INTERPRETATION OF MRI
BRAIN
• MRI:
Magnetic
Resonance
Imaging
•MRI IS ENTIRELY
BASED ON
CALCULATIONS
Describing Radiological Terms
• USG(ultrasonography)- ECHOGENICITY
• CT(Computed tomography) scan- DENSITY
• MRI(magnetic resonance imaging)- INTENSITY
• Hyper- white/ bright
• Hypo- black/ dark
History
• Paul Lauterbur and Peter Mansfield won the Nobel
Prize in Physiology/Medicine (2003) for their
pioneering work in MRI
• 1940s –Felix Bloch &E. Purcell: discovered just after
world war 2 n named Nuclear Magnetic Resonance n
they got noble prize 1952
• 1990s - Discovery that MRI can be used to distinguish
oxygenated blood from deoxygenated blood.
Leads to Functional Magnetic Resonance imaging
(fMRI)
• 1977 – Mansfield: first image of human anatomy, first
echo planar image
The first Human MRI scan was performed on 3rd july 1977 by Raymond
Damadian, Minkoff and Goldsmith.
Advantages of MRI over CT in
brain imaging
1. MRI does not use ionizing radiation, and is
thus preferred over CT in children and
patients requiring multiple imaging
examinations.
2. MRI has a much greater range of available
soft tissue contrast, depicts anatomy in
greater detail, and is more sensitive and
specific for abnormalities within the brain
parenchyma itself.
3. images may be acquired in multiple
planes (Axial, Sagittal, Coronal, or
Oblique) without repositioning the patient.
CT images have recently been able to
take reconstructed images in multiple
planes with the same spatial resolution
4. MRI scanning can be performed in any
imaging plane without having to physically
move the patient.
• MRI allows the evaluation of structures
that may be obscured by artifacts from
bone in CT images
MRI contrast agents have a considerably
smaller risk of causing potentially lethal
allergic reaction.
Indications Of MRI
• Multiple Sclerosis (MS)
• Primary Tumor Assessment and / or Metastatic disease.
• AIDS (toxoplasmosis)
• Infarction [ Cerebral Vascular Accident (CVA) vs.
transient Ischaemic Attack (TIA) ]
• Hemorrhage
• Hearing Loss
• Visual Disturbances
• Infection trauma
• Unexplained Neurological Symptoms or deficit
• Mapping of brain function
Patient preparation
• Before preparation, complete history should be checked.
If indication is unclear, the referring physician should be
contacted.
• All metallic objects should be removed from pts body to
ensure that artifacts are not created during scanning.
• Disposable ear plugs should be provided to the patient to
devoid the patients from repeated noises during
scanning.
• The patient should be instructed to avoid coughing,
wriggling or producing other large motion during or in
between the scans.
• Ensure the IV line intact prior to the pre contrast .
• Pts who present with claustrophobic features may
require sedation.
MAGNETIC FIELD STRENGTH
• S.I. unit of Magnetic Field is Tesla.
• Old unit was Gauss.
• 1 Tesla = 10,000 Gauss
• Earth’s Magnetic Field ~ 0.7 x 10(-4) Tesla
• Refrigerator Magnet ~ 5 x 10(-3) Tesla
• 0.3 to 3T MRI using now a days
• MRI is based on the principle of nuclear magnetic
resonance (NMR)
• Two basic principles of NMR
1. Atoms with an odd number of protons have spin
2. A moving electric charge, be it positive or
negative, produces a magnetic field
• Body has many such atoms that can act as good
MR nuclei (1H, 13C, 19F, 23Na)
• MRI utilizes this magnetic spin property of
protons of hydrogen to produce images.
BASIC PRINCIPLE OF MRI
Why Hydrogen ions are used in MRI?
1. Hydrogen nucleus has an unpaired proton which
is positively charged
2. Every hydrogen nucleus is a tiny magnet which
produces small but noticeable magnetic field
3. Hydrogen is abundant in the body in the form
of water and fat
4. Essentially all MRI is hydrogen (proton) imaging
• In our natural state Hydrogen ions in body are
spinning in a haphazard fashion, and cancel all
the magnetism.
When an external magnetic field is applied
protons in the body align in one direction.
• TE (Echo Time) : Time interval in which signals are
measured after RF excitation
• TR (Repetition Time) : The time between two
excitations is called repetition time.
• By varying the TR and TE one can obtain T1WI and
T2WI.
• In general a short TR (<1000ms) and short TE (<45
ms) scan is T1WI.
• Long TR (>2000ms) and long TE (>45ms) scan is
T2WI.
TR & TE
BASIC MR BRAIN SEQUENCES
• ROUTINE SEQUENCES
– T1 – for anatomy
– T2- for pathological details
– FLAIR – suppress fluid
• SPECIAL SEQUENCES
– DWI – for infarcts, abscess , tumour detection
– ADC – for differentiation of different infarcts
– MRA – for arterial details
– MRV – for venous details
– MRS – spectroscopy for chemical nature of the tumour
• SHORT TE
• SHORT TR
• BETTER ANATOMICAL DETAILS
• FLUID DARK
• GRAY MATTER GRAY
• WHITE MATTER WHITE
T1 W IMAGES
• MOST PATHOLOGIES DARK ON T1
• BRIGHT ON T1
– Fat
– Haemorrhage
– Melanin
– Early Calcification
– Protein Contents (Colloid cyst/ Rathke cyst)
– Posterior Pituitary appears bright on T1
– Gadolinium
• LONG TE
• LONG TR
• BETTER PATHOLOGICAL DETAILS
• FLUID BRIGHT
• GRAY MATTER RELATIVELY BRIGHT
• WHITE MATTER DARK
T2 W IMAGES
T1 W Images:
Subacute Hemorrhage
Fat-containing structures
Anatomical Details
T2 W Images:
Edema
Tumor
Infarction
Hemorrhage
FLAIR Images:
Edema,
Tumor
Periventricular lesion
WHICH SCAN BEST DEFINES THE ABNORMALITY
T1 W IMAGES
T1W AND T2 W IMAGES
• LONG TE
• LONG TR
• SIMILAR TO T2 EXCEPT FREE WATER SUPRESSION
(INVERSION RECOVERY)
• Most pathology is BRIGHT
• Especially good for lesions near ventricles or sulci
(eg Multilpe Sclerosis)
FLAIR – Fluid Attenuated Inversion
Recovery Sequences
CT
FLAIRT2
T1
FLAIR & STIR SEQUENCES
Short TI inversion-recovery (STIR) sequence
• In STIR sequences, an inversion-recovery pulse is used to
null the signal from fat (180° RF Pulse).
• STIR sequences provide excellent depiction of bone
marrow edema which may be the only indication of an
occult fracture.
Comparison of fast SE(T1WI) and STIR sequences
for depiction of bone marrow edema
FSE STIR
Fluid-attenuated inversion recovery
(FLAIR)
• First described in 1992 and has become one of the corner stones of
brain MR imaging protocols
• An IR sequence with a long TR and TE and an inversion time (TI) that
is tailored to null the signal from CSF
• Nulled tissue remains dark and all other tissues have higher signal
intensities.
