TEMPORAL LOBE:
ANATOMY &
FUNCTION
Lateral Surface of Temporal lobe
Inferior Surface of Temporal lobe
Superior Surface of Temporal lobe
Boundaries of Temporal lobe- Lateral surface
Boundaries of Temporal lobe- Medial surface
Area 52 – Parainsular area
Junction of
temporal lobe and
insula.
Area 41- Auditory cortex
Auditory - Basic Processing
Area 42- Auditory cortex
Auditory - Basic Processing
Area 22 - Superior temporal gyrus, of which the
Caudal part of
this area
contains the
Wernicke's
area
Complex
Sound
processing
Area 21 – Middle temporal gyrus
Auditory- Complex
Sound Processing
Area 20- Inferior temporal gyrus
Visual – Visual
Integration
Area 38 – Temporopolar area
Most rostral part
of the Superior
and Middle
temporal gyri.
Recognition of
familiar voices
Area 39- Angular Gyrus
 Complex language
functions (i.e.
reading, writing and
interpretation of what
is written)
 Arithmetic and
spatial cognition.
 Distinguishing left
from right by
integrating the
conceptual
understanding of the
language term "left"
or "right" with its
location in space.
Area 27 – Piriform cortex
Olfaction
Area 34 – Dorsal entorhinal cortex
 The entorhinal area is the
main interface between
the hippocampus and
neocortex and involved
in memory, navigation
and the perception of
time.
 Gateway.
Area 28 – Ventral entorhinal cortex
Area 35 – Perirhinal cortex (in the rhinal sulcus)
 Interconnecting the
hippocampal
formation
 Object recognition
and in storing
information about
objects
Area 36 – Ectorhinal area
Encoding of memory
Papez Circuit
Control of emotional expression
Memory storage
Hippocampus
Mammillary
bodies
Mammillothalamic
tract
Anterior
Thalamic Nuclei
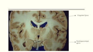
Cingulate Gyrus
Cingulate Gyrus
Parahippocampal
gyrus
Functions of Temporal lobe
Dominant Temporal lobe:-
Auditory perception
Language and Verbal memory
Smell
Non- Dominant Temporal lobe:-
Non verbal memory
 Memory
 Medial temporal lobe – Short term/ Episodic memory
 Lateral temporal lobe – Long term – Semantic memory.
 Hippocampus - formation of long-term memory, modulated by the amygdala
 Auditory
 Rt side- Melody, pitch and sound intensity.
 Lt side- Generation and understanding words.
 Unilateral destruction of Auditory cortex- Difficulty in sound localization.
 Bilateral destruction ---- decrease in auditory acuity / Cortical deafness.
 Visual
 Interpret the meaning of visual stimuli and establish object recognition.
 The ventral part of the temporal cortices --- involved in high-level visual processing of complex stimuli
 Such as faces (fusiform gyrus) and scenes (parahippocampal gyrus).
 Anterior parts of the ventral stream for visual processing are involved in object perception and recognition.
 Language recognition
 Processing of semantics in both language and vision.
 Language comprehension.
 Identification and categorization of stimuli.
 Matching auditory and visual stimuli.
 Emotional functions.
 Affect and Personality
 Personality in Temporal lobe lesions:-
 Overemphasizing trivial and petty details.
 Egocentricity (Preoccupation with one’s own internal work).
 Perseveration.
 Paranoia.
 Pedantic speech.
 Preoccupation with religion.
 Proneness to aggression.
 Vestibular functions:-
 Some fibres from vestibular input are relayed in STG.
 Lesions– episodic vertigo.
 Biological motion perception.
 Refers to where an individual ascribes goals and mental states to another's actions or when an individual
imagines, executes, or observes actions.
 Area- STS
Symptoms of Temporal lobe Lesion
 Disturbance of Auditory sensation and perception.
 Disorder of Music perception.
 Disorder of Visual perception.
 Disorder of time perception.
 Disturbance in selection of visual and sensory input.
 Impaired organization and categorization of sensory input.
 Inability to use contextual information.
 Impaired long term memory.
 Altered personality and affective behavior.
 Altered sexual behavior.
