Head & Neck
Orbit
Mohamed Zaitoun
Assistant Lecturer-Diagnostic Radiology
Department , Zagazig University Hospitals
Egypt
FINR (Fellowship of Interventional
Neuroradiology)-Switzerland
zaitoun82@gmail.com
Knowing as much as
possible about your enemy
precedes successful battle
and learning about the
disease process precedes
successful management
Orbit
1-Anatomy of the Orbit
2-Orbital Mass Lesions
3-Orbital Trauma
1-Anatomy of the Orbit :
-The orbit is a pyramidal space that is formed by seven
bones
-The globe lies in the anterior orbit; the globe and its
contents are contained by three layers :
1-The sclera and cornea form the fibrous outermost
layer
2-The vascular uveal tract, including the ciliary body
anteriorly and the choroid posteriorly, forms the
middle layer
3-The retina forms the innermost sensory layer
Photomicrograph (original magnification, × 80; hematoxylineosin
stain) shows the three layers of the globe
-The lens is connected to the sclera by radially oriented zonular
fibers
-The lens divides the globe into an anterior segment, which
contains the aqueous humor, and the posterior segment,
which contains the more viscous vitreous humor
-The iris further subdivides the anterior segment into the
anterior chamber and the posterior chamber
-Posterior to the globe, the six extraocular muscles and their
intermuscular fascial membranes form an intraorbital conical
structure
-Veins and lymphatics lie within the orbital fat of the muscle
cone
-Centrally, the optic nerve sheath passes from the posterior
globe to the brain
-The optic nerve sheath is an extension of the dura mater and
contains the ophthalmic artery, the optic nerve, and small
veins
Unenhanced axial CT scan of a healthy 32-year-old man. AC = anterior
chamber, L = lens, ON= optic nerve, PS = posterior segment (vitreous
humor)
-Orbital Structures :
1-Globe (lens , anterior chamber , posterior
chamber , vitreous , sclerouveal coat(
2-Intraconal , extraconal fat
3-Optic nerve and sheath
4-Ophthalmic artery and vein
5-Rectus muscles
Normal orbital anatomy, axial CT image (left) with color overlays shows the
orbit divided into intraocular and extraocular spaces by the muscle cone
and their relationships to the globe, coronal CT images (right) with color
overlays show the configuration of the extraocular muscles, vascular
structures, and lacrimal gland
Orbital Spaces:
-Intraconal space:
space inside the
rectus muscle
pyramid
-Extraconal space:
space outside the
rectus muscle
pyramid
-Preseptal space
-Postseptal space
-Lacrimal fossa
The intraconal space is located within the muscle
cone It contains the optic nerve , vessels and
cranial nerves III , IV and VI
Extraconal space
Orbital Septum :
-Represents condensed orbital rim periosteum
-Attaches to outer margins of bony orbit and
deep tissues of lids
- Separates all the structures in the orbit from
soft tissues in the face (preseptal versus
postseptal)
2-Orbital Mass Lesions
a) Within or involving the globe
b) Within the muscle cone (Intraconal)
c) Arising from the muscle cone (conal)
d) Outside the muscle cone (Extrconal)
e) Arising from the orbital wall
a) Within or involving the Globe :
1-Retinoblastoma
2-Melanoma
3-Detachment and Choroidal Effusion
1-Retinoblastoma :
a) Incidence
b) Types
c) Clinical Picture
d) Radiographic Features
e) Differential Diagnosis
a) Incidence :
-The most important ocular tumor of childhood
-20-40% of patients have bilateral tumors and this is most
often the AD type
-5-10% of patients have a family history of
retinoblastoma
-Children with the hereditary form are at risk of
developing second non-ocular malignancies either
within or out of the radiation field , osteosarcoma is
the commonest tumor
b) Types :
-Four types have been recognized :
1-Those that are non-inheritable
2-Those that are inherited as an AD trait
3-Those that are associated with a partial
deletion of chromosome 13
4-Bilateral retinoblastoma and pineal tumor
(trilateral retinoblastoma)
Trilateral retinoblastoma
c) Clinical Picture :
-Most children
present with
leukokoria or white
pupillary reflex
d) Radiographic Features :
1-CT :
-Intraocular high density (calcification , hemorrhage)
mass
-Over 90% of tumors show calcification on CT which may
be small , large , single or multiple
-Diffuse infiltrating tumors are less likely to show
calcification
-Intraocular calcification in children under 3 years of age
is highly suggestive of retinoblastoma
-In absence of calcification in retinoblastoma ,
suspect other mass lesions :
1-Persistent Hyperplastic Primary Vitreous
(PHPV) :
-Congenital persistence of remnants of hyaloid
vessels
-Small globe with a shadow of retrolental mass
-Unilateral
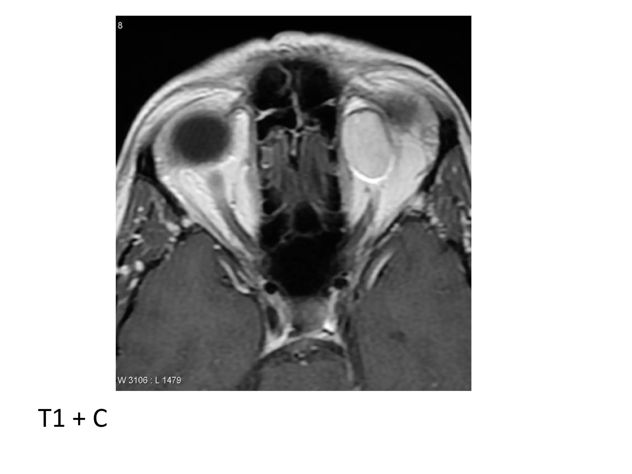
PFV in a 3-year-old boy, (a) Axial CT image shows uniform high attenuation of the
vitreous. (b) Axial T2 shows the hyaloid canal (arrow), a characteristic finding of
PFV. (c) T1+C shows enhancement of the retrolental primary vitreous (arrow)
PHPV
PHVV with microphthalmia
2-Coat’s Disease :
-Rare
-Not a congenital lesion
-Age : 6-8 years , more in males
-No retrolental mass
-Unilateral retinal telangiectasia >> massive subretinal
exudate >> Retinal Detachment
3-Retinopathy of Prematurity (Retrolental
Fibropalsia):
-Bilateral
-History of prematurity & oxygen therapy
Coat’s disease, (a, b) Axial unenhanced (a) and contrast-enhanced (b) CT images of
the right orbit show an intraocular high-attenuation lesion, no calcification or
enhancement is seen
Coat’s disease, (a, b) Axial unenhanced (a) and contrast-enhanced fat-saturated (b) T1
show the intraocular lesion, which is homogeneous with intermediate signal
intensity, no enhancement is seen after administration of contrast material
-The non-calcified component of the tumor is
moderately dense on CT , enhances poorly or
not at all and may be difficult to differentiate
from the associated retinal detachment and
subretinal effusion
-The presence of enhancement excludes
subretinal exudate and haemorrhage while
marked enhancement suggests persistent
hyperplastic primary vitreous (PHPV)
2-MRI :
*T1 : The tumor is slightly/moderately
hyperintense
*T2 : Moderately low intensity
*T1+C : The tumor enhances
T1
T2
T1+C
e) Differential Diagnosis :
1-Persistent Hyperplastic Primary Vitrous
2-Coat’s Disease
3-Retinopathy of prematurity
4-Toxocariasis (close contact with dogs)
5-Chronic Retinal Detachment
6-Retinal Astrocytoma (T.S.)
7-Retinal Dysplasia
-N.B. : Differential Diagnosis of Intraorbital
Calcification :
a) Retina :
1-Drusen 1% population at optic disc (benign)
2-Retinoblastoma
3-Retinocytoma
4-Tuberous sclerosis (TS): "giant drusen", astrocytic
hamartomas
5-Epiretinal membranes
6-Retrolental fibroplasia (retinopathy of prematurity),
rare calcification
7-Coats disease
Drusen Retinoblastoma
Retinal astrocytic hamartoma in a patient with tuberous sclerosis, axial
unenhanced CT image shows a high-attenuation focal intraocular mass
(arrowhead) in the right globe
b) Retinochoroidal :
-Chorioretinitis : most commonly
following Toxoplasmosis
c) Choroidal :
1-Choroidal osteoma : more common in patients
with tuberous sclerosis
2-Choroidal angioma : occasionally calcify
Chorioretinitis Choroidal osteoma
d) Sclerochoroidal :
1-Metastatic calcification :
-Abnormal calcium and phosphate metabolism
a) Hyperparathyroidism
b) Pseudohypoparathyroidism
c) Renal tubular acidosis
2-Dystrophic calcification :
-Abnormal tissues become calcified, despite normal
calcium and phosphate metabolism
-Seen occasionally in elderly caucasians, most
frequently men
3-Phthisis bulbi :
-Is the end result of major injury to the eye (trauma,
infection) with a shrunken calcified 'lump' remaining
4-Scleral calcific plaques (senile)
Phthisis bulbi Senile scleral calcific plaque
2-Melanoma :
a) Incidence
b) Radiographic Features
c) Prognosis
a) Incidence :
-Most common (75%) ocular malignancy in
adults
-Arises from pigmented choroidal layer , retinal
detachment is common
Diagram illustrates how a melanotic lesion causes retinal detachment, as
melanoma breaks through the choroid, it separates the retina from the
choroid
b) Radiographic Features :
1-CT :
-Thickening or irregularity of choroid (localized,
polypoid, or flat)
-Exophytic , biconvex mass lesion related to choroid
-Usually unilateral, posterior location
-Retinal detachment, common
-Contrast enhancement
2-MRI :
-T1 hyperintense , T2 hypointense
Unenhanced, axial CT image of the right orbit showing a choroidal melanoma
Choroidal melanoma discovered at fundoscopy in a 55-year-old woman, axial
CT+C shows a subtle enhancing nodule at the level of the optic disk
(arrow)
(a) T1 shows that the mass (*) is mildly hyperintense, (b) T2 shows that the
tumor (*) is hypointense, (c) T1+C shows that the tumor (*) enhances
moderately, these findings are compatible with a typical malignant
melanoma of the choroid
Choroidal melanoma (a) T1 shows a rounded hyperintense mass (arrow) in
the right posterior globe, (b) T2 , the lesion appears hypointense
c) Prognosis :
-Poor prognostic indicators :
1-Large tumor size
2-Heavy pigmentation
3-Infiltration of the angles , optic nerve , sclera
and ciliary body
3-Detachment and Choroidal Effusion :
-May mimic melanoma
-Retinal detachment with hemorrhage is seen
mostly in adults with diabetes mellitus and
hypertension
-In young infants it can be seen as part of a shaken
baby syndrome
-In choroidal detachment recent intraocular surgery
is the most common association followed by
trauma
**N.B. : Other globe lesions
1-Drusen
2-Globe-shape Abnormalities
3-Leukokoria
1-Drusen :
-Focal calcification in hyaline bodies in the optic
nerve head
-Usually bilateral and asymptomatic
-Blurred disk margins may be mistaken for
papilledema
2-Globe-shape Abnormalities :
a) Coloboma :
-Focal outpouching involving retina, choroid, iris
-Caused by deficient closure of fetal optic fissure
-Located in region of optic disc
-Associated with :
Morning glory anomaly
Microphthalmos with cyst
-Coloboma can be part of the CHARGE syndrome :
Coloboma
Heart anomalies
Choanal Atresia
Retardation of growth and development
Genital and Ear anomalies
-Coloboma can also be part of the COACH syndrome:
Cerebellar vermis hypoplasia
Oligophrenia (MR)
Congenital Ataxia
Coloboma
Hepatic fibrosis
b) Staphyloma :
-Acquired defect of globe wall with protrusion of choroid or
sclera
-As opposed to coloboma, staphyloma defect is located off-
center
c) Axial Myopia :
-AP elongation but no protrusion
d) Buphthalmos :
-Congenital glaucoma; anterior ocular chamber drainage
problem
Staphyloma
3-Leukokoria :
-Leukokoria refers to a white pupil
-Clinical, not a radiologic finding
-Underlying causes :
1-Retinoblastoma
2-PHPV
3-Congenital cataract
4-Toxocariasis
5-Other :
-Sclerosing endophthalmitis
-Coats' disease
-Retrolental fibroplasia
-Trauma
-Chronic retinal detachment
b) Within the Muscle Cone (Intraconal) :
1-Optic nerve Glioma
2-Optic nerve Meningioma
3-Hemangioma (mostly cavernous) and Orbital
varices
4-Inflammatory Orbital Pseudotumor
5-Lymphoma and Metastases
6-Hematoma
7-Neurofibroma
The intraconal space is located within the muscle
cone It contains the optic nerve , vessels and
cranial nerves III , IV and VI
1-Optic nerve Glioma :
a) Incidence
b) Clinical Picture
c) Radiographic Features
d) Differential Diagnosis
a) Incidence :
-Most common cause of diffuse optic nerve
enlargement especially in childhood ( 1st
decade
of life )
-In neurofibromatosis (NF1) the disease may be
bilateral
b) Clinical Picture :
-Visual loss and painless with preservation of eye
movements because the lesion is intraconal
c) Radiographic Features :
1-CT :
-The optic nerve is variably enlarged and the mass may
either be fusiform or exophytic in appearance ,
additionally the nerve may be elongated with kinking
or buckling
-Enlargement of optical canal ; >1 mm difference
between left and right is abnormal
-Lower CT density than meningioma
-Contrast enhancement variable
-Calcifications rare (but common in meningioma)
2-MRI :
*T1 : Enlargement, often iso to hypointense
compared to the contralateral side
*T2 : Hyperintense centrally , low signal at the
periphery representing the dura
*T1+C : Enhancement is variable
-Tumor extension best detected by MRI:
chiasm → optic tracts → lateral geniculate body
→ optic radiation
Optic nerve glioma in a 6-year-old girl with proptosis. (a) Axial short inversion time
inversion-recovery MR image shows an expansile mass that involves the right optic
nerve, the hyperintense rim at the tumor periphery (arrowheads) reflects
