlike retinal leaves in retinal detachment. The suprachoroidal space (S) is isodense with vitreous, indicating serous choroidal detachment. The enlarged right globe results from known congenital glaucoma. Note the postsurgical changes in the left eye and the scleral-encircling silicone band (curved arrow).
  • #16 Acute choroidal hemorrhage (detachment). Axial CT scan shows choroidal hematomas (arrows).
  • #18 A, Endophthalmitis and choroidal abscess. Enhanced axial CT scan shows marked thickening and enhancement of the right globe. Note the focal nodular enhancement (arrow) compatible with choroidal abscess. B, Scleritis: Enhanced axial CT scan shows marked thickening with enhancement of the right globe. C, Endophthalmitis: Enhanced sagittal T1-weighted MR image shows marked irregular thickening of the entire uveal tract associated with distortion of vitreous cavity.
  • #19 Optic papilledema. Axial CT scan shows bulging of the left optic disc in this patient with bilateral papilledema. There was bilateral optic disc enhancement on enhanced T1-weighted MR images.
  • #20 Posterior scleritis. Enhanced axial CT scan shows thickening with enhancement of the posterior scleral-uveal coat (arrow- heads).
  • #21 Granulomatous uveitis. A, Axial T2WI shows hypointense lesions (arrows). B, Axial enhanced, T1WI shows marked enhancement of the entire uveal tract (arrow). C, Unenhanced axial T1-WI shows nodular thickening of the posterior aspect of the right globe (arrow) and thickening of the anterior segment (arrowheads) of the right globe. D, Enhanced axial fat-suppressed, T1WI shows nodular enhancement of the posterior aspect of the right globe (arrowhead and open arrow) related to granulomatous involvement of the choroids.
  • #22 Granulomatous uveitis. E, Enhanced sagittal T1WI shows granuloma at the optic disc (white arrowhead) as well as involvement of the optic nerve (black arrowhead ). F, Enhanced axial fat-suppressed, T1WI shows enhancement of the markedly thickened uveal tract (arrowheads).
  • #26 Retinoblastoma. A, Leukokoric left eye (whitish papillary reflex). B, Axial CT scan shows a large calcified intraocular mass (M). Note the noncalcified component (arrowhead). C, Axial T1WI shows a relatively hyperintense infiltrative mass (arrows). D, Axial T2WI shows a hypointense infiltrative mass (M). Note the extension along the temporal aspect of the globe (arrows).
  • #27 Retinoblastoma with optic nerve involvement. A, Enhanced, fat-suppressed, axial T1-weighted MR image shows marked enhancement of a retinoblastoma (R) with extension into the optic nerve (arrow). B, Photomicrograph of an enucleated eye showing the tumor (T) as well as extension into the optic nerve head (arrow). (Courtesy of D. Ainbinder, MD, Tacoma, WA.)
  • #28 Tetralateral retinoblastoma. A, Axial T2-weighted MR image shows bilateral retinoblastoma (arrows). B, Enhanced axial T1-weighted MR image shows a markedly enhancing suprasellar mass (m). Note the subarachnoid spread of the tumor, seen as leptomeningeal enhancement along the sylvian fissures (arrows). C, Enhanced axial T1-weighted MR image shows marked enhancement of a pinealoblastoma (arrow). D, Enhanced sagittal T1-weighted MR image obtained a few months later shows diffuse distal spinal cord (C ) and subarachnoid metastases (arrows).
  • #30 ROP. A, Axial CT scan shows increased density of the globes and left microphthalmos. B, Axial PW MR image shows hyperintensity of both globes, presumably caused by subretinal hemorrhage. Note the retrolental abnormal tissues (arrows) and detached retina (curved arrow). C, Axial T2-weighted MR image shows hyperintensity of the globes and abnormal retrolental soft tissues (arrows). Note the detached retina (curved arrow) and the layered acute hemorrhage in the right subretinal space (arrowhead ).
  • #33 Coats’ disease. A, Axial CT scan shows generalized increased density of the left globe caused by bullous retinal detachment. The leaves of the detached retina are faintly seen, as shown by the arrows. B, Axial PW MR image shows hyperintensity of the left globe caused by subretinal lipoproteinaceous effusion. Note the leaves of the detached retina (arrows). C, Axial T2-weighted MR image shows the detached retina (arrows).