Inferomedial Aspect ( Amygdala & Hippocampus)
1. Amnesia
o Right – Visuaspatial
o Left – Verbal involvement
Anterior Tip (Bilateral lesion)
 Kluver- Bucy syndrome
 Visual agnosia
 Oral exploratory behavior
 Loss of fear.
 Hypersexuality
Localization of Temporal lobe Epilepsy
Automatism Location
Oral automatism Medial temporal lobe
Postictal cough Temporal lobe
Postictal nose wiping Ipsilateral temporal lobe
Ictal spitting Temporal lobe
Whistling Temporal lobe
Autonomic Location
Ictal Vomiting Right Temporal lobe
Ictal urination Right Temporal lobe
Piloerection Left temporal lobe
Speech Location
Ictal speech arrest Temporal lobe ( Dominant)
Ictal speech preservation Temporal lobe ( non dominant)
Postictal aphasia Temporal lobe ( Dominant)
Test for Evaluation of Temporal lobe function
 In MMSE:-
 Orientation to Time place person ( Mainly by IPL)
 Recall
 Language (Naming, Repetition, 3 step command, Comprehension)
 Other parts of the brain also involved in executing these tests .
 In Lobar function test
 Recent memory
 Remote memory
 Visual memory
Other tests
 Rey Complex figure test – Non verbal memory --- Right temporal lobe
For this test, a patient is asked to copy a
complex figure to the best of their ability.
Once completed; 45 minutes later the
subject is asked to reproduce the same
figure only this time just from their memory.
Other tests
 Dichotic listening test:-
 Assess auditory processing
capacity
 Auditory information is
presented to both ears of
the pt, and is instructed
to immediately repeat the
auditory input from any
one ear.
Token test
Language
comprehension
For this test, the
examiner will place out
20 token all of which vary
in color and size.
The examiner will then
instruct the patient to
touch certain tokens.
Mooney Closure Test
 Visual processing capacity
 Right Temporoparietal
junction --- Ventral visual
stream.
 The examiner presents to
the patient abstract
pictures.
 The pictures clearly
represent a face or object
but are only marginally
abstract.
References
 Localization in Clinical Neurology, Paul W. Brazis 7th edi (SAE).
 Bradley 8th edition.
 J. A. Kiernan, "Anatomy of the Temporal Lobe", Epilepsy Research and Treatment,
vol. 2012, Article ID 176157, 12 pages, 2012. https://doi.org/10.1155/2012/176157
 Patel A, Biso GMNR, Fowler JB. Neuroanatomy, Temporal Lobe. [Updated 2021 Jul
31].
 Bajada CJ, Haroon HA, Azadbakht H, Parker GJM, Lambon Ralph MA, Cloutman LL.
The tract terminations in the temporal lobe: Their location and associated
functions. Cortex. 2017 Dec;97:277-290.
Anatomy & Function of Temporal lobe

Anatomy & Function of Temporal lobe

  • 1.
  • 2.
    Lateral Surface ofTemporal lobe
  • 3.
    Inferior Surface ofTemporal lobe
  • 4.
    Superior Surface ofTemporal lobe
  • 6.
    Boundaries of Temporallobe- Lateral surface
  • 7.
    Boundaries of Temporallobe- Medial surface
  • 8.
    Area 52 –Parainsular area Junction of temporal lobe and insula.
  • 9.
    Area 41- Auditorycortex Auditory - Basic Processing
  • 10.
    Area 42- Auditorycortex Auditory - Basic Processing
  • 11.
    Area 22 -Superior temporal gyrus, of which the Caudal part of this area contains the Wernicke's area Complex Sound processing
  • 12.
    Area 21 –Middle temporal gyrus Auditory- Complex Sound Processing
  • 13.
    Area 20- Inferiortemporal gyrus Visual – Visual Integration
  • 14.
    Area 38 –Temporopolar area Most rostral part of the Superior and Middle temporal gyri. Recognition of familiar voices
  • 15.
    Area 39- AngularGyrus  Complex language functions (i.e. reading, writing and interpretation of what is written)  Arithmetic and spatial cognition.  Distinguishing left from right by integrating the conceptual understanding of the language term "left" or "right" with its location in space.
  • 16.