leptomeningeal infiltration. (b) Axial T1+C fat-suppressed image shows minimal
enhancement in the mass (arrow), the nerve itself cannot be separated from the
tumor
Bilateral optic nerve gliomas in a 25-year-old man with NF-1., axial T1 shows the
tortuous and kinked appearance of the bilateral optic nerves (arrows)
Coronal T1 reveals circumscribed enlargement of the optic nerve
with an isointense signal
T1 reveals bilateral , fusiform enlargement of the optic nerves (arrows)
in a 14-year-old patient with neurofibromatosis type 1 , consistent
with bilateral optic nerve gliomas
T1 in a 46-year-old man demonstrates enlargement of both optic
tracts (arrowheads) and the optic chiasm (arrow)
T2 reveals hyperintense signaling of the mass that is
contained within the dura of the optic nerve
T2 demonstrates bilateral optic nerve gliomas in the setting of
NF1
FLAIR , the fusiform image of the optic nerve tumor is seen , also here evident
are several enhancing lesions in the midbrain and cerebellum, consistent
with the classic hamartomatous CNS neurofibromas of NF1
T2 in a 46-year-old man demonstrates a mass in the lateral geniculate
nucleus of the thalamus resulting from contiguous extension of the
patient's known optic nerve glioma
T1+C shows enhancement of the fusiform , kinked shaped optic
nerve tumor
T1+C with fat saturation reveals diffuse intense enhancement of the
intraorbital mass , the lesion is confined to the orbit
T1+C with fat saturation in a 6-year-old girl demonstrates enhancement of
the intracranial optic nerve (arrow) which is slightly expanded
d) Differential Diagnosis :
-From optic nerve meningioma
1-Age :
-Glioma , 50 % < 5 years
-Meningioma , middle aged women
2-Laterality :
-Glioma , +/- bilateral
-Meningioma , unilateral
3-Hyperostosis :
-In meningioma
4-Optic canal :
-Widened in 90 % in glioma and in 10 % in meningioma
5-Calcification :
-Glioma : rare without prior radiotherapy
-Meningioma : Calcification
6-Contrast :
-Glioma : variable contrast with mottled lucencies due
to mucinous degeneration
-Meningioma : diffuse homogenous enhancement
2-Optic nerve sheath Meningioma :
a) Incidence
b) Clinical Features
c) Radiographic Features
d) Differential Diagnosis
a) Incidence :
-Optic nerve sheath meningiomas arise from
arachnoid rests in meninges covering the optic
nerve
-Age: 4th decade (80% female) ; younger
patients typically have NF
-These lesions are almost always unilateral with
the exception of NF2 patients which may be
unlucky enough to have bilateral tumours
b) Clinical Features :
1-Visual loss (95 % of cases)
2-Proptosis
c) Radiographic Features :
1-CT :
a) Mass
b) Enhancement
c) Others
a) Mass :
-Tubular , 60%
-Fusiform , surrounding the optic nerve , 25%
-Eccentric , 15%
-Calcification (common)
Calcification
b) Enhancement :
-Intense contrast enhancement
-Linear bands of enhancement (nerve within tumor)
: tram track sign (enhancing mass around the
optic nerve , the optic nerve itself is not enlarged
and is nonenhancing ; mass, such as a arising
from the optic nerve sheath
c) Others :
Sphenoid bone and / or optical canal hyperostosis
Optic nerve sheath meningioma incidentally found in a 50-year-old woman,
axial CT+C shows the tram-track configuration of an enhancing tumor
(arrows) surrounding the optic nerve, the mass extends to the orbital
apex, the optic nerve itself can be separated from the tumor
Optic nerve tram-track sign, T1+C (A) shows an enhancing mass (thick small arrows)
around the left optic nerve , the optic nerve (thin long arrow) itself is not enlarged
and is nonenhancing, this is suggestive of a mass ; meningioma arising from the
optic nerve sheath, T2 in a different patient (B) shows fusiform enlargement of the
left optic nerve itself (arrows) , in a case of optic nerve glioma
CT + C
Tram track sign
*MRI :
-T1 : Isointense to somewhat hypointense
compared to the optic nerve
-T2 - Isointense to somewhat hyperintense
compared to the optic nerve
-T1+C : Homogeneous enhancement
d) Differential Diagnosis :
-See before
Optic nerve sheath meningioma in a 62-year-old patient who presented with blurry
vision of the right eye, axial T1+C fat-suppressed shows an avidly enhancing tumor
along both sides of the right optic nerve, the intraoptic and intracanalicular
portions of the optic nerve are involved (arrows), as well as the prechiasmatic
portion of the intracranial optic nerve (arrowhead). * = normal left intracranial
optic nerve
-N.B. Differential Diagnosis of Orbital Hyperostosis :
1-Meningioma
2-Sclerotic metastases
3-FD
4-Paget’s Disease
5-Osteopetrosis
6-Chronic Osteomyelitis
7-Lacrimal Gland Tumor
8-LCH
9-Postradiotherapy
-N.B. Optic Neuritis
a) Causes
b) Clinical Picture
c) Radiographic Findings
a) Causes :
1-Multiple sclerosis (most common cause;
occurs in 80% of MS patients)
Devic's syndrome: optic neuritis (bilateral) with
transverse myelitis (MS or ADEM may be the
cause)
2-Ischemia
3-Vasculitis
b) Clinical Picture :
1-Visual loss
2-Pain on eye movement
3-Afferent papillary defects
c) Radiographic Findings :
-Fat-suppressed T2 or post gadolinium with fat
suppression best for diagnosis
-T2 : Typically findings are most easily identified in the
retrobulbar intra-orbital segment of the optic nerve,
which appears swollen, with high T2 signal, high T2
signal persists and may be permanent; chronically
the nerve will appear atrophied rather than swollen
-Enhancement of the optic nerve
T2
T2
T2-weighted fat-saturated coronal image shows high signal in
the left optic nerve, consistent with optic neuritis
T1+C fat suppression shows edema and enhancement of the
optic nerve (arrow)
3-Hemangioma (usually cavernous) and Orbital
varices :
Cavernous Hemangioma (adults( :
a) Incidence
b) Radiographic Features
a) Incidence:
-True capsule , benign
-Common benign tumor of the intraconal space
most commonly in the lateral aspect
-Large , dilated venous channels with fibrous
capsule
b) Radiographic Features:
1-CT:
-Well circumscribed , somewhat
hypoattenuating compared to muscle , which
gradually fills in following administration of
contrast
Cavernous malformation in a 46-year-old man with right-sided headache,
sagittal unenhanced CT image demonstrates a round, well-circumscribed
intraconal mass that causes superior displacement of the optic nerve (*)
Cavernous malformation in a 39-year-old woman with painless progressive
proptosis, CT+C shows an enhancing intraconal mass (dot) immediately
adjacent to the lateral rectus muscle (black arrows), the mass is causing
medial deviation of the optic nerve (white arrow)
2-MRI :
*T1 :
Isointense
If areas of thrombosis are present, then hyperintense regions
may be visible
*T2 :
Hyperintense
May have low intensity septation
Pseudocapsule is of low intensity
*T1+C :
Low gradual irregular enhancement with delayed wash out
Large cavernous malformation in a 43-year-old woman with painless proptosis of the right
eye. (a) T1 shows a well-circumscribed, hypointense intraconal lesion causing orbital
expansion (arrows), (b) T1+C fat-suppressed MR image, obtained immediately after the
intravenous administration of a gadolinium-based contrast material, shows inhomogeneous
enhancement predominantly in the center of the lesion (dot). (c) T1+C fat-suppressed MR
image, obtained 1 hour later, shows the characteristic complete enhancement of the lesion
T1
T1
T2
`
T1 + C
N.B. :
Capillary Hemangioma (children ; strawberry nevus) :
no capsule
a) Incidence:
-Represents 10% of all pediatric orbital tumors
)Most common orbital tumor in infancy(
-Infiltrates conal and extraconal spaces
-Grows for <1 year and then typically involutes
-90%are associated with cutaneous angioma
-Can be part of the PHACE-syndrome: Posterior
fossa malformations, Hemangiomas, Arterial
anomalies, Cardiac malformation and Eye
abnormalities such as coloboma, glaucoma
b) Radiographic Features:
1-CT :
-The CT appearance is that of a strongly
enhancing lobulated mass , the enhancement
is typically homogeneous
-On imaging alone , it is difficult to differentiate
these lesions from other vascular lesions of
the orbit thus relying on patients age and
clinical appearance
Capillary hemangioma in a 4-month-old boy with proptosis of the left eye, inferior
displacement of the globe, and a bluish discoloration under the skin, CT+C depicts
an intensely enhancing, irregularly marginated lesion with intraconal (dots) and
extraconal (arrows) components
2-MRI :
*T1 : Hypointense
*T2 : Iso- to hyperintense on with multiple
serpiginous flow voids
*T1+C : Enhancement is homogenous with
gadolinium with marked enhancement of
intra-tumoral vessels
-Its lobulated appearance with thin septa is
characteristic
Typical capillary hemangioma in a 41/2-month-old girl with proptosis of the right eye and
cutaneous hemangioma. (a) T1 demonstrates an extraconal, lobulated, irregularly
marginated lesion with hypointense signal and small serpentine flow voids (arrow), (b) T2 fat-
suppressed image shows the same lesion with slight signal hyperintensity, characteristic fine
internal septa, and flow voids (arrow), (c) T1+C fat-suppressed image demonstrates
homogeneous intense enhancement of the lesion and provides improved delineation of the
flow voids (arrow)
Orbital Varices :
a) Incidence
b) Radiographic Features
a) Incidence :
-Varices are the most common cause of spontaneous
orbital hemorrhage, however, these lesions are
uncommon overall
-They typically manifest in the 2nd or 3rd decade of life,
and they affect males and females equally
-The lesions result from a presumably congenital
weakness in the postcapillary venous wall, a
condition that leads to the proliferation of venous
elements and massive dilatation of the valveless
orbital veins
-Most varices have a large communication with the
venous system and distend during maneuvers that
increase venous pressure
-Patients with orbital varices usually manifest stress
proptosis, which is characterized by a dramatic
protrusion of the eye
Conjunctival orbital varix in a 56-year-old man whose right eyelid bulges when
straining, (a) Photograph obtained with the patient at rest shows a relatively
normal appearance of the upper eyelid, (b) Photograph obtained during the
Valsalva maneuver shows abnormal fullness of the upper eyelid, which appears
bluish. (c) Photograph obtained with the upper eyelid elevated shows the varix
b) Radiographic Features :
1-CT :
-Axial CT images obtained with the patient in the supine position
usually show a normal appearance or only mild enlargement
of the involved veins
-A maneuver that increases venous pressure (scanning in the
prone position, jugular vein compression with a tourniquet, or
the Valsalva maneuver) is required to demonstrate lesion
dispensability
-Varices may be smooth contoured, clublike, triangular, or
segmentally dilated, or they may appear as a tangled mass of
vessels
2-MRI :
*T1 : Varices have hypo- to hyperintense
*T2 : Hyperintense
*T1+C : Usually enhance intensely after the administration of
contrast material
Bilateral orbital varices in a 27-year-old woman with a sensation of eye pressure when
stooping to pick up her child. (a) CT+C obtained with the patient at rest shows
enhanced and slightly elongated soft-tissue lesions (arrows). (b) CTC+C obtained
during the Valsalva maneuver shows the marked distention typical of orbital
varices (arrows)
Orbital varix in a 33-year-old woman with proptosis when straining. (a) T1 obtained
with the patient supine shows a well-circumscribed, triangular, homogeneous,
hypointense, retrobulbar lesion (dot), (b, c) T1+C fat-suppressed images obtained
with the patient supine (b) and prone (c) show homogeneous intense
enhancement of the lesion in b and enlargement and distention of the lesion in c,
features that help confirm the diagnosis of an inferior ophthalmic venous varix
4-Inflammatory Orbital Pseudotumor :
-An enhancing soft tissue mass which may involve the
muscle cone or optic nerve
(See later)
5-Lymphoma and Metastases :
-See later
6-Hematoma :
-Most are intraconal
7-Neurofibroma :
-Rare
c) Arising from the Muscle Cone :
1-Inflammatory Orbital Pseudotumor
2-Dysthyroid Ophthalmopathy
3-Rhabdomyosarcoma
1-Inflammatory Orbital Pseudotumor :
a) Definition
b) Clinical Findings
c) Causes
d) Radiographic Findings
e) Differential Diagnosis
a) Definition :
-Inflammation of orbital soft tissues of unknown
origin
b) Clinical Findings :
-Painful proptosis
-Unilateral
-Steroid responsive
c) Causes :
-Idiopathic
-Systemic disease: sarcoid , endocrine
-Unrecognized focal infections , foreign bodies
d) Radiographic Findings :