• FLAIR images are heavily T2-weighted with
CSF signal suppression, highlights hyper-
intense lesions and improves their conspicuity
and detection, especially when located
adjacent to CSF containing spaces
Clinical Applications of FLAIR sequences:
• Used to evaluate diseases affecting the brain parenchyma neighboring
the CSF-containing spaces for
eg: MS & other demyelinating disorders.
• Unfortunately, less sensitive for lesions involving the brainstem &
cerebellum, owing to CSF pulsation artifacts
• Mesial temporal sclerosis (MTS) (thin section coronal FLAIR)
• Tuberous Sclerosis – for detection of Hamartomatous lesions.
• Helpful in evaluation of neonates with perinatal HIE.
T1W T2W FLAIR(T2)
TR SHORT LONG LONG
TE SHORT LONG LONG
CSF LOW HIGH LOW
FAT HIGH LOW MEDIUM
BRAIN LOW HIGH HIGH
EDEMA LOW HIGH HIGH
GRADATION OF INTENSITY
IMAGING
CT SCAN CSF Edema White
Matter
Gray
Matter
Blood Bone
MRI T1 CSF Edema Gray
Matter
White
Matter
Cartilage Fat
MRI T2 Cartilage Fat White
Matter
Gray
Matter
Edema CSF
MRI T2 Flair CSF Cartilage Fat White
Matter
Gray
Matter
Edema
MRI BRAIN :AXIAL SECTIONS
Post Contrast Axial MR Image of the brain
Post Contrast sagittal T1 Weighted
M.R.I.
Section at the level of Foramen
Magnum
Cisterna Magna
. Cervical Cord
. Nasopharynx
. Mandible
. Maxillary
Sinus
Post Contrast Axial MR Image of the brain
Post Contrast sagittal T1 Wtd
M.R.I.
Section at the level of medulla
Sigmoid Sinus
Medulla
Internal Jugular Vein
Cerebellar Tonsil
Orbits
ICA
Temporal
lobe
Post Contrast sagittal T1 Wtd
M.R.I.
Section at the level of Pons
Cerebellar
Hemisphere
Vermis
IV Ventricle
Pons
Basilar Artery
Cavernous Sinus
MCP
IAC
Mastoid
Sinus
Post Contrast Axial MR Image of the brain
Post Contrast sagittal T1 Wtd
M.R.I.
Section at the level of Mid Brain
Aqueduct of Sylvius
Orbits
Posterior Cerebral ArteryMiddle Cerebral Artery
Midbrain
Frontal
Lobe
Temporal Lobe
Occipital Lobe
Post Contrast Axial MR Image of the brain
Post Contrast sagittal T1 Wtd
M.R.I.
Section at the level of the
III Ventricle
Occipital Lobe
III Ventricle
Frontal lobe
Temporal Lobe
Sylvian Fissure
Fig. 1.6 Post Contrast Axial MR Image of the brain
Post Contrast sagittal T1 Wtd
M.R.I.
Section at the level of Thalamus
Superior Sagittal Sinus
Occipital Lobe
Choroid Plexus
. Internal Cerebral Vein
Frontal Horn
Thalamus
Temp Lobe
Internal Capsule
. Putamen
Caudate Nucleus
Frontal
Lobe
Post Contrast sagittal T1 Wtd
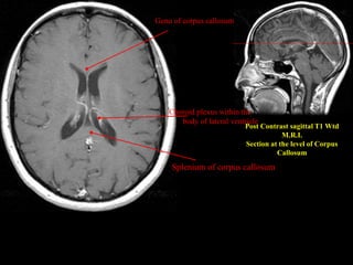
M.R.I.
Section at the level of Corpus
Callosum
Genu of corpus callosum
Splenium of corpus callosum
Choroid plexus within the
body of lateral ventricle
Post Contrast Axial MR Image of the brain
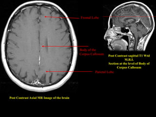
Post Contrast sagittal T1 Wtd
M.R.I.
Section at the level of Body of
Corpus Callosum
Parietal Lobe
Body of the
Corpus Callosum
Frontal Lobe
Post Contrast Axial MR Image of the brain
Post Contrast sagittal T1 Wtd
M.R.I.
Section above the Corpus Callosum
Parietal Lobe
Frontal Lobe
MRI BRAIN :SAGITTAL SECTIONS
White Matter
Cerebellum
Grey Matter
Frontal Lobe
Parietal Lobe
Temporal Lobe
Lateral Sulcus Occipital Lobe
Gyri of cerebral
cortex
Sulci of cerebral
Cortex
Cerebellum
Frontal Lobe
Temporal
Lobe
Frontal Lobe
Temporal
Lobe
Parietal Lobe
Occipital
Lobe
Cerebellum
Frontal Lobe
Parietal Lobe
Orbit
Occipital Lobe
Transverse sinus
Cerebellar
Hemisphere
Optic Nerve
Precentral Sulcus
Lateral Ventricle
Occipital Lobe
Maxillary sinus
Caudate
Nucleus
Corpus callosum
Thalamus
Tongue
Pons
Tentorium
Cerebell
Splenium of
Corpus callosum
Pons
Ethmoid air
Cells
Inferior nasal
Concha
Midbrain
Fourth Ventricle
Genu of Corpus
Callosum
Hypophysis
Thalamus
Splenium of
Corpus
callosumGenu of corpus
callosum
Pons
Superior
Colliculus
Inferior
Colliculus
NasalNasal Septuml
Medulla
Body of corpus
callosum
Thalamus
Cingulate Gyrus
Genu of corpus
callosum
Ethmoid
air cells
Oral cavity
Splenium of
Corpus
callosum
Fourth Ventricle
Frontal
Lobe
Maxillary
Sinus
Parietal Lobe
Occipital Lobe
Corpus Callosum
Thalamus
Cerebellum
Frontal Lobe
Temporal
Lobe
Parietal Lobe
Lateral Ventricle
Occipital Lobe
Cerebellum
Frontal Lobe
Parietal Lobe
Superior Temporal
Gyrus
Lateral Sulcus
Inferior Temporal
Gyrus
Middle Temporal Gyrus
External Auditory
Meatus
. Bone
Inferior sagittal sinus
Corpus callosum
Internal cerebral vein
Vein of Galen
Superior sagittal sinus
Parietal lobe
Occipital lobe
Straight sinus
. Vermis
. IV ventricle
Cerebellar tonsil
Mass intermedia
of thalamus
Sphenoid Sinus
MRI BRAIN :CORONAL SECTIONS
Longitudinal
Fissure
Straight Sinus
Superior Sagittal Sinus
Sigmoid Sinus
Vermis
Arachnoid Villi
Great Cerebral
Vein
Tentorium
Cerebelli
Falx Cerebri
Lateral Ventricle
Vermis of
Cerebellum
Cerebellum
Splenium of
Corpus callosum
Posterior
Cerebral
Artery
Superior
Cerebellar
Artery
Foramen
Magnum
Lateral Ventricle
Internal Cerebral
Vein
Tentorium
Cerebelli
Fourth Ventricle
Cingulate Gyrus
Choroid Plexus
Superior Colliculus
Cerebral Aqueduct
Corpus Callosum
Thalamus
Pineal Gland
Vertebral Artery
Insula
Lateral Sulcus
Cerebral Peduncle
Olive
Crus of Fornix
Middle Cerebellar
Peduncle
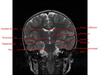
Caudate Nucleus
Third Ventricle
Hippocampus
Pons
Corpus Callosum
Thalamus
Cerebral
Peduncle
Parahippocampal
gyrus
Lateral Ventricle
Body of Fornix
Temporal Horn of
Lateral Ventricle
Uncus of Temporal
Lobe
Third Ventricle
Hippocampus