    Area 27 –Piriform cortex Olfaction
  • 17.
    Area 34 –Dorsal entorhinal cortex  The entorhinal area is the main interface between the hippocampus and neocortex and involved in memory, navigation and the perception of time.  Gateway.
  • 18.
    Area 28 –Ventral entorhinal cortex
  • 19.
    Area 35 –Perirhinal cortex (in the rhinal sulcus)  Interconnecting the hippocampal formation  Object recognition and in storing information about objects
  • 20.
    Area 36 –Ectorhinal area Encoding of memory
  • 23.
    Papez Circuit Control ofemotional expression Memory storage
  • 24.
  • 25.
  • 33.
    Functions of Temporallobe Dominant Temporal lobe:- Auditory perception Language and Verbal memory Smell Non- Dominant Temporal lobe:- Non verbal memory
  • 34.
     Memory  Medialtemporal lobe – Short term/ Episodic memory  Lateral temporal lobe – Long term – Semantic memory.  Hippocampus - formation of long-term memory, modulated by the amygdala  Auditory  Rt side- Melody, pitch and sound intensity.  Lt side- Generation and understanding words.  Unilateral destruction of Auditory cortex- Difficulty in sound localization.  Bilateral destruction ---- decrease in auditory acuity / Cortical deafness.  Visual  Interpret the meaning of visual stimuli and establish object recognition.  The ventral part of the temporal cortices --- involved in high-level visual processing of complex stimuli  Such as faces (fusiform gyrus) and scenes (parahippocampal gyrus).  Anterior parts of the ventral stream for visual processing are involved in object perception and recognition.  Language recognition  Processing of semantics in both language and vision.  Language comprehension.  Identification and categorization of stimuli.  Matching auditory and visual stimuli.  Emotional functions.
  • 35.
     Affect andPersonality  Personality in Temporal lobe lesions:-  Overemphasizing trivial and petty details.  Egocentricity (Preoccupation with one’s own internal work).  Perseveration.  Paranoia.  Pedantic speech.  Preoccupation with religion.  Proneness to aggression.  Vestibular functions:-  Some fibres from vestibular input are relayed in STG.  Lesions– episodic vertigo.  Biological motion perception.  Refers to where an individual ascribes goals and mental states to another's actions or when an individual imagines, executes, or observes actions.  Area- STS
  • 36.
    Symptoms of Temporallobe Lesion  Disturbance of Auditory sensation and perception.  Disorder of Music perception.  Disorder of Visual perception.  Disorder of time perception.  Disturbance in selection of visual and sensory input.  Impaired organization and categorization of sensory input.  Inability to use contextual information.  Impaired long term memory.  Altered personality and affective behavior.  Altered sexual behavior.
  • 37.
    Inferomedial Aspect (Amygdala & Hippocampus) 1. Amnesia o Right – Visuaspatial o Left – Verbal involvement Anterior Tip (Bilateral lesion)  Kluver- Bucy syndrome  Visual agnosia  Oral exploratory behavior  Loss of fear.  Hypersexuality
  • 38.
    Localization of Temporallobe Epilepsy Automatism Location Oral automatism Medial temporal lobe Postictal cough Temporal lobe Postictal nose wiping Ipsilateral temporal lobe Ictal spitting Temporal lobe Whistling Temporal lobe Autonomic Location Ictal Vomiting Right Temporal lobe Ictal urination Right Temporal lobe Piloerection Left temporal lobe Speech Location Ictal speech arrest Temporal lobe ( Dominant) Ictal speech preservation Temporal lobe ( non dominant) Postictal aphasia Temporal lobe ( Dominant)
  • 39.
    Test for Evaluationof Temporal lobe function  In MMSE:-  Orientation to Time place person ( Mainly by IPL)  Recall  Language (Naming, Repetition, 3 step command, Comprehension)  Other parts of the brain also involved in executing these tests .  In Lobar function test  Recent memory  Remote memory  Visual memory
  • 40.
    Other tests  ReyComplex figure test – Non verbal memory --- Right temporal lobe For this test, a patient is asked to copy a complex figure to the best of their ability. Once completed; 45 minutes later the subject is asked to reproduce the same figure only this time just from their memory.
  • 41.