-Infiltrating intraconal or extraconal inflammation
presenting as ill-defined infiltrations or less commonly
as a mass
-Typical features :
1-Unilateral
2-Unlike thyroid ophthalmopathy , pesudotumors involve
tendons of muscles (because it is inflammatory disease)
3-Muscle enlargement
-Stranding of orbital fat (inflammation)
-Enlarged lacrimal gland
-May involve orbital apex including superior orbital fissure
(Tolosa-Hunt syndrome)
-MRI :
*T1 : affected region typically iso to hypointense
*T2 : affected region typically hypointense
T1
T2
e) Differential Diagnosis :
Pseudotumor Thyroid
ophthalmopathy
Involvement Unilateral , 85% Bilateral , 85%
Tendon Involved Normal
Muscle Enlargement Enlargement: I > M > S >
L
Fat Inflammation Increased amount of fat
Lacrimal gland Enlarged
Steroids Good response Minimal response
2-Dysthyroid Ophthalmopathy :
a) Definition
b) Clinical Features
c) Grades
d) Radiographic Features
a) Definition :
-Orbital pathology (deposition of glycoproteins
and mucopolysaccharides in the orbit) caused
by long-acting thyroid-stimulating factor
(LATS) in Graves' disease
b) Clinical Features :
-Painless proptosis , patients may be euthyroid ,
hypothyroid or hyperthyroid
c) Grades :
-Grade 1: Lid retraction , stare, lid lag (spasm of
upper lid due to thyrotoxicosis)
-Grade 2: Soft tissue involvement
-Grade 3: Proptosis as determined by
exophthalmometer measurement
-Grade 4: Extraocular muscle involvement ;
affects muscles at midpoint
-Grade 5: Corneal involvement
-Grade 6: Optic nerve involvement: vision loss
d) Radiographic Features :
1-Exophthalmos
2-Muscle involvement :
-Mnemonic for involvement: “I'M SLow”:
Inferior (most common)
Medial
Superior
Lateral
-Enlargement is maximal in the middle of the muscle
and tapers toward the end (infiltrative, not
inflammatory disease)
-Spares tendon insertions
-Often bilateral, symmetrical
3-Other :
-Optic nerve thickening
-Expansion of orbital fat
3-Rhabdomyosarcoma :
a) Incidence
b) Clinical Features
c) Radiographic Features
d) Spread
a) Incidence :
-Most common malignant orbital tumor in
childhood
-Mean age: 7 years
b) Clinical Features :
-Rapid onset of proptosis , usually with lateral
deviation of the eye , as anteromedial or
superomedial points of origin are most
common
-Vision is preserved
c) Radiographic Features :
-Large , aggressive soft tissue mass (intraconal or
extraconal)
-Metastases to lung and cervical nodes
1-CT :
-Are typically homogeneous soft tissue masses
isodense to normal muscle , the mass may extend
into the eyelid or through bone into the paranasal
sinuses (especially the ethmoid sinus) and superiorly
into the anterior cranial fossa
-Following contrast administration, enhancement is
usually present
-18-year-old male
presenting with right
sided proptosis and
history of choroid
plexus papilloma and
seizures
-Axial CT soft tissue
window shows a soft
tissue mass centered in
the right ethmoid sinus
with bony destruction
and invasion into the
right orbit and left
ethmoid sinus
-Coronal CT image
using bone windows
clearly demonstrates
the osseous
destruction and
invasion of the right
medial orbital wall ,
bilateral ethmoid
sinuses , right frontal
sinus , both nasal
cavities , turbinates ,
and nasal septum
-MRI :
*T1
-Low to intermediate intensity , iso intense to
adjacent muscle
*T2
-Usually hyperintense
*T1+C
-Shows considerable enhancement
T1+C with fat saturation
better demonstrate the
enhancing soft tissue mass
and its extension , the mass
invades the medial orbit ,
displacing the right medial
rectus laterally (black arrow)
and causes proptosis (star) ,
on coronal , the mass is again
seen invading the adjacent
sinuses and obstructing the
nasal passage ; however ,
unlike CT , abnormal
enhancement is seen of the
frontal dura (white arrows) ,
the dural thickening and
enhancement are compatible
with direct tumor invasion
d) Spread :
-The tumor is closely related to the paranasal sinuses and
though extension out of the orbit anteriorly and
medially is not uncommon , most tumors lie
preseptally or extraconally and extension backwards
into the brain is not common
-It is important to differentiate between a primary orbital
location and a parameningeal location (defined as a
tumor close enough to the meninges to permit
intracranial spread of tumor) because therapy differs
d) Outside the Muscle Cone (Extrconal) :
1-Orbital Cellulitis and Abscess
2-Lymphoma and Metastases
3-Dermoid and Teratoma
4-Lymphangioma, Lymphohaemangioma
5-Spread from lacrimal gland tumors
Extraconal space
1-Orbital Cellulitis and Abscess :
a) Etiology
b) Radiographic Features
a) Etiology :
-The orbital septum represents a barrier to
infectious spread from anterior to posterior
structures
-Common causes of orbital infection include
spread from infected sinus and trauma
b) Radiographic Features :
-Periorbital cellulitis: soft tissue swelling
-Postseptal infection (true orbital cellulitis) :
*Subperiosteal infiltrate
*Stranding of retrobulbar fat
*Lateral displacement of enlarged medial rectus m.
*Proptosis
Preseptal Cellulitis : CT+C of the orbit shows soft tissue thickening of
the right preseptal region (between arrows) , the retro-orbital fat is
normal (arrowheads)
Periorbital Abscess
Opacification of left paranasal sinuses and left subperiosteal
orbital abscesses of the orbital roof
Orbital Cellulitis
Orbital abscess
Orbital abscess
-Axial image from a CT scan of
the orbits performed with
contrast demonstrates
sinusitis of the left ethmoid
sinus and both sphenoid
sinuses
-There is left sided prespetal
cellulitis anterior to the left
orbit
-Furthermore , there is a left
sided subperiosteal abscess
between the medial wall of
the left orbit and the left
medial rectus muscle
2-Lymphoma and Metastases :
-Lymphoma :
a) Incidence
b) Clinical Features
c) Radiographic Findings
a) Incidence :
-Orbital lymphomas account for only 2% of all
lymphomas but constitute 5-15% of all
extranodal lymphomas and approximately
50% of all primary orbital malignancies in
adults
-Typically patients are between 50 and 70 years
of age
b) Clinical Features :
-Clinical presentation is variable as any part of the orbit can be
involved , in 25% of patients the conjunctiva is involved in
which case patients demonstrate a (salmon red patch) of
swollen conjunctiva
-The majority of patients who do not have conjunctival
involvement (75% of cases) presentation is due to an orbital
mass usually in the superior lateral quadrant in proximity to
the lacrimal gland :
1-Palpable mass
2-Exophthalmos
3-Ptosis
4-Diplopia and abnormal ocular movement
-Generally the mass is painless , however a subset of patients
demonstrate inflammatory-like changes with pain , erythema
and swelling, direct infiltration of the globe and / or optic
nerve is rare and vision is usually preserved
c) Radiographic Findings :
-Soft tissue mass either involving the conjunctiva or
elsewhere in the orbit , frequently in the upper
outer quadrant , closely associated with the
lacrimal gland
-Although the extraocular muscles may be
surrounded or displaced by the mass , they can
usually be identified as not being the origin of the
tumor, helpful in distinguishing lymphomas from
other orbital masses
-Invasion of the globe or optic nerve is rare
a This graph represents the lymphoma distribution at the diagnosis, the
superior (SUP) and lateral (LAT) quadrant is the most common, medial
(MED) and inferior (INF) quadrants are less affected. b Coronal
reconstruction of contrast CT shows bilateral orbital lymphoma: two
homogeneous masses are circled in both superior and lateral quadrants
-CT :
*On non-contrast CT , the mass is usually
homogeneous in density either isodense or
slightly hyperdense when compared to the
extraocular muscles
-Following administration of contrast , only mild
to moderate enhancement is seen similar
again to the extraocular muscles and lacrimal
gland
CT+C obtained in two different patients show typical pattern of orbital involvement by
lymphoma. a There is superior and lateral rectus muscle as well as lacrimal gland
involvement in a coronal reconstruction of CT, it is highlighted the predominant
superior lateral quadrant involved. b CT after contrast shows a slight enhancement
lesion within the eyelid (red arrows)
-MRI :
Similar to intracranial lymphoma , the densely cellular
nature of these tumors with high nucleus-to-cytoplasm
ratio results in relatively specific appearances :
*T1 : Iso to hypointense to muscle
*T2 : Iso to hyperintense to muscle
*T1+C: Homogeneous enhancement
*DWI : Increased signal intensity, i.e. restricted diffusion
*ADC : Reduced values, i.e. restricted diffusion
T1
T2 FS
T1+C
-Metastases :
*Children: Ewing's tumor , neuroblastoma &
leukemia
*Adults:
-Breast , lung , renal cell & prostate carcinoma
-Direct extension of SCC from paranasal sinus
Orbital soft tissue mass leading to bone erosion and intracranial invasion
Breast cancer metastasis in a 56-year-old woman who presented with eye
pain, axial T1+C fat-suppressed shows thickening of the left lateral rectus
muscle (arrows), with involvement of the tendinous insertion, biopsy
results revealed breast cancer, which was undiagnosed at presentation
Metastatic scirrhous breast cancer in a 43-year-old woman with bilateral paradoxical
enophthalmos. (a) Axial T1 shows abnormally hypointense and heterogeneous
bilateral retrobulbar fat (arrows), (b) Axial T1+C fat-suppressed shows patchy
enhancement of the retrobulbar fat (arrows), the left medial rectus is also
thickened because of metastatic involvement (arrowhead)
Melanoma metastatic to the extraocular muscle in a 37-year-old man who
presented with decreased vision, Axial T1 shows a mass of the inferior
rectus muscle that appears isointense (arrow), reflecting its amelanotic
nature
3-Dermoid and Teratoma :
a) Incidence
b) Radiographic Features
a) Incidence :
-Common orbital tumor in childhood
-Age: 1st decade
b) Radiographic Features :
-Low CT attenuation and T1 hyperintensity (fat) are
diagnostic
-Contiguous bone scalloping or sclerosis is common
-May contain debris (inhomogeneous MRI signal)
CT Ruptured Orbital dermoid cyst
CT Ruptured Orbital dermoid cyst
T1
T2
T1+C
4-Lymphangioma & Lymphohaemangioma :
a) Incidence
b) Clinical Picture
c) Radiographic Features
a) Incidence :
-2% of orbital childhood tumors
-Known as venous lymphatic malformation
-Age: 1st decade
-Associated with other lymphangiomas in head
and neck
-Lymphangiomas of the orbit do not involute
spontaneously
b) Clinical Picture :
-Although venous lymphatic malformations may
enlarge slowly, producing progressive
proptosis, restriction of eye movements, or
vertical globe displacement, many manifest
abruptly because of hemorrhage
-Hemorrhages within these malformations often
occur after minor trauma or infection and
occasionally develop spontaneously
Marked right proptosis and superior displacement of the globe, also note
enlarged right orbit compared with left orbit
c) Radiographic Features :
1-CT :
-Variable CT appearance because of different
histologic components (lymphangitic channels ,
vascular stroma)
-Multiloculated
-Rim enhancement
2-MRI :
-MR imaging is the modality of choice for the evaluation of
lymphatic malformations because it best depicts the various
components
-The signal intensity of the lesions depends on the type of fluid
within the cystic components, whether hemorrhage has
occurred, and the age of the hemorrhage
-T1 best depict lymphatic or proteinaceous fluid, and T1-
weighted fat-suppressed images are best for detecting blood
or blood products
-T2 fat-suppressed images provide improved visibility of
components that contain nonhemorrhagic fluid
-T1+C : The use of contrast material does not typically provide
significant additional information, but an absence of
enhancement is indicative of a lymphatic component
-Fluid-fluid levels produced by hemorrhages of various ages
within multiple cysts are almost pathognomonic
Venous lymphatic malformation in an 11-year-old boy with progressive proptosis of the right eye
and lateral displacement of the globe. (a) Axial unenhanced CT shows multiple fluid-fluid
levels (arrows) within a lobulated, predominantly extraconal lesion, features typical of a
lymphatic malformation with an intralesional hemorrhage. (b) Axial T2 fat-suppressed MR
image shows multiple fluid-fluid levels within the lesion, which has both intra- and extraconal
components
Lymphatic malformation (lymphangioma), axial T2 shows a hyperintense,
trans-spatial mass involving the intra- and extra-conal compartments.