Internal Capsule
Caudate Nucleus
Optic Tract
Insula
Lentiform
Nucleus
Parotid Gland
Amygdala
Hypothalamus
Internal Capsule
Cingulate Gyrus
Optic Nerve
Nasopharynx
Internal
Carottid Artery
Lentiform
Nucleus
Caudate
Nucleusa
Longitudinal
Fissure
Superior Sagittal
Sinus
Lateral Sulcus
Parotid Gland
Genu Of
Corpus
Callosum
Temporal Lobe
Ethmoid Sinus
Frontal Lobe
Nasal
Turbinate
Massetor
Nasal Septum
Nasal Cavity
Tongue
Medial Rectus
Frontal Lobe
Lateral Rectus
Inferior Turbinate
Superior Rectus
Inferior Rectus
Maxillary Sinus
Tooth
Grey Matter
Superior Sagittal Sinus
White Matter
Eye Ball
Maxillary Sinus
Tongue
Coronal Section of the Brain at the level of Pituitary gland
Post Contrast Coronal T1 Weighted MRI
sp
np
Frontal lobe
Corpus callosum
Frontal horn
Caudate nucleus
III
Pituitary stalk
Pituitary gland
Optic nerve
Internal carotid artery
Cavernous sinus
• Free water diffusion in the images is Dark
(Normal)
• Acute stroke, cytotoxic edema causes
decreased rate of water diffusion within the
tissue i.e. Restricted Diffusion (due to
inactivation of Na K Pump )
• Increased intracellular water causes cell
swelling
DIFFUSION WEIGHTED IMAGES (DWI)
• Areas of restricted diffusion are
BRIGHT.
• Restricted diffusion occurs in
–Cytotoxic edema
–Ischemia (within minutes)
–Abscess
Other Causes of Positive DWI
• Bacterial abscess, Epidermoid Tumor
• Acute demyelination
• Acute Encephalitis
• CJD(Creutzfeldt-Jakob disease)
• T2 shine through ( High ADC)
• To confirm true restricted diffusion - compare
the DWI image to the ADC.
• In cases of true restricted diffusion, the
region of increased DWI signal will
demonstrate low signal on ADC.
• In contrast, in cases of T2 shine-through, the
ADC will be normal or high signal.
• Calculated by the software.
• Areas of restricted diffusion are dark
• Negative of DWI
– i.e. Restricted diffusion is bright on DWI,
dark on ADC
APPARENT DIFFUSION COEFFICIENT Sequences
(ADC MAP)
• The ADC may be useful for estimating the lesion age
and distinguishing acute from subacute DWI lesions.
• Acute ischemic lesions can be divided into
Hyperacute lesions (low ADC and DWI-positive) and
Subacute lesions (normalized ADC).
• Chronic lesions can be differentiated from acute lesions
by normalization of ADC and DWI.
Nonischemic causes for decreased ADC
• Abscess
• Lymphoma and other tumors
• Multiple sclerosis
• Seizures
• Metabolic (Canavans Disease)
65 year male-Acute Rt ACA Infarct
DWI Sequence ADC Sequence
Clinical Uses of DWI & ADC in Ischemic Stroke
• Hyperacute Stage:- within one hour minimal hyperintensity seen in
DWI and ADC value decrease 30% or more below normal (Usually
<50X10-4 mm2/sec)
• Acute Stage:- Hyperintensity in DWI and ADC value low but after 5-
7days of episode ADC values increase and return to normal value
• Subacute to Chronic Stage:- ADC value are increased but hyperintensity
still seen on DWI
Contrast
MRI shows nodular
enhancing lesion ,
probably tuberculoma.
Posterior fossa midline tumor ,
most consistent with
medulloblastoma.
Also see hydrocephalus.
Hydrocephalus
85
MRI sagittal view showing Aqueduct Stenosis causing Hydrocephalus
86
posterior fossa CYST
A sagittal T1-weighted MRI shows a large
posterior fossa cyst. The hypoplastic
vermis is everted over the posterior fossa
cyst (long arrow). The cerebellar
hemispheres and brainstem (b) are
hypoplastic. Thinned occipital squama is
seen (arrowheads).
An axial T1-weighted MRI showing
ventriculomegaly and a superiorly
displaced posterior fossa cyst
MASS IN THE PINEAL REGION.
Pineal germinoma in a 30-year-old man. Sagittal T1-
weighted contrast-enhanced image demonstrates an
enhancing mass in the pineal region.
Pineal germinoma in a 30-year-old man. Sagittal T1-
weighted contrast-enhanced image demonstrates an
enhancing mass in the pineal region.
MRI is more sensitive than CT scanning in determining the
extent of meningeal and parenchymal involvement
T2-weighted magnetic
resonance image of a biopsy-
proven, right parietal
tuberculoma. Note the low–
signal-intensity rim of the
lesion and the surrounding
hyperintense vasogenic
edema.
T1-weighted gadolinium-
enhanced magnetic
resonance image in a
patient with multiple
enhancing tuberculomas
in both cerebellar
hemispheres.
T1-weighted
gadolinium-enhanced
magnetic resonance
image in a child with a
tuberculous abscess in
the left parietal region.
Note the enhancing
thick-walled abscess.
Herpes
encephalitis
91infection of brain and its linings
MRI in retinoblastoma
• 7 year old boy with deterioration in school
performance , vision deterioration , reduced
hearing.
• ? Leukodystrophy.
• MRI brain is the investigation of choice.
Flair
Abnormality in posterior white matter. Typical 3 zone appearance on
contrast scan. MRI features consistent with adrenoleukodystrophy.
• First episode of right focal seizures followed by
generalized tonic clonic seizures.
• Again MRI is the modality of choice
Contrast
MRI shows nodular enhancing lesion ,
probably tuberculoma.
How does cysticercus look on MRI..?
Demonstration of
scolex in a cyst is
considered key in
cysticercosis.
Acoustic schwannoma
T1 Axial T1 axial with Gad.
12/20/2017 99MRI Brain by Sudil
• MR ANGIOGRAPHY / VENOGRAPHY
• Indications :
– Evaluation of cerebral arteries in cases of stroke,
subarachnoid and intracerebral hemorrhage,
trauma, AVM, suspected or known aneurysm etc.