  • #36 Astrocytic hamartoma. Axial CT scan shows a mass (arrow) in the posterior aspect of the right eye.
  • #39 Juvenile xanthogranuloma. Precontrast axial T1-weighted (500/23, TR/TE) (A) and postcontrast T1-weighted (533/23, TR/TE) (B) MR images show an infiltrative enhancing mass involving the left eye (arrow). (Courtesy of A. Hidayat, MD, Washington, DC.)
  • #41 Optic nerve head drusen. Axial CT scan shows increased density at the optic disc (arrow).
  • #44 Choroidal osteoma. Axial CT scan shows a peripapillary calcified mass (arrows) compatible with choroidal osteoma.
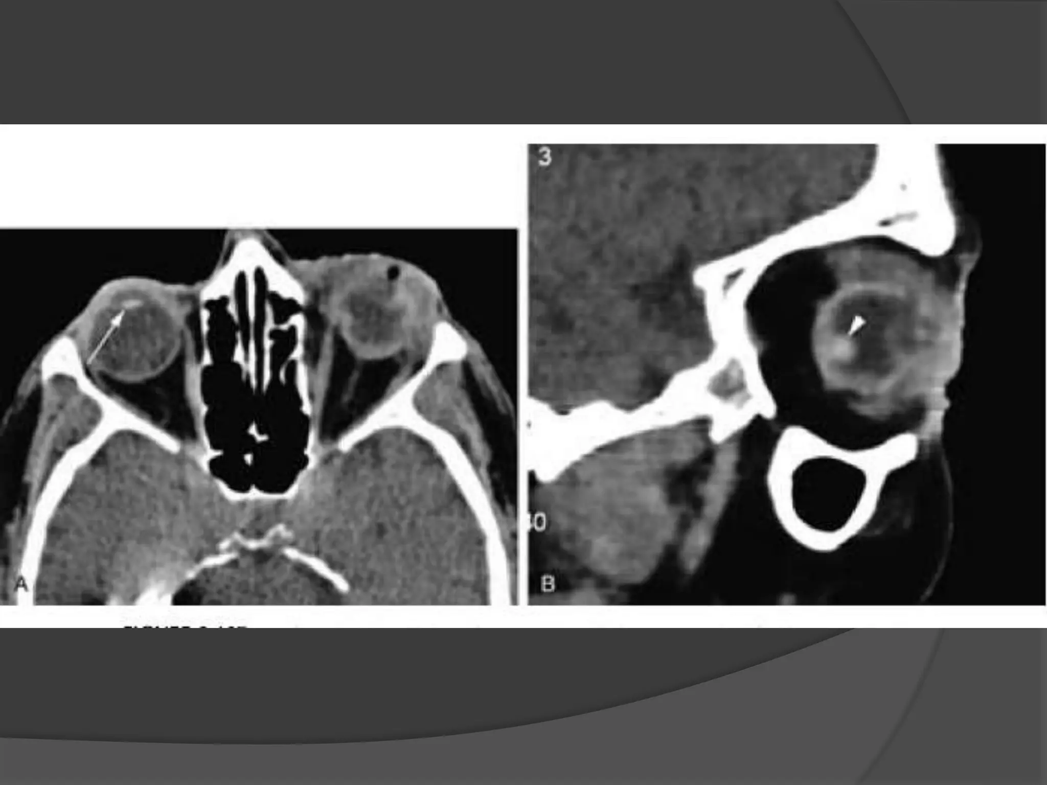
  • #45 Malignant melanoma of the choroid. Axial CT scan shows a mushroom-shaped mass with increased density in the temporal quadrant of the left globe (arrowheads).
  • #46 Malignant melanoma of the choroid. A, Axial CT scan shows a mass (arrow). B, Axial PW MR image (top) and T2-weighted MR image (bottom) show a mass (arrow) and exudative retinal detachment (arrowheads). Retinal detachment is distinguished better on MR imaging than on CT.