Hypointense septations (black arrows) are typical of this lesion. Layering
blood products (white arrows) are variably present, and indicate recent
intralesional bleeding
5-Spread from Lacrimal Gland Tumors :
a) Lymphoid
b) Epithelial tumors
a) Lymphoid , 50% :
-Benign reactive lymphoid hyperplasia
-Lymphoma
b) Epithelial tumors , 50% :
-Benign mixed (pleomorphic) tumor (75% of
epithelial tumors)
-Adenoid cystic carcinoma
-Mucoepidermoid carcinoma
- Malignant mixed tumor
Lymphoma
Pleomorphic adenoma T1
T2
T1+C
T1+C
e) Arising from the Orbital Wall :
1-Metastases and Lymphoma
2-Langerhans Cell Histiocytosis
3-Invasion by ethmoidal or maxillary antral
tumors
4-Ethmoidal Mucocoele
5-Spread of Ethmoidal or Antral infection
Langerhans cell histiocytosis :
-Occurs in children with peak incidence at age 1
and 4
-Osteolytic mass like lesion located in the
superolateral orbit in pediatric patients with
varibale degree of proptosis and inflammatory
signs
-The diagnosis should be confirmed by
histopathology and this will show the
presence of langerhans cells
Coronal CT scan showing an osteolytic right
superolateral orbit lesion
**N.B. : Erdeheim-Chester Disease :
-Lipid granulomatosis with retroorbital
deposition, xanthelasma of eyelids, skeletal
manifestations (medullary sclerosis, cortical
thickening), and cardiopulmonary
manifestations due to cholesterol emboli
-Rare
**N.B. Ocular Manifestations of Phakomatosis:
a) NF1 :
1-Lisch nodules
2-Sphenoid bone dysplasia
3-Choroidal hamartoma
4-Optic glioma
5-Plexiform neurofibroma
b) NF2 :
1-Meningioma
2-Schwannoma
c) Sturge-Weber :
1-Choroidal angioma
2-Buphthalmos
3-Glaucoma
d) Tuberous sclerosis :
-Retinal astrocytic hamartoma
e) Von Hippel-Lindau (VHL) :
-Retinal angioma
3-Orbital Trauma
1-Anterior Chamber Injuries
2-Injuries to the Lens
3-Open-Globe Injuries
4-Ocular Detachments
5-Intraorbital Foreign Bodies
6-Carotid Cavernous Fistula
7-Optic Nerve Injuries
Unenhanced axial CT scan of a healthy 32-year-old man. AC = anterior
chamber, L = lens, ON= optic nerve, PS = posterior segment (vitreous
humor)
1-Anterior Chamber Injuries :
-Posttraumatic bleeding into the anterior chamber, or
traumatic hyphema, is caused by the disruption of
blood vessels in the iris or ciliary body
-The blood extravasates into the anterior chamber,
where a blood-fluid level is usually readily
appreciated at clinical examination
-CT images may show increased attenuation in the
anterior chamber, but the primary role of imaging is
to evaluate for other related injuries, corneal
lacerations are usually associated with a penetrating
trauma
Photograph shows posttraumatic hyphema in a 25-year-old man
-After a laceration, the iris may prolapse into the
anterior chamber, thereby closing the defect
-On CT images, the key finding is decreased volume of
the anterior chamber, which appears as a diminished
anterior-posterior dimension compared to that of
the normal globe
-Anterior subluxation of the lens is an important mimic
of corneal laceration, to accurately diagnose a
corneal laceration, the radiologist needs to not only
assess the volume of the anterior chamber, but to
also determine the position of the lens
Corneal laceration in a 22-year-old man, unenhanced axial CT scan shows
decreased volume of the anterior chamber, a finding that confirms the
diagnosis
2-Injuries to the Lens :
-Blunt trauma to the eye results in deformation of the
globe and typically displaces the cornea and anterior
sclera posteriorly
-Deformation of the globe causes the zonular
attachments that hold the lens in position to stretch
and potentially tear; tearing of the zonular
attachments may be either partial or complete
-After a complete disruption, the lens may dislocate
posteriorly or, less commonly, anteriorly
-Posterior dislocations are more common, in part
because the iris impedes anterior subluxation of the
lens
-After complete posterior subluxation, the lens usually
lies within the dependent portion of the vitreous
humor
-If there is only partial disruption of the zonular fibers,
the intact fibers retain one margin of the lens in its
normal position just behind the iris while the
remainder of the lens is angled posteriorly and
projects into the vitreous humor
-Trauma is the most common cause of lens dislocation;
it accounts for more than half of all cases
-An important pitfall for the radiologist to avoid is that
of the spontaneous dislocated lens, nontraumatic
lens dislocation may be associated with systemic
connective tissue disorders, such as Marfan
syndrome, Ehlers-Danlos syndrome, and
homocystinuria
-If the dislocation is bilateral, the radiologist should
suspect an underlying systemic condition
Unenhanced axial CT scan of a 29-year-old man shows complete
subluxation of the lens
Unenhanced axial CT scan of a 49-year-old woman shows a
partially dislocated lens
3-Open-Globe Injuries :
A ruptured globe or an open-globe injury must
be assessed in any patient who has suffered
orbital trauma, because open-globe injuries
are a major cause of blindness
-In blunt traumas, ruptures are most common at
the insertions of the intraocular muscles
where the sclera is thinnest
-If intraocular contents are visualized at clinical
examination, a diagnosis of a ruptured globe
can be obvious, otherwise, CT scanning is the
test of choice
-Blow-out fractures can occur through one or
more of the walls of the orbit :
1-Inferior (floor), most common, orbital fat
prolapses into the maxillary sinus and may be
joined by prolapse of the inferior rectus
muscle
2-Medial wall (lamina papyracea) , 2nd
most
common, occurring through the lamina
papyracea, orbital fat and the medial rectus
muscle may prolapse into the ethmoid air cells
3-Superior (roof)
4-Lateral wall
Inferior
Medial
-CT findings suggestive of an open-globe injury include
a change in globe contour, an obvious loss of
volume, the “flat tire” sign, scleral discontinuity,
intraocular air, and intraocular foreign bodies
-Posterior movement of the lens enlarges or deepens
the anterior chamber, a deep anterior chamber has
been described as a clinical finding in patients with a
ruptured globe and can also be a useful clue on CT
image
-There are several non- traumatic causes for an altered
globe contour that may mimic an open-globe injury,
including congenital deformities at the optic nerve
head (eg, coloboma) and acquired contour
deformities, which may involve any portion of the
globe (eg, staphyloma), a posttraumatic orbital
hematoma may deform the globe, mimicking an
open-globe injury
75-year-old man with right globe rupture, axial unenhanced CT scan shows eyelid
hematoma (thick straight arrow), lens dislocation (arrowhead), vitreous
hemorrhage (thin straight arrow), and irregular scleral wall (curved arrow)
80-year-old man with left eyeball rupture. Axial unenhanced CT scan shows
gas (short arrow) and metallic foreign body (long arrow) in ruptured globe
34-year-old man with left eyeball rupture, axial unenhanced CT scan shows shallow
anterior chamber depth (ACD) of left globe (single arrow), ACD is evaluated at
level of equator of globe from posterior surface of cornea to anterior surface of
lens (parallel lines) and is measured along line perpendicular to long axis of lens
(double arrows)
Ruptured globe in a 43-year-old man. Unenhanced axial CT scan
shows the flat tire sign, which indicates an open-globe injury
Ruptured globe in a 35-year-old man. Unenhanced axial CT scan
shows extrusion of the lens
Open-globe injury in a 20-year-old man who presented with orbital trauma
that may or may not have been an open-globe injury, unenhanced axial CT
scan shows increased depth of the anterior chamber, which helps confirm
the diagnosis of an open-globe injury
Congenital coloboma in a 53-year-old man who presented with decreased
visual acuity, unenhanced axial CT scan shows a deformity at the left optic
nerve head
Globe deformity in a 58-year-old man with facial fractures. (a) Unenhanced axial CT
scan shows deformity of the globe, but it is unclear if there is an open-globe injury,
after the facial fractures were internally fixed and the soft-tissue swelling
decreased, the globe appeared normal, (b) Unenhanced axial CT scan shows no
open-globe injury, a finding that suggests that the globe deformity was secondary
to posttraumatic hematoma and soft-tissue swelling, which subsequently resolved
4-Ocular Detachments :
-The three layers of the globe can separate,
thereby creating potential spaces between the
layers
-The retina is the inner, sensory layer of the
globe
-The retina is very firmly attached along its
anterior margin, called the ora serrata, and
posteriorly at the optic disc
-The remainder of its surface is only loosely
attached to the choroid
-Retinal detachment occurs when the retina is
separated from the choroid
- Common causes of retinal detachment include
both inflammatory and neoplastic etiologies
-Retinal detachment may also occur secondary
to trauma, particularly if there is a break in the
retina, which can allow vitreous fluid to pass
into the subretinal space
-Collections of subretinal fluid assume a
characteristic V-shaped configuration, with
the apex at the optic disk and the extremities
at the ora serrata
Photograph of a gross pathologic specimen (hematoxylineosin stain) shows a
retinal detachment, note the characteristic V-shaped configuration caused
by tethering of the retina near the optic nerve head (arrow), ON = optic
nerve
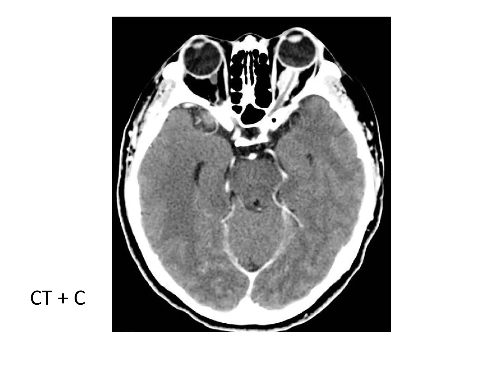
Axial CT shows hemorrhagic subretinal fluid in another patient
with retinal detachment (arrow)
-The choroid is part of the middle layer of the globe
-It extends from the optic nerve head to the ora serrata
and is tethered to the sclera by arteries and veins,
which supply this vascular layer
-Choroidal detachments are caused by an accumulation
of fluid in the potential suprachoroidal space that lies
between the choroid and the sclera
-Ocular hypotony is the underlying cause of choroidal
detachment; hypotony may be the result of an
inflammatory disease, accidental perforation, or
surgery, decreased ocular pressure results in
decreased pressure in the suprachoroidal space,
transudate may accumulate in the suprachoroidal
space, resulting in a serous choroidal detachment
Unenhanced axial (a) and coronal (b) CT images of a 40-year-old woman
show a right serous choroidal detachment secondary to ocular hypotony
-If there is associated tearing of blood vessels, a
hemorrhagic choroidal detachment may occur
-Suprachoroidal fluid collections usually assume
a biconvex or lentiform configuration that
extends from the level of the vortex veins to
the ora serrata
-Posttraumatic bleeding can also occur within
the vitreous humor, or it may occur in the
layer between the vitreous and the retina
Unenhanced axial CT scan of an 84-year-old woman shows a
posttraumatic, hemorrhagic choroidal detachment
Unenhanced CT scan of an 81-year-old woman receiving anticoagulation
therapy, who presented after a trauma, shows an extensive vitreous
hemorrhage
5-Intraorbital Foreign Bodies :
-The detection and localization of intraorbital foreign
bodies is an important task for the radiologist
-CT is sensitive and is usually the first imaging test
performed
-MR imaging may be of value, particularly for detecting
nonmetallic foreign bodies, however, a metallic
foreign body must be definitively ruled out before
MR imaging is performed, failure to detect a metallic
foreign body before performing MR imaging may
result in blindness
-Fortunately, CT is a very sensitive imaging modality
that can demonstrate metal fragments less than 1
mm in size
-CT is most sensitive in detection of glass objects
-Unlike metallic and glass foreign bodies, wooden
foreign bodies usually appear hypoattenuating on CT
images; because of their low attenuation, they can
be mistaken for air, the radiologist should suspect a
wood or organic foreign body if the low-attenuation
collection seen on CT images displays a geometric
margin
-MR imaging may demonstrate wooden foreign bodies
in cases where CT results have been either negative
or equivocal, T2 or T1+C performed with fat
suppression can demonstrate an intraorbital foreign
body by enhancing the inflammatory response seen
surrounding that foreign body
-Penetrating injury from a tree branch in a 7-year-old boy, the branch was removed, and unenhanced CT was
performed to evaluate for any remaining foreign bodies
(a) CT scan shows only a low-attenuation defect; no definite foreign body is seen, three days later, the eye
became infected, and contrast-enhanced CT was performed
(b) CT scan shows soft-tissue swelling and abnormal enhancement consistent with the infection, but no
definite foreign body is seen
(c, d) Coronal unenhanced T2 inversion recovery (c) and coronal T1+C fat-saturated MR (d) show the infection
surrounding a low-signal-intensity foreign body, the MR images were obtained on the same date as the CT
images, during surgery, a small piece of wood was removed
6-Carotid Cavernous Fistula :
-The presence of posttraumatic diplopia
associated with proptosis and chemosis
suggests a diagnosis of carotid cavernous
fistula, objective pulsatile tinnitus may also be
present
-A tear in the cavernous internal carotid artery
allows arterial blood to enter the cavernous
sinus, thereby increasing the sinus pressure
and reversing the flow in the venous
tributaries
-On unenhanced CT scans of the orbit, a dilated
superior ophthalmic vein is usually seen
-Isolated dilatation of the superior ophthalmic
vein is a potential diagnostic pitfall; this
finding has been reported in multiple other
conditions, including cavernous sinus
thrombosis, venous varix, Graves disease, and
as a normal venous variant
-The diagnosis of carotid cavernous fistula can
be confirmed with CT angiography, or more
definitively with conventional angiography
Carotid cavernous fistula in a 16-year-old boy who presented with exophthalmos and
objective pulsatile tinnitus after trauma, (a) Axial CTA shows dilatation of the
periorbital veins and the left superior ophthalmic vein and a dilated left cavernous
sinus, (b) Sagittal CTA shows an apparent communication between the cavernous
segment of the ICA and the cavernous sinus (arrow), (c) Lateral view from left
internal carotid angiography shows the carotid cavernous fistula
7-Optic Nerve Injuries :
-Optic nerve injuries can result from either direct or
indirect trauma
-Rarely, a blunt orbital injury may fracture the optic
canal and lacerate the optic nerve
-More commonly, a definitive fracture is not found, in
these cases, the optic nerve or its vascular supply is
torn, thrombosed, or compressed
-In patients with a rapid posttraumatic decrease in
visual acuity, high-resolution CT of the orbital apex
should be performed to evaluate for possible
fracture and to guide surgical intervention, if there
are no contraindications to MR imaging, T2
prolongation may be visualized as increased signal
intensity in the injured optic nerve
Optic nerve injury in a 33-year-old man who presented with multiple facial
fractures and decreasing vision in his right eye, axial unenhanced CT scan
shows a right orbital apex fracture with a bone fragment impinging on the
optic nerve
Diagnostic Imaging of Orbital Lesions

Diagnostic Imaging of Orbital Lesions

  • 1.
  • 2.
    Mohamed Zaitoun Assistant Lecturer-DiagnosticRadiology Department , Zagazig University Hospitals Egypt FINR (Fellowship of Interventional Neuroradiology)-Switzerland zaitoun82@gmail.com
  • 5.
    Knowing as muchas possible about your enemy precedes successful battle and learning about the disease process precedes successful management
  • 6.
    Orbit 1-Anatomy of theOrbit 2-Orbital Mass Lesions 3-Orbital Trauma
  • 7.
    1-Anatomy of theOrbit : -The orbit is a pyramidal space that is formed by seven bones -The globe lies in the anterior orbit; the globe and its contents are contained by three layers : 1-The sclera and cornea form the fibrous outermost layer 2-The vascular uveal tract, including the ciliary body anteriorly and the choroid posteriorly, forms the middle layer 3-The retina forms the innermost sensory layer
  • 8.
    Photomicrograph (original magnification,× 80; hematoxylineosin stain) shows the three layers of the globe
  • 9.
