MRI – SpineSome interesting cases
Contents:-Far Lateral Disc Prolapse.Foraminal Extrusion of Disc.Roof Disc (Sub ligamentousherniation).Dorsal Disc.Arachnoids Cyst.Facetal Joint Cyst.Loose body In Lumbar Canal.AV Malformation.
Contents:-Diastometomyelia. Meningomyelocele.Spondylolisthesis.Complete fracture dislocation.Vertebra Plaina (EosenophilicGranuloma)Epidural Abscess.Bone Cyst.Heamengioma.
Far Lateral Disc Prolapse
Far Lateral Disc Prolapse
Far Lateral Disc Prolapse
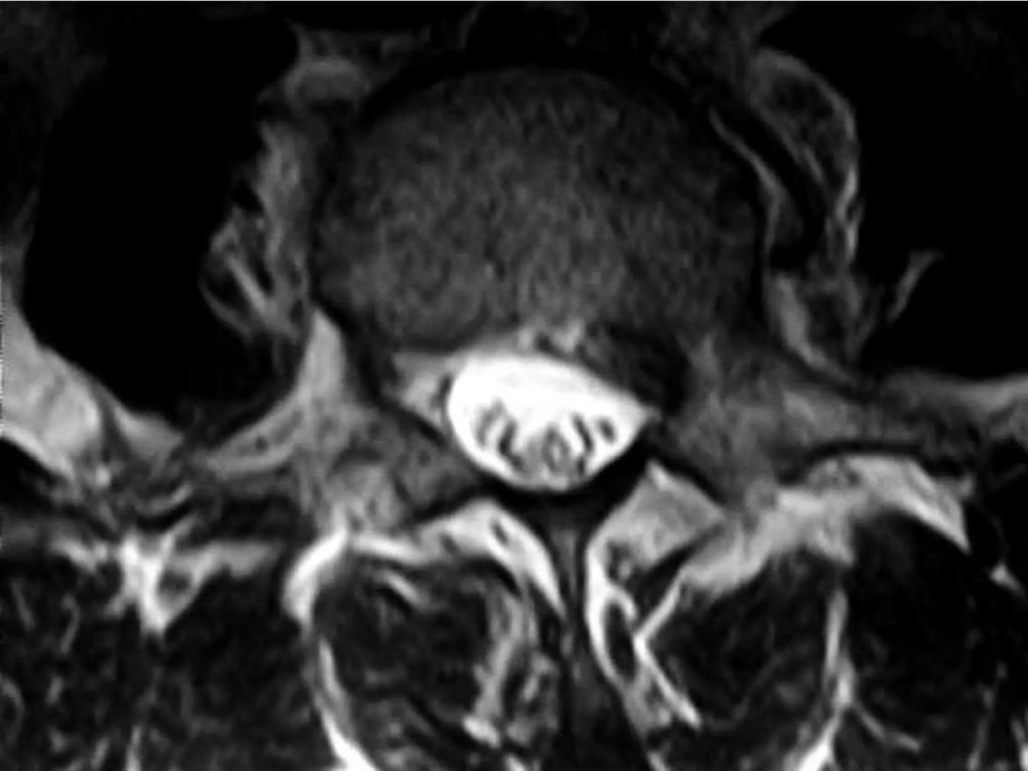
Foraminal Extrusion of Disc