  • #48 Malignant uveal melanoma. A, Macroscopic section showing a mushroom-shaped melanoma (curved arrows) and a detached retina (open arrows). B, Sagittal PW MR image of another patient shows a hyperintense mass (arrows) and retinal detachment (arrow- head)
  • #49 Malignant uveal melanoma. C, Sagittal T2-weighted MR image shows a mushroom-shaped hypointense melanoma (arrows). The subretinal effusion remains hyperintense.
  • #50 Uveal metastasis. Axial precontrast (top) and postcon- trast (bottom) T1-weighted MR images show bilateral choroidal metastases (arrows). Mets are usually from the breast or lung and spread is hematogeneous via short posterior ciliary arteries
  • #51 Choroidal lymphoma. Axial postcontrast T1-weighted MR image shows an irregular, infiltrative, moderately enhancing mass (arrows) involving the left globe. The appearance cannot be differentiated from that of uveal metastasis.
  • #52 Melanocytoma of the optic disc. Axial T1-weighted (A) and T2-weighted (B) MR images showing a melanocytoma (arrows). C, Axial T2-weighted MR image in another patient shows a melanocytoma (arrow). (Courtesy of M.F. Mafee, MD, FACR, Chicago.)
  • #53 Choroidal metastasis. A, Axial PW MR image shows a hyperintense lesion (arrows) consistent with an ophthalmoscopic finding of choroidal metastasis. Note the irregularity of the lesion’s surface. B, The lesion remained slightly hyperintense in this axial T2-weighted MR image.
  • #54 Leiomyoma of the ciliary body. A, Axial PW MR image shows a large, hyperintense mass (arrow). B, Axial T2-weighted MR image shows that the lesion remains hyperintense (arrow). Note the extension into the anterior chamber (arrowhead).
  • #55 Medulloepithelioma. Axial CT scan shows a hyperdense mass (arrow).
  • #68 Ocular rupture. Axial CT scan shows deformity of the left eye with uveoscleral infolding due to ocular hypotony related to a rupture.
  • #69 Ocular trauma and choroidal hematoma. Axial CT scan shows a hyperdense left choroidal hematoma. This can be confused with a choroidal melanoma.
  • #70 Choroidal hematoma following ocular surgery. Axial CT scan shows multiple choroidal hematomas of various sizes involving the left eye.
  • #71 Perforation and collapse of the globe. posterior aspect of the globe, Axial CT scans show infolding (arrowheads) of the posterior aspect of the globe, and the lens (arrow) is partially displaced.
  • #72 A, Axial CT scan shows the intraocular lens (arrow) on the right side. Left globe has lost tone and has partially collapsed, with infolding of the posterior sclera. B, Sagittal reconstruction shows the displacement of the lens (arrowhead) into the posterior aspect of the vitreous compartment.
  • #73 Acute perforation of the globe on the right side. Phthisis bulbi and calcified lens on the left side. Axial CT scans at narrow (A) and wide (B) window settings. There is inward buckling of the sclera of the right globe after acute trauma. There is calcification along the wall of the globe on the left, with a calcified lens (arrow) from a previous insult.
  • #74 Perforation of the cornea. Axial CT scan shows perforation of the cornea with hypotony of the aqueous chamber. The fluid space between the cornea and the lens on the right side (arrowhead) is diminished compared to the left. A normal aqueous chamber is seen on the left side (arrow).
  • #75 Axial CT. Acute perforation of the lens capsule. The abnormal lens (arrowhead) has low density due to the influx of fluid diluting the normally high protein of the lens. Compare with the opposite side.
  • #76 Dislocated lens, right eye; scleral buckle, left eye. MR imaging. A, Axial T1-weighted image shows the dislocated lens (arrow) posteriorly positioned in the right globe. B, Axial T1-weighted axial image. On the left side, the low-signal areas (arrowheads) on the medial and lateral aspect of the globe represent the scleral buckle. C, Axial T2-weighted image shows the dislocated lens on the right and the scleral buckle (low signal) on the left.
  • #77 Scleral buckle in retinal detachment. A to D, Axial CT images showing the linear radial density encircling the globe (arrows). Note that if followed on all images, the radiodensity makes a complete ring around the globe.