    -The lens isconnected to the sclera by radially oriented zonular fibers -The lens divides the globe into an anterior segment, which contains the aqueous humor, and the posterior segment, which contains the more viscous vitreous humor -The iris further subdivides the anterior segment into the anterior chamber and the posterior chamber -Posterior to the globe, the six extraocular muscles and their intermuscular fascial membranes form an intraorbital conical structure -Veins and lymphatics lie within the orbital fat of the muscle cone -Centrally, the optic nerve sheath passes from the posterior globe to the brain -The optic nerve sheath is an extension of the dura mater and contains the ophthalmic artery, the optic nerve, and small veins
  • 10.
    Unenhanced axial CTscan of a healthy 32-year-old man. AC = anterior chamber, L = lens, ON= optic nerve, PS = posterior segment (vitreous humor)
  • 11.
    -Orbital Structures : 1-Globe(lens , anterior chamber , posterior chamber , vitreous , sclerouveal coat( 2-Intraconal , extraconal fat 3-Optic nerve and sheath 4-Ophthalmic artery and vein 5-Rectus muscles
  • 12.
    Normal orbital anatomy,axial CT image (left) with color overlays shows the orbit divided into intraocular and extraocular spaces by the muscle cone and their relationships to the globe, coronal CT images (right) with color overlays show the configuration of the extraocular muscles, vascular structures, and lacrimal gland
  • 14.
    Orbital Spaces: -Intraconal space: spaceinside the rectus muscle pyramid -Extraconal space: space outside the rectus muscle pyramid -Preseptal space -Postseptal space -Lacrimal fossa
  • 17.
    The intraconal spaceis located within the muscle cone It contains the optic nerve , vessels and cranial nerves III , IV and VI
  • 18.
  • 21.
    Orbital Septum : -Representscondensed orbital rim periosteum -Attaches to outer margins of bony orbit and deep tissues of lids - Separates all the structures in the orbit from soft tissues in the face (preseptal versus postseptal)
  • 23.
    2-Orbital Mass Lesions a)Within or involving the globe b) Within the muscle cone (Intraconal) c) Arising from the muscle cone (conal) d) Outside the muscle cone (Extrconal) e) Arising from the orbital wall
  • 24.
    a) Within orinvolving the Globe : 1-Retinoblastoma 2-Melanoma 3-Detachment and Choroidal Effusion
  • 26.
    1-Retinoblastoma : a) Incidence b)Types c) Clinical Picture d) Radiographic Features e) Differential Diagnosis
  • 27.
    a) Incidence : -Themost important ocular tumor of childhood -20-40% of patients have bilateral tumors and this is most often the AD type -5-10% of patients have a family history of retinoblastoma -Children with the hereditary form are at risk of developing second non-ocular malignancies either within or out of the radiation field , osteosarcoma is the commonest tumor
  • 28.
    b) Types : -Fourtypes have been recognized : 1-Those that are non-inheritable 2-Those that are inherited as an AD trait 3-Those that are associated with a partial deletion of chromosome 13 4-Bilateral retinoblastoma and pineal tumor (trilateral retinoblastoma)
  • 29.
  • 30.
    c) Clinical Picture: -Most children present with leukokoria or white pupillary reflex
  • 31.
    d) Radiographic Features: 1-CT : -Intraocular high density (calcification , hemorrhage) mass -Over 90% of tumors show calcification on CT which may be small , large , single or multiple -Diffuse infiltrating tumors are less likely to show calcification -Intraocular calcification in children under 3 years of age is highly suggestive of retinoblastoma
  • 32.
    -In absence ofcalcification in retinoblastoma , suspect other mass lesions : 1-Persistent Hyperplastic Primary Vitreous (PHPV) : -Congenital persistence of remnants of hyaloid vessels -Small globe with a shadow of retrolental mass -Unilateral
  • 33.
    PFV in a3-year-old boy, (a) Axial CT image shows uniform high attenuation of the vitreous. (b) Axial T2 shows the hyaloid canal (arrow), a characteristic finding of PFV. (c) T1+C shows enhancement of the retrolental primary vitreous (arrow)
  • 34.
  • 35.
  • 36.
    2-Coat’s Disease : -Rare -Nota congenital lesion -Age : 6-8 years , more in males -No retrolental mass -Unilateral retinal telangiectasia >> massive subretinal exudate >> Retinal Detachment 3-Retinopathy of Prematurity (Retrolental Fibropalsia): -Bilateral -History of prematurity & oxygen therapy
  • 37.
    Coat’s disease, (a,b) Axial unenhanced (a) and contrast-enhanced (b) CT images of the right orbit show an intraocular high-attenuation lesion, no calcification or enhancement is seen
  • 38.
    Coat’s disease, (a,b) Axial unenhanced (a) and contrast-enhanced fat-saturated (b) T1 show the intraocular lesion, which is homogeneous with intermediate signal intensity, no enhancement is seen after administration of contrast material
  • 39.
    -The non-calcified componentof the tumor is moderately dense on CT , enhances poorly or not at all and may be difficult to differentiate from the associated retinal detachment and subretinal effusion -The presence of enhancement excludes subretinal exudate and haemorrhage while marked enhancement suggests persistent hyperplastic primary vitreous (PHPV)
  • 44.
    2-MRI : *T1 :The tumor is slightly/moderately hyperintense *T2 : Moderately low intensity *T1+C : The tumor enhances
  • 45.
  • 46.
  • 47.
  • 48.
    e) Differential Diagnosis: 1-Persistent Hyperplastic Primary Vitrous 2-Coat’s Disease 3-Retinopathy of prematurity 4-Toxocariasis (close contact with dogs) 5-Chronic Retinal Detachment 6-Retinal Astrocytoma (T.S.) 7-Retinal Dysplasia
  • 49.
    -N.B. : DifferentialDiagnosis of Intraorbital Calcification : a) Retina : 1-Drusen 1% population at optic disc (benign) 2-Retinoblastoma 3-Retinocytoma 4-Tuberous sclerosis (TS): "giant drusen", astrocytic hamartomas 5-Epiretinal membranes 6-Retrolental fibroplasia (retinopathy of prematurity), rare calcification 7-Coats disease
  • 50.
  • 51.
    Retinal astrocytic hamartomain a patient with tuberous sclerosis, axial unenhanced CT image shows a high-attenuation focal intraocular mass (arrowhead) in the right globe
  • 52.
    b) Retinochoroidal : -Chorioretinitis: most commonly following Toxoplasmosis c) Choroidal : 1-Choroidal osteoma : more common in patients with tuberous sclerosis 2-Choroidal angioma : occasionally calcify
  • 53.
  • 54.
    d) Sclerochoroidal : 1-Metastaticcalcification : -Abnormal calcium and phosphate metabolism a) Hyperparathyroidism b) Pseudohypoparathyroidism c) Renal tubular acidosis 2-Dystrophic calcification : -Abnormal tissues become calcified, despite normal calcium and phosphate metabolism -Seen occasionally in elderly caucasians, most frequently men 3-Phthisis bulbi : -Is the end result of major injury to the eye (trauma, infection) with a shrunken calcified 'lump' remaining 4-Scleral calcific plaques (senile)
  • 55.
    Phthisis bulbi Senilescleral calcific plaque
  • 56.
    2-Melanoma : a) Incidence b)Radiographic Features c) Prognosis
  • 57.
    a) Incidence : -Mostcommon (75%) ocular malignancy in adults -Arises from pigmented choroidal layer , retinal detachment is common
  • 58.
    Diagram illustrates howa melanotic lesion causes retinal detachment, as melanoma breaks through the choroid, it separates the retina from the choroid
  • 59.
    b) Radiographic Features: 1-CT : -Thickening or irregularity of choroid (localized, polypoid, or flat) -Exophytic , biconvex mass lesion related to choroid -Usually unilateral, posterior location -Retinal detachment, common -Contrast enhancement 2-MRI : -T1 hyperintense , T2 hypointense
  • 60.
    Unenhanced, axial CTimage of the right orbit showing a choroidal melanoma
  • 61.
    Choroidal melanoma discoveredat fundoscopy in a 55-year-old woman, axial CT+C shows a subtle enhancing nodule at the level of the optic disk (arrow)
  • 62.
    (a) T1 showsthat the mass (*) is mildly hyperintense, (b) T2 shows that the tumor (*) is hypointense, (c) T1+C shows that the tumor (*) enhances moderately, these findings are compatible with a typical malignant melanoma of the choroid
  • 63.
    Choroidal melanoma (a)T1 shows a rounded hyperintense mass (arrow) in the right posterior globe, (b) T2 , the lesion appears hypointense
  • 64.
    c) Prognosis : -Poorprognostic indicators : 1-Large tumor size 2-Heavy pigmentation 3-Infiltration of the angles , optic nerve , sclera and ciliary body
  • 65.
    3-Detachment and ChoroidalEffusion : -May mimic melanoma -Retinal detachment with hemorrhage is seen mostly in adults with diabetes mellitus and hypertension -In young infants it can be seen as part of a shaken baby syndrome -In choroidal detachment recent intraocular surgery is the most common association followed by trauma
  • 68.
    **N.B. : Otherglobe lesions 1-Drusen 2-Globe-shape Abnormalities 3-Leukokoria
  • 69.
    1-Drusen : -Focal calcificationin hyaline bodies in the optic nerve head -Usually bilateral and asymptomatic -Blurred disk margins may be mistaken for papilledema
  • 73.
    2-Globe-shape Abnormalities : a)Coloboma : -Focal outpouching involving retina, choroid, iris -Caused by deficient closure of fetal optic fissure -Located in region of optic disc -Associated with : Morning glory anomaly Microphthalmos with cyst
  • 74.
    -Coloboma can bepart of the CHARGE syndrome : Coloboma Heart anomalies Choanal Atresia Retardation of growth and development Genital and Ear anomalies -Coloboma can also be part of the COACH syndrome: Cerebellar vermis hypoplasia Oligophrenia (MR) Congenital Ataxia Coloboma Hepatic fibrosis
  • 78.
    b) Staphyloma : -Acquireddefect of globe wall with protrusion of choroid or sclera -As opposed to coloboma, staphyloma defect is located off- center c) Axial Myopia : -AP elongation but no protrusion d) Buphthalmos : -Congenital glaucoma; anterior ocular chamber drainage problem
  • 79.
  • 80.
    3-Leukokoria : -Leukokoria refersto a white pupil -Clinical, not a radiologic finding -Underlying causes : 1-Retinoblastoma 2-PHPV 3-Congenital cataract 4-Toxocariasis 5-Other : -Sclerosing endophthalmitis -Coats' disease -Retrolental fibroplasia -Trauma -Chronic retinal detachment
  • 82.
    b) Within theMuscle Cone (Intraconal) : 1-Optic nerve Glioma 2-Optic nerve Meningioma 3-Hemangioma (mostly cavernous) and Orbital varices 4-Inflammatory Orbital Pseudotumor 5-Lymphoma and Metastases 6-Hematoma 7-Neurofibroma
  • 83.
    The intraconal spaceis located within the muscle cone It contains the optic nerve , vessels and cranial nerves III , IV and VI
  • 84.
    1-Optic nerve Glioma: a) Incidence b) Clinical Picture c) Radiographic Features d) Differential Diagnosis
  • 85.
    a) Incidence : -Mostcommon cause of diffuse optic nerve enlargement especially in childhood ( 1st decade of life ) -In neurofibromatosis (NF1) the disease may be bilateral b) Clinical Picture : -Visual loss and painless with preservation of eye movements because the lesion is intraconal
  • 86.
    c) Radiographic Features: 1-CT : -The optic nerve is variably enlarged and the mass may either be fusiform or exophytic in appearance , additionally the nerve may be elongated with kinking or buckling -Enlargement of optical canal ; >1 mm difference between left and right is abnormal -Lower CT density than meningioma -Contrast enhancement variable -Calcifications rare (but common in meningioma)
  • 89.
    2-MRI : *T1 :Enlargement, often iso to hypointense compared to the contralateral side *T2 : Hyperintense centrally , low signal at the periphery representing the dura *T1+C : Enhancement is variable -Tumor extension best detected by MRI: chiasm → optic tracts → lateral geniculate body → optic radiation
  • 90.
    Optic nerve gliomain a 6-year-old girl with proptosis. (a) Axial short inversion time inversion-recovery MR image shows an expansile mass that involves the right optic nerve, the hyperintense rim at the tumor periphery (arrowheads) reflects leptomeningeal infiltration. (b) Axial T1+C fat-suppressed image shows minimal enhancement in the mass (arrow), the nerve itself cannot be separated from the tumor
  • 91.
    Bilateral optic nervegliomas in a 25-year-old man with NF-1., axial T1 shows the tortuous and kinked appearance of the bilateral optic nerves (arrows)
  • 92.
    Coronal T1 revealscircumscribed enlargement of the optic nerve with an isointense signal
  • 93.
    T1 reveals bilateral, fusiform enlargement of the optic nerves (arrows) in a 14-year-old patient with neurofibromatosis type 1 , consistent with bilateral optic nerve gliomas
  • 94.
    T1 in a46-year-old man demonstrates enlargement of both optic tracts (arrowheads) and the optic chiasm (arrow)
  • 95.
    T2 reveals hyperintensesignaling of the mass that is contained within the dura of the optic nerve
  • 96.
    T2 demonstrates bilateraloptic nerve gliomas in the setting of NF1
  • 97.
    FLAIR , thefusiform image of the optic nerve tumor is seen , also here evident are several enhancing lesions in the midbrain and cerebellum, consistent with the classic hamartomatous CNS neurofibromas of NF1
  • 98.
    T2 in a46-year-old man demonstrates a mass in the lateral geniculate nucleus of the thalamus resulting from contiguous extension of the patient's known optic nerve glioma
  • 99.
    T1+C shows enhancementof the fusiform , kinked shaped optic nerve tumor
  • 100.