• Sequence:
– 3D TOF(Time of flight ) for circle of willis in the
axial plane
– 3D TOF for vertebrobasilar system in axial plane
– For AVM, additional sequences needed are
– 3D TOF through region of interest
12/20/2017 MRI Brain by Sudil 100
• TWO TYPES OF MR ANGIOGRAPHY
– CE (contrast-enhanced) MRA
– Non-Contrast Enhanced MRA
• TOF (time-of-flight) MRA
• PC (phase contrast) MRA
MR ANGIOGRAPHY
CE (CONTRAST ENHANCED) MRA
 T1-shortening agent, Gadolinium, injected iv as contrast
 Gadolinium reduces T1 relaxation time
 When TR<<T1, minimal signal from background tissues
 Result is increased signal from Gd containing structures
 Faster gradients allow imaging in a single breathhold
 CAN BE USED FOR MRA, MRV
 FASTER (WITHIN SECONDS)
TOF (TIME OF FLIGHT) MRA
 Signal from movement of unsaturated blood converted into
image
 No contrast agent injected
 Motion artifact
 Non-uniform blood signal
 2D TOF- SENSITIVE TO SLOW FLOW – VENOGRAPHY
 3D TOF- SENSITIVE TO HIGH FLOW – MR ANGIOGRAPHY
PHASE CONTRAST (PC) MRA
 Phase shifts in moving spins (i.e. blood) are measured
 Phase is proportional to velocity
 Allows quantification of blood flow and velocity
 velocity mapping possible
 USEFUL FOR
– CSF FLOW STUDIES (NPH)
– MR VENOGRAPHY
Internal Carotid
Artery
Basilar Artery
Vertebral Artery
Middle Cerebral
Artery
Anterior Cerebral
Artery
Posterior Cerebral
Artery
Posterior Inferior
Cerebellar Artery
Superior
Cerebellar Artery
Anterior Inferior
Cerebellar Artery
Vertebral Artery
Basilar Artery
Posterior Cerebral
Artery
Internal Carotid
Artery
Anterior Cerebral
Artery
Middle Cerebral
Artery
MR VENOGRAPHY
NORMAL MR VENOGRAPHY (Lateral View)
Superior
Sagittal Sinus
Internal
Jugular Vein
Sigmoid Sinus
Transverse Sinus
Confluence
of Sinuses
Straight Sinus
Vein of Galen
Internal
Cerebral Vein
NORMAL MR VENOGRAPHY (Lateral View)
• Form of T2-weighted image which is susceptible
to iron, calcium or blood.
• Blood, bone, calcium appear dark
• Areas of blood often appears much larger than
reality (BLOOMING)
• Useful for:
– Identification of haemorrhage / calcification
Look for: DARK only
GRE Sequences (GRADIENT RECALLED ECHO)
• Non-invasive physiologic imaging of brain that
measures relative levels of various tissue
metabolites.
• Used to complement MRI in characterization
of various tissues.
MR SPECTROSCOPY
Observable metabolites
Metabolite Resonating
Location
ppm
Normal function Increased
Lipids 0.9 & 1.3 Cell membrane
component
Hypoxia, trauma, high grade
neoplasia.
Lactate 1.3 Denotes anaerobic
glycolysis
Hypoxia, stroke, necrosis,
mitochondrial diseases,
neoplasia, seizure
Alanine 1.5 Amino acid Meningioma
Acetate 1.9 Anabolic precursor Abscess ,
Neoplasia,
Metabolite Location
ppm
Normal function Increased Decreased
NAA 2 Nonspecific
neuronal marker
(Reference for
chemical shift)
Canavan’s
disease
Neuronal loss,
stroke, dementia,
AD, hypoxia,
neoplasia, abscess
Succinate 2.4 Part of TCA cycle Brain abscess
Creatine 3.03 Cell energy
marker
(Reference for
metabolite ratio)
Trauma,
hyperosmolar
state
Stroke, hypoxia,
neoplasia
Metabolite Location
ppm
Normal
function
Increased Decreased
Choline 3.2 Marker of cell
memb turnover
Neoplasia,
demyelination
(MS)
Hypomyelination
Metabolite ratios:
Normal abnormal
NAA/ Cr 2.0 <1.6
NAA/ Cho 1.6 <1.2
Cho/Cr 1.2 >1.5
Cho/NAA 0.8 >0.9
Myo/NAA 0.5 >0.8
MRS
Dec NAA/Cr
Inc acetate,
succinate, amino
acid, lactate
Neuodegenerat
ive
Alzheimer
Dec NAA/Cr
Dec NAA/
Cho
Inc
Myo/NAA
Slightly inc Cho/ Cr
Cho/NAA
Normal Myo/NAA
± lipid/lactate
Inc Cho/Cr
Myo/NAA
Cho/NAA
Dec NAA/Cr
± lipid/lactate
Malignancy
Demyelinating
disease Pyogenic
abscess
• ICSOLs(intracranial space occupying lesions)
• Differentiate Neoplasms from Nonneoplastic
Brain Masses
• Radiation Necrosis versus Recurrent Tumor
• Inborn Errors of Metabolism
• RESEARCH PURPOSE FOR
NEURODEGENERATIVE DISEASES
MRS APPLICATION
 Perfusion is the process of nutritive delivery of arterial
blood to a capillary bed in the biological tissue
means that the tissue is not getting
enough blood with oxygen and nutritive elements
(ischemia)
means neoangiogenesis – increased
capillary formation (e.g. tumor activity)
PERFUSION STUDIES
 Stroke
Detection and
assessment of
ischemic stroke
(Lower perfusion )
 Tumors
Diagnosis, staging, assessment of
tumour grade and prognosis
Treatment response
Post treatment evaluation
Prognosis of therapy effectiveness
(Higher perfusion)
APPLICATIONS OF PERFUSION IMAGING
• CISS / 3D FIESTA(fast imaging employing steady-
state acquisition) SEQUENCE
• Heavily T2 Wtd Sequences
• Allows much higher resolution and clearer
imaging of tiny intracranial structures
CRANIAL NERVES IMAGING
CONCLUSION
Appropriate use of imaging is essential.
CT brain can be lifesaving., particularly in trauma.
But use it sparingly. Remember radiation effects.
MRI brain is modality of choice in most chronic
pediatric neuro conditions.
Less than 1 year think of neurosonogram.
THANK YOU

Normalmribrain 150112010842-conversion-gate02

  • 1.
  • 2.
  • 3.
    •MRI IS ENTIRELY BASEDON CALCULATIONS
  • 4.
    Describing Radiological Terms •USG(ultrasonography)- ECHOGENICITY • CT(Computed tomography) scan- DENSITY • MRI(magnetic resonance imaging)- INTENSITY • Hyper- white/ bright • Hypo- black/ dark
  • 5.
    History • Paul Lauterburand Peter Mansfield won the Nobel Prize in Physiology/Medicine (2003) for their pioneering work in MRI • 1940s –Felix Bloch &E. Purcell: discovered just after world war 2 n named Nuclear Magnetic Resonance n they got noble prize 1952 • 1990s - Discovery that MRI can be used to distinguish oxygenated blood from deoxygenated blood. Leads to Functional Magnetic Resonance imaging (fMRI) • 1977 – Mansfield: first image of human anatomy, first echo planar image
  • 6.