    Other tests  Dichoticlistening test:-  Assess auditory processing capacity  Auditory information is presented to both ears of the pt, and is instructed to immediately repeat the auditory input from any one ear.
  • 42.
    Token test Language comprehension For thistest, the examiner will place out 20 token all of which vary in color and size. The examiner will then instruct the patient to touch certain tokens.
  • 43.
    Mooney Closure Test Visual processing capacity  Right Temporoparietal junction --- Ventral visual stream.  The examiner presents to the patient abstract pictures.  The pictures clearly represent a face or object but are only marginally abstract.
  • 44.
    References  Localization inClinical Neurology, Paul W. Brazis 7th edi (SAE).  Bradley 8th edition.  J. A. Kiernan, "Anatomy of the Temporal Lobe", Epilepsy Research and Treatment, vol. 2012, Article ID 176157, 12 pages, 2012. https://doi.org/10.1155/2012/176157  Patel A, Biso GMNR, Fowler JB. Neuroanatomy, Temporal Lobe. [Updated 2021 Jul 31].  Bajada CJ, Haroon HA, Azadbakht H, Parker GJM, Lambon Ralph MA, Cloutman LL. The tract terminations in the temporal lobe: Their location and associated functions. Cortex. 2017 Dec;97:277-290.

Editor's Notes

  • #2 NOTE: To change the image on this slide, select the picture and delete it. Then click the Pictures icon in the placeholder to insert your own image.
  • #4 Inferior gyrus- extends posteriorly into the occipital lobe; it is also called the lateral occipitotemporal gyrus. occipitotemporal sulcus separates the medial border of the inferior temporal gyrus from the lateral border of the fusiform or medial occipitotemporal gyrus. Medial to the fusiform gyrus is the collateral sulcus, and medial to the collateral sulcus, the parahippocampal gyrus forms the medial border of the inferior surface of the lobe. The anterior end of the collateral sulcus, which curves anteromedially below the temporal pole, is called the rhinal sulcus. The uncus is a small projection of the medial surface of the anterior end of the parahippocampal gyrus
  • #5 Transverse temporal gyri, which constitute the primary auditory cortex, posterior to which is the planum temporale, a cortical area that is usually larger on the left than on the right side in men, but not in women. The superior surface of the temporal lobe is bounded medially by the circular sulcus, which surrounds the insula, a lobe of the cortex that forms the expanded floor of the lateral sulcus. The anterior end of the insula, the limen insulae, is continuous, in the stem of the lateral sulcus, with cortices of the anteromedial part of the parahippocampal gyrus, the anterior perforated substance, and the medial frontal cortex (subcallosal or paraterminal gyrus) below the rostrum of the corpus callosum
  • #6 The area (planum temporale, PT) limited anteriorly by the transverse temporal gyrus of Heschl (TG) and posteriorly by the posterior extent of the horizontal portion of the temporal operculum (PM) tends to be larger on the left side.
  • #7 The preoccipital notch is an indentation in the inferior temporal gyrus, about 3 cm anterior to the occipital pole, formed by the petrous part of the temporal bone.
  • #9 52
  • #17 27
  • #18 34
  • #19 28
  • #20 35
  • #21 36
  • #22 Hippocampus efferent travel through a structure called the alveus‒a fiber layer next to the inferior horn of the lateral ventricle‒and then enter into either the entorhinal cortex or the fimbria-fornix.
  • #25 Hippocampus efferent travel through a structure called the alveus‒a fiber layer next to the inferior horn of the lateral ventricle‒and then enter into either the entorhinal cortex or the fimbria-fornix.
  • #36 Biological motion stimuli---activate two major brain systems. One system is active in mentalizing, where an individual ascribes goals and mental states to another's actions, and consists mainly of the superior temporal sulcus, medial prefrontal cortex, and amygdala. A second system, consisting of the anterior intraparietal sulcus and parts of premotor cortex, called the mirror system is active when an individual imagines, executes, or observes actions and is important for learning and imitation.
  • #44 The dorsal visual pathway originating in primary visual cortex and terminating in the superior parietal lobule that is responsible for the localization of objects in space and for action-oriented behaviors that depend on the perception of space.