    T1+C with fatsaturation reveals diffuse intense enhancement of the intraorbital mass , the lesion is confined to the orbit
  • 101.
    T1+C with fatsaturation in a 6-year-old girl demonstrates enhancement of the intracranial optic nerve (arrow) which is slightly expanded
  • 102.
    d) Differential Diagnosis: -From optic nerve meningioma 1-Age : -Glioma , 50 % < 5 years -Meningioma , middle aged women 2-Laterality : -Glioma , +/- bilateral -Meningioma , unilateral 3-Hyperostosis : -In meningioma
  • 103.
    4-Optic canal : -Widenedin 90 % in glioma and in 10 % in meningioma 5-Calcification : -Glioma : rare without prior radiotherapy -Meningioma : Calcification 6-Contrast : -Glioma : variable contrast with mottled lucencies due to mucinous degeneration -Meningioma : diffuse homogenous enhancement
  • 104.
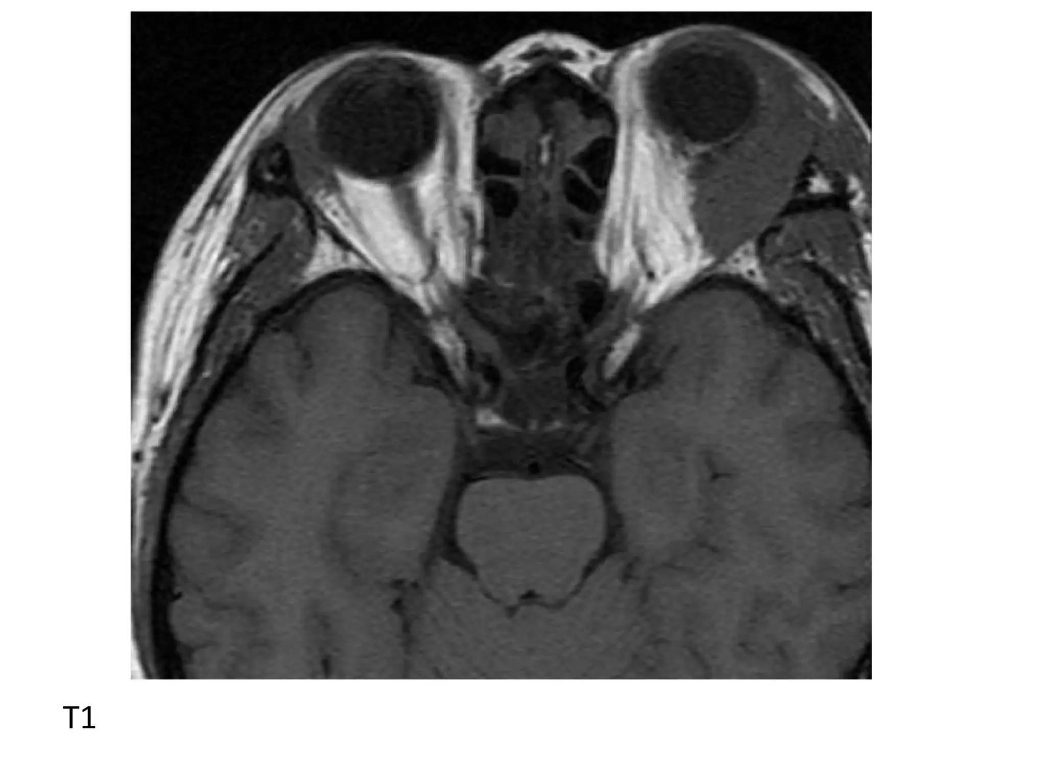
    2-Optic nerve sheathMeningioma : a) Incidence b) Clinical Features c) Radiographic Features d) Differential Diagnosis
  • 105.
    a) Incidence : -Opticnerve sheath meningiomas arise from arachnoid rests in meninges covering the optic nerve -Age: 4th decade (80% female) ; younger patients typically have NF -These lesions are almost always unilateral with the exception of NF2 patients which may be unlucky enough to have bilateral tumours
  • 106.
    b) Clinical Features: 1-Visual loss (95 % of cases) 2-Proptosis
  • 107.
    c) Radiographic Features: 1-CT : a) Mass b) Enhancement c) Others
  • 108.
    a) Mass : -Tubular, 60% -Fusiform , surrounding the optic nerve , 25% -Eccentric , 15% -Calcification (common)
  • 109.
  • 110.
    b) Enhancement : -Intensecontrast enhancement -Linear bands of enhancement (nerve within tumor) : tram track sign (enhancing mass around the optic nerve , the optic nerve itself is not enlarged and is nonenhancing ; mass, such as a arising from the optic nerve sheath c) Others : Sphenoid bone and / or optical canal hyperostosis
  • 111.
    Optic nerve sheathmeningioma incidentally found in a 50-year-old woman, axial CT+C shows the tram-track configuration of an enhancing tumor (arrows) surrounding the optic nerve, the mass extends to the orbital apex, the optic nerve itself can be separated from the tumor
  • 112.
    Optic nerve tram-tracksign, T1+C (A) shows an enhancing mass (thick small arrows) around the left optic nerve , the optic nerve (thin long arrow) itself is not enlarged and is nonenhancing, this is suggestive of a mass ; meningioma arising from the optic nerve sheath, T2 in a different patient (B) shows fusiform enlargement of the left optic nerve itself (arrows) , in a case of optic nerve glioma
  • 113.
  • 115.
  • 116.
    *MRI : -T1 :Isointense to somewhat hypointense compared to the optic nerve -T2 - Isointense to somewhat hyperintense compared to the optic nerve -T1+C : Homogeneous enhancement d) Differential Diagnosis : -See before
  • 117.
    Optic nerve sheathmeningioma in a 62-year-old patient who presented with blurry vision of the right eye, axial T1+C fat-suppressed shows an avidly enhancing tumor along both sides of the right optic nerve, the intraoptic and intracanalicular portions of the optic nerve are involved (arrows), as well as the prechiasmatic portion of the intracranial optic nerve (arrowhead). * = normal left intracranial optic nerve
  • 118.
    -N.B. Differential Diagnosisof Orbital Hyperostosis : 1-Meningioma 2-Sclerotic metastases 3-FD 4-Paget’s Disease 5-Osteopetrosis 6-Chronic Osteomyelitis 7-Lacrimal Gland Tumor 8-LCH 9-Postradiotherapy
  • 119.
    -N.B. Optic Neuritis a)Causes b) Clinical Picture c) Radiographic Findings
  • 120.
    a) Causes : 1-Multiplesclerosis (most common cause; occurs in 80% of MS patients) Devic's syndrome: optic neuritis (bilateral) with transverse myelitis (MS or ADEM may be the cause) 2-Ischemia 3-Vasculitis
  • 121.
    b) Clinical Picture: 1-Visual loss 2-Pain on eye movement 3-Afferent papillary defects
  • 122.
    c) Radiographic Findings: -Fat-suppressed T2 or post gadolinium with fat suppression best for diagnosis -T2 : Typically findings are most easily identified in the retrobulbar intra-orbital segment of the optic nerve, which appears swollen, with high T2 signal, high T2 signal persists and may be permanent; chronically the nerve will appear atrophied rather than swollen -Enhancement of the optic nerve
  • 123.
  • 124.
  • 125.
    T2-weighted fat-saturated coronalimage shows high signal in the left optic nerve, consistent with optic neuritis
  • 126.
    T1+C fat suppressionshows edema and enhancement of the optic nerve (arrow)
  • 127.
    3-Hemangioma (usually cavernous)and Orbital varices : Cavernous Hemangioma (adults( : a) Incidence b) Radiographic Features
  • 128.
    a) Incidence: -True capsule, benign -Common benign tumor of the intraconal space most commonly in the lateral aspect -Large , dilated venous channels with fibrous capsule
  • 129.
    b) Radiographic Features: 1-CT: -Wellcircumscribed , somewhat hypoattenuating compared to muscle , which gradually fills in following administration of contrast
  • 130.
    Cavernous malformation ina 46-year-old man with right-sided headache, sagittal unenhanced CT image demonstrates a round, well-circumscribed intraconal mass that causes superior displacement of the optic nerve (*)
  • 131.
    Cavernous malformation ina 39-year-old woman with painless progressive proptosis, CT+C shows an enhancing intraconal mass (dot) immediately adjacent to the lateral rectus muscle (black arrows), the mass is causing medial deviation of the optic nerve (white arrow)
  • 136.
    2-MRI : *T1 : Isointense Ifareas of thrombosis are present, then hyperintense regions may be visible *T2 : Hyperintense May have low intensity septation Pseudocapsule is of low intensity *T1+C : Low gradual irregular enhancement with delayed wash out
  • 137.
    Large cavernous malformationin a 43-year-old woman with painless proptosis of the right eye. (a) T1 shows a well-circumscribed, hypointense intraconal lesion causing orbital expansion (arrows), (b) T1+C fat-suppressed MR image, obtained immediately after the intravenous administration of a gadolinium-based contrast material, shows inhomogeneous enhancement predominantly in the center of the lesion (dot). (c) T1+C fat-suppressed MR image, obtained 1 hour later, shows the characteristic complete enhancement of the lesion
  • 138.
  • 139.
  • 140.
  • 141.
  • 142.
    N.B. : Capillary Hemangioma(children ; strawberry nevus) : no capsule a) Incidence: -Represents 10% of all pediatric orbital tumors )Most common orbital tumor in infancy( -Infiltrates conal and extraconal spaces -Grows for <1 year and then typically involutes -90%are associated with cutaneous angioma -Can be part of the PHACE-syndrome: Posterior fossa malformations, Hemangiomas, Arterial anomalies, Cardiac malformation and Eye abnormalities such as coloboma, glaucoma
  • 143.
    b) Radiographic Features: 1-CT: -The CT appearance is that of a strongly enhancing lobulated mass , the enhancement is typically homogeneous -On imaging alone , it is difficult to differentiate these lesions from other vascular lesions of the orbit thus relying on patients age and clinical appearance
  • 144.
    Capillary hemangioma ina 4-month-old boy with proptosis of the left eye, inferior displacement of the globe, and a bluish discoloration under the skin, CT+C depicts an intensely enhancing, irregularly marginated lesion with intraconal (dots) and extraconal (arrows) components
  • 145.
    2-MRI : *T1 :Hypointense *T2 : Iso- to hyperintense on with multiple serpiginous flow voids *T1+C : Enhancement is homogenous with gadolinium with marked enhancement of intra-tumoral vessels -Its lobulated appearance with thin septa is characteristic
  • 146.
    Typical capillary hemangiomain a 41/2-month-old girl with proptosis of the right eye and cutaneous hemangioma. (a) T1 demonstrates an extraconal, lobulated, irregularly marginated lesion with hypointense signal and small serpentine flow voids (arrow), (b) T2 fat- suppressed image shows the same lesion with slight signal hyperintensity, characteristic fine internal septa, and flow voids (arrow), (c) T1+C fat-suppressed image demonstrates homogeneous intense enhancement of the lesion and provides improved delineation of the flow voids (arrow)
  • 147.
    Orbital Varices : a)Incidence b) Radiographic Features
  • 148.
    a) Incidence : -Varicesare the most common cause of spontaneous orbital hemorrhage, however, these lesions are uncommon overall -They typically manifest in the 2nd or 3rd decade of life, and they affect males and females equally -The lesions result from a presumably congenital weakness in the postcapillary venous wall, a condition that leads to the proliferation of venous elements and massive dilatation of the valveless orbital veins -Most varices have a large communication with the venous system and distend during maneuvers that increase venous pressure -Patients with orbital varices usually manifest stress proptosis, which is characterized by a dramatic protrusion of the eye
  • 149.
    Conjunctival orbital varixin a 56-year-old man whose right eyelid bulges when straining, (a) Photograph obtained with the patient at rest shows a relatively normal appearance of the upper eyelid, (b) Photograph obtained during the Valsalva maneuver shows abnormal fullness of the upper eyelid, which appears bluish. (c) Photograph obtained with the upper eyelid elevated shows the varix
  • 150.
    b) Radiographic Features: 1-CT : -Axial CT images obtained with the patient in the supine position usually show a normal appearance or only mild enlargement of the involved veins -A maneuver that increases venous pressure (scanning in the prone position, jugular vein compression with a tourniquet, or the Valsalva maneuver) is required to demonstrate lesion dispensability -Varices may be smooth contoured, clublike, triangular, or segmentally dilated, or they may appear as a tangled mass of vessels 2-MRI : *T1 : Varices have hypo- to hyperintense *T2 : Hyperintense *T1+C : Usually enhance intensely after the administration of contrast material
  • 151.
    Bilateral orbital varicesin a 27-year-old woman with a sensation of eye pressure when stooping to pick up her child. (a) CT+C obtained with the patient at rest shows enhanced and slightly elongated soft-tissue lesions (arrows). (b) CTC+C obtained during the Valsalva maneuver shows the marked distention typical of orbital varices (arrows)
  • 152.
    Orbital varix ina 33-year-old woman with proptosis when straining. (a) T1 obtained with the patient supine shows a well-circumscribed, triangular, homogeneous, hypointense, retrobulbar lesion (dot), (b, c) T1+C fat-suppressed images obtained with the patient supine (b) and prone (c) show homogeneous intense enhancement of the lesion in b and enlargement and distention of the lesion in c, features that help confirm the diagnosis of an inferior ophthalmic venous varix
  • 153.
    4-Inflammatory Orbital Pseudotumor: -An enhancing soft tissue mass which may involve the muscle cone or optic nerve (See later) 5-Lymphoma and Metastases : -See later 6-Hematoma : -Most are intraconal 7-Neurofibroma : -Rare
  • 154.
    c) Arising fromthe Muscle Cone : 1-Inflammatory Orbital Pseudotumor 2-Dysthyroid Ophthalmopathy 3-Rhabdomyosarcoma
  • 156.