    The first HumanMRI scan was performed on 3rd july 1977 by Raymond Damadian, Minkoff and Goldsmith.
  • 7.
    Advantages of MRIover CT in brain imaging 1. MRI does not use ionizing radiation, and is thus preferred over CT in children and patients requiring multiple imaging examinations. 2. MRI has a much greater range of available soft tissue contrast, depicts anatomy in greater detail, and is more sensitive and specific for abnormalities within the brain parenchyma itself.
  • 8.
    3. images maybe acquired in multiple planes (Axial, Sagittal, Coronal, or Oblique) without repositioning the patient. CT images have recently been able to take reconstructed images in multiple planes with the same spatial resolution 4. MRI scanning can be performed in any imaging plane without having to physically move the patient.
  • 9.
    • MRI allowsthe evaluation of structures that may be obscured by artifacts from bone in CT images MRI contrast agents have a considerably smaller risk of causing potentially lethal allergic reaction.
  • 10.
    Indications Of MRI •Multiple Sclerosis (MS) • Primary Tumor Assessment and / or Metastatic disease. • AIDS (toxoplasmosis) • Infarction [ Cerebral Vascular Accident (CVA) vs. transient Ischaemic Attack (TIA) ] • Hemorrhage • Hearing Loss • Visual Disturbances • Infection trauma • Unexplained Neurological Symptoms or deficit • Mapping of brain function
  • 11.
    Patient preparation • Beforepreparation, complete history should be checked. If indication is unclear, the referring physician should be contacted. • All metallic objects should be removed from pts body to ensure that artifacts are not created during scanning. • Disposable ear plugs should be provided to the patient to devoid the patients from repeated noises during scanning.
  • 12.
    • The patientshould be instructed to avoid coughing, wriggling or producing other large motion during or in between the scans. • Ensure the IV line intact prior to the pre contrast . • Pts who present with claustrophobic features may require sedation.
  • 13.
    MAGNETIC FIELD STRENGTH •S.I. unit of Magnetic Field is Tesla. • Old unit was Gauss. • 1 Tesla = 10,000 Gauss • Earth’s Magnetic Field ~ 0.7 x 10(-4) Tesla • Refrigerator Magnet ~ 5 x 10(-3) Tesla • 0.3 to 3T MRI using now a days
  • 14.
    • MRI isbased on the principle of nuclear magnetic resonance (NMR) • Two basic principles of NMR 1. Atoms with an odd number of protons have spin 2. A moving electric charge, be it positive or negative, produces a magnetic field • Body has many such atoms that can act as good MR nuclei (1H, 13C, 19F, 23Na) • MRI utilizes this magnetic spin property of protons of hydrogen to produce images. BASIC PRINCIPLE OF MRI
  • 15.
    Why Hydrogen ionsare used in MRI? 1. Hydrogen nucleus has an unpaired proton which is positively charged 2. Every hydrogen nucleus is a tiny magnet which produces small but noticeable magnetic field 3. Hydrogen is abundant in the body in the form of water and fat 4. Essentially all MRI is hydrogen (proton) imaging
  • 16.
    • In ournatural state Hydrogen ions in body are spinning in a haphazard fashion, and cancel all the magnetism. When an external magnetic field is applied protons in the body align in one direction.
  • 17.
    • TE (EchoTime) : Time interval in which signals are measured after RF excitation • TR (Repetition Time) : The time between two excitations is called repetition time. • By varying the TR and TE one can obtain T1WI and T2WI. • In general a short TR (<1000ms) and short TE (<45 ms) scan is T1WI. • Long TR (>2000ms) and long TE (>45ms) scan is T2WI. TR & TE
  • 18.
    BASIC MR BRAINSEQUENCES • ROUTINE SEQUENCES – T1 – for anatomy – T2- for pathological details – FLAIR – suppress fluid • SPECIAL SEQUENCES – DWI – for infarcts, abscess , tumour detection – ADC – for differentiation of different infarcts – MRA – for arterial details – MRV – for venous details – MRS – spectroscopy for chemical nature of the tumour
  • 19.
    • SHORT TE •SHORT TR • BETTER ANATOMICAL DETAILS • FLUID DARK • GRAY MATTER GRAY • WHITE MATTER WHITE T1 W IMAGES
  • 20.
    • MOST PATHOLOGIESDARK ON T1 • BRIGHT ON T1 – Fat – Haemorrhage – Melanin – Early Calcification – Protein Contents (Colloid cyst/ Rathke cyst) – Posterior Pituitary appears bright on T1 – Gadolinium
  • 21.
    • LONG TE •LONG TR • BETTER PATHOLOGICAL DETAILS • FLUID BRIGHT • GRAY MATTER RELATIVELY BRIGHT • WHITE MATTER DARK T2 W IMAGES
  • 22.
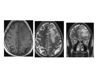
    T1 W Images: SubacuteHemorrhage Fat-containing structures Anatomical Details T2 W Images: Edema Tumor Infarction Hemorrhage FLAIR Images: Edema, Tumor Periventricular lesion WHICH SCAN BEST DEFINES THE ABNORMALITY
  • 23.
  • 24.
    T1W AND T2W IMAGES
  • 25.
    • LONG TE •LONG TR • SIMILAR TO T2 EXCEPT FREE WATER SUPRESSION (INVERSION RECOVERY) • Most pathology is BRIGHT • Especially good for lesions near ventricles or sulci (eg Multilpe Sclerosis) FLAIR – Fluid Attenuated Inversion Recovery Sequences
  • 26.
  • 27.
    FLAIR & STIRSEQUENCES
  • 28.
    Short TI inversion-recovery(STIR) sequence • In STIR sequences, an inversion-recovery pulse is used to null the signal from fat (180° RF Pulse). • STIR sequences provide excellent depiction of bone marrow edema which may be the only indication of an occult fracture.
  • 29.
    Comparison of fastSE(T1WI) and STIR sequences for depiction of bone marrow edema FSE STIR
  • 30.
    Fluid-attenuated inversion recovery (FLAIR) •First described in 1992 and has become one of the corner stones of brain MR imaging protocols • An IR sequence with a long TR and TE and an inversion time (TI) that is tailored to null the signal from CSF • Nulled tissue remains dark and all other tissues have higher signal intensities.
  • 31.
    • FLAIR imagesare heavily T2-weighted with CSF signal suppression, highlights hyper- intense lesions and improves their conspicuity and detection, especially when located adjacent to CSF containing spaces
  • 32.
    Clinical Applications ofFLAIR sequences: • Used to evaluate diseases affecting the brain parenchyma neighboring the CSF-containing spaces for eg: MS & other demyelinating disorders. • Unfortunately, less sensitive for lesions involving the brainstem & cerebellum, owing to CSF pulsation artifacts • Mesial temporal sclerosis (MTS) (thin section coronal FLAIR) • Tuberous Sclerosis – for detection of Hamartomatous lesions. • Helpful in evaluation of neonates with perinatal HIE.