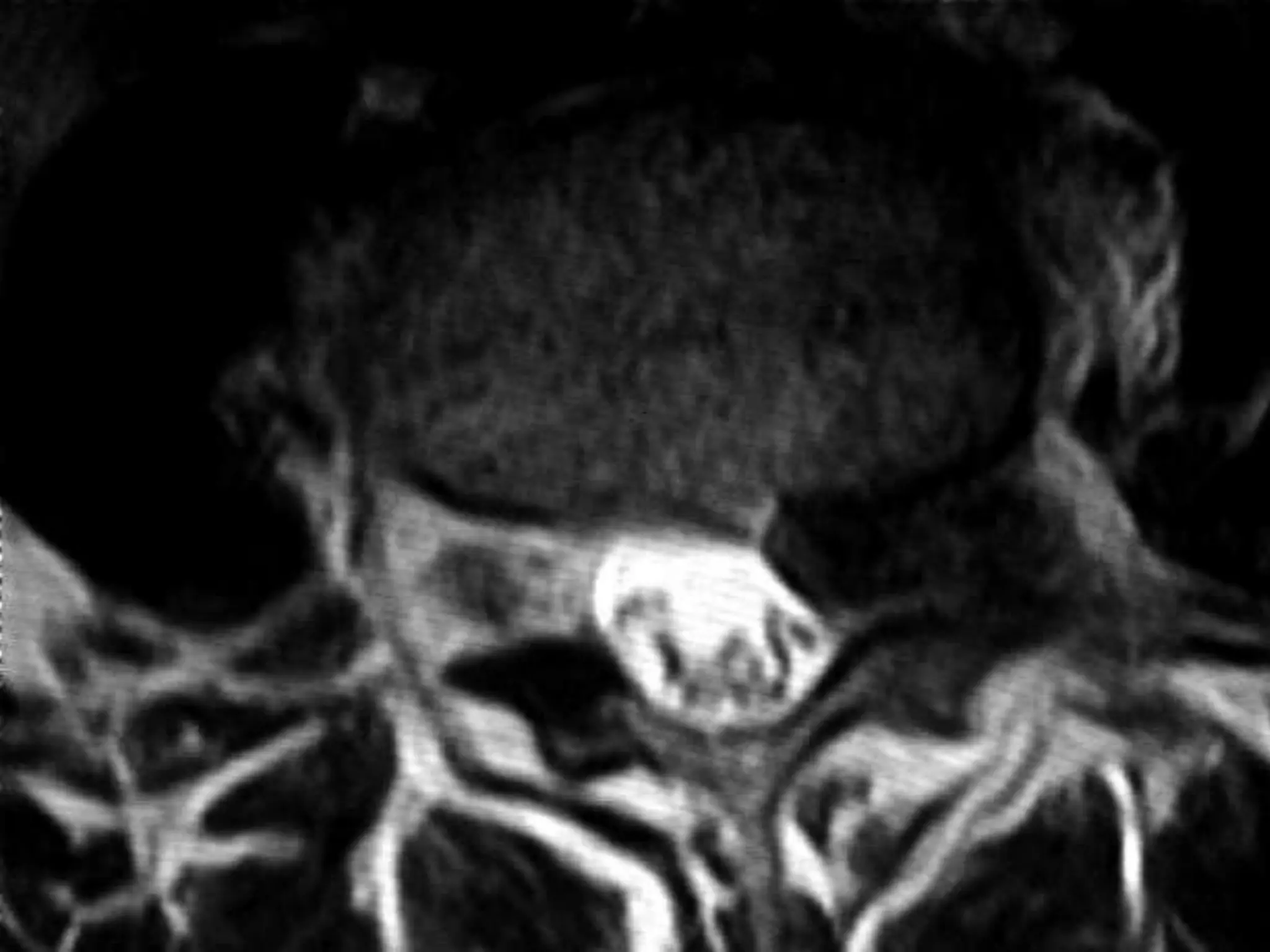
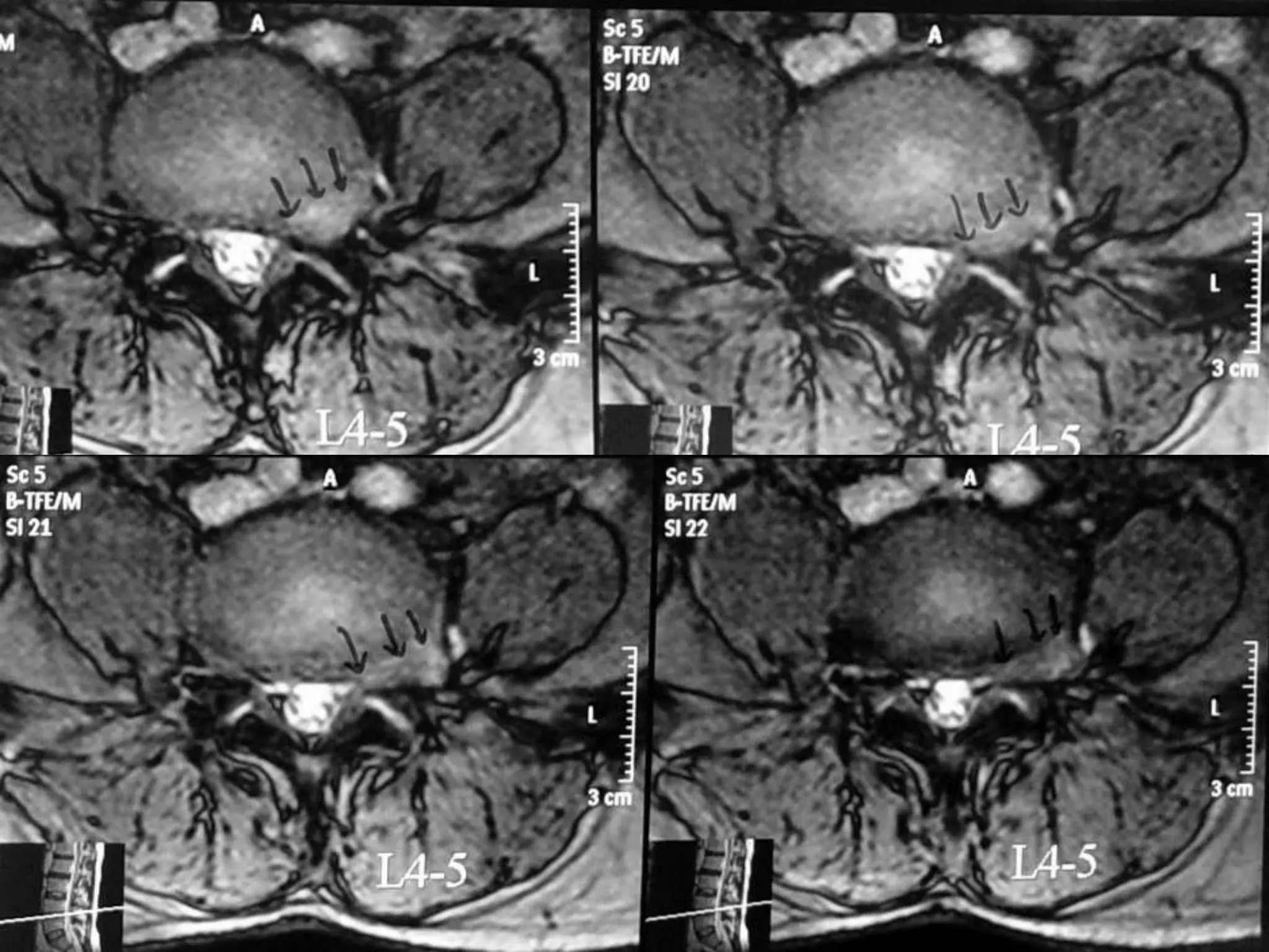
Roof Disc (Central Disc Prolapse)
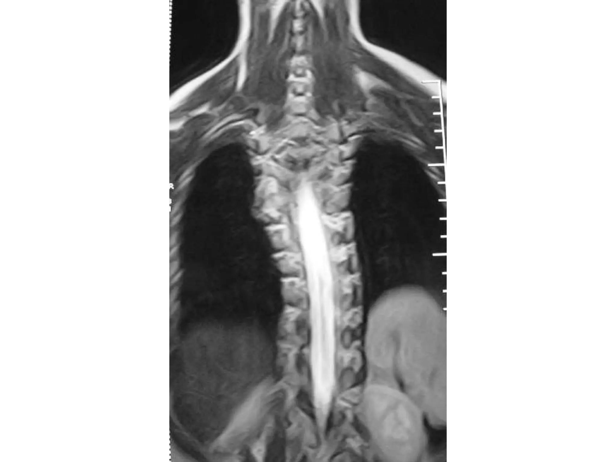
Dorsal Discs
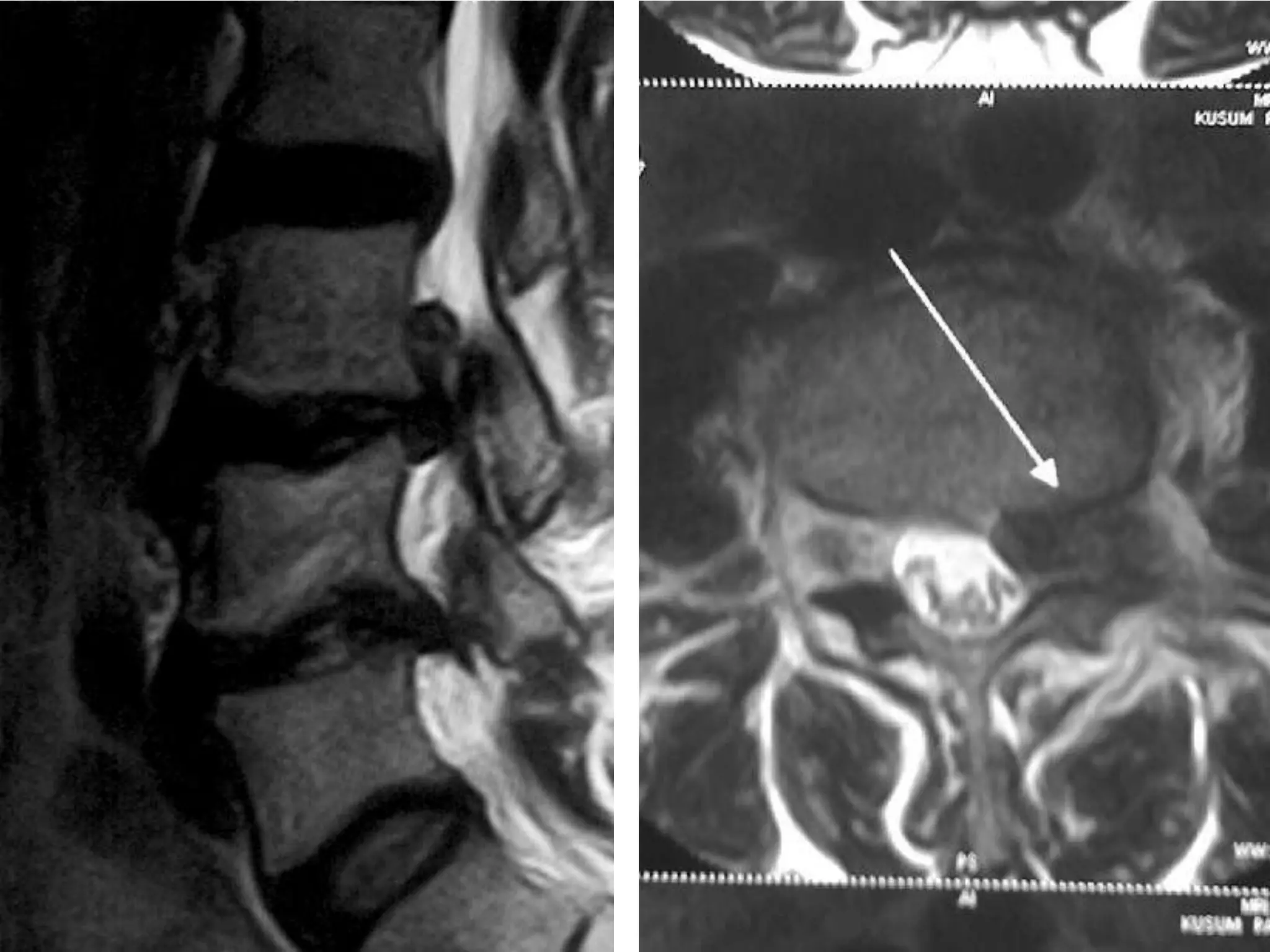
Disc at D12 – L1
Disc at D12 – L1
Post operative Right sided Facetactomy
Arachnoid Cysts
Arachnoid Cysts
Arachnoid Cysts
Arachnoid Cysts
Arachnoid Cysts
Arachnoid Cysts
Facetal Joint Cysts
Facetal Joint Cysts
Loose body spinal canal
Loose body spinal canal
Loose body spinal canal
78 Female, IHD, DMBackache 6 mth.Severe – Bed ridden↑WeaknessCaudaequina – 15 dayDecompressiveLaminectomyEpidural+localLoose body Removed.No improvement
AV malformation
AV malformation
Diastematomyelia
Meningomyelocele
Meningomyelocele
Dynamic Degenerative InstabilityFlexionExtension
Spondylolisthesis Gr. III
Cervical Degenerative Listhesis
Total Fracture Dislocation
Vertebra Plaina (EosinophilicGranuloma)
Epidural Abscess
Aneurismal Bone Cyst
Heamengioma
DISCLAIMER      Information contained and transmitted by this presentation is based on personal experience and collection of cases at Choithram Hospital & Research centre, Indore, India, during last  30 years.  It is intended for use only by the students of orthopaedic surgery.  Views and opinions expressed in this presentation are personal opinion.  Depending upon the x-rays and clinical presentations viewers can make their own opinion.  For any confusion please contact the sole author for clarification.  Every body is allowed to copy or download and use the material best suited to him. I am not responsible for any controversies arise out of this presentation.  For any correction or suggestion please contact  naneria@yahoo.com

Mri – spine