    1-Inflammatory Orbital Pseudotumor: a) Definition b) Clinical Findings c) Causes d) Radiographic Findings e) Differential Diagnosis
  • 157.
    a) Definition : -Inflammationof orbital soft tissues of unknown origin b) Clinical Findings : -Painful proptosis -Unilateral -Steroid responsive c) Causes : -Idiopathic -Systemic disease: sarcoid , endocrine -Unrecognized focal infections , foreign bodies
  • 158.
    d) Radiographic Findings: -Infiltrating intraconal or extraconal inflammation presenting as ill-defined infiltrations or less commonly as a mass -Typical features : 1-Unilateral 2-Unlike thyroid ophthalmopathy , pesudotumors involve tendons of muscles (because it is inflammatory disease) 3-Muscle enlargement -Stranding of orbital fat (inflammation) -Enlarged lacrimal gland -May involve orbital apex including superior orbital fissure (Tolosa-Hunt syndrome) -MRI : *T1 : affected region typically iso to hypointense *T2 : affected region typically hypointense
  • 162.
  • 163.
  • 164.
    e) Differential Diagnosis: Pseudotumor Thyroid ophthalmopathy Involvement Unilateral , 85% Bilateral , 85% Tendon Involved Normal Muscle Enlargement Enlargement: I > M > S > L Fat Inflammation Increased amount of fat Lacrimal gland Enlarged Steroids Good response Minimal response
  • 165.
    2-Dysthyroid Ophthalmopathy : a)Definition b) Clinical Features c) Grades d) Radiographic Features
  • 166.
    a) Definition : -Orbitalpathology (deposition of glycoproteins and mucopolysaccharides in the orbit) caused by long-acting thyroid-stimulating factor (LATS) in Graves' disease b) Clinical Features : -Painless proptosis , patients may be euthyroid , hypothyroid or hyperthyroid
  • 167.
    c) Grades : -Grade1: Lid retraction , stare, lid lag (spasm of upper lid due to thyrotoxicosis) -Grade 2: Soft tissue involvement -Grade 3: Proptosis as determined by exophthalmometer measurement -Grade 4: Extraocular muscle involvement ; affects muscles at midpoint -Grade 5: Corneal involvement -Grade 6: Optic nerve involvement: vision loss
  • 169.
    d) Radiographic Features: 1-Exophthalmos 2-Muscle involvement : -Mnemonic for involvement: “I'M SLow”: Inferior (most common) Medial Superior Lateral -Enlargement is maximal in the middle of the muscle and tapers toward the end (infiltrative, not inflammatory disease) -Spares tendon insertions -Often bilateral, symmetrical 3-Other : -Optic nerve thickening -Expansion of orbital fat
  • 175.
    3-Rhabdomyosarcoma : a) Incidence b)Clinical Features c) Radiographic Features d) Spread
  • 176.
    a) Incidence : -Mostcommon malignant orbital tumor in childhood -Mean age: 7 years
  • 177.
    b) Clinical Features: -Rapid onset of proptosis , usually with lateral deviation of the eye , as anteromedial or superomedial points of origin are most common -Vision is preserved
  • 178.
    c) Radiographic Features: -Large , aggressive soft tissue mass (intraconal or extraconal) -Metastases to lung and cervical nodes 1-CT : -Are typically homogeneous soft tissue masses isodense to normal muscle , the mass may extend into the eyelid or through bone into the paranasal sinuses (especially the ethmoid sinus) and superiorly into the anterior cranial fossa -Following contrast administration, enhancement is usually present
  • 179.
    -18-year-old male presenting withright sided proptosis and history of choroid plexus papilloma and seizures -Axial CT soft tissue window shows a soft tissue mass centered in the right ethmoid sinus with bony destruction and invasion into the right orbit and left ethmoid sinus
  • 180.
    -Coronal CT image usingbone windows clearly demonstrates the osseous destruction and invasion of the right medial orbital wall , bilateral ethmoid sinuses , right frontal sinus , both nasal cavities , turbinates , and nasal septum
  • 181.
    -MRI : *T1 -Low tointermediate intensity , iso intense to adjacent muscle *T2 -Usually hyperintense *T1+C -Shows considerable enhancement
  • 182.
    T1+C with fatsaturation better demonstrate the enhancing soft tissue mass and its extension , the mass invades the medial orbit , displacing the right medial rectus laterally (black arrow) and causes proptosis (star) , on coronal , the mass is again seen invading the adjacent sinuses and obstructing the nasal passage ; however , unlike CT , abnormal enhancement is seen of the frontal dura (white arrows) , the dural thickening and enhancement are compatible with direct tumor invasion
  • 183.
    d) Spread : -Thetumor is closely related to the paranasal sinuses and though extension out of the orbit anteriorly and medially is not uncommon , most tumors lie preseptally or extraconally and extension backwards into the brain is not common -It is important to differentiate between a primary orbital location and a parameningeal location (defined as a tumor close enough to the meninges to permit intracranial spread of tumor) because therapy differs
  • 184.
    d) Outside theMuscle Cone (Extrconal) : 1-Orbital Cellulitis and Abscess 2-Lymphoma and Metastases 3-Dermoid and Teratoma 4-Lymphangioma, Lymphohaemangioma 5-Spread from lacrimal gland tumors
  • 185.
  • 186.
    1-Orbital Cellulitis andAbscess : a) Etiology b) Radiographic Features
  • 187.
    a) Etiology : -Theorbital septum represents a barrier to infectious spread from anterior to posterior structures -Common causes of orbital infection include spread from infected sinus and trauma
  • 189.
    b) Radiographic Features: -Periorbital cellulitis: soft tissue swelling -Postseptal infection (true orbital cellulitis) : *Subperiosteal infiltrate *Stranding of retrobulbar fat *Lateral displacement of enlarged medial rectus m. *Proptosis
  • 190.
    Preseptal Cellulitis :CT+C of the orbit shows soft tissue thickening of the right preseptal region (between arrows) , the retro-orbital fat is normal (arrowheads)
  • 191.
  • 192.
    Opacification of leftparanasal sinuses and left subperiosteal orbital abscesses of the orbital roof
  • 193.
  • 194.
  • 195.
  • 196.
    -Axial image froma CT scan of the orbits performed with contrast demonstrates sinusitis of the left ethmoid sinus and both sphenoid sinuses -There is left sided prespetal cellulitis anterior to the left orbit -Furthermore , there is a left sided subperiosteal abscess between the medial wall of the left orbit and the left medial rectus muscle
  • 197.
    2-Lymphoma and Metastases: -Lymphoma : a) Incidence b) Clinical Features c) Radiographic Findings
  • 198.
    a) Incidence : -Orbitallymphomas account for only 2% of all lymphomas but constitute 5-15% of all extranodal lymphomas and approximately 50% of all primary orbital malignancies in adults -Typically patients are between 50 and 70 years of age
  • 199.
    b) Clinical Features: -Clinical presentation is variable as any part of the orbit can be involved , in 25% of patients the conjunctiva is involved in which case patients demonstrate a (salmon red patch) of swollen conjunctiva -The majority of patients who do not have conjunctival involvement (75% of cases) presentation is due to an orbital mass usually in the superior lateral quadrant in proximity to the lacrimal gland : 1-Palpable mass 2-Exophthalmos 3-Ptosis 4-Diplopia and abnormal ocular movement -Generally the mass is painless , however a subset of patients demonstrate inflammatory-like changes with pain , erythema and swelling, direct infiltration of the globe and / or optic nerve is rare and vision is usually preserved
  • 201.
    c) Radiographic Findings: -Soft tissue mass either involving the conjunctiva or elsewhere in the orbit , frequently in the upper outer quadrant , closely associated with the lacrimal gland -Although the extraocular muscles may be surrounded or displaced by the mass , they can usually be identified as not being the origin of the tumor, helpful in distinguishing lymphomas from other orbital masses -Invasion of the globe or optic nerve is rare
  • 202.
    a This graphrepresents the lymphoma distribution at the diagnosis, the superior (SUP) and lateral (LAT) quadrant is the most common, medial (MED) and inferior (INF) quadrants are less affected. b Coronal reconstruction of contrast CT shows bilateral orbital lymphoma: two homogeneous masses are circled in both superior and lateral quadrants
  • 203.
    -CT : *On non-contrastCT , the mass is usually homogeneous in density either isodense or slightly hyperdense when compared to the extraocular muscles -Following administration of contrast , only mild to moderate enhancement is seen similar again to the extraocular muscles and lacrimal gland
  • 204.
    CT+C obtained intwo different patients show typical pattern of orbital involvement by lymphoma. a There is superior and lateral rectus muscle as well as lacrimal gland involvement in a coronal reconstruction of CT, it is highlighted the predominant superior lateral quadrant involved. b CT after contrast shows a slight enhancement lesion within the eyelid (red arrows)
  • 206.
    -MRI : Similar tointracranial lymphoma , the densely cellular nature of these tumors with high nucleus-to-cytoplasm ratio results in relatively specific appearances : *T1 : Iso to hypointense to muscle *T2 : Iso to hyperintense to muscle *T1+C: Homogeneous enhancement *DWI : Increased signal intensity, i.e. restricted diffusion *ADC : Reduced values, i.e. restricted diffusion
  • 207.
  • 208.
  • 209.
  • 210.
    -Metastases : *Children: Ewing'stumor , neuroblastoma & leukemia *Adults: -Breast , lung , renal cell & prostate carcinoma -Direct extension of SCC from paranasal sinus
  • 211.
    Orbital soft tissuemass leading to bone erosion and intracranial invasion
  • 212.
    Breast cancer metastasisin a 56-year-old woman who presented with eye pain, axial T1+C fat-suppressed shows thickening of the left lateral rectus muscle (arrows), with involvement of the tendinous insertion, biopsy results revealed breast cancer, which was undiagnosed at presentation
  • 213.
    Metastatic scirrhous breastcancer in a 43-year-old woman with bilateral paradoxical enophthalmos. (a) Axial T1 shows abnormally hypointense and heterogeneous bilateral retrobulbar fat (arrows), (b) Axial T1+C fat-suppressed shows patchy enhancement of the retrobulbar fat (arrows), the left medial rectus is also thickened because of metastatic involvement (arrowhead)
  • 214.
    Melanoma metastatic tothe extraocular muscle in a 37-year-old man who presented with decreased vision, Axial T1 shows a mass of the inferior rectus muscle that appears isointense (arrow), reflecting its amelanotic nature
  • 215.
    3-Dermoid and Teratoma: a) Incidence b) Radiographic Features
  • 216.
    a) Incidence : -Commonorbital tumor in childhood -Age: 1st decade b) Radiographic Features : -Low CT attenuation and T1 hyperintensity (fat) are diagnostic -Contiguous bone scalloping or sclerosis is common -May contain debris (inhomogeneous MRI signal)
  • 219.
    CT Ruptured Orbitaldermoid cyst
  • 220.
    CT Ruptured Orbitaldermoid cyst
  • 221.
  • 222.
  • 223.
  • 224.
    4-Lymphangioma & Lymphohaemangioma: a) Incidence b) Clinical Picture c) Radiographic Features
  • 225.
    a) Incidence : -2%of orbital childhood tumors -Known as venous lymphatic malformation -Age: 1st decade -Associated with other lymphangiomas in head and neck -Lymphangiomas of the orbit do not involute spontaneously
  • 226.
    b) Clinical Picture: -Although venous lymphatic malformations may enlarge slowly, producing progressive proptosis, restriction of eye movements, or vertical globe displacement, many manifest abruptly because of hemorrhage -Hemorrhages within these malformations often occur after minor trauma or infection and occasionally develop spontaneously
  • 227.
    Marked right proptosisand superior displacement of the globe, also note enlarged right orbit compared with left orbit
  • 228.
    c) Radiographic Features: 1-CT : -Variable CT appearance because of different histologic components (lymphangitic channels , vascular stroma) -Multiloculated -Rim enhancement
  • 229.
    2-MRI : -MR imagingis the modality of choice for the evaluation of lymphatic malformations because it best depicts the various components -The signal intensity of the lesions depends on the type of fluid within the cystic components, whether hemorrhage has occurred, and the age of the hemorrhage -T1 best depict lymphatic or proteinaceous fluid, and T1- weighted fat-suppressed images are best for detecting blood or blood products -T2 fat-suppressed images provide improved visibility of components that contain nonhemorrhagic fluid -T1+C : The use of contrast material does not typically provide significant additional information, but an absence of enhancement is indicative of a lymphatic component -Fluid-fluid levels produced by hemorrhages of various ages within multiple cysts are almost pathognomonic
  • 230.
    Venous lymphatic malformationin an 11-year-old boy with progressive proptosis of the right eye and lateral displacement of the globe. (a) Axial unenhanced CT shows multiple fluid-fluid levels (arrows) within a lobulated, predominantly extraconal lesion, features typical of a lymphatic malformation with an intralesional hemorrhage. (b) Axial T2 fat-suppressed MR image shows multiple fluid-fluid levels within the lesion, which has both intra- and extraconal components
  • 231.
    Lymphatic malformation (lymphangioma),axial T2 shows a hyperintense, trans-spatial mass involving the intra- and extra-conal compartments. Hypointense septations (black arrows) are typical of this lesion. Layering blood products (white arrows) are variably present, and indicate recent intralesional bleeding
  • 232.
    5-Spread from LacrimalGland Tumors : a) Lymphoid b) Epithelial tumors
  • 233.
    a) Lymphoid ,50% : -Benign reactive lymphoid hyperplasia -Lymphoma b) Epithelial tumors , 50% : -Benign mixed (pleomorphic) tumor (75% of epithelial tumors) -Adenoid cystic carcinoma -Mucoepidermoid carcinoma - Malignant mixed tumor
  • 234.
  • 238.
  • 239.
  • 240.
  • 241.