  • 33.
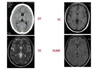
    T1W T2W FLAIR(T2) TRSHORT LONG LONG TE SHORT LONG LONG CSF LOW HIGH LOW FAT HIGH LOW MEDIUM BRAIN LOW HIGH HIGH EDEMA LOW HIGH HIGH
  • 34.
    GRADATION OF INTENSITY IMAGING CTSCAN CSF Edema White Matter Gray Matter Blood Bone MRI T1 CSF Edema Gray Matter White Matter Cartilage Fat MRI T2 Cartilage Fat White Matter Gray Matter Edema CSF MRI T2 Flair CSF Cartilage Fat White Matter Gray Matter Edema
  • 35.
  • 36.
    Post Contrast AxialMR Image of the brain Post Contrast sagittal T1 Weighted M.R.I. Section at the level of Foramen Magnum Cisterna Magna . Cervical Cord . Nasopharynx . Mandible . Maxillary Sinus
  • 37.
    Post Contrast AxialMR Image of the brain Post Contrast sagittal T1 Wtd M.R.I. Section at the level of medulla Sigmoid Sinus Medulla Internal Jugular Vein Cerebellar Tonsil Orbits
  • 38.
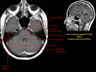
    ICA Temporal lobe Post Contrast sagittalT1 Wtd M.R.I. Section at the level of Pons Cerebellar Hemisphere Vermis IV Ventricle Pons Basilar Artery Cavernous Sinus MCP IAC Mastoid Sinus
  • 39.
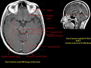
    Post Contrast AxialMR Image of the brain Post Contrast sagittal T1 Wtd M.R.I. Section at the level of Mid Brain Aqueduct of Sylvius Orbits Posterior Cerebral ArteryMiddle Cerebral Artery Midbrain Frontal Lobe Temporal Lobe Occipital Lobe
  • 40.
    Post Contrast AxialMR Image of the brain Post Contrast sagittal T1 Wtd M.R.I. Section at the level of the III Ventricle Occipital Lobe III Ventricle Frontal lobe Temporal Lobe Sylvian Fissure
  • 41.
    Fig. 1.6 PostContrast Axial MR Image of the brain Post Contrast sagittal T1 Wtd M.R.I. Section at the level of Thalamus Superior Sagittal Sinus Occipital Lobe Choroid Plexus . Internal Cerebral Vein Frontal Horn Thalamus Temp Lobe Internal Capsule . Putamen Caudate Nucleus Frontal Lobe
  • 42.
    Post Contrast sagittalT1 Wtd M.R.I. Section at the level of Corpus Callosum Genu of corpus callosum Splenium of corpus callosum Choroid plexus within the body of lateral ventricle
  • 43.
    Post Contrast AxialMR Image of the brain Post Contrast sagittal T1 Wtd M.R.I. Section at the level of Body of Corpus Callosum Parietal Lobe Body of the Corpus Callosum Frontal Lobe
  • 44.
    Post Contrast AxialMR Image of the brain Post Contrast sagittal T1 Wtd M.R.I. Section above the Corpus Callosum Parietal Lobe Frontal Lobe
  • 45.
  • 46.
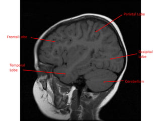
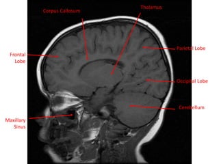
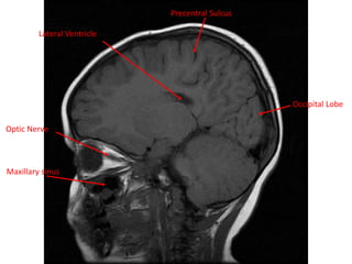
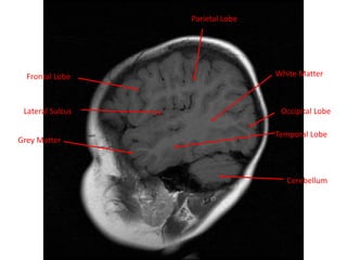
    White Matter Cerebellum Grey Matter FrontalLobe Parietal Lobe Temporal Lobe Lateral Sulcus Occipital Lobe
  • 47.
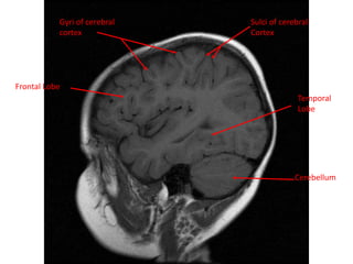
    Gyri of cerebral cortex Sulciof cerebral Cortex Cerebellum Frontal Lobe Temporal Lobe
  • 48.
  • 49.
    Frontal Lobe Parietal Lobe Orbit OccipitalLobe Transverse sinus Cerebellar Hemisphere
  • 50.
    Optic Nerve Precentral Sulcus LateralVentricle Occipital Lobe Maxillary sinus
  • 51.
  • 52.
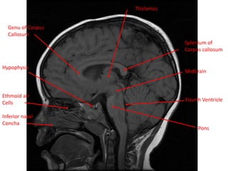
    Splenium of Corpus callosum Pons Ethmoidair Cells Inferior nasal Concha Midbrain Fourth Ventricle Genu of Corpus Callosum Hypophysis Thalamus
  • 53.
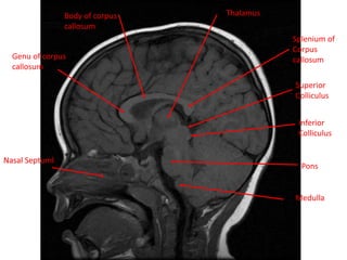
    Splenium of Corpus callosumGenu ofcorpus callosum Pons Superior Colliculus Inferior Colliculus NasalNasal Septuml Medulla Body of corpus callosum Thalamus
  • 54.
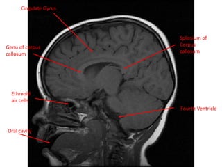
    Cingulate Gyrus Genu ofcorpus callosum Ethmoid air cells Oral cavity Splenium of Corpus callosum Fourth Ventricle
  • 55.
  • 56.
    Frontal Lobe Temporal Lobe Parietal Lobe LateralVentricle Occipital Lobe Cerebellum
  • 57.
    Frontal Lobe Parietal Lobe SuperiorTemporal Gyrus Lateral Sulcus Inferior Temporal Gyrus Middle Temporal Gyrus External Auditory Meatus
  • 58.
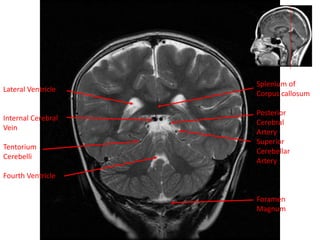
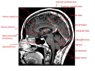
    . Bone Inferior sagittalsinus Corpus callosum Internal cerebral vein Vein of Galen Superior sagittal sinus Parietal lobe Occipital lobe Straight sinus . Vermis . IV ventricle Cerebellar tonsil Mass intermedia of thalamus Sphenoid Sinus
  • 59.