  • 242.
    e) Arising fromthe Orbital Wall : 1-Metastases and Lymphoma 2-Langerhans Cell Histiocytosis 3-Invasion by ethmoidal or maxillary antral tumors 4-Ethmoidal Mucocoele 5-Spread of Ethmoidal or Antral infection
  • 243.
    Langerhans cell histiocytosis: -Occurs in children with peak incidence at age 1 and 4 -Osteolytic mass like lesion located in the superolateral orbit in pediatric patients with varibale degree of proptosis and inflammatory signs -The diagnosis should be confirmed by histopathology and this will show the presence of langerhans cells
  • 245.
    Coronal CT scanshowing an osteolytic right superolateral orbit lesion
  • 247.
    **N.B. : Erdeheim-ChesterDisease : -Lipid granulomatosis with retroorbital deposition, xanthelasma of eyelids, skeletal manifestations (medullary sclerosis, cortical thickening), and cardiopulmonary manifestations due to cholesterol emboli -Rare
  • 248.
    **N.B. Ocular Manifestationsof Phakomatosis: a) NF1 : 1-Lisch nodules 2-Sphenoid bone dysplasia 3-Choroidal hamartoma 4-Optic glioma 5-Plexiform neurofibroma b) NF2 : 1-Meningioma 2-Schwannoma
  • 249.
    c) Sturge-Weber : 1-Choroidalangioma 2-Buphthalmos 3-Glaucoma d) Tuberous sclerosis : -Retinal astrocytic hamartoma e) Von Hippel-Lindau (VHL) : -Retinal angioma
  • 250.
    3-Orbital Trauma 1-Anterior ChamberInjuries 2-Injuries to the Lens 3-Open-Globe Injuries 4-Ocular Detachments 5-Intraorbital Foreign Bodies 6-Carotid Cavernous Fistula 7-Optic Nerve Injuries
  • 251.
    Unenhanced axial CTscan of a healthy 32-year-old man. AC = anterior chamber, L = lens, ON= optic nerve, PS = posterior segment (vitreous humor)
  • 252.
    1-Anterior Chamber Injuries: -Posttraumatic bleeding into the anterior chamber, or traumatic hyphema, is caused by the disruption of blood vessels in the iris or ciliary body -The blood extravasates into the anterior chamber, where a blood-fluid level is usually readily appreciated at clinical examination -CT images may show increased attenuation in the anterior chamber, but the primary role of imaging is to evaluate for other related injuries, corneal lacerations are usually associated with a penetrating trauma
  • 253.
    Photograph shows posttraumatichyphema in a 25-year-old man
  • 254.
    -After a laceration,the iris may prolapse into the anterior chamber, thereby closing the defect -On CT images, the key finding is decreased volume of the anterior chamber, which appears as a diminished anterior-posterior dimension compared to that of the normal globe -Anterior subluxation of the lens is an important mimic of corneal laceration, to accurately diagnose a corneal laceration, the radiologist needs to not only assess the volume of the anterior chamber, but to also determine the position of the lens
  • 255.
    Corneal laceration ina 22-year-old man, unenhanced axial CT scan shows decreased volume of the anterior chamber, a finding that confirms the diagnosis
  • 256.
    2-Injuries to theLens : -Blunt trauma to the eye results in deformation of the globe and typically displaces the cornea and anterior sclera posteriorly -Deformation of the globe causes the zonular attachments that hold the lens in position to stretch and potentially tear; tearing of the zonular attachments may be either partial or complete -After a complete disruption, the lens may dislocate posteriorly or, less commonly, anteriorly -Posterior dislocations are more common, in part because the iris impedes anterior subluxation of the lens
  • 257.
    -After complete posteriorsubluxation, the lens usually lies within the dependent portion of the vitreous humor -If there is only partial disruption of the zonular fibers, the intact fibers retain one margin of the lens in its normal position just behind the iris while the remainder of the lens is angled posteriorly and projects into the vitreous humor -Trauma is the most common cause of lens dislocation; it accounts for more than half of all cases -An important pitfall for the radiologist to avoid is that of the spontaneous dislocated lens, nontraumatic lens dislocation may be associated with systemic connective tissue disorders, such as Marfan syndrome, Ehlers-Danlos syndrome, and homocystinuria -If the dislocation is bilateral, the radiologist should suspect an underlying systemic condition
  • 258.
    Unenhanced axial CTscan of a 29-year-old man shows complete subluxation of the lens
  • 259.
    Unenhanced axial CTscan of a 49-year-old woman shows a partially dislocated lens
  • 260.
    3-Open-Globe Injuries : Aruptured globe or an open-globe injury must be assessed in any patient who has suffered orbital trauma, because open-globe injuries are a major cause of blindness -In blunt traumas, ruptures are most common at the insertions of the intraocular muscles where the sclera is thinnest -If intraocular contents are visualized at clinical examination, a diagnosis of a ruptured globe can be obvious, otherwise, CT scanning is the test of choice
  • 261.
    -Blow-out fractures canoccur through one or more of the walls of the orbit : 1-Inferior (floor), most common, orbital fat prolapses into the maxillary sinus and may be joined by prolapse of the inferior rectus muscle 2-Medial wall (lamina papyracea) , 2nd most common, occurring through the lamina papyracea, orbital fat and the medial rectus muscle may prolapse into the ethmoid air cells 3-Superior (roof) 4-Lateral wall
  • 262.
  • 263.
  • 264.
    -CT findings suggestiveof an open-globe injury include a change in globe contour, an obvious loss of volume, the “flat tire” sign, scleral discontinuity, intraocular air, and intraocular foreign bodies -Posterior movement of the lens enlarges or deepens the anterior chamber, a deep anterior chamber has been described as a clinical finding in patients with a ruptured globe and can also be a useful clue on CT image -There are several non- traumatic causes for an altered globe contour that may mimic an open-globe injury, including congenital deformities at the optic nerve head (eg, coloboma) and acquired contour deformities, which may involve any portion of the globe (eg, staphyloma), a posttraumatic orbital hematoma may deform the globe, mimicking an open-globe injury
  • 265.
    75-year-old man withright globe rupture, axial unenhanced CT scan shows eyelid hematoma (thick straight arrow), lens dislocation (arrowhead), vitreous hemorrhage (thin straight arrow), and irregular scleral wall (curved arrow)
  • 266.
    80-year-old man withleft eyeball rupture. Axial unenhanced CT scan shows gas (short arrow) and metallic foreign body (long arrow) in ruptured globe
  • 267.
    34-year-old man withleft eyeball rupture, axial unenhanced CT scan shows shallow anterior chamber depth (ACD) of left globe (single arrow), ACD is evaluated at level of equator of globe from posterior surface of cornea to anterior surface of lens (parallel lines) and is measured along line perpendicular to long axis of lens (double arrows)
  • 268.
    Ruptured globe ina 43-year-old man. Unenhanced axial CT scan shows the flat tire sign, which indicates an open-globe injury
  • 269.
    Ruptured globe ina 35-year-old man. Unenhanced axial CT scan shows extrusion of the lens
  • 270.
    Open-globe injury ina 20-year-old man who presented with orbital trauma that may or may not have been an open-globe injury, unenhanced axial CT scan shows increased depth of the anterior chamber, which helps confirm the diagnosis of an open-globe injury
  • 271.
    Congenital coloboma ina 53-year-old man who presented with decreased visual acuity, unenhanced axial CT scan shows a deformity at the left optic nerve head
  • 272.
    Globe deformity ina 58-year-old man with facial fractures. (a) Unenhanced axial CT scan shows deformity of the globe, but it is unclear if there is an open-globe injury, after the facial fractures were internally fixed and the soft-tissue swelling decreased, the globe appeared normal, (b) Unenhanced axial CT scan shows no open-globe injury, a finding that suggests that the globe deformity was secondary to posttraumatic hematoma and soft-tissue swelling, which subsequently resolved
  • 273.
    4-Ocular Detachments : -Thethree layers of the globe can separate, thereby creating potential spaces between the layers -The retina is the inner, sensory layer of the globe -The retina is very firmly attached along its anterior margin, called the ora serrata, and posteriorly at the optic disc -The remainder of its surface is only loosely attached to the choroid
  • 274.
    -Retinal detachment occurswhen the retina is separated from the choroid - Common causes of retinal detachment include both inflammatory and neoplastic etiologies -Retinal detachment may also occur secondary to trauma, particularly if there is a break in the retina, which can allow vitreous fluid to pass into the subretinal space -Collections of subretinal fluid assume a characteristic V-shaped configuration, with the apex at the optic disk and the extremities at the ora serrata
  • 275.
    Photograph of agross pathologic specimen (hematoxylineosin stain) shows a retinal detachment, note the characteristic V-shaped configuration caused by tethering of the retina near the optic nerve head (arrow), ON = optic nerve
  • 277.
    Axial CT showshemorrhagic subretinal fluid in another patient with retinal detachment (arrow)
  • 279.
    -The choroid ispart of the middle layer of the globe -It extends from the optic nerve head to the ora serrata and is tethered to the sclera by arteries and veins, which supply this vascular layer -Choroidal detachments are caused by an accumulation of fluid in the potential suprachoroidal space that lies between the choroid and the sclera -Ocular hypotony is the underlying cause of choroidal detachment; hypotony may be the result of an inflammatory disease, accidental perforation, or surgery, decreased ocular pressure results in decreased pressure in the suprachoroidal space, transudate may accumulate in the suprachoroidal space, resulting in a serous choroidal detachment
  • 280.
    Unenhanced axial (a)and coronal (b) CT images of a 40-year-old woman show a right serous choroidal detachment secondary to ocular hypotony
  • 281.
    -If there isassociated tearing of blood vessels, a hemorrhagic choroidal detachment may occur -Suprachoroidal fluid collections usually assume a biconvex or lentiform configuration that extends from the level of the vortex veins to the ora serrata -Posttraumatic bleeding can also occur within the vitreous humor, or it may occur in the layer between the vitreous and the retina
  • 282.
    Unenhanced axial CTscan of an 84-year-old woman shows a posttraumatic, hemorrhagic choroidal detachment
  • 283.
    Unenhanced CT scanof an 81-year-old woman receiving anticoagulation therapy, who presented after a trauma, shows an extensive vitreous hemorrhage
  • 284.
    5-Intraorbital Foreign Bodies: -The detection and localization of intraorbital foreign bodies is an important task for the radiologist -CT is sensitive and is usually the first imaging test performed -MR imaging may be of value, particularly for detecting nonmetallic foreign bodies, however, a metallic foreign body must be definitively ruled out before MR imaging is performed, failure to detect a metallic foreign body before performing MR imaging may result in blindness -Fortunately, CT is a very sensitive imaging modality that can demonstrate metal fragments less than 1 mm in size
  • 285.
    -CT is mostsensitive in detection of glass objects -Unlike metallic and glass foreign bodies, wooden foreign bodies usually appear hypoattenuating on CT images; because of their low attenuation, they can be mistaken for air, the radiologist should suspect a wood or organic foreign body if the low-attenuation collection seen on CT images displays a geometric margin -MR imaging may demonstrate wooden foreign bodies in cases where CT results have been either negative or equivocal, T2 or T1+C performed with fat suppression can demonstrate an intraorbital foreign body by enhancing the inflammatory response seen surrounding that foreign body
  • 286.
    -Penetrating injury froma tree branch in a 7-year-old boy, the branch was removed, and unenhanced CT was performed to evaluate for any remaining foreign bodies (a) CT scan shows only a low-attenuation defect; no definite foreign body is seen, three days later, the eye became infected, and contrast-enhanced CT was performed (b) CT scan shows soft-tissue swelling and abnormal enhancement consistent with the infection, but no definite foreign body is seen (c, d) Coronal unenhanced T2 inversion recovery (c) and coronal T1+C fat-saturated MR (d) show the infection surrounding a low-signal-intensity foreign body, the MR images were obtained on the same date as the CT images, during surgery, a small piece of wood was removed
  • 287.
    6-Carotid Cavernous Fistula: -The presence of posttraumatic diplopia associated with proptosis and chemosis suggests a diagnosis of carotid cavernous fistula, objective pulsatile tinnitus may also be present -A tear in the cavernous internal carotid artery allows arterial blood to enter the cavernous sinus, thereby increasing the sinus pressure and reversing the flow in the venous tributaries
  • 288.
    -On unenhanced CTscans of the orbit, a dilated superior ophthalmic vein is usually seen -Isolated dilatation of the superior ophthalmic vein is a potential diagnostic pitfall; this finding has been reported in multiple other conditions, including cavernous sinus thrombosis, venous varix, Graves disease, and as a normal venous variant -The diagnosis of carotid cavernous fistula can be confirmed with CT angiography, or more definitively with conventional angiography
  • 289.
    Carotid cavernous fistulain a 16-year-old boy who presented with exophthalmos and objective pulsatile tinnitus after trauma, (a) Axial CTA shows dilatation of the periorbital veins and the left superior ophthalmic vein and a dilated left cavernous sinus, (b) Sagittal CTA shows an apparent communication between the cavernous segment of the ICA and the cavernous sinus (arrow), (c) Lateral view from left internal carotid angiography shows the carotid cavernous fistula
  • 290.
    7-Optic Nerve Injuries: -Optic nerve injuries can result from either direct or indirect trauma -Rarely, a blunt orbital injury may fracture the optic canal and lacerate the optic nerve -More commonly, a definitive fracture is not found, in these cases, the optic nerve or its vascular supply is torn, thrombosed, or compressed -In patients with a rapid posttraumatic decrease in visual acuity, high-resolution CT of the orbital apex should be performed to evaluate for possible fracture and to guide surgical intervention, if there are no contraindications to MR imaging, T2 prolongation may be visualized as increased signal intensity in the injured optic nerve
  • 291.
    Optic nerve injuryin a 33-year-old man who presented with multiple facial fractures and decreasing vision in his right eye, axial unenhanced CT scan shows a right orbital apex fracture with a bone fragment impinging on the optic nerve