  • 60.
  • 61.
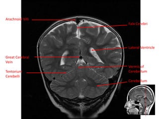
    Arachnoid Villi Great Cerebral Vein Tentorium Cerebelli FalxCerebri Lateral Ventricle Vermis of Cerebellum Cerebellum
  • 62.
    Splenium of Corpus callosum Posterior Cerebral Artery Superior Cerebellar Artery Foramen Magnum LateralVentricle Internal Cerebral Vein Tentorium Cerebelli Fourth Ventricle
  • 63.
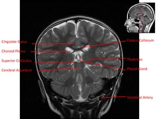
    Cingulate Gyrus Choroid Plexus SuperiorColliculus Cerebral Aqueduct Corpus Callosum Thalamus Pineal Gland Vertebral Artery
  • 64.
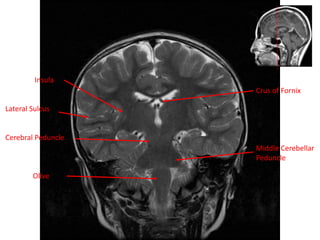
    Insula Lateral Sulcus Cerebral Peduncle Olive Crusof Fornix Middle Cerebellar Peduncle
  • 65.
    Caudate Nucleus Third Ventricle Hippocampus Pons CorpusCallosum Thalamus Cerebral Peduncle Parahippocampal gyrus
  • 66.
    Lateral Ventricle Body ofFornix Temporal Horn of Lateral Ventricle Uncus of Temporal Lobe Third Ventricle Hippocampus
  • 67.
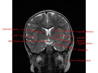
    Internal Capsule Caudate Nucleus OpticTract Insula Lentiform Nucleus Parotid Gland Amygdala Hypothalamus
  • 68.
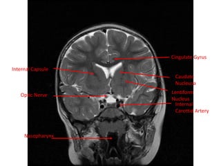
    Internal Capsule Cingulate Gyrus OpticNerve Nasopharynx Internal Carottid Artery Lentiform Nucleus Caudate Nucleusa
  • 69.
  • 70.
  • 71.
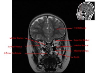
    Medial Rectus Frontal Lobe LateralRectus Inferior Turbinate Superior Rectus Inferior Rectus Maxillary Sinus Tooth
  • 72.
    Grey Matter Superior SagittalSinus White Matter Eye Ball Maxillary Sinus Tongue
  • 73.
    Coronal Section ofthe Brain at the level of Pituitary gland Post Contrast Coronal T1 Weighted MRI sp np Frontal lobe Corpus callosum Frontal horn Caudate nucleus III Pituitary stalk Pituitary gland Optic nerve Internal carotid artery Cavernous sinus
  • 74.
    • Free waterdiffusion in the images is Dark (Normal) • Acute stroke, cytotoxic edema causes decreased rate of water diffusion within the tissue i.e. Restricted Diffusion (due to inactivation of Na K Pump ) • Increased intracellular water causes cell swelling DIFFUSION WEIGHTED IMAGES (DWI)
  • 75.
    • Areas ofrestricted diffusion are BRIGHT. • Restricted diffusion occurs in –Cytotoxic edema –Ischemia (within minutes) –Abscess
  • 76.
    Other Causes ofPositive DWI • Bacterial abscess, Epidermoid Tumor • Acute demyelination • Acute Encephalitis • CJD(Creutzfeldt-Jakob disease) • T2 shine through ( High ADC)
  • 77.
    • To confirmtrue restricted diffusion - compare the DWI image to the ADC. • In cases of true restricted diffusion, the region of increased DWI signal will demonstrate low signal on ADC. • In contrast, in cases of T2 shine-through, the ADC will be normal or high signal.
  • 78.
    • Calculated bythe software. • Areas of restricted diffusion are dark • Negative of DWI – i.e. Restricted diffusion is bright on DWI, dark on ADC APPARENT DIFFUSION COEFFICIENT Sequences (ADC MAP)
  • 79.
    • The ADCmay be useful for estimating the lesion age and distinguishing acute from subacute DWI lesions. • Acute ischemic lesions can be divided into Hyperacute lesions (low ADC and DWI-positive) and Subacute lesions (normalized ADC). • Chronic lesions can be differentiated from acute lesions by normalization of ADC and DWI.
  • 80.
    Nonischemic causes fordecreased ADC • Abscess • Lymphoma and other tumors • Multiple sclerosis • Seizures • Metabolic (Canavans Disease)
  • 81.
    65 year male-AcuteRt ACA Infarct DWI Sequence ADC Sequence
  • 82.
    Clinical Uses ofDWI & ADC in Ischemic Stroke • Hyperacute Stage:- within one hour minimal hyperintensity seen in DWI and ADC value decrease 30% or more below normal (Usually <50X10-4 mm2/sec) • Acute Stage:- Hyperintensity in DWI and ADC value low but after 5- 7days of episode ADC values increase and return to normal value • Subacute to Chronic Stage:- ADC value are increased but hyperintensity still seen on DWI
  • 83.
    Contrast MRI shows nodular enhancinglesion , probably tuberculoma.
  • 84.
    Posterior fossa midlinetumor , most consistent with medulloblastoma. Also see hydrocephalus.
  • 85.
    Hydrocephalus 85 MRI sagittal viewshowing Aqueduct Stenosis causing Hydrocephalus
  • 86.
    86 posterior fossa CYST Asagittal T1-weighted MRI shows a large posterior fossa cyst. The hypoplastic vermis is everted over the posterior fossa cyst (long arrow). The cerebellar hemispheres and brainstem (b) are hypoplastic. Thinned occipital squama is seen (arrowheads). An axial T1-weighted MRI showing ventriculomegaly and a superiorly displaced posterior fossa cyst
  • 87.
    MASS IN THEPINEAL REGION.
  • 88.
    Pineal germinoma ina 30-year-old man. Sagittal T1- weighted contrast-enhanced image demonstrates an enhancing mass in the pineal region.
  • 89.
    Pineal germinoma ina 30-year-old man. Sagittal T1- weighted contrast-enhanced image demonstrates an enhancing mass in the pineal region.
  • 90.
    MRI is moresensitive than CT scanning in determining the extent of meningeal and parenchymal involvement T2-weighted magnetic resonance image of a biopsy- proven, right parietal tuberculoma. Note the low– signal-intensity rim of the lesion and the surrounding hyperintense vasogenic edema. T1-weighted gadolinium- enhanced magnetic resonance image in a patient with multiple enhancing tuberculomas in both cerebellar hemispheres. T1-weighted gadolinium-enhanced magnetic resonance image in a child with a tuberculous abscess in the left parietal region. Note the enhancing thick-walled abscess.
  • 91.
  • 92.
  • 93.
    • 7 yearold boy with deterioration in school performance , vision deterioration , reduced hearing. • ? Leukodystrophy. • MRI brain is the investigation of choice.
  • 94.
    Flair Abnormality in posteriorwhite matter. Typical 3 zone appearance on contrast scan. MRI features consistent with adrenoleukodystrophy.
  • 95.
    • First episodeof right focal seizures followed by generalized tonic clonic seizures. • Again MRI is the modality of choice
  • 97.
    Contrast MRI shows nodularenhancing lesion , probably tuberculoma.
  • 98.
    How does cysticercuslook on MRI..? Demonstration of scolex in a cyst is considered key in cysticercosis.
  • 99.
    Acoustic schwannoma T1 AxialT1 axial with Gad. 12/20/2017 99MRI Brain by Sudil
  • 100.
    • MR ANGIOGRAPHY/ VENOGRAPHY • Indications : – Evaluation of cerebral arteries in cases of stroke, subarachnoid and intracerebral hemorrhage, trauma, AVM, suspected or known aneurysm etc. • Sequence: – 3D TOF(Time of flight ) for circle of willis in the axial plane – 3D TOF for vertebrobasilar system in axial plane – For AVM, additional sequences needed are – 3D TOF through region of interest 12/20/2017 MRI Brain by Sudil 100
  • 101.
    • TWO TYPESOF MR ANGIOGRAPHY – CE (contrast-enhanced) MRA – Non-Contrast Enhanced MRA • TOF (time-of-flight) MRA • PC (phase contrast) MRA MR ANGIOGRAPHY
  • 102.
    CE (CONTRAST ENHANCED)MRA  T1-shortening agent, Gadolinium, injected iv as contrast  Gadolinium reduces T1 relaxation time  When TR<<T1, minimal signal from background tissues  Result is increased signal from Gd containing structures  Faster gradients allow imaging in a single breathhold  CAN BE USED FOR MRA, MRV  FASTER (WITHIN SECONDS)
  • 103.
    TOF (TIME OFFLIGHT) MRA  Signal from movement of unsaturated blood converted into image  No contrast agent injected  Motion artifact  Non-uniform blood signal  2D TOF- SENSITIVE TO SLOW FLOW – VENOGRAPHY  3D TOF- SENSITIVE TO HIGH FLOW – MR ANGIOGRAPHY
  • 104.
    PHASE CONTRAST (PC)MRA  Phase shifts in moving spins (i.e. blood) are measured  Phase is proportional to velocity  Allows quantification of blood flow and velocity  velocity mapping possible  USEFUL FOR – CSF FLOW STUDIES (NPH) – MR VENOGRAPHY
  • 106.
    Internal Carotid Artery Basilar Artery VertebralArtery Middle Cerebral Artery Anterior Cerebral Artery Posterior Cerebral Artery Posterior Inferior Cerebellar Artery Superior Cerebellar Artery Anterior Inferior Cerebellar Artery
  • 107.
    Vertebral Artery Basilar Artery PosteriorCerebral Artery Internal Carotid Artery Anterior Cerebral Artery Middle Cerebral Artery
  • 108.
  • 110.
    NORMAL MR VENOGRAPHY(Lateral View) Superior Sagittal Sinus Internal Jugular Vein Sigmoid Sinus Transverse Sinus Confluence of Sinuses Straight Sinus Vein of Galen Internal Cerebral Vein
  • 111.
    NORMAL MR VENOGRAPHY(Lateral View)
  • 112.
    • Form ofT2-weighted image which is susceptible to iron, calcium or blood. • Blood, bone, calcium appear dark • Areas of blood often appears much larger than reality (BLOOMING) • Useful for: – Identification of haemorrhage / calcification Look for: DARK only GRE Sequences (GRADIENT RECALLED ECHO)
  • 114.
    • Non-invasive physiologicimaging of brain that measures relative levels of various tissue metabolites. • Used to complement MRI in characterization of various tissues. MR SPECTROSCOPY
  • 116.
    Observable metabolites Metabolite Resonating Location ppm Normalfunction Increased Lipids 0.9 & 1.3 Cell membrane component Hypoxia, trauma, high grade neoplasia. Lactate 1.3 Denotes anaerobic glycolysis Hypoxia, stroke, necrosis, mitochondrial diseases, neoplasia, seizure Alanine 1.5 Amino acid Meningioma Acetate 1.9 Anabolic precursor Abscess , Neoplasia,
  • 117.
    Metabolite Location ppm Normal functionIncreased Decreased NAA 2 Nonspecific neuronal marker (Reference for chemical shift) Canavan’s disease Neuronal loss, stroke, dementia, AD, hypoxia, neoplasia, abscess Succinate 2.4 Part of TCA cycle Brain abscess Creatine 3.03 Cell energy marker (Reference for metabolite ratio) Trauma, hyperosmolar state Stroke, hypoxia, neoplasia
  • 118.
    Metabolite Location ppm Normal function Increased Decreased Choline3.2 Marker of cell memb turnover Neoplasia, demyelination (MS) Hypomyelination
  • 119.
    Metabolite ratios: Normal abnormal NAA/Cr 2.0 <1.6 NAA/ Cho 1.6 <1.2 Cho/Cr 1.2 >1.5 Cho/NAA 0.8 >0.9 Myo/NAA 0.5 >0.8
  • 120.
    MRS Dec NAA/Cr Inc acetate, succinate,amino acid, lactate Neuodegenerat ive Alzheimer Dec NAA/Cr Dec NAA/ Cho Inc Myo/NAA Slightly inc Cho/ Cr Cho/NAA Normal Myo/NAA ± lipid/lactate Inc Cho/Cr Myo/NAA Cho/NAA Dec NAA/Cr ± lipid/lactate Malignancy Demyelinating disease Pyogenic abscess
  • 121.
    • ICSOLs(intracranial spaceoccupying lesions) • Differentiate Neoplasms from Nonneoplastic Brain Masses • Radiation Necrosis versus Recurrent Tumor • Inborn Errors of Metabolism • RESEARCH PURPOSE FOR NEURODEGENERATIVE DISEASES MRS APPLICATION
  • 122.
     Perfusion isthe process of nutritive delivery of arterial blood to a capillary bed in the biological tissue means that the tissue is not getting enough blood with oxygen and nutritive elements (ischemia) means neoangiogenesis – increased capillary formation (e.g. tumor activity) PERFUSION STUDIES
  • 123.
     Stroke Detection and assessmentof ischemic stroke (Lower perfusion )  Tumors Diagnosis, staging, assessment of tumour grade and prognosis Treatment response Post treatment evaluation Prognosis of therapy effectiveness (Higher perfusion) APPLICATIONS OF PERFUSION IMAGING
  • 124.
    • CISS /3D FIESTA(fast imaging employing steady- state acquisition) SEQUENCE • Heavily T2 Wtd Sequences • Allows much higher resolution and clearer imaging of tiny intracranial structures CRANIAL NERVES IMAGING
  • 128.
    CONCLUSION Appropriate use ofimaging is essential. CT brain can be lifesaving., particularly in trauma. But use it sparingly. Remember radiation effects. MRI brain is modality of choice in most chronic pediatric neuro conditions. Less than 1 year think of neurosonogram.
  • 129.